Trong số các cơ quan trong cơ thể, sán lá gan lớn lạc chỗ (Ectopic fascioliasis/ Abberant foci) tác động chủ yếu đến gan, tuy nhiên hiểu biết về thể bệnh lạc chỗ lại tác động đến các tạng khác của Fasciola sp. ở người và động vật cho đến nay dường như vẫn chưa thấu đáo. Thông tin mới được cập nhật này sẽ giúp các bạn quan tâm về các thể sán lá gan lớn lạc chỗ thường gặp.
Sán lá gan lớn - bệnh ký sinh trùng từ động vật truyền sang người quan trọng, dù số ca mắc và tỷ lệ nhiễm trong cộng đồng rất cao qua nhiều điều tra dịch tễ học tại các vùng lưu hành, song sự hiểu biết về bệnh có liên quan đến biến đổi khí hậu toàn cầu vẫn còn hạn hữu. Các tác động của thay đổi thời tiết dường như tác động rõ rệt đến các loài sán lá, kể cả Fasciola sp., điều này thể hiện rõ nét qua gia tăng các ấu trùng cercariae khi có sự ấm lên của toàn cầu.
  !important; |
Tại Ai Cập, bệnh SLGL là một bệnh động vật truyền sang người đang gia tăng tại các vùng lưu hành, nơi mà các ổ chứa động vật và ốc trung gian truyền bệnh sẵn có. Nhiều tác giả Ai Cập nghiên cứu về bệnh SLGL ở người và động vật cũng như vật chủ ốc (Morsy và cs., 2000; Haridy và cs., 2007; Hassan và cs., 2008). Hai mô hình nhiễm chính gặp ở Ai Cập là nước từ các dòng và cây cải xoong và nhiều loại rau lá xanh (Erucasativa, Lactucasativa và Allium kurrat) được ăn sống trong bữa ăn hàng ngày. Trước đây, F. gigantica là loài ưu thế nhất nhiễm trên gia súc, trong khi F. hepatica lại rất ít ở vùng ốc đảo, nhưng nay cả hai loài cùng tồn tại trên các vật nuôi và người. Theo tổng hợp y văn cho thấy bệnh SLGL lạc chỗ đã được ghi nhận (El Ghawabi và cs., 1978; Aguirre Errasti và cs., 1981; Lee và cs., 1982; Park và cs., 1984; Chang và cs., 1991; Prociv và cs., 1992; Cho và cs., 1994; Sellami và cs., 2003; Dalimi và cs., 2005; Elizondo và cs., 2005; Nuesch và cs., 2005; L.T. Xuân và cs., 2005; Yazici và cs., 2005; Lee và Kim, 2006; Llanos và cs., 2006;Naresh và cs., 2006, Vastal và cs., 2006; Huỳnh Hồng Quang và cs., 2007; Nguyễn Văn Chương và cs., 2008; Huỳnh Hồng Quang và Nguyễn Văn Văn, 2010). Tuy nhiên, không có một dữ liệu giải thích nào về con đường đi của nang trùng di chuyển đến các vị trí lạc chỗ.
Những vị trí sán lá gan lớn lạc chỗ trong cơ thể
Từ năm 2000-2015, nhiều nhà nghiên cứu tập trung vào hiện tượng lạc chỗ của Fasciola sp. tại các quốc gia tiên tiến và đang phát triển, kể cả Việt Nam và dường như đường di chuyển thể lạc chỗ của Fasciola sp. vẫn còn chưa thấu đáo. F. hepatica là loài sán thường gặp hơn so với F. gigantica trong hầu hết ca bệnh lạc chỗ. Tác động của sán có thể trực tiếp đến gan và gián tiếp đến các tạng và mô khác. Tại vị trí lạc chỗ, các sản phẩm chuyển hóa hay độc tố tiết ra từ sán có thể phát hiện. Tất cả lứa tuổi và hai giới đều có thể bị thể lạc chỗ này, tuy nhiên nữ vẫn nhiều hơn nam. Đặc biệt, thể lạc chỗ thường “giả trang” các triệu chứng na ná như một bệnh truyền nhiễm hoặc bệnh lý nội khoa. Hầu hết sán Fasciola sp.thu được tại vị trí lạc chỗ là sán non (chưa trưởng thành). Bệnh SLGL có hai giai đoạn lâm sàng, gọi là giai đoạn cấp xảy ra đồng thời với quá trình xâm nhập gan và giai đoạn mạn tính do sự xuất hiện sán trong đường mật. Ấu trùng giai đoạn nhiễm của sán đóng kén trên các thực vật thủy sinh và quá trình tiêu hóa các thực vật thủy sinh từ các vùng ô nhiễm nang trùng dẫn đến nhiễm bệnh.
Bệnh SLGL ở da cơ niêm (Muco-cutaneous fascioliasis)
Aguirre Errasti (1981) tại Tây Ban Nha cho biết trong 5 năm nghiên cứu đã nghiên cứu có 25 ca sán F. hepatica, tất cả được chẩn đoán bằng xét nghiệm trứng trong phân hoặc dịch tá tràng. Trong 2/25 ca có nhiễm trùng lạc chỗ do sán tạo racác đặc điểm lâm sàng bất thường. Trường hợp đầu tiên trình bày là giai đoạn trong gan và cả da, mào tinh hoàn với hình ảnh mô bệnh học tương tự với tổn thương tại gan. Liên quan đến mào tinh hoàn, không như trích dẫn trước đây trong y văn, ca này lại tăng túi nước. Trường hợp thứ 2 với các dấu hiệu có liên quan đến hệ thần kinh trung ương và tăng bạch cầu ái toan trong dịch não tủy.
