Lê Hữu Trí V., 43 tuổi, nhân viên văn phòng, Q.5, TP. Hồ Chí Minh
Hỏi: Em xin hỏi các bác sĩ rằng bệnh đa nang ở thận-gan có nguy hiểm không? Vì chồng em vừa mới đi kiểm tra sức khỏe theo công ty thì phát hiện trên siêu âm có nang ở thận và cả ở gan. Em lo lắng quá không biết thực hư thế nào, mong sự giúp đỡ giải thích của các bác.
Trả lời:
Trước hết chúng tôi xin chia sẻ với bạn về tình trạng của các bệnh lý thận đa nang, gan đa nang nói chung. Trong thực hành lâm sàng, bệnh thận đa nang không giới hạn chỉ có thận, mặc dù thận thường là cơ quan bị ảnh hưởng nặng nhất. Bệnh có thể gây ra u nang phát triển ở nơi khác trong cơ thể. Theo các chuyên gia về thận tiết niệu nghiêncứu về thận đa nang và gan đa nang đi kèm cho biết: Bệnh thận đa nang là một rối loạn trong đó cụm u nang phát triển chủ yếu trong thận. U nang là những túi tròn chứa dịch không phải ung thư, giống như nước.
Bệnh thận đa nang không giới hạn chỉ có thận, mặc dù thận thường là cơ quan bị ảnh hưởng nặng nhất. Bệnh có thể gây ra u nang phát triển ở nơi khác trong cơ thể. Nguy cơ lớn nhất cho những người bị bệnh thận đa nang là phát triển tăng huyết áp. Suy thận là một vấn đề phổ biến cho những người có bệnh thận đa nang. Bệnh thận đa nang thay đổi lớn trong mức độ nghiêm trọng của nó và một số biến chứng có thể ngăn ngừa. Kiểm tra thường xuyên có thể có phương pháp điều trị để giảm thiệt hại cho thận từ các biến chứng, chẳng hạn như huyết áp cao.

Về mặt triệu chứng, bệnh thận đa nang có thể bao gồm: (i) Tăng huyết áp; (ii) Đau sau lưng hay bên hông có liên quan đến thận to; (iii) Nhức đầu; (iv) Tăng kích thước của bụng; (v) Máu trong nước tiểu; (vi) Thường xuyên đi tiểu); Sỏi thận; (vii) Suy thận; (viii) Nhiễm trùng đường tiết niệu hoặc nhiễm trùng thận. Những người có bệnh thận đa nang không phải là không phổ biến, trong nhiều năm không phát triển các dấu hiệu hoặc triệu chứng và không biết có bệnh. Nếu trải nghiệm một số các dấu-triệu chứng của bệnh thận đa nang, trong đó bao gồm huyết áp cao, sự gia tăng kích thước của bụng, máu trong nước tiểu hoặc đau hông, hoặc sỏi thận, gặp bác sĩ để xác định những gì có thể thể gây ra chúng. Nếu có mức độ tương đối gần - cha mẹ, anh chị em ruột hoặc con bị bệnh thận đa nang, gặp bác sĩ để thảo luận về những ưu và khuyết điểm của sàng lọc cho rối loạn này. Về nguyên nhân, nang thận gan không phải là ung thư (mà là lành tính), túi tròn có chứa dịch như nước. Khác nhau về kích thước và khi tích lũy nhiều dịch có thể phát triển rất lớn. Một quả thận có chứa nhiều u nang. Bất thường gen gây ra bệnh thận đa nang, những khuyết tật di truyền có nghĩa bệnh có liên quan đến gia đình. Có hai loại bệnh thận đa nang, gây ra do sai sót di truyền khác nhau:
·Nhiễm sắc thể thường chi phối bệnh thận đa nang, dấu hiệu và triệu chứng thường phát triển trong độ tuổi từ 30-40. Trước đây, loại này được gọi là bệnh thận đa nang dành cho người lớn, nhưng trẻ em có thể phát triển các rối loạn. Chỉ có hoặc cha, hoặc mẹ có bệnh để truyền lại. Nếu một trong hai người có bệnh lý này, mỗi đứa trẻ có cơ hội nhận được 50% bệnh. Hình thức này chiếm khoảng 90% các trường hợp bệnh thận đa nang;
·Gen lặn trên nhiễm sắc thể thường chi phối bệnh thận đa nang. Kiểu này là ít phổ biến hơn dạng trên. Các dấu hiệu và triệu chứng thường xuất hiện ngay sau khi sinh. Đôi khi, các triệu chứng không xuất hiện trong thời thơ ấu hay trong thời niên thiếu. Cả cha mẹ phải có gen bất thường. Nếu cả cha và mẹ mang gen rối loạn này, mỗi đứa trẻ có cơ hội nhận được 25% bệnh;
·Các nhà nghiên cứu cho đến nay đã xác định được hai gen có liên quan với hai trạng thái bệnh lý trên. Trong một số trường hợp, một người có bệnh thận đa nang nhiễm sắc thể thường không có tiền sử gia đình được biết đến. Nhưng có thể là một ai đó trong gia đình người bị ảnh hưởng thực sự đã có bệnh, nhưng không có dấu hiệu hay triệu chứng trước khi chết vì các nguyên nhân khác. Trong một tỷ lệ nhỏ hơn trường hợp không có tiền sử gia đình, nhiễm sắc thể thường là kết quả từ một đột biến gen tự phát.

Về biến chứng liên quan đến bệnh thận đa nang:
·Hay gặp nhất là tăng huyết áp, nếu không điều trị, huyết áp cao có thể gây thiệt hại thêm cho thận và làm tăng nguy cơ mắc bệnh tim và đột quỵ;
·Mất chức năng thận tiến triển là một trong những biến chứng nghiêm trọng của bệnh thận đa nang (gần một nửa số những người bệnh có suy thận ở tuổi 60 và lên đến 75% có suy thận ở tuổi 70, nếu có huyết áp cao hoặc máu hoặc protein trong nước tiểu, có nguy cơ suy thận);
·Bệnh thận đa nang gây cho thận dần dần mất khả năng loại bỏ chất thải từ máu và duy trì sự cân bằng dịch và điện giải cơ thể. Khi u nang lớn, gây tăng áp lực và thúc đẩy sẹo, các khu vực bình thường không bị ảnh hưởng của thận. Những kết quả tác động của áp suất máu cao và cản trở khả năng của thận để giữ chất thải tích tụ đến mức độc hại, một tình trạng gọi là tăng urê huyết. Khi bệnh nặng hơn, sẽ tiến tới giai đoạn cuối suy thận. Khi giai đoạn suy thận cuối xảy ra, cần chạy thận hoặc ghép thận để kéo dài cuộc sống;
·Biến chứng khi mang thai có có thể phát triển chứng rối loạn đe dọa mạng sống được gọi là tiền sản giật;
·Tăng trưởng các u nang trong gan, các khả năng phát triển u nang gan ở người bị bệnh thận đa nang tăng theo tuổi. Trong khi cả hai đàn ông và phụ nữ bị u nang, u nang phụ nữ thường phát triển lớn hơn. U nang có thể tăng trưởng được hỗ trợ bởi kích thích tố nữ;
·Phát triển chứng phình động mạch trong não: phình động mạch trong não có thể gây xuất huyết nếu nó bị vỡ. Những người bị bệnh thận đa nang có nguy cơ cao hơn chứng phình động mạch, đặc biệt là những người xảy ra trước tuổi 50. Nguy cơ cao hơn nếu có tiền sử gia đình chứng phình động mạch hoặc nếu có tăng huyết áp không kiểm soát được;
·Bất thường van tim: ¼ người lớn bị thận đa nang phát triển sa van hai lá. Khi điều này xảy ra, van không còn đóng đúng cách, cho phép máu chảy ngược;
·Vấn đề đại tràng: thoát vị và túi hoặc túi trong thành đại tràng có thể phát triển ở những người bị bệnh thận đa nang;
·Đau mãn tính: một triệu chứng phổ biến ở những người có bệnh thận đa nang, thường xảy ra ở phía sau lưng hay bên, cơn đau cũng có thể kết hợp với nhiễm trùng tiết niệu hoặc sỏi thận.
Hiện tại vấn đề chẩn đoán không khó, một số phương pháp có sẵn để phát hiện kích thước và số lượng các u nang cũng như để đánh giá số lượng mô thận khỏe mạnh. Siêu âm kiểm tra, hoặc chụp vi tính cắt lớp, MRI có thể nhìn thấy hình ảnh thận bình thường hoặc bất thường.

