Ngày 6/4/2014. BBC News - Thời tiết xấu và một chuyến bay bị trì hoãn có thể là một công thức chung về sự khổ sở nhưng trong một trường hợp cách đây 50 năm nó đã dẫn đến một khám phá đã cứu vô số hàng ngàn sinh mạng.
Việc phát hiện ra các virus Epstein Barr-đặt theo tên của bác sĩ người Anh Anthony Epstein nhờ vào kiến thức uyên thâm của chuyên gia về virus, loại virus gây ra khối u ở gà cộng với kỹ năng thu được trong việc sử dụng một trong những kính hiển vi điện tử bán sẵn đầu tiên.
“Tôi có cảm giác rằng đây có một cái gì đó đặc biệt", Sir Anthony Epstein. Linh cảm của ông được trợ giúp bởi một cuộc hành trình dài hơn so với dự kiến về một số tế bào ung thư từ Uganda, các vật thể đó gần đã bị ném vào thùng rác nhưng điều đó sẽ không bao giờ xảy ra nếu sự tò mò của Epstein không bị thu hút sự hăng hái bởi một bài thuyết trình của bác sĩ Ai-len- Denis rẽ hướng để trở thành "bác sĩ phẫu thuật ở vùng rừng rú, bụi bặm" (bush surgeon). Trong bài giảng, tự quảng cáo mình như là một nhân viên bắt gặp "Loại ung thư phổ biến nhất của trẻ em vùng nhiệt đới châu Phi", Burkitt mô tả ông đã nhận thấy như thế nào về một số trường hợp các khối u gây ra bệnh suy nhược phát triển xung quanh xương hàm của trẻ em ở các vùng cụ thể, đặc biệt ở những vùng có nhiệt độ cao và lượng mưa cao. Bây giờ chúng ta biết điều này như là u lympho Burkitt.
 |
| Hình ảnh virus Epstein Barr dưới kính hiển vi điện tử |
Sir Anthony Epstein, hiện nay 93 tuổi nói với chương trình kiểm tra sức khỏe (health check programme) của BBC nhớ lại: "Tôi nghĩ phải có một số tác nhân sinh học có liên quan đến, tôi đã nghiên cứu trên virus gà gây ung thư, có các khối u gây ra bởi virus ở trong đầu của mình. Tôi nghĩ [nó] đã được thực hiện bởi một số vector côn trùng hoặc một số tật giật ở vùng mặt là lý do tại sao nhiệt độ có liên quan". Virus Epstein Barr thuộc về họ của virus herpes và có mối liên kết với một số tình trạng bệnh lý khác nhau, tùy thuộc vào nơi bạn sống. Hầu hết mọi người bị nhiễm virus Epstein Barr, bệnh được biết rõ ở các nước có thu nhập cao gây sốt ở các tuyến làm đau họng, mệt mỏi nặng và sưng hạch ở cổ.
Theo Dorothy Crawford, giáo sư danh dự về vi sinh học tại Đại học Edinburgh cho biết có đến 95% tất cả người lớn bị nhiễm virus: "Virus này lây lan trong thời thơ ấu ở các mức độ khác nhau trong tuyến nước bọt thông qua tiếp xúc gần gũi, ở các nước châu Phi hầu hết trẻ em có virus này vào lúc 2 tuổi bởi vì chúng dùng chung ly uống nước trong gia đình. Tỷ lệ này thấp hơn ở khu vực trung lưu của nước Anh, vì vậy nếu bạn chưa bị phơi nhiễm vào những năm đầu lúc còn trẻ tuổi thì virus có thể gây sốt các tuyến". Điều này đã cho nó một cái tên biệt danh là bệnh hôn (kissing disease) bởi vì: “Người ta hôn nhau trong hàng sau của rạp chiếu bóng thì việc trao đổi nước bọt sẽ nhiều hơn trẻ em dùng chung đồ chơi" bà ta giải thích. Epstein yêu cầu các mẫu của các khối u từ Burkitt và chúng đã được gửi trở lại trên các chuyến bay qua đêm từ Uganda.
 |
| Sir Anthony Epstein và Tiến sĩ Yvonne Barr, người bạn nhã nhặn và lịch sự của Anthony Epstein |
Nỗ lực của Epstein trong gần 3 năm nhằm khôi phục lại virus từ các tế bào khối u thất bại, dù cố gắng một số phương pháp nuôi cấy được sử dụng thành công cho các virus khác như cúm, sởi. Cuối cùng thời tiết xấu đến và giải cứu, sương mù làm trì hoãn một chuyến bay được chuyển hướng đến Manchester cách 200 dặm từ London, vì vậy các mẫu lấy từ hàm trên của một bé gái 9 tuổi bị u lympho Burkitt đã không đến được Epstein cho đến cuối một buổi chiều thứ sáu ngày 5/12/1963. Vào thời điểm đó ngoảnh về quá khứ sự thất vọng diễn ra từng ngày: "Các chất lỏng có màu vẩn đục cho thấy nó đã bị ô nhiễm trên đường đi", Epstein cho biết: "Đó có phải là sự nhân lên đầy đủ các vi khuẩn ? trước đây chúng tôi đã ném nó đi nhưng khi tôi nhìn nó dưới một kính hiển vi chuẩn bị sẵn bị ẩm ướt và thấy số lượng lớn các tế bào khối u trông có vẻ mạnh khỏe, di chuyển tự do được chảy ra từ các bờ của khối u".
