Tiếp theo Phần 1:
2. CHẨN ĐOÁN BẰNG CHỤP CẮT LỚP (CT-Scanner) VÀ CỘNG HƯỞNG TỪ (MRI)
Do đặc tính của bệnh phần lớn có liên quan đến hệ thống gan mật và do đó có đặc điểm hai pha: pha ở gan (cấp tính và giai đoạn sán xâm nhập) và pha ở đường mật (giai đoạn mạn tính). Vàng da tắc mật và viêm đường mật tái phát thường xảy ra trong giai đoạn này.

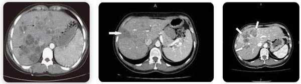
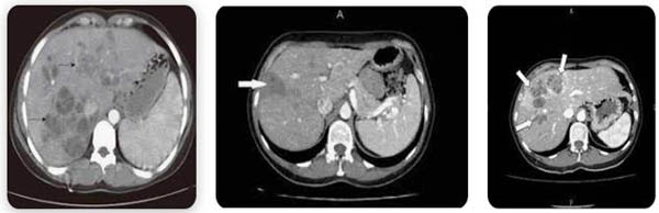
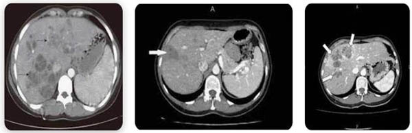
Hình 4. Hình ảnh tổn thương đa ổ abces do sán lá gan lớn trên cùng một bệnh nhân

Hình 5. Hình ảnh tổn thương đa ổ abces xen kẻ một ổ lớn do sán lá gan lớn

Hình 6. Hình ảnh tổn thương đa ổ abces do sán lá gan lớn cạnh các tạng khác
Trong các nghiên cứu mở rộng đa trung tâm về bệnh SLGL cho thấy chẩn đoán hình ảnh học đề cập đến nhu mô gan (pha cấp của ấu trùng sán khi xâm nhập vào nhu mô gan), CT-scaner giúp chỉ ra các vùng thương tổn chùm dưới bao gan và tính chất giảm âm. Trong khi đó chụp cộng hưởng từ (MRI) cũng cho các hình ảnh tương tự như trong CT-scanner nhưng hình ảnh rõ nét và đặc trưng hơn rất nhiều, giúp xác định và mô tả tổn thương đầy đủ hơn. 
Trong pha đường mật, CT scanner cho thấy hình ảnh dãn ống dẫn mật ở vị trí trung tâm sán nằm và có sự giảm âm ở vùng ngoại vi (vết) và siêu âm có giá trị xác định con sán di động khi chúng còn di chuyển trong hệ đường mật. 
Một vài nghiên cứu trên thế giới cho thấytrên siêu âm và CT scanner có tổn thương đa ổ, mật độ giảm với sự tập trung các bóng mờ hình cục ở thuỳ gan (P) và dãn rộng các nhánh đường mật trong gan, nhất là thuỳ (P). Một số nhánh đường mật dãn có hang, kích thước trung bình. Đường mật bị bao quanh bởi một phần giảm mật độ làm thành từng ổ. Những điều tìm thấy này là biểu hiện của tắc nghẽn đường mật do biến chứng viêm đường mật, khi đó sẽ tạo thành các ổ hoại tử trong gan do quá trình tắc nghẽn này. 
Ngoài ra, với sự trợ giúp của CT-scanner và MRI sẽ giúp thầy thuốc lâm sàng phân biệt hình ảnh giữa sán lá gan lớn Fasciola sp. với các khối thương tổn ác tínhở hệ gan mật khác. Điểm đặc biệt, trên siêu âm thường chúng ta thấy hình ảnh tổn thương trên gan mật thì với bờ viền ngoài không rõ ràng, song trên hình ảnh CT-scan hay MRI lại rất rõ ràng và tạo khối tách biệt so với nhu mô lành. 
