Sán lá gan lớn (SLGL) là một bệnh lây truyền từ động vật truyền sang sang người, gây ra bởi sán lá Fasciola sp.gây thiệt hại sức khỏe con người và nền kinh tế chăn nuôi, đặc biệt có tỷ lệ gia tăng trong 10 năm qua. Bệnh lưu hành không những ở các quốc gia đang phát triển mà còn có mặt tại nhiều nước tiên tiến châu Âu.
Tại Việt Nam, bệnh có mặt và lưu hành trên ít nhất 47/63 tỉnh thành, đặc biệt bao phủ 15 tỉnh miền Trung-Tây Nguyên và là khu vực có số ca cao nhất so với cả nước. Với số liệu thống kê chưa đầy đủ từ năm 2003-2015, số ca chẩn đoán xác định trên 40.000 ca, chưa kể điều trị tại các bệnh viện đa khoa tỉnh, trung ương và hệ y tế tư nhân. Số liệu tỷ lệ huyêt thanh dươngtính (seropositive cases) sẽ còn cao hơn nhiều. Điều này cho thấy số ca bệnh sán lá gan lớn ở Việt Nam vẫn còn và chưa có biện pháp phòng bệnh hiệu quả nào dù đã đã triển khai và tập huấn chẩn đoán, điều trị và phòng chống căn bệnh này nhiều năm về trước, song tập quán ăn uống và mầm bệnh còn tồn tại.
Liên quan bệnh học, sau khi người tiêu hóa phải ấu trùng, metacercariae đi xuyên qua ruột, chu du trong cơ thể và di chuyển đến gan rồi cuối cùng lưu lại hệ đường mật, ở đó sán trưởng thành và có thể đẻ trứng. Các bệnh nhân được phân giai đoạn dựa vào triệu chứng lâm sàng và các tổn thương trên siêu âm.
Một số tác giả đưa ra định nghĩa mang tính tương đối để phân biệt giai đoạn cấp tính và mạn tính của bệnh sán lá gan lớn ở người. Trong đó,
+ Giai đoạn cấp tính (< 4 tháng) có đau, sốt, tăng bạch cầu eosin, gan to và thời điểm này chính là sán xâm nhập vào gan;
+ Giai đoạn mạn tính (≥ 4 tháng) biểu hiện các triệu chứng của cơn đau vùng gan, co thắt đường mật hoặc do tắc nghẽn, vàng da nhẹ từng đợt, viêm đường mật tái đi tái lại trùng với thời điểm sán trưởng thành đã di chuyển đến đường mật.

Siêu âm: Công cụ chẩn đoán phổ biến không xâm lấn cơ thể
Chẩn đoán huyết thanh học có giá trị vì độ nhạy, đặc hiệu cao cả giai đoạn mạn tính và cấp tính. Đôi khi, sự di chuyển của sán trong túi mật hoặc đường mật được phát hiện qua siêu âm và được xem như là một công cụ chẩn đoán tốt bệnh SLGL và có độ nhạy hơn cả CT scanner trong giai đoạn sán ở đường mật; biểu hiện trên hình ảnh là dày thành ống mật chủ (OMC), hình thể con sán đã chết nằm tại đó hoặc đang chuyển động bên trong OMC hay túi mật. Nhiều nghiên cứu được thực hiện nhằm mô tả đặc điểm tổn thương trên hệ gan mật do sán Fasciola gigantica/ Fasciola hepatica.
Về mặt kỹ thuật tiến hành siêu âm, chuẩn bị bệnh nhân, không nhất thiết bắt bệnh nhân nhịn ăn trước đó, song với dạ dày xẹp, ít hơi, túi mật căng chứa nhiều dịch mật sẽ giúp cho SA quan sát thấu đáo hơn. Đầu tiên bệnh nhân nằm ngửa, tiếp đó có thể nghiêng (P) hoặc (T) tùy thuộc yêu cầu quan sát vùng. Hầu hết tất cả máy siêu âm thế hệ cũ hoặc mới, màu hoặc đen trắng đều có thể sử dụng để khảo sát các thương tổn trên nhu mô gan và hệ đường mật một cách rõ ràng, nhưng các máy thế hệ mới có các tính năng để khảo sát rõ ràng hơn. Máy siêu âm và đầu dò, có thể nếu khối tổn thương nhỏ ở nông, hoặc thăm dò trên trẻ em, hoặc để đánh giá độ dày bao gan gần vùng tổn thương có thể sử dụng đầu dò Linear real-time 7MHz. Sử dụng tất cả mặt cắt bộc lộ rõ tổn thương.

