Về mặt phân tích mô bệnh học về thương tổn do sán lá gan lớn trên động vật, Ahmed Abdullah Sultan và cộng sự (2020) tại Khoa Bệnh học Thú Y, Đại học Tikreet (Iraq) nghiên cứu trên 15 gan bò nhiễm sán ở các độ tuổi khác nhau tại Kirkuk năm 2018 cho biết SLGL là một loại ký sinh trùng sán lá gây ra gánh nặng bệnh tật quan trọng trên nhiều loài động vật như gia súc, trâu bò, cừu, dê cũng như một số động vật nuôi. Hình ảnh đại thể được quan sát các sán ngắn trên bề mặt gan và bề mặt gan thô ráp và tăng các enzyme gan AST, alkaline phosphate (ALP)và ALT trong huyết thanh. Một số sán non đang di chuyển và bị đẩy ra khỏi đường mật khi cắt bề mặt nhu mô gan. Về mô bệnh học, nhìn thấy nhiều tổn thương gan. 
Hầu hết thương tổn quan trọng từ mức độ vừa đến các vệt xuất huyết trên bề mặt gan và viêm quanh gan nghiêm trọng (severe perihepatitis). Các thương tổn này liên quan đến đường đi, hay đường hầm do sán di chuyển bị lấp đầy máu, sợi huyết và mảnh vụn tế bào (cellular debris). Số liệu cũng chỉ ra có sự thay đổi về mặt hóa sinh trong huyết thanhsong song với các thương tổn bệnh học, nên nếu phân tích các chỉ số hóa sinh có thể áp dụng trong chẩn đoán nhiễm trùng SLGL cùng với các xét nghiệm khác.

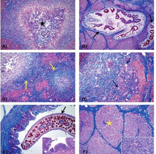
Hình 1. Thay đổi hình thái trên các con chuột nhiễm sán F. hepatica.
(A) Phẩu tích vết di chuyển của sán F. hepatica(vùng chuyển dạng màu đen) trên gan ở thời điểm 4 tuần sau nhiễm cho thấy thâm nhiễm bạch cầu;
(B) Dạng sán nonF. hepatica (mũi tên đen)trong gan ở thời điểm 4 tuần sau nhiễm;
(C) Tăng sinh sợi collagen (mũi tên vàng) quanh các vết di chuyển ở gan lúc 4 tuần sau nhiễm;
(D) Tăng sinh đường mật (mũi tên xanh đen) và mô liên kết ở gan lúc 4 tuần sau nhiễm;
(E) Đoạn sán trưởng thành F. hepatica (mũi tên đen)trong ống mật chủ lúc 7 tuần sau nhiễm cho thấy bằng chứng tăng sản biểu mô đường mật.
 Vùng cắt ngang của ống mật chủ ở các con chuột chứng;
(F) Xơ hóa trục dọc (vùng chuyển dạng vàng) và nốt không theo trục ở gan lúc 10 tuần sau nhiễm.
Một nghiên cứu khác đánh giá về thương tổn mô bệnh học do SLGL ở cừu tại các lò mổ ở Jeddah, Saudi Arabia (Safinaz J. Ashoor và cs., 2023), tổng số 109.253 con cừu được mổ từ 2017-2018 để sàng lọc và đánh giá tỷ lệ mắc sán. Gan cừu được đánh giá về mặt đại thể đối với các trường hợp nhiễm Fasciola spp. thấy răng tỷ lệ nhiễm trên cừu nội địa và nhập ngoại lần lượt là 0,67% và 2,12% và tỷ lệ nhiễm cao nhất vào mùa xuân, có sự thay đổi hình thái sau khi quan sát các mẫu mô gan nhiễm, về đại thể, gan lớn, bao gan dày và thay đổi màu sắc kèm theo hoại tử,xơ hóa, dãn ống mật, căn túi mật và sưng hạch lymph ở khoảng cửa, trong khi về mặt vi thể thấy tình trạng dày xơ hóa, canxi hóa và tăng sản đường mật chứa nhiều mảnh vụn tế bào cũng như các khối xuất huyết phân thành từng ổ bên trong. 
Xét nghiệm mô bệnh học gan nhiễm thấy vùng tĩnh mạch trung tâm chứa tế bào nhu mô bị xáo trộn,thâm nhiễm bạch cầu lympho tại chỗ,các tế bào nội mô bị kéo dài, các xoang máu có nhiều tế bào Kupffer trương phình lớn, các mảng tế bào gan hoại tử hoặc phân rã, thâm nhiễm bạch cầu ái toan, bạch cầu lympho và tăng sinh nguyên bào sợi, dày động mạch gan và vách tiểu động mạch. Điều này cho thấy có sự thay đổi mô bệnh học trong gan cừu bị nhiễm sán, phản ánh tình trạng tổn thương mô, dẫn đến giảm sản lượng kinh tế chăn nuôi đáng kể.

