Q (Hỏi): Bạn Lê Quang Cường, 46 tuổi, TP. Hạ Long, 0912… hỏi “Tôi có bố bị bệnh phổi kẻ do chẩn đoán của bác sĩ chuyên khoa lao và bệnh phổi Bình Định chẩn đoán. Do đó, tôi muốn hỏi các bác sĩ bệnh này do đâu mà có vì bố tôi sống khỏe và tập thể dục điều độ, không hút thuốc là. Nguyên nhân là gì và điều trị cũng như cách nào phòng bệnh tốt nhất vậy. Chân thành cảm ơn”.
A (Trả lời):Cảm ơn câu hỏi của bạn, chúng tôi xin trả lời liên quan đến câu hỏi của bạn như sau dựa trên các thông tin và bài viết vừa mang tính chuyên sâu và vừa mang tính cộng đồng giáo dục sức khỏe cho các bệnh nhân bị bệnh phổi kẻ khác nhau từ các giáo sư, thầy thuốc chuyên khoa hô hấp đã đè cập .
Bệnh phổi kẽ! Bệnh phổi kẽ thực sự mô tả một nhóm các rối loạn, hầu hết trong số đó gây ra sẹo tiến triển của mô phổi. Điều này đã ảnh hưởng đến khả năng để thở và có đủ oxy vào máu. Các rối loạn khác nhau rất nhiều. Bệnh phổi kẽ thực sự mô tả một nhóm các rối loạn, hầu hết trong số đó gây ra sẹo tiến triển của mô phổi. Điều này đã ảnh hưởng đến khả năng để thở và có đủ oxy vào máu. Các rối loạn khác nhau rất nhiều.
Hầu hết các trường hợp bệnh phổi kẽ phát triển dần dần, nhưng một số xuất hiện đột ngột. Các bác sĩ có thể xác định tại sao một số trường hợp bệnh phổi kẽ xảy ra, nhưng nhiều người không có nguyên nhân. Trong mọi trường hợp, một khi phổi sẹo xảy ra, thường không thể đảo ngược. Thuốc đôi khi có thể làm chậm sự thiệt hại của các bệnh phổi kẽ, nhưng nhiều người không bao giờ lấy lại được sử dụng đầy đủ phổi.
Các nhà nghiên cứu hy vọng rằng loại thuốc mới hơn, nhiều người vẫn còn thử nghiệm, cuối cùng có thể chứng minh hiệu quả trong điều trị bệnh phổi kẽ.
Các dấu hiệu và triệu chứng của nhiều loại rối loạn phân loại là bệnh phổi kẽ có thể bao gồm:
-Một cảm giác khó thở, đặc biệt là trong hoặc sau khi hoạt động thể chất.
-Ho khan.
-Thở khò khè.
-Đau ngực.
-Móng tay có đường cong trên các đỉnh (club).
-Khó thở và ho khô thường là dấu hiệu ban đầu và các triệu chứng. Bởi vì những vấn đề này là mơ hồ và có xu hướng phát triển dần dần - thường là rất lâu sau khi bị tổn thương phổi không thể đảo ngược - có thể cho rằng là do lão hóa, bệnh suyễn bị thừa cân, hoặc của hút thuốc lá, loại hình hoặc những tác động kéo dài của một nhiễm trùng hô hấp trên.
-Triệu chứng có xu hướng dần dần trở thành tồi tệ hơn. Cuối cùng có thể nhận thấy hơi thở trong các hoạt động thường xuyên - mặc quần áo, nói chuyện trên điện thoại, thậm chí ăn uống. Tại thời điểm này, khó thở trở nên không thể bỏ qua.
Bằng các dấu hiệu thời gian và các triệu chứng như khó thở và ho xuất hiện, không thể đảo ngược tổn thương phổi thường đã xảy ra. Tuy nhiên, điều quan trọng là gặp bác sĩ tại các dấu hiệu đầu tiên của khó thở. Nhiều điều kiện khác với bệnh phổi kẽ có thể ảnh hưởng đến phổi, và nhận được chẩn đoán sớm và chính xác là rất quan trọng để điều trị thích hợp.
