Nguyễn Thị Thúy H. 37 tuổi, TP. Cần Thơ, 0983…
Hỏi: xin chào các bác sĩ ở Viện Sốt rét KST Quy Nhơn, tôi là mẹ của một đứa bé đang mắc bệnh thoái hóa nhày, nhưng không rõ diễn tiến bệnh này sẽ đưa đứa con tôi đi tới đâu, tôi rất lo lắng vì đã đi khám nhiều bẹnh viện trong nước và cả nước ngoài rôi nhưng hình như không chữa khỏi. Nay mong nhận được sự tư vấn từ các bác sĩ của Viện. Tôi chân thành cảm ơn.
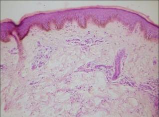
Trả lời: Trước hết, chúng tôi xin chia sẻ về nỗi lo lắng cuả chị về bệnh tình của cháu, chúng tôi xin chia se với những thông tin có được từ các bác sĩ chuyên khoa trong và ngoài nước về căn bệnh thoái hóa nhầy này để có cách xử trí tối ưu nhất. Đặc biệt, gỏi đến bạn bài viết của TS. Nguyễn Văn Thường cho biết thoái hóa nhầy là bệnh do rối loạn chuyển hóa chất nhầy ở da, có thể lan tỏa hoặc khu trú, đây là một bệnh hiếm gặp đặc trưng bởi sẩn dạng lichen do lắng đọng chất nhầy và paraprotein ở lớp trung bì. Một số bệnh nhân bị các bệnh về tuyến yên, giáp trạng, bệnh nội tiết khác cũng được cho là trực tiếp hay gián tiếp làm phát sinh bệnh thoái hóa nhầy. Có 2 loại (i) Thoái hóa nhầy nguyên phát và (ii) Thoái hóa nhầy thứ phát. Nhận biết các thể thoái hóa nhầy:
Thoái hóa nhầy thể sẩn: Trước đây được coi là có căn nguyên do thiểu năng tuyến yên, nhưng hiện nay nhiều tác giả cho rằng, bệnh có căn nguyên tự miễn, gây thoái hóa nhầy tại chỗ của các tổ chức liên kết. Bệnh sẽ nặng hơn, diễn biến phức tạp, tiên lượng xấu hơn khi có tình trạng xơ cứng do lắng đọng chất nhầy ở trung bì kết hợp với các thay đổi bất bình thường của M-globulin trong máu.
 |
Ung thư tế bào đáy thuộc thoái hóa nhầy thứ phát. |
Tổn thương cơ bản là các sẩn hình bán cầu, đường kính từ 2 - 4mm, có màu sắc của da bình thường, có thể màu trắng ngà hoặc màu hồng, mật độ chắc, tập trung thành từng đám hay thành dải, đôi khi có đối xứng. Triệu chứng cơ năng không có hoặc ngứa nhẹ. Vị trí của tổn thương hay gặp ở giữa 2 cung lông mày, ở cổ tay, cẳng tay, cổ, bìu, có khi khắp toàn thân. Các hình ảnh lâm sàng khác: Nếu khu trú ở trán làm thành gờ ngang, nếu khu trú ở giữa 2 cung lông mày làm thành gờ dọc, nếu khu trú xung quanh mắt, mồm, tai, da đầu sẽ nổi thành gờ dẫn đến mặt bị biến dạng thành bộ mặt sư tử, do vậy dễ nhầm với phong thể u.
Bệnh cũng có thể biểu hiện bằng các mảng cứng đỏ, tập trung ở môi, bàn tay, cánh tay, cẳng chân, đôi khi lan rộng và làm cho cử động của các bộ phận này gặp khó khăn. Các tổn thương ở thân mình, chi, bìu, tổn thương tạo thành các rãnh nhưng nông hơn ở mặt, cũng có thể tạo thành các u, cục nhưng thông thường nhất các tổn thương ở vị trí này là các sẩn nhỏ và các sẩn lichen, các mảng thâm nhiễm lan tỏa thành mảng lớn.
Ngoài ra còn gặp các tổn thương khác ở da: mày đay; nút dưới da; các u, cục ở trung bì, hạ bì.
-Thoái hóa nhầy thể xơ cứng lan tỏa (bệnh phù niêm cứng): Tổn thương thường kết hợp giữa sẩn và cục. Các thương tổn có ranh giới rõ, về sau trở thành các đám thâm nhiễm lan tỏa. Tổn thương có thể là đám da lớn, thậm chí toàn thân với màu sắc của tổn thương gần như da bình thường, trắng nhợt, hơi vàng hay hồng đỏ. Dấu hiệu véo da âm tính. Trong trường hợp nặng, thân mình, cổ tay, cẳng tay như một cái ống không đàn hồi, các ngón tay sưng, cử động rất khó khăn. Tình trạng xơ cứng có thể rất nặng dẫn đến co kéo, làm ảnh hưởng đến các hốc tự nhiên (mồm, mũi, mắt), làm lộn mi mắt;
-Thoái hoá nhầy nang lông: Thể này được biết đến như là rụng tóc do chất nhầy, có thể kèm theo các khối u ngoài da, đặc biệt là u lympho T. Với tổn thương là các mảng thâm nhiễm cứng, thường ở vùng đầu và cổ, tổn thương có thể đơn độc hoặc nhiều vị trí nếu ở da đầu và vùng cổ thì xuất hiện rụng tóc, râu, lông mày. Bề mặt tổn thương có thể có vảy, lỗ chân lông giãn rộng. Các sẩn nang lông có thể gặp ở tay, chân trong trường hợp tổn thương nhiều, lan rộng thường liên quan đến u lympho. Ngoài ra, có thể gặp các sẩn dạng trứng cá, khi nặn có thể có chất nhầy chảy ra, thường bệnh nhân có ngứa rất nhiều. Bệnh có thể giảm hoặc khỏi sau vài năm, có thể tái phát nhưng lành tính; cũng có một số trường hợp liên quan đến khối u lympho ác tính hay các ung thư khác, bệnh nhân thường tử vong sau đó. Các tổn thương phối hợp khác: hạn chế chức năng của phổi, bất thường về tim mạch; hội chứng dạ dày - ruột (mất nhu động thực quản); yếu cơ, viêm đa khớp; hội chứng não cấp tính; khàn giọng do phù thanh quản; mắt: đục thủy tinh thể, hở mi, lộn mi, phù gai thị.
Trên lâm sàng, chẩn đoán xác định dựa vào các sẩn chắc hình bán cầu, hoặc các mảng thâm nhiễm có màu hơi vàng, hồng hay màu sắc da bình thường. Mô bệnh học: lắng đọng chất nhầy ở trung bì. Có thể tìm thấy paraprotein trong huyết thanh.Cần phân biệt với các tổn thương khác trên da, như là:
-Lichen nitidus: Tổn thương là các sẩn, sắp xếp thành dải, thành vạch, đỉnh của sẩn lõm xuống hoặc lõm xuống thành một chấm. Các sẩn rất nhỏ, ranh giới không rõ với da lành. Các sẩn lớn thành u, cục, mảng, có khi có gờ lên và thâm nhiễm, có màu vàng nhạt hoặc màu hồng.
-Thoái hóa bột thể khu trú ở da: Các sẩn chắc hình cầu, màu xám hay hồng nhạt, tập trung chủ yếu ở mặt trước cẳng chân, cẳng tay, đôi khi xuất hiện ở thân mình, kích thước bằng đầu đinh ghim tới hạt đỗ, trên tổn thương có thể nhẵn nhưng cũng có khi đóng vảy hoặc sần sùi như mụn cơm. Cơ năng có ngứa nhiều hoặc ít, tổn thương thường đối xứng.
-Phù cứng bì: Bệnh liên quan đến suy giáp trạng, vì vậy để chẩn đoán cần phải định lượng hormon tuyến giáp trạng; xơ cứng bì: da xơ cứng, véo da âm tính, trên da có các vết giảm sắc tố kèm theo có hội chứng Raynaud, trường hợp không rõ thì dựa vào mô bệnh học; thoái hóa bột hệ thống: tổn thương da và tổn thương niêm mạc.
Bệnh hiện chưa có thuốc điều trị đặc hiệu. Điều trị tại chỗ: Dùng corticoid bôi tại chỗ hoặc tiêm nội thương tổn, kết quả hạn chế. Điều trị toàn thân bằng biện pháp dùng thuốc, chiếu tia UV, PUVA, xạ trị, lọc huyết tương. Điều trị tích cực dùng melphalan hàng tháng kết hợp với thalidomid và corticoid cho kết quả khả quan nhưng cũng nhiều biến chứng.
