Nguyễn Thiết-Thietd94@gmail.com-Đông Hưng-Thái Bình
Hỏi: Em đang làm bài tiểu luận môn côn trùng đại cương của trường đại học Nông nghiệp. Đề bài là: "nêu phương pháp phân loại côn trùng và ý nghĩa thực tiễn, ý nghĩa khoa học của việc phân loại" mn có thể giúp e phần ý nghĩa thực tiễn, ý nghĩa khoa học ko ạ. Em cám ơn.
Trả lời: Cảm ơn bạn đã đặt câu hỏi đến ban biên tập Viện Sốt rét KST-CT Quy Nhơn, chúng tôi giới thiệu bạn có thể liên hệ trực tiếp đến các cán bộ trong khoa côn trùng của Viện chúng tôi – là những cán bộ chuyên ngành côn trùng hoặc liên hệ trực tiếp với TS. Nguyễn Xuân Quang (trưởng khoa côn trùng, số điện thoại 0913438557) để hiểu thấu đáo hơn về câu hỏi của bạn. Thân chúc bạn sẽ đạt được các thông tin đóng góp cho tiểu luận như ý.
Lê Hoàng Trung-se7en_hoj@yahoo.com-2/21 Lương văn Chánh,TP Tuy Hòa, Phú Yên
Hỏi: Cho hỏi 1 ca xét nghiêm máu cần bao nhiêu tiền
Trả lời: Quả thật câu này rất khó trả lời vì chúng tôi đâu có biết bạn sẽ xét nghiệm máu nhưng với các loại tiêu chí nào, loại xét nghiệm nào. Vì thực tế, khám sức khỏe tổng quát cũng có các gói khám khác nhau với nhiều khung giá tiền tiền khác nhau, và lại không biết bạn có khám liên quan sử dụng bảo hiểm y tế (BHYT) hay không,….khám cho bệnh nhân có bệnh lý sẵn có hay đi tái khám cũng có nhiều mức giá khác nhau và tùy thuộc vào loại xét nghiệm,…nên chúng tôi không thể trả lời là khoảng bao nhiêu tiền được nhé!
Thu Huyền-gem,hyundai@gmail.com-211 Phạm Văn Đồng – HN
Hỏi: Tôi bị nấm Demodex trên mặt, tôi tìm hiểu và được biết nấm này rất khó tiêu diệt và không thể dứt điểm được, vậy tôi có thể điều trị theo phác đồ nào và điều trị ở đâu được ạ, hiện nay tôi đang sinh sống tại Hà Nội. xin cảm ơn bác sỹ.
Trả lời: Trước tiên, chúng tôi xin phép chị đính chính một chút về từ vì Demodex spp không phải là nấm mà là các nhóm động vật chân khớp, một số tác giả gọi là ghẻ chó. Liên quan đến điều trị tác nhân này thường dễ chứ không khó như chúng ta nghĩ, nhưng có những kinh nghiệm điều trị riêng vì bệnh dễ tái phát nếu điều trị không theo dõi là không đúng và phải có chế độ ăn uống hợp lý trong suốt quá trình điều trị. Vả lại, chúng ta cũng nên quan tâm đến quá trình làm việc và môi trường làm việc của bạn đang có ảnh hưởng đến vùng da chị đang bị thương tổn hay không,…Do vậy, để điều trị dứt điểm chúng tôi phải nhìn thấy thương tổn da, thời gian khởi phát, kết quả xét nghiệm Demodex và thông số cận lâm sàng khác để chúng tôi tư vấn kỹ hơn.
Nguyễn Thi Hằng, 42 tuổi, Phú Thọ, 0982…
Hỏi: Xin các bác sĩ cho em em hỏi cách điều trị hội nách tốt nhất và hiệu quả nhất là như thế nào, có thể mách bảo cho em biết có được không vì em rất ngại giao tiếp nếu làm việc với các bạn bè trong một thời gian dài. Em chân thành cảm ơn!
Trả lời: Rất thông cảm với phàn thắc mắc của bạn và đây cũng chính là nổi phiền toái không chỉ riêng bạn mà rất nhiều người mắc phải bạn ạ. Do đó, chúng tôi xin tổng hợp một số thông tin và cách chữa trị từ nhiều đồng nghiệp đăng tải trên các trang tin về cách điều trị bệnh hôi nách hiệu quả mà đơn giản, nhanh chóng
Ultra Dry là được các chuyên gia thẩm mỹ đánh giá là cách trị hôi nách đơn giản lại đạt hiệu quả cao và an toàn tuyệt đối. Khác với các cách trị hôi nách truyền thống, quá trình loại bỏ tuyến mồ hôi gây mùi được thực hiện bằng công nghệ Ultra Dry (sử dụng thiết bị nội soi chuyên dụng siêu nhỏ) nên tuyệt đối an toàn, không xâm lấn, không chảy máu, nhẹ nhàng và không gây tổn thương cho vùng nách. Một ưu điểm khác nữa của cách trị hôi nách đơn giản là thời gian thực hiện nhanh chóng, chỉ trong vòng 30 phút. Sau khi bác sĩ hoàn tất thủ thuật, bạn có thể quay trở lại với những sinh hoạt bình thường mà không cần nghỉ dưỡng nhiều. Nhờ ứng dụng công nghệ nội soi, phương pháp này đảm bảo trị hôi nách triệt để, không gây đau và không để lại sẹo (hiện tại Thẩm mỹ viện Đông Á – Đơn vị tiên phong trong việc ứng dụng công nghệ Ultra Dry hiện đại vào điều trị hôi nách hiệu quả, bạn có thể tới trực tiếp địa chỉ sau để có thể được các bác sĩ thăm khám và tư vấn:Thẩm mỹ viện Đông Á,số 212 Kim Mã, Q. Ba Đình, Hà Nội, điện thoại 04.66514466, hoặc Tư vấn & CSKH (24/7): 0968.77.88.66 /0962.77.88.66 Một đồng nghiệp khác cũng cho biết cách trị hôi nách vĩnh viễn tại nhà. Hôi nách là một căn bệnh về vi khuẩn, nó khiến cho nhiều bạn bị mặc cảm khi ở những nơi đông người. Hãy cùng chúng tôi xoá bỏ nỗi lo muôn thuở đó với những cách trị hôi nách vĩnh viễn tại nhà. Hôi nách không chỉ xảy ra ở nam giới không mà cả nữ giới cũng có khả năng mắc phải bệnh này. Người mắc phải bệnh rất dễ ngại ngùng khi có mặt ở những nơi đông người. Dưới đây sẽ là những bí quyết được đúc kết từ các chuyên gia về những cách trị hôi nách vĩnh viễn tại nhà.
1. Phèn chua
Phèn chua có khả năng chữa được các loại bệnh như ho ra máu, cao huyết áp. Ngoài ra, nó còn được dùng như một phương thuốc trị bệnh hôi nách. Cách thực hiện: Trước tiên, bạn cần phải tắm cơ thể thật sạch rồi lấy phèn đem rang lên, tiếp tục giã nhuyễn cho ra bột rồi trét vào vùng dưới cánh tay. Cơ chế hoạt động là phèn chua sẽ giúp bạn khử đi lượng mồ hôi ở vùng dưới cánh tay nhờ chất nhôm sunfat. Tuy nhiên, phương pháp này chỉ phát huy tác dụng đối với người bị hôi nách trong thời gian không quá lâu hoặc mùi hôi không nặng. Vì thế, nếu cảm thấy bệnh của mình nặng hơn thì bạn nên thực hiện cách trị hôi nách vĩnh viễn tại nhàkhác hiệu quả hơn.
2. Gừng
Gừng không chỉ là một loại thực phẩm khá quen thuộc trong ẩm thực mà còn là cách trị hôi nách vô cùng hiệu quả. Ngoài ra, gừng cũng có nhiều công dụng chữa bệnh như: giảm đau, chống nôn, kháng viêm, chữa hôi nách…Trong gừng có đến 20 tới 25% là tinh dầu và 20 tới 30% chất làm cay. Các chất này sẽ ngăn chặn khả năng tiết ra mồ hôi vùng nách, giúp bạn cảm thấy khô thoáng, không còn mùi hôi nữa. Cách thực hiện: 20g gừng khô đã được giã mịn trộn đều với 4g long não. Các bạn thoa hỗn hợp trên lên vùng nách sau khi tắm, thực hiện 2 lần mỗi ngày. Rửa sạch củ gừng rồi épra thành nước. Lấy nước ép có được bôi lên vùng nách khoảng 2 lần mỗi ngày, mùi hôi đảm bảo dần biến mất.
3. Trầu không
Qua các nghiên cứu cho biết trong lá trầu không có nhiều chất như đường, tanin, tinh dầu và diataza. Tinh dầu lá trầu không có tác dụng chữa các bệnh: đau lưng, chống viêm, đau họng, đau đầu, làm sạch răng hay chữa bỏng. Hơn thế, trầu không có tính khử trùng. Vì thế, lá trầu không là một giải pháp rất tốt cho việc khử mùi. Cách thực hiện: Đầu tiên, các bạn cần rửa sạch lá trầu không. Đến lúc tắm, lấy lá chà vào vùng da dưới cánh tay. Thực hiện đều đặn trong một tháng sẽ giúp bạn ngăn chặn mùi hôi một cách hiệu quả.
