Trong quá trình thực hành lâm sàng tại Phòng khám chuyên khoa của Viện Sốt rét-KST-CT Quy Nhơn, nhiều bệnh nhân cũng như bạn đọc quan tâm đến các vấn đề sức khỏe liên quan đến bệnh lý nội khoa, truyền nhiễm hoặc mạn tính thường gặp trong cộng đồng. Đáp ứng yêu cầu bạn đọc, Ban Biên tập xin tổng hợp và chia sẻ một số thông tin về sức khỏe y học thường thức nhằm cùng nâng cao sức khỏe trong cộng đồng.
Lê Thẩm Th, 26 tuổi, Q. Bình Thạnh, 0918…. hoangnhat@...
Hỏi: Các bác sĩ ơi cho em hỏi da của các em bé trong năm đầu tiên thường mỏng và dễ gây trầy xước, dị ứng, ngứa, mẫn cảm mình nên làm gì để tránh và có cách nào điều trị hiệu quả nhất
Trả lời: Ngứa và mày đay da không tránh một đối tượng nào kể cả người lớn, trẻ em, người già và trẻ sơ sinh, nam và nữ giới đều có cơ hội mắc như nhau. Không giống như người lớn, ngoài việc bị ngứa ngáy (đôi khi rát bỏng cảm giác) khó chịu, trẻ bị nổi mề đay dị ứng còn rất dễ làm vào trình trạng bỏ ăn, hay cáu và quấy khóc lâu dần bị suy dinh dưỡng và bị ảnh hưởng xấu đến tâm lý. Việc chữa trị mề đay ở trẻ cũng phải lưu ý hơn vì sức khỏe của bé vẫn chưa được hoàn thiện. Nếu không có biện pháp đúng đắn rất dễ khiến trẻ bị những tổn thương đáng tiếc. Muốn chữa khỏi bất cứ căn bệnh nào cho con bố mẹ cũng cần bình tĩnh, trước hết phải theo dõi tình trạng bệnh tình của con như thế nào sau đó cố gắng tìm ra thủ phạm gây bệnh. Trẻ bị nổi mề đay mẩn ngứa trên da có thể là do:
-Không hợp với một loại thức ăn nào đó hoặc trong sữa mẹ có lẫn thành phần dị ứng. Mẹ cần nhớ lại đã ăn món gì mà loại bỏ chúng ra khỏi thực đơn.
-Bé bị dị ứng thời tiết, phát ban, nổi mẩn đỏ mỗi khi trời trở lạnh.
-Bị nổi mề đay do di truyền từ người thân (cần xác định bố mẹ hay trong hị hàng thân thuộc có ai bị bệnh này không).
-Bị những vật có chứa chất gây dị ứng va quẹt vào da. Nên quan sát những vật dụng bé hay tiếp xúc như đồ chơi, thú nhồi bông, xe đẩy,….
-Bị côn trùng chích, cắn. Hầu hết những động vật nhỏ trong nhà sẽ gây nên những nốt sưng phù ở vết cắn, nhưng bé nào có làn da mẫn cảm hoặc nọc độc côn trùng khá mạnh thì hoàn toàn có thể bị nổi mề đay, dị ứng da.

Khi thấy trẻ có biểu hiện như nổi mẩn ngứa khắp người, có những mảng da màu hồng hoặc trắng nổi lộm cộm, trẻ ngứa ngáy, gào khóc và có thể kèm theo sốt, nôn ói bố mẹ cần nhớ thực hiện những điều sau:
-Tách bỏ hoàn toàn tác nhân gây hại cho con. Nếu đã xác định được trẻ bị nổi mề đay do thức ăn thì phải kích thích gây nôn để loại bỏ chúng ra khỏi cơ thể. Nếu do va quẹt thì phải loại bỏ vật dụng đó (lúc đứa con đi khám cần mang vật đó theo để bác sĩ có thể xác định thành phần gây dị ứng);
-Những món ăn sau càng làm tình trạng nổi mề đay ở trẻ cần được tránh xa hoàn toàn như sữa đặc có đường, trứng tươi, bơ sữa, hải sản. Bên cạnh đó cần hạn chế lượng muối trong thức ăn của trẻ;
-Phải giữ sạch cơ thể của trẻ để tránh bị viêm nhiễm trên da nặng thêm do vi khuẩn. Trong khi tắm, mẹ chỉ nên rưới nước, thoa nhẹ lên chỗ bị tổn thương, tránh xát mạnh tay;
-Lưu ý khi tắm rửa cho trẻ cần dùng nước ấm pha ở nhiệt đọ vừa đủ, nước nóng sẽ gây khô toác da. Nên mua xà phòng chuyên dùng cho bệnh mề đay để sử dụng, các loại bình thường có tính sát khuẩn quá cao, không phù hợp với làn da bị nổi mẩn, sưng vù vì mề đay;
-Chất liệu quần áo cũng nên được chú ý, những loại vải có chất mềm, khô thoáng và đặc biệt phải rộng rãi là lí tưởng nhất cho trẻ bị nổi mề đay dị ứng;
-Mẹ cần cắt ngắn móng tay cho con, cố gắng ngăn cản con dùng ta gãi mỗi khi bị ngứa. Mẹo nhỏ cho các mẹ là đeo bọc tay cho con để hạn chế tình trạng này;
-Phải bổ sung đầy đủ dưỡng chất cần thiết, cần thêm khoáng chất và vitamin với mục đích nâng cao đề kháng ở trẻ. Có như vậy trẻ mới đủ sức để đẩy lùi triệu chứng mề đay, mẩn ngứa;
-Những món ăn sau đây mẹ có thể nấu cho con để trị nổi mề đay cho trẻ:
(i)Nấu cháo đậu xanh chúng với bách hợp cho trẻ ăn khi còn ấm (mỗi nguyên liệu cần 30g);
(ii)Nấu cháo chung với bột thuốc ý dĩ nhân và mã thầy (30g cho mỗi vị thuốc);
(iii)Ép lấy nước cà chua cho trẻ uống. Hoặc có thể thay bằng hỗn hợp ước trái cây hay uống nước trà xanh;
(iv)Xay nhuyễn quả mướp, cho thêm chút muối và nức vào nấu chín rồi đút cho trẻ ăn.
Thông thường, vơi những biện pháp sơ cứu và chữa bệnh ở trên trẻ sẽ giảm nhanh các triệu chứng dị ứng, nổi mề đay nhưng quan sát mà thấy bệnh của trẻ không hề thuyên giảm, trở nặng hoặc bị nhiều lần nữa thì bố mẹ cần nhanh chân đưa con đi khám để tránh nổi mề đay diễn biến thành mạn tính.
Trần Duy Tiến, 45 tuổi, TX An Nhơn, Bình Định, lolan27@....
Hỏi: Xin các bác sĩ ở Viện sốt rét Quy Nhơn cho em biết về bệnh giãn tĩnh mạch tinh ở tuổi thiếu niên nam ở con của em có nguy hiểm không, cách điều trị như thế nào cho tránh biến chứng vô sinh về sau. Xin chân thành cảm ơn
Trả lời: Giãn tĩnh mạch tinh là sự giãn to bất thường của hệ thống tĩnh mạch của tinh hoàn. Đây là tình trạng tương đối phổ biến ở trẻ/ bé trai. Giãn tĩnh mạch tinh là sự giãn to bất thường của hệ thống tĩnh mạch của tinh hoàn. Đây là tình trạng tương đối phổ biến ở trẻ trai, nhất là khi đến tuổi dậy thì và có thể ảnh hưởng đến chức năng sinh sản khi đến tuổi trưởng thành.
Giãn tĩnh mạch tinh có thể gặp ở 14-20% thiếu niên, tỷ lệ này tương đương với người lớn. Điều cần lưu ý là trong số này, có khoảng 20% có vấn đề về chức năng sinh sản. Hầu hết xảy ra ở bên trái, bên phải đơn thuần rất ít gặp, thường trong bệnh cảnh cả 2 bên.

Do đây là thời điểm có sự phát triển mạnh về cả cơ thể và cơ quan sinh dục của trẻ. Tinh hoàn phát triển nhanh chóng, gia tăng lượng máu đến tinh hoàn, áp lực cao làm cho các mạch máu trở nên căng và giãn ra. Kích thước mạch máu tăng lên để chứa lượng máu ứ trệ lại tạo cơ hội cho sự trào ngược dòng máu từ tĩnh mạch trung tâm trở lại hệ thống tĩnh mạch tinh.
Thông thường, nhờ những cơ chế trao đổi nhiệt phức tạp, dòng máu đến tinh hoàn được duy trì ở nhiệt độ 33°C. Giãn tĩnh mạch tinh làm rối loạn cơ chế này và làm tăng nhiệt độ tinh hoàn, ảnh hưởng đến quá trình sản xuất tinh trùng. Ngoài ra, nó còn làm mất cân bằng hormon và sự trao đổi oxy trong tinh hoàn. Có 2 loại tế bào trong mô tinh hoàn, tế bào sản xuất tinh trùng và tế bào sản xuất hormon sinh dục nam testosteron. Cả 2 loại tế bào này đều bị ảnh hưởng bởi giãn tĩnh mạch tinh. Ở tuổi thiếu niên, giãn tĩnh mạch tinh còn ảnh hưởng đến sự phát triển của tinh hoàn. Giãn tĩnh mạch tinh không gây ảnh hưởng đến sự cương cứng, kích thước dương vật, ham muốn tình dục, nam tính hay quá trình dậy thì.