Thời gian thực hiện, siêu âm được khảo sát đúng quy trình protocol chuẩn, thời gian siêu âm cho một bệnh nhân khoảng 15-20 phút hoặc kéo dài hơn trong trường hợp cần phải phân biệt với các thương tổn hoặc khối tân sinh, bất thường khác xuất hiện trên vùng gan mật. Trong trường hợp khó có thể dài hơn và hội chẩn với bác sĩ khác trên lâm sàng lẫn chẩn đoán hình ảnh, có thể kết hợp với các thủ thuật cận lâm sàng khác như CT-Scanner hoặc chụp cộng hưởng từ (MRI), thậm chí dùng nội soi mật tụy ngược dòng để đánh giá sán kẹt trong lòng mật tụy. Ghi kết luận vào phiếu siêu âm thường bao gồm các thông tin chung như tổng thể về nhu mô, số lượng ổ tổn thương, tính chất, đường kính, vị trí hạ phân thùy, bất thường ở bao gan, hệ đường mật, lách, tụy, in kết quả lưu.
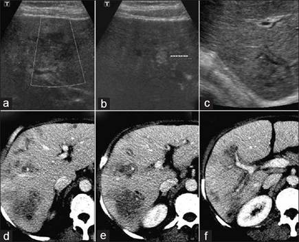
Một số thương tổn trên hệ thống gan mật qua khảo sát trên siêu âm trên hơn 1000 ca bệnh tại đa trung tâm, nhiều nhất là tại Phòng khám của Viện Sốt rét-KST-CT Quy Nhơn từ năm 2003 đến nay đã cho thấy hình ảnh thương tổn đa dạng, kích thước khác nhau và tính chất hồi âm khác nhau và có thể tổng hợp dưới đây qua thủ thuật SA bao gồm khảo sát bụng tổng quát, nhu mô gan, túi mật và hệ đường mật. Qua thăm dò, các hình ảnh bất thường liên quan đến nhu mô gan (giai đoạn cấp) là hay gặp nhất, kế đến tổn thương hệ đường mật, túi mật (giai đoạn mạn tính) với nhiều biểu hiện trên hình ảnh đa dạng, trong đó tổn thương tăng âm hình giống chiếc lá hay lưỡi liềm không kèm bóng cản (không có bóng lưng). Tổn thương nhu mô thường là vùng giảm âm phối hợp tăng âm, hoặc cả trống âm với giảm âm và tăng âm (khối hỗn hợp), trông giống như khối di căn, có bờ nham nhở không phân rõ giới hạn, tổn thương nằm cạnh TM cửa cũng chiếm số lượng không nhỏ.

Trong giai đoạn cấp(thời gian mắc bệnh <4 tháng)
Siêu âm gan mật có thể cho thấy ba loại tổn thương trong giai đoạn cấp tính. Loại tổn thương thứ nhất là hình ảnh nhu mô gan không đồng nhất, đôi khi chỉ một ổ tổn thương, chiếm chủ yếu với 86,32%, kế đến là 2 khối nối liền hoặc nằm riêng lẻ (12,09%) hoặc đa ổ (hiếm gặp hơn) không đáng kể.
