1. Lê Phước Tr. 56 tuổi, TP. Pleilu, Gia Lai, lienlinguyen21@....
Hỏi:Kính thưa bác sỹ, tại sao nhiều người cũng như con trai tôi hay sốt và thậm chí sốt cao vào ban đêm mà không phải là ban ngày? Chân thành cảm ơn!
Trả lời: 
Sốt về cơ bản là một phản ứng của cơ thể với bệnh đang diễn ra. Nó thường đi kèm với lạnh và đau nhức cơ thể. Tuy nhiên, đôi khi việc tìm ra nguyên nhân gây sốt không đơn giản. Một bệnh cảnh bất thường dạng như vậy là khi thân nhiệt chỉ tăng cao vào ban đêm, ban ngày, người bệnh hoàn toàn không sốt. Điều này gây ra tình trạng ngủ không ngon giấc, khiến bạn cảm thấy mệt mỏi trong ngày hôm sau.
Việc coi thường tình trạng này có thể gây nguy hiểm cho tính mạng. cho dù cơ thể không có dấu hiệu gì khác ngoài sốt ban đêm, thì bạn vẫn cần hiểu rằng bệnh có thể không chỉ là sốt và cần đi khám bác sĩ. Dưới đây là những nguyên nhân gây sốt vào ban đêm mà bạn cần lưu ý:
1. Phản ứng dị ứng: Một trong những lý do gây sốt vào ban đêm có thể là phản ứng dị ứng gây ra do một loại thuốc nào đó. Dị ứng có thể gây sốt ban đêm cũng như đỏ, sưng. Nếu tình trạng trở nên xấu đi, cần có sự hỗ trợ của bác sĩ.
2. Nhiễm trùng tiết niệu: Nhiễm trùng đường tiểu có thể là nguyên nhân. Tuy nhiên nó thường kèm với đau trong đường niệu cũng gây cảm giác nóng rát khi đi tiểu. Nếu bạn bị những tình trạng này, hãy đi khám bác sĩ ngay lập tức,
3. Nhiễm khuẩn đường hô hấp: Đây là một trong những nguyên nhân phổ biến nhất của sốt. Cảm lạnh thông thường, nhiễm trùng thực quản, thanh quản, phế quản có thể dẫn đến đáp ứng sốt của cơ thể. Thông thường, những tình trạng này giảm dần trong một vài ngày. Tuy nhiên, đôi khi nhiễm trùng ở đường hô hấp có thể cần thời gian để chữa lành.

Hình 1
4. Nhiễm trùng da: Bất cứ loại nhiễm trùng nào cũng có thể gây tăng nhiệt độ cơ thể. Một trong số này là nhiễm trùng da. Nếu bạn đang bị nhiễm trùng da và bị sốt hãy khám bác sĩ càng sớm càng tốt.
5. Viêm: Tình trạng viêm trong cơ thể do bất kỳ loại bệnh hay dị ứng nào cũng có thể dẫn đến tăng nhiệt độ cơ thể. Nếu tình trạng này kéo dài, bạn nên đi khám bác sĩ sớm.
6. Rối loạn mô liên kết: Một số rối loạn mô liên kết như viêm khớp dạng thấp cũng có thể dẫn đến cơn sốt đi kèm với cơn đau ở các khớp bị viêm.
7. Căng thẳng: Căng thẳng và mệt mỏi do làm việc quá sức ban ngày đôi khi có thể dẫn tới cơn sốt về đêm. Lắng nghe cơ thể của bạn và đừng quá vắt kiệt sức mình vì nếu bạn làm như vậy, chắc chắn cơ thể bạn sẽ không thể vực dậy được.
2. Huỳnh Thị Mỹ Th. 58 tuổi, Mộ Đức, Quảng Ngãi
Hỏi: Kính thưa bác sỹ, tôi xin hỏi tại sao hai chân tôi lúc nào tối ngủ cũng bị nóng cả đêm, không thể nào yên tâm ngủ được hết. Liệu các triệu chứng đó có bệnh gì nghiêm trọng không? Xin các bác sỹ chút thời gian để giải thích, tôi xin chân thành cảm ơn!
Trả lời: 
Trong thực hành lâm sàng tại phòng khám thi thoảng chúng tôi cũng gặp nhiều bệnh nhân than phiền về triệu chứng này. Tuy nhiên, để xác định chính xác nguyên nhân nào gây nên tình trạng nóng chân như vậy thì chưa thể khẳng định chính xác. 