Về cơ chế giãn tĩnh mạch tinh, đến nay vẫn chưa hoàn toàn được sáng tỏ, có thể có liên quan đến yếu tố di truyền. Giãn tĩnh mạch tinh hay gặp ở bên trái hơn bên phải là do nguyên nhân về mặt giải phẫu: tĩnh mạch tinh trong bên phải đổ vào tĩnh mạch thận phải, trong khi đó, tĩnh mạch tinh trong bên trái đổ trực tiếp vào tĩnh mạch chủ dưới, chính vì thế, áp lực trong lòng tĩnh mạch tinh bên trái cao hơn bên phải, nguy cơ giãn bất thường cao hơn.
Dấu hiệu và triệu chứng giãn tĩnh mạch tinh, thông thường, giãn tĩnh mạch tinh không có triệu chứng rõ ràng và không được để ý cho đến khi được bác sĩ tình cờ phát hiện nhờ thăm khám tinh hoàn. Đôi khi bố mẹ và tự bản thân trẻ nhận thấy vùng phía trên tinh hoàn xuất hiện một khối chứa những búi giãn ngoằn ngoèo. Khối này thấy rõ khi trẻ đứng và giảm xuống ở tư thế nằm. Đôi khi, sau một hoạt động gắng sức, thời tiết nóng nực, hoặc sau khi trẻ phải đứng lâu, trẻ có cảm giác tức nặng vùng bìu. Cảm giác này tăng lên thành dấu hiệu đau âm ỉ tinh hoàn bên bị bệnh.
Phân loại giãn tĩnh mạch tinh
-Độ 0: Không có triệu chứng, không quan sát thấy, phát hiện qua siêu âm.
-Độ 1: Có triệu chứng khi gắng sức.
-Độ 2: Có thể sờ thấy nhưng không quan sát thấy.
-Độ 3: Quan sát thấy bằng mắt thường.
Trong thời kỳ dậy thì, thể tích tinh hoàn có thể tăng từ 2 ml lên đến 16 ml. Tinh hoàn được xác định là nhỏ khi thể tích chênh lệch giữa 2 tinh hoàn từ 2 ml trở lên. Thể tích này được đo chính xác nhất qua siêu âm tinh hoàn. Ở người trưởng thành, giãn tĩnh mạch tinh có chỉ định mổ khi mà xét nghiệm tinh dịch đồ có bất thường hoặc bệnh nhân có vấn đề về khả năng sinh sản. Ngoài ra, cũng có thể chỉ định mổ khi khối tĩnh mạch tinh giãn rất to hoặc triệu chứng gây khó chịu cho người bệnh. Kích thước của tĩnh mạch tinh giãn cũng là một yếu tố tiên lượng cho chất lượng của tinh trùng và sự phát triển của tinh hoàn.
Theo BS. Trần Đức Tâm, khoa Nhi, BV Hữu Nghị Việt Đức, về biện pháp điều trị giãn tĩnh mạch tinh, có rất nhiều phương pháp điều trị giãn tĩnh mạch tinh. Mục tiêu chung của tất cả các phương pháp đó là thắt các tĩnh mạch tinh giãn bệnh lý.
3 phương pháp được sử dụng phổ biến hiện nay là:
(i) Phẫu thuật nội soi ổ bụng,
(ii) Thắt tĩnh mạch tinh ngoài phúc mạc;
(iii) Vi phẫu thắt tĩnh mạch tinh đường bẹn.
Cả 3 phương pháp này đều là phẫu thuật can thiệp tối thiểu. Tỷ lệ biến chứng chung của cả 3 phương pháp khoảng 2-15% tái phát, tràn dịch màng tinh hoàn (1-10%). Ngoài ra, phẫu thuật nội soi ổ bụng có thêm biến chứng về tổn thương các tạng trong ổ bụng hoặc chảy máu (dưới 1%). Một số biến chứng hiếm gặp khác bao gồm: teo tinh hoàn, nhiễm khuẩn vết mổ hay đau tức tinh hoàn. Thời gian mổ khoảng 1 giờ. Bệnh nhân có thể ra viện trong ngày.
Âu Bích Thủy, 41 tuổi, Cần Thơ hanggiang12@....
Hỏi: Xin chào các bác sĩ, cháu tên Âu Bích Thủy 41 tuổi, cho cháu hỏi mẹ cháu và em gái cháu đang bị chẩn đoán suy tĩnh mạch chân là chính, không thấy trên tay. Vậy cháu là con gia định liệu cháu có bị không và nếu có thì cháu sẽ phòng bệnh như thế nào, vì cháu thường hay mặc váy do công việc đòi hỏi và cơ quan bắt buộc, cháu sợ thẩm mỹ mất. Kính mong các bác sĩ trả lời sớm cho cháu phòng bệnh.
Trả lời: Tại Phòng khám chuyên khoa, ngoài một số bệnh nhân người lớn tuổi, phụ nữ và người già, chúng tôi gặp không ít trẻ em cũng là nạn nhân của giãn tĩnh mạch chi dưới, trong đó nhiều ca rất nặng. Thói quen, lối sống hằng ngày cũng có thể nguyên nhân gây ra chứng suy giãn tĩnh mạch (người làm các công việc đứng nhiều) chứ không chỉ là giới tính và tuổi tác.Suy giãn tĩnh mạch là bệnh phổ biến ở người trưởng thành. Nhiều phụ nữ đến điều trị giãn tĩnh mạch hơn nam giới, nhưng nam giới cũng có nguy cơ bị suy yếu và phình to các tĩnh mạch. Lớn tuổi và ít vận động làm cho bệnh có nhiều khả năng xảy ra hơn.


Suy giãn tĩnh mạch- Vấn đề của mọi lứa tuổi và thường thấy giới nữ cao hơn nam. Tĩnh mạch là các mạch đưa máu nghèo ôxy của cơ thể trở về tim. Có 3 loại tĩnh mạch ở các chi: tĩnh mạch nông nằm trong da và dưới da, tĩnh mạch sâu nằm trong các nhóm cơ và tĩnh mạch xuyên kết nối hai loại trên. Máu ở chân trở về tim chủ yếu qua đường các tĩnh mạch sâu. Bình thường máu tĩnh mạch trở về tim nhờ có: Lực đẩy từ đông mạch, lực hút do tim co bóp, áp lực âm trong lòng ngực hút máu về tim và sự co bóp của các khối cơ cẳng chân, ép vào các tĩnh mạch sâu và đẩy máu đi về tim và hệ thống van trong lòng tĩnh mạch, giữ không cho máu trào ngược dòng.
Theo ý kiến các chuyên gia, chúng tôi xin chia sẻ với bạn các thông tin cần thiết về bệnh giãn tĩnh mạch chi dưới nhằm chia sẻ một cách đầy đủ cũng như phương thức điều trị và phòng bệnh. Khi hệ thống van một chiều của tĩnh mạch bị suy, sẽ xuất hiện dòng máu trào ngược dẫn đến tình trạng ứ trệ máu trong lòng tĩnh mạch và làm tăng áp lực tĩnh mạch ở cẳng chân, lâu dần dẫn đến tình trạng suy tĩnh mạch mạn tính. Suy tĩnh mạch mạn tính được định nghĩa là tình trạng các tĩnh mạch không thể bơm đủ máu nghèo ôxy trở về tim. Bệnh này rất thường gặp ở chi dưới, xảy ra ở khoảng 10 - 35 % người lớn. Bệnh thường tiến triển chậm, không rầm rộ, ít nguy hiểm đến tính mạng nhưng trở ngại nhiều cho sinh hoạt và công việc hàng ngày, điều trị lâu dài và tốn kém nhất là khi có biến chứng.
Nguyên nhân và các yếu tố nguy cơ gây suy tinh mạch chi dưới
-Thói quen đứng hay ngồi lâu gây ứ trệ máu và tăng áp lực tĩnh mạch của chi dưới.
-Huyết khối tĩnh mạch sâu ngăn cản dòng máu trở về tim.
-Viêm tĩnh mạch với hình thành huyết khối trong các tĩnh mạch sâu hoặc nông.
-Khiếm khuyết van do bẩm sinh.
-Nhiều yếu tố khác: nữ giới, sinh đẻ nhiều, béo phì hay quá cân, táo bón kinh niên, di truyền, nội tiết, sử dụng thuốc ngừa thai, môi trường làm việc nóng và ẩm, lười thể dục, hút thuốc lá, tuổi cao.
Các triệu chứng và dấu hiệu sớm của bệnh bao gồm:
-Bệnh nhân có cảm giác bó chặt ở bắp chân, nặng chân, mỏi chân, mất ngủ. Có khi thấy tê, kiến bò vùng bàn chân.
-Vọp bẻ (chuột rút) ở bắp chân, thường xảy ra về đêm.
-Sưng phù xung quanh hai mắt cá, thấy rõ vào buổi tối.
-Các triệu chứng thường nặng lên về chiều tối, hoặc sau khi đứng lâu, sau một ngày làm việc, và giảm bớt vào buổi sáng khi ngủ dậy, hoặc sau khi nghỉ ngơi, kê chân cao.
Dãn mao mạch và dãn các tĩnh mạch nông ở chân: Có 3 loại dãn tĩnh mạch nông
-Dãn thân tĩnh mạch
-Dãn tĩnh mạch nhỏ dạng mạng nhện.
-Dãn tĩnh mạch nhỏ dạng lưới.
Các van bên trong tĩnh mạch dãn bị suy (mất chức năng).

