1. Ngọc Hoan-Ngochoan2801@..............-Tuy Hòa, tỉnh Phú Yên
Hỏi: Bác sỹ cho tôi hỏi bệnh viên có dịch vụ xét nghiệm vi khuẩn Helicobacter pylori không? thời gian cho ra kết quả bao lâu và một số thông tin cần biết? Chân thành cảm ơn!
Trả lời:
Liên quan đến câu hỏi của bạn, Viện chúng tôi có đầy đủ các xét nghiệm tối thiểu kiểm tra khám sức khỏe, gồm cả xét nghiệm sinh hóa, huyết học, miễn dịch, vi sinh, ký sinh trùng, chẩn đoán hình ảnh (siêu âm, x-quang và nội soi tiêu hóa), kể cả xét nghiêm miễn dịch phát hiện và định lượng nồng độ vi khuẩn H. pylori.
Thời gian xét nghiệm tùy thuộc vào chỉ định phương pháp và kỹ thuật xét nghiệm theo phương pháp test urea, clotest, test nhanh, sinh thiết mô dạ dày,…trả lời kết quả trong vòng 15 phút đến hai giờ, chi phí xét nghiệm tùy thuộc xét nghiệm test chẩn đoán nhanh hay miễn dịch ELISA.
Giá thành chỉ dao động từ 60.000 đến < 100.000 đồng.

Hình 1
2. Thanh Trúc-trucpm79@,......com-Quy Nhơn
Hỏi: Bác sỹ cho em hỏi có phải chỉ cần lấy máu xét nghiệm tổng quát 1 lần là mình có thể biết được kết quả trong cơ thể thiếu chất gì và có các loại ký sinh trùng nào tồn tại hay phải qua nhiều lần khám, xét nghiệm ạ!
Trả lời:
Cơ thể con người là một bộ máy có thể được xem là hoàn thiện nhất, phức tạp nhất và dù cho khoa học nói chung và khoa học y học nói riêng có tiến bộ đến đâu chăng nữa cũng không theo kịp phát hiện và chẩn đoán tất cả các hội chứng và bệnh lý của con người. Chính vì vậy, đến nay các nhà y học vẫn còn bó tay nhiều căn bệnh không thể chẩn đoán ra và không thể phân tích nổi các vấn đề sức khỏe con người.
Điều đó cho thấy nếu chỉ lấy máu xét nghiệm máu làm tổng quát cũng chỉ cho ra kết quả một số bệnh lý nhất định mà thôi chứ không thể là tất cả bạn ạ. Nghĩa là không thể phân tích là chúng ta có thể phát hiện ra đang thiếu chất gì hay loại ký sinh trùng nào mà chỉ hỗ trợ chẩn đoán một số bệnh ký sinh trùng, hay các bệnh lý thông thường mà thôi. Nếu để chẩn đoán các bệnh lý phức tạp hơn, cần phải chẩn đoán miễn dịch, vi sinh, chẩn đoán hình ảnh, thậm chí cần đến sinh thiết mẫu bệnh phẩm hay hóa mô miễn dịch.
Việc xét nghiệm có thể làm một lần hay nhiều lần là nhằm mục đích nào là chỉ định số lần cần thiết.
3. Thanh Tâm-thanhtam….@gmail.com-Tam Kỳ, Quảng Nam
Hỏi: Em ở Quảng Nam, cho em hỏi em muốn đưa mẹ vào làm xét nghiệm giun sán. Vậy chủ nhật Viện mình làm việc đến mấy giờ? liệu em có thể khám bệnh xong trong ngày không bác sĩ? Xin bác sỹ hướng dẫn để em có thể thực hiện khám đúng và nhanh không ạ? Cảm ơn bác sỹ.
Trả lời:
Thưa bạn, Viện chúng tôi vẫn làm việc ngày thứ 7 và chủ nhật như ngày thường (từ thứ 2 đến thứ 6) vào các ngày thứ 7 và chủ nhật từ 7 giờ sáng đến 11 giờ trưa và chiều từ 1 giờ 30 đến 5 giờ. Nếu là ngày lễ của quốc gia thì bạn cần hỏi trước để tránh ngày nghỉ của phòng khám Viện bạn nhé.
Nếu bạn đưa mẹ bạn vào khám tại Viện chúng tôi sớm trước 11giờ trưa thì kết quả sẻ được trả trong ngày hôm đó, còn nếu đưa mẹ bạn vào lúc 1 giờ 30 trở đi thì kết quả được trả vào ngày hôm sau. Quy trình khám bệnh tương tự như một số cơ ở khám chữa bệnh trên toàn quốc, nghĩa là bạn vào đến viện thì bấm rút số thứ tự điện tử sau đó nhân viện y tế sẽ gọi mẹ bạn vào phòng khám từ số 1, 2, 3 và 4 để được hỏi bệnh, khám, chỉ định xét nghiệm.

Hình 2
Tiếp đó, bạn ra đóng tiền lệ phí xét nghiệm tại các quầy thu ngân, sau đó đi lên lầu 2 để lấy máu hoặc các bệnh phẩm khác phân tích, xét nghiệm. Sau đó, bệnh nhân có thể đi làm chẩn đoán cận lâm sàng khác hoặc chẩn đoán hình ảnh (siêu âm, x-quang, hay nội soi tiêu hóa).
Sau khi đã làm hết kết quả xét nghiệm, chẩn đoán hình ảnh sẽ được nộp cho bác sỹ để xem tổng quát và kê đơn thuốc cho bệnh nhân nằm viện lại hoặc điều trị ngoại trú tùy tình trạng bệnh tình của bệnh nhân.

Hình 3
Tất cả những khâu trên áp dụng cho mọi đối tượng bệnh nhân trong nước và nước ngoài, trừ trường hợp các bênh nhân đã đăng ký hoặc hợp đồng khám sức khỏe từ ngày hôm trước hoặc trước đó theo quy định của hợp đồng, hoặc các bệnh nhân là các phụ nữ mang thai, người cao tuổi, trẻ em nhỏ, người khuyết tật cần có sự ưu tiên trong thứ tự khám chữa bệnh.
Chân thành cảm ơn bạn!
4. Nguyễn thị tường vinh-nguyethituongvinh@..............-Hoài Ân - Bình Đinh
Hỏi: Bé nhà thường hay bị nỗi mẫn ngứa ngáy người ta nói sợ bé bị giun sán gì đó nên mới hay xuất hiện nồi ngứa vì thế em đã có dẫn cháu vào đây (VSR kí sinh trùng Quy nhơn ) xét nghiệm bác sĩ chỉ định là chỉ bị viêm da dị ứng chứ không có gì nhưng về một thời gian (1 tháng) bé lại bị nỗi mẫn ngứa tiếp tục. Vậy cho hỏi bác sĩ bé nhà có bị gì không ạ! Em xin chân thành cảm ơn!
Trả lời:
Như câu phúc đáp ở trên, chúng tôi có đề cập ngứa hay mày đay chỉ là một trong nhiều triệu chứng của nhiều bệnh lý khác nhau chứ nó không phải là bệnh cụ thể nào, do vậy ngứa của cháu cũng vậy. Nó có thể do các bệnh lý nhiễm trùng , kể cả ký sinh trùng giun sán, có thể là dị ứng thức ăn hay dị ứng thời tiết (mày đay nhiệt) hoặc các chất có trong môi trường xung quanh cháu ở,…thậm chí các loại thuốc, kể cả thuốc bỏ mà cháu đang sử dụng thường ngày cũng có thẻ dẫn đến ngứa và mày đay cho cháu.
Do vậy, việc tầm soát và xác định nguyên nhân nào dẫn đến cháu bị ngứa không phải lúc nào cũng là chắc chắn.

