Giới thiệu về sốt rét tiểu huyết cầu tố
Sốt rét đái huyết cầu tố (SRĐHCT), thuật ngữ viết theo tiếng Anh là Black Water Fever (BWF) hay gọi là sốt đái đen. Đây là một thể bệnh sốt rét nặng thường do ký sinh trùng sốt rét (KSTSR) loại P. falciparum. Bệnh thường gặp ở vùng sốt rét lưu hành nặng hoặc rất nặng, ở bệnh nhân sốt rét dai dẳng, hay tái đi tái lại và điều trị không đúng phác đồ. Bệnh thể hiện bằng tình trạng tán huyết cấp, đột ngột dai dẳng, dữ dội và dẫn đến tình trạng thiếu máu cấp, vàng da, niêm mạc và đái ra huyết cầu tố, dễ dẫn đến suy thận cấp và tỷ lệ tử vong cao nếu không điều trị kịp thời.
SRĐHCT là một biến chứng của sốt rét đặc trưng bởi hiện tượng tán huyết trong lòng mạch (intravascular haemolysis), haemoglobin niệu (Hb) và suy thận. SRĐHCT có thể gây ra bởi tình trạng KSTSR P.falciparum ký sinh trong hồng cầu nhiều. Tuy nhiên, đôi lúc có trường hợp do P. vivaxcũng được gọi là Hb niệu do sốt rét.
Một số đề nghị hoặc giả thuyết về SRĐHCT, nhưng ...chưa chứng minh cụ thể!
-Theo thông tin đăng tải từ Transactions of the Royal society of Tropical Medicine and Hygiene (Volume 94 supplement 1 April 2000 ISSN 0035-9203) cho thấy sự nhạy cảm của hồng cầu vớithuốc quinine sau một thời gian dùng ngắt quãng thuốc quinine để dự phòng sốt rét được một số tác giả cho rằng nó chính là nguyên nhân gây SRĐHCT và giả thuyết này cũng được đồng tình sau một vài nghiên cứu tại phòng thí nghiệm và cũng biến mất tình trạng này sau khi ngừng dùng quinine và thay thếbằng thuốc sốt rét tổng hợp (Muirhead và cs., 1958; Adner và cs., 1968; Canfield., 1969);
-SRĐHCT dạng kinh điển có thể ngày nay các thầy thuốc lâm sàng không còn gặp nữa nhưng Hb niệu có thể xảy ra trong một số trường hợp nhiễm trùng quá nặng hoặc/ và kèm theo bệnh lý của thận - tiết niệu và những bệnh nhân có bất thường hồng cầu;
-Một số nghiên cứu khác cho rằng Artemisine và dẫn xuất của chúng cũng có thể gây ra tán huyết, đây là vấn đề cần quan tâm và có nghiên cứu thêm bởi lẽ đây là thuốc chủ lực hiện nay dùng trong hầu hết các phác đồ điều trị sốt rét là là thuốc thiết yếu tại các quốc gia có lưu hành sốt rét (!);
-Những nghiên cứu về Hb niệu có liên quan đến sốt rét hoặc không tại Việt Nam cho thấy SRĐHCT xảy ra trong 3 tình huống: [1] Các bệnh nhân thiếu G6PDH dùng thuốc có tính oxy hoá mạnh hoặc thức ăn đóng hộp; [2] Bệnh nhân thiếu men G6PDH bị sốt rét cấp dùng thuốc quinine; [3] Bệnh nhân sốt rét nặng dù có nồng độ G6PDH bình thường. Trong nhóm thứ [3] bệnh nhân bị sốt rét thường có giai đoạn sốt kéo dài nhưng không hẳn là sốt rét khi đó, có thể nhiễm trùng khác, cũng cần xem lại các tình huống vì không nhát thiết các trường hợp sốt rét đái huyết cầu tốt đồng lúc với bệnh sốt rét lại dễ dàng quy kết cho sốt rét hay do thuốc vì thực tế tại các quốc gia lưu hành sốt rét, người ta đã dùng phác đồ thuốc primaquine để điều trị diệt giao bào chống lây lan 1 ngày (trong sốt rét P. falciparum) hoặc dùng 5, hoặc 7, hoặc 10 hoặc 14 ngày (trong sốt rét do P. vivax) rất hiếm gặp tình trạng tán huyết xảy ra khi đó. Do vậy, vấn đề đặt ra cần phải tầm soát thêm một số yếu tố khác can thiệp vào, có khi chỉ là cơ địa nhạy cảm với “tán huyết” chăng?
-Một số ít bệnh nhân bị SRĐHCT chuyển sang suy thận cấp, nguyên nhân suy thận do hemoglobine niệu đến nay chưa chắc chắn, song có vài nghiên cứu khi dùng một liều lượng lớn quinine có gây tử vong do hoại tử ống thận cấp bị quy cho Hb niệu tắc nghẽn ống thận (Terplan và cs., 1958). Chính bản thân Hb niệu không gây độc cho thậnnhưng do một số hợp chất được tiết ra khi có ly giải hồng cầu, dẫn đến hoại tử ống thận cấp nhất là khi có mất nước và có toan chuyển hoá đi kèm (Schmith Holland và cs., 1967);
-SRĐHCT là hội chứng lâm sàng nặng và là biến chứng nghiêm trọng thường do P.falciparum đặc trưng bởi tình trạng tán huyết trong lòng mạch, xuất hiện Hb niệu và suy thận. Biến chứng này gây ra có thể do sự ký sinh quá nhiều KSTSR trong hồng cầu nhiễm loại Plasmodium falciparum;
-Khi hồng cầu vở, Hb len lỏi vào trong huyết tương và chính các Hb tự do này làm tổn thương cấu trúc vi ống cầu thận và bắt đầu xuất hiện Hb ra nước tiểu, ở đó chíng tiếp tục gây thêm các thương tổn ống thận. Thuật ngữ SRĐHCT có thật sự biến mất năm 1950?, khichloroquine bỏ không còn dùng quinine nữa trong vùng nào đó tại Pháp. Một nghiên cứu ghi nhận báo cáo 21 trường hợp SRĐHCT tại Pháp từ 1990 - 1999 trên các đối tượng từ châu Phi đến châu Âu. Tất cả bệnh nhân đều xuất hiện Hb đại thể, vàng da, thiếu máu. Suy thận cấp xảy ra trong 15 bệnh nhân (71%), 7/15 ca đó đòi hỏi phải thẩm phân phúc mạc hoặc thận nhân tạo;
-Nguyên nhân gây nên tình trạng SRĐHCT có liên quan đến sốt rét có thể người nhiễm KSTSR, khi đó thoi trùng thông qua vết muỗi đốt vào gan, tại đó chúng trưởng thành rồi ly giải thành các thể khác - merozoites. Các thể này đi vào dòng máu và nhiễm vào trong các hồng cầu. sốt rét theo CDC ước tính khoảng 300 - 500 ca mỗi năm với hơn 1 triệu người tử vong, song đến nay con số này đã giảm đi đáng kể và cả thế giới đang hướng đến làm thế nào năm 2015 không còn ca tử vong trên toàn cầu. Bệnh và vấn đề SRĐHCT có ảnh hưởng nghiêm trọng trên các đối tượng đi du lịch đến các vùng nhiệt đới và cận nhiệt đới có lưu hành sốt rét;
-Hb niệu do tán huyết trong lòng mạch hàng loạt có thể xảy ra do sốt rét của P. falciparum. Thường được phát hiện trên các đối tượng có bán miễn dịch hoặc không có miễn dịch. Các cá nhân mất miễn dịch do ở trong các vùng không có sốt rét lưu hành nên khi nhiễm sẽ dẫn đến biến chứng nặng này. Tán huyết trong lòng mạch có thể do các hống cầu bị ký sinh phá hủy hàng loạt khi nhiễm mật độ KSTSR cao hoặc phá hủy do tình trạng miễn dịch qua trung gian tế bào cũng như tán huyết cả các hồng cầu không nhiễm;
-Sự thay đổi cấu trúc kháng nguyên của hồng cầu và nhiễm KSTSR sẽ kích thích sinh kháng thể chống lại ngay cả với hồng cầu. Cơ chế ly giải qua trung gian miễn dịch tế bào. Tính nhạy với quinine có thể đóng vai trò trong một số bệnh nhân đã điều trị bằng quinine sớm hơn nhưng giờ đây dường như rất hiếm. Các bệnh nhân thiếu men G6PDH có thể cũng dẫn đến tán huyết khi điều trị bằng các thuốc có tính oxy hóa như primaquine;
-Cơn tán huyết cũng có thể xảy ra nhanh chóng do Hb giảm đi một cách đáng kể trong vài giờ và điều đó có thể tái phát có chu kỳ khoảng vài giờ hoặc vài ngày. Bệnh diễn tiến quá nhanh có thể thấy bệnh nhân có gan lách to. Nước tiểu sậm màu hoặc chuyển sang màu đen. Suy thận và suy tuần hoàn thường là 2 nguyên nhân chính dẫn đến tử vong cho người bệnh;
-Sự gia tăng của hàm lượng Hb đi vào trong tuần hoàn và ra nước tiểu sẽ không phản ánh chính xác nên không đáng tin cậy về số liệu này và chỉ xem đó là con số tham khảo. Tương tự như thế, đếm KSTSR cũng không đại diện cho lượng KSTSR thực tế khi bệnh diễn ra đó. Có thể có tình trạng methemoglobinuria (MetHb) và xuất hiện albumin niệu nặng. Chức năng thận bị ảnh hưởng và khi đó ure và creatinine tăng cao và chức năng gan cũng vậy, trên lâm sàng có thể phát hiện vàng da và trên xét nghiệm bilirubine trực tiếp và gián tiếp cao, khi đó diễn tiến bệnh gan có thể nặng hơn.