Viêm tĩnh mạch huyết khối:Là tình trạng sưng viêm của các tĩnh mạch nông hoặc sâu gây ra bởi cục máu đông. Gặp ở bệnh nhân bị các bệnh dễ đưa đến huyết khối, bệnh nặng, mổ lớn, ngồi lâu (nghề nghiệp, đi máy bay đường dài). Khi bị huyết khối tĩnh mạch nông: tĩnh mạch nổi hẳn lên, sờ ấm và cứng dọc theo tĩnh mạch, rất đau, có thể kèm đỏ da. Khi bị huyết khối tĩnh mạch sâu: gây tắc và ứ trệ, chân nóng, đau, sưng đỏ, có thể bị chảy máu, ngứa, đau nhức nhối, nhiễm trùng thứ phát. Huyết khối tĩnh mạch nông hiếm khi gây biến chứng, không nguy hiểm đến tính mạng, tuy vậy cần thăm khám cẩn thận để loại trừ huyết khối tĩnh mạch sâu phối hợp. Huyết khối tĩnh mạch sâu đôi khi có thể bong ra và đi lên phổi, gây thuyên tắc động mạch phổi với tỷ lệ tử vong rất cao.
Loạn dưỡng da chân:Do rối loạn biến dưỡng: da phù nề, dày lên, có thể dẫn đến tróc vảy, chảy nước và chàm da, thay đổi màu sắc, sạm da và xơ cứng bì.

Loét cẳng chân: Ở đoạn thấp, là biến chứng ở giai đoạn muộn nhất gây đau đớn và điều trị rất khó khăn. Ban đầu là loét nông, để lâu loét sẽ ăn sâu dần và rộng ra, dễ bội nhiễm, có thể tái đi tái lại nhiều lần.
Một số xét nghiệm cận lâm sàng cần làm:
-Xét nghiệm đông máu.
-Siêu âm Duplex đo tốc độ dòng máu và xem xét cấu trúc các tĩnh mạch chân.
-Chụp X-quang tĩnh mạch để xem xét về giải phẫu của tĩnh mạch.
Suy tĩnh mạch mạn tính diễn biến mạn tính lâu dài theo thời gian và tuổi tác. Cần tập trung chữa trị tốt, có kế hoạch theo dõi tái khám định kỳ khi bệnh còn ở các giai đoạn sớm. Điều trị bằng thuốc và vớ áp lực ở giai đoạn dãn tĩnh mạch nhỏ dạng mạng nhện hay dạng lưới. Ở giai đoạn dãn thân tĩnh mạch, cần đến phẫu thuật cắt bỏ hoặc can thiệp nội mạch phối hợp với điều trị nội khoa. Cần thay đổi thói quen làm việc và sinh hoạt, tránh đứng lâu hoặc ngồi bất động kéo dài; khi đi ô tô hay máy bay đường dài thì phải gấp duỗi chân từng lúc cho máu lưu thông, uống nhiều nước, mang tất dài hỗ trợ; giảm cân khi dư thừa; dùng thuốc để phòng huyết khôi tĩnh mạch sâu khi có chỉ định. Các tổn thương van tĩnh mạch mạn tính tuy không thể hồi phục, nhưng nếu điều trị tốt, người bệnh vẫn có thể làm việc sinh hoạt bình thường.
Một đánh giá năm 2005 của các nghiên cứu về đối tượng bị suy giãn tĩnh mạch và tại sao nói rằng vị trí địa lý là một yếu tố trong tần suất chứng suy giãn tĩnh mạch. Các nước phương Tây có tỷ lệ mắc bệnh cao nhất do tình trạng ít vận động thường thấy ở nhiều người.

1a. Giãn tĩnh mạch nổi rõ trên da

1b. Dãn tĩnh mạch nổi rõ ở người lớn tuổi
Nhìn chung, ước tính suy giãn tĩnh mạch ở nam giới nằm trong khoảng từ 17% đến hơn 50%. Mặc dù đàn ông cũng mắc phải suy giãn tĩnh mạch nhưng họ ít có xu hướng tìm cách điều trị. Đây có thể là một vấn đề đáng lo ngại vì tĩnh mạch lớn mà không được điều trị có thể gây ra tăng huyết áp tĩnh mạch có thể dẫn đến viêm loét và tổn thương mô. Mặc dù, một số người kiểm soát suy giãn tĩnh mạch bằng cách sử dụng tất chun chống giãn tĩnh mạch và giữ chân ở tư thế cao, đôi khi nhiều triệu chứng làm bệnh nhân nhanh chóng tìm đến điều trị.
Điều trị suy tĩnh mạch mạn tính
-Thay đổi thói quen sinh hoạt và công việc hàng ngày.
-Tùy trường hợp mà sử dụng các thuốc: giảm đau, kháng viêm, kháng sinh, chống đau, làm tan cục máu, làm bền thành mạch (aescin, flavonoid)...
-Mang vớ áp lực: đeo liên tục ban ngày giúp khép các van tĩnh mạch bị hở làm hạn chế máu ứ trệ chảy ngược, giảm phù nề.
-Chích xơ: áp dụng cho các dãn tĩnh mạch nhỏ dạng lưới và khu trú.
-Phẫu thuật: lấy bỏ các búi tĩnh mạch dãn, lột tĩnh mạch, sửa van, tạo hình tĩnh mạch qua da...
-Can thiệp nội mạch bằng sóng cao tần hay laser: là kỹ thuật mới điều trị dãn tĩnh mạch, ít đau, mau hồi phục và đảm bảo thẩm mỹ, thay cho phẫu thuật lột tĩnh mạch kinh điển trước đây.
Có 3 cách cơ bản điều trị suy giãn tĩnh mạch. Một nghiên cứu mới gần đây cho biết tất cả họ đều an toàn và hiệu quả, cho phép bạn lựa chọn tùy theo sở thích và các triệu chứng của bạn. 3 cách điều trị suy giãn tĩnh mạch đó là:
-Đốt laser nội tĩnh mạch: Đưa 1 tia laser đã được làm nóng lên và làm bất hoạt TM mục tiêu. Đốt bằng sóng cao tần nội tĩnh mạch cũng là 1 lựa chọn tương tự, điều trị bằng cách phá hủy nhiệt;
-Liệu pháp xơ hóa: bác sĩ sẽ tiêm vào tĩnh mạch một chất kích thích gây ra chít hẹp các mạch máu. Đây cách điều trị hiệu quả với những mạng lưới tĩnh mạch nông dưới da;
-Phẫu thuật thắt và cắt bỏ tĩnh mạch: Phương pháp này liên quan đến việc buộc lại và loại bỏ các tĩnh mạch bị hư hỏng. Tương tự như vậy, phương pháp 'ambulatory phlebectomy' loại bỏ các tĩnh mạch thông qua một vết rạch nhỏ khoảng 1mm chỉ trong một lần khám ngoại trú.

