Bệnh sán lá gan lớn ở người hiện không còn là bệnh của gia súc truyền sang người đơn thuần do ký sinh trùng mà còn được xem là một trong những căn bệnh nhiệt đới bị lãng quên (NTDs) và số ca gần đây tiếp tục ghi nhận tại nhiều quốc gia trên thế giới và Việt Nam. Không những ở các vùng đã được báo cáo trước đó mà hiện nay nhiều khu vực trên thế giới tiếp tục ghi nhận các ca bệnh nhiễm trùng Fasciola spp. mới. Điều đó, cho thấy gánh nặng bệnh tật càng tăng thêm, đặc biệt nhóm bệnh do ký sinh trùng. Với số ca bệnh do sán lá gan lớn ở người càng phát hiện nhiều thì số ca lạc chỗ, lạc chủ và ghi nhận nhầm lẫn báo cáo nhiều hơn.
Gần đây một nhóm tác giả gồm Bülent Yılmaz, Seyfettin Köklü, và Gökhan Gedikoğlu cho thấy bệnh sán lá gan lớn do Fasciola spp. (Fascioliasis) là một bệnh lý nhiễm ký sinh trùng gây ra bởi sán lá Fasciola hepatica/ Fasciola gigantica. Khi mắc bệnh, bệnh nhân thường biểu hiện các triệu chứng lâm sàng tương đối điển hình và đặc biệt hình ảnh trên siêu âm hay chụp CT-scanner và MRI ở hệ thống gan mật cho thấy các hình ảnh microabces với nhiều hình thái thương tổn khác nhau. Các triệu chứng lâm sàng và cận lâm sàng trên bệnh nhân đó gồm có sốt, đau bụng vùng thượng vị-mũi ức, lan ra sau lưng hoặc lan lên vai (dấu chứng khá điển hình trong nhiều ca bệnh sán lá gan lớn ở người, với các triệu chứng tiêu hóa (chán ăn, rối loạn tiêu hóa đi kèm) không rõ ràng trong giai đoạn cấp tính và bạch cầu ái toan (BCAT). Tuy nhiên, nó có thể thường bị bỏ qua, đặc biệt là trong giai đoạn cấp tính, vì các triệu chứng không chắc chắn do có thể nan án với các bệnh lý khác trong hệ thống bệnh lý nội khoa và truyền nhiễm. Nhiễm trùng Fasciola hepatica/ Fasciola gigantica có thể đôi khi có biểu hiện ban đầu tương tự như trình bày của bệnh lý ác tính. Ở đây, nhóm tác giả báo cáo một trường hợp của giả u gan do Fasciola hepatica.

Hình 1
Giới thiệu:
Sán lá gan lớn do Fasciola spp., một loại sán lá ký sinh thuộc lớp Trematoda, Ngành Platyhelminthes lây nhiễm vào gan-mật của các động vật có vú khác nhau, bao gồm cả người, nhưng đặc biệt hiếm thấy ở Mỹ.
Tuy nhiên, nó thường được phát hiện ở các nước đang phát triển thuộc khu vực nam Mỹ và châu Á. Tỷ lệ nhiễm ngày càng tăng kể từ năm 1980. Song đã có thời gian bệnh đươc coi là một trong những nhóm bệnh nhiệt đới bị bỏ quên hay bệnh ít được quan tâm (Neglected Tropical Diseases_NTDs). Các ký sinh trùng sán lá này có chu kỳ sinh trưởng và vòng đời phức tạp bao gồm một giai đoạn ở trong gan cũng như một giai đoạn ở mật, nên các tác giả gọi chung bệnh hệ hệ thống gan mật (hepatobiliary system).
Trong giai đoạn ở gan, ký sinh trùng đã được báo cáo là vẫn còn tồn tại trong gan 6-9 tuần. Tam chứng lúc đó gồm sốt, đau hạ sườn phải và thông số BCAT tuyệt đối trong máu ngoại vi tăng nên nghĩ nhiều về bệnh sán lá gan. Ca bệnh ở đây chia sẻ với chẩn đoán ban đầu có hội chứng liên quan đến gan, đồng thời gan to do Fasciola hepatica mà ban đầu được các bác sỹ nghĩ là một bệnh ác tính ở gan.