Hình 4
Theo thống kê và nghiên cứu ở Mỹ và Nhật Bản, tỷ lệ số bệnh nhân có mày đay và ngứa trên thân mình không tìm ra nguyên nhân (nguyên phát) là có đến 20-36%, nghĩa là ở các nước tiên tiến như thế vẫn không thể tìm ra được nguyên nhân đâu bạn. Khi đó chỉ điều trị triệu chứng là thử điều tri các thuốc diệt giun thông thường, thuốc điều hòa miễn dịch, thuốc chống ngứa, nhân tố kẽm trong các chế phẩm thuốc nhằm phục hồi và bảo vệ da vốn đang bị thương tổn,…
Thân chúc bạn khỏe!
5. Hà Huy Văn-hahuyvan2@...,Trần Phú, TT Chư Prông, huyện Chư Prông
Hỏi: Tôi muốn hỏi bác sỹ: tôi xem thông tin nghe nói nguyên nhân của mỏi cơ, một trong những nguyên nhân là do ký sinh trùng. Vậy cho tôi hỏi có cách để xác định và chữa khỏi hiện tượng mỏi mệt không? Trên mạng tôi thấy có rao bán thuốc Detoxic giá 790.000 đồng, chữa được hầu hết các triệu chứng mà tôi thấy mình có. Cho tôi hỏi thuốc đó có thật có tác dụng như vậy không?
Trả lời:
Câu hỏi của bạn thật sự thú vị và nhiều bệnh nhân cũng đã từng hỏi chúng tôi như vậy, tuy nhiên qua thông tin quảng cáo của hãng cũng như quảng cáo các sản phẩm Detoxic rất “phổ rộng” và có vẻ rất đa năng trong chữa nhiều bệnh lý khác, kể cả các căn bệnh được xem là khó trị thì thuốc Detoxic cũng chữa được thì ….

Hình 5
Chúng tôi nghĩ rằng thuốc Detoxic không phải là thần dược và hoạt chất trong thuốc chỉ có giá trị hỗ trợ điều trị chứ không phải có thành phần hoạt chất chính để điều trị. Chúng ta cần nhìn lại các thành phần trong chế phẩm thuốc Detoxic liệu có nhiều suy nghĩ:
- Nhóm các phân tử “A”: Cỏ thi - đây là cây thuốc có chứa Ancaloit, flavon và tannin, chất huỳnh quang và các chất nhạy sáng nhóm furocoumarin. Ngoài ra, còn có chứa tinh dầu, tannin, inulin, nhựa cây và nhiều hợp chất khác. Milfoil thúc đẩy việc chữa bệnh, lọc máu và có tác dụng chống viêm. Do đó tiêu diệt ký sinh trùng và loại bỏ chúng khỏi cơ thể.
- Nhóm các phân tử “G”: Cỏ Centaury - Loại thảo mộc này được sử dụng rộng rãi trong y học dân gian vì hàm lượng cao các chất có vị đắng, nhựa cây và glycosid. Nó chữa lành các vết thương và giúp khôi phục mô và cơ quan bị tổn hại.
- Nhóm các phân tử “F”: Đinh hương - Đây là một gia vị phổ biến trong kỳ giáng sinh do mùi thơm đặc trưng của nó. Nó được đặc trưng bởi một vị ngọt lúc đầu và đắng về sau. Nó có tác dụng khử trùng và giảm đau, phục hồi lại vi khuẩn đường ruột và bảo vệ cơ thể khỏi sự tái phát của ký sinh trùng.
Quảng cáo thuốc Detoxic cho biết tất cả các thành phần này hoạt động rất tốt chống lại ký sinh trùng. Chúng là các chất tự nhiên thuần túy mà không gây phản ứng phụ. Detoxic là một loại thuốc được chứng nhận được khuyến cáo bởi các nhà khoa học về ký sinh trùng. Bạn có thể sử dụng nó tại nhà và làm sạch cơ thể khỏi ký sinh trùng. Thuốc cũng có tác dụng phòng ngừa. Bao gồm các thành phần từ cây cỏ tự nhiên. 6 lợi ích tuyệt vời Detoxic thanh lọc cơ thể:
(i) Tẩy sạch giun, sán, ký sinh trùng: Tẩy giun, sán, ký sinh trùng - Sau khi sử dụng Detoxic các hoạt chất trong Detoxic sẽ tẩy giun đũa, giun tóc, giun móc, giun kim, giun đũa chó mèo, giun lươn, sán chó, sán lá gan và các ký sinh trùng khác, tiêu diệt và đào thải các ký sinh trùng, giun, sán trong máu. Detoxic còn loại bỏ trứng của ký sinh trùng khỏi cơ thể người. Mà vẫn an toàn với sức khỏe con người, không gây mệt mỏi, hại người như các loại thuốc tẩy giun khác.
(ii) Chữa trị tận gốc chứng hôi miệng: Detoxic giúp loại bỏ các vi khuẩn ở khoang miệng, tiêu diệt tận gốc các ký sinh trùng gây hôi miệng từ đó mang lại hơi thở tự nhiên cho bạn.
(iii) Cải thiện chức năng các cơ quan của cơ thể: Cải thiện các chức năng của các cơ quan của cơ thể như: phục hồi hệ tiêu hóa, tái tạo vi khuẩn tốt, loại bỏ vi khuẩn xấu, chống nhiễm trùng, bảo vệ thành mạch máu và các mô. Quan trọng hơn quý khác sẽ ăn ngon miệng hơn do hệ tiêu hóa được phục hồi.
(iv) Detoxic tăng cường sức khỏe: Sản phẩm giúp tăng cường sức khỏe: Detoxic giúp bảo vệ tim, gan, dạ dày, phổi và làn da khỏi vi khuẩn, ký sinh trùng. Mang lại cơ thể khỏe mạnh, tươi tắn.
(v) Detoxic giúp tăng cường hệ miễn dịch: Detoxic giúp tăng cường hệ miễn dịch như: hệ tiêu hóa hoạt động bình thường, hệ tim mạch, các khớp và cơ. Đồng thời cải thiện giấc ngủ và làm việc hiệu quả hơn.