Các nhà nghiên cứu từ Đại học Aberdeen so sánh hiệu quả của 3 phương pháp được sử dụng rộng rãi nhất (xơ hoá, cắt đốt bằng laser và phẫu thuật bóc tách) điều trị suy giãn tĩnh mạch. Các kết quả của nghiên cứu này đăng tải trong The New England Journal of Medicine. Họ nhận thấy không có sự khác biệt đáng kể trong chất lượng cuộc sống bệnh nhân dùng một trong ba phương pháp điều trị khác nhau. Chuyên gia mạch máu, tiễn sĩ Natalie Evans, không tham gia vào nghiên cứu, nhưng quen thuộc với tất cả 3 phương pháp cho biết cắt đốt bằng laser nội tĩnh mạch và phẫu thuật bóc tách cho thấy được phần nào sự vượt trội so với liệu pháp xơ hoá, về chất lượng cuộc sống, nhưng sự khác biệt không lớn. Kết quả cho thấy cả 3 phương pháp điều trị có xu hướng tạo ra kết quả mong muốn, nhưng điều trị laser gây ít biến chứng hơn.
Tiến sĩ Evans nói rằng mặc dù nó là tin tốt lành rằng cả 3 phương pháp điều trị đều giúp bệnh nhân giảm các triệu chứng, nhưng không có bệnh nhân nào là giống nhau. Thật khó mà dựa vào một mình nghiên cứu này để nói là một phương pháp cụ thể là vượt trội so với phương pháp kia vì, như với nhiều nghiên cứu lớn, bạn không thể khái quát kết quả cho mỗi bệnh nhân ở bên ngoài. Vì vậy, tôi nghĩ rằng thực sự quan trọng là bạn nên có một chuyên gia về tĩnh mạch tốt có thể hướng dẫn bạn đến những điều trị thích hợp và hiệu quả nhất. Nếu đang bị suy giãn tĩnh mạch hoặc đang gặp các triệu chứng như chân bị chuột rút hay cảm thấy chân nặng nề, bạn có thể đang có vấn đề với lưu thông tĩnh mạch. Hãy nói chuyện với bác sĩ của bạn về các triệu chứng và tất cả các lựa chọn điều trị có sẵn.
Trương Thị K, 49 tuổi, TT Đức Phổ Quảng Ngãi
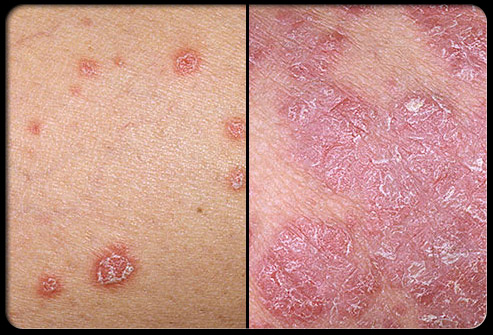
Hỏi: Tôi muốn hỏi các bác sĩ vảy nến là bệnh lý gì mà chống tôi gần đây tự nhiên phát bệnh mà hoàn toàn không uống rượu bia hay dùng chất nào khác vẫn bị, không những trên da tay và da bụng mà còn trên đầu. Vào Quy Nhơn được chẩn đoán vảy nến toàn thân và chuyển sang bệnh viện da liễu Quy Nhơn điều trị. Tôi lo lắng quá, mong các bác cho lời khuyên.
Trả lời: Theo như bạn mô tả đó là bệnh lý vảy nến toàn thân - Bệnh có thể gặp từ già đến tuổi thiếu niên. Vẩy nến hiện nay vẫn chưa thể chữa khỏi hoàn toàn mà chỉ làm giảm, sạch thương tổn và kéo dài thời gian tái phát, tránh các khó khăn trong sinh hoạt hàng ngày và giữ thẩm mỹ cho bệnh nhân. Bệnh vảy nến xuất hiện ở nhiều nơi trên cơ thể như khuỷu, gối, đầu, vùng xương cùng... đôi khi xuất hiện toàn thân, các vảy trắng bong ra khi gãi và để lại một lớp dưới màu hồng, đôi khi có rớm máu. Về phân loại bệnh vảy nến, có thể chia thành 3 mức độ:
-Mức độ nhẹ: chỉ có vài mảng vảy, ít hơn 3% diện tích bề mặt da;
-Mức độ vừa: các mảng vảy nên chiếm từ 3-10% diện tích bề mặt da;
-Mức độ nặng: hơn 10% diện tích bề mặt da.

Có nhiều phương pháp điều trị và dựa vào tuổi, phái, dạng lâm sàng, vị trí sang thương cũng như sự lan tỏa của bệnh. Điều trị tại chỗ thường được sử dụng trong vẩy nến mức độ nhẹ và trung bình. Vẩy nến mức độ trung bình và nặng có thể phải sử dụng quang trị liệu hoặc thuốc hệ thống. Bệnh vẩy nến được biết đến từ thời thượng cổ và là một trong những bệnh da rất hay gặp ở Việt Nam cũng như nhiều nước trên thế giới. Theo thống kê, tỷ lệ bệnh vẩy nến khác nhau tùy từng vùng, từng châu lục, song nó dao động trong khoảng 1-3% dân số.

Vảy nến là một bệnh da mạn tính, căn nguyên chưa sáng tỏ. Ngày nay người ta cho rằng vảy nến là bệnh da di truyền. Dưới tác động của các yếu tố như stress, nhiễm khuẩn, chấn thương cơ học, vật lý. Gene gây vảy nến được khởi động.
Cách giúp giảm bệnh vẩy nến hiệu quả nhất được nhiều bác sĩ khuyên dùng là ngâm mình (hoặc phần da bị vẩy nến) trong nước ấm từ 10-15 phút, sau đó bôi thuốc dưỡng ẩm làm mềm da để giúp da mềm và ẩm hơn. Hiện nay, có khuynh hướng trở về với dinh dưỡng liệu pháp nhằm vận dụng hoạt chất dễ dung nạp trong thực phẩm để thay thế các chất dễ gây hại trong dược phẩm. Vảy nến là “căn bệnh nan y”. Nếu bạn là một bệnh nhân mắc căn bệnh “cứng đầu” này, thì cần phải có lòng kiên nhẫn khi điều trị bệnh.
Điều trị vảy nến rất khó khăn, không có thuốc đặc trị. Thuốc có hiệu quả với trường hợp này nhưng lại không hiệu quả với trường hợp khác. Công nghệ UVB phổ hẹp cùng với công nghệ laser xung nhuộm màu Vbeam phù hợp điều trị bệnh vảy nến đã có mặt ở Việt Nam. Vảy nến là bệnh do rối loạn da, tạo nên những mảng lớn màu đỏ tía. Vảy nến là một bệnh ngoài da khá hay gặp, vảy nến có tổn thương da là các sẩn nổi cao hơn mặt da, trên có nhiều vảy trắng mỏng dễ bong. Nếu cạo hết vảy ta thấy có nền da đỏ tươi ở dưới.
Hàn Phi Nh….26 tuổi, nhân viên marketing nikeshoes….
Hỏi: Bác sĩ ơi, cho cháu hỏi, cháu bị đi ngoài liên tục, ngày nào cũng vậy, có khi ngày đi một lần có khi ngày đi hai lần, cháu đã dùng thuốc điều trị viêm ruột kích thích, điều trị đại tràng khang,…còn dùng men tiêu hóa nữa nhưng không bớt bệnh. Cháu nghe nói nếu dùng men tiêu hóa khong đúng cách cũng sẽ dẫn đến bệnh không thuyên giảm, vậy cháu sẽ dùng men nào tốt nhất và cách dùng, trong thời gian bao lâu là phù hợp? xin các bác sĩ chỉ dẫn.
Trả lời: Liên quan đến câu hỏi của bạn về phần sử dụng men tiêu hóa chúng tôi đã phúc đáp nhiều lần trên cùng chuyên mục trang website này, bạn có thể tham khảo thêm nhé. Chúng tôi chỉ xin nhắc lại bạn phải hiểu rõ về các loại men hay chế phẩm gần giống men và chúng ta thường nhầm.
Men tiêu hóalà những enzym do cơ thể tiết ra để tiêu hóa thức ăn cho cơ thể (cắt nhỏ thức ăn thành những phần tử nhỏ để hấp thu vào máu như men lipase là enzym thủy phân lipid, protease thủy phân protein). Men tiêu hóa được bác sĩ chỉ định khi nghi ngờ hoặc có bằng chứng là bị thiếu men tiêu hóa, muốn tăng cường thêm khả năng tiêu hóa thức ăn của trẻ trong một khoảng thời gian nhất định nào đó.
Men vi sinh còn gọi là probiotic, là những vi khuẩn có lợi cho đường ruột.
Các vi khuẩn này lên men thức ăn, sản xuất acid lactic, acid hóa đường ruột và ngăn ngừa sự phát triển của các vi khuẩn có hại, hạn chế nhiễm trùng tiêu hóa, khắc phục tình trạng loạn khuẩn ruột, giúp cho hệ miễn dịch tại đường ruột tăng cường hoạt động. Nhờ đó, đường ruột được lành mạnh để thực hiện tốt chức năng tiêu hóa và hấp thu thức ăn. Việcbổ sung các men vi sinh, nhằm nâng cao sức đề kháng cho đường ruột là cần thiết.
Men tiêu hóa và men vi sinh có sự hỗ trợ trong điều trị tiêu hóa khác nhau. Tuy nhiên, nếu bạn muốn cho con uống cùng lúc cả hai loại men trên thì phải đưa bé đến bác sĩ để kiểm tra. Nếu bé thiếu cả hai thì có thể uống men vi sinh và men tiêu hóa một lúc.