Các triệu chứng của SRĐHCT hay gặp qua thống kê lâm sàng hàng lọat ca bệnh:
·Rét run kèm theo sốt liên tục;
·Nhức đầu;
·Buồn nôn và nôn mửa;
·Đau cơ;
·Thiếu máu;
·Đại tiện phân có máu;
·Vàng da;
·Co giật;
·Hôn mê;
·Sốt;
·Ra mồ hôi;
·Đau bụng (vùng gan và lách);
Những điều trị gì có thể tiến hành khi có SRĐHCT xảy ra?
·Nếu sốt quá cao (> 102oF. ở người lớn hoặc 103oF ở trẻ em), cần làm mát bằng nhiều biện pháp nhanh chóng;
·Các đề nghị khác bao gồm: làm mát cơ học, tấm mát hoặc các vật dụng làm mát khác, uống trà thảo dược;
·Các tình huống nhiễm trùng khác phải được giỉa quyết để loại trừ yếu tố nhiễu do sốt;
·Vitamin C và nước chanh đặc biệt giúp hỗ trợ cơn sốt rất tốt. Các sinh tố khác như vitamin A, B complex, B1, D, calcium;
·Vì óc tình trạng mất protein trong quá trình sốt, nhu cầu calori phải cao và chuyển hóa tăng. Lượng dịch vào cũng phải tăng. Vì dịch mất đi nên kali và natri cũng mất theo, nên uống nhiều nước có điện giải, cũng như nước trái cây và rau quả. Điều quan trọng là ăn các thức ăn đặc nên tránh cho đến khi sốt giảm;
·Nước trái cây giàu dinh dưỡng như cà rốt, nước hoa quả khác,..
·Đối với các trẻ em bị sốt thì nước táo, nho, nước dâu tây để lạnh rất tốt;
·Đừng bao giờ cho trẻ uống aspirin, có thể dẫn đến hội chứng Reye, dẫn đến tổn thương thần kinh, thậm chí tử vong;
·Bệnh nhân cần nhiều oxy: do đó nên làm thế nào có thông khí trong phòng, mở các cửa nếu cần thiết, không hút thuốc lá,….
·Các tấm compresses ướt sẽ giúp làm giảm nhiệt độ, loại bỏ từng cái và thay phiên nhau áp vào cái mới, không nên đắp khăn ướt lên mặt, trán sẽ phản tác dụng.
Biểu hiện lâm sàng của sốt rét đái huyết cầu tố
Trong vài ngày đầu khởi bệnh thường rét run, mệt mỏi, sốt cao, vàng da, nôn, buồn nôn, thiếu máu diễn tiến nhanh chóng và nước tiểu sậm màu nhanh. Nguyên nhân cơn tán huyếtSRĐHCT đến nay chưa biết rõ ràng, sự phá hủy hồng cầu hàng loạt và sinh ra Hb quá lớn, Hb niệu vàng da đậm dần, thiểu niệu và thậm chí tử vong trong hầu hết các trường hợp nếu không xử trí kịp thời. Đa số các tác giả đều giải thích cơ chế nguyên nhân của SRĐHCT theo hướng bệnh tự miễn. song tất cả triệu chứng lâm sàng của một bệnh nhân SRĐHCT đã mô tả rõ qua loạt ca bệnh.
1. Giai đoạn khởi phát
Giai đoạn này kéo dài nửa ngày đến 1 ngày, bệnh nhân đột ngột, sốt, buồn nôn hoặc nôn mửa, đái ra nước tiểu sậm màu. Bệnh nhân lên cơn rét run và sốt cao, có thể vượt ngưỡng 39 - 400C, trong một số ca có thể xuất hiện 2-3 cơn mỗi ngày kèm nhức đầu, mệt mỏi, đau ngang thắt lưng, dọc cột sống và có khi đau nhẹ vùng hạ sườn. Tiếp đó bệnh nhân nôn nhiều lần dịch đắng, xanh vàng có khi nôn khan; bệnh nhân mót đái đi tiểu nhiều lần có khi cảm giác nóng buốt niệu nạo, nước tiểu ít dần, chuyển màu cà phê, màu trái bồ quân chín. Da niêm mạc nhợt nhạt nhanh chóng, bệnh nhân hốt hoảng lo lắng, vật vả do thiếu oxy cấp.
2. Giai đoạn toàn phát
Những triệu chứng và hội chứng trên tiếp tục nặng dần lên: tiếp tục nôn, sốt, vàng da tán huyết, đái huyết cầu tố, thiếu máu, thiếu oxy cấp diễn.
-Bệnh nhân tiếp tục sốt rét run hoặc sốt dao động, mỗi cơn số trét run thường đi đôi với tán huyết.Sốt giảm dần từ ngày thứ 2, thường kéo dài 3-4 ngày và ít khi đén 7 ngày.
-Bệnh nhân nôn ra dịch dạ dày và mật, màu xanh vàng kèm theo đau thượng vị, vã mồ hôi và nôn khan. Nôn nhiều và toát mồ hôi nhanh chóng dẫn đén mất nước và điện giải, khát nước, môi khô, mắt trũng, hốc hác, gầy sút nhanh, vẫn đau ngang thắt lưng, đau hạ sườn, gan lách sưng to, đau tức.
-Vàng da và niêm mạc xuất hiện từ cuối ngày đầu, thường vài giờ sau khi bệnh nhân khởi phát và tăng nhanh, sau mỗi cơn sốt rét thì vàng da lại tăng, trở nên vàng đậm và cuối cùng là xanh thẫm nếu tán huyết cấp diễn và kéo dài. Có trường hợp vàng không rõ khi bệnh nhân tán huyết nhẹ và da màu nâu.
-Nước tiểu có huyết cầu tố: lúc đầu nước tiểu đỏ tươi rồi nhanh chóng chuyển sang nâu đen như cafe đặc, hoặc nước vôi đặc (do oxyhemoglobine biến thành Methemoglobine). Nước tiểu để lắng lâu hoặc ly tâm chia thành 2 lớp: lớp trên là nước tiểu màu đen, lớp cặn dưới nâu xấm gồm huyết cầu tố, trụ tế bào biểu mô, trụ hạt và trụ trong. Từ ngày thứ 2-3 trở đi, bệnh nhân thường đái ít dần, lúc đầu do mất nước (qua nôn, mồ hôi, sốt, không ăn uống được) gây giảm thể tích máu lưu chuyển, về sau là suy thận thực thể do hoại tử cấp các ống thận. Giữa 2 cơn tán huyết thì nước tiểu bớt nâu đen, nước tiểu nhạt dần và nếu qua được suy thận cấp sẽ có đa niệu với nước tiểu vàng trong. Thời gian đái huyết cầu tố ngắn là vài giờ, trung bình 3 - 4 ngày, hạn hữu là 7 - 10 ngày.
