Theo thông tin từ Tổ chức Y tế thế giới cho biết bệnh Chagas (Chagas disease hay Chagas maladie), được biết như là bệnh do đơn bào Trypanosoma spp ở châu Mỹ (American trypanosomiasis), một căn bệnh có tiềm năng gây chết người do đơn bào Trypanosoma cruzi (T. cruzi). Chúng được tìm thấy chủ yếu và nhiều nhất tại châu Mỹ Latinh, nơi là hầu như sự lan truyền sang con người qua đường phân của các con bọ triatomine, hay 'kissing bugs'tùy thuộc vào vùng địa lý (WHO., 2012).
Hiện tại, bệnh Chagas đang nổi lên như là vấn đề y tế công cộng nghiệm trọng và là thách thức mới đối với sức khỏe cộng đồng ở châu Mỹ. Hiện tại ở Mỹ và châu Mỹ Latinh, người dân đang phải đối mặt với sự lây lan của dịch bệnh Chagas cũng giống như từng đối mặt trong những năm đầu của đại dịch HIV/AIDS. Trong tài liệu mới nhất về các bệnh nhiệt đới bị lãng quên (Neglected tropical diseases_NTDs) vừa công bố vào tháng trung tuần tháng 5/2012 trên trang Website thư viện Khoa học cộng cộng (PLoS), Mỹ (http://www.plosntds.org/article). Các chuyên gia đã cảnh báo dịch bệnh Chagas có khả năng là một “Dịch HIV/AIDS mới của châu Mỹ”.
Điều đáng nói là hiện tại các quốc gia đang có lưu hành bệnh Chagas, không những thêm mầm bệnh của đại dịch HIV/AIDS mà còn nhiều người đồng nhiễm với các tác nhân gây bệnh như vi khuẩn, vi rrus, ký sinh trùng và đơn bào à khiến cho gánh nặng bệnh tật ngày càng nghiêm trọng hơn bao giờ hết.
Một số nét về dịch tễ học bệnh Chagas
Bệnh Chagas (hay còn gọi là bệnh do đơn bào Trypanosoma spp. của châu Mỹ_American trypanosomiasis) đã được một nhà khoa học người Brasil tên là Carlos Ribeiro JuStiniano Chagas phát hiện và mô tả (1909). Bệnh do ký sinh trùng hay đơn bào Trypanosoma cruzi gây nên và lưu hành phổ biến ở châu Mỹ Latinh (nhiều nhất là Trung và Nam Mỹ và quốc gia Mexico) như các nước Brasil, Argentina, Bolivia, Paraguay, Uraguay... Tuy nhiên, trong vài thập kỷ qua, nhiều nước cũng đã phát hiện bệnh Chagas như Mỹ, Canada, một số quốc gia tại châu Âu và một số quốc gia khu vực Tây Thái Bình Dương. Nguyên nhân là do quá trình “toàn cầu hóa” làm cho sự lan truyền bệnh từ khu vực Mỹ Latin đến các phần còn lại của thế giới.
 |
Bản đồ phân bố và lan rộng bệnh Chagas trên thế giới (Nguồn: Nature) |
Gánh nặng bệnh tật: Hàng triệu ca mắc và hàng ngàn ca tử vong mỗi năm
Ước tính có khoảng 99 triệu người bị ảnh hưởng trực tiếp bởi các bệnh nhiệt đới bị lãng quên. Nhất là những người có thu nhập thấp dưới 2 đô la/ngày tập trung ở Mỹ Latin (chủ yếu là Trung Mỹ, Nam Mỹ và Mexico) và nhiều quốc gia vùng Caribbean. Các bệnh nhiệt đới bị lãng quên này gây ra gánh nặng bệnh tật trong khu vực gần tương đương hoặc thậm chí vượt xa so với đại dịch HIV/AIDS.