Báo cáo trường hợp:
Một phụ nữ 48 tuổi phàn nàn có sự khó chịu ở vùng bụng, bệnh nhân chưa từng có các triệu chứng như vậy trước đó, biểu hiện đau ra sau lưng và cảm giác đầy bụng. Các triệu chứng của bệnh nhân đã liên tục tăng trong 5 năm qua. Bệnh nhân này đã mất sụt mất 12 pounds trong vòng 6 tháng qua. Đồng thời, bệnh nhân buồn nôn và biếng ăn/ chán năn.

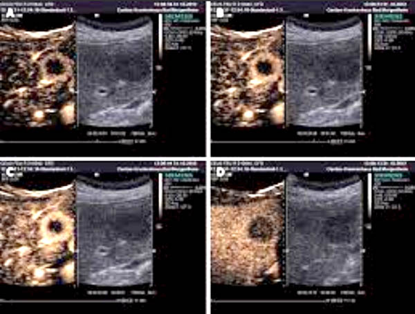
Hình 2

Hình 3
Đầu tiên, bệnh nhân được đưa vào một bệnh viện, sau đó siêu âm bụng và chụp cắt lớp vi tính ổ bụng (CT-scanner) được thực hiện. Siêu âm cho thấy một khối thương tổn [38 × 29 mm]. Các hình ảnh CT-scanner xác nhận phát sự hiện diện của khối này bằng cách tìm ra được một khối [3 × 4 cm] giảm dần đậm độ về trung tâm, tổn thương ở thùy trái của gan. Ngoài ra, ở vùng rốn gan, có hạch bạch huyết 31 mm đã được xác định.
Các nghiên cứu hình ảnh được lặp lại sau đó nhiều lần sau khi hội chẩn của cả nhóm. Những hình ảnh CT-scanner trước khi điều trị ban đầu cho thấy có khối rắn nhạt màu dần dần về trung tâm [7 × 5,5 cm] trong các phân thùy gan 2, 3 và 4. Các khối u cũng được tìm thấy, gây ra tắc mật ở thùy trái. Hơn nữa, hạch đã được xác định, với các hạch bạch huyết lớn nhất là 2,7 cm, đường kính trong khu vực khoang tĩnh mạch portacaval.
Một xét nghiệm máu tổng thể đã được thực hiện cho thấy BCAT (2.900/mm3), chính chỉ số này gợi ý dẫn tới sự nghi ngờ của một ca bệnh nhiễm ký sinh trùng. Để cho ra một chẩn đoán xác định, nhóm nghiên cứu đã thực hiện sinh thiết. Trong việc kiểm tra bệnh lý, tổn thương một phần hình thành u hạt đó bao gồm toàn bộ BCAT và rất ít tế bào đơn nhân được xác định.
Trong nhu mô gan, hình ảnh thương tổn do sán đã được xác định. Với một chẩn đoán phân biệt là ca bệnh nhiễm sán lá gan lớn Fasciola hepatica, huyết thanh chẩn đoán miễn dịch theo phương pháp và kỹ thuật (Fast enzyme-linked immunosorbent assay_FAST-ELISA) đã thực hiện nhằm thiết lập chẩn đoán cuối cùng. Sau khi chẩn đoán xác định, chỉ định liệu pháp điều trị sán lá gan lớn bằng triclabendazole (TCBZ) được chỉ định.
Bệnh nhân sau đó được ra viện và yêu cầu tái khám 3 tháng sau để theo dõi diễn tiến. Kết quả của một CT-scanner khác sau đó cho thấy sự phục hồi cả khối u và các hạch lympho rõ ràng trên hình A và B.
Hình (A): Chụp CT-scanner ổ bụng kiểm tra cho thấy một khối thương tổn giảm âm, giảm dần độ đậm về trung tâm 7 × 5,5 cm trong nhu mô gan.
Hình (B): Một hình ảnh CT scanner khác cho thấy sự phục hội và xóa mờ các “khối u” ở trong nhu mô gan.
Sinh thiết gan được đánh giá đối với u có tăng BCAt và cấu trúc nhu mô và giải phẩu bệnh giống như thương tổn do ký sinh trùng.
