Mặc dù tại Việt Nam không có nhiều ca bệnh báo cáo có hệ thống liên quan đến đơn bào Leishmania spp. này, song cũng đã có một số dữ liệu có thể khiến chúng ta suy nghĩ và đề ra một số kế hoạch nghiên cứu liên quan đến bệnh này trong thời gian đến vì đây được coi là 1 trong 5 căn bệnh truyền nhiễm cảnh báo năm 2017.
Năm 1978, lần đầu tiên tại bệnh viện 103 đã phát hiện được ca bệnh do đơn bào Leishmania spp. ở các tạng trên cơ thể như não, gan, lách, tim, phổi trên một người bệnh đã tử vong. Nữ bệnh nhân này lao động tại Lục Nam, Bắc Giang nhưng quê quán ở Cẩm Giàng, Hải Dương. Cũng chính tại Cẩm Giàng, Hải Dương; Bộ môn Sốt rét-Ký sinh trùng-Côn trùng của Học viện Quân Y đã điều tra, nghiên cứu và bắt được loài muỗi cát truyền bệnh ở đây; Năm 1984, BV Nhi Thụy Điển đã phát hiện được một bệnh nhân 6 tuổi mắc bệnh do Leishmania thể phủ tạng. Sau khi tử vong, đã tìm thấy ký sinh trùng Leishmania spp. ở gan, lách, phổi, hạch.. Năm 2001, BV Việt Nam-Thụy Điển tại Uông Bí, Quảng Ninh, đã phát hiện 3 bệnh nhân bị mắc bệnh Kala-azar với triệu chứng điển hình của Leishmania spp. phủ tạng như có gan to, lách to, rối loạn tiêu hóa và sốt kéo dài. Xét nghiệm ghi nhận người bệnh có HIV dương tính, ký sinh trùng thử 3 lần đều âm tính, tiêu bản máu ngoại vi phát hiện có thể ký sinh trùng amastigote của Leishmania spp. và nuôi cấy tủy xương, nhuộm giêm sa đã phát hiện được thể proamastigote của Leishmania spp. Các tiêu bản chẩn đoán đã được xác định bằng phương pháp sinh học phân tử PCR. So sánh độ dài của vòng kDNA và sự tương ứng của chuỗi ADN ở vùng bảo tồn cho thấy loại ký sinh trùng này thuộc chi Leishmania, họ Trypanosomatidae và rất có thể thuộc một loài hoàn toàn mới (?).

Hình 1
Về trung gian truyền bệnh đơn bào Leishmania spp. ở Việt Nam, theo các nhà khoa học Raynal và Gaschen (1934-1935) và Quate (1962) đã xác định có 11 loài muỗi cát ở một số địa điểm thuộc các tỉnh như Quảng Ninh, Ninh Bình, Vĩnh Phúc, Bắc Giang, Khánh Hòa, Quảng Ngãi. Trong số các loài muỗi cát phát hiện tại nước ta, loài muỗi cát Phlebotomus sergenti là loài đã được xác định có vai trò truyền bệnh Leishmania spp. Từ sau năm 2001 trở đi, các công trình nghiên cứu khoa học về loài muỗi cát Phlebotomus spp. và vai trò truyền bệnh Leishmania spp. gây bệnh phủ tạng và Leishmania spp. gây bệnh ngoài da chưa được các nhà khoa học quan tâm thực hiện nhiều, việc công bố các công trình nghiên cứu vẫn còn hạn chế. Dù sao đi nữa tại Việt Nam, các nhà khoa học trước đây đã phát hiện, xác định có cả bệnh nhân và muỗi cát trung gian truyền bệnh đơn bào Leishmania spp. nên vấn đề này cần được các nhà khoa học chuyên ngành cảnh giác, quan tâm, tiếp tục nghiên cứu và thông báo những trường hợp mắc bệnh để góp phần phòng, chống một loại bệnh ký sinh trùng nguy hiểm do muỗi truyền hiếm gặp ở nước ta. 
Trong phần 1, chúng tôi đã đề cập các khía cạnh lịch sử, dịch tễ học, nghiên cứu vaccine và các phần lâm sàng, chẩn đoán và giải phẩu bệnh-sinh lý bệnh của bệnh do Leishmania spp., tiếp theo chúng tôi xin giới thiệu phần chẩn đoán cận lâm sàng, điều trị và phòng bệnh với góc độ là một trong những bệnh truyền nhiễm do ký sinh trùng hiếm gặp tại Việt Nam. 
