Tiết canh và căn bệnh viêm màng não do liên cầu lợn (Streptococcus suis)
Tại Việt Nam trong khoảng 10 năm trở lại đây, báo cáo tổng kết tình hình bệnh tật hàng năm tại Bệnh viện bệnh nhiệt đới TP. Hồ Chí Minh cũng cho thấy số trường hợp nhiễm liên cầu lợn Streptoccocus suis (S. suis) ngày càng gia tăng. Từ năm 1996 đến 1998, mỗi năm chỉ ghi nhận 1 - 3 bệnh nhân, năm 1999 đến 2003 trung bình mỗi năm có khoảng 13 trường hợp, riêng năm 2004 tăng lên đến 19 trường hợp bệnh do S. suis. Tính đến tháng 7.2007 tổng số bệnh nhân nhiễm S. suis nhập viện vào BV bệnh nhiệt đới vào khoảng 230 người. Người bị bệnh có thể do tiếp xúc trực tiếp với heo hay thịt heo nhiễm S. suis chưa nấu chín. Bệnh nhân có thể bị viêm màng não mủ, nhiễm trùng huyết, viêm phổi, viêm nội tâm mạc, viêm nội nhãn..., có trường hợp dẫn đến tử vong.
Streptococcus suis (S. suis) là một loại vi khuẩn gram dương, hình hạt đậu và là một tác nhân gây bệnh quan trọng ở lợn. Bệnh có hầu khắp các quốc gia và tùy thuộc vào diện công nghiệp chăn nuôi lợn. S. suis cũng là một bệnh lây truyền từ động vật sang người (zoonotic disease), có khả năng lan truyền từ lợn, người có thể nhiễm S. suis khi họ có cơ hội tiếp xúc với các xác súc vật như lợn và thịt lợn, đặc biệt khi họ có các vết thương hoặc xây sát trên tay tiếp xúc với vi khuẩn này. Nhiễm khuẩn ở người có thể nghiêm trọng, có thể viêm màng não, nhiễm trùng máu, viêm nội tâm mạc và điếc có thể là một hậu quả của nhiễm trùng. Tử vong do nhiễm liên cầu lợn ít gặp, nhưng thường không biết. Penicillin là kháng sinh thường lựa chọn sử dụng điều trị nhiễm trùng liên cầu S. suis; trong trường hợp liên quan đến tim mạch (viêm nội tâm mạc), gentamycine nên được cho để tăng hiệu ứng cộng lực (synergistic effect).
Về phân loại khoa học, Streptococcus suis được xếp loại vào giới: vi khuẩn, ngành: Firmicutes, lớp: Bacilli, bộ: Lactobacillales, họ: Streptococcaceae, giống: Streptococcus, loài: S. suis, tên khoa học hay gọi là Streptococcus suis (Elliot 1966; Kilpper-Bälz và Schleifer., 1987). Bệnh liên cầu khuẩn lợn do Streptococcus suis (S. suis) gây nên, bệnh xảy ra trên lợn là chủ yếu, ở nhiều nơi trên thế giới và gây tổn thất lớn về kinh tế. Bệnh liên cầu lợn có thể lây cho người, vì vậy nó được xếp vào nhóm các bệnh lây truyền từ động vật sang người.
Bệnh gây ra do S. suis xảy ra ở những nơi có nuôi lợn trên khắp thế giới. Lợn con sơ sinh đến 22 tuần tuổi đều có thể bị mắc. Nhiều trường hợp xảy ra sau khi cai sữa liên quan đến yếu tố stress như vận chuyển, xáo trộn đàn, mật độ quá cao, không đủ thông gió. S. suis típ 2 gây ra nhiều ổ dịch viêm màng não lợn con 10–14 ngày sau cai sữa. Gần đây, bệnh hay xảy ra ở lợn sau cai sữa chăn nuôi tập trung với mật độ cao. Vi khuẩn còn phân lập được ở bò, dê, cừu, ngựa khi viêm màng não.
Sự lưu hành vi khuẩn: bằng nhiều phương pháp khác nhau người ta đã xác định được sự lưu hành của vi khuẩn trong đàn lợn như nuôi cấy phát hiện vi khuẩn từ các mô lấy từ lò giết mổ, từ lợn con theo mẹ các lứa tuổi và phản ứng huyết thanh học đối với lợn lớn. S. suis típ 2 được phát hiện ở hầu hết các nước có chăn nuôi lợn.
Một nghiên cứu ở lò mổ lợn của Úc và Newzealand cho thấy ở hạch amidan đã phát hiện thấy 54% số mẫu nhiễm S. suis típ 1 và 73% nhiễm với S. suis típ 2; 3% phát hiện thấy vi khuẩn này trong máu lợn khi giết mổ. Có thể phân lập được vi khuẩn ở nhiều mô khác nhau, trong đó có cả ở đường sinh dục con cái, nhưng không thấy ở con đực. Vi khuẩn có thể phân lập từ âm đạo con nái điều này làm cho con non bị nhiễm trong khi sinh. Nhiễm từ môi trường bên ngoài cũng chiếm tỷ lệ cao. Năm 1990, người ta đã xác định có ít nhất 23 serotype. Ở Canada phân lập được tất cả 23 típ, trong đó típ 2 chiếm tỷ lệ cao nhất với 32%. S. suis típ 2 lưu hành phổ biến ở các nước.
Trong một nghiên cứu điều tra ở Quebec đối với lợn con khoẻ mạnh về lâm sàng 4 – 8 tuần tuổi cho kết quả 94% số lợn phân lập được vi khuẩn và 98% số trại bị nhiễm. Những serotype thường thấy theo thứ tự giảm dần là 3, 4, 8 và 2; có 32% số lợn con phát hiện nhiễm 2 serotype phân biệt, nhiễm 3 serotype là 1%. Serotype 1 và 2 phân lập từ lợn con viêm màng não và viêm phổi hoá mủ. Ở Đan Mạch, serotype 7 phát hiện nhiều hơn các serotype khác, chiếm 75%.