Bạn không nên sử dụng quá lâu ngày vì có thể sẽ phá vỡ cân bằng hệ vi khuẩn đường ruột dẫn đến rối loạn tiêu hóa, gây biếng ăn và bệnh tiêu chảy ở trẻ. Ngoài ra, bạn cũng nên lưu ý, nếu trẻ quá bé thì cũng cần phải tham khảo ý kiến bác sĩ trước khi dùng vì ở độ tuổi này hệ tiêu hóa của trẻ chưa ổn định dễ dẫn đến tiêu chảy nếu dùng không hợp lý, gây ảnh hưởng đến đường tiêu hóa của trẻ về sau. Antibio không phải là men tiêu hóa mà là chế phẩm vi sinh chứa vi khuẩn lành tính Lactobacillus acidophilus, có lợi lên hệ tiêu hóa bằng cách cải thiện sự cân bằng của hệ vi sinh đường ruột.
Do đó, antibio có tác dụng tăng cường chức năng bảo vệ niêm mạc ruột, giúp ngăn ngừa sự tấn công của các vi sinh vật gây bệnh, làm giảm độc tính của các độc tố, kích thích miễn dịch cục bộ và miễn dịch ngoại biên, kích thích hoạt động của các enzym tiêu hóa thức ăn. Vì vậy, antibio được dùng để ngăn ngừa và điều trị bổ sung trong các trường hợp: tiêu chảy do Rotavirus, tiêu chảy do nhiễm khuẩn, tiêu chảy do sử dụng kháng sinh và dùng để ngăn ngừa các rối loạn tiêu hóa khác như: táo bón, trướng bụng, đi ngoài phân sống ở trẻ em.

Còn men tiêu hóa là men là do chính các tuyến trong cơ thể tiết ra để tiêu hóa và hấp thụ thức ăn. Các sản phẩm được gọi là men tiêu hóa khi chứa các enzym có tác dụng chuyển hóa thức ăn chất bột, đường, đạm, béo trong cơ thể như: pepsin, neopeptin... Các loại men tiêu hóa được chỉ định dùng trong các trường hợp rối loạn tiêu hóa: đầy hơi, chán ăn, ăn không tiêu hoặc cho người mắc các bệnh lý làm giảm men tiêu hóa như loét dạ dày, viêm tụy mạn tính.
Tuy nhiên không nên sử dụng các thuốc này kéo dài quá 10 ngày hoặc khi trẻ đã ăn được tốt hơn, hệ thống của cơ thể tự bài tiết được các men tiêu hóa thì nên dừng lại. Nếu dùng kéo dài men tiêu hóa sẽ làm giảm bài tiết enzym tự nhiên của cơ thể khiến cơ thể phụ thuộc vào nguồn enzym cung cấp từ ngoài vào. Tụy sẽ tự động ngừng tiết men tiêu hóa. Khi tụy không hoạt động dần dần sẽ dẫn đến suy tụy, thiểu năng tuyến tụy...Rất nhiều người thấy con mình kém ăn, người gầy gò đã tự tìm đến với men tiêu hóa và đôi khi đã bị dùng nhầm giữa hai loại trên.
Đối với trường hợp của con chị, nên đưa cháu đi khám dinh dưỡng tìm hiểu nguyên nhân để điều trị. Bác sĩ sẽ có lời khuyên dùng thuốc cụ thể phù hợp với tình trạng của cháu.
Trình Công T., 55 tuổi, Núi Thành, Quảng Nam, hoanban@...
Hỏi: Tháng trước tôi có khám bệnh ở Viện Sốt rét-KST-CT Quy Nhơn, nghe bác sĩ bảo chứng đau lưng như vậy không nên dùng quá nhiều thuốc giảm đau và chống viêm sẽ dễ dẫn đến loét tiêu hóa và các biến chứng khác như hại xương, tăng huyêt áp mà nên dùng đông tây y kết hợp với y học cổ truyền để chữa đau lưng mạn tính. Vậy, các bác sĩ có thể giới thiệu cho tôi một số phương pháp để điều trị như bấm huyệt và kéo dãn được không?

Trả lời: Liên quan đến câu hỏi của bạn, chúng tôi chỉ ra một số phương pháp điều trị theo y học cổ truyền với chứng đau lưng cấp và mạn tính như sau. Theo các thầy thuốc y học cổ truyền khi gặp các bệnh nhân có chứng đau lưng cấp tính và mạn tính, thường họ áp dụng một số thủ thuật sau:
Ðau lưng là một triệu chứng thường gặp do rất nhiều nguyên nhân gây ra, ở mọi lứa tuổi, mọi ngành nghề. Bệnh không chỉ gây đau đớn, khó khăn trong sinh hoạt làm giảm chất lượng cuộc sống của người bệnh mà còn ảnh hưởng đến năng suất lao động gây thiệt hại về kinh tế, ảnh hưởng đến gia đình và xã hội. Xoa bóp và kéo giãn cột sống là phương pháp rất hiệu quả để điều trị đau lưng do co cứng cơ, hẹp khe khớp, gai mỏ xương do thoái hoá dẫn đến tình trạng chèn ép các rễ dây thần kinh. Tác dụng giãn cơ, mở rộng các khe khớp giải phóng sự chèn ép lên các rễ và dây thần kinh từ đó làm giảm đau; tăng dần vận động của đoạn cột sống bị hạn chế và tăng cường tuần hoàn đến nuôi dưỡng tại vị trí đau. Đặc biệt, kỹ thuật kéo giãn cột sống không dùng máy rất phù hợp với tuyến y tế cơ sở trang thiết bị còn hạn chế, chưa có máy kéo giãn cột sống. Bệnh nhân được điều trị sớm, giảm chi phí, giảm tải cho bệnh viện tuyến trên.
- Xoa bóp huyệt và mát-xa
Bệnh nhân nằm sấp trên giường, bộc lộ áo vùng thắt lưng, chiếu tia hồng ngoại 10 phút. Sau đó, kỹ thuật viên thực hiện các động tác mát-xa vùng lưng: xát, xoa, day vùng thắt lưng 10 phút. Tiếp đến, kỹ thuật viên nắm bàn tay lại, đấm nhẹ dọc theo cột sống thắt lưng tới khớp xương hông người bệnh. Làm 3 - 5 lượt rồi dùng ngón cái day ấn các huyệt thận du, đại trường du, hoàn khiêu, thừa phù. Mỗi huyệt làm khoảng 1 phút.
- Vận động khớp háng và khớp gối
Bệnh nhân nằm ngửa trên giường, 2 tay và 2 chân duỗi thẳng, bệnh nhân thả lỏng thư giãn toàn thân; Kỹ thuật viên đứng cạnh bệnh nhân, một tay nắm cổ chân, một tay giữ đầu gối bệnh nhân và bắt đầu vận động; Gấp chân, ép bụng rồi duỗi ra (làm liên tục 10 lần mỗi một bên chân); Vận động xoay khớp háng theo chiều kim đồng hồ 5 vòng rồi tiếp tục xoay ngược lại 5 vòng (làm tuần tự từng chân); Động tác tiếp theo, 2 chân bệnh nhân cùng gấp lên bụng, kỹ thuật viên dùng 2 tay giữ 2 đầu gối vận động khớp háng: Vận động theo chiều lên xuống 10 lần, sang trái sang phải 10 lần rồi xoay tròn theo chiều kim đồng hồ 10 lần và xoay ngược chiều kim đồng hồ 10 lần. Thực hiện kỹ thuật kéo giãn cột sống không dùng máy

Động tác 1:
Bệnh nhân nằm ngửa, 2 chân co gấp sao cho 2 gót bàn chân sát vào mông. Kỹ thuật viên đứng trước bệnh nhân, dùng 2 tay giữ trước 2 đầu gối, dùng lực tỳ dần 2 đầu gối xuống, lưng bệnh nhân dần giãn đến khi tối đa thì giữ nguyên động tác 1 - 2 phút rồi trả lại tư thế ban đầu, tiếp tục làm lại động tác này từ 3 - 5 lần rồi chuyển sang động tác 2.
- Động tác 2:
Bệnh nhân nằm ngửa, 2 chân gấp sao cho mặt trước đùi gần áp sát với bụng. Kỹ thuật viên đứng trước bệnh nhân, dùng 2 tay giữ mặt dưới khớp gối, tỳ ép gối bệnh nhân về phía ngực. Lúc này lưng bệnh nhân sẽ dần được kéo giãn, đến khi căng tối đa thì giữ nguyên động tác trong 1 - 2 phút rồi dần trả lại tư thế ban đầu, tiếp tục làm lại động tác này từ 3 - 5 lần rồi để bệnh nhân nằm nghỉ thư giãn 2 - 3 phút và kết thúc.