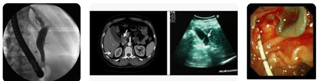
3. NỘI SOI MẬT TỤY NGƯỢC DÒNG (ERCP)
Thủ thuật nội soi mật tụy ngược dòng (Endoscopic Retrograde Cholangio-pancreatography) vừa có giá trị thăm dò, phát hiện, chẩn đoán, vừa có giá trị điều trị giải quyết trực tiếp sán Fasciolasp. kẹt trong hệ thống đường mật, nhất là trong pha/ giai đoạn sán lá nằm ở hệ đường mật thì thủ thuật này giúp lấy sán và cầm máu nếu có dấu xuất huyết đi kèm.
Có thể cho thấy sán trưởng thành nằm trên đường đi của đường mật chung. Chụp Technetium-99scancó thể cho hình ảnh đa tổn thương trong nhu mô gan khoảng 50-80% trên số ca bệnh (Robert W Tolan và cs., 2006). 

Hình 7. Áp dụng thủ thuật ERCP trong chẩn đoán và lấy sán ra đường mật tụy

Hình 8. Áp dụng thủ thuật ERCP trong chẩn đoán và lấy sán ra đường mật tụy

Hình 9. Phối hợp Siêu âm, CT-scan và thủ thuật ERCP trong điều trị sán lá gan lớn ở mật-tụy
Sinh thiết gan là một thủ thuật chẩn đoán xâm lấn được áp dụng rất hạn hữu, khi chẩn đoán với bệnh lý u gan ác tính trước khi tiến hành can thiệp hóachất.Sinh thiết gan sẽ cho biết tổn thương li ti của áp xe gan và các đường hầm do hoại tử nhu mô gan, bọc bên ngoài là tổ chức viêm với tăng bạch cầu ái toan. SLGL trưởng thành có thể tìm thấy trong mẫu giải phẩu tử thi hoặc mẫu bệnh phẩm cắt ra. Các khoang dịch dưới bao gan có thể thấy đầy các tổ chức hoại tử và tổ chức viêm kèm tăng sinh bạch cầu ái toan, mô tổn thương ở nơi mà sán lạc chỗ có thể sinh mô hạt. 
Thông thường soi ổ bụng cho thấy các u, nốt màu trắng xám hay vàng, kích thước 2-20mm và có các bề mặt dạng dây xơ hóa. Một số ca hiếm hơn có thể gặp dạng nốt ở khắp khoang phúc mạc và thành ruột. Phẩu thuật ổ bụng thăm dòcó thể phát hiện SLGL và trứng sán trong ổ bụng hoặc đường mật. Các thủ thuật cận lâm sàng khác hiếm khi áp dụng trong chẩn đoán bệnh SLGL như nội soi đường tiêu hóa trên vì thường nhiễm SLGL có thể gây hội chứng viêm tiêu hóa tăng bạch cầu ái toan (nhằm phân biệt giữa loét dạ dày tá tràng), nội soi có thể thấy tổn thương lấp đầy trong hệ đường mật và túi mật; nếu được thì chúng ta có thể loại bỏ sán thông qua nội soi. 
Tiêm thuốc tĩnh mạch cholecystokinin có thể giúp thúc đẩy quá trình đào thải trứng sán. Hoặc chọc dò màng phổinhằm loại trừ bệnh lý khác ở màng phổi, nếu hút dịch và xét nghiệm thấy tăng bạch cầu ái toàn trong dịch màng phổi nên đặt ra vấn đề chẩn đoán phân biệt.
Nhiều trường hợp áp dụng ERCP và các can thiệp khacshuts cả dịch tá tràng, một ít dịch mật xét nghiệm thấy trứng sán bên trong


Hình 10. Áp dụng nhiều thủ thuật vừa giúp chẩn đoán, vừa điều trị cabệnh nội-ngoại khoa
TÀI LIỆU THAM KHẢO  
1.Phạm Ngọc Hoa, Lê Văn Phước (1999). Hình ảnh tổn thương gan do sán lá gan lớn Fasciola hepatica trên chụp cắt lớp điện toán (CT) và cộng hưởng từ (MRI). Tạp chí Y học Việt Nam, 236-237 (6-7), tr. 89-93.
