Sốt Dengue và Sốt xuất huyết Dengue chủ yếu là bệnh ở vùng nhiệt đới và cận nhiệt đới. Nhiễm virus Dengue gây nên triệu chứng lâm sàng khác nhau tùy từng cá thể. Bệnh có thể chỉ biểu hiện như một hội chứng nhiễm virus không đặc hiệu hoặc bệnh lý xuất huyết trầm trọng và đưa đến tử vong. Có thể nói Dengue là một bệnh do virus lây truyền do muỗi thường gặp nhất ở người. Trong những năm gần đây bệnh đã trở thành mối quan ngại lớn đối với sức khỏe cộng đồng trên bình diện quốc tế. Trên toàn thế giới có khoảng 2,5 tỷ người hiện đang sống trong vùng có lưu hành bệnh. Sự lan tràn về mặt địa lý của cả vector truyền bệnh là muỗi và virus đã đưa đến sự tăng cao tỷ lệ bệnh trong vòng 25 năm qua cũng như khả năng xuất hiện dịch do nhiều loại huyết thanh khác nhau ở các đô thị trong vùng nhiệt đới.
Muỗi vằn là vật trung gian truyền bệnh, đây là loại muỗi sống ở những nơi bùn lầy nước đọng chung quanh nhà, hoặc các nơi ẩm thấp tối tăm trong nhà. Biểu hiện là xuất huyết da, niêm mạc và trụy tim mạch, dễ đưa đến tử vong nếu điều trị không kịp thời và không đúng mức.
Malaysia sẽ trở thành quốc gia đầu tiên trên thế giới sử dụng muỗi biến đổi gene để ngăn chặn bệnh dịch sốt xuất huyết.
Hội đồng An toàn sinh học tại Malaysia (NBB) vừa phê chuẩn đơn xin của Viện nghiên cứu Y khoa (IMR) về việc thả những con muỗi vằn đực được biến đổi gene (muỗi GMO). Cụ thể, IMR muốn xúc tiến thí nghiệm tại Bentong và Alor Gajah để biết những con muỗi có thể bay bao xa và sống trong bao lâu.
Mục đích của việc biến đổi gene cho muỗi đực là để chúng giao phối với muỗi trong tự nhiên. Như vậy, con cháu của chúng sẽ chết trước khi trở thành muỗi vằn trưởng thành – những con muỗi mang virus sốt xuất huyết (SXH). Các nhà nghiên cứu hi vọng số lượng muỗi vằn sẽ giảm cùng với tầm ảnh hương của bệnh SXH. Sau đây là 10 điều nên biết về muỗi biến đổi gen:
 |
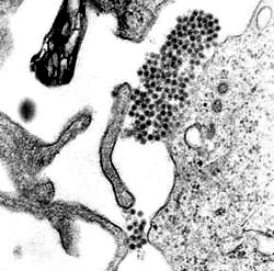
Hình ảnh virus dengue trên kính hiển vi điện tử. |
1. Muỗi GMO có thể gây nên những hậu quả không thể dự tính trước. Hiện, vẫn còn nhiều câu hỏi chưa được trả lời về tính an toàn của những con muỗi GMO.
2. Hầu như chưa có kiến thức lẫn kinh nghiệm về muỗi GMO và một số nhà khoa học lo lằng về ảnh hưởng của loài này đối với sức khỏe và môi trường. Họ cũng đã đệ trình những lo ngại của mình lên NBB và Bộ trưởng Bộ Tài nguyên và môi trường. Sự thiếu đồng tình, thậm chí giữa các nhà khoa học, về tính an toàn của muỗi GMO có nghĩa rằng chúng ta nên lưu tâm hơn về việc phát tán chúng.
3. Việc thực nghiệm rất có khả năng được lặp lại nhiều lần và một số muỗi lớn sẽ được thả. Mỗi lần phát tán ước tính khoảng 4000 – 6000 con muỗi GMO, nhân lên cho 2 địa điểm và 2 lần phát tán; như vậy sẽ có tổng cộng 16000 – 24000 muỗi GMO được thả vào môi trường ở Malaysia. Con số này có thể cao hơn nếu các thí nghiệm tiếp tục lặp lại.
