Lê Tấn Th., 27 tuổi, Tuy Hòa, Phú Yên, hoatth@.....
Hỏi: Kính thưa các bác sỹ, vừa qua tôi có đưa em gái đi khám da liễu để điều trị mụn trứng cá đỏ tại một phòng khám tư nhân ở Tuy Hòa, nhưng sau đó bệnh lại càng nặng hơn. Em lại dẫn em nó vào sài gòn để khám và điều trị thì các bác sỹ ở đây bảo là trước đó đã điều trị sai với tình trạng mụn trứng cá này, nên cần dừng lại và điều trị theo hướng ở sài gòn. Vậy cho em hỏi các bác sỹ khi điều trị mụn trứng cá thì điều trị như thế nào gọi là sai. Xin các bác sỹ cho biết để tránh. Chân thành cảm ơn rất nhiều!
Trả lời:
Liên quan đến câu hỏi thú vị của bạn, chúng tôi xin phúc đáp sau khi truy cập thông tin và tổng hợp từ các chuyên gia da liễu đã từng gặp để chia sẻ với bạn như sau:
Bệnh mụn trứng cá đỏ là bệnh ngoài da phổ biến gây nổi mẩn đỏ ở mặt, tạo ra các mụn đỏ hay mụn mủ. Mụn mọc nhiều ở vùng mũi, cằm, má, trán. Nếu không được điều trị sớm và đúng cách sẽ sinh ra biến chứng, ảnh hưởng thẩm mỹ của bạn và thạm chí hóa sẹo xấu. Tuy nhiên, nếu tự ý mua các loại sản phẩm dùng ngoài được bày bán tự do, sẽ gây kích ứng, da bị đỏ hơn, ngứa hơn. Do vậy, nhất định bạn phải đến bác sỹ chuyên khoa da liễu để được thăm khám, tư vấn, chỉ định đúng loại thuốc phù hợp cho da của bạn. Một số cách điều trị và dùng thuốc sai:
-Dùng corticoid bôi tại chỗ: Vì corticoid là một loại thuốc chống viêm mạnh, hiệu quả nhanh, nhưng cũng chỉ là thuốc điều trị triệu chứng, dễ gây lệ thuộc thuốc và hiệu ứng phản hồi. Thuốc mỡ (dạng cream bôi) chứa corticoid là những chế phẩm có tác dụng nhanh trong điều trị một số bệnh ngoài da, sẩn ngứa, dị ứng, viêm da tiếp xúc, viêm da thần kinh... Thuốc được hấp thu nhanh, nhiều ở vùng da mỏng như: bẹn, bìu, hố nách, mặt cổ và da đầu. Được hấp thu ít là bôi ở vùng cẳng tay, đầu gối, khuỷu tay, lòng bàn tay. Qua da, lượng thuốc được hấp thu sẽ phân bố vào da, cơ, gan, ruột và thận. Tuy thuốc mỡ corticoid có tác dụng tốt và nhanh nhưng không phải là thuốc chữa được “bách bệnh” về da. Mặt khác, thuốc còn có chống chỉ định trong một số trường hợp và có những tác dụng phụ, phản ứng quá mẫn như viêm da, ngứa, trứng cá đỏ, thậm chí có thể bị teo da, vết rạn, nhiễm khuẩn thứ phát. Tác dụng phụ nguy hiểm nhất của corticoid bôi tại chỗ là gây teo da. Biến chứng này thường xảy ra sớm với các loại corticoid tác dụng mạnh như clobetasol propionate, fluocinolon acetonide... Trẻ em có nguy cơ teo da cao nhất. Dùng phối hợp với corticoid toàn thân hoặc tiếp xúc nhiều với ánh nắng sau thoa thuốc cũng làm tăng nguy cơ teo da. Biểu hiện của teo da bao gồm các vết bầm tím, da trở nên bóng và có các khía. Khi dùng thuốc chỉ bôi một lớp mỏng thuốc lên vùng da bị bệnh, nếu bôi dày, bôi nhiều lần (hơn 3 lần/ngày), kéo dài (quá 1 tuần) thì dễ bị tác dụng phụ của corticoid và các thành phần phối hợp. Đối với một số người có cơ địa quá mẫn cảm, nếu bôi lâu ngày, nhất là ở vùng da mỏng (da vùng cổ, mặt, lòng trong cánh tay...) sẽ gây teo da, giãn mạch. Việc lạm dụng thuốc mỡ corticoid trong thời gian dài còn bị phản tác dụng vì thuốc không ngăn ngừa được bệnh tái phát, mà khi tái phát, bệnh lại nặng hơn trước, cứ thế người bệnh luôn phụ thuộc vào thuốc. Ngoài ra, người ta còn thấy tác dụng chống viêm của các corticoid có thể bị giảm nhanh khi dùng nhắc lại. Tuyệt đối không được bôi thuốc mỡ corticoid lên vùng da bị nấm (hắc lào, lang ben...) hay lên các vùng da tổn thương do virut (herpes, thủy đậu...) hoặc các vết thương hở đang có nhiễm khuẩn cấp tính sẽ làm bệnh nặng thêm và lan rộng;

Hình 1
-Các loại thuốc dùng ngoài có chứa corticoid dạng cream, thuốc mỡ: Cortibion, synalar, halog, flucinar, diprosone có tác dụng tức thời làm nhiều người rất thích và ngộ nhận như da láng mịn hơn, trắng hơn. Nhưng nếu lạm dụng sẽ làm cho bệnh trở lên trầm trọng hơn hoặc bị mụn đỏ, mụn li ti, teo da, rạn da, tăng tiết bã nhờn, giãn mạch, làm tổn thương da mặt;
-Chỉ dùng kháng sinh bôi ngoài: Vi khuẩn chính gây nên mụn trứng cá là Propionibacterium acnes. Việc chỉ dùng kháng sinh dạng dùng ngoài bôi lên mụn trứng cá mà không có thêm biện pháp nào kèm theo để trị mụn sẽ gây hiện tượng kháng thuốc. Ban đầu kháng sinh tiêu diệt được một lượng lớn vi khuẩn, nhưng vẫn còn một lượng nhỏ chưa bị diệt nằm sâu trong các nang lông, chúng có thể bị đột biến, có khả năng vô hiệu hóa lại các kháng sinh đó. Những vi khuẩn này sẽ nhân lên rất mạnh trong nang lông bất chấp bạn bôi kháng sinh nhiều cỡ nào. Sau đó da sẽ quay về tình trạng ban đầu: mụn, viêm, sưng đỏ... và rất khó điều trị;

Hình 2
-Lạm dùng kháng sinh bằng đường uống: Nếu uống kháng sinh trong một thời gian dài cũng sẽ làm mụn trứng cá nặng hơn lên, gây rối loạn một số chức năng. Do kháng sinh diệt vi khuẩn gây bệnh đồng thời cũng diệt luôn một số lợi khuẩn như Acidophilus - có tác dụng làm khỏe, làm sạch tế bào da. Ngoài ra lợi khuẩn còn giúp bảo vệ đường tiêu hóa, ngừa nhiễm ký sinh trùng và nấm. Hơn nữa, khi dùng kháng sinh dài hạn để điều trị mụn trứng cá cũng gây áp lực lên chức năng chuyển hóa của gan-một trong những cơ quan quan trọng nhất để thanh thải độc tố, cải thiện làn da của bạn;
-Lạm dụng vitamin A:Vitamin A acid thường được nhiều người dùng để điều trị mụn trứng cá, đặc biệt với trứng cá mụn mủ nặng, dai dẳng. Tuy nhiên, gần đây theo các bác sĩ chuyên khoa da liễu khuyến cáo thì không được lạm dụng và cần phải cân nhắc khi tiến hành điều trị, vì vitamin A acid có một số tác dụng phụ nguy hiểm như phụ nữ độ tuổi sinh đẻ muốn có con hoặc đang có thai lạm dụng vitamin A acid có nguy cơ gây quái thai. Khi sử dụng vitamin A acid, tuyến bã nhờn sẽ hoạt động kém đi (hoặc hoạt động quá mức, da mặt luôn bóng nhờn), do đó sẽ gây ra hiện tượng khô da, bong tróc da, rối loạn tuyến bã nhờn và người sử dụng có nguy cơ dễ bị mụn, dễ bị nhiễm khuẩn da hơn. Vitamin A acid còn khiến da bị nhạy cảm với ánh sáng, nên da dễ bị thâm sạm do nắng, nhiều ca bị nám mảng, nám đốm trên diện rộng. Lạm dụng vitamin A acid cũng ảnh hưởng đến chứng năng gan, làm tăng men gan.Vì những tác dụng không mong muốn trên mà hiện nay việc sử dụng vitamin A acid dạng thuốc để trị mụn trứng cá đã bị hạn chế. Tuy nhiên, bạn có thể sử dụng vitamin A từ nguồn thiên nhiên như: các loại rau cải có lá xanh, các loại trái cây có chứa beta caroten... với một lượng thích hợp sẽ cải thiện tốt cho làn da.
