Trần Thúy V. 27 tuổi, Q5. TP. Hồ Chí Minh
Hỏi: Kính thưa các bác sỹ ở Viện Sốt rét quy Nhơn, em thường xuyên bị lở loét trong miệng, nhất là trong phần môi dưới, cứ một tháng là bị 1 lần, hết chỗ này lại lan ra chỗ khác, viêm đi viêm lại và mỗi lần ăn mặn là đau không thể chịu nổi, mà không ăn thì gầy người lắm. Em đã đi khám rất nhiều nơi ở TP. Hồ Chí Minh, điều trị cả đông y và tây y và cả dân gian nhưng không khỏi và chẩn đoán cuối cùng của hầu hết các bác sĩ là viêm miệng môi do virus Herpes simplex, Em không biết làm thế nào để điều trị dứt điểm vì nghe nói không có thuốc điều trị đặc hiệu cho loại virus này. Sức khỏe em đã đi khám tổng quát nhiều nơi nhưng đều bình thường. Kính nhờ các bác sĩ cho em biết tại sao em bị mà không chữa được, em lo lắng quá. Mong các bác chỉ giúp, em xin cảm ơn rất nhiều!
Trả lời: Đã vừa mới đọc xong câu hỏi và nhờ tư vấn của em là thấy sự “đau khổ” và lo lắng biết dường nào rồi. Liên quan đến phần này, chúng tôi xin chia sẻ với bạn thông qua các kiến thức chuyên môn từ các đồng nghiệp như sau: Nhiễm virus Herpes ở miệng (aphthous stomatitis) với cơ chế bệnh đến nay chưa hiểu biết hết, nhưng có liên quan đến đáp ứng mễn dịch qua trung gian tế bào T và khởi phát do nhiều yếu tố khác nhau. Các cá nhân khác nhau sẽ có sự khởi phát khác nhau, điều này bao gồm tình trạng thiếu hụt dinh dưỡng, chấn thương tại chỗ, sang chấn stress, ảnh hưởng hormon, dị ứng, ưu thế di truyền hay các yếu tố khác. Là bệnh không phổ biến, có hai dạng nhiễm virus Herpes có ảnh hưởng đến khoang miệng. Nhiễm Herpes nguyên phát còn gọi là viêm miệng, lợi do Herpes cấp tính, xảy ra sau nhiễm virus Herpes, biểu hiện toàn thân nhiễm trùng, hầu hết ở trẻ em, bởi vì nhiễm nguyên phát xảy ra ở trước thời kỳ trưởng thành.
Dạng phổ biến là nhiễm virus Herpes ở môi, hay còn gọi là đau do lạnh hoặc sốt mụn nước (vì lâm sàng bệnh nhân hay có dấu nhiễm trùng đi kèm), điển hình xảy ra ở môi, màu đỏ sậm và không thuộc phổ của loét miệng. Dạng ít gặp là dạng nhiễm Herpes miệng, nhiều khi nhiễm Herpes miệng nhưng không triệu chứng và không nhận thức được có nhiễm bệnh. Về lâm sàng, chẩn đoán phân biệt chính của RAS là nhiễm virus Herpes simplex. Đặc điểm chính để phân biệt là vị trí tổn thương:
-RAS thường xảy ra trên vùng niêm mạc lỏng lẻo, không bị sừng hóa như: niêm mạc má, môi, sàn miệng,và mặt dưới lưỡi;
-Loét do Herpes xảy ra ở niêm mạc bị sừng hóa, có liên quan mật thiết với quá trình nhai: khẩu cái cứng, lợi, mặt lưng lưỡi, tùy theo vùng chấn thương;
-Nhìn chung, RAS phổ biến hơn nhiễm Herpes miệng tái phát, tổn thương của RAS không có giai đoạn mụn nước và thừơng kích thước lớn hơn loét do Herpes;
-Nhiễm Herpes được xác định bằng tế bào học và cấy virus. Tế bào học Tzanck trên nền vết loét thấy biểu hiện của nhiễm virus điển hình (nền như thủy tinh, nhân chromatin và tế bào khổng lồ đa nhân, cấy virus là tiêu chuẩn vàng. Gần đây kỹ thuật khuếch đại chuỗi PCR có thể biểu hiện mức DNA trong mô, nhạy cảm hơn và nhanh hơn cấy virus. Sinh thiết khi các phương pháp trên thất bại, nhất là khi loét không điển hình, ở người suy giảm miễn dịch, nhiễm Herpes có thể ở bất kỳ vị trí nào nên khó phân biệt với RAS);
Giảm bạch cầu trung tính
-Nguyên nhân hiếm gặp của loét miệng tái phát, tổn thương gần giống nhiễm Herpes hoặc RAS;
-Thường xảy ra ở lứa tuổi niên thiếu, loét tái phát có tính chu kỳ có thể dự đoán được;
-Bệnh nhân có triệu chứng toàn thân: sốt, mệt mỏi, nổi hạch,…giảm bạch cầu đa nhân được nghĩ kết quả của sự bắt giữ bạch cầu đa nhân, gây ra loét miệng chu kỳ.
Bệnh hệ thống
-Khoảng 15% loét dạng aphthe phức tạp là triệu chứng của bệnh hệ thống như: hội chứng Behcet (tam chứng lâm sang: viêm màng bồ đào, RAS và loét sinh dục), viêm ruột, bệnh ruột mẫn cảm với gluten, hay u hạt Wegener.
-Nhiễm HIV có thể gây loét miệng đa dạng, loét rất to, đau, hoặc loét miệng khác thường, khó chữa với điều trị thông thường, bệnh thường nặng và kéo dài hơn.
Thiếu dinh dưỡng
Khoảng 15 - 25 % bệnh nhân bị aphthe phức tạp có thiếu máu gồm: thiếu máu thiếu sắt, folate, kẽm, vitamin B12. Một số bệnh lý khác toàn thân có liên quan đến viêm miệng herpes như bệnh Behçet', bệnh Celiac, bệnh rối loạn bạch cầu đa nhân trung tính chu kỳ, HIV/AIDS, viêm ruột kích thích, hội chứng MAGIC, hội chứng PFAPA, bệnh Reiter, hội chứng Sweet,…Một số nguyên nhân và cơ địa có thể dẫn đến nhiễm trùng virus herpes và gây viêm loét. Bạn có thể biết và chữa hoặc khắc phục các bệnh lý nền, nhằm hạn chế số lần nhiễm virus này.
Lê Hữu A. 46 tuổi, TP. Quy Nhơn, 0913,….
Hỏi: Vừa qua tôi có đứa em gái đang ở Nhật làm việc cho một công ty sản xuất điện tử, nhập viện vì bệnh ký sinh trùng biển Anisakis gây nên, tôi và gia đình không biết đây là bệnh như thế nào và rất lo lắng, liệu ký sinh trùng này có ảnh hưởng sức khỏe như thế nào. Xin quý bác sĩ cho biết, tôi xin mang ơn rất nhiều!
Trả lời: Cảm ơn câu hỏi của anh, chúng tôi xin phúc đáp về loài ký sinh trùng thường ký sinh trên các thực phẩm và hải sản đó là Anisakis, về mặt phân loại khoa học thuộc giới Animalia, ngành Nematoda, lớp Secernentea, bộ Ascaridida, họ Anisakidae, giống Anisakis và gồm có nhiều loài khác nhau như Anisakis pegreffii, A. physeteris, A. schupakovi, A. simplex, A. typica, A. ziphidarum. Anisakis simplex và một số giun liên quan, Pseudoterranova (Phocanema, Terranova) giun trong hải cẩu, Contracaecum spp, Hysterothylacium (Thynnascaris) spp. Là các giun tròn Anisakid tìm thấy cũng có nhiễm trên người do tiêu hóa các thực phẩm biển còn sống hoặc chưa nấu chín. Ngày nay, chỉ có A. simplex và P. decipiens là được báo cáo các ca bệnh nhiễm trên người ở vùng Bắc Mỹ.
Bệnh Anisakis là một bệnh do giống giun tròn có chu kỳ sinh học liên quan đến động vật có vú trên biển và cá. Nhiều từ đồng nghĩa hoặc thuật ngữ thường gọi là bệnh Anisakiases, Anisakiasis, Anisakiosis, Anisakis, nhiễm trùng Anisakis, bệnh giun do ăn cá trích, nhiễm ấu trùng Anisakis. Chúng nhiễm vào người và gây bệnh gọi là Anisakiasis và cá đã nhiễm loài Anisakis spp. có thể sinh ra một phản ứng sốc phản vệ ở người mà đã có tiến sử nhạy cảm với Immunoglobulin E (IgE). Anisakis giai đoạn ấu trùng là các ký sinh trùng phổ biến của cá biển hoặc con cá đi ngược dòng sống để đẻ (anadromous fish) và cũng có thể tìm thấy trong các con mực ống hoặc mực nang. Ngược lại, chúng không có mặt trong các cá sống trong nước nước có độ mặn thấp, do nhu cầu sinh lý của các loài Euphausiids, cần để hoàn chỉnh chu kỳ của chúng. Anisakids cũng không phổ biến ở các vùng có các động vật biển có vú hay nói đúng hơn là hiếm gặp, như vùng biển bắc ở phía nam. Một số ký sinh trùng tên tương tự Cod hoặc Seal Worm Pseudoterranova (Phocanema, Terranova) decipiens; Contracaecum spp.; Hysterothylacium (Thynnascaris) spp.
Bệnh Anisakiasis nói chung được đề cập khi liên quan đến các bệnh cấp ở người được nghi ngờ. Một số tác giả theo ý tưởng bảo thủ có đưa ra tên bệnh với một tên khác để ám chỉ đến bệnh, nhưng phần lớn được xem tên bệnh xuất phát từ gia đình. Phổ đa dạng lâm sàng với nhiều triệu chứng lâm sàng không lệ thuộc vào loài nhiễm của ký sinh trùng Anisakid qua một số ca được báo cáo đến nay.