4. Không có gì chắc chắn rằng chỉ có muỗi đực được thả. IMR sẽ phải phân loại một cách máy móc những con muỗi đực và những con muỗi cái trước khi thả. Nhưng với một số lượng muỗi được thả lớn như vậy, mọi sai sót có thể xảy ra. Muỗi cái GMO cắn người và truyền bệnh, đây là một điều đáng lo ngại.
5. Một vài ấu trùng vốn được “lập trình để chết” vẫn có thể sống sót (3 – 4% ấu trùng sống sót trong phòng thí nghiệm), trong số đó có ấu trùng muỗi cái. Sự sống sót của ấu trùng muỗi dẫn đến việc phát tán gene biến đổi và gây ra hậu quả không thể biết trước.
6. Nếu những con muỗi GMO đã trở thành một phần trong chiến lược điều khiển SXH ở Malaysia, hàng triệu con muỗi đực GMO cần phải được thả liên tục để kìm hãm sự sinh sôi nảy nở vốn cực nhanh của loài muỗi. Ước tính cần dự trữ khoảng 100 triệu đến 1 tỷ con muỗi GMO để thực hiện dự án.
7. Kỹ thuật sử dụng muỗi GMO do Công ty TNHH Oxitec của Anh nắm giữ. Công ty này thu lợi nhuận nhờ việc thả muỗi GMO. Gần đây, Oxitec đang đối mặt thua lỗ vì vậy gánh chịu áp lực về việc những sản phẩm của họ được chấp thuận.
8. Nếu số lượng muỗi vằn giảm trong thời gian dài, sẽ có sự gia tăng những loài muỗi khác cũng có khả năng truyền bệnh SXH. Đây là quy luật tự nhiên, khi một loài suy giảm thì loài khác sẽ thay thế vị trí đó.
9. Đây sẽ là lần phát tán thứ hai muỗi vằn GMO trên thế giới – tại sao con người và môi trường Malaysia trở thành vật thí nghiệm? Đã từng có những đợt thực nghiệm tiến hành ở đảo Cayman vào năm 2009 và 2010 với cùng loài muỗi GMO. Tuy nhiên, môi trường sinh thái và con người hoàn toàn khác Malaysia nên không thể suy luận từ những lần phát tán ở đó cho trường hợp Malaysia. Vẫn chưa có một đánh giá đầy đủ, công khai về nguy cơ và những báo cáo giám sát từ thực nghiệm ở đảo Cayman.
10. Những cư dân ở địa điểm thả muỗi GMO có quyền nói “không” với những thử nghiệm này. Một trong những điều kiện bắt buộc là IMR phải thu được ý kiến đồng thuận của cư dân ở địa điểm thả muỗi GMO thông qua các diễn đàn công chúng.
 |
Muỗi biến đổi gene. (Ảnh minh họa) |
Cuộc chiến chống bệnh sốt xuất huyết
Virus gây bệnh sốt xuất huyết truyền qua đường muỗi cái chích người và hiện không có vắcxin hay thuốc đặc trị.Giới chuyên gia dẫn thống kê cho biết bệnh này lây cho 100 triệu người mỗi năm và đe dọa một phần ba dân cư trên thế giới.Giới khoa học hi vọng rằng các loài muỗi đực do họ nuôi cấy khi giao phối với muỗi cái sẽ tạo ra một loài muỗi cái con có chứa gen giới hạn mọc cánh. Các con muỗi cái trong thế hệ sau, nhận gen của muỗi bố và không thể bay vì đôi cánh không thể phát triển bình thường. Các con muỗi đực mang gen này vẫn tiếp tục bay bình thường.
Theo nhà nghiên cứu Luke Alphey từ Đại học Oxford và công ty chuyển giao công nghệ Oxitec Ltd, kỹ thuật này hoàn toàn dùng riêng cho một loài, vì các con đực thế hệ nào chỉ giao phối với riêng con cái thuộc thế hệ đó.Nếu biện pháp trên được triển khai, loài muỗi mới sẽ đủ sức loại bỏ loài muỗi tự nhiên trong vòng 6-9 tháng.