Loại tổn thương thứ nhất, tổn thương hầu hết có bờ hoặc viền không rõ ranh giới giữa nhu mô lành và bệnh đi kèm tính chất tăng, giảm, hỗn hợp âm khác nhau: trong đó giảm âm chiếm chủ yếu (83,12%), tiếp đến là hỗn hợp âm (59,86%) và tăng âm (5,25%). Kết quả này cũng phù hợp với một số nghiên cứu trong và ngoài nước (Orhan S và cs., 2004; N.V. Khá và cs., 2006; M.T. Gulssen và cs., 2006; T.V. Lang và cs., 2009; A. Fica và cs., 2012). Bên cạnh các tổn thương như thế chúng tôi còn gặp một tỷ lệ đáng kể là khối echo hỗn hợp tăng âm, giảm âm kèm theo nhiều vùng trống âm (59,86%) tương tự nghiên cứu của Cosme và cộng sự (2003) và N.V.Khá và cộng sự (2006), A. Fica và cộng sự (2012).
Điều này chứng tỏ các microabces này đã hoại tử, hoặc giai đoạn vừa hoại tử vừa tiến triển có xu hướng lan rộng hoặc quy tụ thành một khối dịch lớn. Đặc biệt, các tổn thương nhu mô gan thường có nhiều “mắt nhỏ”, dạng nốt, nếu là hình ảnh giảm âm hay xen kẻ trống âm ở giữa thì thường không/ hoặc rất khó phân biệt với các dạng áp xe hay khối tân sinh ở gan (hepatic neoplasm) khi đã xuất hiện đặc điểm hoạt tử trung tâm trong nhu mô gan như một số tác giả đã từng mô tả (H.H. Quang và cs., 2005; M. Teke và cs., 2014). Song song với các tổn thương trên, nghiên cứu này có thể nhìn thấy nhiều microabces nằm rải rác trong nhu mô, thậm chí sát bao gan, xen kẻ ổ áp xe là vùng trống âm.

Trong tổn thương nhu mô với tất cả thùy và hạ phân thùy (Hạ PHÂN THÙY) đều có khả năng bị ảnh hưởng, nhưng thực tế vị trí gặp ở gan phải (P) là nhiều hơn (80,28%) so với nhu mô gan trái (T) chỉ có 9%, điều này tương tự như các áp xe gan do amip E. histolytica. Trong một nghiên cứu của Zafer Koç và cộng (2009) cũng cho biết tỷ lệ tổn thương gan (P) và (T) lần lượt 92,02% và 6,3%. Giải thích lý do tại sao? có lẽ do cấu trúc giải phẩu và đường đi ranh giới giữa các Hạ PHÂN THÙY thuận lợi hoặc thể tích gan (P) lớn hơn rất nhiều so với gan (T) cho nên xác suất bị ảnh hưởng của phần gan (P) vì thế bị cao hơn.
Kích thước ổ tổn thương thay đổi từ < 3cm đến >10cm về đường kính chiếm đa số. Với cách phân chia kích thước trung bình, số liệu cho thấy đường kính tổn thương gặp nhiều nhất và chiếm tỷ lệ cao nhất là từ 5-7cm với 466 ca (53,14%), tiếp đến kích thước từ 7 - < 10cm (23,6%) và 3 - < 5cm là 15,39%. Các khối tổn thương có kích thước > 10cm hoặc < 2cm, chiếm tỷ lệ ít hơn (5,13% và 2,74%), đối với các bệnh nhân có đường kính < 2cm này là họ đi kiểm tra sức khỏe định kỳ phát hiện hoặc họ đến sớm sau khi có triệu chứng sán lá gan ban đầu, còn kích thước lớn > 10cm mặc dù đã phát hiện và chẩn đoán trên siêu âm rồi, song vì một lý do khách quan nào đó (phụ nữ đang mang thai, thời điểm thiếu thuốc đặc hiệu triclabendazole, hoặc chẩn đoán nhầm bệnh lý khác trước khi phát hiện sán lá gan) nên họ trì hoãn quá trình điều trị đến sau sinh mới đi điều trị hoặc điều trị các phác đồ không đặc hiệu khiến cho khối tổn thương lan rộng, thậm chí nguy cơ đe dọa vỡ bao gan.

