Thời gian qua, bệnh sán lá gan lớn do hai loài F. hepatica và F. gigantica gây nên được rất nhiều bạn đọc và bệnh nhân quan tâm. Một số câu hỏi (Q) và trả lời (A) sau đây phần nào sẽ giúp các đồng nghiệp, bạn đọc hiểu rõ hơn về biểu hiện triệu chứng, biến chứng, điều trị và phòng bệnh sán lá gan lớn này.
Trong cuộc sống hiện nay, đặc biệt tại nhiều quốc gia đang phát triển và các vùng còn điều kiện vệ sinh kém, hệ thống vệ sinh chưa đầy đủ, nhiều người dân có thói quen ăn gỏi cá nước ngọt còn sống, rau sống chưa rửa sạch loại bỏ các ấu trùng hoặc trứng giun sán, sử dụng các chế phẩm gan súc vật còn sống hoặc xay nước rau có tính thảo dược để chữa bệnh theo cách dân gian. Đây là điều kiện để trứng hoặc ấu trùng gây ra nhiều bệnh giun, sán khác nhau. Đặc biệt là bệnh sán lá gan lớn do hai loài F. hepatica và F. gigantica xâm nhập vào đường tiêu hóa, vào dạ dày-ruột và tá tràng, theo hệ thống đường tuần hoàn máu vào gan mật phát triển, rồi sau đó định hình gây bệnh ở hệ thống gan - mật, tạo ra những ổ microabces, phá tổ chức nhu mô gan, có thể dẫn đến xơ gan, gây xơ cứng đường mật, tắc mật, vở bao gan, xuất huyết đường mật, thậm chí khi có một số ca nặng, có biến chứng tràn dịch đa màng, chèn ép nhu mô phổi, tim và chèn ép tim, khi đó phải can thiệp ngoại khoa để cấp cứu.
Q: Xin bác sỹ cho biết nguyên nhân, rau ăn có liên quan đến nhiễm trùng sán lá gan lớn cũng như chu kỳ phát triển của bệnh sán lá gan lớn?
A: Các loài thực vật thủy sinh đóng vai trò như một giá thể giúp lây nhiễm cho người khác nhau tùy thuộc vào các vùng địa lý cũng như tập quán ăn uống các loại thực vật thủy sinh của từng vùng. Vì vậy, các loài thực vật thủy sinh bị nhiễm ấu trùng sán lá gan lớn có khác nhau trong cùng một vùng và giữa các vùng. Thực vật thủy sinh (aquatic plants) chứa nhiều ấu trùng metacercaria đóng vai trò rất quan trọng trong tập quán ăn uống của người trong vùng dịch tễ bệnh, kể cả rau trồng trong gia đình hay khu công nghiệp, nhất là rau mang ra chợ bán dễ lây lan bệnh ra bên ngoài chứ không phải phạm vi vùng dịch tễ đó. Hầu hết các nghiên cứu cho rằng người nhiễm chủ yếu là doăn cải xoong, phổ biến chủ yếu các loại Nasturtium offiinate, Nasturtium silvestris và Roripa amphibia (cải xoong mọc hoang dại). Cải xoong dại được xác định là nguồn lây nhiễm tại châu Âu, ở đó bệnh sán lá gan lớn trên gia súc chiếm rất cao (Ripent và cs., 1987; Rondelauld và cs., 1991; Bouree và Thiebault., 1993) và ở các vùng khác nhau với tỷ lệ nhiễm ấu trùng (Wood và cs., 1975; Bendezu và cs., 1988).
Một nghiên cứu tại Pháp cho thấy cải xoong trồng ở gia đình đã nghi gây bệnh cho 23 thành viên, cải xoong dại nghi gây bệnh 8 trường hợp, cải xoong đưa ra bán nghi gây bệnh 2 trường hợp (Anonymous và cs., 1988) và sau đó, các nhà khoa học cho rằng cải xoong dù trồng ở gia đình hay trông công nghiệp đều có liên quan đến nhiễm bệnh (Gil-Benito và cs., 1991). Metacercariae tạo kén được phát hiện trong khoảng 1% rau diếp cá ở chợ của Peru (Bendezu., 1969) và 10,5% rau xanhnói chung bán ở chợ Samarkand (Sadykov và cs., 1988).
Các rau thủy sinh khác được xem là vật gây nhiễm bệnh cho người là rau bồ công anh (Taraxacum dens leonis), rau diếp cá (Valerianella olitora) và cây bạc hà lục (Mentha viridia) ở Pháp (Rondelaud và cs., 1982; Anonymous và cs., 1988). Các rau xanh rậm lá Nasturtium spp. Loại rau bạc hà Mentha spp. ở Iran và một vài loại rau thủy sinh khác ở Bolivia (Mas-Coma và cs., 1995). Hoặc một nghiên cứu mới đây, các nhà khoa học phát hiện ra bệnh nhân mắc sán lá gan lớn do có thói quen nhai lá khat (một loại lá cây thuốc phiện) ở khu vực có chăn nuôi cừu và hệ thống tưới tiêu không đảm bảo là không nhiễm ấu trùng và trứng sán, ngoài ranhững lá khat này được cất giữ trong bóng râm và ẩm, dưới những chiếc lá chuối rồi vận chuyển đi nơi khác, chính điều này kéo dài thời gian sống sót cho nhưng ấu trùng metacercariae đóng kén (encysted metacercariae) và đường truyền cho người rộng hơn (A cats, P Scholten và cs., 2005).
Nước sinh hoạt hàng ngày cũng được xem là một nguồn lây nhiễm. Một vài báo cáo gần đây về sự tồn tại ấu trùng metacercaria trong môi trường nước với tỷ lệ thấp dưới 10% (Vareille Morel và cs., 1993). Tại Trung Quốc, rau luôn luôn là nguồn thực phẩm chính hàng ngày, nên sự nhiễm bệnh khó tránh khỏi nếu không được nấu chín và vô trùng, quá trình nhiễm bệnh có thể ít gặp khi uống nước lã hoặc từ các metacercariae dính vào vật dụng nhà bếp như dao, thớt và vật dụng trong nhà bếp khác (Chen và Mott., 1990).
Nhiễm bệnh do ăn rau được tưới bởi nước có ấu trùng cũng đã được báo cáo (Cadel và cs., 1996). Tại Bolivia, các nhà nghiên cứu đã cho thấy có 13% metacercaria trong nước lây nhiễm (Baraguay và cs., 1996) và ở Mỹ, nơi mà người dân không ăn cải xoong (Hillyer và Apt., 1997). Tại vùng Bolivian Altiplano có một số loài rau thủy sinh ăn được như cải xoong, rêu,... với sự có mặt của của ốc Lymnae spp. là nguồn lây bệnh. Dữ liệu gần đây cho thấy người ăn phải thức ăn nhiễm sán lá gan lớn chưa trưởng thành cũng có khả năng gây bệnh (Taira và cs., 1997). Tập quán ăn uống và một vài phương thuốc cổ truyền dân gian khi dùng nước xay rau ngổ điếc để điều trị bệnh sỏi thận hay thoa lên các vết thương ở môi do virus Herpes cũng góp phần lây nhiễm bệnh sán lá gan lớn hoặc có sử dụng gan sống của gia súc có nhiễm sán lá gan lớn xử lý chưa chín với mục đích điều trị hỗ trợ bệnh gan (H. H. Quang và N.V. Chương., 2005-2007).
Sán trưởng thành sống trong ống mật người và từ ống mật trứng di chuyển tới ruột và thải ra ngoài cùng với phân. Trứng có thể tồn tại trong phân ẩm tới 9 tháng hoặc thậm chí lâu hơn mà không bị hỏng. Ấu trùng lông nở sau khoảng 2 tuần kể từ khi trứng rơi xuống nước. Nó thâm nhập vào ốc, phát triển và sản sinh ra một số lượng lớn ấu trùng đuôi bơi lội tự do và các ấu trùng đuôi này bám vào cây thủy sinh như cải xoong và tạo thành nang ấu trùng metacercariae xuất hiện ở tá tràng, xâm nhập vào thành ruột và di chuyển vào gan theo đường bạch huyết hoặc khoang cơ thể, chúng sống trong cơ thể người có lâu hơn 10 năm. Người bị nhiễm sán do ăn rau sống nhiễm nang, ăn gan sống hoặc uống nước lã có nhiễm nang sán.
Nói tóm lại, về chu kỳ của bệnh sán lá gan lớn để hoàn thành, F. hepatica và F.gigantica đòi hỏi có mặt ốc đặc hiệu trong nước đóng vai trò như vật chủ trung gian là loài ốc Lymnaea truncatula, hoặc loài ốc khác ở đó ký sinh trùng có thể sinh sản giai đoạn vô tính. Từ ốc, một vài cercariae lồi ra và bơi trong vũng nước, đóng kém gọi là metacercariae. Từ đây, metacercariae được các động vật ăn vào, trong một số trường hợp người ăn các thực vật thủy sinh chưa nấu chín sẽ tạo chu trình nhiễm. Tiếp xúc với độ pH thấp trong dạ dày tạo ra thể trẻ non chưa trưởng thành để bắt đầu cho quá trình thoát kén. Trong tá tràng, ký sinh trùng vở ra tự do xuất hiện nhiều metacercariae, chúng đào hầm và nằm dưới lớp niêm mạc ruột, rồi tiếp đến đi vào trong khoang phúc mạc. Các thể trẻ vừa mới thoát kén không ăn ở giai đoạn này nhưng một khi tìm đến được nhu mô gan (vài ngày sau đó), chúng sẽ bắt đầu ăn các thức ăn. Giai đoạn trong nhu mô gan này gọi là giai đoạn gây bệnh (pathogenic stage), gây nên thiếu máu, triệu chứng lâm sàng. Ký sinh trùng bắt đầu gây tổn thương lan tỏa khắp gan sau đó 5-6 tuần và cuối cùng tiìm đường đi vào trong ống mật nơi đó chúng sẽ trưởng thành và bắt đầu đẻ trứng. Lượng trứng có thể đẻ lên dến 25.000 trứng mỗi ngày từ một con sán hoặc nếu nhiễm nhẹ có thể đẻ 500.000/ ngày.