Giáo sư Anthony James thuộc nhóm nghiên cứu tại Đại học California ở Irvine nói: “Các biện pháp kiểm soát sốt xuất huyết hiện nay không hiệu quả đầy đủ và các biện pháp mới đang rất cần. Kiểm soát muỗi là nguồn lây virus sẽ giảm mức độ bệnh tật và chết chóc ở người.
 |
Điểm thả muỗi Aedes aegypty biến đổi gen ở Bentong, Pahang, Malaixia |
Thả muỗi về rừng.
Các nhà khoa học Malaixia đã thả một số muỗi đực biến đổi gene vào một khu rừng hoang ở Bentong thuộc bang Pahang, trong khuôn khổ một thí nghiệm chống SXH.
Viện Nghiên cứu Y khoa thuộc chính phủ Malaixia cho biết họ đã thả vào miền đông Malaixia 6000 muỗi đực được nuôi từ phòng thí nghiệm cùng với 6000 muỗi đực thường cùng loại (không biến đổi gene) để đối chứng.
Thủ tướng Malaixia Najib Razak cho biết dự án này là một phương pháp mới nhằm giảm sự lan truyền bệnh sốt xuất huyết vì chính phủ đã không đạt kết quả tốt trong các chiến dịch vận động người dân loại bỏ các điểm nước tù đọng là môi trường muỗi sinh sản.
Tuy không cung cấp nhiều chi tiết, Viện Nghiên cứu Y khoa đã tuyên bố thí nghiệm kết thúc thành công, và tất cả số muỗi được thả đã được giết hết bằng thuốc diệt côn trùng.
Malaixia là quốc gia đầu tiên ở Châu Á thực hiện loại thí nghiệm này trong nỗ lực chống bệnh sốt xuất huyết. Trong thí nghiệm ở Malaixia nói trên, các nhà khoa học muốn nắm được độ phủ cũng như tỉ lệ sống sót của 6000 muỗi đực thuộc loài Aedes aegypti có mang một loại gene đặc biệt gọi là tTA để sau khi giao phối với muỗi cái ngoài thiên nhiên, muỗi cái chỉ cho đẻ được loại trứng không thể nở, hoặc nếu nở muỗi con cũng chỉ sống rất ngắn ngày, không kịp trưởng thành để sinh sản, nhờ vậy sẽ giúp giảm được đàn muỗi nói chung. Loại gene này làm cho muỗi bị điều kiện hóa phải sống nhờ chất kháng sinh tetracycline.
Nếu không được cung cấp tetracycline để giải độc, một enzyme do cơ thể sản xuất sẽ tích tụ đến mức độc hại và làm muỗi chết trong vài ngày. Trong phòng thí nghiệm, muỗi sống và phát triển tốt. Nhưng khi được thả vào thiên nhiên, muỗi biễn đổi gene giao phối với muỗi cái, tạo ra muỗi con thừa kế bản sao gene điều kiện hóa. Muỗi con sẽ chết ngay vì không có tetracycline để trị độc. Các nhà khoa học hy vọng phương pháp mới này sẽ được sử dụng kết hợp với các phương pháp kiểm soát muỗi khác để làm giảm việc truyền bệnh trong những vùng hay bị sốt xuất huyết.
Giống muỗi biến đổi gene này, được đặt tên là OX513A, do hãng công nghệ sinh học Oxitec của Anh nghiên cứu thành công. Ngoài thí nghiệm hợp tác với Viện Nghiên cứu Y khoa Malaixia nói trên, trong năm 2009, và cả 2010, Oxitec cũng đã lần đầu tiên trên thế giới thực hiện một thí nghiệm tương tự liên kết với Đơn vị Nghiên cứu và kiểm soát muỗi của quần đảo Cayman. Trong 6 tháng đầu, họ thả muỗi thành nhiều đợt, mỗi đợt 50.000 con, và tổng cộng trên 3 triệu muỗi đực biến đổi gene đã được thả vào một vùng đất có diện tích 16 ha, và theo báo cáo, số lượng muỗi đã giảm 80% so với diện tích đối chứng kế cận.