Nguyên nhân
Mỗi khi hít vào, không khí đi vào phổi thông qua đường dẫn khí lớn được gọi là phế quản. Bên trong phổi, chia nhỏ phế quản vào đường hô hấp nhỏ hơn (tiểu phế quản) mà cuối cùng kết thúc bằng cụm túi không khí nhỏ (phế nang). Trong các bức thành của các túi khí là các mạch máu nhỏ (mao mạch), nơi lượng oxy được thêm vào máu và khí carbon dioxide - một sản phẩm chất thải của sự trao đổi chất - được lấy ra.
Sẹo của túi không khí nhỏ
Trong bệnh phổi kẽ, các bức thành của các túi khí có thể bị viêm, và các mô (interstitium) đường và hỗ trợ các túi trở nên ngày càng dày lên và sẹo. Thông thường, các túi khí đàn hồi cao, mở rộng và ký kết hợp đồng như bong bóng nhỏ với từng hơi thở. Nhưng sẹo (xơ hóa) gây ra các mô, kẽ mỏng trở nên cứng và dày hơn, làm cho túi không khí ít linh hoạt hơn. Thay vì mềm mại và đàn hồi, túi khí sẹo có kết cấu của một miếng bọt biển cứng, mà làm cho khó thở và khó khăn hơn cho oxy vào máu qua những bức thành dày.
Phản ứng bất thường chữa bệnh
Sẹo ở bệnh phổi kẽ dường như xảy ra khi một thương tích cho phổi gây ra một phản ứng chữa bệnh bất thường. Thông thường, cơ thể tạo ra một lượng mô để sửa chữa thiệt hại. Nhưng trong bệnh phổi kẽ, quá trình sửa chữa đi xiên, tạo mô sẹo mà ngày càng gây trở ngại cho chức năng phổi.
Một rối loạn, nhiều nguyên nhân
Bởi vì bệnh phổi kẽ có một loạt các nguyên nhân, xác định lý do chấn thương ban đầu mô phổi có thể khó khăn. Một số có thể có nhiều yếu tố góp phần bao gồm:
-Lao động và các yếu tố môi trường. Tiếp xúc lâu dài với một số độc tố hoặc các chất ô nhiễm có thể dẫn đến tổn thương phổi nghiêm trọng. Người lao động thường xuyên hít bụi silic, sợi amiăng, bụi kim loại cứng đặc biệt có nguy cơ bị bệnh phổi nghiêm trọng. Vì vậy, những người tiếp xúc với khói hoá chất nhất định và amoniac hoặc clo khí.
-Tiếp xúc với một loạt các chất kinh niên, nhiều trong chúng hữu cơ, cũng có thể gây hại phổi. Trong số này có ngũ cốc, mía đường, và bụi từ phân chim và động vật. Các chất khác, chẳng hạn như hay bị mốc có thể là một vấn đề khi chúng gây ra một phản ứng quá mẫn ở phổi (viêm phổi quá mẫn). Ngay cả vi khuẩn hoặc nấm phát triển quá mức trong ẩm và bồn tắm nóng có thể gây tổn thương phổi.
-Nhiễm trùng. Chúng bao gồm nhiễm virus như cytomegalovirus, một vấn đề cụ thể nếu có một hệ thống miễn dịch suy yếu, một số vi khuẩn lây nhiễm bao gồm viêm phổi, nấm bệnh truyền nhiễm như histoplasmosis và nhiễm ký sinh trùng.
-Bức xạ. Một số người nhận được trị liệu bức xạ đối với bệnh ung thư phổi hoặc ung thư vú có dấu hiệu tổn thương phổi lâu sau khi kết thúc điều trị phóng xạ. Các mức độ nghiêm trọng của thiệt hại có thể phụ thuộc vào bao nhiêu của phổi tiếp xúc với bức xạ, tổng số nhận được bức xạ, hóa trị liệu cũng được sử dụng và cho dù có bệnh phổi.