Chúng ta có thể hạn chế mụn trứng cá đỏ bằng cách:
-Không hút thuốc: Hút thuốc là nguyên nhân hàng đầu gây ung thư phổi, bệnh tim, làm lão hóa tế bào da... Ngoài ra, hút thuốc còn làm cho các mao mạch dưới da dễ bị tổn thương, lấy đi các dưỡng chất cần thiết để tái tạo và duy trì các tế bào khỏe mạnh, gây ra mụn. Trong một nghiên cứu cho thấy 3/4 số người bị mụn trứng cá là do hút thuốc lá;

Hình 3
-Cần cạo râu đúng cách: Khi sử dụng dao cạo bị cùn, mòn bạn cứ phải cạo đi, cạo lại nhiều lần làm da dễ bị trầy xước, sần lên, là điều kiện làm cho vi khuẩn cũng như các chất bụi bẩn bám vào da. Từ đó có thể dẫn đến tình trạng trứng cá nặng hơn lên, nguy cơ trở thành trứng cá bội nhiễm nếu không có cách khắc phục sớm. Đặc biệt, khi cạo râu không sử dụng loại kem chuyên dụng sẽ tạo ra độ ma sát lớn làm da dễ bị tổn thương dẫn đến tình trạng bị viêm lỗ chân lông, vi khuẩn tích tụ làm cho trứng cá nặng nề hơn. Cách tốt nhất là trong khi cạo râu, cố gắng tránh các vùng da đang bị mụn trứng cá, nên cạo nhẹ nhàng, dùng các loại kem, lotion chuyên dụng để làm mềm râu trước khi cạo. Cẩn thận khi dùng các loại kem có nguồn gốc từ dầu vì có thể tạo mụn nhiều hơn;
-Không dùng tay nặn mụn trứng cá: Khi bị mụn trứng cá, bạn có cảm giác ngứa, khó chịu... khiến bạn hay nặn bóp mà không biết tay đang bẩn sẽ có nhiều vi khuẩn sẽ tác động trực tiếp đến những tổn thương mụn. Việc nặn mụn không đúng cách sẽ phá vỡ các nang lông, mủ và nước vàng chảy ra làm mụn tấy lên, tấn công sang các vùng da khác, để lại các vết thâm, sẹo lồi, sẹo lõm. Do đó, bạn không nên phá vỡ bề mặt của mụn trước khi chín và tự bong da. Ngoài ra, mụn trứng cá có thể mọc ở chỗ nhạy cảm, nhiều dây thần kinh hoặc ở những vị trí khó. Tự ý lấy tay nặn, nhể có thể gây biến chứng.
Khi bị mụn trứng cá đỏ, nhất thiết bạn phải đến gặp bác sĩ chuyên khoa da liễu để được khám và tư vấn điều trị đúng. Việc điều trị mụn trứng cá đỏ đòi hỏi phải kiên trì, do vậy bạn không nên vì sốt ruột mà bỏ cuộc giữa chừng. Đặc biệt là không nên nghe theo mách bảo mà dùng thuốc bôi, thuốc uống bừa bãi sẽ khiến bệnh trở nặng hơn và khó chữa. Có bệnh thì phải dùng thuốc, nhưng phải dùng đúng bệnh, đúng thuốc, đúng liều. Nhiều người có thói quen tự ý dùng thuốc ngay cả khi chưa có bệnh hoặc không biết cách sử dụng thuốc. Khi đó, thuốc sẽ không phát huy được tác dụng chữa bệnh mà người sử dụng sẽ gặp những tác dụng phụ nguy hiểm của thuốc.
Trên đây là những thông tin mà bạn có thể gặp phải trong quá trình điều trị mụn trứng cá cho em gái bạn.
Huỳnh Hoàng R., 41 tuổi., Quận 7 TP. Hồ Chí Minh
Hỏi: Xin hỏi các bác sỹ nguyên nhân, cách điều trị và phòng bệnh á sừng trên tay, chân khỏi bị tái phát. Kính chân thành cảm ơn!
Trả lời:
Liên quan đến câu hỏi của bạn về bệnh á sừng, chúng tôi có trả lời ở phần phúc đáp kỳ trước, bạn có thể tham khảo thêm nhé! Vè phần câu hỏi của bạn có 3 vấn dề và vấn đề nào cũng khó để giải quyết vì có thể đây là bệnh thuộc về cơ địa và dị ứng miễn dịch nên không thể điều trị một cách triệt để. Á sừng là trạng thái lớp sừng chuyển hóa dở dang, tế bào còn nhân và nguyên sinh, chưa chuyển hóa hết thành sừng. Lớp sừng chuyển hóa dở dang gọi là lớp sừng non, sừng bở, sừng tạp, kém chất lượng. Bệnh không nguy hại đến sức khỏe nhưng lại gây nhiều phiền toái cho sinh hoạt hàng ngày. Được điều trị dứt điểm, bệnh sẽ dần ổn định. Tuy nhiên, nếu không tránh được các yếu tố nguy cơ, bệnh sẽ nhanh chóng tái phát và tình trạng bong tróc da ngày càng nặng nề hơn.