4. Trái chanh
Chanh không chỉ được sử dụng làm nước giải khát mà nó còn có khả năng ngăn chặn, loại bỏ mùi hôi trên cơ thể. Đó là vì trong trái chanh có nhiều axit khử trùng và mùi hôi. Cách thực hiện: Sau khi tắm, bạn cắt chanh ra thành từng lát nhỏ rồi lần lượt chà xát lên vùng nách. Thực hiện trong một tháng, chắc chắn mùi hôi trên cơ thể bạn sẽ bị đánh bay. Ngoài ra, các bạn nên kết hợp sử dụng cùng mới một loại thảo dược đặc trị căn bệnh dai dẳng này. Thảo dược đặc trị mùi cơ thể Doctor Ninh sẽ giúp giải quyết triệt để mùi hôi từ cơ thể ngay lần đầu tiên sử dụng, mang lại sự tin cho bạn.
Công dụng:
Khử mùi ngay lập tức ngay lần sử dụng đầu tiên. Khử hết mùi hôi do tuyến mồ hôi và vi khuẩn gây ra. Đặc trị và triệt tiêu mùi hôi nách, hôi chân, hôi vùng kín ... Tùy vào cơ địa mỗi người và tùy vào tình trạng bệnh nặng nhẹ mà cần dùng 1 - 4 sản phẩm để mùi hôi nách, hôi chân, hôi vùng kín bị triệt tiêu mãi về sau. Hết sạch mùi hôi cơ thể lấy lại tự tin. Thấm sâu vào đáy lỗ chân lông trung hòa axit béo không no. Diệt sạch vi khuẩn kí sinh gây mùi hôi. Làm trắng hồng vùng da bị thâm do dùng hóa chất khử mùi lâu ngày. Trả lại mùi cơ thể quyến rũ của bạn. Bạn thật tự tin vì không còn mùi hôi cơ thể Sử dụng đặc trị hôi nách, hôi chân, hôi vùng kín hiệu quả cho cả nam lẫn nữ.
Một bài viết khác cũng cho biết bệnh hôi nách và cách chữa trị. Thông thường tuyến mồ hôi nách sẽ được loại bỏ hoàn toàn sau 1 lần điều trị duy nhất, nhưng ai cũng biết tuyến mồ hôi của mỗi người khác nhau nên quá trình hút tuyến mồ hôi của mỗi người sẽ khác. Thông thường tuyến mồ hôi nách sẽ được loại bỏ hoàn toàn sau 1 lần điều trị duy nhất, nhưng ai cũng biết tuyến mồ hôi của mỗi người khác nhau nên quá trìnhhút tuyến mồ hôi của mỗi người sẽ khác.
Kỹ thuật xâm lấn tối thiểu làm sạch tuyến mồ hôi công nghệ Hàn Quốc là kĩ thuật trị liệu mới nhất hiện nay, rạch một đường nhỏ khoảng 1cm dưới nách, sử dụng kĩ thuật nổi 3 chiều, trên cơ sở định hướng và định vị chính xác, sẽ dùng một sợi nano rất nhỏ điều trị xâm lấn tối thiểu dưới da, chỉ cần vài phút sẽ làm sạch tuyến mồ hôi to cùng các chất béo, không đau, không cần chỉ khâu, không tổn thương đến các mô khác. Với những kỹ thuật và đội ngú bác sĩ chuyên khoa nhiệt tình để chữa bệnh hôi nách, bạn hoàn toàn có thể yên tâm về trình độ chuyên nghiệp. Mọi ca tiểu phẫu đều được tiến hành trong môi trường phòng tiểu phẫu vô trùng tuyệt đối , đạt tiêu chuẩn quốc tế, đảm bảo oan toàn, ngăn chặn nguy cơ nhiễm khuẩn từ môi trường phòng bệnh, giúp hồi phục nhanh chóng. Nội soi hay một cách trị đổ mồ hôi nách mà bác sĩ sẽ chỉ sử dụng các thiết bị nội soi để tiến hành điều trị hôi nách, sau khi thăm khám bác sĩ tiến hành điều trị cho khách hàng. Bác sĩ sẽ không phải sử dụng đến các thủ thuật trong phẫu thuật mà chỉ cần sử dụng đến các dụng cụ nội soi để tiến hành điều trị hôi nách, nhẹ nhàng hút tuyến mồ hôi nách ra ngoài cơ thể, mà khách hàng sẽ không cảm thấy đau đớn hay khó chịu gì. Thăm khám sau đó bác sĩ tiến hành gây tê cục bộ, và khách hàng có thể ngủ hoàn toàn khi tỉnh dậy thì các bác sĩ đã tiến hành nội soi xong toàn bộ và loại bỏ được tuyến mồ hôi nách nhanh chóng và hiệu quả. Chỉ cần 1 vết băng nhẹ ngay tại vùng nách sẽ giúp bạn trở lại sinh hoạt bình thường ngay sau đó. Hơn nữa công nghệ này thực hiện nhanh chóng và tuyệt đối an toàn hút bỏ nội soi tuyến mồ hôi nách chỉ trong vòng 15 phút, và chi phí cũng phải chăng chỉ tầm 8 triệu đồng cho cả 2 bên nách.
Khách hàng có tuyến mồ hôi mỏng, bác sĩ sẽ hút hoàn toàn tuyến mồ hôi, nếu bạn có tuyến mồ hôi dày thì bác sĩ sẽ hút từ từ để tránh ảnh hưởng tới vùng da của bạn. Những vết ố vàng là do vi trùng trú ngụ ở nách gây ra. Chúng sẽ chờ đến khi nách tiết ra mồ hôi, đặc biệt là vào mùa hè, để mở rộng địa bàn lên áo. Nếu bạn mặc áo nhiều ngày hoặc để áo lâu không giặt sau khi thay, vi trùng sẽ càng phát triển và lâu dần tạo thành vết ố vàng. Để ngăn ngừa sự hình thành các vết ố vàng này, bạn cần phải hạn chế lượng mồ hôi tiết ra đồng thời loại trừ vi khuẩn ở nách bằng những cách sau:
-Hãy lau nách 2 lần/ngày bằng xà phòng chống khuẩn;
-Dùng sản phẩm khử mùi;
-Tắm rửa, giặt áo thường xuyên;
-Giữ áo sạch sẽ, khô ráo;
-Nếu sau vài tuần vẫn không có kết quả, bạn hãy đến hỏi bác sỹ da liễu phương pháp điều trị bằng thuốc kháng sinh. Còn về nếu căn bệnh hôi nách của bạn được loại trừ một cách dứt điểm thì cũng sẽ không còn tình trạng vệt ố vàng trên áo của bạn nữa. Và gợi ý chúng tôi đưa ra cho bạn là phương pháp nội soi tuyến mồ hôi nách để trị hôi náchtận gốc, loại bỏ hoàn toàn nguyên nhân gây ố vàng áo.
Chúng tôi tin rằng với nhiều kinh nghiệm và bài thuốc trên của dân gian kết hợp với phương pháp hiện đại trên thế giới mà Việt Nam đang áp dụng sẽ giúp bạn thoát khỏi chứng hôi nách khó chịu mà bạn đang khó chịu!
Phạm Văn Th. 39 tuổi, Nguyễn Trãi Gia Lai
Hỏi: Kính gởi các bác sĩ Viện sốt rét Quy Nhơn, vì tôi đang bị ung thư đại tràng, di căn lên gan và hiện xác định là giai đoạn 3, biết bệnh thì vái tứ phương. Gần đây, tôi có nghe thông tin cây xáo tam phân ỏ Khánh Hòa có thể chữa được bệnh ung thư các loại, tôi không biết thực hư về cây xáo tam phân như thế nào. Kính mong các bác sĩ giải thích giúp, chân thành cảm ơn!