Hình 6
(vi) Cơ thể khỏe mạnh, da đẹp nhờ Detoxic: Bạn có thể có được cơ thể khỏe mạnh và làn da đẹp mịn màng bởi vì Detoxic giúp bạn thanh lọc cơ thể, làm sạch đại tràng, tiêu diệt ký sinh trùng... trong cơ thể. Dấu hiệu đầu tiên sẽ thấy là ăn uống ngon miệng hơn, tiếp theo là chất thải được đào thải qua đường mồ hôi, đại tiện. Sau 1 liệu trình, bạn sẽ hết mùi hôi miệng, cơ thể khỏe mạnh và làn da mịn đẹp.
Với các quảng cáo trên, đứng dưới góc độ của những người làm khoa học, chúng tôi chỉ đưa ra các khuyến cáo rằng nếu thuốc này là tốt như vậy thì Tổ chức Y tế thế giới và Hội ký sinh trùng quốc tế đã khuyên dùng cho các bệnh ký sinh trùng giun sán đặc biệt rối vì chúng có đa tác dụng trên một cơ thể người thì hiệu quả điều trị sẽ rất tốt. Hơn nữa, các tác dụng được nêu ở trên cần phải có minh chứng bằng y học chứng cứ (evidence-based medicine) qua các nghiên cứu đa trung tâm chứ không thể nói mà không có cơ sở khoa học bạn nhé.
Cảm ơn câu hỏi của bạn! thân chúc bạn khỏe!
6. Mỹ Duyên-myduyen55kdtm@.............-Nha Trang, Khánh Hòa
Hỏi: Em bị ngứa từ trước tết Nguyên Đán và gần đây em mới làm xét nghiệm kí sinh trùng và kết quả là bị nhiễm giun đũa chó mèo (dương tính 2.61) và bác sĩ cho uống albendazole 400mg trong vòng 15 ngày. Khi ngưng thuốc được 2, 3 ngày thì bắt đầu bị ngứa lại và nhiều hơn. Vậy cho em hỏi là bệnh này có thể chữa khỏi không và mất nhiều thời gian không ạ? hiện tượng của em là có nặng không ạ? Em cảm ơn!
Trả lời:
Cảm ơn câu hỏi của bạn đặt ra, ngứa là một triệu chứng của nhiều bệnh chứ không phải cứ ngứa là chỉ do ấu trùng giun đũa chó mèo mà thôi. Do vậy, việc điều trị đúng phác đồ albendazole có thể dùng đến nhiều đợt hoặc 1 đợt duy nhất tùy thuộc vào tình trạng bệnh của bạn (mức độ nặng nhẹ, bệnh của bạn có biến chứng gì hay không, bệnh giun đũa chó mèo Toxocara spp. có trên nền bệnh lý sẵn có không hay chỉ là một bệnh đơn thuần). Hỡn nữa, tùy thuộc vào lượng ấu trùng nhiễm vào cơ thể của bạn như thế nào, cơ quan nào đang bị tấn công bởi ấu trùng giun đũa chó, mèo (da niêm mạc, mắt hay phủ tạng khác nhau).
Liệu trình điều trị với thuốc albendazole có thể dùng liều khoảng 5-7 ngày, 14 ngày hoặc 21 ngày tùy thuộc vào mức độ nặng nhẹ của bệnh và thể cũng như giai đoạn nhiễm bệnh của chúng ta. Nhiều trường hợp khong đáo ứng phải dùng đến nhiều liều khác nhau sau mỗi lần tái khám. Hiện tượng của em có nặng hay không chúng tôi không thể đánh giá được vì phải đánh giá trực tiếp trên người bệnh cũng như các bệnh lý kèm theo bạn ạ. Do vậy, chung tôi không đánh giá mức độ này.
Thân chúc bạn khỏe!
7. Nguyen Duc Thong-thongcpsdaklak@yahoo.com-buon ma thuot –Daklak
Hỏi: Detoxic la thuoc gi nghe noi diet ky sinh trung. Xin giải đáp về tác dụng của no thuc hu the nao. Xin chân thành cảm ơn!
Trả lời:
Detoxic là loại thuốc gì, có điều trị bệnh ký sinh trùng được không còn tùy thuộc vào các thông tin quảng cáo trên mạng về loại thuốc Detoxic này. Ngay cả bản thân chúng tôi là những người thường xuyên làm về lĩnh vực ký sinh trùng vẫn chưa bao giờ nghe nói đến loại thuốc này, kể các nghiên cứu thử nghiệm lâm sàng đánh giá về thuốc này ra sao, hình như quảng cáo hình như hơi quá....tương tự như các thực phẩm chức năng khác.

Hình 7
Tin hay không là tùy thuộc vào lòng tin và cảm nhận của mỗi người, riêng chúng tôi chỉ biết rằng hiện tại các nhóm thuộc điều trị bệnh ký sinh trùng có nhiều nhóm và được phân loại dựa trên các nghiên cứu đa trung tâm và đã được Tổ chức Y tế thế giới xác nhận và cho ấn bản để cả thế giới dùng cho bệnh nhân, mà hình như ....không thấy thuốc Detoxic trong đó. Nếu chúng là một “thần dược” như quảng cáo trên mạng, có lẽ các thuốc khác nên rút khỏi thị trường.
Thân chúc bạn và gia đình khỏe!
8. Trương Thị Bích Trâm-kemlove…@.....com-Tuy An,Phú Yên
Hỏi: Viện cho em hỏi hiện em đang bị ngứa vào buổi tối và khi ngứa thì tay chân em nổi các đốm đỏ vậy đó có phải dấu hiệu của bệnh sán chó không. Em rất lo sợ vì một phần trước đây đã từng mắc bệnh về sán.
Trả lời:
Chào bạn! Nếu chỉ vài triệu chứng sơ qua như bạn mà bị sán chó hết thì gay go bạn ơi! Để xác định bạn có bị sán chó hay giun đũa chó mèo hay không, chúng tôi khuyên bạn nên đến cơ sở chuyên khoa để khám và xét nghiệm một cách cụ thể, chứ không nên tự ý dùng thuốc và tự mượn đơn thuốc của một số người thân đã có triệu chứng ná ná giống mình rồi dùng thuốc sẽ không những không có tác dụng mà còn có hại nữa bạn nhé.