Xét nghiệm di truyền: Phân tích liên kết gen liên quan đến việc xét nghiệm máu đặc biệt cho bản thân và cho ít nhất ba thành viên gia đình những người được biết đến hoặc có hoặc không có bệnh thận đa nang. Sau đó, kết quả xét nghiệm máu được so sánh với các kết quả xét nghiệm của các thành viên gia đình khác. Bởi vì hình ảnh siêu âm và các xét nghiệm khác thường dẫn đến một chẩn đoán xác định, kiểm tra điều này thường chỉ được sử dụng khi một thành viên gia đình trẻ đang xem xét việc tặng một quả thận. Nó cũng có thể được sử dụng khi kết quả xét nghiệm hình ảnh không phải là kết luận.
Việc điều trị và thuốc bệnh thận đa nang liên quan đến việc đối phó với các dấu hiệu, các triệu chứng và biến chứng sau đây:
·Tăng huyết áp: Kiểm soát huyết áp cao có thể làm chậm sự tiến triển của bệnh và chậm hư hại thêm thận. Kết hợp natri thấp, chế độ ăn uống ít chất béo, chất đạm và calorie vừa phải với loại bỏ hút thuốc lá, tăng cường tập thể dục và giảm căng thẳng có thể giúp kiểm soát huyết áp cao. Tuy nhiên, thuốc này thường cần thiết để kiểm soát huyết áp cao. Thuốc được gọi là các chất ức chế men chuyển (ACE) có thể được sử dụng để kiểm soát huyết áp cao ở những người bị bệnh thận đa nang, mặc dù nhiều hơn một loại thuốc có thể cần thiết để kiểm soát tốt huyết áp;
·Đau mãn tính, thường nằm ở phía sau hoặc bên cạnh, là một triệu chứng phổ biến của bệnh thận đa nang. Thông thường, các cơn đau nhẹ và có thể kiểm soát nó với thuốc có chứa acetaminophen. Đối với một số người, cơn đau nặng hơn và liên tục. Trong trường hợp hiếm gặp, bác sĩ có thể đề nghị phẫu thuật cắt bỏ u nang nếu chúng đủ lớn để gây áp lực và đau đớn;
·Các biến chứng của u nang: hiếm khi u nang thận gây đau nặng, cản trở các cơ quan khác hoặc các mạch máu, có thể cần phải trải qua phẫu thuật để lấy dịch từ các u nang. Nhiễm trùng bàng quang hoặc thận. Điều trị các bệnh nhiễm trùng với kháng sinh là cần thiết để ngăn chặn tổn thương thận;

·Máu trong nước tiểu: Cần uống nhiều nước ngay sau khi nhận thấy có máu trong nước tiểu, để pha loãng nước tiểu. Pha loãng có thể giúp ngăn ngừa cục máu đông hình thành tắc nghẽn đường tiểu. Nghỉ ngơi tại giường cũng có thể giúp làm giảm chảy máu;
·Suy thận: Nếu thận bị mất khả năng loại bỏ chất thải và dịch từ máu, cuối cùng sẽ cần phải lọc máu hoặc thay thận;
·U nang gan: Quản lý nang gan bao gồm liệu pháp thay thế hormon. Các tùy chọn khác trong trường hợp hiếm bao gồm hút dịch u nang có triệu chứng nếu không quá nhiều, cắt bỏ một phần của gan hoặc thậm chí ghép gan;
·Phình mạch: Nếu có bệnh thận đa nang và gia đình có tiền sử vỡ phình mạch nội sọ, bác sĩ có thể khuyên nên kiểm tra thường xuyên phình mạch máu. Nếu túi phình được phát hiện, phẫu thuật cắt phình động mạch để giảm nguy cơ chảy máu có thể là một lựa chọn, tùy thuộc vào kích thước của nó. Điều trị chứng phình động mạch nhỏ có thể liên quan đến việc kiểm soát huyết áp cao, cholesterol cao và hút thuốc bỏ thuốc;
·Điều trị hỗ trợ: Như trường hợp mắc bệnh mãn tính khác, có bệnh thận đa nang có thể làm cho cảm thấy quá tải hay bất lực. Nhưng không phải đối phó với bệnh tật một mình. Sự hỗ trợ từ bạn bè và gia đình là quan trọng trong việc đối phó với một căn bệnh mãn tính. Ngoài ra, một nhân viên tư vấn, bác sĩ tâm lý học có thể giúp đỡ. Cũng có thể xem xét tham gia một nhóm hỗ trợ. Mặc dù các nhóm hỗ trợ không phải cho tất cả mọi người, có thể cung cấp thông tin hữu ích về phương pháp điều trị và đối phó. Và với những người hiểu những gì đang trải qua có thể làm giảm nhẹ bệnh.

Tư vấn di truyền đặt ra nếu bệnh thận đa nang và đang tính chuyện có con, một cố vấn di truyền có thể giúp đánh giá nguy cơ truyền bệnh cho con. Giữ cho thận càng khỏe mạnh càng tốt có thể giúp ngăn ngừa một số các biến chứng của bệnh này. Một trong những cách quan trọng nhất có thể bảo vệ thận bằng cách quản lý huyết áp.
Vương Thị Cẩm T. 38 tuổi, TT Medmask,….
Hỏi: Ý nghĩa và chức năng các Ig miễn dịch trong thực hành y khoa là gì, xin được tư vấn giúp!
Trả lời:
Đây là một câu hỏi về mặt chuyên môn sâu về các thành phần miễn dịch trong cơ thể khi bình thường có sức khỏe và khi có bệnh lý, nhất là các bệnh lý liên quan đến cơ chế đáp ứng miễn dịch như trong bệnh nhiễm các ký sinh trùng nói chung và giun sán nói riêng.
Một test kiểm tra immunoglobulins (Ig) được tiến hành để đo nồng độ các Igs cũng như bieeys các kháng thể trong cơ thể của bạn. Các kháng thể là các chất được hệ miễn dịch cơ thể sinh ra trong đáp ứng đối phó với vi khuẩn, virus, ký sinh trùng, nấm và các chất gây hại nghiêm trọng từ động vật và các tế bào ung thư. Các kháng thể dính vào các chất lạ nên ệ miễn dịch có thể tiêu diệt chúng. Các kháng thể đặc hiệu với mỗi loại chất lạ, ví dụ các kháng thể đáp ứng với nhiễm trùng lao chỉ khi có vi khuẩn lao. Các kháng thể cũng tạo ra các phản ứng dị ứng. Thỉnh thoảng, các kháng thể có thể chống lại chính các mô của riêng chúng, khi đó gọi là bệnh lý tự miễn dịch. Nếu hệ miễn dịch của chúng ta làm cho các nồng độ kháng thể thấp, bạn có thể có cơ hội lớn hơn để phát triển hình thành các nhiễm trùng lặp lại. Bạn có thể lúc sinh ra có sẵn hệ miễn dịch của nồng độ kháng thể thấp hoặc hệ miễn dịch của bạn có nồng độ kháng thể thấp đối phó với một số bệnh như ung thư chẳng hạn.