Trả lời:Xin cảm ơn sự tín nhiệm của bạn và gia định đã đặt câu hỏi, rất chia sẻ căn bệnh ung thư mà bạn đang gánh chịu và chúng tôi xin gởi một bài viết của GS.TS. Phạm Xuân Sinh đề cập đến bài cây xáo tam phân này như sau:Gần đây trên các trang mạng, nhiều bài báo, nhiều chế phẩm thuốc từ xáo tam phân được giới thiệu rầm rộ để chữa 5 dòng tế bào ung thư: ung thư gan Hep- G2, ung thư đại tràng, ung thư vú, ung thư buồng trứng, ung thư cổ tử cung, khiến cho cây thuốc này bị đào xới đến cạn kiệt, trong các khu rừng ở Ninh Vân, Ninh Thuận, nay lại tràn sang tìm kiếm ở Đại Lãnh, Vũng Rô. Giá cả của xáo tam phân cứ được người ta tăng lên vùn vụt, từ chỗ vài ba trăm nghìn 1kg, nay đã tới vài triệu đồng, mà đa phần lại là “ xáo tam phân giả”. Để tránh được những sai lầm không đáng có khi sử dụng xáo tam phân, xin có đôi lời phân giải. Cây xáo tam phân còn gọi là thuốc mọi, thần xạ (Paramignya trimera), họ cam (Rutaceae), cây mọc phổ biến ở rừng núi một số tỉnh phía Nam như Khánh Hòa, Phú Yên, Ninh Thuận... Là cây gỗ nhỏ, thân màu nâu, có gai, lá đơn mọc cách, chính vì thế mà nó còn có tên Đơn diệp đằng thích. Đơn diệp là lá đơn, đằng là dây, thích là gai. Vì trên thân và cành của cây này có nhiều gai, kiểu thân của các cây họ cam. Thân cây có thể chất cứng, có đường kính từ 3-8cm, có thể vươn dài tới 5m, vỏ cây có màu vàng nhạt, trên thân khi cắt lát vẫn để sót lại các vết sẹo của những cái gai. Lá đơn, mép cong xuống phía dưới, hình thuôn hẹp, phiến lá dày, phía trên xanh đậm, phía dưới nhạt. Rễ cứng màu vàng đậm. Rễ có vị đắng nhẹ, hơi chát, hơi ngọt, ngửi có mùi thơm của tinh dầu. Đặc điểm này cũng gần giống với các vị và mùi của các cây họ cam. Điều này giúp người ta có thể phân biệt được với các loại xáo tam phân giả: thân và rễ không có màu vàng mà hơi xám, khi nhấm thì có vị đắng, không ngọt, không thơm. Tuy nhiên đây cũng chỉ là cách phân biệt mang tính chất cảm tính, tính chất sơ bộ mà thôi. Còn nếu chính xác, người ta phải tiến hành soi bột của vị thuốc này để tìm ra các đặc điểm chính; đồng thời có thể tiến hành một vài phản ứng hóa học đặc hiệu; nếu không, cũng sẽ bị đánh lừa bởi các rễ và thân của một số cây cùng họ cam.
|
 |
Cây xáo tam phân. |
Do tiến bộ của khoa học kỹ thuật, ngày nay trên thế giới cũng như ở nước ta, việc nghiên cứu thực nghiệm ức chế sự phát triển của các dòng tế bào ung thư: gan, phổi, vú, tử cung, buồng trứng... không phải chỉ có riêng xáo tam phân ở Khánh Hòa mà còn có rất nhiều các cây, các con khác nữa như loài hải sâm ở vùng biển nước ta cũng thể hiện hoạt tính kháng 3 dòng ung thư, song hải sâm chỉ được sử dụng như một vị thuốc bổ thận tráng dương. Dịch chiết của cây trám hồng có tác dụng gây độc trên 5 dòng tế bào ung thư, song vị thuốc này cũng chỉ dùng trị đau xương, đau khớp. Một số cây trong chi cườm rụng cũng có hoạt tính ức chế 3 dòng ung thư, song cườm rụng vẫn chỉ là vị thuốc chữa bệnh hậu sản, xương khớp, cảm mạo, ung nhọt... Điều này cho ta thấy rằng từ việc nghiên cứu trên thực nghiệm đến lâm sàng còn phải trải qua một quá trình rất dài. Thực nghiệm chỉ mang tính gợi mở những ý tưởng để tham khảo, định hướng cho các nghiên cứu tiếp theo mà thôi. Để có thể trị được ung thư từ một cây thuốc, các nhà khoa học phải tiến hành chiết xuất các thành phần hóa học có tác dụng ức chế một hay nhiều loại tế bào ung thư nào đó. Sau khi đã có đủ số lượng chất mới có thể tiến hành thử nghiệm trên lâm sàng với nhiều bước tiếp theo. Song công việc này chỉ mang tính lý thuyết mà thôi. Thực tế là không thể, vì hàm lượng các chất hóa học này trong cây rất nhỏ. Cách khác nữa là sau khi chiết tách được các thành phần có tác dụng kháng ung thư, người ta bắt chước cấu trúc của nó rồi tiến hành tổng hợp hóa học để có đủ số lượng thuốc thực nghiệm trên lâm sàng. Cách này cũng rất tốn kém, trước khi nó trở thành một thuốc có thể chữa ung thư. Một ví dụ nữa, nhân sâm - một vị thuốc đứng đầu trong các vị thuốc. Trong thành phần hóa học của nó cũng có các thành phần ức chế tế bào ung thư, song nhân sâm cũng chỉ được coi như một vị thuốc bổ khí, mang tính chất bồi dưỡng khi cơ thể yếu mệt và cũng chỉ là vị thuốc có tác dụng “hỗ trợ” khi điều trị ung thư mà thôi. Giới thiệu một số ví dụ trên để thấy, việc chữa bệnh ung thư từ cây thuốc đâu có đơn giản như một số người đang sử dụng, hay đang sản xuất các chế phẩm để chữa 5 loại ung thư từ cây xáo tam phân ở Khánh Hòa. Cũng như các vị thuốc khác, xáo tam phân là một cây thuốc quý, chữa được nhiều chứng bệnh: viêm gan, xơ gan... đã được nhiều cơ sở nghiên cứu và ứng dụng, cần được nâng niu và phát triển theo đúng nghĩa của nó. Cũng không nên quảng cáo theo xu hướng cực đoan để bán thuốc sống (rễ, thân, cành) xáo tam phân của gia đình mình kiếm được hoặc các chế phẩm từ xáo tam phân của cơ sở chữa bệnh hay bào chế của mình. Làm như thế là “lợi bất cập hại” và phản tác dụng, có hại chính cho uy tín của cơ sở. Đó là chưa kể đến việc, thế giới cho rằng, cơ sở mình “không hiểu gì về bệnh ung thư cả!”. Và giờ đây, không ai khác, chính là người dân, người bệnh phải tự trang bị cho mình những hiểu biết cơ bản về cách sử dụng và tác dụng của các vị thuốc từ thảo mộc, trong đó có xáo tam phân.
Hy vọng với phần phúc đáp trên đã làm bạn hài lòng!
Nguyễn Trọng Tuân, CN sinh học, TTNCYK Tp. HCM
Hỏi: Em được biết hiện tại vấn đề kháng thuốc rất nghiêm trọng, nhất là tính vi khuẩn kháng khángsinh, em nghe nói có một chiến lược mới để chống lại kháng thuốc này, các thầy cô có thể cho em biết được không vì em đang làm luận văn cao học tại Bệnh viện Bệnh nhiệt đới về vấn đề này, em xin chân thành cảm ơn!
Trả lời: Cảm ơn em về câu hỏi,đúng là hiện nay vấn đề kháng thuốc do virus, do vi khuẩn và ký sinh trùng hiện đang là thời sự và đâng gây ra những thách thức về mặt lựa chọn thuốc điều trị cho bệnh nhân đối với các bệnh lý nhiễm trùng nghiêm trọng hiện nay, bởi lẽ các thuốc mới thay thế hoặc dùng để chống kháng vẫn còn đang nằm trong giai đoạn nghiên cứu hoặc đang tiến hành thử nghiệm giai đoạn IIa và IIB, III mà thôi chứ chưa thể dùng đại trà trên bệnh nhân. Do dó, Tổ chức y tế thế giới đã thành lập ra rắt nhiều ban phòng chống khán thuốc và theo dõi đánh giá hiệu lực thuốc này trên phạm vi toàn cầu và mỗi quốc gia cũng có chương trình giám sát kháng kháng sinh riêng biệt. Theo một đồng nghiệp đăng tải trên báo có tiêu đề “Hướng đi mới trong cuộc chiến chống kháng thuốc” chúng tôi muốn chia sẻ bài viết này đến bạn và từ đó, bạn có thể tham khảo thêm một số tài liệu tiếng nước ngoài khác nhé!
Theo Cơ quan Kiểm soát và Phòng chống Dịch bệnh Mỹ - CDC, năm 2011, tại Mỹ, 4 loạikhuẩn là Salmonella, Campylobacter, T. Gondii và E.Coli 0157 đã làm cho trên 34.000 người phải nhập viện. Riêng E. coli, năm 2013 đã làm cho trên 3.900 người ở các quốc gia thuộc EU và Bắc Mỹ phải nhập viện, 52 trong số này thiệt mạng. Nhằm hạn chế tình trạng khuẩn kháng thuốc, cộng đồng khoa học đã tìm ra nhiều phương án mới, trong đó tiêu biểu có hai hướng đi mang tính khả thi dưới đây:
* Phương án dùng protein thay cho kháng sinh
Đây là đề tài của các chuyên gia thuộc phòng nghiên cứu thí nghiệm Lawrence Livermore National Lab (LNL), California, Mỹ. Các nhà khoa học đã biến các quy trình nội tại của khuẩn E.coli để chống lại chính nó. Theo TS. Paul Jackson - người đứng đầu nhóm nghiên cứu thì một dạng lytic protein tinh khiết thường được khuẩn E.coli sử dụng để chích lỗ nhỏ vào thành tế bào trước khi nhân bản, sẽ được dùng làm vũ khí để tiêu diệt chính nó. Thay vì tạo ra một cách thức mới, các nhà khoa học đã vận dụng ngay cơ chế đã có để chống lại chúng theo kiểu “độc trị độc”. Những loại protein nói trên được xem là đặc tính duy nhất của từng loại khuẩn, vì vậy, phương án dùng lytic protein tinh sạch sẽ trị được khuẩn E.coli mà không ảnh hưởng đến các tế bào khỏe mạnh xung quanh.
 |
| Phương án dùng protein phá hủy tế bào. |
* Phương án dùng protein phá hủy tế bào
Cùng với nghiên cứu nói trên của LNL, các nhà khoa học ở Đại học Tel Aviv, Israel hiện cũng đang thực hiện một dự án tương tự hay còn gọi là phương án dùng protein phá hủy tế bào, phát triển một chất thay thế thuốc kháng sinh, có khả năng phát hiện ngăn chặn vi khuẩn phân chia, do đó, phá hủy chúng và chống nhiễm khuẩn.