Hình 2. Xơ hóa đường mật do Fasciolaở gia súc, mô bệnh học của đường mật bị xơ
(A) Nhóm chứng chỉ ra các thay đổi không rõ ràng;
(B) Mẫu mô gan xơ được cắt ra thấy xơ hóa nhiều trong bao gan Glisson, nhiều cầu xơ giữa vùng cửa (mũi tên), hình thành các thùy giả (vùng chuyển dạng) và thâm nhiễm tế bào viêm;
(C) Bao gan Glisson bị ảnh hưởng (độ phóng đại lớn hơn ở vùng hình B) gồm các hình ảnh tăng sản ống mật (mũi tên) và các tế bào viêm như BCAT;
(D) Mô xơ nhìn thấy với bắt thuốc nhuộm collagen (xanh), quanh một vùng giả thùy gan (vùng chuyển dạng) và trong các cầu cửa - cửa;
IB: interlobularbile duct (đường mật trong thùy gian), IV: tĩnh mạch liên thùy; 
HE. Bar=100 μm (A); 500 μm (B); 200 μm (C), 20 μm (bên trong của C); Azan-Mallory; Bar=500 μm (D).
Trên hình ảnh mô bệnh học trên các con bò bị nhiễm SLGL (Okoye I.C và cs., 2014) đánh giá tại bang Nsukka, Nigeria trên các gan tại lò mổ và quan sát đại thể bằng mắt thường, sờ nắn và rạch sinh thiết gan. Về đại thể, một số gan nhiễm sán thấy hơi sưng phồng nhẹ, nhạt màu ở các góc bo tròn của gan, trong khi đó một số vùng khác sưng lớn với vài vùng màu trắng bất thường nhỏchỉ ra tình trạng xơ hóa trên bề mặt thành. 
Trong một số trường hợp, bao gan dày, thô ráp, sần xù cùng sự thay đổi màu sắc thành trắng hoặc đỏ và nhu mô gan cứng do các phần mô bị xơ hóa. Tình trạng xơ hóa ống mậtvới nhiều mảng lớn nhỏ nằm rải rác trên bề mặt thành và ống mầmtron tế bào gan cần lưu ý. Các hình ảnh như thế chỉ ra các thay đổi mô bệnh học ở các mô gan nhiễm sán F. gigantica phản ánh mô bị tổn thương, điều này có thể giải thích cho lý do tại sao sụt giảm sản lượng kinh tế chăn nuôi ở động vật và cũng là mối đe dọa sức khỏe ở người. Do đó, các nhà chức trách cả thú y và y tế cần quan tâm và làm sao đảm bảo các gan gia súc bị thương tổn nghiêm trọng không được đưa ra cho con người tiêu thụ mặc dù nó có giá trị dinh dưỡng nhưng lại có nguy cơ sức khỏe. 
Đặc điểm hóa mô miễn dịch (immunohistochemical characterization) của các đại thực bào và nguyen bào sợi cơ trên các thương tổn gan do Fasciola spp. ở gia súc được phân tích chỉ ratình trạng xơ hóa của gan khi nhiễm sánFasciola spp. đặc trưng bởi thâm nhiễm tế bào viêm, BCAT và đại thực bào, các cầu nối xơ hóa giả đường mật, giả thùy (pseudo-lobule, pseudo-bile ducts) rõ ràng và đặc biệt các thương tỏn xơ hóa trên các vùng bao Glisson của gan rõ nhất. 
Các ống giả đường mật chứa các tế bào biểu mô phản ứng với cytokeratin-19, điều này chỉ ra nguồn gốc tế bào đường mật. Đánh giá các đại thực bào và nguyên bào xơ cơ trên các nhu mô gan xơ hóa, đại thực bào dương tính với CD68 (có nghĩa là có hiện tượng thực bào) và CD163 (sinh cytokine tiền viêm) tăng lên và cả CD204 (rối loạn chuyển hóa lipid) và Iba-1 (loại protein gắn calcium đóng vai trò như một cơ chế mà các tế bào di chuyển để đáp ứng với một kích thích hóa học khi viêm) giảm đi trong các gan bị xơ so với các gan không bị xơ.