Hình 3+4
Bệnh á sừng là một bệnh viêm da cơ địa dị ứng, là một bệnh ngoài da khá phổ biến, có thể gặp ở nhiều vị trí da khác nhau, nhưng rõ rệt nhất là ở các đầu ngón tay, chân, gót chân. Vùng bàn tay, chân bị á sừng thường khô ráp, tróc da, nứt nẻ ở ria, gót chân và đầu các ngón. Nếu không giữ gìn vệ sinh, người bệnh dễ bị nhiễm khuẩn thứ phát gây sưng tấy. Vào mùa hè, vùng da bệnh bị ngứa, nổi mụn nước như trong bệnh tổ đỉa, lâu ngày có thể làm các móng xù xì lỗ chỗ. Vào mùa đông, tình trạng nứt nẻ càng nặng, phần da bệnh dễ bị toác ra, rớm máu, nứt sâu ở gốc ngón gọi là đứt cổ gà, đi lại đau đớn.
Nguyên nhân gây á sừng đến nay vẫn chưa xác định, song nhiều nhà khoa học cho rằng đó là do yếu tố di truyền trong gia đình hoặc thói quen dinh dưỡng thiếu cân đối từ bé. Thực tế cho thấy, đại đa số bị mắc bệnh đều do ăn ít rau quả. Thiếu vitamin nhất là A, C, D, E… sẽ ảnh hưởng đến chất lượng lớp sừng. Đây là bệnh viêm nhiễm mạn tính, khi cơ thể có sự thay đổi về nội tiết có thể tự khỏi như đến tuổi dậy thì, mang thai, mãn kinh…
Phương pháp điều trị hiện nay là dùng các thuốc bôi bạt sừng, tạo sừng như axit salixilic, diprosalic, betnoval. Cần kết hợp với thuốc kháng sinh tác động ngay tại vùng da bệnh hoặc toàn thân nếu bị nhiễm khuẩn phụ, dùng các thuốc chống nấm nếu có nhiễm nấm như mỡ nizoral, dẫn xuất imidazol, griseofulvin. Trường hợp nặng có thể phải dùng corticoid, kháng histamin. Để bệnh không tiến triển nặng hơn, bệnh nhân cần thực hiện một số điều như sau:
-Tránh bóc vẩy da, chọc nhể các mụn nước, chà sát kỳ cọ quá mạnh bằng đá kỳ, bàn chải… làm xây xước lớp sừng tạo điều kiện cho nhiễm khuẩn, nhiễm nấm trên lớp sừng vốn đã kém sức đề kháng.
-Không nên ngâm rửa tay chân nhiều. Chú ý giữ khô các kẽ. Lớp sừng vốn đã bở nên càng ẩm ướt sẽ càng dễ bị vi khuẩn nấm tấn công. Sau khi rửa chân tay, cần dùng khăn lau khô, nhất là các kẽ tay, kẽ chân. Nếu tiếp xúc với nước nhiều càng tạo thuận lợi để lớp sừng bong vảy. Khi chế biến thức ăn, tránh tiếp xúc với mỡ, gia vị như ớt, muối… bằng cách đeo găng tay. Nếu lớp mỡ bám nhiều vào da càng khiến lớp sừng trở nên thô ráp, bong vảy.
-Không ngâm chân tay với nước muối vì nước muối ưu trương sẽ hút nước trong tế bào ra làm da càng khô và nứt sẽ rộng và sâu hơn.
-Thận trọng khi tiếp xúc với dụng cụ mạ nickel và đồ thuộc da như giầy dép da.
-Hạn chế dùng xà phòng có độ tẩy mỡ cao ở tay chân. Khi tiếp xúc với xà phòng, xăng dầu cần đeo găng bảo vệ. Không dùng găng tay cao su mà dùng găng latex.
-Mùa đông nên đi tất, đi găng tay sớm hơn người khác để bảo vệ lớp sừng ở lòng bàn tay, chân khỏi tác hại của biến đổi thời tiết đột ngột dễ làm nứt nẻ. Không đi tất nilon mà đi tất cotton.
-Tăng cường ăn rau quả tươi để có đủ vitamin cho cơ thể nói chung và lớp sừng nói riêng. Giá đỗ, cà chua, các loại đậu, rau ngót, rau bí, bắp cải, cam bưởi, đu đủ, cà rốt… là nguồn cung cấp vitamin vô cùng quý báu.
-Nếu duy trì được thuốc giữ ẩm thường xuyên thì tổn thương sẽ nhanh hồi phục.
-Nếu mắc bệnh, bệnh nhân nên đi khám tại chuyên khoa da liễu để được chẩn đoán bệnh và hướng dẫn cụ thể hơn. Không nên tự ý sử dụng thuốc, chỉ được sử dụng thuốc theo chỉ định của bác sĩ vì thuốc điều trị bệnh da liễu có nhiều tác dụng phụ, dùng không đúng sẽ lợi bất cập hại. Ngoài ra, bệnh nhân nên chú ý phòng tránh và tăng cường các thức ăn bổ dưỡng cho da.
Bệnh á sừng coi là một bệnh biểu hiện của viêm da cơ địa đặc trưng bởi các tổn thương dạng sừng ở các đầu ngón tay, chân, gót, bàn tay, bàn chân. Là căn bệnh ngoài da có diễn biến phức tạp, do nhiều tác nhân. Bệnh thường tái phát nên ảnh hưởng đến sinh hoạt của người bệnh. Á sừng là bệnh khô da, nứt da, bong da ở bàn tay, bàn chân tiến triển dai dẳng kéo dài. Đây là một bệnh da khá phổ biến, biểu hiện thương tổn ở nhiều vùng da khác nhau trên cơ thể và ở một số người thì biểu hiện rõ rệt nhất là ở các đầu ngón tay, chân, gót chân.
Bệnh thường biểu hiện với hình ảnh bệnh chàm ở da đầu ngón chân, tay, gót chân. Thương tổn bắt đầu là nền da khô, đỏ ở các đầu ngón tay, chân ranh giới không rõ ràng. Các dát đỏ có thể lan rộng ra ở bàn tay, bàn chân, gót chân. Tổn thương á sừng ảnh hưởng đến sinh hoạt hàng ngày của bệnh nhân bất kể vào mùa nào trong năm. Về mùa hè, thương tổn có thể đỏ, ngứa nổi mụn nước như trong bệnh tổ đỉa, lâu ngày có thể làm các móng xù xì, lỗ chỗ. Mùa đông khi độ ẩm trong không khí thấp, tình trạng nứt nẻ càng nặng thêm, phần da bệnh dễ bị nứt toác ra, rớm máu, đau đớn, có thể ảnh hưởng đến sinh hoạt và công việc. Nếu tiếp xúc với xà phòng, các chất tẩy rửa, các loại xăng dầu, hóa chất... thì bệnh càng nặng thêm. Thương tổn cũng rất dễ bị nhiễm khuẩn hoặc nhiễm nấm phối hợp. Tùy từng trường hợp, bệnh có thể chỉ gặp ở bàn tay hoặc bàn chân nhưng cũng có thể biểu hiện cùng lúc ở cả hai nơi.