Trong nghiên cứu, các nhà khoa học phát hiện thấy một trong những protein được sản xuất bởi thể thực khuẩn T7 (hay còn gọi là Gen 04) nhiễm vào vật chủ khuẩn đường ruột E.coli và cản trở việc phân nhánh bên trong tế bào của khuẩn này. Nhóm đề tài hiện đang khám phá vai trò các gen của thể thực khuẩn T7 khi sản sinh hơn 100 thực thể con trên mỗi vật chủ trong thời gian 25 phút. Nếu nghiên cứu chu kỳ tăng sinh của thực khuẩn thành công thì sẽ phân tách được tối đa số lượng tế bào của vật chủ. Các thể thực khuẩn (phage) là sinh vật phổ biến nhất trên trái đất, có số lượng cực lớn, đông gấp hàng chục lần vi khuẩn trong tự nhiên.
Ngược với virut, thể thực khuẩn không gây hại cho người, chúng có thể tự gắn vào một vi khuẩn, gây nhiễm DNA vật chủ và nhanh chóng sinh sôi với số lượng rất nhanh. Các thể thực khuẩn được xem là đồng minh tiềm năng trong cuộc chiến chống nhiễm khuẩn trong cơ thể con người và nếu tận dụng hết khả năng này sẽ mang lại lợi ích to lớn trong cuộc chiến tiêu diệt khuẩn kháng thuốc trong tương lai.
* Phương án dùng polyme
Phương án dùng polyme là phát minh mới nhất có tính khả thi trong cuộc chiến chống khuẩn kháng thuốc của các chuyên gia ở Viện Công nghệ sinh học và công nghệ nano của Mỹ (NBN) phối hợp với Trung tâm nghiên cứu Almaden của hãng IBN phát triển.
Theo các nhà khoa học, thuốc kháng sinh làm nhiệm vụ tấn công khuẩn từ trong ra, nhưng những loại khuẩn sống sót được lại trở nên kháng thuốc và do nhiều yếu tố, số lượng khuẩn kháng thuốc ngày càng đông dẫn đến việc trị bệnh gặp khó khăn.
Để phá vỡ cơ chế này, các chuyên gia ở IBN đã tạo ra một loại polyme cấp nano giống như các hạt peptide tìm thấy bên trong cơ thể con người, có nhiệm vụ tìm và diệt khuẩn bằng cách phá hủy thành tế bào của chúng. Theo TS. Jim Hedrick - Giám đốc Dự án thì các polyme có khả năng mô phỏng hệ thống miễn dịch của cơ thể, nhưng polyme lại là những sản phẩm cấp sinh học, có nghĩa phân hủy một cách dễ dàng giống như các sản phẩm sinh học khác, không gây hại cho con người và sau đó thải ra ngoài một cách bình thường.
Các nhà khoa học ở IBN và IBM gọi đây là thủ thuật tiêu diệt khuẩn kháng thuốc bằng công nghệ bán dẫn. Sở dĩ có tên gọi này là do các chuyên gia ở Trung tâm nghiên cứu Almadenh khi làm thí nghiệm ăn mòn trên đĩa bán dẫn đã phát hiện thấy vật chất có thể tạo ra điện tĩnh khi được liên kết thành chuỗi, tạo thành polyme hay chất trùng hợp dưới tên gọi Ninja polyme.
Khi các Ninja polyme hòa vào máu hoặc dịch lỏng, chúng sẽ tự động gắn vào cấu trúc nano và hút tĩnh điện các tế bào lây nhiễm mà không ảnh hưởng đến các tế bào khỏe mạnh, sau đó tiến hành tiêu diệt vi khuẩn, gây ra hiện tượng thoái hóa sinh học trước khi thải ra ngoài qua đường phân và nước tiểu.
Như trên đã đề cập, phương án diệt khuẩn bằng polyme có những đặc tính khác với việc dùng kháng sinh, nó sao chép chức năng của hệ miễn dịch, quá trình này có thể tóm tắt như sau: polyme gắn kết với màng vi khuẩn và làm mất độ ổn định của màng, sau đó màng bị phá hủy, mọi thứ bên trong lớp màng đổ ra ngoài có rất ít cơ hội để vi khuẩn tạo ra sức đề kháng để chống lại polyme.
Với lợi thế trên, polyme không chỉ tiêu diệt được vi khuẩn kháng thuốc mà bản thân polyme còn có đặc tính phân hủy sinh học nên không gây hại cho con người, vì vậy, ngoài ứng dụng trong y học, polyme còn có dải ứng dụng rất rộng như dùng trong chế tạo chất tẩy rửa hay hóa mỹ phẩm diệt khuẩn như kem đánh răng, xà phòng, mỹ phẩm hay bao gói thực phẩm.
Thân chúc bạn có nhiều thông tin góp phần cho chuyên đề hoặc luận án của bạn.
Vũ Trung Hòa, kế toán Rạch Giá, 0983…..
Hỏi: Kính gởi các thầy thuốc của Viện Sốt rét KST-CT Quy Nhơn, cho tôi hỏi bệnh viêm đại tràng giả mạc là gì và vì sao tôi đi điều trị hoài mà không dứt hẳn. Xin cảm ơn!
Trả lời: Liên quan đến câu hỏi của bạn, chúng tôi xin gởi đến bạn một số thông tin y học liên quanđến bệnh lý viêm đại tràng giả mạc như sau: Viêm đại tràng màng giả là bệnh nhiễm khuẩn ở ruột già do vi khuẩn Clostridium difficile gây ra. Bệnh nhân có triệu chứng đau quặn bụng, sốt, tiêu chảy rất nhiều lần... có thể nguy hiểm đến tính mạng.
Viêm đại tràng màng giả là bệnh nhiễm khuẩn ở ruột già do vi khuẩn Clostridium difficile gây ra. Nguyên nhân chủ yếu là loạn khuẩn đường ruột do dùng kháng sinh, hoặc bị suy giảm miễn dịch vì nhiều lý do khác nhau, đặc biệt là ở người già. Vi khuẩn này sẽ phát triển mạnh gây viêm ruột, đặc biệt chúng tạo nên một lớp màng dính vào thành ruột được gọi là màng giả. Nhiều nghiên cứu cho thấy, viêm đại tràng màng giả do sự phát triển quá mức của vi khuẩn Clostridium difficile (C. difficile).
Triệu chứng chung của bệnh viêm dại tràng giả mạc là đau bụng, tiêu chảy nhiều lần. Người bệnh có thể sốt, có khi lên tới 38-39oC. Đôi khi có nôn hoặc buồn nôn, phân có khi lỏng có thể có máu hoặc có chất nhày và mủ kèm theo. Tuy nhiên, các triệu chứng của viêm đại tràng màng giả có thể bắt đầu trong vòng 1 - 2 ngày sau khi bắt đầu dùng một loại kháng sinh, hoặc có thể không xảy ra cho đến vài tuần sau khi ngừng kháng sinh. Đa số các bệnh nhân nhập viện trong tình trạng đã nặng, cơ thể suy kiệt, nguy hiểm đến tính mạng. Vì viêm đại tràng màng giả gây ra những biến chứng như: mức thấp bất thường của kali trong máu (hạ kali máu), do sự mất kali trong quá trình tiêu chảy quá nhiều. Mất nước dẫn đến huyết áp thấp bất thường (hạ huyết áp), liên quan đến thiệt hại đáng kể của chất lỏng và chất điện giải, suy thận do tiêu chảy. Thủng ruột kết có thể dẫn đến nhiễm khuẩn ổ bụng. Tuy nhiên, nếu phát hiện sớm, cấp cứu đúng đa số trường hợp đáp ứng tốt với điều trị. Tùy từng trường hợp bệnh nhân và mức độ bệnh mà các bác sĩ có hướng điều trị tích cực như: ngừng thuốc kháng sinh hiện tại và bắt đầu một kháng sinh hiệu quả đối với C. difficile. Trong một số trường hợp suy cơ quan tiến triển, vỡ đại tràng và viêm niêm mạc của thành bụng (viêm phúc mạc) có thể cần phẫu thuật.
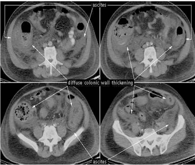
Hình ảnh viêm đại tràng màng giả trên phim chụp CT scan.
