1. Nhung- nhung0180@gmail.com - TP Đà Nẵng
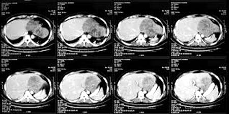
Hỏi: Tôi bị áp xe gan khi điều trị tại BV Đà Nẵng có làm xét nghiệmbị nhiễm giun đủa chó, phản ứng bạch cầu ai toan (ko nhiễm sán lá gan) Đã điều trị thuốc Zentel 21 ngày (ngày 2 lần mỗilần 400mg) và truyền kháng sinh theo hình ảnh siêu âm thì chổ áp xe đã hết nhưng trên hình ảnh CT thì chổ áp xe đã nhỏ lại. Sau khi ra viện được 4 tháng tôi tái khám và làm xét nghiệm thì giun đũa chó vẫn còn dương tính, hình ảnh CT gan vẫn có nhiều chổ bị tổn thương. BS cho uống tiếp thuốc Zentel 21 ngày cũng như liều dùng như trên. Khi uống được 5 ngày tôi đi đại tiện có ra 1 con giun dài 15 cm đường kính 4 mm, con giun này con sống (theo tes trên google thì hình ảnh giống giun đũa chó). BS cho tôi hỏi tôi đã điều trị đúng phát đồ chưa? và dùng thuốc Zentel có đặc trị hết sán giun đũa chó không? và thời gian phải điều trị là mấy đợt thuốc như trên là hết bệnh. Cảm ơn BS đã trả lời cho tôi. Xin cảm ơn!
Trả lời:Một câu hỏi và xin tư vấn vô cùng thú vị và có thể là kinh nghiệm của nhiều bệnh nhân khác, xin cảm ơn bạn rất nhiều và liên quan đến câu hỏi này, chúng tôi xin phúc đáp như sau: Với hình ảnh abces gan trên gan không do sán lá gan thường là do con đơn bào amip hay Entamoeba histolytica, loại này thường nhiễm từ đường tiêu hóa sang và sau đó còn gây abces một số cơ quan khác nữa chứ không nhất thiết phải là gan như phổi, não, lách và cả thận, cơ,....song gan vẫn là tạng thường bị thương tổn nhiễm trùng nhiều nhất và các thầy thuốc lâm sàng hay gặp.
Liên quan đến xét nghiệm sán lá gan âm tính, mà có tổn thương gan, rất tiếc chúng tôi không nhìn thấy hình ảnh thương tổn gan trên siêu âm và trên CT scanner của bạn, nên sẽ khó đoán được có phải sán lá gan hay là amip nên cũng không tiên lượng được thời gian lành của bạn đối với abces gan là bao lâu (vì bạn lưu ý rằng không phải bị sán lá gan lúc nào xét nghiệm cũng dương tính, chúng tôi chưa thống kê đầy đủ, song vẫn có một tỷ lệ nhỏ < 3% là tổn thương gan có nhưng ELISA lại âm tính là bình thường vì còn liên quan đến giai đoạn làm xét nghiệm, đặc hiệu từng bộ kít chẩn đoán miễn dịch, cũng như kháng thể đặc hiệu loài Fasciola hepatica hay Fasciola gigantica,…
Thứ hai, bạn có nhiễm ấu trùng giun đũa chó loại Toxocara canis/ Toxocara cati đã điều trị một đợt 21 ngày rồi với albendazole (song cần chú ý đã đủ tiêu chuẩn một ca bệnh nhiễm ấu trùng giun đũa chó mèo chưa để mà điều trị vì tỷ lệ dương tính nhưng không biểu hiện về mặt lâm sàng thì cần cân nhắc liệu có nên điều trị thuốc hay không?), vì đây là bệnh của ấu trùng chứ không phải con trưởng thành (khác với nhiễm trên động vật) nên với một liệu trình như thế cũng đôi khi có thể đưa đến chết ấu trùng, nên việc bạn phát hiện ra con giun sau 4 tháng điều trị là vấn đề chúng ta cần xem xét lại vì với liệu trình như thế của albendazole đủ diệt các loại giun tròn khác và chưa đủ thời gian để phát triển và xuất hiện các con khác đâu, nên chúng ta cần cân nhắc trước khi đưa ra quyết định điều trị tiếp tục;
Vấn đề thứ ba là sau khi điều trị ấu trùng giun đũa chó, với liệu trình trên bạn có thể vẫn còn dương tính là đương nhiên, không phải chỉ mình bạn mà còn rất nhiều bệnh nhân khác cũng thế vì đó sự dương tính kéo dài chứ không nhất thiết kết luận là bệnh của bạn chưa hết đâu nhé. Còn điều trị mấy đợt là hết bệnh? Câu hỏi này hay đấy, nhưng cũng hay khó trả lời vì sự khỏi bệnh còn tùy thuộc vào nhiều yếu tố như dung nạp thuốc của bệnh nhân có tốt không? Sự nhiễm bệnh có sắn trong quá khức nay còn bệnh tích mà thôi? Bệnh ở giai đoạn nào? Bệnh nằm ở vùng da niêm hay chỉ là vùng gan tạng của mắt hoặc nhu mô gan?....nên có thể một đợt sẽ hết bệnh nhưng cũng có thể bệnh sẽ biểu hiện cần đến điều trị 2 hoặc 3 đọt mới khỏi bạn nhé.
Thân chúc bạn khỏe và chóng khỏi bệnh!
2. Hoàng Việt Trung - ineedyou.lonely@gmail.com- Đống Đa - Hà Nội
Hỏi: Em đang học môn ký sinh trùng và có một thắc mắc nhỏ về chu kỳ của sán lá phổi mong được quý thầy cô giải đáp: khi ấu trùng xuyên từ màng bụng qua cơ hoành, màng phổi để đi vào phổi sao chúng lại đi theo từng đôi, cơ chế ở đây là như thế nào ạ? Em xin cảm ơn!
Trả lời: Chúng tôi rất cảm ơn câu hỏi thú vị của bạn về một bệnh lý ký sinh trùng rất hay gặp tại một số vùng lưu hành bệnh có tập quán đặc biệt thường ăn cua tôm sống có mang ấu trùng giai đoạn nhiễm. Hiện nay, có hơn 30 loài sán lá thuộc giống Paragonimus đã được báo cáo gây nhiễm bệnh trên động vật và trên người. Trong số đó, có hơn 10 loài nhiễm bệnh ở người, loài phổ biến nhất là P. westermani, hay còn gọi là sán lá phổi phương đông. Ở Việt Nam, bệnh sán lá phổi được xác định lưu hành ít nhất ở 8 tỉnh phía Bắc như Lai Châu, Sơn La, Hòa Bình, Lào Cai, Yên Bái, HàGiang, Lạng Sơn, Nghệ An; có nơi tỷ lệ nhiễm tới 15 % (Sơn La). Loài sán lá phổi xác định ở Việt Nam qua một số nghiên cứu cho biết là loài sán lá P. heterotremus,
Về phân bố địa lý, bệnh sán lá phổi được Kerbert tìm ra đầu tiên ở động vật là hổ. Năm 1995, Tổ chức Y tế thế giới (WHO) đã công bố sự lưu hành bệnh sán lá phổi ở 39 nước trên thế giới. Năm 1968, John Cross cho rằng có khoảng 194 triệu người trên thế giới có nguy cơ mắc bệnh sán lá phổi, đặc biệt là Trung Quốc, Lào và Triều Tiên.các loài Paragonimus spp. phân bố khắp châu Mỹ, châu Phi và Đông Nam Á. Paragonimus westermani phân bố chủ yếu ở Đông Nam Á và Nhật Bản. Paragonimus kellicotti lưu hành ở khu vực các quốc gia Bắc Mỹ.
Khả năng tồn tại trong môi trường bên ngoài: cũng như trứng sán lá gan, trứng sán lá phổi có vỏ mỏng nên tồn tại ở môi trường bên ngoài rất kém, nhiệt độ ánh sáng mặt trời trên 700C sẽ làm hỏng trứng. Tuy nhiên, trứng sán muốn phát triển thành ấu trùng phải có môi trường nước, nếu trên cạn trứng sẽ hỏng và không phát triển được, khả năng tồn tại của sán lá phổi trưởng thành ở ngoại cảnh cũng rất kém.
Liên quan đến câu hỏi của bạn rằng chu kỳ của sán lá phổi có phần khi ấu trùng xuyên từ màng bụng qua cơ hoành, màng phổi để đi vào phổi sao chúng lại đi theo từng đôi, cơ chế ở đây là như thế nào ạ? Để giải đáp câu hỏi này bạn sẽ nhớ lại phần bệnh học cũng như khâu chẩn đoán của bệnh lý này ở người sẽ giải thihcs cho bạn vì sao đi từng đôi, không riêng gì sán lá phổi mà một số loài KSTSR khác cũng có điểm đặc biệt này.
