Giun sán là những sinh vật đa bào sống tự do hay ký sinh trên cơ thể người và động vật, mỗi năm người ViệtNam mất 1,5 triệu lít máu để nuôi giun móc và giun tóc cũng như hàng chục nghìn tấn lương thực, thực phẩm bị giun đũa ăn bớt trong ruột. Vậy chúng ta biết gì về chứng bệnh này?
Giun sán là những ký sinh trùng phổ biến ở các nước nhiệt đới với khí hậu nóng và ẩm, trong đó có cả Việt Nam. Chúng là những sinh vật đa bào sống tự do hay ký sinh trên cơ thể người và các loài động vật khác nhau. Đa số giun sán sống trong ống tiêu hóa như dạ dày, ruột nhưng cũng có thể di chuyển đến các cơ quan khác trong cơ thể như tạng gan, phổi, tim, lách, hệ cơ, não bộ, tiết niệu sinh dục,… Chúng ký sinh ở cơ quan nào sẽ gây ra tổn thương bệnh lý từ nhẹ không triệu chứng đến nặng có biến chứng, thậm chí đe dọa tử vong cho con người và động vật.
Nhiễm giun sán có thể thông qua nhiều con đường khác nhau, nhưng phần lớn là lây truyền qua con đường phân miệng (Oral- fecal route), bởi ý thức giữ gìn vệ sinh cá nhân của cộng đồng chưa tốt, nêntỷ lệ nhiễm giun sán ở nước ta rất cao. Theo các chuyên gia y tế, thì hiện nay 20 đến 50% dân số Việt Nam nhiễm giun.
Mỗi năm, người ViệtNam mất 1,5 triệu lít máu để nuôi giun móc và giun tóc cũng như hàng chục nghìn tấn lương thực, thực phẩm bị giun đũa ăn bớt trong ruột. Riêng ở trẻ em nhỏ và phụ nữ mang thai khi bị nhiễm giun sán sẽ gây ra nhiều biến chứng và hậu quả nghiêm trọng, nếu không có cơ hội điều trị và sổ giun định kỳ.
Hiện nay y học đã phát hiện được hàng trăm loại giun tròn, sán lá và sán dây và các loại đơn bào khác có khả năng gây bệnh ở người. Bệnh do giun, sán nguy hiểm vì nó có thể gây ra nhiều biến chứng và có thể gây tử vong. Các biến chứng đó như: thiếu máu nặng do giun móc, giun mỏ, hay giun chui ống mật do giun đũa, tắc ruột do nhiều loại giun khác nhau, viêm tắc đường mật do sán lá gan nhỏ, sán lá gan lớn, ho ra máu do sán lá phổi, áp xe gan do sán lá gan lớn, ung thư gan do sán lá gan nhỏ, hay ung thư bàng quang do sán máng,…
Tất cả mọi người đều có nguy cơ bị mắc các bệnh giun sán, không phân biệt giới tính và nhóm tuổi và cơ hội mắc là có thể. Hầu hết các loại giun sán đều không gây được miễn dịch bảo vệ suốt đời nên người bệnh có thể bị tái nhiễm nhiều lần và gánh nặng bệnh tật vì thế mà tăng lên. Các bệnh về giun sán thường tiến triển trong một thời gian dài, âm thầm gây hại cho sức khỏe của người bệnh, vì vậy, Tổ chức Y tế thế giới (TCYTTG) đã gọi một số bệnh giun sán là Căn bệnh ký sinh trùng nhiệt đới bị lãng quên hoặc ít được quan tâm (NTDs).
Theo những nghiên cứu mới đây, có khoảng 33 triệu người có nguy cơ nhiễm, mắc giun sán tại Việt Nam. Việt Nam có từ 20-50% người dân ở các vùng khác nhau có thể bị nhiễm giun/ sán, trong đó đa phần là trẻ em. Tỷ lệ trẻ em nhiễm giun ở khu vực phía Nam là 10-50%, trong khi miền Bắc có nơi đến hơn 60% nhưng nhờ có các chiến dịch và chương trình can thiệp kịp thời còn số này hiện đã giảm đáng kể.Theo số liệu thống kê chưa đầy đủ, chỉ tính riêng ở Viện sốt rét-Ký sinh trùng-Côn trùng Quy Nhơn, trung bình mỗi ngày đã tiếp nhận khám và điều trị cho hơn 300 cá nhân, trong đó có gần 70 ca bị nhiễm mầm bệnh bệnh giun, sán (có thể ca bệnh xác định, có thể là huyết thanh chẩn đoán dương tính).
Đáng lưu ý, nhiễm sán lá gan lớn còn hay gặp tại nhiều địa phương trên cả nước. Chỉ tính riêng bệnh ấu trùng sán dây lợn, trung bình mỗi năm Viện Sốt rét-Ký sinh trùng-Côn trùng Trung ương đã tiếp nhận khoảng 300 bệnh nhân, trong đó 84% có tổn thương não với các triệu chứng động kinh, liệt, mù mắt, tăng áp lực nội sọ, nguy cơ tử vong cao. Với phụ nữ trưởng thành và phụ nữ ở độ tuổi sinh sản, nhiễm giun truyền qua đất rất có hại tới thời kỳ mang thai, gây thiếu máu và ảnh hưởng trực tiếp đến sức khỏe của thai nhi, có thể gây đẻ non, trẻ sinh ra thiếu cân, tử vong mẹ và trẻ sơ sinh. Còn với trẻ em, nhiễm giun làm cho trẻ bị suy dinh dưỡng, thiếu máu, chậm lớn, kém nhận thức, sức đề kháng giảm và vì thế dễ mắc các bệnh nhiễm trùng khác.