Số liệu nghiên cứu này tương tự của tác giả trong nước (T.V. Lang và cs., 2007). So với kết quả nghiên cứu của tác giả nước ngoài thì kích thước ổ tổn thương ở đây lớn hơn nhiều (Mansour Ghanael và cs., 2006), sở dĩ trong nghiên cứu của họ kích thước chỉ dao động 1,2 - 6cm chứ không quá lớn như số liệu này bởi công trình nghiên cứu của họ được tiến hành trong các vụ dịch, số lượng bệnh nhân đông và được điều trị ngay bằng nguồn thuốc triclabendazole đặc hiệu viện trợ liên tục. Cũng chính vì lẽ được điều trị kịp thời đó, mà số lượng ổ tổn thương trong một số báo cáo y văn chỉ là 1 ổ hoặc 2 ổ (Richter và cs., 2006; Mansour Ghanael và cs., 2006).
Gan là một tạng lớn nhất trong cơ thể, thùy và các hạ Hạ PHÂN THÙY được phân chia dựa trên phân bố của tính mạch cửa, tĩnh mạch chủ, rãnh dây chằng tròn và rãnh Arantius, như trên đã trình bày tổn thương SLGL thường gặp ở gan (P) nhiều hơn gan (T), nếu chia theo vị trí từng Hạ PHÂN THÙY thì ở đây chủ yếu gặp ở Hạ PHÂN THÙY III (5,47%), IV (9,35%), V (11,86%), VI (25,2%), VII (29,08%) và hẹ phân thùy VIII (14,14%), hiếm gặp hơn ở Hạ PHÂN THÙY Spigel (1,37%) và II (3,53%). Như vậy, tổn thương nhu mô gan phần lớn tập trung ở các Hạ PHÂN THÙY V, VI, VII, VIII thuộc thùy (P) gan với tỷ lệ 80,28%, so với thùy (T) thì ít hơn rất nhiều (9%).

Bên cạnh đó, tổn thương giai đoạn cấp tính còn thấy tổn thương nhu mô nhưng sát bao gan (1,41%), mặc dù kích thước các ổ này rất bé (chừng 1,2 - 1,5cm) nhưng trên lâm sàng bệnh nhân đau rất dữ dội; ngược lại, cho dù kích thước ổ tổn thương có đường kính rất lớn, thậm chí đến gần 10cm, song chúng lại nằm trong lòng nhu mô thì bệnh nhân lại ít đau hơn hoặc thậm chí không đau, và cần chú ý rằng do bênh nhân không đau trong thời gian dài như thế khiến cho ổ tổn thương càng lớn hơn.
Lý giải điều này, chúng tôi nghĩ rằng về mặt giải phẩu thì do trong nhu mô gan dường như không có dây thần kinh nên cảm giác đau lại ít hoặc rất mơ hồ và trái lại, vùng bao Glisson tiếp giáp với nhu mô gan lại phong phú dây thần kinh cảm giác nên bệnh nhân rất nhạy cảm đau khi có tổn thương xâm lấn các vùng này.
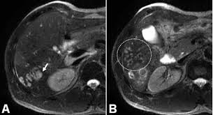
Loại tổn thương thứ hai mà chúng tôi hay gặp trong thời gian đầu của cấp tính là các khoảng trống như “khoang” hoặc có nhánh trông giống đường hầm, các dạng tổn thương này nhìn rõ nét hơn nếu so sánh và đối chiếu trên phim chụp CT Scanner hoặc MRI có bơm thuốc cản quang. Đây là những hình ảnh có ngoại vi ngoằn ngoèo, khúc khủy do quá trình sán di chuyển trong nhu mô gan và trong y văn ký sinh trùng cũng từng đề cập (F.Mansour Ghanaei và cs., 2006).

Loại tổn thương thứ ba là một số tổn thương trong nhu mô /hoặc gần sát bao gan nhưng khi hoại tử đã vở ra bên ngoài được bao gan bọc lại (subcapsular mass), một số ổ này có nguy cơ đe dọa vỡ nếu không can thiệp kịp thời (3,53%), thường gọi là giả u mạch (“pseudohematoma”). Trong quá trình theo dõi, đã phát hiện có 2 ca đe dọa vỡ vào khoang phúc mạc nên đã chuyển can thiệp ngoại khoa cấp cứu do khối máu vượt quá khả năng hấp thụ của cơ thể.