Nguyễn Thị K.H, 57 tuổi, TP Vinh, Nghệ An, huyentrang21@
Hỏi: xin hỏi các bác sĩ, tôi có con nhỏ vừa sinh đôi nhưng rất lo lắng về chương trình tiêm chủng của Việt Nam hiện nay do quá nhiều tái biến xảy ra trong thời gian vừa qua. Tôi muốn đưa các cháu đi tiêm nhưng lo lắng quá, không biết hiện nay ngành y tế có giải pháp gì cho an toàn khi tiêm chủng chưa. Tôi xin chân thành cảm ơn nếu nhận được câu trả lời sớm!
Trả lời: Trước hết chúng tôi xin chân thành cảm ơn bạn đã đặt câu hỏi rất thiết thực và rất thời sự hiện nay không chỉ chị mà tất cả bà mẹ và mọi gia đình, cũng như xã hội quan tâm về vấn đề này. Ngay cả Bộ Y tế cũng đã có hướng dẫn chi tiết về khám sàng lọc trước tiêm chủng, nhằm đảm bảo an toàn toàn diện cho vấn đề tiêm chủng các cháu an toàn, do vậy bạn có thể tham khảo chương trình sàng lọc trước tiêm chủng. Trong nhiều ca phản ứng sau tiêm chủng được ghi nhận là do trẻ được tiêm mang bệnh trùng hợp ngẫu nhiên mà không được phát hiện. Bộ trưởng Bộ Y tế vừa ban hành hướng dẫn chi tiết về khám sàng lọc trước tiêm chủng, đảm bảo an toàn tiêm cho trẻ.
Trước đó, khi xảy ra một loạt các phản ứng liên quan đến vắc xin Quinvaxem, nhiều trường hợp phản ứng là do trẻ mang bệnh trùng hợp ngẫu nhiên mà không được phát hiện. Như trường hợp bé 2 tuổi tử vong tại Quảng Trị sau tiêm vì bệnh lý viêm phổi. Từ đó, nhiều người lo ngại về hiệu quả thực sự của khám sàng lọc trước tiêm, việc không phát hiện các bệnh lý tiềm ẩn có thể là nguyên nhân dẫn đến những phản ứng không mong muốn sau tiêm. Trước thực trạng này, Bộ Y tế đã ban hành hướng dẫn chi tiết về khám sàng lọc trước tiêm chủng, nhằm phát hiện trường hợp bất thường cần lưu ý để quyết định cho trẻ tiêm chủng hay không tiêm chủng vắc xin. Theo đó, việc chống chỉ định tiêm, hoãn tiêm được mở rộng nhằm đảm bảo an toàn tiêm với các trường hợp:
+Các trẻ có tiền sử sốc hoặc phản ứng nặng sau tiêm chủng vắc xin lần trước như: sốt cao trên 390C kèm co giật hoặc dấu hiệu não/màng não, tím tái, khó thở;
+Trẻ có tình trạng suy chức năng các cơ quan (như suy hô hấp, suy tuần hoàn, suy tim, suy thận, suy gan, …trẻ suy giảm miễn dịch (HIV/AIDS, bệnh suy giảm miễn dịch bẩm sinh) chống chỉ định tiêm chủng các loại vắc xin sống đều phải chống chỉ định tiêm.
+Những trẻ mắc các bệnh cấp tính, đặc biệt là các bệnh nhiễm trùng;
+Trẻ đang sốt ≥ 37,5OC hoặc hạ thân nhiệt ≤ 35,5OC (đo nhiệt độ tại nách);
+Trẻ mới dùng các sản phẩm globulin miễn dịch trong vòng 3 tháng trừ trường hợp trẻ đang sử dụng globulin miễn dịch điều trị viêm gan B;
+Trẻ đang hoặc mới kết thúc liều điều trị corticoid (uống, tiêm) trong vòng 14 ngày;
+Trẻ sơ sinh có cân nặng dưới 2.000gram đều được khuyến cáo cần hoãn tiêm chủng.
Bộ Y tế yêu cầu bác sĩ, y sĩ trực tiếp thăm khám cho trẻ và ghi các thông tin của trẻ, trực tiếp đo và ghi kết quả nhiệt độ của trẻ khi không có điều dưỡng viên, hộ sinh viên. Trong quá trình khám sàng lọc trước tiêm chủng cần hỏi tiền sử và các thông tin có liên quan, đánh giá tình trạng sức khỏe hiện tại để đưa ra quyết định chống chỉ định tiêm, hoãn tiêm hay trẻ sẽ được tiêm chủng.
Bộ Y tế cũng đưa ra hướng dẫn chi tiết với những trường hợp trẻ tiêm phòng tại bệnh viện, theo đó, toàn bộ nội dung khám sàng lọc (như bảng kiểm) và y lệnh chỉ định tiêm phải được ghi trong hồ sơ bệnh án. Với trường hợp bệnh viện không sử dụng bệnh án riêng cho trẻ sơ sinh: Toàn bộ nội dung khám sàng lọc được ghi theo bảng kiểm. Bảng kiểm được lưu trong hồ sơ bệnh án.
Hy vọng với những thông tin như trên ắt sẽ làm cho bạn cũng như nhiều gia đình khác tham khảo và an tâm khi đưa con em mình đi tiêm ngứa vaccine một cách hiệu quả và an toàn nhất.
Huynh An T, 54 tuổi TX An Nhơn, tỉnh Bình Định, anhuyen@yahoo....
Hỏi: Xin các giáo sư cho tôi biết các điều gì giúp cho chúng tôi cảnh báo là mình có thể đang bị ung thư, tôi có thói quen hút thuốc lá rất nhiều đã tập kiêng nhiều lần nhưng không dứt được, tôi ngại ung thư phổi không biết có đến với tôi không vì bệnh trời kêu ai nấy da. Do vậy, tôi xin các bác cho tôi biết các dấu hiệu cảnh báo ung thư nói chung và ung thư phổi nói riêng. Tôi và gia đình rất cảm ơn!
Trả lời: Cảm ơn bạn đã tin tưởng và đặt câu hỏi với ban biên tập chúng tôi về câu hỏi này. Liên quan đến câu hỏi, chúng tôi xin trả lời bạn vào hai phần là các dấu hiệu cảnh báo chúng khi có ung thư và các dấu hiệu cảnh báo bệnh ung thư phế quản phổi (đặc biệt trên một người hút thuốc lá như bạn). Trước hết, chúng tôi xin đưa ra cho bạn 15 dấu hiệu cảnh báo của bệnh ung thư nói chung (trích từ 15 warning signs of cancer-Radoslaw Pilarski-Cancer Awareness Center):
1.Sút cân nhanh (đối với những người không theo chế đô ăn kiêng), đầy hơi, khó chịu, rối loạn đường tiêu hóa, biếng ăn, tiêu chảy tái phát đi lại nhiều lần, táo bón - là những triệu chứng thường nhất trong trường hợp ung thư phổi, da dày, thận và đại tràng. Nếu có kèm theo cảm giác bị suy yếu thì có thể là dấu hiệu mất máu hoặc thiếu các nguyên tố cẩn cho sự tạo máu;
2.Đau không rõ nguyên nhân - đau dạ dày kéo dài không khỏi có thể là dấu hiệu ung thư đại tràng, đau lưng dưới có thề là dấu hiệu ung thư thận, đau ngực có thể là do ung thư phổi. Đau xương có thể là do di căn từ một vị trí ung thư khác gần đó;
3.Ho ra máu, khan gịọng kéo dài, ho không dứt hoặc tiếng ho đổi khác - có thể là do ung thư phổi hay thanh quản;
4.Mụn cóc hay nốt ruồi đổi màu, lở loét và ngứa, lỡ loét nơi vết thương hở, lâu lành, da lồi hay phồng như nốt phỏng có thể là các dấu hiệu của ung thư da;
5.Đi tiểu quá nhiều, bí tiểu, tiểu rát, tiều khó và tiểu lâu, đau lưng cũng như đau lưng có thề là các dấu hiệu cùa ung thư tiền liệt tuyến và hệ tiết niệu;
6.Đau đầu, chóng mặt, buồn nôn, thị giác bị rối loạn, thính giác có trở ngại, rối loạn tâm thần và mất điều khiển tư thế,…. có thể là do ung thư não hoặc một phần trong hệ thần kinh;
7.Nuốt khó khăn có thể là một triệu chứng của ung thư hầu họng, thanh quản, thực quản và dạ dày;