Viêm đại tràng màng giả xảy ra khi vi khuẩn có hại trong ruột già, thường gặp nhất C.difficile phát hành độc tố mạnh. Những độc tố gây kích ứng ruột, gây ra các dấu hiệu và triệu chứng của viêm đại tràng màng giả. Vi khuẩn C. difficile là loại vi khuẩn kỵ khí, có nha bào, vì vậy sức đề kháng rất tốt khi ra bên ngoài cũng như khi ở trong đường tiêu hóa. Vi khuẩn C. difficile sẽ sản sinh ra độc tố ruột và độc tố gây độc tế bào. Độc tố tác động vào niêm mạc đại tràng gây viêm và tăng bài tiết tạo thành giả mạc màu trắng. Giả mạc này mềm, dễ bong và khi bong ra sẽ để lại viêm, loét và gây chảy máu niêm mạc. Vì vậy, một trường hợp sau khi dùng kháng sinh (vài ngày) hoặc dùng một thời gian mấy tuần hoặc đã ngưng dùng thuốc mà thấy đi ngoài ra máu nên nghĩ đến tác dụng phụ của thuốc kháng sinh.
Tuy nhiên, không phải người nào dùng kháng sinh cũng gây nên viêm đại tràng giả mạc hoặc không phải loại kháng sinh nào cũng có tác dụng phụ gây viêm đại tràng giả mạc mà chỉ gặp ở một số người và một số kháng sinh mà thôi. Người ta thống kê loại kháng sinh nhóm beta-lactamin, nhóm cephalosporin, nhóm penicillin và kháng sinh nhóm Lincosamide là hay gặp tác dụng phụ này. Nhóm cephalosporin hay gặp nhất là loại kháng sinh thế hệ 3. Trong nhóm penicillin hay gặp nhất là ampicillin và amoxicillin, nhóm lincosamide hay gặp là clindamicin, dalacin C.
Cũng có thể gặp erythromicin (macrolid), ciprofloxacin (fluoroquinolon), tetracyclin... gây nên tác dụng phụ viêm đại tràng. Ngoài ra, bệnh hay gặp ở người trên 65 tuổi, người có hệ thống miễn dịch suy yếu, người mắc một số bệnh như: viêm ruột và ung thư đại trực tràng, hoặc trải qua phẫu thuật đường ruột, đang nằm viện... thì nguy cơ mắc bệnh cao hơn.
Ngay cả ở những người được điều trị thành công, viêm đại tràng màng giả có thể trở lại trong vài tuần đến vài tháng sau khi điều trị, do vậy người bệnh cần có phong cách sống và biện pháp khắc phục bằng cách: ăn thức ăn mềm, dễ tiêu hóa: táo, chuối và cháo loãng. Tránh các loại thực phẩm giàu chất xơ như đậu, các loại hạt và rau quả. Nếu cảm thấy triệu chứng được cải thiện, từ từ thêm chất xơ, thực phẩm, trở lại chế độ ăn uống. Cố gắng chia thành nhiều bữa nhỏ; tránh các loại thực phẩm gây dị ứng. Tránh xa chất béo, nhiều gia vị, thực phẩm chiên và bất kỳ loại thực phẩm nào làm cho các triệu chứng nặng hơn. Ngoài ra, cần uống nhiều nước hoặc nước trái cây. Tránh các đồ uống có nhiều chất đường hoặc chứa cồn hoặc caffein, chẳng hạn như trà, cà phê, cola vì có thể làm nặng thêm các triệu chứng.
Nhận biết các thể viêm đại tràng khác
Viêm đại tràng mạn là tình trạng tổn thương mạn tính ở niêm mạc đại tràng, có thể tổn thương toàn bộ hoặc khu trú, do rất nhiều nguyên nhân khác nhau hoặc không rõ nguyên nhân. Các nguyên nhân thường gặp là: nhiễm khuẩn (lao, lậu, thương hàn, phó thương hàn, tụ cầu, liên cầu...), nhiễm kí sinh trùng (lỵ amip, Giardia lamblia), nhiễm virut (Cytomegalovirus, Herpes simplex...), nhiễm nấm, đặc biệt là nấm Candida, sau dùng thuốc, nhất là một số kháng sinh hay gây viêm đại tràng như sulfamit, metronidazole, tetracyclin... ngoài ra còn có bệnh viêm loét đại tràng vô căn, bệnh Crohn.
Viêm đại tràng do amip
Biểu hiện lâm sàng: bệnh nhân có những triệu chứng đi tiêu phân nhầy lẫn máu kèm cảm giác mót rặn và đau bụng quặn từng cơn. Bệnh thường kéo dài và hay tái phát. Chẩn đoán dựa vào việc khảo sát phân để tìm amip hoặc làm xét nghiệm huyết thanh chẩn đoán amip. Chụp đối quang kép hoặc nội soi đại tràng sinh thiết có thể thấy được những hình ảnh tổn thương loét đặc hiệu ở đại tràng giúp cho chẩn đoán.
Khi được chẩn đoán xác định là mắc lỵ amip, bạn sẽ được chỉ định điều trị bằng một trong các thuốc nhóm imidazole (metronidazole, tinidazole, ornidazole) hoặc nhóm di-iodohydroxyquinolin.
Viêm đại tràng do lao (lao ruột)
Thường thứ phát sau lao phổi (50% bệnh nhân lao ruột có hình ảnh lao khi chụp Xquang phổi). Cũng có thể gặp lao ruột nguyên phát do bệnh nhân bị nhiễm vi khuẩn lao qua đường ăn uống. Biểu hiện lâm sàng tùy thuộc vào từng vị trí bị tổn thương.
Thể loét tiểu tràng, đại tràng: Bệnh nhân đau bụng nhiều, sốt cao, tiêu chảy kéo dài; Bụng hơi to, có nhiều hơi, sờ bụng không thấy gì đặc biệt. Phân loãng, mùi hôi thối, màu vàng, có lẫn mủ, nhầy và ít máu; Suy kiệt nhanh, xanh xao, biếng ăn. Có bệnh nhân sợ ăn vì ăn vào thì lại đau bụng, tiêu lỏng; Thể to - hồi manh tràng: Bệnh nhân hết đại tiện lỏng lại đại tiện, phân lẫn máu nhầy mủ, không bao giờ phân bình thường. Nôn mửa và đau bụng. Khám hố chậu phải thấy u mềm, ấn đau di động ít; Thể hẹp ruột: Sau khi ăn thấy đau bụng tăng lên, đồng thời bụng nổi lên các u cục và có dấu hiệu rắn bò. Sau khoảng 10-15 phút, nghe có tiếng hơi di động trong ruột và cảm giác hơi đi qua chỗ hẹp, có dấu hiệu Koenig. Khám bụng ngoài cơn đau không thấy dấu hiệu gì.
Chẩn đoán dựa vào xét nghiệm tìm vi khuẩn lao trong phân. X-quang và nội soi đại tràng sinh thiết cho thấy những hình ảnh tổn thương và tìm tế bào điển hình của lao. Chủ yếu là điều trị nội khoa, theo phác đồ của lao. Ngoài chế độ dùng thuốc, cần kết hợp chế độ ăn giàu đạm và sinh tố, kết hợp các thuốc điều trị triệu chứng. Chỉ đặt vấn đề điều trị ngoại khoa khi có biến chứng thủng ruột hoặc tắc ruột.
Viêm đại tràng màng giả
Tác nhân gây bệnh do vi khuẩn C. difficile là loại vi khuẩn thường trú ở ruột, bình thường không gây bệnh nhưng do sử dụng kháng sinh dài ngày gây loạn khuẩn ruột. Bệnh diễn tiến mạn tính gây những tổn thương màng giả ở đại tràng, làm bệnh nhân tiêu chảy nước hoặc có lẫn máu, kèm theo sốt và triệu chứng nhiễm độc do độc tố vi khuẩn. Chẩn đoán dựa vào cấy phân tìm vi khuẩn, nội soi đại tràng kèm sinh thiết.
Để điều trị, trước hết cần ngưng sử dụng những kháng sinh không cần thiết, dùng vancomycin 125mg x 4 lần/ngày hay metronidazole (Flagy) 250mg x 4 lần/ngày trong 10 ngày.
Viêm loét đại tràng vô căn
Bệnh không tìm thấy nguyên nhân như vi khuẩn, ký sinh trùng nấm hay nhiễm virut ở đại tràng. Nguyên nhân có thể liên quan đến những rối loạn miễn dịch và xảy ra trên những bệnh nhân bị stress nặng. Triệu chứng bao gồm đau quặn bụng từng cơn, phân nhầy máu kèm sốt, sụt cân. Ngoài ra, bệnh nhân còn có những triệu chứng đau do viêm các khớp hoặc viêm đốt sống. Bệnh có thể diễn tiến thủng ruột hoặc phình đại tràng và ung thư hóa. Chẩn đoán chủ yếu dựa vào nội soi đại tràng và sinh thiết. Về điều trị, cần cho bệnh nhân ăn thức ăn dễ tiêu, tránh sữa, dùng các thuốc chống tiêu chảy. Đôi khi cần phải dùng thêm thuốc ức chế miễn dịch. Khi xảy ra biến chứng xuất huyết ồ ạt, nhiễm độc hoặc thủng đại tràng, cần phải mổ cấp cứu. Chỉ định cắt toàn bộ đại tràng khi sinh thiết đại tràng thấy có tình trạng loạn sản hoặc không đáp ứng điều trị. Ngoài các nguyên nhân nêu trên, viêm đại tràng mạn tính còn có thể gặp trong các bệnh như bệnh Crohn, viêm đại tràng trên bệnh nhân bị AIDS, viêm trực tràng do Chlamydia, do lậu, viêm hậu môn - trực tràng do Herpes simplex virus, viêm đại tràng sau xạ trị vùng bụng và chậu... Việc chẩn đoán và điều trị viêm đại tràng do những nguyên nhân trên thường rất khó khăn và phức tạp. Để chẩn đoán xác định viêm đại tràng mạn tính, ngoài việc dựa vào triệu chứng lâm sàng, cấy phân thì nội soi đại trực tràng kèm theo sinh thiết là điều kiện bắt buộc và là tiêu chuẩn vàng. Tùy theo nguyên nhân mà có thuốc điều trị đặc hiệu khác nhau, ngoài ra còn dùng thêm các thuốc giảm đau, chống co thắt... Bệnh nhân không nên tự ý điều trị mà cần đến các cơ sở y tế khám và có chỉ định dùng thuốc của bác sĩ.