Đôi khi, trong quá trình thăm dò siêu âm, phát hiện một số hình ảnh ít điển hình hơn là dạng giả u hạt, hoại tử có tăng âm ngoại vi và một số khối dạng áp xe không điển hình hoặc hốc/ khoang giả như u mạch thể hang (carvenous hemangioma), tuy không nhiều và phần lớn các khối này đều tiến triển tốt và trở về như nhu mô bình thường sau điều trị đặc hiệu, nhưng thời gian tái tạo nhu mô có dài hơn so với các dạng tổn thương khác.
Một dạng tổn thương nữa rất khó phân biệt với một khối ác tính như ung thư tế bào gan (HCC_Hepatocellular Carcinoma). Vì trên thực tiến lâm sàng và cận lâm sàng về bệnh này, phần lớn là các tổn thương giảm âm đơn thuần hoặc đi kèm với trống âm và tăng âm, song cũng có ngoại lệ là bệnh nhân đến với những khối phẳng, không đồng nhất, tăng sáng, không rõ hình ảnh sùi súp lơ,…(N.V. Khá và cs., 2006). Nhữngca như thế, thường phải đề nghị làm thêm chất chỉ điểm alpha foetoproteine để củng cố chẩn đoán (H.H. Quang và cs., 2007).

Các loại đầu dò dùng trong khảo sát siêu âm tổn thương gan mật do Fasciola sp.
Đặc biệt, trong nghiên cứu này còn 28 ca (2,75%) chưa phát hiện tổn thương trên hệ gan mật mặc dù FascELISA (+) và BCAT tăng, đủ tiêu chuẩn chẩn đoán ca bệnh, điều này có lẽ do (i) Giai đoạn nhiễm quá sớm để sán tạo tổn thương trên gan mật, chúng chỉ mới tiết ra kháng nguyên, nên phản ứng FascELISA(+) và có vài biểu hiện trên lâm sàng ban đầu; (ii) Hoặc vì triệu chứng lâm sàng bệnh SLGL thường không đặc hiệu và na ná với nhiều bệnh lý tiêu hóa khác, đồng thời phản ứng FascELISA có một tỷ lệ nhất định cho dương tính vì có thể phản ứng chéo giữa nó với loài ký sinh trùng hay đơn bào khác như E. histolytica, sán lá phổi P. westermani hoặc sán máng S. mansoni (S.Mas-Coma và cs., 2005, H.H.Quang., 2009) là điều không thể loại trừ, nhất là nước ta ở trong vùng nhiệt đới, lưu hành nhiều bệnh ký sinh trùng và đơn bào, (iii) Hoặc các tổn thương nằm ở những vị trí vượt ngoài khả năng kiểm soát của siêu âm, nên chưa phát hiện được.
Do cấu trúc giải phẩu nhánh tĩnh mạch cửa đi xuyên qua phân thùy, còn tĩnh mạch trên gan lại đi giữa các phân thùy, do đó nếu có sự hoại tử thì tổn thương nhu mô sẽ lan rộng ra xung quanh và gây nhiễm trùng hệ tĩnh mạch cửa và Hạ PHÂN THÙY nhanh chóng, khiến cho tình trạng nhiễm trùng thêm trầm trọng.

Trong giai đoạn mạn tính:
Trong giai đoạn này, hình ảnh trên SA điển hình thường là đa ổ nhỏ, li ti có thể vừa gặp trong nhu mô gan vừa gặp trong đường mật (3,13%), bao gồm OMC; nhưng phần lớn là hình ảnh thả nổi (floating) hoặc vết (trace) tăng âm di động bên trong túi mật hoặc OMC mà không kèm bóng cản với tỷ lệ 1,84%, có thể là sán di chuyển hoặc xác sán chết dính lại. Một dấu hiệu nữa không đặc trưng cho giai đoạn mạn tính là hình ảnh dãn, phù nề và dày thành túi mật (2,52%), đường mật (2,85%) không đều các đoạn, các dầu hiệu này cũng thường gặp trong bệnh cảnh viêm xơ đường mật hoặc viêm đường mật lan tỏa trên cơ địa suy giảm miễn dịch HIV/AIDS (Mansoeu Ghanael và cs., 2006). Kết quả ở đây tương tự như nhận định của nhiều tác giả báo cáo trên thế giới, đặc biệt các nghiên cứu tại Cuba cũng cho một số hình ảnh tương tự: những vệt thẳng tăng âm trong túi mật, dãn đường mật và nhất là dãn OMC đi kèm với vệt tăng âm bên trong lòng OMC hoặc túi mật (Orhan S và cs., 2004; Gulssen và cs., 2006; A. Fica và cs., 2012).