-Hội chứng thiếu máu, thiếu oxy cấp diễn: tình hình thiếu máu càng tăng trong thời kỳ toàn phát; rõ nét nhất vào ngày thứ 2-4. Một số ca nặng, có thể tiếp diến dài ngày hơn. Vì vậy, bệnh nhân có những triệu chứng thiếu máu, thiếu oxy cấp diễn như: daniêm mạc xanh nhợt, hoa mắt, chóng mặt, choáng váng, mạch nhanh, huyết áp giao động có khi tăng nhẹ vài ngày đầu, thở gấp, đôi khi tức ngực, bứt dứt, luôn trăn trở trên giường, vẻ âu lo hoảng hốt. Thời gian: 4 -7 ngày.
Triệu chứng tan huyết tùy thuộc nguyên nhân và tác nhân hình thành tan huyết
-Sốt rét đái huyết sắc tố có thể là cơ sở di truyền thiếu men G6PDH, SRĐHCT thường xảy rachủ yếu trên những khu vực có sốt rét lưu hành. Theo y văn thì hội chứng này có liên quan đến bệnh sốt rét và trong tiền sử có sử dụng quinine và / hoặc primaquine trước đó. Với các bệnh nhân nhập viện có tiểu Hb ở BV Bệnh nhiệt đới thì có đến 56% trong số đó bị thiếu men G6PDH trong khi tần xuất thiếu men G6PDH chung của quần thể người Việt Nam là 9.7% qua một nghiên cứu.
-Triệu chứng thường xuất hiện 1-3 ngày sau khi dùng thuốc, thường gặp vớithở nông, mạch nhanh, Hb niệu (nước tiểu màu đen hay màu nâu), và suy nhược. Trong những trương hợp nhẹ, thì các triệu chứng trên thường xuất hiện trong hay sau khi xuất hiện dấu hiệu cơ năng. Nhưng đáng chú ý các trường hợpmà Hb giảm còn 3 - 4mg/dl không kèm theo Hb niệu, hầu hết những ca này dể bị bỏ qua trừ khi người điều dưỡng hay người trực tiếp chăm sóc cảnh giác.
-Nếu tan máu nặng xảy ra thì các triệu chứng thở nhanh, mạch nhanh, có rale ẩm, suy nhược cơ thể cũng biểu hiện ngay cả nghỉ ngơi. Một vài bệnh nhân than phiền có đau bụng và đau lưng. Những dấu chứng gồm Hb máu (plasma từ hồng chuyển sang màu nâu), Hb niệu, vàng da. Các tiểu thể Héinz có thể nhìn thấy nếu đem hồng cầu nhuộm với thuốc méthyl violet .
-Tan máu do thiếu men G6PDH, nó có thể thứ phát sau nhiễm KSTSR nhưng không bao giờ rầm rộ ngay cả khi thấy Hb niệu, Hb máu hiếm khi < 6%, do hoặc là rối loạn tính thấm hồng cầu, hoặc giảm sinh tuỷ xương, hoặc tự miễn thường xảy ra theo 3 giai đoạn:
+Giai đoạn cấp: hồng cầu vỡ ồ ạt sau 24 - 48 giờ uống thuốc, số lượng có thể giảm 30 - 50% trong vòng 30 - 60 phút, bệnh nhân rất mệt, xanh xao, tay chân lạnh, sẽ bị choáng do thiếu máu cấp. Song song với huyết tán, bệnh nhân tiểu Hb, nước tiểu màu đỏ sậm do tán huyết nhanh vượt khả năng chuyển hoá của cơ thể (thiếu haptoglobine) nên Hb được thải nguyên vẹn theo nước tiểu dẫn đến suy thận cấp. Một số bệnh nhân do tăng MetHb thì có triệu chứng tím môi và đầu chi, vàng da niêm mạc nếu mức độ huyết tán nặng và kéo dài không kèm theo gan lách to. Đợt huyết tán kết thúc sau 7 - 10 ngày.
+Giai đoạn hồi phục: từ ngày 10 - 30, số lượng hồng cầu tăng dần đến mức bình thường sau 4 - 5 tuần. Lúc này đa số hồng cầu còn non, không bị thiếu men.
+Giai đoạn thăng bằng: từ tháng thứ 2 thứ 3 sau đó, đa số hồng cầu non trưởng thànhtình trạng thiếu men tăng, bệnh nhân tiếp tục dùng thuốc sẽ bị huyết tán (lúc này cần truyền hồng cầu lắng)và theo dõi chặt chẽ suy thận cấp.
-Triệu chứng sốt rét đái huyết sắc tố và liên quan tạng: rét run từng cơn, kèm theo tán huyết; có hay không kèm theo nhiễm trùng đường niệu (mót tiểu, đi nhiều lần, buốt niệu đạo, nước tiểu đen nâu), giữa 2 cơn tán huyết có thể nước tiểu trong, vàng nhạt.
-Xét nghiệm: sử dụng que nhúng nước tiểu và đo Hct là phương pháp đơn giản hữu ích để sàng lọc mà chúng ta có thể thực hiện tại thực địa. Hb (máu), bilirubin (urobilinogen) và protein nên kiểm tra khi dùng que nhúng nước tiểu để sàng lọc máu bệnh nhân.
-Điều quan trọng là phải phân biệt máu ở que nhúng là Hb tự do hay hồng cầu (nguyên vẹn hay dạng vết). Hb trong nước tiểu hiện diện khi hồng cầu bị phá huỷ trong quá trình tan máu. Trong khi đó, hồng cầu nguyên vẹn do một cơ chế bệnh sinh khác (ung thư, chảy máu đường tiết niệu, sỏi thận, sỏi bàng quang...).
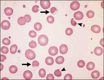
-Chẩn đoán bằng định lượng men G6PDH nên làm sau đợt tán huyết 1 tháng vì tình trạng thiếu men xuất hiện chủ yếu trên hồng cầu già và tuổi thọ trung bình hồng cầu là 120 ngày. Thử nghiệm enyme đặc hiệu cho hoạt động G6PDH, nhưng trong cơn tán huyết có thể tăng cao men này một cách giả tạo do tăng nồng độ enzyme trong tế bào. Do vậy, cần thiết một thử nghiệm lập lại khi tán huyết ổn định để chẩn đoán xác định. Một kinh nghiệm cho thấy hiện tượng giảm G6PDH có 2 dạng nguyên do (theo Dictionaire de Therapeutique, 1999): hoặc tan máu mạn tính, hồng cầu không nhỏ, không tròn có kèm theo các thể Heinz, hoặc cấp tính chẩn đoán dựa vào có vật thể Heinz và biểu hiện giảm tỷ lệ enzyme sau đó.
-Xét nghiệm cũng có thể làm ngay nếu máu được lấy 50 ml máu mao mạch cho vào tube, không có chất chống đông (thực hiện ở thực địa). Thử nghiệm sinh hoá với ít nhất 3 loại hình thái (Ganczakowwski và cs.,1995) trong tất cả các type thì sức bền hồng cầu <10%. Nếu phân tích DNA thì nhóm 1 giống các nơi khác, nhóm 2 có 2 đột biến G6PDH Vanua Lava và G6PDH Namoru và nhóm 3 biểu hiện một đột biến mới G6PDH Naone.
-Kiểm tra huyết học nếu thực hiện được thì nên so sánh với giá trị chuẩn. Nếu phương tiện sẵn có ta có thể làm một số xét nghiệm về máu, Hb, haptoglobine huyết tương, đếm hồng cầu lưới, men LDH và xác định vật thể Héinz.
-Ly tâm nước tiểu phân thành 2 lớp (dưới phần huyết sắc tố, trụ tế bào biểu mô, trụ hạt…) rối loạn điện giải: Na+ giảm, K+ tăng, Clo giảm; rối loạn bằng kiềm toan (pH máu động mạch, mao mạch giảm, rối loạn chức năng gan, mật…)
Các dấu hiệu gợi ý để phát hiện SRĐHCT
-Mấy ngày đầu bệnh nhân đang sốt rét bỗng nhiên sốt cao vọt lên. Những cơn rét trước chỉ vừa, đột nhiên có cơn rét run dữ dội ;
-Nôn nhiều, nôn ra mật xanh, mật vàng ;
-Đau ngang thắt lưng, đau dọc cột sống lưng, đau 2 bên hạ sườn;
-Da, niêm mạc nhợt nhạt, xanh, vàng mắt;
-Bứt rức, vật vả, trăn trở, buồn bực chân tay, choáng váng, chóng mặt, xanh xao, hốt hoảng;
-Tiểu tiện thấy nóng buốt niệu đạo.
-Khi gặp những yếu tố nghi ngờ trên cần theo dõi nước tiểu, kiểm tra Hct, hồng cầu, nếu cần thông tiểu đưa đi xét nghiệm.
