Tiếp theo Phần 1
          Hiện nay, hơn 50 loài Nocardia đã được xác định bằng các phương pháp xác định kiểu hình và phân tử. Phức hợp Nocardia asteroides là loài chính, liên quan đến các rối loạn lâm sàng khác nhau ở người và động vật, bao gồm cả chim. Phức hợp Nocardia asteroides được phân thành các type I, II, III, IV và V. Type III được gọi là Nocardia nova và type V là Nocardia Farcinia. Gần đây, Nocardia cyriacigeorgica được phân biệt với Nocardia asteroides, và hiện được coi là một mầm bệnh mới nổi ở Mỹ. Hamid và cộng sự đã phân lập được Nocardia africana, một mầm bệnh mới, từ những bệnh nhân nhiễm trùng phổi.

Hình 7. Từ tổn thương trên lâm sàng đến phân tích mô bệnh học của bệnh u nấm
Lịch sử ghi nhận về bệnh nocardiosis bắt đầu từ năm 1888 khi Edmond Nocard lần đầu tiên mô tả một loại xạ khuẩn hiếu khí gây bệnh ở gia súc mắc bệnh viêm hệ bạch huyết ở bò (bovine farcy) trên đảo Guadeloupe, thuộc vùng Tây Ấn. Tuy nhiên, trường hợp đầu tiên của bệnh trên người được Eppinger báo cáo vào năm 1890 trên một thợ thổi thủy tinh 52 tuổi. Pal được ghi nhận là người đầu tiên giải thích vai trò gây bệnh của Nocardia asteroides trong loét giác mạc ở gia súc từ Ấn Độ. Mặt khác, Nocardia asteroides không tạo thành u hạt trong các mô; tuy nhiên, các loài khác như Nocardia caviae, Nocardia mexicana và Nocardia brasiliensis có đặc trưng là sự hiện diện của các u hạt. Gia súc và chó bị ảnh hưởng nhiều hơn các loài động vật khác. 
Viêm vú ở bò là biểu hiện lâm sàng phổ biến nhất của bệnh nocardiosis ở động vật nuôi. Trong các nghiên cứu trước đây được thực hiện ở Brazil, chủng Nocardia asteroides vàNocardia brasiliensis được xác định là tác nhân gây bệnh viêm vú ở bò phổ biến nhất.
Bệnh này ở loài chó được biểu hiện với nhiều biểu hiện lâm sàng khác nhau. Dạng bệnh ngoài da hoặc dưới da, tương tự như bệnh u nấm mycetoma ở người, có biểu hiện chảy mủ ra chất dịch giống súp cà chua, là dạng đáng lo ngại đặc biệt. Nocardia otitidiscaviarum được phân lập từ tám trường hợp tổn thương da-dưới da và một trường hợp viêm phổi ở chó vào năm 2008 ở Brazil. 

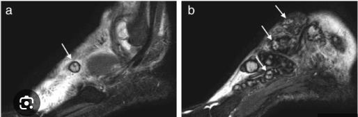
Hình 8. Dấu chấm đen trong vòng tròn (“dot-in-circle” sign) trên tổn thương u nấm ở hệ cơ xương trên phim chụp MRI và siêu âm
Gần đây, Hattori và các cộng sự đã phân lập được Nocardia. africana từ một trường hợp u nấm mycetoma ở mèo. Nocardia brasiliensis là tác nhân phổ biến nhất của bệnh u nấm mycetoma. Gần đây, Rodriguez-Nava và cộng sự đã báo cáo về Nocardia mexicana, một tác nhân gây bệnh mới từ bệnh u nấm mycetoma ở người.
ĐẶC ĐIỂM LÂM SÀNG CỦA MYCETOMA
  !important;        Mycetoma thường tiến triển chậm, ban đầu xuất hiện bởi các khối núm hay u lồi dưới da không đau. Tiếp sau đó diễn tiến mở ra là các nhiễm trùng tạo u hạt li ti nhỏ chứa các bào tử nấm, sau đó sưng phồng lên, gây biến dạng các phần chi cơ thể, ầu hết là ở vùng tay, bàn chân, lưng và mông. Sau đó, tình trạng nhiễm trùng mạn tính xuất hiện và mycetoma lan rộng đến các vùng da khác, mô sâu hơn và kể cả xương, dẫn đến phá hủy cấu trúc, biến dạng và mất chức năng mô đó. Nhiễm trùng vi khuẩn cũng thường gặp, triệu chứng thường đau tăng dần dần, mất khả năng và nhiễm trùng máu nếu không điều trị kịp thời có thể tử vong. Nhiều người bị mycetoma trở nên trầm cảm và cần phải hỗ trợ tâm thần kinh.