8.Cảm thấy đầy hơi, tức vùng thượng vị, đau âm ỉ và rối loạn tiêu hóa đi kèm - có thể là do ung thư dạ dày và các loại ung thư khác về đường tiêu hóa;
9.Máu trong phân, phân đen, tiêu chảy và táo bón xen kẽ, dịch nhầy trong phân, phân cục nhỏ như bút chì là những triệu chứng cũa ung thư đường tiêu hóa, đặc biệt là đại tràng và ruột non;
10.Máu trong nước tiều (không có những triệu chứng bị viêm đường tiểu), khó tiểu, …có thể xẩy ra khi ung thư đưởng tiểu;
11.Chảy máu đường sinh dục không có nguyên nhân cụ thể, chất tiết từ âm đạo màu hhồng hay đỏ sậm, đau âm ỉ vùng hạ vị và chân có thể là các dấu hiệu của ung thư âm dạo, cổ tử cung và tử cung và phần phụ khác;
12.Những vết trên da và màng nhày (môi, khoang miệng, bộ phận sinh dục) như lở loét không lành, vết có hình dạng thay đổi, những vết mới xuất hiện trên da với những đặc thù như sắc tố phân phối không đều, ranh giới giữa vết và da lành mạnh lờ mờ, vết lan nhanh, vết chảy máu hoặc rớm máu;
13.Khối u nơi vú (khoảng 15 - 25% có thể sờ thấy), lở loét, núm vú co rút vào, núm vú không đối xứng, núm vú thay đổi kích cỡ và hình dạng, núm vú xưng hoặc có vết xung quanh, hạch bạch huyết ở nách to ra, các tĩnh mạch dưới da vú nở rộng, lở loét nơi da vú, vai sưng à Tât cả thường là các triệu chứng của ung thư vú;
14.Sốt, mệt mỏi, đau âm ĩ trong xương và khớp, có khuynh hưòng bị thiếu máu tạm thời và xuất huyết, khối u nơi ổ bụng không sờ thấy được, do hậu quả sự phì đại lá lách mà bác sĩ có thể dò tìm qua thử nghiêm dạ dày - ruột;
15.Đau và áp lực ở phía trên bên phải dạ dày, mệt mỏi, biếng ăn, khối u sờ thấy được vể phía trên bên phải dạ dày khi bệnh đã ở giai đoạn tăng triển, vàng da và xuất huyết - tất cả có thể là các dấu hiệu của ung thư gan;
10 dấu hiệu cảnh báo sớm bệnh ung thư phổi
Nếu kịp thời phát hiện 10 dấu hiệu cảnh báo sớm bệnh ung thư phổi như dưới đây thì bạn có thể điều trị bệnh hiệu quả hơn rất nhiều. Mặc dù ung thư phổi giết chết khoảng 1,3 triệu người mỗi năm trên thế giới nhưng đây không phải là bệnh khó phát hiện và phòng ngừa. Những chẩn đoán bệnh sớm có thể giúp bạn tránh nguy cơ tử vong tới 50% và còn có thể phòng tránh các tế bào ung thư lây lan sang các bộ phận khác trong cơ thể. Nếu kịp thời phát hiện 10 dấu hiệu cảnh báo sớm bệnh ung thư phổi như dưới đây thì bạn có thể điều trị bệnh hiệu quả hơn rất nhiều.
1. Thở nặng nhọc: Khó thở hoặc thở khò khè có thể không phải là một triệu chứng nghiêm trọng. Tuy nhiên, nếu bạn đột nhiên khó thở sau khi đi/ chạy lên cầu thang trong khi trước đây bạn không bị như vậy thì bạn nên nói chuyện với bác sĩ sớm. Bởi những triệu chứng này rất có thể do một khối u ở phổi gây ra, cản trở việc hô hấp của bạn.
2. Ho nhiều: Ho dai dẳng dẫn đến khàn giọng, tình trạng khàn giọng kéo dài vài tuần không khỏi... có thể là do vấn đề ở phổi gây ra, ví dụ như viêm phổi, nhiễm trùng phổi. Tuy nhiên, nhiều người lại cho rằng triệu chứng này do cảm lạnh hoặc dị ứng gây ra nên không đi kiểm tra. Kết quả là tình trạng viêm ở phổi tăng nặng hơn, dẫn đến ung thư phổi nếu không được điều trị kịp thời.
3. Giảm cân nhanh chóng không rõ nguyên nhân: Trong bất kì trường hợp nào, sự sụt cân diễn ra nhanh chóng mà không rõ nguyên nhân, không liên quan đến việc bạn đã cắt giảm calo hoặc tập thể dục... thì rất có thể là do bệnh tật gây ra, kể cả bệnh ung thư. Thêm vào đó, nếu bạn cảm thấy ăn không ngon miệng thì càng dễ kết luận nguyên nhân có thể là do một khối u bên trong cơ thể bạn gây ra, không ngoại trừ khối u ở phổi, dẫn đến ung thư phổi sau này. Khối u này sẽ là tăng đột ngột sự trao đổi chất trong cơ thể bạn và gây ra tình trạng trên.
4. Đau ngực: Một triệu chứng điển hình của ung thư phổi là đau ngực, nhất là khi bạn cảm thấy đau sâu trong phổi mỗi khi nhấc một cái gì đó, khi bạn ho hoặc cười. Ngoài ra, dấu hiệu đau dai dẳng trong ngực mà không hết sau một thời gian dài cũng có thể là một biểu hiện của bệnh ung thư phổi mà bạn cần chú ý.
5. Đau tay và các ngón tay:Đau và mỏi ở các ngón tay có thể là hai dấu hiệu cảnh báo sớm của bệnh ung thư phổi mà nhiều người có xu hướng bỏ qua. Trong phần lớn các trường hợp, khi da của lòng bàn tay trở nên dày và có màu trắng với nếp nhăn rõ rệt thì càng có nhiều khả năng bạn bị ung thư phổi. Bạn nên đi khám để xác định tình trạng bệnh của mình.
6. Đờm có lẫn máu: Ho ra đờm có lẫn máu không bao giờ là dấu hiệu tốt, ngay cả khi lượng máu đó rất ít hoặc nhạt màu. Nếu bạn gặp tình trạng này, nên đi khám ngay lập tức vì nó có thể là dấu hiệu cảnh báo sớm bệnh ung thư phổi hoặc một bệnh nghiêm trọng nào đó trong cơ thể bạn.
7. Thay đổi tâm trạng thất thường: Bạn cảm thấy mình có thể dễ dàng thay đổi tâm trạng nhanh chóng, hay giận dữ và khó chịu, tiếp theo là mệt mỏi và thậm chí trầm cảm... thì rất có thể bạn đang có nguy cơ bị ung thư phổi hoặc bệnh ung thư nào đó. Vì bệnh ung thư có thể làm cho bạn bị rối loạn nội tiết, kích thích các dây thần kinh kiểm soát cảm xúc...
8. Thường xuyên bị nhiễm trùng: Ung thư phổi có thể gây ra tình trạng nhiễm trùng ảnh hưởng đến đường hô hấp và dẫn đến các bệnh như viêm phế quản hoặc các bệnh nhiễm trùng mãn tính khác. Nếu bạn bị nhiễm trùng phổi mãn tính, bạn nên dành thời gian đi chụp X-quang phổi để biết mình có nguy cơ bị ung thư phổi hay không.
9. Đau vai: Đau vai có thể xảy ra nếu một khối u phổi phát triển và gây áp lực lên phần trên của phổi và các dây thần kinh ở nách. Áp lực này thường sẽ dẫn đến đau nhức, ngứa ran và cảm giác đau ở vai, bên trong cánh tay và bàn tay.
10. Bất thường ở các mô vú: Dấu hiệu này thường gặp ở nam giới nhiều hơn. Đó là tình trạng vùng ngực to lên bất thường do các tế bào bệnh ung thư kích thích sự tiết nội tiết tố một cách bất thường. Tuy nhiên, chị em cũng không nên bỏ qua điều này, vì rất có thể đó là do các tế bào ung thư phổi hoặc ung th ở bộ phận khác gây ra./.
Vĩnh Thúy, Đăk Nông, 090347….
Hỏi: Cho gia đình chúng tôi hỏi nuôi con bằng phương pháp con Kangaroo ở Úc như thế nào và có hiệu quả cũng như lợi ích như thế nào cho trẻ và bà mẹ, tốn kém lắm không và khi nào áp dụng? Chúng tôi chân thành cảm ơn rất nhiều.