Ở Phần Lan, phân lập từ lợn chết, thấy nhiều nhất là serotype 7 sau đó là 3 và 2, thường phân lập từ lợn viêm phổi. Ở Hà Lan, S. suis típ 2 phân lập phổ biến nhất ở lợn viêm màng não. Xét nghiệm từ hạch amidan lợn ở lò mổ (lợn khoẻ mạnh) ở vùng trước đó có nhiễm liên cầu típ 2 thấy 45% số mẫu dương tính, ở vùng không có bệnh là 38%. Ở Úc, liên cầu lợn típ 9 và típ 2 cho là nguyên nhân gây ra nhiễm trùng huyết và viêm màng não ở lợn cai sữa. Ở Canada, trong số lợn bệnh phát hiện thấy nhiều nhất là S. suis típ 2 sau đó là típ 3, 5 và 7.
Tỷ lệ mắc bệnh có biểu hiện lâm sàng từ 0 đến 15%. Điều tra tại một trại giống trong 2 năm cho thấy tỷ lệ mắc liên cầu típ 2 là 3,8%, tỷ lệ chết là 9,1%. Ở Anh quốc, tỷ lệ mắc bệnh tăng đáng kể trong những năm gần đây.
Vi khuẩn khu trú ở hạch amidan và mũi lợn khoẻ, vi khuẩn từ con khoẻ này truyền cho lợn không bị nhiễm có thể xảy ra trong vòng 5 ngày sau khi nhốt chung. Việc đưa những con nái hậu bị từ đàn nhiễm bệnh có thể gây bệnh cho lợn con theo mẹ và lợn choai ở đàn tiếp nhận. Có thể phát hiện tỷ lệ mang trùng ở lợn các lứa tuổi khác nhau từ 0 đến 80% và cao nhất ở nhóm tuổi sau cai sữa từ 4 đến 10 tuần tuổi. Trong một đàn có thể có tới 80% số lợn nái là con mang trùng không thể hiện triệu chứng bệnh. Những con mang trùng đã cai sữa sẽ truyền vi khuẩn cho những con không bị nhiễm khác khi nhập đàn. Vi khuẩn tồn tại ở hạch amidan lợn mang trùng hơn 1 năm, ngay cả khi có các yếu tố thực bào, kháng thể và bổ sung kháng sinh phù hợp trong thức ăn. Điều này cho thấy vi khuẩn mang tính địa phương ở một số đàn nhưng không thể hiện bệnh lâm sàng. Ruồi nhà có thể mang vi khuẩn ít nhất 5 ngày có thể gây nhiễm vào thức ăn ít nhất 4 ngày.
S. suis típ 2 có thể phân lập được từ các mẫu thu thập ở đàn nhiễm khuẩn tại các lò mổ lợn. Trong một số điều tra ở lò mổ cho thấy tỷ lệ mang trùng từ 32 – 50% lợn từ 4 đến 6 tháng tuổi. Điều này có thể giải thích tỷ lệ mắc viêm màng não cao ở người Hà Lan do S. suis típ 2.
Vi khuẩn này là nguy cơ lớn đối với công nhân giết mổ lợn, đặc biệt là những người xử lý nội tạng, người cắt bỏ thanh quản và phổi. Họ phơi nhiễm cao hơn so với những công nhân giết mổ khác. S. suis típ 2 cũng được phát hiện từ lợn viêm phế quản phổi, như vai trò thứ phát đối với bệnh suyễn, viêm khớp, viêm âm đạo, thai bị sẩy, lợn sơ sinh 1 – 2 ngày tuổi bị chết do nhiễm trùng huyết. Ở Bắc Mỹ, vi khuẩn phát hiện thấy nhiều hơn trong bệnh viêm phổi so với các nước khác.
Yếu tố vật chủ làm cho lợn mắc bệnh lâm sàng còn chưa biết. Người ta cho rằng các chủng Str. suis típ 2 có khác nhau về khả năng gây bệnh, đồng thời sự xuất hiện bệnh phụ thuộc vào sự phơi nhiễm với chủng gây bệnh và những tác nhân bội nhiễm còn chưa xác định. Lứa tuổi mắc cao nhất từ 5 đến 10 tuần tuổi, như vậy có thể các tác nhân stress của cai sữa đã làm cho tính mẫn cảm với bệnh tăng lên.
-Tác nhân môi trường: tỷ lệ mắc bệnh lâm sàng phụ thuộc vào tác nhân môi trường như không đủ thông thoáng, mật độ đàn cao và các stress khác. Việc xáo trộn và vận chuyển lợn cũng hay làm bệnh phát ra. Sự lây lan được truyền trực tiếp từ con mẹ mang trùng cho lợn con, từ lợn con này lại truyền cho lợn con mẫn cảm khác;
-Yếu tố mầm bệnh: hiện được biết có ít nhất 28 serotype S. suis. Vi khuẩn được chia ra thành các nhóm serotype đặc trưng bởi kháng nguyên vỏ bọc polysaccharide. Ở Canada, 94% lợn con 4 -8 tuần tuổi khoẻ mạnh về lâm sàng có chứa vi khuẩn ở xoang mũi. S. suis típ 2 có thể sống trong phân ở nhiệt độ 0oC tới 104 ngày, 10 ngày ở 9oC, 8 ngày ở 22- 25oC; có thể sống ở bụi 25 ngày ở 9oC, nhưng không phân lập được ở bụi nhiệt độ trong phòng (18 - 20oC) trong 24 giờ. Vi khuẩn bị vô hoạt nhanh chóng bằng các thuốc sát trùng dùng phổ biến ở các trại chăn nuôi. Nước xà phòng nồng độ 1/500 có thể diệt vi khuẩn trong vòng 1 phút. Vi khuẩn có thể sống trong xác lợn chết ở 40oC trong 6 tuần, đây có thể là nguồn lây nhiễm cho con người. Có sự khác nhau về khả năng gây bệnh giữa các serotype; ở Anh khả năng gây bệnh của típ 1 và 2 khác nhau, típ 1 gây bệnh ít trầm trọng ở lợn con, trong khi đó típ 2 gây bệnh nặng hơn và gây bệnh cấp tính ở lợn lớn hơn và lợn nuôi vỗ béo. Sự phân biệt giữa các chủng của S. suis típ 2 là về khả năng gây viêm màng não;
-Yếu tố độc lực của vi khuẩn bao gồm cấu trúc các protein hoạt hoá men muramidasa và thành phần mặt ngoài màng tế bào vi khuẩn. Sự phân biệt độc lực giữa các chủng của cùng serotip dựa trên có hay không protein hoạt hoá men muramidase.
