Ynhunhu Nguyen Hỏi: Em đang ở thành phố Hồ Chí Minh, xét nghiệm ở Viện Pasteur bị sán dải chó Echinococcus granulosus (+) 0,37 (OD < 0,3) em bị ngứa nhiều. Bác sĩ cho toa 1 tuần zentel 200 mg x 14 viên ngày 2 lần mỗi lần 1 viên. Cézil 10 mg x 7 viên ngày 1 lần/1viên. Cho em hỏi? Em bị như vậy có nặng không? Con giun này có nguy hiểm không? Điều trị như thế nào? 1 tuần có hết không? Bác sĩ nói 1 tuần là hết. Em cảm ơn!
Trả lời:
Ngứa chỉ là một triệu chứng trong nhiều bệnh lý nội khoa và da liễu cũng như ký sinh trùng, do vậy, việc tìm ra một tác nhân gây bệnh không phải là luôn khẳng định đó chính là tác nhân gây ra bệnh lý mà bạn đang mắc mà cần phải xem xét một cách tổng thể nhất.
Nếu thật sự bị nhiễm sán dải chó E. granulosus như trên thì phác đồ điều trị bài bản và theo hướng dẫn của Tổ chức Y tế thế giới (WHO, 2014) sẽ bao gồm cả phẩu thuật và điều trị thuốc nội khoa chống lại ký sinh trùng sán dải này. Việc tìm hiểu các thông tin mà bạn hỏi, chúng tôi xin chia sẻ loại ký sinh trùng này như sau:
Bệnh echinococcosis ở người là bệnh ký sinh trùng nguyên nhân do sán dây thuộc giống Echinococcus. Có hai thể bệnh quan trọng nhất ở người đó là bệnh nang sán Echinococcosis (cystic Echinococcosis) và bệnh ở phế nang hay phổi (Echinococcosis alveolar). Bệnh Echinococcosis ở người là bệnh ký sinh trùng nguyên nhân do sán dây thuộc giống Echinococcus. Con người nhiễm bệnh thông qua tiêu hóa thực phẩm, nước và đất bị ô nhiễm trứng của ký sinh trùng hoặc con người nhiễm thông qua tiếp xúc trực tiếp với động vật nhiễm bệnh, bệnh Echinococcosis thường điều trị phức tạp và rất tốn kém. Trong một số trường hợp có thể cần phải phẫu thuật mở rộng hoặc liệu trình điều trị thuốc kéo dài. Các chương phòng chống liên quan đến tẩy giun ở chó, cải thiện vệ sinh lò mổ và các chiến dịch giáo dục cộng đồng; tiêm vaccine cho cừu con hiện nay đang được đánh giá là biện pháp can thiệp bổ sung.

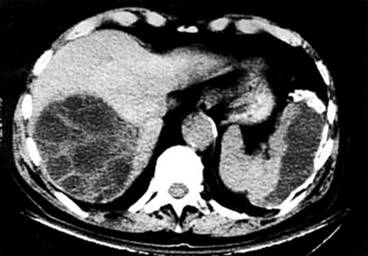
Hình 1
Trên thế giới ước tính có hơn 1 triệu người bị ảnh hưởng bệnh Echinococcosis.TCYTTG đang làm việc hướng đến việc thông qua các chiến lượckiểm soát hiệu quảbệnh nang sán Echinococcosis vào năm 2018. Bệnh sán Echinococcosis là bệnh lan truyền từ động vật sang người nguyên nhân do ký sinh trùng gây ra, tên là sán dây thuốc giống Echinococcus. Bệnh nang sán Echinococcosis và bệnh ở phổi hay phế nang là hai bệnh điển hình cho gánh nặng bệnh tật đáng kể. Trên toàn thế giới, có hơn 01 triệu người sống chung với các bệnh này tại một thời điểm. Nhiều người trong số những người này sẽ trải qua các hội chứng lâm sàng nghiêm trọng, đe dọa đến tính mạng nếu không được điều trị kịp thời. Ngay cả khi được điều trị, số người này thường phải đối mặt với giảm chất lượng cuộc sống.
Đối với bệnh nang sán Echinococcosis, tỷ lệ tử vong sau phẩu thuật ước tính khoảng 2,2% và khoảng 6,5% các trường hợp tái phát sau khi can thiệp đòi hỏi thời gian phục hồi lâu hơn. Ước tính gần đây cho thấy, kết quả bệnh nang sán đã làm cho ít nhất 01 triệu trường hợp gánh nặng bệnh tật để lại di chứng và có thể lên đến 3 triệu trường hợp mỗi năm.

Hình 2+3
Chi phí hàng năm liên quan đến bệnh nang sán ước tính khoảng 3 tỷ đô la để điều trị và gây thiệt hai cho ngành chăn nuôi. Bệnh ở nang phổi hay phế nang để lại di chứng suốt những năm sau này cho khoảng 650.000 người hàng năm, hầu hết gánh nặng bệnh tập trung ở phía Tây Trung Quốc. 4 thể bệnh chính:
-Bệnh nang sán Echinococcosis (cystic echinococcosis) là bệnh nang sán chó/ bệnh hydatidosis, nguyên nhân do nhiễm loài ký sinh trùng E. granulosus;
-Bệnh ở phế nang hay phổi (alveolar echinococcosis) do nhiễm loài E. multilocularis;
-Bệnh lý đa nang (polycystic echinococcosis) do nhiễm loài E. vogeli;
-Bệnh unicystic echinococcosis nguyên nhân do nhiễm loài E. oligarthrus;
Trong đó, có hai hình thái lâm sàng quan trọng nhất trong y học và ảnh hưởng đến sức khỏe cộng đồng đó là bệnh nang sán echinococcosis (cystic echinococcosis) và bệnh ở phế nang hay phổi (alveolar echinococcosis). Động vật ăn cỏ và động vật ăn tạp được xem là vật chủ trung gian truyền bệnh. Nghĩa là những động vật này bị nhiễm khi tiêu hóa trứng ký sinh trùng nhiễm trên mặt đất và phát triển thành ấu trùng ở trong các cơ quan nội tạng. Động vật ăn thịt là vật chủ của ký sinh trùng và bị nhiễm thông qua tiêu thụ các cơ quan nội tạng của vật chủ trung gian mà chúng là ổ chứa ký sinh trùng và cũng thông qua tìm kiếm thức ăn thối nát bị nhiễm. Con người là vật chủ trung gian tình cờ và không có khả năng truyền bệnh.