Q: Xin bác sỹ cho biết những triệu chứng khi một người nghi mắc bệnh sán lá gan lớn?
A: Trong khuôn khổ cho phép, chúng tôi chỉ đề cập bệnh biểu hiện do sán lá gan lớn ở cơ thể người. Bệnh diễn tiến theo hai giai đoạn tương ứng với vị trí giải phẩu kí sinh của sán trong cơ thể, cần chú ý là sán có thể sống hàng chục năm trong cơ thể, có thể không biểu hiện gì, nhưng cũng không phải là “chung sống hòa bình” mà rất nguy hiểm vì chúng gây bệnh mà chúng ta không nghĩ đến thủ phạm là nó (Bùi Văn Uy và cs., 2006), hầu hết các tác giả và nhà thực hành lâm sàng đều thống nhất triệu chứng chủ yếu của bệnh sán lá gan lớn qua các giai đoạn, như sau:
Thời kỳ ủ bệnh:
Từ khi người ăn các ấu trùng dính trong thức ăn hoặc rau xanh hoặc gan sống cho đến khi xuất hiện các triệu chứng đầu tiên phụ thuộc rất nhiều vào số lượng ấu trùng ăn vào và đáp ứng của vật chủ. Trên bệnh sán lá gan lớn ở người thì không xác định được chính xác nhưng một số tác giả tổng kết giai đoạn này là vài ngày, hay 6 tuần, 2-3 tháng hoặc thậm chí lâu hơn (Chen và Mott., 1990; Bouree và Thiebault., 1993). Sỡ dĩ có tình trạng như vậy, là do sán lá gan lớn là ký sinh chủ yếu trên gia súc, động vật nhai lại nên khi ký sinh và gây bệnh trên người thì người là vật chủ tình cờ, do vậy không đủ thời gian để phát triển đầy đủ và hình thành triệu chứng (Chen và cs., 2004; Huỳnh Hồng Quang., 2007).
Thời kỳ xâm nhập
Triệu chứng cơ năng
Triệu chứng lâm sàng nói chung các trường hợp gặp trên lâm sàng có thể xem là kinh điển , và chưa tìm thấy ca bệnh nào biểu hiện ở viêm não hoặc viêm cơ tim, tổn thương nhu mô thận như mô số tác giả nói đến. Các triệu chứng chính biểu hiện trong quá trình gây tổn thương tổ chức gan và phúc mạc do ấu trùng xâm nhập, các độc chất (Facey và Masden., 1960)và các chất gây dị ứng hoặc do hiện tượng ly giải kháng nguyên (Huỳnh Hồng Quang., 2005).Triệu chứng xuất hiện khoảng 6 -12 tuần sau khi ăn phải các nang trùng và giai đoạn này kéo dài từ 2-4 tháng, tương ứng với sự di chuyển của sán con qua nhu mô gan (quá trình di chuyển của ấu trùng Fasciola spp. từ ruột xuyên qua nhu mô gan trước khi đến vị trí cuối cùng là ống mật để trưởng thành, khác với bệnh học do sán lá gan nhỏ Chlonorchis sinensis hay Opisthorchis viverinii - ấu trùng chui trực tiếp vào ống mật. Thời điểm này, một số lượng lớn ấu trùng di chuyển qua thành ruột, qua khoang phúc mạc rồi bao gan và đa số các tác giả đều thống nhất rằng lúc này, việc điều trị thuốc đặc hiệu sẽ tỏ ra hiệu quả nhất.
Một vấn đề đáng chú ý rằng, khi nhiễm Fasciola spp. thì triệu chứng luôn luôn lặp lại và tổn thương cấp tính là bước đầu của bệnh mạn tính, do vậy, giai đoạn cấp tính có thể kéo dài và gối đầu lên giai đoạn đau âm ỉ. Cần nghĩ đến bệnh SLGL khi có những dấu hiệu, nhất là trong cùng thời điểm mà nhiều người trong cùng gia đình hoặc trong vùng có những triệu chứng giống nhau:
-Sốt là triệu chứng thường xuyên có và có nhiều kiểu khác nhau, sốt có thể về chiều và đêm, có thể sốt nóng kèm theo ớn lạnh, có khi nhiệt độ cơ thể cao đến 400C, dấu chứng này có thể xảy đến cho các bệnh nhân có nhiễm khuẩn đường mật, hoại tử ống mật, abces dưới cơ hoành hoặc nhiễm khuẩn huyết do sán mang lên, hoặc một số trường hợp nhiễm trùng, gây biến chứng hoặc phản ứng màng phổi (P), gây ho hoặc tức đường nách giữa bên phải. Một số trường hợp sốt giảm vào giai đoạn cuối 4-18 tháng của giai đoạn cấp tính song cũng cần phân biệt với sốt do các nguyên nhân khác, nhất là bệnh nhiễm trùng đi kèm (Chen và Mott., 1990; Nguyễn Văn Chương và cs., 2006; Huỳnh Hồng Quang và cs., 2008).
-Sốt có thể kéo dài hoặc sốt về chiều đến sáng hôm sau, hiếm khi thân nhiệt trên 400C, ngoại trừ ổ tổn thương có hoại tử và tạo abces hoá, gây nhiễm trùng thì sốt rất cao và có thể rét run tương tự như sốt rét thể gan mật, sốt rét thể giá lạnh hoặc sốc nhiễm trùng gram âm). Một số nghiên cứu mới đây trên mô hình thực nghiệm cho thấy rằng SLGL khi di chuyển đến các cơ quan gan, mật thường xuyên mang theo vi khuẩn thương hàn: hai nghiên cứu được tiến hành song song trên in vitro, cho vào môi trường khác nhau là Salmonella typhimurium và tiếp xúc bề mặt metacercariae F.gigantica (1) và Salmonella typhimurium tiếp xúc với bề mặt ấu trùng giun xoắn Trichinella spiralis (2). Kết quả nghiên cứu cho thấy qua kính hiển vi điện tử quét (SEM_scanning electron microscopy): Trong môi trường (1) số lượng vi khuẩn đựợc thấy dính với bề mặt metacercariae của sán, trong khi trong (2) không thấy vi khuẩn dính trên ấu trùng T. spiralis (El Zawawy LA và cs., 2003).
-Đây cũng chính là một trong những nguyên nhân gây nhiễm trùng nhiễm độc nặng hơn, vấn đề đặt ra nên chăng điều trị thuốc diệt sán và điều trị nhiễm khuẩn đồng thời.
Triệu chứng thực thể
-Những cơn đau bụng hoặc chỉ có cảm giác đầy bụng ở vùng thường vị, phân sệt hoặc ỉa lỏng và chướng bụng hoặc chỉ biểu hiện thoáng qua và cơn đau không rõ ràng. Mệt và suy nhược là triệu chứng hằng định và có trong suốt thời kỳ diễn biến bệnh, bệnh nhân gầy sút cân rất nhiều,trung bình 7±3 kg/ trong một tháng và đã có trường hợp sút 12kg/ tháng (Huỳnh Hồng Quang và cs., 2006; 2009), có thể do bệnh nhân điều trị không đặc hiệu trước đó và do đau bụng kiểu đau dạ dày, kèm theo rối loạn tiêu hóa không được giải quyết thích đáng;
-Đau vùng thượng vị-mũi ức, sau đó một thời gian ngắn sẽ lan xuống hạ sườn (P) hoặc vùng đầu tuỵ ống mật chủ (Chauffard-rivet), rất ít trường hợp đau ở điểm Murphy và cơn đau tiếp diễn dần dần lan ra/ hoặc xuyên ra sau lưng, lên vai (P). Một số bệnh nhân khác chỉ cảm thấy đau mỏi vai thậm chí yếu các chi trên, nhưng dùng thuốc giảm đau và dãn cơ không hề giảm triệu chứng và không có tư thế giảm đau cũng là một trong những triệu chứng đầu tiên khiến bệnh nhân đi khám bệnh (đây có thể là rối loạn do kích thích đám rối dương hay thần kinh X, hoặc phản xạ xuất phát từ dây thần kinh số X (reflex vago-vagal). Nói chung, triệu chứng lâm sàng trong pha cấp tính thường biểu hiện đau bụng và sốt cao, đau kiểu colique và viêm đường mật, cơn đau có thể tái diễn theo thới gian.