Chất liệu vỏ bọc của vi khuẩn tạo ra sự khác biệt giữa các serotip về hình thái học. Một số chủng có đặc tính ngưng kết hồng cầu. Liên cầu típ 2 có yếu tố bám dính phát hiện ở phổi lợn. Kỹ thuật phân tích nhân sử dụng để xác định cấu trúc gen vi khuẩn. Yếu tố độc lực của vi khuẩn S. suis típ 2 được xác định là do protein có trọng lượng phân tử 44 kDa, sự có mặt của kháng thể chống lại protein này có thể bảo vệ con vật chống lại bệnh.
Người nhiễm phổ biến với S. suis típ 2 và thường xảy ra với người tiếp xúc với lợn hoặc sản phẩm tươi sống của chúng. Ở Anh, tỷ lệ nhiễm S. suis típ 2 cao nhất là người bán thịt lợn và công nhân giết mổ lợn, lây truyền chủ yếu qua vết thương xây sát trên da. Biểu hiện lâm sàng ở người bao gồm viêm màng não, nhiễm trùng huyết kèm theo viêm khớp, nội võng mạc và viêm tắc mạch máu. Viêm nội tâm mạc và viêm dạ dày ruột cấp tính cũng có thể xảy ra. Trong số 35 người mắc bệnh viêm màng não do S. suis típ 2 ở Anh cho thấy 50% số bệnh nhân bị điếc, 30% chóng mặt và mất phối hợp, 53% viêm khớp; 13% tử vong.
Vi khuẩn ở trong đại thực bào xâm nhập vào dịch não tuỷ, theo cơ chế “nội công” (ý nói vi khuẩn ở trong đại thực bào mới vào được dịch não tuỷ). Điếc là do vi khuẩn xâm nhập từ bề mặt dưới lưới nhện vào phần dịch ở chỗ phân cách màng và xương búa của tai trong. Lợn nhiễm khuẩn không thể hiện lâm sàng đưa vào lò giết mổ là nguồn lây nhiễm tiềm tàng cho công nhân giết mổ; những người xử lý nội tạng, cắt bỏ phổi và thanh quản có nguy cơ cao hơn so với công nhân giết mổ khác. Trong các đàn lợn nhiễm bệnh ở Newzealand, tới 100% lợn mang trùng, việc lây nhiễm S. suis típ 2 có thể là một trong những vi khuẩn lây bệnh cho người cao nhất ở Niu-di-lân, mặc dù rất ít khi gây bệnh có biểu hiện lâm sàng. Tỷ lệ nhiễm không thể hiện lâm sàng, nhưng có phát hiện kháng thể hàng năm ở công nhân chăn nuôi lợn khoảng 28% ở Niu-di-lân.
Vi khuẩn khu trú ở các hốc của hạch amidan, sau đó xâm nhập vào hệ tuần hoàn gây ra bệnh ở một số lợn. Lợn con thường bị chết do nhiễm trùng máu cấp tính, lợn lớn hơn vi khuẩn có thể khu trú ở các xoang hoạt dịch, nội tâm mạc, mắt, màng não. Thời gian nhiễm khuẩn huyết là pha quan trọng trong quá trình phát sinh viêm màng não do S. suis típ 2. Những mẫu vi khuẩn S. suis típ 2 gây bệnh phân lập được là loại có vỏ bọc và đề kháng khá cao với thực bào. Chúng có thể sống và nhân lên trong đại thực bào, vi khuẩn có thể xâm nhập vào dịch não tuỷ thông qua bạch cầu đơn nhân di chuyển qua lưới mao mạch. Cơ chế xâm nhập của vi khuẩn theo cách “nội công” cũng xảy ra ở một số virus gây bệnh ở hệ thần thần kinh trung ương. Bệnh có thể gây thực nghiệm ở lợn bằng cách tiêm ven, nhỏ mũi.
Những ngày qua, Bệnh viện Bệnh nhiệt đới T.Ư (Hà Nội) liên tục tiếp nhận các ca viêm màng não mủ, nhiễm khuẩn huyết do nhiễm vi khuẩn từ lợn, nhiều ca bệnh nặng, thậm chí tử vong. Sáng 21.2, tại Khoa Cấp cứu, Bệnh viện Bệnh nhiệt đới T.Ư (Hà Nội) đang điều trị một bệnh nhân nam 46 tuổi, ở Bình Lục, Hà Nam. Bệnh nhân thường xuyên uống rượu với lòng lợn, tiết canh. Hai ngày trước khi phát bệnh, bệnh nhân này có dùng bữa với món tiết canh khoái khẩu.
Bác sĩ (BS) Trung Cấp, Phó trưởng khoa Cấp cứu, cho biết: “Bệnh nhân sốt cao, vật vã, ý thức lơ mơ rồi hôn mê. Các xét nghiệm cho thấy trường hợp này bị viêm màng não mủ do nhiễm liên cầu lợn (LCL)”. Theo BS Cấp, ngoài thể viêm màng não, LCL còn gây nhiễm trùng huyết, là bệnh gây tử vong cao. Mới đây, 2 ca bệnh nhiễm LCL nặng tử vong đều bị nhiễm trùng huyết. Hai bệnh nhân này ở Nam Định nhập viện sau khi ăn tiết canh lợn. Mặc dù vào điều trị sớm khi có biểu hiện ban đầu là sốt cao, nhưng hai ca này có bệnh diễn biến rất nhanh, suy nhiều tạng: gan, thận, phổi, rối loạn đông máu nên không qua khỏi.