Hình 4
Bệnh nan sáng Echinococcosis duy trì chủ yếu trong vòng đời lan truyền đó là chó-cừu-chó, nhưng một số loài động vật nuôi khác có thể liên quan như dê, lợn, ngựa, bò, gia súc, lạc đà và bò Tây tạng. Bệnh ở phế nang hay phổi (Alveolar echinococcosis) thường xảy ra ở chu trình động vật hoang dã giữa cáo, các loài động vật ăn thịt khác và động vật có vú nhỏ (chủ yếu là động vật gặm nhắm). Chó và mèo nuôi trong nhà có thể cũng bị nhiễm ký sinh trùng.
Người nhiễm loài ký sinh trùng E. granulosus dẫn đến sự phát triển một hoặc nhiều nang sán nằm chủ yếu ở gan và phổi, và thỉnh thoảng nằm trong xương, thận, lá lách, cơ, hệ thống thầnkinh trung ương và mắt. Giai đoạn ủ bệnh không xuất hiện các triệu chứng có thể kéo dài nhiều năm cho đến khi nang sán phát triển đến một mức độ mà gây ra các triệu chứng lâm sàng. Các dấu hiệu lâm sàng không điển hình gồm chán ăn, sụt cân và suy nhược. Các triệu chứng khác phụ thuộc vào vị trí các nang sán và áp lực tác dụng lên các mô xung quanh. Đau bụng, buồn nôn và nôn thường thấy khi các nang sán xảy ra trong gan. Nếu phổi bị ảnh hưởng, các dấu hiệu lâm sàng bao gồm ho mãn tính, đau ngực và khó thở.

Hình 5
Bệnh ở phế nang hay phổi (Alveolar echinococcosis) đặc trưng bởi thời gian ủ bệnh không có triệu chứng kéo dài từ 5-15 năm và sự phát triển chậm của tổn thương khối u chính thường nằm ở gan. Dấu hiệu lâm sàng bao gồm giảm cân, đau bụng, khó chịu nói chung và dấu hiệu của suy gan. Các khối u do ấu trùng có thể lây lan đến các cơ quan tiếp giáp với gan (ví dụ như lá lách) hoặc các vị trí xa (phổi, não) tiếp theo là sự phổ biến của ký sinh trùng qua máu và hệ bạch huyết. Nếu không điều trị, bệnh ở phế nang hay phổi phát triển và gây tử vong.
Siêu âm là kỹ thuật hình ảnh được lựa chọn cho việc chẩn đoán cả hai hình thức đó là bệnh nang sán Echinococcosis và bệnh ở phế nang hay phổi. Kỹ thuật này thường được bổ sung hoặc xác nhận bởi chụp cắt lớp vi tính (CT-scanner) và/ hoặc chụp hình cộng hưởng từ (Magnetic Resonance Imaging_MRI). Đôi khi, các u nang có thể phát hiện tình cờ bởi chụp x-quang.
Kháng thể đặc hiệu được phát hiện bằng xét nghiệm huyết thanh khác nhau và có thể hỗ trợ chẩn đoán. Sinh thiết và hướng dẫn siêu âm cũng có thể được thực hiện đối với chẩn đoán phân biệt u nang từ các khối u và áp-xe.
Cả hai hình thức bệnh gồm bệnh nang sán Echinococcosis và bệnh ở phế nang hay phổi Echinococcosis điều trị thường tốn kém và phức tạp, đôi khi cần phải phẫu thuật mở rộng và / hoặc điều trị bằng thuốc kéo dài. Bốn lựa chọn hiện có thể để điều trị bệnh sán nang Echinococcosis: Điều trị nang sán chó tiêm dưới da với kỹ thuật PAIR (Puncture, Aspiration, Injection, Reaspiration) hay chọc, hút, tiêm và hút lại, hoặc phẫu thuật, hoặc điều trị bằng thuốc chống nhiễm trùng, cuối cùng là xem xét và chờ đợi.

Hình 6
Lựa chọn điều trị chủ yếu phải dựa trên hình ảnh siêu âm u nang, tiếp theo là cách tiếp cận ở giai đoạn cụ thể và cũng phụ thuộc vào cơ sở hạ tầng y tế và nguồn nhân lực phù hợp. Bệnh ở phổi hay phế nangEchinococcosis, chẩn đoán sớm và phẫu thuật (khối u) triệt để, kế tiếp là dự phòng chống nhiễm bằng thuốc albendazole, đây vẫn là yếu tố chính. Nếu tổn thương có giới hạn, phẫu thuật triệt để là biện pháp để điều trị bệnh. Tuy nhiên, ở nhiều bệnh nhân bệnh được chẩn đoán ở giai đoạn phát triển và phẩu thuật để giảm nhẹ, nếu thực hiện mà không có hoặc có điều trị chống lây nhiễm không đẩy đủ, kết quả là thường xuyên xảy ra tái phát.
Hy vọng các thông tin trên đã giúp bạn hiểu về căn bệnh này.