Trứng được bài xuất ra các dạng trứng không thụ tinh vào trong đờm, hoặc sau đó chúng được nuốt vào tiêu hóa và đào thải ra phân
. Trong môi trường ngoài, các trứng trở nên dạng có phôi embryonated
và miracidia đẻ ra tìm đến vật chủ trung gian thứ nhất là ốc và xuyên vào các mô mềm
. Miracidia đi qua một số giai đoạn phát triển bên trong cơ thể ốc
: sporocysts
, rediae
, và sau đó làm gia tăng nhiều hơn loại cercariae
, rồi trồi ra khỏi ốc. Các cercariae xâm nhập vào vật chủ trung gian thứ hailà các động vật giáp xác như cua hoặc tôm, ở đó chúng đóng kén encyst và phát triển thành metacercariae. Đây là giai đoạn nhiễm đối với vật chủ là động vật có vú
. Nhiễm trùng ở người với P. westermani xảy ra thông qua khâu ăn uống các thịt cua hoặc tôm nấu chưa chín hoặc chỉ nhúng rựou nên vẫn còn tồn tại metacercariae của ký sinh trùng
.
Các metacercariae sau khi được ăn vào sẽ thoát kén trong tá tràng
, xuyên qua thành ruột vào trong khoang phúc mạc, đến màng bụng và cơ hoành vào trong nhu mô phổi - ở đó chúng trở nên đóng bao (encapsulated) và phát triển thành dạng trưởng thành
(7.5 - 12 mm x 4 - 6 mm). sán trưởng thành có thể cũng đến các cơ quan khác và mô khác, như là não và các cơ vân. Tuy nhiên, khi điều này xảy ra thì không thể hoàn thành chu kỳ của sán vì trứng đẻ ra không thể tồn tại ở các vị trí này. Thời gian từ khi nhiễm đến khi oviposition là từ 65 đến 90 ngày. Nhiễm trùng có thể tồn tại đến 20 năm ở người. Các động vật như heo, chó và một số loại mèo cũng có thể thích nghi với bệnh do nhiễm P. westermani.
3. Nguyễn Trọng Nha, KP 4. P. Thach G. Đnang
Hỏi: Kính thưa các thầy thuốc và dược sĩ của Ban biên tập Viện Sốt rét KST-CT Quy Nhơn cho em biết về thuốc gốc để em hiểu một cách khái quát nhất về khái niệm này vì em hay nhập lẫn với thuốc biệt dược. Em xin chân thành cảm ơn!
Trả lời: Thuốc gốc (generic drug) là thuốc có đặc tính tương đương sinh học với biệt dược về các tính chất dược động học và dược lực học, được sản xuất khi quyền sở hữu công nghiệp của biệt dược đã hết hạn, nhờ đó thường được bán với giá rẻ ra thị trường. Thuốc gốc giống với biệt dược về liều lượng, độ an toàn, nồng độ, tác dụng, cách dùng và chỉ định.
Thuốc gốc thường được sản xuất bởi các công ty dược nhỏ, không đầu tư vào nghiên cứu và phát triển (RD) các loại thuốc mới. Việc nghiên cứu thuốc mới thường rất tốn kém nên thường được tiến hành bởi các công ty/ tập đoàn dược phẩm lớn và được bán với giá cao trong thời gian bằng sáng chế chưa hết hạn để bù đắp chi phí nghiên cứu và các chi phí khác. Các nhà sản xuất thuốc gốc không phải trang trải chi phí này nên giá thường rẻ hơn nhiều so với biệt dược đầu tiên. Thuốc gốc có thể được sản xuất hợp pháp khi:
(1) Bằng sáng chế đã hết hạn,
(2) Công ty thuốc gốc xác nhận bằng phát minh của công ty biệt dược không có hợp pháp, không có giá trị cưỡng chế hoặc không bị xâm phạm,
(3) Thuốc không được giữ bằng sáng chế,
(4) Những nước bằng sáng chế không có hiệu lực.
Thời gian bảo hộ bằng sáng chế khác nhau ở mỗi nước và khác nhau cho từng loại thuốc . Thường cũng không thể làm lại bằng sáng chế sau khi nó hết hạn. Một số thầy thuốc và bệnh nhân do dự khi dùng thuốc gốc vì lo ngại chất lượng của chúng. Tuy nhiên, trong hầu hết trường hợp khác biệt giữa biệt dược và thuốc gốc chỉ là giá cả và tên gọi.
Ở Mỹ, Cơ quan quản lý Thực phẩm và dược phẩm (FDA) chịu trách nhiệm bảo đảm thuốc gốc có tính hiệu quả và an toàn. Nhà sản xuất thuốc gốc cần chứng minh công thức của họ thể hiện tương đương sinh học so với sản phẩm tên biệt dược. Tên thuốc gốc có thể là tên khoa học, danh pháp quốc tế (INN, International Nonproprietary Name) hoặc danh pháp theo quy định của các nước (USAN của Mỹ, BAN của Anh...) của dược chất hay hoạt chất chứa trong công thức tạo nên dược phẩm. Một số công ty cũng đặt tên biệt dược cho thuốc gốc. Ví dụ, Valium là tên biệt dược đầu tiên cho Diazepam (thuốc an thần) của hãng Roche. Hiện nay thuốc này đã hết hạn độc quyền và được sản xuất với tên thuốc gốc là Diazepam hoặc tên biệt dược khác như: Seduxen (Hungaria), Diazepin (Bulgaria), Relanium (Ba Lan), Rival (Mỹ), Eurosan (Thụy Sĩ), Diazefar (Việt Nam) v.v...
Theo TS. Kiều Khắc Đôn cho biết thuốc gốc quốc tế (gọi tắt là INN: International nonproprietary names) là loại thuốc mang tên cội nguồn dược chất đã được phát minh hoặc tên hóa học của nó. Trong số đó nhiều loại đã được phát minh ra từ lâu và đã hết bản quyền phát minh sáng chế. Thông thường, thuốc gốc có chứa một hoạt chất chính, được các nhà khoa học về dược phẩm đầu tư nghiên cứu và phát hiện ra các tác dụng dược lý của chúng trong việc điều trị một thứ bệnh hay một chứng bệnh nào đó. Để có thể tìm ra được một loại hoạt chất mới, thường phải tốn kém rất nhiều về tiền của nên các nhà khoa học cần có sự hỗ trợ về tài chính rất lớn của các hãng hay công ty dược phẩm. Vì vậy, sau khi phát minh, họ được độc quyền về sáng chế phát minh, còn các hãng sản xuất đã mua bằng sáng chế phát minh này thì được độc quyền về sở hữu công nghiệp. Do đó các loại thuốc mới thường được bán với giá rất cao để bù vào các chi phí trong quá trình nghiên cứu, đầu tư trang thiết bị.
Lấy ví dụ như các loại thuốc điều trị bệnh AIDS và thuốc chống bất lực ở nam giới là Viagra - đều là những loại thuốc mới được phát minh và độc quyền sản xuất nên có giá rất đắt, nhiều người gọi chúng là những loại thuốc dành cho người giàu. Thế nhưng, theo thời gian, khi nhà sản xuất đã thu được lợi nhuận to lớn từ các loại thuốc mới này thì giá thành của thuốc sẽ giảm dần và chừng độ 20 năm sau thì hết hạn độc quyền. Lúc đó thuốc biệt dược của hãng sẽ trở thành thuốc gốc và mọi công ty dược phẩm khác có quyền sản xuất mà không sợ bị kiện cáo gì. Chính vì thế mà khá nhiều người đã hiểu lầm đó là những loại “thuốc nhái”.
Như vậy, có thể hiểu rằng thuốc gốc chỉ là những thuốc không còn “thời thượng” nữa chứ không phải là thuốc dỏm, thuốc kém phẩm chất. Dùng thuốc gốc không chỉ giúp giảm chi phí điều trị mà còn có lợi thế là do đã qua một thời gian dài thử thách nên thuốc bộc lộ được hết những tác dụng phụ và tai biến của chúng, giúp cho ta có thể phòng ngừa. Riêng đối với các loại kháng sinh thì thuốc gốc có nhược điểm là do đã được dùng nhiều nên dễ phát sinh khả năng đề kháng của vi khuẩn, làm cho tác dụng kháng khuẩn kém đi nhiều, chẳng hạn như penicillin hiện nay ít được sử dụng hơn trước.
Ngược lại cũng có những loại thuốc gốc càng dùng, người ta càng phát hiện ra các giá trị của chúng và cả những tác dụng dược lý mới. Aspirin có hoạt chất chính là acetyl salicylic, là loại thuốc đã được phát hiện từ hơn một thế kỷ nay, lúc đầu chỉ dùng chữa nhức đầu, cảm sốt nhưng qua hơn một trăm năm sử dụng, người ta không chỉ phát hiện ra mặt có hại là kích ứng niêm mạc đường tiêu hóa gây tai biến xuất huyết mà còn tìm ra nhiều tính chất quý báu nữa của chất này, điển hình nhất là khả năng chống kết tập tiểu cầu. Vì thế trong một vài thập kỷ gần đây, aspirin lại được nhiều người sử dụng để phòng chống các tai biến về tim mạch.
Hiện nay trên thị trường dược phẩm nước ta, aspirin và các loại biệt dược có chứa hoạt chất này đều được sản xuất một cách thoải mái và có giá khá rẻ (Apo-Asa, Aspirin pH8, Aspral pH8, Nipadol, Alka-Selzer...). Vitamin C cũng là một dược chất có bề dày thời gian đáng nể. Càng dùng nó, người ta càng phát hiện những tác dụng thật bất ngờ. Không chỉ với tác dụng ban đầu là chống chảy máu và chữa bệnh hoại huyết (bệnh Scorbut) giờ đây vitamin C còn được coi như là một trong những hoạt chất chính trong thành phần các thuốc chống lão hóa, làm trẻ cơ thể. Loại thuốc gốc này có thể được xem là ví dụ điển hình về một cầu nối khá thú vị giữa chất cổ điển và các loại biệt dược đời mới. Có thể lấy ví dụ các biệt dược mới có chứa vitamin C và được phối chế thêm một số dược chất khác như paracetamol (Efferalgan vitamin C), nhiều vitamin nhóm B và muối khoáng (Plusssz, phối hợp với nhân sâm (Ginseng C), UPSA-C-Calcium v.v...