Tuy nhiên, vì đau là một dấu chứng chung cho một vùng các cơ quan tiêu hoá, nhất là trong trường hợp này, điểm đau cần thiết phải chẩn đoán phân biệt với một số bệnh liên quan đến từ nhiều cơ quan khác nhau trong phân khu ổ bụng này:
+Hồi lưu dạ dày thực quản (reflux gastro-oesophagien-RGO) do thương tổn tại thực quản thì thường đau kèm theo chứng ợ nóng, bệnh nhân cảm thấy tức vùng sau xương ức và thượng vị, đau tức có khi liên tục có khi từng cơn, một số bệnh nhân cảm thấy đau tăng lên khi thay đổi tư thế và nếu dùng thuốc ức chế bơm proton (như omeprazole, lanzoprazole, rabeprazole uống vào buổi tối trước khi đi ngủ, trong 10-15 ngày) thì kết quả mang lại rất khả quan;
+Hội chứng “ho-dạ dày Lian” (Lian là tên giáo sư tim mạch học người Pháp), ho khan về đêm về sáng, điều trị hoài không giảm, một số triệu chứng dễ đánh lừa trong lâm sàng như đau ngực, bệnh lý hô hấp, bệnh lý tai-mũi họng, khàn tiếng buổi sáng, cộm cộm ở cổ họng khi nuốt, viêm mũi, răng bị ăn mòn, xuất huyết tiêu hóa nhẹ, không loét thì nên cân nhắc những dấu chứng hồi lưu dạ dày thực quản;
+Viêm thần kinh liên sườn: bệnh lý thường phải chẩn đoán phân biệt với bệnh SLGL, nhất là cơn cấp tính, trong các tình huống đó các thầy thuốc lâm sàng trường điều trị corticoides kết hợp với thủy châm vitamine sẽ có đáp ứng tốt;
+Thóat vị hoành, hoặc dãn dạ dày sau bữa ăn no: Triệu chứng sẽ giảm dần và hồi phục hoàn toàn sau 48 tiếng đồng hồ sau khi can thiệp điều trị đặc hiệu;
+Hội chứng nhà hàng Trung Quốc (Chinese’s restaurant syndrome) do bệnh nhân ăn quá nhiều acide hoặc muối của glutamic (bột ngọt, vị tinh) sau bữa ăn sáng, dẫn đến no đầy bụng quá sớm, muốn buồn nôn;
+Đầy hơi, sôi bụng: là triệu chứng hay gặp ở nhiều người, nhưng với các mức độ khác nhau. Trong ruột có hiện diện nhiều loại vi khuẩn làm nhiệm vụ phân giải thức ăn tạo ra chất bả và hơi xen lẫn, hằng ngày cơ quan tiêu hóa của người thải một lượng hơi tương đương thể tích 600-2.000ml. Ruột co bóp, sôi bụng, hơi được đẩy ra ngoài thành trung tiện ở hậu môn là sinh lý bình thường. Một số loại thức ăn khi tiêu hóa sản sinh ra rất nhiều hơi hơn những thức ăn khác. Đứng đầu là hạt đậu gây đầy hơi, đó là vì vỏ hạt đậu chứa những chất đường không tiêu hóa được, khi đậu vào đến đại tràng, các vi khuẩn ở đó ăn các chất đường và sản xuất ra nhiều sản phẩm phụ là khí. Muốn làm giảm hiện tượng đầy hơi do đậu, cần ngâm kỹ hạt đậu khô với nước và rửa sạch đậu trước khi nấu để loại bỏ hết lượng đường không tiêu hóa được ở vỏ đậu. Ngay việc dùng đậu đóng hộp cũng cần phải xả nước và rửa sach đậu. Một số thức ăn khác cũng sinh ra hơi như bắp cải, súp lơ, cải soong, cải xoăn,… Ngoài ra, với một số người không dung nạp đường lactose trong sữa và không tiêu hóa được thì triệu chứng rõ ràng nhất là đầy hơi, sôi bụng và trung tiện nhiều. Uống các loại nước có gas hoặc ăn nhanh, nuốt thức ăn lẫn hơi cũng khiến đầy hơi. xử trí các tình huống trên là ăn chậm, nhai kỹ và ăn các loại đậu đã bóc vỏ và xử lý như trên, có thể dùng thêm các thuốc chống đầy hơi carbophos, than hoạt, dung dịch air-X,…
+Abces gan do vi khuẩn hoặc do amíp: đau vùng thượng vị lan rộng sang các vùng bên cạnh, đau hạ sườn phải, đau lên ngực, đau khiến cho bệnh nhân không dám thở mạnh; sốt cao, môi khô, lưỡi bẩn..., trong những tình huống như thế cần thiết phải kết hợp lâm sàng, tiền sử bệnh (có viêm đại tràng amíp trước đó,…) có huyết thanh chẩn đoán amíp, siêu âm có hình ảnh điển hình phân biệt với tổn thương SLGL, xét nghiệm phân có amíp hiện diện, công thức bạch cầu tăng;
+Giun chui ống mật: có những cơn đau quặn rất dữ dội, hay gặp ở trẻ em, đau vùng thường vị và hạ sườn bên (P), bệnh nhân thường năm tư thế chổng mông hoặc phủ phục quỳ lạy mới giảm đau, hoặc dựng ngược 2 chân lên tường mới dễ chịu. Khám lâm sàng thường đau mũi ức và điểm sườn-thắt lưng. Trong tiền sử có nôn ra giun, đi cầu ra giun hay đau bụng do giun quanh rốn, buồn nôn,...
+Bệnh do sán máng Schistosoma spp. Triệu chứng bệnh cũng có một vài dấu hiệu giống với bệnh sán lá gan lớn, nên cần phải lưu tâm và cho làm xét nghiệm huyết thanh khi cần thiết. Với Việt Nam chúng ta, không nên nói là không có bệnh sán máng mà nên dùng từ chưa có phát hiện và công bố chính xác loài sán máng thì đúng hơn vì đất nước ta nằm trong vùng nhiệt đới và bệnh nhiệt đới sẽ không loại trừ (?);
+Rối loạn vận động túi mật và đường mật: do sự co thắt của các cơ trơn của túi mật hay đường mật, tạo nên những cơn đau quặn vùng thượng vị hạ sườn, đau lan lên vai phải. Bệnh nhân không sốt, không vàng da vàng mắt. Dùng thuốc chống co thắt cơn đau giảm;
+Viêm túi mật cấp: túi mật là bộ phận của hệ thống dẫn mật, nằm sát mặt dưới gan về phía trước, tương ứng với đoạn giữa bờ sừờn phải và là nơi tích tụ mật giữa các bữa ăn, có dung tích khoảng 40-50ml: theo sinh lý thì mật do gan sản xuất ra được bài tiết vào các đường dẫn mật trong gan (ống gan phải, ống gan trái rồi dẫn vào ống gan chung) để đổ xuống ống mật chủ (OMC); tiếp đó OMC thông với tá tràng qua cơ tròn Oddi. Giữa các bửa ăn, cơ tròn Oddi thường khép lại, mật từ ống gan đổ xuống đầy OMC sẽ ngược vào ống túi mật để vào túi mật và ở đó được túi mật hút lại nhiều nước trở nên cô đặc. Dưới tác dụng bữa ăn và các nội tiết tố, túi mật co bóp đồng thời cơ tròn Oddi mở ra để mật chảy vào đầy tá tràng, rồi xuống ruột non góp một phần quan trọng vào sự tiêu hóa và hấp thụ thức ăn.
Túi mật bị viêm có thể do nhiều nguyên nhân nhưng có thể do nhiễm khuẩn: bởi thông với đường mật qua cơ vòng Oddi thì hệ thống dẫn mật rất dễ nhiễm khuẩn bởi các vi khuẩn đường ruột xâm nhập ngược dòng vào OMC rồi lan dần lên trên gây viêm nhiễm cả túi mật. Sự nhiễm khuẩn ngược dòng thường có những nguyên nhân thuận lợi như sau: giun chui ống mật làm tắc nghẽn ống mật chủ, đồng thời giun mang trên mình các vi khuẩn gây bệnh đường ruột; sỏi ống mật chủ và bệnh lý đầu tụy tạng làm hẹp OMC; các phẩu thuật dẫn lưu từ OMC vào ruột; có khi chỉ đơn thuần túi mật bị viêm (hệ thống dẫn mật còn lại vẫn bình thường, ít nhất trong thòi kỳ đầu); thông thường nhất là do sỏi túi mật (có khi chỉ ở dạng bùn) có chiều hướng tăng dần ở nước ta trong 3-4 thập kỷ nay do chế độ ăn củanhân dân được cải thiện, có khi quá mức sẽ gây tăng cholesterol-một yếu tố quan trọng gây sỏi túi mật; đôi khi gây nhiễm khuẩn ở một phủ tạng gần đó lan đến túi mật bằng đường máu, đường bạch huyết.
+Polyp túi mật: là một tổn thương dạng u hoặc giả u phát triển trên bề mặt của niêm mạc túi mật. Nếu so với sỏi túi mật thì polyp túi mật ít gặp hơn, chẩn đoán chủ yếu dựa vào hình ảnh siêu âm (thay đối tư thế), trên 90% là dạng lành tính, hay gặp ở phụ nữ độ tuổi 3-50, khoảng 15% trường hợp phải can thiệp ngoại khoa nếu có biến chứng viêm nhiễm hoại tử. Polyp túi mật lành tính chiếm khoảng 92% các trường hợp, gồm hai loại, u thật như adenome, leimyonome, lipome,… giả u như polyp cholesterol, adenomyomatosis, viêm giả u; polyp túi mật ác tính chiếm khoảng 8%, gồm có adenocarcinome, melanome. Biểu hiện triệu chứng lâm sàng thường đau hạ sườn giống như đau trong sỏi túi mật, nhưng khác với sỏi túi mật ở chỗ là polyp túi mật ít khi biểu hiện cấp tính do viêm hay những biến chứng do sỏi túi mật gây ra như viêm đường mật, tắc mật, vì vậy chẩn đoán chủ yếu dựa vào cận lâm sàng. Siêu âm có thể phát hiện hình ảnh tăng âm bám trên bề mặt của túi mật, không có bóng cản và không thay đổi theo tư thế người bệnh, đây là dấu hiệu quan trọng để chẩn đoán phân biệt với sỏi túi mật khi sử dụng siêu âm thăm dò.
+Mặc dù có độ nhạy và đặc hiệu khá cao nhưng siêu âm không thể phân biệt được polyp lành tính hay ác tính để có chỉ định điều trị phẩu thuật. Theo các nghiên cứu trong và ngoài nước, nếu polype túi mật xác định trên siêu âm có kích thước nhỏ hơn 10 mm, hầu hết lành tính (khác với polyp ác tính là hình ảnh có chân lan rộng, sần sùi, không đều bờ viền, phát triển nhanh).Nếu nghi ngờ polyp túi mật gây đau như vậy mà bệnh nhân không sốt hoặc đau rất ít thì cho giảm đau chống viêm rồi kiểm tra lại sau 6 tháng, nếu không còn hình ảnh polyp nữa thì không cần xử trí gì; ngược lại nếu thấy polyp to hơn 10mm, biểu hiện ác tính, gây triệu chứng, cần can thiệp;
+U tụy: Đặc điểm của tụy vừa là tuyến ngoại tiết vừa là nội tiết nên khi tổn thương tụy sẽ biểu hiện dưới 2 dạng chủ yếu: u tụy nội tiết và u tụy ngoại tiết (trong u tụy ngoại tiết chủ yếu gặp ung thư biểu mô tuyến). Biểu hiện lâm sàng của u tụy thường là đau bụng, đau chiếm 60-80% song có trường hợp không đau, chẳng hạn u đầu tụy, giai đoạn tiên phát bệnh nhân thường đau bụng vùng trên rốn, khi ăn no đau càng tăng, rất dễ nhầm với cơn đau của viêm dạ dày cấp. Giai đoạn này có khi kéo dài hàng tuần; giai đoạn toàn phát là khi khối u đã lan tỏa đến các tổ chức và cơ quan khác thì đau bụng tăng lên rõ rệt, tính chất đau cũng khác hơn, đau dữ dội vùng thượng vị và đau xuyên ra sau lưng, nếu dùng các thuốc kháng acide như trong điều trị dạ dày- tá tràng thì cơn đau không hề thuyên giảm. Giai đoạn này cũng dễ chẩn đoán nhầm với cơn đau của viêm túi mật hoặc sỏi đường dẫn mật (sỏi túi mật, cổ túi mật và ống mật chủ), đau thể hiện rõ mỗi khi ăn vào thì cơn đau lại tăng lên cho nên bệnh nhân thường hay nằm sấp và co rúm người lại để giảm đau. Triệu chứng tiếp theo là vàng da, so với triệu chứng đau bụng thì triệu chứng này chiếm tỷ lệ này thấp hơn 40-70%, trừ u đầu tụy. Các trường hợp u tụy có xu hướng vàng da ngày càng tăng, đậm. Bệnh nhân thường không sốt, (khác với viêm trong sỏi đường mật), nước tiểu sẫm màu, phân bạc màu (giống một số sỏi đường dẫn mật) do làm tắc đường dẫn mật. Một số bệnh nhân có ngứa, biểu hiện nhiều hay ít là do tắc nghẽn đường mật gây ứ mật, vào máu gây kích thích các đầu mút dây thần kinh ở nông, kèm theo bệnh nhân có thể rối loạn tiêu hóa.