CHẨN ĐOÁN XÁC ĐỊNH
Dựa vào các đặc điểm lâm sàng và cận lâm sàng trên, yếu tố dịch tễ. Bệnh phẩm lấy từ bờ thương tổn, mẫu có thể chia ra ba phần để làm tiêu bản nhuộm soi, mô bệnh học và nuôi cấy.
- Nhuộm soi
Nhuộm Giemsa và quan sát dưới vật kính dầu phát hiện thể Leishman-Donovan ở giai đoạn sớm, chưa điều trị của bệnh. Những thể này có hình dạng e-lip màu xanh nhẹ (light-blue), nhân dị hình với một kinetosome nhỏ hơn ở cực đối diện. Các protozoa thường tập hợp lại thành nhóm giống hình đàn ong (hình 3).

Hình 2. Hình ảnh tổ ong trong bệnh do Leishmania spp.
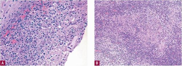
- Mô bệnh học
Ở cả thể CL tân và cựu thế giới, các thương tổn sớm có sự xâm nhập các tế bào viêm dày đặc hoặc lan tỏa bao gồm các mô bào chiếm ưu thế, các tế bào đa nhân thưa thớt, lympho bào, tương bào, thỉnh thoảng gặp các thể Russell, đó là các vật chất Ig đồng nhất trong bào tương của bạch cầu ưa acid. Có khoảng grenz zone, ít gặp bạch cầu ưa acid, đa nhân trung tính và hiện tượng viêm quanh các sợi thần kinh. Dấu hiệu đặc trưng của bệnh (quan sát thấy ở 70% các trường hợp) là hình ảnh nhiều amastigote trong mô bào (được gọi là thể Leishman-Donovan) và ngoài tế bào.

Hình 3. Hình về đặc điểm mô bệnh học.
A. CL cấp: xâm nhập dày đặc của lympho bào và mô bào và một số lượng lớn các đại thực bào chứa thể amastigote (thể Leishman).
B. CL mạn tính: phản ứng viêm dạng u hạt với các tế bào đa nhân khổng lồ, mô bào, lypho bào, không có chất hoại tử bã đậu và ký sinh trùng.
Nguồn: Fitzpatrick’s dermatology
Các chẩn đoán phân biệt trên mô bệnh học bao gồm những bệnh có ký sinh trùng xâm nhập vào đại thực bào. Trong bệnh do nấm Histoplasma, bào tử nấm có quầng xung quanh, trong bệnh rhinoscleroderma có các tế bào Mikulicz. Các bệnh nhiễm đơn bào, vi nấm khác có thể là Blastomycosis, Paracoccidioidomycosis, Toxoplasmosis và Trypanosomiasis. 
Khi thương tổn tiến triển, số lượng amastigote trong một đơn vị sẽ giảm và hình ảnh mô bệnh học tiến  tới CCL trong đó có các nang phản ứng viêm dạng u hạt, không có hoại tử bã đậu. Ngoài ra còn thấy qúa sản thượng bì và loét, sẹo mất sợi elastin. Trong DCL, có sự xâm nhập lan tỏa của các đại thực bào có hốc với rất nhiều amastigote trong hoặc ngoài tế bào. 
Cần chẩn đoán phân biệt với phong thể u.
- Kháng thể đơn dòng
Kháng thể đơn dòng trực tiếp kháng lại các kháng nguyên đặc hiệu của leishmania có thể được phát hiện, mẫu bệnh phẩm là các thể amastigote và promastigote trên tiêu bản nhuộm soi, sinh thiết hoặc nuôi cấy. Kháng thể G2D10 được dùng cho phổ rộng các loài Leishmania spp. và được xem là test chẩn đoán nhanh chẩn đoán bệnh do Leishmania spp.
- Nuôi cấy
Tại nhiệt độ phòng, dùng môi trường hai pha như NMN (Novy-MacNeal-Nicolle) là tiêu chuẩn vàng để chẩn đoán, với độ nhạy 50%. Promasigote thường mọc sau vài ngày nhưng cũng có thể hàng tuần. Việc xác định loài không thể dựa vào hình thái của chúng.