  !important; |
Chang (1991) phẩu tích ra một con sán trưởng thành Fasciola sp. nhưng không có tuyến noãn hoàng và phẩu tích tử cung từ thành trước của bụng một phụ nữ Hàn Quốc 32 tuổi; tại Việt Nam tác giả Lê Thị Xuân (2005) phát hiện sán nằm ở vị trí cơ trơn phía trước kèm theo phản ứng mô hạt và chú ý vệt di chuyển bên hạ sườn (P) của một bệnh nhân nữ 40 tuổi, lấy dịch tiết từ cuối túi nước của đường “rắn bò” cho thấy dịch có màu nâu, bắt 1 con sán non còn sống và triệu chứng lâm sàng giống như hội chứng ấu trùng di chuyển. Sau đó 3 năm, tác giả Huỳnh Hồng Quang (2008) cũng phát hiện ca bệnh tương tự trên phụ nữ 38 tuổi có sán ở cơ thẳng bụng (T). Tại Trung Quốc, Yi-Zhu (2010) báo cáo một bệnh nhi 4 tuổi có tiền sử sốt và đau bụng tái đi tái lại khoảng 4 tháng nay, 15 ngày trước khi nhập viện, nhiều nốt màu đỏ trên da đã xuất hiện vùng thượng vị bên (T) và vết rắn bò ngoằn nghèo màu đỏ sậm dưới da, sau nhập viện, một con sán non còn sống chọc thủng da, bò ra ở vị trí cuối đường di chuyển và xác định loài F. hepatica.
Bệnh SLGL lạc chỗ ở mắt (Ocular fascioliasis)
Tác giả Cho (1994) ở Hàn Quốc báo cáo một bệnh nhân nam, 28 tuổi bị cơn đau đầu và đau thần kinh vận động yếu nhiều tháng. Soi đáy mắt thấy một con sán Fasciola sp. non đi xuyên qua mống mắt và chiếm trọn tiền phòng trong thời gian ngắn, sau đó chúng quay lại buồng sau mống mắt. Các triệu chứng khác gồm phù giác mạc, xuất huyết tiền phòng, xơ hóa giác mạc và xuất huyết nội nhãn. Xét nghiệm về mặt vi thể cho thấy một hình ảnh khuyết mô đột ngột và phản ứng viêm nhẹ ở lớp màng giữa nhãn cầu. Các tác giả cho rằng đây là ca bệnh đầu tiên sán Faciola sp. nội nhãn được báo cáo trong y văn.
Tác giả Dalimi (2005) ở Iran báo cáo một ca bệnh có triệu chứng phù giác mạc, xuất huyết tiền phòng, soi mắt thấy con sán Fasciola sp. non. Các tác giả không thể xác định đường đi vào tiền phòng của mắt. Trường hợp này, có thể sán đi theo con đường động mạch trung tâm võng mạc vào trong thể thủy tinh, dẫn đến viêm mạch và viêm nội nhãn và khuyến cáo các nhà lâm sàng nhãn khoa nên nghĩ đến các ca bệnh như thế khi bệnh nhân đang ở các vùng lưu hành.
Tác giả Ying (2007) ở Trung Quốc tìm thấy một đứa trẻ 8 tuổi có biểu hiện đau đầu, buồn nôn và nôn mửa 6 tháng nay, chụp CT-scanner thấy hình ảnh đa điểm xuất huyết trong não. Bệnh nguyên của xuất huyết não được phân tích qua chụp DSA và các điểm phình mạch não, 26 ngày sau kể từ khi nhập viện, một con sán lồi ra từ mắt (P) bệnh nhân và xác định loài là F. hepatica.
Bệnh SLGL lạc chỗ ở hệ sinh sản (Reproductive system fascioliasis)
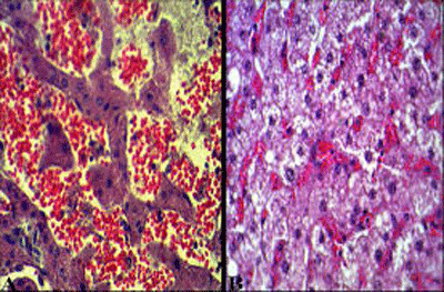
Aguirre Errasti (1981) đã báo cáo ca bệnh đầu tiên về Fasciola sp. lạc chỗ mào tinh hoàn. Bệnh nhân bị tràn dịch màng tinh hoàn mạn tính do sán. Nhiễm trùng này đồng thời với sán lạc chỗ dưới da. Hiện tượng tràn dịch màng tinh hoàn do tắc nghẽn của viêm mào tinh hoàn do sán non Fasciola sp. Makled (1994) ở Ai Cập đã báo cáo một trường hợp sán lạc chỗ trong khoang phúc mạc kèm theo sán gây viêm nhiễm bội nhiễm tại vùng dưới tinh hoàn bên trái do sán F. hepatica.Yazici (2005) ở Thỗ Nhĩ Kỳ báo cáo ca bệnh sán lạc chỗ ở buồng trứng trên một phụ nữ 49 tuổi, Bệnh nhân bị chẩn đoán nhầm là ung thư buồng trứng, ngay cả khi chẩn đoán mô bệnh học, khối có kích thước 7 x 5,5cm, vi thể cho hình ảnh xơ hóa, thâm nhiễm viêm, giàu bạch cầu ái toan với phản ứng u hạt kích cỡ khác nhau. Nhiễm dạng mạn tính, u hạt lan rộng đến vòi trứng và xơ hóa. Sau đó được xét nghiệm định hướng bệnh lý ký sinh trùng, nên chẩn đoán ra sán Fasciola sp. lạc chỗ, điều trị nội khoa triclabendazole, bệnh nhân khỏi bệnh hoàn toàn.