Hình 8
9. Vo van trung-vantrung38@.....huyện Thăng Bình, Tỉnh Quảng Nam
Hỏi: Chào Bác sỹ, Con tôi được 5 tuổi, đi xét nghiệm tại bênh viện kết qua Strongyloides spp. OD: 0,384 (ngưỡng dương tính khi > 0,2), kêt luận bị nhiễm giun lươn, tôi tự mua thuốc cho cháudùngthuốc Zentel (200 mg), mỗi ngày 2 viên x 7 ngày, Như vậy có qúa liều không và ảnh hưởng gì đến sức khoẻ của cháu không. Nhờ bác sỹ tư vấn giúp, cháu ở xa nên chưa có điều kiện vào Quy Nhơn khám đựoc. Xin cảm ơn và chúc sức khoẻ Bác sỹ!
Trả lời:
Thưa bạn, điều này sẽ rất nguy hiểm nếu thật sự con bạn có triệu chứng không mà dùng thuốc vậy, theo khuyến cáo của Trung tâm Phòng chống bệnh tật Mỹ (US.CDC) khi xét nghiệm đơn thuần mà có ELISA dương tính với giun lươn Strongyloides spp. không nhất thiết phải dùng thuốc điêu trị ngay mà cần có những chỉ điểm lâm sàng hay nói đúng hơn là phải có các triệu chứng lâm sàng trên bệnh nhân thì chúng ta mới kết hợp điều trị được.
Hơn nữa, thực tế dùng thuốc điêu trị giun lươn, để giảm áp lực thuốc và dùng ngắn ngày, iều duy nhất với thuốc đặc hiệu và nên dùng loại Ivermectine mà thôi chứ không nhất thiết phảidùng loại trên, tránh các tác dụng ngoại ý cho bệnh nhân bạn nhé.

Hình 9
Tốt nhất là nên đi khám chuyên khoa để được tư vấn các bác chuyên khoa ký sinh trùng và truyền nhiễm thăm khám và điều trị bệnh đầy đủ.
10. Nguyen quoc Tr…-tr.....@gmail.com-tam ngoc, tp tam ky, Quang nam
Hỏi: Cho em hoi la vo em bi san la gan ma vo e co thai # 10 tuần bác sỹ có cách nào chữa bệnh của vợ em không bác sỹ!
Trả lời:
Điều trị sán lá gan lớn hiện nay ở Việt Nam là các bác sỹ đang sử dụng loại thuốc đặc trị triclabendazole với nhiều biệt dược có mặt trên thị trường (Egaten®, Lesaxys® hay Deworm®). Đây là một loại thuốc khá an toàn trên mọi đối tượng sử dụng khi điều trị sán lá gan lớn ở trẻ em và người lớn. Một số tác dụng ngoại ý chỉ là thoáng qua và hầu như các thử nghiệm lâm sàng và thực tế điều trị không thấy tác dụng ngoại ý nào nghiêm trọng.
Thuốc điều trị sán lá gan đặc hiệu loại triclabendazole (TCBZ) dù đã chứng minh rất an toàn trên mọi đối tượng, song các thử nghiệm tên mô hình động vật thí nghiệm cho thấy ít nhiều ảnh hưởng lên phôi thai, đặc biệt ở chuột.