Biệt dược hay tên thương mại (specialties, brand names) là các loại thuốc đặc biệt, những loại thuốc ban đầu mới được phát minh và độc quyền sản xuất. Tên của biệt dược là do các nhà khoa học hay nhà sản xuất đặt cho và có thể không phụ thuộc gì vào tên hóa học của hoạt chất chính có trong thuốc đó. Thí dụ Viagra, loại biệt dược nổi tiếng mới được phát minh và đi vào sản xuất năm 1997 là thứ thuốc mà trong đó chỉ có chứa hoạt chất chính là Sildenafil citrat. Trong những năm cuối của thế kỷ 20, doanh thu của biệt dược có tác dụng điều trị chứng rối loạn cương dương (ED) ở nam giới này đã lên đến hàng tỷ USD. Và nếu như ai đó mắc căn bệnh này, lại muốn mua Viagra với giá rẻ thì phải “đợi thêm” hơn chục năm nữa, khi nó biến thành thuốc gốc như trên đã trình bày!
Bắt chước các loại thuốc thang của y học dân tộc, ngày nay nhiều loại biệt dược không chỉ đơn thuần chứa một loại hoạt chất, mà thường được các nhà sản xuất nghiên cứu để phối chế thêm nhiều loại dược chất thuộc diện thuốc gốc với nhau để tạo ra một sản phẩm mới có hiệu quả điều trị đa năng hơn, đó cũng là những biệt dược. Chẳng hạn như khi bị sốt cao có kèm theo nhức đầu, sổ mũi thì các thầy thuốc có thể kê đơn cho ta 2 loại thuốc gốc với giá rẻ là paracetamol và thuốc nhỏ mũi naphazolin hay ephedrin, nhưng cũng có người khuyên nên dùng Decolgel hay Tiffy, vì chúng đang ở dạng biệt dược do trong đó đã hội đủ các loại dược chất tương đương. Khi ho nhiều, có đau và sốt, ta có thể dùng thuốc giảm đau hạ nhiệt và thuốc ho là codein hay terpin codein, nhưng nếu giản tiện hơn có thể dùng loại biệt dược mang tên Efferalgan codein (chú ý trẻ em dưới 5 tuổi không được dùng loại này).
Xu hướng hiện nay của một số nhà sản xuất dược phẩm là phối chế nhiều loại thuốc gốc với nhau để tạo ra các biệt dược mới có tên gọi nhiều khi rất khác nhau. Sự phối chế này là kết quả của nhiều công trình nghiên cứu lâu dài nhằm tránh hiện tượng tương kỵ và tương tác thuốc khi vào cơ thể. Nếu chúng lại có tác dụng hiệp đồng làm tăng tác dụng dược lý của nhau thì càng tốt.
Những vấn đề trình bày trên đây cũng mới chỉ là các thông tin còn sơ lược về tên thuốc gốc và biệt dược. Sự lựa chọn loại thuốc nào còn tùy thuộc vào rất nhiều yếu tố, ở cả phía bệnh nhân và thầy thuốc. Bộ Y tế nước ta cũng đã có thông tư và quy chế bệnh viện quy định tiêu chuẩn của một đơn thuốc hợp lý là tên thuốc phải được ghi theo tên gốc để tránh bị nhầm lẫn khi có nhiều tên thuốc na ná như nhau, hoặc dùng trùng lặp nhau trong cùng một đơn (toa) gây ra tai biến quá liều, có thể thay thế cho nhau và có thể lựa chọn loại thuốc nào cùng chung tác dụng dược lý. Tuy nhiên, trong nền kinh tế thị trường, vì nhiều động cơ khác nhau (trong đó chủ yếu là vì lợi nhuận), nên nhiều thầy thuốc đều ngại kê đơn theo tên gốc mà lại thích kê đơn theo biệt dược. Mặt khác, nhà thuốc cũng thu lãi cao hơn nhiều lần khi bán theo biệt dược. Hiểu được bản chất của vấn đề trên, đối với các bệnh nhân có thẻ bảo hiểm y tế khi được các thầy thuốc kê đơn cho nhiều loại thuốc gốc, giá rẻ thì cũng không nên thắc mắc, cho rằng đó là các loại thuốc không tốt, tác dụng điều trị kém. Với những thầy thuốc có trình độ chuyên môn cao và dày dạn kinh nghiệm, thường là họ tìm cách điều trị vừa không gây tốn kém cho bệnh nhân mà vẫn đảm bảo khỏi bệnh - chứ không nhất thiết cứ phải dùng thuốc đắt, phải dùng biệt dược.
Hy vọng với phần phúc đáp trên chúng tôi chia sẻ và trích lược thông tin chuyên ngành từ các đồng nghiệp đã giúp cho bạn hiểu thấu được giữa biệt dược và thuốc gốc.
4. Vo trong - Changkho_muonemyeu@email.com.vn- Thanh pho bac lieu
Hỏi: Phan biet benh truyen nhiem o vat nuoi lay sang nguoi va benh truyen nhiem vat nuoi khong lay sang nguoi?
Trả lời:Câu hỏi của bạn chúng tôi không biết bạn đang hỏi ai và hỏi phân biệt về cái gì, mục đích đặt câu hỏi của bạn là gì, có ý nghĩa như thế nào với công việc mà bạn đang muốn tìm hiểu. Có lẽ câu hỏi sơ lược quá, nên để tìm hiểu thông tin cụ thể bạn có thể đi vào các trang website quốc tế và uy tín về các bệnh truyền từ động vật truyền sang người và ngược lại (Zoonose/ zoonosis) và chỉ cần bạn thêm từ Non – zoonose/ Non- zoonosis bạn sẽ có câu trả lời về bệnh truyền nhiễm ở vật nuôi không lây sang người ngay sau đó.
Một bệnh lây truyền từ động vật truyền sang người là lây truyền giữa các loài với nhau (đôi khi bởi một vector) từ động vật khác với con người lây truyền sang con người hoặc từ con người sang các động vật khác (nên một số tác giả gọi là reverse zoonosis hay anthroponosis). Trong bệnh lây truyền trực tiếp (Direct zoonosis) tác nhân cần chỉ một vật chủ để hoàn thành chu kỳ của chúng, mà không có sự thay đổi nào có ý nghĩa trong suốt quá trình lan truyền. Đến nay, các nhà khoa học đã tìm ra ít nhất có 1.415 tác nhân gây bệnh được biết nhiễm trên người, 61% trong số đó là bệnh zoonosis. Sự xuất hiện của một tác nhân vào trong một loài vật chủ mới gọi là sự xâm nhập của bệnh (disease invasion) hoặc (disease emergence). Sự xuất hiện các bệnh lý này thông thường liên quan đến nhiều lĩnh vực về y tế, thú y, khoa học môi trường,…
Một loạt danh mục của các bệnh zoonoses xin liệt kê (có thể chưa đầy đủ) dưới đây:
Một số bệnh zoonose khác có thể là: Glanders, SARS,….
Để tiện phúc đáp một số phần liên quan khác về bệnh lây truyền từ động vật sang người và câu hỏi của bạn trong phạm vi bệnh truyền nhiễm, chúng tôi xin giới thiệu bạn một số trang tin và tài liệu tham khảo sau đây để cập nhật và tham khảo nhé:
1.Taylor et al. 2001 Risk factors for human disease emergence Philosophical Transactions of the Royal Society B 356(1411):983-9.
2.Meerburg BG, Singleton GR, Kijlstra A (2009). "Rodent-borne diseases and their risks for public health". Crit Rev Microbiol 35 (3): 221–70. doi:10.1080/10408410902989837. PMID 19548807.
3.Centers for Disease Control and Prevention (2005). "Compendium of Measures To Prevent Disease Associated with Animals in Public Settings, 2005: National Association of State Public Health Veterinarians, Inc. (NASPHV)" (PDF). MMWR 54 (RR–4): inclusive page numbers. Retrieved 2008-12-28.
4.Wells, et al.; Hopfensperger, DJ; Arden, NH; Harmon, MW; Davis, JP; Tipple, MA; Schonberger, LB (1991). "Swine influenza virus infections. Transmission from ill pigs to humans at a Wisconsin agricultural fair and subsequent probable person-to-person transmission". JAMA 265 (4): 478–81. doi:10.1001/jama.265.4.478. PMID 1845913.
5.Centers for Disease Control and Prevention (1988). "Human infection with swine influenza virus – Wisconsin". MMWR 37 (43): 661–3. PMID 2846999.
6.Shukla, et al.; Slack, R; George, A; Cheasty, T; Rowe, B; Scutter, J (1995). "Escherichia coli O157 infection associated with a farm visitor center". Communicable Disease Report 5 (6): R86–R90. PMID 7606276.
7.Evans, M. R. and D. Gardner (1996). ""Cryptosporidiosis" Outbreak Associated with an Educational Farm Holiday". Commun Dis Rep CDR Rev. 29 6 (4): R67.