Phân tích isoenzyme
Việc phân tích isoenzyme cho phép xác định loài và bao gồm điện di miễn dịch các thể promasigote được nuôi cấy. Nó dựa trên thực tế là các loài Leishmania spp. có thể giống nhau về hình dạng nhưng khác nhau về bộ enzym.
Huyết thanh học
Xét nghiệm huyết thanh có độ nhạy và độ đặc hiệu thấp do phản ứng chéo với với trực khuẩn phong, ký sinh trùng sốt rét và Trypanosoma spp.
Test da với Leishmania
Tương tự như test tuberculin, xác định sự phơi nhiễm với Leishmania spp. mà không xác định nhiễm khuẩn đang hoạt động hay nhiễm khuẩn cũ. Có tới 50% những người sống trong vùng dịch tễ có kết quả dương tính mà không có bệnh hoặc tiền sử bệnh trước đó.
Sinh học phân tử
Kỹ thuật phân tử sử dụng các đoạn mồi oligonucleotide đặc hiệu cho loài để tìm kinetoplast DAN và có thể được sử dụng cho tất cả các mẫu bệnh phẩm. Phương pháp PCR có độ đặc hiệu cao và nhạy hơn so với nhuộm soi và nuôi cấy, đặc biệt là trong trường hợp có ít ký sinh trùng.
CHẨN ĐOÁN PHÂN BIỆT
Chẩn đoán phân biệt với  | Chẩn đoán phân biệt với  | 
CL cấp Côn trùng đốt Các nhiễm khuẩn (viêm da mủ, nấm da,  u hạt, lao da Bệnh do mycobacterium không điển hình, nấm da) Ung thư (ung thư tế bào đáy, ung thư tế bào gai, keratoacanthoma) U lympho và giả u lympho Phản ứng u hạt với vật lạ Lupus vulgaris  | Sarcoidosis Lupus hình đĩa U lympho, giả u lympho Bệnh phong CL lan tỏa Phong thể u U vàng Bệnh nấm sâu U lympho CL mạn, tái phát  | 
TIÊN LƯỢNG
Tiến triển lâm sàng tùy thuộc vào thể bệnh. Nói chung, miễn dịch với loài đặc hiệu tồn tại suốt đời, thu được sau khi bệnh tự khỏi hoặc khỏi do điều trị, có thể có miễn dịch chéo với các loài Leishmania spp. khác. Bệnh do Leishmania spp. da ở tân thế giới có xu hướng nặng hơn và tiến triển xấu hơn bệnh ở cựu thế giới
ĐIỀU TRỊ
Tất cả các trường hợp bệnh do Leishmania spp. nội tạng và Leishmania spp. ở da và niêm mạc có biểu hiện lâm sàng cần phải được điều trị, trong khi Leishmaniasis ở da có trường hợp tự khỏi mà không cần điều trị. Phương pháp điều trị phụ thuộc vào ký chủ và loại ký sinh trùng mắc phải. Một phác đồ điều trị chỉ phù hợp với một loại Leishmania, một khu vực địa lý cụ thể. Đối với trẻ em, người cao tuổi, phụ nữ có thai hoặc cho con bú, những người bị suy giảm miễn dịch hoặc những người có bệnh khác đi kèm cần dùng phác đồ riêng. 
Vì đặc điểm lâm sàng đa dạng và thiếu các thử nghiệm về điều trị, kiểm soát bệnh nên việc điều trị tùy thuộc vào từng loài gây bệnh, sự lan rộng của bệnh, tình trạng miễn dịch và dinh dưỡng của người bệnh, sự tái phát bệnh, vùng địa lý, giá cả và sự sẵn có của các thuốc.
