GIỚI THIỆU
Một trong những tiêu chí chính trong chẩn đoán xác định ca bệnh sán lá gan lớn ở người là hình ảnh thương tổn do Fasciola spp. khác đặc biệt và điển hình, nếu nhà chẩn đoán hình ảnh đã khá quen thuộc và thường găp như tại các vùng bệnh đã và đang lưu hành thì khả năng chẩn đoán với độ chính xác trên 95%. Việt Nam nói chung và khu vực miền Trung-Tây Nguyên nói riêng vốn sống phần lớn dựa vào nông nghiệp kết hợp kinh tế chăn nuôi gia súc, gia cầm. Đặc biệt, nguồn bò nhập ngoại và nuôi bò sữa phát triển, số lượng đàn bò được chăn thả gia tăng. Bên cạnh đó, hoạt động trồng rau xanh hay rau thủy sinh phục vụ cho nhu cầu thực phẩm hằng ngày như rau ngổ, rau cải xoong, rau muống, rau răm, rau đắng, thậm chí ăn uống sống nước giã vắt từ nhiều rau thủy sinh hoặc gan động vật còn sống để chữa bệnh theo bài thuốc cổ truyền dân gian, chính đó là yếu tố nguy cơ và làm dễ gây bệnh sán lá gan lớn cho người. 
Sán lá gan lớn (SLGL) do hai loài sán lá ký sinh ở hệ gan mậy có tên khoa học Fasciola gigantica và Fasciola hepatica,đây là hai loại ký sinh trùng gây bệnh ở động vật ăn cỏ đã được các nhà thú y mô tả từ lâu. SLGL gây bệnh ở người được xem như ký sinh lạc chủ, song hiện nay đã có bằng chứng bệnh lây truyền trực tiếp từ người sang người, nên Tổ chức Y tế thế giới đề nghị xem đó là căn bệnh ký sinh trùng quan trọng ở người (WHO, 2013). Bệnh SLGL ở người đã được thông báo ở các nước thuộc châu Âu, châu Mỹ, Mỹ Latinh, châu Phi. Ở Việt Nam, từ những năm 1990, Trần Vinh Hiển và cộng sự đã cho thấy lượng bệnh nhân mắc SLGL được chẩn đoán bằng huyết thanh miễn dịch phát hiện kháng thể (IgG Ab) cũng như ca bệnh xác định tại các cơ sở điều trị ở thành phố Hồ Chí Minh xuất hiện ngày càng tăng, phần lớn đến từ các tỉnh miền Trung-Tây Nguyên, đặc biệt kể từ năm 2003-2023, hàng trăm ngàn ca bệnh xác định đủ tiêu chuẩn (theo tiêu chuẩn của Bộ Y tế 2006, 2020 và 2022; WHO 2007, 2018) được ghi nhận tại ít nhất 52/ 63 tỉnh, thành phố trong cả nước, trong đó bao phủ trên 15 tỉnh miền Trung-Tây Nguyên. Sự gia tăng nhanh chóng của bệnh SLGL là mối quan tâm của cộng đồng do gây nhiều tác hại trên sức khỏe con người và kinh tế vật nuôi (sản lượng thịt, sức lao động, lượng sữa).
Việc chẩn đoán bệnh SLGL ở người thường dựa vào phổ lâm sàng và xét nghiệm gồm có soi tìm trứng sán trong phân (song việc phát hiện trứng sán thường hiếm khi thành công và tỷ lệ phát hiện được chri dao động 2-15% tùy thuộc nhiều yếu tố), xét nghiệm huyết thanh miễn dịch ELISA hoặc Western blot (chỉ thực hiện tại một số bệnh viện hoặc trung tâm chuyên khoa), siêu âm và chụp cắt lớp vi tính (CT-scan), cộng hưởng từ (MRI) phát hiện tổn thương là công cụ chẩn đoán thường quy tại nhiều cơ sở y tế, giúp phát hiện và chẩn đoán tổn thương SLGL rất hiệu quả. Bài viết nhằm tổng hợp và cập nhật thêm thông tin về căn bệnh ký sinh trùng truyền từ động vật lây sang người đang nổi (emerging parasitic zoonosis) tại một số quốc gia Nam Mỹ và Đông Nam Á và Việt Nam về các khía cạnh chẩn đoán hình ảnh trong phát hiện và điều trị SLGL, quản lý ca bệnh. 