Để giúp người dân ghi nhớ lịch tẩy giun định kỳ, Viện Sốt rét-Ký sinh trùng-Côn trùng Trung ương cũng đề xuất hai ngày tẩy giun trong năm là ngày 06/01 và ngày 01/6 hàng năm. Và dưới đây là một số câu hỏi cần tư vấn của cộng đồng khi quan tâm đến một số bệnh lý giun sán:
1. Đã biết đến một căn bệnh thường gặp nhưng lại hay bị lãng quên là bệnh do giun sán, vậy xin bác sỹ cho biết một số triệu chứng thường gặp của căn bệnh này?
Giun sán vốn dĩ đa dạng và khi vào cơ thể người tùy thuộc vào từng loại giun, sán khác nhau, tùy vào vị trí mà giun sán đó đến ký sinh sinh và gây bệnh tại chỗ hay lạc chỗ, lượng giun sán ký sinh trong người thời điểm đó, đường vào của giun/ sán, chủng loại và loài giun sán đặc hiệu thì bệnh nhân có thể biểu hiện các triệu chứng, dấu chứng và hội chứng khác nhau trên các hệ cơ quan chuyên biệt. Chẳng hạn:
-Trên cơ quan tiêu hóa có thể biểu hiện đau bụng không điển hình, buồn nôn, hoặc nôn, rối loạn đại tiện dạng phân lỏng-đặc xen kẻ với nhau, có thể sa trực tràng nếu đi đại tiện nhiều lần trong ngày, một số ít bệnh nhân có biểu hiện chán ăn, lợm giọng, tăng tiết nước bọt, rối loạn hấp thu, suy dưỡng;
-Trên cơ quan máu có thể bệnh nhân có thiếu máu suy dưỡng, thiếu máu thiếu sắt, thiếu vi chất dinh dưỡng, rối loạn các thành phần chính trong công thức bạch cầu như bạch cầu lymphocyte, eosin, tổng bạch cầu chung hay ảnh hưởng đến hệ thống bạch huyết như trong bệnh giun chỉ,…
-Trên cơ quan da, niêm mạc có thể ngứa, mày đay từng đợt, viêm vết loét đường vào của giun;
-Trên cơ quan gan mật có thể gây giun chui ống mật, tắc mật, xuất huyết đường mật, abces túi mật, đường mật hay abces gan dạng microabces với các vùng khoang hoại tử ti ti, không có bờ, tắc và viêm ruột thừa do giun đũa;
-Trên cơ thể chung và tâm thần kinh: có thể chậm phát triển thể chất và giám sức học tại trường, suy dinh dưỡng và thiếu vi chất dinh dưỡng. Có thể gây tổn thương ở mắt và nhãn cầu, có thể gây abces các cơ quan không thường xuyên như thận, lách, cơ thẳng bụng, tinh hoàn, buồng trứng, tim, phổi…;
Trên đây là một số triệu chứng mà chúng ta có thể gặp khi bệnh nhân nhiễm các loài giun/ sán khác nhau. Hy vọng bạn đã tham khảo được.
2. Thưa bác sỹ, bệnh giun sán lây truyền như thế nào?
Về con đường lây truyền giun sán cũng đa dạng và tùy thuộc vào đường lây truyền của từng loài giun sán khác nhau và cũng là đặc hiệu của chúng. Song, nhìn chung, bệnh có thể lây truyền qua con đường tiêu hóa (phân - miệng, miệng, da niêm mạc, hoặc qua trung gian một giá thể hoặc vector như muỗi chẳng hạn.
3. Một số bệnh giun sán thường gặp ở nước ta?
Việt Nam là một quốc gia nhiệt đới có điều kiện và thích hợp cho nhiều tác nhân truyền nhiễm sinh trưởng và phát triển, trong đó có nhóm bệnh do giun sán và đơn bào gây ảnh hưởng nghiêm trọng cho cộng đồng. Các nhóm bệnh giun sán thường gặp ở nước ta gồm có:
-Nhóm sán dây gồm có sán dây bò, sán dây lợn, ấu trùng sán dây lợn;
-Nhóm giun tròn: giun đũa, giun tóc, giun móc/ mỏ, giun kim, giun tóc;
-Nhóm sán lá: sán lá gan lớn, sán lá gan nhỏ, sán lá phổi, …
-Nhóm các loại đơn bào ký sinh và gây bệnh trên người;
-Một số loại giun sán và ấu trùng ngõ cụt ký sinh là ấu trùng giun đũa chó/ mèo, ấu trùng giun lươn, ấu trùng giun đầu gai, sán dải cá, sán kim hay sán dải chó,…
4. Bệnh giun sán ảnh hưởng đến sức khỏe và gây nên những biến chứngnhư thế nào?
Về mặt tác động và ảnh hưởng của bệnh giun sán cũng rất nghiêm trọng, đăc biệt tại các vùng có bệnh lưu hành cao và vừa, chúng có thể làm giảm sức khỏe và suy dinh dưỡng cho cộng đồng rất nhiều cũng như phát sinh một số biến chứng nhẹ, vừa hoặc rất nặng, thậm chí đe dọa tính mạng của bệnh nhân. Sức khỏe của bệnh nhân có thể giảm sút do suy dinh dưỡng, thiếu máu, rối loạn hấp thu vi chất, chậm phát triển thể chất, gây các thương tổn trên các ca cơ quan tiêu hóa (nhóm giun tròn, sán dây), thần kinh (ấu trùng sán dây lợn hoặc các ấu trùng ngõ cụt ký sinh khác nhu ấu trùng giun đũa chó mèo, ấu trùng giun đầu gai), trên phổi phế quản (sán lá phổi, giun đũa),…
Các loại giun sán - chúng có thể gây nên các triệu chứng và biến chứng trên đơn cơ quan hoặc đa cơ quan, như có thể gây nên tắc mật, abces gan mật, xuất huyết hay chảy máu đường mật, viêm phổi phế quản, rối loạn tiêu hóa, vỡ gan nếu không can thiệp kịp thời,…Một số loại giun sán đặc biệt có thể dẫn đến hoặc kích thích các khối u vốn đang tăng sinh thành ung thư như ung thư biểu mô đường mật nguyên phát (cholangiocarcinoma) do sán lá gan nhỏ hoặc ung thư bàng quang do sán máng Schistosoma spp. đã được giới ý học chứng minh qua các nghiên cứu lâu dài và thuyết phục và có cơ sở chính xác.