Trả lời: Liên quan đến câu hỏi của bạn, chúng tôi xin chia sẻ về phương pháp chăm sóc trẻ sơ sinh đặc biệt cho trẻ sinh non hay sinh thiếu tháng theo Kangaroo (Kangaroo Kids Child Care). Nghe có vẻ kiểu Úc như kiểu chăm sóc này được bác sỹ Edgar Rey Sanabria của đại học quốc gia Colombia phát minh năm 1978, mô phỏng theo cách chăm sóc con của các mẹ kangaroo, dành cho các em bé sinh thiếu tháng. Để giữ đủ nhiệt cho đứa con sinh non của mình trong điều kiện thiếu lồng ấp, người mẹ ôm giữ con sát người, da kề da, liên tục 24/24 giờ trong vài tuần đầu sau sinh. Phương pháp bắt chước loài chuột túi này ra đời năm 1979 ở Colombia và được bệnh viện Từ Dũ TP. HCM áp dụng từ năm 1997. Dưới đây là các thông tin và hướng dẫn thực hành mà tại các bệnh viện sản khoa đang hướng dẫn rất phổ biến:
Trẻ sinh non (ra đời trước 36 tuần thai, cân nặng dưới 2.500kg) thường rất yếu, trương lực cơ giảm, người mềm nhũn, tay chân duỗi thẳng, không cử động, mắt nhắm híp, khóc không ra tiếng. Trẻ dễ mất nhiệt và khó sản sinh nhiệt, cần được ủ ấm ngay bằng cách đưa vào lồng ấp. Nếu không có lồng ấp, việc người mẹ ủ ấm cho con bằng chính nhiệt độ cơ thể mình là cách tốt nhất để trẻ có thể sống và phát triển bình thường. Trong phương pháp này, trẻ sơ sinh được đặt ở tư thế thẳng đứng, áp sát vào ngực mẹ, má của bé áp vào da ngực mẹ, 2 chân bé dang ra dưới vú mẹ (tư thế con ếch). Áo và tã lót của bé được sử dụng ở mức tối thiểu. Trẻ được giữ trong tư thế ếch cả ngày lẫn đêm, trừ lúc làm vệ sinh (lau mình). Khi trẻ đói, mẹ cũng cho bú trong tư thế này. Ban đêm, mẹ chỉ được dựa lưng đâu đó chứ không nằm để bé có tư thế thẳng đứng. Các thành viên khác trong gia đình có thể thay thế người mẹ ẵm trẻ khi mẹ đi tắm hoặc đặt lưng nghỉ. Phương pháp này được duy trì cho đến khi trẻ có được trọng lượng trung bình của một đứa trẻ chào đời đủ tháng.
Ngoài tác dụng ủ ấm cho trẻ, phương pháp Kangaroo còn tạo sự gần gũi, gắn bó tình cảm mẹ con, tạo điều kiện để trẻ được bú sữa mẹ. Ngoài ra, với phương pháp này, những đứa trẻ sinh non có thể được điều trị ngoại trú. Tuy nhiên, phương pháp Kangaroo không được áp dụng với tất cả trẻ sinh non. Ở nhiều nơi trên thế giới, các bệnh viện chỉ thực hiện Kangaroo với những bé có tình trạng lâm sàng khá tốt, có khả năng bú mẹ và nuốt, không rối loạn về hô hấp, tim mạch. Còn các bệnh viện ở Pháp chỉ cho phép áp dụng phương pháp này với những trẻ sơ sinh nặng trên 1.500g và được 28 tuần thai.
Chăm trẻ sơ sinh theo phương pháp kangaroo
Địu con phía trước ngực theo kiểu Kangaroo là một trong những phương pháp tốt để chăm sóc trẻ sơ sinh, nhất là đối với những bé sinh non. Chăm sóc con theo kiểu Kangaroo được áp dụng ở một vài thời điểm nhất định và khi cơ thể hoặc tâm tính bé đã ổn thì sẽ kết thúc. Tuy nhiên, hiện này nó còn được các bà mẹ áp dụng linh động cho các em bé sức đề kháng yếu hoặc chưa ngoan.
Chăm sóc trẻ sinh non
Là một người mẹ, ai cũng muốn cục cưng của mình chào đời khi đã đủ ngày đủ tháng để có đủ sức khỏe thích ứng với cuộc sống mới. Nhưng, chẳng phải khi nào trời cũng chiều lòng người bởi có rất nhiều lý do khiến các bà mẹ buộc phải sinh con sớm hơn dự kiến. Trong những trường hợp như thế, sức khỏe của em bé thực sự yếu ớt và thiếu cân trầm trọng. Trước đây, các bác sỹ thường cách ly với mẹ đồng thời cho bé vào lồng kính để tiếp tục nuôi dưỡng. Bây giờ, có một phương pháp khác tốt hơn cho cả mẹ và bé: mẹ và gia đình sẽ nuôi bé theo kiểu kangaroo, thường được áp dụng cho bé nặng dưới 2kg.
Chăm sóc con theo kiểu kangaroo phải bám sát theo 3 nguyên tắc. Đầu tiên, da phải kề da 24/24 và càng kéo dài càng tốt. Thứ hai, em bé phải hoàn toàn được nuôi bằng sữa mẹ. Thứ ba, thường xuyên massage cho trẻ trong quá trình chăm sóc. Tư thế chuẩn: em bé nằm sấp trên ngực mẹ, giữa hai bầu vú giống kiểu con ếch. Ngoài mẹ, thì bố hoặc người thân trong nhà như ông bà có thể thay nhau chăm sóc bé. Bên cạnh đó, để cố định bé và giúp người mẹ có thể làm vài việc nhẹ nhàng, người ta đã sáng tạo ra chiếc áo kangaroo.
Khi người mẹ để cơ thể mình tiếp xúc hoàn toàn với cơ thể bé cũng giống như tiếp tục mang thai, giúp con hoàn thành nốt những chức năng của các bộ phận trong cơ thể mà vì ra đời sớm vẫn còn dang dở. Hay nói cách khác, người mẹ đã trở thành lồng ấp tự nhiên cho con 24/24. Chăm sóc theo kiểu kangaroo giúp kiểm soát, ổn định thân nhiệt, nhịp tim của trẻ; tiêu hóa và hấp thu thức ăn tốt hơn và tăng cân nhanh hơn so với nuôi trong lồng kính;
Bé không bị trật khớp háng; giảm tỉ lệ tử vong và bệnh tật; giảm chi phí và thời gian nằm viện; giúp sữa mẹ về tốt hơn. Chưa hết, việc người mẹ được trực tiếp giành sự sống cho con giúp các bà mẹ giảm cảm giác sợ hãi, trầm cảm và day dứt vì đã sinh non. Ngoài ra, nó còn khiến gia đình có chung mối đồng cảm.
Hướng dẫn thực hành phương pháp Kangaroo
Phương pháp chăm sóc bà mẹ Kangaroo (PP CSBMK) là một phương pháp chăm sóc trẻ đẻ non, nhẹ cân được áp dụng theo ý tưởng kangaroo chăm sóc con bằng cách đặt con trong túi phía trước ngực mẹ. Ngày nay PP CSBMK đã được ứng dụng hầu như trên toàn thế giới và được công nhận là phương pháp mang đầy tính nhân bản, con được nằm trong vòng tay, hơi ấm của mẹ.
Nội dung chính:
-Tư thế kangaroo: da kề da liên tục 24/24 giờ và càng kéo dài càng tốt.
-Dinh dưỡng kangaroo: nuôi con bằng sữa mẹ hoàn hoàn nếu có thể;
-Kích thích, massage cho trẻ thường xuyên trong quá trình chăm sóc;
-Xuất viện sớm và theo dõi chặt chẽ.
Lợi ích của chăm sóc kangaroo:
1. Đối với trẻ:
-Trẻ sẽ ngủ yên hơn và ít khóc hơn;
-Giúp kiểm soát, ổn định được nhiệt độ của trẻ;
-Giảm cơn ngừng thở, ổn định nhịp tim (do những cử động liên tục và nhịp thở của người mang trẻ);
-Việc nuôi dưỡng bằng sữa mẹ dễ dàng hơn;
-Giúp bé dễ tiêu hóa và hấp thu thức ăn tốt hơn;
-Khớp háng ở tư thế dạng, giúp giảm trật khớp háng.
-Giúp giảm đau tốt cho trẻ sơ sinh.
-Giúp trẻ phát triển thể chất tốt hơn.
-Tăng khả năng nhận thức, giúp trẻ vận động tốt hơn.
-Giảm tỉ lệ tử vong và bệnh tật.
-Giảm chi phí và thời gian nằm viện.
2. Về phía bà mẹ và gia đình:
-Thể hiện được mối quan hệ gắn bó thiêng liêng giữa mẹ và con;
-Giúp mẹ tự tin, giảm lo lắng sợ hãi, giảm trầm cảm.
-Gia đình đồng cảm, cùng san sẻ trách nhiệm nuôi trẻ.
-Ngành y tế có trách nhiệm chia sẻ với gia đình những gánh nặng lâu dài.
Cách đặt trẻ vào túi kangaroo
-Bế trẻ bằng một bàn tay nâng dưới cổ và lưng trẻ, tay kia bế nâng phần mông của trẻ;
-Nâng nhẹ phần dưới cằm để giữ đầu, cổ trẻ không bị gập xuống làm cản trở đường thở của trẻ;
-Đặt trẻ lên ngực mẹ, nằm sấp giữa hai bầu vú mẹ ở tư thế thẳng đứng với ngực kề ngực, đầu trẻ nằm quay về 1 bên. Đặt 2 tay trẻ ôm phía trên và hai chân rút vào phía bên dưới 2 bầu vú mẹ, giống tư thế con ếch.