Nói chung, giai đoạn cấp tính thì tổn thương tập trung ở nhu mô, đặc biệt ở các Hạ Phân thùy gan bên (P) và quanh tĩnh mạch cửa. Các đặc điểm liên quan đến hệ đường mật thay đổi khác nhau tùy vị trí và có hình ảnh đặc trưng thuộc giai đoạn mạn. Một số ca thấy có dãn đường mật, song tìm dấu vết của sán lại không có. Khả năng dãn ở đây là hậu quả của sán đã đi qua đường mật, đến khi được phát hiện thấy dãn chỉ là di chứng của vài ngày trước đó.
Nghiên cứu khảo sát đã phát hiện các vùng tăng âm nhỏ không có bóng lưng kèm với dãn đường mật có thể sán đang ở trong, điểm này có thể phân biệt được với sỏi hoặc vật thể khác của đường mật (có bóng lưng). Lẽ đương nhiên, một số ca sán dính chặt vào thành túi mật, khi đó việc phân biệt sán hay polyp dạng tuyến (adenomatous polyps) thì rất khó vì đều có tính chất tăng âm và không bóng lưng. Nếu một vài con sán di động thì quá dễ dàng để phân biệt các tình huống trên.
Vấn đề nữa đặt ra là khi có ảnh hưởng đồng thời cả gan và mật thì chúng ta cần lưu ý một số hình ảnh trên siêu âm trông giống ổ tăng âm không kèm bóng lưng trong túi mật hoặc đường mật đi với hình vết, chiếc lá hoặc hình liềm thì có lợi cho chẩn đoán, nhất là trong vùng lưu hành bệnh như miền Trung-Tây Nguyên hay khu vực Altiplano Nam Mỹ thì chẩn đoán xác định SLGL hoặc nghĩ đến SLGL là ấn tượng đầu tiên. Nếu là các liên quan tổn thương nhu mô các phân thùy gan (P) và quanh tính mạch cửa thì cần chú ý đến, song cũng không nên vì thế mà bỏ qua các chẩn đoán có thể khác.Nhìn chung, siêu âm có thể cho thấy hình ảnh tổn thương giảm âm (hypodense/hypoechoic lesions) trong gan phù hợp với đường đào hầm đi của ấu trùng. SA có thể phát hiện sán trưởng thành trong đường mật hoặc túi mật. SA hiếm khi nhìn thấy tình trạng bụng báng và tràn dịch do sán.

Chụp cắt lớp vi tính (CT scanning)
CT scanner có thể cho thấy hình ảnh đa khối tổn thương có kích thước 1-10 mm hoặc các đường hầm trong nhu mô gan-một mô hình lan rộng từ các đường hầm. CT scanner cũng có thể thấy sán trưởng thành trong đường mật hoặc túi mật. Các khảo sát bằng siêu âm và CT scanner đôi khi cũng nhầm lẫn với sỏi và khối thương tổn ác tính. Việc khảo sát cho nhiều lát cắt khác nhau và kích thước và độ dày mỏng khác nhau
Chụp cộng hưởng từ hạt nhân (MRI)
Chụp MRI có thể thấy hình ảnh dạng u hạt trong nhu mô gan và có thể cung cấp các hình ảnh tương tự như trên CT scanner.
Chụp đường mật (Cholangiography)
Nội soi mật tụy ngược dòng (ERCP) được xem là kỹ thuật chuẩn vàng trong chẩn đoán hình ảnh ở đường mật trên các bệnh nhân nhiễm trùng mạn tính. Nó cũng hỗ trợ trong quản lý ca bệnh sán lá gan lớn, cần phải cắt cơ vòng dưới hướng dẫn của ERCP và loại bỏ sán trưởng thành kẹt do nhiễm trùng mạn tính và gây tắc đường mật.