MỘT SỐ CÔNG CỤ CHẨN ĐOÁN HÌNH ẢNH TRONG BỆNH SÁN LÁ GAN LỚN
1. SIÊU ÂM TỔNG QUÁT HỆ GAN MẬT
-Đặc điểm giải phẩu gan ứng dụng trên siêu âm:

Hình 1a. Sự phân chia các thùy gan nhìn từ mặt trước của gan

Hình 1b. Sự phân chia các thùy gan nhìn từ mặt dưới của gan
-Một số mặt cắt cơ bản khi khảo sát hệ gan mật trên siêu âm:
+Mặt cắt dưới sườn: gồm bốn mặt cắt chính. Mặt cắt 1 bộc lộ 3 tĩnh mạch gan làm chuẩn, trên mặt cắt này tĩnh mạch gan giữa chia gan làm 2 nửa gan phải và gan trái; tĩnh mạch gan phải chia thùy phải ra làm 2 hạ phân thùy trước (V, VIII) và sau (VI, VII); tĩnh mạch gan trái chia gan trái làm hai hạ phân thùy trong (IV) và bên (II, III). Mặt cắt số 2 có hai nhánh phải và trái của tĩnh mạch cửa làm chuẩn, ngay phía trước của tĩnh mạch chủ dưới có thùy đuôi gọi là hạ phân thùy I được giới hạn bởi dây chằng tĩnh mạch, bên trái dây chằng tĩnh mạch có hạ phân thùy II - III. Mặt cắt số 3 dựa vào túi mật làm chuẩn, trên mặt cắt này có 3 cấu trúc được cắt ngang: tĩnh mạch cửa ở phía sau, ống mật chủ ở phía trước và bên (P), động mạch gan ở phía trước và bên (T); trên mặt cắt này ta thấy hạ phân thùy IV ở bên trái của túi mật và hạ phân thùy V, VI ở bên phải của túi mật. Mặt cắt số 4 có tĩnh mạch lách làm chuẩn nhằm khảo sát tĩnh mạch lách và tụy tạng.
+Mặt cắt vai phải - rốn: đầu dò đặt chếch trên đường nối mấu đầu vai phải và rốn, ngay hạ sườn phải. Tĩnh mạch cửa nằm ở dưới đường mật, tĩnh mạch chủ dưới nằm phía dưới màn hình siêu âm theo chiều dọc.
+Mặt cắt liên sườn (P) và (T): khảo sát thùy (P) của gan, lách cũng như 2 thận;
+Mặt cắt dọc trung đòn (P): thấy rõ vòm hoành của gan cùng với thùy (P).

Hình 1c. Sự phân chia các thùy gan dựa theo các tĩnh mạch gan
-Chẩn đoán tổn thương gan dạng SLGL bằng siêu âm có thể thấy khối tổn thương giảm âm không đồng dạng, hỗn hợp âm hoặc tăng âm không đồng dạng (nếu bệnh nhân đến muộn), bờ không rõ, trong khối có những vùng trống âm tạo nên hình ảnh “vòng Olympic”.Theo y văn, ở người bị nhiễm Fasciola spp. có tổn thương về gan và tổn thương đường mật. Cơ chế gây bệnh của SLGL F. hepatica hoặc F. gigantica gồm có: (i) Sán gây hoại tử áp xe đơn ổ hay đa ổ; (ii) Gây xơ hóa chủ mô nhu mô gan; (iii) Gây viêm gan khoảng giữa; (iv) Gây thương đường mật-nơi sán dính vào thành đường mật trong hoặc ngoài gan. 