Một số kỹ thuật y học cổ truyền chữa đau lưng cấp và mạn tính
Lưu ý: Khi kéo nếu tăng giảm lực quá nhanh có thể gây kích thích làm tăng co cơ, do đó cần tăng giảm lực từ từ, đặc biệt trong bệnh lý đau cấp. Kỹ thuật viên có thể điều chỉnh linh hoạt lực kéo, hướng kéo trong ngưỡng chịu đựng của bệnh nhân.
Vị trí huyệt:
Thận du: Dưới gai sống thắt lưng 2, đo ngang ra 1,5 tấc;
Ðại trường du: Dưới gai sống thắt lưng 4, đo ngang ra 1,5 tấc;
Hoàn khiêu: Nằm nghiêng co chân đau ở trên, chân dưới duỗi thẳng, huyệt ở vị trí 1/3 ngoài và 2/3 trong của đoạn nối điểm cao nhất của mấu chuyển lớn xương đùi và khe xương cùng;
Thừa phù: Ðiểm giữa nếp lằn chỉ mông.
Phân Ngọc H, 44 tuổi, Nguyễn Văn Cừ, TP. Quy Nhơn, 0913…
Hỏi: Không hiểu sao gần đây tôi hay bị đi tiểu lắc nhắc, tiểu liên tục, một lần tiểu từng ít một, lượng nước tiểu không nhiều, nước tiểu vàng, trong, không sốt, không đau khi đi tiểu. Xin các bác sĩ cho tôi biết đó có thể là bệnh gì? Làm thế nào cải thiện triệu chứng đi tiểu liên tục như thế này. Tôi hiện đang rất mất ngủ vì chứng này hành hạ. Cam ởn các bác sĩ!
Trả lời: Chúng tôi rất chia sẻ với nỗi lo lắng và băn khoăn của bạn, đây là triệu chứng chứ không phải là bệnh và có thể gặp trong rất nhiều bệnh lý khác nhau. Nếu bạn đi tiểu nhiều lần trong một ngày nhưng không phải vì bạn uống nhiều nước sẽ là vấn đề sức khỏe “đáng lo ngại”. Có nhiều nguyên nhân gây chứng đi tiểu nhiều lần như nhiễm khuẩn đường tiết niệu, tình trạng viêm nhiễm gây kích thích lên bàng quang và niệu đạo, dẫn đến chứng buồn tiểu, tiểu nhiều lần, kèm theo đó là các triệu chứng như tiểu buốt, tiểu rắt, tiểu ra máu.

Dưới đây là một số nguyên nhân dẫn đến đi tiểu nhiều lần:
-Do bệnh viêm bàng quang kẽ: Đây là bệnh không rõ nguyên nhân, có các triệu chứng nổi bật như đau bụng dưới hoặc hố chậu, tiểu cấp, tiểu nhiều lần;
-Do hội chứng bàng quang kích thích: Bàng quang co thắt không kiểm soát gây nên tình trạng tiểu gấp, tiểu nhiều lần, ngay cả khi bàng quang ít nước tiểu, kèm theo là tiểu không kiểm soát;
-Do bệnh ung thư bàng quang: khối u phát triển, xâm lấn, chèn ép bàng quang dẫn tới chảy máu, tiểu nhiều lần;
-Do sỏi và các dị vật đường tiết niệu: sự xuất hiện của sỏi hoặc một số dị vật cọ xát gây kích thích cổ bàng quang nên có hiện tượng tiểu nhiều lần, tiểu không hết kèm theo các triệu chứng như tiểu đau, nước tiểu ít, đau vùng thận và có thể có máu trong nước tiểu;
-Do suy tuyến thượng thận: gây ra tình trạng giảm tiết các hormon từ tuyến thượng thận với các triệu chứng: mệt mỏi, ăn mất ngon, sụt cân, buồn nôn, nôn, tiêu chảy, huyết áp thấp, hạ đường huyết và trầm cảm.
-Do bệnh lý tuyến tiền liệt như u xơ tuyến tiền liệt, tuyến tiền liệt tăng sinh gây chèn ép vào niệu đạo, kích thích bàng quang nên cả khi có ít nước tiểu vẫn muốn đi tiểu làm bệnh nhân phải đi tiểu nhiều lần trong ngày;
-Do viêm tuyến tiền liệt: thường gặp ở tuổi thanh và trung niên với các triệu chứng là tiểu nhiều lần, nước tiểu màu trắng, tiểu rắt, tiểu khó, nước tiểu chảy dạng tia nhỏ;
-Do hẹp niệu đạo: tình trạng hẹp niệu đạo có thể do u xơ tiền liệt tuyến lành tính, bệnh lây truyền qua đường tình dục, viêm niệu đạo mạn tính gây đi tiểu nhiều có kèm theo các triệu chứng như đi tiểu đau buốt, có máu trong nước tiểu, nước tiểu đục;
-Do một số bệnh nội tiết như: đái tháo đường gây tiểu nhiều, ngoài ra có thể kèm theo các biểu hiện như khát nước, khô da, sụt cân; đái tháo nhạt gây đi tiểu nhiều lần, thường đi kèm các triệu chứng đi tiểu số lượng nhiều (trên 2.500 ml mỗi ngày);
-Do tổn thương các dây thần kinh: như tai biến mạch não, chấn thương tủy sống ảnh hưởng đến dây thần kinh điều khiển hoạt động của bàng quang dẫn tới hiện tượng đi tiểu nhiều lần, đi tiểu gấp;
-Mệt mỏi, stress làm người bệnh trầm cảm, rối loạn giấc ngủ dẫn tới đi tiểu nhiều lần;
-Do sử dụng thuốc lợi tiểu trong điều trị tăng huyết áp hoặc điều trị thừa dịch có thể gây tiểu nhiều lần. Bệnh nhân sau xạ trị khi điều trị ung thư ở các cơ quan như tuyến tiền liệt, bàng quang hay ung thư cơ quan vùng hố chậu. Do u vùng ngoài bàng quang gây xâm lấn, chèn ép kích thích bàng quang gây tiểu nhiều lần.

Biểu hiện bệnh chủ yếu là bệnh nhân đi tiểu nhiều lần thường có các dấu hiệu: tăng cảm giác muốn đi tiểu, tiểu không kiểm soát được, có cảm giác đau khi đi tiểu, đi tiểu ra máu, nước tiểu màu hồng, có thể có cục máu đông trong nước tiểu, đau bụng dưới, bàng quang căng tức, đau vùng lưng hông. Trường hợp tiểu ra máu kèm những dấu hiệu sau đây là những biểu hiện bệnh nặng: kèm với đi tiểu nhiều là sự thay đổi màu sắc hoặc độ đục của nước tiểu; không thể nhịn tiểu được lâu; đi tiểu nhiều lần cả ngày lẫn đêm nhưng không liên quan đến việc uống ít hay nhiều nước, người mệt mỏi, sút cân…

