Chẩn đoán hình ảnh tổn thương và mô bệnh học của sán lá gan lớn (tiếp theo)
- Chẩn đoán bằng chụp cắt lớp (CT-Scanner) và cộng hưởng từ (MRI)
Do đặc tính của bệnh phần lớn có liên quan đến hệ thống gan mật và do đó có đặc điểm hai pha: pha ở gan (cấp tính và giai đoạn sán xâm nhập) và pha ở đường mật (giai đoạn mạn tính). Vàng da tắc mật và viêm đường mật tái phát thường xảy ra trong giai đoạn này.
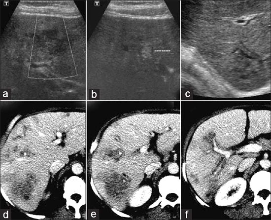
Trong các nghiên cứu mở rộng đa trung tâm về bệnh SLGL cho thấy chẩn đoán hình ảnh học đề cập đến nhu mô gan (pha cấp của ấu trùng sán khi xâm nhập vào nhu mô gan), CT-scaner giúp chỉ ra các vùng thương tổn chùm dưới bao gan và tính chất giảm âm. Trong khi đó chụp cộng hưởng từ (MRI) cũng cho các hình ảnh tương tự như trong CT-scanner nhưng hình ảnh rõ nét và đặc trưng hơn rất nhiều, giúp xác định và mô tả tổn thương đầy đủ hơn. Trong pha đường mật, CT scanner cho thấy hình ảnh dãn ống dẫn mật ở vị trí trung tâm sán nằm và có sự giảm âm ở vùng ngoại vi (vết) và siêu âm có giá trị xác định con sán di động khi chúng còn di chuyển trong hệ đường mật.
Một vài nghiên cứu trên thế giới cho thấytrên siêu âm và CT scanner có tổn thương đa ổ, mật độ giảm với sự tập trung các bóng mờ hình cục ở thuỳ gan (P) và dãn rộng các nhánh đường mật trong gan, nhất là thuỳ (P). Một số nhánh đường mật dãn có hang, kích thước trung bình. Đường mật bị bao quanh bởi một phần giảm mật độ làm thành từng ổ. Những điều tìm thấy này là biểu hiện của tắc nghẽn đường mật do biến chứng viêm đường mật, khi đó sẽ tạo thành các ổ hoại tử trong gan do quá trình tắc nghẽn này.
Ngoài ra, với sự trợ giúp của CT-scanner và MRI sẽ giúp thầy thuốc lâm sàng phân biệt hình ảnh giữa sán lá gan lớn Fasciola sp. với các khối thương tổn ác tínhở hệ gan mật khác.

H1
- Chẩn đoán bằng nội soi mật tụy ngược dòng (ERCP)
Thủ thuật nội soi mật tụy ngược dòng (Endoscopic Retrograde Cholangio-pancreatography) vừa có giá trị thăm dò, phát hiện, chẩn đoán, vừa có giá trị điều trị giải quyết trực tiếp sán Fasciola sp. kẹt trong hệ thống đường mật, nhất là trong pha/ giai đoạn sán lá nằm ở hệ đường mật thì thủ thuật này giúp lấy sán và cầm máu nếu có dấu xuất huyết đi kèm.
- Chụp đường mật, chụp Technetium-99 scan
Có thể cho thấy sán trưởng thành nằm trên đường đi của đường mật chung. Chụp Technetium-99scan có thể cho hình ảnh đa tổn thương trong nhu mô gan khoảng 50-80% trên số ca bệnh (Robert W Tolan và cs., 2006).
Sinh thiết gan là một thủ thuật chẩn đoán xâm lấn được áp dụng rất hạn hữu, khi chẩn đoán với bệnh lý u gan ác tính trước khi tiến hành can thiệp hóa chất. Sinh thiết gan sẽ cho biết tổn thương li ti của áp xe gan và các đường hầm do hoại tử nhu mô gan, bọc bên ngoài là tổ chức viêm với tăng bạch cầu ái toan. SLGL trưởng thành có thể tìm thấy trong mẫu giải phẩu tử thi hoặc mẫu bệnh phẩm cắt ra. Các khoang dịch dưới bao gan có thể thấy đầy các tổ chức hoại tử và tổ chức viêm kèm tăng sinh bạch cầu ái toan, mô tổn thương ở nơi mà sán lạc chỗ có thể sinh mô hạt.