-Một tay giữ đầu, tay kia đưa hai bàn chân trẻ ra khỏi phần dưới áo kangaroo, rồi kéo phần trên của áo đến ngang tai trẻ.
-Đổi tay giữ đầu, kéo áo cho hoàn chỉnh. Sau cùng kéo phần dưới áo phủ xuống hai bàn chân trẻ;
-Trẻ cần đội thêm nón, đi tất và lót tả. Người mẹ cần mặc một cái áo địu bằng vải chun giãn để giữ trẻ luôn ở vị trí kangaroo và tránh di động đầu và cổ bé;
-Người mẹ có thể đi lại cùng với con trong túi kangaroo và làm một số việc nhẹ nhàng.
Người mẹ trở thành một lồng ấp tự nhiên cho con 24/24 giờ.
Hy vọng với các thông tin trên đã giúp bạn về một phương pháp chăm sóc trẻ sinh ra, nhất là trẻ sinh non hoặc thiếu tháng có thể áp dụng, có thể ông bố và bà mẹ đều có thể làm được.
Nguyễn Phú Việt, 24 tuổi, nhân viên PR tại TP. Hồ Chí Minh, 0934….
Hỏi: Tôi đã đọc rất nhiều lần trên trang wevbsite của viện các anh chị khi tôi cần một vấn đề gì tư vấn đề thấy trang web này hiện lên. Bản thân là một sinh viên vừa tốt nghiệp thạc sĩ tại Singapore năm ngoái, nhưng do da mặt tôi quá nhiều mụn và có cảm giác da xấu hơn nhiều bạn cùng trang lứa. Do vậy, do dự mãi không biết nên đặt câu hỏi này không vì không ai nam giới lại chăm sóc da, nhưng ….dù sao…tôi cũng cần sự tư vấn từ trang web của các anh chị.
Trả lời: Rất vui khi nhận được câu hỏi của bạn, và bạn có quyền hỏi các câu hỏi như vậy vì nhu cầu làm đẹp không chỉ dành cho phái nữ mà cả phái nam ngay nay cũng cần đến, hơn nữa bạn là một nhân viên PR cần lắm đến vấn đề này bạn ạ. Có thể bạn chưa biết hiện nay các giới nghệ sĩ, cũng như một số nam giới làm trong một số nghề nghiệp cũng cần đến chăm sóc da đó mà, nhất là nam giới ở Nhật Bản, Hàn Quốc đang xem vấn đề này là rất quan trọng trong vấn đề tìm cho mình ý trung nhân,….
Nhân câu hỏi của bạn, chúng tôi xin đưa ra cho bạn một bộ 10 nội dung mà các chuyên gia lưu ý khi chăm sóc da cho nam giới và cho rằng khâu làm đẹp của nam giới cũng quan trọng không kém như sau:
-Tắt đèn, màn hình máy tính, ti vi… trước khi đi ngủ, bởi các bức xạ từ máy tính sẽ ảnh hưởng không tốt tới làn da bạn;
-Đối với người có làn da nhờn hoặc da dễ bị mụn trứng cá nên sử dụng mặt nạ qua đêm, hiệu quả sẽ rất đáng ngạc nhiên;
-Không nên uống trà, cà phê, rượu hay các chất kích thích vào ban đêm bởi nó rất dễ khiến bạn bị mất ngủ, ảnh hưởng xấu tới làn da nhạy cảm của bạn. Không uống nước lạnh hay ăn đồ ăn lạnh vào sáng sớm vì như vậy sẽ gây tổn thương cho làn da bạn;
-Ăn nhiều hoa quả chứa vitamin C, điều này sẽ giúp "sửa chữa" nhanh những khuyết điểm cho làn da. Hơn nữa, vitamin C cũng có tác dụng giữ ẩm cho da;
-Duy trì tâm trạng vui vẻ. Làm việc vất vả sẽ mang lại nhiều căng thẳng và từ đó khiến làn da bạn trở nên xấu xí. Vì thế, hãy thường xuyên thư giãn để duy trì trạng thái vui vẻ, thoải mái;
-Rửa mặt sạch, massage vùng quanh mắt trước khi đi ngủ;
-Ngâm chân bằng nước ấm trước khi đi ngủ, sau đó xoa kem dưỡng da lên các ngón chân, bàn chân, cứ thế massage chân tầm 5 phút;
-5 giây duỗi thẳng chân, 5 giây uốn cong chân, lặp lại 5 lần động tác này sẽ giúp bạn có một giấc ngủ ngon;
-Uống một cốc sữa trước khi đi ngủ sẽ giúp bạn bổ sung dinh dưỡng, ngủ ngon, và làm cho làn da tươi trẻ hơn nhờ được cung cấp đủ dưỡng chất;
-Ngủ đủ giấc mỗi ngày, không nên ít hơn 8 tiếng.
Nhằm để bạn có thể dễ dàng tham khảo thêm mọt số trang tin hướng dẫn kỹ hơn về cách chăm sóc da cho bạn tốt nhất từ các nơi trên thế giới, chúng tôi xin giới thiệu với bạn một số trang website tham khảo nhé:
1.Best salons for men - Time Out
2.Chicago » Beauty & Spas » Hair Salons » Men's Hair Salons - Yelp
3.The Men's Hair Salon & Spa - Aliso Viejo, CA | Yelp
4.Razor's Edge Salon for Men and Women - Merrillville, IN - Beauty .
5.Mens Body Care | Treatments | Body Salon | London - Bibas
6.Men's Health and Grooming at Male Health & Beauty Salon Bristol
7.Mens beauty salon, waxing, massage and facials for men, 171 Hair .
8.Men Grooming and Skincare - whathewants.com.sg
9.Manscaping: 6 Beauty Treatments Men are Getting - Shape
10.Beauty Salon Hair Styling Facial Waxing Massage Women Men
Với các thông tin trên, chúng tôi hy vọng bạn sẽ tự chăm sóc da cho mình một cách hiệu quả nhất. Nếu có các bệnh lý nhiễm trùng da nên đi đến các bác sĩ chuyên khoa da nhé.
Nguyễn Thị M. Tr 26 tuổi, Cần Thơ
Hỏi: Em năm nay 26 tuổi, ở Cần thơ. Khoảng tháng 10/2013 e có bị ngứa tay và chân như nổi mề đay, nhưng không ngứa thường xuyên. Do e phải đi làm giờ hành chánh không thể đén bệnh viện xét nghiệm Nên 12/01/2014 e có đi xét nghiệm ở phòng khám đa khoa gần nhà: xn công thức máu, gan thận, H.pylori và giun đũa chó. Kết quả là e bị nhiễm giun đũa chó dương tính nhu sau: Trị số bình thường la: S/CO <1 nhưng kết quả là 3.198, Tuy nhiên các xn gan thận và công thức máu của e nghe bác sĩ nói thì vẫn bình thường. Bsi có kê toa thuốc cho e như sau:
+ Niczen (Thiabendazol 500mg) ngày 2 lần, mỗi lần 2 viên;
+ Kaliver (Arginine Thiazolidine Carboxylate 400mg) ngày 2 lần mỗi lần 1 viên uống trong vòng 7 ngày.
Khi uống thuốc những ngày đầu tiên em cảm thấy rất chóng mặt. Đến 2 ngày cuối e lại vừa chóng mặt, buồn nôn. Đến liều cuối cùng khi uống vô thì lại ói ra hết (và ói ra 1 tí máu).
Ngày hôm sau em đến khám thì bác sĩ nói thuốc không có tác dụng phụ là hại bao tử và cho e XN gan thận va giun đũa chó thì kết quả gan thận vẫn bình thuờng và giun đũa chó đã giảm 30% (từ 3.198 xuống còn 2.264), bạch cầu từ 5.6 giảm còn 3.6, nên vẫn kê đơn cho e uống tiếp 1 tuần nữa. Khi em uống ngày thứ 8 thì khoảng 2 tiếng sau đó có triệu chứng sốt, e đi khám thì bị sốt siêu vi nên bsi nói e tạm ngưng uống thuốc đợi 4 ngày sau lại XN lại.
Hiện tại e đang đợi ngày XN lại nhưng vẫn rất lo lắng. E hiện tai thấy ngứa hơi hơi ở da dưới chân và mắt hơi nhột, ngứa ở vùng mắt (e có nhờ bsi xem mắt có bị giun đũa chó lên không nhưng BS nói mắt e vẫn bình thường). Vẫn lo lắng nên e đã có XN máu ở BVĐK Hoàn Mỹ Cửu Long tai Cần Thơ thi âm tính với giun đũa chó.