Tại Khoa Nhiễm khuẩn tổng hợp, bệnh nhân Lê Văn N., 47 tuổi ở Thanh Hóa, nhập viện từ ngày 11.2, đang điều trị do nhiễm trùng huyết vì LCL; các mảng da màu tím thẫm phủ kín ống chân, bàn chân, cánh tay. Người nhà ông N. cho biết ngày cận tết, ông N. có tham gia giết mổ lợn và đến sáng mùng 1 tết thì sốt rất cao, rét run nên gia đình đưa vào bệnh viện huyện. Lúc này ông N. bắt đầu nổi ban đỏ thẫm ở chân, bệnh viện nghi sốt xuất huyết nên chuyển ông N. lên Bệnh viện tỉnh Thanh Hóa, sau đó tiếp tục chuyển lên Bệnh viện Bệnh nhiệt đới T.Ư. “Chỗ chúng tôi không hề biết gì về bệnh lây từ lợn, không biết có phải nhiễm bệnh do tiết canh lợn”, người nhà ông N. nói.
Biểu hiện ban đầu của nhiễm trùng huyết do LCL là sốt cao, nổi các ban ngoài da từ đỏ đến thâm tím, từng mảng lớn, có hoại tử bong tróc từng đám da trên cơ thể. Nhiễm trùng huyết gây tắc mạch máu, chết mạch máu nuôi dưỡng khiến hoại tử các đầu ngón chân, tay, có trường hợp phải cắt bỏ chi do hoại tử. “50% bệnh nhân nhiễm LCL cho biết có ăn tiết canh lợn, ngoài ra, nhiều người liên quan đến giết mổ, chế biến thịt lợn”, BS Cấp cho biết.
Theo BS Hồng Hà, Phó giám đốc Bệnh viện Bệnh nhiệt đới T.Ư: “Với các ban ngoài da, nhiều bệnh nhân bị chẩn đoán nhầm là sốt xuất huyết. Chẩn đoán nhầm có thể làm chậm quá trình điều trị hoặc không đúng phác đồ”. Theo Cục Y tế dự phòng (Bộ Y tế), liên cầu lợn (vi khuẩn Streptoccocus suis - S. suis) cư trú trong hầu, họng, mũi lợn, có thể gây bệnh cho lợn khi vật chủ bị suy giảm sức đề kháng. Ngay cả khi lợn khỏe mạnh, nó vẫn có thể mang mầm bệnh khiến người tiếp xúc với lợn có thể nhiễm phải vi khuẩn này. Bệnh lây qua đường hô hấp, qua các chất bài tiết, máu của lợn có vi khuẩn. Cần mang bảo hộ khi giết mổ; rửa tay sạch bằng xà phòng sau khi chế biến, giết mổ. Đặc biệt lưu ý giữ vệ sinh các vết trầy xước trên da vì đó là “cánh cửa” để vi khuẩn liên cầu lợn dễ dàng xâm nhập
Các BS cảnh báo các địa phương cần chấn chỉnh về an toàn thực phẩm. Ngay từ 2 tuần trước tết, số ca nhập viện do LCL tăng cao, liên quan đến mật độ giết lợn, ăn tiết canh để “giải đen” cuối năm tăng lên. Trong các ngày nghỉ tết và ngay sau tết vẫn có bệnh nhân, vì lúc này nhiều người lại ăn tiết canh lợn đầu năm để lấy vận “đỏ”.
Theo Bệnh viện Bệnh nhiệt đới T.Ư, chỉ trong vòng hơn 1 tháng qua liên tục 12 ca nhập viện điều trị các bệnh do nhiễm LCL. Các bệnh nhân từ Hà Nội, Nam Định, Thanh Hóa, Hà Nam, trong đó 2 ca tử vong. So với các tháng trước đó, số bệnh nhân tăng rất cao khá dồn dập, liên quan trực tiếp đến giết mổ, chế biến thịt lợn và đặc biệt là ăn tiết canh lợn.
Ở Việt Nam thường có thói quen dùng các món tiết canh chế biến từ máu sống lấy từ các loại động vật như: gà, vịt, lợn, bò, thậm chí uống máu sống lấy từ rắn. Chuyên gia về vệ sinh an toàn thực phẩm, BS Trần Văn Ký (Hội Khoa học kỹ thuật an toàn thực phẩm Việt Nam) nói: “Các nước phương Tây không bao giờ dùng món tiết canh; ngay cả bộ đồ lòng, nội tạng của các con vật (như lòng gà, mề gà...) cũng là đồ thải đối với họ. Tiết canh bản chất là máu sống mang rất nhiều mầm bệnh, nhất là máu của các con vật: lợn, gà, vịt... đang bị nhiễm bệnh. Nếu lợn đang mắc bệnh thì nguồn máu của nó sẽ chứa vi trùng, vi khuẩn gây bệnh.
Do vậy, người dùng tiết canh từ con vật này sẽ có nguy cơ nhiễm các bệnh như LCL, hay nhiễm giun sán, bệnh đường tiêu hóa, viêm não mô cầu...”. Gà, vịt đang nhiễm bệnh, thường gặp nhất là bệnh cúm, thì người dùng tiết canh của chúng sẽ có nguy cơ cao mắc bệnh cúm A/H5N1, H1N1. “Chưa nói, thời gian qua liên tục phát hiện nhiều vụ heo bệnh, gà bệnh, hay chưa qua kiểm soát giết mổ được giết mổ, vận chuyển trái phép; ngoài ra tình trạng giết mổ gia súc, gia cầm trong điều kiện không đảm bảo vệ sinh diễn ra rất nhiều, nên việc dùng tiết canh heo, gà, vịt là có nguy cơ rất cao nhiễm bệnh, ảnh hưởng đến sức khỏe”, BS Ký nói.