Người bị chứng đi tiểu nhiều thường mắc sai lầm là hạn chế uống nước. Nếu bạn uống quá ít hoặc quá nhiều đều không tốt cho sức khỏe. Vì thế, bạn vẫn uống nước đầy đủ hàng ngày, đối với người lớn là từ 2-2,5 lít bao gồm nước uống và nước canh, nước rau. Để cải thiện chứng đi tiểu nhiều, bệnh nhân cần thực hiện các biện pháp sau đây:
-Nên hạn chế uống nước nhiều vào buổi tối để giảm việc đi tiểu về đêm;
-Tránh các loại đồ uống có cồn (rượu, bia) vì nó làm lợi tiểu, như vậy sẽ khiến bạn đi tiểu nhiều hơn;
-Hạn chế hoặc giảm việc uống nước chè và cà phê vì chất caffein có tác dụng như một chất lợi tiểu. Mặt khác, tránh dùng caffein sẽ giúp bạn cải thiện vấn đề tiểu nhiều lần không kiểm soát;
-Hạn chế các thực phẩm có tính axit như nước vắt cam, chanh, bưởi, cà chua, khế, sấu, dưa muối chua vì chúng có thể gây kích ứng bàng quang làm cho bạn phải đi tiểu nhiều;
-Tránh dùng các loại nước uống có gas vì những đồ uống có gas cũng rất dễ kích thích bàng quang gây đi tiểu nhiều;
-Các loại thực phẩm, gia vị nóng và ngọt bạn cũng không nên dùng nhiều vì chúng gây lợi tiểu. Mỗi khi phải dùng thuốc điều trị một bệnh nào đó, bạn cần nói cho bác sĩ biết để bác sĩ tránh cho bạn dùng các thuốc gây lợi tiểu. Điều quan trọng nhất là bạn cần khám để phát hiện và điều trị sớm các bệnh là nguyên nhân gây đi tiểu nhiều nói trên;
-Cuối cùng, nếu có viêm nhiễm đường tiết niệu thì nên đi khám và dùng thuốc của bác sĩ chuyên khoa điều trị.
Trên đây là một số nguyên nhân có thể khiến cho bạn có triệu chứng đi tiểu nhiều lần trong ngày và bạn nên tìm đến bác sĩ chuyên khoa thận tiết niệu để khám và điều trị tốt nhất nhé.
Lê Thành Tin, 71 tuổi, TP. Tam Kỳ, tỉnh Quảng Nam
Hỏi: Xin các bác sĩ cho tôi một lời khuyên với căn bệnh của tôi là bị hội chứng chuyển hóa theo như chẩn đoán lâu nay của Bệnh viện trung ương Huề và Đà Nẵng. Các bác có cho tôi thuốc hạ mỡ trong máu trong nhiều tháng và đã dùng hơn 3 năm rồi, nhưng dường như chỉ số không thuyên giảm xuống, các bác sĩ liên tục đổi thuốc cho tôi. Tôi muốn hỏi nguyên nhân nào làm hàm lượng cholesterol máu cao của tôi như trên? Nguyên nhân nào làm cho mỡ máu tăng cao trong nhiều năm không hạ và nếu tôi dùng thuốc hạ mỡ máu như thế sẽ bị gì không? Tác dụng ngoại ý của thuốc điều trị hạ mỡ máu? Xin cảm ơn các bác đã quan tâm!
Trả lời: Cảm ơn câu hỏi của bác và nhờ tư vấn, nhưng rất tiếc không cho chúng tôi biết hiện giờ lượng mỡ trong máu là bao nhiêu (bao gồm chỉ số choleterol toàn phần, triglyceride, HDL-cholesterol, LDL-cholesterol và lipid máu toàn phần), các chỉ số xét nghiệm khác, cũng như loại thuốc hạ mỡ nào mà bác đang sử dụng để chúng tôi có cơ sở phúc đáp cho đúng.
Có rất nhiều nguyên nhân dẫn đến nồng độ cholesterol trong máu cao, ví dụ như tiền sử từ gia đình hoặc đồ ăn, thức uống. Dưới đây là một số nguyên nhân chính:
-Bữa ăn hàng ngày: Ăn quá nhiều chất béo bão hòa là một trong những nguyên nhân khiến nồng độ cholesterol trong máu cao. Những chất béo không lành mạnh này thường thấy trong những thực phẩm có nguồn gốc từ động vật như: thịt bò, thịt lợn, thịt bê, sữa, trứng, bơ và pho mát. Những đồ ăn đóng gói có chứa dầu dừa, dầu cọ hoặc bơ ca cao cũng chứa rất nhiều chất béo bão hòa. Chất béo bão hòa cũng có trong phần lớn bơ thực vật, rau ngắn ngày và hầu hết bánh cookie, bánh quy, khoai tây chiên, và đồ ăn nhẹ khác;
-Cân nặng: Một vòng eo quá khổ không chỉ ảnh hưởng tới vẻ đẹp thẩm mỹ của bạn, tình trạng thừa cân có thể dẫn tới gia tăng chất béo trung tính và giảm nồng độ HDL-cholesterol có lợi;
-Mức độ tham gia các hoạt động: Tình trạng lười tham gia các hoạt động thể chất có thể gia tăng nồng độ LDL-cholesterol không có lợi, giảm nồng độ HDL-cholesterol có lợi;
-Tuổi tác và giới tính: Sau 20 tuổi, nồng độ cholesterol tự nhiên trong máu bắt đầu có xu hướng gia tăng. Ở nam giới, nồng độ cholesterol nhìn chung chững lại sau độ tuổi 50. Đối với nữ giới, nồng độ cholesterol ở mức thấp cho đến độ tuổi mãn kinh, lúc này, nồng độ cholesterol sẽ gia tăng tới mức độ như ở nam giới;
-Sức khỏe tổng thể: Một số căn bệnh như tiểu đường hoặc suy giáp cũng có thể là nguyên nhân khiến nồng độ cholesterol tăng cao. Vì vậy, bạn hãy thường xuyên đi khám và nhận được những tư vấn của bác sĩ về các yếu tố nguy cơ dẫn tới bệnh tim;
-Tiền sử từ gia đình: Nếu như các thành viên trong gia đình bạn có nồng độ cholesterol cao, nguy cơ bạn có thể bị di truyền là rất cao;
-Hút thuốc: Hút thuốc lá sẽ khiến nồng độ cholesterol có lợi giảm và nó có thể giết chết bạn bất cứ lúc nào. Vì vậy, bạn hãy từ bỏ thuốc lá ngay từ bây giờ.
Thuốc hạ cholesterol nên dùng thận trọng vì có một số nhược điểm. Ngày nay, nhóm từ “mỡ máu”, “tăng cholesterol máu”, “tăng triglyceride máu” không còn là xa lạ. Tên gọi đúng là “rối loạn lipid máu” để chỉ đến 4 thành phần lipid máu bị rối loạn: cholesterol toàn phần, LDL-cholesterol, HDL-cholesterol và triglyceride. Có 5 nhóm thuốc chủ yếu để điều trị rối loạn lipid máu, trong đó có nhóm statin rất thông dụng với người bệnh.

Bài viết này chúng tôi đề cập đến nhược điểm của nhóm thuốc trị rối loạn mỡ máu statin. Nhóm statin có tác dụng ức chế men HMG-CoA reductase làm giảm tổng hợp LDL-cholesterol từ 25 - 45% tùy theo từng thuốc và liều lượng. Tác dụng hạ triglyceride kém hơn nhóm fibrates nên được lựa chọn ưu tiên trong những trường hợp tăng cholesterol máu. Có các thuốc trong nhóm statin như sau: atorvastatin, fluvastatin, lovastatin, pravastatin, rosuvastatin và simvastatin.
Trên thực tế lâm sàng nhiều bệnh nhân sử dụng một thời gian cho thấy các thuốc hạ cholesterol có một số tác dụng ngoại ý, thậm chí rất quan trọng. Qua thời gian sử dụng trên lâm sàng, người ta thấy nhóm statin có những nhược điểm cần lưu ý đặc biệt khi sử dụng.

Gây tiêu cơ vân: Thuốc gây tổn thương và tiêu cơ vân, làm giải phóng các chất bên trong tế bào, có cả myoglobin, làm tắc ống thận khiến suy thận cấp, gây tử vong. Chú ý đến yếu tố thuận lợi làm xuất hiện, tăng nặng là người vốn có bệnh viêm cơ lan tỏa, hạ huyết áp, nhiễm khuẩn nặng, có các tổn thương lớn, có bất thường về chuyển hóa, đặc biệt khi phối hợp với thuốc hạ lipid máu nhóm fibrate (tần suất và mức độ tiêu cơ vân tăng). Vì vậy, không nên dùng hoặc rất thận trọng khi dùng với thuốc nhóm fibrate.
Mức độ gây tiêu cơ vân khác nhau ở mỗi statin: rất nặng với cerivastatin (đã bị rút khỏi thị trường), trung bình với rosuvastatin (Hội Tiêu dùng Mỹ khiếu nại nhưng FDA chưa có ý kiến), hiếm với simvastatin. Nói chung, các statin ở liều điều trị ít khi gây tai biến này nên vẫn dùng theo liều khung quy ước. Cần phải tạm ngưng hoặc ngưng hẳn thuốc khi có triệu chứng đau cơ nặng, tiêu cơ vân (có myoglobin trong nước tiểu, dù có hay chưa có suy thận cấp) hoặc có yếu tố nguy cơ dẫn đến tiêu cơ vân như chấn thương, hạ huyết áp, nhiễm khuẩn cấp, rối loạn chuyển hóa nghiêm trọng, rối loạn nội tiết, rối loạn điện giải như trong tiêu chảy cấp hay động kinh chưa khống chế được.
Rosuvastatin cũng được nghiên cứu lại. Nếu dùng cùng liều thì nồng độ rosuvastatin trong máu ở người da đen, người châu Á cao gấp 2 lần người da trắng châu Mỹ. FDA chưa có chứng cứ để xem rosuvastatin độc hơn các statin khác, song các cơ quan quản lý thuốc tại nhiều nước cũng như hãng sản xuất đều đề cập đến các tác dụng phụ, điều chỉnh liều dùng nhằm đảm bảo an toàn.
Tăng đột quỵ: Theo nghiên cứu SEARCH, dùng atorvastatin 80mg/ngày cho người bệnh không bị động mạch vành tim nhưng có đột quỵ hay cơn thiếu máu thoáng qua 6 tháng trước đó có liên quan tới việc tăng đột quỵ xuất huyết so với nhóm chứng không dùng thuốc (2,3% so với 1,4%).
Tăng men gan:Thuốc không tích lũy ở gan, không gây độc cho gan. Tuy nhiên, trên thực tế có một số bệnh nhân bị tăng men gan. Sau khi ngưng dùng thuốc, men gan sẽ trở về bình thường nhưng cũng có trường hợp men gan không trở về bình thường. Vì vậy cần kiểm tra men gan trước khi điều trị, trong vòng 12 tuần sau khi điều trị hay sau khi tăng liều, sau đó kiểm tra định kỳ mỗi 4 tuần/lần trong suốt thời gian dùng thuốc. Nếu thấy men gan tăng bất thường, cần theo dõi chặt chẽ. Cần ngừng hẳn thuốc nếu thấy men gan tăng gấp 3 lần bình thường. Thận trọng ở người nghiện rượu, viêm gan, tắc mật.
Tổn thương gân gót:Một số hồi cứu mới đây của Pháp trên 4.597 người dùng statin cho thấy có khoảng 1,32% bị tổn thương gân gót, nhưng chỉ xảy ra khi dùng lâu dài nên không vì điều này mà tự ý ngưng thuốc.