Hình 10
Do vậy, các nhà nghiên cứu khuyên không nên dùng cho phụ nữ đang mang thai với khuyến cáo chống chỉ định tương đối. Nghĩa là, việc điều trị sẽ do bác sỹ chuyên khoa quyết định dựa trên cân nhắc lợi ích và nguy cơ, nếu lợi ích cứu lấy tính mạng người mẹ lớn hơn là nguy cơ từ tác dụng ngoại ý thì có thể quyết định điêu trị cho bệnh nhân đang mang thai, chẳng hạn một số trường hợp thai quá lớn, bệnh nhân quá đau đơn do ổ thương tổn abces từ sán lá gan lớn gây nên, có thể dẫn đến hậu quả sẩy thai, sinh non, tai biến,....
Một số báo cáo đơn lẻ ca bệnh trên thế giới cũng đã chỉ định điều trị thuốc TCBZ cho nhiều ca bệnh sán lá gan lớn trên cơ địa phụ nữ đang mang thai, bất cứ thai kỳ nào cũng có thể và theo dõi không có tai biến hay biến chứng gì cả, đặc biệt trong 3 tháng giữa và 3 tháng cuối rất an toàn.
Trên ca bệnh của vợ em đang mang thai 10 tuần (khoảng hơn 3 tháng), quyết đinh điều trị còn tùy thuộc vào bác sỹ thăm khám cho vợ mình và kết quả xét nghiệm cũng như siêu âm có kích thước như thế nào.
Chẳng hạn, nếu ổ thương tổn lớn mà thai đang quá nhỏ tháng thì nếu đợi đến khi sinh xong mới điều trị thay tiên lượng không tốt….
Nói chung thì việc điều trị bất kỳ bệnh lý nào trên cơ địa phụ nữ mang thai cũng đều cân nhắc rất kỹ về lợi ích của điều trị và nguy cơ có thể xảy ra do điều trị trên cả người mẹ và phôi thai, nhất là trẻ trong giai đoạn 3 tháng đầu của thai kỳ.
Do vậy, em nên đưa vợ đia khám nơi bác sỹ chuyên khoa để được khám điều trị và tư vấn đầy đủ và thấu đáo hơn nhé!
11. Nguyên Đoàn Khánh Bình-Binh....@gmail.com-Vĩnh phương Nha Trang
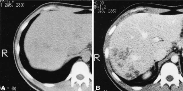
Hỏi: Vợ em bị áp xe gan, đi khám xét nghiệm tại Bệnh viện Nhiệt đới Khánh Hòa kết quả là sán lá gan lớn. Bác sĩ cho uống 4 viên thuốc đặc trị trong 2 ngày rồi cho xuất viện, hẹn 2 tuần tái khám. Vừa rồi vợ em tái khám xét nghiệm kết quả vẫn còn nhiễm sán và không cho dùng thuốc nữa,hẹn tháng sau tái khám. Cho em hỏi vợ em có nên đến viện ký sinh trùng Quy Nhơn để khám và điều trị không ạ. Cảm ơn bệnh viện!
Trả lời:
Theo câu hỏi và cần tư vấn của em, chúng tôi xin phúc đáp như sau:Với bệnh lý của vợ em như vậy và Bệnh viện Nhiệt đới Khánh Hòa điều trị như thế là hoàn toàn phù hợp, tuy nhiên nếu chỉ mới chỉ sau 2 tuần mà chỉ định cho tái khám lại thì không nên vì hiệu giá kháng thể có thể chưa giảm được và chuyển từ dương tính sang âm tính nên chúng ta có thể theo dõi tiếp tục và tái khám sau 1 tháng, 3 tháng và 6 tháng là phù hợp nhất chứ không nên tái khám thời gian quá gần như vậy là không hợp lý. Hơn nữa, điều đó không có nghĩa là chưa khỏi bệnh vì đánh giá khỏi bệnh là cần phải tập trung vào lâm sàng, cận lâm sàng chẩn đoán siêu âm để đánh giá một cách đầy đủ nhất.
Chúc bạn và gia đình mạnh khỏe!
12. Nhi-nhintt241294@............-sơn trà- đà nẵng
Hỏi: Cho e hỏi thuốc Detoxic có phải là thuốc chuyên đặc trị về ký sinh trùng không ạ.
Trả lời: Câu hỏi của bạn tương tự như câu hỏi ở trên. Tuynhiên, liệu chúng có thể Tẩy sạch giun, sán, ký sinh trùng hay không như quảng cáo đã đăng trên các phương tiện và trang website thì còn chờ sự công nhận của giới khoa học.
Đứng dưới góc độ của những người làm khoa học chuyên ngành ký sinh trùng, chúng tôi chỉ đưa ra các ý kiến rằng nếu thuốc này là tốt như vậy thì Tổ chức Y tế thế giới (WHO) và Hội ký sinh trùng quốc tế (WPA) đã khuyên dùng cho các bệnh nhân mắc bệnh ký sinh trùng giun sán đặc biệt rồi vì chúng có “đa tác dụng” trên một cơ thể người thì hiệu quả điều trị sẽ rất tốt hơn các loại thuốc đang dùng phải không bạn?
Hơn nữa, các tác dụng được nêu ở trên cần phải có minh chứng bằng y học chứng cứ (evidence-based medicine_EBM) qua các nghiên cứu thử nghiệm lâm sàng đa trung tâm có đối chứng hoặc không đối chứng chứ không thể nói mà không có cơ sở khoa học bạn nhé.
Hiên tại các loại thuốc điều trị bệnh giun sán cũng có các loại và phân thành các nhóm sau:
Trên đây là một số thuốc đã và đang sử dụng trong thực hành lâm sàng đê điều trị nhiều bệnh lý giun sán ở cả người và động vật đến nay vẫn còn hiệu quả và “hình như” chúng tôi truy tìm vẫn chưa thấy loại thuốc Detoxic nằm trong danh mục này.
Bạn có thể xem thêm câu trả lời chi tiết ở trên. Chúc bạn khỏe!
13. Tuyền-thanhtuyenkt93@.......... - tp. Đà Nẵng
Hỏi: Chào Bác sĩ. Con năm nay 24 tuổi, bị ngứa lâu năm và nổi mụn 10 năm vẫn không hết. Ngày 12/04/2017 con có đi xét nghiệm máu (về gan C, B và giun lươn, giun đũa chó/ mèo) ở bệnh viện Đa khoa Đà Nẵng. Kết quả con bịnhiễm Toxocara IgG với gía trị OD: 1.078 so với ngưỡng âm tính là < 0.3). Bác sỹ chuyên khoa đa khoa cho con uống thuốc gồm:
1/ Albendazole 200mg: 14 viên , ngày uống 2 viên chia 2.
2/ Hepausa: 30 viên, ngày uống 3 viên chia 3
3/ Cetirizin 10mg: 10 viên , ngày uống 1 viên
Con đã uống được 3 ngày thuốc những vẫn cảm thấy ngứa và châm chích khó chịu, nhất là mặt. Vậy con có nên tiếp tục uống thuốc này nữa không ? hay chưa trị như thế nào để nhanh hết. Con rất mong nhận được sự trả lời từ bác sỹ viện mình.
Trả lời:
Cảm ơn sự tín nhiệm của bạn để đặt câu hỏi đối với Viện chúng tôi. Tuy nhiên, nếu ngứa là triệu chứng duy nhất của bạn thì làm các xét nghiệm và chỉ ớ qua lâm sàng như trên vẫn chưa đủ để chúng tôi tư vấn một cách cụ thể bạn ạ. Vì ngứa chỉ là một triệu chứng trong một hội chứng hoặc bệnh lý nào đó (nhiễm trùng ký sinh trùng, vi khuẩn, virus, nấm, đơn bào, bệnh lý gan, thận và miễn dịch,...), thậm chí có nhiều bệnh không tìm ra nguyên nhân tại sao ngứa nữa kìa.Do vậy, nhằm xác định chính xác bệnh của bạn và nguyên nhân nào gây cho bạn bị ngứa thì bạn có thể đến Viện Sốt rét-Ký sinh trùng-Côn trùng Quy Nhơn chúng tôi để được khám, xét nghiệm và tư vấn điều trị cụ thể bạn nhé.
14. Nguyễn thị hồng-todulieutnt@....- Eakar, tỉnh Đăklắk
Hỏi: Con em bị lị xét nghiệm phân có amip thể hoạt động và bào nang. Mỗi lần bị bs cho uống metronidazol hết 10 ngày lại bị lại suốt 5 tháng nay. Em vệ sinh nhà cửa, quần áo cẩn thận, cho bố mẹ uông thuốc cùng luôn nhưng bé vẫn bị lại. Có cách nào chữa khỏi bào nang amip không a? Em nên đưa bé khám ở đâu.
Trả lời:
Cảm ơn câu hỏi của bạn rất nhiều, nhưng rất tiếc chúng tôi không có đầy đủ thông tin về đơn thuốc và liệu trình điều trị cụ thể của con bạn (cân nặng, liều dùng, thời gian dùng thuốc và chế độ theo dõi sau khi điều trị như thế nào? Đã sạch đơn bào amip và các bào nang chưa?). Vì nếu sau khi điều trị bạn có thể thấy các triệu chứng lâm sàng của con bạn dường như đã sạch và yên tâm là chữa khỏi, nhưng cháu có thể còn tồn tại một lượng nhỏ bào nang hoạt động của amip nữa không đủ gây bệnh, sau đó nếu bệnh nhân suy yếu sức khỏe và amip có điều kiện phát triển sinh sôi đồng thời thì bệnh sẽ phát lại như cũ.

