Trong thực hành lâm sàng các bệnh nhiệt đới hoặc các bệnh truyền nhiễm nói chung, và bệnh ký sinh trùng nói riêng, chúng tôi đã gặp khá nhiều trường hợp sau khi đã được chẩn đoán xác định ca bệnh và bệnh nhân được chỉ định thuốc điều trị đặc hiệu, nhất là các trường hợp điều trị giun đũa chó mèo, bệnh giun lươn, bệnh giun đầu gai, bệnh ấu trùng sán dây lợn thần kinh được chỉ định bằng các thuốc thiabendazole, albendazole, ivermectine,…đều có một tỷ lệ nhỏ xuất hiện các triệu chứng hoặc các phản ứng mà trên lâm sàng các thày thuốc hay gặp với bối cảnh bệnh nhân quay trở lại gặp bác sĩ sau khi đã dùng thuốc được 3 -4 ngày hoặc 1 tuẩn kèm theo các lời phàn nàn rằng nhức đầu hơn, ngứa nhiều hơn, nổi mẩn da nhiều hơn, thậm chí mệt ngực, khó chịu hơn khi chưa dùng thuốc. 
Quả thật, không ít các thầy thuốc lúng túng khi đưa ra rất nhiều câu hỏi: liệu bệnh nhân này có bị tác dụng phụ của thuốc hay không? Liệu bệnh nhân này có bị bất dung nạp thuốc không? Dị ứng thuốc tiềm tàng? Tăng độc do dung nạp thuốc hay không?, tương tác thuốc đang dùng?,…hay là không phải giun sán, đơn bào trong trường hợp này là bệnh chính mà cần tìm thêm bệnh khác! 
Song biểu hiện lâm sàng trong khi chờ đợi ý kiến thầy thuốc thì bệnh nhân vẫn dùng thuốc tiếp tục, …thấy bệnh thuyên giảm dần và khỏi hẳn. Sau nhiều năm ghi nhận tổng hợp như một số chia sẻ cùng các đồng nghiệp cũng như các bệnh nhân đã và đang điều trị bệnh nhân với các diễn tiến bệnh và khác thường như thế đã đến khám và điều trị bệnh tại cơ sở y tế - Đó chính là phản ứng Herxheimer.

Hình 1
Phản ứng Herxheimer: cảm giác bệnh nặng hơn trước khi có kết quả tốt hơn
Về mặt sinh lý bệnh, phản ứng Herxheimer có biểu hiện tăng các cytokines viêm trong suốt quá trình bệnh tồi tệ hơn và có xuất hiện các yếu tố hoại tử mô (TNF_tumor necrosis factor alpha), interleukin-6 và interleukin-8. Hiện tượng hay phản ứng này đầu tiên được mô tả bởi tác giả Adolf Jarisch (1860-1902) công tác tại Vienna, Áo và một vài năm sau đó được mô tả chi tiết hơn bởi tác giả Karl Herxheimer (1861-1942), làm việc tại Frankfurt, Đức. Cả hai đều là bác sĩ y khoa và chuyên gia về bệnh da liễu, chủ yếu điều trị các tổn thương da do giang mai. Hai bác sĩ này đều rất lưu ý đến các đáp ứng sau khi điều trị của bệnh trên bệnh nhân, nhiều bệnh nhân đã xuất hiện các triệu chứng, không chỉ có sốt, ra mồ hôi ban đêm, tăng tiết mồ hôi, buồn nôn, nôn mửa, nhưng tổn thương da lại lớn hơn và biểu hiện viêm nhiều hơn trước khi chúng lắng dịu và chữa lành rất tốt. Và cuối cùng cả hai bác sĩ đều thống nhất lấy tên chung là phản ứng Jarisch-Herxheimer. Một điều thú vị, họ đã tìm thấy và rút ra kinh nghiệm rằng những ai có phản ứng biểu hiện rầm rộ nhất thì lại được chữa lành nhanh nhất và tốt nhất, bệnh nhân có thể chỉ biểu hiện phản ứng có 2-3 ngày nhưng sau đó lại được giải quyết nhanh chóng.