Hiện tại thì e lai ngứa ở da cổ và mắt thì có 1 vằn đỏ giống như con gì đang ở trong mắt (chỉ hơi ngứa) và khi đi cầu phân nát, có chất nhầy. Ngoài ra e bị triệu chứng hơi khó thở về đêm (mỗi lần khó thở e phải há miệng hít vô). Vậy hiện tại nhờ BS tư vấn hộ e là tình trạng bệnh của e là uống thuốc có đúng và đã đủ liều chưa ạ? Hay e đang nhiễm 1 số KST khác không ạ?
Bây giờ e phải làm sao? E đang rất hoang mang và lo lắng. Mong các bsi tư vấn giúp e ạ
Trả lời:
Liên quan đến câu hỏi của bạn, chúng tôi xin phúc đáp như sau. Về vấn đề xét nghiệm chẩn đoán chính xác cũng như phác đồ điều trị cụ thể cũng còn tùy thuộc vào nhiều trường phái và kinh nghiệm của nhiều tác giả hay nhà lâm sàng khác nhau. Song với kết quả của bạn dương tính và kết quả sau khi điều trị bằng thuốc Niczen đã có hiệu quả song đã có nhiều tác dụng ngoại ý.
Về triệu chứng lâm sàng, lẽ đương nhiên đối với bệnh ấu trùng giun đũa chó mèo thường có hội chứng ở mắt (Ocular Larval migrans_OLMs), thể phủ tạng (Viceral Larval migrans_VLMs) và thể thông thường hay tiềm ẩn (Occult Toxocariasis), nên có thể triệu chứng trêm mắt như bạn đề cập có thể do ấu trùng giun đũa chó mèo hoặc một tác nhân nhiễm trùng (có thể nhìn thấy trên hình ảnh) hoặc động vật chân khớp khác như Demodex canis chẳng hạn. Nên có thể bạn nên thăm khám và xét nghiệm thêm tại một số trung tâm lớn để tìm thêm tác nhân gây bệnh khác có thể dẫn đến cho bạn ngứa như mô tả như trên.
Liên quan đến tác dụng phụ hay tác dụng ngoại ý của thuốc Thiabendazole hay Niczen là có và thậm chí có nhiều trên hệ tiêu hóa nếu chúng ta dùng liều cao và điều này đã được chỉ ra trong rất nhiều báo cáo trên y văn thế giới cũng như tại Việt Nam mà nhiều tác giả dã có kinh nghiệm thực hành lâm sàng (Ban có thể tra khảo thêm side effects of Thiabendazole thì sẽ thấy khá nhiều), nhwung nếu bạn dùng đúng liều lượng thuốc và đúng chỉ định liều và tuân thủ theo hướng dẫn sẽ góp phần giảm đi gánh nặng về tác dụng ngoại ý này.
Thân chúc bạn khỏe!
Trịnh Thị Hòa, 58 tuổi, TP. Nha Trang, hoabienlove@yahoo
Hỏi: Tôi xin hỏi bác sĩ Huỳnh Hồng Quang, vừa qua tôi có đi khám ở viện sốt rét KST Quy Nhơn, được bác cho thuốc điều trị bổ sung cho tốt các khớp của tôi loại glucosamine 500mg, uống một thời gian và đi bộ nhẹ nhàng tôi thấy rất hiệu quả, nhưng không biết dùng như thế nào cho đúng (nghĩa là thời gian dùng thuốc như thế nào và khi nào dừng),…tôi xin nhận lời chia sẻ của bác sớm. chân thành cảm ơn bác!
Trả lời:
Liên quan đến câu hỏi của bác, chúng tôi xin chia sẻ các kiến thức chung nhất về nhóm thuốc điều trị hỗ trợ trong bệnh lý về khớp do một đồng nghiệp là BS. Mai Trung Dũng cùng một số chuyên gia dược học khác chia sẻ dưới đây:
Sụn khớp và dịch khớp là hai thành phần cơ bản giúp cho khớp thực hiện chức năng vận động. Theo thời gian, tuổi tác, môi trường, bệnh tật..., sụn khớp, dịch khớp bị thoái hóa gây đau đớn, bất tiện trong sinh hoạt của người bệnh. Trong bệnh thoái hóa khớp, thực chất là các tế bào sụn khớp bị thoái hóa và mất cân bằng chuyển hóa dẫn đến mất khả năng tổng hợp proteoglycan cấu tạo nên sụn khớp làm cho sụn khớp dần dần bị phá hủy.
Thuốc glucosamin có tác dụng kích thích tế bào sụn tăng sinh tổng hợp proteoglycan, cung cấp dinh dưỡng cho sụn khớp và làm sụn khớp trơn láng, kích thích cơ thể sản xuất các sợi collagen, bảo vệ sự đàn hồi của khớp giúp tái tạo sụn khớp, ức chế một số enzym phá hủy sụn khớp và các enzym kích hoạt phản ứng viêm. Thuốc không ảnh hưởng đến dạ dày.
Chondroitin (sụn vi cá mập): Là chất cơ bản của sụn khớp có tác dụng dinh dưỡng sụn khớp, hút nước và các phân tử proteoglycan, kích thích tế bào sụn sản xuất proteoglycan. Tăng độ bền vững và dẻo dai của các sợi collagen, tăng sự đàn hồi của mô liên kết, ức chế các men tiêu protein, ngăn chặn quá trình thoái hóa sụn khớp.
Piascledine: Là chất chiết tách không xà phòng hóa của quả bơ và đậu nành, có tác dụng thay đổi cấu trúc của sụn khớp, ngăn ngừa thoái hóa sụn khớp và xương dưới sụn. Thuốc làm giảm tổng hợp các cytokinase, prostanoid, men tiêu protein, làm giảm nhẹ tác động hủy hoại sụn khớp. Thuốc có nguồn gốc thực vật nên dễ dung nạp và ít tác dụng phụ.
Acid hyaluronic
Trong dịch khớp thoái hóa, nồng độ acid hyaluronic nhỏ hơn bình thường (0,8-2mg/ml so với bình thường là 2,5-3,5mg/ml). Trọng lượng phân tử của acid hyaluronic trong dịch khớp thoái hóa cũng thấp hơn (0,4-4 Mega Dalton so với bình thường là 4-5 Mega Dalton). Bổ sung acid hyaluronic có trọng lượng phân tử cao vào ổ khớp thoái hóa sẽ tạo ra được một “độ nhớt bổ sung” thực sự. Chế phẩm dùng tiêm nội khớp để tăng độ nhớt: thường sử dụng hyruan có đột nhớt tuyệt đối 295-300 centipoise, tiêm vào trong khớp trong một liệu trình điều trị.
Hiện nay có một số thuốc mới như orthto visc 15mg, synvisc 8mg, go-on có độ nhớt tuyệt đối cao 55.000-56.000 centipoise. Hiệu quả kéo dài ít nhất 12 tháng. Hiện có một số chế phẩm acid hyaluronic dạng uống được điều chế dưới dạng thực phẩm chức năng giúp tăng cường dịch khớp.
Chế phẩm omega-3
Trong cơ thể, acid béo tồn tại ở 3 dạng là: cholesterol, triglycerid, và phospholipid (có nhiều ở màng tế bào, đặc biệt là tế bào não) và được chia thành hai loại:
Acid béo no: chỉ có nối đơn giữa các nguyên tử carbon.
Acid béo không no: có nối đôi giữa các nguyên tử carbon, gọi là omega (ω). Trong đó, nối đôi ở C3 gọi là omega-3 (như EDH và DHA), nối đôi ở C6 gọi là omega-6 (như acid arachidonic). Nếu bổ sung omega-3 để duy trì tỷ lệ ω3/ω6 thích hợp thì sẽ tạo ra sự cân bằng trong tổng hợp PG đủ để duy trì các chức năng của cơ thể. Trong tự nhiên, omega-3 có nhiều trong hải sản và dầu cá.
Sử dụng các chế phẩm omega-3 trong điều trị có những tác dụng giảm tỷ lệ đột quỵ, giảm nguy cơ mắc bệnh tim mạch, giảm mỡ máu, giảm ngưng kết và hình thành máu đông, trong bệnh viêm khớp dạng thấp: làm giảm viêm khớp (đặc biệt là khi đưa thuốc vào khớp bằng phương pháp siêu âm dẫn thuốc), làm giảm liều các thuốc chống viêm, giảm triệu chứng trong các bệnh tự miễn, bệnh hen, bệnh vẩy nến...Tuy nhiên, việc sử dụng các thuốc làm thay đổi sụn khớp và dịch khớp cần phải được tuyệt đối tuân thủ hướng dẫn của thầy thuốc. Khi có những triệu chứng khác thường, bệnh nhân nên thông báo ngay cho thầy thuốc để có hướng xử trí kịp thời, tránh hậu quả đáng tiếc có thể xảy ra.
