Lê Kiều H., 41 tuổi, Sơn Hòa, Phú Yên
Hỏi: Các bác sĩ ơi cho em hỏi nguyên than của nám da là gì, em nay mới có 40 tuổi, kinh nguyệt hoàn toàn bình thường, không làm công việc liên quan đến độc hại hoặc hóa chất trong môi trường mà chỉ làm công việc văn phòng và công việc nhà liên quan đến bán tạp hóa. Không hiểu sao 2 tháng lại đây em thấy da mặt bị thay đổi rất nhiều và đặc biệt biểu hiện nám da rất rõ. Kính nhờ các bác sĩ chỉ giúp các nguyên than và chữa trị sao cho sớm. E chân thành c/ ơn.
Trả lời:
Trước hết chúng tôi rất cảm ơn bạn đã tin tưởng và gởi câu hỏi nhờ tư vấn với chúng tôi. Liên quan câu hỏi này, chúng tôi xin chia sẻ một thông tin tương đối đầy đủ từ các đồng nghiệp chuyên khoa da liễu đã trình bày.
Nám da hiện đang là nỗi lo của rất nhiều phụ nữ, đặc biệt là những phụ nữ bước sang tuổi 30. Nám da là một rối loạn sắc tố xảy ra khi quá trình rối loạn melanin tăng tiết, lượng melanin được sản sinh nhiều và bị đẩy sâu vào bên trong lớp thượng bì. Trên thực tế, nám da được hình thành bởi rất nhiều nguyên than:
-Do các tác nhân bên ngoài như khói, bụi, nắng nóng và tia UV, cẳng thẳng kéo dài hay sử dụng mỹ phẩm không đúng cách, hoặc mỹ phẩm và các chất tẩy trang kém chất lượng, thậm chí là giả;
-Do các tác nhân bên trong khi hệ thống bảo vệ da sản sinh ra quá nhiều melanin, nguyên nhân chính thường do mất cân bằng hormone hay nội tiết tố, phản ứng với thuốc, phụ nữ mang thai hoặc tiền mãn kinh…
Hoặc khi điều trị nám, dưỡng da làm trắng không đúng cách như lột tẩy, hay sử dụng mỹ phẩm nhưng đều thất bại. Do vậy, việc điều trị nám cần một quá trình điều trị liên tục, đúng cách nếu không được điều trị đúng phương pháp nám sẽ quay trở lại. Đồng thời sau khi điều trị sạch các vết thâm nám hiện tại, các chị em cũng cần thiết có quá trình chăm sóc bảo dưỡng làn da duy trì hiệu quả điều trị kéo dài.

Nám da có rất nhiều loại mà chị em khó có thể phân biệt được mình đang ở tình trạng nào. Để giúp cho chị về các loại nám, chúng tôi xin được phân loại như sau:
Nám mảng
Là vùng da trên gò má xuất hiện 1 mảng màu nâu nhạt, nám này xuất hiện do phản ứng với thuốc hay mỹ phẩm, hoặc tác hại của ô nhiễm môi trường và ánh nắng mặt trời lên trên bề mặt da. Có thể công việc làm cho bạn căng thẳng, mệt mỏi, hay sử dụng thuốc tránh thai trong một thời gian dài cũng là nguyên nhân gây nên nám mảng. Nhưng nám da này không sâu (hay còn gọi là nám không chân) nên việc trị liệu sẽ dễ dàng và nhanh chóng hơn bằng một số công nghệ trị liệu thẩm mỹ như Laser Toning, Fraxel Dual hoặc điều trị dưỡng da bằng tế bào gốc.
Nám sâu
Có nguyên nhân từ bên trong cơ thể do nội tiết tố thay đổi, hoặc đối với những phụ nữ đang mang thai và tiền mãn kinh, biểu hiện của loại nám này trên bề mặt da là những đốm nâu sẫm màu nên nám sâu cũng được hiểu là loại nám đốm. Nếu làn da không được chăm sóc và bảo vệ đúng cách, thì nám sẽ ngày càng tăng sắc tố, biểu hiện là những đốm nâu ngày càng sậm màu. Điều trị loại nám da này rất khó và lâu dài nên phải sử dụng đến công nghệ tiên tiến nhất hiện nay là laser Excel V, Fraxel Dual, Atlas Dual kết hợp với điều trị tế bào gốc đẩy nhanh quá trình tái tạo tế bào da mới.

Nám hỗn hợp
Là sự kết hợp giữa 2 loại nám mảng và nám đốm, nên phương pháp điều trị cũng sẽ phức tạp, và lâu dài hơn. Tùy vào từng mức độ nặng hay nhẹ của nám da mà các bác sĩ tại Bệnh viện Leaders sẽ chỉ định điều trị bằng các phương pháp laser phù hợp và kết hợp với các chương trình điều trị tế bào gốc khác.
Nhìn chung, nám da là tình trạng xuất hiện những vết, đám da biến đổi sắc tố màu nâu xám trên mặt, phát triển chậm, có xu hướng ngày càng đậm màu nếu không có biện pháp phòng ngừa. Nám da không nguy hiểm nhưng ảnh hưởng nhiều đến thẩm mỹ nên cần được điều trị đúng cách. Nám là tình trạng tăng hắc tố melanin dưới một vùng da nhất định, gây ra bởi rất nhiều nguyên nhân và rất khó điều trị.

Nám xuất hiện rất phổ biến ở phụ nữ các độ tuổi. Melanin vốn là một sắc tố được sản sinh bởi các tế bào melanocyte bên dưới lớp biểu bì, có nhiệm vụ giúp bảo vệ làn da trước tác hại của các tia UV. Tuy nhiên, khi các hắc tố này tập trung với mật độ lớn sẽ gây ra tình trạng nám. Việc tăng sản sinh melanin thường xuất hiện trong thai kỳ nhưng cũng rất phổ biến khi người phụ nữ bước vào tuổi trung niên, giai đoạn tiền mãn kinh - mãn kinh.
Nám da thường xuất hiện ở trán, hai má, đôi khi xuất hiện ở hai bên cổ, vai và cánh tay. Nám có khi nhỏ nhưng cũng có những vết nám giống như những đốm tàn nhang và các mảng nám lớn. Nám da được phân biệt độ sâu như ở biểu bì, trung bì và hỗn hợp.
Thông thường, khi bị nám da, đa số chị em đều tìm mọi cách để chữa trị. Tuy nhiên, việc điều trị nám không phải một sớm một chiều có thể hết ngay, mà hiệu quả đến rất chậm, đòi hỏi phải kiên trì. Do khó xác định được nguyên nhân cụ thể nên điều trị nám da rất khó, tốn nhiều thời gian và cần phải theo sát hướng dẫn của bác sĩ chuyên khoa.
Các biện pháp làm trắng nhanh mà các chị em thường nóng vội sử dụng có thể giúp loại bỏ vết nám tạm thời nhưng rất dễ gây nguy cơ nám da trở lại, thậm chí trầm trọng và khó điều trị hơn, da cũng sần sùi và kém sức sống. Rất nhiều chị em khi đi khám thì đã bị hư da mặt vì điều trị nám sai cách trên vùng da đặc biệt nhạy cảm này.

Nên điều trị nám da kết hợp: ngừng uống thuốc tránh thai; dùng kem chống nắng khi đi ngoài trời. Sử dụng kem tẩy nhẹ để rửa và da khô thì dùng thêm kem dưỡng ẩm nhẹ (nếu da vừa bị nám vừa có mụn trứng cá thì không nên áp dụng). Ngăn chặn sự hình thành sắc tố mới bằng các loại kem ức chế hình thành melanin của tế bào melanocytes, bao gồm: hydroquinon 2-4% (trong khoảng 3 tháng), thuốc có thể gây kích ứng và đỏ da. Axit azelaic có thể được sử dụng lâu dài, an toàn ngay cả trong thời kỳ mang thai, tuy nhiên, thuốc có thể gây kích thích da. Sử dụng corticosteroid bôi tại chỗ như hydrocortison có thể làm cho các vết nám nhanh phai màu nhưng dễ bị các phản ứng phụ (teo da, mỏng da).
Các phương pháp khác
Phương pháp lột bỏ sắc tố: Có thể sử dụng kem bôi salicylic acid. Ngoài ra, có thể dùng alpha hydroxyacids bôi tại chỗ, gồm axit glycolic và axit lactic, dùng giống như kem lột da. Việc dùng kem chứa retinoids bôi tại chỗ cũng là giải pháp, nhưng có nhiều phản ứng phụ, có thể gây viêm da và không được sử dụng trong thai kỳ. Phá hủy sắc tố bằng ánh sáng cường độ cao: thời gian điều trị từ 10-20 tuần, nhưng ngay cả những người có kết quả điều trị tốt thì sắc tố có thể xuất hiện trở lại khi tiếp xúc với ánh nắng hoặc do rối loạn nội tiết.
Nói chung không có phương pháp nào có thể trị nám hết nhanh và hiệu quả lâu dài nếu không kết hợp giải pháp tránh tối đa vùng da vừa điều trị tiếp xúc với tia cực tím từ ánh nắng.
Nói tóm lại, khi bạn bị nám, việc đầu tiên là đi khám bác sĩ chuyên khoa da liễu để xác định nguyên nhân và chỉ khi nào xác định đúng nguyên nhân để chữa thì mới có thể trị hết nám. Thuốc để trị nám trên thị trường hiện nay không có nhiều sản phẩm và không mang lại hiệu quả thực sự cũng như không thể dùng cho hầu hết các trường hợp bị nám. Tuyệt đối không tự ý bôi thuốc hoặc mỹ phẩm cho dù sản phẩm đó đã được một số người sử dụng an toàn.