H2
Thông thường soi ổ bụng cho thấy các u, nốt màu trắng xám hay vàng, kích thước 2-20mm và có các bề mặt dạng dây xơ hóa. Một số ca hiếm hơn có thể gặp dạng nốt ở khắp khoang phúc mạc và thành ruột. Phẩu thuật ổ bụng thăm dò có thể phát hiện SLGL và trứng sán trong ổ bụng hoặc đường mật.
Các thủ thuật cận lâm sàng khác hiếm khi áp dụng trong chẩn đoán bệnh SLGL như nội soi đường tiêu hóa trên vì thường nhiễm SLGL có thể gây hội chứng viêm tiêu hóa tăng bạch cầu ái toan (nhằm phân biệt giữa loét dạ dày tá tràng), nội soi có thể thấy tổn thương lấp đầy trong hệ đường mật và túi mật; nếu được thì chúng ta có thể loại bỏ sán thông qua nội soi. Tiêm thuốc tĩnh mạch cholecystokinin có thể giúp thúc đẩy quá trình đào thải trứng sán. Hoặc chọc dò màng phổi nhằm loại trừ bệnh lý khác ở màng phổi, nếu hút dịch và xét nghiệm thấy tăng bạch cầu ái toàn trong dịch màng phổi nên đặt ra vấn đề chẩn đoán phân biệt.

H3
Chẩn đoán xác định ca bệnh
Theo tiêu chuẩn của Tổ chức Y tế thế giới
Giai đoạn cấp tính dựa vào:
+Tiền sử có ăn rau thủy sinh hoặc uống nước từ nguồn nghi ngờ, thường là 2-4 tuần trước khi xuất hiện các triệu chứng;
+Triệu chứng lâm sàng: có thể xuất hiện các triệu chứng như sốt, đau tức vùng gan, lách lớn, viêm phế quản, viêm màng phổi, tràn khí-tràn mủ màng phổi;
+Triệu chứng cận lâm sàng: tăng bạch cầu ái toan, có kháng thể kháng Fasciola sp. trong huyết thanh [Fas2-ELISA] dương tính; có kháng nguyên tiết (FES-Ag) của Fasciola sp. trong phân hoặc trong huyết thanh; siêu âm phát hiện ổ giảm âm ở nhu mô gan, di chuyển và tiến triển từng ngày.
Giai đoạn mãn tính dựa vào:
Phát hiện trứng sán trong phân bằng kỹ thuật ly tâm lắng cặn (đòi hỏi lượng phân nhiều hơn trong kỹ thuật Kato-katz và phải xét nghiệm nhiều lần thì mới có cơ hội phát hiện trứng sán trong phân); có kháng thể kháng Fasciola sp. trong huyết thanh (Fas2-ELISA); có kháng nguyên tiết (FES-Ag) của Fasciola sp. trong phân; phát hiện deoxyribonucleic acid của Fasciola sp. trong phân bằng kỹ thuật phản ứng chuỗi trùng hợp (PCR_Polymerase Chain Reaction), siêu âm thấy được các hình ảnh như: hình trăng lưỡi liềm, hình tảng băng trôi, sỏi túi mật, căng túi mật, túi mật giảm co bóp.
Hai kỹ thuật xét nghiệm soi phân và ELISA rất có ích trong sàng lọc, chẩn đoán ban đầu các ca bệnh SLGL trong cộng đồng.