Có 5 type chính của kháng thể:
·IgA: Các kháng thể này tìm thấy trên các vùng cơ thể như mũi, đường thở, đường tiêu hóa, tai, mắt và âm đạo. Kháng thể IgA bảo vệ cơ thể chống lại các chất lạ phơi nhiễm từ bên ngoài. Type kháng thể này cũng tìm thấy trong các dịch tiêt như nước bọt, nước mắt và máu. Khoảng 10-15% lượng kháng thể hiện diện trong cơ thể là loại IgA. Một số ít người không có kháng thể IgA;
·IgG: Kháng thể này tìm thấy trong tất cả dịch cơ thể. Chúng nhỏ nhất nhưng là loại kháng thể phổ biến nhất (75-80%) trong số tất cả kháng thể trong cơ thể. Các kháng thể IgG rất quan trọng chống lại vi khuẩn và nhiễm trùng virus. Các kháng thể IgG lad type kháng thể duy nhất có thể đi qua được nhau thai trên các phụ nữ mang thai để giúp bảo vệ cho cho phôi thai cả cô ta;
·IgM: loại kháng thể này là loại kháng thể lớn nhất tìm thấy trong máu và dịch bạch huyêt. Kháng thể IgM đáp ứng trong tất cả các nhiễm trùng. Chúng cũng gây ra cho các tế bào hệ miễn dịch tiêu diệt các chất lạ. Các kháng thể IgM chiếm 5-10% trong số các kháng thể trong cơ thể;
·IgE: Kháng thể IgE tìm thấy trong phối, da, màng niêm mạc, chúng gây cho cơ thể phản ứng chống lại các chất lạ như bụi nhà, phấn hoa, bào tử nấm và các chất nguy hiểm từ động vật. Chúng còn liên quan đến các phản ứng dị ứng với sữa, một số thuốc và chất độc. Các kháng thể IgE thường có nồng độ cao ở cơ thể người trong các bệnh lý di ứng;
·IgD: Kháng thể IgD tìm thấy một lượng nhỏ trong các mô ở phần bụng và ngực. Chúng tác động như thế nào vẫn chưa được hiểu thấu. Nồng độ mỗi loại kháng thể có thể cho bác sĩ các thông tin về nguyên nhân của vấn đề y khoa.
Khi điện di protein huyết thanh dựa trên điện tích, kích thước và hình dạng của chúng. Hai loại protein chính trong huyết thanh là albumin và globulin. Albumin là protein chính của huyết thanh, tạo ra đỉnh cao nhất, nằm gần nhất với cực dương. Globulin bao gồm nhiều phần nhỏ hơn của protein toàn bộ, nhưng lại là mối quan tâm chính của xét nghiệm này. Năm loại globuline là alpha-1, alpha-2, beta-1, beta-2 và gamma, trong đó gamma nằm gần cực âm nhất. Khoảng giá trị chuẩn của điện di protein trong huyết thanh như sau:
Albumin: 3.3-5.7 g/dL
a-1: 0.1-0.4 g/dL
a-2: 0.3-0.9 g/dL
b-2: 0.7-1.5 g/dL
gamma: 0.5-1.4 g/dL
Khoảng giá trị này có thể thay đổi tùy theo phòng xét nghiệm. Nhiều bệnh hoặc tình trạng làm biến đổi hình dạng kết quả của điện di protein (bảng 1).
Phân loại trên điện di protein | Tăng | Giảm |
Albumin | Mất nước nặng | Suy dinh dưỡng, suy kiệt, bệnh gan, bệnh ruột mất protein, bỏng nặng |
Alpha-1 | Tình trạng viêm, thai kỳ | Thiếu alpha-1 antitrypsin |
Alpha-2 | Tình trạng viêm, hội chứng thận hư, dùng thuốc ngừa thai đường uống, dùng steroid, cường giáp | Tán huyết, bệnh gan |
Beta | Tăng lipid máu, thiếu máu thiếu sắt | Giảm lipoproteine B, suy dinh dưỡng |
Gamma | Bệnh gamma globuline đơn dòng và đa dòng | Không có gammaglobulinemia, giảm gammaglobulinemia |
Trên kết quả điện di, bệnh tăng gamma globuline đơn dòng biểu hiện là một dải hẹp bao gồm một dòng duy nhất immunoglobulin, được bài tiết bởi một dòng tương bào tăng trưởng bất thường, được gọi là M-protein (paraprotein, protein đơn dòng hoặc thành phần M). Một M-protein thường thể hiện như một đỉnh hẹp duy nhất, giống chóp nhà thờ, trong vùng gamma, beta, hoặc alpha-2. Dạng đơn dòng trên điện di với kháng thể đơn dòng phải hiện diện ở nồng độ tối thiểu 0,5 g/dL để được nhận diện chính xác. Nồng độ này tương ứng với khoảng 109 tế bào sinh kháng thể. Rối loạn dưỡng bào liên quan một cách điển hình đến sự hiện diện. Ngoài ra, thành phần M có thể được phát hiện trong các bệnh ác tính lympho như bạch cầu mãn dòng lympho, lymphoma tế bào B hoặc T, ung thư vú, ung thư đại tràng, xơ gan, sarcoidosis, và các rối loạn tự miễn khác.
Các tình trạng liên quan đến tăng đơn dòng trong vùng gamma bao gồm:
-Đa u tủy; Smoldering myeloma;
-Bệnh tăng gamma globuline đơn dòng ý nghĩa không xác định (MGUS);
-Tăng macro globuline máu Waldenstrom;
-Hội chứng POEMS (polyneuropathy, organomegaly, endocrinopathy, monoclonal gammopathy, and skin changes);
-U tương bào đơn độc;
-Bệnh Castleman;
-Thoái biến dạng bột loại AL (AL amyloidosis);
-Bệnh lắng đọng chuỗi nặng (heavy chain deposition disease);
-Bệnh lắng đọng chuỗi nhẹ (light chain deposition disease).
Bệnh gamma globuline đa dòng: Các tiến trình nhiễm, viêm và phản ứng khác nhau có thể liên quan đến một đỉnh đáy rộng hoặc một dải trong vùng gamma. Dạng này gợi ý tăng immunoglobulin đa dòng. Bệnh gan, bệnh tự miễn, nhiễm siêu vi hoặc vi khuẩn mãn và nhiều bệnh ác tính khác nhau có thể gây tăng đa dòng trong vùng gamma. Dạng đa dòng trên điện di protein:
Bảng 2. Các bệnh liên quan đến tăng gammaglobuline đa dòng |
Tình trạng | Ví dụ |
Bệnh gan | Xơ gan, viêm gan tự miễn hoặc siêu vi |
Bệnh mô liên kết | Viêm khớp dạng thấp, lupus hệ thống, xơ cứng bì, hội chứng Sjogren |
Nhiễm | Vi khuẩn: viêm xương-tủy xương, viêm nội tâm mạc siêu vi: do HIV/AIDS, viêm gan C, Epstein-Barr |
Rối loạn/bệnh ác tính huyết học | Lymphoma không Hodgkin, bạch cầu mãn dòng lympho, thalassemia, thiếu máu hồng cầu hình liềm |
Bệnh ác tính không thuộc hệ máu | Phổi, buồng trứng, dạ dày, tế bào gan |
Sự hiện diện của M-protein có thể bị bỏ qua nếu nồng độ quá thấp để có thể phát hiện được bằng điện di trên protein. Trong những trường hợp nghi ngờ có rối loạn đơn dòng tương bào, những phương pháp nhạy cảm hơn như cố định miễn dịch huyết thanh hoặc xét nghiệm chuỗi nhẹ nên được thực hiện. Ngoài ra, trong trường hợp thiếu alpha-1 antitrypsin hoặc giảm immunoglobulin, cần định lượng chuyên biệt vì trên điện di không nhạy cảm trong những trường hợp này.