Các hoá chất được dùng nhiều trong các mỹ phẩm làm trắng da, chống nám... đều chứa lượng chất tẩy mạnh, có thể lúc mới dùng, da được tẩy trắng trông rất đẹp, nhưng dùng một thời gian lâu, càng ngày da càng bị bào mòn, lớp da non sẽ hiện lên, nếu đi nắng rất dễ bị nám da; đồng thời trong kem có hàm lượng thủy ngân nhỏ có thể gây teo da, nếu dùng lâu, da mặt sẽ nám vĩnh viễn. Tuyệt đối không dùng mỹ phẩm, thuốc trị nám bán ngoài thị trường mà trên bao bì sản phẩm không ghi thành phần. Nhiều trường hợp bị nám vĩnh viễn vì đã dùng qua các kem chứa adrenocorticiod như là mỹ phẩm thoa mặt. Kết quả là da mặt bị teo, dẫn tới rối loạn dinh dưỡng, mất sức đề kháng khiến da bị nám nhiều hơn.
Lưu ý trong ăn uống: có những thức ăn làm sung huyết trên da, do đó sẽ làm các vết nám đậm hơn. Cần tránh rượu, bia và các gia vị gây nóng. Ăn nhiều rau quả tươi, uống nhiều nước, ngủ đủ giấc, chơi thể thao đều đặn và tránh nắng. Cần cải thiện chế độ dinh dưỡng bằng thực phẩm giàu các vitamin A, C, E, omega-3, selen để chống lão hóa da. Nên đội mũ rộng vành khi ra ngoài trời và sử dụng kem chống nắng thường xuyên để ngăn tác hại của ánh nắng mặt trời đối với da.
Trần Minh Tr., 26 tuổi, An Nhơn Bình Định, 0935….
Hỏi: Chế độ ăn trên bệnh nhân đang mắc bệnh vảy nến là gì, xin các bác sĩ cho em biết để hướng dẫn cho ba em tốt hơn? Ba em đã mắc bệnh vảy nên trên 15 năm qua, Em rất cảm ơn!
Trả lời:
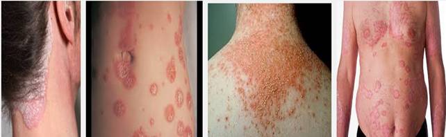
Bệnh vẩy nến là bệnh lý về da mạn tính, có tính chu kỳ và có thể gặp ở mọi lứa tuổi. Bệnh thường ít gây đau đớn nhưng lại gây ngứa ngáy, khó chịu, đặc biệt vẩy nến vùng da đầu là hay gặp hơn cả. Bệnh tiến triển từng đợt và có thể dai dẳng suốt đời. Đôi khi người bệnh cũng nên chấp nhận sống chung với vẩy nến, một bệnh tương đối lành tính, tuy khó chữa dứt điểm. Chế độ ăn hợp lý có hiệu quả giảm nhẹ các dấu hiệu bệnh.
Hiện nay, khoa học vẫn chưa xác định được nguyên nhân chính gây bệnh. Thời gian gần đây, di truyền học đã xác định được bệnh vẩy nến có tính cơ địa di truyền và cơ chế tự miễn dịch. Tuy nhiên, cũng có nhiều tác động khác có thể sinh bệnh đó là các yếu tố như stress, nghiện bia, rượu, thuốc lá, nhiễm khuẩn, rối loạn nội tiết, rối loạn chuyển hóa, khí hậu, môi trường...

Biểu hiện thường thấy nhất của bệnh vẩy nến là những mảng đỏ có kích thước khác nhau. Các mảng này trông khác hẳn, hơi gồ lên, cứng cộm và có ranh giới rất rõ với vùng da bên cạnh. Ban đầu, vẩy thường khởi phát bằng những thương tổn vùng thượng bì ở da đầu. Khi giới hạn của các mảng chưa rõ ràng, bệnh thường dễ bị nhầm với chàm da mỡ, nấm da. Những thương tổn này thường có khuynh hướng lan ra phía trước, ở trán, tạo thành hình móng ngựa. Trường hợp nặng, những mảng đỏ có thể lan rộng khắp da đầu và xuất hiện vẩy da. Tóc ở những vị trí đó vẫn mọc xuyên qua lớp vẩy da bình thường. Tuy nhiên, khi cạo, gãi thì người bệnh vẩy nến da đầu sẽ thấy những vẩy bạc bong ra dễ dàng như gầu hoặc sáp nến.
Nếu có một chế độ ăn uống hợp lý, đôi khi tác dụng còn hiệu quả hơn cả sử dụng các loại thuốc điều trị vảy nến. Một số thực phẩm người bệnh nên ănnhư cá biển (có nhiều omega-3 như cá hồi, cá thu, cá saba), omega- 3 có tác dụng ức chế các chất gây viêm trong bệnh vẩy nến như leucotriene 3 và 5. Vì vậy, nếu dùng 150g cá biển mỗi ngày trong một thời gian dài sẽ rất hiệu quả trong chữa trị. Rau quả có nhiều beta-caroten như trái bơ, cà rốt và đặc biệt là xoài có chứa nhiều beta-caroten có khả năng hữu hiệu để bảo vệ cấu trúc da. Vừng đen có chứa nhiều dầu béo có cấu trúc tương tự omega-3, vừa cung cấp sinh tố E cần thiết cho lớp sợi liên kết dưới da. Vì vậy, các món ăn chế biến từ vừng đen rất tốt cho người mắc bệnh vẩy nến.

Bông cải xanh với acid folic luôn có vai trò quan trọng trong tiến trình tổng hợp kháng thể. Bông cải xanh được bổ sung trong bữa ăn hàng ngày sẽ cung cấp lượng acid folic thiết yếu cho da đầu.
Ngao sò có chất kém là khoáng chất vô cùng cần thiết cho da và tăng cường sức đề kháng cho cơ thể. Trong đó, ngao sò lại cung cấp lượng kẽm rất lớn. Nếu như không bị dị ứng hải sản thì đây là một nguồn dinh dưỡng tốt cho người bệnh vẩy nến.
Bên cạnh đó, một số thực phẩm người bệnh nên tránh như các món ăn lạ dễ gây dị ứng nhất là món đồ ăn nhiều protein và tanh: tôm, cua, ghẹ, măng, cà, lạp xưởng , xúc xích, gà, đồ hộp, trứng,... Đồ uống có chất kích thích: rược, bia, cà phê, trà, thuốc lá, tiêu, ớt... Đồ ăn có chứa nhiều chất béo: đường, sữa, mỡ, bơ, chocolate, đồ ngọt tổng hợp. Ngoài ra, người bệnh vẩy nến phải chú ý: hạn chế tiếp xúc với hóa chất như xà phòng, dầu gội, sữa tắm,... Thận trọng khi sử dụng mỹ phẩm: nước hoa, son phấn, kem dưỡng da, thuốc nhuộm tóc.
Dành thời gian mỗi buổi sáng sớm phơi nắng khoảng 15 phút sẽ rất tốt cho người bệnh. Tuy nhiên, không nên ở quá lâu dưới ánh nắng mặt trời; không được tắm nước nóng; vùng da thương tổn và không được gãi, kỳ cọ, chà xát để tránh lan rộng thêm.
Huỳnh Ban A. 47 tuổi, TP. Pleiku, Gia Lai, lalan2612@....
Hỏi:Các bác sĩ ơi, em là một người làm trong ngành y nhưng thuộc về khoa chăm sóc da chứ không phải là bác sĩ nội khoa. Vợ em mắc chứng đau nửa đầu, đã nhiều năm nay và dường như điều trị không thuyên giảm. Em không biết hết các triệu chứng gây đau nửa đầu và nguyên nhân vì sao và cách chữa trị như thế nào cho hợp lý? Phòng bệnh cho thế nào hiệu quả các đợt sau. Xin cảm ơn các bác sĩ nếu các bác dánh thời gian giúp em?
Trả lời:
Cảm ơn một đồng nghiệp đã đặt câu hỏi này. Đau nửa đầu là một bệnh lý thuộc loại đau đầu do căn nguyên mạch, có đặc điểm cơ bản là đau nửa đầu từng cơn, gặp nhiều ở tuổi thanh thiếu niên, ở nữ gặp nhiều hơn nam và đa số có yếu tố gia đình. Tiếng Anh là migraine thực chất được mượn từ tiếng Pháp cổ là migraigne (lúc đầu là "megrim", nhưng đến năm 1777 được thay đổi theo tiếng Pháp hiện đại). Từ tiếng Pháp đó được tạo thành từ cách phát âm thông dụng của từ Latin hemicrania, bắt nguồn từ tiếng Hy Lạp hemikrania, theo gốc tiếng Hy Lạp nghĩa là "nửa" và "sọ".
Đau nửa đầu điển hình thường chỉ ảnh hưởng một bên đầu, nhức và kéo dài từ 4 đến 72 giờ đồng hồ; với những triệu chứng buồn nôn, nôn mửa, sợ ánh sáng và sợ âm thanh. Khoảng 1/3 số người bị chứng đau nửa đầu cảm nhận được tiền triệu về hình ảnh, mùi vị, hoặc một cảm nhận giác quan không bình thường báo hiệu cơn đau nửa đầu sắp diễn ra.
Điều trị ban đầu là thuốc giảm đau để trị đau đầu, thuốc chống nôn nếu bị buồn nôn và tránh các yếu tố gây đau đầu. Nguyên nhân của đau nửa đầu chưa rõ ràng. Giả thuyết được chấp nhận phổ biến nhất là bệnh lý của hệ thống thần kinh sử dụng chất truyền đạt thần kinh serotonin. Có một số loại đau nửa đầu khác nhau, một số bắt nguồn từ thân não (với sự rối loạn vận chuyển ion canxi và kali) và một số là do di truyền. Nghiên cứu các cặp song sinh cho thấy 60-65% có sự ảnh hưởng của di truyền trong xu hướng phát triển bệnh đau nửa đầu. Ngoài ra, thay đổi nồng độ nội tiết tố cũng có liên quan đến đau nửa đầu: 75% bệnh nhân người lớn là phụ nữ, mặc dù tỷ lệ này ngang nhau đối với trẻ em nam và nữ tiền dậy thì; đau nửa đầu có xu hướng biến mất khi đang mang thai, nhưng một số phụ nữ lại bị đau nửa đầu nhiều hơn khi mang thai.