Chẩn đoán xác định SRĐHCT
-Triệu chứng chủ yếu:
+Có những triệu chứng sốt rét;
+Nước tiểu màu cà phê, nước vối,phản ứng Mayer (+);
+Hồng cầu tương đối tụt nhanh;
+Da, niêm mạc vàng, nhợt nhạt;
+Có KSTSR trong máu, khi cơn tán huyết xảy ra, KSTSR chỉ còn gặp ở 1/3-3/4 trường hợp.
-Triệu chứng thứ yếu:
+Bệnh nhân bức rức, vật vả, trằn trọc, choáng váng, chóng mặt.
+Nôn khan, nôn ra mật xanh mật vàng;
+Gan, lách sưng to, đau tức;
+Mạch nhanh, huyết áp dao động, tức ngực, khó thở ở một số trường hợp.
Chẩn đoán phân biệt
-Phân biệt SRĐHCT với phản ứng Meyer (+) với:
+Đái máu trong bệnh sỏi, ung thư, lao đường tiết niệu, sốt xuất huyết: nước tiểu màu đỏ, để lắng đọng phân thành 2 lớp, hồng cầu bên dưới và màu vàng chanh ở trên, thường có mùi hôi, xét nghiệm thấy nhiều hồng cầu, không thấy Hb trừ khi nước tiểu có máu để lâu và nhiều hồng cầu tan vỡ thì nước tiểu có thể thấy cả hồng cầu và Hb;
+Viêm nhiễm đường mật: nước tiểu có khi vàng đậm, sẫm màu như nước chè đặc, dễ nhầm với đái ra Hb, nhưng để lâu không chuyển màu đen, không có hồng cầu và Hb niệu;
+Viêm gan virus thường không có tan máu ồ ạt và tụt hồng cầu;
+Nhiễm xoắn trùng: hồng cầu có thể tụt nhưng không nhanh như SRĐHCT và bạch cầu thường cao, chuyển trái. Viêm gan virus và xoắn trùng, vàng da và niêm mạc thường xuất hiện vào ngày thứ 5 - 7 của bệnh, muộn hơn so với SRĐHCT, thường có cả bilirubine kết hợp, khác với SRĐHCT, chủ yếu là bilirubine tự do;
+Nước tiểu có myoglobine (trong hội chứng vùi lấp, viêm cơ, bỏng nặng, đái ra myoglobine): nước tiểu cũng màu nâu, xuất hiện trong trường hợp vùi lấp, bỏng nặng điện giật cao thế, viêm cơ, thấy được myoglobine niệu, nhưng không có các triệu chứng SRĐHCT như các cơn sốt rét và vàng da, hồng cầu tụt nhanh;
+Một số bệnh và hội chứng khác: nhiễm trùng huyết và biến chứng tan máu, đái ra Hb (do tụ cầu tan máu, do vi khuẩn kị khí); nhiễm độc do nọc rắn, do một số hoá chất.
+Hội chứng đái huyết cầu tố do truyền máu, hay do dùng phải một số thực phẩm hoặc thuốc có tính oxy hoá quá mạnh có thể gây huỷ hồng cầu ở những cơ thể thiếu men G6PDH.
Làm thế nào dự phòng sốt rét đái huyết cầu tố
-Thực hiện các biện pháp phòng chống sốt rét thật tốt, chú ý đặc biệt những vùng sốt rét nặng, thời gian dịch sốt rét đang lên, những quần thể và những cá thể có nguy cơ cao như từ vùng lành mới vào vùng sốt rét, lao động với cường độ cao, dưới mưa lạnh trong vùng sốt rét, lứa tuổi thanh niên cơ thể yếu, có bệnh mạn tính về gan, thận đã bị SRĐHCT trong tiền sử.
-Điều trị hiệu quả bệnh nhân sốt rét, chú ý bệnh nhân đang ở giai đoạn sơ nhiễm (6 tháng đầu) và bệnh nhân sốt rét dai dẳng: dùng loại thuốc chống kháng có hiệu lực, theo đúng phác đồ điều trị quy định, không dùng thuốc thất thường, thận trọng với những thuốc oxy hoá mạnh dể gây tai biến huyết tán như người thiếu men G6PDH.
-Không lạm dụng quinine, chỉ dùng khi thật cần thiết (kháng hoặc không đáp ứng với các thuốc khác).
-Những bệnh nhân sốt rét dai dẳng và suy kiệt phải được điều trị ở cơ sở y tế. Quản lý bệnh nhân sốt rét tốt, tránh để bệnh nhân đang sốt rét hay vừa mới cắt cơn sốt phải tham gia lao động nặng, mang vác đi bộ đường dài.
-Truyền thông giáo dục sức khỏe và phổ biến kiến thức rộng rãi cho mọi người biết phát hiện sớm sốt rét và SRĐHCT.
Thái độ xử trí
Khi điều trị cần chú ý đến tác động trực tiếp đến thiếu máu cấp và suy thận cấp. Truyền máu toàn phần hoặc hồng cầu khối nên bắt đầu nếu khi Hb < 5g%. Suy thận có thể được điều trị bảo tồn bằng cách chăm sóc và quản lý cân bằng nước điện giải và sử dụng liệu pháp corticoides, lợi tiểu đúng chỉ định và dừng khi cần thiết. Thẩm phân phúc mạc hay thận nhân tạo là tùy thuộc tình huống và khi điều trị nội khoa bảo tồn không đáp ứng. Điều trị cũng chủ yếu là thuốc sốt rét có hiệu lực cao, dịch truyền tĩnh mạch bù vào, đôi khi chăm sóc hỗ trợ. SRĐHCT là biến chứng nghiêm trọng nhưng SRAT thể não có tỷ lệ tử vong cao hơn. Hiện nay, hiếm gặp SRĐHCT so với những năm trước 1950. Điều đó có thể vai trò của thuốc quinine góp phần gây bệnh, nay thuốc này vẫn còn nằm trong danh mục thuốc thiết yếu của chính sách thuốc sốt rét quốc gia, song chỉ trường hợp điều trị chống kháng là chính hay nói đúng hơn là quinine vẫn là thuốc quan trọng và hiệu lực bền vững trong điều trị sốt rét đến thời điểm này.
·Điều trị đặc hiệu:
-Nếu đái huyết cầu tô do chính bệnh sốt rét gây ra, thì phải dùng loại thuốc sốt rét có hiệu lực cao; nếu đái huyết cầu tố do thuốc là nguyên nhân gây trực tiếp phải ngừng ngay thuốc đã gây ra. Nhưng trong thực tế thường không có điều kiện xác định căn nguyên và cần cấp cứu gấp. Về cơ bản, ngừng loại thuốcnên hướng xủ trí theo sau:
-Về cơ bản, ngừng loại thuốcSR mà bệnh nhân dùng gây ra tán huyết, đổi thuốc khác.
-Nếu bệnh nhân đang dùng quinine mà bị đái huyết cầu tố thì chuyển sang artemisinine và các dẫn suất của chúng dạng ACTs.
-Tránh dùng quinine nếu có tiền sử tán huyết nghi do thuốc này;
-Trong trường hợp bệnh nhân đã có suy thận cấp, điều chỉnh và thay đổi lượng thuốc và loại thuốc sao cho phù hợp, cũng như can thiệp các biện pháp khác như thận nhân tạo, thẩm phân phúc mạc,….
·Điều trị triệu chứng
-Cắt cơn tán huyết: có quan điểm cho dùng corticoides và có trường phái không chỉ định. Dùng corticoide để chống dị ứng quá mẫn, chống sốc trong trường hợp nặng. Phải dùng liều cao hydrocortisone 400 - 500 mg /24g hoặc depersolone (Cortancyl) 120 - 150mg /24g hoặc soludecaron (Dexamethasone) 12 - 16mg /24 g, một đợt 2-3 ngày. Chú ý rằng theo một số chuyên gia điều trị của nước ngoài thì chưa có minh chứng để dùng corticoides, thậm chí còn tăng thời gian hôn mê trên bệnh nhân có hội chứng não cấp. Trường hợp SRĐHCT tiến triển nhẹ, hoặc thiếu corticoides ở tuyến cơ sở có thể dùng thuốc kháng histamine.