Mô tả các vùng trên điện di protein
Albumin: Albumin là đỉnh cao nhất trong điện di protein, thường là một dải duy nhất, cao. Đôi khi có hai đỉnh cao như nhau, được gọi là albumin máu đôi, hoặc là một dải rộng; cả hai đều là những biến thể bình thường. Những tình trạng liên quan đến giảm albumin bao gồm suy dinh dưỡng, xơ gan và hội chứng thận hư. Ngược lại, mất nước gây tăng albumin. Một vùng giữa dải albumin alpha-1 gọi là liên vùng albumin-alpha-1 (interzone). Alpha-1 lipoprotein (hay HDL) được thấy ở dạng bằng trong vùng này. Tăng thường thấy trong bệnh gan do rượu, thai kỳ hoặc trong thời kỳ dậy thì. Một dải nhọn cũng có thể hiện diện ở những bệnh nhân carcinoma tế bào gan do tăng alpha-fetoprotein (AFP).
Vùng alpha: Phần alpha-1 bao gồm alpha-1 antitrypsin, transcortin, và thyroid-binding globulin. Phần alpha-2 bao gồm ceruloplasmin, alpha-2 macroglobulin, và haptoglobin. Cả alpha-1 và 2 đều chứa những chất phản ứng của giai đoạn cấp; do đó, bệnh ác tính, nhiễm trùng hay viêm có thể gây tăng những phần này. Tăng tương đối phần alpha-2 có thể thấy trong hội chứng thận hư do kích thước tương đối lớn của chúng khiến chúng khó đi qua màng lọc cầu thận. Giảm thành phần alpha-1 có thể thấy trong thiếu alpha-1 antitrypsin và giảm thành phần alpha-2 có thể thấy trong thiếu máu tán huyết do giảm nồng độ haptoglobin;
Vùng beta: Vùng beta bao gồm beta-1 và beta-2 nhưng thường biểu hiện thành một dải duy nhất. Beta-1 bao gồm chủ yếu transferrin, và tăng trong những tình trạng như thiếu máu thiếu sắt, thai kỳ và trị liệu bằng estrogen. B-lipoprotein và bổ thể C3 được bao gồm trong phần beta 2. IgA, IgM, và đôi khi IgG có thể được nhận diện trong phần beta;
Vùng gamma: Các immunoglobulin chủ yếu trong vùng này bao gồm IgG, IgA, IgM, IgD và IgE. Các hội chứng không có gamma globuline (agammaglobulinemia) và giảm gamma globuline (hypogammaglobulinemia) như thiếu IgA liên quan đến giảm vùng này trên điện di. Nhiều bệnh lý viêm, tự miễn, huyết học và không huyết học có liên quan đến tăng đỉnh gamma. Tuy nhiên, kiêu tăng đỉnh nhọn, đồng dạng trong vùng gamma gây quan tâm đặc biệt vì nó có thể là biểu hiện của sự tăng sinh bất thường của những tương bào sản immunoglobulin.

Điện di protein huyết thanh thường được xem xét ở bất kỳ bệnh nhân nào tăng protein toàn phần, đặc biệt là tăng globuline tương đối so với albumin, hoặc bất kỳ dấu chứng và triệu chứng nào gợi ý co một rối loạn tương bào nền tảng như đa u tủy, macroglobuline Waldenstrome, hoặc thoái biến dạng bột nguyên phát. Các dấu chứng và triệu chứng bao gồm:
-Thiếu máu, đau lưng, đau xương, mệt mỏi không giải thích được;
-Gãy xương bệnh lý hoặc tổn thương hủy xương không giải thích được;
-Bệnh thần kinh ngoại biên không giải thích được;
-Tăng canxi máu thứ phát có thể do ác tính;
-Tăng gamma globuline máu;
-Hồng cầu hình chuỗi tiền trên phết máu ngoại biên;
-Suy thận với cặn lắng nước tiểu bình thường;
-Đạm niệu không giải thích được;
-Hiện diện protein Bence Jones;
-Nhiễm trùng tái đi tái lại
Các phần chuyên môn trên của các chuyên gia trong miễn dịch ghi nhận có thể đáp ứng câu hỏi của bạn.
Trần Thị T, 28 tuổi, BV TP Buôn Ma Thuột, hoanhat@....
Hỏi: Thưa các thầy cô trong viện sốt rét côn trùng quy nhon, em gần đây có nghe rằng không được dùng ketoconazole dạng viên nén điều trị nhiễm khuẩn da và nấm móng. E không biêt nguyên nhân tại sao, mong được tìm hiểu.
Trả lời:
Cảm ơn câu hỏi của em, chúng tôi có tìm hiểu về thông tin này có thể do các tác dụng ngoại ý hay tác dụng phụ của thuốc khi dùng trên các bệnh nhân. Ketoconazole là thuốc chống nấm có hoạt phổ rộng, có các dạng viên nén, hỗn dịch, kem bôi ngoài và xà phòng gội đầu áp dụng trong một số trường hợp. Thuốc được dùng trong các trường hợp như dạng uống (tác dụng toàn thân) để điều trị bệnh nấm toàn thân, bệnh nấm tại chỗ (sau khi điều trị tại chỗ không có kết quả), bệnh nấm Candida sp. ở da, niêm mạc nặng, mạn tính.

Tuy nhiên, khi dùng thuốc này cần lưu ý, qua thử nghiệm trên động vật các nhà khoa học thấy ketoconazol gây quái thai (dính ngón và thiếu ngón) ở chuột. Thuốc qua được nhau thai, nhưng còn chưa có những nghiên cứu đầy đủ ở người. Vì vậy, chỉ dùng thuốc cho người mang thai khi lợi ích điều trị cao hơn hoặc xác đáng hơn các nguy cơ có thể gây ra cho thai nhi. Thuốc có thể tiết vào sữa, do đó người mẹ đang điều trị với ketoconazol không nên cho con bú. Một số tác dụng ngoại ý có thể xảy ra khi dùng thuốc, thường gặp trên đường tiêu hóa là buồn nôn, nôn, đau bụng, táo bón, đầy hơi, xuất huyết đường tiêu hóa, tiêu chảy. Các tác dụng này có liên quan đến liều dùng và có thể giảm thiểu nếu dùng thuốc cùng với thức ăn (có thể uống ketoconazol trong hoặc sau khi ăn nhằm làm giảm buồn nôn và nôn). Ở da người bệnh có thể thấy ngứa hoặc ngoại ban. Ngoài ra, một số người dùng thuốc này có thể thấy đau đầu, chóng mặt, kích động, ngủ gà hoặc sốt; kích ứng, cảm giác rát bỏng ở nơi bôi thuốc.
Những tác dụng phụ nguy hại
Viêm gan thường biểu hiện rõ trong vòng vài tháng điều trị đầu tiên nhưng đôi khi cũng xuất hiện trong tuần điều trị đầu tiên. Hầu hết các trường hợp độc với gan đã được ghi nhận là ở các người bệnh dùng thuốc trị nấm móng và ở nhiều người khác dùng thuốc trị các bệnh nấm da mạn tính dai dẳng.