Một số chuyên gia cho biết nóng chân mà nhiều người hay gặp phải, theo y học cổ truyền là bệnh thuộc về chức năng, chứ không phải là bệnh thực thể, do vậy rất khó chẩn đoán. Không thể dựa vào chẩn đoán hình ảnh, xét nghiệm hay triệu chứng lâm sàng mà kết luận được mà phải căn cứ vào y lý của y học cổ truyền và kinh nghiệm của thầy thuốc mới có thể chẩn đoán và đưa ra cách điều trị thích ứng để khỏi bệnh được.

Hình 2
Theo y học cổ truyền, âm dương là hai phần quan trọng trong cơ thể con người, khi âm dương cân bằng thì cơ thể khỏe mạnh, khi âm dương mất cân bằng (thiên thắng hoặc thiên suy) thì sinh ra bệnh tật biểu hiện của bệnh là hàn (lạnh), nhiệt (nóng), hư (yếu, thiếu), thực (thừa, mạnh), biểu (ở ngoài cơ thể), lý (ở trong cơ thể).
Những người có tình trạng gan bàn chân nóng như đốt là thuộc chứng âm hư. Gan bàn chân nóng như bỏng cháy là do hỏa hư thiếu đốt chân âm, huyệt dũng tuyền (là huyệt thuộc kinh thận nằm ở điểm 1/3 trước của đường chính giữa nối 2 đầu gan bàn chân), y học cổ truyền đã chỉ rõ: nhiệt khởi dũng tuyền, thận âm hư chi cực (nhiệt ở gan bàn chân nơi có huyệt dũng tuyền là do thận âm hư).
Theo y học cổ truyền phép chữa chứng hư nên bồi bổ chỗ bất túc, mà không nên công phạt chỗ hữu dư. Phàm đã vì hư tổn mà sinh bệnh, lại còn công phạt chỗ hữu dư thời 2 đằng đều bại hoại mà hư tổn cả. ở đây, thận âm là chính. Mà chữa chứng hư không có phép nhanh, mà cần phải kiên trì mới mong khỏi bệnh.
Để chữa bệnh nóng bàn chân mà nguyên nhân là do thận âm hư có thể dùng bài thuốc bổ thận âm "Lục vị địa hoàng hoàn", với thành phần như sau: thục địa 20g, sơn thù 16g, trạch tả 12g, hoài sơn 16g, phục linh 12g, đan bì 12g. Các vị trên cho vào 750 ml sắc kỹ, chắt lấy 250 ml nước thuốc chia 3 lần uống trong ngày. Uống liên tục 3 tuần lễ. Thuốc có thể tán bột hoàn viên uống thay cho thuốc sắc. Đây là bài thuốc có tính tư bổ thận âm. Trong đó, thục địa tư thận, dưỡng tinh là chủ dược. Sơn thù dưỡng can, sáp tinh; hoài sơn bổ tỳ, cố tinh, trạch tả thanh tả thận hỏa và làm giảm bớt nê trệ của thục địa; đan bì thanh can hỏa, giảm bớt tính ôn của sơn thù; bạch linh kiện tỳ trừ thấp, giúp hoài sơn kiện tỳ. Sáu vị thuốc hợp lại vừa bổ vừa tả giúp cho tác dụng bổ tốt hơn, là một bài thuốc chữa thận âm hư rất tốt. Khi thận âm không còn hư thì chứng nóng gan bàn chân sẽ hết. Đó là cách chữa gốc. Biết được ngọn mà chữa gốc, khí huyết là gốc, ngoại dương là ngọn.

Hình 3
Nhân đây, chúng tôi cũng xin chia sẻ với bạn đọc về các biểu hiện trên bàn chân thường gặp không nên coi thường. Một vài dấu hiệu ở chân như phù chân, đau ngón chân hay các vết loét ở chân có thể liên quan đến một số vấn đề sức khỏe nguy hiểm mà bạn không nên xem nhẹ.
1. Bàn chân lạnh: Nếu bàn chân của bạn luôn bị lạnh kể cả khi đã đi tất và ủ ấm trong chăn, đây có thể là dấu hiệu thông báo lưu lượng máu tuần hoàn kém, vấn đề này thường liên quan đến yếu tố hút thuốc lá, huyết áp cao hoặc bệnh tim mạch. Sự tổn thương các dây thần kinh do bệnh tiểu đường cũng có thể gây ra chứng bàn chân lạnh. Một số nguyên nhân khác khiến chân lạnh là do thiếu máu hoặc suy tuyến giáp. 
2. Móng chân chuyển màu đỏ, trắng và xanh: Bệnh Raynaud có thể khiến ngón chân chuyển sang màu trắng, hơi xanh và cuối cùng là màu đỏ. Nguyên nhân của chứng bệnh này là do các động mạch bị thu hẹp đột ngột, gọi là chứng co cứng mạch. Bệnh Raynaud cũng có thể liên quan đến một số bệnh như viêm khớp dạng thấp hoặc các vấn đề về tuyến giáp. 