8.Sayers, et al. (1996). "Cryptosporidiosis in children who visited an open farm". Commun Dis Rep CDR Rev. 13 6 (10): R140–4.
9.Milne, et al.; Plom, A; Strudley, I; Pritchard, GC; Crooks, R; Hall, M; Duckworth, G; Seng, C et al. (1999). ""Escherichia coli" O157 incident associated with a farm open to members of the public". Communicable Disease and Public Health 2 (1): 22–26. PMID 10462890.
10.New York State Department of Health and A.C. Novello (2000). The Washington County Fair outbreak report.
11.Centers for Disease Control and Prevention (2001). "Outbreaks of Escherichia coli O157:H7 infections among children associated with farm visits Pennsylvania and Washington 2000". MMWR 50 (15): 293–297. PMID 11330497.
12.Rickelman-Apisa, J.M. (2001-09-28). Summary of E. coli O157:H7 Outbreak Associated with the Medina County Fairgrounds 2000 Fair and 2000 Carnival of Horrors. Medina County Health Department.
13.Varma, J.K. (2002-02-15). Outbreaks of E. coli O157:H7 infections associated with Lorain and Wyandot County fairs, Ohio, September–October 2002 From Jay K. Varma, EIS officer, Food borne and Diarrheal Diseases branch to Forrest Smith, State Epidemiologist, Ohio department of Health. Public Health Service. Department of Health and Human Services.
14.Warshawsky, et al.; Gutmanis, I; Henry, B; Dow, J; Reffle, J; Pollett, G; Ahmed, R; Aldom, J et al. (2002). "Outbreak of Escherichia coli 0157:H7 related to animal contact at a petting zoo". Canadian Journal of Infectious Diseases 13 (3): 175–181.
15.Oregon Department of Human Services, Health Services (2005) (PDF). 2005 Ways and Means Presentation – Phase 1. Oregon Department of Human Services. Retrieved 2007-05-22.
16.Durso, L.M., et al. (2005). "Shiga-Toxigenic Escherichia coli (STEC) O157:H7 Infections Among Livestock Exhibitors and Visitors at a Texas County Fair". Vector-Borne and Zoonotic Diseases 5 (2): 193–201.
17.Goode, B.; O'Reilly, C. (2005). Outbreak of Shiga toxin producing E. coli (STEC) infections associated with a petting zoo at the North Carolina State Fair – Raleigh, North Carolina, November 2004 Final Report. North Carolina Department of Health and Human Services.
18.Centers for Disease Control and Prevention (2005). "Outbreaks of Escherichia coli O157:H7 Associated with Petting Zoos-North Carolina, Florida, and Arizona, 2004 and 2005".
19.Humphrey, Tom et al.; O'Brien, S; Madsen, M (2007). "Campylobacters as zoonotic pathogens: A food production perspective". International Journal of Food Microbiology 117 (3): 237–257.
20.Cloeckaert, Axel (2006). "Introduction: emerging antimicrobial resistance mechanisms in the zoonotic foodborne pathogens Salmonella and Campylobacter". Microbes and Infection 8 (7): 1889–1890.
21.Frederick, A. Murphy. "The Threat Posed by the Global Emergence of Livestock, Food-borne, and Zoonotic Pathogens".
22.Med-Vet-Net. "Priority Setting for Foodborne and Zoonotic Pathogens" (PDF). Retrieved 5 April 2008
23.WHO | Zoonoses and veterinary public health (VPH)
Hy vọng với các thông tin và khai niệm đủ ở trên đã giúp cho bạn hiểu thêm về bệnh lây truyền từ động vật sang người và bệnh không lây sang người.
5. Nguyễn Thị Cẩm Uyên - uyen.nguyenthicam@gmail.com - TT An Lão - An Lão - Bình Định
Hỏi: Thưa bác sĩ, hiện nay tôi đang bị đau dạ dày, nhưng điều trị bằng nhiều loại thuốc tây y và thuốc nam mà không khỏi. Hiện tượng đau càng ngày càng kéo dài, có khi đau sau khi ăn và lúc đói, dù tôi đã kiên cữ rất kỹ khi dùng thuốc (không ăn thức ăn chứa nhiều mỡ,thức ăn quá cay, không ăn đồ chua, không dùng chất kích thích). Cảm giác đau rát vùng thượng vị và vùng bụng quanh rốn. Tôi có nghe tại viện có thể xét nghiệm tìm nguyên nhân và rất muốn đến khám (vì tôi rất sợ nội soi dạ dày)
Vậy xin hỏi bác sĩ, nếu xét nghiệm và nội soi thì có thể tìm được nguyên nhân và loại vi rút gây bệnh không, và phương pháp nào cho kết quả chính xác và điều trị tốt nhất. Vì điều kiện ở xa tôi chỉ có thể đến viện vào ngày cuối tuần để khám, bác sĩ vui lòng cho tôi biết lịch làm việc của Viện được không. Xin chân thành cảm ơn!
Trả lời:Rất thông cảm với các triệu chứng khó chịu mà chị đang mắc phải, chúng tôi lúc đầu chỉ ghi nhận là có vấn đề về tiêu hóa trên của chị, còn viêm loét hay bệnh lý lành tính hay ác tính thì chưa thể khẳng định được và cũng xin đính chính với chị rằng tác nhân gây viêm loét tiêu hóa, cụ thể ở đây chị đề cập là dạ dày chính là vi khuẩn có tên gọi khoa học Helicobacter pylori (H.P) chứ không phải loại virus nào khác chi nhé. Đến nay loại vi khuẩn này đang được cả giới khoa học, đặc biệt là các nhà tiêu hóa quan tâm về sinh lý bệnh học, về triệu chứng và các bệnh lý liên quan đến loại vi khuẩn này, kể cả ung thư tiêu hóa.
Để tìm sự có mặt của tác nhân vi khuẩn này, hiện nay có nhiều loại xét nghiệm kể cả xâm lấn và không xâm lấn vào khu vực dạ dày tá tràng để tìm nó, có thể nội soi tiêu hóa trên kết hợp với sinh thiết lấy một mẫu bệnh phẩm ra làm giải phẩu bệnh, hoặc xét nghiệm bằng test Urea hơi thở, hoặc xét nghiệm máu tìm kháng nguyên/ kháng thể chống lại con vi khuẩn này trong máu,…Mỗi phương pháp đều có ưu thế hoặc nhược điểm của nó trong vai tò chẩn đoán và sàng lọc bệnh, nên việc tổng hợp nhiều phương pháp tất nhiên sẽ góp phần chẩn đoán tối ưu hơn trên một người bệnh, song vì một lý do nào đó, người bệnh bị chống chỉ định làm nội soi tiêu hóa hoặc yêu cầu của bệnh nhân thì chúng ta có thể làm xét nghiệm máu gián tiếp và kết hợp với lâm sàng để điều trị bệnh cũng đạt hiệu quả rất cao.
Viêm loét dạ dày tá tràng là một trong những căn bệnh phổ biến hiện nay tại Việt Nam với tỷ lệ 7 - 10% dân số mắc bệnh. Nó đứng đầu trong các bệnh về đường tiêu hóa, gây ảnh hưởng đến sức khỏe và chất lượng sống của người dân. Để không mắc bệnh viêm loét dạ dày tá tràng cũng như để điều trị hiệu quả, bạn nên phối hợp tốt bốn phương pháp sau đây:
- Ngăn chặn vi khuẩn Helicobacter pylori: Môi trường tự nhiên chứa vi khuẩn Helicobacter pylori có thể là nguồn nước, thức ăn nhiễm bẩn. Vì vậy cách phòng ngừa chung được lưu ý là rửa tay trước khi ăn, ăn thức ăn an toàn vệ sinh, sử dụng nước sạch, cần vệ sinh sạch sẽ đồ dùng sinh hoạt, ăn uống...
- Chế độ ăn uống: nên ăn nhiều bữa ăn nhỏ; không để quá đói hoặc quá no, ăn đúng giờ; ăn thức ăn mềm, dễ tiêu, ít mỡ, ít chất kích thích tăng tiết dịch vị như quá chua hoặc quá cay; tránh rượu, bia, thuốc lá, cafe, nước có ga… Thay vào đó, bạn nên bổ sung các thực phẩm như: sữa, trứng, pho - mát; thực phẩm giàu đạm chế biến qua luộc, hấp giúp dễ hấp thu; thực phẩm ít mùi vị như tinh bột, bánh mỳ…
- Chế độ nghỉ ngơi và làm việc hợp lý: Nên giữ tinh thần lạc quan tránh căng thẳng thần kinh, không ăn khi quá mệt mỏi và căng thẳng, chế độ làm việc, nghỉ ngơi, sinh hoạt hợp lý.
- Sử dụng thuốc và điều trị: Khi bị đau, có thể dùng thuốc giảm đau có chứa thành phần Paracetamol không làm tổn hại cho dạ dày tá tràng. Khi thấy các triệu chứng nặng hơn như: đau bụng kéo dài, chán ăn, người mệt mỏi, xanh xao, sụt cân, thiếu máu... người bệnh cần đến bệnh viện để được các bác sĩ khám và điều trị. Quan trọng hơn, bạn nên tự trang bị kiến thức và hiểu biết về bệnh sẽ giúp phòng ngừa và kiểm soát bệnh ngay từ khi mới khởi phát.
