Một nghiên cứu ở Mali đã chỉ ra rằng ký sinh trùng sốt rét (KSTSR) ẩn nấp trong suốt mùa khô bằng cách thay đổi các thuộc tính của hồng cầu.
Mỗi năm sốt rét cướp đi sinh mạng xấp xỉ 400.000 người, phần lớn trong số này là trẻ em và phụ nữ có thai tại châu Phi. Các nhà khoa học từ lâu đã biết rằng phần lớn các ca bệnh và tử vong xảy ra trong các tháng mùa mưa, khi những con muỗi xuất hiện nhiều vô kể. Nhưng làm thế nào mà căn bệnh này có thể tồn tại và duy trì trong suốt các mùa khô kéo dài, khi hầu như không có ai bị ốm và có rất ít muỗi để mang ký sinh trùng sốt rét nhỏ bé lây từ vật chủ người này sang vật chủ khác?
Bí ẩn đó từ lâu đã khiến các nhà khoa học bối rối. Nhưng một nghiên cứu gần đây trên tạp chí Nature Medicine bởi các nhà nghiên cứu từ Đức và Mali đã cung cấp cho chúng ta ít nhất phần nào đó câu trả lời: KSTSR đã tạo ra một sự thay đổi gen cho phép nó ẩn nấp trong dòng máu của người nhiễm bệnh trong nhiều tháng trời mà không bị phát hiện.
Các nhà khoa học đã bắt đầu bằng cách lấy máu đều đặn của gần 600 trẻ em và thanh niên ở Kalifabougou, một thị trấn tại vùng nông thôn Mali có các mùa mưa và mùa khô rõ rệt. Các xét nghiệm máu sau đó đã cho thấy rằngngay cả khi các mẫu máu có quá ít KST tới mức không thể thấy được bằng kính hiển vi thì khoảng 20% người tham gia nghiên cứu vẫn có mậtđộ ký sinh trùng rất thấp ẩn bên trong một số hồng cầu những đối tượng này.
Trong một số hồng cầu bị nhiễm bệnh, KSTSR tạo ra các protein kết dính nổi lên trên bề mặt của các hồng cầu. Các hồng cầu này sẽ bám vào thành các tĩnh mạch và động mạch, thay vì bị dòng máu đưa vào trong lá lách nơi chúng sẽ bị phá hủy. Nghiên cứu mới đã phát hiện rằng hoạt động này thay đổi theo mùa.
Chuyên gia nghiên cứu sốt rétSilvia Portugal tại Viện Sinh học Nhiễm trùng Max Planck ở Berlin và là tác giả chính của nghiên cứu này cho biết lá lách con người là một bộ phận hoạt động giống một cái rây, với các khe hở hẹp mà chỉ các hồng cầu non, linh hoạt mới có thể lọt qua.

Bệnh sốt rét do muỗi truyền, đặc biệt là vào các tháng mùa mưa, cướp đi sinh mạng 400.000 người mỗi năm.
Nguồn ảnh: Athit Perawongmetha/Reuters
Các hồng cầu cứng, già hơn cũng như là các hồng cầu có chứa các KST đang sinh sôi nảy nở, thường bị bắt lại trong lá lách và bị các bạch cầu lớn gọi là các đại thực bào (macrophage) đi tuần tra tiêu hóa.
Tại nhiều khu vực của châu Phi, mùa mưa có thể gây chết người. Khi KSTSR sinh sôi nhiều và khiến các hồng cầu hút các protein kết dính, các hồng cầu này có thể làm nghẽn các mao mạch nhỏ bé trong não. “Sốt rét thể não” thường dẫn đến tử vong.
Mỗi ký sinh trùng có một danh sách dài các protein được mã hóa trong bộ gen của chúng, từ đó chúng có thể sử dụng một cách chọn lọc. Nó có thể tạo ra tới 60 biến thể của các protein này để xâm nhập vào bề mặt của các hồng cầu. Thông thường, cứ vài ngày một lần KST sẽ chuyển sang một protein mới để chạy trốn khỏi các kháng thể do phản ứng miễn dịch của vật chủ tạo ra.
Nhưng các nhà nghiên cứu phát hiện rằng, trong mùa khô, các KST trong hầu hết các hồng cầu lại ngừng tạo ra các bản protein kết dính kia. Chúng len vào trong lá lách để bị tiêu hủy. Nhưng một vài kẻ sống sót vẫn bám dính lại, và dường như làm chậm lại quá trình chuyển hóa của chúng, giống như những con gấu tí hon đang ngủ đông vậy.
Điều này có hai tác dụng giúp bảo vệ chúng.Đầu tiên, bằng cách đo hàm lượng các protein viêm tạo ra bởi hệ miễn dịch, TS. Portugal đã chỉ ra rằng các KST ẩn dật bằng cách nào đó đã trở nên quá “yên lặng” tới mức không thể làm kích hoạt sự phản công của hệ miễn dịch có thể tiêu diệt chúng.Hai là, quá ít hồng cầu còn bám dính để làm tắc nghẽn các mao mạch não, vì vậy ngay cả những trẻ em bị nhiễm bệnh vẫn sống sót.
TS. Portugal cho biết: “Một KST nếu giết chết vật chủ của chúng vào mùa khô thì đồng nghĩa với cái kết dành cho chúng”.

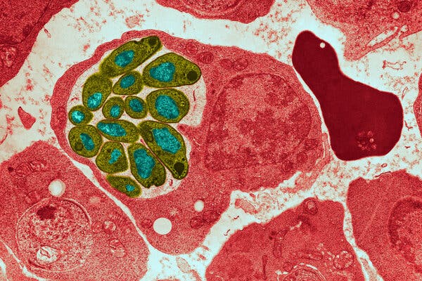
Một ảnh chụp bởi kính hiển vi điện tử truyền qua (TEM) có màu cho thấy sốt rét đang xâm nhập các hồng cầu.