Hình 12
Mặc khác, ngay cả khi bạn đã vệ sinh sạch sẽ nhà cửa, giường chiếu ở nhà, cho uống thuốc phòng cả nhà nhưng môi trường học tập và chơi đùa của cháu vẫn còn nguồn bệnh thì làm thế nào để loại trừ bệnh cho cháu, chẳng hạn nhà vệ sinh của trường mẫu giáo, nhà trẻ hay nhà cô bảo mẫu,…cũng óc thể cho cháu nhiễm lại bạn nhé.
Bạn có thể đưa cháu đến khám và nhận sự tư vấn điều trị tại Viện chuyên ngành như Viện Sốt rét-Ký sinh trùng-Côn trùng Quy Nhơn của chúng tôi để được xét nghiệm, chẩn đoán và điều trị cũng nhưtư vấn đầy đủ chăm sóc và quản lý một ca bệnh nhiễm trùng amip như thế nào cho đầy đủ nhé.
15. Nguyen thi ly-Lythuat02@.........-Liên chiểu đà nẵng
Hỏi: Bác sĩ cho tôi hỏi con tôi năm nay 6 tuổi, cách đây 6 tháng bị nổi mề đay đi khám da liễu chẩn đoán bị mề đay mạn và làm xét nghiệm BV nhi sản Đà Nẵng các xn viêm gan B và sán lá gan, amip, giun lươn, giun đũa chó đều âm tính nhưng bệnh càng ngày càng nặng, lúc mới thì nổi ở cổ đầu giờ nổi quanh người nhưng sưng mắt, miệng và ngày nào cũng nổi.
Cho tôi hỏi tôi muốn vào Viện ký sinh trùng quy nhơn để khám nếu xét nghiệm không nhiễm ký sinh trùng thi viện mình có làm thêm xét nghiệm gì và có phác đồ điều trị mề đay không. Xin cảm ơn!
Trả lời:
Liên quan đến câu hỏi của bạn, chúng tôi xin phúc đáp rằng mày đay cũng như ngứa chỉ là một trong nhiều triệu chứng của một hội chứng hay bệnh lý nào đó, chứ không nhất thiết đó là bệnh, nên có thể rất nhiều bệnh dẫn đến cho bênh jnhi nổi mề đay cấp tính hay mạn tính.
Hiện nay Viện chúng tôi đã, đang và tiếp tục trang bị rất nhiều các loại trang thiết bị, bộ (kít) chẩn đoán xét nghiệm chẩn đoán và xét nghiệm tổng quát tương đương một số bệnh viện trên toàn quốc.
Ngoài ra, do là viện chuyên ngành nên đã đầu tư một số trang thiết bị xét nghiệm chuyên khoa ký sinh trùng, côn trùng, vi sinh, vi nấm,…để phục vụ công tác khám chữa bệnh và nghiên cứu khoa học, nên bạn có thể an tâm đưa con bạn vào Viện để được thăm khám cụ thể và điều trị chính xác.
Thân chúc bạn khỏe!
16. Đỗ Văn T…-tuan…@gmail.com-Tam Kỳ, Quảng Nam
Hỏi: Xin chao ban bien tap trang Website Vien sot ret ky sinh trung con trung Quy Nhon!
Tôi tên là Đỗ Văn Tuấn, hiện đang sinh sống tại Quảng Nam, con tôi hiện nay đang được 6 tuổi (chuẩn bi vào lớp 1) cháu hay bị đau bụng (trước hoặc sau khi ăn) thời gian khoảng 10 phút mỗi ngày. Tình trạng này kéo dài khoảng 1 năm nay. Tôi đã cho cháu đi khám ở các Bệnh viện nhi Quảng Nam nhưng không khỏi.
Vừa qua tôi có cho cháu khám tại BV Nhi Đà Nẵng, qua xét nghiệm BS chẩn đoán cháu bị nhiễm giun lươn và kê đơn thuốc uống nhưng vẫn không thuyên giảm.
Xin hỏi viện: tình trạng con tôi như vậy là có thể mắc bệnh gì, viện có phương pháp hay loại thuốc đặc trị nào để giải quyết dứt điểm tình trạng bệnh không? nếu phải xét nghiệp tại Viện thì thời gian khám và xét nghiệm khoản bao lâu (giờ). Trân trọng!

Hình 14
Trả lời:
Nếu chỉ vài thông tin sơ bộ như vậy, chúng tôi xin lỗi bạn vì không thể trả lời chính xác bệnh của con là gì và thuốc sẽ điều trị ra sao vì chúng tôi phải thăm khám và hỏi bệnh coh cháu các thông tin cần thiết, cơn đau bụng xảy ra vào thời điểm ở nhà hay trên lớp mẫu giáo, thời điểm xảy ra cơn đau bụng là ban ngày hay đêm nhiều hơn, nếu không có uống thuốc thì bệnh có thuyên giảm hay không, khi đau có kèm theo dấu chứng nào khác không như sốt, đau quặn bụng, rối loạn phân đi ra ngoài, buồn nôn, nôn mửa, số lượng đi phân hàng ngày và có phải đi ngoài sau khi ăn đi liền không,…
Có rất nhiều triệu chứng dẫn đến đau bụng trên trẻ em, bạn có thể tham khảo dưới đây:
Vì mỗi các triệu chứng như thế có thể kết hợp lại và thành các hội chứng hoặc bệnh lý khác nhau. Do vậy, nếu có thể bạn đưa cháu vào Viện chúng tôi để được thăm khám, xét nghiệm cận lâm sàng cả máu và phân và điều trị cụ thể.
Thân chúc cả gia đình bạn khỏe!
ình 15
17. Lê Tôn Việc-viecqn@...........-Đại Lộc - Quảng Nam
Hỏi: Thưa Bác sĩ cho em hỏi về vấn đề khám chữa bệnh tại bệnh viện. Con ở Quảng Nam, con có mong muốn tuần sau đến bệnh viện mình tại Quy Nhơn để khám và chữa bệnh về giun sán. Vậy con cần làm và mang theo những thủ tục gì để được hưởng bảo hiểm y tế ? Xin cảm ơn!
Trả lời:
Liên quan đến câu hỏi của bạn, chúng tôi xin phúc đáp như sau: Trước đây chúng tôi cũng như một số cơ ở y tế có giường bệnh khác đề tham gia khám chữa bệnh cho nhân dân có bảo hiểm y tế (BHYT), song từ cách nay gần 2 năm có luật bảo hiểm mới, nên viện chúng tôi không còn được tham gia khám chữa bệnh bảo hiểm y tế nữa mà chỉ khám hoàn toàn thẻo chế độ thanh toán bình thường của người không có BHYT bạn nhé.
Chúc bạn khỏe!