Việc điều trị viêm loét dạ dày tá tràng có vi khuẩn H.P sẽ có nhiều phác đồ khác nhau tùy thuộc vào tình trạng bệnh cũng như kinh nghiệm của từng thầy thuốc và đúng bệnh đúng thuốc chứ không thể tự ý dùng thuốc tây hay thuốc nam không có sự hướng dẫn và lời khuyên hợp lý từ phía bác sĩ chuyên khoa. Riêng đối với trẻ em đã có phác đồ điều trị cụ thể theo phác đồ điều trị viêm loét dạ dày do Helicobacter Pylori tại bệnh viện Nhi trung ương ban hành kèm theo Quyết định số 974 ngày 13 tháng 7 năm 2012 của Giám đốc Bệnh viện Nhi Trung ương, có thể chúng ta tham khảo:
I. Chỉ định soi dạ dày tá tràng:
• Bệnh nhân có các triệu chứng gợi ý viêm loét dạ dày tá tràng:
- Đau bụng tái diễn: đau bụng ≥ 3 lần trong vòng 3 tháng, ảnh hưởng đến sinh hoạt của trẻ.
- Nôn, buồn nôn, chướng bụng, khó tiêu, nóng rát thượng vị.
- Xuất huyết tiêu hóa.
- Thiếu máu thiếu sắt chưa rõ nguyên nhân đã loại trừ các nguyên nhân khác.
II. Tiêu chuẩn chẩn đoán viêm loét dạ dày tá tràng do Helicobacter pylori:
• Chẩn đoán loét dạ dày tá tràng dựa vào nội soi.
• Chẩn đoán viêm dạ dày dựa vào mô bệnh học.
• Chẩn đoán nhiễm Helicobacter pylori: khi có một trong những điều kiện sau:
- Mô bệnh học có vi khuẩn Helicobacter pylori (+) và Test Urease(+).
- Nuôi cấy mảnh sinh thiết dạ dày có vi khuẩn HP(+).
- Nếu chỉ 1 trong 2 xét nghiệm mô bệnh học và test urease(+), tiến hành làm thêm test thở hoặc test phân(mọi lứa tuổi), nếu test thở hoặc test phân dương tính xác định có nhiễm Helicobacter pylori.
Trường hợp ngoại lệ:
• Nếu gia đình từ chối nội soi: chỉ định làm test thở hoặc test phân (mọi lứa tuổi)
- Nếu test (-) tìm nguyên nhân khác
- Nếu test (+) thảo luận gia đình:
+ Soi dạ dày
+ Điều trị theo phác đồ 1.
• Trẻ có test thở hoặc test phân (+), bố mẹ điều trị ung thư dạ dày hoặc loét dạ dày tá tràng à điều trị theo phác đồ 1.
III. Phác đồ điều trị:
Điều trị phác đồ 1:
• Trẻ <8 tuổi
- Amoxicillin + Clarithromycin + PPI
- Amoxicillin + Metronidazole + PPI
• Trẻ >8 tuổi
- Amoxicillin + Clarithromycin + PPI
- Amoxicillin + Metronidazole + PPI
- Tetracyclin ( hoặc) Doxycyclin + Metronidazol+ PPI
Liều:
- Amoxicillin: 50mg/kg/ngày
- Clarithromycin: 20 mg/kg/ngày
- PPI (omeprazole): 1 mg/kg/ngày
- Metronidazol: 20 mg/kg/ngày
- Tetracyclin: 50 mg/kg/ ngày
- Doxycyclin : 5 mg/kg/ngày
Đánh giá hiệu quả diệt H. Pylori: Tiến hành sau khi :
- Dừng kháng sinh 4 tuần
- Dừng PPI 2 tuần.
• Phương pháp: Test thở C13 hoặc Test phân
• Kết quả:
- Nếu test (-) sạch vi khuẩn
- Nếu (+) còn vi khuẩn, phác đồ thất bại.
Trường hợp điều trị thất bại:
• Bệnh nhân được tiến hành nội soi dạ dày, urease test, mô bệnh học, nuôi cấy HP và làm kháng sinh đồ
- Nếu cấy H.pylori (+) và làm được kháng sinh đồ : điều trị theo kháng sinh đồ: kết hợp 2 loại kháng sinh nhạy cảm + PPI trong 2 tuần
- Nếu cấy H.pylori (-) :
+ Thay kháng sinh khác loại kháng sinh đã dùng trong phác đồ 1
+ Tăng liều
+ Kéo dài thời gian điều trị
+ Phối hợp Bismuth
Viện chúng tôi đã điều trị thành công rất nhiều trường hợp bệnh lý viêm loét dạ dày mạn tính hoặc cấp tính như bạn từ khắp mọi miền đất nước trong vòng 10 năm qua kể cả trẻ em và người lớn. Trong đó, có nhiều trường hợp viêm loét có hiện diện vi khuẩn H.P và có trường hợp không có hiện diện H.P. Hy vọng bạn sẽ được điều trị tại Viện có hiệu quả với chi phí thấp nhất và hiệu quả nhất. Lịch làm việc của Viện chúng tôi là tất cả các ngày trong tuần, kể cả thú 7 và chủ nhật từ 7 giờ sáng đến 11 giờ trưa và 1 giờ 30 chiều đến 5 giờ chiều mỗi ngày.
6. nguyen minh chi - phuongchi7979@gmail.com - Buôn Ma Thuột, Đắk Lắk
Hỏi: Tôi 25t. bị nhiễm giun san chó. test ELISA:OD = 1,10 ( chỉ số ko bị bệnh 0,3). Cơ thể mệt mỏi. đau nhức. Tôi được chỉ định uống zeltel 21 ngày. sau đó 3 tháng xét nghiệm lại vẫn con kết quả 0,7. tôi uống 5 liều Ivermectin (15 viên). sau đó 5 tháng xét ngiệm ngiệm lại ở bệnh viện ký sinh trung Quy nhơn vẫn bị OD = 1/800. Sau đó tôi uống thêm albendazol 15 ngày. 3 tháng tiếp theo, tức là hiện nay thì cơ thể tôi vẫn mệt mỏi, mất ngủ, đi vệ sinh lỏng vào buổi sáng. xin bác sỹ chỉ cho phác đồ điều trị tốt. xin cảm ơn. và mua thuốc ở đâu.
Trả lời: Rất tiếc câu hỏi của bạn chưa rõ ràng và cụ thể vì đề cập cả nhiễm giun sán chó nên nói thật tình chúng tôi không biết sẽ trả lời cho bạn theo kết quả con nào để đưa ra phác đồ chẩn đoán và điều trị cụ thể vì hai loại ký sinh trùng này điều trị và theo dõi hoàn toàn khác nhau. Một bên là giun đũa chó mèo, một bên là sán dải chó thì biết tư vấn như thế nào cho hợp lý với bạn.
Cách tốt nhất, chúng tôi khuyên bạn nên cho chúng tôi biết cụ thể kết quả xét nghiệm hoặc scan toàn bộ xét nghiệm hiện có để chúng tôi có điều kiện tư vấn cụ thể và chính xác hơn cho bạn nhé. Trân trọng cam ơn bạn đã đặt niềm tin và đặt câu hỏi với chúng tôi.
7. Nụ hồng minh chi, luubich2010@gmail....
Hỏi: xin cac bác sĩ cho em biet ve tinh hình tu vong do SXH nam 2012 tại Viet Nam dể em bổ sung vào soosl iệu tổng quan tiểu luận của em về SXH năm 2013, nên xin luôn các thông tin về sốt xuất huyết mới. Em xin cam ơn các bác nhiều a.
Trả lời: Liên quan đến câu hỏi của bạn, chúng tôi xin phúc đáp với số liệu hiện có từ Cục Y tế dự phòng Bộ Y tế Việt Nam đăng tải cho biết số ca tử vong do sốt xuất huyết năm 2012 tăng hơn năm trước. Theo Cục Y tế dự phòng (Bộ Y tế), năm 2012 bệnh sốt xuất huyết tiếp tục lây lan mạnh với hơn 87.000 ca mắc, 79 người tử vong.
So với năm 2011, số mắc tăng 25%, số tử vong tăng 18 trường hợp. Số mắc tập trung chủ yếu ở khu vực miền Nam, miền Trung và Tây Nguyên. Qua giám sát dịch tễ cho thấy, ở nước ta đang lưu hành đồng thời cả 4 týp vi rút Dengue gây bệnh sốt xuất huyết là D1, D2, D3 và D4. Đáng lưu ý, chủng D4 gây dịch rộng và là tác nhân gây tử vong cao đang lưu hành khá rộng rãi. Phần lớn bệnh nhân mắc sốt xuất huyết nặng thường gặp ở lứa tuổi dưới 15, trong đó nhiều trường hợp nhập viện muộn với những biến chứng nặng và suy đa phủ tạng.