Dịch tễ học
Đau nửa đầu là một bệnh rất phổ biến, ảnh hưởng 12-28% dân số ở bất cứ một giai đoạn nào trong cuộc sống. Tuy nhiên, con số này - tỉ lệ bệnh trong cả cuộc đời - không cho thấy một bức tranh rõ ràng về số người đang bị bệnh tại một thời điểm nhất định nào đó. Vì thế, gánh nặng bệnh đau nửa đầu thường được đánh giá dựa trên tỉ lệ bệnh trong một năm - là số bệnh nhân có nhiều hơn 1 cơn đau trong năm trước. Con số thứ ba giúp làm rõ bức tranh này là tỉ lệ mắc mới - là số cơn đau xuất hiện lần đầu tiên ở một lứa tuổi nhất định và giúp đánh giá diễn biến bệnh tăng hay giảm theo thời gian như thế nào.
Dựa trên các kết quả của một số nghiên cứu, tỉ lệ bệnh trong một năm là khoảng từ 6-15% ở đàn ông trưởng thành và từ 14-35% ở phụ nữ trưởng thành. Con số này thay đổi theo lứa tuổi rất nhiều: khoảng 4-5% trẻ em dưới 12 tuổi bị đau nửa đầu, không có sự khác biệt nhiều lắm giữa con gái và con trai. Tỉ lệ mắc mới tăng rất nhanh ở con gái sau khi dậy thì và tiếp tục tăng khi trưởng thành. Đến khi bắt đầu độ tuổi trung niên, khoảng 25% phụ nữ đã từng bị đau nửa đầu ít nhất 1 lần một năm, so với tỉ lệ <10% ở nam giới. Sau khi mãn kinh, các cơn đau ở phụ nữ giảm đáng kể, và cho đến độ tuổi trên 70 thì số lượng bệnh nhân nam và nữ lại xấp xỉ nhau, với tỉ lệ bệnh trở lại khoảng 5%.
Ở mọi lứa tuổi, đau nửa đầu không có tiền triệu phổ biến hơn có tiền triệu, với tỉ lệ trong khoảng từ 1.5:1 đến 2:1. Các số liệu về tỉ lệ mắc mới cho thấy các cơn đau ở phụ nữ trong độ tuổi sinh đẻ nhiều hơn chủ yếu là các cơn đau nửa đầu không có tiền triệu. Vì thế ở lứa tuổi tiền dậy thì và sau mãn kinh, đau nửa đầu có tiền triệu có phần phổ biến hơn lứa tuổi từ 15-50. Có mối liên hệ mật thiết giữa tuổi, giới tính và các loại đau nửa đầu.
Sự khác nhau về tỉ lệ bệnh giữa các vùng địa lý khác nhau không thực sự đáng kể. Các nghiên cứu cho thấy ở châu Á và Nam Mỹ, tỉ lệ bệnh tương đối thấp, nhưng cũng không vượt ra ngoài khoảng giá trị của châu Âu và Bắc Mỹ. Tỉ lệ mắc mới của bệnh đau nửa đầu có liên quan đến tỉ lệ mắc bệnh động kinh trong các gia đình, tỉ lệ đau nửa đầu cao gấp đôi ở những người có người thân bị động kinh, và càng phổ biến hơn ở những bệnh nhân động kinh.

Hiệp hội Quốc tế về bệnh đau đầu (IHS) đã đưa ra hướng dẫn phân loại và chẩn đoán bệnh đau nửa đầu trong cuốn "Phân loại chuẩn quốc tế các rối loạn đau đầu, ICHD-2 cho biết có bảy loại đau nửa đầu (trong đó một số loại được phân loại nhỏ hơn):
-Đau nửa đầu không có tiền triệu, hay đau nửa đầu loại thường, là các trường hợp đau nửa đầu không đi kèm tiền triệu (thay đổi cảm giác thị giác);
-Đau nửa đầu có tiền triệu là các trường hợp đau nửa đầu đi kèm tiền triệu. Một số ít ca có tiền triệu không bị đau đầu, hay có đau đầu nhưng không phải đau nửa đầu. Có hai nhóm khác là đau nửa đầu ảnh hưởng bán thân di truyền và đau nửa đầu ảnh hưởng bán thân không di truyền, trong đó bệnh nhân bị đau nửa đầu có tiền triệu đi kèm sự giảm khả năng vận động. Nếu hai người có họ hàng mật thiết cùng bị thì được coi là "di truyền", nếu không thì được coi là "không di truyền". Một nhóm khác là "đau nửa đầu liên quan đến động mạch nền", trong đó đau đầu và tiền triệu đi kèm với hiện tượng khó nói, chóng mặt, ù tai, và một số triệu chứng có liên quan đến thân não, nhưng không bị giảm khả năng vận động;
-Hội chứng định kỳ ở trẻ em thường là tiền thân của đau nửa đầu bao gồm nôn mửa theo chu kỳ (thỉnh thoảng có giai đoạn bị nôn mửa nhiều), đau bụng liên quan đến đau nửa đầu (đau bụng, thường kèm với buồn nôn) và chóng mặt cực điểm lành tính ở trẻ em (thỉnh thoảng chóng mặt);
-Đau nửa đầu võng mạc liên quan đến đau nửa đầu đi kèm rối loạn thị giác hoặc thậm chí không nhìn thấy gì ở một bên mắt;
Biến chứng đau nửa đầu khi đau nửa đầu và tiền triệu kèo dài bất thường hoặc xảy ra nhiều bất thường, hoặc đi kèm co giật hay tổn thương não. Khả năng đau nửa đầu khi các triệu chứng có một số đặc điểm của đau nửa đầu nhưng chưa đủ bằng chứng để kết luận là đau nửa đầu một cách chắc chắn.

Chẩn đoán
Bệnh đau nửa đầu chưa được chẩn đoán đầy đủ và còn bị chẩn đoán sai. Việc chẩn đoán đau nửa đầu không đi kèm tiền triệu có thể được thực hiện dựa theo tiêu chuẩn "5,4,3,2,1" của Hiệp hội Quốc tế về Bệnh đau đầu:
-Nhiều hơn 5 cơn đau;
-Kéo dài 4 giờ đến 3 ngày;
-Có nhiều hơn 2 biểu hiện sau - ảnh hưởng một bên, có đặc tính co bóp, đau từ trung bình đến nặng, bị nặng thêm nếu hoạt động thể chất hoặc có xu hướng tránh hoạt động thể chất;
-Có nhiều hơn 1 triệu chứng đi kèm sau (buồn nôn và/hoặc nôn mửa, chứng sợ ánh sáng, chứng sợ âm thanh;
-Đối với đau nửa đầu có tiền triệu, chỉ cần 2 cơn đau là đủ để kết luận bệnh.
Nếu có 4 trong 5 tiêu chuẩn trên nghĩa là tỷ lệ đúng dương tính để chẩn đoán đau nửa đầu là 24. Dựa vào sự mất khả năng cảm giác, buồn nôn và nhạy cảm, có thể chẩn đoán đau nửa đầu với:
-Độ nhạy là 81%;
-Độ đặc hiệu là 75%;
Đau nửa đầu cần được phân biệt với các nguyên nhân gây đau đầu khác như Đau đầu cụm. Đó là kiểu đau đầu một bên rất nặng cảm giác như bị đâm. Thời gian một cơn đau thường là 15 phút đến 3 tiếng. Bắt đầu của một cơn đau thường xảy ra rất nhanh và đa số là không có dấu hiệu báo trước điển hình như đau nửa đầu.

Dấu hiệu và triệu chứng
Những dấu hiệu và triệu chứng thường khác nhau đối với mỗi bệnh nhân. Vì thế cảm giác của bệnh nhân trước, trong và sau mỗi cơn đau thường không được xác định chính xác. Có bốn giai đoạn phổ biến sau đây trong một cơn đau nửa đầu, nhưng không phải tất cả bệnh nhân đều trải qua. Ngoài ra, các giai đoạn và các triệu chứng trong từng giai đoạn cũng có thể khác nhau trong từng lần đau ở cùng một bệnh nhân:
1.Giai đoạn Triệu chứng sớm, có thể xảy ra vài giờ hoặc vài ngày trước khi bị đau đầu.
2.Giai đoạn Tiền triệu, xảy ra ngay trước cơn đau.
3.Giai đoạn đau.
4.Giai đoạn sau cơn đau.
Giai đoạn triệu chứng sớm
Các triệu chứng sớm xảy ra ở 40-60% bệnh nhân đau nửa đầu. Giai đoạn bao gồm thay đổi tính khí, ngứa ngáy, trầm cảm hoặc tâm trạng phởn phơ, mệt mỏi, ngáp, ngủ rất nhiều, thèm ăn một món gì đó (ví dụ như sô cô la), căng cơ (nhất là cơ cổ), táo bón hoặc tiêu chảy, tiểu nhiều hơn và các triệu chứng về phủ tạng. Những triệu chứng này xảy ra trước cơn đau vài giờ hoặc vài ngày và bệnh nhân cũng như người nhà có thể dựa vào kinh nghiệm để dự đoán trước cơn đau.
Giai đoạn tiền triệu
Đối với 20-30% bệnh nhân đau nửa đầu có kèm tiền triệu, hiện tượng này là một hiện tượng thần kinh tập trung xảy ra trước hoặc trong một cơn đau đầu. Chúng xuất hiện dần dần từ 5-20 phút và thường kéo dài không quá 60 phút. Giai đoạn đau đầu thường xảy ra trong vòng 60 phút sau giai đoạn tiền triệu, nhưng đôi khi là vài giờ sau và thậm chí có thể không có cơn đau đầu. Triệu chứng của tiền triệu trong đau nửa đầu có thể là về hình ảnh, cảm giác hoặc vận động trong tự nhiên.
Tiền triệu về thị giác là hiện tượng thần kinh phổ biến nhất. Đó là sự thay đổi về hình ảnh bao gồm những tia sáng lóe không định hình màu đen trắng hoặc thỉnh thoảng là những tia sáng có màu (chứng lóe sáng) hoặc sự hình thành của những đường ziczac chói mắt (ám điểm chói lóa; thường được sắp xếp như lỗ châu mai của lâu đài, vì thế còn có tên là "hình ảnh pháo đài". Một số bệnh nhân mô tả hình ảnh mờ ảo giống như đang nhìn qua một lớp kính mờ hoặc dày, hoặc, trong một số trường hợp là hình ảnh đường hầm và mất hình ảnh một bên. Tiền triệu ở thần kinh xúc giác trong đau nửa đầu bao gồm rối loạn xúc giác ở tay và miệng, cảm giác kim châm ở bàn tay và cánh tay cũng như khu vực mũi miệng cùng bên. Rối loạn xúc giác lan tỏa lên cánh tay rồi lên vùng mặt, môi và lưỡi.