Ông Lâm Quốc Hùng, Trưởng phòng Giám sát ngộ độc, Cục An toàn thực phẩm, nhấn mạnh: “Tuyệt đối không ăn tiết canh, nem chua, thịt chưa nấu chín vì có thể nhiễm liên cầu lợn, dễ mắc bệnh viêm màng não mủ. Hiện vẫn còn tình trạng bán hoặc chế biến món ăn này tại gia đình. Các địa phương cần đẩy mạnh truyền thông để người dân nói không với các món chứa mầm bệnh nguy hiểm”.
Trong các năm qua, số lượng ca mắc bệnh do LCL ở người thường có xu hướng tăng cao vào thời điểm xảy ra dịch bệnh tai xanh trên đàn lợn. Nguyên nhân do khi lợn nhiễm vi rút gây bệnh tai xanh, hệ miễn dịch suy yếu khiến vi khuẩn phát triển mạnh lên, nguồn lây nhiễm sang người dễ dàng hơn. Bệnh viện Bệnh nhiệt đới T.Ư đã tiếp nhận các ca nhiễm LCL ở những người vừa tham gia giết mổ lợn ốm. Hiện tại, LCL chưa lây trực tiếp từ người sang người. Thời tiết nắng nóng cũng là thời điểm có xu hướng gia tăng các ca mắc LCL. Đây được cho là thời điểm thuận lợi cho LCL phát triển, nguy cơ lây lan mạnh hơn. |
Bệnh ấu trùng sán lợn, một bệnh do ký sinh trùng ở người có liên quan đến tiết canh
Bệnh ATSL là một bệnh ký sinh trùng hay gặp trên thế giới, với ước tính tỷ lệ mắc trên 50 triệu 50 triệu người nhiễm. Tại vùng lưu hành bệnh ở Mexico, Trung và Nam Mỹ, một vài nơi châu Phi, châu Á, Ấn Độ. Bệnh ATSL ở thần kinh, có đặc điểm lâm sàng biểu hiện một bệnh lý ATSL, tỷ lệ nhiễm ở não cao nhất trong số đó trên toàn cầu với hơn 1.000 ca mắc mới mỗi năm được chẩn đoán tại Mỹ. ATSL thể thần kinh là một trong những nguyên nhân gây tử vong hàng đầu trên người lớn có biểu hiện ban đầu là động kinh. Và cũng chính thể bệnh này chiếm 10% trong số các bệnh nhân khởi bệnh động kinh ở Los Angeles, California,…nhập viện khoa cấp cứu.
Ấu trùng sán lợn hay nhiễm sán dây lợn hiện đang gia tăng và là vấn đề y tếquan tâm tại Mỹ, đặc biệt ở khu vực tây nam và một số vùng khác có sự di cư nhiều của người dân đến các vùng lưu hành bệnh hoặc quần thể dân du lịch đến các vùng lưu hành bệnh nghiêm trọng. Giai đoạn ấu trùng của sán dây lợn Taenia solium, gây ra các biểu hiện lâm sàng của bệnh ấu trùng sán lợn (ATSL), với người là vật chủ cuối cùng của nhiễm trứng T. solium. Hình ảnh các triệu chứng lâm sàng thay đổi tùy thuộc vào vị trí của ấu trùng đóng chỗ, gánh nặng của ấu trùng hay mật độ ấu trùng và phản ứng của vật chủ. Các ảnh hưởng gồm có cơn động kinh, co giật, nhức đầu, các dấu hiệu thần kinh khu trú, nhìn mờ, các nốt tân tạo của nang liên quan đến hệ cơ xương và đau. ATSL nên được cân nhắc và nghĩ đến trên bất kỳ một bệnh nhân nào từ vùng lưu hành bệnh có biểu hiện các triệu chứng.
Điều trị tùy thuộc vào tình trạng lâm sàng, ATSL thần kinh trong nhu mô nói chung được điều trị bằng thuốc Albendazole với steroids để giảm phù nề nhu mô não và thuốc chống động kinh để chống cơn giật. Các hình ảnh bệnh ký ATSL ở mắt và ngoài mắt nói chung phải điều trị can thiệp phẩu thuật. Các nang kén ở hệ cơ xương phẩu thuật loại bỏ chỉ khi nào có dấu hiệu đau. Bởi vì các nang có thể nằm trong nhiều vị trí khác nhau, nên tất cả bệnh nhân bị ATSL nên khám mắt để loại trừ thể liên quan đến mắt và tất cả bệnh nhân có ATSL thể thần kinh nên chụp cộng hưởng từ và cắt lớp não bộ để loại trừ các nguyên nhân khác và phân biệt với neurocysticercosis.
Chu kỳ của bệnh ATSL do sán dây lợn Taenia solium, bắt đầu là giai đoạn ấu trùng trong heo. Nhiễm sán dây ở người xảy ra khi các nang T. solium được tiêu hóa vào trong cơ thể do nấu chưa chín thịt heo. Các ấu trùng dính vào ruột và trưởng thành sán. Rồi kế đến sán trưởng thành đẻ ra các proglottids (đốt sán chứa nhiều trứng sán) ra theo phân và có thể nhiễm vào trong các thực phẩm từ thịt heo cung cấp hàng ngày. Các trứng bị tiêu hóa bởi heo phát triển thành giai đoạn ấu trùng, chu du khắp thành ruột, đi vào dòng máu, định vị tại nhiều mô khác nhau của heo và phát triển thành các nang.