Hình 2
Phản ứng Herxheimer xảy ra khi một lượng lớn độc tố bịly giải vào trong cơ thể chẳng hạn độc tố của vi khuẩn hay của spirochetes bị chết trong quá trình bị tác động bởi thuốc kháng sinh. Về mặt kinh điển hội chứng này có liên quan đến bệnh giang mai, khi điều trị bằng thủy ngân, salvarsan hoặc kháng sinh thì vi khuẩn bị chết tiết ra các nội độc tố xảy ra nhanh hơn quá trình mà cơ thể loại bỏ độc tố, chúng thường biểu hiện sốt, run lạnh, nhức đầu, đau cơ, và các biểu hiện da nghiêm trọng. 
Trong thời gian bệnh giang mai thì hiện tượng này chỉ xảy ra vài giờ. Cường độ của phản ứng phản ánh cường độ phản ứng viêm hiện thời. Phản ứng cũng nhìn thấy với một số bệnh khác khi chúng ta điều trị, như bệnh xoắn khuẩn hay borreliosis (bệnh Lyme và bệnh do ve gây sốt tái phát) và bệnh leptospirosis hay sốt Q. Các phản ứng tương tự cũng đã được báo cáo xảy ra trên bệnh bartonellosis -bệnh dịch ở các quốc gia Peru, Eucuador, Colombia châu Phi và biểu hiện sốt cao, lách to, sưng hạch bạch huyết, thiếu máu, sốt thương hàn, bệnh giun xoắn. 
Theo phân loại khoa học, phản ứng hay hội chứng Herxheimer với ICD-10 là T78.2 và ICD-9 là 995.0. Phản ứng Herxheimer Reaction là một phản ứng diễn ra trong một thời gian ngắn (vài ngày đến vài tuần) do quá trình của phản ứng khử độc trong cơ thể (detoxification reaction). Khi cơ thể khử độc tố, người ta thường có cảm giác như các triệu chứng tựa như cúm, gồm có nhức đầu, đau khớp, đau cơ, đau toàn thân, viêm rát họng, suy nhược toàn thân, run lạnh, buồn nôn hoặc một số triệu chứng khác.
Phản ứng Herxheimer được xem là một phản ứng tốt nhưng trên lâm sàng người bệnh sau khi dùng thuốc điều trị các bệnh ký sinh trùng, nhất là các bệnh nhân phải dùng dài ngày, liều cao,…họ lại cảm giác “nó có vẻ nặng hơn, ngứa nhiều hơn và đau đầu hoặc khó chịu hơn” nên họ thường quay lại bệnh viện để kiểm tra lại dù chưa đúng thời gian theo lịch tái khám. 

Hình 3
Các tác giả nước ngoài, đặc biệt là các nhà điều trị bệnh ký sinh trùng thường hay dùng một cụm từ rất hay và có lẽ rất tuyệt với đó là “Herxheimer Reaction - Feeling worse before feeling better”.
            Đây là một phản ứng bình thường thậm chí khỏe cho cơ thể, chỉ ra rằng các ký sinh trùng, nấm, virus, vi khuẩn hoặc một số tác nhân khác bị giết chết một cách hiệu quả. Vấn đề lớn nhất của phản ứng Herxheimer là người ta dừng uống thuốc hoặc bổ sung thuốc dẫn đến gây các triệu chứng và vì thế việc gián đoạn các liệu pháp điều trị sẽ giúp cho bệnh nhân tốt hơn. Mặc dù, kinh nghiệm này không phải cảm thấy tốt một cách đặc biệt, song phản ứng Herxheimer thật sự là một hiệu ứng chữa lành đang diễn ra. 
Thế nào là phản ứng Herxheimer thực thụ? 
Phản ứng Herxheimer (Herxheimer Reaction) là một phản ứng hệ thống miễn dịch đối với các độc tố (nội độc tố_endotoxins) bị ly giải ra khi một lượng lớn tác nhân gây bệnh bị giết chết bởi thuốc và cơ thể lại không thể đào thải các độc tố này đủ nhanh được, nên đã dẫn đến phản ứng trên. 