Các xét nghiệm cận lâm sàng bổ sung cho chẩn đoán bệnh u tụy: gồm có xét nghiệm máu, thường phát hiện bilirubin cả toàn phần và trực tiếp, phosphatase kiềm, cholesterol máu, glucose tăng, riêng amylase và lipase tăng rất cao; xét nghiệm dịch tụy tại các cơ sở có điều kiện, việc xác định có tế bào ác tính, có giá trị cao trong chẩn đoán xác định ung thưtụy, song không phải bất kỳ cơ sở y tế nào cũng làm được; nội soi chụp mật tụy ngược dòng hoặc chụp CT-Scanner hoặc siêu âm ổ bụng sẽ cho kết quả tốt trong chẩn đoán. Việc điều trị chỉ phẩu thuật cắt bỏ khối u nhưng chỉ phẩu thuật các khối u chưa di căn, khi khối u đã di căn sang các cơ quan khác thì tùy từng trường hợp về sự phát triển của khối u mà có sự cân nhắc trong phẩu thuật hay không. trong một số trường hợp như vàng da tắc mật do u chèn ép thì có thể tiến hành phẩu thuật tạm thời dẫn lưu ống dẫn mật, trong những ca không thể phẩu thuật được có thể sẽ cân nhắc dùng liệu pháp phóng xạ hoặc hóa chất đi kèm;
+Viêm tụy cấp: tụy là một tạng dài nằm sau ổ bụng, tương ứng với đốt sống lưng số 2 và nằm lọt vào trong khung tá tràng, nên khi tụy bị bệnh dễ chẩn đoán nhầm với bệnh tá tràng, cần chú ý có hai loại viêm tụy, khi bị viêm túi mật, sẽ biểu hiện như thế nào? Khi mới bị, thành túi mật sẽ phù nề tấy đỏ, dần dần túi mật sẽ sưng to, thành túi mật căng mỏng rồi vở ra làm cho mật nhiễm khuẩn trong túi tràn vào ổ bụng, gây viêm phúc mạc, đây là một biến chứng rất nặng có thể dẫn đến tử vong. Nếu túi mật không vở, nhiễm khuẩn cũng có thể thấm qua thành túi mật xâm lấn vào phúc mạc và tổ chức cạnh đó (gan, quai ruột, mạc treo, dạ dày) gây một đám quánh hoặc một ổ mủ dưới gan. Viêm túi mật có dạng với các hội chứng nhiễm khuẩn và hội chứng gan mật:
(i)Viêm tụy cấp không hoại tử: tổn thương viêm tụy cấp thường gặp trong các trường hợp bệnh nhân có sỏi đường mật (sỏi túi mật, đường mật trong gan và sỏi ống mật chủ), GCOM. Vì vậy những trường hợp có cơn đạu quặn tại chỗ nên cân nhắc và cẩn trọng chẩn đoán và có thái độ xử trí thích hợp. Triệu chứng chính của viêm tụy cấp không hoại tử là, đau đột ngột, đau nhiều ở vùng hạ sường phải lan sau lưng, lên vai. Nhiều khi đau “nằm tư thé phủ phục” như GCOM, ấn điểm sườn - lưng đau đau bên (T). Cơn đau kéo dài khoảng vài giờ rồi giảm dần, bệnh nhân mệt lả, đôi lúc mệt lả rồi cơn đau khác lan đến (XN bạch cầu tăng trong máu, men amylase, ure tăng cao; siêu âm rất có giá trị trong chẩn đoán nhưng đôi khi gặp khó khăn do hơi và dịch ứ đọng trong ruột che hình ảnh của tụy.
(ii) Viêm tụy cấp chảy máu: thường ít gặp trên bệnh nhân có sỏi đường mật kèm theo nhưng hay gặp kèm theo GCOM và viêm đường mật do vi khuẩn. Bệnh nhân thường bị choáng, triệu chứng chính là đau bụng vùng trên rốn từ bờ sườn (T) ra sau lưng. Đau liên tục với cường độ đau vừa phải nhưng thỉnh thoảng xuất hiện cơn đau kịch phát, nôn và buồn nôn. nôn ra thức ăn, dịch màu vàng, tiêu chảy phân có lẫn máu, bệnh nhân trong trạng thái hốt hoảng, toát mồ hôi. Trong các giừo đàu sau khi bị bệnh, đôi khi có tăng huyết áp nhưng sau đó huyết áp tụt dần. Khám lâm sàng thấy đau, nhất là vùng trên rốn và sườn-lưng bên (T), trong đó dễ chẩn đoán nhầm thủng dạ dày, cần thiết chụp x-quang bụng không chuẩn bị xem có liềm hơi hay không? trên phim có thể tháy các quai ruột ở vùng gần tụy như khung tá tràng và đoạn đầu của hổng tràng bị dãn. Nhìn vào vùng da bụng, thấy vùng rốn có nốt bầm tím, đôi lúc có xuất hiện tràn dịch màng phổi, siêu âm cho thấy tụy phù nề, xung quanh tụy có dịch tiết, men amylase tăng trong 12-18 giờ đầu;
+Viêm tuỵ cấp tính (cần thiết làm thêm các xét nghiệm liên quan amylase niệu và máu, công thức máu, glucose và siêu âm bụng có dấu hiệu đặc trưng). điều trị thử và theo dõi theo hướng viêm tuỵ cũng là một bước khả quan.
+Viêm tụy mạn tính: đau bụng là triệu chứng hay gặp nhất trong đa số các ca viêm tụy mạn tính; bệnh nhân van đau vùng trên rốn lan sang phải, sang trái và lan ra sau lưng, đau không thường xuyên, có khi vài ngày, có khi kéo dài lâu hơn rồi triệu chứng biến mất trong một thời gian khá lâu. Triệu chứng thường xuất hiện sau một bữa ăn thịnh soạn có nhiều mỡ, uống nhiều rượu, đôi khi bệnh xảy ra sau khi lao động mệt nhọc hoặc có xúc cảm mãnh liệt, triệu chứng đau lúc đầu âm ỉ, tức bụng, nóng rát vùng trên rốn sau đó đau quặn, cơn đau tăng dần lên dữ dội và có nhiều cơn đau nối tiếp nhau, cơn đau có thể kéo dài trong nhiều giờ, bệnh nhân thường ngồi gập người xuống để làm chùng cơ bụng cho đỡ đau. Ngoài đau bệnh nhân có thể gặp triệu chứng buồn nôn hoặc nôn. Do đau nhiều và thành mạn tính nên bệnh nhân không dám ăn nhiều thức ăn, thêm vào đó do viêm tụy mạn tính nên các men tiêu hóa của tuyến tụy tiết ra thiếu làm việc hấp thu chất dinh dưỡng bị hạn chế vì vậy càng làm bệnh nhân gầy sút; vàng da do viêm tụy mạn thường là vàng da nhẹ và trong một thời gian ngắn, vàng da có thể xuất hiện sau cơnđau vài giờ, nhưng thường không có sốt (khác với vàng da trong sỏi mật, lần lượt có các triệu chứng điển hình như: đau, sốt, vàng da); xét nghiệm trong cơn đau có thể thấy glucose, men amylase máu tăng cao trong vòng 72 giờ, sắc tố mật (bilirubin) và men phosphate cũng có thể tăng. Ngoài ra, có thể định lượng phân trong 24 giờ để xem xét màu sắc của phân và quan sát dưới kính hiển vi có thể thấy một số thức ăn không tiêu, đồng thời có thể định lượng mỡ bằng các phương pháp hóa học hoặc định lượng chymotrypsine trong phân nhưng ít đựợc thực hiện vì phức tạp hoặc lactoferine trong dịch tụy, nếu tăng cao rất có ý nghĩa trong chẩn đoán viêm tụy mạn tính.
+Viêm đường mật, túi mật cấp tính hay đợt cấp của viêm hệ mật mạn tính: đau kèm theo sốt và có thể có rét run, hoặc vàng da. Siêu âm có thể có sỏi đường mật hoặc dấu tắc mật cơ học do giun sán.
+Tắc mạch mạc treo ruột non:do huyết khối động mạch mạc treo tràng trên, có thể gây hoại tử ruột; bệnh nhân thường đau đột ngột dữ dội, đại tiện phân lỏng hoặc ra máu, tình trạng toàn thân suy sụp rất nhanh. Khám lâm sàng thấy đau vùng bụng trên khi ấn, bụng mềm. Nếu đặt bệnh nhân nằm tư thế sấp thì giam đau, các tình trạng này phải mổ cấp cứu.
+Cơn đau của thận thường khu trú vùng sườn, thắt lưng, dưới xương sườn 12 bên ngoài khối cơ chung thắt lưng-cùng, lan ra phía trước, hướng về phía rốn-hố chậu. Cơn đau gặp trong viêm bể thận cấp tính, gây căng trướng đột ngột bao thận hoặc sỏi niệu quản ở vị trí 1/3 trên.