Bệnh Chagas là bệnh do vector truyền và là nguyên nhân hàng đầu gây tử vong và để lại di chứng. Hiện nay, có khoảng 10 triệu người sống chung với bệnh Chagas chủ yếu ở khu vực Mỹ Latin và hơn 25 triệu người có nguy cơ mắc bệnh. Theo Tổ chức Y tế thế giới (WHO), năm 2008 có gần 10.000 ca tử vong. Đây là một trong các bệnh nhiệt đới bị lãng quên phổ biến nhất, ảnh hưởng đến hàng triệu người trong khu vực, một tỷ lệ mắc bệnh vượt khá xa so với bệnh do giun móc và các bệnh giun sán truyền qua đất khác.
Hơn nữa, trong số các bệnh nhiệt đới bị lãng quên ở châu Mỹ, bệnh Chagas đứng hàng đầu về tử vong hàng năm và để lại di chứng sau nhiều năm. Riêng tại Mỹ có gần 1 triều trường hợp mắc bệnh Chagas, tập trung chủ yếu ở bang Texas và dọc theo bờ biển vùng Vịnh, cùng hàng nghìn ca ở Canada, Châu Âu, Australia và Nhật Bản. Điều này là do sự di cư của người dân Mỹ Latinh đến các vùng khác của thế giới.
Theo Tổ chức y tế châu Mỹ ước tính có hơn 14.000 ca mang mầm bệnh Chagas khi mới các bé mới chào đời ở các quốc gia thuộc châu Mỹ Latinh và khoảng 2.000 ca ở Bắc Mỹ, so với 36.000 trẻ em bị nhiễm HIV/AIDS ở châu Mỹ Latinh.
Phương thức lan truyền bệnh
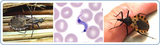
Bệnh Chagas được lây truyền chủ yếu do loại bọ xít Triatoma hút máu và rệp đốt máu truyền bệnh. Có 3 véc tơ có vai trò quan trọng trong lan truyền bệnh là Triatoma infestans, Rhodnius prolixus và Triatoma dimidiata, trong đó Triatoma infestans là véc tơ truyền bệnh chính. Những loài bò xít này thường sống ở những vết nứt của các nhà xây, nhà lá, vách đất, những nơi ẩm thấp ít ánh sáng, phân bố ở cả thành thị và nông thôn.
Khi bọ xít cắn người, chúng bài tiết phân có chứa ký sinh trùng nơi vết cắn gây ngứa và khi nạn nhân gãi chỗ ngứa làm trầy xước da, ký sinh trùng từ phân rệp sẽ thâm nhập cơ thể.
Bên cạnh đó Trypanosoma cruzi cũng có thể lây truyền qua:
- Thực phẩm bị ô nhiễm phân Trypanosoma cruzi
- Lây truyền qua con đường truyền máu do máu bị nhiễm bệnh Chagas.
- Lây truyền dọc trong thai kỳ từ mẹ sang con.
- Thông qua cấy ghép nội tạng.
- Các tai nạn trong phòng thí nghiệm.
 |
Bọ xít hút máu truyền bệnh Chagas (Nguồn: CDC) |
Bệnh Chagas được ví như “HIV/AIDS mới của châu Mỹ”
Cả 2 bệnh xảy ra chủ yếu ở người nghèo và ở những quốc gia đang phát triển. Bệnh Chagas và bệnh HIV/AIDS đều là bệnh mãn tính nên đòi hỏi các khóa điều trị kéo dài, đối với bệnh HIV/AIDS điều trị suốt đời bằng thuốc kháng virus, với bệnh Chagas khóa điều trị kéo dài từ 1 – 3 tháng.
Bệnh HIV/AIDS rất hiếm khi điều trị thành công, trong khi đối với bệnh Chagas đã được chứng minh là thành công nếu được điều trị ngay sau bị nhiễm bệnh ở giai đoạn cấp tính hoặc ở trẻ em lên đến 12 tuổi trong thời gian đầu của giai đoạn nhiễm mãn tính.
Cả hai bệnh điều trị rất tốn kém, đối với bệnh Chagas chi phí điều trị khoảng 1.028 đô la/năm, điều trị suốt đời khoảng 11.619 đô la/bệnh nhân. Điều này làm gia tăng thêm chi phí, bệnh Chagas chính là bệnh nhiễm trùng cơ hội nghiêm trọng đối với những người nhiễm HIV/AIDS và được kết hợp với màng não, gây tổn thương não và tử vong cao.