Những triệu chứng khác trong giai đoạn tiền triệu bao gồm ảo giác thính giác và khứu giác, chứng mất khả năng hiểu ngôn ngữ tạm thời, chóng mặt, cảm giác kiến bò và tê ở mặt và đầu chi, và xúc giác quá nhạy cảm.
Giai đoạn đau đầu
Kiểu đau nửa đầu điển hình thường là một bên, đau nhói, mức độ từ trung bình đến nặng và có thể bị nặng hơn khi hoạt động thể chất. Nhưng không phải lúc nào cũng có tất cả các biểu hiện đó. Cơn đau có thể ở cả hai bên khi mới bắt đầu hoặc bắt đầu ở một bên và dần chuyển sang cả hai bên, và thường đổi bên mỗi lần đau. Bắt đầu cơn đau thường từ từ. Cơn đau lên đến đỉnh điểm rồi lắng xuống và thường kéo dài từ 4 đến 72 giờ ở người lớn và 1 đến 48 giờ ở trẻ em. Tần suất các cơn đau rất khác nhau, từ những trường hợp chỉ bị vài lần trong đời cho đến những người bị vài lần một tuần, và trung bình bệnh nhân bị từ một đến ba lần một tháng. Mức độ đau cũng rất khác nhau tùy từng lần đau.

Cơn đau nửa đầu thường đi kèm với các biểu hiện khác. Buồn nôn xảy ra ở khoảng 90% bệnh nhân, và nôn mửa xảy ra ở khoảng 1/3 số bệnh nhân. Rất nhiều bệnh nhân bị quá nhạy cảm như bị chứng sợ ánh sáng, chứng sợ âm thanh, chứng sợ mùi và có xu hướng tìm khu vực tối và yên tĩnh. Cảm giác hình ảnh bị mờ, bị ngạt mũi, tiêu chảy, tiểu nhiều, tái xanh, hoặc đổ mồ hôi cũng có thể thấy trong giai đoạn đau đầu. Có trường hợp bị phù cục bộ ở da đầu và mặt, da đầu nhạy cảm, tĩnh mạch hoặc động mạch nổi lên ở vùng thái dương, bị căng cứng hoặc bị mềm ở vùng cổ. Mất khả năng tập trung và thay đổi cảm xúc cũng phổ biến. Đầu chi thường cảm thấy lạnh và ẩm ướt. Cũng có thể bị chóng mặt; trong một dạng đau nửa đầu điển hình gọi là đau nửa đầu tiền đình. Bị hoa mắt, chứ không phải chóng mặt thực sự và cảm giác choáng váng cũng có thể diễn ra.
Giai đoạn sau cơn đau
Bệnh nhân có thể cảm thấy mệt mỏi hoặc chán nản và đau đầu, nhận thức khó khăn, các triệu chứng về hệ tiêu hóa, thay đổi tính khí, và thấy yếu ớt. Một số người lại cảm thấy khoan khoái, tỉnh táo lạ thường sau cơn đau, trong khi đó một số lại cảm thấy trầm cảm và phiền muộn. Thường thì một số triệu chứng nhỏ trong giai đoạn đau đầu vẫn tiếp tục, như chán ăn, sợ ánh sáng, và hoa mắt. Đối với một số bệnh nhân, ngủ từ 5-6 tiếng có thể làm giảm cơn đau, nhưng đau đầu nhẹ vẫn có thể xảy ra khi người bệnh đứng dậy hoặc ngồi xuống quá nhanh. Những triệu chứng này có thể biến mất sau một buổi tối ngủ ngon, mặc dù không phải lúc nào cũng thế. Một số người có triệu chứng và sự hồi phục khác với người khác.
Yếu tố kích hoạt cơn đau
Yếu tố kích hoạt cơn đau nửa đầu là bất kỳ yếu tố nào làm dẫn đến sự phát triển một cơn đau nửa đầu cấp tính. Các yếu tố kích hoạt có thể được chia thành các nhóm về hành vi, môi trường, yếu tố truyền nhiễm, thức ăn, hóa chất, hoặc hoóc môn. Trong ngôn ngữ ngành y, các yếu tố này còn được gọi là "yếu tố làm lắng đọng". Danh sách các yếu tố kích hoạt cơn đau nửa đầu như sau:
-Dị ứng;
-Ánh sáng mạnh, âm thanh lớn, hoặc một số loại mùi hoặc nước hoa nào đó;
-Stress về thể chất hoặc tinh thần;
-Thay đổi về giấc ngủ;
-Hút thuốc lá hoặc ngửi mùi thuốc lá;
-Bỏ bữa;
-Sử dụng đồ uống có cồn;
-Thay đổi chu kỳ kinh nguyệt, dùng thuốc tránh thai, thay đổi hormone trong tiền mãn kinh;
-Đau đầu căng thẳng;
-Sử dụng thức ăn có chứa tyramine (rượu vang đỏ, pho mát lâu ngày, cá xông khói, gan gà, quả vả, và một số loại đậu), natri glutamat hoặc muối nitrat (như trong thịt muối, xúc xích hoặc xúc xích salami);
-Các loại thức ăn khác như sô cô la, các loại hạt, bơ lạc, quả bơ, chuối, các loại quả họ cam quýt, hành, các sản phẩm từ sữa, thức ăn muối hoặc lên men.

Đôi khi đau nửa đầu xuất hiện mà không có 1 "lý do" nào cả. Lý thuyết về yếu tố kích hoạt coi rằng việc tiếp cận với những yếu tố trong môi trường là tiền đề, hay kích hoạt cơn đau. Bệnh nhân đau nửa đầu từ lâu đã được khuyến cáo nên tự tìm ra những yếu tố kích hoạt đối với bản thân bằng cách tìm những mối liên quan giữa cơn đau với các yếu tố khác nhau và làm "nhật ký đau đầu" để ghi lại việc ăn uống vào thời điểm bị đau để tìm những mối tương quan để tránh ăn các món gây ra cơn đau.
Cũng cần nói rằng một số yếu tố kích hoạt mang tính chất định tính, ví dụ như một ít sô cô la đen có thể không gây đau nửa đầu nhưng nửa phong sô cô la lại gây đau đối với một người bệnh. Ngoài ra, việc tiếp cận với nhiều hơn một yếu tố cùng một lúc cũng làm người bệnh dễ bị đau hơn là chỉ có một yếu tố tách biệt. Ví dụ như ăn và uống một số đồ ăn thức uống gây đau đầu trong một ngày nóng ẩm, trong khi đang cảm thấy stress và thiếu ngủ sẽ dễ dẫn đến đau nửa đầu, nhưng nếu chỉ ăn một thức ăn gây đau, trong một ngày mát trời, sau một đêm ngủ ngon và không bị stress có thể không gây đau đầu. Vì vậy, có thể khó tránh bị đau nửa đầu, nhưng nếu ghi lại nhật ký đau đầu chính xác và thay đổi lối sống phù hợp thì có thể làm cuộc sống của người bệnh tốt đẹp hơn. Một số yếu tố nói chung là không thể tránh khỏi, ví dụ như thời tiết hoặc cảm xúc, nhưng bằng cách hạn chế những yếu tố có thể tránh được, những yếu tố không tránh được còn lại sẽ có ảnh hưởng tới người bệnh ít hơn.
Rất nhiều người bệnh đã giảm số lần đau nhờ xác định và tránh được những loại thức ăn có khả năng kích hoạt cơn đau. Tuy nhiên cần có những nghiên cứu rõ ràng hơn về điều này. Gluten, ở một số bệnh nhân, đau nửa đầu giảm hoặc biến mất hẳn khi loại trừ gluten ra khỏi khẩu phần ăn. Đối với những người bị bệnh celiac hoặc các dạng bệnh dị ứng gluten khác, đau nửa đầu có thể là triệu chứng khi cơ thể không dung nạp gluten. Một nghiên cứu cho thấy những người bị đau nửa đầu bị bệnh celiac nhiều hơn gấp mười lần cộng đồng nói chung, và khẩu phần ăn không có gluten có thể làm giảm hoặc loại bỏ hẳn bệnh đau nửa đầu ở những bệnh nhân đó. Một nghiên cứu khác trên 10 bệnh nhân có tiền sử đau đầu kinh niên và ngày càng bị nặng thêm hoặc kháng lại mọi phương pháp điều trị thì thấy là cả 10 người đều dị ứng gluten. Hình ảnh chụp cộng hưởng từ cho thấy ở mỗi người đều bị viêm hệ thần kinh trung ương do phản ứng với gluten. 7/9 người trong số này khi thực hiện khẩu phần ăn không có gluten đều khỏi đau đầu hẳn.
Hoặc aspartame, mặc dù một số giả thuyết cho rằng aspartame kích hoạt cơn đau nửa đầu và có một số bằng chứng nhỏ, nhưng vẫn chưa được y học chứng minh. MSG natri glutamat hay MSG được ghi nhận là một yếu tố phổ biến gây đau nửa đầu (12%). Trong một thử nghiệm sử dụng giả dược có đối chứng, natri glutamat (MSG) với liều lượng lớn (2.5 gram) ăn khi dạ dày trống rỗng có liên quan tới các triệu chứng xấu bao gồm đau đầu nhiều hơn nhóm dùng giả dược. Nhưng một thử nghiệm lâm sàng khác lại không tìm ra sự khác biệt nào khi đưa thêm 3.5g MSG vào thức ăn.
Tyramine - những loại thức ăn nào ăn được, những loại cần chú ý khi ăn và những loại cần tránh. Tuy nhiên, một bài tổng hợp nghiên cứu vào năm 2003 đã kết luận rằng không có bằng chứng khoa học nào về tác động của tyramine đối với bệnh đau nửa đầu.