3. Hình dạng móng chân thay đổi: Hình dạng móng chân (móng tay) bỗng nhiên thay đổi, phần móng bị cong lên bất thường, đầu móng cúp xuống phía dưới. Đây có thể là dấu hiệu của bệnh phổi, bệnh tim, gan và rối loạn tiêu hóa hoặc một số bệnh nhiễm trùng.

Hình 4
4. Bàn chân phù: Phù chân là dấu hiệu tạm thời do đứng, ngồi quá lâu, đặc biệt là ở những thai phụ. Tuy nhiên, bàn chân bị phù cũng có thể là dấu hiệu cảnh báo bệnh lý nghiêm trọng do lưu thông máu kém liên quan đến hệ bạch huyết hoặc nguy cơ hình thành cục máu đông. Rối loạn thận hoặc suy tuyến giáp cũng có thể gây phù chân.
5. Cảm giác nóng rát ở bàn chân: Cảm giác nóng rát ở bàn chân thường xuất hiện ở những bệnh nhân tiểu đường do sự tổn thương thần kinh ngoại vi. Ngoài ra, triệu chứng này còn xuất phát từ nguyên nhân thiếu vitamin B, bệnh thận mãn tính, bệnh động mạch ngoại biên hoặc chứng suy giáp.
6. Các vết loét ở chân lâu hoặc khó lành. Các vết loét ở chân lâu hoặc khó lành là dấu hiệu cảnh báo bạn bị tiểu đường. Bệnh tiểu đường có thể làm giảm cảm giác ở chân, khiến vết thương khó lành, do vậy, ngay cả một vết thương nhỏ cũng có thể trở thành vết loét lâu lành ở những bệnh nhân tiểu đường. Các vết loét ở chân lâu hoặc khó lành là dấu hiệu cảnh báo bạn bị tiểu đường. Những vết loét này rất dễ bị nhiễm trùng. Do vậy, người bệnh tiểu đường thường phải rửa và làm khô chân, ngừa các tác động gây tổn thương đến chân mỗi ngày. 

Hình 5
7. Đau ở các ngón chân: Bệnh gút là nguyên nhân chủ yêu gây đau đột ngột ở các khớp ngón chân kèm theo sưng đỏ. Viêm khớp cũng là một trong những nguyên nhân gây đau và sưng tấy ngón chân.
8. Móng chân đổi màu vàng: Bệnh nhiễm nấm có thể khiến móng chân trở nên dày cộp và chuyển màu vàng. Tuy nhiên, móng chân vàng cũng có thể là dấu hiệu của một số bệnh tiềm ẫn như sưng hạch bạch huyết, các vấn đề về phổi, bệnh vảy nến hoặc viêm khớp dạng thấp.
9. Móng chân màu trắng: Tổn thương móng hoặc trong người có bệnh cũng có thể khiến cho móng tay, móng chân chuyển màu trắng bợt. Tuy nhiên, nếu một phần móng chân xuất hiện vệt trắng có thể là do thương tích, bệnh vảy nến, nhiễm trùng móng. Móng chân màu trắng cảnh báo nhiều bệnh tật. Nếu móng chân chuyển hết sang màu trắng đây có thể là dấu hiệu của tình trạng nghiêm trọng hơn bao gồm bệnh gan, suy tim sung huyết hoặc bệnh thận.
10. Bàn chân chóc vảy, móng chân giòn: Đây có thể là dấu hiệu cảnh báo tuyến giáp có vấn đề, đặc biệt là khi bạn dùng dưỡng ẩm mà vẫn vô ích. 
Marlene Reid, DPM, chuyên gia về chân tại Naperville, Illinois (Mỹ) cho biết, các vấn đề về tuyến giáp thường gây ra chứng khô da trầm trọng, đặc biệt là khi có vết nứt trên bàn chân, da bong chóc vảy mà dùng kem dưỡng ẩm vẫn vô dụng. Bàn chân chóc vảy, móng chân giòn là dấu hiệu suy giáp. Nếu tình trạng này kéo dài nhiều ngày, tốt nhất bạn nên đi khám để xem xét tuyến giáp có vấn đề gì. Bên cạnh đó, móng chân giòn cũng là dấu hiệu tuyến giáp có vấn đề.