-Xử trí thiếu máu, thiếu oxy:cần thực hiện sớm để ngăn ngừa biến chứng suy thận cấp thực thể:
+Chỉ định truyền máu: khi hồng cầu , 2 triệu/ mm3 (thể tích hồng cầu chính xác hơn số lượng hồng cầu < 20%). Khi hồng cầu > 2 triệu /mm3, nhưng bệnh nhân biểu hiện đáp ứng thích nghi khó khăn, vật vả, bồn chồn, mạch nhanh, thở gấp, HA không ổn định.
+Khối lượng máu truyền: mỗi lần từ 200 - 250 ml. Cần kiểm tra hồng cầu và thể tích hồng cầu hằng ngày thời gian đầu vì còn huyết tán thì hồng cầu tiếp tục tụt.
+Có thể cần đến 2-4 lần truyền máu để đạt HC > 2 triệu, thể tích HC > 20%. Nếu duy trì được mức đó có thể ngừng truyền. Phải theo dõi chặt chẽ truyền máu nhất là bệnh nhân vô niệu - thiểu niệu, phải đo CVP, tránh biến chứng phù phổi cấp có thể xảy ra. Do đó, có thể dùng lợi tiểu Furosemide để tránh tăng gánh tuần hoàn.
+Máu sử dụng tốt nhất là HC rửa, loại bỏ huyết tương nếu không có truyền máu tươi cùng nhóm, do nhu cầu cần các yếu tố đông máu và tiểu cầu hơn là dùng máu đã bảo quản.
+Thêm chất sắt, acide folic hoặc acid fereur. Uống viên sắt ngày 3 viên chia 3 lần, acide folic 1mg/ngày. Hai thuốc trên dùng hàng ngày trong một tháng hay lâu hơn.
-Điều chỉnh nước và điện giải:từ những ngày đầu bệnh nhân đái Hb thường đái ít, huyết áp thấp do mất nước và điện giải từ sốt cao, nôn, tiêu chảy vả mồ hôi, không được bổ sung đủ dịch và điện giải để duy trì thể tích ổn định và huyết áp.Căn cứ truyền dịch và điện giải là:
+Lượng nước tiểu 24 giờ của ngày trước.
+CVP đặc biệt quan trọng.
+Điện giải đồ.
+Lượng dịch truyền khi đầu bằng 10-15ml/ kg thể trọng +lượng nước tiểu 24 giờ.
+Dùng huyết thanh mặn 0.9% để bù nước, điện giải, huyết thanh ngọt 20 - 10% hoặc 5% để nuôi dưỡng tế bào. Để bù dịch cho đủ, cần chú ý một số sai lầm dể mắc phải:
·Bù không đủ hoặc không bù ở bệnh nhân mất nước nặng sẽ tiếp tục đái ít, hạ HA, có thể tiến đến hoại tử ống thận cấp, giảm tưới máu não và một số tạng khác.
·Bù quá tải bằng các loại dịch và truyền máu, có thể nhanh chóng dẫn đến phù phổi cấp không hồi phục.
+Tuyệt đối không dùng lợi tiểu mạnh khi bệnh nhân đái ít mà không bù đủ dịch. Sau khi bù dịch và điện giải, dùng lasilix 40 - 80 mg tĩnh mạch, nước tiểu có thể tăng gấp 3 lần so với trước.
+Một số bệnh nhân sau thời kỳ đái ít chuyển sang đa niệu nhiều ngày (2.000-3.000 ml /24 giờ) dễ mất điện giải, nhất là kali được giám sát bằng điện giải đồ để kịp thời bổ sung.
-Xử trí suy thận cấp thực thể:khi đã nghĩ đến suy thận cấp thực thể, nhanh chóng dẫn đến biến chứng ure, creatinine máu cao, kali máu cao, nhiễm toan chuyển hoá đe doạ tính mạng bệnh nhân, nên khẩn trương chuyển đến khoa hồi sức cấp cứu hoặc trung tâm thẩm phân phúc mạc với trang thiết bị cao cấp. Tại đó, tiến hành các kiểm tra toàn diện, đánh gia mức độ suy thận cấp, sự xuất hiện các biến chứng và mức độ của chúng (các xét nghiệm cần làm: ECG, CVP, X - quang phổi, xét nghiệm sinh hoá máu, công thức máu, KSTSR, pH, điện giải đồ, dự trữ kiềm, điện di proteine, chức năng gan, thận, tỷ lệ prothrombine, xét nghiệm nước tiểu về số lượng và màu sắc, huyết cầu tố, cặn lắng, trụ niệu, tỷ trọng…).
+Các xét nghiệm trên cần tiến hành trong nhiều lần và nhiều ngày liên tục để kịp thời điều chỉnhcác chất khác nhau.
-Xử trí nhiễm độc kali máu cao:
+K+ tăng nhẹ (5 - 5.5 mmol/l): glucose 50%: 50 ml tiêm tĩnh mạch + 10đơn vị insuline. cách dùng: glucose 50% (hoặc 30% - 150 ml) + 10 đơn vị insuline nhỏ giọt tĩnh mạch làm K+ làm K nhập tế bào sau 30 - 60 phút, tác dụng kéo dài;
+K+ tăng vừa (5.5 – 6.5 mmol/l): natribicarbonate: 50 - 100 mmol/ tĩnh mạch. Cách dùng: natribicarbonate ưu trương 1 - 2 ống (1 ống có 44.6 mmol) tiêm chậm tĩnh mạch trong 5 phút làm K nhập tế bào nhanh chóng, tác dụng sau 10 - 15 phút và kéo dài 1 - 2 giờ;
+K+ tăng mạnh (> 6,5 mmol/l): gluconate canxi 10%: 10 - 30ml tĩnh mạch, thẩm phân. Cách dùng: gluconate canxi 10%: 10 - 30 ml tiêm chậm tĩnh mạch trong 5 phút chống tác động của K lên cơ tim và thần kinh cơ - biện pháp điều trị có giá trị vì hiệu quả nhanh nhưng ngắn.
+Quá trình dùng thuốc hạ kali máu cần theo dõi liên tục ECG để biết thời điểm ngừng thích hợp khi kali còn 4 - 5 mmol/L. Nếu các biện pháp trên không loại trừ kali ra khỏi cơ thể thì thẩm phân phúc mạc và bổ sung các biện pháp khác.
-Điều chỉnh nhiễm toan:
+Chỉ định: khi nào CO3H huyết tương < 15 mmol/L không cần điều chỉnh. Khi nhiễm toan vừa và nhẹ >15 mmol/L chỉ cần nâng CO3H > 15 mmol/l không cần vượt quá 18 – 20mmol/L.
+Dùng Natribicarbonate ống: 1 – 2 ống pha loãng thành 100 – 200 ml nhỏ giọt tĩnh mạch. Khi truyền theo dõi điện giải đồ và áp lực tĩnh mạch trung tâm để tránh nhiễm kiềm chuyển hoá gây giảm K+ và Ca2+ máu, và quá tải thể tích máu gây phù phổi. Không nâng nồng độ natribicarbonate tới mức bình thường 22 - 25mmol/L vì có thể gây tác dụng phụ hạ K máu độc cho tim, gây co cứng cơ; còn Na+ thừa đưa vào cơ thể với bicarbonate sẽ gây tăng huyết áp và phù nề.
+Thẩm phân cũng là biện pháp tốt để duy trì nồng độ natribicarbonate máu ở mức thích hợp. Thẩm phân có mục đích khắc phục những rối loạn nước điện giải, toan kiềm và các loại chất thải của chuyển hoá tế bào bị ứ lại trong cơ thể do suy thận cấp. Chỉ định thẩm phân trước kia thường muộn, khi ure vượt > 3g (50 mmol/l) khi đã có biến chứng. Ngày nay, thẩm phân được chỉ định sớm, theo quan điểm dự phòng của Teschan (1960). Thẩm phân sớm và nhắc lại, cho phép thường xuyên duy trì sự hằng định nội môi để bệnh nhân vượt qua giai đoạn suy thận cấp để chờ ngày chức năng thận phục hồi. Chỉ định sớm là:
·Vô thiểu niệu không đáp ứng khi bù đủ dịch và liệu pháp Lasilix không hiệu quả.
·Ure máu ³ 2g/l (33.2mmol/L) hoặc thấp hơn, nhưng tăng 0.5g (8.3mmol/L)/ngày;
·Creatinin máu ³ 10 mg/dl (880mmol/L) hoặc thấp hơn, nhưng tăng 2mg/dl/ngày (176 mmol/l);
·Chỉ định tuyệt đối khi gặp các biến chứng phù phổi cấp (không đến mức độ ure creatinin); Biểu hiện của hội chứng ure máu cao (rối loạn ý thức, viêm ngoại tâm mạc, xuất huyết);
·K+ máu cao ³6,5 mmol/L.