2.Nguyễn Duy Huề, Phạm Thị Kim Ngân (2006). Đặc điểm hình ảnh siêu âm của tổn thương gan do sán lá gan lớn trên siêu âm và chụp cắt lớp vi tính.Tạp chí Y học thực hành. số 3. Bộ Y tế, Hà Nội, tr. 61-64.
3.Phạm Ngọc Lai, Nguyễn Anh Dũng, Nguyễn Thanh Minh (2001). Nhân một trường hợp giả u đại tràng do sán lá gan lớn. Tạp chí Y học thành phố Hồ Chí Minh, 5(1), tr. 84-86.
4.Trần Văn Lang, Huỳnh Hồng Quang, Nguyễn Văn Khá (2008). Hình ảnh siêu âm của tổn thương hệ gan mật gây ra bởi Fasciola sp. Tạp chí Gan mật Việt Nam, Hội thảo Gan mật toàn quốc, Hội Nghiên cứu gan mật Việt Nam (VASLD), số đặc biệt tháng 8.2008: 70-77.
5.Huỳnh Hồng Quang, Lê Quang Quốc Ánh, Bùi Quang Đi và cs., (2007). Tràn khí, tràn dịch màng phổi, tràn dịch dưới bao gan, tràn dịch dưới cơ hoành kèm theo mủ, máu và dịch mật: Biến chứng do sán lá gan lớn F. gigantica. Kỷ yếu công trình NCKH, Viện Sốt rét KST-CT Quy Nhơn (2001-2006): 457-461.
6.Huỳnh Hồng Quang, Lê Quang Quốc Ánh và cs., (2007). Một trường hợp ngoại lệ viêm tụy cấp do sán lá gan lớn F. gigantica. Kỷ yếu công trình NCKH, Viện Sốt rét KST-CT Quy Nhơn (2001-2006): trang466-469.
7.Huỳnh Hồng Quang, Nguyễn Văn Khá, Đinh Trọng Sơn (2007). Hình ảnh siêu âm và CT-scan trong tổn thương gan mật do sán lá gan Fasciolae sp.Hội thảo Quốc gia về ứng dụng y sinh học phân tử trong ngành ký sinh trùng học, Hà Nội, Việt Nam: 54-61
8.Huỳnh Hồng Quang, Nguyễn Ngọc Vinh, Nguyễn Duy Sơn và cs., (2008). Đánh giá đặc điểm lâm sàng, xét nghiệm và chẩn đoán hình ảnh trên bệnh nhân sán lá gan lớn tại một số vùng lưu hành bệnh tại Việt Nam (2006-2008). Tạp chí Y học TP.Hồ Chí Minh, Vol.12 - phụ bản số 4: 11-18
9.Huỳnh Hồng Quang, Hồ Văn Hoàng và cs., (2008). Đánh giá đặc điểm lâm sàng, cận lâm sàng và chẩn đoán hình ảnh trên các bệnh nhân sán lá gan lớn tại một số tỉnh miền Trung, Việt Nam (2006-2008). Hội thảo Gan mật toàn quốc, Hội Nghiên cứu gan mật Việt Nam (VASLD). Tạp chí Gan mật Việt Nam, số đặc biệt tháng 8.2008: 53-60.
10.Huỳnh Hồng Quang, Nguyễn Văn Khá và cs., (2008). Sán lá gan lớn trong nhi khoa: Đặc điểm lâm sàng, cận lâm sàng và hiệu lực phác đồ triclabendazole tại một số tỉnh miền Trung-Tây Nguyên, Việt Nam (2005-2007). Tạp chí Y dược học quân sự, ISSN 1859-0748, Vol.33, số.2: 59-66.