Hy vọng với phần chuyển tải thông tin như trên giúp bạn hiểu được phần nào của bệnh lý viêm đại tràng màng giả hoặc giả mạc.
Mông Trí T. 28 tuổi, Tuy Đức, Đăk Nông, ttthoa@gmail
Hỏi: Tôi có đứa con gái được 5 tuổi, những không biết mùi vị các thức ăn gì cả, kể cả mùi thối, ôi thiêu của thức ăn cháu cũng không nhận ra và điều này chúng tôi không biết cháu mắc phải từ khi nào, chúng tôi có đưa cháu đi khám nhiều bệnh viện lớn trong cả nước, nhất là các bệnh viện chuyên khoa Tai Mũi họng và cả khu điều trị châm cứu trung ương nhưng đành phải quay về, các cơ quan khác trong cơ thể của cháu đều bình thường. Chúng tôi rất lo lắng không biết hỏi cùng ai, kính mong các bác sĩ chuyên ngành ký sinh trùng cho ý kiến. Xin chân thành cảm ơn rất nhiều!
Trả lời: Chúng tôi thật sự rất thông cảm và chia sẻ với gia đình bạn và cháu về tính trạng bệnh mất khứu giác của cháu, nhân đây cũng trùng lặp câu hỏi của bạn Lê Thị M. 46 tuổi ở Quy Nhơn và Anh Th. ở Tuy Hòa Phú Yên rằng hiện nay ngày càng có nhiều bạn bị mất khứu giác mà không hề rõ nguyên nhân. Khứu giác là một giác quan quan trọng của con người. Khứu giác giúp chúng ta nhận biết các mùi. Để ăn ngon, ngoài cảm nhận của vị giác, khứu giác còn có vai trò kích thích tiêu hóa, giúp món ăn được ngon hơn. Nếu mũi bị tổn thương sẽ xuất hiện những suy giảm về khứu giác dẫn đến mất chức năng ngửi mùi. Vì sao bị mất khứu giác? Phương pháp nào bảo vệ khứu giác? Câu trả lời sẽ có trong bài viết dưới đây của một đồng nghiệp (ThS.BS. Bùi Thị Vân).
Mũi là một trong năm giác quan của con người có chức năng cảm nhận mùi. Về cấu tạo giải phẫu, vùng ngửi của mũi nằm ở nóc của mỗi ổ mũi, ngay sau khoảng cách giữa hai mắt. Vùng ngửi của mũi có hình chữ nhật nhỏ, gần như con tem gửi thư, màu vàng, ẩm ướt và có nhiều dịch nhờn. Bình thường, mũi người có chừng 100 triệu tế bào thần kinh để ngửi và khoảng 1.000 gen khác nhau nằm trong các tế bào cảm thụ khứu giác này. Mỗi thụ thể thần kinh chỉ phân tích, tiếp nhận một số mùi nhất định. Tín hiệu điện từ thụ thể khứu giác sẽ được chuyển về não bộ để xác định được mùi hương của sự vật. Hoạt động của khứu giác: các phân tử mùi thâm nhập vào mũi nhờ sự vận chuyển của không khí, tại mũi nó sẽ tự phân tán vào dịch nhầy được tiết ra từ màng nhầy của mũi. Tiếp theo, dịch nhầy sẽ tự liên kết với các dây thần kinh khứu giác để chuyển đổi các thông tin trở thành tín hiệu điện, dẫn truyền về não bộ, từ đó não bộ nhận ra mùi.
Vùng ngửi của mũi nằm ở nóc của mỗi ổ mũi, ngay sau khoảng cách giữa hai mắt. Như vậy, vai trò của khứu giác là nhận biết mùi của thực phẩm, nước uống mà con người ăn uống hàng ngày. Mũi cũng nhận biết các mùi có tính chất độc hại nguy hiểm như mùi của thức ăn bị hư thối, mùi gas, mùi các chất khí độc hại ô nhiễm... Khứu giác còn hỗ trợ sự giao lưu và quan hệ xã hội giữa con người với con người...
Mất khứu giác theo thuật ngữ khoa học là Anosmia, nghĩa là “mất khứu giác” hay “điếc ngửi”. Khi bị mất khứu giác khiến con người không thể cảm nhận được mùi của hương hoa, thực phẩm, các mùi thơm hay thối, trong lành hay độc hại. Có nhiều nguyên nhân gây ra mất khứu giác như: hẹp hốc mũi bẩm sinh; biến dạng vách ngăn mũi; chít hẹp hốc mũi sau chấn thương; do chấn thương ở não; do tổn thương của thần kinh khứu giác ngoại biên hoặc trung ương; do các bệnh cúm, sổ mũi cấp tính, một số bệnh nhiễm khuẩn; viêm mũi phì đại cấp tính hoặc mạn tính kèm theo polip, bịt tắc cửa mũi sau; các bệnh gây ngạt tắc vùng khứu giác; do rối loạn thần kinh chẳng hạn viêm thần kinh khứu giác do độc tố hoặc virut; do các hoá chất, hơi độc, bụi, chất ma tuý...; do sử dụng một số loại thuốc; do sử dụng phương pháp trị liệu như tia X, liệu pháp hoá học, lọc máu; do những thương tổn về thần kinh trong một số bệnh: Alzheimer, đa xơ cứng, bệnh Parkinson, bệnh xơ cứng teo cơ, bệnh đái tháo đường...; do sự lão hoá của cơ thể.
Tìm lại khứu giác, cách gì?
Một khi đã bị mất khứu giác thì việc tìm lại là rất khó khăn. Nói cách khác là rối loạn khứu giác rất khó điều trị và khả năng phục hồi hoàn toàn không cao. Tùy theo nguyên nhân mà có phương pháp điều trị riêng phù hợp đối với từng bệnh nhân. Thông thường có thể chọn một hay nhiều phương pháp điều trị phối hợp như sau: dùng kháng sinh chống nhiễm khuẩn; sử dụng thuốc chống dị ứng chữa viêm mũi xoang; dùng thuốc steroid uống hoặc xịt mũi để chữa bệnh dị ứng mũi; nếu do chấn thương não thì sau khi chấn thương hồi phục, bệnh nhân có thể ngửi trở lại; phẫu thuật cắt bỏ polyp, sửa dị hình vách ngăn trong mũi để khai thông tắc nghẹt.
Phương pháp bảo vệ khứu giác
Tuy rối loạn khứu giác không gây giảm sút nghiêm trọng đến sức khỏe nhưng ảnh hưởng đến đời sống hàng ngày, làm giảm chất lượng cuộc sống của người bệnh. Chẳng hạn có những trường hợp do điếc ngửi mà bệnh nhân mắc phải các tình huống: ăn phải thực phẩm ôi thiu, nhiễm độc, ngồi trong phòng kín bị rò rỉ khí gas nhưng không biết... gây nên những hiểm họa khôn lường. Vì vậy, việc bảo vệ khứu giác rất quan trọng. Cách tốt nhất để bảo vệ khứu giác là phòng và điều trị các nguyên nhân gây rối loạn khứu giác nói trên, như chữa các bệnh: cảm, cúm, viêm đường hô hấp trên, viêm xoang... một cách triệt để. Trong sinh hoạt mọi người nên đeo khẩu trang bảo vệ tránh khói, bụi, không khí lạnh… mỗi khi ra đường. Nên có thói quen rửa mũi bằng nước muối sinh lý từ 2-3 lần hàng ngày hoặc mỗi khi đi ra ngoài về nhà để làm sạch niêm mạc mũi. Luyện tập khứu giác như ngửi mùi các loại hoa, thức ăn cho quen... để kịp thời phát hiện những thay đổi bất thường của khứu giác và điều trị khi bệnh mới phát triển...Nếu có điều kiện, trong gia đình nên thay bếp gas bằng bếp điện; gắn thêm thiết bị báo động khói trong nhà. Cần kiểm tra kỹ hạn sử dụng của các loại thực phẩm để tránh ăn phải thức ăn hư thối. Chú ý để keo xịt tóc, thuốc tẩy rửa, thuốc trừ sâu... ở nơi thoáng khí để tránh hít phải hơi hóa chất độc hại.
Vì sao rối loạn khứu giác?