Về bản chất bệnh, tại Bắc Mỹ, bệnh Anisakiasis thường được chẩn đoán khi người nhân bị nhiễm cảm thấy ngứa như kim châm hoặc cảm giác ngứa ngứa buồn buồn trong họng và ho hoặc có thể lấy giun ra bằng tay bình thường khi khạc ra. Trong các trường hợp nặng hơn, sẽ có xuất hiện đau bụng cấp giống như một cơn đau ruột thừa cấp đi kèm cảm giác buồn nôn. Các triệu chứng xảy ra từ một giờ đến vài tuần sau khi nhiễm phải mầm bệnh trong rau hoặc đồ hải sản nấu chưa chín. Một giun tròn có thể phục hồi sự sống trên bệnh nhân, với phần cuối cùng phía truớc của chúng, các giun tròn dạng ấu trùng này của giun từ trong cá hoặc các động vật biển có vỏ bao như sò, vẹm, tôm, cua, …thường chúng sẽ đào hầm trong đường tiêu hóa đến các lớp cơ niêm (đôi khi chúng cũng đi xuyên qua thành ruột hoàn hảo và chúng ta có thể tìm thấy chúng trong các khoang cơ thể. Chúng sinh ra các chất có thể hấp dẫn các bạch cầu ái toan đi đến và các tế bào máu của vật chủ khác đến vùng nhiễm này.
Các tế bào thâm nhiễm vào vật chủ dạng u hạt trong các mô được bao quanh khi nhiễm giun. Trong thành của các đường tiêu hóa, giun có thể tách ra hoặc tái dính trở lại với một vùng khác nào đó trong ruột. Anisakids hiếm khi trưởng thành hoàn toàn trong người và thường bị loại khỏi cơ thể một cách tự phát khỏi đường tiêu hóa trong vòng 3 tuần sau khi nhiễm. Các con giun chết trong các mô ngay cả sau khi bị loại khỏi các tế bào thực bào của vật chủ.
Số ca được chẩn đoán và phát hiện hằng năm chỉ khoảng 10 ca mỗi năm ở Mỹ, song số ca nghi ngờ vẫn còn là chưa phát hiện hết. Bệnh lây truyền qua con đường ăn thịt sống, nấu không chín hoặc để đông lạnh không đủ để giết chết giun trong cá hoặc trong các thực phẩm biển có vỏ như sò, vẹm, tôm, cua,…và tỷ lệ này hiện đang gia tăng vì tăng số dân ăn thức ăn dưới dạng sushi và sashimi rất nhiều. Nhóm đối tượng chính gồm có những khách hàng mua các thực phẩm biển còn sống hoặc chưa được xử lý chín. Một số vụ dịch đã được tham khảo qua y văn cho biết bệnh này đầu tiên được biết trên một số ca riêng lẻ và rải rác. Nhật Bản là có số ca lớn nhất được báo cáo vì số lượng cá sống được tiêu thụ ở đây quá lớn. Một bức thư gần đây từ biên tập tại chí y học nổi tiếng New England Journal of Medicine trình bày cho biết khoảng chừng 50 trường hợp bệnh Anisakiasis đã được báo cáo tại mỹ gần đây. 3 ca tại vịnh San Francisco liên quan đến tiêu thụ và ăn các món ăn sushi hoặc cá chưa nấu chín. Thông điệp thư cũng chỉ ra bệnh Anasakiasis dễ bị chẩn đoán nhầm với viêm ruột thừa cấp, bệnh Crohn, loét dạ dày hoặc ung thư dạ dày ruột.
Hiện tại bộ gen của ký sinh trùng Anisakis sp. sẵn có từ cơ ở dữ liệu trong ngân hàng gen với mục GenBank Taxonomy database, chứa các tên của tất cả vi sinh vật được trình bày trong cây phả hệ di truyền và có ít nhất đã giải trình tự của chúng. Các hoạt động của FDA cũng khuyên tất cả các cá sống và thức ăn biển có vỏ như tôm, cua, sò, vẹm (hoặc ăn dạng nửa sống, nửa chín thì nên để nhiệt độ đông -35°C hoặc dưới trong 15 giờ hoặc để trữ lạnh đến - 20°C dưới 7 ngày là an toàn.
Chu kỳ sinh học của Anikasis
Anisakis spp. có một chu kỳ sinh học và phát triển khá phức tạp qua rất nhiều vật chủ để hoàn thành chu kỳ. Trứng đẻ ra trong nước biển và ấu trùng được ăn vào bởi các loài nhuyễn thể, thường là Euphausids. Các loìa nhuyễn thể bị nhiễm ấu trùng tiếp đó bị ăn bởi một loài cá hoặc mực ống và giun tròn đào hầm đi vào thành ruột và đóng kén trong một lớp áo bảo vệ, thường bên trên và ngoài của các cơ quan sống, nhưng đôi khi trong cơ và bên dưới da. Chu kỳ được hoàn thành khi một con cá bị nhiễm bởi một loài động vật có vú ở biển, như là cá voi, hải cẩu, cá heo. Giun tròn đóng kén trong ruột non, ăn chất dinh dưỡng và phát triển, bắt cặp với nhau và đẻ ra trứng vào trong nước biển trong phân của vật chủ. Khi ruột của một động vật có vú có chức năng giống như người, thì khi đó Anisakis spp. có thể nhiễm vào người do ăn phải các con cá nấu chưa chín hoặc sống khi chúng đã bị nhiễm.
Tính đa dạng trong giống đã được biết đến ngày càng tăng hơn 20 năm qua, với các sựu kiện về tiến bộ trong lĩnh vực di truyền để xác định loìa ngày một tiến bộ. Người ta đã khám phá ra rằng mỗi loài vật chủ cuối cùng là nhà đối với riêng nó về mặt sinh học và về cả mặt di truyền trong việc xác định các loài đồng huyết thống (sibling species) của Anisakis spp., điều này làm được khi phân lập chúng. Các thử nghiệm này cho phép một tỷ lệ các loài đồng huyết thống trong một cá được sử dụng như một chỉ điểm xác định quần thể của cá.
Về mặt hình thái học
Anisakids chia sẻ một số đặc điểm chung của tất cả các giun tròn; thể vermiform có hình tròn khi cắt ra và thiếu sựu phân mảnh hoặc phân đoạn. Khoang cơ thể là bị giảm và hẹp khoang tựa như một túi giả (pseudocoel). Miệng nằm ở phía trước và bao quanh bởi các phần lồi hoặc móc nổi (projections) dùng để lấy thức ăn và chịu trách nhiệm cảm giác, với phần hậu môn nằm thẳng góc phía sau. Lớp biểu mô có vảy tiết ra một loại cutile có lớp để bảo vệ ocư thể khỏi dịch tiêu hóa.
Vì với tất cả ký sinh trùng có một chu kỳ phức tạp liên quan đến nhiều vật chủ, chi tiết của hình thái học khác nhau tùy thuộc vào vật chủ và chu kỳ xảy ra bên trong vật chủ đó. Trong giai đoạn nhiễm vào trong những con cá, Anisakis được tìm thấy trong một vật thể hình nón. Chúng có chiều dài 2cm khi chúng không cuộn thành hình nón. Khi ở trong vật chủ cuối cùng, Anisakids lại dài hơn, dày hơn và cứng chắc hơn, để chống chọi với nguy hiểm môi trường của ruột động vật có vú.
Các biến chứng và tác động trên cơ thể người
Anisakids gây nên nguy cơ bệnh cho sức khỏe con người, khi thành bệnh gọi là bệnh do Anisakids (Anisakiasis) và điều đó gây nguy cơ cho người theo hai con đường: thông qua nhiễm giun từ cá không được xử lý thích hợp hay còn sống và thông qua con đường phản ứng dị ứng với các chất hóa học tiết ra bởi các phần thịt của cá bị nhiễm giun.
Nhóm tác giả gồm Sung-Jin Choi, Jae-Chun Lee, Moo-Jung Kim, Gyu-Young Hur, Seung-Youp Shin, Hae-Sim Park đang công tác tại khoa Dị ứng và thấp học của đại học y khoa Ajou, Suwon, Hàn Quốc; khoa nội, đại học quốc gia Jeju, Hàn Quốc; khoa Tai mũi họng, đại học y khoa Kyunghee, Seoul, Hàn Quốc cùng tiến hành nghiên cứu cho biết ấu trùng Anisakidae có thể gây bệnh Anisakiasis khi người tiêu hóa phải chúng. Mặc dù một số nhóm đã báo cáo về dị ứng trong bệnh Anisakis trên đường tiêu hóa trong số những đối tượng người Tây Ban Nha và Nhật Bản, song báo cáo ở đây là lần đầu tiên tóm lượt các đặc điểm lâm sàng của 10 trường hợp nhiễm Anisakis dị ứng tại Hàn Quốc. Tổng số 10 bệnh nhân Hàn quốc (6 nam và 4 nữ) có trieụe chứng phàn nàn là dị ứng nghiêm trọng sau khi ăn phải cá sống hoặc thực ăn từ biển. Sự mẫn cảm với Anisakis được xác định bằng phát hiện kháng thể IgE đặc hiệu với Anisakis simplex trong huyết thanh các bệnh nhân. Các đặc điểm lâm sàng hay gặp nhất của bệnh Anisakiasis là ngứa, mày đay (100%), theo sau bởi đau bụng (30%) và sốc phản vệ (30%). Tất cả bệnh nhân cho thấy có triệu chứng cũng biểu hiện một lượng kháng thể cao là IgE trong máu (0.45-100 kU/L) đối với A. simplex. 9/10 bệnh nhân(90%) có biểu hiện atopy và tăng nồng độ IgE trong huyết thanh rất cao. Các loài cá nghi ngờ bị nhiễm loại ký sinh trùng Anisakis là loại cá flatfish thuộc bộ Pleuronectiformes (40%), cá lạc hay cá chình biển (40%), mực ống (30%), ốc biển (10%), cá ngừ (10%). Anisakis simplex nên được xem là một tác nhân gây di ứng thực phẩm ở bệnh nhân người lớn khi có biểu hiện mày đay, phù mạch, sốc phản vệ sau khi ăn phải các thức ăn biển còn sống hoặc nấu chưa chín.