Hình 16
18. Tiem- hamthitiem@...........- phú yên
Hỏi: Thưa bác sĩ, hôm trước em định ra viện kí sinh trùng xét nghiệm vì trước đó em đi siêu âm được chuẩn đoán sán lá gan, nhưng khi ra em được một anh xe ôm chở đến phong xét nghiệm đa khoa Hoàng Đức. Họ bảo sẽ lấy mẫu máu của em mang đến viện ký sinh trùng để xét nghiệm. Tiền xét nghiệm la 600 nghìn.
Kết quả xét nghiệm của em bị sán lá gan lớn rồi họ cho địa chỉ đến mua thuốc hết 1 triệu 200 nghìn, về nhà mọi người bảo em bị lừa. Em dang rất hoang mang vì không biết kết quả có đúng không và thuốc em uống có khỏi bệnh hay không vì em còn đang cho con bú.
Mong nhận được sự trả lời của bác sĩ. em xin chân thành cảm ơn!
Trả lời:
Câu hỏi của bạn, chúng tôi không mạn bàn về kết quả xét nghiệm và đơn thuốc điều trị có đúng hay không đúng, nhưng chúng tôi khẳng định rằng Phòng khám Hoàn Đức không có gởi mẫu máu của bạn đến Viên chúng tôi để xét nghiệm và Viện chúng tôi cũng không có bác sỹ nào tham gia khám chữa bệnh ở ngoài tại các cơ sở nói trên.
Chúng tôi cũng không biết đơn thuốc của ban là bác sỹ nào kê toa, mua thuốc ở đâu. Nên chúng tôi không thể đưa ra một luận bàn nào ở đây cả. Phòng khám của Viện chúng tôi đã thành lập đến nay đã gần 20 năm với sự phát triển không ngừng cũng như chuẩn hóa các loại hình xét nghiệm cũng như các phác đồ điều trị theo các Hướng dẫn của Bộ Y tế và Tổ Chức Y tế thế giới, Trung tâm Phòng chống bệnh tật Mỹ (US.CDC) thay đỏi theo từng giai đoạn, nên mới có thương hiệu đến ngày hôm nay.
Nếu bạn chưa thật sự yên tâm, bạn có thể đến Viện trình bày thăm khám trở lại đầy đủ. Thân chúc bạn khỏe!
19. Đàm Thị Thuần- damthuan@............- TP. Buôn Ma Thuột, Đắk Lắk
Trả lời: Kính gửi các bác sĩ của Viện Sốt rét - Ký sinh trùng - côn trùng Quy Nhơn! Tôi ở Buôn Ma Thuột, Đắk Lắk. Tôi có con trai năm nay 8 tuổi, thời gian qua cháu có kêu đau bụng, thỉnh thoảng còn bảo đau tim, cháu thường hay mẩn ngứa. Cháu lười ăn, rất gầy và hay ốm. Tôi có cho cháu đi khám tổng quát ở phòng khám Nguyễn Dũng, địa chỉ 46 Phan Chu Trinh, TP. Buôn Ma Thuột. Trong nhiều chỉ định để khám tổng quát, bác sĩ có chỉ định cho con trai tôi xét nghiệm máu để xem có giun lươn không. Theo phiếu kết quả xét nghiệm ngày 5/4/2017 có ghi trị số bình thường OD < 0,2 nhưng kết quả của cháu là 0,76. Bác sĩ có kê đơn như sau: 2 viên Stromectine (Ivermectin) 3mg; uống 1 viên buổi sáng, trước ăn 2 giờ; viên còn lại uống sau đó 2 tuần tương tự như vậy.
Tôi đã thực hiện theo đúng hướng dẫn trên. Sau khi uống thuốc hơn 2 tháng tôi có cho con trai đến lại địa chỉ trên để xét nghiệm máu xem kết quả thế nào. Phiếu kết quả xét nghiệm ngày 20/6/2017 của cháu là 0,97 (tức là cao hơn cả kết quả xét nghiệm lần đầu). Với kết quả xét nghiệm vừa rồi, bác sĩ tiếp tục kê đơn và chỉ định uống loại thuốc giống như trước đó. Tôi chưa dám cho cháu uống thuốc vì nghe nói uống nhiều thuốc tẩy giun rất hại người vì ngoài uống thuốc tẩy giun lươn, hồi tháng 6 năm nay ở trường cháu cũng uống thuốc tẩy giun.
Tôi đang rất lo lắng, vì sao uống thuốc rồi mà kết quả xét nghiệm giun lại cao hơn cả trước khi uống thuốc. Liệu có phải thuốc không phù hợp? Tôi nghe nhiều đồng nghiệp giới thiệu và khuyên, nên muốn đưa cháu xuống Viện của mình để khám đúng chuyên khoa.
Xin hỏi các bác sĩ: thông thường các xét nghiệm ở Viện có phải chờ đợi lâu không ạ? Lịch khám và giờ khám bảo hiểm y tế của Viện cụ thể như thế nào ạ? Tôi dự kiến chủ nhật tuần này xuống Quy Nhơn. Xin lỗi đã làm phiền các bác sĩ vì viết hơi dài dòng. Rất mong các bác sĩ quan tâm giải đáp sớm trong tuần này giúp tôi. Tôi hỏi kỹ như vậy để sắp xếp xin nghỉ công việc cơ quan vì mẹ tôi cũng mới mổ ung thư trực tràng, bệnh viên đưa về chờ hồi phục rồi thực hiện hoá trị và xạ trị.
Xin chân thành cảm ơn các bác sĩ của Viện!

Hình 17
Trả lời:
Chân thành cảm ơn rất chi tiết và dễ hiểu về quy trình khám chữa bệnh của con anh và diễntiến bệnh của cháu. Anh lo lắng cũng phải. Nếu điều trị giun lươn thì liệu trình như bác sỹ ở Phòng khám Nguyễn Dũng đã cho là đúng hoàn toàn không sai bạn ah. Nên anh không lo lắng lắm. Sự dao động của chỉ số miễn dịch không thể xem là yếu tố quyết định trong theo dõi bệnh lý của cháu đâu mà còn lệ thuộc vào nhiều yếu tố khác nữa. Có nhiều trường hợp điều trị khỏi bệnh nhưng xét nghiệm huyết thanh vẫn còn dương tính bạn nhé.
Anh chị có thể đưa cháu đến khám tại Viện bất cứ lúc nào từ thứ 2 đến chủ nhật, thời gian làm việc từ 7 giờ đến 11 giờ trưa và chiều là từ 1 giờ đến 5 giờ. Kết quả xét nghiệm sẽ có sau 3-4 giờ. Liên quan đến khám bảo hiểm y tế chúng tôi xin chia sẻ: Trước đây chúng tôi cũng như một số cơ ở y tế có giường bệnh khác đề tham gia khám chữa bệnh cho nhân dân có bảo hiểm y tế (BHYT), song từ cách nay gần 2 năm có luật bảo hiểm mới, nên viện chúng tôi không còn được tham gia khám chữa bệnh bảo hiểm y tế nữa mà chỉ khám hoàn toàn thẻo chế độ thanh toán bình thường của người không có BHYT bạn nhé.
Chúc bạn khỏe!

Hình 18
20. Phan đình tín- Tinrin.dngoc@gmail.com- Điện bàn . Quảng nam
Hỏi: Trên mạng đang rao bán thuốc Detoxic rất rầm rộ và bảo là đặc trị ký sinh trùng. Không biết thực hư thuốc thế nào? E đang bị viêm dạ dày, kèm hơi thở có mùi. Vậy em phải tiến hành khám và xét nghiệm gì để biêt mình bi nhiễm ký sinh trùng ạ.
Trả lời:
Em có thể đến Viện Sốt rét-KST-CT Quy Nhơn để khám bệnh, tại đây các bác sỹ sẽ thăm khám và chỉ định loại xét nghiệm phù hợp để phát hiện em có nhiễm Ký sinh trùng không nhé. Về thực hư thuốc Detoxic có khả năng điều trị bệnh ký sinh trùng hay không là chúng tôi không nên bàn luận nữa, dưới góc độ của những người làm khoa học chuyên ngành ký sinh trùng và điều trị bệnh ký sinh trùng, chúng tôi không sử dụng thuốc nào không cho hiệu quả cho bệnh nhân. bạn có thể xem thêm phần trả lời của chúng tôi ở 3 câu ở trên.