Khi người tiêu hóa (nuốt phải) trứng, qua con đường lan truyền phân miệng hoặc khả năng thông qua con đường tự nhiễm, họ trở nên là vật chủ cuối cùng của giai đoạn ấu trùng của ký sinh trùng này và phát triển thành bệnh ATSL tương tự như ở heo. Lây truyền qua đường phân miệng thường xảy ra thông qua thức ăn nhiễm bẩn trên bàn tay người - họ không rửa tay trước khi ăn. Hoặc các loại trái cây hoặc rau quả được tưới bởi phân người nhiễm bệnh.
Chu trình tự nhiễm liên quan đến nhiễm trùng ngược dòng của các đốt sán từ ruột non đến dạ dày và ly giải các trứng của sán dây T. solium bên trong ruột người. Tiêu hóa hoặc ăn phải các thịt heo bị đóng kén nang ấu trùng sẽ không trực tiếp gây ra bệnh ấu trùng sán lợn. Nói đúng hơn, nó sinh ra quá trình nhiễm ở ruột với các sán dây trưởng thành và tình trạng mang mầm bệnh đối với trứng T. solium, khi người tiêu hóa phải sinh ra các triệu chứng lâm sàng của bệnh ấu trùng sán lợn. Thậm chí, ngay cả khi người đó không ăn thịt heo (chẳng hạn rau) có thể phát triển thành bệnh ấu trùng sán lợn.
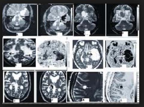
Đặc điểm lâm sàng của bệnh ATSL biểu hiện tùy thuộc vào vị trí nang sán và toàn bộ số lượng sán ký sinh. Các sán có thể ẩn cư đóng dính trong não vào trong tủy sống, trong mắt, trong cơ xương và các mô dưới da. Các vị trí đóng dính nang sán tại não và mắt gây nên hầu hết các ca tử vong (não) và đưa ra tỷ lệ mắc bệnh nhiều nhất. Não cũng là vị trí hay gặp nhất của các nang ATSL (60 - 90% trong tổng số các ca) và mắt chiếm tỷ lệ ít nhất (1 - 3%). Tổng số nang sán có thể sắp xếp từ dạng tổn thương đơn lẻ đến vài trăm nang sán. Phản ứng đầu tiên của vật chủ thường được tránh qua suốt quá trình ấu trùng đóng kén - một tiến trình bao gồm cơ chế tự bảo vệ của ấu trùng cũng như sự phá hủy kén từ vật chủ. Giai đoạn này có thể kéo dài nhiều năm và thường các triệu chứng lâm sàng diễn biến im lặng, trừ khi vị trí của nang sán cũng như kích thước nang gây nên các triệu chứng và hội chứng.
Hầu hết các nang sán không thể tồn tại một cách hạn định và khi có sự phá hủy các nang sán sẽ ly giải ra các kháng nguyên ấu trùng và sinh ra một loạt các đáp ứng mạnh từ vật chủ và gây nên các hội chứng lâm sàng thông qua các chất trung gian gây viêm và tổn thương phù nề xung quanh. Sau giai đoạn viêm cấp, các ấu trùng đóng kén nói chung sẽ bị chết, hoàn thành pha phá hủy (degeneration phase) và thường chuyển dạng calci hóa các kén này. Các kén sán bị calci hóa có thể sinh ra các triệu chứng tiếp sau đó hoặc chết đi.
ATSL thần kinh thể trong nhu mô (neurocysticercosis), nhiễm trùng trong nhu mô não, là một nguyên nhân thường gây động kinh cục bộ hoặc động kinh toàn thể, nhưng hiếm khi có bieur hiện nhức đầu, run giật giống như parkinson (parkinsonism), hoặc các dấu bất thường thần kinh khác. Nếu lượng nang sán hoặc gánh nặng nhiễm ATSL nhiều trong mô thần kinh có thể gây nên các biểu hiện bệnh lý não với sốt, đau đầu, buồn nôn, nôn mửa, thay đổi tri giác, động kinh.
Các nang sán cũng có thể xảy ra khi nằm trong khoang não thất hoặc vùng dưới nhện, đôi khi chúng phát triển đủ lớn để hình thành nên các dấu chứng thần kinh, dấu màng não, não úng thủy, hoặc liệt các dây thần kinh sọ não - khiến cho thầy thuốc lâm sàng nhầm lẫn với các bệnh lý thần kinh khác (entrapment). Hiếm gặp hơn, các nang sán định vị trong cột tủy sống có thể gây ra triệu chứng đau rễ thần kinh hoặc dị cảm khó thể phân biệt với các bệnh lý tủy sống khác.
ATSL cũng có thể xảy ra tại các vị trí cách xa so với hệ thần kinh trung ương. Các đặc điểm lâm sàng tại mắt có thể tìm thấy trong khoang dưới võng mạc (subretinal space) hoặc thủy tinh thể và có thể đe dọa đến tầm nhìn hay thị lực do quá trình viêm hoặc các nang phá hủy, thoái hóa hoặc có thể dẫn đến bong võng mạc. Các nang kén cũng có thể dính và ký sinh trong cơ ngoài mắt. sinh ra chuyển động mắt bị giới hạn và có thể biểu hiện giống như liệt dây thần kinh sọ não. ATSL thể ở cơ xương hoặc mô dưới da có thể gây ra đau tại chỗ và các nốt kén đóng.
Việc chẩn đoán bệnh ATSL trong các vùng không lưu hành bệnh đòi hỏi có các chỉ số nghi ngờ caqo về khía cạnh lâm sàng. Bệnh nhân có tiền sử đi du lịch đến các vùng lưu hành bệnh cũng cần nghi ngờ, nhưng thời gian chính xác không thể giúp gì được vì xu hướng bệnh T. solium có thể kéo dài nhiều năm và giai đoạn lâm sàng có thể tiềm tàng khác nhau. Các tiêu chuẩn đặc biệt đã được các chuyên gia đề nghị đưa ra để chẩn đoán bệnh ấu trùng sán lợn.