Do vậy, việc phòng bệnh và chẩn đoán cũng như điều trị kip thời các ca bệnh như thế sẽ giúp hạn chế các biến chứng, di chứng và giảm tỷ lệ tử vong do các loài giun sán mang lại coh cộng đồng hôm nay và mai sau.
5. Hiện nay việc điều trị các bệnh giun sán được thực hiện như thế nào?
Hiện nay, hầu hết các bệnh lý giun sán ở người phân bố rất nhiều châu lục và có tỷ lệ mắc nhiễm khác nhau và đã được các tổ chức quan tâm sức khỏe như Tổ chức Y tế thế giới (WHO) hay Tổ chức sức khỏe gia đình, hoặc Dự án giun sán quốc tế quan tâm đầu tư và xây dựng các phác đồ và chương trình hành động chống lại bệnh giun sán rất cụ thể.
Các thuốc chống lại bệnh giun sán đều đã có thuốc điều trị đặc hiệu với kết quả chữa khỏi trên 90-95%. Phác đồ và liệu trình điều trị rất cụ thể cho từng người bệnh, thể bệnh, và các bệnh lý phối hợp kèm theo cần thiết phải chú ý khi can thiệp điều trị đồng thời cho bệnh nhân.
Các thuốc điều trị đặc hiệu hiện tại chúng ta có thể có Albendazole, Mebendazole, Ivermectine, Thiabendazole, Triclabendazole, ….hiện đang có mặt trên thị trường với liều lượng chỉ dẫn cụ thể điều trị. Tuy nhên, việc điều trị cần phải có sự hướng dẫn của bác sĩ hoặc dược sĩ của bạn là tốt nhất.
6. Trẻ em là đối tượng dễ bị mắc và tổn thương hay bị ảnh hưởng do các bệnh giun sán nhất, vậy đối với trẻ em khi điều trị chúng ta cần lưu ý những vấn đề gì?
Thật vậy, trẻ em và phụ nữ mang thai là các đối tượng cần quan tâm đặc biệt trong khi xét đến các vấn đề bệnh truyền nhiễm và bệnh nhiệt đới, đặc biệt tại các đất nước đang phát triển như châu Phi và khu vực Đông Nam châu Á, Nam Mỹ,….Các đối tượng này cũng dễ nhạy cảm khi nhiễm với các tác nhân giun sán và là gánh nặng bệnh tật quan trọng cho cộng đồng.
Khi điều trị cho nhóm trẻ em, điều đặc biệt là chúng ta không nên xem trẻ em là người lớn thu nhỏ mà điều trị phải dựa trên cơ sở y học chứng cứ và các phác đồ hướng dẫn cụ thể điều trị cho bệnh nhân, các phác đồ này đã được triển khai, tập huấn và hướng dẫn sử dụng từ tuyến trung ương đến tuyến xã và cán bộ y tế các tuyến đã triển khai điều trị, phòng bệnh cho nhiều cộng đồng thời gian nhiều năm qua.
7. Những biện pháp để phòng chống căn bệnh này hiệu quả nhất?
Các biện pháp phòng chống các căn bệnh giun sán, tập trung chủ yếu vào khâu hướng cộng đồng về cách làm thế nào ăn uống hợp vệ sinh như “ăn chín uống chín”, tránh các thức ăn chưa nấu chín hoặc xủ lý chưa hợp lý. Các biện pháp phòng bệnh hiệu quả như các trang bị bảo hộ lao động khi làm việc trong các khu hầm mỏ, đồng ruộng không nên đi chân đất,….
Thực hành rửa tay trước khi ăn uống và sau khi đi tiêu (đại tiện, tiểu tiện) để tránh vấy nhiễm mầm bệnh vào trong thức ăn và tay sau đó đưa lên miệng,….Các chiến lược truyền thông giáo dục sức khỏe, đặc biệt là truyền thông thay đổi hành vi và truyền thông nguy cơ rất có hiệu quả trong phát triển cộng đồng và giúp cộng đồng hiểu được tác hại của các bệnh truyền nhiêm nói chung và giun sán nói riêng, làm thay đổi hành vi của họ thông qua cộng đồng, môi trường học đường và hội phụ nữ, đoàn thanh niên,…rất tích cực.
8. Hiện nay có những cách gì để phát hiện mình có bị mắc bệnh giun sán hay không?
Với sự phát triển của khoa học kỹ thuật và y sinh học hiên đại, cũng như tiến bộ trong miễn dịch chẩn đoán. Ngày nay, bên cạnh các phương pháp kỹ thuật xét nghiệm cổ điển như soi phân tươi, các mẫu bệnh phẩm thu thập vào các lam máu, lam phân sau khi xử lý xong để soi dưới kính hiển vi nhìn thấy trứng tiếp trứng giun sán hoặc ấu trùng của giun sán như một tiêu chuẩn vàng trong chẩn đoán bệnh với độ đặc hiệu và chính xác cao. Tuy nhiên, các phương pháp này có thể độ nhạy không cao vì xác xuất tìm thấy trứng hay ấu trùng rất hiếm.