Trình bày một cách đơn giản, đây là một phản ứng xảy ra khi cơ thể tiến hành khử độc và có hiện tượng ly giải độc tố hoặc là biểu hiện bệnh thêm trầm trọng khi được điều trị, hoặc là tạo ra các triệu chứng riêng. Điều quan trọng để chú ý là các triệu chứng tồi tệ không cho thấy vấn đề thất bại điều trị như một câu hỏi cần lý giải hiện nay, thực tế cho thấy nó thường đối nghịch. 
Về mặt kỹ thuật, phản ứng này còn có tên khác, như Phản ứng Jarisch-Herxheimer (Jarisch-Herxheimer Reaction), hội chứng này đi cùng nhiều tên gọi như JHR, hiệu ứng Herxheimer(Herxheimer Effect), Phản ứng/ đáp ứng Herxheimer (Herxheimer Response), phản ứng Herx (Herx Reaction), Herx hoặc Herks. Thuật ngữ thường dùng nhất là phản ứng Herxheimer. Nó cũng thường được xem như một cơn khủng hoảng chữa lành (healing crisis), một phản ứng khử độc (detox reaction), hay hội chứng tác nhân gây bệnh bị tiêu diệt triệt để (die-off syndrome).
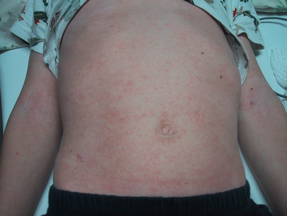
Biểu hiện lâm sàng của phản ứng Herxheimer 
Phản ứng Herxheimer trong đáp ứng với các thuốc điều trị có thể xảy ra khi quá trình chết của các tác nhân gây bệnh trong hệ bạch huyết, đặc biệt là trong trường hợp bệnh hệ thống hoặc nhiễm trùng toàn thân nặng. Các phản ứng Herxheimer thường thấy nhất biểu hiện: Nhức đầu, hội chứng giả cúm, ngứa và nổi ban đỏ và đỏ da
Hình 4+5
Thông thường, phản ứng kéo dài nhiều ngày. Trong các trường hợp nặng hơn, các phản ứng có thể kéo dài nhiều tuần hoặc hơn. Trong hầu hết các trường hợp, phản ứng có xu hướng nhẹ và biểu hiện mơ hồ không đáng chú ý. Có một số ca ngoại lệ, đặc biệt trường hợp bệnh nặng nhiễm trùng, một số ca như bệnh xơ hóa toàn thể, bệnh Lyme và các bệnh do xắn khuẩn khác có thể sinh ra các dấu hiệu cần lưu ý. Có thể xem phản ứng Herx như là một bệnh do tác nhân sinh bệnh gây ra khi bị giết chết. Một số chế phẩm của bạc trước đây dùng điều trị bệnh phổi hoặc mũi xoang cũng gây nên các triệu chứng tương tự, có thể cảm thấy bệnh có vẻ nặng hơn trong một vài giờ hoặc một ngày trước khi chúng bắt đầu giảm nhẹ. 
Phản ứng Herx biểu hiện rất thay đổi, lệ thuộc vào nhiều yếu tố, gồm tổng trạng chung về sức khỏe của từng cá nhân, tình trạng điều trị, mức độ độc tính và nhiễm độc trên cơ thể, tần suất và liều lượng thuốc dùng vào trong cơ thể cũng như mật độ của tác nhân gây bệnh bị nhiễm vào. Cũng như sự hỗ trợ của cơ thể trong việc loại bỏ các độc tố nhanh như thế nào. 
Nhiều dữ liệu khác nhau có thấy về khung thời gian diễn ra phản ứng Herxheimer. Một số cho thấy thường xảy ra trong vòng 4 - 24 giờ kể từ khi điều trị. Các chú ý khác cho thấy diễn ra từ ngày thứ 3 đến 5 trong liệu trình điều trị và thường khi đó phản ứng mới được chú ý đến nhiều nhất. Thời gian này cũng lệ thuộc nhiều yếu tố như trên đã đề cập và biểu hiện mức độ nào liên quan đến gánh nặng của tác nhân và sự thải độc của cơ thể nhanh hay chậm. 
Những gì cần làm khi gặp phải phản ứng Herxheimer?