Hầu hết các bệnh nhân mắc bệnh Chagas không được tiếp cận các cơ sở chăm sóc y tế và nhiều bệnh nhân Chagas không được tiếp cận với các loài thuốc cần thiết trong việc điều trị bệnh Chagas đặc biệt là thuốc benznidazole. Theo Médecins Sans Frontieres (MSF), nhiều quốc gia có tỷ lệ mắc cao như Paraguay và Bolivia, đang phải đối mặt với tình trạng thiếu thuốc benznidazole nghiêm trọng, làm cho hàng ngàn bệnh nhân mới được chẩn đoán hoãn điều trị.
Đối với một số bệnh nhân nhiễm T. cruzi living in the US, sống ở Mỹ, tình trạng di trú là một thách thức để tìm kiếm những dịch vụ chăm sóc và phòng ngừa. Đối với bệnh HIV/AIDS sự kỳ thị là một trong những rào cản để chăm sóc và phòng ngừa.
Vì vậy, với tính trạng di cư như hiện nay là rào cản lớn trong việc điều trị, ngăn chặn và kiểm soát dịch bệnh Chagas.
 |
So sánh bệnh Chagas với bệnh HIV/AIDS (Nguồn: PloS) |
|
So sánh trẻ em sơ sinh mắc bệnh Chagas và HIV/AIDS. (nguồn PLoS) |
Dịch bệnh Chagas đang nổi lên như là một nguy cơ quan trọng liên quan đến truyền máu ở khu vực Châu Mỹ cũng giống như bệnh HIV/AIDS đã lan truyền trong những năm 1980. Mặc dù việc xét nghiệm bệnh Chagas đã được thực hiện từ năm 2006. Hơn nữa con đường lan truyền từ mẹ sang con, lan truyền qua con đường hiến tạng hoặc do tại nạn trong phòng thí nghiệm của bệnh Chagas cũng được ghi nhận. Đây chính là lý do khiến nó được gọi là “HIV/AIDS của châu Mỹ” Trong thời gian mang thai, tỷ lệ lây truyền dọc từ mẹ sang con của T. cruzi khoảng 5% (trong khi đó nhiều tác giả tin rằng tỷ lệ này là 10%). Theo Tổ chức Y tế châu Mỹ ước tính có hơn 14.000 ca mang mầm bệnh Chagas khi mới chào đời ở Mỹ Latinh, với 2.000 ca trẻ sơ sinh bị nhiễm hàng năm ở Bắc Mỹ, so với 36.000 trẻ em bị nhiễm HIV/AIDS ở châu Mỹ Latin.
Có sự khác biệt quan trọng giữa bệnh Chagas và HIV/AIDS. Trong khi bệnh HIV/AIDS sẽ tử vong nếu không điều trị thuốc kháng vi-rút, còn bệnh Chagas khoảng 70% - 80% bệnh nhân không tiến triển đến bệnh suy cơ tim. Hơn nữa, bệnh Chagas là một bệnh nhiệt đới bị lãng quên nên ít được các tổ chức y tế quan tâm do vậy tình trạng thiếu thuốc điều trị luôn xảy ra, trong khi đó HIV/AIDS luôn có đủ thuốc kháng virus (mặc dù vậy cả hai bệnh ở các quốc gia đang phát triển vẫn ít được tiếp cận với các thuốc thiết yếu này). Tuy nhiên hiện nay cũng có nhiều bằng chứng về sự lan truyền bệnh Chagas thông qua ô nhiễm thực phẩm ở khu vực sông Amazon.
Hiện tại khu vực châu Mỹ đang đối mặt với đại dịch bệnh Chagas cũng giống như khu vực này từng đối mặt với đại dịch HIV/AIDS. Điều này sẽ trở thành một thảm họa nhân đạo nghiệm trọng cho những người nghèo ở châu Mỹ và các khu vực khác trên thế giới. Sự nghiêm trọng của bệnh Chagas đòi hỏi sự quan tâm khẩn cấp và tích cực bởi các nhà hoạch định chính sách y tế của các quốc gia đang có lưu hành bệnh cũng như trên toàn cầu nên ưu tiên bệnh Chagas và phát triển một chiến lược toàn diện cho những nỗ lực kiểm soát và loại bỏ bệnh Chagas trong cộng đồng.