Hình 5
Về nguyên nhân của bệnh cho đến nay chưa thật rõ ràng. Với các trường hợp viêm da cơ địa, bệnh được cho là có yếu tố di truyền và cơ địa dị ứng. Các yếu tố thúc đẩy tình trạng bệnh khởi phát hoặc nặng hơn là tiếp xúc với xà phòng, chất tẩy rửa, các loại hóa chất, đất, nước bẩn, khói thuốc...Nếu là biểu hiện của viêm da cơ địa thì các yếu tố gây dị ứng hay kích ứng cũng thường là tác nhân gây khởi phát hoặc làm nặng thêm tình trạng bệnh. Với các trường hợp viêm da tiếp xúc chủ yếu là các trường hợp viêm da trong công nghiệp. Bệnh thường gặp ở nữ công nhân giặt, công nhân nhà máy xà phòng, thợ làm đầu, nhân viên y tế hay các bà nội trợ. Các yếu tố thuận lợi là cọ sát, sang chấn, độ ẩm thấp,...
Làm thế nào giảm nhẹ triệu chứng và chống tái phát? Bệnh tuy không nguy hại đến sức khỏe nhưng lại gây nhiều phiền toái cho bệnh nhân trong sinh hoạt hàng ngày. Nếu được điều trị và chăm sóc tốt, bệnh sẽ dần dần ổn định. Tuy nhiên, nếu không tránh được các yếu tố nguy cơ, bệnh sẽ nhanh chóng tái phát và tình trạng bong tróc da ngày càng nặng thêm. Để được điều trị tốt nhất người bệnh nên đến chuyên khoa da liễu khám để được hướng dẫn cụ thể cách chăm sóc da và dùng thuốc. Các phương pháp điều trị hiện nay là dùng các thuốc bôi bạt sừng như acid salycilic hay bôi các chế phẩm có steroid để giảm viêm như gentrizone, fucicort...
Hy vọng với các thông tin tổn họp ở trên sẽ giúp bạn phần nào hiểu rõ về bệnh á sừng.
Trần Thị Th., 29 tuổi Eakar, huyện Eakar, tỉnh Đăklăk, 0914…..
Hỏi: Kính thưa các bác, em bị dị ứng và đi khám khắp nơi, gần đây có đi khám tại Viện Pasteur Nha Trang, phát hiện qua kiểm tra dị nguyên cho thấy em bị bụi nhà, nhưng các bác sỹ cho em điều trị vấn không bớt, khi dùng thuốc lại bị sưng môi. Không biết đó là triệu chứng của bệnh em hay là triệu chứng do dị ứng thuốc. Xin các bác cho lời khuyên
Trả lời:
Quả là một câu hỏi thú vị và liên quan đến nhiều vấn đề. Hiện nay vấn đề dị ứngvà mày đay mạn tính là vấn đề y tế không phải giải quyết một sớm một chiều mà dứt bệnh hẳn. Đã có nhiều bệnh nhân mắc các triệu chứng như thế đã nhiều năm và dường như họ phải sống chung với “lũ” chứ không thể nào dứt điểm được, dù đã điều trị khắp nơi. Riêng đối với trường hợp của bạn, đã làm đến xét nghiệm kiểm tra dị nguyên là chứng tỏ các xét nghiệm khác đã làm gần như đã hết, tuy nhiên xét nghiệm này không phải độ đặc hiệu cao và không phải là chỉ điểm duy nhất bạn mắc bệnh đó mà có thể tự thân của bạn có thể đang mắc một tình trạng bệnh khác nữa (gọi là bệnh lý nền hay cơ địa dị ứng).

Hình 6
Bệnh dị ứng do bụi nhà là một phản ứng của cơ thể đối với những con bọ chét nhỏ thường gặp có trong bụi nhà. Những con bọ này không thể nhìn thấy bằng mắt thường. Chúng được tìm thấy trong giường, đồ đạc bọc da hoặc vải và thảm. Những người bị dị ứng với bọ chét bụi nhà có thể bị ho, chảy nước mũi, ngứa mũi, nghẹt mũi, hắt hơi, ngứa và chảy nước mắt. Trong thực hành lâm sàng, chúng tôi cũng đã nhiều lần gặp các kết quả xét nghiệm như thế ở nhiều đơn vị y tế khác nhau, kể cả của Viện chúng tôi, song chúng ta khi có kết quả xét nghiệm như vậy cũng không nên coi đó là chẩn đoán duy nhất mà có thể còn nguyên nhân khác nữa, hơn nữa nếu dị ứng với tôm cua, mạt nhà, bụi nhà thì không có thuốc điều trị mà chỉ đưa ra lời khuyên và tư vấn loại bỏ tác nhân gây dị ứng mà thôi vì không có thuốc điều trị đặc hiệu hay giải mẫn cảm đâu. Tình trạng như thế cần xem xét bệnh một cách tổng thể chứ không thể mình tự cho là bệnh đó rồi. Liệu thuốc điều trị có gây dị ứng như bạn nghĩ hay không thì không thể khẳng định vì bạn đừng nghĩ rằng thuốc chống dị ứng là không gây dị ứng đâu nhé.
Theo Cơ quan Quản lý thuốc và thực phẩm Mỹ (US.FDA) vừa phê duyệt thuốc Odactra để điều trị dị ứng như viêm mũi dị ứng do bụi nhà, có hoặc không có viêm kết mạc cho người từ 18 - 65 tuổi. Cơ quan FDA cho đây là thuốc đầu tiên sử dụng ngậm dưới lưỡi được phê chuẩn để trị bệnh này. FDA cho biết, bệnh dị ứng do bụi nhà có thể ảnh hưởng tiêu cực đến chất lượng cuộc sống của người bệnh và sự chấp thuận Odactra sẽ cung cấp cho bệnh nhân một phương pháp điều trị thay thế cho tình trạng viêm mũi dị ứng để giúp giải quyết các triệu chứng của dị ứng. Thuốc có tác dụng tăng cường hệ thống miễn dịch, làm giảm tần số và mức độ nghiêm trọng của triệu chứng dị ứng mũi và mắt ở những bệnh nhân. Thuốc dưới dạng viên, dùng 1 lần/ngày. Khi đặt dưới lưỡi thuốc nhanh chóng tan ra và hấp thu vào cơ thể. Liều thứ nhất được thực hiện dưới sự giám sát của một chuyên gia chăm sóc sức khỏe có kinh nghiệm về chẩn đoán và điều trị các bệnh dị ứng. Bệnh nhân phải được theo dõi ít nhất 30 phút đối với các phản ứng phụ có thể xảy ra. Nếu liều thuốc đầu tiên được dung nạp tốt, bệnh nhân có thể dùng Odactra ở nhà. Phản ứng phụ thường gặp nhất là buồn nôn, ngứa ở tai và miệng, sưng môi và lưỡi. Vì vậy, người bệnh cần cảnh giác với nguy cơ phản ứng dị ứng nghiêm trọng như sưng môi và lưỡi vì đây có thể là phản ứng dị ứng đe dọa tính mạng khi dùng thuốc này.