Hút dịch túi mật dưới hướng dẫn siêu âm (US-guided gallbladder aspiration)
Thủ thuật này thường giúp phát hiện hoặc nghiên cứu tìm trứng sán trong túi mật, thậm chí trên nhiều ca xét nghiệm phân âm tính.

Chụp Technetium-99 scanning
Công cụ chẩn đoán này cho thấy nhiều loại khiếm khuyết trong gan khoảng 50% số ca.
Nói tóm lại, sử dụng siêu âm như một công cụ thăm dò không xâm lấn hữu ích trong phát hiện và chẩn đoán, theo dõi diễn biến hồi phục bệnh nhân sán lá gan. Các thông tin qua nghiên cứu như tài liệu chia sẻ kinh nghiệm và có thể xây dựng bộ atlas hoặc videoclip về các hình ảnh cho giảng dạy và thực hành lâm sàng bệnh ký sinh trùng. Pha lâm sàng bao gồm hai pha:
(i) Pha đầu tiên trên nhu mô gan, ấu trùng non xâm nhập vào nhu mô, tiếp sau đó là pha mật là đưa các ấu trùng vào trong đường mật. Siêu âm không đặc hiệu trong giai đoạn sớm. CT scanner có thể thấy vùng giảm âm dưới bao gan. MRI cũng có thể sử dụng để thiết lập vùng nhu mô bị ảnh hưởng, rõ ràng hơn trên CT scanner khi khảo sát tổn thương xuất huyết;
(ii) Pha mật sử dụng siêu âm là công cụ tốt nhất ở giai đoạn này cho thấy sán còn sống di chuyển bên trong đường mật và làm dãn đường mật. CT scanner cho thấy đường mật trung tâm dãn có vết ở quanh tĩnh mạch cửa (periportal tracking), ngược lại dãn nhẹ đường mật rất kém với MRI.
TÀI LIỆU THAM KHẢO
1.Huỳnh Hồng Quang, Nguyễn Văn Khá (2005). Vai trò siêu âm-nội soi và phân tích tế bào học trong lĩnh vực chẩn đoán và điều trị bệnh lý gan mật. http:// www.impe_qn.org.vn.
2.Trần Văn Lang, Huỳnh Hồng Quang, Nguyễn Văn Khá (2008). Hình ảnh siêu âm của tổn thương hệ gan mật gây ra bởi Fasciola spp. Tạp chí Gan mật Việt Nam, Hội thảo Gan mật toàn quốc, Hội Nghiên cứu gan mật Việt Nam (VASLD), số đặc biệt tháng 8.2008: 70-77.
3.M.T. Gulssen, M.C. Savas et al., (2006). Fascioliasis: A report of five cases presenting with common bile duct obstruction. The Journal of medicine in Netherlands, vol.64, No.1, 2006.
4.F.Mansour Ghanaei, Alzadeh et al., (2006). Sonographic finding of human fascioliasis. The Iran Journal of radiology, 4(1).
5.Orhan S, Engin A et al., (2004). Hepatobiliary fascioliasis: Clinical and radiologic features and endoscopic management”. Journal of clinical gastroenterology 2004; 38: 285-291.
6.Memik Teke, Hakan Önder, Mutalip Çiçek, Cihad Hamidi et al., (2014). Sonographic findings of hepatobiliary fascioliasis accompanied by extrahepatic expansion and ectopic lesions. J. Ultrasound Med 2014; 33:2105-2111.
7.A. Fica, J. Dabanch, C. Farias, M. Castro, M. I. Jercic (2012). Acute fascioliasis: Clinical and epidemiological features of four patients in Chile. Clin Microbiol Infect 2012; 18: 91-96
8.Zafer Koç, Şerife Ulusan, Naime Tokmak (2009). Hepatobiliary fascioliasis: Imaging characteristics with a new finding. Diagn Interv Radiol; 15:247-51