Sự phát triển của dị ứng thực phẩm đang ngày càng gia tăng liên quan đến tiêu thụ thức ăn trên phạm vi toàn thế thế giới. Tại Mỹ, khoảng 6% trẻ em và trẻ em nhỏ, 3,7% người lớn biểu hiện một số mức độ khác nhau về phản ứng dị ứng với một vài thực phẩm. Các thực phẩm chính nguyên trên trẻ em là sữa bò, trứng, đậu phụng, bột mì, hạt đậu, cá, các thức ăn biển có vỏ như tôm, cua, trai, sò, vẹm là các thực phẩm đứng đầu danh sách. Anisakis simplex là loại giun tròn thuộc bộ Ascaridida, họ Anisakidae, họ phụ Ascaridoidea. Bất kỳ cá hoặc loài động vật thân mềm nào đều có thể bị ký sinh bởi ấu trùng giai đoạn 3 của Anisakis. Các loại cá thu, cá tuyết, cá thuộc họ cá tuyết, cá trổng, cá mòi, cá ngừ, mực ống cũng là trong số các loài dễ nhiễm ký sinh trùng tần số cao nhất. Sự tiêu hóa hoặc ăn phải ấu trùng giia đoạn 3 của Anisakis có thể gây nên bệnh Anisakiasis ở người. Các triệu chứng của bệnh Anisakiasis tăng lên khi giun đi xuyên qua niêm mạc dạ dày, dẫn đến các triệu chứng thuộc vùng ổ bụng và phản ứng dị ứng.
Van Thiel và cộng sự (1960) báo cáo ca đầu tiên về bệnh Anisakiasis, tại Hà Lan năm 1960. Sau đó, nhiều trường hợp được báo cáo tại Nhật Bản, Tây Âu là những nơi thường ăn cá sống. Kim và công sự (1971) cũng báo cáo một trường hợp ấu trùng Anisakis có mặt trong vùng hầu họng ở người như một ca bệnh đầu tiên tại Hàn Quốc. Tiếp theo đó, một số bệnh nhân bị bệnh Anisakiasis cấp và biểu hiện chủ yếu là triệu chứng dạ dày ruột như đau bụng, buồn nôn, nôn mửa đã được phân tích và làm rõ thông qua nội soi dạ dày tá tràng. Desowitz và cộng sự (1985) mô tả một phương pháp phát hiện kháng thể đặc hiệu IgE chống lại A. simplex.
Từ thời gian đó, Kasuya và cộng sự cũng đã xác định tiềm năng gây dị ứng của A. simplex trên 2 ca lâm sàng và đã nhấn mạnh loại ký sinh trùng này là tác nhân gây bệnh liên quan đến ăn cá sống trên các bệnh nhân có nổi mày đay. Tại Hàn Quốc, Kim và cộng sự đã báo cáo ca bệnh đầu tiên Anisakiasis có dị ứng dạ dày ruột sau khi bệnh nhân ăn cá sống ở đảo Jeju, chưa có báo cáo nào đề cập đến phản ứng dị ứng do Anisakis, mặc dù người dân Hàn Quốc tự od ăn cá sống rất nhiều.
Các triệu chứng phân biệt khi nhiễm các loài ký sinh trùng bởi ăn cá sống: các ký sinh trùng sán lá gan nhỏ Clonorchis sinensis, Anisakis và sán dải cá Diphyllobothrium. Tất cả tác nhân này khi nhiễm đều có thể cho triệu chứng về đường tiêu hóa, nhưng phân biệt là rất khó.
Bệnh Anisakiasis là một bệnh gây ra bởi nhiễm giun Anisakis, thuờng được báo cáo tại các vùng nơi mà cá được ăn sống, hoặc chỉ là ướp sơ bộ qua muối. Các vùng có tỷ lệ nhiễm bệnh cao nhất như Scandinavia (do sử dụng nhiều gan của cá tuyết), Nhật Bản (ăn thực phẩm biển dạng sushi và sashimi), Netherlands (do ăn các cá trích đã lên men), dọc theo đảo hoặc vùng ven biển Thái Bình Dương của Nam Mỹ (do ăn món cá sống ướp chanh). Hâm nóng ở nhiệt độ 60°C, hoặc để đông < −20°C là phương pháp hiệu quả giết chết các Anisakis.
Trong còng vài giờ sau khi ăn phẩi ấu trùng nhiễm, cơn đau bụng độc lực do giun gây ra kèm theo đau bụng là buồn nôn, nôn mửa. đôi khi ấu trùng gây chúng ta ho. Nếu ấu trùng đi qua thành ruột vào trong ruột non, một phản ứng tăng sinh u hạt và tăng bạch cầu ái toan hình thành rất nặng và cũng óc thể xảy ra trong 1-2 tuần sau khi nhiễm, hoặc có thể gây nên các triệu chứng giống như bệnh Crohn. Việc chẩn đoán có thể thiết lập bằng nội soi dạ dày phát hiện ấu trùng dài 2cm, có thể lấy bỏ ra ngoài, hoặc có thể phân tích và xét nghiệm về mặt mô học thông qua sinh thiết hoặc trong quá trình phẩu thuật. Con người nghĩ rằng nguy cơ sẽ cao hơn nếu chúng ta ăn cá hoang dại hơn hơn là các nuôi khi nhiễm Anisakiasis. Nhiều quốc gia yêu cầu các loại cá có nguy cơ tiềm tàng mà dự định ăn sống nên để đông lạnh trước đó để giết sạch ký sinh trùng.
Phản ứng dị ứng
Ngay cả khi nấu xong, Anisakis vẫn có nguy cơ sức khỏe đối với con người. Anisakids (và các loài liên quan như hải cẩu, Pseudoterranova spp., và Hysterothylacium aduncum) ly giải một số chất sinh hóa vào trong mô xung quanh khi chúng nhiễm vào một con cá. Chúng cũng thường được tiêu thụ toàn bộ, một cách tình cờ, bên trong thớ thịt của cá. Hình bên trên cho thấy ấu trùng trong khoang cơ thể của con cá trích. Con người dễ nhạy cảm với các loài giun tròn, có thể mắc phải bệnh và có những phản ứng sốc phản vệ nghiêm trọng sau khi ăn cá nhiễm Anisakis spp. Điều này thường nhầm lẫn với dị ứng với một con cá hoặc các động vật biển có vỏ (trai, sò, vẹm, cua, tôm), các thành phần dị ứng với Anisakids thường khó kiểm tra chúng và thường sinh ra phản ứng chéo khi test với các dị nguyên khác.
Chẩn đoán bệnh ở người: Trong trường hợp bệnh nhân nôn hoặc ho ra giun, bệnh có thể được chẩn đoán dễ dàng bằng hình thái học của loại giun tròn (cần lưu ý loài giun đũa Ascaris lumbricoides, một loại giun tròn lớn ở người và là loài giun sống có liên quan đến mặt đất với loài giun anisakines và đôi khi các ấu trùng này cũng bò lên trên vùng mũi hầu). Một số trường hợp khác có thể đòi hỏi dùng đến một dụng cụnội soi cho phép các thầy thuốc kiểm tra trong dạ dày và phần đầu của ruột non. Các dụng cụ này được trang bị như một forceps có thể dùng để loại bỏ giun ra khỏi cơ quan đó. Một số trường hợp khác được chẩn đoán dựa vào các xét nghiệm tổn thương mô học chính là u hạt thông qua mổ thăm dò ổ bụng. một xét nghiệm cũng thường được dùng đặc biệt là radioallergosorbent test đối với bệnh anasakiasis, nhưng không có mặt trên thị trường.
Sự phát triển của dị ứng thực phẩm đang ngày càng gia tăng liên quan đến tiêu thụ thức ăn trên phạm vi toàn thế thế giới. Tại Mỹ, khoảng 6% trẻ em và trẻ em nhỏ, 3.7% người lớn biểu hiện một số mức độ khác nhau về phản ứng dị ứng với một vài thực phẩm. Các thực phẩm chính nguyên trên trẻ em là sữa bò, trứng, đậu phụng, bột mì, hạt đậu, cá, các thức ăn biển có vỏ như tôm, cua, trai, sò, vẹm là các thực phẩm đứng đầu danh sách. Anisakis simplex là loại giun tròn thuộc bộ Ascaridida, họ Anisakidae, họ phụ Ascaridoidea. Bất kỳ cá hoặc loài động vật thâm mềm nào đều có thể bị ký sinh bởi ấu trùng giai đoạn 3 của Anisakis. Các loại cá thu, cá tuyết, cá meluc thuộc họ cá tuyết, cá trổng, cá mòi, cá ngừ, mực ống cũng là trong số các loài dễ nhiễm ký sinh trùng tần số cao nhất. Sự tiêu hóa hoặc ăn phải ấu trùng giia đoạn 3 của Anisakis có thể gây nên bệnh Anisakiasis ở người. Các triệu chứng của bệnh Anisakiasis tăng lên khi giun đi xuyên qua niêm mạc dạ dày, dẫn đến các triệu chứng thuộc vùng ổ bụng và phản ứng dị ứng.
Các loại thực phẩm biển thường liên quan đến bệnh
Các loại thực phẩm biển là nguồn chính gây nhiễm bệnh trên người do nhiễm phải ấu trùng giun. Các con trưởng thành của A. simplex thường tìm thấy trong dạ dày của cá heo hoặc cá voi Các trứng thụ tinh từ các ký sinh trùng cái đi ra khỏi phân của vật chủ. Trong nước biển, trứng thụ tinh, phát triển thành ấu trùng và đẻ ra trong nước biển. Các ấu trùng này tiếp đó nhiễm vào các loài giáp xác (nhất là các nghuyễn thể nhỏ liên quan đến tôm và các động vật không xương sống nhỏ khác. Ấu trùng phát triển trong các động vật không xương sống và trở thành thể gây nhiễm tiếp cho vật chủ tiếp theo như cá hoặc các động vật nhuyễn thể khác lớn hơn như mực ống. Các ấu trùng có thể đi xuyên qua đường tiêu hóa vào trong cơ của vật chủ thứ hai. Một số bằng chứng tồn tại đối với ấu trùng giun di chuyển từ tạng đến thịt nếu các vật chủ cá không không đẩy ra được. Chu kỳ của tất cả các con thuộc giống anisakid đều có liên can đến con người như nhau. Nhiều ký sinh trùng được biết đã xảy ra thường trong thịt của các con cá tuyết, cá thu, cá tuyết chấm đen, cá bơn, cá hồi Thái Bình Dương, cá trích, cá nhám,…
Xét nghiệm các thực phẩm cá trên một bàn sạch và sáng được sử dụng để chế biến hoặc xử lý giảm bớt số lượng giun trong một số cá trắng được biết là thường bị nhiễm. Phương pháp này không phải là hoàn toàn hiệu quả, và nó cũng không phải là đủ hiệu qủa loại bỏ một lượng lớn giun trong cá.