Oxitec đã xin phép thử nghiệm trong nhà ở nhiều quốc gia có bệnh sốt xuất huyết, bao gồm Braxin, Pháp, Ấn Độ, Mỹ, Thái Lan, Singapo và Việt Nam. Mặc dầu Oxitec đóng vai trò chính trong việc nghiên cứu và sản xuất muỗi biến đổi gene OX513A, dự án đã có sự tham gia và đóng góp của nhiều tổ chức, thí dụ Tổ chức Bill và Melinda Gates, Tổ chức Y tế thế giới, Quỹ từ thiện PEW, và các cơ quan chính phủ các nước Mỹ, Anh, Malaixia, vv. Cụ thể, Quỹ Gates tài trợ 5 triệu đô-la cho Oxitec trong vòng 5 năm, và Oxitec cũng đã nhận nhiều triệu đô la hợp tác đầu tư từ công ty East Hill Management và Oxford Capital Partners.
Ý tưởng cho công nghệ của Oxitec xuất phát từ ông Luke Alphey từ lúc ông còn ở ĐH Oxford những năm 1990. Kỹ thuật này chủ yếu bao gồm tạo ra trong phòng thí nghiệm một loại muỗi đực mang một loại gen có khả năng giết chết muỗi con từ lúc còn là ấu trùng, sau đó muỗi biến đổi gene này được thả ồ ạt ra bên ngoài.
Khi muỗi cái ngoài tự nhiên giao phối với muỗi đực này, muỗi cái không thể có con. Nếu muỗi đực biến đổi gene đi tìm và giao phối với muỗi cái thường xuyên hơn là muỗi đực ngoài thiên nhiên thì đàn muỗi sẽ giảm số lượng rất nhiều. Hiện ông Alphey là khoa học gia trưởng, giám đốc nghiên cứu củaxitec. Nhờ công trình về muỗi biến đổi gene, ông đã được trao một trong 39 giải thưởng Tiên phong về công nghệ tại Diến đàn Kinh tế Davos.
Các đại học của Úc và Mỹ cũng đang thực hiện nghiên theo hướng dùng muỗi trị muỗi, chẳng hạn tạo ra một loại muỗi không bay được, trong nỗ lực chống các loại bệnh do muỗi truyền kể cả bệnh sốt xuất huyết. Các nhà nghiên cứu Úc hiện đi theo một hướng rất khác: sử dụng muỗi biến đổi gene có mang vi khuẩn để hạn chế khả năng tăng trưởng của đàn muỗi. Physorg.com cho biết Úc và Việt Nam trong năm 2011 này sẽ thực hiện một số thí nghiệm thả muỗi biến đổi gene vào thiên nhiên.
Dư luận
Mặc dầu thí nghiệm ở Malaixia đã vượt qua được các rào cản về luật và quy định, thời điểm Viện Nghiên cứu y khoa chọn để thả muỗi vẫn làm nhiều người bất ngờ. Ngay cả ông Ahmad Parveez Ghulam Kadir, chủ tịch Ủy ban cố vấn biến đổi gene của Malaixia cũng cho biết ông rất ngạc nhiên. Trước đó giới truyền thông đã đưa tin về sự phản đối mạnh mẽ từ các nhà môi trường và các tổ chức phi chính phủ.
Các nhà môi trường học Malaixia e ngại thí nghiệm sẽ có những hậu quả khôn lường, chẳng hạn muỗi có thể biến hóa thành một loại mới không kiểm soát được. Họ cho rằng trong thiên nhiên, khi một loài bị triệt tiêu sẽ để lại một khoảng trống, và khoảng trống này sẽ được điền khuyết bằng một loài khác có khả năng mang lại những bệnh tật lạ.