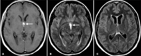
Sau khi thăm khám và điều tra bệnh sử, chụp cắt lớp vi tính có hoặc không có bơm thuốc cản quang đường tĩnh mạch là bước đầu tiên trong chẩn đoán các ca bệnh nghi ngờ ATSL thần kinh. CT não có hoặc không có thuốc cản quan sẽ cho thấy hình ảnh các tổn thương điển hình của ATSL đường kính nhỏ hơn 20mm và không có hình ảnh phản đứng giữa là hình ảnh gợi ý cao cho thể ATTSL thần kinh. Phần scolex, hoặc phần giác hút của ấu trùng cũng có thể nhìn thấy; đây là đặc trưng bệnh của ATSL thể thần kinh.
Số lượng, kích thước và vị trí có nang xuất hiện cũng như giai đoạn chu kỳ của nang sán, có thể xác định và có thể tác động đến việc quyết định điều trị. Các nang là các hình ảnh tổng thương dạng điểm có thể phát triển và tồn tại được, nang không bị thoái hóa. Các tổn thương dạng nang chỉ ra biến tính hoặc thoái hóa có một vài phản ứng viêm bao quanh. Cuối cùng, các nang hình thành calci hóa là một bằng chứng các nang đã tồn tại lâu có thể đã chết. Chăm sóc phải được tiến hành khi có thể còn nghĩ đến nhiều nguyên nhân khác (lao, bệnh ký sinh trùng khác, di căn từ nơi khác đến, hoặc ung thư nguyên phát của não hoặc hình ảnh abces não) khi một tổn thương tìm thấy trên phim chụp cắt lớp.
Hình ảnh trên phim chụp cộng hưởng từ cũng là công cụ hữu ích để chẩn đoán ATSL thể thần kinh và có thể tốt hơn cả chụp cắt lớp CT để phát hiện các thương tổn trong não tủy, trong cuống não, trong não thất. Việc áp dụng nó nên cân nhắc khi CT-scanner không chẩn đoán ra. CT và siêu âm là rất nhạy để phát hiện các tổn thương ATSL tại mắt và hệ cơ xương.
Huyết thanh chẩn đoán hiện đang sẵn có trên thị trường để phát hiện các kháng thể của ấu trùng sán lợn qua kỹ thuật ELISA hoặc immunoblot với mẫu bệnh phẩm là huyết thanh hoặc dịch não tủy; các xét nghiệm này có độ nhạy 65 - 98% và độ đặc hiệu đến 67 - 100%, lệ thuộc vào đặc hiệu của test sử dụng, gánh nặng của nang sán, vị trí của sán ký sinh và giai đoạn nhiễm bệnh. Khi có sẵn, các thử nghiệm immunoblot liên kết enzyme (enzyme-linked immunoblot assay) trong mẫu huyết thanh có độ nhạy và độ đặc hiệu cao nhất và tiêu chuẩn chẩn đoán chính lệ thuộc vào lựa chọn test. ELISA với bệnh phẩm dịch não tủy ít đặc hiệu và ít nhạy hơn nhưng vẫn hội đủ tiêu chuẩn chẩn đoán. Các kháng thể có thể tồn tại sau khi nang chết, do vậy, xét nghiệm huyết thanh cũng nên luôn luôn cân nhắc cùng với các triệu chứng lâm sàng và chẩn đoán hình ảnh trong nhận định bệnh.
Sinh thiết não, da, hoặc cơ đưa ra các chẩn đoán xác định trong một bối cảnh hình ảnh lâm sàng có thể mơ hồ và tiến thoái lưỡng nan và có thể phương pháp chẩn đoán lựa chọn cho cơ mắt, hoặc đau cơ hoặc các nang dưới da. Sinh thiết các tổn thương ở xa so với hệ thần kinh trung ương cung cấp thêm các bằng chứng về bệnh ấu trùng sán lợn hệ thần kinh khi hình ảnh ở não không được chẩn đoán và sinh thiết não không thể thực hiện thoải mái và khả thi. Các xét nghiệm liên quan đến mắt sẽ rất nhạy để phát hiện các nang sán đóng kén trong mắt và rất cần thiết để chẩn đoán bất kỳ bệnh nhân nào nhằm loại trừ các vấn đề liên quan đến mắt. Tương tự như vậy, Chẩn đoán bất kỳ bệnh ATSL không phải thể thần kinh, chẳng hạn như thể cơ, da,…thì cần đến điều tra bệnh sử, khám thực thể, chẩn đoán hình ảnh sẽ giúp loại trừ nguyên nhân và thể tại mắt.
Chẩn đoán bệnh ATSL không phải một cách tự ý luôn luôn áp dụng liệu trình điều trị theo một phác đồ kinh điển, đơn giản. Các quy trình đưa ra quyết định điều trị có thể phức tạp, lựa chọn điều trị gồm có thuốc phẩu thuật hoặc thận trọng xử trí.
Quyết định điều trị phải hội đủ nhiều yếu tố, bao gồm các hội chứng và vị trí, số lượng, giai đoạn, kích thước nang sán. Bàn luận về việc lựa chọn hướng điều trị là rất khó bởi vì số cảnh báo cần cân nhắc và vì các khuyến cáo của các chuyên gia là các khuyến cáo dựa trên y học chứng cứ nên khó loại trừ với các viễn cảnh lâm sàng thuyết phục (chẳng hạn, các nang sán ở hệ thần kinh ở dạng đơn hoặc nhiều nang cùng lúc). Việc đưa ra lòi tham vấn dưới ý kiến chuyên gia cũng nên đảm bảo, đặc biệt các bệnh lý tổn thương dưới nhện hoặc trong não thất và nhiễm một lúc nhiều khối (50 nang sán hoặc hơn).