Một số ca bệnh nặng của bệnh Anisakiasis thường đau rất dữ dội và đòi hỏi phải can thiệp phẩu thuật. Loại bỏ giun ra khỏi tổn thương là được biết chỉ là biện pháp làm giảm đau và loại bỏ nguyên nhân duy nhất (hơn là cách mà chúng ta phải đợi đến khi giun chết). Các triệu chứng hình như cũng có thể tồn tại sau khi giun đã chết vì một số thương tổn tìm thấy trong thời gian phẩu thuật đã loại bỏ giun nhưng còn tàn dư của giun ở đó. Làm hẹp ở môn vị cũng đã được báo cáo trong trường hợp phẩu thuật mỏ ổ bụng lấy giun ra khỏi dạ dày. Đối với giun, con người là vật chủ cuối cùng, ấu trùng Anisakis và Pseudoterranova không thể sống sót trong ngườivà ngay cả chết. Do đó, việc điều trị trong những ca bệnh có triệu chứng, liều nhiễm nặng. Cần thận trọng khi chỉ định điều trị trong trường hợp tắc ruột non do ấu trùng Anisakis, trường hợp như thế cần phẩu thuật cấp cứu, mặc dù có một số trường hợp điều trị bằng Albendazole đơn thuần cũng được thành công nhưng không nên mạo hiểm.
Hy vọng trên đây là các thông tin đầy đủ mà bạn có thê hiểu được về bệnh của em bạn ở Nhật Bản như thế nào cũng như cách phòng bệnh hiệu quả!
Nguyễn Thái Hòa, 47 tuổi, Cần Thơ, vinhhoa46@.....
Hỏi: Xin các bác sĩ cho tôi biết bà xã tôi đi khám bệnh ở nhà thương chợ Rẫy chẩn đoán bị bênh đái tháo nhạt, tôi rất lạ và hỏi lại thì không phải là đái tháo đường, vậy bệnh đái tháo nhạt biểu hiện triệu chứng ra sao và làm sao phát hiện bệnh sớm. Kính cảm ơn các bác.
Trả lời: Liên quan đến câu hỏi của bạn về bệnh đái tháo nhat (ĐTN), chúng tôi xin phúc đáp về bệnh lý đáo tháo nhạt như sau theo các thông tin tổng hợp được trên y văn và trên các trang webiste y khoa của các đồng nghiệp chuyên khoa. Sinh lý bệnh đái tháo nhạt có 2 bất thường dẫn tới tình trạng ĐTN này:
- ĐTN nguồn gốc trung ương: Phá hủy các tế bào sản xuất ADH ở thùy sau tuyến yên, gây giảm nồng độ ADH lưu hành trong máu. ĐTN nguồn gốc trung ương có thể là hậu quả của thiếu hụt ADH hoàn toàn, nhưng thường gặp hơn là tình trạng thiếu hụt ADH một phần, vì vậy nồng độ ADH sẽ chỉ tăng được dưới mức tối đa khi đáp ứng với một kích thích thẩm thấu mạnh như tình trạng mất dịch;
- ĐTN nguồn gốc thận: ĐTN do thận là hậu quả của suy giảm đáp ứng của thận với ADH, thường do bất thường ở ống góp. ĐTN nguồn gốc thận có thể là hoàn toàn đối với các trường hợp ống thận không đáp ứng với bất cứ nồng độ ADH nào, hoặc là một phần, tức là tăng nồng độ ADH lưu hành sẽ tạo được một đáp ứng thận ở mức gần tối đa.
Trong cả ĐTN nguồn gốc trung ương và nguồn gốc thận, nồng độ natri và áp lực thẩm thấu máu đều tăng do thận không có khả năng cô đặc nước tiểu một cách thích hợp. Áp lực thẩm thấu máu tăng sẽ kích hoạt cơ chế khát và tăng khẩu phần nước uống vào để bù trù cho lượng nước mất qua nước tiểu. Tuy nhiên, nếu cơ chế khát bị suy giảm, hoặc nếu lượng nước đưa vào bị hạn chế, tình trạng tăng natri máu và tăng áp lực thẩm thấu máu nặng có thể xảy ra.
Chẩn đoán phân biệt
Các triệu chứng và dấu hiệu thực thể chính của ĐTN là tình trạng đái nhiều và tình trạng này phải được phân biệt với các nguyên nhân gây đái nhiều khác. Đái nhiều có thể hoặc là nhược trương (bài tiết nước) hoặc không nhược trương (bài tiết chất tan). Đái nhiều nhược trương được định nghĩa là khi áp lực thẩm thấu nước tiểu < 300 mOsm/kg và có thể là sinh lý hoặc bệnh lý. Đái nhiều nhược trương sinh lý xảy ra trong bệnh cảnh có tăng khẩu phần nhập nước tự do dẫn tới tình trạng ức chế thích hợp ADH, tăng bài niệu nước tự do và áp lực thẩm thấu huyết thanh bình thường. Ví dụ, trong chứng cuồng uống tiên phát, khẩu phần nhập nước tự do quá nhiều dẫn tới có một thể tích lớn nước tiểu bị hòa loãng và tình trạng này là phù hợp để duy trì nồng độ natri máu và áp lực thẩm thấu máu bình thường. Cuồng uống tiên phát có thể dẫn tới hạ natri máu, nhưng không gây tăng natri máu. Mặt khác, ĐTN gây ra tình trạng đái nhiều nhược trương bệnh lý và tình trạng này dẫn tới tăng cảm giác khát và khẩu phần nhập nước tự do để duy trì nồng độ natri huyết tương và áp lực thẩm thấu máu bình thường. Nếu khẩu phần nhập nước tự do không đáp ứng đủ cung lượng nước tiểu, tình trạng ĐTN có thể dẫn tới tăng natri máu.
ĐTN không nhược trương thường do thuốc lợi tiểu hoặc tăng đường huyết gây nên, và tình trạng này có thể được phân biệt với đái nhiều nhược trương dựa trên sự có mặt của một áp lực thẩm thấu niệu tương đối cao trong một bệnh cảnh lâm sàng thích hợp. Khi có tình trạng tăng natri máu, chẩn đoán phân biệt bao gồm các nguyên nhân khác gây mất nước tự do, ví dụ như các tình trạng mất không được nhận biết qua da hoặc đường hô hấp, nôn, tiêu chảy, hoặc dùng lợi tiểu. Như với ĐTN, tình trạng tăng natri máu xuất hiện khi bệnh nhân không uống đủ nước để bù trừ được tình trạng mất nước.
Biểu hiện lâm sàng bệnh đái tháo nhạt
Các triệu chứng chính của ĐTN là khát và đái nhiều, với thể tích nước tiểu hàng ngày điển hình vượt quá 3 lít. Các triệu chứng của tăng natri máu (ví dụ: yếu cơ, thay đổi tình trạng ý thức, hôn mê hoặc co giật) có thể xẩy ra khi tình trạng mất nước nhanh và đáng kể. Khám thực thể bệnh nhân thường bình thường trừ khi xảy ra tình trạng mất nước đáng kể.
Đái nhiều thường được định nghĩa là khi lượng nước tiểu 24 giờ > 30 - 50 mL/kg ở người lớn hoặc > 100mL/kg ở trẻ em. Khai thác kỹ tiền sử và bệnh sử và khám lâm sàng cẩn thận có thể rất hữu ích. Tuổi, khởi phát, quá trình diễn biến và mức độ đái nhiều có thể cung cấp các chứng cứ quan trọng. Tình trạng đi tiểu ngắt quãng, thoáng qua hoặc thường xuyên với một thể tích nước tiểu thấp là các bằng chứng không gợi ý cho đái tháo nhạt. Tình trạng đái đêm thường gặp trong đái tháo nhạt, do tình trạng đái nhiều của bệnh nhân ĐTN không phụ thuộc hoàn toàn vào khẩu phần dịch nhập vào cơ thể. Thói quen dinh dưỡng, khẩu phần dịch, cảm giác khát và sử dụng thuốc có thể là các yếu tố quan trọng. Đau đầu, thay đổi thị lực, gần đây bị chấn thương hay được phẫu thuật sọ não và bất kỳ một bệnh lý tâm thần nền nào cũng có thể cung cấp thêm các chứng cứ bổ sung. Tụt huyết áp tư thế và nếp véo da là các dấu hiệu chứng tỏ có thiếu hụt thể tích. Màu sắc nước tiểu có thể cung cấp bằng chứng về khả năng cô đặc nước tiểu của thận. Ở các bệnh nhân đang nằm viện, hồi cứu chính xác khẩu phần nhập vào và cung lượng xuất ra của bệnh nhân là cần thiết. Định lượng nồng độ glucose máu là một biện pháp nhanh giúp loại trừ bệnh đái tháo đường như là nguyên nhân gây đái nhiều - trường hợp điển hình sẽ cần một nồng độ glucose máu > 200 - 300 mg/dL để khiến cho glucose sẽ bị đào thải vào trong nước tiểu và gây tình trạng tăng bài niệu thẩm thấu.
Tiến hành đo đồng thời nồng độ natri và áp lực thẩm thấu máu và nước tiểu là điều cần thiết. Trong đái tháo nhạt, nồng độ natri máu có thể bình thường hoặc tăng lên. Nếu có biểu hiện hạ natri máu, chứng cuồng uống tiên phát là nguyên nhân gây đái nhiều nhược trương bị nghi vấn nhất.