Theo hướng này, ông Pete Riley, giám đốc vận động của GM Freeze, một nhóm phi lợi nhuận chống biến đổi gen của Anh phát biểu về thí nghiệm ở Cayman: “Nếu loại bỏ một côn trùng như muỗi ra khỏi hệ sinh thái, chúng ta sẽ không lường được ảnh hưởng của việc đó.” Ông cho rằng một số loài sống bằng ấu trùng của muỗi.
Không có ấu trùng muỗi, chúng sẽ chết đói và tuyệt chủng. Chẳng hạn, muỗi là một loài thụ phấn rất quan trọng, là nguồn thức ăn cho chimvà dơi, mà một số loài chim và dơi có vai trò quan trọng cho nông nghiệp, vì vậy, không có muỗi chuỗi thức ăn sẽ đứt đoạn.
|
Muỗi đực Aedes aegypty biến đổi gene. |
Các viên chức chính phủ Malaixia trấn an những người quan ngại, nói rằng đây chỉ là một nghiên cứu quy mô nhỏ và chính phủ sẽ không vội vàng thả muỗi ồ ạt vào thiên nhiên. Ủy ban cố vấn biến đổi gen Malaixia yêu cầu phải theo dõi kỹ sau khi kết thúc thí nghiệm, phân tích kết quả, và cho đăng hoặc trình bày kết quả trên các tạp chí khoa học hoặc các hội nghị để các nhà khoa học khác thẩm định. Chủ tịch Ủy ban, ông Ahmad Parveez, cho rằng muỗi biến đổi gene chỉ sống được vài ngày, tất cả đều chết trong giai đoạn theo dõi và mục đích của thí nghiệm là chỉ nhằm thu thập dữ liệu chứ không phải để làm triệt tiêu đàn muỗi ngay.
Một chỉ trích khác nhắm vào tính thiếu minh bạch, úp mở của Oxitec lẫn các giới chức thực hiện thí nghiệm, cả ở Malaixia lẫn Cayma.
 |
Đảo Cayman, điểm thả muỗi Aedes aegypty biến đổi gene thí nghiệm đầu tiên trên thế giới. |
Lim Li Ching, nhà nghiên cứu về an toàn sinh học thuộc tổ chức phi lợi nhuận Third World Network phàn nàn Oxitec và Viện Nghiên cứu y học Malaixia đã vin vào một cam kết họ đưa ra từ đầu là “phải được sự đồng ý và cho phép của cộng đồng địa phương thông qua một diễn đàn công cộng ít nhất hai tuần trước khi thả muỗi vào một khu vực có người ở” để rồi không tham khảo ý kiến của ai khi thả muỗi vào một khu vực không có người ở.
Bà nhắc đến việc Oxitec giấu kín thí nghiệm ở Cayman năm 2009 và nói: “Xét những mối quan ngại lớn lao không chỉ từ phía các tổ chức phi chính phủ mà còn từ phía các nhà khoa học và người dân địa phương, tôi ngạc nhiên khi thấy họ tiến hành mà không thông báo trước….. Chúng tôi không đồng ý với với cách thực hiện thử nghiệm này một cách thiếu minh bạch như vậy. Còn nhiều câu hỏi đặt ra và chưa đủ nghiên cứu về tất cả các hậu quả của thí nghiệm này.”
Tổ chức Genewatch UK của Anh mới đây công bố một báo cáo cho thấy bản đánh giá rủi ro ban đầu của Ủy ban cố vấn biến đổi gene Malaixia là không đầy đủ và thiếu minh bạch vì không liệt kê ra các rủi ro tiềm tàng cũng như các hậu quả đi kèm.
Tháng 12 năm ngoái Genewatch UK cũng công bố một báo cáo về Oxitec và các thí nghiệm ở Cayman. Báo cáo cho rằng Oxitec phải tiến hành hết sức hấp tấp do gặp phải tình hình tài chính khó khăn. Thí nghiệm ở đảo Cayman bị chỉ trích là thiếu minh bạch vì tuy khởi đầu vào mùa thu năm 2009 và tiếp tục với một số thử nghiệm quy mô lớn hơn vào mùa hè 2010, nhưng mãi đến ngày 11/11/2010 mới công bố cho báo chí biết.