Rối loạn khứu giác thường do ba nhóm nguyên nhân: mất vận chuyển bởi những can thiệp vào đường đi của vật ngửi đến biểu mô thần kinh khứu giác; mất cảm giác do tổn thương vùng thụ thể; hoặc mất thần kinh vì tổn thương đường đi khứu giác trung tâm.
Nguyên nhân gây rối loạn khứu giác
Mất khứu giác vận chuyển gồm các bệnh lý sau đây: viêm mũi dị ứng, viêm mũi, xoang nhiễm khuẩn, bất thường bẩm sinh, polyp mũi, lệch vách mũi, phẫu thuật mũi, nhiễm virut, u tân sinh mũi. Mất khứu giác cảm giác do thuốc, liệu pháp xạ trị, tiếp xúc với hóa chất độc, u tân sinh, nhiễm virut. Mất khứu giác thần kinh bởi: AIDS, nghiện rượu, bệnh Alzheimer, khói thuốc lá, bệnh trầm cảm, đái tháo đường, bệnh múa giật Huntington, giảm năng tuyến giáp, hội chứng Kallmann, loạn tâm thần Korsakoff, suy dinh dưỡng, phẫu thuật thần kinh, bệnh Parkinson, thiếu vitamin B12, thiếu kẽm, một số loại thuốc chữa bệnh, u tân sinh. Trong các nguyên nhân kể trên, chấn thương đầu là nguyên nhân thường gặp gây ra mất khứu giác ở trẻ em và thanh niên, còn đa số người lớn mất khứu giác là do nhiễm virut.
Các tác nhân gây rối loạn khứu giác như thế nào?
Mất khứu giác hay gặp hơn là giảm khứu giác. Có 15% trường hợp chấn thương sọ não gây ra suy khứu giác một bên hoặc hai bên. Nếu chấn thương có kèm với bất tỉnh, tổn thương đầu tương đối nặng, gãy xương sọ hay gây ra loạn chức năng khứu giác. Các tổn thương: gãy xương trán, vỡ lá sàng, đứt các sợi trục khứu giác xuyên qua lá sàng, chảy dịch não tủy ở mũi do rách phần màng cứng trên lá sàng và các xoang cạnh mũi, do va đập mạnh lên vùng chẩm... đều gây mất khứu giác. Mất khứu giác do chấn thương thường là vĩnh viễn, tuy nhiên có khoảng 10% bệnh nhân cải thiện hoặc hồi phục. Nhiễm virut á cúm týp 3 đặc biệt gây hại cho khứu giác người. Bệnh nhân nhiễm HIV gây ra sai lệch khứu giác chủ quan. Trong hội chứng Kallmann có biểu hiện đặc trưng là mất khứu giác bẩm sinh và giảm năng tuyến sinh dục do thiếu gonadotropin. Người bạch tạng có thể bị mất khứu giác. Mất khứu giác có thể là dấu hiệu thần kinh duy nhất của u màng não ở vùng trán dưới. Hiếm gặp mất khứu giác do u thần kinh đệm ở thùy trán. Các trường hợp u tuyến yên, u màng não trên hố yên và phình mạch ở phần trước vòng Willis kéo dài về phía trước có thể làm tổn thương các cấu trúc khứu giác, gây ra cơn động kinh kèm ảo khứu giác. Rối loạn khứu giác, hay tri giác ngửi sai lệch, có thể xảy ra với bệnh trong sọ làm suy một phần khứu giác hoặc đó là biểu hiện hồi phục của mất khứu giác thần kinh. Đa số bệnh nhân bị loạn khứu giác nhận thấy có mùi khó chịu hoặc mùi hôi thối, và có thể kèm theo rối loạn vị giác.
Một số phương pháp đánh giá khứu giác
Định lượng khứu giác có thể dùng các phương pháp như sau: Thử nghiệm Odor Stix: dùng một dụng cụ phát mùi có dạng giống như bút lông để cách mũi bệnh nhân từ 8-15cm để kiểm tra tri giác chung với vật ngửi. Thử nghiệm rượu: dùng một túi rượu isopropyl mới mở để cách mũi bệnh nhân khoảng 30cm. Dùng một miếng bìa cào và ngửi (có chứa 3 mùi) để thử nghiệm khứu giác chung. Thử nghiệm nhận dạng khứu giác bằng bảng câu hỏi để bệnh nhân phải trả lời, có mùi bọc trong nang nhỏ và cào, ngửi. Xác định ngưỡng nhận ra mùi của vật ngửi là rượu phenyl ethyl, dùng kích thích có chia độ. Xác định độ nhạy của mỗi bên mũi bằng cách dùng ngưỡng nhận ra mùi của chất phenyl ethyl methyl carbinol. Sức ngửi của mũi cũng có thể đo bằng khí áp kế mùi cho mỗi bên mũi. Chụp cắt lớp bằng máy tính CT là cách tốt nhất để thấy các bất thường ở xương. CT vòng để đánh giá lá xương sàng, hố sọ trước và giải phẫu xoang. Chụp cộng hưởng từ MRI dùng để đánh giá hành khứu, não thất và những mô mềm khác của não. Kỹ thuật sinh thiết biểu mô thần kinh khứu giác, có gây thoái hóa rộng lớn biểu mô thần kinh khứu giác; hơn nữa biểu mô hô hấp đã xen vào vùng khứu giác mà không có loạn chức năng khứu giác đáng kể, cho nên phải rất cẩn thận khi phân tích kết quả sinh thiết.
Điều trị
Nguyên tắc cần thực hiện là điều trị các nguyên nhân gây rối loạn khứu giác. Trường hợp bệnh nhân bị mất khứu giác vận chuyển do viêm mũi dị ứng, viêm mũi và viêm xoang nhiễm khuẩn, polyp, u tân sinh và các bất thường cấu trúc của khoang mũi có thể tiến hành điều trị chuyên khoa các bệnh này. Dùng các liệu pháp chống dị ứng, liệu pháp kháng sinh, liệu pháp glucocorticoid tại chỗ hoặc toàn thân; phẫu thuật polyp mũi, lệch vách mũi và viêm xoang tăng sản mạn tính thường mang lại kết quả tốt là tái phục hồi khứu giác. Những bệnh nhân mất khứu giác cảm giác thần kinh thường không có cách điều trị hiệu quả. Tuy nhiên các ca bệnh loại này thường tự hồi phục khứu giác. Dùng kẽm và vitamin (nhất là vitamin A) được nhiều thầy thuốc tán thành và có kết quả tốt. Vì thiếu hụt kẽm nặng có thể gây ra mất và sai lệch khứu giác và thiếu vitamin A có thể gây ra mất khứu giác. Cắt nguồn gây hại như: khói thuốc lá và các hóa chất độc khác trong không khí có thể hồi phục khứu giác cho bênh nhân bị nhiễm loại này.
Nguyễn Thị Hoài Th. 35 tuổi, Cam Ranh, Khánh Hòa
Hỏi: Kính thưa các bác sĩ, cháu nhà tôi thường xuyên bị tưa lưỡi, chúng tôi có cho cháu đi khám nhiều bác sĩ nhi khoa điều trị và sau đó lại bị trở lại. Chúng tôi không biết bệnh nhiều lần như thế, cháu có bị làm sao không. Kính mong các bác chỉ cho cách chữa tưa lưỡi ở trẻ.
Trả lời: Cảm ơn về câu hỏi của bạn, câu hỏi này liên quan đến nấm ký sinh trong miệng đứa trẻ, nhất là trẻ sơ sinh. Liên quan câu hỏi này, chúng tôi chia sẻ với bạn bài viết về chữa tưa lưỡi mà chúng tôi thấy rất hiệu quả: Nhiễm nấm là căn bệnh khá phổ biến với hầu hết phụ nữ. Chúng thường xuất hiện trong thai kỳ, khi bị ốm hoặc sau đợt uống thuốc kháng sinh kéo dài.
Nấm là một bệnh nhiễm trùng cơ hội thường xuất hiện khi cơ thể ốm yếu. Trẻ sơ sinh cũng có thể bị nhiễm nấm giống như người lớn. Các vi sinh vật men gây nấm ở mẹ có thể lây sang con. Nhiều chuyên gia y tế cho rằng trẻ sơ sinh đã tiếp xúc với nấm từ khi chúng mới được sinh ra, đặc biệt là những trẻ được sinh thường và người mẹ có tiền sử bị nấm âm đạo. Nấm là một bệnh nhiễm trùng do vi sinh vật men đơn bào có tên gọi Candida albicans gây ra. Loại nấm này thường phát triển trên da, trong đường ruột và màng nhầy và không gây nguy hiểm khi cơ thể khỏe mạnh hay có nhiều lợi khuẩn. Khi gặp điều kiện thích hợp, Candida phát triển nhanh chóng và có triệu chứng rõ ràng.