Trong đái tháo nhạt, áp lực thẩm thấu niệu thấp điển hình (< 300 mOsm/kg, tỷ trọng nước tiểu < 1,010) và không phù hợp với bất kỳ tình trạng gia tăng nào trong áp lực thẩm thấu huyết tương có thể gặp; tuy nhiên, áp lực thẩm thấu niệu có thể >300 mOsm/kg nếu đái tháo nhạt chỉ một phần hoặc trong đái tháo nhạt hoàn toàn có biến chứng thiếu hụt thể tích. Nồng độ natri trong nước tiểu có thể thay đổi, song thường thấp một cách không phù hợp so với mức độ tăng natri máu có thể được gặp. Mặt khác, nước tiểu được cô đặc đầy đủ (áp lực thẩm thấu niệu 800-1200 mOsm/kg) về cơ bản sẽ loại trừ chẩn đoán đái tháo nhạt như một nguyên nhân gây tăng natri máu, các nguyên nhân khác cần được xem xét (ví dụ: các mất nước không được nhận biết từ da, phổi và đường tiêu hóa; tăng gánh muối do nuôi dưỡng, do thuốc và/hoặc dịch truyền tĩnh mạch)
Định lượng nồng độ canxi, kali, urê và creatinin máu có thể hữu ích. Hạ kali máu và tăng canxi máu mạn tính có thể gây ĐTN không hoàn toàn nguồn gốc thận. Mặt khác, hạ kali máu cũng có thể là hậu quả của đái tháo nhạt và tăng canxi máu cũng có thể do thiếu hụt thể tích gây nên. Các bệnh nhân bị bệnh thận mạn cũng có thể xuất hiệntình trạng ĐTN không hoàn toàn do có khiếm khuyết trong khả năng cô đặc nước tiểu tại các đơn vị thận bị tổn thương.
Nghiệm pháp cho nhịn uống nước: Nghiệm pháp cho nhịp uống nước (fluid deprivation test) có thể hữu ích để quyết định là liệu đái nhiều nhược trương có nguyên nhân do đái tháo nhạt hay do chứng cuồng uống tiên phát gây nên khi nồng độ natri máu và áp lực thẩm thấu máu bình thường. Tiến hành làm nghiệm pháplà không cần thiết và có thể gây nguy hiểm đối với các bệnh nhân bị tăng natri máu ưu trương, trong bệnh cảnh này chứng cuồng uống tiên phát không phải là một chẩn đoán cần được xem xét. Tương tự như vậy, nếu bệnh nhân có hạ natri máu nhược trương, đái tháo nhạt cũng không phải là một chẩn đoán cần được xem xét. Vì vậy, nghiệm phápcho nhịn uống nước chỉ nên được tiến hành cho bệnh nhân có tình trạng đái nhiều nhược trương và có nồng độ natri máu / áp lực thẩm thấu máu bình thường. Nếu có thể được, nên cho bệnh nhân ngừng dùng các thuốc có ảnh hưởng đến bài xuất hoặc tác dụng của ADH. Caffein, rượu và thuốc lá cần tránh sử dụng trong vòng ít nhất 24 giờ. Những kích thích khác đối với quá trình bài xuất ADH (ví dụ: nôn và tụt huyết áp) cũng cần được theo dõi để hỗ trợ cho việc nhận định kết quả nghiệm pháp.
Cần tiến hành làm nghiệm pháp vào buổi sáng, cân nặng, áp lực thẩm thấu máu, nồng độ natri huyết thanh, áp lực thẩm thấu niệu và thể tích nước tiểu của bệnh nhân nên được theo dõi hàng giờ. Yêu cần bệnh nhân nhịn uống nước tới khi giảm cân nặng cơ thể > 5%, nồng độ natri và áp lực thẩm thấu máu đạt tới giới hạn bình thường cao (Na+ > 145 mEq/L và áp lực thẩm thấu máu > 295mOsm/kg), hoặc áp lực thẩm thấu niệu đo hàng giờ ổn định (biến thiên < 5% trong vòng 3 giờ). Nếu áp lực thẩm thấu niệu không đạt được giá trị 300mOsm/kg trước khi đạt được các thông số nói trên trong khi là nghiệm pháp cho nhịn uống nước, căn nguyên cuồng uống tiên phát sẽ được loại trừ. Ở bệnh nhân bị đái tháo nhạt không hoàn toàn, áp lực thẩm thấu niệu sẽ lớn hơn áp lực thẩm thấu máu, song nước tiểu vẫn không thể cô đặc được tối đa. Ở bệnh nhân bị đái tháo nhạt hoàn toàn, áp lực thẩm thấu niệu sẽ vẫn liên tục thấp hơn áp lực thẩm thấu máu.
Nếu chẩn đoán ĐTN hoàn toàn được xác nhận với một áp lực thẩm thấu niệu thấp hơn so với áp lực thẩm thấu máu khi các đích của test cho nhịn uống nước đã được đáp ứng, có thể cho bệnh nhân dùng ADH để giúp chẩn đoán phân biệt giữa ĐTN nguồn gốc trung ương với đái tháo nhạt nguồn gốc do thận. DDAVP (desmopressin) 0,03 mcg/kg có thể được dùng cho bệnh nhân theo đường tiêm dưới da và đo áp lực thẩm thấu niệu ở các thời điểm 30, 60 và 120 phút. Trong đái tháo nhạt nguồn gốc trung ương, áp lực thẩm thấu niệu phải tăng trên 50% so với ngưỡng đạt được trong quá trình gây mất nước. Trong ĐTN nguồn gốc thận, áp lực thẩm thấu niệu có thể tăng song thường không vượt quá 50%. Nồng độ ADH thu được trước và trong khi tiến hành làm nghiệm pháp cho nhịp uống nước có thể được biểu thị trên biểu đồ và có thể giúp phân biệt giữa đái tháo nhạt không hoàn toàn nguồn gốc trung ương, ĐTN không hoàn toàn nguồn gốc thận và chứng cuồng uống tiên phát.
Trên đây là các thông tin mang tính chất chuyên khoa y khoa, bạn có thể tham khảo và hiểu đươc phần nào về bệnh đái tháo nhạt nhé!
Ân L. H…, Phan Thiết, Bình Thuận
Hỏi: Chào bác sĩ! Nhờ Bác sĩ tư vấn giúp cho gia đình về bệnh nhiễm sán chó cho cháu. Nguyên Cháu là Lữ ….sn 1993 (Hiện ở Binh Thuận, đang học Đại học tài TP HCM) bị phát hiện nhiễm sán chó và đã điều trị gần một năm nay. Đã qua bệnh viện Nhiệt Đới saigon, BV Chợ Rẫy và Viện sốt rét - KST Quy Nhơn. Tháng 7 vừa qua, gia đình có đưa cháu ra Viện Sốt rét- KST Quy Nhơn có gặp BS, Sau khi xem đơn thuốc của BV Chợ rẫy. Gia đình cũng đã mua thuốc theo toa của BS đã kê. Gia đình cũng thực hiện xét nghiệm tại đây và được cho biết là hết nhiễm sán chó. Gia đình cho uống đúng theo toa của BS. Nhưng đến nay, cháu tiếp tục bị ngứa vùng sau tai và mí mắt nên đã đi xét nghiệm lại tại bệnh việc Chợ Rẫy mới đây. Kết quả vẫn còn sán chó. Xin BS xem lại các toa thuốc và phiếu xét nghiệm để tư vấn cho cháu. Có nên tiếp tục uống theo toa thuốc mà BV Chợ Rẫy vừa cấp hay có loại thuốc nào đặc trị khác không hoặc có thể mua ở nước ngoài loại nào để có thể trị dứt bệnh này không. Gia đình và cháu hiện giờ rất hoang mang không yên tâm để học hành cũng như công việc gia đình. Rất mong bác sĩ bỏ chút thời gian xem xét và tư vấn cụ thể cho gia đình và cháu với ạ! Gia đình xin kinh cảm ơn bác sĩ!
Trả lời: Liên quan đến câu hỏi của bạn, chúng tôi có phúc đáp qua điện thoại và giải thích rõ ràng với gia đình cũng như khuyến cao bệnh nhân tiếp tục dùng thuốc lần đi khám bác sĩ tại thành phố Hồ chí minh theo sau kết quả xét nghiệm sẵn có đã gỏi chúng tôi xem.
Thân chúc bạn khỏe và làm việc tốt!
Hoàng Công Tú, 59 tuổi, TT Tây Sơn, tỉnh Bình Định
Hỏi:Cho tôi hỏi các bác sĩ, vì toi dang dieu tri bệnh cao huyet ap gan 7 năm nay, nhưng gần đây mỗi khi tôi bị cảm cúm hay đau các khớp dùng thuốc điều trị lại thấy huyết áp tăng lên bất thường. Cho toi hoi lieu cac thuoc dieu trị khop va cảm cúm như tren co lam tang huyet ap khong, ngoai cac thuoc tren thi co loại thuoc nao lam tăng nưa hay khong. Toi xin cam on rat nhieu!
Trả lời: Trước hết chúng tôi xin chân thành cảm ơn bác đã tín nhiệm ban biện tập để gởi câu hỏi này, qua câu hỏi, chúng tôi có tra cứu một số thông tin từ các đồng nghiệp về một số thuốc có thể làm cho người bệnh cao huyết áp có thể chuyển biến nặng hơn. Tăng huyết áp (THA) toàn thân một trạng thái thường gặp và là một yếu tố nguy cơ quan trong cho sự phát triển các bệnh về tim mạch. Nhiều bệnh nhân bị THA không được chẩn đoán do hiện tượng THA thường không thể hiện triệu chứng gì, và chỉ được phát hiện qua những đợt khám sức khoẻ thường kỳ, hay qua những biến chứng của tình trạng THA đã có từ lâu, như đột quỵ, thiếu máu cục bộ cơ tim, các bệnh về thận….Có nhiều yếu tố ảnh hưởng đến THA trong đó có những yếu tố có thể thay đổi được như: hút thuốc lá, béo phì, ăn nhiều muối, không tập thể dục và ít hoạt động thể lực… và những yếu tố không thể thay đổi như tuổi cao, gia đình có tiền sử THA. Một yếu tố nữa là sự sử dụng nhiều thứ thuốc có thể gây THA. Điều này đôi khi được đánh giá quá mức. Nội dung của bài viết này, tổng quan lại một cách ngắn gọn các loại thuốc có thể gây THA, hoặc làm bệnh THA đã có sẵn thêm nặng.