Trong vòng 20 năm trở lại đây với sự phát triển của khoa học công nghệ, nhiều phương pháp miễn dịch học, sinh học phân tử cho thấy có nhiều điểm tiến bộ hơn như miễn dịch chẩn đoán qua mẫu bệnh phẩm huyết thanh như ELISA, Western Blot, PCR hay RT-PCR cho độ nhạy, độ đặc hiệu và độ chính xác cao hơn so với. Song một số test độ nhạy cao nhưng độ đặc hiệu thấp do các phản ứng chéo và dương tính giả. Gần đây, các nhà khao học và các phòng xét nghiệm đã khắc phục được các vấn đề này, nên chất lượng xét nghiệm ngày một tăng lên rõ rệt.
Các kỹ thuật và phương pháp cổ điển và hiện đại được đề cập ở trên hiện đã có sẵn tại Việt Nam, đăc biệt các cơ sở chuyên khoa như Viện Sốt rét-KST-CT Quy Nhơn và một số đơn vị khác trong cả nước như Viện Sốt rét-KST-CT TP. Hồ Chí Minh, Viện Sốt rét-KST-CT Trung ương, Trung tâm MEDIC Hòa Hảo,….
9. Ở nhà tôi có trồng rau trên đất, không tưới phân, không xịt thuốc sâu, chỉ tưới nước máy. Vậy rau này có nguy cơ nhiễm sán lá gan lớn hay không? Từ trước tới nay tôi nghĩ rau này là rau sạch nên chỉ rửa sơ sơ, vậy gia đình tôi có nguy cơ nhiễm sán lá gan lớn hay không?
Đây là câu hỏi thú vị, dù rau nhà bạn không tưới phân, không phun thuốc sâu, nhưng môi trường đất và nước ô nhiễm trứng giun sán cũng có thể vẫn nhiễm mầm bệnh sán như bình thường, để xác định và trả lời có hay không cần phải xét nghiệm và để tránh các nguy cơ nhiễm sán lá gan như thế, bạn nên có các biện pháp phòng bệnh cụ thể cho gia đình và bản thân bạn như trên đã đề cập ban nhé!
10. Các loại bệnh liên quan đến ký sinh trùng thì có gây ra mụn hay không? nếu có thì điều trị có hết không và thời gian điều trị là bao lâu?
Mụn trứng cá không nguy hiểm những dễ tạo sẹo nếu chăm sóc và chữa trị không đúng phương pháp. Mụn trứng cá còn được biết đén thuật ngữ y học “Acne vulgaris” là một bệnh lý về da có liên quan đến tuyến nhờn tại nền của chân lông tuyến bả. Bệnh thường xảy ra trong giai đoạn tuổi dậy thì khi đó là giai đoạn phát triển mạnh của tuyến bả nhờn, các tuyến bị kích thích bởi các hormone nam sinh ra bởi tuyến thượng thận trên cả người nam và nữ.
Đồng thời, có trường hợp nguyên nhân gây ra mụn chưa được biết đến một cách thấu đáo.Các bác sĩ cho rằng một số yếu tố sau đây có thể gây ra mụn:
(i) Sự gia tăng hormone ở lứa tuổi thanh thiếu niên (điều này có thể làm cho các tuyến dầu bị bít lại thường xuyên hơn);
(ii) Thay đổi hormon trong thời kỳ mang thai;
(iii) Bắt đầu hoặc ngừng sử dụng thuốc tránh thai;
(iv) Di truyền;
(v) Một số loại dược phẩm, đồ trang điểm chứa nhiều nhờn,...
Để nói rằng ký sinh trùng có gây ra mụn hay không thì có lẽ chưa bao giờ y văn đề cập đến cũng như trên lâm sàng thực hành chúng tôi cũng ghi nhân như vậy, nhưng giun sán có thể góp phần làm coh bệnh lý mụn trứng cá diễn tiến nặng hơn.
Thời gian điều trị mụn trứng cá tùy thuộc vào thể bệnh, giai đoạn bệnh và diện tổn thương do mụn để lại, và nên nhớ mụn trứng cá hay tái phát và diễn ra diễn lại liên tục đến một giai đoạn nào đó mới có thể chấm dứt hoặc giam đi. Điều trị cần có phác đồ cụ thể và od các chuyên gia về da liễu chỉ định cũng như khâu chăm sóc da mặt cùng với các vùng có mụn khác để tránh tạo sẹo cho bệnh nhân sau này.
11. Thưa bác sỹ, khi dùng thuốc giun sán định kỳ cần có chỉ định của bác sỹ hay có thể tự mua thuốc ở các hiệu thuốc?
Về nguyên tắc tất cả các thuốc và các chế phẩm mang tính chất chữa bệnh nên có sự hướng dẫn của dược sĩ hoặc bác sĩ của bạn để làm thế nào bệnh nhân hoặc cá nhân dùng thuốc đó sử dụng thuốc an toàn, hợp lý và hiệu quả cho người bệnh. Riêng đối với các thuốc sổ giun là các thuốc an toàn và ít độc tính, nên thuốc này không cần thiết phải có đơn bác sĩ khi chúng ta chỉ định là sổ giun định kỳ.
12. Thưa bác sỹ, tôi bị đau dạ dày, vậy khi dùng thuốc trị giun sán có ảnh hưởng gì đến sức khỏe không?
Việc sử dụng thuốc trên một bệnh lý nền sẵn có là việc cần cân nhắc và thận trọng vì ngoài tác dụng lẫn nhau hay tương tác thuốc mà còn ảnh hưởng lên các cơ quan phủ tạng của bệnh nhân, đặc biệt là các cơ quan tiêu hóa và chuyển hóa như dạ dày ruột và gan mật, hệ thận niệu. tốt nhất là điều trị bệnh lý dạ dày ổn định sau đó hãy dùng thuốc điều trị giun sán nếu chưa phải là trường hợp cáp cứu.