Mặc dù tác dụng độc do ketoconazol gây ra với gan thường có thể hồi phục sau khi ngừng thuốc vài tháng nhưng cũng đã xảy ra một số hiếm trường hợp xấu (như hoại tử gan cấp, biến đổi mỡ ở gan hoặc tử vong). Biến chứng ở gan thường gặp nhiều hơn ở người cao tuổi, phụ nữ, người nghiện rượu hoặc bị suy chức năng gan do những nguyên nhân khác.
Để hạn chế các tác dụng không mong muốn nặng của thuốc, trường hợp phải điều trị kéo dài thì trước khi dùng thuốc, cần xét nghiệm chức năng gan và suốt thời gian điều trị cứ 1-2 tháng lại kiểm tra ít nhất một lần, đặc biệt là những người bệnh đang dùng các thuốc khác có độc tính mạnh với gan. Khi kết quả xét nghiệm chức năng gan tăng đáng kể, hay thay đổi không bình thường kéo dài, hoặc xấu đi, hoặc kèm theo những biểu hiện rối loạn chức năng gan khác, cần phải ngừng thuốc.

Cơ quan quản lý thực phẩm và dược phẩm Hoa Kỳ (FDA) đang tiến hành một số hành động liên quan đến Nizoral (Ketoconazol) dạng viên nén uống, bao gồm hạn chế sử dụng thuốc, cảnh báo rằng thuốc có thể gây tổn thương gan nghiêm trọng và các vấn đề tuyến thượng thận, thông báo có thể dẫn đến tương tác có hại giữa thuốc với các thuốc khác. FDA đã chấp thuận thay đổi nhãn và thêm Hướng dẫn thuốc mới để hướng đến những vấn đề an toàn. Kết quả là, viên nén uống Nizoral không phải là một điều trị đầu tay cho bất kỳ nhiễm trùng nấm. Nizoral nên được sử dụng để điều trị nhiễm nấm nhất định, được gọi là mycoses loài đặc hữu, chỉ khi liệu pháp kháng nấm thay thế không có sẵn hoặc do tính dung nạp thuốc của bệnh nhân. Các dạng thuốc dùng tại chỗ của Nizoral không có mối liên hệ đến tổn thương gan, các vấn đề tuyến thượng thận hoặc tương tác thuốc. Các dạng thuốc này bao gồm các loại kem, dầu gội, xà phòng, và gel bôi da, không giống như viên nén Nizoral, dùng bằng đường uống.
Mặc dù đã có biện pháp khắc phục trên, song thực tế lâm sàng người ta thấy ketoconazol (dạng viên nén) không chỉ gây tổn thương gan nghiêm trọng mà còn gây suy tuyến thượng thận và dẫn đến các tương tác thuốc có hại khi dùng đồng thời với các thuốc điều trị khác. Tháng 7/2013, cơ quan Quản lý Thuốc và Thực phẩm Mỹ (FDA) đã có thông báo cảnh báo đối với loại viên nén này với các tác dụng phụ nghiêm trọng trên. Cụ thể:
-Về tổn thương gan: viên nén ketoconazol có thể gây tổn thương gan, dẫn đến phải ghép gan hoặc tử vong. Vì vậy, FDA đã yêu cầu thêm cảnh báo chống chỉ định ở những bệnh nhân có bệnh gan. Tổn thương gan nghiêm trọng đã xảy ra ở bệnh nhân dùng liều cao của ketoconazol trong thời gian ngắn, hoặc dùng liều thấp trong thời gian dài. Các tổn thương gan này có thể hồi phục khi ngừng sử dụng thuốc, nhưng cũng có thể không hồi phục;
-Về ảnh hưởng trên tuyến thượng thận: viên nén ketoconazol có thể gây suy thượng thận bằng cách làm giảm sản xuất corticosteroid của cơ thể. Corticosteroid được sản xuất bởi tuyến thượng thận, ảnh hưởng đến sự cân bằng của cơ thể giữa nước, muối khoáng và chất điện giải. Các chuyên gia chăm sóc sức khỏe nên theo dõi chức năng tuyến thượng thận ở những bệnh nhân dùng thuốc nizoral, người có vấn đề về tuyến thượng thận, người bị stress;
-Về tương tác thuốc: Ketoconazol viên có thể tương tác với các thuốc khác dẫn đến các hậu quả nghiêm trọng và có khả năng đe dọa tính mạng, ví dụ như rối loạn nhịp tim. Vì vậy, tất cả thuốc mà bệnh nhân hiện đang dùng nên được đánh giá về vấn đề tương tác thuốc.