Hình 7
Hiện thuốc này chưa có ở Việt Nam, song đây là một ví dụ cho thấy có thể là một tình trạng dị ứng do thuốc chống dị ứng đó bạn nhé!
Nguyễn Thị S., 29 tuổi, huyện Phù Cát, tỉnh Bình Định, 0126…
Hỏi: Kính thưa Ban biên tập tạp chí của Viện sốt rét côn trùng Quy Nhơn, em xin hỏi về các dấu hiệu nói lên cảnh báo thiếu sắt ở trẻ em. Con em vừa qua đi khám hai bệnh viện đều nói cả nhà em đang bị thiếu sắt thiếu máu. Em không biết phải làm sao nữa.
Trả lời:
Có lẽ đây không phải là câu hỏi của riêng bạn mà cho tất cả những bà mẹ đang nuôi con và chăm sóc con trực tiếp thường xuyên đặt câu hỏi như thế. Liên quan đến câu hỏi này, chúng tôi xin phúc đáp rằng thiếu sắt trong máu có thể dẫn đến nhiều biến chứng, chẳng hạn như thiếu máu không đảm bảo cung cấp đủ ôxy và chất dinh dưỡng cho các tế bào của cơ thể hoạt động bình thường. Nếu không được điều trị kịp thời, có thể dẫn đến suy giảm thể chất hoặc suy giảm nhận thức và giảm khả năng học tập của các cháu.

Hình 8
Thiếu máu hiện là vấn đề sức khỏe toàn cầu và các đối tương trẻ em và phụ nữ mang thai dễ có nguy cơ thiếu máu thiếu sắt nhất (bạn có thể theo dõi số liệu trong hình bênh dưới). Trường hợp thiếu chất sắt không có triệu chứng cho đến khi xuất hiện thiếu máu thiếu sắt đã phát triển. Có thể được nhận thấy với các triệu chứng như da tái xanh, nhợt nhạt, yếu suy nhược, trẻ hay có cáu gắt, khó chịu và thường van mệt mỏi. Các trường hợp thiếu máu thiếu sắt trầm trọng có thể dẫn đến các triệu chứng sưng bàn tay và bàn chân (phù dinh dưỡng, phù do thiếu sắt), tăng nhịp tim, khó thở. Trẻ sơ sinh sẽ bị bệnh vàng da nếu trẻ bị thiếu máu tan huyết. Thiếu sắt ở trẻ em cũng gây ra một tình trạng rối loạn hành vi. Nếu con của bạn có các yếu tố nguy cơ dưới đây, trẻ có thể có khả năng bị thiếu sắt cao hơn:

Hình 9
-Trẻ đẻ non và có cân nặng thấp: Trẻ sinh ra có đủ các nguồn sắt dự trữ trong thời gian dài, có thể kéo dài đến 6 tháng. Trẻ sơ sinh đẻ non hoặc có trọng lượng sinh thấp hơn chuẩn có thể đã cạn kiệt nguồn dự trữ sắt chỉ có thể kéo dài trong 2 tháng, khiến chúng dễ bị thiếu chất sắt hơn;
-Trẻ chỉ uống sữa bò: Sữa bò có ít chất sắt và cũng có thể gây cản trở khả năng hấp thụ sắt từ các nguồn thực phẩm khác. Sữa bò cũng có thể gây kích ứng dạ dày của trẻ. Do đó, bạn nên tránh cho trẻ dùng sữa bò trong năm đầu tiên và lựa chọn tối ưu là cho bú mẹ tự nhiên;
-Chế độ ăn ít chất sắt: Chất sắt trong cơ thể chúng ta, cũng như hầu hết các chất dinh dưỡng và vitamin, được hấp thụ qua thực phẩm chúng ta ăn. Trung bình, khoảng 1mg được hấp thụ cho mỗi 10-20mg sắt tiêu thụ. Thiếu sắt ở trẻ em có thể sẽ phát triển nếu một chế độ ăn kiêng không cân bằng với thiếu tiêu thụ thực phẩm chứa sắt;
-Giai đoạn tăng trưởng cần đủ sắt: Khi con bạn lớn lên, chúng sẽ cần nhiều chất sắt hơn trong chế độ ăn uống đi kèm với sự tăng trưởng tự nhiên và sản xuất tế bào hồng cầu. Nếu lượng sắt không tăng trong thời kỳ tăng trưởng, con của bạn có thể bị thiếu chất sắt;
-Các bất thường đường tiêu hóa: Nếu bất thường xảy ra ở đường tiêu hóa, nơi hấp thu sắt, chẳng hạn như sau khi phẫu thuật dạ dày ruột, con bạn có thể gặp khó khăn khi hấp thụ sắt, dẫn đến thiếu máu;
-Mất máu: Con bạn có thể bị mất máu theo nhiều cách, chẳng hạn như thương tích hoặc chảy máu đường tiêu hóa. Mất quá nhiều máu có thể dẫn đến thiếu máu.
Việc điều trị thiếu sắt ở trẻ em như sau:Trong hầu hết các trường hợp, thiếu sắt ở trẻ em có thể được điều trị với lượng bổ sung sắt hàng ngày, bạn cũng có thể thay đổi chế độ ăn uống của trẻ và cung cấp cho trẻ multivitamin có chứa sắt (viên Hezoy, Ferronic 9). Sẽ mất đến 6 tháng để ổn định tình trạng thiếu sắt, cần trao đổi với bác sĩ trước khi bổ sung sắt cho trẻ. Các chất bổ sung sắt nên được dùng với dạ dày trống rỗng để hấp thụ sắt hiệu quả hơn, tránh dùng sắt kèm với sữa, vì điều này sẽ làm giảm khả năng hấp thu sắt của cơ thể. Các thực phẩm giàu vitamin C như cam, quýt có thể giúp hấp thu sắt. Nếu việc điều trị không có hiệu quả, cần cho trẻ đi khám bác sĩ, bổ sung xét nghiệm để tìm nguyên nhân và can thiệp kịp thời như truyền máu...

Hình 9
Để ngăn ngừa thiếu sắt thì người mẹ cho con bú sữa mẹ hoặc sử dụng công thức bổ sung sắt. Chất sắt tốt nhất và dễ hấp thu nhất cho trẻ dưới 1 tuổi là sữa mẹ. Đó là lý do tại sao bạn nên tiếp tục cho con bú ít nhất một năm. Nếu bạn không thể làm như vậy, hãy lựa chọn cho công thức bổ sung sắt theo hướng dẫn.