3. Huỳnh Minh Th., 36 tuổi, Tam Kỳ, Quảng Nam
Hỏi:Kính thưa các bác sỹ cho em hỏi khi bị nấm ngoài da thì các loại thuốc chống nấm nào thường hay sử dụng dễ dàng mà an toàn cho bệnh nhân nhất. Cảm ơn các bác!
Trả lời: 
Liên quan đến câu hỏi của bạn, chúng tôi xin chia sẻ một bài viết của đồng nghiệp về các thuốc chống nấm trên da như sau: Nấm gây bệnh da có nhiều loại và thường phát triển mạnh trong mùa nóng ẩm. Vì thế, thời tiết của mùa hè rất dễ mắc một số bệnh da do nấm như hắc lào, lang ben, nấm kẽ...Khi da bị tổn thương do xây xước, bị thay đổi làm mất khả năng bảo vệ như bị nhiễm bẩn, bị tác động bởi các điều kiện thuận lợi như nóng, ẩm tạo điều kiện cho nấm phát triển, nhiễm nấm sẽ gây thành bệnh nấm. Bệnh nấm có thể bị ở mọi nơi trên da nhưng thường gặp ở một số nơi như bàn tay, bàn chân, bẹn... nơi da ẩm ướt, nóng và hay bị cọ sát sang chấn.
Nấm gây ngứa rất khó chịu, người bệnh thường gãi và chính điều này làm phát tán lan rộng các bào tử nấm trên da và lây lan cho người khác. Những nơi có tỷ lệ mắc nấm cao là do thiếu nguồn nước vệ sinh hoặc nguồn nước bị nhiễm bẩn (nước ao hồ, sông ngòi). Một số bệnh nấm sau thường gặp trong mùa hè:

Hình 6
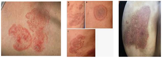
Nấm hắc lào
Nguyên nhân do vi nấm Epidermophyton, Trichophyton hoặc Microsporum gây nên. Bệnh thường bị vào mùa hè. Vị trí thường gặp là ở các nếp kẽ lớn như ở bẹn, kẽ mông, thắt lưng, nách, nếp vú (ở phụ nữ), thân mình... Ban đầu khi bị hắc lào trên da thấy xuất hiện đám da đỏ hình tròn như đồng xu khoảng 1-2cm đường kính, sau lan to dần. Các đám tổn thương liên kết thành mảng lớn bằng lòng bàn tay hoặc to hơn nữa.
Tổn thương da do hắc lào.
Người bệnh thấy ngứa rất khó chịu, nhất là khi thời tiết nóng, ra nhiều mồ hôi. Bệnh tiến triển lành tính, nhưng nếu không điều trị kịp thời và triệt để dễ trở thành nấm da mạn tính hay tái phát.
Khi có dấu hiệu trên, người bệnh cần đi khám chuyên khoa da liễu để được chăm sóc và điều trị thích hợp. Các thuốc chống nấm có thể dùng thuốc toàn thân như ketoconazol, itraconazol, fluconazol và/ hoặc kết hợp thuốc bôi tại chỗ clotrimazol. Bôi và uống theo chỉ định của bác sĩ. Không nên cào, gãi, chà xát và giữ cho vùng da tổn thương luôn được thoáng mát. Cần lưu ý tới một số tác dụng phụ của thuốc như buồn nôn, nôn, đau bụng, tiêu chảy, đau đầu, chóng mặt, chảy máu đường tiêu hóa (ketoconazole). 
Các tác dụng này có liên quan đến liều dùng và có thể giảm thiểu nếu dùng thuốc cùng với thức ăn. Ngoài ra, thuốc còn có nguy cơ gây độc gan. Biến chứng ở gan thường gặp nhiều hơn ở người cao tuổi, phụ nữ, người nghiện rượu hoặc bị suy chức năng gan do những nguyên nhân khác. Vì vậy, cần định kỳ theo dõi enzyme gan, ngừng thuốc nếu thấy bất thường và dấu hiệu viêm gan.

Hình 7
Nấm kẽ chân
Nấm kẽ chân là một bệnh ngoài da thường gặp, nhất là vào mùa mưa, do chân luôn luôn bị ẩm ướt. Ngoài ra, bệnh còn hay gặp ở những người hay ra mồ hôi chân. Nguyên nhân gây bệnh thường do nấm Trichophyton rubrum.
Ban đầu thường bị ở kẽ ngón 3-4 bàn chân (sít nhau), da bợt trắng, ngứa, xuất hiện một số mụn nước, loét chợt ra chảy dịch. Nhiều khi do người bệnh gãi khiến cho tổn thương bị viêm nề, sưng tấy do nhiễm khuẩn thứ phát (bội nhiễm thêm tụ cầu và một số vi khuẩn khác). Lúc này người bệnh có thể bị sốt, hạch bẹn có thể sưng. Sau đó, tổn thương dần dần lan xuống mặt dưới các ngón chân và sang các kẽ chân khác.