Việc điều trị đồng thời hai bệnh có thể tùy thuộc vào thầy thuốc lâm sàng cũng như theo dõi trong quá trình dùng thuốc của bênh nhân.
13. Nếu chưa xét nghiệm để biết có mắc bệnh chưa có thể uống thuốc để tẩy giun được không, nếu uống thì uống thuốc gì, liều dùng ra sao? Xin các bác sĩ vui lòng chỉ dẫn?
Rất tiếc câu hỏi của bạn không đề cập là người cần điều trị/ hay bệnh nhân đó mấy tuổi sức khỏe như thế nào. Trên thực tế có thể tẩy giun bằng thuốc Albendazole 200mg hoặc 400mg hoặc Mebendazole 500mg liều duy nhất mà không cần đi xét nghiệm và khảo sát trước đó vì liều duy nhất các thuốc này an toàn và hiệu quả và theo đúng định kỳ quy định hoặc khuyến cáo và các liệu trình thuốc như vậy rất an toàn cho bạn và người thân. Lẽ đương nhiên, các chương trình y tế quốc gia và Tổ chức Y tế thế giới cũng đã đưa ra các quyết định thời gian dùng, số lần dùng thuốc tẩy giun cho đối tượng như thế nào rất cụ thể là tùy thuộc vào điều tra trước đó tại cộng đồng với tỷ lệ nhiễm các loại giun truyền qua đất cao hay thấp thì quyết định chiến lược cho đúng
Một số bệnh lý nền sẵn có trên bệnh lý người già cần thận trọng và xem các trường hợp chống chỉ định dùng thuốc sổ giun vì nguy cơ biến chứng và tai biến hoặc dị ứng với thành phần của thuốc.
14. Thưa bác sỹ, con tôi 3 tuổi, cháu hay bị đau bụng, bụng to, rất ốm mặc dù cháu ăn uống vẫn bình thường, vậy có phải cháu bị giun sán không?
Với các dấu chứng và triệu chứng mà ban mô tả trên cơ thể của con bạn sẽ có trên rất nhiều bệnh chứ không nhất thiết phải là bệnh giun sán mới có được. Do vậy, để biết con mình có thật sự nhiễm giun sán hay không, cần phải đi khám và xét nghiệm máu và xét nghiệm phân xem như thế nào, trước khi chúng ta quyết định điều trị và nâng cao thể trạng cho các cháu nhé!
15. Thưa bác sỹ, cách đây khoảng 2 tháng tôi có bị đau ở phần dưới sườn phải và cũng bị sốt nhẹ, có hiện tượng đi ngoài dạng lỏng, kéo dài khoảng 2-3 ngày. Vì bận thời gian đi làm lên chưa đi khám được. Vậy qua bệnh lý trên thì tôi có thể đã bị nhiễm sán lá gan lớn không?
Tương tự như câu hỏi ở trên, các triệu chứng bạn mô tả cũng không phải đặc hiệu cho xác định một sán lá gan lớn, có vẻ xuyên về bệnh lý đại tràng nhiều hơn. Tuy nhiên, để xác định chính xác cần phải đi khám, siêu âm và xét nghiệm máu (công thức máu toàn phần và ELISA) để xác định mình đang mắc bệnh gì. Hy vọng bạn sẽ bớt chút thời gian để đi khám bệnh. Nếu bạn đang ở gần Quy Nhơn, có thể đến phòng khám chuyên khoa của Viện Sốt rét-KST-CT Quy Nhơn – số 27 đường Lý Thái Tổ, P. Nguyễn Văn Cừ, TP. Quy Nhơn để được các bác sĩ ở đây trực tiếp tư vấn, khám và điều trị cụ thể nhất.
16. Thưa bác sỹ, một năm thì chúng ta cần tẩy giun bao nhiêu lần là thích hợp?
Việc tẩy giun có liều lượng và số lần cụ thể là theo khuyến cáo của quốc gia. Thông thường tẩy giun hàng năm 2 lần là phù hợp với khuyến cáo. Song, trong một số trường hợp phát hiện nhiễm giun sán ngoài lịch sổ giun thì bệnh nhân đó cần dùng thêm liều khác để điều trị dứt điểm, nhất là các vùng bệnh lưu hành cao thì nguy cơ tái nhiễm sẽ rất cao và cộng đồng khó tránh khỏi sự tái nhiễm này nếu không có các biện pháp phòng bệnh đặc hiệu.
17. Em là sinh viên, em thường ăn cơm bụi ở ngoài nên rất sợ có khả năng nhiễm sán lá gan lớn. Gần đây, em thấy mình vẫn ăn tốt nhưng thấy lại gầy hơn so với nhưng năm đầu mới vào học rất nhiều. Đợt vừa rồi em có uống 1 viên thuốc tẩy giun Fugacar của Thái Lan. Em muốn hỏi liệu thuốc giun đó có diệt được ấu trùng và trứng sán lá gan không ạ?
Thực ra bạn có thể quá lo lắng đó thôi chứ không phải lúc nào ăn cơm bụi mà bị nhiễm sán lá gan đâu, nếu vậy có rất nhiều sinh viên có ngy cơ mắc phải bênh sán lá gan rồi. Viên thuốc Fugacar là một biệt dược của chế phẩm mebendazole, do hãng dược phẩm nổi tiếng Janssen Cilag, dạng viên nén, nhai được liều lượng 500 mg (hộp 1 viên, viên nén vị ngọt trái cây nhai được 500 mg hay hỗn dịch hương vị sôcôla 500 mg (chai 10 ml). Tuy nhiên, loại thuốc này không được dùng để điều trị bệnh sán lá gan lớn vì hiệu quả của chúng rất kém qua nhiều thử nghiệm lâm sàng ở trên động vật lẫn trên người.