Các tài liệu hướng dẫn của Anh và Cộng đồng Châu Âu đã ghi những thuốc có thể làm tăng huyết áp. Dưới đây là danh mục một số thuốc có thể làm tăng huyết áp Các thuốc chống viêm không steroid, thuốc tránh thai hỗn hợp dùng đường uống, các thuốc corticosteroid, thuốc giống giao cảm, cocaine, amphetamine, erythropoietin, cyclosporine,….Nhiều thuốc làm một tỷ lệ đáng kể bệnh nhân tăng huyết áp đã có từ trước thêm nặng và một số khác làm những người có huyết áp bình thường trở thành THA.
Đã có thêm một số bằng chứng mới trong 20 năm vừa qua thấy có mối liên quan giữa THA với các viên thuốc tránh thai. Các viên thuốc tránh thai hỗn hợp estrogen và progesteron có khuynh hướng làm THA, trung bình mức độ tăng là 5/3 mmHg. Có khoảng 1% những trường hợp dùng thuốc có THA nặng. Cơ chế gây THA, cơ chế gây tăng nhạy cảm ở 1% bệnh nhân nói trên đều chưa rõ. Huyết áp lại trở về mức độ bình thường sau khi ngừng dùng những viên thuốc tránh thai, nhưng theo kinh nghiệm của chúng tôi sự trở về đó đòi hỏi nhiều thời gian, có khi tới 18 tháng. Nếu quá 18 tháng mà huyết áp không trở về bình thường, thì sự THA không phải do thuốc tránh thai. Với một số phụ nữ, sau khi dùng viên thuốc tránh thai hỗn hợp được vài tháng thậm chí vài năm, huyết áp mới bắt đầu tăng nhanh. Viên thuốc tránh thai chỉ chứa có progesteron thì không gây THA.
Ephedrin, pseudoephedrin, norpseudoephedrin, methylephedrin và norephedrinđều có tác dụng giống giao cảm. Phenylephrin và pseudoephedrin còn được dùng rộng rãi làm chất chống xung huyết tại chỗ niêm mạc mũi, và gây co mạch ở đó, chống ngạt mũi. Trong điều trị tại chỗ với liều nhỏ, có ít tác dụng phụ. Dùng tại chỗ với liều cao hay dùng toàn thân, có thể gây THA. Với liều dùng khuyến cáo, hai chất phenylepherin và pseudoephedrin được nhận định là an toàn ở những bệnh nhân THA được kiểm soát tốt, mặc dù vẫn có những báo cáo về các sự cố do THA như sự cố về mạch máu não, về tim mạch. Điều gây lo lắng đặc biệt là các chất nói trên có thể gây xuất huyết dưới mạng nhện. Do đó những thuốc có chứa phenyl propanolamin hiện nay đã bị cấm ở Mỹ, ở một số nước Châu Âu. Tất cả những chất này đều chống chỉ định ở những bệnh nhân thiếu máu cục bộ cơ tim do có thể gây co thắt động mạch vành. Việc dùng đồng thời các thuốc giống giao cảm với các thuốc ức chế monoamino oxydase (IMAO) là nguy hiểm, do làm giảm chuyển hoá các hợp chất họ hàng của ephedrin và do đó tăng cường các tác dụng phụ trên tim mạch.
Các thuốc kích thích hệ thần kinh trung ương như dexamphetamin và methyl phenidat có tác dụng giống giao cảm. Chúng hay được dùng trong chứng thiếu tập trung tư tưởng - quá hiếu động (ADHD), chứng có những cơn ngủ thoảng qua, và hay gây THA. Các thuốc này làm THA tâm thu lên khoảng 5 - 10 mmHg, như vậy có thể đưa huyết áp đến mức cần phải điều trị ở người lớn. Việc dùng dấu diếm methylphenidat và dexamphetamin cũng gây THA, có thể dẫn tới xuất huyết nội sọ, co thắt động mạch vành và thiếu máu cục bộ cơ tim.
Các prostaglandin (PGE2 và PGI2) được sinh ra do xúc tác của cyclo oxygenase (COX), có chức năng đảm bảo lưu lượng máu ở thận, và sự bài tiết natri qua nước tiểu. Sự ức chế các cyclo oxygenase bởi các thuốc chống viêm phi steroid có thể gây ứ muối và nước, ngay cả khi không có suy giảm chức năng thận. Điều này làm tăng huyết áp khoảng 3 – 5 mmHg. Ngoài ra các NSAID còn làm giảm hiệu quả các thuốc điều trị THA.
Các glucocorticoid có thể làm THA và mức độ tăng phụ thuộc vào liều. Đó là hậu quả của hiện tượng ứ muối. Điều này có thể nhận thấy khi dùng thuốc theo bất cứ con đường nào, kể cả dùng ngoài da. Các mineralo corticoid có tác dụng trực tiếp gây co mạch. Chất carbenoxolone dẫn chất theo con đường sinh tổng hợp của acid glycyrrhizinic làm THA gián tiếp, thông qua tác dụng ức chế enzym11-bêta-hydroxyl-steroid dehydrogenase. Sự ức chế này làm tăng nồng độ corticosteroid nội sinh trong nội bào, gây co mạch và ứ natri. Hiện nay, công dụng của thuốc này chỉ hạn chế trong điều trị loét nhẹ ở miệng và quanh miệng, dùng để pha nước rửa chỗ loét. Việc dùng quá nhiều cam thảo dẫn đến tăng nồng độ các mineral corticoid nội bào đến mức quá thừa do ức chế chính enzym nói trên. Các dấu hiệu hạ kali máu, bệnh nhiễm kiềm, tăng hoạt tính mineralocorticoid là những dấu hiệu cơ bản để chẩn đoán THA do cam thảo.
Việc giảm ăn muối có thể làm giảm áp huyết 3-5 mmHg. Các tài liệu hướng dẫn của Mỹ và các nước Châu Âu gợi ý lượng natri dùng hàng ngày là khoảng 100 mmol (tương đương với 2,3 gam natri hay 5,8 gam natri clorid) hoặc thấp hơn để đảm bảo huyết áp được tốt. Nhiều thuốc như diclofenac, prednisolon, hydrocortison có bản chất là các muối natri; nhiều loại thuốc kháng acid dịch vị chứa natri bicarbonate hay paracetamol hoà tan (Panadol hoà tan) chứa 427 mg Natri trong một viên, có thể liên quan đến THA.
Ciclosporin có thể gây THA, nhất là khi dùng cùng với corticosteroid và tác dụng này không phụ thuộc liều dùng. Tỷ lệ tử vong do các sự cố về tim mạch. Ở những bệnh nhân ghép tạng dùng ciclosporin cao hơn tỷ lệ này trong dân chúng bình thường. Có thể là ciclosporin đã làm mất cân bằng giữa các prostaglandin gây co mạch và gây giãn mạch và làm ảnh hưởng đến các chất có tác dụng trên chức năng các mao mạch, làm tăng endothelin và làm giảm natri, dẫn tới co mạch và thiếu máu cục bộ ở cuộn tiểu cầu. Cũng có một số bằng chứng là có tăng sản xuất renin, có hiện tượng tăng sinh ở gần cầu thận, và hoạt hoá hệ thần kinh giao cảm.
Tất cả các hiệu ứng kể trên đều dẫn tới ứ natri và THA. Những thuốc corticosteroid thường được dùng đồng thời với ciclolsporin lại làm tăng thêm hiện tượng ứ natri. Trong những trường hợp THA do thuốc này, việc dùng các thuốc lợi tiểu và các thuốc chẹn kênh calci mang lại nhiều lợi ích. Tacrolimus – một thuốc ức chế miễn dịch khác cũng gây THA như ciclosporin.
Leflunomid và infliximab dùng trong điều trị viêm khớp dạng thấp có thể gây THA trong một số trường hợp, hoặc làm nặng thêm bệnh THA đã có từ trước. Tỷ lệ THA có thể tới 30% những người dùng thuốc này và tỷ lệ này có thể cao hơn nếu dùng kết hợp hai thuốc. Nhiều báo cáo cho thấy hiện tượng THA là tác dụng phụ của các thuốc an thần điển hình và không điển hình. Hội chứng an thần kinh ác tính thường gặp sau khi dùng các thuốc an thần hoặc một số thuốc khác, như các thuốc chống trầm cảm, có thể ảnh hưởng đến chức năng điều hoà huyết áp. Các triệu chứng điển hình trong hội chứng này gồm có thay đổi trạng thái tâm thần, cứng cơ, nhịp tim nhanh, mất ổn định trong các hệ tự động như huyết áp dễ thay đổi, thường là THA. Điều này phản ánh hệ giao cảm hoạt hoá quá mức.
Các độc tính khi dùng quá liều các thuốc an thần điển hình bao gồm THA. Quá liều thioridazin hay haloperidol gây THA nặng. Các thuốc an thần không điển hình trong một số trường hợp cũng gây THA mặc dù hay gây hạ huyết áp thế đứng hơn, nhất là ở giai đoạn đầu, khi đang thăm dò liều dùng. Clozapin làm THA một cách nhất quán, nhưng nguyên nhân thì chưa rõ; thuốc gây ra tác dụng giống như u tế bào ưa crôm: tăng huyết áp kèm vã mồ hôi và tăng nồng độ catecholamin niệu. Ziprasidone - một thuốc an thần không điển hình khác, đôi khi (hiếm) cũng làm nặng thêm tình trạng THA sẵn có ở bệnh nhân.