Đặc điểm tổn thương chủ mô gan thấy trên siêu âm: Dạng thâm nhiễm (giảm âm) là phổ biến, có thể gọi là thâm nhiễm gan do SLGL. Các tổn thương gọi là áp xe thiết nghĩ chỉ là chỗ nang hóa, điều này phù hợp với hình ảnh chụp cắt lớp điện toán (CT-scan) cho kiểu tổn thương gan ở siêu âm đa dạng hơn. Dấu hiệu dãn và dày vách đường mật hiếm gặp, có thể do tổn thương đang còn ở giai đoạn sớm. Dấu hiệu tích tụ dịch dưới bao gan không thường gặp và tổn thương ở HPT V-VI cũng không phải là quy luật luôn nhìn thấy. 
- Vị trí tổn thương: SLGL có thể gây tổn thương ở bất cứ hạ phân thùy (HPT) nào của gan, từ các HPT I đến HPT VIII. Thường gặp tổn thương ở gan (P) nhiều hơn gan (T) HPT V, VI và VII hay gặp hơn so với HPT IV và VIII. Khối tổn thương có thể nằm sâu trong gan hoặc có thể gần bờ gan, bao gan và tạo nên những khối dịch dưới bao gan hoặc ổ áp xe dưới cơ hoành;
- Số lượng khối tổn thương gan: thường có một khối tổn thương ở gan (80% các trường hợp), tuy nhiên cũng có nhiều ca bệnh xuất hiện 2-3 khối tổn thương định vị ở cả gan (P) và gan (T). Có vài trường hợp có rất nhiều ổ tổn thương nhỏ (microabces) lan toả tới các HPT V, VI và VII. Việc đánh giá mức độ nặng nhẹ của bệnh dựa vào số lượng chỉ mang tính tương đối bởi lẽ từ 2 khối tổn thương nhỏ tách biệt nếu không được điều trị sau một thời gian sẽ tạo thành một khối với kích thước lớn hơn nhiều;
- Kích thước khối tổn thương gan: tổn thương gan do SLGL có kích thước thay đổi tuỳ thuộc thời gian mắc bệnh đến khi thăm khám, sức đề kháng của bệnh nhân đối với sán xâm nhập. Thông thường, khi tiếp nhận bệnh nhân hay gặp các khối tổn thương có đường kính từ 3-5cm, một số ít có kích thước nhỏ hơn 2-3 cm. Tuy nhiên, không ít các trường hợp khối tổn thương có kích thước 5-7cm. Có vài trường hợp khối tổn thương to đến 9-11cm, trong những trường hợp này thường kèm theo gan lớn và triệu chứng lâm sàng nặng nề;
- Hình dạng khối tổn thương: khối tổn thương gan do SLGL có hình dạng bất định, thường được mô tả như “hình bản đồ” đường kính ngang và dọc thường không đều nhau. Ranh giới giữa vùng tổn thương với nhu mô gan lành thường khó phân biệt, không có lớp vỏ bao quanh;
- Tính chất hồi âm của khối tổn thương gan: 
Trên hình ảnh siêu âm, dựa vào các tính chất hồi âm của vùng tổn thương để chẩn đoán khối tổn thương do SLGL gây nên là rất quan trọng. Theo y văn, tổn thương gan do SLGL là một khối thâm nhiễm, bên trong có nhiều ổ áp xe nhỏ hoặc những nang nhỏ tạo nên hình ảnh “vòng tròn Olympic”.
Tổn thương SLGL điển hình:
          Là một khối tổn thương hình dạng bất định (hình bản đồ, hình tổ ong, dạng rắn bò viền ngoài) bờ thường không rõ, không có lớp vỏ ngoài một cách rõ ràng (khác với áp xe do amip E. histolytica).
         Tính chất hồi âm: vùng gan có độ hồi âm hỗn hợp. Trên nền tổ chức gan giảm âm có những vùng nhỏ tăng âm hoặc đường mật dày lên tăng âm, đồng thời có một hoặc nhiều khối trống âm lớn nhỏ (chứa dịch và các chất hoại tử trong khối áp xe) khác nhau. Ở những bệnh nhân có triệu chứng lâm sàng nặng có khối tổn thương lớn, có khi kích thước đường kính lên đến 40mm.