Bệnh SLGL lạc chỗ ở hệ tiêu hóa (Gastrointestinal fascioliasis)
Lee (1982) tại Hàn Quốc báo cáo một ca bệnh sán lạc chỗ ở manh tràng và đại tràng lên. Ca bệnh là một phụ nữ 19 tuổi, có tiền sử đau bụng dữ dội ngay sau bữa ăn và đau bụng từng cơn trong thời gian 3 tuần. Bệnh nhân có một khối u ở bụng bên hạ sườn (P), đã phẩu thuật cắt bỏ nửa kết tràng. Toàn bộ manh tràng và đại tràng lên cho thấy nhiều ổ, u hạt hoại tử giống đường hầm kèm theo tạo khoang ở trung tâm. Nhiều tinh thể Charcot Leyden chạy dọc theo đường di chuyển của sán. Tổn thương là dày toàn bộ thành ruột, xét nghiệm tìm thấy trong lòng ruột nhiều sán non Fasciola sp.
Park (1984) ở Hàn Quốc báo cáo một ca bệnh lạc chỗ do sán Fasciola sp. trong vách manh tràng, bệnh nhân nữ 27 tuổi, sống tại Seoul có biểu hiện buồn nôn, nôn mửa và đau thắt thượng vị, có một khối ở vùng thượng vị bên hố chậu (P). Một chẩn đoán ung thư đại tràng được đưa ra ban đầu và bệnh nhân được mổ cắt manh tràng. Phân tích khối u là một phản ứng viêm chứa nhiều vết do di chuyển của sán non Fasciola sp.
Tesana (1989) ở Thái Lan báo cáo 2 ca sán F. gigantica biểu hiện viêm túi mật và sỏi mật. Cả hai có đau bụng, mổ bụng thăm dò thấy sán bên trong và 1 ca có cả sán trong đường mật và dẫn lưu đường mật lúc thăm dò, đồng thời trứng hiện diện trong dịch mật, trong khi ca còn lại thấy sán non trong một nốt bám chặt vào gan và cơ hoành. Sán được xác định là F. gigantica.
Zali (2004) ở Iran có báo cáo một ca đa u tủy xương đang được điều trị bằng prednisolone và melphalan. Bệnh nhân bị sán F. hepatica, có liên quan đến nhiều cơ quan và tổn thương dễ nhầm lẫn với một tổ chức di căn ung thư. Các tác giả kết luận rằng là ca hiếm gặp, có thể xem đó là ca bệnh đầu tiên liên quan đến tụy, lách và thận và gan đồng thời.
Elizondo (2005) báo cáo ca bệnh viêm tụy cấp ở một bệnh nhân nữ 31 tuổi có bệnh SLGL mạn tính. Nhóm tác giả cho thấy nhiễm trùng như thế làm cho viêm và viêm tụy lan tỏa, phù lớn nhu môvà kết luận viêm tụy là một biến chứng cực hiếm của bệnh SLGL ở hệ gan mật nhưng phải thầy thuốc cần quan tâm đến cơ quan lân cận vì nếu vỡ tụy hoặc xuất huyết-xuát tiết các enzyme từ tụy do sán gây biến chứng sẽ dẫn đến phá hủy các mô, làm nhiễm trùng lan rộng hơn. Việc can thiệp thủ thuật nội soi mật tụy ngược dòng hoặc phẩu thuật hở loại bỏ sán cùng với điều trị nội kho bằng triclabendazole là cách điều trị lựa chọn.
Lee (2006) ở Hàn Quốc báo cáo về ca bệnh sán Fasciola sp. nữ 46 tuổi, lạc chỗ trong tụyhiếm thấy, nếu sán xâm nhập vào nhu mô thì nghiên cứu lâm sàng có những hạn chế trong việc phát hiện sán và khi đó phẩu thuật là cần thiết để xác định. Ca bệnh này được chẩn đoán thông qua bằng chứng gián tiếp. Ca bệnh này nhập viện với bệnh cảnh đau hạ sườn (T), có dùng praziquantel để điều trị sán từ một chẩn đoán của bệnh viện tuyến trước, sau đó không khỏi mà còn đau bụng tăng hơn. Xét nghiệm máu ngoại vi cho thấy bạch cầu ái toan tăng, tăng amylase và lipase huyết thanh. Chụp CT-scanner ổ bụng thấy hình ảnh đa ổ giảm âm kèm theo tạo khối, hình thành các nốt không đồng đều trong đoạn cắt ra vùng thùy bên (T) của gan và kích thước đường kính 2-3 cm, tổn thương giảm âm trong vùng eo và thân tụy. Kháng thể IgG chống lại F. hepatica dương tính. Điều trị bằng thuốc bithionol và các triệu chứng cải thiện, trị số bạch cầu ái toan trở về bình thường. Chụp CT-scanner cho hình ảnh gan và tụy trở về bình thường ở tuần thứ 10 và huyết thanh kháng F. hepatica âm tính sau đó 5 tháng.
Makay (2007) ở Thổ Nhĩ Kỳ báo cáo rằng sán F. hepatica thường gây nhiễm trên gia súc cừu và dê và biểu hiện triệu chứng lâm sàng đa dạng. Bên cạnh phổ triệu chứng về gan mật giống như vàng da tắc mật, viêm đường mật và xơ gan, nhiễm sán cũng là một bệnh lý lạc chỗ ngoài gan mà cụ thể ở mô dưới da, não, phổi, mào tinh hoàn, hạch lympho, dạ dày và manh tràng.