Nguyên bào cơ xơ dạng hình sợi phản ứng với vimentin, desmin và actine cơ trơn alpha (α-smooth muscle actin hay α-SMA) tăng lên ở mô liên kết quanh đường mật, dù các tế bào dương tính với desmin thấp hơn. Ngoài ra, điểm hữu ích các kháng thể này phát hiện đại thực bào trên các gan nhiễm cho thấy có các kiểu hình miễn dịch khác nhau tham gia vào các gan bị nhiễm sán Fasciola spp., có liên quan đến sự phát triển của các nguyên bào sợi xơ cơ trình diện chủ yếu vimentin và α-SMA (Hossain M. Golbar và cs., 2013) 
Sán F. hepatica sinh ra các tế bào T Foxp3, trình diện quá mức các cytokine tiền viêm và điều hòa tế bào gan ở các con cừu bị nhiễm giai đoạn sớm (Isabel L. Pacheco và cs., 2018). Sự trình diện các tế bào điều hòa T (Foxp3), (interleukin [IL]-10 và yếu tố phát triển chuyển dạng (transforming growth factor beta-TGFβ) và tiền viêm như các cytokine (yếu tố hoại tử khối u alpha (TNF-α) và interleukin IL-1β) được đobằng cách định lượng qRT-PCR trên các gan cừu ở giai đoạn sớm của nhiễm sán F. hepatica (sau 1, 3, 9 và 18 ngày nhiễm).
Xơ hóa khoảng cửa cũng được đánh giá qua nhuộm trichrome Massoncũng như số lượng tế bào Foxp3+ qua phân tích hóa mô miễn dịch. Các con vật được chia làm thành ba nhóm: (a) Nhóm 1 là các con đã bị nhiễm và được chủng kháng nguyên tái tổ hợp cathepsin L1 từ F. hepatica (FhCL1) có tá chất Montanide; (b) Nhóm 2 chỉ những con bị nhiễm sán F. hepatica; (c) Nhóm 3 là nhóm chứng không chủng và không nhiễm. Một sự trình diện quá mức của các cytokine điều hòa ở nhóm 1 và 2 được thấy trên tất cả thời điểm thử nghiệm so với nhóm 3, đặc biệt ngày thứ 18 sau nhiễm. Sự gia tăng có ý nghĩa số tế bào lympho Foxp3+ trên nhóm 1 và 2 ở thời điểm ngày thứ 9 và 18 sau nhiễm so với nhóm 3. Tăng tiến triển xơ hóa khoảng cửa được phát hiện trên nhóm 1 và 2 so với nhóm 3. Các dữ liệu trên cho thấy nhóm 1 biểu hiện vùng xơ hóa nhỏ hơn nhóm 2 và có mối liên quan thuận giữa trình diện tế bà Foxp3 và IL-10 thông qua hóa mô miễn dịch và qRT-PCR) như ở giữa xơ hóa cửa và trình diện gen TGF-β. Việc trình diện của các cytokine tiền viêm tăng dần dần trong suốt quá trình nhiễm. Thử nghiệm này cho thấy việc sinh ra của một kiểu hình điều hòa bởi sán sẽ cho phép chúng sống sót ở giai đoạn sớm của bệnh, nên chúng trở nên dễ gây tổn thương.

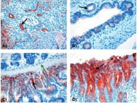
Hình 3. Tình diện miễn dịch cytokeratin trong gan, ống mật chủ ở các con chuột nhiễm F. hepatica.
(A)Trình diện miễn dịch mức độ vừa các cytokeratin trong các tế bào biểu mô đường mật (mũi tên đen)
 và tế bào gan ở gan chuột thời điểm 4 tuần sau nhiễm so với các gan chuột chứng;
(B)Trình diện miễn dịch yếu các cytokeratin (mũi tên đen) trong bào tương các tế bào biểu mô của ống mật chủ cả các con chuột chứng;
(C)Trình diện miễn dịch mức độ mừa của các cytokeratin trong các tế bào biểu mô 
(mũi tên đen) trong ống mật chủ thời điểm 7 tuần sau nhiễm. Phần sán trưởng thành F. hepaticacó thể nhìn thấy (mũi tên xanh lá);
(D)Trình diện miễn dịch mạnh các cytokeratin trên tế bào biểu mô (mũi tên đen) của ống mật chủ thời điểm 10 tuần sau nhiễm.