Trong thông báo tháng 01.2013, Tổ chức Y tế thế giới (WHO) cảnh báo sốt xuất huyết là bệnh nhiệt đới lây lan nhanh nhất trên thế giới và là một đe dọa dịch bệnh toàn cầu. Ước tính của WHO cho thấy có từ 50 triệu đến 100 triệu người trên thế giới đang bị ảnh hưởng bởi căn bệnh này. Số ca tử vong do sốt xuất huyết mỗi năm vào khoảng 20 ngàn người. Nhưng điều đáng chú ý là dịch bệnh đã lan ra hầu khắp các châu lục. TS. Raman Velayudhan, chuyên gia về kiểm soát dịch bệnh nhiệt đới của WHO cho biết Sốt xuất huyết đang gõ cửa từng châu lục. Ngay cả ở châu Phi, người dân cũng đã bắt đầu mắc bệnh. Bệnh đang lan rộng một cách lặng lẽ trên thế giới mà nguồn lực thì giới hạn. Bùng phát sốt xuất huyết được ghi nhận trên thế giới lần đầu tiên vào khoảng những năm 1950 tại Philippines và Thái Lan. Lúc đó căn bệnh được coi là bệnh của các nước nhiệt đới khu vực Đông Nam Á. Sau đó bệnh đã lan rộng sang vùng tiểu Ấn Độ. Đến nay, sốt xuất huyết đã lan rộng sang các châu lục khác như châu Âu, Nam Mỹ và Caribe. Thông báo mới của WHO cho biết năm 2012, sốt xuất huyết được xếp vào một trong các bệnh lây lan nhanh nhất với khả năng phát triển thành đại dịch. Số ca mắc bệnh đã tăng 30 lần so với 50 năm trước.
Vào cuối năm ngoái, châu Âu cũng đã phát hiện các ca bùng phát dịch bệnh sốt xuất huyết kể từ năm 1920, với 2000 người mắc bệnh tại đảo Madeira của Bồ Đào Nha. Năm 2010, Pháp và Croatia cũng báo cáo những ca bùng phát sốt xuất huyết ở các nước này. Sốt xuất huyết lây từ người sang người qua muỗi Aedes.
Theo TS. Valayudhan, muỗi Aedes spp đã xuất hiện tại hơn 150 quốc gia gây ra một đe dọa về dịch bệnh cho thế giới. Nói về nguyên nhân lây lan thầm lặng của dịch bệnh này, TS. Valayudhan giải thích: “Việc lan rộng dịch sốt xuất huyết trên thế giới xảy ra bởi nhiều nguyên nhân, nhưng nguyên nhân chính là việc đô thị hóa, dân cư đông đúc. SXH truyền qua muỗi nhưng không phải cùng loại muỗi truyền sốt rét. Nó chủ yếu đốt vào ban ngày và có khả năng thích ứng rất cao với môi trường sống đô thị. Vì thế sốt xuất huyết chủ yếu là căn bệnh của thành phố nhưng cũng đang dần lan ra các khu vực nông thôn. Khi dân cư tại các thành phố tăng lên dần thì căn bệnh cũng từ từ lan ra nhiều nước. về cơ bản, dịch sốt xuất huyết lan rộng là do sự di chuyển của con người. Con người mang trong mình virut, con muỗi chỉ có nhiệm vụ chuyển virut đó từ người này sang người khác. Nguyên nhân thứ hai là sự di chuyển của hàng hóa. Một số loại hàng hóa có thể tạo điều kiện cho muỗi sinh nở. Những yếu tố gián tiếp khác như thay đổi khí hậu, hạn hán và lũ lụt cũng được coi là những nhân tố tạo điều kiện cho sự sinh sôi của muỗi, dẫn đến sự lan rộng của sốt xuất huyết. Hiện có 3 điểm nóng chính về sốt xuất huyết trên thế giới được WHO lưu ý là khu vực Đông Nam Á, tiểu vùng Ấn Độ với các nước Srilanka, Bangladesh, Pakistan, và khu vực Nam Mỹ, Caribe
8. Nguyễn Vân Hồng, 27 tuổi, Phú Yên
Hỏi:Xin hỏi các bác sĩ ở Viện Sốt rét qui nhơn, tôi năm nay 36 tuổi, mang thai lần thứ hai (con so), không hiểu tại sao cả hai lần mang thai đều bị ngứa vào tháng thứ 6-9 của thời gian mang thai, nhiều nhất là ngứa và nổi mảng vùng hông, lưng, cẳng chân và vùng đùi rất nhiều, khiến tôi không ngủ ngon giấc được. Cả hai lần mang thai đều bị ngứa như vậy. Vì đang mang thai nên tôi không dám dùng đén thuốc chống ngứa sợ ảnh hưởng đến thai nhi của tôi và sữa cho con bú sau này. Tôi xin nhờ các bác sĩ tư vấn cho và làm thế nào giảm bớt con ngứa này. Gia đình tôi xin đội ơn các bác rất nhiều!
Trả lời: Chúng tôi rất thông cảm cho bạn vì đang bị các đợt ngứa và mày đay dạng đè nén do quá trình mang thai sinh ra cùng với sự thay đổi các chất nội tiết nữ làm cho bạn thay đổi ngứa trong quá trình mang thai, nhất là ba tháng đầu và ba tháng giữa bạn ạ. Trong thời gian mang thai, nhiều phụ nữ bị ngứa ở các vùng da bụng, ngực, đùi... và cơ quan sinh dục. Nguyên nhân chính là do sự căng giãn da quá mức khi thai nhi của bạn ngày càng lớn lên với thể tích tử cung to lên và vòng bụng căng, kèm theo dãn nở các cơ quan liên đới, nhất là vùng cơ , da xương dãn nở so với bình thường không mang thai và sự thay đổi các thành phần nội tiết trong cơ thể so với cơ thể khi chưa mang thai.
Những vị trí thường gặp ngứa và mày đay là da vùng bụng (do bào thai phát triển), vùng 2 bầu vú, vùng cánh tay, hai mông, hai đùi, hai cẳng và bàn chân (do sự đè ép của thai lên tĩnh mạch chủ dưới, gây ứ trệ tuần hoàn chi dưới, gây phù hai chân); do tăng chuyển hóa cơ bản và tăng sinh mạch máu ngoài da khi mang thai. Điều này làm các sản phụ tăng tiết mồ hôi và da trở nên nhạy cảm hơn với những kích thích bên ngoài; do viêm nang lông trong thai kỳ gây ngứa ở những vùng có lông như đầu, mặt, nách, bộ phận sinh dục...
Cho dù ngứa do nguyên nhân gì, bạn cũng không nên gãi vì có thể dẫn đến nhiễm trùng bất thường. Có thể làm giảm những triệu chứng khó chịu hay ngứa trên da bằng một số biện pháp sau như mặc quần áo bằng vải cotton và rộng rãi (kể cả đồ lót), chú ý thắt lưng quần và dây áo ngực; tránh ra ngoài lúc trời nắng oi bức, dễ ra mồ hôi càng thêm tăng ngứa; tắm với nước ấm để giúp giảm ngứa; tránh dùng các loại xà phòng hay dung dịch tẩy rửa mạnh các chất bảo vệ vùng da của bạn, hay dùng nhiều bọt và quá thơm.
Một số trường hợp có thể chỉ được tắm bằng nước chứ không dùng xà phòng; uống nhiều nước; giữ khô và sạch vùng sinh dục; dùng các loại kem làm ẩm da và mềm da toàn thân hay tại chỗ để làm mềm, dịu đi làn da khô và bong tróc. Vì các thời điểm vào ba tháng giữa cũng là thời điểm an toàn cho cả thai nhi nên một số trường hợp làm bạn ngứa khó ngủ ban đêm có thể bạn dùng thêm thuốc kháng histamine kèm theo với sự chỉ dẫn của bác sĩ hoặc dược sĩ của bạn nhé.
Chúc bạn khỏe và giảm nhanh các cơn ngứa hành hạ với các hướng dẫn trên đây của chúng tôi.
9. Nguyễn Đình Vũ, quận 9, TP. Hồ Chí Minh, longgiang21@yahoo....
Hỏi:Xin bác sĩ cho em biết tại sao khi đi khám bệnh ở một số đơn vị y tế em bị ngứa và mày đay khắp người, sau khi đã làm các xét nghiệm máu và test da loại trừ cũng như làm dị nguyên ở thành phố HCM, nhiều bác sĩ đã chẩn đoán em bị dị ứng và nên cẩn thận với một số thức ăn và hóa chất. Xin các bác sĩ cho em biết là cận cẩn thận với những bệnh dị ứng hay gặp nào để em phòng bệnh ạ, em kính thành cẩn cảm ơn!
Trả lời: Trước hết chúng tôi xin chân thành cảm ơn bạn đã đặt niềm tin vào trang web chúng tôi để đặt câu hỏi này và liên quan đến câu hỏi chúng tôi xin phúc đáp với bạn dựa trên các tài liệu thu thập sẵn có để bạn có thể tự chẩn đoán bệnh cho mình và phòng bệnh một cách tốt nhất nhé.
Dị ứng là một phản ứng quá mức của hệ thống miễn dịch khi cơ thể tiếp xúc với những chất lạ. Gọi là quá mức vì các chất lạ này đều được cơ thể nhận biết và vô hại đối với những ai không bị dị ứng. Còn cơ thể của người bị dị ứng sẽ nhận ra các chất lạ và sẽ khởi động một phần hệ thống miễn dịch. Các chất gây nên hiện tượng dị ứng được gọi là dị nguyên. Các dị nguyên bao gồm bụi, phấn hoa, mốc, thực phẩm... Có thể hiểu, dị nguyên là những chất lạ đối với cơ thể và có thể gây nên phản ứng dị ứng ở một số người. Khi dị nguyên tiếp xúc với cơ thể những người bị dị ứng thì sẽ kích hoạt hệ thống miễn dịch để tạo nên các phản ứng dị ứng. Những người như thế được gọi là quá mẫn cảm. Dưới đây là 3 trong số những dị ứng dễ gặp.
