Đặc điểm của bệnh
Định nghĩa ca bệnh
- Ca bệnh lâm sàng: Người nhiễm ấu trùng giun đũa chó hoặc ấu trùng giun đũa mèo. Bệnh không có triệu chứng lâm sàng đặc hiệu, gặp ở trẻ em nhiều hơn người lớn.
Một số bệnh nhân có biểu hiện gan to; sốt; có các triệu chứng của phổi như ho, đau ngực; đau bụng, khó tiểu; tăng globulin máu; tăng bạch cầu ưa axit không thường xuyên. Trường hợp nặng, các triệu chứng có thể kéo dài hàng năm, các hội chứng viêm phổi, viêm nội nhãn, đau bụng mãn tính, rối loạn thần kinh khu trú có thể xảy ra do sự di trú của ấu trùng giun toxocara, bạch cầu tăng và bạch cầu ái toan tăng có thể chiếm tới 80-90%.
- Ca bệnh xác định: Thử nghiệm ELISA dùng kháng nguyên ấu trùng dương tính.
Chẩn đoán phân biệt
Với một số bệnh tương tự các tổn thương ở phổi có thể nhầm với tổn thương ung thư. Các tổn thương ở võng mạc có thể nhẩm với u nguyên bào võng mạc.
Xét nghiệm
Thử nghiệm huyết thanh học ELISA dùng kháng nguyên ấu trùng giun toxocara, độ nhạy từ 75-90%.
Tác nhân gây bệnh
Tên tác nhân
Giun đũa chó (Toxocara canis) và giun đũa mèo (Toxocara cati). Hay gặp Toxocara canis hơn Toxocara cati.

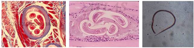
Hình 1
Hình thái
Giun đũa chó Toxocara canis có hình thái giống giun đũa non ở người, điểm khác biệt là trên đầu giun đũa chó có hai diềm từ đầu chạy dọc xuống cổ dài khoảng 2-4 mm, đặc điểm diềm là thon hai đầu. Giun cái trưởng thành dài từ 8-13 cm, giun đực dài từ 5-8 cm.
Hình thái giun đũa mèo Toxocara cati giống giun đũa chó nhưng nhỏ hơn, giun cái trưởng thành dài từ 4-12 cm, giun đực dài từ 3-7 cm. Điểm khác biệt là hai diềm từ đầu chạy dọc xuống cổ của giun đũa mèo là thon phía đầu và phình to phía cổ như hình quả lê.
Khả năng tồn tại trong môi trường bên ngoài
Trứng giun Toxocara spp. ra ngoại cảnh thâm nhập vào đất và khả năng tồn tại, phát triển trong môi trường bên ngoài như trứng giun đũa ở người.
Đặc điểm dịch tễ học
Điều kiện quyết định sự lây truyền của giun Toxocara spp. là khí hậu, tình trạng vệ sinh, các tập quán sinh hoạt và mức độ tiếp xúc với đất bẩn nhiễm phân chó mèo. Bệnh phân bố ở các nước trên thế giới. Bệnh gặp ở cả trẻ em và người lớn, tuy nhiên trẻ em nhiễm giun Toxocara spp. cao hơn người lớn.
Nguồn truyền nhiễm
- Ổ chứa: Chó là ổ chứa của Toxocara canis và mèo là ổ chứa của Toxocara cati; ổ chứa trứng giun là đất, nước nhiễm phân chó mèo.
- Thời gian ủ bệnh: từ vài tuần đến vài tháng phụ thuộc vào mức độ nhiễm ấu trùng giun nhiều hay ít và tính nhạy cảm của người bệnh. Trường hợp ăn gan nhiễm bệnh mà chưa được nấu chín thì thời gian ủ bệnh có thể là vài ngày hoặc chỉ vài giờ. Người nuốt phải trứng giun Toxocara spp., khi đến ruột non trứng nở giải phóng ấu trùng, ấu trùng chui qua thành ruột di chuyển đến gan.
Từ gan, ấu trùng qua hệ tuần hoàn và bạch huyết di chú đến các tổ chức khác như phổi, nội tạng ở bụng, mắt v.v gây ra các tổn thương ở nội tạng. Ấu trùng Toxocara spp. không thể phát triển thành giun trưởng thành trong cơ thể người và không thể tái lặp chu kỳ sống ở người. Ấu trùng có thể tổn tại trong các tổ chức nhiều năm nếu không được điều trị.
- Thời kỳ lây truyền: Chó con bị nhiễm bệnh từ chó mẹ qua rau thai hoặc qua bú sữa mẹ. Khoảng 3 tuần tuổi chúng đã có thể thải trứng giun Toxocara spp. ra ngoại cảnh.
Phương thức lây truyền
Qua đường ăn uống: do nuốt phải trứng giun có trong đất hoặc nước bị nhiễm phân chó mèo hoặc nuốt phải ấu trung giun khi ăn thịt chó, mèo chưa nấu chín. Không lây truyền trực tiếp từ người sang người.
Tính cảm nhiễm và miễn dịch
Tất cả mọi người đều có thể nhiễm giun Toxocara, đặc biệt là trẻ nhỏ

Hình 2
Các biện pháp phòng, chống dịch
Biện pháp dự phòng
- Tuyên truyền giáo dục: nâng cao ý thức vệ sinh cá nhân và cộng đồng đặc biệt là các chủ nuôi chó, mèo; bảo vệ môi trường không bị nhiễm phân chó mèo.
- Vệ sinh phòng dich: vệ sinh môi trường đặc biệt là khu vực có phân chó, mèo, khu vực trong nhà và khu vực vui chơi của trẻ em. Xây dựng nếp sống vệ sinh cá nhân tốt; rửa tay trước khi ăn hoặc chuẩn bị thức ăn, không ăn rau sống khi chưa rửa thật sạch hoặc thịt chó, mèo chưa nấu chín.
- Tẩy giun cho chó, mèo. Với chó, mèo con, cần tẩy giun ngay từ 3 tuần tuổi, tẩy giun nhắc lại 3 lần cách nhau 2 tuần và sau đó cứ 6 tháng tẩy một lần.
Biện pháp chống dịch
- Tổ chức: không bắt buộc.
- Chuyên môn:
+ Thu dung, cách ly, điều trị bệnh nhân: không bắt buộc.
+ Quản lý người lành mang trùng, người tiốp xúc: không bát buộc.
+ Dự phòng cho đối tượng nguy cơ cao: Tẩy giun cho chó mèo. Tăng cường các biện pháp vệ sinh phòng ngừa nhiễm giun, đặc biệt là đối với trẻ nhỏ.
- Xử lý môi trường: phát động các chiến dịch dọn vệ sinh trong cộng đồng dân cư, xảy dựng hệ thống còng rãnh, xử lý nước thải.
Có thể xử lý phân chó mèo bằng vôi bột 150-200 gam/kg phân.
Nguyên tắc điều trị
- Điều trị đặc hiệu bằng albendazole 400 mg/ngày hoặc mebendazol 500 mg/ngày, điều trị từ 3-4 tuần liền.
Chú ý: Albendazole và mebendazole chống chỉ định với trẻ dưới 2 tuổi, phụ nữ có thai 3 tháng đầu hoặc đang cho con bú, người có tiền sử mẫn cảm với nhóm benzimidazole, người có tiền sử nhiễm độc tuỷ xương.
Thận trọng khi điều trị cho người suy gan, suy thận.
Kiểm dịch biên giới: Không.