Sự kết hợp của các kết quả xét nghiệm kể trên phản ánh các giai đoạn khác biệt của tình trạng nhiễm SLGL theo các tình huống diễn giải như sau:
+Xét nghiệm phân (-) và ELISA (-): không nhiễm sán hoặc nhiễm sán được điều trị khỏi;
+Xét nghiệm phân (-) và ELISA (+): nhiễm SLGL giai đoạn cấp tính hoặc SLGL lạc chổ, nhiễm SLGL đã được điều trị, tắc nghẽn đường mật, hoặc SLGL đẻ trứng từng đợt;
+XN phân (+) và ELISA (-): nhiễm SLGL giai đoạn mạn tính ở gan;
+XN phân (+) và ELISA (+): nhiễm SLGL ở nhu mô gan.
Chẩn đoán bệnh SLGL theo Hướng dẫn của Bộ Y tế Việt Nam
Theo Quyết định 3420/QĐ/2006, ngày 13/9/2006 của Bộ Y tế về việc Hướng dẫn chẩn đoán và điều trị bệnh SLGL ở người, chẩn đoán xác định bệnh nhân SLGL dựa vào:
+Yếu tố dịch tễ: bệnh nhân sống trong vùng lưu hành của bệnh SLGL;
+Dấu hiệu lâm sàng: có một hoặc nhiều triệu chứng lâm sàng đã nêu ở trên;
+Xét nghiệm cận lâm sàng: bạch cầu ái toan tăng cao (trên 8% hoặc hơn);
+Chẩn đoán hình ảnh: siêu âm hoặc chụp cắt lớp vi tính bụng tổng quát thấy có các ổ hỗn hợp âm hình tổ ong hoặc hình ảnh dày bao gan tương ứng với vị trí tổn thương hoặc hình ảnh tụ dịch dưới bao gan;
+Phương pháp ELISA phát hiện có kháng thể kháng SLGL Fasciola sp. trong huyết thanh;
+Xét nghiệm phân hoặc hút dịch mật qua ống soi tá tràng có thể tìm thấy trứng sán Fasciola sp.
Lưu ý, dù hiếm nhưng đã xảy ra trường hợp chẩn đoán nhầm SLGL hay còn gọi là bệnh sán lá gan giả (pseudofasciolosis) ám chỉ ca bệnh có phát hiện trứng sán trong phân nhưng không phải do nhiễm trùng thực sự mà do tiêu hóa mẫu gan sống có chứa trứng sán thời gian gần đây. Tình huống này dễ dẫn đến chẩn đoán nhầm và cần phân biệt bằng cách cho bệnh nhân ăn chế độ ăn không có gan một vài ngày trước khi cho xét nghiệm phân trở lại.

H4
Chẩn đoán bệnh sán lá gan lớn trên phụ nữ mang thai
Như trên, các tiêu chuẩn lâm sàng đặc trưng trên các ca bệnh bình thường. Tuy nhiên, nếu ca bệnh xảy ra trên một cơ địa đặc biệt như phụ nữ mang thai (PNMT), khá nhiều triệu chứng biểu hiện bệnh đôi khi trùng lắp, khiến khó khăn trong khâu phân biệt, phát hiện và chẩn đoán, dễ đe dọa PNMT vì tổn thương lan rộng, gây suy gan, nhất là càng về sau thai càng lớn việc khám lâm sàng trở nên khó. Nhằm góp phần bổ sung dẫn liệu về các triệu chứng lâm sàng, cận lâm sàng, hình ảnh siêu âm cho bệnh SLGL ở PNMT, chia sẻ kinh nghiệm với các nhà lâm sàng, nhất là thầy thuốc sản phụ khoa với mục đích chẩn đoán sớm và điều trị kịp thời, tránh tử vong hoặc suy gan cho sản phụ.
Một nghiên cứu tiến hành về đặc điểm lâm sàng và cận lâm sàng trên PNMT mắc sán F. gigantica tại một số tỉnh ven biển miền Trung và Tây Nguyên từ 2004-2012. Kết quả cho biết: các PNMT trong độ tuổi trung bình 31, phần lớn là người Kinh, một số rất ít là đồng bào Gia Rai, Ê đê, Bana, M’ Nông, Raglai. Số ca phát hiện tổn thương trong 3 tháng cuối của thai kỳ nhiều nhất (52,13%), thời điểm phát hiện tổn thương nhiều nhất là trong thời gian đang mang thai (95,74%), phát hiện trước khi có thai chỉ có 2 ca.