Glucosamin dùng trong bệnh thoái hóa khớp
Thuốc dùng cho thoái hóa khớp gồm các thuốc kháng viêm, giảm đau, corticoid tiêm khớp trong giai đoạn cấp. Ngoài ra, người ta còn dùng các thuốc có tính hỗ trợ (không giúp giảm viêm giảm đau), trong đó có glucosamin sulfate, diacerein, chondroitin, sụn cá mập, UC2, MSM...
Glucosamin sulfate là thành phần tự nhiên cấu thành chất nền của sụn, bên cạnh các chất tự nhiên khác. Khi sụn khớp bị thoái hóa, các thành phần như glucosamine sulfat, collagen typ 2, acid hyaluronic, chondroitin,... cũng trở nên thiếu hụt. Việc bổ sung các thành phần này giúp cho tế bào sụn có đủ nguyên vật liệu để sản xuất sụn mới bù đắp vào phần sụn đã bị thoái hóa và hư hỏng. Trên thực tế, bệnh lý thoái hóa khớp được chứng minh có sự lão hóa của tế bào sụn cùng với sự gia tăng phá hủy sụn của các men thoái giáng và nhiều yếu tố khác nữa. Bổ sung các chất chỉ giúp ích được phần nhỏ. Vì vậy, glucosamin sulfate và một số sản phẩm bổ sung không được coi như thuốc điều trị bệnh thoái hóa khớp.
Các sản phẩm glucosamin thường được chiết xuất từ các loại sò biển hoặc tổng hợp trong phòng thí nghiệm. Gốc sulfat là gốc hóa học quan trọng và cần thiết cho việc tổng hợp sụn trong cơ thể, do đó glucosamin sulfat được các nhà nghiên cứu cho là có hiệu quả hơn là các gốc khác như hydrochloride hay N-acetyl. Các phản ứng phụ thường gặp của nhóm glucosamin nói chung là các rối loạn tiêu hóa nhẹ như đầy hơi, khó tiêu, cảm giác cồn cào, hay nôn ói. Các phản ứng phụ rất hiếm gặp như rối loạn chức năng gan, thận và hệ miễn dịch. Có một số ý kiến cho rằng sử dụng glucosamin có thể làm ảnh hưởng đường huyết, tuy nhiên đã nhiều nghiên cứu được tiến hành nhưng chưa có bằng chứng có ý nghĩa thống kê. Đối với trường hợp có sẵn bệnh tim mạch, cần điều chỉnh lượng muối tiêu thụ hàng ngày vì cũng có một lượng nhỏ natri trong viên glucosamin. Do phần lớn được sản xuất từ nguồn gốc sò biển, vì vậy, người có tiền căn dị ứng với hải sản cũng cần chú ý. Nói chung, các biến chứng phụ là ít và không nặng nề, do đó glucosamin được Cơ quan Quản lý thuốc và thực phẩm Mỹ (FDA) xếp vào nhóm thực phẩm chức năng và được bán tự do trong các siêu thị.
Trần Thị Thu Liên, Đại học Y Cần Thơ, 09843…
Hỏi: Xin các thầy cô của Viện Sốt rét ký sinh trùng quy nhơn cho em hỏi về một số thuật ngữ / định nghĩa chuyên ngành ký sinh trùng bằng tiếng Anh mà bản thân em đến nay vẫn chưa hiểu hết khi đọc tài liệu chuyên ngành. Em xin chân thành cảm ơn.
Trả lời: Chân thành cảm ơn một đồng nghiệp, chúng tôi đã nhận được các thuật ngữ tiếng Anh và yêu cầu định nghĩa về chuyên ngành cho bạn, nay chúng tôi xin chia sẻ như sau với bạn về giải thích các thuật ngữ (theo thứ tự bạn đề nghị) trên chương trình Glossary for Parasitic Conditions chúng tôi thấy phù hợp nhất, có thể bạn tham khảo nhé (chúng tôi xin trích nguyên bản để bạn tiện dịch đầy đủ):
·Acanthamoeba keratitis: Infection of the eye with a microscopic, free-living ameba (Acanthamoeba) that is readily found in the environment - soil, air and water. Infection most often occurs through exposure to contaminated water while wearing contact lenses e.g. swimming or showering in infected waters.
·Acanthocheilonemiasis: Infection with a nematode called Mansonella.
·Alibert disease 2: A localized skin infection spread by sandflies and caused by Leishmania tropica. Infections are most common in South America, Midddle East, Mediterranean and Africa. The incubation period lasts from weeks to months.
·Alveolar Hydatid Disease: Rare multi-organ tapeworm infection caught from animals.
·Alveolar echinococcosis: A rare parasitic infection caused by the larva of a miniscule tapeworm called Echinococcus multilocularis. Transmission occurs through contact with foxes, coyotes, dogs and cats. The condition results in the development of parasitic tumors in the liver (sometimes other organs such as brain and lungs) but it generally causes no symptom for 5 to 15 years after infection.
·Anguillulosis: A infectious disease caused by an intestinal parasite called Strongyloides stercoralis (round worm). Infestation can occur directly through broken skin or through ingestion. Symptoms can take decades to develop in some cases. In rare cases, reinfection occurs and the parasites travel to other parts of the body such as the liver and lungs which can cause serious symptoms. The condition is highly deadly in immunocompromised patients.
·Anisakiasis: Intestinal infection by a parasitic worm (Anisakidae). Infection usually occurs by eating seafood infected with the larvae.
·Ankylostomiasis: A parasitic intestinal infection caused by a hookworm called Ancylostoma duodenale or Necator americanus. Infection usually occurs when larva enter a break in the skin and then travel throughout the body until the reach the intestines.
·Ascaridida Infections: Infection with parasitic nematodes from the Ascaridida family. Specific infections include ascariasis, toxoscariasis and anisakiasis. Symptoms may vary depending on the specific nematode involved and the location of the infection.
·Balantidiasis: Intestinal infection with a parasitic protozoa (Balantidium coli) resulting in intestinal inflammation. It is usually transmitted through direct or indirect contact with pig fecal matter.
·Bertielliasis: A parasitic intestinal infection caused by a nematode called Bertiella. The parasite commonly infects koalas, possums and primates but can occur in humans. Transmission usually occurs through accidental ingestion of infected fleas.
·Boeck scabies: Severe scabies caused by the infestation of huge numbers of mites (in the millions in some cases) under the skin. The scabies tend to live for up to four days as opposed to the normal one day and the condition can be quite contagious.
·Bothriocephalosis: Infection with an intestinal parasite. The parasite is a fish tapeworm called Diphyllobothrium latum. Human infection is caused by eating undercooked contaminated fish.
·Cardiac hydatid cysts with intracavitary expansion: A parasitic infection that occurs in the heart. Hydatid cyst is the larval stage of a parasite called echinococcus granulosus. Symptoms will depend on the exact location of the cyst. Usually the liver and lungs are involved.
·Central nervous system protozoal infections: A protozoal infection of the central nervous system (spinal cord or brain). The infection may originate in the central nervous system (primary infection) or may spread from another part of the body (secondary infection). The infection may occur in otherwise healthy individuals or in individuals who have a compromised immune system. Primary protozoal CNS infections include cerebral amebiasis, granulomatous amebic encephalitis and secondary infections include cerebral malaria and cerebral babesiosis.
·Cercarial dermatitis: A short-lived rash that occurs as an allergic reaction to larval (cercariae) infection of the skin. These particular parasites use birds and animals as their first hosts. Larval eggs are excreted in the faeces and when they land in water, they hatch into larvae which then infect certain aquatic snails. The infected snails release another form of the larvae called cercariae which then search for a bird, mammal host. When they enter the skin of a human they die as humans are unsuitable hosts but the skin can produce an allergic reaction.
·Chronic diarrhea: Chronic diarrhea is long-term, ongoing lose, watery and frequent stools.
·Ciliary dysentery: A form of gastroenteritis caused by a ciliated parasite called Balantidium coli. The parasites are usually found in swine. Symptoms can persist from one to four weeks but may recur if not treated.
·Creeping disease: A skin disease caused by a parasite which tunnels its way through the skin leaving a visible red, itchy, linear eruption on the skin where it has been. The hookworm parasite can't use humans to complete its life cycle but continues to travel through the skin until it dies. Transmission usually occurs through skin contact with warm, moist soil contaminated by the feces of an infected animal.
·Cyclospora cayetanenis food poisoning: Cyclospora cayetanenis is a parasite that can cause food poisoning. Contamination through consuming food and water contaminated through contact with infected feces. Diarrhea is usually the main symptom. The severity of symptoms often depends on the age and underlying health of the patient - the very young and old tend to be more severely affected.