Lê Mười (2009) báo cáo một ca bệnh có lỗ thủng đại tràng do Fasciola sp. lạc chỗ không kèm áp xe nhu mô gan, được điều trị bằng thuốc triclabendazole và phẩu thuật tạo hình đại tràng lại và bệnh nhân sau đó phục hồi hoàn toàn và không thấy tái phát sán.
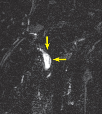
Huỳnh Hồng Quang (2010) cũng đã báo cáo một bệnh nhân nam 42 tuổi tại Quảng Nam nhiễm Fasciola sp. lạc chỗ gây xuyên thủng đường mật, xuất huyết rỉ rả và cần can thiệp nội soi mật tụy ngược dòng, gắp sán ra kết hợp với điều trị nội bằng triclabendazole, nhưng không cầm máu hẳn nên bác sĩ phải mổ hở để giải quyết. Chụp MRI sau 3 tháng điều trị không còn thấy vệt sán cũng như chít hẹp hoặc các thương tổn nhu mô gan mới do sán Fasciola sp. gây ra.
Bệnh SLGL lạc chỗ ở hệ cơ xương (Skeleton fascioliasis)
El Ghawabi (1978) báo cáo một bệnh nhi nhiễm sán lạc chỗ có áp xe cơ mắc cá chân (T). Phẩu tích khối áp xe cho thấy nhiều sán dẹt bên trong. Xét nghiệm mô hạt và lấy sán định loài là F. gigantica chưa trưởng thành.
Huỳnh Hồng Quang và Nguyễn Văn Khá (2007) báo cáo một ca lạc chỗ ở cơ thẳng bụng bên (P) của một phụ nữ 39 tuổi sống tại Vũng Tàu, tiền sử trước đó 2 tháng có bị áp xe gan do F. gigantica được điều trị khỏi bằng triclabendazole, hiện nay có triệu chứng ngứa và ban trườn nhiều đợt tại vị trí cơ thẳng bụng, cứ vài ngày lại nổ gồ lên đường di chuyển, đỏ da và ngứa, siêu âm phát hiện hình ảnh áp xe cơ, xét nghiệm ELISA dương tính và bạch cầu ái toan tăng (33,4%), điều trị khỏi bằng thuốc triclabendazole, hình ảnh áp xe cơ trở về bình thường sau 20 ngày và theo dõi sau 2 năm không thấy tái phát.
Sellami (2003) ở Tunisia đã báo cáo bệnh nhân nữ 46 tuổi, đau đa khớp ở vai, khủy, háng, cổ chân, cổ tay và đau lưng lan tỏa, có tiền sử ăn và uống các rau thủy sinh gọi là telma-nguy cơ nhiễm nang trùng sán Fasciola sp. Nghiên cứu về mặt dịch tễ học xác định có sự hiện diện của ốc L. truncatula nhiễm ấu trùng sán F. hepatica. Ca bệnh này vừa có tăng bạch cầu ái toan, xét nghiệm huyết thanh dương tính. Sau đó điều trị khỏi bằng 2 liều triclabendazole.
  !important; |
Bệnh SLGL lạc chỗ ở hệ bạch huyết (Lymphatic fascioliasis)
Prociv (1992) ở Úc báo cáo 2 bệnh nhân sưng phồng cấp hệ bạch huyết. Ca bệnh đầu tiên là phụ nữ 46 tuổi, có một khối tìm thấy trong hạch cổ chứa sán F. hepatica trưởng thành, điều đặc biệt sán này có đẻ trứng ra xung quanh mô. Bệnh nhân thứ hai là một nam giới 34 tuổi, nhân công lò mổ gia súc, có tổn thương dưới da giống như nang tuyến bã nhiễm trùng và chứa một con sán còn non. Bệnh nhân được điều trị bằng thuốc triclabendazole và không có biến chứng. Qua hai ca ở trên, nhóm tác giả kết luận sán Fasciola sp. có thể gây các tổn thương ở nông hoặc sâu, không nhất thiết có tăng bạch cầu trong máu ngoại vi hoặc phát hiện thấy trứng sán Fasciola sp. trong phân, xét nghiệm huyết thanh học hỗ trợ khâu chẩn đoán.
Lanos (2006) đã báo cáo một ca nam giới 50 tuổi có biểu hiện viêm mạch hệ thống, suy giảm chức năng thần kinh, giảm thị lực, chức năng lách, thận và da. Các thầy thuốc lâm sàng khó có thể xác định nguyên nhân gây ra iêm mạch, đến khi có mặt các kháng thể IgG đặc chống lại Fasciola sp. hiệu giúp xác định bệnh. Ba tuần sau khi điều trị bằng triclabendazole, tất cả triệu chứng và đặc điểm toàn thân được cải thiện.
Marcos (2009) phát hiện một bệnh nhân nam 58 tuổi có một khối u vùng cổ trước, khoảng 5cm không có triệu chứng hơn một năm nay. Phân tích về mặt mô học thấy hình ảnh viêm mạn tính và sinh u hạt kèm theo nhiều tế bào khổng lồ bao quanh trứng sán F. hepatica. Phân tích hóa mô miễn dịch, kháng nguyên Fas2 có trong mô. Huyết thanh chẩn đoán ELISA với kháng thể chống sán F. hepatica dương tính,nhưng xét nghiệm phân âm tính và bạch cầu ái toan trong khoảng bình thường. Một tháng sau, khối u tái phát và con sán lồi ra. Bệnh nhân được điều trị bằng triclabendazole và 6 tháng sau kết quả huyết thanh âm tính. Vị trí lạc chỗ của sán F. hepatica cho thấy mô bệnh học liên quan viêm mạn tính gây ra bởi sán trưởng thành, mặc dù theo lý thuyết chỉ có sán non là nằm ở vị trí lạc chỗ như các ca bệnh đã mô tả trong y văn ở các cơ quan khác.