Về triệu chứng toàn thân và trên tiêu hóa-gan mật trên 94 PNMT mắc SLGL đủ tiêu chuẩn, ghi nhận đa số ca có triệu chứng như đau vùng thượng vị, vùng đầu tụy ống mật chủ Chauffard-Rivet (95,74%), đau kèm theo mỏi cơ dưới hai bên vai, lan ra thắt lưng (97,87%) hoặc/ và đau tức từ thượng vị hạ sườn (P) lan ra sau lưng, hoặc đau vùng hạ sườn (P) và điểm Murphy (55,32%). Các PNMT còn có cảm giác tức ngực, khó thở (43,62%); suy nhược cơ thể, chán ăn, mệt lả, ra mồ hôi (68,08%), sốt nhẹ về chiều (12,76%), có ca sốt kèm rét run (9,57%); tiếp đến các triệu chứng xuất hiện với tần suất thấp hơn là cảm giác buồn nôn hoặc (29,78%), rối loạn đại tiện dạng táo bón kèm đau bụng (14,89%) hoặc đi phân lỏng, sệt (22,34%). Các số liệu nghiên cứu này tương tự như một số tác giả khác trong nước và thế giới khi đánh giá trên các bệnh nhân mắc SLGL chung (Trần Vinh Hiển và cs., 2001; Nguyễn Văn Đề và cs., 2002; Mansoeu G. và cs., 2005; Huỳnh Hồng Quang và cs., 2009). Đáng chú ý là tương tự một số bệnh KST ở người khác, bệnh nhân thường có triệu chứng ngứa, mày đay (64,89%). Ngoài các dấu chứng và triệu chứng trên, biểu hiện gan to dưới bờ sườn trung bình 2cm (6,38%) hoặc lách to (nhất là trường hợp tổn thương gan kèm theo lạc chỗ ở lách) với tỷ lệ 2,13%; vàng da và kết mạc mắt đôi lúc cũng gặptrên lâm sàng với tỷ lệ nhỏ 4,26%.

H5
Nhìn chung, triệu chứng do bệnh SLGL trên các PNMT đôi lúc sẽ trùng lắp với biểu hiện do quá trình thai nghén, đặc biệt PNMT con so. Do vậy, vấn đề chẩn đoán phân biệt cũng như dựa vào một số dữ liệu kết quả cận lâm sàng sẽ là chỉ điểm tốt giúp chúng ta loại trừ. Các triệu chứng ngoài hệ gan mật như ngứa, mày đay nhiều dạng khác nhau, thường là bắt đầu ngứa, nổi mảng và phù vân trên bề mặt da, nổi hạt hoặc dạng đường vằn vèo, vị trí hay gặp vùng kẻ ngón tay, mạng sườn, cẳng chân, mặt trong đùi (64,89%). Thiếu máu với tỷ lệ 3,6%, có lẽ thiếu máu do da nhiễm KST, nhất là giun móc hoặc do sán gây tán huyết? (Mansoeur Ghanael và cs., 2002; Mas Coma và cs., 2006; Huỳnh Hồng Quang và cs., 2008).