-Thuốc. Một số loại thuốc có thể làm hỏng các đường dây mô phổi. Những người có nhiều khả năng gây ra vấn đề về phổi bao gồm các loại thuốc hóa trị, thuốc điều trị rối loạn nhịp tim và các vấn đề tim mạch khác, thuốc tâm thần nhất định và một số thuốc kháng sinh.
-Điều kiện y tế khác. Bệnh phổi kẽ có thể xảy ra với các rối loạn khác. Thông thường, những điều kiện không trực tiếp tấn công phổi, nhưng thay vào đó ảnh hưởng đến quá trình tế bào khắp cơ thể. Trong số này có lupus, xơ cứng bì, viêm khớp dạng thấp, dermatomyositis, polymyositis, hội chứng Sjogren và sarcoidosis. Một số nhà nghiên cứu nghĩ rằng bệnh trào ngược dạ dày thực quản (GERD) - trong đó phổi kinh niên ăn một lượng nhỏ các chất dạ dày - có thể dẫn đến xơ hóa phổi.
Nguyên nhân không được biết đến
Mặc dù các bác sĩ có thể xác định tại sao một số người bị bệnh phổi kẽ, trong nhiều trường hợp nguyên nhân không được biết. Rối loạn mà không có một nguyên nhân được nhóm lại với nhau dưới nhãn tự phát xơ hóa phổi, bệnh phổi kẽ tự phát. Mặc dù các bệnh tự phát có một số tính năng chung, mỗi người cũng có những đặc trưng độc đáo.
Thông thường viêm phổi kẽ, còn được gọi là xơ hóa phổi tự phát, là phổ biến nhất của bệnh phổi kẽ tự phát. Bởi vì viêm phổi kẽ thông thường phát triển trong các bản vá lỗi, một số khu vực của phổi là bình thường, những nơi khác đang bị viêm và vẫn còn những nơi khác được đánh dấu bằng mô sẹo.
Căn bệnh này ảnh hưởng đến đàn ông nhiều hơn phụ nữ và thường phát triển ở những người trên 50 tuổi.
Loại khác, loại ít phổ biến của chứng xơ hoá phổi tự phát bao gồm:
-Viêm phổi kẽ không đặc hiệu.
-Viêm tiểu phế quản obliterans với tổ chức viêm phổi (Boop).
-Liên quan hô hấp viêm tiểu phế quản - phổi kẽ.
-Desquamative viêm phổi kẽ.
-Bạch viêm phổi kẽ.
-Viêm phổi kẽ cấp tính.
-Yếu tố nguy cơ
-Yếu tố có thể làm cho dễ bị bệnh phổi kẽ, bao gồm:
-Tuổi
Bệnh phổi kẽ là nhiều hơn có khả năng ảnh hưởng đến người lớn, trẻ sơ sinh và trẻ em mặc dù đôi khi phát triển các rối loạn. Hình thức tự phát của bệnh thường phát triển ở người lớn tuổi hơn 50. Tiếp xúc với độc tố lao động và môi trường: Nếu làm việc trong nông nghiệp, khai thác, xây dựng hoặc vì lý do nào tiếp xúc với các chất ô nhiễm được biết đến tổn thương phổi, nguy cơ mắc bệnh phổi kẽ tăng đáng kể.
Bức xạ và hóa trị: Có phương pháp điều trị phóng xạ ngực hoặc sử dụng một số loại thuốc hóa trị liệu làm cho nó nhiều khả năng sẽ phát triển bệnh phổi.
Oxy: Tiếp tục hít vào mức độ rất cao của oxy điều trị cho hơn 48 giờ có thể gây hại cho phổi.