Nguồn ảnh:Omikron/Science Source
Sarah K. Volkman, một nhà sinh học phân tử tại Harvard’s T.H. Chan School of Public Health và là một chuyên gia sốt rét hàng đầu đã gọi nghiên cứu mới này “có tầm quan trọng”. Nghiên cứu của TS. Volkman tại Senegal đã phát hiện rằng các dòng giống KST này đã tồn tại trong các ngôi làng được 10 năm. Bà chỉ ra rằng việc hiểu được tầm quan trọng của nguồn chứa bệnh nhỏ bé trong mùa khô này có thể giúp tìm ra biện pháp tiêu diệt KST khi chúng đang ở thời điểm yếu nhất.
TS. Miriam K. Laufer, một chuyên gia về sốt rét tại Trường Y tế của Đại học Maryland cũng ca ngợi nghiên cứu này, cho rằng “nghiên cứu này cung cấp dữ liệu cụ thể về những điều chúng tôi nghĩ là đúng, chẳng hạn như những ca nhiễm trong mùa khô thì không tạo ra một đáp ứng miễn dịch lớn”.
TS. Nicholas J. White, giám đốc đơn vị nghiên cứu sốt rét có trụ sở tại Đại học Oxford và Đại học Mahidol University ở Thái Lan, thì tỏ ra dè dặt hơnvà dẫn chứng rằng các nhà nghiên cứu ở Việt Nam trước đó đã chứng minh việc KSTSR vẫn tồn tại trong các tháng mùa khô.
Ông cho rằng, KSTSR có thể chỉ đơn giản “thay quần áo” vài chu kỳ một lần để tránh bị hệ miễn dịch phát hiện ra, và số lượng ít các hồng cầu bám vào thành mạch máu có thể được giải thích là do sự thay đổi trong đáp ứng kháng thể của vật chủ hơn là sự thay đổi bên trong ký sinh trùng.
Nhưng ông cũng thừa nhận rằng ông không thể giải thích được những quan sát của TS. Portugal về việc các hồng cầu bị nhiễm bệnh lại có xu hướng dễ bị phá hủy bởi lá lách trong suốt mùa khô.
Tất cả các chuyên gia đều đồng ý rằng cần phải nghiên cứu sâu hơn nữa về vấn đề này.
Phát hiện này đã mở ra một câu hỏi hấp dẫn: Điều gì đã kích hoạt sự thay đổi này? Làm thế nào mà KSTSR ẩn sâu trong cơ thể người “biết được” khi nào mùa khô đã bắt đầu và sự sống của chúng sắp trở nên nguy hiểm? Hoặc khi nào các cơn mưa đã bắt đầu và đã đến lúc chúng quay trở lại?
Trên lý thuyết thì phải có thứ gì đó gây áp lực cho KSTSR. TS. Laufer cho biết, khi KSTSR chịu áp lực, chúng phản ứng bằng cách chuyển thành các giao bào (gametocyte), giai đoạn vòng đời hữu tính cho phép muỗi nuốt vào và chuyển sang vật chủ mới. Đây là một động thái liều lĩnh: Chúng không thể biến đổi ngược trở lại, và nếu chúng không được muỗi hút, chúng sẽ chết.
Các loại thuốc sốt rét được biết đến việc gây áp lực và làm kích hoạt những thay đổi đối với giao bào. TS. Laufer suy đoán rằng nhưng cũng có thể là một loạt KST mới đổ xô vào mùa mưa bị muỗi hút và cạnh tranh với KSTSR ẩn dật để chiếm được các hồng cầu ngon ngọt.
Một khả năng khác đó là một số protein trong nước bọt của muỗi hoặc trong các phản ứng dị ứng của con người với nước bọt muỗi-các histamin gây ngứa tại các vết đốtgiúp cảnh báo KSTSR ra khỏi nơi ẩn nấu.
Một số nghiên cứu khác cho rằng muỗi thích đốt những người đã mắc sốt rét trước đó. KSTSR bằng cách nào đó làm cho những người này có mùi thú vị hơn. Được biết, chó có thể được huấn luyện đểphát hiện những người nhiễm sốt rét, dù chỉ cần ngửi qua những chiếc tất mà trẻ em bị nhiễm bệnh đã mang.
Các chuyên gia cho rằng ý tưởng về việc chính các con muỗi là đồng hồ báo thức cho KSTSR không phải là điều không tưởng, vì KSTSR biểu hiện là một bậc thầy sinh tồn theo thuyết tiến hóa của Darwin. Nhưng hiện cũng chưa có bằng chứng.
TS. Portugal cho biết: “Chúng tôi cũng chưa biết được. Nhưng tôi mong hiểu rõmọi thứ hơn”.
Tiến sĩ Volkman nói, sự phụ thuộc lẫn nhau bền bỉ của vật chủ và vật ký sinh khiến cô nhớ đến bài thơ “Lời chúc mừng năm mới” của W.H. Auden. Trong đó, nhà thơ hoan nghênh các loại nấm men và vi khuẩn ký sinh trên da của mình, nhưng cảnh báo rằng chúng có thể bị chết bỏng khi ông tắm. Số phận cuối cùng của chúng sẽ kết thúc với số phậnông, ông chú thích: "Một Ngày Tận thế, khi lớp da của ta đột nhiên trở nên quá lạnh, quá ôi thiu dành cho các ngươi thì lại khiến cho những kẻ săn mồi hung tợn hơn thèm khát."