Xét nghiệm miễn dịch ELISA rất có giá trị trong chẩn đoán trên các PNMT mắc SLGL, hiệu giá kháng thể (HGKT) từ các bệnh nhân vào viện ở ngưỡng 1/3200 chiếm chủ yếu (75,53%), một số ca có HGKT cao hơn với ≥ 1/6400 hoặc ≥ 1/12.800lần lượt 8,51% và 11,7%, theo thực tế lâm sàng, nhận thấy không có mối liên quan mức độ bệnh và HGKT; điểm thú vị trong nghiên cứu có 4 trường hợp (4,26%) có kết quả ELISA âm tính, nhưng biểu hiện triệu chứng lâm sàng điển hình, siêu âm có tổn thương dạng SLGL, không đáp ứng với liệu pháp điều trị bệnh lý tiêu hóa khác. Điều này hợp lý, bởi ở Việt Nam, loài phổ biến là trên người là F. gigantica, song một vài nghiên cứu gần đây về phân tích hệ gen ty thể và hệ gen nhân cho thấy loài sán ở Việt Nam có thể gồm loài lai (Lê Thanh hòa và cs., 2003) và chưa loại trừ là có mặt cả F. hepatica (vì đã có tài liệu có loài F. hepatica ở gia súc nhiều năm trước đây do các tác giả Pháp), nên khả năng ELISA âm tính trong một vài ca là khó tránh khỏi khi chúng ta dùng bộ chẩn đoán SLGL có kháng nguyên chỉ đặc hiệu loài F. gigantica.

H6
Bệnh KST nói chung và SLGL nói riêng đều có tỷ lệ bạch cầu ái toan (BCAT) tăng, nhưng trong nghiên cứu này thì một số ca có tỷ lệ BCAT khoảng 3,19-15,33%; ngược lại, số ca có BCAT tăng trên 11% chiếm đa số (90,42%), điều này phù hợp vì tất cả PNMT nhiễm SLGL không có chỉ định dùng thuốc triclabendazole, nên sản phụ không được điều trị thì bệnh vẫn diễn tiến tiếp tục, phản ứng miễn dịch cơ thể đáp ứng sẽ kèm theo tăng IgE và BCAT, kết quả này khác với một số kết quả nghiên cứu khác trên các phụ nữ không phải mang thai (Jiulong và cs., 2002; Huỳnh Hồng Quang và cs., 2007).
Trong công thức máu toàn phần, đáng chú ý BCAT và lượng haemoglobine (Hb); trước khi điều trị, một số ca xác định thiếu máu (Hb < 11g/dl), một số ca có tỷ lệ dưới ngưỡng tương ứng một số ca thiếu máu trên lâm sàng (4,26%), nếu phân tích toàn bộ số liệu thì không cho thấy có thiếu máu. Giải thích nguyên nhân thiếu máu được là do đồng nhiễm nhiều KST đồng thời hoặc tán huyết do giun móc, mỏ (Hammouda N.A và cs., 1995; Nguyễn Văn Chương và cs., 2006; Huỳnh Hồng Quang và cs., 2010), tỷ lệ thiếu máu trong nghiên cứu này thấp hơn nhiều với các tác giả nước ngoài (49%, Boray và cs., 1998; 26,3% Jiulong và cs., 2000).
Hầu hết ca bệnh cho thấy thông số alkaline phosphatase trên mức bình thường khi nhập viện, điều này biểu hiện sự xơ hóa hoặc tắc nghẽn đường mật cấp vì bệnh nhân phần lớn khi phát hiện là bệnh đã ở giai đoạn bán cấp hoặc mạn tính hoặc do bệnh nhân không điều trị đặc hiệu vì đang mang thai, vả lại bệnh SLGL là bệnh gây tổn thương cả hệ gan lẫn mật. Các thông số men gan (ALAT, ASAT) có giátrị nằm trong giới hạn, một số ít ca có bilirubin huyết thanh tăng nhẹ (vì chèn ép đường mật, bán tắc mật gây vàng da trên lâm sàng).