Yếu tố nguy cơ bệnh phổi kẽ tự phát: Các nhà nghiên cứu đã xác định được yếu tố nào đó có vẻ như làm tăng nguy cơ bệnh phổi tự phát, mặc dù nguyên nhân của rối loạn này vẫn chưa được biết:
-Hút thuốc. Một số hình thức bệnh phổi kẽ có nhiều khả năng xảy ra ở những người có tiền sử hút thuốc và hoạt động hút thuốc lá có thể làm cho tình trạng tồi tệ hơn. Nguy cơ này dường như tăng với số năm và số lượng thuốc lá hút. Tuy nhiên, với trường hợp ngoại lệ hiếm hoi, hút thuốc lá không trực tiếp gây ra bệnh phổi kẽ.
-Yếu tố di truyền. Hiếm loại bệnh phổi kẽ tự phát chạy trong gia đình. Được gọi là chứng xơ phổi gia đình, nó tương tự như các hình thức khác của bệnh. Mặc dù nghiên cứu đang được thực hiện trên xơ hóa phổi gia đình, các nhà nghiên cứu vẫn chưa xác định được những gen có thể sẽ được tham gia.
-Trào ngược dạ dày thực quản bệnh (GERD). Các nhà nghiên cứu đang điều tra một liên kết có thể có giữa bệnh tự phát phổi kẽ và bệnh trào ngược dạ dày thực quản. Trong GERD, acid dạ dày hoặc thỉnh thoảng muối mật trở lại vào thực quản và sau đó được vào phổi.
Các biến chứng
-Hình thành mô sẹo trong phổi có thể dẫn đến một loạt các biến chứng đe dọa tính mạng, bao gồm:
-Mức độ oxy trong máu thấp (thiếu oxy)
-Bởi vì bệnh phổi kẽ làm giảm lượng oxy trong và đi vào máu, có khả năng phát triển thấp hơn nồng độ ôxy trong máu bình thường. Thiếu oxy nghiêm trọng có thể phá vỡ chức năng cơ bản của cơ thể.
-Cao huyết áp ở phổi
-Không giống như hệ thống áp huyết cao, tình trạng này chỉ ảnh hưởng đến các động mạch trong phổi. Nó bắt đầu khi mô sẹo hạn chế các mạch máu nhỏ nhất, hạn chế lưu lượng máu trong phổi. Điều này sẽ làm tăng áp suất trong động mạch phổi. Tăng huyết áp động mạch phổi là một bệnh nghiêm trọng dần dần trở nên tồi tệ hơn.
-Suy tim: Tình trạng nghiêm trọng xảy ra khi buồng bên phải trái tim yếu hơn - ít cơ bắp hơn so với trái - phải bơm mạnh hơn hơn bình thường để di chuyển máu qua động mạch phổi bị tắc nghẽn. Cuối cùng, tâm thất phải căng thẳng thêm.
-Suy hô hấp: Trong giai đoạn cuối của bệnh mãn tính về phổi kẽ, suy hô hấp nghiêm trọng xảy ra khi nồng độ ôxy trong máu thấp cùng với áp lực gia tăng ở các động mạch phổi gây suy tim.
Các xét nghiệm và chẩn đoán
-Xác định và xác định nguyên nhân gây ra bệnh phổi kẽ có thể cực kỳ khó khăn. Một số lượng lớn bất thường của chứng rối loạn thuộc loại này rộng. Hơn nữa, sự khác biệt giữa bệnh phổi kẽ với nhận dạng và những nguyên nhân không rõ, nguyên nhân không phải luôn luôn rõ ràng.
-Ngoài ra, các dấu hiệu và triệu chứng của một loạt các điều kiện y tế - trong đó bệnh phổi tắc nghẽn mạn tính (COPD), suy tim và bệnh suyễn - có thể bắt chước bệnh phổi kẽ, và các bác sĩ phải loại trừ ra trước khi đưa ra chẩn đoán xác định.