·CO3H- < 15 mmol/L;
·Có 2 biện pháp thẩm phân: lọc màng bụng và thẩm phân máu có thể thay thế, bổ sung cho nhau.
+Ngày nay, thận nhân tạo được chỉ định rộng rãi; chống chỉ định là: truỵ tim mạch, huyết động không ổn định, đang xuyết huyết hoặc đe doạ xuyết huyết lớn.
+Lọc màng bụng được chỉ định khi chưa có điều kiện hoặc chống chỉ định chạy thận nhân tạo. Các chống chỉ định là: suy hô hấp nặng, bụng có sẹo (do đã mổ trước) hoặc bị nhiễm trùng da bụng. Lọc màng bụng 24 giờ có hiệu quả như chạy thận nhân tạo trong 6 giờ.
+Tuy có thể gặp một số tai biến: chảy máu khi đặt ống thông trong ổ bụng, thủng ruột, viêm phúc mạc, xuyết huyết, nhưng thẩm phân cho phép hạ tỷ lệ tử vong do suy thận cấp của SRĐHCT trước kia là ³ 50%, nay giảm còn một nửa 20 – 30% và có thể thấp hơn nhiều nữa khi tiến hành sớm, kịp thời.
-Xử trí rối loạn tim mạch và huyết áp:
+Một số bệnh nhân khi có mạch nhanh, huyết áp thấp, thiếu oxy cấp, hoặc thiếu nước do sốt, ra mồ hôi, nôn thì truyền máu và dịch, thở oxy, huyết áp và mạch ổn định;
+Một số khác, có thể tụt huyết áp do sốc mất máu, phù phổi cấp, sốc nhiễm khuẩn. Xử trí mất nhiều máu cho đường tiêu hoá: truyền máu, huyết tương, có thể dùng Dextran đồng thời để dự phòng, theo dõi chặt chẽ CVP để không vượt 0 – 5 cm H2O; tư thế đầu cao, chân thấp hoặc 45o. Thở oxy nếu cần: hô hấp điều khiển, dùng Furosemide tĩnh mạch, có thể chính lấy 250ml máu (bảo quản để dùng lại cho bệnh nhân). Thẩm phân có siêu lọc có thể giúp ích.
+Xử trí sốc nhiễm khuẩn (đường vào từ phổi, tiết niệu, nơi tiêm truyền tĩnh mạch). Cần cấy máu tìm vi khuẩn ái, kỵ khí gây bệnh và dùng ngay thuốc kháng sinh nhóm Cephalosporin thế hệ III kết hợp với gentamycin.
+Một số bệnh nhân có dấu hiệu tăng gánh thất, thừa dịch gây huyết áp cao, cần dùng lợi niệu mạnh để hạ huyết áp (có thể dùng thêm Digoxin?).
+Khi K+ máu cao, hay rối loạn tim mạch: loạn nhịp, đe doạ ngừng tim, cần khẩn trương tiêm truyền: gluconate calcium hoặc glucose ưu trương, bicarbonate và thẩm phân.
-Thái độ trước các triệu chứng thần kinh:
+Trường hợp xao động, vật vã do thiếu máu, thiếu oxy cấp diễn: truyền máu và thở oxy có thể đưa bệnh nhân về yên tĩnh; dùng thêm Seduxen, Meprobamate nếu cần.
+Một số bệnh nhân SRĐHCT bị suy thận cấp thực thể có những cơn co giật do nhiều nguyên nhân như bù nước quá nhiều nên thừa, nhiễm toan nặng, giảm Ca2+ máu. Để cắt co giật trong những trường hợp này cần hạn chế bù nước, hoặc bổ sung natribicarbonate nếu nhiễm toan, dùng gluconat calcium 10% nếu giảm Ca2+
+Ngoài ra, có thể hôn mê do ure máu cao: cần thẩm phân
-Theo dõi săn sóc và nuôi dưỡng:
+Theo dõi sát nước tiểu về thể tích /24 giờ và chất lượng (màu sắc, Hb). Dùng giá đặt nhiều ống nghiệm để mỗi lần bệnh nhân đi tiểu, giữ lại 5 – 10 ml để đánh giá tiên lượng qua sự diễn biến của nước tiểu; trường hợp nặng cần đặt ống thông nước tiểu để theo dõi nước tiểu hàng giờ.
+Theo dõi hàng ngày cơn sốt cơn rét, mạch, huyết áp, nhịp thở, ure, creatinie và bilirubine máu. Bất động bệnh nhân, khi cần vận chuyển phải dùng cáng hay xe có giảm sock.
+Giữ ấm cho bệnh nhân, làm tốt vệ sinh thân thể, hút đờm giải khi ùn tắc phế quản, đảm bảo vô trùng khi thông đái.
+Chú trọng nuôi dưỡng bệnh nhân khi đã có suy thận cấp thực thể, chủ yếu bằng glucide, 100g /24 giờ kết hợp với protide nhưng hạn chế (0.5g/ kg/ ngày) hạn chế rau quả khô có nhiều kali, thêm nhiều vitamine nhất là nhóm B1, đảm bảo năng lượng tối thiểu 1.500 kcl/ ngày.
Các thông số cận lâm sàng nào cần thực hiện khi có SRĐHCT?
1. Ký sinh trùng sốt rét (KSTSR)
Trước cơn tan máu, có thể thấy KST ³ 75% trường hợp, nhưng ở ngày 1, chỉ còn 50 -60%, ngày 2 - 3 càng giảm, còn 20 - 30% dương tính, do nhiều hồng cầu mang KST đã tan vỡ. Nếu tan huyết tiếp tục có thể thấy không còn KST, Nhưng khi huyết tán ngừng, lại thấy KST ở một số trường hợp (Strephens, 1973) kiểm tra KST ở 390 bệnh nhân SRĐHCT thấy KST ở 73% sau cơn một ngày.
2. Công thức máu toàn phần, đặc biệt chú ý đến hồng cầu và Hb
Thiếu máu nhanh và nặng. Trong 3 – 4 ngày đầu, hồng cầu chỉ còn £ 2 triệu/ mm3 trong 1/3-1/4 các trường hợp. Có trường hợp đặc biệt, ngay từ đầu có bệnh nhân chỉ còn ³ 1 triệu hồng cầu/ mm3. Huyết cầu tố và thể tích huyết cầu cũng giảm song song với mức giảm hồng cầu trừ ca cô đặc máu do sốc tim mạch thì Hct và hồng cầu tăng giả tạo. Sau khi ngừng tán huyết, hồng cầu hồi phục tương đối nhanh với những biểu hiện tái sinh như: xuất hiện hồng cầu non có chấm kiềm, hồng cầu lưới tăng, dòng hồng cầu tăng sinh ở tuỷ đồ. Tuy vậy, với số hồng cầu tụt nặng, có suy thận cấp và nhiễm toan chuyên hoá nặng, sự hồi phục thường hay kéo dài mặc dù được truyền máu hổ trợ.
3. Bạch cầu
Hơn 50% cas thì bình thường, hiếm khi giảm dưới 4.000, có tới 1/4 bệnh nhân có bạch cầu tăng từ 1.000 - 20.000, công thức bạch cầu chuyển trái, thậm chí một số ít bệnh nhân có bạch cầu đến 40.000 - 60.000 của “ phản ứng giả bạch cầu”, do dòng bạch cầu tăng hoạt động bù trừ cho số hồng cầu tan vỡ nhưng tình trạng đó không kéo dài.
4. Nước tiểu
Proteine niệu thường cao 4-5mg%, ure và chlor niệu giảm do suy ống thận, có nhiều sắc tố hồng cầu như oxyhemoglobine nhất là methemoglobine và sắc tố mật như urobiline. Tỷ trong ít có giá trị nói lên độ cô đặc vì đôi khi tỷ trọng cao là có chứa nhiều proteine và Hct, nhưng không phải là một nước tiểu cô đặc. Lượng oxyhemoglobine tạo thành từ Hb được giải phóng ra trong cơn huyết tán, khi đạt ngưỡng thận sẽ qua cầu thận. Hb chuyển dạng thành MetHb trong quá trình đào thải trong ống lượn và cho nước tiểu màu đen khi nước tiểu acide, nếu nước tiểu kiềm sẽ không chomàu đen, pH nước tiểu thường thấp < 5.