Nếu phản ứng đủ nhẹ có thể không gây bất kỳ một rối laonj nào khác cho cơ thể, bước tiếp cận tốt nhất là tiếp tục liệu trình điều trị để nhanh chóng loại khỏi độc tố ra khỏi cơ thể càng sớm càng tốt. Nếu phản ứng quá nghiêm trọng, cắt giảm liều hoặc số lần uống có thể có lợi làm giảm nhẹ triệu chứng và cho phép tiến trình miễn dịch tiếp tục đào thải độc tố. Một số trợ giúp khác đề nghị của chuyên gia: 

Hình 6
-Nhận nhiều ánh sáng mặt trời và tìm nơi không khí trong lành; 
-Hạn chế vận động trong thời gian khử độc; 
-Giữ cho các chức năng cơ quan trong cơ thể đào thải tốt độc tố (ruột, phổi, da, thận, lympho);
-Giữ một chế độ ăn phù hợp trong suốt quá trình khử độc để cho cơ thể không tải thêm chất độ và các hóa chất mà nhằm loại trừ càng nhanh càng tốt; 
-Dùng thêm vitamine C 1000-3000mg/ ngày;
-Uống ½ ly nước chanh: 2 - 4 lần/ mỗi ngày; 
-Có thể tắm hơi hoặc xông hơi;
-Bổ sung một ít thảo dược bổ dưỡng với một lượng ít;
-Dùng thêm thuốc kháng histamine để chống ngứa và dị ứng thêm.
Cần ghi nhớ rằng nếu không giết tác nhân, nó sẽ làm bệnh diễn tiến nặng hơn, biện pháp tốt nhất cho cơ thể khi đó là uống nhiều nước (The best assistance for the body is drinking plenty of distilled water)

Hình 7
Hội chứng ký sinh trùng “Die-Off” và phản ứng Herxheimer 
Thuạt ngữ hội chứng tiêu diệt hoặc chết hết ("die-off symptoms") thường được dùng để mô tả các triệu chứng và phản ứng xảy ra khi một số lượng lớn tác nhân gây bệnh như nấm candida, virus, vi khuẩn và tác nhân khác sinh bệnh bị giết chết bởi thuốc trong cơ thể, ly giải một lượng độc tố vào toàn thân à cơ chế sinh bệnh lúc đó. 
Các triệu chứng như thế được mô tả như giả cúm, cảm giác ban đầu khi ký sinh trùng, nấm, vi khuẩn, virus và tác nhân khác bị giết trong cơ thể và đang dần bị loại ra khỏi cơ thể. Các triệu chứng giống cúm này cũng là quá trình đào thải hay khử độc (detoxic), gây ra bởi cơ thể và đang dần phân lập cũng như loại bỏ độc tố. 
Các triệu chứng bao gồm gia tăng tiết chất nhầy của tất cả màng nhầy (mũi, họng, xoang, phổi, âm đạo, ruột,…) và đa các cơ, khớp, nhức đầu, rối loạn tiêu hóa. Chính các triệu chứng như vậy khiến cho mọi người cảm thấy tự như cúm đang diễn ra. 

Hình 8
Các triệu chứng như vậy trong quá trình dùng thuốc là phản ứng Herxheimer, hoặc có thể gọi là Herx reaction. Tuy nhiên, hội chứng “die-off” và phản ứng "Herxheimer" được thừa nhận như lý thuyết Germ của bệnh (Germ Theory of Disease) là có thật, nghĩa là thuyết này quy kết tất cả bệnh truyền nhiễm đều do vi sinh vật của cơ thể con người sinh ra, vì thế lĩnh vực y khoa đã thêu dệt thêm, trang điểm thêm cho các thuật ngữ như vậy để làm cho chúng ta tin rằng kháng sinh thật sự giết chết vi khuẩn, song tất cả điều đó không phải lúc nào cũng đúng. 
Tại sao thuật ngữ phản ứng "Herxheimer” được hư cấu ? 