Bệnh SLGL lạc chỗ ở hệ thần kinh (Neurologic fascioliasis)
Vatsal (2006) tại Ấn Độ báo cáo ca nhiễm trùng lạc chỗ ở tủy sống do F. hepatica. Đo lad một phụ nữ trẻ, khởi bệnh từ từ với liệt 2 chân và ảnh hưởng liệtruột và bàng quang. Chụp cộng hưởng từ cho thấy khối thương tổn ngoài màng cứng cho hình ảnh đồng nhất và bất thường trên các phim chụp cột sống. Chẩn đoán ban đầu chèn ép tủy do mô hạt ngoài màng cứng dạng lao gây nên. Tác giả cho rằng vị trí tủy sống bị lạc chỗ do Fasciola sp. có thể xảy ra trong quá trình di chuyển của sán thông qua khoang phúc mạc hoặc từ gan đi qua tĩnh mạch cửa đến hệ thần kinh.
Ying (2007) báo cáo một ca bệnh sán Fasciola sp. lạc chỗ trên một bệnh nhi 8 tuổi, biểu hiện nhức đầu nghiêm trọng và đa chấm xuất huyết trong não. Một tháng sau, con sán dẹt nổi gồ lộ ra từ mắt (P) và xác định là sán F. hepatica non. Sán di chuyển đào hầm trong nhu mô não của bệnh nhi tựa như một điểm phình mạch. Các tác giả không thể xác định chính xác đường di chuyển của sán hướng về mắt (P).
Tại Trung Quốc, Zhou (2008) báo cáo ca sán lạc chỗ trên cả não và mắt ở một trẻ em 10 tuổi có liên quan đến hai ổ phình mạch trong não chưa vỡ, sau đó triệu chứng thần kinh xuất hiện với 5 giai đoạn xuất huyết não và máu tụ trong não. Đồng thời, bênh nhi còn biểu hiện đau ở mắt và lồi mắt (P) tái đi tái lại, kèm đau đầu, nôn mửa, liệt dây thần kinh mắt số 6. Chụp mạch xóa nền kỹ thuật số (DSA) cho thấy hình ảnh hai điểm phình mạch chưa vỡ trong sọ não. Sán bị loại bỏ khỏi vùng kết mạc sưng phồng của bệnh nhi và nhờ vào kết quả xét nghiệm và phục hồi sau khi điều trị. Hai khối phình mạch không được điều trị nhưng đã được theo dõi một thời gian dài, chụp DSA theo dõi thấy một điểm phình mạch biến mất nhưng điểm còn lại chưa thay đổi. Các tác giả cho rằng các xuất huyết và khối máu tụ trong não có liên quan đến sán lạc chỗ ở não và mắt. Một nhiễm trùng trong não thường gây bởi F. hepatica hoặc các ký sinh trùng khác, sinh các triệu chứng sốt không rõ nguyên nhân, tăng bạch cầu ái toan, xuất huyết sọ não tái hồi.
Bệnh SLGL lạc chỗ ở phổi - màng phổi (Pulmonary-pleural fascioliasis)
Điều trùng lặp ngẫu nhiên là cả các ca bệnh báo cáo ở đây đều cùng 42 tuổi. Tác giả El Shazly (1991) ở Ai Cập báo cáo một ca bệnh sán lạc chỗ trong khoang màng phổi (P) trên một bệnh nhân nam, biểu hiện triệu chứng ho, khó thở, nôn và tăng bạch cầu ái toan cao. Xét nghiệm sán lấy ra kèm theo trứng xác định là Fasciola sp.
Ca bệnh thứ 2 đươc báo cáo bởi Huỳnh Hồng Quang và Lê Quang Quốc Ánh (2007) là một thợ may nữ, sống tại thành phố Quy Nhơn bị sán F. gigantica gây áp xe ở gan được điều trị khỏi bằng triclabendazole, sau 4 tháng biểu hiện đợt nhiễm sán mới có biến chứng tràn dịch đa màng, lạc chỗ ở phổi (P) phải điều trị nội khoa và phẩu thuật can thiệp loại bỏ tràn dịch đa màng, lấy ra sán định loài F. gignatica. Kết quả sau 16 tháng bệnh nhân khỏi hoàn toàn và không tái phát.
Ca bệnh thứ 3 được báo cáo bởi Huỳnh Hồng Quang và Văn Ngọc Ý (2007) là bệnh nhân nam làm thợ cơ khí, ở huyện Quảng Trạch, tỉnh Quảng Bình bị sán Fasciola sp. đồng thời ở gan và lạc chỗ ở màng ngoài tim, màng bụng và màng phổi. Trong quá trình điều trị bằng triclabendazole của áp xe gan thì bệnh nhân lên cơn khó thở, tiếng tim mờ và điện thế thấp trên điện tâm đồ, được chuyển cấp cứu mổ, lấy dịch ra cho thấy nhiều sán trào ra qua vết phẩu tích màng tim, xác định là sán F. gigantica với xét nghiệm huyết thanh dương tính, sau đó tiếp tục điều trị liều thứ hai triclabendazole. Bệnh nhân khỏi bệnh và xuất viện sau 40 ngày kể từ lúc mổ cấp cứu tránh chèn ép tim.