18. Thưa bác sỹ, dạo gần đây tôi nghe rất nhiều tin tức liên quan đến giun đũa chó, bệnh này lây truyền qua đường nào và cách chữa trị ra sao?
Câu hỏi này, bạn có thể truy cập vào trang website của Viện chúng tôi là http://www.impe-qn.org.vn vào mục hỏi đáp bệnh chuyên ngành, khi đó bạn sẽ thấy rất nhiều phần trả lời liên quan đến câu hỏi của bạn, kể cả hình ảnh nữa.
19. Thưa bác sỹ, con tôi hay bị đau vùng quanh rún, hay bị ngứa ở hậu môn lúc về đêm, người xanh xao, cho hỏi cháu có phải bị nhiễm giun sán hay không?
Đau bụng quanh rốn và ngứa vùng hậu môn có thể do nhiều bệnh lý khác nhau, nhất là ở hệ tiêu hóa. Đặc biệt các triệu chứng như thế có thể có trong trường hợp nhiễm giun như giun tóc và giun kim, để xác định con bạn đang nhiễm phải loại giun sán nào cần thiết phải đi khám bác sĩ và xét nghiệm phân cũng như xét nghiệm huyết thanh học để biết được tác nhân cũng như phác đồ điều tị đúng của bệnh nhé.
20. Thưa bác sỹ, nghe nói ăn tiết canh vịt thì rất dễ bị mắc bệnh giun sán, nhưng loại thức ăn này rất bổ máu có đúng không? Điều này có đúng không?
Cảm ơn câu hỏi thú vị của bạn mà giới nam hiện đang rất ưa món này và thỉnh thoảng nhậu với các món như thế. Không biết mức độ ảnh hưởng như thế nào cần phải khuyến cáo cho đúng vì nêu không đưa ra lời khuyên thích hợp sẽ dẫn đến ảnh hưởng đến khâu kinh doanh một số nhà hàng và hàng quán kinh doanh món này.
Vì vậy, chúng ta cần thận trọng liệu có nên ăn nữa hay không? Việc ăn tiết canh có mát hay không và bổ dưỡng như thế nào cần phải hỏi ý kiến chuyên gia đông y và các nhà dinh dưỡng học chứ nếu chỉ dựa trên cảm nhận chủ quan e rằng không thích hợp để luận giải vấn đề. Bạn cứ thử trong vai của một người bạn hàng đi mua tiết canh về bán lại hàng quán hoặc mua thực phẩm về nhậu lai rai với số lượng lớn, bạn sẽ ghi nhận một số hình ảnh đáng nói và có thể...
Liên quan đến vấn đề nhiễm bệnh, có lẽ bạn đã biết trong quá trình làm tiết canh, đâu phả i các nhà hàng đều có đầy đủ khâu vệ sinh để cắt tiết, sự nhiếm bẩn từ vùng lông trên vịt vấy vào huyết cũng không loại trừ.
Hơn nữa, bạn thử nghĩ một con vịt có bao nhiêu tiết mà mỗi buổi chiều họ chỉ làm vài con vịt nhưng tiết canh luôn đầy đủ cho một lượng lớn người ăn thì cần xem lại vì có thể một số quán vẫn trộn các tiết của các động vật khác hoặc chó, hoặc heo,…chưa kể, trong thành phần tiết canh, phần lớn họ có bỏ các phần tạng động vật hoặc cuống họng, đầu, cổ, cánh, xử lý chưa chín, sau đó trộn với tiết đã được hãm nước mắm,…
Với các hình ảnh trên, có thể tiết canh vịt không thể loại trừ các mầm bệnh như virus cúm gia cầm, vi khuẩn vấy nhiễm từ ngoài vào, các loại ký sinh trùng như sán máng vịt, giun tròn từ vịt và một số mầm bệnh khác…ảnh hưởng không nhỏ đến sức khỏe của con người, có thể dẫn đến chết người. Việc trộn các tiết khác của động vật như lợn, chó, bò..vào với tiết canh vịt thì chúng ta khó có thể kiểm soát mầm bệnh trộn lẫn.
Như vậy, với các dữ liệu nói trên chúng tôi hy vọng bạn sẽ hiểu thêm về vai trò của tiết canh và các món nhậu liên quan đến tiết canh nếu chưa được xử lý chín,…sẽ là nguồn thực phẩm nhiễm trùng rất nguy hiểm cho sức khỏe con người và vật nuôi nếu ăn phải vào.
21. Tôi muốn hỏi làm thế nào để biết được mình đang bị nhiễm sán lá gan? Tôi muốn đi xét nghiệm thì sẽ phải đến đâu?
Hiện nay tiêu chuẩn chẩn đoán bệnh sán lá gan lớn đã có phác đồ cũng như hướng dẫn chẩn đoán và điểu trị bệnh sán lá gan lớn ỏ người do Bộ Y tế ban hành vào tháng 9.2007 rôi chủ yếu dựa vào thăm khám lâm sàng, chẩn đoán siêu âm và xét nghiệm phân tìm trứng sán và huyên thanh chẩn đoán như ELISA. Do vậy, để biết mình có bị sán lá gan lớn hay không thì bạn cần đến cơ sở chuyên khoa để được các bác sĩ chuyên khoa ở đây thăm khám, siêu âm và chỉ định xét nghiệm phù hợp nhất và chẩn đoán cho bạn. Nếu có bệnh, bạn sẽ được điều trị bằng thuốc điều trị đặc hiệu.