Thảo luận:
Sán lá gan lớn là bệnh lý không mấy phổ biến ở các nước phát triển, nếu có đa phần do ca bệnh ngoại lai nhiễm do du khách đi đến các vùng có bệnh lưu hành ở Nam Mỹ và châu Á, đặc biệt thường thấy nhiều ở các nước đang phát triển (Bolivia, Ecuador, Brazil, Thái Lan, Việt Nam). Việc xác định trứng sán Fasciola hepatica trong phân là một tiêu chuẩn vàng để chẩn đoán bệnh sán lá gan lớn, song điều này rất khó vì bệnh không hoàn thành chu trình trong cơ thể bệnh nhân đến giai đoạn trưởng thành, nên không thể đẻ trứng để đào thải ra phân, một số ca có nhưng chiếm một tỷ lệ thường thấp (< 5% số ca sán lá gan lớn ở người).

Hình 4
Các ký sinh trùng Fasciola spp. không ra khỏi trong giai đoạn cấp tính của bệnh trước khi chúng trưởng thành, mặc dù các triệu chứng của bệnh nghiêm trọng nhất ở thời điểm này. Ngoài ra, trứng ký sinh trùng có thể không được phát hiện khi các ký sinh trùng đẻ trứng trong các khoảng thời gian, chúng được quan sát thấy trong trường hợp của bệnh sán lá gan mãn tính, hoặc khi các ký sinh trùng này ở vị trí lạc chỗ. Người có thể bị nhiễm sán do ăn thực vật thủy sinh có nhiễm ấu trùng giai đoạn nhiễm metacercaria. Sán lá gan lớn có thể gây ra một loạt các dấu hiệu lâm sàng khác nhau, từ nhiễm trùng không triệu chứng đến xơ gan nặng. Bệnh do Fasciola hepatica có hai giai đoạn: cấp tính (gan) và mạn tính (mật) giai đoạn. Buồn nôn, sốt, đau hạ sườn phải, có hoặc không có kèm theo nổi mề đay được nhìn thấy trong giai đoạn cấp tính.

Hình 5
Tuy nhiên, trong giai đoạn mạn tính, sán và trứng sán có thể gây cản trở đường mật ngoài gan, gây ra các triệu chứng của tắc nghẽn đường mật. Ngoài ra, khi chúng đi vào túi mật có thể gây ra các triệu chứng giống như bệnh lý sỏi mật “cholelithiasis”. Trong đa số trường hợp, chẩn đoán nhiễm như giai đoạn cấp tính hoặc mãn tính rất khó, bởi vì các triệu chứng của cả hai giai đoạn chồng chéo lên nhau. Trong khu vực không phải bệnh lưu hành, các nhà lâm sàng có thể đưa ra chẩn đoán sán lá gan lớn có thể khó khăn và thường bị chậm trễ, vì căn bệnh này không phải là thường gặp. Đôi khi, các triệu chứng có thể bị nhầm lẫn với các bệnh về gan và mật.

Hình 6
Bệnh lý về gan-mật-tụy nhiễm trùng khác cũng có thể xảy ra. Nhiều trường hợp phát hiện sán lá gan lớn ngoài tử cung hay các cơ quan khác trong trường hợp lạc chỗ (ở tinh hoàn, buồn trứng, cơ thẳng bụng, lách, da niêm ở cơ cẳng chân, vú,…) đã được báo cáo trong y văn trên thế giới và Việt Nam. Có những báo cáo về những trường hợp tìm thấy sán ở tim, não, phổi, da, mắt, dạ dày và ruột và được nhắc đến như một ấu trùng di chuyển trong nội tạng (visceral larva migrans_VLMs).
Xét nghiệm huyết thanh học là rất cần thiết để chẩn đoán bệnh sán lá gan giai đoạn cấp tính bao gồm cả FAST-ELISA, Hemagglutin gián tiếp, xét nghiệm kháng thể, bổ thể, miễn dịch huỳnh quang gián tiếp (IIF), Counterelectrophoresis, Western-blot và phản ứng khuếch tán kép. Tuy nhiên, mặc dù thực tế rằng những thử nghiệm trên là khá nhạy, có thể vượt qua cho phản ứng dương tính chéo với các ký sinh trùng khác như sán dải chó Echinococcus spp., amip E. histolytica là tương đối phổ biến trong các thử nghiệm xét nghiệm huyết thanh miễn dịch.
Các chẩn đoán dựa trên miễn dịch đang có giá trị trong giai đoạn chẩn đoán giai đoạn trong gan sớm, nhưng thử nghiệm ELISA là nhanh hơn và điều trị thành công cũng cho hiệu giá kháng thể giảm dần, tương ứng với sự suy giảm nồng trên ELISA với kháng thể phát hiện được trong nhiều năm sau khi bị nhiễm đã điều trị thành công. FAST-ELISA có một tỉ lệ chính xác 95%.