Dị ứng thực phẩm
Dị ứng thực phẩm có thể xảy ra với bất cứ ai, vào bất cứ độ tuổi nào. Khi bị dị ứng thực phẩm, người bệnh sẽ có các dấu hiệu rất dễ nhận biết. Ở ngoài da thì nổi mẩn, mề đay, ngứa, sưng đỏ, mạch máu sưng phồng. Ở hệ thống tiêu hóa thì môi, miệng và cuống họng sưng phồng, đầy bụng, nôn mửa, bụng đau cuộn, tiêu chảy. Ở hệ thống hô hấp thì khó thở, suyễn, khò khè, ho, nghẹt mũi, chảy nước mũi... Những phản ứng của dị ứng thực phẩm có thể xảy ra ngay khi ăn những loại thực phẩm dị ứng, hoặc sau vài giờ, có khi vài ngày sau đó. Ở những người có cảm ứng quá mạnh, chỉ cần ngửi hoặc sờ mó vào thực phẩm là có thể bị ngay dị ứng. Nếu bạn đã từng bị dị ứng thực phẩm, trước khi ăn bất cứ món gì, nhất là ở tiệm, hãy hỏi kỹ về món ăn định chọn. Và nhớ mang theo mình thuốc chống dị ứng để phòng trường hợp bất trắc.
Viêm mũi dị ứng
Viêm mũi dị ứng là hiện tượng mũi bị viêm, sưng tấy do dị ứng với các tác nhân trong và ngoài cơ thể như bụi, khói, lông, tơ, thời tiết, nhiệt độ, độ ẩm, áp suất không khí... Các dấu hiệu điển hình là bệnh nhân ngứa mũi, họng và mắt, hắt hơi thường xảy ra vào buổi sáng, giảm nhiều vào buổi trưa và buổi tối, chảy nước mũi trong, sau đó thì có màu vàng hoặc trắng đục do bị bội nhiễm, nghẹt mũi thường xảy ra sau một tràng hắt hơi và kèm theo một số triệu chứng phụ như nhức đầu, ho, đau họng và có thể sốt nhẹ. Nếu bị viêm mũi dị ứng theo mùa bạn nên ở trong nhà, đóng các cửa sổ; sử dụng máy lạnh thông khí, tránh sử dụng quạt vì nó có thể mang các dị nguyên bên ngoài vào; tắm hoặc thay quần áo sau khi đi ra ngoài, tránh phơi quần áo ngoài trời.
Dị ứng mắt
Nhiều người cho rằng, da, mũi mới dễ bị dị ứng, chứ mắt, do luôn có nước mắt “bảo vệ” nên khó nhiễm bệnh. Nhưng trong thực tế, mắt thuộc nhóm cơ quan có nguy cơ cao bị dị ứng do mắt thường xuyên tiếp xúc với môi trường. Không những thế, do phần bên ngoài của mắt lại luôn ẩm ướt, nên khả năng bám dính và kích ứng của các kích thích và dị nguyên sẽ tăng lên. Nhờ có nước mắt, các dị nguyên có thể nhanh chóng bị rửa trôi, nhưng chỉ cần một thời gian rất ngắn, chúng cũng đã có thể gây ra các biểu hiện dị ứng tại mắt. Người ta chia dị ứng mắt thành nhiều dạng: viêm kết mạc dị ứng; viêm giác mạc; viêm bên trong nhãn cầu...
Các viêm nhiễm tại mắt có thể là do các nguyên nhân sau: dị ứng phấn hoa, viêm mũi xoang dị ứng, dị ứng thức ăn, dị ứng thuốc, hen, chàm, mất cân bằng dinh dưỡng, hóa chất, dùng mỹ phẩm bừa bãi... trong đó dị ứng mắt theo mùa là bệnh nhẹ, chỉ gây ngứa ngáy, mắt đỏ, chảy nước mắt. Cơ nguyên dị ứng mắt là phản ứng do dưỡng bào bị kích thích bởi IgE, khởi sự do bụi dị ứng sinh ra. Những chất trung gian từ tế bào mast cells như histamine, prostaglandins, leucotrienes và kinins lần lượt kích thích dây thần kinh, làm nở mạch máu, tiết ra chất nhờn, làm mắt ngứa, cay và đỏ, sưng thành bọng nước trong mắt và ra ghèn.
Khi bị di ứng mắt, cách tốt nhất là phải loại trừ nhanh chóng các dị nguyên ra khỏi mắt. Bệnh nhân không nên dùng tay dụi mắt vì sẽ kích thích tế bào mast cells làm bệnh nặng thêm. Bệnh nhân có thể rửa mắt bằng nước lạnh, nước muối sinh lý, nước mắt nhân tạo (nếu dùng nước mắt nhân tạo mà còn bị đau mắt thêm, hay đỏ mắt hơn, hay bị kích thích thì nên ngưng dùng). Chườm lạnh cũng là phương pháp hữu hiệu để giảm phù mi, giảm ngứa và kích thích do làm co mạch và ổn định màng tế bào có chức năng miễn dịch. Để phòng dị ứng, bệnh nhân phải tránh tiếp xúc với những dị nguyên, chất kích thích có thể gây dị ứng cho mắt.
10. Vũ Thị Thu Hương, …..0967….
Hỏi:Xin kính chào các bác sĩ và y tá ở Viện sốt rét và ký sinh trùng Quy Nhơn, tôi gần đây có triển khia nghề chăn nuôi vịt và heo rừng ở quanh ruộng nhà của tôi, thường xuyên lội xuống ruộng để lùa vịt được khoảng 2 tháng thì bắt đầu da chân ngứa cả hai bên từ đầu gối trở xuống và cứ tối lại ngứa nhiều hơn, Không biết biểu hiện ngứa này có liên quan đến việc chăn nuôi của tôi gần đây hay không, nghe nói đến bệnh viêm da do ấu trùng sán vịt, tôi lo quá, xin bác sĩ giải thích cho, tôi xin chân thành cảm ơn rất nhiều!
Trả lời: Cảm ơn câu hỏi của bạn về một bệnh lý ngoài vùng da niêm do ký sinh trùng hoặc ấu trùng sán máng vịt hoặc ấu trùng của các loài sán ký sinh trên thủy cầm. Các nhà khoa học thường hay gọi là ngứa của người bơi lội (Swimmer’s itch) hay ngứa ao hồ, ngứa do lội như vịt (lake itch, duck itch) hay viêm da do cercariae (schistosome cercarial dermatitis) định nghĩa như một phản ứng miên dịch, ngắn xảy ra trên da người do bị nhiễm bởi các ấu trùng trong nước (water-borne schistosomatidae). Các triệu chứng bao gồm ngứa, nổi các bọng nước bóng trên vùng da ảnh hưởng, thường xảy ra trong vòng vài giờ sau nhiễm và thường không kéo dài hơn một tuần.
Một số ký sinh trùng sán lá khác họ Schistosomatidae cũng là những tác nhân gây nên bệnh lý Swimmer’s itch. Các ký sinh trùng này sử dụng cả ốc nước ngọt và vật chủ là động vật có xương sống trong chu kỳ sinh học và phát triển của chúng. Hầu hết bầy chim bơi dưới nước là các động vật vật chủ có xương sống. Trong suốt một giai đoạn đời sống của chúng, ấu trùng cercaria, rời khỏi ốc nước ngọt và bơi tự do trong vũng nước ngọt, cố gắng hay bắt gặp với các loài chim bói cá hoặc chim bơi dưới nước. Các ấu trùng này có thể tiếp xúc tình cờ với da của người bơi lội. Ấu trùng cercaria đi xuyên da và chết trong da ngay sau đó. Các ấu trùng cercaria không thể nhiễm vào con người, nhưng chúng có thể gây phản ứng miễn dịch viêm (inflammatory immune reaction).
Phản ứng này đầu tiên chỉ biểu hiện là các chậm màu đỏ hơi ngứa trên vùng da tiếp xúc. Trong vòng vài giờ, các chấm đỏ này trở nên bọng nước và ngứa tăng nhanh hơn. Mỗi nốt sẩn tương ứng với vị trí xâm nhập của từng ấu trùng đi vào.
Các ấu trùng sán schistosomatidae gây nên bệnh ngứa ở người bơi lội không nên nhầm lẫn với loại ấu trùng trong giống Schistosoma, đã từng nhiễm cho người và gây ra các bệnh lý nghiêm trọng như sán máng (schistosomiasis) hay giai đoạn ấu trùng như sứa Linuche unguiculata, dấu hiệu biểu hiện như ban trườn do tắm biển. Dấu hiệu ban trườn như tắm biển hầu như xảy ra trong nước mặn, hoặc da có bao phủ bởi một lớp lông hoặc quần áo, ngược lại bệnh lý ở người bơi lội hầu như xảy trong môi trường nước ngọt, da không che kín. Kể từ khi lần đàu tiên bệnh được mô tả ở Michigan vào năm 1928, bệnh lý ngứa ở người bơi lội đã được báo cáo trên khắp thế giới. Một số cho biết tỷ lệ có thể sẽ tăng hơn chứ không như báo cáo dù điều này có thể được giám sát tốt hơn.