Nuesch (2005) thảo luận một trường hợp đau ngực do sán Fasciola sp. lạc chỗ. Bệnh nhân nữ 26 tuổi và biểu hiện thâm nhiễm phổi, ho và tràn dịch màng phổi. các tác giả bổ sung thêm một số đặc điểm lâm sàng hiếm gặp do sự xâm nhập vào tĩnh mạch gan và tan rộng theo đường máu.
Bệnh SLGL lạc chỗ ở cơ quan thận niệu (Nephrological fascioliasis)
Marques (2005) cho thấy một danh mục bệnh lý thận trên gia súc nhiễm với F. hepatica, mô bệnh học cho thấy tăng sinh màng, viêm cầu thận, xơ hóa thận kẻ, phản ứng viêm ống thận và phản ứng dương tính với kháng nguyên F. hepatica trong các vi mạch và vi cầu thận. Ngoài ra, xơ hóa viêm thận kẻ và các tế bào viêm cục bộ hay gặp. Nếu nhiễm trùng mạn tính với Fasciola sp. không được điều trị thì vấn đề suy thận có thể xảy ra.
Ganga (2006) đã báo cáo các con trâu nhiễm F. gigantica biểu hiện rối loạn chức năng tuyến giáp và tuyến thượng thận. Một sự giảm có ý nghĩa của hormone tuyến giáp được xác định đồng thời với các xét nghiệm mô bệnh học, nồng độ T3 và T4 đã giảm có nghĩa là có suy giáp. Trong khi đó, nồng độ cortisol huyết thanh tăng đáng kể, vì thế xét nghiệm mô bệnh học liên quan đến các rối loạn chức năng sinh lý của tuyến thượng thận do tăng năng tuyến thượng thận.
Bệnh SLGLlạc chỗ ở vú (Breast fascioliasis)
Naresh (2006) ghi nhận một ca bệnh SLGL lạc chỗ ở vú. Bệnh nhân là một đàn ông 56 tuổi được chẩn đoán viêm vú tăng sinh mô hạt mạn tính dẫn đến áp xe vú. Nghiên cứu mô bệnh học cho thấy khối áp xe chứa nhiều trứng sán Fasciola sp. và kèm theo tăng bạch cầu ái toan. Các tác giả tranh luận rằng làm thế nào mà các trứng sán đến được vú và con đường đi của sán này như thế nào. Họ cũng cho thấy trứng sán Fasciola sp. không đáp ứng với điều trị bằng albendazole, nên bệnh nhân được chỉ định ngoại khoa cắt vú là cách điều trị đáng tiếc.
Huỳnh Hồng Quang (2008) cũng đã báo cáo một ca bệnh SLGL lạc chỗ ở đầu vú bên (P) của một phụ nữ 49 tuổi sống tại Bố Trạch, Quảng Bình với một chẩn đoán trước đó ở tuyến trước là khối ung thư vú cần phải phẩu thuật và hóa trị, nhưng may thay bệnh nhân không đủ tiền điều trị nên hoãn lại, sau đó vài ngày 2 con sán Fasciola sp. trồi ra tại đầu núm vú kèm theo các dịch đục màu trắng không hôi, sau đó vùng núm vú khô và trở về bình thường như núm vú bên (T) và khối nghi ngờ ung thư ban đầu biến mất sau đó, bệnh nhân này không cần điều trị gì và đã khỏi tự phát sau khi loại bỏ sán và tiếp tục theo dõi 1 năm sau vẫn không biểu hiện tái phát.
Nhìn chung, bệnh SLGL có thể xem như một ví dụ điển hình về một bệnh ký sinh trùng truyền từ động vật sang người đang nổi hoặc tái nổi (emerging or reemerging zoonotic parasitosis) trên thế giới và lan rộng như một hậu quả từ nhiều hiện tượng liên quan đến thay đổi môi trường cũng như thói quen ăn uống thay đổi của con người. Nếu năm 1990, bệnh ở người được nhìn nhận như một bệnh thứ phát thì đến năm 2013 trở thành một căn bệnh quan trọng ở người được Tổ chức Y tế thế giới xác nhận. Mặc dù, nhiều bệnh ký sinh trùng lây truyền qua đường thực phẩm có thể được kiểm soát, nhưng bệnh SLGL vẫn còn là vấn đề y tế công cộng tại nhiều vùng lưu hành dù cho chương trình phòng chống mỗi quốc gia được duy trì liên tục. Bên cạnh đó, với sự thay đổi toàn cầu liên tục ưu thế và thuận lợi cho vật chủ ốc, bệnh sẽ nhiều hơn trên người, gây ra cho kinh tế và sức khỏe động vật và con người giảm sút.
Dường như nhiễm sán Fasciola sp. lạc chỗ không hạn định ở một lứa tuổi nào và cả giới tính, đến các yếu tố thời tiết, độ cao, hành vi và đặc tính xã hội. Hiện tượng sán lạc chỗ đến bây giờ vẫn còn chưa hiểu hết. Nhiễm sán tự nhiên do ăn phải nang trùng trên các lá xanh chưa rửa sạch và nấu chưa chín. Sau khi ăn bằng đường miệng, ấu trùng thoát kén và đi xuyên qua thành ruột vào trong khoang phúc mạc và tìm đường đến gan đến đường mật, ở đó chúng định vị và thành sán trưởng thành. Các bằng chứng chi tiết cho thấy con người không có tính nhạy cảm cao với nhiễm F. hepatica. Hơn nữa, nhiễm trùng ở người với sán non Fasciola sp. có thể xảy ra sau khi ăn phải thức ăn có gan sống phù hợp cho sán non tồn tại.