5. Ure và creatinine huyết thanh
Hai chất này là các chỉ tiêu quan trọng cùng với việc theo dõi lượng nước tiểu/24 giờ để đánh giá khả năng lọc của cầu thận, vẫn bình thường hay đã bắt đầu có suy thận cấp và mức độ nhẹ hay nặng của nó (creatinine đáng tin cậy hơn ure vì ure có thể tái hấp thu qua ống thận vào mạch máu quanh ống thận). Ure không phải lúc nào cũng tương đương mức độ suy thận cấp nhưng thường cao khi có suy thận thực thể. Ure và creatinine thường tăng hàng ngày trong 4 - 7 ngày đầu của SRĐHCT, đặc biệt có trường hợp SRĐHCT vô niệu một ngày, sang ngày thứ 2 kiểm tra ure máu thấy tăng đến mức nguy hiểm 500 mg/dl (> 83mmol/l), creatinine trên 11mg/dl (> 1mmol/l); khi chức năng thận hồi phục từ ngày 8 - 14 thì ure giảm chậm với những trường hợp nặng và rất nặng. Qua xét nghiệm ure và Creatinine có thể xếp loại suy thận cấp nhẹ, vừa và nặng. Theo kinh nghiệm tại bệnh viện, ure và Creatinine huyết thanh bình thường hoặc tăng nhẹ ở 45% các trường hợp SRĐHCT tăng vừa ở 25% và tăng cao ở 20%.
Phân loại mức độ suy thận cấp | Ure mg/dL (mmol/L) | Creatinin mg/dl (mmol/L) |
Nhẹ | 5 - 100 = 8.3 – 16.6 | 2.5 - 5 (220 - 440) |
Vừa | > 100 - 200 (16.6 - 33.2) | > 5 - 10 (440 – 880) |
Nặng | > 200 - 300 (33.2 – 49.8) | > 10 - 13.5 (880 – 1188) |
Rất nặng | > 300 (> 49.8) | > 13.5 ( 1188) |
6. Điện giải đồ
Thường gặp rối loạn điện giải trong suy thận cấp, K+ huyết thanh tăng, Na+ và Cl- giảm. Natri giảm nhẹ dưới 130 mmol/l, ít khi giảm nhiều < 120 mmol/l; chlor cũng thường giảm nhẹ <90 mmol/L ở một số ca.
Đặc biệt K+ tăng có thể cao ở bệnh nhân suy thận cấp thực thể, thường ở mức vừa phải, từ 5.5 – 6mmol/l. Nếu vô niệu kéo dài sẽ tăng hơn 6 mmol/L, thậm chí tăng mỗi ngày 0,5 mmol/L.
7. Các thông số trong thăng bằng kiềm toan
Suy thận cấp thực thể thì tình trạng vô niệu kéo dài hay gặp nhiễm toan chuyển hoá.
pH máu động mạch < 7.2; CO3H- giảm vừa phải (16-19 mmol/L) hoặc nặng (< 15 mmol /L).
8. Chức năng gan
Bilirubine huyết thanh gián tiếp tăng cao, liên quan đến mức độ tán huyết. Nếu nặng thì bilirubine trực tiếp cũng tăng cao. Do đó, bilirubine huyết thanh toàn phần có thể cao gấp 10 - 20 lần mức bình thường. Sắt huyết thanh tăng tới 200 - 300 mcg/dl.
-Men ALAT/ASAT tăng trong một số trường hợp, chỉ mức độ nhẹ, trung bình không cao như trong ca viêm gan virus.
-Tỷ lệ prothrombine thường mức độ thường 80-100% có một số ca giảm còn 50-60%.
-Proteine huyết thanh giảm thấp. Trong đó albumine giảm thấp là một chỉ tiêu quan trọng nói lên sự rối loạn chức năng gan, ít khi có rối loạn đông máu.
Theo dõi diễn tiến bệnh nhân tổng thể và toàn diện
-Nếu diễn biến tốt: cơn sốt dừng nhanh, cơn tán huyết chỉ 1 - 2 lần rồi ngừng hẳn, lượng nước tiểu không giảm, màu nước tiểu nhạt dần, trở về bình thường từ ngày thứ 6 - 10, huyết cầu tố và sắc tố mật (bilirubine và urobilinogen) giảm, vàng da giảm dần song song với giảm bilirubine máu, hồng cầu và ure trở về bình thường. Quá trình hồi phục mất 1 hay hơn 1 tháng;
-Nếu diễn tiến xấu: các cơn tán huyết tái diến hàng ngày vào lúc sốt cơn, vàng da ngày càng đậm, hồng cầu giảm, nước tiểu màu đậm, số lượng giảm nhanh chóng từ thiểu niệu < 400ml /ngày, đến vô niệu hoàn toàn, ure máu tăng cao, bệnh nhân chuyển vào suy thận thực thể, K máu tăng, nhiễm toan chuyển hoá xuất hiện. Ý thức bệnh nhân u ám, thậm chí hôn mê có trường hợp suy tuần hoàn cấp, hoặc suy gan cấp, hoặc chuyển sang hội chứng não cấp do thiếu oxy não.
Biến chứng và tiên lượng ca bệnh SRĐHCT
Rối loạn và tổn thương cơ bản nhất của SRĐHCT là một tình trạng tan máu cấp diễn dẫn đến thiếu oxy các phủ tạng như gan, thận, não, tim. Đặc biệt suy thận cấp là sự suy giảm đột ngột chức năng lọc cầu thận, gây ứđọng các chất nitơ cần thải. Suy thận cấp là biến chứng phổ biến và nguy hiểm nhất, thường xuất hiện từ ngày thứ 4 - 7, có khi sớm hơn tuỳ thuộc vào mức độ ồ ạt cơn tán huyết, thiếu máu, thiếu oxy cấp. Cần chú ý phân biệt suy thận cấp chức năng và thực thể. Bệnh nhân có những biểu hiện của hội chứng ure máu cao, tăng K máu, nhiễm toan chuyển hoá.
Xét nghiệm | Suy thận cấp chức năng | Suy thận cấp thực thể |
Ure niệu / huyết tương | > 10 | < 10 |
Creatinine niệu / huyết tương | > 10 | < 10 |
Na+ niệu/K+ niệu | < 1 | > 1 |
Liệu pháp Furosemide | + | 0 |
Tình trạng mất nước nhiều hay ít do nôn, vả mồ hôi phụ thuộc vào việc phát hiện và thái độ xử trí sớm hay muộn. Biến chứng này có thể xuất hiện sớm, thường suy thận cấp chức năng do thiếu hụt nước, giảm thể tích máu với mất nước ngoài tế bào (các tĩnh mạch ngoại vi xẹp, đầu ngón chân tay lạnh, độ tăng của nhãn cầu giảm, véo da vẫn giữ nếp nhăn, huyết áp giảm khi từ tư thế Fowler thì huyết áp tụt, áp lực tĩnh mạch trung tâm (CVP) thường âm dưới 0 cm H2O và thiểu niệu (< 400 ml/ 24 giờ).
Hội chứng ure máu cao, lâm sàng đa dạng với biểu hiện da, niêm mạc xanh nhạt vàng, thở chậm, sâu (Kussmaul) mùi khai nồng, mắt xuất huyết, xuất tiết, phù nề gai thị, đồng tử nhỏ. Viêm màng ngoài tim, tiếng cọ xuất hiện, suy tim. Tiêu hoá biểu hiện chán ăn, buồn nôn, nấc, táo bón, đi lỏng, xuất huyết tiêu hoá. Thần kinh tâm thần có nhức đầu mệt mỏi, lơ mơ, sững sờ, trằn trọc, kích thích, vật vả, co giật, hôn mê. Thiếu máu nặng, có thể xuất huyết nhiều nơi ở da, niêm mạc. Cận lâm sàng có ure, creatinin, acide uric tăng cao, lọc cầu thận giảm nặng, protein niệu (+), trụ niệu (+).