-Để giúp cắt giảm thông qua sự nhầm lẫn và loại trừ các bệnh khác có thể, bác sĩ có thể bắt đầu với một lịch sử y tế chi tiết và các kỳ khám thực thể. Một khi điều kiện nhất định đã được loại bỏ, bác sĩ sẽ khuyên nên thử nghiệm như:
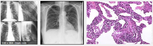
-Chụp X – quang: Mặc dù điều này thường là thử nghiệm đầu tiên được đưa ra trong các trường hợp nghi ngờ bệnh về phổi, chụp X - quang là không có hiệu quả như là một cắt lớp vi tính (CT) quét trong chẩn đoán bệnh phổi kẽ. Nó có thể, tuy nhiên, giúp loại bỏ các điều kiện gây ra các dấu hiệu và triệu chứng tương tự như bệnh phổi kẽ, bao gồm khí phế thũng và xẹp thùy trong phổi.
-Độ phân giải cao chụp cắt lớp vi tính (HRCT) quét: Trong khi ngực truyền thống X - ray sản xuất hình ảnh hai chiều của phổi, chụp CT sử dụng một X - quang cảm ứng và một máy tính lớn để tạo ra hình ảnh mặt cắt ngang được thêm rất nhiều chi tiết. HRCT quét đi xa hơn nữa, cho thấy mô phổi rất chi tiết và cung cấp thông tin nhiều hơn quét CT thông thường.
-Xét nghiệm chức năng phổi (PFTs): Các xét nghiệm không xâm lấn kiểm tra tốt chức năng phổi. Để thử nghiệm, thường yêu cầu thổi vào một dụng cụ đơn giản gọi là phế dung kế, bao nhiêu không khí phổi có thể giữ và dòng chảy của không khí ra khỏi phổi. Sẹo trở nên tồi tệ hơn, có thể mất ít không khí vào và thổi ra ít hơn. Một số xét nghiệm chức năng phổi cũng đo lượng khí trao đổi qua màng giữa các phế nang và mạch máu mao mạch.
-Tập thể dục thử nghiệm: Bởi vì các triệu chứng của bệnh phổi kẽ là tồi tệ hơn khi đang hoạt động, bác sĩ có thể đánh giá chức năng phổi trong khi tập thể dục, thường là trên một chiếc xe đạp cố định hoặc máy chạy bộ. Mặc dù các xét nghiệm cụ thể khác nhau, áp lực của máu và nồng độ ôxy trong máu thường được giám sát như là những khó khăn của việc gia tăng tập thể dục.
-Nội soi phế quản (transbronchial sinh thiết): Trong nhiều trường hợp, bệnh phổi kẽ có thể được chẩn đoán chỉ dứt khoát bằng cách kiểm tra một số lượng nhỏ mô phổi (sinh thiết). Trong transbronchial sinh thiết, bác sĩ vượt qua một ống sợi quang linh hoạt (soi phế quản) qua miệng vào phổi và loại bỏ một hoặc nhiều mẫu mô, về kích thước của đầu kim. Sau đó được kiểm tra trong phòng thí nghiệm. Nội soi phế quản được thực hiện trên cơ sở bệnh nhân ngoại trú bằng cách sử dụng gây tê tại chỗ.
-Rửa phế quản: Trong thủ thuật này, bác sĩ tiêm nước muối qua soi phế quản và sau đó ngay lập tức hút nó ra. Các giải pháp thu hồi có chứa các tế bào từ các túi khí. Mặc dù mẫu rửa phế quản một khu vực lớn hơn của phổi hơn so với các thủ tục khác, nó có thể không cung cấp đủ thông tin để chẩn đoán một bệnh phổi kẽ cụ thể. Thay vào đó, các bác sĩ thường sử dụng nó để kiểm tra sự tiến bộ của một rối loạn phổi hay để giúp xác định điều trị tốt nhất.
