Giun đũa chó (Toxocara canis), giun đũa mèo (Toxocara cati) ký sinh ở chó và mèo. Nếu nuôi chó, mèo thả rong, chúng phóng uế phân bừa bãi vào môi trường sống làm cho môi trường sinh hoạt bị nhiễm bẩn. Con người là đối tượng có nguy cơ bị ấu trùng giun đũa chó và giun đũa mèo xâm nhập vào cơ thể để gây bệnh với hiện tượng lạc chủ của ký sinh trùng từ chó, mèo sang người. Trong tháng 7/2008, Bệnh viện Trường Đại học Y Dược Huế đã phát hiện một bệnh nhân bị bệnh ấu trùng giun đũa chó lạc chủ sang người và được điều trị thành công bằng phương pháp nội khoa. Xin được cung cấp thông tin cần thiết này đến những người có sự quan tâm đến lĩnh vực ký sinh trùng để phòng, chống bệnh.
Phát hiện bệnh
Ngày 4/7/2008, Bệnh viện Trường Đại học Y Dược Huế tiếp nhận bệnh nhân Đ.Q.T., nam 18 tuổi, quê ở Ninh Xá, Bắc Ninh. Qua thăm khám lâm sàng ghi nhận bệnh nhân có thể trạng bình thường nhưng với triệu chứng bị nhức đầu nhiều, mắt mờ, song thị, sụp mí mắt bên trái, liệt nhẹ nửa người bên phải.
|  |
Bệnh nhân Đ.Q.T. 18 tuổi trước điều trị | Bệnh nhân Đ.Q.T sau điều trị |
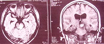
Trước đó bệnh nhân đã đến khám bệnh ở một số cơ sở y tế tại Hà Nội về lâm sàng, làm một số xét nghiệm cận lâm sàng và thực hiện một số kỹ thuật chẩn đoán cần thiết như chụp cắt lớp vi tính sọ não, chụp cộng hưởng từ sọ não. Kết quả cho thấy có khối u kích thước 30,2 x 20,4 mm, khối u choán chỗ vùng hạ đồi và não thất bên phía trái (không xác định được bản chất) chèn ép cống trung não, gây não úng thủy. Bệnh nhân được chuyển đến Trung tâm điều trị Phẩu thuật dao Gamma thuộc Bệnh viện Trường Đại học Y Dược Huế để điều trị.
Sau khi nhập viện, bệnh nhân được các bác sĩ ở Trung tâm Phẩu thuật dao Gamma và bác sĩ chuyên khoa ký sinh trùng hội chẩn. Nghiên cứu kỹ về yếu tố dịch tễ, các hình ảnh chụp cộng hưởng từ ở não, các dấu hiệu lâm sàng như lác mắt, song thị, liệt nhẹ nửa người bên phải ... Trong trường hợp này, ý kiến hội chẩn không loại trừ các bệnh ký sinh trùng hiếm gặp từ động vật nuôi lạc chủ sang người và đã cho bệnh nhân thực hiện một số xét nghiệm cần thiết như công thức máu, khám mắt, xét nghiệm ký sinh trùng ở phân, kỹ thuật Elisa huyết thanh để chẩn đoán ký sinh trùng, chụp cộng hưởng từ sọ não ... để có hướng chẩn đoán và điều trị. Kết quả ghi nhận trong công thức máu, bạch cầu lympho tăng 27%; khám mắt với thị lực mắt trái 5/10, 3/10 và mắt phải 8/10, 4/10; song thị khi nhìn sang trái. Đặc biệt với kỹ thuật Elisa huyết thanh chẩn đoán ký sinh trùng ghi nhận kết quả Toxocara canis (giun đũa chó) dương tính nồng độ 1/600. Chụp cộng hưởng từ sọ não cho thấy có khối u 1 x 1,5 x 1,5 cm ở thân não. Căn cứ vào các cơ sở dữ liệu đã thực hiện, hội chẩn thống nhất điều trị theo hướng nhiễm ký sinh trùng, không can thiệp điều trị hở bằng phẩu thuật, chưa có chỉ định điều trị bằng phẩu thuật dao Gamma.
