Ngày 8/11/2014. BBC News - Tinh hoàn ‘mô của con người người khác biệt nhất’ (Testes 'most distinct human tissue'). Viện Công nghệ Hoàng gia Thụy Điển (Royal Institute of Technology in Sweden) đã xác định tinh hoàn là loại mô cơ thể người riêng biệt nhất, nhóm nghiên cứu đã trình bày chi tiết những protein hoạt động trong những mô của cơ thể người và cho thấy tinh hoàn cần bộ protein khác biệt nhất để hoạt động.
Atlas Protein cơ thể người (The Human Protein Atlas) đã được mô tả là một “nền tảng thực sự quan trọng” (really important foundation) cho nghiên cứu khoa học và có thể giúp phát triển các loại thuốc mới. DNA cơ thể người có chứa thông tin hướng dẫn cho việc xây dựng khoảng 20.000 protein-những phần nhỏ bé của cơ cấu sinh học vận hành cơ thể chúng ta, việc phối hợp các protein hoạt động trong một tế bào quyết định chức năng của nó-một tế bào lọc máu trong thận làm việc khác với một nơ-ron trong não bộ.
|
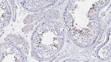
| Tinh hoàn là loại mô cơ thể người riêng biệt nhất |
‘Quản lý’ ('Housekeeping')
Các nhà khoa học hiện đã phân loại rõ ràng những protein nào hoạt động ở đâu và hy vọng rằng những phát hiện này có thể có những hệ quả cho y học, Gs Mathias Uhlen-trưởng dự án cho biết: “Thật đáng ngạc nhiên cho chúng ta, đó hoàn toàn là protein rất ít được làm giàu ở các bộ phận khác nhau của cơ thể con người và gần một nửa trong số 20.000 gen được mã hóa cho protein mà được thể hiện trong tất cả tế bào và mô của cơ thể”, chúng được mô tả như là “quản lý” những protein cần thiết để giữ cho mọi tế bào hoạt động nhưng có 999 protein có ý nghĩa tích cực hơn trong mô tinh hoàn hơn bất kỳ nơi nào khác trong cơ thể. Võ não bộ có 318 protein, gan có 172 và cơ trơn là 0. Gs Uhlen nói với BBC News: “Nếu bạn đang quan tâm tới chứng rối loạn não hoặc thần kinh (brain or neurological disorders) hoặc thậm chí là các bệnh thoái hóa như Alzheimer’s thì chắc chắn sẽ rất thú vị khi biết rằng loại protein nào được tăng cường trong não bộ”. Ông suy đoán tinh hoàn là duy nhất bởi vì các biện pháp phức tạp của sản xuất tinh trùng là quá trình cần phải có một nửa DNA nhiều như một tế bào bình thường: “Ngoài ra còn có khoảng 600 protein là mục tiêu cho tất cả các loại thuốc dược phẩm, vì vậy bạn có thể nói đâu là những mục tiêu nằm trong cơ thể bởi vì nó cung cấp cho bạn những chỉ dẫn về tác dụng phụ”.
|
| Một số protein năng động hơn trong mô tinh hoàn hơn bất kỳ nơi nào khác trong cơ thể |
Các kháng thể (Antibodies)
Nhóm nghiên cứu đã sử dụng những kháng thể được thiết kế để gắn vào các protein khác nhau, sau đó họ cho tiếp xúc với 32 loại mô-đại diện cho tất cả các cơ quan và mô quan trọng trong cơ thể- để xem các kháng thể nào bị kẹt lại và do đó những protein nào đã hoạt động. Nhóm đã tập trung vào phát triển một “atlas bệnh lý học” sẽ cho thấy điều gì bị trục trặc trong khi mắc bệnh và những protein nào có liên quan. Ts Ewan Birney, phó giám đốc Viện sinh tin học châu Âu (EBML) cho biết dự án sẽ bổ sung cho các tiến bộ nhanh chóng trong việc hiểu rõ DNA, ông trả lời với BBC: “Thật tuyệt vời-nó sẽ trở thành một nguồn nền tảng thực sự quan trọng bên cạnh nền tảng Dự án bộ gen người (Human Genome Project), nó sẽ thúc đẩy cả nghiên cứu cơ bản và lâm sàng, đó là tiến gần tới hành động hơn so với những bộ gen. Khoảng một nửa trong số các protein chúng ta thực sự bối rối về điều mà chúng làm… [và bây giờ đang có] các protein tồn tại và chúng ta biết chúng làm điều gì đó nhưng giờ chúng ta biết nơi để tìm”. Ông lập luận tinh hoàn có những protein đặc biệt hơn vì tập trung vào sản xuất một số lượng lớn tinh trùng (sperm) mà không có bất kỳ lỗi nào trong mã di truyền của chúng, theo ông các đột biến trong một tế bào bình thường cuối cùng có thể dẫn đến ung thư, tuy nhiên một đột biến trong tinh trùng có thể ngăn chặn nó có khả năng thụ tinh cho trứng, trong khi đó những protein não bộ duy nhất có thể giảm xuống (may be down) một “vấn đề hậu cần tuyệt đối” tham gia vào các hoạt động tế bào thần kinh thực sự dài trải ra trên não.