Họ khẳng định chính các kháng sinh gây nên các tác nhân bị chết như vậy, ly giải một lượng lớn các độc tố nhanh hơn khả năng cơ thể loại bỏ độc tố bằng tiến trình khử độc tự nhiên. Các phản ứng như thế thường có sốt, run lạnh, nhức đầu, đau cơ, giống cảm cúm, giả cúm kèm theo tăng tiết nhầy các cơ quan, tăng đỏ da. Nhưng cần lưu ý là cường độ của phản ứng phản ánh mức độ viêm hiện tại. 
Về sự thật của hội chứng “Die-Off” và phản ứng Herxheimer cho thấy chúng không gây ra bởi các tác nhân chết mà là độc tố. NHững gì đang thật sự diễn ra trong cơ thể đã được trình bày, và phản ứng viêm đó chính là phản ứng tự nhiên của hệ miễn dịch khi có sự xuất hiện của độc tố và các thuốc kháng sinh, chống nấm, chống ký sinh trùng với các độc tố / chất độc trong cơ thể! Do đó, bất kỳ một triệu chứng hay phản ứng nào gây ra bởi chính cơ thể thì đó là bằng chứng của quá trình khử độc do quá trình điều trị sinh ra. 
Cơ thể tạo ra các triệu chứng và phản ứng (viêm) trong quá trình đáp ứng với tất cả độc tố / chất độc, chẳng hạn thuốc, vaccine, …chất diệt côn trùng, thuốc chứa kim loại nặng, các thảo dược, hóa chất trong thực phẩm, các sản phẩm chăm sóc thẩm mỹ. Mặt khác, cơ thể đang hạn chế tối thiểu các tổn thương gây ra do chất độc bằng cách tăng chức năng phản ứng viêm và huy động đáp ứng miễn dịch để loại bỏ độc tố. 

Hình 9
Cơ thể phản ứng thế nào khi phản ứng với độc tố/ chất độc? 
Các chất độc (poisons) được định nghĩa là các chất có thể gây thương tổn, bệnh tật hoặc chết cho sinh vật sống. Một danh sách các triệu chứng xuất hiện khi nhiễm độc: 
-Buồn nôn 
-Nôn mửa 
-Tiêu chảy 
-Đau bụng 
-Buồn ngủ, chóng mặt hoặc yếu người 
-Sốt và rét run (shivering) 
-Chán ăn 
-Nhức đầu hoặc kích thích 
-Khó nuốt 
-Tăng tiết nước bọt hơn bình thường 
-Phát ban ở da 
-Nhìn mờ hoặc nhìn đôi 
-Co giật 
-Hôn mê (nếu nặng) 
Có thể phân biệt được hội chứng nhiễm độc với phản ứng Herxheimer? Thật là khó để tìm ra phản ứng độc cụ thể vì nhiều loại độc chất đặc biệt như thủy ngân, arsenic, CO, ngộ độc thực phẩm, ngộc độc thuốc diệt chuột,…Tuy nhiên, chúng ta cũng khó loại trừ các tác dụng phụ của thuốc trên một cơ địa vốn sẵn có dị ứng hoặc đặc ứng với một số thành phần của thuốc, do đó đứng trước một bức tranh phức tạp thì thật sự phân biệt đôi khi gặp phải khó khăn. 
-Phân loại về nhiễm độc theo mức độ khác nhau: 
-Nhiễm độc nhẹ (mild poisoning): nhức đầu, suy nhược, chóng mặt, khó chịu, bứt rức, tăng toát mồ hôi, buồn nôn, tiêu chảy, chán ăn, khát, sụt cân, buồn rầu, đau rát các khớp, da, kích thihcs da và mắt. 
-Nhiễm độc vừa (moderate poisoning): buồn nôn nặng, tiêu chảy nặng, tăng tiết nước bọt, co thắt dạ dày, run, mất phối hợp động tác các cơ, cứng cơ, yếu chi, lú lẫn tâm thần, khó thở, ho, mạch nhanh, đỏ da hoặc vàng da, mắt ướt như muốn khóc; 
-Nhiễm độc nặng (severe poisoning): sốt, khát nhiều, tăng nhịp thở, cơ vận động không đồng bộ, con ngươi không định vị được, co giật, không thở hoặc mất ý thức. 