Điều trị bệnh
Bệnh nhân được điều trị bằng phương pháp nội khoa với thuốc đặc hiệu chống ký sinh trùng là Albendazole 500mg/ngày trong 21 ngày phối hợp với Prednisolone, MgB6, Stugeron, Vitamin C liều cao theo chỉ định. Liệu trình điều trị được thực hiện 2 đợt, mỗi đợt 21 ngày, cách nhau 1 tuần. Sau 2 đợt điều trị, bệnh nhân được tái khám vào ngày 5/8/2008 để đánh giá kết quả hiệu lực đáp ứng.
 |
 |
Khối u não thật trước khi điều trị (trên) và sau khi điều trị (dưới) |
Diễn biến bệnh
Sau khi điều trị 2 đợt theo quy trình quy định, khám lại bệnh ghi nhận thể trạng bệnh nhân tốt, ăn ngủ bình thường, hết nhức đầu, nhìn rõ, hết song thị, mi mắt trái còn sụp nhẹ. Khám mắt với thị thực mắt trái 10/10, mắt phải 10/10; vận động mi mắt, nhãn cầu tốt; thị trường đối chiếu không phát hiện tổn thương; soi đáy mắt thấy gai thị, mạch máu, võng mạc bình thường. Bệnh nhân có vận động hoàn toàn bình thường, không có dấu hiệu bị liệt. Đặc biệt chụp cộng hưởng từ sọ não ghi nhận khối u ở thân và cuống não trái đã thoái triển nhiều, giảm kích thước so với trước từ 1 x 1,5 x 1,5 cm còn lại 1 x 0,5 x 1 cm; dấu hiệu phù não quanh khối u và hiệu ứng choán chỗ giảm đáng kể; không thấy bất thường mới ở các thùy não khác, tiền não, màng não; thương tổn trước đây ở thân cầu não trái giảm rõ rệt. Hiện nay, bệnh nhân ăn uống, sinh hoạt, lao động và học tập trở lại bình thường.
Cảnh giác bệnh
Bệnh ấu trùng giun đũa chó (Toxocara canis) lạc chủ sang người là một trường hợp bệnh lý ký sinh trùng hiếm gặp ở người. Bình thường giun đũa chó ký sinh ở loài chó là chủ yếu. Trong một số trường hợp đặc biệt lạc chủ sang người gọi là hiện thượng lạc chủ. Ấu trùng giun đũa chó xâm nhập vào cơ thể người chủ yếu theo đường tiêu hóa qua thức ăn, nước uống. Đây là trường hợp thường hay gặp ở những người sống trong gia đình có nuôi chó, thả chó chạy rong làm cho môi trường sống bị nhiễm bẩn do phân chó có ấu trùng giun đũa vuơng vãi ra chung quanh. Sau khi ấu trùng giun đũa chó xâm nhập vào người, nó theo đường tiêu hóa xuống dạ dày, ruột; xuyên qua thành ruột, theo đường máu đến cư ngụ ở gan và một số nội tạng khác gây nên những khối u tại gan, não ... Ở tại não, các khối u gây nên hiện tượng chèn ép não, làm cho bệnh nhân bị liệt kèm theo các triệu chứng như đã nêu ở trường hợp của bệnh nhân trên. Mặc dù đây là trường hợp bệnh lý hiếm gặp nhưng cần chia sẻ thông tin cần thiết này đến những người có quan tâm đến lĩnh vực ký sinh trùng và các cơ sở y tế khác để chú ý cảnh giác phát hiện, chẩn đoán và điều trị kịp thời khi đối diện với bệnh nhân có các triệu chứng tương tự như trên.