·Demodicidosis: A parasitic infection caused by the Demodex mite (Demodex folliculorum and Demodex brevis) which normally live harmlessly in hair follicles especially on the facial area. The mite can cause symptoms in immunocompromised people.
·Diphyllobothrium latum infection: A tapeworm infection with a tapeworm species called Diphyllobothrium latum. The infection is called diphyllobothriasis and usually results from eating undercooked contaminated fish. Infections are most common in countries where eating raw fish is common e.g. Japan, North America, Asia and parts of Europe. The severity of symptoms is variable but most infections are asymptomatic. The tapeworm infestation can continue for decades if untreated.
·Encephalitozoon cuniculi infection: A protozoan parasitic infection that commonly occurs in rabbits but can also infect other mammals including humans. Infection is more likely in immunocompromised patients.
·Fasciolopsiasis: Infection with a type of intestinal fluke (Fasciola buski). Infection occurs by eating infected aquatic plants. The adult fluke attaches itself to the intestinal wall and causes ulcers which may be asymptomatic unless there is an extensive infestation.
·Furunculous myiasis: A rare condition where a larve invades tissues and organs and causes a furunculous (pus-filled) wound. It can be caused by the Cayor worm which is the larvae of the African tumbu fly (Cordylobia anthropophaga) or by the human botfly (Dermatobia hominis).
·Granulomatous amebic encephalitis: Brain/CNS infection from Acanthamoeba bacteria
·Granulomatous amoebic encephalitis: A rare opportunistic brain infection caused by certain amoeba - Acanthamoeba or Balamuthia amoebae. The amoeba generally only causes encephalitis in people who are immunocompromised or have a chronic disease such as diabetes. The amoeba initially cause pneumonitis or skin ulcers from with the amebas can spread to the brain to cause encephalitis. The condition is often fatal.
·Heterophyiasis: Infection with a type of intestinal fluke (Heterophyes heterophyes). Infection usually occurs through eating raw or undercooked contaminated freshwater fish. The adult fluke attaches itself to the intestinal wall and causes ulcers which may be asymptomatic unless there is an extensive infestation.
·Human carcinogen -- Opisthorchis viverrini infection: Infection with Opisthorchis viverrini is deemed to be carcinogenic to humans. Infection with the virus does not mean the patient will definitely develop cancer but the risk of cancer is increased.
·Humidifier lung -- Acanthamoeba spp.: Inhalation of humidifier vapors contaminated with a pathogen called (Acanthamoeba spp.) can cause various lung symptoms in occupational settings. The severity of symptoms varies depending on the duration of the exposure. The lung symptoms result from the body's immune system reacting to exposure to the pathogens. Chronic exposure can lead to progressive lung symptoms which can gradually lead to symptoms such as weight loss and eventually lung scarring and possibly even respiratory failure in severe cases. Acute exposure results in symptoms such as fever, chills, shortness of breath and body aches.
·Humidifier lung -- Naegleria gruberi: Inhalation of humidifier vapors contaminated with a pathogen called (Naegleria gruberi) can cause various lung symptoms in occupational settings. The severity of symptoms varies depending on the duration of the exposure. The lung symptoms result from the body's immune system reacting to exposure to the pathogens. Chronic exposure can lead to progressive lung symptoms which can gradually lead to symptoms such as weight loss and eventually lung scarring and possibly even respiratory failure in severe cases. Acute exposure results in symptoms such as fever, chills, shortness of breath and body aches.
·Hydatidosis: A parasitic infection caused by a tapeworm larva called echinococci. The type and severity of symptoms is determined by the location of the infestation - the most common site for the larval cysts is the liver. The most common symptoms are due to compression of nearby organs or blood vessels due to increasing size of the cyst. The larva may incubate for months or even years.
·Hymenolepsis diminuta infection: A tapeworm infection caused by Hymenolepsis diminuta that is relatively common in rodents but can rarely cause infection in humans. Insects such as fleas and beetles are intermediate hosts and transmission to humans can result from accidentally swallowing infected arthropods. Symptoms tend to only occur in children or in patients with a relatively heavy infestation.
·Hymenolepsis nana infection: A tapeworm infection caused by Hymenolepsis nana that is relatively common in house mice but can cause infection in humans. Insects such as fleas and beetles are intermediate hosts and transmission to humans can result from accidentally swallowing infected arthropods. Transmission can also occur through ingestion of infected fecal matter. Symptoms tend to only occur in children or in patients with a relatively heavy infestation.
·Hypodermyasis: A parasitic infection by the larva of certain flies (Hypoderma bovis or H. lineatum). These flies are usually parasites that infect cattle in the warmer areas of the northern hemisphere. Humans are accidental hosts who may inadvertently swallow the eggs. Symptoms depend on where the larva migrate to - neurological and eye symptoms are more likely to produced severe symptoms.
·Isosporosiasis: A parasitic disease caused by a protozoa called Isospora belli. Infection occurs through eating contaminated food and tends to occur in tropical areas. Immunocompromised patients tend to be more susceptible to the infection and the symptoms are more severe.
·Katayama fever: An acute disease due to infection with Schistosoma parasites. Transmission can occur through contact with infected waters.
·Linguatula serrata infection: Infection with a parasite called Linguatula serrata. Infection usually occurs through eating raw liver or lymph nodes from infected sheep or goats. Symptoms are usually caused by the larva migrating through parts of the body.
·Mansonella ozzardi infection: Infection with a type of nematode (Mansonella ozzardi) found in Central America, South America and the Caribbean. Infection occurs through the bit of infected midges and blackflies.
·Mansonella streptocerca infection: A parasitic nematode infection which occurs in West Africa and can be transmitted by mosquito bites. The adult worms tend to live in the skin and cause symptoms.
·Microsporidiosis: An infectious disease caused by a certain group of protozoa which form spores (microsporidia) e.g. Encephalitozoon, Enterocytozoon, Nosema, Pleistophora, Trachipleistophora, Vittaforma, Enterocytozoon bieneusi, Enterocytozoan )Septata) intestinalis). The protozoa invade and live inside the hosts cells. The release spores into the gastrointestinal tract where they are excreted and can infect other animals. The infection is often asymptomatic in healthy people but can cause serious symptoms affecting various parts of the body in immunocompromised people.
·Mucosal leishmaniasis (espundia): A rare infectious disease caused by any of a number of parasitic Leishmania species. Infection can cause any of three different manifestations: cutaneous leishmaniasis, mucosal leishmaniasis and visceral leishmaniasis. Mucosal leishmaniasis tends to affect the mucosal areas of the mouth, nose and pharynx which can cause disfiguration.
·Myopathy, X-linked with postural muscle atrophy: An inherited, adult-onset muscle disease where the postural muscles become progressively weak and wasted while other muscles become enlarged. During early adulthood, patients tend to have an athletic build and muscle symptoms tend to start during the fourth decade of life. Death usually occurred between the ages of 40 and 75 years of age due to involvement of the heart.
·Oesophagostomiasis: A parasitic intestinal infection caused by a nematode called Oesophagostomum bifurcum. The parasite commonly infects monkeys, goats, cattle, sheep and pigs. The infection is relatively rare in humans but is most commonly found in northern Togo and Ghana. Transmission usually occurs through oral contact with contaminated soil.
·Parasitic appendicitis: Appendicitis is inflammation of the inner lining of the vermiform appendix that spreads to its other parts. Appendicitis may occur for several reasons, with parasitic diseases being one of the causes.
·Pfiesteria piscicida infection: Pfiesteria piscicida is a tiny marine organism called a dinoflagellate that is found in waters where fresh and salt water mix e.g. at river mouths. It is believed to be responsible for killing fish as well as health problems in humans.
·Possible human carcinogenic exposure -- Schistosoma japonicum infection: Some evidence indicates that exposure to Schistosoma japonicum infection (parasitic nematode infection) has a possible link to an increased risk of developing cancer in humans. Infection with the virus does not mean the patient will definitely develop cancer but the risk of cancer is increased.
·Probable human carcinogen -- Clonorchis sinensis Infection: Infection with Clonorchis sinensis (a human liver fluke) is deemed to have a probable carcinogenic effect in humans. Infection with the virus does not mean the patient will definitely develop cancer but the risk of cancer is increased.
·Secernentea Infections: Infection with a type of parasitic nematode (worm). The symptoms are highly variable depending on where the worm migrates to through out the body and which particular species is involved. Some examples of nematodes are Wuchereria, Spirurina, Mansonella, Drucunculus, Loa and Ascaris.
·Spirometra erinace-ieuropaei infection: Infection with a tapeworm species called Spirometra erinace-ieuropaei. Infection usually results from ingesting contaminated food or water. The parasite can migrate to any part of the body but usually resides under the skin where it develops into a nodule.
Hy vọng với những gì mang lại cho bạn sẽ giúp công tác nghiên cứu của bạn sẽ tốt hơn trong thời gian đến.