Một số thuốc chống trầm cảm như các thuốc chống trầm cảm ba vòng, các thuốc ức chế tái thu hồi serotonin, và nhiều loại thuốc khác có thể gây THA hoặc làm nặng thêm tình trạng THA sẵn có ở bệnh nhân. Các thuốc IMAO có tác dụng ức chế sự chuyển hóa của các monoamine giống giao cảm. Có thể xảy ra những cơn THA ở bệnh nhân dùng các IMAO cùng với các chất này làm tăng sự hấp thu các monoamine (ăn những thực phẩm chứa tyramin), hay cùng với các thuốc giống giao cảm. Triệu chứng lâm sàng trong trường hợp này giống như trường hợp u tế bào ưa crôm. Venlafaxin, một thuốc ức chế tái thu hồi serotonin và noradrenalin (SNRI) có liên quan đặc biệt đến THA. Tác dụng phụ này phụ thuộc vào liều lượng: thuốc làm THA tâm trương khoảng 7-10 mmHg khi dùng ở liều cao.
Một công trình nghiên cứu quy mô rộng trên những nam giới dương tính với HIV đã chứng minh có mối liên quan giữa việc điều trị bằng các thuốc kháng retrovirus hoạt tính cao trên 2 năm biểu hiện bằng THA tâm thu. Sau 20 năm đưa vào sử dụng trong lâm sàng các thuốc kích thích tạo hồng cầu đã được chứng minh là những thuốc có khả năng gây THA. Đa số những bệnh nhân dùng ESA có bệnh thận mạn tính và có khoảng 30% trong số họ bị THA trong quá trình điều trị thiếu máu, thường là THA đã có từ trước ở bệnh nhân. Sinh lý bệnh THA khi dùng các ESA có thể liên quan đến tăng trương lực của mạch, do hiện tượng thiếu oxy giảm khi dãn mạch và sự giải phóng NO. Khi mới đưa ra các ESA vào sử dụng, mối quan tâm chủ yếu là các cơn THA nặng. Việc đưa ra những chế độ dùng thuốc mới với liều thấp hơn cùng với việc sử dụng những thuốc có tác dụng dài hạn hơn đã góp phần hạn chế các cơn THA trong quá trình điều trị.
Hiện nay với các alkaloid cựa lúa mạch vẫn còn được sử dụng trong điều trị đau nửa đầu (migraine), nhưng với liều dùng thấp để tránh các tác dụng phụ, chủ yếu là co thắt mạch ngoại vi. Tác dụng phụ thường gặp là thiếu máu cục bộ ngoại vi hay thiếu máu cục bộ cơ tim, nhưng cũng có gặp những trường hợp tăng huyết áp. Cần phải thận trọng khi dùng những dược thảo cho bệnh nhân THA. Dược liệu Ma hoàng dùng để giảm cân có chứa các alkaloid của Ephedra, là nguyên liệu tự nhiên để chiết xuất ephedrin. Chất này có tác dụng trên tim và có thể gây THA. Alkaloid yohimbin, một indolealkylamin có trong cây Pausinystalia yohimbe và rễ cây ba gạc (Rawfolia) có tác dụng đối kháng cạnh tranh ở các thụ thể alpha – 2 trung ương, làm tăng huyết áp và tăng nhịp tim. Trong dân gian thuốc thường dùng làm thuốc cường dương, hạ cholesterol máu chống béo phì và đã có một số trường hợp báo cáo là gây THA. Một số thuốc có thể gây THA hay làm bệnh THA nặng thêm. Do tuổi thọ của nhân dân nâng cao, người có tuổi hay dùng nhiều thuốc, nên hiện tượng THA do thuốc càng hay gặp.
Nguyễn Thị Như Trân, 36 tuổi, TP. Nha Trang, tỉnh Khánh Hòa, 0914….
Hỏi: Em xin hỏi các bác sĩ về tác dụng phụ của thuốc điều trị dạ dày có vi khuẩn H. pylori Tác dụng ngoại ý của trong bộ ba điều trị vi khuẩn Helicobacter pylori ở viêm dạ dày tá tràng mà tôi vừa điều trị trong bệnh viện Chợ Rẫy TP. Hồ Chí Minh cho thấy ngầy ngật và buồn nôn quá, sau 4-5 ngày uống thuốc tôi mới hết các khó chịu ở trên. Tôi xin chân thành cảm ơn các bác sĩ rất nhiều!
Trả lời: Liên quan đến câu hỏi của bạn, chúng tôi xin phúc đáp rằng trong bộ bao điều trị hay còn gọi là triple therapy trong điều trị viêm loét dạ dày tá tràng có vi khuẩn H. pylori hiện diện là do tác dụng ngoại ý của một trong số các thuốc trong bộ ba điều trị sau đây hoặc cả hai:
Clarithromycin
Clarithromycin là kháng sinh macrolid bán tổng hợp. Clarithromycin thường có tác dụng kìm khuẩn, mặc dù có thể có tác dụng diệt khuẩn ở liều cao hoặc đối với những chủng rất nhạy cảm. Clarithromycin thường có tác dụng kìm khuẩn, mặc dù có thể có tác dụng diệt khuẩn ở liều cao hoặc đối với những chủng rất nhạy cảm. Clarithromycin ức chế sự tổng hợp protein ở vi khuẩn nhạy cảm bằng cách gắn với tiểu đơn vị 50S ribosom.
Vị trí tác dụng của clarithromycin hình như cũng là vị trí tác dụng của erythromycin, clindamycin, lincomycin và cloramphenicol. Clarithromycin có tác dụng mạnh hơn erythromycin một chút. Tác dụng rất mạnh đối với Chlamydia spp, Ureaplasma urealyticum và hơn hẳn các macrolid khác đối với Mycobacterium avium nội bào (MAI = Mycobacterium avium intracellulaire). Nó cũng có tác dụng với M. leprae. Trong một vài tài liệu có nói đến tác dụng in vitro với Toxoplasma gondii và có một vài tác dụng với Cryptosporidis. Chất chuyển hóa 14 - hydroxy clarithromycin có hoạt tính và có thể hiệp đồng in vitro với thuốc mẹ để làm tăng đáng kể hoạt tính của clarithromycin trên lâm sàng đối với Haemophilus influenzae. Chất chuyển hóa có thời gian bán hủy từ 4 - 9 giờ. Clarithromycin được dung nạp ở dạ dày - ruột tốt hơn erythromycin. Clarithromycin có ái lực với CYP 3A - 4 thấp hơn erythromycin và vì vậy tương tác thuốc ít quan trọng hơn trên lâm sàng. Tuy vậy, clarithromycin chống chỉ định dùng chung với astemizol, cisaprid và terfenadin.
Clarithromycin khi uống được hấp thu nhanh qua đường tiêu hóa và chịu sự chuyển hóa đầu tiên ở mức độ cao làm cho khả dụng sinh học của thuốc mẹ giảm xuống còn khoảng 55%. Mức hấp thụ gần như không bị ảnh hưởng bởi thức ăn. Nồng độ đỉnh của clarithromycin và chất chuyển hóa chính 14 - hydroxy clarithromycin khoảng 0,6 - 0,7 microgam/ml, sau khi uống một liều duy nhất 250 mg. Ở trạng thái cân bằng động ở cùng mức liều trên cho nồng độ đỉnh khoảng 1 microgam /ml.
Dược động học của clarithromycin không tuyến tính và phụ thuộc liều. Các liều lớn có thể tạo nên các nồng độ đỉnh tăng không theo tỷ lệ thuận do chuyển hóa thuốc bị bão hòa. Clarithromycin và chất chuyển hóa chính được phân phối rộng rãi và nồng độ trong mô vượt nồng độ trong huyết thanh do một phần thuốc được thu nạp vào trong tế bào. Thuốc chuyển hóa nhiều ở gan và thải ra phân qua đường mật. Một phần đáng kể được thải qua nước tiểu. Khoảng 20 và 30% theo thứ tự ứng với liều 250 mg và 500 mg được thải qua nước tiểu dưới dạng không bị chuyển hóa. 14 - hydroxy clarithromycin cũng như các chất chuyển hóa khác cũng được thải qua nước tiểu. Nửa đời của clarithromycin khoảng 3 - 4 giờ khi người bệnh uống 250 mg clarithromycin, 2 lần/ngày, và khoảng 5 - 7 giờ khi người bệnh uống liều 500 mg, 2 lần/ngày.
Clarithromycin được dùng phối hợp với 1 thuốc ức chế bơm proton hoặc 1 thuốc đối kháng thụ thể histamin H2 và đôi khi với 1 thuốc kháng khuẩn khác để tiệt trừ Helicobacter pylori trong điều trị bệnh loét dạ dày - tá tràng đang tiến triển.
Tác dụng không mong muốn (ADR):
Thường gặp, ADR > 1/100
Rối loạn tiêu hóa, đặc biệt là ở người bệnh trẻ với tần xuất 5%. Phản ứng dị ứng ở mức độ khác nhau từ mày đay đến phản vệ và hội chứng Stevens - Johnson. Cũng có thể bị viêm đại tràng màng giả từ nhẹ đến đe dọa tính mạng.
Toàn thân: Phản ứng quá mẫn như ngứa, mày đay, ban da, kích thích.
Ít gặp, 1/1000 < ADR < 1/100
Tiêu hóa: Các triệu chứng ứ mật (đau bụng trên, đôi khi đau nhiều), buồn nôn, nôn.
Gan: Chức năng gan bất thường, bilirubin huyết thanh tăng và thường kèm theo vàng da, sốt phát ban và tăng bạch cầu ưa eosin.
Thính giác: Ðiếc (nếu dùng liều cao) thần kinh giác quan có thể hồi phục.
Metronidazol
Metronidazole là thuốc được dùng điều trị các trường hợp nhiễm Trichomonas vaginalis,Entamoeba histolytica (thể cấp tính ở ruột và thể áp xe gan). Ðiều trị nhiễm khuẩn nặng do vi khuẩn kỵ khí nhạy cảm như nhiễm khuẩn ổ bụng, nhiễm khuẩn phụ khoa, nhiễm khuẩn da và các cấu trúc da, nhiễm khuẩn hệ thần kinh trung ương, nhiễm khuẩn huyết và viêm màng trong tim. Metronidazole là thuốc được dùng điều trị các trường hợp nhiễm Trichomonas vaginalis, Entamoeba histolytica (thể cấp tính ở ruột và thể áp-xe gan); Ðiều trị nhiễm khuẩn nặng do vi khuẩn kỵ khí nhạy cảm như nhiễm khuẩn ổ bụng, nhiễm khuẩn phụ khoa, nhiễm khuẩn da và các cấu trúc da, nhiễm khuẩn hệ thần kinh trung ương, nhiễm khuẩn huyết và viêm màng trong tim. Phối hợp với uống neomycin hoặc kanamycin để phòng ngừa khi phẫu thuật ở người phải phẫu thuật đại trực tràng và phẫu thuật phụ khoa; Viêm lợi hoại tử loét cấp, viêm lợi quanh thân răng và các nhiễm khuẩn răng khác do vi khuẩn kị khí; Phối hợp với một số thuốc khác điều trị viêm loét dạ dày - tá tràng do Helicobacter pylori.