11.Phạm Thị Thu Thủy, Nguyễn Thiện Hùng (2006). Đặc điểm siêu âm tổn thương gan do sán lá gan lớn. Trung tâm MEDIC thành phố Hồ Chí Minh, Việt Nam
12.Ah Jin Kim, Chang Hwan Choi, Sun Keun Choi et al., (2015). Ectopic Human Fasciola hepatica Infection by an adult worm in the mesocolon.Korean J Parasitol 2015 Dec 31;53(6):725-30. 
13.Aksoy DY, Kerimoglu U, Oto A. et al., (2006). Fasciola hepatica infection: Clinical and computerized tomographic findings of ten patients. Turk J Gastroenterol, (17), pp. 40-45.
14.Aubert A, Meduri B, Prat F et al., (2001). Fascioliasis of the common bile duct: endoscopic ultrasonographic diagnosis and endoscopic sphincterotomy. Gastroenterol Clin biol. 2001, 70:3-6.
15.Cantisani V., Cantisani C. et al., (2010). Diagnotic imaging in the study of human hepatobiliary fascioliasis. Radiol med, (115), pp.83-92.
16.Cengizhan Sezgi, Muttalip Cicek, Hadice Selimoglu Sen et al., (2013). Pulmonary findings in patients with fascioliasis. Acta Medica Mediterranea, 2013, 29: 841
17.Ghanaei F. M., Alizadeh A., Pourrasoull Z. et al., (2006). Sonographic findings of human fascioliasis. Iran. J. Radiol, 4(1), pp.11-15.
18.Gulsen M. T. M. C., Savas M. Koruk A. et al., (2006). Fascioliasis: A report of five cases presentating with common bile duct obstruction. The Netherland journal of medicine, 64(1), pp.17-19. 
19.Hakan Önder, Faysal Ekici, Emin Adin et al., (2013). An incidental case of biliary fascioliasis with subtle clinical findings: US and MRCP findings. Radiology and oncology, Vol. 47, Issue 2, pp. 125-127. 
20.Kabaalioglu A., Ceken K., Alimoglu E., Saba R. et al., (2007). Hepatobiliary fascioliasis: Sonographic and CT findings in 87 patients during the initial phase and long- term follow up. AJR. (189), pp.824-828. 
21.Kanoksil W, Wattanatranon D, Wilasrusmee C et al., (2006). Endoscopic removal of one live biliary Fasciola gigantica. J Med Assoc Thai 2006;89: 2150-2154.
22.Koc Z., Ulusan S., Tokmak N. et al., (2009). Hepatobiliary fascioliasis: Imaging characteristics with a new finding. Diagn Interv Radiol, (15), pp.247-251.
23.Nayana U Patel, Tami J Bang, Gerald D Dodd (2016). CT findings of human Fasciola hepatica infection: case reports and review of the literature.Clin Imaging 2016;40(2):251-5. 
24.Park S., Sohn S. et al., (2010). Cerrebal ischemia caused by hepatic fascioliasis.Korean J Stroke, (12), pp. 33-35.
25.Richter J, Freise S, Mull R, Millan JC, (1999). Fascioliasis: Sonographic abnormalities of the biliary tract and evolution after treatment with triclabendazole. Trop Med Int Health 4: 774-781.
26.Xuan L.T, Hung N.T, and Jitra W et al., (2005). Cutaneous fascioliasis: A case report in Vietnam”. Am J Trop Med Hyg, 72(5), pp.508-509.
27.Yesildag A., Yildiz H., Demirci M., et al., (2009). Biliary fascioliasis: Sonographic appearance patterns. Journal of Clinical ultrasound, 37 (1), pp.26-30.
28.Yesildag A., Senol A., Koroglu M., Kockar C., et al., (2010). Hepatobiliary fascioliasis: A case with unusual radiological features. Diagn Interv Radiol, Vol (16), pp. 299-301.