Để điều trị nấm kẽ chân, khi trợt ướt bội nhiễm bôi dung dịch Castellami hoặc tím metin 1%. Khi tổn thương khô bôi kem chống nấm như clotrimazol 1%, Lamisil và kết hợp uống kháng sinh chống nấm như ketoconazol (nếu cần). Có thể phòng nấm kẽ chân bằng cách rắc bột mycoster, bột undecylenic vào kẽ chân.
Chú ý, khi dùng kem chống nấm clotrimazol bôi tại chỗ có thể xảy ra các phản ứng tại chỗ bao gồm bỏng nhẹ, kích ứng, viêm da dị ứng do tiếp xúc, đau rát vùng bôi thuốc ở da. Trường hợp nhẹ chỉ cần dùng dạng thuốc bôi ngoài, chỉ dùng thuốc uống khi bệnh nặng (theo chỉ định của bác sĩ).
Bôi thuốc đúng cách, vừa đủ lượng: Bôi một lớp mỏng, dàn đều lên bề mặt tổn thương là đủ. Nếu bôi quá nhiều thuốc có thể gây cảm giác nóng, rát ở tổn thương, gây lãng phí thuốc.
Để phòng nấm kẽ chân, không nên đi giày, tất nhiều giờ trong ngày. Vào mùa mưa, môi trường ẩm ướt, giày tất lâu khô, không được sử dụng đồ ướt tạo môi trường thuận lợi cho nấm phát triển và bệnh lâu khỏi, dễ tái phát, tái nhiễm. Nếu chân ướt, phải hong khô, lau sạch bàn chân bằng vải mềm rồi mới đi tất, giày.
Nấm lang ben
Lang ben do nấm Tinea versicolor, Pityriasis versicolor là bệnh nấm nông thường gặp ở da. Biểu hiện lâm sàng đặc trưng bởi dát tăng sắc tố, giảm sắc tố hoặc dát hồng ở thân mình mà chủ yếu gặp ở nửa người trên. Bệnh thường ít khi gây ngứa, không đau nhưng có thể ảnh hưởng nhiều đến thẩm mỹ. Căn nguyên gây bệnh lang ben là do nấm họ Malassezia gây nên. M. globosa là nhóm gây bệnh chủ yếu.
Tổn thương ban đầu là các chấm, vết hình tròn 1-2mm đường kính, thường có màu trắng, hồng (nhất là khi đi nắng ra nhiều mồ hôi). Lang ben thường bị ở các vị trí nửa người phía trên như ở cổ, vai, ngực, lưng, cánh tay, có khi lan xuống đùi. Người bệnh bị nấm lang ben cũng rất ngứa, nhất là khi đi nắng về, khi nóng ra mồ hôi. Bệnh hay tái phát (do bào tử nấm còn sót  lại trong nang lông), nhưng ít lây lan. Một số ít trường hợp bệnh lang ben có thể tự thuyên giảm, nhưng đa số bệnh có thể kéo dài nếu không được điều trị.

Hình 8
Điều trị bệnh chủ yếu là điều trị tại chỗ. Có thể bôi cồn BSI 2% hoặc cồn ASA kết hợp mỡ benzosali 15-20 ngày; hoặc thuốc chống nấm tại chỗ như ketoconazol (thường có hiệu quả sau vài ngày đến 4 tuần). Có thể tắm xà phòng nizoral, sastid để điều trị lang ben. Ngoài bôi thuốc có thể kết hợp thuốc uống (trong trường hợp tổn thương lan rộng, tái phát hoặc thất bại với điều trị tại chỗ).
4. Phan Thị Cẩm Q. – phanthi…82@gmail.com, Đà Lạt, Lâm Đồng
Hỏi: Cho em hỏi là vừa qua em có xét nghiệm máu tổng quát ở Viện mình và kết quả là bị nhiễm giun lươn, sán chó, sán lá gan. BS cho thuốc uống 10 ngày. Do đang cho con bú nên bs hẹn bỏ bú mới tái khám (con em dc 8 tháng). Sau khi uống thuốc thì đã hết ngứa nhưng sau 2 tháng thì lại bị nổi như mề đay và ngứa lại. Em rất lo vì ở xa và con nhỏ nên đi khám lại cũng khó khăn. Triệu chứng như vậy thì có đi khám lại hay chờ bỏ bú như lời dặn của BS ah. E xin cảm ơn
Trả lời: 
Cảm ơn bạn đã đặt câu hỏi về bệnh lý kí sinh trùng trong quá trình điều trị đồng thời với thời gian đang cho con bú. Nhìn chung, việc điều trị bất cứ bệnh gì nói chung và bệnh do ký sinh trùng nói riêng khi đang trong thời gian cho con bú còn tùy thuộc vào từng loại thuốc có đi qua sữa hay không, tỷ lệ thuốc và chất chuyển hóa đi qua sữa như thế nào? Đồng thời thời gian dùng thuốc cũng là một khía cạnh cần quan tâm. 