Thuốc có thể uống dưới dạng viên nén (cùng hoặc sau lúc ăn) hoặc dạng dịch treo metronidazol benzoat (ít nhất uống 1 giờ trước khi ăn) hoặc có thể đặt vào hậu môn, âm đạo hoặc tiêm truyền… Tùy theo mục đích điều trị bác sĩ sẽ chỉ định cách dùng và liều lượng thích hợp. Tuy nhiên, khi dùng cần chú ý tới tác dụng không mong muốn do thuốc gây ra. Tác dụng không mong muốn thường do dùng liều cao và lâu dài sẽ làm tăng tác dụng có hại. Thường gặp nhất khi uống metronidazol là buồn nôn, nhức đầu, chán ăn, khô miệng, có vị kim loại rất khó chịu. Các phản ứng không mong muốn khác ở đường tiêu hóa có thể gặp như tiêu chảy, đau thượng vị, đau bụng, táo bón. Do thuốc có độc tính với thần kinh và làm giảm bạch cầu, cần chú ý khi dùng cho người bị bệnh ở hệ thần kinh trung ương. Cần ngừng điều trị khi bị chóng mặt, lú lẫn, mất điều hòa.
Trên đây là một số tác dụng ngoại ý của thuốc trong bộ ba điều tị vi khuẩn H. pylori trong viêm loét dạ dày tá tràng mà chúng ta hay được các bệnh nhân dùng thuốc phàn nàn cũng như trong trường hợp của bạn vậy. Nhưng các triệu chứng này cũng chỉ gặp thoáng qua và sau đó tự chấm dứt.
Lê Trí An, TT Eakar , Đak Lak, hyvong12@......
Hỏi: Tôi có người nhà trong một lần đi kiểm tra sức khỏe do công ty tổ chức phát hiên có polype trong túi mật, có người nó là u túi mật, nghe đến u là gia đình chúng tôilo lắng và mất ngủ mấy đêm liền, khi đi tư vấn một anh bạn là bác sĩ quân đội về hưu cho biết không sao ca. Vậy đâu là sự thật, chúng tôi mong sự phúc đáp của quý bác sĩ của Viện Sốt rét Quy Nhơn.
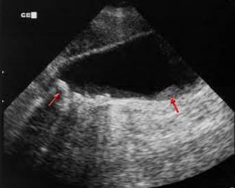
Trả lời: Rất thông cảm cho câu hỏi của anh và gia đình, thực chất ra cũng không có gì nghiêm trọng nếu nó là polyp túi mật lành tính. Theo các bác sĩ chuyên khoa gan mật cho biết polyp túi mật còn gọi là u nhú niêm mạc tuyến mật, là một dạng tổn thương dạng u hoặc giả u phát triển trên bề mặt niêm mạc túi mật. Đây là một bệnh khá phổ biến, chiếm tỷ lệ tương đối, có thể xuất hiện ở mọi lứa tuổi và không có sự khác biệt đáng kể về tỷ lệ mắc giữa nam và nữ, dân tộc. Đặc biệt các hình ảnh này nhìn thấy thường qua sàng lọc khám sức khỏe định kỳ hàng năm, có tầm soát siêu âm bụng tổng quát, phát hiện tình cờ.
Polyp túi mật là thuật ngữ chuyên môn y học để mô tả các hình thái tổ chức xuất phát từ thành túi mật phát triển lồi vào trong lòng túi mật. Các hình thái tổ chức có bản chất cấu trúc khác nhau, có thể là lành tính hoặc không lành tính (ung thư). Polyp túi mật lành tính chiếm khoảng 92% các trường hợp, gồm có hai loại: u tuyến như adenoma, leiomyome (u cơ), lipome (u mỡ)... u giả như cholesterol polyp (u cholesterol), andenomyomatosis (u cơ tuyến), viêm giả u... Polyp túi mật ác tính chiếm khoảng 8%, gồm có adenocarcinoma (ung thư tuyến), mealanoma (u sắc tố), di căn ung thư... Số lượng và kích thước của polyp túi mật cũng khá đa dạng, nhưng thường gặp nhất là có một polyp trong túi mật với kích thước nhỏ hơn 10 mm. Một số người (rất ít) có thể có nhiều polyp trong túi mật hoặc kích thước polyp lên đến 20-40 mm, hay vừa có polyp vừa có sỏi túi mật. Tuy vậy trên thực tế, polyp túi mật chủ yếu gặp ở người trưởng thành, rất hiếm gặp ở trẻ em. Tỷ lệ polyp túi mật trong cộng đồng dao động từ 0,03 - 9%. Nếu so với sỏi túi mật thì polyp túi mật ít gặp hơn sỏi túi mật, hay gặp ở phụ nữ độ tuổi từ 30-50.
Yếu tố nào thuận lợi cho polyp túi mật xuất hiện?
Rất nhiều các yếu tố thuận lợi đối với việc hình thành polyp túi mật được quan tâm tìm hiểu như: chức năng gan mật, nồng độ đường máu, nồng độ mỡ máu, béo phì, thói quen ăn uống, nhiễm virut viêm gan…, nhưng trên thực tế chưa tìm thấy minh chứng cụ thể mối tương quan giữa các yếu tố đó với sự hình thành polyp túi mật. Đa phần các trường hợp polyp túi mật không có biểu hiện triệu chứng và được phát hiện tình cờ trong đợt khám sức khỏe định kỳ hay đi khám vì các lý do khác. Chỉ khoảng 6 - 7% bệnh nhân polyp túi mật có biểu hiện triệu chứng, thường gặp nhất là đau tức dưới sườn phải hay đau vùng trên rốn, một số ít có biểu hiện buồn nôn, nôn ói, ăn chậm tiêu và co cứng nhẹ vùng dưới sườn phải. Triệu chứng thường gặp là đau ở dưới sườn giống như bệnh lý sỏi túi mật, nhưng khác với sỏi túi mật ở chỗ là polyp túi mật ít khi có biểu hiện cấp tính do viêm hay những biến chứng của sỏi gây ra như viêm đường mật, tắc mật.
Vì vậy chẩn đoán chủ yếu dựa vào các thăm dò cận lâm sàng. Hiện nay với sự phát triển của các phương tiện chẩn đoán hình ảnh: siêu âm, siêu âm nội soi, chụp cắt lớp vi tính (CT- scanner), chụp cộng hưởng từ hạt nhân (MRI) đã giúp ích rất nhiều cho chẩn đoán polyp túi mật, phân biệt với các hình ảnh khác trong cơ quan gan mật. Trong các thăm dò chẩn đoán phổ biến trên thế giới nêu ở trên thì siêu âm vẫn là phương pháp được lựa chọn chính. Trên siêu âm có thể phát hiện thấy hình ảnh tăng âm bám dính trên bề mặt túi mật, không có bóng cản và không thay đổi theo tư thế người bệnh, đây là dấu hiệu để phân biệt với sỏi túi mật. Mặc dù có độ nhạy và độ đặc hiệu khá cao, nhưng siêu âm không thể phân biệt được là polyp lành tính hay ác tính để có chỉ định điều trị phẫu thuật. Các phương pháp khác cũng được sử dụng như chụp cắt lớp vi tính, siêu âm nội soi nhưng độ đặc hiệu không cao nên còn đang được bàn cãi.
Khi nào cần điều trị polyp túi mật?
92% polyp túi mật có bản chất lành tính (không ung thư), do vậy người bệnh không cần đến sự can thiệp điều trị cắt bỏ túi mật, hoàn toàn có thể chung sống hòa bình với polyp túi mật. Túi mật là một cấu thành của hệ thống đường dẫn mật, có vai trò tham gia điều hòa bài tiết mật và tiêu hóa thức ăn, do vậy không thể tùy tiện tiến hành cắt bỏ khi chưa có chỉ định. Theo các nghiên cứu trong và ngoài nước thì polyp túi mật nếu xác định trên siêu âm có kích thước nhỏ hơn 10mm hầu hết lành tính. Ngoài ra những hình ảnh gợi ý tính chất ác khi thấy polyp có chân lan rộng, hình không đều đặn, phát triển nhanh. Khi đó phải chỉ định can thiệp phẫu thuật ngoại khoa để cắt bỏ túi mật. Do không thể có một thăm dò nào chẩn đoán chính xác bản chất của polyp túi mật nếu chưa có can thiệp phẫu thuật, vì vậy các tác giả thống nhất một phác đồ xử trí đối với polyp túi mật như sau:
Nếu nghi ngờ polyp túi mật phát hiện qua siêu âm mà bệnh nhân không có triệu chứng như đau sốt... thì nên kiểm tra lại sau 6 tháng hay một năm để khẳng định. Nếu sau thời gian đó mà không còn hình ảnh của polyp thì không cần phải xử trí gì.
Trường hợp hình ảnh polyp rõ, cần theo dõi định kỳ bằng siêu âm 6 tháng nếu khối u lớn trên 10mm, hoặc có phát hiện các biểu hiện ác tính qua xét nghiệm máu, các thăm dò khác hoặc polyp đã có biểu hiện lâm sàng như đau sốt tái phát nên chỉ định phẫu thuật sớm. Ngày nay, với sự phát triển phẫu thuật nội soi, cắt túi mật nội soi là phẫu thuật ít xâm hại, ít đau và bệnh nhân hồi phục nhanh, ít biến chứng.
Hy vọng với những thông tin trên, bạn có thể an tâm và tiếp tục theo dõi sức khỏe cho người thân gia đình của bạn. Thân chúc bạn khỏe!