Một số tác dụng phụ khác:Đã có khuyến cáo toàn bộ nhóm thuốc statin có nguy cơ gây mất trí nhớ, nhầm lẫn, tăng đường huyết, đái tháo đường typ 2. FDA yêu cầu các hãng sản xuất statin phải ghi cảnh báo này lên nhãn và ghi khuyến cáo nếu người bệnh cảm thấy mệt mỏi, ăn không ngon, tiểu vàng, đau bụng, vàng da, thì phải thông báo cho bác sĩ điều trị biết ngay. Ngoài ra, FDA cũng khuyến cáo người đang dùng lovastatin không nên dùng thêm các loại thuốc trị nhiễm khuẩn, nhiễm nấm vì có thể tổn thương cơ vân.

Một số lời khuyên của thầy thuốc cho biết khi dùng statin đơn, chỉ được dùng trong khung liều quy định. Khi dùng statin phối hợp với các thuốc ức chế cytochrom P-450 hay fibrate phải dùng ở liều thấp hơn nhiều. Cần thăm dò liều để dùng ở liều tối thiểu có hiệu lực và an toàn. Các thuốc điều trị rối loạn lipid máu thường được cơ thể dung nạp tốt, nhưng cũng có những tác dụng phụ không mong muốn như trên và còn phụ thuộc vào cơ địa mẫn cảm của từng người bệnh. Do đó trong thời gian dùng thuốc, bệnh nhân cần tự theo dõi các phản ứng phụ để thông báo cho bác sĩ điều trị biết. Mặt khác cũng cần thông báo cho thầy thuốc biết các loại bệnh kết hợp nếu có và thuốc đang dùng để tránh hiện tượng tương tác thuốc.
Để đảm bảo điều trị có kết quả tốt, cần dùng thuốc dài ngày, thường xuyên liên tục và xét nghiệm kiểm tra lipid máu định kỳ để đánh giá hiệu quả của thuốc điều trị. Bác sĩ thường chỉ định xét nghiệm nồng độ cholesterol và các thành phần liên quan khác sau 4 - 6 tháng dùng thuốc để nếu cần thì điều chỉnh hàm lượng hoặc thay đổi thuốc nhằm mục đích đạt hiệu quả điều trị tối ưu.
Nguyễn Trung Thành, 56 tuổi, Buôn Ma Thuột, Đăk Lăk, 091200…
Hỏi: Gia đình chúng tôi rất cảm ơn nếu các bác sĩ giúp cho câu hỏi này, chúng tôi có cháu mới 26 tuổi nhưng mắc ung thư gan và xơ gan, đã điều trị khắp nhưng không có giảm. Chúng tôi rất đau lòng và có nghe nói ở nước ngoài có ứng dụng tế bào gốc trong điều trị xơ gan/ ung thư gan, thực hư như thế nào, kính xin bác sĩ cho lời khuyên?
Trả lời: Chúng tôi xin chia sẻ với gia đình, thật sự chúng tôi chưa có kinh nghiệm về sử dụng tế bào gốc điều trị ở đây, tuy nhiên với các thông tin có được chúng tôi xin chia sẻ với gia đình như sau: Ở giai đoạn xơ gan mất bù, bệnh gan được cho là không thể hồi phục và phương pháp tối ưu nhất là ghép gan. Tuy nhiên, sự thiếu hụt gan lành để ghép ngày càng tăng là một trong những nguyên nhân chính giới hạn ưu thế của phương pháp này, đòi hỏi những chiến lược điều trị mới, trong đó tế bào gốc là một phương pháp khả quan.
Các loại tế bào gốc thường được sử dụng
- Tế bào gốc tuỷ xương tự thân: Nghiên cứu sử dụng ghép tế bào gốc tự thân từ tuỷ xương (autologous bone marrow cell infusion- ABMi) được ứng dụng từ năm 2003. Khoảng 400ml tế bào tuỷ xương tự thân được thu thập sử dụng gây mê toàn thân, sau đó cô đặc và rửa trôi để thu được tế bào tuỷ xương, tinh lọc lấy tế bào đơn nhân trong hỗn dịch tế bào, sau đó truyền nhỏ giọt vào tĩnh mạch ngoại vi trên cùng một bệnh nhân. Kết quả cho thấy có sự cải thiện rất đáng kể về nồng độ albumin huyết thanh, protein toàn phần và điểm Child-Pugh sau 6 tháng điều trị.

Một nghiên cứu khác sử dụng tế bào gốc tuỷ xương bởi Lyra (Brazil) và cộng sự cho thấy việc sử dụng liệu pháp ABMi qua đường động mạch gan có tác dụng hơn so với qua đường tĩnh mạch ngoại vi ở bệnh nhân chờ ghép gan.
- Tế bào tuỷ xương tự thân được nuôi cấy
Tế bào tuỷ xương có 2 loại tế bào gốc chính: tế bào gốc tạo máu và tế bào gốc trung mô. Các nghiên cứu cơ bản trước đây đã chứng minh hiệu quả của những tế bào này trong điều trị bệnh gan tiến triển ở động vật thực nghiệm. Sau khi tế bào gốc được tách, nuôi cấy và cấy ghép trở lại vật chủ, chúng có tác dụng tái sinh tế bào gan, cải thiện chức năng gan. Nếu việc nuôi cấy và áp dụng trong điều trị thành công thì việc sử dụng các loại tế bào trên sẽ được áp dụng rộng mở hơn và không cần thiết phải lấy dịch tuỷ xương, không cần phải thực hiện dưới gây mê nữa.

- Vai trò tế bào CD34+ trong điều trị xơ gan
Các năm sau, nhiều nghiên cứu tiếp tục thực hiện nhằm chứng minh vai trò và tiềm năng ứng dụng tế bào gốc tủy xương trong điều trị xơ gan hoặc bệnh gan mạn tính. Năm 2011, Li Nan (Trung Quốc) và cộng sự báo cáo kết quả lâm sàng nghiên cứu ghép tế bào gốc tự thân CD34+ trong điều trị các bệnh nhân suy gan do viêm gan. 27 bệnh nhân Child-C tham gia vào nghiên cứu trong đó có 22 bệnh nhân nhiễm HBV và 5 bệnh nhân nhiễm HCV. Kết quả nghiên cứu cho thấy tất cả các bệnh nhân cải thiện chức năng gan sau một tuần điều trị. Sự hồi phục có ý nghĩa nhất đạt được sau 3 tháng ghép tế bào gốc khi bilirubin toàn phần và nồng độ albumin ở mức cao nhất. Nhìn chung, kết quả lâm sàng được cải thiện ở hầu hết các bệnh nhân, hết vàng da và mức độ cổ chướng giảm.
Gần đây nhất, nhóm nghiên cứu tại Nhật Bản báo cáo kết quả điều trị 10 bệnh nhân xơ gan mất bù bằng tế bào gốc CD34+. Sau 24 tuần điều trị, nồng độ albumin huyết thanh tăng lên có ý nghĩa ở nhóm được điều trị bằng tế bào gốc CD34+ với liều trung bình và liều cao. Nhóm nghiên cứu kết luận phác đồ điều trị bằng các tế bào CD34+ khả thi, an toàn và hiệu quả trong việc làm chậm lại sự suy giảm chức năng hồi phục của gan.

Sử dụng tế bào gốc trong điều trị bệnh đã được áp dụng khá sớm ở nước ta từ năm 1995 và chủ yếu ứng dụng trong điều trị các bệnh của máu và cơ quan tạo máu (ghép tế bào gốc tạo máu ngoại vi tự thân), một số bệnh ác tính (tế bào gốc ngoại vi tự thân điều trị bệnh non-hodgkin), tế bào gốc CD34+ được tách từ xương chậu trong điều trị thoái hóa khớp và đạt được những kết quả khả quan. Như vậy, các nghiên cứu trên thế giới và Việt Nam đều cho thấy việc sử dụng tế bào gốc trong điều trị bệnh nói chung và bệnh gan mạn tính nói riêng có rất nhiều hứa hẹn. Tuy nhiên, loại tế bào sử dụng, đường sử dụng, quy trình tinh lọc và bảo quản/ nuôi cấy tế bào gốc trước khi ghép để đạt được hiệu quả cao nhất vẫn còn là một chặng đường dài, đòi hỏi sự nỗ lực không ngừng của các nhà khoa học trong và ngoài nước.
Gia đình có thể liên hệ học viện quân y và Viện 108 để tư vấn thêm về liệu pháp điều trị này, chúc gia đình gặp nhiều may mắn.