Đặc điểm lâm sàng bệnh nhân khi mắc mycetoma có xu hướng phát hiện muộn và điều trị cũng muộn và do nhiều yếu tố can thiệp vào. Bệnh tiến triển ban đầu thường không đau và các yếu tố khác có thể làm trì hoãn việc chậm trễ trong chẩn đoán và điều trị như tình trạng kinh tế xã hội của bệnh nhân không đủ và trình độ học vấn thấp, tài chính và xa cơ sở y tế địa phương.
Biểu hiện bệnh thường đặc trưng bởi tam chứng: Có khối sưng phồng không đau dưới da, tạo các đường hầm và sinh mủ hoặc tiết mủ và huyết thanh chưa các hạt. Các hạt này có màu sắc, kích thước khác nhau do nhiễm nhiều tác nhân khác nhau. Màu sắc của chúng có thể đen, trắng, vàng hay đỏ và cho ra các bằng chứng về nguyên nhân gợi ý. Các khối dưới da thường lan rộng đến các vùng da và cấu trúc sâu, dẫn đến phá hủy cấu trúc, gây biến dạng và mất chức năng, đôi khi dẫn đến tử vong. Mycetoma thường ảnh hưởng lên bàn chân, bàn tay (chiếm hơn 80% số ca mắc mycetoma ). 
Một số ca mycetoma đặc biệt xuất hiện ở đầu, cổ, ngực, thành bụng, vùng đáy chậu, vùng mông và cần lưu ý dễ nhầm tổn thương da liễu khác.
    !important;
 Hình 9. Sagital T1 (2A), Coronal T2 (2B): cho thấy các thay đổi viêm trên bàn chân trái với nhiều thương tổn nhỏ rải rác, thâm nhiễm mô mềm bàn chân và kéo dài lên đến xương. Tổn thương được mô tả như các thương tổn có tín hiệu cường độ cao và vòng tín hiệu kém ở ngoại vi và các chấm tín hiệu kém ở trung tâm (peripheral low-signal rim and low-signal dot in the center) được mô tả với tên gọi là chấm trong vòng tròn (“dot in circle” sign) (xem mũi tên đỏ). hình ảnh Coronal T1 sau bơm thuốc guadolinium (2C±2D) thấy tăng độ rõ nét của tổn thương và sự tồn tại các ổ tín hiệu kém, nhỏ được bao quanh bởi mô có cường độ tín hiệu thấp (mũi tên đỏ).  | 
CHẨN ĐOÁN BỆNH MYCETOMA
Mycetoma có thể xác định bằng xét nghiệm trực tiếp dịch và các hạt tiết ra có chứa bào tử nấm, soi bệnh phẩm, tuy nhiên cần phải làm thêm các xét nghiệm khác để chẩn đoán xác định.Hiện nay không có một loại xét nghiệm đơn giản nào được dùng ở khu vực thôn, bản để chẩn đoán nhanh nhất, nên đòi hỏi bệnh nhân phải đi đến các trung tâm y tế hoặc bệnh viện để chẩn đoán, kể cả làm sinh thiết, chụp x-quang và siêu âm. Nhiễm trùng càng được chẩn đoán sớm chừng nào thì cơ hội được chữa khỏi càng cao chừng nấy, do vậy cần chẩn đoán sớm, nhanh nhất và sớm nhất là cần thiết. 
  
Hình 10. U nấm do Fusarium subglutinans. (a) Các tổn thương giống u trên vùng mắc cá bên (T) lùng nhùng, mềm và các vết hay đường hầm vỡ ra goài. (b) Một số vùng bị ly giải hủy hoại ở vùng xương chày, xương mác và xương gót.  | 
ĐIỀU TRỊ BỆNH MYCETOMA
Nhìn chung, u nấm do vi khuẩn (actinomycetoma) thì đáp ứng tốt với thuốc phối hợp và phối hợp thuốc này phải đảm bảo sao cho tránh phát triểnkháng thuốc và loại trừ bệnh sớm hơn. Hiện nay, thuốc phối hợp khuyến cáo gồm co-trimoxazole (980 mg 2 lần mỗi ngày) và amoxicillin-clavulanic acid (1 gram/ngày). Liệu pháp thay thế là thuốc amikacin sulphate (15mg/kg/ngày) và co-trimoxazole (980 mg 2 lần/ ngày) chỉ định theo đợt, mỗi đợt 5 tuần. Điều trị kéo dài có thể hơn một năm và tỷ lệ chữa khỏi từ 70-80%. 