Các dấu hiệu và triệu trứng lâm sàng
Một bệnh nhân bị nhiễm bệnh nếu bị đốt vào trong mắt hoặc mũi, vết đốt hoặc vết lở. bệnh cũng có thể lan rộng qua nhiễm trong thức ăn, qua truyền máu, qua ghép cơ quan nhiễm hay từ mẹ sang con trong quá trình mang thai. Nếu bạn chú ý đến các triệu chứng, chúng có thể bao gồm: sốt, các triệu chứng giống cúm, ban đỏ, phù mi mắt.
Các triệu chứng sớm này thường biến mất đi. Song, nếu bạn không điều trị nhiễm trùng thì nó vẫn còn tồn tại. Sau đó, nó có thể gây nên các triệu chứng nghiêm trọng hơn ở tiêu hóa và tim mạch. Thuốc có thể giết chết ký sinh trùng, đặc biệt vào thời điểm sớm, bạn có thể điều trị khỏi các vấn đề liên quan. Chẳng hạn, một máy tạo nhịp tim sẽ giúp bạn về các biến chứng tim mạch.
Bệnh Chagas hình thành theo 2 giai đoạn gồm giai đoạn cấp tính và giai đoạn mãn tính. Giai đoạn cấp tính thường kéo dài trong 2 tháng sau khi bị nhiễm. Cũng giống như HIV/AIDS ở giai đoạn cấp tính, bệnh nhân không có biểu hiện lâm sàng hoặc biểu hiện lâm sàng nhẹ như nổi ban, viêm ổ mắt, sưng bạch huyết và sốt kéo dài trong vài tuần đầu. Bên cạnh đó còn có một số triệu trứng kháng như đau đầu, đau cơ, khó thở, phù nề ở mặt hoặc chân tay, gan to,… Các triệu trứng này biểu hiện mạnh hơn ở trẻ em dưới 5 tuổi, người già, người có miễn dịch kém. Tuy nhiên, phần lớn những người mắc bệnh không có biểu hiện bệnh cho tới giai đoạn mãn tính, khoảng 10 – 14 sau khi bị nhiễm bệnh.
Theo WHO, ở giai đoạn mãn tính KST ẩn dưới mô đích ở tim và cơ trơn của hệ tiêu hóa. Lên đến 30% bệnh nhân rối loạn tim và 10% bị tiêu hóa. Trong những năm sau đó bệnh nhân dẫn đến đột tử hoặc suy tim do cơ tim bị pha hủy dần dần. Còn theo tài liệu công bố của PloS được báo Mỹ New York Times dẫn lại, khoảng ¼ bệnh nhân Chagas sẽ bị biến chứng to tim, phình đại tràng, thực quản dẫn đến vở hoặc suy các cơ quan này và đột tử.
Vaccine vẫn còn trong giai đoạn nghiên cứu: Một thách thức cho phòng bệnh
Cũng giống như HIV/AIDS bệnh Chagas hiện chưa có vắc-xin phòng bệnh. Vì vậy cách tốt nhất để phòng ngừa là kiểm soát véc tơ truyền bệnh và sàng lọc máu để ngăn ngừa lây nhiễm qua truyền máu và cấy ghép nội tạng. Tuy nhiên, đối với bệnh Chagas có thể điều trị hiệu quả nếu đang trong giai đoạn cấp tính và giai đoạn đầu mãn tính. Đối với những bệnh nhân kéo dài thì khả năng chữa được rất thấp. Hiện nay có 2 loại thuốc phổ biến dùng để điều trị bệnh Chagas là Benznidazole và Nifutimox.
Tài liệu tham khảo
1.http://www.cdc.gov/parasites/chagas/
2.http://www.who.int/topics/chagas_disease/en/
3.http://www.nlm.nih.gov/medlineplus/chagasdisease.html
4.http://www.mayoclinic.com/health/chagas-disease/DS00956
5.http://www.uta.edu/chagas/
6.http://www.plosntds.org/article
7.Image from DPDx