* Sự giống nhau hoặc na ná giữa triệu chứng nhiễm độc và phản ứng “Die-off” hoặc phản ứng “Herxheimer” là có thểnhận ra rõ ràng nếu cẩn trọng điều tra bệnh sử! 

Hình 10
Khi một hay nhiều tác nhân kích thích viêm này có mặt trong các mô cơ thể đủ mạnh, chúng sẽ tạo ra phản ứng và đối nghịch với phản ứng chữa lành. 
Những gì xảy ra trong quá trình viêm do nhiễm trùng ? 
Các luồn máu sẽ đi đến các vùng kích thích, với các chất dinh dưỡng của chúng và các chất chữa lành, bao gồm bạch cầu, làm gia tăng áp lực máu, dẫn đến sưng phồng, đỏ và đau. 

Hình 11
Nhiễm trùng 
-Vi trùng không thể là độc chất cho đến khi chúng gây hại đến môi trường. Nhiễm trùng (Infection / Sepsis) nói chung là quá trình phân hủy, lên men, sự thối rửa của các động vật và chất thực vật chết hoặc tiết ra. 
-Các sinh vật chết trên tay, môi, cốc uống nước, xe đẩy,…thực ra chúng được tìm thấy nhiều nơi. Trước một tiến trình gây bệnh có thể liên đới, năng lực của từng cơ quan cho đến toàn thân phải được phá hủy.
Chữa lành có thể và khử độc tự thân do quá trình viêm tạo ra
Theo như trình bày của tác giả Henry Lindlahr trong Nature Cure: "Viêm và sốt chỉ là tự nhiên, theo thứ tự, đúng quy luật như mọi thứ trong tự nhiên, sau mỗi lần bắt đầu, chúng không bị kiểm tra hoặc bị ức chế bởi các thuốc độc hay quy trình phẩu thuật”. 
Henry Lindlahr đã giải thích phản ứng viêm: "câu chuyện của sự viêm nhiễm là một sự khám phá tuyệt vời nhất của các hoạt động phức tạp của vi sinh vật và con người. Cũng như nhiều thứ, chúng đã xác định nền tảng hoặc nguyên lý cơ bản của Nature Cure. Trước khi viêm tăng lên, nó phải có một nguyên nhân hình thành của một số tắc nghẽn hoặc một một số tác nhân gây hại cho sức khỏe và cuộc sống. 
Các tác nhân kích thích như thế của phản ứng viêm có thể làm chế tế bào, làm đông máu, làm gãy xương và một số vấn đề tồi tệ khác như tạo ra các sản phẩm thải bỏ, hoặc chúng có thể là các phẩn tử lạ như chất sỏi, sắt, chất kim loại hay vụn gỗ,…
Hình 13
Khi đề cập đến vấn đề giết chết toàn bộ tác nhân sinh bệnh trong mối liên quan cộng sinhhơn là tập trung vào các con ký sinh trùng hoặc một sinh vật nào khác. 
Đây là một chủ đề hiện đang rất thời sự và nhiều tác giả đang muốn viết như là trình bày các kinh nghiệm điều trị của họ. Sự đồng nhiễm (co-infection) có một mối quan hệ cộng sinh, và liên quan đến chết và độc tố, điều này có thể làm cho nhầm lẫn cho mọi người nghĩ rằng phản ứng do cơ thể tạo ra. 
Phản ứng Herxheimer là khi vi sinh vật bắt đầu ly giải và đào thải độc tố do quá trình chết sinh ra. Một phản ứng xảy ra khi gan và tụy không thể tiêu hóa hoặc đồng hóa hết lượng độc tố đủ nhanh thông qua hệ thống đào thải và chính vật độc tố có thời gian quay ngược lại dòng máu và mang tinh nhất cấp thời, do vật phản ứng Herx rất khó xảy ra đối với một số tình trạng bệnh mạn tính. 
Lỗi lớn nhất mà con người tiến hành là khi phản ứng xảy ra lại không biết nên đã dừng thuốc hoàn toàn vì họ nghĩ có vấn đề về điều trị. 
Hãy lấy nhiễm trùng mũi xoang mạn tính như một ví dụ. diển hình một nhiễm trùng ở xoang do nấm như có thể có liên quan cộng sinh với vi khuẩn. 