Một số tên gọi khác của bệnh lý
Ngứa của người bơi lội (Swimmer's itch) có nhiều tên gọi khác nhau. Ở các quốc gia phương đông, nó thường gọi là bệnh do ruộng lúa (rice paddies) nơi có tiếp xúc với các cánh đồng lúa. Chẳng hạn, ở Nhật Bản, gọi là "kubure" hay "kobanyo", ở Malaysia gọi là "sawah" và ở Thái Lan gọi với tên rất vui "hoi con".
Tại Mỹ, mội người biết đến với tên gọi là giun của vịt, đặc biệt ở vùng biểnNew Jersey ("duckworms") hoặc “duck lice” và "clam digger's itch". Tại một số vùng của Canada, chủ yếu ở Ontario, người ta gọi với tên là"Duck lice" và "Beaver lice". Ở Úc người ta gọi là "Pelican itch". Tại Western Minnesota, đặc biệt ở vùng Lake Minnewaska, chúng được gọi là "Lake itch". Tương tự, ở Brazil, các vật thể trong nước có tiếp xúc gọi làlagoas da coceira. Tuy nhiên, tất cả các tình trạng y khoa gây ra bởi sán máu bao gồm cả ngứa ở người bơi lội, hoặc gọi là esquistossomose hay bilharzíase, hoặc barriga d'água. Điều này không hoàn toàn do không biết, mà do sự thật chỉ có các loài sán Schistosoma đặc biệt quan tâm ở Brazil (Schistosoma mansoni) là một trong số tác nhân ký sinh trùng ở người.
Tại Việt Nam, chúng tôi cũng hay tiếp nhận một số bệnh nhân mắc bệnh viêm da ấu trùng sán vịt, đây là một trong các loại bệnh viêm da do vi sinh vật, các bệnh nhân hay gặp đến từ các vùng nông thôn khác nhau, có tiền sử chăn nuôi và tiếp xúc với đàn vịt nuôi của gia đình trong một thời gian dài. Ấu trùng sán vịt sống trong cơ thể ốc, vịt bơi lội trong các ruộng nước mò ăn nên sau thời gian ấu trùng sống ký sinh trong ruột vịt. Khi đi ngoài, ấu trùng đó theo phân ra và bám vào da người gây bệnh. Vị trí khu trú của các tổn thương thường thấy ở các phần ngâm dưới nước: ở chân từ bàn chân đến đầu gối; ở tay từ bàn tay đến khuỷu tay nhất là các kẽ ngón và rìa ngón tay, móng tay. Tại chỗ ấu trùng bám vào da xuất hiện những nốt sẩn tịt riêng rẽ giống như muỗi đốt. Ngày đầu những nốt sẩn này sưng và màu đỏ tươi, sang ngày thứ 2 hoặc 3 chuyển thành màu đỏ sẫm, về sau giảmdần và tại chỗ nổi sẩn đỏ ấy phát ra một mụn nước nhỏ bằng đầu ghim. Từ vài giờ đến nửa ngày sau khi xuống ruộng tiếp xúc với nước, người bệnh thấy ngứa - đây là triệu chứng điển hình, đặc biệt là khi mặt trời lên, nước ấm hơn thì ngứa càng tăng dữ dội. Người bệnh gãi nhiều, các vết sẩn nhiễm khuẩn mưng mủ, nếu không được điều trị dứt điểm, bệnh sẽ ngày một nặng thêm. Khi bị viêm da ấu trùng sán vịt, người bệnh thường được bôi sunfat đồng 5% vào các vết sẩn để giảm ngứa, các vết bị mưng mủ bôi dung dịch xanh methylen 2% và nếu bội nhiễm nặng phải dùng kháng sinh.
Nguyên nhân và một số yếu tố nguy cơ
Các loài trong giống của shistosomatidae hầu như thường có liên quan đến bệnh ngứa này ở người là Trichobilharzia và Gigantobilharzia. Các sán lá trong nhóm này thường hoàn thành chu kỳ trong các con chim ở nước. Tuy nhiên, ngứa ở người bơi lội cũng có thể gây ra bởi các ký sinh trùng schistosome của động vật có xương sống nhưng không phải gia cầm, như là Schistosomatium douthitti, nhiễm vào trong ốc và các loài gặm nhấm. Sự sắp xếp nhóm khác báo cáo gây ra phản ứng gồm Bilharziella polonica và Schistosoma bovis. Trong môi trường ở biển, đặc biệt dọc theo các bờ biển, ngứa ở người bơi lội cũng có thể xảy ra.Tại Australia, gọi là "pelican itch" gây ra bởi cercariae của giống Austrobilharzia.
Người thường bị nhiễm với các avian schistosomes sau khi bơi lội trong các hồ hoặc các vật thể khác trong các vùng nước ngọt chảy chậm. Một số bằng chứng trong phòng thí nghiệm cho thấy ốc ra cercariae nhiều nhất vào buổi sáng và các ngày nắng, và phơi nhiễm với các nước trong điều kiện này sẽ có nguy cơ cao. Trong suốt quá trình bơi lội có liên quan chặt chẽ với nhiễm ấu trùng đã được báo cáo tại châu Âu và Bắc Mỹ và các vùng nước ven bờ có bóng râm, nơi trú ngụ của ốc thì rõ ràng sẽ có mật độ cao hơn về cercariae hơn là các vùng xa bờ. Các ngọn gió thổi từ biển về đất liền được xem là nguyên nhân cercariae tích tụ dọc theo bờ biển. Các nghiên cứu về hồ bị nhiễm và các vụ dịch ở châu Âu và Bắc Mỹ đã tìm thấy nguy cơ nhiễm tìm thấy khắp vởi biển cũng như nơi có tăng nguy cơ hay ổ chứa của bệnh ngứa ở người bơi lội này. Trẻ em có thể nhiễm cao hơn và cường độ mạnh hơn người lớn nhưng điều này có thể phản ánh xu hướng của chúng đến bơi lội trong vùng nước với thời gian dài hơn, nơi có cercariae cũng tập trung hơn. Kích thích để cho sự xuyên thấu của cercariae vào trong da của vật chủ gồm có các acid béo chưa bão hòa như linoleic và linolenic acid. Các chất này xảy ra tự nhiên trên da người và tìm thấy trong các dung dịch hay kem chống nắng tinh chế từ dầu thực vật.
Biện pháp phòng chống và điều trị
Nhiều chiến lược khác nhau đối với các vật chủ là nhuyễn thể hoặc các loài chim của schistosomes, đã được sử dụng bởi các cư dân gần hồ tại các vùng có giải trí tiêu khiển của Bắc Mỹ có liên quan đến các vụ dịch ngứa ở người này. Tại Michigan, đối với các nhóm người dùng chất liệu sulfate đồng như một chất diệt nhuyễn thễ để giảm quần thể vật chủ ốc và nhò đó tỷ lệ bị ngứa sẽ giảm đi đáng kể. Kết quả với những chất này chưa được kết luận, có thể vì:
·Ốc trở nên ngày càng dung nạp và chịu đựng;
·Hóa chất nước địa phượng giảm hiệu lực giết nhuyễn thễ;
·Khả năng khếch tán của nó tại chỗ;
·Quần thể ốc có khả năng phục hồi quần thể trong một vùng sau khi được xử lý;
Có lẽ, quan trọng hơn, sulfate đồng có độc hơn không chỉ với nhuyễn thễ và tác động của chúng trên hệ thống sinh thái nước vẫn chưa hiểu hết. Phương pháp khác đánh vào vật chủ ốc, gây bất ổn định cơ học nơi ở của ốc cũng đã đưa ra thử nghiệm tại một số vùng của Bắc Mỹ và hồ Lake Annecy tại Pháp có mang kết quả đầy hứa hẹn.
Một số công trình nghiên cứu của Michigan cho biết chỉ định dùng praziquantel đối với các chim bơi dưới nước có thể giảm tỷ lệ người mắc chứng ngứa khi bơi lội. Các công trình nghiên cứu về bệnh sán máng cho thấy dùng các chất thoa chống lại nước (water-resistant topical applications) của chất xua đuổi côn trùng DEET ngăn ngừa schistosome khỏi ấu trùng xuyên da của chuột. chế phẩm 0.1-1% niclosamide trong kem chống nắng kháng nước hay chế phẩm Safe SeaTM cream bảo vệ chống lại vết chích của cá cho thấy có hiệu quả cao, có hiệu ứng gây chết schistosome cercariae. Giáo dục sức khỏe về các yếu tố nguy cơ, các chiến lược can thiệp đề cập ở trên cũng có thể giảm phơi nhiễm giữa người với các cercariae. Kinh nghiệm tại Higgins Lake, Michigan – nơi mà nghiêm cứu bệnh ngứa ở người bơi lội một cách bài bản tiến hành từ những năm 1990 cho biết cứ vùng vẫy chi dưới từng chặp trong quá trình phơi nhiễm với nguồn nước có hiệu quả trong phòng bệnh Swimmer's Itch.
Dùng thuốc đường uống loại hydroxyzine, antihistamine đôi khi cũng được kê toa để điều trị cho bệnh lý này tương tự như trong phản ứng dị ứng da (dermal allergic reactions).
Chúng tôi mong rằng với câu trả lời như trên sẽ làm bạn hài lòng và có những phương pháp phòng bệnh do sán máng vịt gây nên.