Do có những tác dụng ngoại ý nguy hiểm trên, FDA cảnh báo cần hạn chế việc sử dụng thuốc viên ketoconazol. Viên nén ketoconazol được chỉ định chỉ để điều trị các bệnh nhiễm trùng nấm sau đây:
  !important; -Blastomycosis, Coccidioidomycosis, Histoplasmosis và Paracoccidioidomycosis trong những bệnh nhân mà phương pháp điều trị khác đã thất bại hoặc những người không dung nạp với phương pháp điều trị khác;
-Không được chỉ định để điều trị các bệnh nhiễm trùng do nấm ở da và móng tay;
-Không được sử dụng thuốc ở bệnh nhân có bệnh gan cấp tính hoặc mạn tính.
Như vậy, viên nén uống ketoconazol không phải là một điều trị đầu tay cho bất kỳ nhiễm trùng nấm nào mà chỉ được sử dụng để điều trị nhiễm một số nấm nhất định, và chỉ khi liệu pháp kháng nấm thay thế không có sẵn hoặc không dung nạp. Hiện nay, FDA vẫn đang tiếp tục đánh giá sự an toàn của thuốc này. Nhãn viên nén Nizoral đã được cập nhật bao gồm các thông tin sau:
·Hạn chế việc sử dụng thuốc viên Nizoral bằng cách loại bỏ chỉ định khi nguy cơ cao hơn lợi ích. Không còn chỉ định sử dụng viên nén Ketoconazol trong Candida sp. và nhiễm trùng dermatophyte (nấm da). Viên nén Nizoral nên được sử dụng khi các thuốc kháng nấm khác không có sẵn hoặc do tính dung nạp thuốc của bệnh nhân.
·Viên nén Nizoral được chỉ định chỉ để điều trị các bệnh nhiễm trùng nấm sau đây: nhiễm blastomyces, nhiễm coccidioides, nhiễm histoplasma, và nhiễm paracoccidioides trên những bệnh nhân mà phương pháp điều trị khác đã thất bại hoặc những bệnh nhân không dung nạp với phương pháp điều trị khác.
·Viên nén Nizoral không được chỉ định để điều trị các bệnh nhiễm trùng do nấm ở da và móng tay.
·Một chống chỉ định mới là viên nén Nizoral không nên được sử dụng ở bệnh nhân có bệnh gan cấp tính hoặc mãn tính.
FDA sẽ tiếp tục đánh giá sự an toàn của viên nén Nizoral và sẽ thông báo đến công chúng khi có đầy đủ thông tin.
Trần Bửu A, 53 tuổi, TX Sông Cầu, tỉnh Phú Yên, 2211hiy@....
Hỏi: Gần đây, tôi có nghe nói đến tại thành phố Hồ Chí Minh có một thiết bị mới nhập về có tên PET-CT hình ảnh có khả năng phát hiện ung thư sớm để ngăn ngừa, thực hư như thế nào xin các bác sĩ ở bênh viện sốt rét Quy Nhơn cho lời khuyên (vì gia đình tôi có bà xã vừa mất vì ung thư gan nên cũng muốn đi thử xem độ chính xác như thế nào?).
Trả lời:
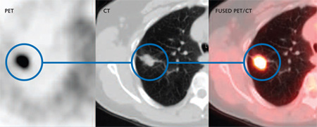
Đây quả là câu hỏi thú vị và rất có giá trị trong bối cảnh nhiều cơ sở y tế, đặc biệt là y tế tư nhân đã lạm dụng nhiều loại phương tiện chẩn đoán cận lâm sàng mau thu hồi vốn đãbỏ ra, tuy nhiên các chẩn đoán hình ảnh PET-CT lại có giá trị của nó. Theo các nhà chuyên môn cho thấy một kỹ thuật chẩn đoán ung thư mới có thể tìm kiếm các vị trí ung thư di căn, phát hiện tổn thương nguyên phát của ung thư, thậm chí phát hiện ung thư ngay khi cơ thể chưa hình thành tổn thương về mặt cấu trúc đã được đưa vào ứng dụng tại nhiều bệnh viện tuyến trung ương. Đó là tổ hợp thiết bị y khoa PET/CT và máy gia tốc Cyclotron. Đây là thiết bị y khoa hạt nhân áp dụng công nghệ kết hợp giữa máy PET và máy CT-scanner. Thiết bị này không chỉ có tác dụng trong lĩnh vực ung bướu mà còn giúp bác sĩ nâng cao chất lượng chẩn đoán và theo dõi nhiều loại bệnh khó trong các lĩnh vực khác như thần kinh, tim mạch. Đối với việc chẩn đoán và điều trị ung thư, việc ghi hình bằng PET/CT có thể giúp phát hiện ung thư giai đoạn sớm ngay sau khi cơ thể chỉ mới có sự thay đổi bệnh lý về chuyển hóa mà chưa hình thành tổn thương về mặt cấu trúc. Thiết bị còn giúp tìm kiếm các vị trí ung thư di căn, vị trí ung thư nguyên phát, giúp các bác sĩ tiên lượng các phương pháp điều trị hiệu quả hơn và đưa ra phác đồ điều trị bệnh lý cho bệnh nhân.

Để chụp PET/CT, bệnh nhân sẽ được tiêm tĩnh mạch một liều thuốc có phóng xạ positron- là một chất dẫn xuất glucose vì các tế bào ung thư sẽ hấp thụ và chuyển hóa nhiều glucose hơn các tế bào khác. Sau khi được tiêm thuốc có phóng xạ, cơ thể sẽ phóng ra các tua gamma và máy PET/CT sẽ tính toán từ các tua gamma này để thu nhập hình ảnh từ các tế bào khác nhau của cơ thể. Nhờ đó, những bất thường về chuyển hóa tại các tế bào sẽ được ghi nhận, ngay trước khi có sự thay đổi về cấu trúc.
Trong khi đó, các phương pháp chẩn đoán hình ảnh khác như chụp cắt lớp vi tính, cộng hưởng từ, siêu âm chỉ phát hiện và đánh giá được các tổn thương khi đã có những thay đổi về cấu trúc giải phẫu ở mức độ đủ lớn và bỏ qua các tổn thương có đường kính dưới 1cm. Mặt khác, ở những bệnh nhân ung thư sau phẫu thuật, xạ trị, hóa trị, các tổn thương có thể biến dạng, thay đổi cấu trúc nên hình ảnh CT/ MRI vẫn có những hạn chế trong việc xác định các tổ chức còn sót tế bào ung thư, không phân biệt được các tế bào xơ hóa với tái phát và di căn. Cũng nhờ khả năng ghi nhận chính xác những bất thường PET/CT không những được dùng trong việc phát hiện sớm ung thư mà còn được dùng để đánh giá các phát triển của ung thư, sự di căn hay phát triển của ung thư tới các cơ quan khác của cơ thể hay sự tái phát của bệnh.
Tại Việt Nam, ngoài Bệnh viện Chợ Rẫy, tổ hợp máy PET/CT cũng đã được trang bị tại Bệnh viện Việt Đức, BV Bạch Mai, BV trung uong Quân đội 108. Vậy, ai nên chụp PET/CT?Khi nào bệnh nhân nên chụp PET/CT là câu hỏi thời sự? Những bệnh nhân có nguy cơ cao đối với ung thư hoặc những bệnh nhân sau khi thử gen, thử máu phát hiện một số chỉ điểm về ung thư thì nên chụp PET/CT để kiểm tra. Bệnh nhân nên chụp PET/CT khi có chỉ định của bác sĩ chuyên khoa. Những bệnh nhân không có những bệnh lý liên quan đến ung thư thì không cần chụp PET/CT. Hoặc trường hợp bệnh lý mà dựa trên kinh nghiệm và các chẩn đoán lâm sàng, thầy thuốc có thể chẩn đoán chính xác loại bệnh ung thư, các giai đoạn tiến triển của ung thư thì cũng không cần chụp PET/CT. Ví dụ ung thư tuyến giáp được chỉ định chụp PET/CT rất ít vì mức độ bệnh đến đâu có thể ước đoán chính xác. Những loại ung thư không tăng sinh hoạt động với glucose cũng được cân nhắc trước khi chụp PET/CT, phụ nữ có thai không chụp PET/CT.

PET/CT có tác dụng với tất cả ung thư? Nói chung, PET/CT có thể phát hiện được khoảng 80% các loại ung thư vì việc tăng sinh hoạt động với glucose là phổ biến ở các tế bào ung thư, song cũng có một số tế bào ung thư không tăng sinh hoạt động với glucose, chỉ tăng sinh hoạt động chuyển hóa chất khác như mỡ, đạm, thì có thể khó phát hiện. Một phương pháp được áp dụng phổ biến cho toàn thân thì lại không đặc hiệu và ngược lại. Ví dụ, nghi ngờ ung thư vú thì phương pháp chẩn đoán đầu tiên được nghĩ đến là nhũ ảnh, ung thư cổ tử cung thì phết tế bào,... Đây là những phương pháp rẻ tiền nhưng lại rất hiệu quả.