Chế độ ăn uống cân bằng, khi con bạn có thể tiêu thụ thức ăn rắn, hãy chọn thực phẩm có nhiều chất sắt, chẳng hạn như các loại ngũ cốc cho em bé. Khi trẻ lớn lên, các nguồn cung cấp chất sắt tốt bao gồm rau xanh đậm, cá, gà, thịt đỏ và đậu. Trong độ tuổi từ 1-5 tuổi, lượng sữa bò tiêu thụ nên hạn chế khoảng 710ml mỗi ngày. Tăng cường vitamin C: Vitamin C giúp hấp thụ sắt. Vitamin C có thể tìm thấy trong thực phẩm như cam, cà chua, dưa, dâu tây, bông cải xanh, khoai tây và kiwi. Dùng chất bổ sung sắt: Thiếu sắt ở trẻ em thường được điều trị bằng chất bổ sung sắt. Nếu con của bạn có nguy cơ bị thiếu máu thiếu sắt, chẳng hạn như sinh non, thì nên bổ sung chất sắt. Nếu bạn nghi ngờ con của bạn có thể bị thiếu sắt, bạn nên cho trẻ đi khám bác sĩ nhi khoa.
Thân chú cả gia đình bạn khỏe!
Lê Thanh Tr., 31 tuổi, cán bộ thuế Thủ Dầu Một, Bình Dương
Hỏi: Xin hỏi các bác sỹ làm thế nào giảm cân nặng nhanh nhất vì em hiện nay 31 tuổi cân nặng 97 kg và trên da có nhiều vết rạn nút không đau, không khó chịu nhưng trong người em cảm giác di chuyển nặng nề và thường xuyên mệt mỏi dù em ra sức luyện tập thể dục thể thao, thậm chí em tập nhiều hơn mọi người, số giờ tập luyện 4 giờ/ ngày nhưng vẫn không giảm cân đáng kể. Em xin hỏi có loại thức ăn, trái cây nào mà có thể giúp em giảm cân tốt không, em chân thành cảm ơn bác sỹ!
Trả lời:
Đúng là cân nặng như vậy cũng khó khăn cho bạn đi lại, làm việc và sinh hoạt hàng ngày. Tuy nhiên bạn cũng không nên lo lắng qua vì nói vui có câu: “Ốm đẹp, mập dễ thương, cao sang, lùn quý phái”. Do vậy dù thế nào đi chăng nữa bạn cũng là người dễ thương ấy mà. Liên quan đến câu hỏi của bạn, nguyên tắc chính của chế độ ăn kiêng để giảm cân là tiêu thụ ít calo hơn calo cơ thể bạn cần để hoạt động. Rau quả là loại thực phẩm có lượng calo thấp nên bạn có thể sử dụng những thực phẩm này để thay thế các thực phẩm có hàm lượng calo cao khác.
ngoài các chế độ ăn nhiều chất xơ ra, thì có 10 loại trái cây và rau quả giúp giảm cân cho bạn mà chúng tôi xin tổng hợp ở đây giúp bạn giảm cân nhé!
- Lê: Lê thích hợp cho những người đang ăn kiêng vì quả lê là trái cây có hàm lượng chất béo thấp nhưng có hàm lượng nước cao, vì vậy, nó có thể làm đầy dạ dày trong một thời gian khá dài. Ngoài ra, lê cũng chứa chất xơ cao, rất có lợi cho hệ thống tiêu hóa. Nếu đường tiêu hóa của bạn thông suốt thì việc đi vệ sinh diễn ra suôn sẻ, giúp ngăn sự tích tụ chất béo trong cơ thể là nguyên nhân dẫn đến béo phì.
- Quả mọng: Nhiều nghiên cứu đã chỉ ra lợi ích to lớn của loại quả mùa hè này với sức khoẻ, bao gồm cả việc giảm cân. Với một lượng vitamin C và chất chống oxy hóa cao, chúng giúp bảo vệ sức khỏe của bạn và ngăn ngừa được rất nhiều bệnh. Loại quả này cũng rất giàu acid ellagic, một chất dinh dưỡng giúp duy trì làn da trẻ đẹp và rạng rỡ.
Hình 9+10+11
- Dứa: Dứa là một loại cây nhiệt đới và là một trong những trái cây có giá trị nhất cũng như phổ biến nhất. Dứa có đặc tính làm giảm hói đầu-một căn bệnh do thiếu vitamin C. Dứa thích hợp cho chế độ ăn uống giảm cân. Các enzym proteolytic chứa trong thành phần của dứa có thể hấp thụ chất béo ở đường tiêu hóa và tống ra theo phân. Ngoài ra, vitamin C cũng có thể giúp ích trong quá trình đốt cháy chất béo khiến chúng không bị tích tụ trong cơ thể.
- Táo: Có thể ăn táo mỗi ngày để giữ cho cơ thể eo thon. Táo còn chứa các hợp chất thúc đẩy sự phát triển của các lợi khuẩn trong ruột có liên quan đến việc giảm cân. Các hợp chất gồm chất xơ và polyphenol vẫn chưa được kiểm soát cho đến khi chúng được lên men trong đại tràng, nơi chúng hoạt động như thức ăn cho các vi khuẩn thân thiện và giúp cơ thể của bạn lấn át các vi khuẩn có hại phát triển mạnh ở các loại thức ăn vặt. Sự cân bằng vi khuẩn do được khôi phục này có thể làm giảm chứng viêm mãn tính, một trong những nguyên nhân làm tăng nguy cơ béo phì và ngăn ngừa ăn quá nhiều do stress.
- Đu đủ: Giống như trái cây khác, đu đủ cũng có nhiều lợi ích về sức khỏe nếu được tiêu thụ đều đặn. Một trong những tác dụng phổ biến nhất đó là quả đu đủ có khả năng đóng góp tối đa trong lộ trình giảm cân một cách an toàn do bạn đang nhận được những lợi ích dinh dưỡng tự nhiên và không pha trộn với các hóa chất khác như sử dụng thuốc giảm cân.
- Chanh: Quả chanh dùng cho mục đích ẩm thực, chủ yếu là dùng nước ép của nó. Ngoài ra, vỏ chanh cũng được sử dụng trong nấu ăn và nướng bánh. Một trong những lợi ích của chanh là nó có thể được sử dụng trong chế độ ăn uống để giảm cân. Có rất nhiều người sẵn sàng tiêu thụ nước chanh mỗi ngày như một phần trong chế độ ăn uống của họ với công thức 1 chén nước ấm và 1 muỗng cà phê mật ong. Khuấy cho đến khi mật ong hòa tan hoàn toàn trong nước. Cắt chanh thành từng miếng thả vào cốc nước mật ong trên. Bạn đã có một loại nước uống dinh dưỡng trước khi ăn.
- Xà lách xoăn: Xà lách là cây trồng quanh năm, họ hoa cúc Asteraceae. Các tàu lá giòn, màu xanh hoặc đỏ tía là một trong những nguồn cung cấp các chất dinh dưỡng cần thiết có lợi cho sức khỏe. Lá xà lách khi cắt tiết ra nhựa trắng giống như sữa nên tên của nó bắt nguồn bởi từ “lactuca” - theo tiếng Latin là cho sữa. Xà lách có thể ăn sống hoặc trộn mà không cần chế biến qua nhiệt nên hầu như giữ được toàn bộ vitamin và khoáng chất. Nó được coi là thực phẩm giàu dinh dưỡng bổ sung trong chế độ giảm cân.