Nhiều trường hợp, thuốc chống nấm sử dụng lại không đến đích của vi khuẩn; hoặc nhiễm trùng được điều trị bằng thuốc kháng sinh lại không diệt được nấm đồng thời. Nếu các sinh vật này cộng sinh, nó sẽ phải được điều trị bằng 2 loại thuốc đồng thời. Điều này là đúng, đặc biệt nếu một vi sinh vật trội hơn vi sinh vật kia, cần làm các xét nghiệm để củng cố và khẳng định. Vì nếu không, một số vi sinh vật sẽ ẩn mình và dấu kín sau đó lại phát triển mạnh hơn vì không còn đối thủ để cạnh tranh. 
Một phản ứng Herx đôi khi là một phần của tiến trình chữa lành bệnh và nên coi đó là một yếu tố cần cân nhắc. Khi bạn uống thuốc, bạn cảm thấy khỏe hơn đúng không? Herx bắt đầu sau khi uống một lượng thuốc trong một số ngày. Sau đó, bạn bắt đầu cảm thấy nặng hơn với các triệu chứng chảy mũi và tắc mũi xoang trở lại - tăng lên gấp đôi. 
Những gì bạn không biết về nó, đó chính là phản ứng Herx, thường có cùng triệu chứng; nó có thể thậm chí nhanh hơn hoặc vấn đề sức khỏe kém hơn nếu đủ mạnh vì các tác nhân ẩn dấu bị tác động. Song tin tốt lành sẽ đến vì các dấu hiệu xấu đó chỉ diễn ra vài giờ đến vài ngày, rồi sau đó biểu hiện lại tốt hơn. So sánh với tình trạng nhiễm mạn tính thì quá trình này có thể diễn ra sau nhiều ngày thậm chí nhiều tuần. 

Hình 13
Khi các vi sinh vật chết xảy ra trong cơ thể chúng sẽ tạo ra một cân bằng mới do cơ thể điều chỉnh phù hợp, sau mỗi phản ứng lại thiết lập một cân bằng mới với tình trạng mạn tính ít hơn; cuối cùng không có phản ứng Herx như bản cảm thấy tốt hơn với cân bằng mới đạt được. 
Khi sử dụng thảo dược và người ta có cơn chữa lành trước khi xảy ra phản ứng Herx. Thuốc đã bao phủ các triệu chứng và đây chính là lý do tại sao? Nhờ đó mà không thấy xuất hiện phản ứng Herx. Cũng có nhiều thuốc có thể gây ra phản ứng Herx - điều này lệ thuộc vào kê đơn tác động vào đích của tác nhân gây bệnh đặc biệt. Các thuốc có thể cố định nhanh chóng nhưng các thuốc tự nhiên có thể uống lâu hơn. Các thực phẩm thuốc hoặc thảo dược có cơ chế tác động khác nhau nên cơ chế sinh phản ứng cũng khác nhau. Một người có thể có một phản ứng Herx ngay cả khi một một loại nước ép dùng trong vài ngày, triệu chứng giả cúm cũng đã biến mất. 
Có hay không có liên quan đến việc loại bỏ ký sinh trùng, nấm mốc, vi khuẩn, virus, quá trình đồng nhiễm có thể xem như một phần của phản ứng vì quan hệ cộng sinh có thể tồn tại. Nếu một phản ứng Herx xảy ra trong khi bạn dùng liệu trình thuốc thì tin chắc rằng sẽ diễn ra quá trình lành sau đó. Dù sư thật phản ứng Herx là một dấu hiệu tốt, song cần giám sát chặt chẽ và cần có biện pháp làm giảm triệu chứng nếu chúng quá nặng - nếu nhận định phản ứng sai có thể dãn đến tử vong.