Các yếu tố liên quan đến thức ăn khác
Một bài tổng hợp nghiên cứu năm 2005 cho thấy những thông tin có được hiện nay về các yếu tố kích hoạt đau nửa đầu đa phần dựa vào đánh giá chủ quan của bệnh nhân. Một số giả thuyết khi ngờ các yếu tố thức ăn gây đau nửa đầu, song một số khác cho rằng các yếu tố thức ăn chưa được chứng minh là có thể kích hoạt cơn đau nửa đầu.
Các tác giả tổng hợp rằng việc cai nghiện đồ uống có cồn và cafein, và bỏ bữa ăn là những yếu tố kích hoạt cơn đau nửa đầu nhiều nhất có liên quan đến ăn uống, rằng việc mất nước cũng cần được chú ý hơn, và rằng một số bệnh nhân có dị ứng với rượu vang đỏ. Có rất ít và hầu như không có bằng chứng cho thấy sự liên quan giữa đau nửa đầu với các yếu tố kích hoạt mà mọi người vẫn nghĩ là phổ biến như sô cô la, pho mát, histamine, tyramine, các muối nitrat hoặc nitrit. Tuy nhiên, các tác giả cũng lưu ý rằng, mặc dù việc hạn chế ăn uống không tỏ ra hiệu quả trong điều trị đau nửa đầu, bệnh nhân vẫn nên tránh các yếu tố chắc chắn gây ra đau nửa đầu.
Thời tiết
Một vài nghiên cứu thấy rằng một số cơn đau nửa đầu được kích hoạt bởi thời tiết. Một nghiên cứu cho thấy 62% đối tượng nghiên cứu cho rằng thời tiết là một yếu tố nhưng chỉ 51% nhạy cảm với sự thay đổi thời tiết. Trong số những người thực sự bị đau khi thời tiết thay đổi, các đối tượng thường chỉ ra một sự thay đổi thời tiết khác với thông tin thời tiết thực tế. Các yếu tố kích hoạt cơn đau nhiều nhất theo thứ tự như sau:
1.Nhiệt độ và độ ẩm. Độ ẩm cao đi kèm với nhiệt độ cao hoặc thấp là nguyên nhân lớn nhất.
2.Thay đổi đáng kể về thời tiết
3.Thay đổi áp suất không khí
Một nghiên cứu khác đánh giá ảnh hưởng của gió Lào đối với cơn đau nửa đầu, trong đó có nhiều bệnh nhận ghi nhận tỉ lệ bị đau tăng lên ngay trước và trong những đợt gió Lào. Số người bị đau đầu trong đợt gió Lào nhiều hơn trong những đợt gió mạnh. Có thể lý do là sự tăng cường lượng ion dương trong không khí.

Các yếu tố khác
Một nghiên cứu thấy rằng, đối với một số bệnh nhân ở Ấn Độ, gội đầu trong khi tắm cũng là một yếu tố kích hoạt cơn đau đầu. Tác động gây đau còn phụ thuộc vào việc làm tóc khô như thế nào sau khi gội. Một số loại nước hoa mạnh cũng được coi là một yếu tố kích hoạt, và bệnh nhân cũng nhạy cảm hơn đối với mùi hương do tác động của tiền triệu.
Sinh lý bệnh học
Đau nửa đầu từng được cho là rối loạn của riêng hệ thống mạch máu thôi. Nhưng hiện nay, lý thuyết về mạch máu chỉ được coi là nguyên nhân thứ cấp của rối loạn về não và một số người không tin vào lý thuyết đó nữa. Yếu tố kích hoạt có thể là một phần nguyên nhân, và cũng gây ra đa số các loại đau đầu khác.
Tác động của đau nửa đầu có thể kéo dài vài ngày sau khi cơn đau chính thức kết thúc. Nhiều bệnh nhân cảm thấy đau ở vùng bị đau nửa đầu, và một số cảm thấy ảnh hưởng đến khả năng suy nghĩ vài ngày sau cơn đau. Đau nửa đầu có thể là triệu chứng của bệnh suy giáp vì cả hai đều có thể do rối loạn khi lo lắng.
Các thụ thể sử dụng sắc tố melanopsin cũng có vai trò trong sự liên quan giữa đau nửa đầu với nhạy cảm ảnh sáng.

Lý thuyết sự phân cực
Một hiện tượng gọi là ức chế lan tỏa trên vỏ não có thể là nguyên nhân của đau nửa đầu. Trong hiện tượng ức chế lan tỏa trên vỏ não, hoạt động thần kinh bị ức chế trên một vùng vỏ não. Hiện tượng này làm giải phóng các yếu tố gây viêm dẫn đến việc kích thích gốc các dây thần kinh sọ, nhất là dây thần kinh sinh ba, là dây thần kinh truyền đạt các thông tin về cảm giác ở mặt và phần lớn đầu. Quan điểm này được củng cố bởi công nghệ chụp ảnh não, nhờ đó thấy được đau nửa đầu chủ yếu là bệnh lý của não (thuộc thần kinh) chứ không phải của mạch máu (thuộc vận mạch). Sự phân cực lan tỏa (thay đổi điện não) có thể bắt đầu 24 giờ trước cơn đau, và cơn đau bắt đầu khi diện tích não bị phân cực là lớn nhất. Một nghiên cứu của Pháp năm 2007 đã sử dụng kỹ thuật chụp cắt lớp giải phóng positron Positron Emission Tomography (PET) và phát hiện rằng vùng dưới đồi có liên quan đáng kể tới những giai đoạn sớm của cơn đau.
Lý thuyết mạch máu
Cơn đau bắt đầu khi mạch máu trong não co và dãn không thích hợp. Điều này có thể bắt đầu từ thùy chẩm, nằm phía đằng sau ở não, khi các động mạch co thắt. Dòng máu chảy bị thiếu hụt ở thùy chẩm gây ra tiền triệu ở một số bệnh nhân bởi vì vùng thị giác nằm ở thùy chẩm. Khi sự co thắt dừng lại và mạch máu dãn ra, chúng trở nên to quá. Thành mạch máu đang cứng trở nên mềm và thẩm thấu nhiều hơn làm một ít dịch thoát ra. Sự thoát dịch được cảm nhận bởi các thụ thể đau trong mạch máu ở các mô xung quanh. Để đáp ứng lại, cơ thể cung cấp cho vùng đó các hóa chất gây viêm. Mỗi lần tim đập, máu đi qua vùng nhạy cảm đó tạo ra một nhịp đau. Lý thuyết mạch máu hiện nay được coi là thứ cấp của rối loạn trong não.
Lý thuyết serotonin
Serotonin là một chất truyền đạt thần kinh, hay "hóa chất thông tin" giúp truyền thông điệp giữa các tế bào thần kinh. Nó giúp kiểm soát tình khí, cảm nhận đau, hành vi tình dục, giấc ngủ, cũng như sự co giãn mạch máu. Nồng độ serotonin thấp trong não có thể dẫn đến quá trình co giãn mạch máu và kích hoạt cơn đau nửa đầu. Các thuốc loại Triptan kích hoạt các thụ thể serotonin để dừng cơn đau nửa đầu.
Lý thuyết thần kinh
Khi một số dây thần kinh nhất định hoặc một vùng trên thân não bị kích thích, cơn đau bắt đầu. Đáp ứng lại sự kích thích, cơ thể giải phóng các hóa chất gây viêm mạch máu. Các hóa chất đó tiếp tục gây kích thích thêm các dây thần kinh và mạch máu và gây ra đau. Hoạt chất P là một trong những hoạt chất được giải phóng khi bị kích thích lúc đầu. Cảm giác đau tăng lên khi hoạt chất P giúp chuyển dấu hiệu đau lên não.
Lý thuyết tổng hợp
Cả hai ảnh hưởng của mạch máu và thần kinh gây ra đau nửa đầu;
1.stress kích hoạt những thay đổi ở não;
2.những thay đổi này làm giải phóng serotonin;
3.mạch máu co giãn;
4.các hóa chất bao gồm hoạt chất P kích thích dây thần kinh và mạch máu tạo ra phản ứng viêm thần kinh và đau;
Phòng bệnh
Các biện pháp dự phòng bệnh đau nửa đầu là một phần quan trọng trong điều trị bệnh này. Các biện pháp này có nhiều loại, bao gồm uống thuốc hay bổ sung dinh dưỡng, thay đổi lối sống như tăng cường thể dục và tránh các yếu tố kích hoạt cơn đau. Mục tiêu của biện pháp dự phòng là để giảm tần số, mức độ đau và thời gian kéo dài của những cơn đau, đồng thời tăng hiệu quả của các biện pháp cắt cơn đau. Một lý do nữa là để tránh việc đau đầu do dùng quá nhiều thuốc hay đau đầu ngược, một vấn đề khá phổ biến đối với các bệnh nhân đau nửa đâu. Người ta cho rằng hiện tượng này một phần là do dùng quá nhiều các loại thuốc giảm đau, và có thể dẫn tới đau đầu mãn tính hàng ngày.
Nhiều biện pháp dự phòng khá hiệu quả: kể cả khi dùng giả dược, 1/4 bệnh nhân thấy giảm tần số đau đầu xuống một nửa hoặc hơn và với các biện pháp thực sự thì con số này còn cao hơn nhiều. Hiện nay có nhiều loại thuốc để phòng hoặc giảm tần số, thời gian và mức độ các cơn đau nửa đầu. Chúng cũng có thể làm giảm mức độ biến chứng của bệnh. Các thuốc phổ biến hiện nay là propranolol, atenolol, metoprolol, flunarizine, sodium valproate, topiramate. Nhưng cần uống ít nhất trong vòng 3 tháng.