PET/CT là phương pháp tầm soát hữu hiệu nhưng không thể phổ cập toàn dân vì chi phí khá cao. Bởi vậy, quan điểm sử dụng PET/CT vẫn còn bàn luận trên thế giới. Để đưa vào chương trình quốc gia, phương tiện tầm soát phải đáp ứng yêu cầu: độ nhạy cao, gía rẻ, dễ di chuyển để phục vụ cho số đông bệnh nhân ở vùng sâu, vùng xa. Ở nước ngoài cũng chỉ chụp PET/CT cho những người có nguy cơ cao. Nhược điểm lớn nhất của PET/CT hiện nay là chi phí quá cao, vì thế không có nhiều người bệnh được tiếp cận với phương pháp tầm soát này. Hiện chỉ có một số ít bệnh nhân khá giả mới có khả năng chụp PET/CT. Hiện nay đơn vị PET/CT đang đề xuất đưa dịch vụ PET/CT vào danh sách bảo hiểm y tế để phương tiện chẩn đoán hiện đại này đến được nhiều bệnh nhân hơn.

Nhân câu hỏi này, chúng tôi muốn chia sẻ với bạn rằng 6 xét nghiệm tốt nhất bạn có thể làm ngay để cùng hỗ trợ tầm soát ung thư. Ung thư là một căn bệnh cực nguy hiểm. Hiện nay, ở nước ta ước tính có 150000 trường hợp mới mắc và 75.000 người bị tử vong mỗi năm. Đây quả là con số đáng báo động. Qua mỗi năm, bệnh nhân ung thư ngày càng nhiều, không phân biệt tuổi tác và luôn phát hiện vào giai đoạn đã muộn. Do đó, việc phát hiện và điều trị sớm luôn cần được mọi người đề cao tự giác. Một số loại ung thư có thể biểu hiện các dấu hiệu và triệu chứng ung thư như ung thư da, cổ tử cung, vú, trực tràng và miệng, nên có thể chẩn đoán và điều trị ở giai đoạn sớm. Tuy nhiên, nhiều loại ung thư hầu như không biểu hiện dấu hiệu và triệu chứng trong quá trình tiến triển.
Việc chẩn đoán ung thư cho kết quả chuẩn xác nhất cần phải dựa vào: Xét nghiệm máu, nước tiểu, chẩn đoán hình ảnh (chụp X quang, siêu âm, chụp cắt lớp vi tính, chụp cộng hưởng từ hoặc PET-CT), sinh thiết làm tế bào học và nhiều phương pháp khác nữa. Căn cứ vào các triệu chứng, bác sĩ sẽ cho làm các xét nghiệm cụ thể, rồi căn cứ vào giải phẫu để xác định cụ thể có khả năng mắc bệnh ung thư nào. Dưới đây là các phương pháp xác định mầm ung thư sớm cho các loại ung thư phổ biến mà bạn có thể thực hiện tại các bệnh viện ở Việt Nam hiện nay:
1. Xét nghiệm máu
Đây là phương pháp tìm dấu ấn ung thư hay chính xác hơn là định lượng dấu ấn ung thư trong máu cũng có giá trị nhất định nếu biết cách sử dụng. Xét nghiệm này thật sự hữu ích trong đánh giá tình trạng nặng, nhẹ cũng như dự đoán diễn tiến của bệnh trong quá trình điều trị. Quy trình xét nghiệm công thức máu? Bác sĩ sẽ lấy một lượng máu nhỏ từ cơ thể bệnh nhân đem đi xét nghiệm nhằm xác định số lượng hồng cầu, tiểu cầu, bạch cầu đồng thời tiến hành phân loại tế bào bạch cầu. Đối với những người bình thường, tế bào máu ngoại vi không tồn tại các tế bào máu non (tế bào máu chưa trưởng thành). Xét nghiệm máu giúp phát hiện sớm nguy cơ ung thư máu, ung thư buồng trứng, ung thư vú, dạ dày. Xét nghiệm máu để xác định kháng nguyên CA125-một dạng kháng nguyên ung thư 125 trong máu, và cũng có thể phát hiện sớm ung thư buồng trứng , xác định kháng nguyên CA153 để phát hiện ung thư vú, CA 199 phát hiện UT tụy, dạ dày.
Xét nghiệm máu không khẳng định chắc chắn tìm ra tế bào ung thư bởi kết quả xét nghiệm có lúc cho âm tính, có lúc cho dương tính, việc xét nghiệm máu hay nước tiểu để tìm sớm bệnh ung thư là không chắc chắn bởi hầu hết những dấu ấn ung thư đó không chỉ do tế bào ung thư mà còn có thể được sản xuất bởi những tế bào bình thường hoặc tế bào của các bệnh lành tính. Ví dụ PSA là dấu ấn của ung thư tuyến tiền liệt, cũng có thể tăng cao ở người bị viêm tuyến tiền liệt hoặc tăng sinh lành tính của tuyến tiền liệt. Hoặc AFP cũng có ở những người bị viêm gan chứ chưa bị ung thư...
2. Phương pháp chụp PET/CT có thể phát hiện được khoảng 80% các ung thư
Như trên đề cập PET/CT là thiết bị y khoa hạt nhân áp dụng công nghệ kết hợp giữa máy PET và máy CT, có thể phát hiện được khoảng 80% các loại ung thư. Đối với việc chẩn đoán và điều trị ung thư, việc ghi hình bằng PET/CT có thể giúp phát hiện ung thư giai đoạn sớm ngay sau khi cơ thể chỉ mới có sự thay đổi bệnh lý về chuyển hóa mà chưa hình thành tổn thương về mặt cấu trúc. Đặc biệt thiết bị còn giúp tìm kiếm ở các bệnh nhân vị trí ung thư di căn, vị trí ung thư nguyên phát, giúp các bác sĩ tiên lượng và có nững phương pháp điều trị hiệu quả.

Nguyên lý cơ bản của kỹ thuật chụp PET/CT là ghi lại hình ảnh chuyển hóa trong tế bào (ở mức độ phân tử, mức độ tế bào). Sau đó hình ảnh ghi lại bằng máy PET/CT sẽ cho chúng ta thông tin về các thay đổi chuyển hóa của tế bào tổ chức (bằng máy PET), vừa xác định được vị trí chính xác của tổn thương (bằng máy CT). Để chụp PET/CT, bệnh nhân sẽ được tiêm tĩnh mạch một liều thuốc có phóng xạ positron, là một chất dẫn xuất glucose vì các tế bào ung thư sẽ hấp thụ và chuyển hóa nhiều glucose hơn các tế bào khác. Sau khi được tiêm thuốc có phóng xạ, cơ thể sẽ phóng ra các tua gamma và máy PET/CT sẽ tính toán từ các tua gamma này để thu nhập hình ảnh từ các tế bào khác nhau của cơ thể. Nhờ đó, những bất thường về chuyển hóa tại các tế bào sẽ được ghi nhận, ngay trước khi có sự thay đổi về cấu trúc.
Chụp PET/CT phát hiện được khoảng 80% các loại ung thư và hỗ trợ việc đánh giá hiệu quả của các phương pháp điều trị. Những bệnh nhân có nguy cơ cao đối với ung thư hoặc những bệnh nhân sau khi thử gen, thử máu phát hiện một số chỉ điểm về ung thư thì nên chụp PET/CT để kiểm tra. PET/CT có thể phát hiện được khoảng 80% các loại ung thư vì việc tăng sinh hoạt động với glucose là phổ biến ở các tế bào ung thư, tuy nhiên, cũng có một số tế bào ung thư không tăng sinh hoạt động với glucose, chỉ tăng sinh hoạt động chuyển hóa chất khác như mỡ, đạm, thì có thể khó phát hiện.
3. Xét nghiệm tủy để phát hiện ung thư máu
Đây là phương pháp được áp dụng để xác định chính xác hơn khả năng mắc ung thư máu của bệnh nhân. Theo phương pháp này, các chuyên gia sẽ tiến hành chọc tủy và đem đi xét nghiệm để phân loại và xác định các loại tế bào máu trong tủy. Nếu lượng tế bào non trong máu tăng cao, vượt quá 5% hoặc thậm chí có thể hơn 30% thì có thể xác định bệnh nhân bị ung thư máu.