Các tổn thương do SLGL không điển hình:
            Là các khối tổn thương gan hoặc có kèm theo tổn thương đường mật, có tính chất hồi âm rất khác nhau. Có khối chỉ là một vùng giảm âm, có khối là một vùng tăng âm không đồng dạng dễ nhầm với hình ảnh u mạch, có khối là một vùng lớn với tổn thương thâm nhiễm, tăng âm nhẹ, không có những ổ áp xe, giới hạn tương đối rõ với vùng nhu mô gan lành nên rất dễ nhầm với một khối u gan, nhất là ung thư tế bào gan nguyên phát (HCC_HepatoCellular Carcinoma), hoặc các hình ảnh gan nhiễm mỡ từng phần nhiều mức độ khác nhau.
Các tổn thương ở vùng ngoài nhu mô gan:
          Hình ảnh túi mật lớn, thành túi mật dày, hình ảnh này không thường gặp, tuy nhiên khi tổn thương gan ở hạ HPT IV hay V thì thường có hình ảnh túi mật to, thành dày gọi là “túi mật phản ứng”. Một số ít trường hợp có khối tổn thương gan kiểu tổn thương do SLGL, nhưng đồng thời trong túi mật có một vệt dài tăng âm không kèm bóng cản, kích thước khoảng 0,6-1 x 2-3cm, đây chính là xác giun/ sán trong túi mật;
             Hình ảnh một khối dịch dưới bao gan có thể khu trú một vùng nhỏ hoặc lan rộng, khối tụ dịch nằm dưới cơ hoành hay dịch màng phổi đi kèm với hình ảnh gan bị tổn thương dạng SLGL thỉnh thoảng cũng hay gặp. Một số trường hợp có biến chứng tràn dịch đa màng ở màng ngoài tim, màng phổi, màng bụng, phù tụy. Các tình trạng như vậy dễ đe dọa tính mạng bện nhân nếu không cấp cứu kịp thời.
-Hình ảnh tổn thương gan do SLGL có thể nhầm với một số hình ảnh tổn thương gan ở các bệnh khác: 
+Hình ảnh khối tổn thương gan trong ung thư tế bào gan nguyên phát; 
+Hình ảnh khối u mạch trong gan, nhất là khi khối u mạch có kích thước lớn hơn 30mm;
+Hình ảnh khối áp xe nhu mô gan ở cả giai đoạn viêm lẫn giai đoạn hoại tử. 
-Hình ảnh tổn thương gan ở bệnh nhân tái khám sau điều trị thuốc đặc hiệu triclabendazole (biệt dược Egaten® hoặc Lesaxys®hoặc Deworm®):
+Sự hồi phục của gan sau 1-3-6 tháng điều trị bằng triclabendazole khác nhau ở trên các bệnh nhân, có lẽ phụ thuộc kích thước ổ tổn thương, thời gian mắc bệnh trước khi được điều trị và sức đề kháng của bệnh nhân;
+Một số ít trường hợp mất hẳn khối tổn thương chỉ sau 1-2 tháng điều trị dù trước đó có khối thương tổn khá lớn;
+Một số trường hợp còn quan sát được một khối nhỏ có độ hồi âm ít rõ sau nhiều tháng kể từ khi dùng thuốc đặc hiệu triclabendazole;
+Thường sau 2-3 tháng điều trị, còn khoảng 50% trường hợp thấy kích thước khối tổn thương không thay đổi, nhưng tính chất hồi âm có thay đổi rõ rệt, với nhiều vùng chuyển từ giảm âm hoặc hỗn hợp âm sang tăng hồi âm bên trong (quá trình tăng xơ hoá làm lành vết thương) làm cho khối tổn thương nổi bật lên dễ quan sát, các khối trống âm (microabces có dịch nên trong) có thể nhỏ lại hoặc biến mất.