Tổn thương hệ gan mật qua hình ảnh siêu âm cho hình ảnh bất thường liên quan đến nhu mô gan (giai đoạn cấp) thường gặp nhất và tổn thương đường mật (giai đoạn mạn tính) với biểu hiện hình ảnh đa dạng, trong đó tổn thương nhu mô dạng tăng âm giống lưỡi liềm không kèm bóng lưng rất đáng chú ý. Phân tích chi tiết bệnh SLGL trên phụ nữ mang thai trong từng giai đoạn (trước 4 tháng và sau 4 tháng):
Trong giai đoạn cấp (thời gian mắc bệnh < 4 tháng)
Siêu âm cho thấy 3 loại tổn thương ở giai đoạn cấp, loại thứ nhất là hình ảnh nhu mô gan không đồng nhất (87,23%), đôi khi chỉ một ổ tổn thương chiếm chủ yếu, hoặc kèm tổn thương cạnh bao Glisson (9,57%), tụ dịch hoặc máu dưới bao gan (6,38%); tổn thương túi mật dưới dạng dày xơ và khuyết loét nông thành túi mật (5,32%) và các đường mật (2,13%). Đặc biệt, có 2 PNMT chưa phát hiện tổn thương (2,13%). Các tổn thương nhu mô thường có bờ không rõ ranh giới giữa nhu mô lành và bệnh kèm tính chất tăng, giảm, hợp âm khác nhau: trong đó giảm âm chiếm chủ yếu (91,49%), hỗn hợp âm (87,23%) và dạng tăng âm ít gặp hơn (3,19%), xen lẫn tổn thương giảm âm, hợp âm còn có các vùng trống âm (chứa dịch, máu) khá nhiều, nhất là các bệnh nhân đến muộn (46,81%). Kết quả này phù hợp với một số nghiên cứu tại Iran, Thỗ Nhĩ Kỳ, Tây Ban Nha, Ai Cập (Eisenscher và cs., 1998; Cauquil P và cs., 1996; Huỳnh Hồng Quang và cs., 2006); tổn thương đa dạng thường là microabces đã hoại tử hoặc vừa hoại tử vừa tiến triển, có xu hướng lan rộng, tụ thành một khối dịch lớn. Đặc biệt, tổn thương nhu mô gan thường có nhiều “mắt nhỏ”, dạng nốt, nếu là hình ảnh giảm âm hoặc xen kẻ trống âm ở chính giữa thì rất khó phân biệt với các dạng áp xe hay khối tân sinh (neoplasm) nhất là khi đã xuất hiện đặc điểm hoạt tử trung tâm (Huỳnh Hồng Quang và cs., 2005; WHO, 2007). Khi tổn thương nhu mô gan, các thùy và hạ phân thùy (HPT) đều có “cơ hội” bị tổn thương, nhưng vị trí gặp ở gan phải là 80,32% nhiều hơn gan trái chỉ có 7,47%. Trong một nghiên cứu của Richter và cộng sự (2006) cũng cho biết tỷ lệ tổn thương gan (P) và (T) lần lượt 92,02% và 6,3%.

H7
Giải thích lý do tại sao? có lẽ do cấu trúc giải phẩu và đường ranh giới giữa thể tích các hạ phân thùy trong (P) lớn hơn rất nhiều so với gan (T) cho nên tần suất bị tổn thương gan (P) vì thế cao hơn, hơn nữa thùy và các hạ phân thùy được phân chia dựa trên phân bố của tĩnh mạch cửa, tĩnh mạch chủ, rãnh dây chằng tròn và rãnh Arantius, tổn thương SLGL thường gặp ở gan (P) nhiều hơn gan (T), nếu chia theo vị trí từng HPT thì ở đây chủ yếu gặp ở HPT số IV (48,94%), V (63,83%), VI (80,85%), VII (92,55%) và VIII (84,04%), chưa thấy tổn thương ở thùy Spigel, HPT II (1,06%) hay III (23,40%).
Bên cạnh đó, giai đoạn cấp tính còn gặp tổn thương nhu mô sát bao gan, mặc dù kích thước ổ này rất nhỏ, chừng 1,2-1,5cm nhưng trên lâm sàng bệnh nhân rất đau. Ngược lại, cho dù kích thước ổ tổn thương có đường kính rất lớn, thậm chí đường kính gần 10cm, song chúng lại nằm trong lòng nhu mô thì bệnh nhân lại ít đau hơn hoặc thậm chí không đau. Lý giải về mặt giải phẩu thì do trong nhu mô gan dường như không có nhạy cảm thần kinh (?) nên cảm giác đau lại ít hoặc rất mơ hồ và trái lại, vùng bao Glisson tiếp giáp với nhu mô gan lại phong phú dây thần kinh cảm giác nên nhạy cảm đau khi có tổn thương xâm lấn các vùng này (Agoureg và cs., 2004).
