Ngày 20/10/2016. ScienceDaily-Hạt nano chủng ngừa chuột chống lại sốt xuất huyết (Nanoparticle vaccinates mice against dengue fever). Theo một nghiên cứu được công bố trên tạp chí PLOS Neglected Tropical Diseases, một loại mới của các hạt nano chủng ngừa có hiệu quả với chuột đối với 1 trong các type huyết thanh và có thể được tạo ra nhắm mục tiêu tất cả 4 type.
Mỗi năm hơn 350 triệu người ở hơn 120 quốc gia bị nhiễm sốt xuất huyết, căn bệnh có thể gây ra các triệu chứng khác nhau, từ đau nhức cơ bắp và phát ban da đến xuất huyết đe dọa tính mạng. Các nhà nghiên cứu đã phải vất vả tạo ra các loại vắc-xin hiệu quả chống lại virus dengue, một phần vì 4 týp huyết thanh khác nhau hoặc các chủng, gây bệnh và vắc-xin phải tiêm chủng chống lại tất cả 4 type huyêt thanh. Hiện nay, một loại mới của các hạt nano chủng ngừa hiệu quả với chuột đối với 1 trong các type huyết thanh có thể được tạo ra cho tất cả 4 type. Nỗ lực sử dụng virus sốt xuất huyết sống để phát triển một loại vắc xin sốt xuất huyết thường dẫn đến sự mất cân bằng trong khả năng miễn dịch với 4 type sốt xuất huyết-ví dụ một ứng cử viên gần đây có hiệu quả thấp hơn đối với type 2, nhiễm sốt xuất huyết trước đó với 1 type huyết thanh của bệnh sốt xuất huyết hoặc bảo vệ chống lại chỉ với 1 type huyết thanh có thể làm cho bệnh nặng hơn nếu một người nhiễm với 1 type huyết thanh khác vì vậy điều quan trọng là các loại vắc-xin có sẵn đều nhắm mục tiêu với tất cả 4 type huyết thanh.
 |
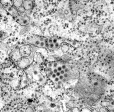
Hính ảnh kính hiển vi điện tử về sự lây truyền này (TEM) mô tả một số hạt virus Dengue hình tròn đã được phát hiện trong mẫu mô này (Credit: CDC/ Frederick Murphy) |
Để tạo ra một loại vắc xin virus sốt xuất huyêt mới, Stefan Metz, Shaomin Tian trong phòng thí nghiệm của Aravinda de Silva, Chris Luft và Joe Desimone tại Đại học Carolina, Chapel Hill, Hoa Kỳ đã thiết kế các hạt nano có kích thước và hình dạng khác nhau bằng cách tái tạo các hạt bằng công nghệ theo khuôn không ẩm ướt (Particle Replication in Non-wetting Template_PRINT). Mỗi hạt nano đã được tô điểm với các bản sao của protein DENV2-E, một protein chủ chốt từ type 2 của virus. Sau đó, các nhà nghiên cứu chủng ngừa cho 31 con chuột với một liều tiêm đối chứng hoặc một trong năm công thức khác nhau của các hạt nano, mỗi một hạt có kích thước khác nhau từ 55x70 nanomet tới 200x200 nanomet. Trong quá trình chủng ngừa cũng như 4 lần sau 2 lần chủng ngừa bổ sung đã được cho. Các nhà nghiên cứu đã lấy máu từ những con chuột theo sau các đáp ứng miễn dịch của chúng, các mẫu tủy xương và hạch bạch huyết cũng đã được lấy tại các thời điểm khác nhau sau khi tiêm chủng. Sau khi chủng ngừa với các hạt nano DENV2-E, các con chuột đã có một đáp ứng kháng thể đặc hiệu với type 2 của virus sốt xuất huyết nhưng không phải với 3 týp huyết thanh khác. So sánh với các con chuột được tiêm chỉ với protein DENV2-E hòa tan, các công thức hạt nano dẫn đến một đáp ứng miễn dịch mạnh hơn. Mặc dù các nghiên cứu trước đó của các hạt nano tương tự đã tìm thấy một hiệu ứng của kích thước và hình dạng hạt nano với các đáp ứng kháng thể thì một xu hướng như thế đã không được nhìn thấy ở mức độ đáng kể với vắc-xin DENV2-E, các nghiên cứu trong tương lai sẽ được đòi hỏi để kiểm tra xem liệu mức độ kháng thể ngăn ngừa nhiễm sốt xuất huyết cũng như liệu các hạt nano tương tự có thể được phát triển cho tất cả các type sốt xuất huyết hay không. Các tác giả cho biết: "Mặc dù chỉ tập trung vào DENV2 nhưng những phát hiện này là cơ sở cho một ứng cử viên vaccine virus sốt xuất huyết an toàn và hiệu quả, ngoài ra nền tảng này có thể được sử dụng để phát triển các loại vắc xin an toàn cho các flaviviruses khác như virus Zika là chủng virus mà phụ nữ mang thai là nhóm đối tượng tiêm phòng".