+Cơn đau của niệu quản gây nên do sự bế tắc niệu quản ở 1/3 dưới. Gây ứ nước ở thận và sự co thắt niệu quản. Cơnđau xuất phát từ hố thắt lưng và lan dọc theo đường đi niệu quản đến hố chậu, bộ phận sinh dục và mặt trong của đùi. Nếu hòn sỏi xuống đến phần cuối củaniệu quản có thể gây ra phù nề và viêm nhiễm ở lỗ niệu quản làm bệnh nhân có dấu hiệu đái rắt (phân biệt dựa và siêu âm và X-quang không chuẩn bị hoặc có thuốc cản quang;
+Đau dọc theo khung đại tràng: do viêm đại tràng hoặc hội chứng ruột kích thích (IBS), thường có triệu chứng rối loạn tiêu hoá đi kèm (táo bón xen kẻ tiêu chảy từng đợt);
+Viêm dạ dày-ruột cấp: thường khởi phát sau một đợt dùng chất kích thích nhiều (bia, rượu, trà, café), có thể điều trị theo phác đồ điều trị loét tiêu hoá và chống co thắt sẽ giảm rõ sau môt thời gian 4 tuần;
+Hội chứng dạ dày tá tràng do nhiễm giun lươn: hiện tại bệnh lý nhiễm giun lươn ở đường tiêu hóa, nhất là trong khu vực nhiệt đới như Việt Nam, đặc biệt giun lươn có chu trình tự nhiễm nên nếu không điều trị sẽ tồn tại suốt đời trong cơ thể, biểu hiện bệnh đa dạng và phức tạp, thường có hội chứng dạ dày tá tràng kèm rối loạn tiêu hóa. Chẩn đoán bệnh có nhiều phương pháp như nội soi, hút dịch, sinh thiết mảnh mô tìm ấu trùng giun lươn, soi cấy phân (có điểm đặc biệt là người bệnh phải mang toàn bộ số phân đi trong ngày đến phòng xét nghiệm để làm phương pháp tập trung thì may ra tìm ấu trùng được) hoặc phổ biến nhất là kỹ thuật ELISA. Trong số 78 bệnh nhân nghi ngờ nhiễm giun lươn thì tỷ lệ nhiễm tính bằng ELISA là 29,48%, trong khi áp dụng các kỹ thuật chẩn đoán khác như nội soi dạ dày tá tràng tìm ấu trùng giun lươn, soi phân tìm ấu trùng giun lươn hoặc đếm bạch cầu ái toan cao gợi ý cũng cho kết quả phát hiện thấp hơn ELISA;
+Hiếm gặp hơn là ổ abcès vô khuẩn cạnh cột sống: do chấn thương cột sống, xương sườn đã bị bỏ sót một thời gian.
Cần chú ý trường hợp sán lá gan lạc chỗ (ectopic foci), sán xuất hiện ở da cơ thẳng bụng hoặc sán lá gan tạo một khối nang nước, sau khi tiểu phẩu vùng này đã phát hiện hai con sán trưởng thành (Trần Tịnh Hiền., 2005; Nguyễn Văn Chương và cs., 2007; Huỳnh Hồng Quang và Nguyễn Văn Khá., 2007), có thể mẫu sán còn non nhưng các mẫu trứng thu thập được trong phân và trong dịch hút từ tá tràng lại rất phù hợp với kích thước của F.hepatica hoặc F. gigantica.
Nhìn chung, đứng trước một cơn đau bụng của bệnh nhân, chúng ta thường liên tưởng và phải thận trọng nhận định, đánh giá ưu tiên từng phân khu ổ bụng:
ĐAU BỤNG LAN TỎA | ĐAU VÙNG THƯỢNG VỊ |
Viêm ruột thừa giai đoạn sớm; Phình bóc tách động mạch chủ; Viêm dạ dày ruột, túi thừa, tắc ruột; Viêm phúc mạc, nhồi máu mạc treo; Viêm tụy, viêm ruột,viêm ruột kích thích; Viêm hạch mạc treo tràng; Nhiễm độc chì, tăng ure máu, quá liều thuốc; Đái tháo đường, nhiễm kim loại nặng; Viêm đường tiết niệu, vùng chậu hông; Bệnh lý thần kinh- tủy sống. | Loét tiêu hóa, tắc ruột, loát dạ dày; Viêm loét đại tràng; Viêm đường mật, túi mật; Viêm gan, viêm tụy, viêm ruột; Viêm phổi, tràn dịch M/phổi, tràn khí M/phổi; Viêm màng ngoài tim, nhồi máu cơ tim; Abces dưới cơ hoành; Viêm bóc tách động mạch chủ; Viêm phổi (hiếm), chấn thương. |
ĐAU MỘT PHẦN TƯ TRÊN (P) | ĐAU MỘT PHẦN TƯ TRÊN (T) |
Viêm nhiễm, sỏi và nhiễm trùng mật Viêm, sung huyết, abces và tân sinh gan Viêm, sỏi ống tụy và khối tân sinh ở tụy Viêm, sỏi, nhiễm trùng, chấn thương thận Viêm, nhồi máu, bóc tách phổi Viêm ruột thừa, phân cứng (fecalome) Nhồi máu, thiếu máu cơ tim Viêm ngoại tâm mạc Chấn thương,hội chứng Fitz-Hugh- Curtis. | Loét tiêu hóa, co thắt tâm vị, hẹp môn vị; Thoát vị cơ hoành; Viêm-sỏi tụy, khối tân sinh vùng tụy-bóng vater Nhồi máu cơ tim hoặc cơn đau thắt ngực Vỡ lách, abces lách, nhồi máu lách Viêm các cơ quan thận, phổi Viêm thần kinh liên sườn, đau sau Zona Viêm ruột, tắc nghẽn phân, dò đại tràng. |
ĐAU QUANH RỐN | ĐAU VÙNG NGỰC, CÁNH TAY |
Tắc ruột non hoặc hoại tử ruột non Huyết khối mạc treo Phình bóc tách động mạch chủ Viêm tụy, bệnh lý chuyển hóa Chấn thương | Nhồi máu cơ tim Cơn đau thắt ngực Viêm thần kinh vai cánh tay Tràn dịch màng phổi Viêm khớp ức sườn |
ĐAU Ở HỐ CHẬU PHẢI | ĐAU HỐ CHẬU TRÁI |
Viêm ruột thừa cấp, viêm ruột từng vùng, thoát vị, túi thừa, tắc ruột, loét thủng tiêu hóa. Viêm túi thừa Meckel Sỏi thận, viêm thận bể thận. Thai ngoài tử cung, xoắn vòi trứng Viêm vòi, buồng trứng, abces vòi trứng Lạc nội mạc tử cung, viêm mạch Viêm cơ đáy chậu, chấn thương, viêm túi mật. | Viêm ruột, tắc ruột, thoát vị, túi thừa, tắc ruột, loét thủng tiêu hóa. Viêm đại tràng, thoát vị bẹn. Sỏi thận, viêm thận bể thận. Thai ngoài tử cung, xoắn vòi trứng Viêm vòi, buồng trứng, abces vòi trứng Lạc nội mạc tử cung, viêm mạch Viêm cơ đáy chậu, chấn thương, viêm túi mật. |
+Biểu hiện triệu chứng khó chịu về dạ dày ruột: chán ăn, đầy bụng, khó tiêu, chướng bụng, sôi bụng, óc ách hố chậu (P) và (T), nôn, cảm giác nghẹn, buồn nôn, ói mửa, ợ hơi,...cảm giác đau tức và thốn ra sau lưng, khiến bệnh nhân mất ngủ hoặc đau lên 2 vai và một số trường hợp có cảm giá tê bại tay bên (P). Khó tiêu có thể có hoặc không kèm theo loét tiêu hoá, trên bệnh nhân nhiễm sán lá gan có triệu chứng này thường do rối loạn chức năng tiết mật, đặc việt là rối loạn co bóp của túi mật và viêm nhiễm trong lòng đường mật-tuỵ. Chụp nhấp nháy phóng xạ một số bệnh nhân thấy có nhu động co bóp bất thường (nhanh hoặc chậm hơn bình thường);
+Một số trường hợp có buồn nôn rồi nôn liên tục hoặc từng cơn, điều này có thể gan to, ổ tổn thương lớn (có thể nhiều ca gặp kích thước hơn 9 x 8cm) gây chèn ép về phía dạ dày nên mỗi lần thay đổi tư thể bệnh nhân hay có cảm giác buồn nôn, hoặc có thể đau vùng thượng vị mũi ức này gây kích thích đám rối dương, thần kinh phế vị dẫn đến nôn;
+Triệu chứng về hô hấp cũng thường gặp, nhất là bệnh nhân có ổ tổn thương gần vùng tim, phổi gây kích ứng. Bệnh nhân có thể khó thở do ổ áp xe xuyên thành cơ hoành lên phổi hoặc một số gây kích thích phản ứng màng phổi, nhất là màng phổi bên phải, khiến cho bệnh nhân ho khan, ho nhiều không theo một giờ nhất định, có trường hợp tức ngực, ho ra máu (Huỳnh Hồng Quang và cs., 2006), khó thở và mắc nghẹn thường song song và không cải thiện khi thay đổi khi thay đổi tư thế (Chen và Mott., 1990; Arjona và cs., 1995; Huỳnh Hồng Quang và cs., 2005; 2008);
+Biểu hiện dị ứng do những chất độc từ SLGL tiết ra hoặc do diễn tiến tắc mật kéo dài, mật không lưu thông, ứ lại trong vòng tuần hoàn máu sẽ kích thích các đầu mút dây thần kinh ngoại biên gây nên triệu chứng lâm sàng như ngứa, hoặc do sự ly giải kháng nguyên khi sán chết (Huỳnh Hồng Quang, 2005; 2006), hoặc đây là một bệnh cảnh chung trong các bệnh lý nhiễm ký sinh trùng; biểu hiện dị ứng còn gặp ho khan, nổi mề đay, đi phân lỏng,.. (Chen và Mott., 1990; Arjona và cs., 1995), các ca này nếu làm xét nghiệm bạch cầu ái toan sẽ tăng đáng kể. Dĩ nhiên, khi có hiện tượng dị ứng thì sẽ tăng hàm lượng Immunoglobuline E (IgE) và IgE kết hợp với tác nhân gây dị ứng có trên bề mặt của tế bào lipid (loại tế bào lipid này có mặt trong hầu hết các cơ quan nội tạng khác nhau). Tuy nhiên, ngứa là do nhiều bệnh khác nhau gây nên, do đó chúng ta cần phải chú ý đến một số nguyên do khác, nhất là trong vùng nhiệt đới còn có những bệnh khác:
·Cái ghẻ
·Bệnh nấm nông (superficial fungus infection)
·Bệnh chàm hoặc do dị ứng một số thuốc khác nhau.