Tuy nhiên, có một số ít trường hợp, sau 3 tháng điều trị bằng triclabendazole (TCBZ) hình ảnh khối tổn thương gan do SLGL không thay đổi đáng kể về kích thước cũng như tính chất hồi âm. Trong những trường hợp này chúng tôi cũng chưa xem đó là điều trị thất bại nếu tình trạng lâm sàng có cải thiện tốt, bệnh nhân được theo tiếp vào tháng thứ 6 sau điều trị.

-Hình ảnh tổn thương gan ở bệnh nhân tái khám sau 6-9 tháng điều trị:
+Trên 70% trường hợp siêu âm ở bệnh nhân sau 6-9 tháng điều trị thấy độ hồi âm của gan trở lại bình thường nhưng có thể nhìn thấy sẹo;
+Số còn lại thường có các kiểu hình ảnh sau: độ hồi âm của gan thô, không đồng dạng; hoặc một vùng gan có độ hồi âm tăng nhẹ so với vùng nhu mô lành xung quanh; hoặc một khối tăng âm, giới hạn rõ so với tổ chức xung quanh, trong trường hợp khối có kích thước nhỏ khó phân biệt với hình ảnh u mạch (hemangioma);
+Một tỷ lệ rất thấp (< 5% trường hợp) có hình ảnh khối tổn thương không thay đổi về cả kích thước lẫn tính chất hồi âm, hình ảnh quan sát được vẫn là một khối có độ hồi âm hỗn hợp, trên nền khối giảm âm có nhiều đám tăng âm và trống âm xen kẽ. Các trường hợp này có thể được xem là điều trị chậm lành và có thể “thất bại điều trị” và nên dùng lại liều thứ 2 của triclabendazole liều gấp đôi (20 mg/kg cân nặng).
-Hình ảnh tổn thương gan ở bệnh nhân tái khám sau 12 tháng điều trị: Nhìn chung, hầu hết trường hợp tái khám sau 12 tháng hình ảnh siêu âm gan trở lại bình thường. Một số ít trường hợp quan sát được khối tăng âm nhẹ, kích thước nhỏ.

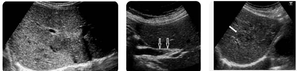
Hình 3. Nhiều ca bệnh có cả tổn thương gan và cả thương tổn sán dính hoặc đang di động 
trong túi mật hoặc gây khuyết đường mật (gây xuất huyết đường mật), 
cần can thiệp thủ thuật ERCP để cầm máu và lấy sán ra ngoài
Trong một nghiên cứu chi tiết cắt ngang mô tả và tiền cứu về đặc điểm tổn thương gan do SLGL trên siêu âm tại Trung tâm Chẩn đoán Y khoa MEDIC, thành phố Hồ Chí Minh (Phạm Thị Thu Thủy, 2004; Lê Đình Vĩnh Phúc., 2020) đã mô tả hình ảnh tổn thương rõ nét, phần lớn là tổn thương dạng thâm nhiễm với tăng bạch cầu ái toan trong máu ngoại vi. Các tổn thương được mô tả nhiều dạng khác nhau, cấu trúc nhu mô gan không đồng nhất, tổn thương dưới bao gan dạng tụ dịch, nhiều ổ áp xe, tổn thương echo kém, echo dày, có vôi hóa hay không, tổn thương dạng u mạch, hạch rốn gan, dày vách túi mật, vòng Olympic, giả dị vật đường mật đi kèm. Đồng thời, cơ chế gây áp xe bệnh lý do Fasciola sp.cho gan bước đầu đã xác định là gây hoại tử áp xe, gây xơ hóa nhu mô gan, viêm gan khoảng giữa, tổn thương đường mật (nơi định cư của sán). Những thương tổn này có thể nhầm lẫn với một u ác tính hay ung thư tế bào gan nguyên phát (HCC), có thể gặp tổn thương SLGL đồng thời với một khối u lành tính. Hiếm khi thấy được một sán trưởng thành trong túi mật hiện diện dưới dạng một vật thể di động, echo giàu. 
Còn nữa Phần 2:CHẨN ĐOÁN BẰNG CHỤP CẮT LỚP (CT-Scanner) VÀ CỘNG HƯỞNG TỪ (MRI)