Loại tổn thương thứ hai gặp trong giai đoạn cấp là các “khoang” hoặc có nhánh trông giống đường hầm. Đây là những hình ảnh có vòng ngoại vi ngoằn ngoèo, khúc khủy do quá trình sán Fasciola sp. di chuyển trong nhu mô (Didier D và cs., 1985; Cooperberg và cs., 1987; Huỳnh Hồng Quang và cs., 2007). Loại tổn thương thứ ba là một tổn thương nhu mô nhưng sát bao gan, khi hoại tử đã vở ra bên ngoài được bao gan bọc lại, loại ổ này có nguy cơ đe dọa vở nếu không can thiệp kịp thời (6,38%) hay gọi là giả u mạch (“pseudohematoma”). Đôi khi, siêu âm còn phát hiện một số hình ảnh ít điển hình hơn như giả u hạt, hoại tử có tăng âm ngoại vi, áp xe không điển hình hoặc dạng hốc u mạch thể hang (carvenous hemangioma).
Riêng hai PNMT (2,13%) hiện chưa hoặc không phát hiện tổn thương trên hệ gan mật dù ELISA dương tính, điều này có lẽ do giai đoạn nhiễm quá sớm để sán tạo tổn thương trên gan mật, chúng chỉ mới tiết ra kháng nguyên, nên dẫn đến phản ứng ELISA dương tính và có vài biểu hiện trên lâm sàng ban đầu; hoặc vì triệu chứng lâm sàng của bệnh SLGL thường không đặc hiệu và na ná với nhiều bệnh lý tiêu hóa khác, đồng thời phản ứng ELISA có một tỷ lệ nhất định cho dương tính giả vì có thể phản ứng chéo giữa Fasciola sp. với một số loài ký sinh trùng hay đơn bào khác như E. histolytica (Mas-Coma và cs., 2007), P. westermani (Boray và cs., 1994; Mas-Coma và cs., 2007) sán máng S. mansoni (Mas-Coma và cs., 2005; Huỳnh Hồng Quang và cs., 2007) là điều không thể loại trừ, nhất là khi nước ta ở vùng nhiệt đới, lưu hành nhiều bệnh ký sinh trùng, hoặc tổn thương ở vị trí vượt ngoài khả năng thăm dò siêu âm (do đường kính quá nhỏ hoặc ở vị trí không thăm dò được).

H8
Trong giai đoạn mạn tính
Hình ảnh siêu âm điển hình thường là đa ổ nhỏ, li ti có thể vừa gặp trong nhu mô gan vừa gặp trong hệ đường mật (3,13%), cả ống mật chủ; nhưng phần lớn là các vệt thả nổi (floating) hoặc vết dính (trace) tăng âm di động bên trong túi mật hoặc ống mật chủ mà không kèm bóng cản (2,13%), có thể đó là sán chuyển động hoặc xác sán chết lưu lại.
Một dấu hiệu nữa không đặc trưng cho giai đoạn mạn tính là hình ảnh dãn, phù nề và dày thành túi mật, đường mật (2,13% và 1,06%) không đồng đều, dấu hiệu này cũng thường gặp trong bệnh cảnh viêm xơ đường mật do sán (Mansoeu G. và cs., 2002; Huỳnh Hồng Quang và cs., 2005). Nói chung, ở giai đoạn mạn tính thì tổn thương hệ đường mật nhiều và phổ biến hơn nhu mô gan.
Vấn đề nghiên cứu chi tiết về bệnh SLGL trên phụ nữ mang thai còn hạn chế trong các ấn bản trên y văn thế giới. Trong một nghiên cứu của Alatoom A và cộng sự (2008) có báo cáo một ca bệnh tại Trung tâm y khoa Tây Nam của đại học Texas, Mỹ cho biết một phụ nữ 28 tuổi thường đi thăm thân nhân ở phía bắc của Mexico đang mang thai 36 tuần có triệu chứng buồn nôn, nôn mửa, đau hạ sườn (P), cô ta được chẩn đoán sỏi mật (cholelithiasis). Bệnh nhân đươc chẩn đoán hậu sản bằng thủ thuật nội soi mật tụy ngược dòng và cắt cơ vòng, lấy ra sán F. hepatica.