Để hiểu thêm về phương diện dùng thuocs có an toàn không? Thời gian tái khám khi nào và kiểm tra xem bệnh đã khỏi hay chưa, bạn có thể liên hệ trực tiếp với các bác sỹ đang điều trị cho bạn với số điện thoại liên hệ ở hàng cuối cùng trên đơn thuốc gần nhất mà bạn đang điều trị để biết thêm chi tiết nhé.
Chúc bạn khỏe!
5. Minh Tùng-Haidang…..@........com-Cam Ranh - Khánh Hoà
Hỏi: Chào bác sỹ, bác sỹ cho tôi hỏi về bệnh giun sán chó. Năm nay, tôi 30 tuổi, cách đây 20 ngày tôi có đi xét nghiệm máu ở Viện Paster Nha Trang có kết luận là bị giun sán chó. Bác sỹ đã kê đơn cho tôi mua thuốc uống trong vòng 15 ngày. Nhưng hiện nay tôi đã dùng hết thuốc nhưng bệnh ngứa vẫn không giảm mà còn ngứa nặng thêm, vậy xin kính hỏi bác sỹ là nếu tôi bây giờ tôi mang kết quả xét nghiệm của Viện Paster Nha trang ra bệnh viện của mình để bác sỹ xem xét lại vè kê đơn thuốc mới cho tôi thì có được không hay vẫn phải xét nghiệm máu lại nữa. Bác sỹ cho tôi hỏi thêm là nếu bây giờ mang kết quả khám của viện Pasteur ra Viện mình để khám và điều trị thì có phải nằm viện không ? Và nếu không phải nằm viện, thì bác sỹ có thể kê đơn thuốc cho tôi để mua và điều trị tại nhà được không? Giá thành của thuốc có đắt tiền không và rơi vào khoảng bao nhiêu tiền? Thời gian điều trị khoảng bao nhiêu ngày? Xin bác sỹ tận tình tư vấn giúp đỡ. Xin chân thành cảm ơn. 
Nếu có thể thì xin bác sỹ có thể báo cho tôi qua số điện thoại này và tôi sẽ gọilại nhờ bác sỹ tư vấn trực tiếp. Xin chân thành cảm ơn. Mong được phản hồi sớm nhất qua số điện thoại hoặc qua email ở trên.
Trả lời:
Liên quan đến câu hỏi của bạn, quả thật rất khó trả lời đầy đủ vì bạn đã nói là đang mắc sán chó (Echinococcus granulosus) hay giun đũa chó (Toxocara canis) tuy nhiên chúng tôi không nhận được kết quả xét nghiệm của anh chị một cách đầy đủ là như thế nào?
- Kết quả xét nghiệm anh chị về sinh hóa, miễn dịch vàhuyết học ra sao?
- Có kèm thêm kết quả công thức máu để xem trị số bạch cầu ái toan có tăng không?
- Ngoài ra men gan và chức năng thận của anh chi như thế nào? 
- Trước khi điều trị phải xem anh chị có các triệu chứng ra sao, có bệnh lý nền hay không?
- Cân nặng anh chị bao nhiêu, đã từng điều trị loại thuốc gì chưa?. 
Việc có cần thiết chỉ định và xét nghiệm lại cho anh chị hay không còn tùy thuộc vào kết quả và thời gian đã làm xét nghiệm đó bao lâu rồi, liệu còn giá trị để chẩn đoán và cho đơn thuốc hay không? Về giá tiền thuốc còn tùy thuộc vào từng loại bệnh, có kèm theo bệnh lý nền gì không? Thuốc ngoại nhập hay nội địa sản xuất,…Do đó, khó có thể trả lời chính xác anh chị nhe, để thuận tiện và an toàn khi dùng thuốc và trường hợp cả anh chi có chẩn đoán đầy đủ chưa, nếu các anh chị tin tưởng, chúng tôi khuyên các anh chị nên ra trực tiếp để khám và nhận kết quả trong ngày, thường thì không điều trị nội trú nếu các bệnh lý đó không nghiêm trọng,…
Thân chúc anh chi khỏe! 