Bất cứ ai ở mọi lứa tuổi đều có thể bị nhiễm nấm, từ trẻ em đến người già, người khỏe hay người ốm. Nấm có thể xuất hiện ở da hay tập trung ở miệng, âm đạo hoặc đường ruột. Những người bị suy giảm miễn dịch có nguy cơ nhiễm nấm cao. Nấm có thể xuất hiện bất ngờ mà không có biểu hiện nào báo trước. Có một số yếu tố làm tăng khả năng nhiễm nẫm như tiểu đường hoặc uống thuốc kháng sinh nhưng phần lớn các trẻ sơ sinh và trẻ nhỏ vẫn bị nhiễm nấm. Với một số người có chế độ ăn uống với hàm lượng đường và carbohydrate tinh chế cao ví dụ như bánh mì và các sản phẩm lên men, thì có nguy cơ nhiễm nấm cao hơn. Nếu người mẹ có nấm trên núm vú hoặc trong ống dẫn sữa và đang cho con bú, nấm có thể dễ dàng truyền sang con khi cho bú. Nấm phát triển mạnh trong môi trường ẩm ướt, ấm, vì vậy nó thường xuất hiện ở miệng và vùng da quấn tã.
Biểu hiện của bệnh nấm Candida như thế nào?
Bệnh tưa miệng: Các đốm trắng xuất hiện trên lưỡi, trong vòm miệng và má trong, giống như cặn sữa. Bạn có thể dùng miếng bông sạch lau các đốm trắng để biết đó là cặn sữa hay nấm. Bé bỏ ăn, không muốn ngậm vú hay bú bình. Nhanh khỏi khi dùng thuốc chống nấm. Bệnh tưa miệng thường xuất hiện bất ngờ.
Trẻ bị hăm: Xuất hiện vết ửng đỏ quanh hậu môn và vùng da xung quanh. Nấm có thể xuất hiện li ti, thành mảng hoặc giống như mụn. Đôi khi tạo thành mảng rát đỏ ở các kẽ da nơi quấn tã. Dễ thấy khi thay tã. Gây cảm giác khó chịu, đặc biệt là khi tã lót bị ướt hoặc bẩn. Các vết ửng đỏ sẽ bớt nhanh khi bôi kem chống nấm. Không nên chỉ sử dụng kem chống nhiễm trùng da,các vết tấy đỏ và phát ban sẽ không cải thiện nhanh. Thường xuất hiện một vài ngày sau khi bé bị bệnh tưa miệng.
Điều trị bệnh tưa miệng:
• Thuốc dạng nước hoặc dạng kem có chứa một hợp chất chống nấm. Các loại thuốc phổ biến là Mycostatin/Nilstat/Nystatin, Miconazole/Daktari
• Nên dùng thuốc liên tục cho đến khi tất cả các nốt tưa lưỡi hoặc nốt ban đỏ biến mất.
Điều trị hăm tã:
• Bôi các loại kem hoặc thuốc mỡ hai đến ba lần một ngày ở chỗ bị hăm. Sau khi lau khô và sạch sẽ, thoa kem hoặc thuốc mỡ vào chỗ bị nổi đỏ.
• Có thể dùng kem chống nhiễm trùng da hoặc kem chuyên trị hăm tã để chữa.
Những điều quan trọng cần biết về phương pháp điều trị nấm
• Bạn không thể áp dụng cách điều trị nấm ở người lớn cho trẻ sơ sinh và trẻ nhỏ. Mặc dù các thành phần hoạt chất có thể giống nhau, nhưng nồng độ thì khác nhau.
• Bạn không nên dùng chung các loại kem trị nấm và thuốc mỡ.
• Nếu bé bị tưa miệng hoặc bị hăm tã, bạn nên bôi thuốc cả hai nơi cùng một lúc.
Nấm có xuất hiện ở vùng cổ của bé hay không?
Nấm cũng có thể xuất hiện ở giữa ngấn cổ, nhất là ở những trẻ mũm mĩm và những trẻ hay bị trớ. Khi vùng da ở ngấn cổ giãn ra, sẽ xuất hiện mảng đỏ sáng và thường có mùi hôi. Nấm hay xuất hiện vào mùa hè và khi không khí ẩm ướt. Cách điều trị khi trẻ bị hăm ở cổ cũng tương tự như bị hăm tã. Bạn nên giữ vùng da cổ của bé sạch và khô, thay quần áo cho bé thường xuyên, tránh sử dụng yếm nhựa, dùng kem trị nấm và theo dõi tiến triển của bệnh. Đôi khi bé cũng bị nhiễm khuẩn da cùng một lúc và bạn nên dùng một loại kem khác và có thể phải cho bé uống kháng sinh.
Những tin tốt về bệnh tưa miệng.
Rất dễ dàng để nhận biết bệnh nhiễm nấm. Nếu bạn nghi bé bị nhiễm nấm, hãy đưa bé đến bác sĩ để khám. Nấm có thể được chẩn đoán bằng cách quan sát các triệu chứng của nó mà không cần dùng đến các máy móc, dụng cụ y tế. Hầu hết các thuốc điều trị nấm được bán phổ biến tại các quầy thuốc. Bạn không cần toa của bác sĩ và giá thuốc tương đối rẻ. Mặc dù các triệu chứng của bệnh nhiễm nấm thường gây khó chịu - chủ yếu là ngứa, tấy đỏ và rất nhạy cảm - nấm không gây nguy hiểm tới bạn và bé mà chỉ gây khó chịu, đặc biệt là ở vùng da quấn tã. Khi bé đi tiểu hoặc ị, axit và muối mật có thể làm da bé rát và khó chịu. Vì vậy, bạn nên thay tã thường xuyên cho bé để hạn chế bị hăm.
Cách chữa bệnh nhiễm nấm ở trẻ sơ sinh như thế nào?
Đầu tiên cần chẩn đóan chính xác bệnh. Khi bạn biết chắc bé bị nhiễm nấm, hãy chọn phương pháp điều trị tương đối đơn giản và rất hiệu quả. Rửa tay sạch sẽ trước khi làm vệ sinh cho bé. Tránh hôn bé ở miệng hoặc dính nước bọt của bạn với bé. Để ý khi người khác bế bé vì họ có thể lây vi trùng qua bé. Việc thổi thức ăn cho nguội, nếm thức ăn hoặc sữa trước khi cho bé ăn, đặt núm vú giả của bé vào miệng cũng có thể gây nhiễm nấm cho bé. Tránh sử dụng khăn lau tay cho bé mà nên sử dụng khăn giấy dùng một lần, sau đó vứt đi. Tham khảo việc sử dụng xà phòng chống khuẩn khi giặt đồ cho bé, giúp tiêu diệt các bào tử nấm gây nhiễm nấm. Thay khăn, khăn trải giường, yếm và quần áo cho bé thường xuyên. Khi giặt, nên phơi khô dưới ánh nắng mặt trời, không nên sấy khô bằng máy sấy. Nên cho bé mặc quần áo thoáng mát, nhất là vào những tháng ấm. Nếu bạn đang trong thời kỳ cho bé bú, nên cẩn thận với nấm trên núm vú hoặc trong ốn g dẫn sữa. Nếu núm vú của bạn bị ngứa, đỏ, viêm hoặc ngực của bạn đang đau và tức đặc biệt là sau khi ăn, hãy đến gặp bác sĩ để khám. Bạn có thể phải dùng kem chống nấm hoặc thuốc mỡ kết hợp với điều trị cho bé. Hãy thay áo ngực và miếng đệm ngực hàng ngày. Nếu bạn cho bé bú bình, hãy vệ sinh sạch sẽ bình và các đồ dùng cho bé ăn. Dùng nước nóng hoặc máy rửa chén để rửa bình sữa cho bé. Luôn lau khô bình và không đựng lại sữa đã cho bé bú. Nếu bé bị tưa lưỡi, hãy rửa sạch đồ chơi của bé mỗi ngày bằng nước nóng và xà bông. Rửa thật sạch và phơi khô dưới ánh mặt trời. Thay tã thường xuyên cho bé và giặt đúng cách. Tránh sử dụng khăn lau có cồn để lau sạch da bé; nên dùng các loại khăn có ít mùi thơm và ít khả năng gây dị ứng để lau cho bé. Bạn cũng có thể sử dụng cục bông bằng cotton ngâm trong nước ấm để lau khi thay tã. Lau khô vùng da quấn tã và thỉnh thoảng không lót tã cho bé mỗi ngày. Sử dụng tã dùng một lần có chất lượng thấm tốt và giữ cho khu vực lót tã luôn khô thoáng.
Mất bao lâu để điều trị nhiễm nấm cho bé?
Các triệu chứng bệnh nấm candida thường thuyên giảm trong một vài ngày điều trị đầu tiên sau khi uống thuốc hoặc dùng thuốc bôi da. Nếu bạn thấy tình trạng của bé không được cải thiện, hãy đưa bé đến bác sỹ khám. Có nhiều loại kem, thuốc mỡ, gel và thuốc uống có thể điều trị hiệu quả các sinh vật candida albicans. Nhiễm nấm không phải do vệ sinh kém hay do bạn không chăm sóc tốt cho em bé. Bệnh này khá phổ biến và dễ điều trị. Tuy nhiên không thể hoàn toàn loại bỏ Candida. Hỗ trợ tăng cường hệ miễn dịch là biện pháp lâu dài để phòng chống bệnh nhiễm nấm.
Chúng tôi hy vọng rằng với các thông tin trên sẽ giúp bạn và gia đình tìm thấy cách chữa trị hiệu quả nhất cho cháu bé. Thân chúc cả gia đình khỏe !