Điều trị ATSL ở mô mềm hoặc ở cơ tùy thuộc vào vị trí các nang sán. Các nang sán ở hệ cơ xương hoặc dưới da nằm riêng rẻ không đòi hỏi điều trị đặc hiệu trừ khi bị đau, rồi chỉ cần rạch vết nhỏ đơn giản có thể lấy nang sán. Một loạt ca bệnh cho thấy rằng thuốc điều trị ký sinh trùng loại Albendazole (Albenza) hoặc Praziquantel (Biltricide), nói chung khi phối hợp với steroids, hiệu quả trong điều trị các thể bệnh liên quan đến cơ ở mắt. Tuy nhiên, các phẩu tích cũng là một lựa chọn và luôn luôn tư vấn của chuyên khoa mắt để bảo đảm cho điều trị.
Phẩu thuật loại bỏ các nang sán là một lựa chọn cân nhắc điều trịđối với các thể nang sán nội nhãn cầu, mặc dù bằng chứng chủ yếu đến từ các ca bệnh và một loạt ca bệnh minh họa tính ưu việt trong phẩu thuật hơn là dùng thuốc kháng ký sinh trùng. Người ta cũng đã đề nghị rằng thuốc điều trị giun sán nên tránh vì phản ứng viêm có thể dẫn đến và đe dọa đến thị lực. Điều trị các thể ATSL hệ thần kinh dưới nhện và trong não thất có phần phức tạp và rủi ro. Một thử nghiệm gần đây cho thấy rằng liều cao thuốc Albendazole (30 mg/ kg/ngày) tăng khả năng làm sạch nang sán trong vùng dưới nhện và trong não thất so với phác đồ liều thông thường (15 mg/kg.ngày).
Các nang sán nằm trong não thất nói chung phải loại bỏ, nhưng một số ca nhỏ mô tả việc sử dụng Albendazole + steroids là một liệu pháp thành công thay thế cho việc phẩu thuật. Nguy cơ viêm nhiễm gây ra bởi quá trình điều trị và sẽ góp phần vào tỷ lệ mắc bệnh, nên phải thăm khám và nhận tư vấn về thần kinh cùng các bệnh nhiễm trùng cẩn thận trước khi bắt đầu điều trị. Không quan tâm đến lựa chọn điều trị, một chỉ định shunt đặt nối não thất với khoang phúc mạc nên đặt cho tất cả bệnh nhân có bằng chứng cho thấy não úng thủy do tắc nghẽn của nang sán.
Điều trị bệnh ấu trùng sán lợn thể thần kinh trong nhu mô não là có thể một viễn cảnh nghiên cứu lâm sàng tốt trong số các thể ATSL, nhưng điều trị này vẫn còn nhiều tranh luận vì tính đa dạng trong phổ bệnh, vì trong quá trình điều tra bệnh sử không phải lúc nào cũng bắt gặp các hiện tượng phân hủy, thoias hóa nang sán một cách tự phát và toàn bộ chất lượng của nghiên cứu điều trị rất nghèo nàn. Kết quả các nghiên cứu liên quan đến ATSL thể thần kinh trong nhu môvẫn còn tồn tại mâu thuẫn trái ngược nhau. Tuy nhiên, một nghiên cứu đánh giá sóng sót dạng meta-analysis từ các nghiên cứu có chất lượng cao nhất chỉ ra các cơn co giật giảm và việc giải quyết các thương tổn tăng với các tổn thương có hình ảnh “nonenhancing” và “enhancing” trong nhu mô não với liệu pháp thuốc điều trị nang sán.
Nếu dùng liệu pháp điều trị ký sinh trùng trong thể ATSL nhu mô thần kinh trung ương, liệu trình 7 ngày Albendazole dường như hiệu quả tương đương với liệu trình 14 hoặc 28 ngày và có khả năng hiệu quả hơn thuốc Praziquantel. Nhiễm với hơn một vài thương tổn có thể đòi hỏi liệu trình thuốc chống ký sinh trùng dài ngày hơn. Nhiễm trùng hàng loạt nói chung không điều trị bằng thuốc giun sán vì nguy cơ một đáp ứng viêm tràn ngậpdẫn đến hiệu ứng ngược từ hậu quả thuốc phát hủy hàng loạt nang sán. Cần thận trọng cần thiết chỉ định thuốc với các trường hợp nang sán đã can xi hóa vì chúng đã chết rồi.
Các thuốc chống chống cơn giật hoặc động kinh với liều chuẩn, thường dùng là phenytoin (Dilantin) và carbamazepine (Tegretol), cũng là khâu chìa khóa trong khống chế triệu chứng. Thời gian sử dụng chưa được xác định chính xác, nhưng các thuốc chống động kinh nên tiếp tục ít nhất 1 năm và rồi giảm liều thấp tùy thuộc hoặc cho liều tùy theo triệu chứng. Một số bệnh nhân đòi hỏi dùng dài ngày với thuốc chống động kinh.
Các nghiên cứu tiếp theo đòi hỏi làm rõ chế độ điều trị hoặc phác đồ điều trị chuẩn hóa và tối ưu đối với bệnh ấu trùng sán lợn, ngay cả khi các ca bệnh trình bày một cách rõ ràng và điển hình nhất. Chiến lược tương lai có thể tập trung vào phòng ngừa và làm thế nào khỏi lan rộng bệnh sán dây do T. solium. Một báo cáo từ nhóm làm việc Trung tâm Phòng chống bệnh tật về bệnh do ký sinh trùng phân loại rõ ràng bệnh ấu trùng sán lợn như một bệnh có thể tiềm năng loại trừ được. Các nỗ lực có thể bao gồm làm giảm người mang mầm bệnh sán dây lợn và do đó làm giảm đẻ trứng sán dây thông qua việc thanh tra kỹ các chế phẩm từ thịt heo, loại trừ phơi nhiễm heo với phân người. Triển khai và phát triển vaccine ngừa T. solium. Các nghiên cứu gần đây đã chỉ ra tính thiết thực tiềm năng của các loại vaccine khác nhau dùng cho heo, nhưng việc áp dụng rộng rãi chưa thực hiện.