Theo truyền thống, các tế bào phát triển thành công trong nuôi cấy đã tham gia gắn chúng vào một bề mặt thủy tinh để hỗ trợ nhưng các tế bào ung thư hạch dường như tăng trưởng thuận lợi trong một dung dịch treo. Một khi tất cả các xét nghiệm thông thường khác nhằm xác định virus từ tế bào nuôi cấy đã thất bại, Epstein cố gắng dùng kính hiển vi điện tử, các ô vuông đầu tiên ông xem bao gồm một tế bào chứa đầy virus herpes. Phấn khởi bởi những gì ông đã nhìn thấy, Epstein đi dạo trong tuyết mùa đông và trở lại cảm giác bình tĩnh hơn: "Tôi đã vô cùng sợ hãi trong trường hợp chùm tia điện tử [của kính hiển vi] đốt cháy hết các mẫu và ghi nhận vi-rút herpes ngay lập tức, có 5 virus rồi thì bây giờ có 9, bất kỳ ai trong những người sau đó nổi tiếng muốn xóa bỏ sự nuôi cấy khi họ đã sao chép nhưng điều này đã không xảy ra. Tôi có cảm giác rằng đây là một cái gì đó đặc biệt".
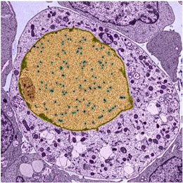
|
| Các hạt virus trong nhân của tế bào ung thư bạch cầu |
Sự hiểu biết của chúng ta về loại virus lan rộng này được đặt tên, sau khi Epstein và một trong những sinh viên tiến sĩ của ông là Yvonne Barr-người giúp chuẩn bị các mẫu đã tăng lên trong những năm qua kể từ khi Epstein khẳng định phát hiện của mình với các đồng nghiệp là các nhà virus học người Mỹ. Dữ liệu của Burkitt đã giúp xác định rằng khối u mang tên ông đã được nhìn thấy ở trẻ em với bệnh sốt rét mãn tính, căn bệnh làm giảm khả năng chống lại virus Epstein Barr, cho phép nó phát triển mạnh nhưng hầu hết chúng ta sống khá hạnh phúc với virus. "Nếu bạn làm rối loạn sự cân bằng virut-vật chủ trong bất kỳ cách nào thì sau đó sự thay đổi diễn ra dẫn đến hậu quả rất khó chịu", Epstein nói: "Một khi mối liên hệ giữa virus Epstein Barr và u lympho Burkitt được thiếtlập thì các tình trạng bệnh lý dường như không liên quan khác theo sau bao gồm một bệnh ung thư ở mặt sau của mũi là bệnh ung thư phổ biến nhất ở nam giới ở miền nam Trung Quốc và phổ biến thứ hai ở phụ nữ trong cùng một khu vực, ngoài ra còn có một liên kết với u lympho Hodgkin, một bệnh ung thư của các tế bào máu trắng”. Theo Epstein "Mỗi một người thoát ra khỏi một căn bệnh nguy hiểm và chúng ta đã nghe nói về bệnh khác, khoảng 20% ung thư dạ dày của người Nhật Bản có liên quan đến virus". Tuy nhiên, sự liên kết khác được thực hiện bởi giáo sư Dorothy Crawford, trong khi chờ đợi thang máy tại bệnh viện Royal Free ở London: "Nó như một tòa nhà mà tất cả mọi người gặp nhau bên ngoài thang máy, tôi đang đứng bên cạnh bác sỹ phẫu thuật ghép một thận và nghe ông nói họ sẽ chỉ có trường hợp u lymho đầu tiên sau các ca cấy ghép của các nhà phẫu thuật, vì vậy tôi đã đi với ông đến khoa bệnh lý học và yêu cầu đối với một số phần của mô nhìn dưới kính hiển vi".
U lympho Burkitt bây giờ thường có thể được điều trị thành công bằng hóa trị, tại một cuộc họp gần đây ở Oxford của Hiệp hội Virus Epstein Barr các định hướng tương lai cho nghiên cứu đã được khám phá. Sự chú ý bây giờ đang tập trung vào một loại vaccin cho virus Epstein Barr và một số hiệu quả đã được chứng minh. Epstein hy vọng rằng một vaccine sẽ dẫn đến các loại thành công nhìn thấy trong các loại ung thư khác gây ra bởi virus, chẳng hạn như viêm gan B và u nhú ở người gây ra ung thư gan và ung thư cổ tử cung tương ứng.