Xét nghiệm tủy có nhiều phương pháp để xác định các dạng ung thư máu, bao gồm: Xét nghiệm Immunophenotyping; Xét nghiệm tế bào di truyền; Xét nghiệm dịch não tủy.
+ Xét nghiệm Immunophenotyping: Tiến hành chọc khoảng 2ml tủy sau đó sử dụng “kháng thể đơn dòng” để xác định và phân loại ung thư máu.
+ Xét nghiệm tế bào di truyền: Lấy khoảng 2ml tủy, mục đích của phương pháp này dùng để xem xét bản chất tế bào máu và nhiễm sắc thể có biến đổi bất thường không.
+ Xét nghiệm dịch não tủy: Lấy một lượng dịch não tủy từ cột sống thắt lưng để tiến hành kiểm tra hệ thần kinh trung ương có bị ảnh hưởng không (hệ thần kinh trung ương thông thường là não và tủy sống).
4. Xét nghiệm tế bào cổ tử cung (Pap’s smear)
Xét nghiệm Pap dùng để phát hiện tế bào tiền ung thư trước khi chúng có thể chuyển thành ung thư xâm lấn. Nếu tế bào tiền ung thư được tìm thấy, có thể tiến hành điều trị và ngăn chặn trước khi nó bắt đầu ung thư. Xét nghiệm Pap’s có thể làm theo 2 cách:
- Cách 1: Mẫu tế bào cổ tử cung được lấy trực tiếp từ cổ tử cung và phết lên lam kinh, sau đó được gửi tới phòng xét nghiệm để xử lý và đọc kết quả dưới kính hiển vi. Hạn chế là các tế bào khi phết lên lam thường bị xếp chồng lên nhau, làm cho khó có thể quan sát các tế bào ở lớp dưới. Do không được lọc nên tế bào cổ tử cung có thể lẫn những tế bào bạch cầu, chất nhầy, nấm hoặc tạp khuẩn do viêm nhiễm, nên kết quả cũng khó đảm bảo độ chính xác cao. Hơn nữa, do được phết trực tiếp lên lam kinh nên tế bào có thể bị khô, khi bị khô sẽ khó đánh giá được chính xác;
- Cách 2: Mẫu tế bào lấy từ cổ tử cung cũng có thể được đưa vào lọ có chứa chất bảo quản đặc biệt chứ không phết lên lam kinh. Lọ có chứa các tế bào và chất bảo quản được gửi đến phòng xét nghiệm. Sau đó kỹ thuật viên sử dụng các dụng cụ và dung dịch đặc biệt để ly giải các tạp chất (máu, tế bào viêm và dịch nhầy) sau đó tế bào tinh khiết đã qua xử lý được phết lên lam kính, nhuộm và quan sát dưới kính hiển vi. Phương pháp này được gọi là kỹ thuật tế bào nhúng dịch hoặc xét nghiệm Pap nhúng dịch (Liquid-based cytology). Cách này có ưu điểm hơn ở chỗ, chất nhờn, vi khuẩn, nấm và các tế bào viêm trong mẫu xét nghiệm... đã được loại bỏ nên các tế bào cổ tử cung sạch hơn, được trải đồng đều hơn trên lam kính, không bị nhanh khô nên cho kết quả xét nghiệm chính xác cao hơn.
vvvvvvvv
Kỹ thuật này cũng có nhiều khả năng phát hiện sự biến đổi của tế bào không phải do tổn thương tiền ung thư, nên cũng không cần kiểm tra lại như Pap truyền thống.
5. Chụp nhũ ảnh tuyến vú
Nhũ ảnh là kỹ thuật chụp X-quang đặc biệt dành cho tuyến vú thường được dùng trong hỗ trợ chẩn đoán các bệnh lý tuyến vú ở phụ nữ. Phương pháp này giúp phát hiện các bất thường ở các ống tuyến vú, nơi xuất phát của 95% các tế bào ung thư vú.
Chụp nhũ ảnh kết hợp với siêu âm sẽ giúp nhận ra ngay các nang tuyến vú bất thường. Hiện nay, chụp nhũ ảnh được coi là một trong những phương pháp quan trọng để tầm soát và chẩn đoán sớm ung thư vú.

Phương pháp này thường được chỉ định ở những phụ nữ không có triệu chứng gì ở vú nhằm mục đích phát hiện ung thư vú ở giai đoạn sớm, do đó nhũ ảnh tầm soát thường chỉ chỉ định ở những phụ nữ trên 35-40 tuổi và định kỳ chụp nhũ ảnh mỗi 1- 2 năm/lần. Quy trình chụp nhũ ảnh gồm có bệnh nhân sẽ ngồi hoặc đứng trước máy chụp, đặt vú cần chụp lên một mặt phẳng, sau đó sẽ có một tấm plastic đè lên bên trên vú để ép vú. Việc ép vú nhằm dàn mỏng tuyến vú để dễ dàng quan sát được mô tuyến vú, ép giữ cho vú cố định sẽ hạn chế nhiễu ảnh và khi ép dẹp vú cũng hạn chế rất nhiều liều tia X. Vì không có một tư thế nào có thể chụp hết được toàn bộ tuyến vú do đó sẽ có nhiều tư thế để chụp nhũ ảnh để lấy được hình ảnh đầy đủ của tuyến vú. Ở phụ nữ chưa mãn kinh, chụp nhũ ảnh nên được thực hiện vào thời điểm 1 tuần sau khi dứt kinh để có thể dễ dàng ghi lại hình ảnh do nồng độ estrogen trong máu giảm xuống, tuyến vú bớt giữ nước và bớt căng hơn.
6. Nội soi đại trực tràng
Ung thư đại trực tràng là một trong những ung thư đường tiêu hóa có tiên lượng tốt, song nếu được phát hiện muộn thì cũng giống như tất cả các loại ung thư khác, khả năng điều trị ít hiệu quả. Để phát hiện sớm từ giai đoạn đầu tiên nên nội soi đại tràng. Phần lớn ung thư đại trực tràng xuất hiện ở những người trên 50 tuổi. Chính vì vậy cần tiến hành soi đại tràng cho tất cả mọi người ở lứa tuổi dưới 50, kể cả những người không có triệu chứng. Để phòng tránh được ung thư đại tràng thì phương pháp tốt nhất là phải nội soi đại tràng toàn bộ.

Quy trình nội soi đại trực tràng? Dùng ống nội soi hình ảnh sẽ dễ dàng nhìn thấy rõ, đồng thời cùng với nội soi còn có thể làm sinh thiết kiểm tra tổ chức, tế bào, xác định được tính chất bệnh, định vị chính xác nơi phát bệnh mức độ chính xác trong chẩn đoán sẽ càng cao. Ống nội soi có thể giúp ta quan sát trực tiếp toàn bộ bên trong đại tràng, nếu có polip trong đại tràng cần phải cắt bỏ thì cũng có thể dùng dao điện đi kèm ống nội soi để đốt trực tiếp loại bỏ polip ngay được. Trên bàn mổ, ống nội soi có tác dụng giúp bác sỹ kiểm tra được tình trạng bệnh trong một khoang ruột nên không bị bỏ sót điểm cần mổ.