6. Nguyễn H.... Vũ-hvu....@gmail.com-Gia Lai
Hỏi: Mình có bé gái năm nay 11 tuổi, da của cháu (phần chân) hay bị mẩn ngứa chỉ cần gãi nhỏ là chảy máu. Mình muốn đưa cháu đi xét nghiệm vào Chủ nhật có được không. Kết quả có thể lấy trong ngày được không vì thứ 2 cháu phải đi học. Khi xét nghiệm bé có cần kiêng ăn uống gì không? Tks!
Trả lời: 
Anh chị có thể đưa cháu đến khám tất cả các ngày trong tuần, kể cả ngày thứ 7 và chủ nhật đều được, có thể về trong ngày với điều kiện anh chi và cháu phải đến Viện trước 11 giờ ngày hôm đó thì chiều sẽ có kết quả để trả lời và kê đơn thuốc trong buổi chiều cùng ngày nhé. 
Thân chúc cả nhà khỏe!
7. Hương G...-dhgiang……@gmail.com-Khánh Hòa
Hỏi: Chào bác sĩ, Em bị bong tróc da tay, nổi mụn nước, ngứa và mẫn đỏ ở các ngón tay. Em đã đi khám và được chuẩn đoán bị chàm á sừng, đã chữa nhiều nơi nhưng không khỏi. Bác sĩ cho em hỏi, ở bệnh viện mình có khám về bệnh này không ạ? Liệu bệnh này có trị khỏi không và phương pháp điều trị như thế nào ạ? Mong nhận được sự phản hồi từ Bác sĩ.Xin chân thành cảm ơn Bác sĩ. Trân trọng,
Trả lời:
Liên qua câu hỏi của anh chị, tôi khuyên các anh chi đi đến khám và điều trị tại các cơ sở chuyên khoa da liễu để đựơc thăm khám, chẩn đoán và dùng thuốc đúng bệnh. Vì chàm là một bệnh thuộc cơ địa có nghĩa là bản thân cơ thể chúng ta thường có những dạngbệnh như thế nên việc chữa khỏi dứt điểm là hoàn toàn rất khó mà hầu hết các loại thuốc hiện nay chỉ nhằm vào điều trị triệu chứng, giảm nhẹ mức độ bệnh chứ không điều tri tiệt căn, nên bạn đừng kỳ vọng là dứt khỏi nhé.
Thân chúc anh chị khỏe!

Hình 9
8. Hồng hoàng H..-zhong……z@gmail.com-huyen chu se tinh gialai
Hỏi: Chào BS! cho e hỏi, gần 1 tháng nay người em, giống như có con gì bò khắp, bò toàn cơ thể, bò ở trong da, cho em hỏi có phải bị sán chó không ạ? Xin chân thành cảm ơn Bác sĩ.
Trả lời: 
Nếu chỉ chứng ấy câu hỏi, chừng ấy triệu chứng quả là khó để chẩn đoán bạn bị gì và có thật sự bị sán chó không thì cần phải xét nghiệm kiểm tra xem bạn đang mắc bệnh gì chứ phỏng đoán như thế thì thật khó. 
Vì không phải riêng con giun đũa chó/ mèo hay các loại ký sinh trùng khác cũng có thể gây nên các triệu chứng tương tự! Do đó, chúng tôi khuyên bạn nên đi khám chuyên khoa để điều trị kịp thời, tránh các biến chứng bệnh không đáng tiếc.
9. Mỹ Hằng- phanthuy......@gmail.com- Quận 9
Hỏi: Em 28 tuổi cách đây 2 năm trước thấy cơ thể bị nỗi mẩn như mề đay rất ngứa, có đi vào Viện Sốt rét-Ký sinh trùng- Côn trùng Quy Nhơn, sau khi kiểm tra bị dương tính với sán chó, BS có cho điều trị thuốc Pizar 6mg. Sau đó e khỏi hẳn không bị ngứa nữa, nhưng sau 2 năm bây giờ em bị lại y triệu chứng nỗi mãn mãn ngứa về đêm (ban ngày thì không nổi ). Đi xét nghiệm lại BV Nhiệt đới Sài Gòn, kết quả 44 dương tính sán chó. Bác sĩ nói không cần điều trị mà chỉ uống thuốc dị ứng là được vì dương tính là kháng thể của ký sinh trùng sán chó. cho em hỏi BS em có cần uống lại Pizar 6 mg hay ko? E chuận bị có con nên em hơi lo lắng liệu sán chó có ảnh hưởng trong quá trình mang thai không ? e xin cảm ơn!