22. Thưa bác sỹ, xin bác sỹ cho biết cách dùng thuốc trị giun sán như thế nào để đạt hiệu quả cao nhất?
Với câu hỏi của bạn, chúng tôi rất khó trả lời vì mỗi loại thuốc giun sán có cách dùng khác nhau và có liên quan đến thời điểm dùng thuốc so với bữa ăn chính và bữa ăn phụ,….Thuốc có thể ở dạng viên nén hoặc dung dịch, nhũ dịch hoặc viên nhai rồi hãy uống,…Chẳng hạn:
-Các thuốc sổ giun nên uống với ít nước và một ít thức ăn, có thể là bữa ăn nhẹ hay uống cốc sữa;
-Thuốc Triclabendazole thì dùng sau bữa ăn có chất béo sẽ dễ hấp thu và hiệu quả điều trị mang lại khi điều trị sán lá gan lớn tốt hơn;
-Thuốc Ivermectin thì dùng cách xa bữa ăn (trước hoặc sau ăn) khoảng 2 giờ;
-Thuốc Praziquantel thì dùng theo chỉ định của từng bệnh lệ thuộc vào cân nặng, hoặc có thể theo chiều cao cùng với cân nặng của bệnh nhân khi dùng điều trị các loại giun sán đặc biệt ở châu Phi.
Nói tóm lại, mỗi loại bệnh có loại thuốc điều trị phù hợp và cách dùng cũng như phương thức dùng thuốc khác nhau và chỉ định trước hoặc sau ăn, có chất béo hay không có chất béo tùy thuộc vào các nghiên cứu y học chứng chứng về dược động học và dược lực học của từng loại thuốc trên người khỏe mạnh đã nghiên cứu trước khi đưa vào điều trị trong cộng đồng.Tốt nhất là nên theo thông tin kê đơn của bác sĩ chuyên khoa.
23. Tôi bị ngứa trên da, nổi mày đay, đi khám bác sỹ bảo bị nhiễm ký sinh trùng lạc chủ, tôi thực sự chưa hiểu rõ về căn bệnh này, bác sỹ hãy giúp tôi với ?
Liên quan đến câu hỏi của bạn, chúng tôi xin trả lời một cách đơn giản như sau: Lạc chủ có nghĩa là không “chính chủ” khi nhiễm loại ký sinh trùng đó. Và mọi trường hợp lạc chỗ hoặc lạc chủ đều có thể gây nên các hậu quả không tốt cho bệnh nhân, có khi nghiêm trọng và tử vong rất nguy hiểm.
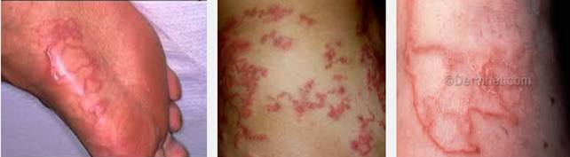
24. Thưa bác sỹ, tôi đọc báo thấy gần đây có người bị nhiễm giun sán, làm tổ và di chuyển dưới da, trông rất sợ. Vậy đó là bệnh gì có biến chứng nguy hiểm không, làm sao để phòng tránh?
Trong thực hành lâm sàng, nhiễm trùng giun sán cho thấy mỗi loại giun sán có con đường xâm nhập và di chuyển đến các cơ quan rồi gây bệnh khác nhau và có vẻ rất đặc hiệu. Song, một số ca ngoại lệ có thể giun sán gây lạc chỗ / hoặc đúng đường đi xuyên hầm và di chuyển dưới da tạo nên các đường vằn vèo như rắn bò, không có hình thù gì cụ thể. Các tình trạng như vậy gọi là hội chứng ấu trùng di chuyển (CLMs_Cutaneous Larva Migrans) hay ban trườn (Creeping Eruption_CE) dưới da mà bạn đã gặp trên báo chí.
Hầu hết các trường hợp ấu trùng di chuyển dưới da như trên không nguy hiểm, ngoại trừ có kèm theo ấu trùng di chuyển đến nội tạng như tim, gan, phổi, não gây biến chứng và đe dọa tính mạng đến các cơ quan và cơ thể bệnh nhân này.
Việc phòng bệnh tương tự như phòng bệnh các loại giun sán khác mà thôi – xin xem thêm các phần phúc đáp ở trên.
25. Tôi nghe nói có loài giun đũa khác với giun đũa chó là loại Toxocara vitulorum - Tôi muốn tìm hiểu về con này như thế nào và sử dụng phương pháp nào để chẩn đoán có độ nhạy và đặc hiệu ra sao?
Liên quan đến câu hỏi của các anh chị, chúng tôi xin phúc đáp rằng loài giun tròn Toxocara vitulorum, thường ký sinh trong ruột non của các gia súc và trâu nước, gây tỷ lệ mắc bệnh và tử vong cao trên các trâu hay bê tuổi từ 1-3 tháng tuổi.
Sự vắng mặt của các trứng trong phân không có nghĩa là các động vật đó không nhiễm trùng. Xét nghiệm phân từ các mẫu ngẫu nhiên của 134 con trâu nước với các lứa tuổi khác nhau ở khu tựtrị Giza Governorate so sánh với ký thuật xét nghiệm huyết thanh học. Các nhà nghiên cứu đã tìm thấy tỷ lệ mắc là 38/134 (28.4%) qua xét nghiệm phân.
Tuy nhiên, kết quả này cao hơn khi xét nghiệm huyết thanh học (63.4%) trên cùng nhóm con vật. Kháng nguyên dịch quanh ruột (perienteric fluid antigen_Pe) của T. vitulorum được sử dụng để giám sát làm đáp úng miễn dịch bằng ELISA gián tiếp trên một nhóm chọn lọc của các con câu cái mang thai nhiễm bệnh và những con bê của nó sinh ra.