Điều trị
Phương pháp điều trị truyền thống tập trung vào 3 điểm: tránh yếu tố kích hoạt, điều trị triệu chứng và các loại thuốc dự phòng. Bệnh nhân đau nửa đầu thường thấy các loại thuốc dự phòng không đạt được hiệu quả 100% hoặc đôi khi không có tác dụng gì. Các loại thuốc được coi là "hiệu quả" nếu nó có thể làm giảm 50% tần số hoặc mức độ cơn đau.
Trẻ em và trẻ ở độ tuổi dậy thì được điều trị ban đầu bằng thuốc, nhưng cũng không nên xem nhẹ việc thay đổi chế độ ăn uống. Chỉ một việc đơn giản là bắt đầu làm nhật ký ăn uống để thay đổi thói quen ăn các loại thức ăn gây ra cơn đau như xúc xích, sô cô la, pho mát và kem có thể giúp loại bỏ các triệu chứng.
Đối với những bệnh nhân đau nửa đầu mãn tính, các loại thuốc làm cắt cơn đau có thể dùng để điều trị, và thường có hiệu quả hơn nếu được uống sớm vì khi cơn đau đã bắt đầu thì hiệu quả sẽ giảm. Điều trị cơn đau ngay từ đầu giúp cắt cơn trước khi nó trở nên trầm trọng hơn, và góp phần làm giảm tần số của những cơn đau sau đó.
Paracetamol hay các loại thuốc chống viêm không steroid (NSAIDs)
Điều trị bậc 1 đối với đau nửa đầu là các loại thuốc làm cắt cơn đau không cần kê đơn.
·Đối với các loại thuốc chống viêm không steroid, Một thử nghiệm ngẫu nhiên có kiểm soát đã thấy rằng naproxen có thể cắt cơn được khoảng 1/3 trường hợp, nghĩa là kém hơn hiệu quả của sumatriptan 5%;
·Paracetamol (được gọi là acetaminophen ở Bắc Mỹ) có tác dụng với hơn một nửa số bệnh nhân đau nửa đầu nhẹ và trung bình trong một thử nghiệm ngẫu nhiên có kiểm soát.
·Một loại thuốc giảm đau nhẹ kết hợp với caffein cũng có tác dụng. Trong một cơn đau nửa đầu, việc tiêu hóa ở dạ dày bị chậm lại dẫn đến cảm giác buồn nôn và giảm hấp thụ thuốc. Caffein có tác dụng làm giảm điều đó. Excedrin là một ví dụ, trong thuốc đó có sự kết hợp của aspirin với caffein. Caffein được Cơ quan FDAHoa Kỳ công nhận là một loại thuốc trị đau đầu không cần kê đơn khi được kết hợp với aspirin và paracetamol. Kể cả khi không dùng kết hợp thì caffein vẫn có tác dụng, mặc dù nói chung bệnh nhân đau nửa đầu nên hạn chế dùng caffein.
Bệnh nhân thường bắt đầu với paracetamol, aspirin, ibuprofen, và các loại thuốc giảm đau thông thường khác dành cho đau đầu căng thẳng. Các loại thuốc không cần kê đơn có thể làm giảm đau, nhưng thường không có tác dụng với nhiều người bệnh.
Cơ quan FDA Hoa Kỳ đã chứng nhận 3 sản phẩm đặc trị đau nửa đầu là: Excedrin Migraine, Advil Migraine, và Motrin Migraine Pain. Excedrin Migraine, như đã nhắc đến ở trên, là sự kết hợp giữa aspirin, paracetamol, và caffein. Cả Advil Migraine và Motrin Migraine Pain đều là thuốc chống viêm không steroid, với ibuprofen là thành phần hoạt chất duy nhất.
Thuốc giảm đau kết hợp với thuốc chống nôn
Thuốc chống nôn có thể giảm triệu chứng buồn nôn và ngăn nôn mửa, và vì thế không làm mất tác dụng của thuốc giảm đau bằng đường uống. Ngoài ra, một số thuốc chống nôn như metoclopramide là thuốc làm tăng nhu động ruột và làm tăng cường tiêu hóa trong dạ dày, vì khi đau nửa đầu, tiêu hóa trong dạ dày bị giảm sút. Ở Anh, có ba loại thuốc kết hợp giảm đau và chống nôn là: MigraMax (aspirin và metoclopramide), Migraleve (paracetamol/codeine để giảm đau, kết hợp với buclizine để chống nôn) và paracetamol/metoclopramide. Loại thuốc này càng được uống sớm khi bắt đầu đau thì càng có tác dụng nhiều hơn.
Một số bệnh nhân cũng thuyên giảm khi uống các loại thuốc kháng histamin giảm đau có tác dụng chống buồn nôn như Benadryl ở Mỹ có chứa diphenhydramine (nhưng ở Anh lại chứa một thành phần khác không có tác dụng giảm đau).
Các chất hỗ trợ Serotonin
Sumatriptan và một số chất hỗ trợ thụ thể serotonin có chọn lọc có tác dụng rất tốt cho các trường hợp đau nửa đầu nặng hoặc những người không đáp ứng với các loại thuốc chống viêm không steroid hoặc các loại thuốc không cần kê đơn. Các loại thuốc triptan là phác đồ tiếp theo trong điều trị đau nửa đầu và phù hợp với rất nhiều bệnh nhân điển hình. Chúng không hiệu quả lắm đối với những loại đau nửa đầu không điển hình hoặc rất trầm trọng, đau nửa đầu biến thái, hoặc đau nửa đầu trạng thái (liên tục).