Bảng 1. Lựa chọn điều trị dựa vào loài gây bệnh, thể bệnh
Thể bệnh  | Loài gây bệnh  | Điều trị  | 
OW-CL  | L. major Nhiều thương tổn, tiến triển nặng  | Theo dõi, dùng thuốc tại chỗ Điều trị toàn thân  | 
L. tropica, L. aethiopica, L. infantum  | Điều trị toàn thân  | 
NW-CL  | Phức hợp L. mexicana  | Theo dõi, điều trị toàn thân  | 
NW-CL  | Phức hợp L. braziliensis  | Điều trị toàn thân  | 
Các phương pháp điều trị tại chỗ
-Phẫu thuật lạnh, liệu pháp điện, nhiệt tại chỗ; 
-Cắt bỏ thương tổn bằng phương pháp laser;
-Tiêm antimon nội thương tổn kết hợp với phẫu thuật lạnh;
-Mỡ paromomycine, imiquimod, azole tại chỗ, glyceryl trinitrate tại chỗ, metronidazole nội thương tổn…
Các thuốc điều trì toàn thân
Một số thuốc áp dụng toàn thân tùy thuộc tính sẵn có của cơ sở y tế và chỉ định, chống chỉ định và tác dụng ngoại ý của amphotericin B, paromomycin, miltefosine, azole, terbinafine, metronidazole, dapsone, interferon-γ, pentamidin và / hoặc allopurinol, trimethoprim-sulfamethoxazol, rifampin, nifurtimox, quinolone, pyrimethamin, kẽm sulfate, kháng interleukin10.
PHÒNG BỆNH
Hiện nay, bệnh chưa có vaccine cũng như thuốc để phòng bệnh. Cách tốt nhất phòng bệnh là bảo vệ không để muỗi cát đốt. Các biện pháp bảo hộ cá nhân bao gồm giảm thiểu các hoạt động ngoài trời vào ban đêm, mặc quần áo dài tay và thoa thuốc chống côn trùng trên phần da không được bao phủ. Nhìn chung, các biện pháp phòng chống và kiểm soát phải phù hợp với từng địa phương và thường rất khó để duy trì. Biện pháp kiểm soát đối với trung gian truyền bệnh hoặc ký chủ động vật có thể có hiệu quả đối với một số địa phương.
Ở nhiều nơi, người bị nhiễm không đóng vai trò chủ yếu trong việc duy trì chu trình lây lan của ký sinh trùng trong tự nhiên; ký chủ là động vật (ví dụ như loài gặm nhấm hoặc chó), cùng với muỗi cát duy trì chu kỳ này. Ví dụ, trong vùng lưu hành L. infantum/L .chagasi chó là nguồn chứa mầm bệnh chính. 

Hình 4
Tuy nhiên, ở một số nơi người bị nhiễm đóng vai trò chủ yếu để duy trì chu kỳ; đây là kiểu lan truyền người-muỗi-người. Ở khu vực này, biện pháp kiểm soát tốt nhất là phát hiện sớm và điều trị hiệu quả bệnh nhân, điều trị không triệt để có thể dẫn đến sự xuất hiện, phát triển và lây lan ký sinh trùng kháng thuốc. Phun thuốc diệt muỗi, ngủ màn có tẩm hóa chất diệt muỗi tồn lưu dài cũng là biện pháp phòng chống muỗi đốt hiệu quả.
-Sử dụng quần áo bảo hộ khi đi vào vùng dịch tễ;
-Vệ sinh quần áo, giường, chăn, chiếu bằng permethrin;
-Không đi vào vùng bệnh lưu hành;
-Lập bản đồ vùng bệnh lưu hành trên thế giới và tại các quốc gia và vũng thổ đó. Đồng thời, xác lập vùng nhiều ruồi cát có nguy cơ lây truyền bệnh để đánh giá nguy cơ và lập kế hoạch phòng chống;
-Hiểu biết đầy đủ về các nguồn dự trữ bệnh và các trung gian truyền bệnh;
-Trong vùng dịch tễ, sử dụng vaccine làm từ promastigote đã chết cộng với trực khuẩn Calmette-Guérin có hiệu quả.
Tài liệu tham khảo
1.Nguyễn Thị Huyền (2015). Bệnh do Leishmania (Leishmaniasis). Bệnh viện Da liễu Trung ương.
2.Nguyễn Thị Mộng Siêng (2015). Bệnh do nhiễm Leishmania (Leishmaniasis). Viện Sốt rét-KST-CT TP. Hồ Chí Minh
3.Lê Đức Thọ (2015). Ca bệnh do Leishmania. Bệnh viện Hoàn Mỹ Sài Gòn
6.Sundar, S; Chakravarty, J (2013). Leishmaniasis: An update of current pharmacotherapy. Expert opinion on pharmacotherapy. 14 (1): 53-63. 