-Video thoracoscopic hỗ trợ phẫu thuật: Khi xét nghiệm ít xâm lấn không mang lại một chẩn đoán cụ thể, bác sĩ phẫu thuật lồng ngực có thể thực hiện phẫu thuật sinh thiết phổi. Trong tiến trình này, một ống dẻo với một camera (nội soi) được đưa qua một đường rạch nhỏ giữa các xương sườn, cho phép các bác sĩ phẫu thuật xem phổi trên một màn hình video. Dụng cụ phẫu thuật sau đó được đưa vào qua đường rạch khác, và bác sĩ phẫu thuật loại bỏ các mẫu mô trong phổi.
Phương pháp điều trị và thuốc
-Bệnh phổi kẽ gây ra bởi chất độc hoặc thuốc đôi khi có thể bị đảo ngược khi không còn tiếp xúc với các chất. Nhưng ở những người không phải là trường hợp triển vọng, ít triển vọng. Bởi vì các phương pháp điều trị loại thuốc hiện đang có sẵn có thể có tác dụng phụ nghiêm trọng và thường không hiệu quả.
-Điều trị cho bệnh phổi kẽ thường bao gồm một sự kết hợp của các loại thuốc sau đây:
-Thuốc corticosteroid: Các thuốc chống viêm giúp một số ít người bị bệnh phổi kẽ. Những người có nhiều khả năng mang lại lợi ích bị rối loạn với một nguyên nhân và đảo ngược những thay đổi trong phổi của họ. Corticosteroid hiếm khi cải thiện chức năng phổi ở những người bị xơ hóa phổi tự phát, và những lợi ích này thường tạm thời. Thực hiện cho thời gian dài hoặc với liều lượng lớn corticosteroid có thể gây ra một số tác dụng phụ, trong đó có bệnh tăng nhãn áp, loãng xương, cao lượng đường trong máu dẫn đến bệnh tiểu đường, chậm chữa lành vết thương và tăng tính nhạy cảm với nhiễm trùng.
-Azathioprine: Thuốc này gây độc tế bào, thường được sử dụng để ngăn chặn loại bỏ cơ quan sau khi cấy ghép, cũng có thể được sử dụng kết hợp với corticosteroid để điều trị bệnh phổi kẽ. Azathioprine có thể gây ra tác dụng phụ nghiêm trọng, bao gồm cả sản xuất giảm các tế bào máu và tăng nguy cơ nhiễm trùng và ung thư. Một loại thuốc gây độc tế bào, cyclophosphamide có thể cố gắng nếu azathioprine không hiệu quả. Tuy nhiên, các tác dụng phụ liên kết với cyclophosphamide thậm chí còn nghiêm trọng hơn.
-Acetylcystein: Thuốc này thuộc về một nhóm thuốc gọi là chất chống oxy hóa. Quá trình oxy hóa là một quá trình tự nhiên dẫn đến tế bào và mô thiệt hại. Quá trình có thể đóng một vai trò trong sự phát triển của sẹo trong phổi (xơ phổi). Kết quả từ một thử nghiệm lâm sàng cho thấy rằng, khi kết hợp với corticosteroid và acetylcystein azathioprine cải thiện chức năng phổi ở những người bị xơ hóa phổi tự phát. Không có thay đổi quan trọng đã được nhìn thấy trong tỷ lệ tử vong.
-Thuốc chống xơ hóa (Antifibrotics): Những thuốc này đôi khi được sử dụng để giúp làm giảm sự phát triển của mô sẹo. Trong các nghiên cứu lâm sàng, các thuốc bosentan và pirfenidone đã cho thấy triển vọng làm chậm sự tiến triển của tổn thương phổi. Theo dõi các nghiên cứu để có được thông tin về những rủi ro và lợi ích của các loại thuốc này trong điều trị bệnh phổi kẽ đang thực hiện. Các loại khác chống xơ đã được nghiên cứu như là phương pháp điều trị có thể cho tình trạng này - bao gồm cả colchicine, penicillamine và interferon gamma - 1b - đã không thể tìm thấy hiệu quả.