Trả lời:
Chúng tôi rất thông cảm vì lo lắng của em là xác đáng vì mình sợ bệnh có thể lây sang phôi thai hoặc bào thai của mình khi chuẩn bị quá trình mang thai. Tuy nhiên, điều đặc biệt là bạn không nên lo lắng quá vì bản thân bệnh giun đũa chó/ mèo và sán chó không lây trực tiếp sang nhau thai nên không lo lắng đâu. 
Thứ hai là trước đây 2 năm bạn đã chữa và khỏi không còn bị ngứa, thì sau này vẫn có khả năng nhiễm lại là chuyện thường, không có gì phải suy nghĩ tại sao cả. Việc cần thiết hiện nay là em nên đi kiểm tra xem liệu đang bị mắc bệnh gì mà chúng gây nên các triệu chứng như thế để chúng ta còn điều trị bệnh dứt điểm trước khi làm mẹ an toàn.
Thân chúc bạn khỏe!

Hình 12
10. Hoàng Minh P....- minh…..@gmail.com- Quảng Bình
Hỏi: Chào Bác sĩ, Mình bị viêm da cơ địa đã gần 4 năm rồi, bệnh viện mình có chữa dứt điểm bệnh đó không ạ... Xin chân thành cảm ơn
Trả lời: 
Nếu thật sự chẩn đoán là viêm da cơ địa thì khó có thể điều trị dứt điểm mà chỉ điều trị các triệu chứng nhằm làm giảm nhẹ gánh nặng bệnh tật của mình mà thôi vì đã là cơ địa thì hầu hết do cơ thể mình không dung nạp các dấu lạ đó nên mới phát sinh ra các triệu chứng như thế. 
Tuy nhiên, một số bệnh nhân có thể bị chẩn đoán nhầm viêm da có địa với bệnh lý khác nên cần thiêt là bạn nên đi khám chuyên khoa đầy đủ để được tư vấn nhé. 
Thân chúc bạn khỏe!

Hình 10
12. Kiều- kieu….@gmail.com- Vạn Bình, Vạn Ninh, Khánh Hòa
Hỏi: Chào Bác sĩ, 2 vợ chồng em người bị nhiễm sán chó và người bị giun lươn, đã uống thuốc theo theo liệu trình 21 ngày tại Viện sốt rét, kst Qui Nhơn. Bác sĩ có nói không cần tái khám chỉ uống 1 lần. Nhưng sau 8 tháng rồi tụi em vẫn còn ngứa và vợ chống em có đi xét nghiệm lại tại Viện Pasteur Nha Trang thì vẫn còn bị nhiễm, không những vậy ck em còn bị nhiễm thêm sán chó nữa. BS ở đó có kê toa thuốc cho tụi em nhưng chỉ uống có vài ngày, triệu chứng không giảm mà còn ngứa dữ dội. Vậy giờ em phải làm sao, mong bác sĩ tư vấn giúp em. Em có nên đi Quy Nhơn để tái khám lại hay ko, hay fai chờ 6 tháng sau mới tái khám. Em cảm ơn!
Trả lời: 
Đối với trường hợp nhiễm ký sinh trùng của vợ chóng em xem ra cũng phức tạp nhỉ!, theo chúng tôi bạn có thể gọi điện thoại trực tiếp đến bác sỹ trong Viện chúng tôi mà trước đây đã từng điều trị cho bạn để tư vấn cụ thể hơn vì chỉ có bác sỹ đó khi thăm khám đã nắm được tình trạng bệnh của hai vợ chồng bạn và giá trị kết quả như thế nào, khi đó bác sỹ mới đưa ra cho bạn lời khuyên hợp lý nhất!
Thân chúc bạn khỏe! 
13. Trần Đình S...- Trandinhs.......@gmail.com - An Nhơn - Bình Định
Hỏi: Chào Bác sĩ, cho em hỏi trong một tuần nay lưng em mọc mấy hột đỏ rát và nóng, người em ngứa lúc nhúc như có gì con gì bò dưới da, đau đầu, ngủ không ngon giấc. Có phải người em đã bị nhiễm nhiều giun sánkhông
Em cảm ơn!
Trả lời: 
Nếu với chỉ một vài thông tin “một tuần nay lưng em mọc mấy hột đỏ rát và nóng, người em ngứa lúc nhúc như có gì con gì bò dưới da, đau đầu, ngủ không ngon giấc” mà bạn đã suy nghĩ đã nhiễm giun sán rồi thì hơi khó đó, mà chúng ta cần phải thăm khám cẩn thận và xét nghiệm các loại giun sán thì mới có thể chẩn đoán xác định được mắc bệnh gì chứ. 
Thân chúc em khỏe!