- Khoai tây: Khoai tây là một loại cây ăn củ, có thể hỗ trợ chương trình giảm cân cơ thể do trong khoai tây có chứa thành phần có khả năng hấp thụ chất béo, rồi sau đó loại bỏ nó qua đường tiêu hóa.
- Cải ngọt: Trong cải ngọt có nhiều chất xơ và các khoáng chất thiết yếu có lợi cho cơ thể. Cải ngọt chứa nhiều nước và chất xơ nên khiến bạn có cảm giác no, giảm cơn thèm.
- Khoai lang: Khoai lang có nhiều tinh bột, vị ngọt và là một loại rau ăn củ. Lá non và ngọn được ăn như rau xanh. Khoai lang có nguồn gốc ở các vùng nhiệt đới châu Mỹ. Trong số khoảng 50 chi và hơn 1.000 loài Convolvulaceae, khoai lang là cây trồng duy nhất có tầm quan trọng trong bản đồ lương thực thế giới. Khoai lang nhiều chất xơ, bột đường nên giúp cơ thể nhuận tràng, no lâu.
Hy vọng bạn sẽ rất vui khi thực hiện chế độ ăn này mà giảm cân đáng kể!

Hình 12
Đinh Thành T., TP. Cam Ranh, tỉnh Khánh Hòa, 46 tuổi, công nhân
Hỏi: Bác sỹ ơi cho tôi hỏi, tôi bị nấc cụt thường xuyên, vậy làm thế nào để cắt cơn nấc cụt nhanh chóng nhất vậy bác sỹ. Chân thành cảm ơn!
Trả lời:
Liên quan đến câu hỏi của bạn, chúng tôi xin đưa ra một số giải pháp có thể áp dụng để cắt cơn nấc cụt cho bạn. Cơn nấc cụt không chỉ gây mệt mỏi, phiền toái mà còn làm bạn phát ngượng nếu đang ở một sự kiện lịch sự hay chốn đông người. Hiện giới y học chưa tìm ra nguyên nhân chính dẫn đến chứng nấc cụt, chỉ biết rằng chứng này thường do hậu quả của việc nuốt thức ăn quá nhanh, hoặc lượng không khí bị nuốt vào bao tử quá nhiều… Tuy chưa có thuốc nào đặc trị chứng nấc cụt này nhưng từ xưa đến nay đã có nhiều mẹo nhỏ, kinh nghiệm dân gian chữa chứng bệnh này rất hiệu quả:
-Uống một ly nước lạnh, có thể uống một hơi cạn ly, có khả năng sớm đánh tan nấc cụt;
-Hòa một muỗng mật ong vào ly nước ấm và khuấy đều. Cố gắng ngậm nước mật ong dưới lưỡi và sau đó nuốt nhanh, cơn nấc cụt cũng tan nhanh;
-Một cách đẩy lùi nấc cụt nữa là ngậm một cục đá nhỏ trong vài giây;
-Ngậm một muỗng nhỏ đường trong vài giây cho đến khi đường bắt đầu tan trong miệng, đừng nhai và điều này kích thích các dây thần kinh phế vị, từ đó loại bỏ nấc cụt;
-Lấy một ly nước lạnh, súc miệng trong khoảng một phút và chờ kết quả.
-Đặt một thìa cà phê đường lên phía sau của lưỡi rồi nuốt nó vì rất nhiều chuyên gia khuyến cáonên dùng phương pháp này để chữa nấc cục.
-Bịt tai: Dùng tay bịt chặt tai từ 20 đến 30 giây, hoặc nhấn vào khu vực nhỏ đằng sau dái tai, ngay dưới đáy hộp sọ. Điều này sẽ gửi tín hiệu thư giãn thông qua các dây thần kinh phế vị kết nối với cơ hoành;
-Nín thở: Hãy hít một hơi thật sâu và giữ lại. Khi khí carbon dioxide trong phổi gia tăng, cơ hoành giãn ra và giúp giảm nấc cụt;
-Che miệng: Dùng tay che mũi và miệng nhưng vẫn thở bình thường. Lượng khí carbon dioxide thêm vào nhiều hơn sẽ khiến cơn nấc cụt qua nhanh;
-Dùng đường: Đặt một thìa cà phê đường lên phía sau của lưỡi rồi nuốt nó. Rất nhiều chuyên gia khuyến cáo nên dùng phương pháp này để chữa nấc cục;
-Đường sẽ làm quá tải đầu mút dây thần kinh trong miệng, các xung thần kinh sẽ nhận được một tin nhắn mới và não bộ sẽ làm ngừng nấc cục;
-Le lưỡi: Hãy tranh thủ le lưỡi trong lúc không ai để ý. Các ca sĩ và diễn viên thường làm động tác này để dây thanh âm mở rộng. Hơi thở sẽ thông suốt hơn và chế ngự được những cơn co thắt gây ra nấc cụt;
-Khi bị nấc cụt, cách đơn giản nhất các bạn có thể ngửi bột tiêu, hắt hơi mạnh một cái, cơn nấc sẽ giảm ngay;
-Dùng túi giấy chữa nấc cụt: Túm chặt đầu túi giấy quanh miệng, hít thở sâu và chậm. Ngừng lại khi bắt đầu thấy chóng mặt. Phương pháp này làm tăng lượng khí CO2 trong máu, tạo áp lực buộc cơ hoành co bóp mạnh và kéo dài hơn để lấy thêm khí ô xy đưa lên phổi;
-Đưa lưỡi ra ngoài hết cỡ và giữ như vậy trong 5 giây. Lặp lại 5-6 lần. Cơn nấc sẽ chấm dứt;
-Để ngăn ngừa cơn nấc, bạn không nên ăn quá nhanh hay quá no. Nếu hay bị nấc, đừng ăn quá nhiều đồ gia vị cay nóng, các đồ uống có cồn và chất kích thích.

Hình 13
Trên đây là một số mẹo điều trị cơn nấc cụt có hiệu quả mà nhiều bạn đã thành công trong cắt cơn nấc cụt. Tuy nhiên, nấc cụt có thể là sinh lý do quá trình ăn uống và sinh hoạt mà cũng có thể là thuộc bệnh lý từ hô hấp, tiêu hóa và tại cơ hoành, gan mật, thậm chí có khối u ở não.. Do vậy, nếu cơn nấc xuất hiện thường xuyên hoặc kéo dài, bạn nên đi khám bác sỹ.
Thân chúc bạn khỏe!
Hồ Thanh B., 41 tuổi, TP. Tuy Hòa, Phú Yên,
Hỏi: Cho em hỏi làm thế nào để xử trí các vết đốt do côn trùng kiến ba khoang, bọt xít hoặc muỗi đốt trên da. Em xin cảm ơn!