Các ấu trùng của T. vitulorum được chẩn đoán trong sữa của các con trâu đang cho con bú bị nhiễm trong suốt vài ngày sau khi sinh. Nồng độ kháng thể trong sữa non là cao nhất vào ngày ngày đầu tiên sau sinh, nhưng giảm đáng kể trong vòng 15 ngày.
Các kháng thể này có nồng độ cao nhất trong huyết thanh của các con bê từ tuần đầu và duy trì nồng độ mức độ cao cho đến 6 tuần tuổi, rồi bắt đầu giảm đến mức độ thấp nhất vào tuần thứ 20 sau sinh đồng thời với loại bỏ giun ra khỏi cơ thể. Mối liên quan giữa việc đào thải trứng và tăng nồng độ theo tuổi trên các con vật nhiễm đã được điều tra. Mặt khác, đếm số bạch cầu ái toan tương đối cao trong máu của các con vật nhiễm.
Điều này cho thấy đáp ứng miễn dịch dịch thể và miễn dịch tế bào có thể đóng vai trò quan trọng trong việc loại bỏ giun tròn T. vitulorum bởi các con vật và ngăn ngừa sự tái nhiễm.
26. Nếu một bệnh nhân nhiễm sốt rét do Plasmodium falciparum được điều trị trong 3 ngày đầu tiên bằng thuốc phối hợp ACTs (DHA-PPQ) và một liều thuốc duy nhất primaquine (cùng vào ngày thứ 3 của liều cuối cùng ACTs) như đến ngày thứ 4, 5, 6 vẫn còn thể giao bào P. falciparum trong máu. Khi đó, chúng ta phải xử lý như thế nào vì nếu dùng thêm primaquine sẽ vi phạm sai phác đồ của Bộ Y tế.
Phải nói rằng đây là một câu hỏi rất thú vị và rất hay, chúng tôi xin chia sẻ và mong muốn nội dung này sẽ đến được với các đồng nghiệp nhất là các nhà lâm sàng như một kinh nghiệm.
Dựa vào các nghiên cứu y học chứng cứ nhiều năm tại các trung tâm lớn điều trị bệnh nhân sốt rét tại Ấn Độ, Thái Lan và Anh Quốc và dẫn liệu của Tổ chức Y tế thế giới (WHO), chúng tôi khuyênbạn không cần thiết phải dùng thêm liệu trình primaquine nữa vì bản thân thời gian bán hủy của thuốc primaquine kéo dài nhiều ngày nên sau 3 ngày thuốc này vẫn còn phát huy tác dụng kéo dài nên sẽ diệt tiếp tục các giao bào già hay giao bào trưởng thành của P. falciparum.
Hơn nữa, thuốc ACTs có thành phần DHA là một dẫn xuất của artemisinins cũng có tác dụng trên thể giao bào P. falciparum non trẻ, diệt nhanh thể vô tính nên sẽ ức chế quá trình hình thành thêm giao bào.
Nói chung, phác đồ gồm DHA-PPQ và primaquine sẽ đồng thời diệt thể vô tính và diệt luôn thể giao bào non và già nên chúng ta không cần thêm thuốc vào các ngày sau đó là không cần thiết.
27. Danh mục các loài giun, sán có thể gặp ở các vùng nhiệt đới và tại Việt Nam (kể cả một số ca bệnh hiếm gặp gần đây, có thể do nhiễm từ nước ngoài hoặc nhiễm trùng trong nước) và một số bệnh ký sinh trùng trên da là gì?
Theo y văn cũng như ghi nhận trên lâm sàng thực hành đã cho thấy tại Việt Nam hiện nay có một số loại giun/ sán khác nhau đề cập dưới đây:
1. Nhóm các loại giun tròn (Nematoda hay Roundworms)
-Anisakis;
-Giun đũa (Ascaris lumbricoides);
-Giun kim (Enterobius vermicularis);
-Giun móc, mỏ (Hookworms);
-Loa Loa (Giun chỉ ở mắt);
-Giun chỉ dưới da (Subcutaneous filariasis);
-Giun lươn (Strongyloides stercoralis);
-Giun tóc (Trichuris trichiura);
-Giun chỉ bạch huyết (Wuchereria bancrofti).
2. Nhóm sán lá (Trematoda hay Flukes)
-Sán lá gan lớn (Fasciola hepatica hay Fasciola gigantica);
-Sán lá ruột (Fasciolopsis buski);
-Sán lá phổi (Paragonimus westermani);
-Sán máng (Schistosoma spp.)
3. Sán dây (Cestoda hay Tapeworms)
-Sán dây cá (Diphyllobothrium latum);
-Sán dây lùn (Hymenolepis nana);
-Sán dây bò (Taenia saginata);
-Sán dây lợn (Taenia solium).
4. Một số loại đơn bào (Protozoa)
-Balantidium coli;
-Entamoeba histolytica;
-Giardia intestinalis;
-Leishmania spp.
-Plasmodium spp. (P. falciparum, P. vivax, P. malariae, P. ovale, P. knowlesi);
-Toxoplasma gondii;
-Trypanosoma spp. (T. brucei, T. evansi,…).
Về một số bệnh ở hệ da, niêm mạc do ký sinh trùng có thể gặp trên lâm sàng: Cimex lectularius (Bedbug), Dermatobia hominis (Human botfly), Sarcoptes scabiei (Scabies).
Với những thông tin đầy đủ ở trên, hy vọng bạn sẽ hài lòng và có các tài liệu tham khảo đầy đủ. Thân chúc bạn khỏe!