Các chất ức chế tái hấp thu Serotonin (SSRIs) không được Cơ quan FDA Hoa Kỳ công nhận trong điều trị đau nửa đầu, nhưng được cho là hiệu quả trên lâm sàng.
Thuốc chống trầm cảm
Các loại thuốc chống trầm cảm ba vòng từ lâu đã là một phương pháp điều trị dự phòng hiệu quả cao. Tuy nhiên các loại thuốc này có thể dẫn đến một số tác dụng phụ không mong muốn như mấtngủ, tăng cường hoặc giảm sút khả năng tình dục. Các thuốc chống trầm cảm thuộc loại SSRI chưa được công nhận có hiệu quả như loại ba vòng trong điều trị dự phòng. Mặc dù không được FDA công nhận, các loại thuốc chống trầm cảm vẫn được kê đơn phổ biến trong điều trị đau nửa đầu. Ngoài loại ba vòng và SSRI, thuốc chống trầm cảm nefazodone cũng có tác dụng trong dự phòng đau nửa đầu vì có hiệu quả kháng lại thụ thể 5-HT2A và 5-HT2C. Nó có ít tác dụng phụ hơn amitriptyline, một loại thuốc chống trầm cảm ba vòng vẫn được sử dụng rộng rãi trong dự phòng đau nửa đầu. Các thuốc chống trầm cảm có lợi thế trong điều trị bệnh nhân đau nửa đầu song song với trầm cảm.
Các alkaloid trong cựa lúa mạch
Trước khi sumatriptan có mặt trên thị trường vào năm 1991, các chất chiết xuất từ cựa lúa mạch là loại thuốc uống chủ yếu dùng để cắt cơn đau. Các loại thuốc từ cựa lúa mạch có thể sử dụng để điều trị dự phòng và cắt cơn đau, tuy nhiên do giá thành tương đối cao và các tác dụng phụ tích lũy nên chúng chỉ được dùng để cắt cơn đau. Nhưng loại thuốc viên ergotamine tartrate (thường kết hợp với caffein), mặc dù có hiệu quả cao và kéo dài (hơn triptan), lại không được ưa chuộng do vấn đề về ngộ độc ergotin. Việc hấp thu thuốc ergotamine bằng đường uống khá hiệu quả trừ khi bệnh nhân bị nôn. Loại thuốc ergotamine đặt hậu môn có hỗ trợ chống nôn (hoặc viên thuốc Ergostat đặt dưới lưỡi được sản xuất cho đến khoảng năm 1992). Các loại thuốc từ cựa lúa mạch bản thân chúng cũng gây buồn nôn nên các bệnh nhân cũng được khuyên nên dùng cả thuốc chống nôn khi lần đầu sử dụng các loại thuốc đó. Các thuốc viên có tỉ lệ Ergotamine-caffein 1/100 mg cố định (như Cafergot, Ercaf,...) rẻ hơn nhiều so với triptan, và được dùng khá phổ biến ở Châu Á và Rumani (Cofedol). Chúng khá hiếm ở Hoa Kỳ. Ergotamine-caffein không thể dùng thường xuyên vào buổi tối/đêm vì caffein làm mất ngủ. Ergotamine tartrate nguyên chất có hiệu quả cao cho các cơn đau vào buổi tối/đêm, nhưng rất hiếm hoặc không có trên thị trường Hoa Kỳ. Dihydroergotamine (DHE), bằng đường tiêm và hít, cũng có hiệu quả tương đương như ergotamine tartrate, nhưng đắt tiền hơn nhiều so với Cafergot.
Steroid
Dựa trên một phân tích tổng hợp gần đây, bổ sung một liều tiêm ven dexamethasone trong phương pháp điều trị chuẩn có khả năng giảm tái phát đau đầu tới 26%.
Các loại chất khác
Nếu các loại thuốc không cần kê đơn không có tác dụng, hoặc nếu triptan quá đắt, nhiều bác sĩ sẽ kê thuốc Fioricet hoặc Fiorinal, là sự kết hợp giữa butalbital (một barbiturate), paracetamol (trong Fioricet) hoặc axit acetylsalicylic (hay aspirin trong Fiorinal), và caffein. Mặc dù nguy cơ bị nghiện thấp, sử dụng butalbital hàng ngày có thể tạo thành thói quen, và nó cũng có thể dẫn đến đau đầu ngược. Các thuốc chứa barbiturate thường không phổ biến ở Châu Âu.
Amidrine, Duradrin, và Midrin- là sự kết hợp của paracetamol, dichloralphenazone, và isometheptene - thường được kê đơn trong đau nửa đầu. Một số nghiên cứu gần đây cho thấy những loại thuốc này tốt hơn sumatriptan trong điều trị đau nửa đầu. Thuốc chống nôn cần phải dùng theo đường đặt hậu môn hoặc tiêm trong trường hợp bị nôn nhiều.
Gần đây người ta cũng thấy rằng các peptid liên quan đến gen calcitonin (CGRPs) có vai trò trong bệnh lý học của cơn đau nửa đầu khi triptan cũng giảm hoạt tính. Các chất kháng thụ thể CGRP như olcegepant và telcagepant đang được nghiên cứu cả trong thí nghiệm và trong lâm sàng trong điều trị đau nửa đầu.
Điều trị bằng thảo dược
Loại thảo dược bổ sung feverfew (thường được dùng để dự phòng đau nửa đầu, xem dưới đây) được tung ra thị trường bởi GelStat Corporation như một loại thuốc cắt cơn đau nửa đầu không cần kê đơn, dùng ngậm dưới lưỡi kết hợp với gừng. Một thử nghiệm mở (do GelStat trả tiền) cho thấy nó có khả năng hiệu quả trong điều trị, nhưng chưa có nghiên cứu khoa học thực sự nào chứng minh điều đó. Cannabis ngoài tác dụng dự phòng còn có khả năng làm giảm đau khi mới bắt đầu cơn đau.