·Giun chỉ bạch huyết
·Bệnh do ấu trùng di chuyển dưới da (cutaneous larva migrant)
·Côn trùng cắn, đốt.
·Ấu trùng của giun lươn strongyloides stercoralis tái phát (chú ý có thể kèm hội chứng dạ dày tá tràng và kèm loét tiêu hóa).
·Ngứa ở những người bơi lội: da người có thể bị xâm nhiễm bởi ấu trùng đuôi và bình thường chúng phát triển ở chim, khi ấu trùng chết trong da sẽ gây phản ứng, gây ngứa ở người bơi lội. Hiện tượng này thường thấy nơi có khí hậu ôn hòa, người tắm nước ngọt, nước lợ và nước mặn, nơi mà chim thải phân ra và trong các thủy vực đó có các loài ốc là vật chủ thích hợp sinh sống.
Biều hiện dị ứng thứ hai là ho cũng gặp, tuy tỷ lệ ít hơn (ho không có đờm, ho từng tiếng một, không tức ngực, khó thở,..). Ho thường do các bệnh về hô hấp, nhưng cũng có khi ho do bệnh ngoài đường hô hấp, triệu trứng của sán lá gan lớn cũng không nằm ngoài số đó. Song, cũng cần phân biệt một số nguyên nhân khác gây ho:
·Ho do viêm họng cấp: ho có đờm, ho khan, sốt cao hoặc không sốt, có cảm giác rát họng, nuốt vướng, soi phát hiện họng đỏ hay có mủ, amidan có thể sưng.
·Viêm thanh quản: ho khan, nói khàn hoặc mất tiếng, thể trạng nhiễm trùng, nhiễm độc nặng, có màng trắng ở họng gây khó thở, nhiều khi phải mở khi quản.
·Viêm khí, phế quản cấp: sốt cao, giai đoạn đầu ho khan, giai đoạn sau có đờm. Đờm đặc hoặc loãng, màu trắng hoặc vàng (có bội nhiễm).
·Viêm phế quản mạn tính:thường gặp ở người hút thuốc lá, ho có nhiều đờm, bệnh hay tái phát do các đợt bội nhiễm hoặc tiếp xúc với các tác nhân gây viêm như không khí lạnh, độ ẩm cao, hít phải khí độc.
·Giãn phế quản: ho nhiều về buổi sáng, rất nhiều đờm, để đờm vào cốc thấy lắng thành ba lớp: dưới là mủ, giữa là chất nhầy, lớp trên cùng là bọt lẫn dịch, giãn phế quản có khi ho ra máu, hay tái phát do đợt bội nhiễm.
·Hen phế quản: thường gặp lứa tuổi trẻ và trung niên, người bệnh không sốt, khó thở từng cơn, cơn hay gặp về ban đêm (10 giờ đêm đến 2 giờ sáng), trong lúc khó thở thấy tiếng rít, cò cử, sau cơn, bệnh nhân ho khạc ra nhiều đờm trắng, loãng. Hay tái phát nhiều lần do bội nhiễm, đờm màu vàng;
·Ho do viêm phổi: sốt cao, rét run, đau ngực, ho có đờm quánh, bạch cầu trong máu tăng cao, chụp X-quang phổi có hình ảnh điẻn hình;
·Lao phổi, abces phổi, ho do dị vật đường hô hấp, ho gà, ung thư phế quản;
·Bệnh bụi phổi: hay gặp ở người tiếp xúc với bụi ở công trường, hầm mỏ, làm đường, nhà máy dệt, nhà máy đá. Bệnh nhân ho kéo dài, ra đờm màu đen đục, nhưng đợt bội nhiễm thì ho tăng hơn, bệnh kéo dài ảnh hưởng lên toàn thân;
·Bệnh màng phổi: viêm màng phổi có dịch, do màng phổi bị kích thích, thay đổi tư thế;
·Ho do nguyên nhân tim mạch: tăng áp lực động mạch phổi, phổi bị ứ huyết gặp trong các bệnh hẹp van hai lá, tâm phế mạn, suy tim, viêm màng ngoài tim khô hoặc có dịch;
·Abces gan dưới cơ hoành: gây phản ứng phổi màng phổi, kích thích màng phổi gây ho;
·Ngoài ra, phụ nữ có thai, u xơ tử cung, bệnh trào ngược dạ dày thực quản hoặc bệnh toàn thân, bệnh về tai mũi họng.
Một số trường hợp, mặc dù nhiễm trùng cấp tính SLGL nhưng không biểu hiện triệu chứng (asymptomatic acute infection) được báo cáo ở Anh và ở Ai Cập với tỷ lệ tương đối cao là 29,4% (H El-Karaksy và B Hassanine, 2006) và rất thường gặp trên những bệnh nhân được báo cáo ở Peru. Sau khi vào trong đường mật, triệu chứng gần như biến mất hoặc giảm (Poltera và cs., 1990).
Một số biểu hiện ngoài da do tổn thương gan cần chẩn đoán phân biệt
+Vàng da: vàng da đơn độc hoặc kèm theo vàng mắt, rất hay gặp trong bệnh lý của gan như viêm gan virut, nhiễm độc gan do rượu, hóa chất, xơ gan, ung thư gan. Chính các triệu chứng này đã khiến cho bệnh nhân đi khám và phát hiện bệnh;
+Ngứa: là một triệu chứng thường gặp và có khi là một rối loạn bên trong cơ thể. Bệnh lý của gan cũng có thể gây ngứa, mức độ ngứa và thời gian kéo dài của ngứa hoàn toàn phụ thuộc vào thể loại và bệnh lý của gan. Cơ chế bệnh lý của gan chưa được thấu đáo, ngứa có thể khu trú một vùng da, hoặc lan tỏa toàn thân. Ngứa có thể thỉnh thoảng mới xuất hiện nhưng cũng có thể kéo dài liên tục hàng tháng, thậm chí nhiều năm và ngứa nhiều làm bệnh nhân mất ngủ;
+Sẩn ngứa: sẩn nổi cao hơn mặt da, nền da phía dưới sẩn thường có màu đỏ, nếu bệnh nhân gãi nhiều sẽ xuất hiện mụn mủ. Bản chất là các sẩn huyết thanh, kích thước từ 0.3-1cm. Các sẩn này thường rải rác trên bề mặt da toàn thân. Nếu sẩn ngứa xuất hiện ở bệnh nhân có cơ địa dễ bị dị ứng thì hay có phản ứng chàm hóa, nếu bệnh nhân gãi nhiều sẽ tạo nên các đám mụn nước trên nền da đỏ, phù nền nhẹ. Các bệnh lý gan gây ngứa hoặc sẩn ngứa đôi khi xét nghiệm thấy bilirubine và cholesterol huyết thanh tăng. Một số bệnh nhân dùng thuốc điều trị lao kéo dài cũng thường bị sẩn ngứa, nên điều tra bệnh sử là việc hết sức cần thiết;
+Sarcoidosis (do bệnh lý gan) còn gọi là bệnh u hạt lympho lành tính, trên da là các sẩn, các cục nâu dưới da, có thể rải ráchoặc tập trung thành mảng, sờ vào thấy chắc, nền da màu đỏ, có thể có dãn mạch kèm theo, có thể ngứa hoặc không ngứa. Tổn thương da thường có vài đám hoặc nhiều đám khu trú ở da mặt và rải rác ở thân mình. Các sẩn, các cục này thường tồn tại một thời gian rồi màu đỏ nhạt dần và có thể vở ra, loét tiết dịch đôi khi có mụn mủ. Một số trường hợp đỏ da toàn thân trông giống như da vảy cá hay vảy nến. Sinh thiết da thấy các u hạt không đặc hiệu, trông giống như hồng ban nút. Sarcoidosis có thể chỉ có biểu hiện ngoài da hoặc đôi lúc biểu hiện các cơ quan khác toàn thân. Khi có các tổn thương ở các cơ quan thì gọi là sarcoidosis hệ thống. Đồng thời các biểu hiện ngoài da, bệnh nhân còn có thể có triệu chứng ở phủ tạng: gan, thận, phổi, hệ thống bạch huyết, mắt,…Trong sarcoidosis thì gan có biểu hiện khoảng lâm sàng khoảng 20% nhưng sinh thiết gan thấy có tổn thương ở 60% trường hợp, thường gan to, sinh thiết thấy u hạt lympho, kèm theo tăng alkaline phosphate và cholesterol huyết thanh.
Giá trị một vài triệu chứng để hướng nhanh đến vùng bệnh (Le Concours médical, 2002)
+Test ho:bảo người bệnh ho, nếu biểu hiện đau, giật nảy người, nhăn mặt, đưa bàn tay ôm bụng thì có khả năng viêm phúc mạc do viêm ruột thừa, viêm đường mật, viêm túi thừa Meckel; giá trị chẩn đoán của test khá tốt, phỏng đoán dương tính độ 76%;
+Kẹp phúc mạc gây đau: Bàn tay xòe, áp sát nhẹ vùng hạ vịm kẹp tuần tiến giữa ngón cái với bốn ngón kia gây đau: có khả năng một bệnh lý phúc mạc;
+Dấu hiệu nhắm mắt: khi khám bụng mà người bệnh nhắm mắt, đau bụng có khả năng là chức năng. Vì lẽ, trong trường hợp đau thuộc cơ quan người bệnh giữ mắt mở để theo dõi tay người khám sờ gần tới cơ quan đau;
+Dấu hiệu đau ban đêm: đau chức năng của rối loạn hệ tiêu hóa là lúc người bệnh còn thức và làm khó dỗ giấc ngủ, chớ không đánh thức khi người bệnh đã ngủ;
+Trước … sau: đau bụng trước, nôn mửa sau thì có khả năng bệnh ngoại khoa.