7.Dorlo, TP; Balasegaram, M; Beijnen, JH; de Vries, PJ (2012). Miltefosine: a review of its pharmacology and therapeutic efficacy in the treatment of leishmaniasis. The Journal of antimicrobial chemotherapy.67 (11): 2576-97. 
8.Minodier, P; Parola, P (May 2007). Cutaneous leishmaniasis treatment. Travel medicine and infectious disease. 5(3):150-8. 
10.Lozano, R (2012). Global and regional mortality from 235 causes of death for 20 age groups in 1990 and 2010: A systematic analysis for the Global Burden of Disease Study 2010. Lancet.380 (9859): 2095-128. 
11.Ejazi, SA; Ali, N (2013). Developments in diagnosis and treatment of visceral leishmaniasis during the last decade and future prospects. Expert review of anti-infective therapy. 11(1):79-98. 
12.James, William D.; Berger, Timothy G.; et al. (2006). Andrews' Diseases of the Skin: clinical Dermatology. Saunders Elsevier. pp. 422–428. ISBN 0-7216-2921-0. 
14.Dacie, John V.; Bain, Barbara J.; Imelda Bates (2006). Dacie and Lewis practical hematology. Philadelphia: Churchill Livingstone/Elsevier. ISBN 0-443-06660-4. 
15.Alexander; Maroli. Control of phlebotomine sandflies. Medical and Veterinary Entomology, online Wiley, 17 
21.Cunningham, DD (1885). on the presence of peculiar parasitic organisms in the tissue of a specimen of Delhi boil. Scientific memoirs officers Medical Sanitary Departments Government India. Calcutta: Printed by the superintendent of government printing, India. pp. 21-31. 
23.Hoare C.A. (1938). Early discoveries regarding the parasite of oriental sore. Transactions of the Royal Society of Tropical Medicine and Hygiene. 32(1): 67-92. 
24.Leishman, W. B. (1903). on the possibility of the occurrence of trypanomiasis in India. The British Medical Journal. 
25.Donovan, C. (1903). Memoranda: on the possibility of the occurrence of trypanomiasis in India. The British Medical Journal. 
28.Palatnik-de-Sousa, CB (2008). Vaccines for Leishmaniasis in the fore coming 25 years. Vaccine. 26 (14):1709-24. 
29.Dunning, N. (2009). Leishmania vaccines: from leishmanization to the era of DNA technology. Bioscience Horizons.2 (1):73-82. 
33.Desjeux P: Leishmaniasis: Current situation and new perspectives. Comp Immunol Microbiol Infect Dis 27:305, 2004
34.Murray HW et al. (2005). Advances in Leishmaniasis. Lancet 366:1561, 2005
35.Couppie P et al., (2004). Comparative study of cutaneous Leishmaniasis in human immunodeficiency virus-infected patients and non-HIV-infected patients in French Guiana. Br J Dermatol 151:1165.
36.Zijlstra EE et al., (2003). Post-kala-azar dermal Leishmaniasis. Lancet Infect Dis 3:87.
37.Croft SL, Coombs GH (2003). Leishmaniasis -Current chemotherapy and recent advances in the search for novel drugs. Trends Parasitol 19:502.
38.Sra KK, Sracic J, Tyring SK (2004). Treatment of protozoan infections. Dermatol Ther 17:513.
39.Moore AC, Ryan ET, Waldron MA (2002). Case records of the Massachusetts general hospital. Weekly clinicopathological exercises. N Engl J Med 346:2069, 2002.
40.Aoun, K.; Bouratbine, A. (2014). Cutaneous Leishmaniasis in North Africa: a review. Parasite. 21: 14. 
41.Zeledón RA (1996). Baron S; et al., eds. Hemoflagellates: Cutaneous and Mucocutaneous Leishmaniasis. In: Barron's Medical Microbiology (4th ed.). Univ of Texas Medical Branch. (via NCBI Bookshelf) ISBN 0-9631172-1-1. 
43.Shope RE (1996). Baron S; et al., eds. Bunyaviruses. In: Barron's Medical Microbiology (4th ed.). Univ of Texas Medical Branch. (via NCBI Bookshelf) ISBN 0-9631172-1-1. 
44.Valassina M, Cusi MG, Valensin PE (2003). "A Mediterranean arbovirus: the Toscana virus". J Neurovirol. 9 (6): 577–83.