Điều trị u nấm do nấm kéo dài cho tỷ lệ cũng không cao, tỷ lệ tái phát cao. Cần dùng liệu pháp chống nấm phối hợp (hiện nay dùng itraconazole 400mg/ngày) và phẩu thuật loại bỏ vùng nhiễm trùng. phẩu thuật vùng thương tổn rộng ra, cắt bỏ lặp đi lặp lại cho đến cắt bỏ hay đoạn chi. Phẩu thuật được cắt bỏ khi các thương tổn tại chỗ kháng trị với liệu pháp nội khoa và có thể cứu lấy tính mạng bệnh nhân khi bệnh tiến triển phức tạp, hoặc có nhiễm trùng thứ phát, nhiễm trùng huyết, các khối tại xương và tình trạng toàn thân bệnh nhân kém.
Một số dữ liệu chỉ ra rằng voriconazole có thể là lựa chọn tốt hơn đối với một số vi nấm, đáng chú ý là Medicopsis (Pyrenochaeta) romeroi. Tuy nhiên, trên thực hành lâm sàng cho thấy chỉ có 25-35% có hiệu quả chung, song nếu bệnh nhân tuân thủ điều trị tốt 12 tháng thì sẽ mang lại hiệu quả lên đến 80% và cần lưu ý tác dụng phụ của thuốc. 
Thuốc thường rất đắt đối với bệnh nhân cũng như thuốc không phải lúc nào cũng sẵn có ở những vùng mà bệnh nhân được phát hiện. Đồng thời, đối với u nấm do vi khuẩn thì tỷ lệ chữa khỏi sẽ trên >90% với liệu pháp kháng sinh phối hợp.
Mặc dù vật chủ luôn luôn tiếp xúc với các tác nhân gây bệnh, nấm là nguyên nhân gây bệnh tương đối ít gặp ở người và động vật khỏe mạnh. Tuy nhiên, số lượng bệnh do nấm ở động vật đã tăng lên đáng kể trong hai thập kỷ qua, bắt nguồn từ các loại nấm cơ hội và gây bệnh.
SỰ LÂY TRUYỀN BỆNH MYCETOMA
Các tác nhân gây bệnh u nấm mycetoma thường lây truyền qua môi trường theocác mảnh vụn thực vật bị nhiễm khuẩn hoặc từ đất xâm nhập vàovùng bị chấn thương. 
Trong hơn một thế kỷ, con đường này đã ảnh hưởng đến các nhóm nghề nghiệp cụ thể, bao gồm công nhân nông nghiệp và người làm vườn. Mặt khác, sự hiện diện của nhiễm u nấm mycetoma ở động vật cho thấyu nấm mycetoma là một bệnh không phụ thuộc vào nghề nghiệp.
TCYTTG HỖ TRỢ CÁC QUỐC GIA CÓ BỆNH LƯU HÀNH
Năm 2016, Đại Hội đồng Y tế thế giới lần thứ 69 đưa ra Nghị quyết WHA69.21 về tiếp cận và phòng chống bệnh u nấm mycetoma. Nghị quyết kêu gọi TCYTTG hỗ trợ các quốc gia cải thiện giám sát bệnh và đẩy mạnh nghiên cứu dẻ phát triển các công cụ tốt hơn tong chẩn đoán và điều trị bệnh u nấm. Để đáp ứng điều này, vào năm 2017, TCYTTG gởi một bộ câu hỏi đến tất cả quốc gia để thu thập thông tin cơ bản đầy đủ về sự xuất hiện căn bệnh này trên toàn cầu. Kết quả đã được ấn bản trên Weekly Epidemiological Record , N° 33, 17 August 2018, pp. 423–428 và chúng ta có thể truy cập phiên bản kết quả về điều tra đầy đủ dữ liệu về bệnh mycetoma ở tại trang https://iris.who.int/bitstream/handle/10665/274019/
Để xây dựng năng lực Quốc gia về các khía cạnh lâm sàng và y tế công cộng bệnh u nấm, Chính phủ Sudan và TCYTTG tổ chức một hội thảo tập huấn đầu tiên về mycetoma tại Trung tâm Nghiên cứu u nấm (Mycetoma Research Centre) của Đại học Khartoum (WHO Collaborating Centre o­ !important;n Mycetoma) vào năm 2019. 
Như các bệnh nhiệt đới bị lãng quên ở da khác, (skin-NTDs), mục tiêu chính phòng chống là để hạn chế tối đa sự tàn tật cơ thể và tác động nghiêm trọng lên kinh tế xã hội của bệnh mycetoma. Một số điểm chính của Chiến lược phòng chống bao gồm:
1.Tăng kiến thức về bệnh này ở cộng đồng và làm sao phát hiện sớm !important;
2.Đào tạo nhân viên y tế !important;
3.Tiếp cận chẩn đoán, điều trị và chỉnh hình !important; 
4.Giám sát bệnh tốt.
Còn nữa à Tiếp theo Phần 3