Thủ thuật trên động mạch thái dương nông
Một số thủ thuật áp dụng trên động mạch thái dương nông như thắt động mạch, áp lạnh động mạch có tác dụng làm hủy các sợi giao cảm quanh động mạch này.
Các nghiên cứu so sánh
Khi so sánh hiệu quả cắt cơn đau của các loại thuốc trên, một thử nghiệm sử dụng giả dược có kiểm soát vào nằm 2004 cho thấy sử dụng liều cao axit acetylsalicylic (1000 mg), sumatriptan 50 mg và ibuprofen 400 mg có hiệu quả tương đương nhau, mặc dù sumatriptan có ưu thế hơn do cắt hoàn toàn cơn đau và các triệu chứng liên quan. Cần chú ý là 50 mg sumatriptan không phải là liều kê đơn phổ biến (100 mg), nên cũng không so sánh hết được.
Một thử nghiệm ngẫu nhiên có kiểm soát, do nhà sản xuất thuốc tài trợ, thấy rằng sự kết hợp sumatriptan 85 mg và Natri naproxen 200 mg tốt hơn là dùng riêng từng loại thuốc đó. Gần đây, người ta cũng thấy rằng sự kết hợp sumatriptan 85 mg và Natri naproxen 500 mg hiệu quả cao và dung nạp tốt trong phác đồ can thiệp sớm đối với các cơn đau cấp tính. Hiệu quả cắt cơn đáng kể của sumatriptan/naproxen có thể thấy khá sớm (sau 30), kéo dài khoảng 1 tiếng, và còn giữ được sau đó 2 đến 24 tiếng. Ở giờ thứ 2 đến 4, sumatriptan/naproxen cũng làm giảm đáng kể tỉ lệ các triệu chứng liên quan đến đau nửa đầu điển hình (buồn nôn, sợ ánh sáng, và sợ âm thanh) và không điển hình (đau cổ và tăng áp/đau ở xoang).
Tiên lượng
Nguy cơ về tim mạch
Nguy cơ đột quỵ có thể tăng từ 2 đến 3 lần đối với người bị bệnh đau nửa đầu. Những bệnh nhân trẻ tuổi và phụ nữ dùng biện pháp tránh thai tác động tới hoóc môn có khả năng nguy cơ. Cơ chế liên hệ chưa rõ ràng, nhưng các rối loạn mạch máu não mãn tính có thể liên quan. Phụ nữ có tiền triệu có nguy cơ đột quỵ gấp đôi các bệnh nhân khác không có tiền triệu và phụ nữ không bị đau nửa đầu. Bệnh nhân đau nửa đầu có nguy cơ đột quỵ do cả đông máu lẫn xuất huyết cũng như những cơn thiếu máu não tạm thời. Trong một nghiên cứu của Women's Health Initiative, tỉ lệ chết do nguyên nhân tim mạch ở bệnh nhân có tiền triệu cũng cao hơn, nhưng cần có thêm nghiên cứu để khẳng định điều này.
Khía cạnh văn hóa xã hội
Ảnh hưởng về kinh tế
Ngoài việc là nguyên nhân chính gây đau và khó chịu, đau nửa đầu mãn tính cũng làm tốn nhiều chi phí y tế và ảnh hưởng đến sức lao động. Nó là rối loạn thần kinh tốn kém nhất ở Châu Âu, hơn 27 tỉ Euro một năm. Chi phí y tế trên một bệnh nhân (chủ yếu là phí khám bệnh và cấp cứu) trung bình là $107 USD cho 6 tháng theo một nghiên cứu năm 1988, với tổng phí tổn nếu bao gồm cả ảnh hưởng tới sức lao động trung bình là $313. Nhà tuyển dụng hàng năm bị hao hụt $3,309 trên một người bệnh do đau nửa đầu ảnh hưởng đến sức lao động. Tổng chi phí y tế cho đau nửa đầu ở Hoa Kỳ lên tới một tỷ đô la vào năm 1994, thêm vào đó là hao hụt do ảnh hưởng đến sức lao động hàng năm từ 13 đến 17 tỷ đô la. Nhà tuyển dụng nên tìm hiểu về đau nửa đầu để hiểu rõ nhân viên trong môi trường làm việc. Mô hình làm việc ở các nước phương Tây từ 9 giờ sáng đến 5 giờ chiều, 5 ngày một tuần có thể không phù hợp với bệnh nhân đau nửa đầu. Nếu được giáo dục và có hiểu biết, nhà tuyển dụng có thể dàn xếp với nhân viên giải pháp có lợi cho cả hai bên.
Vì bạn là đồng nghiệp có chuyên môn, nên chúng tôi xin giới thiệu bạn một số tài liệu để tham khảo thêm:
1.Stovner LJ, Zwart JA, Hagen K, Terwindt GM, Pascual J (tháng 4 năm 2006). “Epidemiology of headache in Europe”. European Journal of Neurology 13 (4): 333-45.
2.The International Classification of Headache Disorders, 2nd Edition
3.“Etymology of migraine”. Online Etymological Dictionary. Truy cập ngày 27 tháng 5 năm 2009.
4.“NINDS Migraine Information Page”. National Institute of Neurological Disorders and Stroke, National Institutes of Health. Truy cập ngày 25 tháng 6 năm 2007.
5.“Advances in Migraine Prophylaxis: Current State of the Art and Future Prospects” (PDF). National Headache Foundation (CME monograph). Truy cập ngày 25 tháng 6 năm 2007.
6.Gallagher RM, Cutrer FM (tháng 2 năm 2002). “Migraine: diagnosis, management, and new treatment options”. The American Journal of Managed Care 8 (3 Suppl): S58–73. PMID 11859906.
7.“Guidelines for all healthcare professionals in the diagnosis and management of migraine, tension-type, cluster and medication-overuse headache, January 2007, British Association for the Study of Headache” (PDF). Truy cập ngày 25 tháng 6 năm 2007.
8.Ogilvie AD, Russell MB, Dhall P và đồng nghiệp (1998). “Altered allelic distributions of the serotonin transporter gene in migraine without aura and migraine with aura”. Cephalalgia 18 (1): 23-6.
9.Gervil M, Ulrich V, Kaprio J, Olesen J, Russell MB (1999). “The relative role of genetic and environmental factors in migraine without aura”. Neurology 53 (5): 995-9.
10.Ulrich V, Gervil M, Kyvik KO, Olesen J, Russell MB (tháng 3 năm 1999). “The inheritance of migraine with aura estimated by means of structural equation modelling”. Journal of Medical Genetics 36 (3): 225-7.
11.Lay CL, Broner SW (2009). “Migraine in women”. Neurologic Clinics 27 (2): 503-11.
12.“The International Classification of Headache Disorders: 2nd edition”. Cephalalgia. 24 Suppl 1: 9-160. 2004.
13.Lipton RB, Stewart WF, Celentano DD, Reed ML (1992). “Undiagnosed migraine headaches. A comparison of symptom-based and reported physician diagnosis”. Archives of Internal Medicine 152 (6): 1273-8.
14.Schreiber CP, Hutchinson S, Webster CJ, Ames M, Richardson MS, Powers C (tháng 9 năm 2004). “Prevalence of migraine in patients with a history of self-reported or physician-diagnosed 'sinus' headache”. Archives of Internal Medicine 164 (16): 1769-72.
15.Detsky ME, McDonald DR, Baerlocher MO, Tomlinson GA, McCrory DC, Booth CM (tháng 9 năm 2006). “Does this patient with headache have a migraine or need neuroimaging?”. JAMA 296 (10): 1274-83.
16.Lipton RB, Dodick D, Sadovsky R và đồng nghiệp (tháng 8 năm 2003). “A self-administered screener for migraine in primary care: The ID Migraine validation study”. Neurology 61 (3): 375-82.
17.Kelman L (2004). “The premonitory symptoms (prodrome): a tertiary care study of 893 migraineurs”. Headache 44 (9): 865-72.
18.Silberstein, Stephen D. (2005). Atlas Of Migraine And Other Headaches. London: Taylor & Francis Group. ISBN 1-84214-273-9.
19.Mathew, Ninan T.; Evans, Randolph W. (2005). Handbook of headache. Hagerstwon, MD: Lippincott Williams & Wilkins. ISBN 0-7817-5223-X.
20.Silberstein, Stephen D. (2002). Headache in Clinical Practice (ấn bản 2). London: Taylor & Francis Group. ISBN 1-901865-88-6.Bản mẫu:Pn
21.Kelman L (2006). “The postdrome of the acute migraine attack”. Cephalalgia 26 (2): 214–20.
22.Kantor, D (2006). “MedlinePlus Medical Encyclopedia: Migraine”.
23.Migraine Headaches: Gluten Triggers Severe Headaches in Sensitive Individuals
24.van der Kuy PH, Lohman JJ (2002). “A quantification of the placebo response in migraine prophylaxis”. Cephalalgia 22 (4): 265-70.
25.Kaniecki R, Lucas S. (2004). “Treatment of primary headache: preventive treatment of migraine”. Standards of care for headache diagnosis and treatment. Chicago: National Headache Foundation. tr. 40-52.
26.Brandes JL, Kudrow D, Stark SR (2007). “Sumatriptan-naproxen for acute treatment of migraine: a randomized trial”. JAMA 297 (13): 1443-54.
27.Lipton RB, Baggish JS, Stewart WF, Codispoti JR, Fu M (2000). “Efficacy and safety of acetaminophen in the treatment of migraine: results of a randomized, double-blind, placebo-controlled, population-based study”. Archives of Internal Medicine 160 (22): 3486-92.
28.Goldstein J, Hoffman HD, Armellino JJ và đồng nghiệp (tháng 9 năm 1999). “Treatment of severe, disabling migraine attacks in an over-the-counter population of migraine sufferers: results from three randomized, placebo-controlled studies of the combination of acetaminophen, aspirin, and caffeine”. Cephalalgia 19 (7): 684–91.
29.Center for Drug Evaluation and Research (1999). “Approval Letter, Application 20-802/S802” (PDF). U.S. Food and Drug Administration.
30.Colman I, Friedman BW, Brown MD và đồng nghiệp (tháng 6 năm 2008). “Parenteral dexamethasone for acute severe migraine headache: meta-analysis of randomised controlled trials for preventing recurrence”. BMJ 336 (7657): 1359–61.
31.Federation of American Societies for Experimental Biology [FASEB] [1995]. Analysis of adverse reactions to monosodium glutamate (MSG). Bethesda, MD: Life Sciences Research Office, FASEB.
32.Pashley, H. (2009). About Migraine Triggers.
33.Radnitz, C. L. (1990). Food-triggered migraine: a critical review. Annals of Behavioral Medicine, 12, 51-65.
34.Ravishankar, K (2006). 'Hair wash' or 'Head bath' triggering migraine - observations in 94 Indian patients". Cephalagia 26 (11): 1330–1334. ISSN 0333-1024.
35.Pearce, J.M.S. (1994). Headache. Neurological Management series. Journal of Neurology Neurosurgery and Psychiatry. 57, 134–144.
36.Mayo Clinic Staff. (2005). Migraine Headache. Truy cập ngày 14 tháng 8 năm 2005
37.Cathy Wong, ND. (2005). Migraine Elimination Diet Retrieved ngày 14 tháng 8 năm 2005
38.Treatment Articles (2005). Butterbur, Co-enzyme Q-10, Melatonin, Folic Acid
39.Buchholz, D. (2002) Heal your headache: The 1-2-3 Program, New York: Workman Publishing, ISBN 0-7611-2566-3
40.Livingstone, I. and Novak, D. (2003) Breaking the Headache Cycle, New York: Henry Holt and Co. ISBN 0-8050-7221-7
41.Izecksohn L, and Izecksohn C.. Fluids' Hypertension Syndromes, ISBN 978-85-906664-0-0.
42.Cohen JA, Beall D, Beck A, et al. Sumatriptan treatment for migraine in a health maintenenace organization: economic, humanistic, and clinical outcomes. Clin Ther 1999;21:190-205.
43.Adelman JU, Sharfman M, Johnson R, et al. Impact of oral sumatriptan on workplace productivity, health-related quality of life, healthcare use, and patient satisfaction with medication in nurses with migraine. Am J Manag Care 1996;2:1407-1416.
44.Cohen JA, Beall DG, Miller DW, Beck A, Pait G, Clements BD. Subcutaneous sumatriptan for the treatment of migraine: humanistic, economic, and clinical consequences. Fam Med 1996;28:171-177.
45.Jhingran P, Cady RK, Rubino J, Miller D, Grice RB, Gutterman DL. Improvements in health-related quality of life with sumatriptan treatment for migraine. J Med Econ 1996;42:36-42.
46.Solomon GD, Nielsen K, Miller D. The effects of sumatriptan on migraine: health-related quality of life. Med Interface 1995;June:134-141.
47.Solomon GD, Skobieranda FG, Genzen JR. Quality of life assessment among migraine patients treated with sumatriptan. Headache 1995;35:449-454.
48.Santanello NC, Polis AB, Hartmaier SL, Kramer MS, Block GA, Silberstein SD. Improvement in migrainespecific quality of life in a clinical trial of rizatriptan. Cephalalgia 1997;17:867-872.
49.Caro JJ, Getsios D. Pharmacoeconomic evidence and considerations for triptan treatment of migraine. Expert Opin Pharmacother 2002;3:237-248.
50.Lofland JH, Johnson NE, Batenhorst AS, Nash DB. Changes in resource use and outcomes for patients with migraine treated with sumatriptan: a managed care perspective. Arch Intern Med 1999;159: 857-863.
51.Cady RC, Ryan R, Jhingran P, O’Quinn S, Pait DG. Sumatriptan injection reduces productivity loss during a migraine attack. Arch Intern Med 1998;158: 1013-1018.
52.Litaker DG, Solomon GD, Genzen JR. Impact of sumatriptan on clinic utilization and costs of care in migraineurs. Headache 1996;36:538-541.
53.Greiner DL, Addy SN. Sumatriptan use in a large group-model health maintenance organization. Am J Health Syst Pharm 1996;53:633-638.
54.Lofland JH, Kim SS, Batenhorst AS, et al. Cost-effectiveness and cost-benefit of sumatriptan in patients with migraine. Mayo Clin Proc 2001;76:1093-1101.
55.Biddle AK, Shih YC, Kwong WJ. Cost-benefit analysis of sumatriptan tablets versus usual therapy for treatment of migraine. Pharmacotherapy 2000;20: 1356-1364.
56.Caro JJ, Getsios D, Raggio G, Caro G, Black L. Treatment of migraine in Canada with naratriptan: a costeffectiveness analysis. Headache 2001;41:456-464.
57.Relouzat, Raoul & Thiollet, Jean-Pierre, Vaincre la migraine, Anagramme, 2006 ISBN 2-35035046
58.Blondin, Betsy, (2008) "Migraine Expressions: A Creative Journey through Life with Migraine, WordMetro Press ISBN 0-615-20197-0
59.Edmeads J, Mackell JA. The economic impact of migraine: an analysis of direct and indirect costs. Headache 2002;42:501-509.
60.Gerth WC, Carides GW, Dasbach EJ, Visser WH, Santanello NC. The multinational impact of migraine symptoms on healthcare utilisation and work loss. Pharmacoeconomics 2001;19:197–206.
61.Hu XH, Markson LE, Lipton RB, Stewart WF, Berger ML. Burden of migraine in the United States: disability and economic costs. Arch Intern Med 1999;159:813–818.
62.Osterhaus JT, Gutterman DL, Plachetka JR. Healthcare resource and low labour costs of migraine headaches in the US. Pharmacoeconomics 1992;2:2-11.
63.Blau JN. Classical migraine: symptoms between visual aura and headache onset. Lancet 1992;340:355-6.
64.Silberstein SD: Migraine symptoms: Results of a survey of self-reported migraineurs. Headache 1995;35:387-96.
65.Silberstein SD, Saper JR, Freitag F. Migraine: Diagnosis and treatment. In: Silberstein SD, Lipton RB, Dalessio DJ, eds. Wolff's headache and other head pain. 7th ed. New York: Oxford University Press, 2001:121-237.
Chúng tôi hy vọng rằng với các thông tin đầy đủ trên sẽ giúp cho bạn và gia đình hiểu biết đầy đủ về căn bệnh thần kinh khó chịu cho vợ anh trong thời gian qua. Đồng thời các biện pháp phòng bệnh hiệu quả.