Tiền sử trước đây của các bệnh nhân nhiễm SLGL lạc chỗ là có ăn rau thủy sinh sống, nên có thể một vài bệnh nhân không để ý đến việc ăn gan sống. Các tác giả cho biết nếu sán 4-5 ngày tuổi di chuyển vào trong gan, sẽ không phát triển thêm nữa. Sự vắng mặt sán trong gan góp phần cho sán vào khoang bụng hoặc loại bỏ sán sau một thời gian ngắn chúng di chuyển đi. Tuy nhiên, trường hợp SLGL lạc chỗ nếu ấu trùng đi nhầm đường di chuyển thì chúng có thể không phát triển hoàn chỉnh. Ross (1967) cho biết đối với các vật chủ không “nhạy cảm” như người và heo, một tỷ lệ lớn sán bị phá hủy do phản ứng tế bào tại chỗ trong gan. Các xét nghiệm giải thích lý do tại sao trứng sán không xuất hiện trong nhiều trường hợp sán lạc chỗ vì ở người như là vật chủ không nhạy cảm đối với F. hepatica. SLGL lạc chỗ sẽ bổ sung thêm vào bệnh SLGL tại gan và ngoài gan, triệu chứng ở gan và vị trí lạc chỗ sẽ tạo ra một hình thái bệnh mới cho con người. Cần lưu ý, tại các vùng đồng thời lưu hành SLGL và sán máng sẽ dẫn đến xét nghiệm dương tính đồng thời nên sẽ khó phân biệt. Thử nghiệm miễn dịch hấp phụ enzyme và phản ứng ngưng kết hồng cầu (ELISA và IHA) đều có thể cho độ nhạy 100%, độ đặc hiệu 92%, nên vẫn còn một số sai số nhất định trong chẩn đoán.
Chẩn đoán hình ảnh để xác định nhiễm trùng lạc chỗ vùng phổi - màng phổi ở 5 bệnh nhân. Một bệnh nhân có bụng báng và tràn dịch màng phổi và dịch màng bụng kèm theo tăng bạch cầu eosin tăng cao. Trên các bệnh nhân, trứng SLGL được phát hiện. 2 ca có nốt ở gan và hai ca khác có tổn thương dạng nang ở gan. 3 bệnh nhân có sán non Fasciola sp. trong túi mật. Họ kết luận việc chẩn đoán SLGL dùng siêu âm và huyết thanh học là cần thiết cùng với xét nghiệm phân, đặc biệt trong những ca nhiễm mạn tính và trong nhiễm sán máng S. mansoni tại vùng lưu hành.
SLGL bệnh động vật truyền sang người giờ đây đã được nhận ra như là một trong những bệnh quan trọng trên toàn cầu, đặc biệt cả ở các quốc gia đang phát triển và phát triển. SLGL lạc chỗ không chỉ giới hạn ở các quốc gia vùng Trung Đông mà đến các châu lục khác, không kể đến chủng tộc, giới tính và nhóm tuổi. Các phụ nữ là các đối tượng hay nhiễm SLGL lạc chỗ hơn so với nam giới, nhưng ngược lại chúng ta có thể nói bệnh còn liên quan đến nghề nghiệp hoặc do thói quen ăn uống.
Biến chứng có thể gặp khi sán lá gan lớn tổn thương gan mật hoặc lạc chỗ
Như trên đã trình bày, SLGL là bệnh tác động đến nhu mô gan và hệ đường mật, nên một số ca điều trị muộn hoặc phát hiện không kịp thời sẽ dẫn đến các biến chứng. Các biến chứng do bệnh ở người có thể tùy thuộc vào nhiều yếu tố: thời gian từ khi mắc bệnh đến khi đi khám và được phát hiện, chẩn đoán và quản lý ca bệnh tốt, khối thương tổn trong nhu mô có kích thước lớn hay nhỏ, tổn thương có kèm theo nhiều hay ít ổ hoại tử (trống âm trên siêu âm), có tổn thương cạnh bao gan hay không, nhiễm sán lá gan trên cơ địa đặc biệt trẻ em, phụ nữ mang thai và người có bệnh lý nền đặc biệt đang điều trị và có chế độ ăn đặc biệt. Các biến chứng thường chủ yếu:
-Tại gan: các khối thương tổn có kích thước quá lớn, không điều trị kịp thời, dẫn đến vỡ dưới bao gan gây xuất huyết nặng và có thể ra ngoài ổ phúc mạc, áp xe gan lan tỏa và cuối cùng là cổ chướng, u hạt hoại tử, u hóa;
-Tại hệ đường mật: có thể tại hình thái sỏi mật trên nền sán chết, viêm đường mật, viêm túi mật, viêm túi mật và viêm phúc mạc mật, xơ hóa, gây tắc mật do bản thân SLGL; xơ hóa đường mật; chảy máu đường mật, chảy máu động mạch liên quan với các vết loét ăn mòn do sán di chuyển, hoặc bởi xác chết của SLGL trong ống mật chủ;