Trả lời:
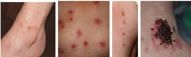
Bệnh do vector truyền nói chung và bệnh do kiến ba khoang, bọ xít hút máu hay do muỗi đốt nói riêng làrất phổ biến ở con người đặc biệt tại các quốc gia nhiệt đới và cận nhiệt đới, kể các các quốc gia có điều kiện vệ sinh không tốt lắm, trong đó có Việt Nam và Việt Nam là một quốc gia có khí hậu nhiệt đới, hệ sinh thái tự nhiên rất đa dạng, kể cả côn trùng y học và gây bệnh. Khi mắc các côn trùng đốt, cắn và chích có thể dẫn đến nhiều hậu quả liên quan đến sức khỏe, nhất là các bệnh lý da niêm mạc, thậm chí có thể ảnh hưởng đến đa phủ tạng suy hoặc bị ảnh hưởng, thậm chí có thể tử vong nếu không cấp cứu kịp thời. Vậy làm thế nào chúng ta có thể có các biện pháp sơ cấp cứu khi bị phơi nhiễm với chúng.

Hình 13
Khi chúng ta bị bất kỳ côn trùng nào đốt hoặc khi tiếp xúc/ phơi nhiễm với côn trùng có thể gặp một số biểu hiên bệnh ngoài da như sẩn ngứa do bọ chét, mò ve, ghẻ, rận, trong đó thường gặp nhất là viêm da tiếp xúc kích ứng do côn trùng, hoặc đặc biệt do muỗi đốt dễ dẫn đến nhiều bệnh lý khác nhau như sốt rét, sốt xuất huyết, Zika hoặc sốt vàng, viêm não Nhật Bản, hoặc rất nhiều người bị viêm da do tiếp xúc với kiến ba khoang gây bỏng da. Khi côn trùng như ong, kiến, bọ chét đốt, chích thường là nhẹ, biểu hiện tại chỗ là ngứa ngáy khó chịu. Nhưng các ngòi, nọc của nó có thể gây tổn thương lâu dài như viêm da, loét da. Trường hợp nặng có thể biểu hiện toàn thân như sốc phản vệ, tổn thương đã ảnh hưởng đến các thông số sinh hóa, huyết học, chức năng đông máu, thông số hô hấp, có thể ảnh hưởng rất nhiều đến sức khỏe. Do vậy, khi bị côn trùng đốt, cắn, chích: nếu nhẹ có thể xử lý tại nhà và sát trùng kỹ, cần xem vết cắn, đốt có gì đặc biệt không, chẳng hạn như sưng, nề, ngứa, không có mủ thì không đáng ngại và tiếp tục theo dõi và khi nếu nó gây hậu quả biểu hiện toàn thân như sốt cao, sưng, phù, tái đi tái lại, sinh mủ thì phải đưa bệnh nhân đến cơ sở y tế, nhưng không nên lạm dụng các phương pháp dân gian hay làm mà không có cơ sở khoa học. Nên rửa vết đốt bằng thuốc sát trùng, nước muối sinh lý hay xà phòng nếu thấy bẩn hay dùng nước vôi cũng giúp trung hòa acid trong nọc độc.

Hình 14
Không nên chủ quan vì có một số vết thương có thể gây nguy hiểm, thậm chí đe dọa tính mạng dù rất nhỏ nhưng có thể gây chết người. Bạn có thể tham khảo thêm cách xử trí hay biện pháp phòng bệnh trên các trang website tiếng Việt đã có đăng tải và phổ cập kiến thức khoa học y học thường thức hiện nay vì tình trạng thương tổn do côn trùng đốt rất phổ biến tại các mọi miền đất nước chứ không riêng gì ở nơi đâu. Hoặc các trang tin điện tử của nước ngoài:
-Allen, Arthur C. (1948). Persistent "Insect Bites (Dermal Eosinophilic Granulomas) Simulating Lymphoblastomas, Histiocytoses, and Squamous Cell Carcinomas. Am J Pathol. 24 (2): 367-87.
-Goddard, Jerome (2002). Physician's guide to arthropods of medical importance. Boca Raton: CRC Press. p. 14. ISBN 0-8493-1387-2.
-Ludman, SW; Boyle, RJ (2015). Stinging insect allergy: current perspectives on venom immunotherapy. Journal of asthma and allergy. 8:75-86.
-Maynard, Robert J. Flanagan, Alison L. Joneswith a section on antidotes and chemical warfare by Timothy C. Marrs and Robert L. (2003). Antidotes. London: Taylor & Francis. p. 118. ISBN 9780203485071. Retrieved 7 June 2016.
-Alsaad, KO.; Ghazarian, D. (2005). My approach to superficial inflammatory dermatoses.. J Clin Pathol. 58 (12):1233-41. PMC 1770784
Đối với kiến ba khoang, viêm da do kiến ba khoang do chất pederine trong kiến giải phóng ra gây tình trạng như bỏng axit, chứ không phải là kiến ba đốt. Khi đó, bệnh nhân sẽ có các triệu chứng như rát đỏ, mụn nước, mụn mủ. Nhẹ có thể tự khỏi, nhưng trong trường hợp nặng, mụn nước, mụn mủ nhiều hoặc có các triệu chứng nóng rát nhiều có thể điều trị đặc hiệu bằng thuốc mỡ kháng sinh hoặc kháng sinh kết hợp corticoid.

Hình 15
Các vết thâm do bị viêm da tiếp xúc do kiến ba khoang đốt thông thường theo thời gian sẽ tự hồi phục. Vì thế, nếu gặp kiến ba khoang, trước hết tránh di, miết vì làm vậy, sau đó phải rửa tay ngay, không bôi ra vùng da khác để tránh vết bỏng lan rộng. Con mạt nhà là một loại côn trùng sống trong chăn, màn, giường, chiếu, nó rất nhỏ và khi người hít phải thì gây hen và viêm mũi dị ứng. Mạt nhà gây ra những cơn hen phế quản cấp. Mạt có sẵn trong bụi, việc phòng tránh cũng không thể tối đa được, chỉ có thể giảm thiểu nồng độ bụi hít phải vì nồng độ con mạt nhà trong bụi mà chúng ta hít phải càng cao thì khả năng lên cơn hen càng cao. Với môi trường ẩm, ví dụ như chăn màn một tháng không giặt thì độ bụi cao hơn thì con mạt nhà cũng nhiều hơn. Do đó cần vệ sinh, thay ga, gối, màn, chiếu, thảm... thường xuyên 1-2 tuần/ 1 lần. Bệnh nhân nặng thì trong cơ sở y tế có biện pháp giải mẫn cảm để giúp bệnh nhân thích nghi dần với nó.
Một trong những biện pháp phòng ngừa muỗi đốt có thể là diệt muỗi hoặc tránh muỗi đốt bằng thuốc xịt muỗi, phun thuốc và nằm màn tẩm hóa chất theo khuyến cáo của Bộ Y tế. Khi mắc, có thể vệ sinh tại chỗ theo khuyến cáo hoặc cần đi đến khám và điều trị tại cơ sở y tế nếu thấy có biểu hiện nặng và toàn thân.
Thân chúc bạn khỏe!