Triệu chứng thực thể
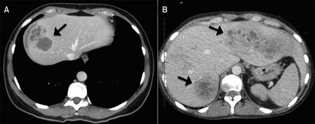
-Gan ít khi to ra ngoại trừ khi ổ tổn thương SLGL, gần bao gan ( khi đó khám sẽ xuất hiện phản ứng bao gan rất nhạy) hoặc đi kèm với một khối u gan hoặc tổ chức abces do sán (biểu hiện gan to, phì đại, có thể dưới bờ sườn bên phải 2-3cm nhưng kích thước chung không thay đổi đáng kể), khi gan to thì mềm, đôi khi sưng to lấn xuống dưới hố chậu phải (Facey và Marsden., 1960). Mức độ gan to tăng theo thời gian mắc bệnh và tiến triển của khối abces gan (Abou Basha và cs., 1989; Chen và Mott., 1990; Tchirikhtchian và cs., 1997). Một số ca gan sờ cứng, chạm ít đau, rung gan (+/-), ấn kẻ sườn không đau. Một số trường hợp có tổn thương liên quan đến phổi (như đường dò từ mặt trên và sau của gan do ổ abces lên cơ hoành rồi đến phổi phải, tạo nên một ổ dịch rất lớn chứa nhiều mật, máu và dịch tiết quánh đặc. Khi đó bệnh nhân mặc dầu điều trị xong vẫn đau cả vạt sườn bên phải;
-Lách to không phổ biến nhưng cũng được các tác giả có thông báo (Chen và Mott., 1990), trên thực tiễn lâm sàng hiếm khi gặp lách có biểu hiện gì trừ phi có phản ứng tĩnh mạch cửa trên bệnh nhân kèm xơ gan do nguyên nhân khác đi cùng. Ngoại trừ một số ca lạc chỗ, sán lá gan nằm tại lách thì có phản ứng lách và gây đau hố chậu trái (Huỳnh Hồng Quang và cs., 2006; 2009; 2013).
Thời kỳ toàn phát
Triệu chứng đi kèm đồng thời lúc sán trưởng thành và định vị trong các ống mật trong và ngoài gan, có những triệu chứng chính sau đây:
-Táo bón xen kẻ với tiêu chảy vì sự rối loạn tiết mật và rối loạn chức năng gan trên một bệnh lý đi kèm;
-Cơn đau quặn gan, kèm theo tức hoặc vàng da vì ống mật tắc làm rối loạn tiết mật. Hoặc viêm ống dẫn mật do sán và một số KST khác, mang vi khuẩn lên gây rối loạn chức gan và xơ gan. Hoặc số lượng sán nhiều gây tắc mật cấp tính, tạo thành kén hay abces sẽ chèn ép tĩnh mạch trên gan, tĩnh mạch trung tâm tiểu thuỳ gây ứ máu ở gan đưa đến thiếu oxy nên bệnh nhân sẽ đau rất dữ dội và hướng đau thường lan toả nhiều phía (lên vai hoặc ra sau lưng);
-Bệnh nhân có tổn thương SLGL càng để lâu sẽ dẫn đến xơ hoá các nhu mô gan, gây tăng áp lực tĩnh mạch cửa, đồng thời mạch máu ở dạ dày và thực quản phình trướng lên và cơ thể bắt buộc phải tạo ra một hệ tuần hoàn mới đi vòng qua gan (tuần hoàn bàng hệ). Khám lâm sàng chung ta thường thấy các đường tĩnh mạch chạy dưới da rất rõ. Nếu ổ tổn thương gần bao gan trên, có thể sẽ có phản ứng màng phổi phải, gây tràn dịch hoặc xuất tiết nhẹ, khiến bệnh nhân hay ho khi thay đổi tư thế;
-Cổ trướng (bụng báng): một số trường hợp có cổ trướng, có dấu hiệu gõ đục vùng thấp và không thấy tuần hoàn bàng hệ, xét nghiệm bilan gan mật chưa thấy dấu hiệu suy tế bào gan, tuy trường hợp có cổ trướng không nhiều, khoảng 1,5% trên tổng số bệnh nhân đến khám và điều trị (Huỳnh Hồng Quang và cs., 2005; 2011), dịch báng lấy ra có màu vàng và chứa nhiều bạch cầu, lượng eosin chiếm ưu thế. Bệnh lý phụ thuộc phản ứng viêm và số lượng lớn sán non xâm nhập qua thành ống tiêu hóa vào phúc mạc và xâm nhập qua bao gan để xâm nhập vào nhu mô gan (Chen và Mott., 1990);
-Thiếu máu lâm sàng: một số bệnh nhân không ăn uống được trong một thời gian dài, dẫn đến suy mòn và giảm sức đề kháng, có thể loét niêm mạc miệng, mũi, thiếu máu có thể từ nhẹ đến mức độ nặng, có hoặc không kèm với nhiễm giun móc, giun tóc, biểu hiện da xanh, niêm mạc nhợt nhạt, hoa mắt, chóng mặt, suy nhược toàn thân (Chen và Mott., 1990). Có lẽ thiếu máu nằm trong một bối cảnh chung của nhiễm đa giun hay đa ký sinh trùng, hoặc chỉ do SLGL làm tán huyết một cách cấp thời (Huỳnh Hồng Quang., 2005; 2009; 2014);
-Nhiều bệnh nhân có biến chứng bán tắc mật cùng với triệu chứng đau từng cơn vùng thượng vị hoặc vùng hạ sườn (P) tương tự như bệnh nhân nối mật ruột hoặc viêm túi mật cấp tính. Hoặc viêm ống dẫn mật do vi khuẩn theo sán và giun lên theo, dẫn đến loạn chức năng gan và có thể xơ gan, hoặc sán có thể tạo thành kén, ổ abces gây chèn ép tĩnh mạch trên gan, tĩnh mạch trung tâm tiểu thuỳ, dẫn đến thiếu oxy và hoại tử;
-Triệu chứng về hô hấp: nghe phổi có thể có ran ẩm nhỏ hạt do quá trình thâm nhiễm kéo dài, thường bên (P) nhiều hơn bên (T) do sán non xâm nhập, màng phổi có thể có dịch phản ứng (Chen và Mott., 1990; Huỳnh Hồng Quang và Lê Quang Quốc Ánh, 2007), hoặc có triệu chứng thâm nhiễm dạng hội chứng Loffler như bệnh lý do giun đũa (Aliaga và cs., 1984; Huỳnh Hồng Quang., 2005; 2009)và tràn dịch màng phổi (Arias và cs., 1986; Huỳnh Hồng Quang và cs., 2006), thường gặp nhất trên hình ảnh X-quang là tràn mủ- tràn khí màng phổi (Chen và Mott., 1990), hoặc tràn dịch, tràn khí, dịch mật vào màng phổi, cơ hoành, gây khó thở hoặc tổn thương liên đới đa phủ tạng (Huỳnh Hồng Quang, Lê Quang Quốc Ánh, Bùi Quang Đi, 2006);
-Vàng da, vàng kết mạc mắt là triệu chứng thường gặp và nhẹ hơn ở giai đoạn mãn tính (Chen và Mott., 1990; Kumar và cs., 1995; Huỳnh Hồng Quang và cs., 2007), song trên thực tế các bệnh nhân trong 15 tỉnh thuộc khu vực miền Trung-Tây Nguyên đến khám và điều trị tại Viện Sốt rét-KST-CT Quy Nhơn thì dấu hiệu vàng da, vàng mắt không rõ ràng và không thường gặp, có lẽ do phát hiện bệnh sớm và nếu có làm xét nghiệm bilirubine thì lại nằm trong giới hạn bình thường (Huỳnh Hồng Quang và cs., 2006; 2008);
-Đáng chú ý là sán có thể sống hơn 10 năm trong tổ chức gan mật và dẫn đến xơ gan mật và hội chứng ứ mật sinh học (biomedical cholestasis syndrome). Trứng xuất hiện trong phân sau giai đoạn tiền lâm sàng khoảng 3-4 tháng. Khi xuất hiện tổn thương thì giai đoạn phá huỷ gan kết thúc.
Giai đoạn âm ỉ hay bán cấp:
đáng chú ý giai đoạn này có thể sau hàng tháng hay hàng năm, tỷ lệ có triệu chứng chưa được xác định rõ ràng, chúng thường được ghi nhận thông qua người thân gia đình sau khi được chẩn đoán (Hardman và cs., 1970; Apt và cs., 1995). Tăng bạch cầu ái toan có thể là gợi ý nhiễm (Gil-Betino và cs., 1994). Những bệnh nhân này có thể có dấu hiệu dạ dày ruột hoặc các triệu chứng của giai đoạn cấp tính (Chen và Mott., 1990; Huỳnh Hồng Quang., 2005).