-Một trong những biến chứng là chảy máu, tụ máu dưới bao gan và chảy máu trong gan. Huyết khối có thể góp phần vàng da tắc mật, đau thượng vị và thiếu máu. Rất nhiều trường hợp chảy máu suốt thời gian tổn thương đường mật, có trường hợp chảy máu đường mật trong gan và cả trong túi mật (Chen và Mott., 1990). Trong thực hành lâm sàng, đã cho thấy nhiều ca không kịp điều trị đã dẫn đến vỡ gan và tràn máu phúc mạc (0,3%) và phải chuyển mổ cấp cứu (Huỳnh Hồng Quang và cs.,2006) hoặc chảy máu đường mật do loét niêm mạc biểu mô đường mật, đặc biệt thiếu máu kèm với viêm tụy xảy ra trên trẻ em nhiều hơn người lớn (Robert W Tolan và cs., 2006);
-Xơ hóa đường mật từ quá trình viêm mạn tính (sclerosing cholangitis) cũng xảy trong suốt thời gian nhiễm bệnh, viêm nhiễm tăng sinh và phì đại của biểu mô đường mật dẫn đến xơ hóa lan tỏa. Nhiễm nặng và kéo dài thì biến chứng càng nặng. Gan có thể to ra và có thể có vàng da, bụng báng, lách to không chiếm ưu thế, nhưng viêm xơ cứng phối hợp viêm đường mật đã được báo cáo (Chen và cs., 1990);
-Tràn dịch, tràn máu và dịch mật vào đa màng phổi, bao gan, dưới cơ hoành (Huỳnh Hồng Quang và cs., 2005) hoặc tràn dịch màng tim kèm theo vở ổ sán ra ngoài khoang phúc mạc (Huỳnh Hồng Quang và cs., 2006);
-Chảy máu tiêu hóa do các sỏi đi kèm hoặc do sán làm tổn thương mạch máu, tăng áp lực từng đoạn của hệ đường mật. Có thể đầu tụy chèn ép ống mật chủ gây vàng da, xơ gan do mật, chèn ép tá tràng.Nếu điều trị không kịp thời, sẽ gây tràn dịch màng tim do vở ổ gan lên và qua khu trung thất rồi xuyên màng tim, gây khó thở hoặc tử vong;
-Biến chứng ở cơ quan khác: Nếu ở tụy như gây viêm tụy cấp, u giả ở tụy, hoặc ở đại tràng gây u giả (Trần Thị Kim Dung và cs., 2009), hay thiếu máu diễn tiến chậm (Huỳnh Hồng Quang và Nguyễn Văn Chương, 2003). Xuất hiện các đợt viêm tụy cấp do sán kẹt trong ống Wirsung hoặc viêm nhiễm các ống;
-Trường hợp đặc biệt SLGL gây hiện tượng lạc chỗ có thể gây biến chứng tại chỗhoặc lan rộng đến các cơ quan khác, gây nên các hậu quả phức tạp hơn, hoặc viêm tụy do sán chui vào ống tụy, mờ mắt do ăn sâu vào nhãn cầu, viêm da dị ứng do di chuyển, tạo bóng nước ở cơ thành bụng, gây tắc mật, vàng da;
-Tiềm năng chuyển từ ổ thương tổn và gây thay đổi cấu trúc nhu mô và tế bào gan hoặc đường mật, dẫn đến ung thư hóa do bệnh SLGL Fasciola sp. đến nay vẫn chưa được làm sáng tỏ và chưa có cơ sở khoa học;
-Những biến chứng nguy hiểm khác như động máu nhiều nơi trong lòng tĩnh mạch, đã có bệnh nhân đông máu nhiều nơi và tử vong do đông vón bít tắc mạch tại buồng trứng, mạc treo, gan, tim, phổi. Trong thời gian xâm nhập, một số trường hợp bị huyết khối trong tĩnh mạch chủ (Pena Sanchez và cs., 1982).
Một số trường hợp đã tử vong có liên quan đến SLGL (Pana Sanchez và cs., 1982; Chen và Mott, 1990), khám nghiệm tử thi cho thấy họ chết do biến chứng suy gan cấp. F. hepatica có thể gây tắc mật và đã tìm thấy trên 40 con sán trưởng thành trên một bệnh nhân (Chen và cs., 1990). Tìm thấy từ 1-14 con sán trên 81 tử thi tại Sarmarkand mặc dù chết không hòan toàn xác định nguyên do là SLGL (Tetov và cs., 1979; Sadykov và cs., 1988).
Tiên lượng về bệnh SLGL
-Khoảng 20% số ca nhiễm sán lá gan lớn Fasciola sp. không có biểu hiện triệu chứng, số còn lại chủ yếu biểu hiện triệu chứng ở hệ tiêu hóa mà chủ yếu là cơ quan gan-mật tùy thuộc vào từng giai đoạn khác;
-Diễn tiến lâm sàng trên những ca có triệu chứng tuy rất rầm rộ so với các bệnh sán lá truyền qua thức ăn (FBTs) khác, nhưng tiên lượng và dự hậu tốt nếu ca bệnh được phát hiện sớm và điều trị kịp thời bằng thuốc đặc hiệu TCBZ liều duy nhất, chỉ có một số ca cần đến liều TCBZ lần hai;
-Tỷ lệ chữa khỏi sau điều trị thuốc lên từ 93-100%, không để lại di chứng, một số ca có sẹo ở nhu mô gan sau điều trị nhiều năm, nhưng cũng dần dần được xóa mờ và phục hồi chức năng gan nhanh chóng;
-Chỉ một số nhỏ ca (< 1%) cần đến can thiệp phẩu thuật ngoại khoa mới giải quyết dứt điểm (ca bệnh có biến chứng, sán lá gan lớn lạc chỗ nguy hiểm, tràn dịch đa màng, đe dọa vỡ bao gan vì khối thương tổn quá lớn,…).