Tăng kali máu: kali huyết thanh thường tăng > 5 mmol/l ở bệnh nhân suy thận cấp thực thể, có thiểu à vô niệu. Đặc biệt có thể tăng 0.5 mmol /L/ ngày ở các trường hợp vô niệu dài ngày. Tăng kali máu nhẹ là < 6 mmol/l; tăng vừa là 6-7 mmol/l; tăng nặng nguy hiểm khi >7 mmol/L. Căn cứ để đánh giá mức độ tăng kali máu là điện tâm đồ (ECG), điện giải đồ (tăng kali máu nhẹ chỉ có sóng T cao nhọn, đối xứng, rõ ở các chuyển đạo (P) trước tim), và các biểu hiện lâm sàng; Nếu tăng vừa thêm mất sóng P; tăng kali máu nặng trên ECG thêm khoảng PR kéo dài, phứcc hợp QRS dãn rộng, cuối cùng là rung thất và có thể xảy ra ngừng tim do tác động độc cho tim. Về lâm sàng thì thấy kali máu cao khi huyết áp thấp, bụng chướng, liệt ruột, dị cảm đầu chi, phản xạ gân xương giảm, thậm chí liệt mềm tứ chi, suy hô hấp. Độc tính của kali máu cao với cơ tim càng tăng khi đồng thời có nhiễm toan chuyển hoá.
Nhiễm toan chuyển hoá: chẩn đoán căn cứ vào xét nghiệm còn lâm sàng không mang tính đặc trưng (xét nghiệm: HCO3 huyết tương giảm vừa phải từ 15-18 mmol/l, nếu giảm £ 15 mmol/l là nặng, pH máu thấp và nặng khi ở mức 7.2. Có thể ảnh hưởng đến tim gây hạ huyết áp, hay ảnh hưởng đến thần kinh: hôn mê, mất ý thức. Trong 200 bệnh nhân điều trị tại một só cơ sở quân y từ năm 1966 - 1974 đã có 34 (17%) trường hợp vô niệu < 100ml/24 giờ. Những năm gần đây, nhiều tác giả còn thấy tỷ lệ này > 35% (tại Huế và thành phố Hồ Chí Minh).
Truỵ tim mạch, suy tuần hoàn: huyết áp tụt và mạch nhanh cũng là một biễn chứng hay gặp, nhưng có 2 loại căn nguyên và tiên lượng khác nhau. Loại nhẹ: do cơn tán huyết gây giảm áp lực keo, hoặc do mất nước và muối (nôn, mồ hôi, ỉa lỏng), loại này xuất hiện sớm chiếm 19-20%. Loại nặng: huyết áp tụt vào giai đoạn muộn do suy thận cấp thực thể có tăng kali máu, hoặc suy cơ tim do thiêu oxy cơ tim, chiếm khoảng 8% các ca ngừng tim đột ngột do kali tăng.
Hội chứng não cấp: một số bệnh nhân SRĐHCT (14%) đi dần vào hôn mê co giật do một trong 2 căn nguyên: tan huyết dữ dội do thiếu oxy não (8.4%) hoặc hôn mê do ure huyết cao (5.6%). Trường hợp đầu xuất hiện sớm, trường hợp sau xuất hiện muộn. Ngoài ra còn một số SRAT thể não bắt đầu bằng hôn mê co giật, sau chuyển thành SRĐHCT. Đây là một thể SRAT thể não với thể đái huyết cầu tố.
Biến chứng gan mật: chỉ có vài bệnh nhân SRĐHCT tuy đã hết sốt, chấm dứt cơn tán huyết, nước tiểu hết huyết cầu tố nhưng tình trạng xấu dần, vàng da ngày một tăng, bilirubine máu tiếp tục cao chủ yếu là dạng trực tiếp, men gan cao, bệnh cảnh suy gan cấp do hoại tử nhu mô gan cấp diễn hoặc một bệnh cảnh tắc mật vì sạn sỏi mật, túi mật có khi căng.
Tiên lượng
SRĐHCT là một thể bệnh nặng, nếu là loại SRĐHCT tự phát phát, nghĩa là từ bệnh sốt rét thì diến tiến thường nặng hơn SRĐHCT do thuốc sốt rét và có các đặc điểm: nhiều cơn sốt và nhiều cơn tán huyết, hồng cầu tụt nhanh, vàng da, niêm mạc đậm, hay biến chứng suy thận cấp. Hiện tượng SRĐHCT hoặc biến chứng này rất hiếm gặp nhưng nguy hiểm vô cùng.
Phần lớn là do nhiễm loại P. falciparum. SRĐHCT có tỷ lệ tử vong cao, triệu chứng bao gồm mạch nhanh, rét run, suy nhược và rất mệt mỏi, diễn tiến thiếu máu nhanh và màu sắc nước tiểu chuyển sang sậm màu hoặc đen. Sự thay đổi màu sắc nước tiểu do sự có mặt của một lượng lớn Hb ly giải trong quá trình phá hủy nhiều tế bào hồng cầu bị ký sinh bởi KSTSR.
Để tiên lượng sớm, cần đánh giá ngay trong giai đoạn đầu của sự đáp ứng thích nghi của bệnh nhân trước tình trạng thiếu máu, thiếu oxy cấp diễn biểu hiện ở trạng thái thần kinh, mach, huyết áp…Tình trạng vật vả, mạch nhanh nhỏ, thở gấp, huyết áp dao động không ổn định là những biểu hiện nặng của một cơ thể đang cố gắng thích nghi trước một tình trạng thiếu máu dữ dội và thiếu oxy cấp diễn.
Ngược lại, mạch, huyết áp, nhịp thở ổn định và trạng thái bình tĩnh của bệnh nhân là biểu hiện thích nghi không khó khăn, tiên lượng tốt hơn. Số lượng hồng cầu giảm cũng có ý nghĩa tiên lượng, nhưng khoảng cách tụt hồng cầu nhanh hay ít so với trước khi bệnh phát có giá trị tiên lượng bệnh quan trọng hơn.
Cơn sốt rét và cơn tan máu xảy ra hàng ngày là một dấu hiệu nặng, vì thông thường chỉ có 1-2 cơn tán huyết là dứt, nhất là trường hợp do nguyên nhân thuốc, nếu do KSTSR kháng thuốc thì cơn sốt rét tái diễn hằng ngày. Để xác định điểm này, cần theo dõi: Nếu bệnh nhân còn sốt cao, có cơn rét run, màu sắc nước tiểu sáng nhạt chiều sẫm, hồng cầu tụt dần là quá trình tan máu chưa chấm dứt. Nôn nhiều và vả mồ hôi nhiều là dấu hiệu nặng vì rối loạn nước và điện giải.
Lượng nước tiểu< 20 ml/giờ và ure và creatinine máu tăng dần, ure niệu và natri niệu thấp dưới mức trung bình, kali máu, HCO3 máu thấp là những dấu hiệu bệnh nhân đã chuyển vào suy thận thực thể, tiên lượng nặng và chờ đến khi vô niệu thì tiên lượng quá rõ ràng, bệnh nặng và không con giá trị tiên lượng sớm nữa.
Dấu hiệu | Vừa | Nặng | Rất nặng |
Tâm thần kinh | ổn định | Lo âu, vật vả, hốt hoảng | U ám |
Tuần hoàn hô hấp | ổn định | Mạch nhanh, HA dao động, thở gấp | Mạch > 100, nhỏ, HA tụt, thở gấp, nhanh nôn |
Tiêu hoá | Không nôn, nôn ít | Nôn mức độ vừa | Nôn nhiều, ỉa lỏng, bụng chướng, nấc |
Máu | HC: 2 - 3 triệu/mm3 | HC: 1-2 triệu/ mm3, khoảng cách tụt HC lớn | HC: 1 triệu/mm3, khoảng cách tụt HC lớn |
Nước tiểu | 500 - 1.000ml/24g | £ 400 ml/24g nâu sẫm. | < 100 ml/24g, nâu đen |
Sốt và cơn tan huyết | 380C, rét nhẹ, có 1- 2 cơn tán huyết | 39 - 400C. Rét run, 3-4 cơn tán huyết | > 39 - 400C, rét run nhiều ngày, có ≥ 5 cơn huyết tán mỗi ngày |
-Vàng da -Bilirubine -Ure máu | Nhẹ < 5 mg/L 40 - 100mg/dl | Vừa 6 - 10mg/dl > 100 - 300 mg/dl | Đậm > 10 mg/dl > 300 mg/dl |
Tử vong trung bình trong SRĐHCT là 17.5%tương tự như một số tác giả Việt Nam từ 10.9 - 21.3%. Nguyên nhân trực tiếp gây tử vong là: suy thận cấp, ure máu cao, kali máu tăng, hôn mê do thiếu oxy não, truỵ tim mạch, tụt huyết áp do suy cơ tim vì thiếu oxy hoặc tăng kali máu.