-Ôxy liệu pháp: Tùy thuộc vào mức độ nghiêm trọng của các triệu chứng và mức độ hoạt động , bác sĩ có thể khuyên nên điều trị bằng oxy. Mặc dù oxy không thể dừng lại tổn thương phổi, nó có thể làm cho hơi thở và tập thể dục dễ dàng hơn và ngăn ngừa hoặc làm giảm các biến chứng từ mức oxy thấp trong máu. Ôxy liệu pháp cũng có thể cải thiện giấc ngủ và cảm giác tốt được. Nó cũng có thể làm giảm huyết áp ở phía bên phải của tim.
-Phục hồi chức năng phổi: Đây là một chương trình chính thức cho những người bị bệnh phổi mãn tính bao gồm quản lý y tế. Mục đích của phục hồi chức năng phổi không chỉ để điều trị một bệnh hoặc thậm chí cải thiện hoạt động hàng ngày, mà còn để giúp đỡ những người bị xơ phổi sống đầy đủ, đáp ứng cuộc sống. Các chương trình phục hồi chức năng phổi tập trung vào tập thể dục, giảng dạy làm thế nào để hít thở hiệu quả hơn, giáo dục và hỗ trợ tinh thần và tư vấn dinh dưỡng.
-Thông thường, cách tiếp cận đa diện đòi hỏi một đội ngũ các nhà cung cấp chăm sóc sức khỏe mà có thể bao gồm một bác sĩ, y tá, chuyên viên phục hồi chức năng, chuyên viên dinh dưỡng và nhân viên xã hội. Chương trình có thể rất khác nhau, tuy nhiên. Bác sĩ thường có thể cho biết về các chương trình phục hồi chức năng phổi trong khu vực.
-Cấy ghép phổi: Đây có thể là một lựa chọn cho những người bị bệnh phổi trầm trọng kẽ, những người không có khả năng hưởng lợi từ các lựa chọn điều trị khác. Để được xem xét để cấy ghép, phải đồng ý bỏ thuốc nếu hút thuốc, khỏe mạnh đủ để trải qua phẫu thuật và điều trị sau ghép, phải sẵn sàng và có thể thực hiện theo các chương trình y tế đưa ra bởi nhóm phục hồi chức năng và cấy ghép, kiên nhẫn và sức mạnh tinh thần và hỗ trợ để trải qua sự chờ đợi cho một cơ quan tài trợ. Cuối cùng là đặc biệt quan trọng bởi vì các cơ quan nhà tài trợ được cung cấp đủ.
Phong cách sống và biện pháp khắc phục
Được tham gia vào điều trị và ở lại càng khỏe mạnh càng tốt là rất cần thiết để sống chung với bệnh phổi kẽ. Hãy các bước sau để lợi cho sức khỏe:
-Ngưng hút thuốc lá: Có một mối liên hệ giữa hút thuốc và một số loại bệnh tự phát phổi kẽ, hình thức nghiêm trọng nhất và có khả năng gây chết người của sự rối loạn. Nói chuyện với bác sĩ về các tùy chọn cho việc ngừng hút, bao gồm cả các chương trình cai thuốc lá, sử dụng nhiều kỹ thuật đã được chứng minh để giúp người dân bỏ thuốc lá.
-Ghi danh vào một chương trình phục hồi chức năng phổi: Các chương trình này rất khác nhau, nhưng nói chung họ tập trung vào việc cải thiện khả năng để tập thể dục và thực hiện các hoạt động bình thường, quản lý, khó thở với kỹ thuật hít thở, cải thiện sự ngon miệng và tình trạng dinh dưỡng, giao dịch với các khía cạnh tâm lý khó khăn của cuộc sống với bệnh phổi, và nâng cao chất lượng tổng thể của cuộc sống.