Kết luận
Lời khuyên quan trọng nhất có liên quan đến phản ứng Herxheimer là hội chứng này chỉ xảy ra trong vòng vài ngày và kết quả thường diễn tiến rất tốt trước khi đó chúng đã biểu hiện có vẻ xấu hơn. Song cũng cần cảnh báo rằng, bất kỳ một triệu chứng nghiêm trọng nào như bất thường về tim mạch, khó thở, co thắt đường thở, đau ngực, phổi, sưng phồng bất thường hoặc các triệu chứng nghiêm trọng khác nên chú trọng và chuyển cấp cứu tức thời. Như một kết quả ghi nhận, bạn có thể cảm thấy tệ hơn về triệu chứng bệnh song sau đó lại tốt hơn. Mặc dù vậy, phản ứng Herx như một hiệu ứng chữa lành đang diễn ra. Điều quan trọng là các triệu chứng trầm trọng không chỉ ra hay biểu thị là một quá trình thất bại điều trị. Thực tế bị các thầy thuốc ghi nhận là thất bại điều trị hoặc điều trị không đáp ứng à họ đã dừng thuốc đang điều trị vì coh rằng do mó mà nên phản ứng này.   
Nếu nó đủ nhẹ mà bạn có thể chịu đựng không cảm thấy khó chịu, tiếp cận tốt nhất chính là tiếp tục điều trị và hỗ trợ cho cơ thể nhanh chóng đào thải độc tố ra khỏi cơ thể càng sớm càng tốt bằng các phương pháp đã đề cập ở trên. Nếu nghiêm trọng, cắt giảm liều dùng và số lần dùng thuốc có thể giúp giảm nhẹ triệu chứng nhưng vẫn cho phép tiến trình chữa lành tiếp tục. Đôi khi dừng một ngày rồi bắt đầu lại liều dần dần đến khi khỏi bệnh.  
Tài liệu tham khảo
1.The Herxheimer Reaction - Feeling worse before feeling better (2009). http://www.silver-colloids.com/Pubs/herxheimer
2.Herxheimer Reaction: Parasite Die-Off Syndrome. http://curezone.com/forums/
3.http://en.wikipedia.org/wiki/Herxheimer_reaction
4.Herxheimer Reaction, Co-infections, and Toxins. http://www.rhrplus.com/b2evolution/
5.Loscalzo, Joseph; Fauci, Anthony S.; Braunwald, Eugene; Dennis L. Kasper; Hauser, Stephen L; Longo, Dan L. (2008). Harrison's Principles of Internal Medicine. McGraw-Hill Medical. pp. 1048–67.
6.Rolain JM, Brouqui P, Koehler JE, Maguina C, Dolan MJ, Raoult D (June 2004). "Recommendations for treatment of human infections caused by Bartonella species". Antimicrob Agents Chemother 48 (6): 1921–33.
7.Koehler JE; Duncan LM (September 29, 2005). "Case records of the Massachusetts General Hospital. Case 30-2005. A 56-year-old man with fever and axillary lymphadenopathy". New England Journal of Medicine 353 (13): 1387–94.
8.Madkour MM (2003). "Brucellosis". in D. A. Warrell, Timothy M. Cox, John D. Firth. Oxford Textbook of Medicine. Oxford: Oxford University Press. p. 545.
9.Keith Parker; Laurence Brunton; Goodman, Louis Sanford; Donald Blumenthal; Iain Buxton (2008). "Protein synthesis inhibitors and miscellaneous antibacterial agents". Goodman & Gilman's manual of pharmacology and therapeutics. McGraw-Hill Medical. p. 768.
10.Grove DI (2003). "Nematode infections of lesser importance". in D. A. Warrell, Timothy M. Cox, John D. Firth. Oxford Textbook of Medicine. Oxford: Oxford University Press. p. 809.
11.Vidal V, Scragg IG, Cutler SJ, et al. (December 1998). "Variable major lipoprotein is a principal TNF-inducing factor of louse-borne relapsing fever". Nat. Med. 4 (12): 1416–20.
12.Kaplanski G, Granel B, Vaz T, Durand JM (July 1998). "Jarisch-Herxheimer reaction complicating the treatment of chronic Q fever endocarditis: elevated TNFalpha and IL-6 serum levels". J. Infect. 37 (1): 83–4.
13.Jarisch A (1895). "Therepeutische Versuche bei Syphilis". Wien Med Wochenschr 45: 721–42.
14.Herxheimer K, Krause D (1902). "Ueber eine bei Syphilitischen vorkommende Quecksilberreaktion". Deutsch Med Wochenschr 28: 895–7.