29.Mohamed Alshekhani, Hiwa Hussein, Taha Karbuli, Kalandar Kasnazan (2018). Large number of Fasciola hepatica discovered during endoscopic retrograde cholangiopancreatography (ERCP). Case Reports in Clinical Medicine, Vol.2, No.2, 177-178 (2013). http://dx.doi.org/10.4236/
30.Cumali Efe, Ayhan Umay, Tugrul Purnak (2021). Fasciola as an unusual cause of cholangitis. Clinical Gastroenterology and Hepatology 2021;19:e33
31.Kemal Dolay, Engin Hatipoğlu, Fatma Ümit Malya, Adem Akçakaya, Endoscopic diagnosis and treatment of biliary obstruction due to acute cholangitis and acute pancreatitis secondary to Fasciola hepatica infection. Ulus Travma Acil Cerrahi Derg 2018;24:71-3.
32.Xinxiang LiYonghua TangChengzhi ZhangWenjin ZhaJiangning Dong (2021). Imaging characteristics of Fasciola gigantica: A report of 29 cases. Radiology of Infectious Diseases, Volume 5, Issue 3, September 2018, Pages 123-130.
33.Faeze Salahshour, Abasin Tajmalzai (2021). Imaging findings of human hepatic fascioliasis: a case report and review of the literature. Journal of Medical Case Reports volume 15, Article number: 324 (2021) 
34.Sonaz Malekzadeh, Lucien Widmer, Faezeh Salahshour,  Bernhard Egger, Maxime Ronot, Harriet C. Thoeny (2021). Typical imaging finding of hepatic infections: A pictorial essay. Abdominal Radiology volume 46:544-561.
35.Ourania Preza, Ioanna Klapa, Aristotelis Tsiakalos, Demosthenes D Cokkinos, Achilleas Chatziioannou (2019). Fascioliasis: A challenging differential diagnosis for radiologists. Radiology Case. 2019 Jan; 13(1):11-16.
36.Guerrero AA, Lopez JA, Rosales YT. Clinical-radiological relationship in fasciolosis: A case report. MOJ Surg. 2018;6(2):41-44. 
37.Soo Young Choi, Jae Woon Kim, Jae Cheon Jang (2015). Hepatobiliary fascioliasis with multiple aneurysms and active bleeding: A case report.J Korean Soc Radiol. 2015 Apr;72(4):291-294.
38.Seung Youn Na, Sang-Woo Cha, Byung Hoo Lee, Woong Chul Lee, Jin Woo Choo, Jin Nyoung Kim, Young Deok Cho, Seung-Oh Yang (2022). Biliary fascioliasis mimicking focal cholangiocarcinoma on PET/CT. The Korean Journal of Pancreas and Biliary tract.
39.Walshe TM, McLean KA, Patel R, Chang SD, Harris AC. (2016). Imaging of the biliary tree: Infection, inflammation and infiltration. App. Radio. 2016; 45(4):20-26.
40.Phuong Anh Ton Nu, Thi Minh Chau Ngo, Vinh Nguyen Phuoc, Thanh Dang Nhu, Anh Do Ngoc, Le Chi Cao (2022). Biliary fascioliasis: A rare differential diagnosis of biliary obstruction. J Infect Dev Ctries 2022; 16(10):1664-1667.
41.Hesham Al Qurashi, Ibrahim Masoodi, Mohammad Al Sofiyani (2023). Biliary fascioliasis: An uncommon cause of recurrent biliary colics: Report of a case and brief review. GMS German Medical Science 2012, Vol. 10, ISSN 1612-3174
42.Takayoshi Kaida, Toru Beppu, Hiromitsu Hayashi, Katsunori Imai (2020). Inflammatory liver tumor caused by Fasciola hepatica mimicking intrahepatic cholangiocarcinoma. Anticancer research 40: 2795-2800.
43.Calixto-Aguilar, Lesly, Vasquez-Rios, George, Contreras-Grande, Jheferson, Ramos-Castillo, Wilder, Guzmán-Calderón, Edson (2019). Gastric pseudotumor due to Fasciola hepatica. ACG Case Reports Journal 6(9):p e00173.
44.Abdominal applications of ultrasound fusion imaging technique: liver, kidney, and pancreas European Society of Radiology (ESR)) Insights into Imaging (2019) 10:6