Oxitec là thành viên chủ chốt của một dự án quốc tế về nghiên cứu và thử nghiệm muỗi biến đổi gene được Tổ chức Bill & Melinda tài trợ 19.7 triệu đôla (trong đó phần của Oxitec là 5 triệu). Ông Anthony James, thuộc đại học California tại Irvine, là giám đốc dự án và là người đã nhiều năm tiến hành nghiên cứu hiện trường để thả một giống muỗi biến đổi gene khác tại bang Chiapas, Mexico.
Ông cho biết để thả muỗi vào một khu vực nào đó, cần phải trao đổi kỹ lưỡng với các nhóm dân, chính quyền, các nhà nghiên cứu và cả nông dân nữa. Ông nói thêm cái kiểu lặng lẽ thả muỗi không cho ai biết ở Cayman là không phù hợp với đường lối của dự án do Gates tài trợ.
Ngược lại, vẫn có nhiều người tỏ ra phấn khởi với kết quả nghiên cứu và thử nghiệm của Oxitec. Andrew Read, giáo sư sinh học và côn trùng học tại ĐH Pennsylvania State University, một người không tham gia vào dự án, cho biết: “Thí nghiệm ở quần đảo Cayman có thể là một bước tiến vượt bậc. Bất kỳ thứ gì có thể loại bỏ một cách có chọn lọc những loại côn trùng truyền các căn bệnh tai ác đều có ích cả.”
Nhà côn trùng học y khoa Willem Takken thuộc ĐH Wageningen, Hà Lan, cho rằng mặc dầu đã biến đổi gene, muỗi của Oxitec đã được lập trình để không thể có con, vì vậy không phải lo gì về vấn đề gene biến thái có tác hại lâu dài đến môi trường vì gene không thể truyền được từ thế hệ muỗi này sang thế hệ muỗi khác.
Phương pháp biến đổi gene của Alphey (Oxitec) khác với các nghiên cứu có tên là ‘thay thế’, tức là ‘chủng ngừa’ sốt xuất huyết cho muỗi để muỗi không thể truyền sốt xuất huyết sang người, và số muỗi đã chủng ngừa này sẽ lấn lướt và dần thay thế số muỗi truyền bệnh. Kỹ thuật của Oxitec ‘được lòng’ các nhà khoa học hơn nhờ muỗi được lập trình để chết, chứ không phải để thay thế.
Thomas Miller, nhà côn trùng học tại ĐH California ở Riverside, trước đây đã cùng nghiên cứu với Alphey về sâu cây bông, cho rằng các phương pháp kiểm soát đàn muỗi xưa nay không còn hiệu quả nữa. Lâu nay chúng ta phun thuốc muỗi hoặc phá bỏ các điểm nước tù để diệt trứng muỗi. Tuy nhiên, ở đô thị, rất khó loại bỏ các chỗ nước đọng trong các lon không, bánh xe dự trữ, rãnh nước.
Còn cách truyền thống là dùng màn thì chỉ giúp làm giảm số ca mắc bệnh sốt xuất huyết, chứ không giảm được số lượng đàn muỗi. Vì vậy chúng ta có thể hy vọng như ông Alphey, là “chúng ta sẽ có thể kiểm soát được sốt xuất huyết bằng cách kiểm soát muỗi truyền bệnh sốt xuất huyết, đặc biệt trong các vùng đô thị., để rồi bảo vệ được hàng triệu, triệu người khỏi sốt xuất huyết".
Đối với các chỉ trích, ông nói, “Dĩ nhiên, vẫn sẽ có một số người không chấp nhận ý tưởng này, cho dù họ biết là có ích lợi. Nhưng …cũng có nhiều người hiểu về bệnh sốt rét, bệnh sốt xuất huyết, và những bệnh do muỗi truyền qua, những bệnh họ rất ngán. Họ thấy được ích lợi của công việc mà những người như chúng tôi đang nỗ lực thực hiện.”