Gần đây, Zimmermann và cộng sự (2016) đã mô tả một số thương tổn do ký sinh trùng giống u (tumor-like parasitic lesions) trên hệ gan mật vì trên thực tế các tổn thương do ký sinh trùng gia u và ung thư gan mật có thể do một số loài sán lá gan nhỏ. Bệnh sán lá gan lớn là một quá trình nhiễm sán F. hepatica hay F. giganticatrong đường mật trên các gia súc ở châu Âu, châu Phi và Mỹ Latin. Fasciola spp. có một chu kỳ sinh học sinh học và phát triển phức tạp liên quan đến giai đoạn ở trong ốc thủy sinh. Ấu trùng giai đoạn nhiễm được ly giải từ ốc, sẽ được ăn vào bởi các vật nuôi có sừng và người khi ăn phải các thực phẩm thủy sinh nấu chưa chín như rau cải xong. Nhiễm sán Fasciola spp. ở đường mật của người, thường thì dẫn đến nhiễm trùng mạn tính, đi khi nặng, dẫn đến viêm đường mật xơ hóa nặng,đôi khi tạo ra hình ảnh viêm gan giả u (hepatic inflammatory pseudotumor). Hiếm khi, bệnh SLGL dẫn đến hình thành các tổn thương khổng lồ hay đa ổ giống bệnh nang sán. Do vậy, khi nhìn thấy hình ảnh giả u trên nhu mô gan và đường mật cần thận trọng chẩn đoán phân biệt với bệnh nhân nhiễm sán lá gan nhỏ Clonorchis sinensis hay Opisthorchis viverrini hay O. felineus, nhất là các bệnh nhân đang sống ở khu vực Đông Á có nguy cơ liên quan ung thư biểu mô đường mật (cholangiocarcinoma) do bệnh d các loài sán này thường dẫn đến viêm mạn tính đường mật, tang tái sinh tế bào biểu mô và có liên quan đến ung thư biểu mô đường mật. Điều này tương tự như nghiên cứu của Héctor Losada và cộng sự (2015) thấy SLGL kích thích sinh ung thư biểu mô đường mật trong gan có sự chứng minh bằng chẩn đoán hình ảnh và mô bệnh học hay củaKrishna Adhikari và cộng sự cũng từng thấy khối trong gan do thương tổn từ nhiễm F. hepatica. Ngoài ra, một số ca bệnh đặc biệt bệnh SLGL trong và ngoài gan có hình ảnh giống ung thư đại tràng với di căn gan (Youe Ree Kim và cs., 2022). 
Tài liệu tham khảo
1.Beg MA, Rehman A, Rehman L, Ullah R, Farhat F, Wasim S (2023). Characterization of monoamine oxidase-A in tropical liver flukeFasciola gigantica. PLoS onE 18(4): e0284991. 
2.Héctor Losada, Michael Hirsch, Pablo Guzmán, Flery Fonseca, Edmundo Hofmann, Martín Alanís (2015). Fascioliasis simulating an intrahepatic cholangiocarcinoma: Casereport with imaging and pathology correlation. Hepato Biliary Surg Nutr 2015;4(1):e1-e7
3.Hossain M. Golbar, Takeshi Izawa, Vetnizah Juniantito, Chisa Ichikawa, Miyuu Tanaka,
Mitsuru Kuwamura, Jyoji Yamate (2013). Immunohistochemical characterization of macrophages and myofibroblasts in fibrotic liver lesions due to Fasciola infection in cattle. J Vet Med Sci,2013 Jul 31;75(7):857-65.
4.Isabel L. Pacheco1, Nieves Abril, Rafael Zafra, Verónica Molina‑Hernández, Noelia Morales‑Prieto, María J. Bautista, María T. Ruiz‑Campillo, Raúl Pérez‑Caballero, Alvaro Martínez‑Moreno, José Pérez1(2018). Fasciola hepatica induces Foxp3 T cell, proinfammatory and regulatory cytokine overexpression in liver from infected sheep during early stages of infection. Vet Res (2018) 49:56
5.Kinjal P Patel, Anand Shah, Anjali Shetty, Camilla Rodrigues (2019). Hepatobiliary fascioliasis: A neglected tropical disease. Indian J Case Reports, Vol 5, Issue 6:597-599 
6.Krishna Adhikari, Navin Poudel, Sumita Pradhan, Ramesh Singh Bhandari (2022). Hepatic mass caused by Fasciola hepatica: A case report. International Journal of Surgery Case Reports 99 (2022): 107609.
7.Okoye, I.C, Egbu F.M.I., Ubachukwu, P.O, Obiezue Nduka R. (2015). Liver histopathology in bovine Fascioliasis. African Journal of BiotechnologyVol.14(33):2576-82
8.Safnaz J. Ashoor, Majed H. Wakid (2023). Prevalence and hepatic histopathological findings of fascioliasis in sheep slaughtered in Jeddah, Saudi Arabia. Scientifc reports|(2023) 13:6609 |https://doi.org/10.1038/s41598-023-33927-0, www.nature.com/scientificreports.
9.Youe Ree Kim, Young Hwan Lee, Kwon-Ha Yoon (2022). Hepatic and extrahepatic fascioliasis mimicking colon cancer with hepatic metastasis. Korean J Abdom Radiol 2022; 6:51-56.