Bùi Trần Lê (Quảng Nam) hỏi: Đọc các thông tin trên báo chí, tôi có nghe nói đến một loại ký sinh trùng Loa Loa gây bệnh. Vậy Loa Loa gây bệnh gì và ở nước ta có loại bệnh này không ? Xin bác sĩ tư vấn cho biết.
Loa Loa là loại ký sinh trùng giun chỉ gây bệnh khá phổ biến và phân bố chủ yếu ở vùng nông thôn miền Trung châu Phi ; đặc biệt ở các nước vùng vịnh Guine. Tỷ lệ nhiễm giun chỉ Loa Loa ở vùng này chiếm từ 35 đến 90% dân số. Tổng số người mắc bệnh giun chỉ Loa Loa trên thế giới ước tính khoảng 13 triệu người. Ở Việt Nam, chưa có một tài liệu nghiên cứu nào thông báo đã phát hiện được loại bệnh này tại nước ta.
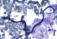
Giun chỉ Loa Loa có kích thước con đực dài từ 25-35 mm, to khoảng 0,30 mm ; con cái dài từ 50-70 mm, to khoảng 0,5 mm. Ấu trùn giun dài từ 250-300 µm, to khoảng 6-8 µl.
|
ruồi Chrysops dimidiata (ảnh sưu tầm) |
Vật chủ chính của giun là người, vật chủ trung gian truyền bệnh là loại ruồi hút máu Chrysops, phổ biến là ruồi Chrysops dimidiata, Chrysops silacea... Những loại ruồi này chỉ hoạt động chích hút máu vào ban ngày, cao điểm nhất khoảng từ 10 giờ sáng đến 1giờ chiều. Trong cơ thể con người, giun trưởng thành có thể sống tồn tại đến 15 năm.
Người bị nhiễm giun do ruồi mang mầm bệnh chích hút máu và truyền ký sinh trùng sang. Lúc giun di chuyển dưới da, người bệnh có cảm giác như kiến bò, đôi khi giun di chuyển dưới niêm mạc miệng. Giun có thể gây viêm giác mạc, viêm mi mắt, bệnh nhân sợ ánh sáng, xét nghiệm máu thấy bạch cầu ái toan tăng cao. Đôi khi người bệnh có thể bị viêm màng não, viêm màng trong tim, rối loạn thần kinh và đe dọa đến tính mạng.
Chẩn đoán xác định bệnh bằng cách xét nghiệm tìm ấu trùng của giun chỉ Loa Loa ở trong máu người bệnh hoặc căn cứ vào các phản ứng miễn dịch học. Khi phát hiện được bệnh, việc điều trị giống như điều trị giun chỉ bạch huyết ; sử dụng thuốc đặc hiệu DEC (Diethyl carbamazine) kết hợp với các thuốc chống dị ứng và nhóm thuốc corticoides.