-Tập thể dục thường xuyên theo quy định của bác sĩ: Tập thể dục là một con dao hai lưỡi đối với người bị bệnh phổi, nó đòi hỏi một lượng tăng oxy, và nó làm cho các triệu chứng nặng hơn. Đồng thời, tập thể dục là điều cần thiết để duy trì chức năng phổi, giảm căng thẳng và trầm cảm, và duy trì sức khỏe tổng thể và hạnh phúc.
-Hãy hỏi bác sĩ cho một giới thiệu vào một chương trình phục hồi chức năng phổi trước khi bắt đầu hoặc tiếp tục thực hiện.
-Ăn uống tốt: Những người bị bệnh phổi có thể bị mất trọng lượng bởi vì nó không thoải mái để ăn và vì năng lượng thêm cần để hít thở. Tuy nhiên, một chế độ ăn uống giàu dinh dưỡng có chứa đủ lượng calo cần thiết. Các loại thực phẩm ăn, thời gian trong ngày ăn và kích thước của các phần đều có thể đóng một vai trò trong việc nuôi dưỡng cần. Bởi vì nó thường dễ dàng hơn để thở khi dạ dày không hoàn toàn đầy đủ, có thể muốn ăn bữa ăn nhỏ trong ngày thay vì hai hoặc ba bữa lớn.
-Cũng có thể thử lựa chọn nhẹ hơn, chẳng hạn như trái cây và rau trộn, chứ không phải các loại thực phẩm giàu chất béo, trong đó có nhiều năng lượng hơn để tiêu hóa. Một chuyên viên dinh dưỡng có thể cung cấp hướng dẫn thêm cho việc ăn uống khỏe mạnh.
-Nếu đang thừa cân, giảm cân để đạt được một chỉ số khối cơ thể khỏe mạnh (BMI) có thể có ảnh hưởng rất lớn vào khả năng để thở và khoan dung tập thể dục.
Đối phó và hỗ trợ
-Sống với một bệnh phổi mãn tính là tình cảm và thể chất đầy thách thức. Thói quen hàng ngày và hoạt động có thể cần phải được điều chỉnh, đôi khi hoàn toàn, như hơi thở vấn đề tồi tệ hơn hoặc chăm sóc sức khỏe cần được ưu tiên trong cuộc sống. Cảm giác giận dữ, sợ hãi và buồn bã là bình thường khi đau buồn vì sự mất mát của cuộc sống cũ và lo lắng về những gì tiếp theo cho bản thân và gia đình.
-Những đề nghị này có thể giúp đối phó với bệnh phổi kẽ:
+Chia sẻ cảm giác với những người thân yêu và bác sĩ: Nói chuyện cởi mở có thể giúp và những người thân yêu đối phó với những thách thức cảm xúc của bệnh. Ngoài ra, rõ ràng giao tiếp sẽ giúp và kế hoạch gia đình có hiệu quả cho các nhu cầu nếu bệnh tiến triển.
+Hãy xem xét tham gia một nhóm hỗ trợ: Trong một nhóm hỗ trợ, sẽ được với những người đang phải đối mặt với những thách thức tương tự. Nhóm thành viên có thể chia sẻ chiến lược đối phó, trao đổi thông tin về cách chữa trị mới, hoặc đơn giản chỉ lắng nghe khi thể hiện cảm xúc. Nếu một nhóm không phải dành cho, có thể muốn nói chuyện với một nhà cung cấp sức khỏe tâm thần hoặc các thành viên giáo sĩ.
+Hãy hỏi bác sĩ về các nhóm tự giúp đỡ hoặc trị liệu trong cộng đồng. Địa phương, thư viện công cộng, danh bạ điện thoại và Internet cũng có thể là nguồn tốt cho việc tìm kiếm một nhóm hỗ trợ trong khu vực.
Hy vọng với phần phúc đáp chi tiết ở trên đã giúp bạn và người thân cũng như một số đọc giả khác hiểu hơn về bệnh lý này. Thân chúc bạn khỏe!