Triclabendazole (TCBZ) đã được chứng minh là rất hiệu quả và cho hiệu lực cao chống lại bệnh nhiễm trùng sán Fasciola hepatica/ Fasciola gigantica. Thuốc được dùng với liều 10mg/kg cho 1 hoặc 2 liều chia hai trong ngày đều cho kết quả chữa khỏi tương tự, thuốc được hấp thu tốt.
Trong khi đánh giá bệnh nhân có khối u gan và kèm theo tăng BCAT, chúng có vai trò quan trọng bao gồm cả những nhiễm trùng ký sinh trong chẩn đoán phân biệt, đặc biệt là ở những bệnh nhân đã từng, hoặc đang sinh sống hoặc đến từ các quốc gia đang phát triển có bệnh lưu hành sán lá gan lớn. Bệnh nhân ở trong báo cáo này bước đầu đã được coi là một trường hợp của bệnh lý ác tính ở gan do có kèm theo hạch (?)
Tuy nhiên, các nghiên cứu huyết thanh học thực hiện sau khi khám bệnh cho thấy một nhiễm ký sinh trùng, tiếp theo các công cụ chẩn đoán hỗ trợ đã làm rõ chẩn đoán và thành công trong điều trị bằng thuốc đặc hiệu. Triclabendazole đã được hấp thu vào tuần hoàn và đến nhu mô gan đang bị thương tổn, diệt sán, dẫn đến thoái hóa hoàn toàn sán và phục hồi các khối u thương tổn sau khi điều trị.
Tài liệu tham khảo:
1.Fürst T, Keiser J, Utzinger J. Global burden of human food-borne trematodiasis: a systematic review and meta-analysis. Lancet Infect Dis. 2012;12:210-221.
2.Yen TJ, Hsiao CH, Hu RH, Liu KL, Chen CH. Education and imaging: hepatobiliary and pancreatic: chronic hepatic abscess associated with fascioliasis. J Gastroenterol Hepatol. 2011;26:611.
3.Arslan F, Batirel A, Samasti M. Fascioliasis: 3 cases with three different clinical presentations. Turk J Gastroenterol. 2012;23:267-271.
4.Apt W, Aguilera X, Vega F, Miranda C, Zulantay I et al., (1995). Treatment of human chronic fascioliasis with triclabendazole: drug efficacy and serologic response. Am J Trop Med Hyg. 1995;52:532-535.
5.Marcos LA, Tagle M, Terashima A, Bussalleu A et al., (2008). Natural history, clinicoradiologic correlates, and response to triclabendazole in acute massive fascioliasis. Am J Trop Med Hyg. 2008;78:222.
6.Kaya M, Beştaş R, Cetin S. Clinical presentation and management of Fasciola hepatica infection: single-center experience. World J Gastroenterol. 2011;28:4899-4904.
7.Rashed AA, Khalil HH, Morsy AT. Zoonotic ectopic fascioliasis: review and discussion. J Egypt Soc Parasitol. 2010;40:591-608.
8.Apt W, Aguilera X, Vega F, Miranda C, Zulantay I (1995). Treatment of human chronic fascioliasis with triclabendazole: Drug efficacy and serologic response. Am J Trop Med Hyg. 1995;52:532-534.
9.Espinoza JR, Maco V, Marcos L, Saez S et al., (2007). Evaluation of Fas2-ELISA for the serological detection of Fasciola hepatica infection in humans. Am J Trop Med Hyg. 2007;76:977-982.
10.Hillyer GV, Soler de Galanes M, Rodriguez-Perez J et al., (1992). Use of the Falcon assay screening test-enzyme-linked immunosorbent assay (FAST-ELISA) and the enzyme-linked immunoelectrotransfer blot (EITB) to determine the prevalence of human fascioliasis in the Bolivian Altiplano. Am J Trop Med Hyg. 1992;46:603.
11.Carnevale S, Rodriguez MI, Santillan G, Labbe JH et al., (2001). Immunodiagnosis of human fascioliasis by an enzymelinked immunosorbent assay (ELISA) and a micro-ELISA. Clin Diagn Lab Immunol. 2001;8:174-177.
12.WHO (2009). Fascioliasis Infection with the “Neglected” Neglected Worms. 2009. http://www.who.int/neglected_diseases/integrated_media/integrated_media_fascioliasis.