Bệnh nhân được chỉ định thuốc triclabendazole, sau đó hồi phục hoàn toàn. Qua ca bênh này, các tác giả cho rằng bệnh SLGL thường có các triệu chứng na ná trên các phụ nữ mang thai hoặc bệnh lý sỏi mật, nên các bác sĩ lâm sàng đặt ra vấn đề chẩn đoán phân biệt bệnh trên các quần thể có nguy cơ cao.
Chẩn đoán phân biệt với các bệnh nhiễm trùng khác
Trên thực hành lâm sàng, y văn đã tổng hợp các bệnh lý có thể gây thương ở gan mật có triệu chứng hoặc hình ảnh tương tự như bệnh sán lá gan lớn gồm có:
Viêm gan, áp xe gan do các loại ký sinh trùng hoặc đơn bào khác như amip E. histolytica hoặc do giun đũa, giun đũa chó/ mèo Toxocara sp., hoặc do vi khuẩn (áp xe đường mật); u gan, sỏi trong gan, sỏi đường mật, túi mật, ứ mật, polyp túi mật, tắc mật do các nguyên nhân khác.
Một số bệnh lý khác hiếm gặp hơn, nhưng phải đặt ra vấn đề chẩn đoán phân biệt vì đã có những báo cáo ca bệnh rút kinh nghiệm: giun chỉ bạch huyết, bệnh giun chỉ Dirofilaria sp., giun rồng Dracunculus sp., sán máng Schistosoma sp., đơn bào Giardia sp., giun đầu gai Gnathostoma sp., viêm gan virus B và viêm gan siêu vi C, bệnh sán dây lùn Hymenolepis sp., hội chứng tăng nhiễm bạch cầu ái toan, bệnhxoắn khuẩn vàng da.

H9
Trong nhi khoa, cần phân biệt bệnh lý hẹp đường mật trẻ em (paediatric biliary atresia), viêm túi mật trẻ em (Pediatric cholecystitis), hội chứng ấu trùng di chuyển (paediatric cutaneous larva migrans), ấu trùng sán dây lợn, bệnh sán dải chó (paediatric echinococcosis) và viêm gan siêu virus B và C.
Bệnh sán lá gan lớn là một bệnh nhiễm ký sinh trùng gây ra bởi loài F. hepatica hoặc F. gigantica. Người là các vật chủ tình cờ cho bệnh và vật chủ chính vẫn là cừu và một số gia súc khác như trâu, bò.
Dù SLGL đang được quan tâm của cộng đồng và giới khoa học đi sâu vào các khía cạnh từ dịch tễ học, đến chẩn đoán, điều trị và đề xuất các biện pháp phòng bệnh, song vẫn còn nhiều vấn đề còn bỏ ngõ đang tiếp tục nghiên cứu như kháng thuốc do sán Fasciola sp., trên gia súc, biện pháp phòng chống theo mô hình chung chưa phổ cập rộng rãi, nguyên nhân bệnh SLGL lan rộng và gia tăng trong những năm gần đây chưa có câu trả lời chính xác, phải chăng do sự phát triển chăn nuôi gia súc nhập ngoại nhưng lại không được quản lý chặt chẽ; sự thay đổi về điều kiện khí hậu, môi sinh thuận lợi khiến mầm bệnh tăng lên; sự phát triển đột biến về loài SLGL trong quá trình lai tự nhiên giữa các loài thường gặp ở người; phương tiện chẩn đoán kỹ thuật về miễn dịch huyết thanh (ELISA và Western-blot) ngày càng được áp dụng rộng rãi tại các tuyến nên tăng khả năng phát hiện các trường hợp mắc bệnh?