Hình 19
21. phan duc phuc- phanduc…@gmail.com, Xuan Hồng, huyện Nghi Xuan, Hà Tĩnh
Hỏi: Con của tôi bị bệnh nhiễm giun chó. Xét nghiệm tại Bệnh viện Paster Nha Trang, bác sĩ khuyên nên đứa cháu tôi đây để chích ngừa, cháu mới được 34 tháng. Xin hỏi bác sĩ cháu có thể tiêm được không ạ. Khi nào thì tiêm được a.
Trả lời:
Trong thực tế thì việc tiêm ngừa vaccine không ảnh hưởng cũng như cũng không bị tác động bởi trong quá trình điều trị ấu trùng giun đũa chó, đặc biệt là thể bệnh thông thường (covert Toxocariasis), nếu có biểu hiện sốt hay nhiễm trùng thì vấn đề cần tiêm vaccine hay không cần phải có sự tư vấn chuyên môn và kinh nghiệm của các bác sỹ tư vấn tiêm chủng tại phòng tiêm của Viện Pasteur Nha Trang, vì tại đó các nhà chuyên môn sẽ tư vấn cặn kẽ và cẩn thận cho bạn cái nào nên và cái nào không nên thực hiện trong thời gian có chỉ định tiêm chủng một loại vaccine nào đó.
Thân chúc gia đình bạn khỏe!
22. Nguyễn Quốc K…- quockhanh…@gmail.com- TP. Buôn Ma Thuột, Đăklăk
Hỏi: Vợ tôi bị lên mề đay, ngứa khắp người, đã đi khám tại bệnh viện TP. Ban Mê Thuột uống thuốc 1 đợt 10 ngày nhưng không khỏi (bệnh viện kết luận bị mề đay, không có tác nhân gây bệnh); tôi đưa vợ đi khám phòng khám tư nhân có liên kết với Bệnh viện Hòa Hảo và xét nghiệm phát hiện có giun đũa chó mèo Toxocara IgG, do BV Hòa Hảo kết luận. Tôi nghe bệnh viên ký sinh trùng Quy Nhơn có thể điều trị loại này nên tôi muốn hỏi là nếu vợ tôi đi thẳng xuống bệnh viên thì có được hưởng chế độ bảo hiểm y tế (BHYT) không, tiêu chuẩn được hưởng là bao nhiêu phần trăm? Xin cảm ơn!
Trả lời:
Liên quan đến câu hỏi của bạn, chúng tôi xin phúc đáp như sau: Trước đây chúng tôi cũng như một số cơ ở y tế có giường bệnh khác đề tham gia khám chữa bệnh cho nhân dân có bảo hiểm y tế (BHYT), song từ cách nay gần 2 năm có luật bảo hiểm mới, nên viện chúng tôi không còn được tham gia khám chữa bệnh bảo hiểm y tế nữa mà chỉ khám hoàn toàn thẻo chế độ thanh toán bình thường của người không có BHYT bạn nhé.
Chúc bạn khỏe!
23. Lam- nguyenlam12a5@gmail.com- đaklak
Hỏi: Xin chào. em tên Lam. Cho em hỏi tí với ạ. Em thấy mình có những triệu chứng của bệnh giun đũa chó nhưng hiện tại em ở Sài Gòn, xa quá không đi Quy Nhơn được. Vậy cho em hỏi bệnh viện mình có thêm chi nhánh nào ở Sài Gòn có thể xét ngiệm chính xác và điều trị đc như ở BV mình không ạ.
Trả lời:
Liên quan đến câu hỏi của bạn, nếu bạn đang có các triệu chứng nghi ngờ thì bạn có thể đến khám tại các cơ sở sau đây ở thành phố Hồ Chí Minh cũng cho kết quả đáng tin cậy và điều trị hiệu quả như Viện Sốt rét-KST-CT TP. Hồ Chí Minh, Trung Tâm chẩn đoán y khoa Hòa Hảo, Bệnh viện Bệnh nhiệt đới TP. Hồ Chí Minh. Về địa chỉ chính xác của các cơ sở y tế nói trên bạn có thể vào nhờ google.com tìm hộ sẽ có ngay ấy mà !

Hình 20
24. Văn Thê Vân L…nghitam….@gmail.com,Bệnh viên đa khoa tỉnh Gia Lai
Hỏi: Xin chào các thầy ở Viện Sốt rét Quy Nhơn, cho em hỏi hiện nay có loại test chẩn đoanh chẩn đoán sốt rét trên mẫu bệnh phẩm là nước tiểu phải không ah. Nếu có cho em xin thông tin, em rất cảm ơn ah!
Trả lời:
Liên quan đến câu hỏi của bạn ,chúng tôi xin chia sẻ đầy đủ một nội dung liên quan đến test chẩn đoán nhanh phát hiện sốt rét trong nước tiểu. Gần đây, một loại test chẩn đoán nhanh sốt rét trong nước tiểu (The first point-of-need diagnostic for malaria) được xem là một công cụ chẩn đoán sốt rét tức thời đầu tiên.

Hình 21
Test chẩn đoán nhanh sốt rét trong nước tiểu (Urine Malaria Test_UMT) của tập đoàn Fyodor, hiện đang trong quá trình đánh giá lâm sàng, được chỉ định sử dụng cho những người có triệu chứng sốt nghi ngờ do sốt rét. UMT đã được cấp giấy phép sử dụng độc quyền toàn cầu từ Đại học Johns Hopkins, Baltimore, Maryland bao gồm một công nghệ que thử (dipstick) mới rất lý tưởng cho việc chẩn đoán nhanh tức thời sốt rét lâm sàng trong nước tiểu thay cho máu và mang lại những tiến bộ đáng kể hơn nhiều so với chẩn đoán kính hiển vi một khía cạnh nào đó và các công cụ chẩn đoán sốt rét khác đòi hỏi phải sử dụng máu bệnh nhân.
Que thử UMT phát hiện các protein Plasmodium spp. mới xuất hiện trong nước tiểu của những bệnh nhân sốt rét đang có sốt và có thể được tiến hành và đọc kết quả bởi những người được tập huấn ít hoặc không cần tập huấn. Những vệt hoặc các protein mới này không thể bị tách nhỏ ra bởi bất kỳ enzyme protease nào, có thể tạo phản ứng miễn dịch mạnh và gây ra phản ứng miễn dịch sớm, và do đó đóng vai trò là các chỉ báo sớm cho thấy sốt rét lâm sàng.
UMT là một xét nghiệm que thử nhanh dựa trên nguyên lý sắc ký miễn dịch tương đối nhạy và đặc hiệu, có thể dễ dàng tiến hành bởi một người không qua đào tạo với việc sử dụng một mẫu nước tiểu. Để tiến hành, que thử được đưa vào trong một bình hay cốc sạch có chứa 100 µl (5 giọt) nước tiểu, để cho que nhúng ngấm dung dịch khoảng 1-2 phút và ủ trong nhiệt độ phòng trong 20 phút.
Nếu trên que thử xuất hiện hai vạch, thì xét nghiệm là dương tính; nếu chỉ xuất hiện một vạch, thì xét nghiệm là âm tính. UMT cho thấy hiệu quả tương đương so với các test chẩn đoán nhanh sử dụng mẫu máu (RDTs) đang có mặt trên thị trường dùng để chẩn đoán nhanh sốt rét, có giới hạn phát hiện 125 ký sinh trùng/µl, đây là con số khá tốt trong phạm vi hiệu suất phân tích 100-200 kst/µl khuyến nghị đối với các RDTs sốt rét bởi Tổ chức Y tế Thế giới.
Các tài liệu bạn có thể tham khảo thêm sau qua cụm từ khóa trên google.com là: urine malaria test (UMT), malaria detection by urine samples, malaria detection by urine rapid diagnosis test.
Thân chúc bạn khỏe!