Thời kỳ mạn tính:
-Giai đoạn này có thể kéo dài hàng tháng hoặc hàng năm sai khi bắt đầu nhiễm. Sán trưởng thành cư trú trong đường mật gây viêm và tăng sinh niêm mạc, đường mật và túi mật dày lên và phồng to. Kết quả viêm nhiễm đường mật phối hợp với cơ thể sán lá gan lớn gây tắc đường mật;
-Về biểu hiện triệu chứng thì thường vào tháng thứ 3 các sán trưởng thành xâm nhập vào gan, mật và trứng sán sẽ xuất hiện trong phân. Bệnh nhân vẫn mệt, nhức đầu, thỉnh thoảng có biểu hiện dị ứng, chán ăn và đại tiện phân lỏng, đau bụng vùng thượng vị, chán ăn, sợ mỡ, nôn và buồn nôn, gan to và có thể lách to và xuất hiện bụng báng (Acosta-Farreira và cs., 1979; Duan và cs., 1986). Trên thực tế lâm sàng, một số bệnh nhân được điều trị thuốc đặc hiệu triclabendazole đã hồi phục và cải thiện triệu chứng rất rõ, sau vài tháng xuất hiện các triệu chứng trở lại và dĩ nhiên ổ tổn thương sán vẫn còn, trong các tình huống như vậy, thật khó để xác định thời kỳ mạn tính hay hiện tượng kháng thuốc của Fasciola spp.,cần thiết nghiên cứu thêm (Huỳnh Hồng Quang và cs., 2007);
-Về mặt giải phẩu bệnh, đường mật luôn luôn dãn rộng, đường kính lớn hơn 1,5-3 lần so với bình thường, hay gặp nhất trong các trường hợp tắc đường mật (Khorcandi và cs., 1977), nang nhỏ trong ống mật có thể quan sát thấy đầu tụy to ra và chắc (Maroy và cs.,1987). Nếu tắc mật thì túi mật thường to ra, phù nề, kích thước có thể đến 7 x 12 x 7cm, bờ dưới có thể sa đến ngang rốn (Chen và Mott., 1990). Xơ hóa túi mật với các tổ chức lân cận rất thường thấy, sỏi ống mật hay túi mật cũng hay gặp, thường là sỏi nhỏ và số lượng sỏi nhiều (Wong và cs., 1985; Chen và Mott., 1990; Arjona và cs., 1995). Thành phần bên trong đường mật và túi mật có thể chứa hỗn hợp máu, dịch mật, cặn máu đông và cặn sơi tơ huyết fibrin, chất mụn nát, đôi khi có cả mủ và máu trộn lẫn (Huỳnh Hồng Quang và Lê Quang Quốc Ánh., 2005);
-Xét nghiệm máu có thiếu máu, bạch cầu ái toan vẫn còn tăng và nhiều lần sau đó mới giảm. Trong quá trình trường diễn có thể xảy ra các tai biến nặng hơn, cơn đau quặn gan giống như đau do sỏi mật trong gan, có thể gây tắc đường dẫn mật, gây đau, sốt hoặc vàng da, có thể nhiễm khuẩn huyết, gan to đau dữ dội và sốt dao động hoặc sốt làn sóng. Lúc này bạch cầu ái toan không tăng nữa.
Q: Tỷ lệ mắc sán lá gan lớn ở phụ nữ gấp từ 3-5 lần so với nam giới, vậy bác sỹ cho biết nguyên nhân vì sao?
A:Phải nói rằng đây là một câu hỏi thật thú vị, nhưng trong suốt nhiều thập kỷ qua vẫn chưa có nghiên cứu minh chứng trả lời xác đáng vì sao? Tuy nhiên, chúng tôi qua thực tế nghiên cứu trên 15 năm qua đã thấy rằng tỷ lệ bệnh nhân nữ cao hơn nam giới và người lớn cao hơn trẻ em nhỏ, phụ nữ mang thai rất ít khi mắc sán lá gan lớn và khi mắc thường không điều trị mãi cho đến khi đã sinh xong, sau đó lại thấy tỏn thương sán trên các sản phụ đó lại tụ động thu hep kích thước, thậm chí mất (nếu tổn thương kích thước trước đó nhỏ) – vẫn còn là một câu hỏi cần nghiên cứu bệnh SLGL trên phụ nữ mang thai. Một số thông tin sau đây đưa ra có thể lý giải:
-Theo giáo sư Santiago Mas-Coma, chuyên gia của Tổ chức Y tế thế giới về bệnh sán lá gan lớn trên thế giới cho biết có thể trong một gia đình, phụ nữ là những người thường xuyên liên quan đến công việc bếp núc, tiếp xúc với các vật dụng nhà bếp dễ phơi nhiễm với ấu trùng metacercariae nên dễ dẫn đến bệnh;
-Thứ hai, sự quan tâm của sức khỏe nói chung và bệnh sán lá gan lớn nói riêng phụ nữ thường đi khám sớm và phát hiện trước so với nhóm nam giới, nên có thể vì vậy mà số phụ nữ phát hiện cao hơn chăng?
-Thứ ba, có thể các bạn nhìn nhận và truy cứu lại y văn thế giới, các bệnh lý liên quan đến hệ đường mật (sỏi đường mật, giun chui ống mật) thì nữ giới thường chiếm tỷ lệ cao hơn so với nam giới – chưa có câu trả lời chính thức, và sán lá gan lớn cũng là một bệnh như thế;
-Thứ tư, một nghiên cứu của nhóm tác giả Nhật Bản gợi ý rằng nên chăng tỷ lệ nữ cao hơn nam trong vấn đề nhiễm bệnh sán lá gan lớn có liên quan đến hệ kháng nguyên bạch cầu người (Human Leucocyte Antigen_HLA), điều này cần có nghiên cứu sâu hơn về vấn đề miễn dịch.
Q: Một người mắc bệnh sán lá gan lớn nếu không được phát hiện sớm và điều trị kịp thời thì sẽ gây ra những nguy hiểm gì cho sức khỏe?
A: Vì như trên đã trình bày, SLGL là bệnh tác động đến gan và đường mật, nên một số ca điều trị hoặc phát hiện, xử lý không kịp thời sẽ dẫn đến các biến chứng, thậm chí đe dọa tính mạng. Một trong những biến chứng của bệnh nguy hiểm là chảy máu, vỡ tụ máu dưới bao gan và chảy máu trong nhu mô và bao gan. Huyết khối có thể góp phần gây chèn ép đường dẫn mật gây vàng da tắc mật, đau thượng vị và thiếu máu. Rất nhiều trường hợp chảy máu suốt thời gian tổn thương đường mật, có trường hợp chảy máu đường mật trong gan và cả trong túi mật (Chen và Mott., 1990). Trong thực hành lâm sàng, đã cho thấy nhiều ca không kịp điều trị đã dẫn đến vỡ gan và tràn máu phúc mạc (0,3%) và được mổ cấp cứu để giải quyết chèn ép tim và nhu mô phổi do tràn dịch tràn máu màng phổi (Huỳnh Hồng Quang và cs., 2005; 2006) hoặc chảy máu trong đường mật do loét niêm mạc biểu mô đường mật, đặc biệt thiếu máu kèm với viêm tụy xảy ra trên trẻ em nhiều hơn người lớn (Robert W Tolan và cs., 2006).
Xơ hóa đường mật do viêm (sclerosing cholangitis) cũng xảy trong trong suốt thời gian nhiễm bệnh, xảy ra viêm nhiễm tăng sinh và phì đại của biểu mô đường mật dẫn đến xơ hóa lan tỏa. Nhiễm nặng và kéo dài thì biến chứng càng nặng. Gan có thể to ra và có thể có vàng da, bụng báng , lách to không chiếm ưu thế, nhưng viêm xơ cứng phối hợp viêm đường mật đã được báo cáo trêny văn (Chen và Mott., 1990; Huỳnh Hồng Quang và Lê Quang Quốc Ánh., 2007).
Những biến chứng nguy hiểm khác như đông máu nhiều nơi trong lòng tĩnh mạch, đã có bệnh nhân đông máu nhiều nơi bít tắc và tử vong do đông vón bít tắc mạch tại buồng trứng, mạc treo, gan, tim, phổi mà trên lâm sàng không nghĩ đến mãi đến khi giải phẩu tử thi. Trong thời gian xâm nhập, một số trường hợp bị huyết khối trong tĩnh mạch chủ (Pena Sanchez và cs., 1982). Xuất hiện cơn viêm tụy cấp do sán kẹt dính trong lòng ống Wirsung hoặc viêm nhiễm các ống trong hệ gan mật tụy. Chảy máu tiêu hóa do các sỏi đi kèm hoặc do sán làm tổn thương mạch máu, tăng áp lực từng đoạn của hệ đường mật. Một số ca ghi nhận có thể đầu tụy chèn ép ống mật chủ gây vàng da, xơ gan do mật, chèn ép tá tràng. Nếu điều trị không kịp thời, sẽ gây tràn dịch màng tim do vỡ ổ gan lên và qua khu trung thất rồi xuyên màng tim, gây khó thở hoặc tử vong (Huỳnh Hồng Quang và cs., 2007; 2008). Nếu sán lạc chủ (ectopic foci) thì biến chứng nghiêm trọng hơn (viêm tụy do sán chui vào ống tụy, mờ mắt do sán ăn sâu vào nhãn cầu, viêm da dị ứng do di chuyển, tạo bóng nước ở cơ thành bụng, gây tắc mật, vàng da, xuất huyết đường mật,...
Một số trường hợp đã tử vong do SLGL (Pana Sanchez và cs., 1982; Chen và Mott., 1990). Khám nghiệm tử thi cho thấy họ chết do biến chứng suy gan cấp có thể có bệnh lý kèm hay không. Fasciola hepatica gây tắc mật (Totev và Georgiev., 1979) và đã tìm thấy trên 40 con sán trưởng thành trên gan một bệnh nhân (Chen và Mott., 1990). Tìm thấy 1-14 con sán trên 81 tử thi tại Sarmarkand mặc dù chết không hòan toàn xác định nguyên do SLGL (Sadykov và cs., 1988).
Q: Thưa bác sỹ, tôi nghe nói bệnh sán lá gan nhỏ có thể dẫn đến ung thư gan, vậy bệnh sán lá gan lớn nếu không điều trị có dẫn đến bệnh ung thư gan hay không?
A: Có lẽ đây là câu hỏi rất thời sự và rất được cộng đồng bệnh nhân quan tâm khi đề cập. Tuy nhiên, may mắn thay sán lá gan lớn chưa có bằng chứng gây nên ung thư hệ gan mật mặc dù về mặt triệu chứng thì chúng lại rầm rộ hơn so với bệnh sán lá gan nhỏ qua các nghiên cứu dựa vào y học chứng cứ (evidence-based medicine). Khác với bệnh sán lá gan lớn, thì bệnh do sán lá gan nhỏ đã có những nghiên cứu minh chứng rằng chúng làm thay đổi thương tổn mô bệnh học tại vùng gan mật và dẫn đến ung thư biểu mô đường mật (cholangiocarcinoma) rất rõ ràng. Và trên thế giới, đặc biệt ngay tại Thái Lan có hẳn một trung tâm nghiên cứu về ung thư do sán lá gan nhỏ và nghiên cứu chuyên sâu về bệnh do sán lá gan nhỏ này.