GIỚI THIỆU
 Viêm thực quản tăng bạch cầu ái toan (Eosinophilic esophagitis-EoE)) là một dạng bệnh lý thuộc nhóm bệnh viêm hệ tiêu hóa tăng bạch cầu ái toan (EGID) xảy ra tại vị trí thực quản. Bạch cầu ái toan (BCAT) thâm nhiễm nhiều trong thực quản, gây đỏ, sưng phồng và tổn thương. EoE ngày càng được nhận ra và chẩn đoán nhiều ca bệnh hơn ở thực quản. Tỷ lệ mắc mới tình trạng này gia tăng theo các bệnh lý mạn tính, bệnh rối loạn dung nạp thức ăn như từng xảy ra tại Úc và được chẩn đoán thường bắt đầu do bệnh nhân phàn nàn về khó nuốt hay nuốt vướng.
 EoE là một rối loạn dịu ứng ang gia tăng lưu hành ở thực quản. Đặc trưng lâm sàng bởi các rối loạn chức năng thực quản (oesophageal dysfunction) và về mặt vi thể có thể viêm thâm nhiêm BCAT ở thực quản. Điều trị liên quan đến việc tránh các thực phẩm và liệu pháp thuốc corticosteroid cần gián đoạn hay lâu dài do bản chất bệnh hay tái phát. EoE có thể cải thiện thông qua cải thiện chất lượng sống bệnh nhân.
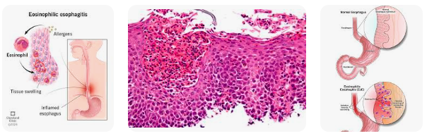
 Hình 1. Viêm thực quản tăng bạch cầu ái toan và hình ảnh mô học sau sinh thiết
 |Nguồn: Cleveland Clinic, 2024
 TRIỆU CHỨNG LÂM SÀNG
 Triệu chứng  EoE có thể gồm:
 - Trào ngược: cảm giác bỏng rát ở vùng thực quản nhưng không đáp ứng với các thuốc kháng tiết acid;
 - Một lúc nào đó có cảm giác khó nuốt;
 - Thực phẩm cảm giác mắc lại ở đoạn thực quản;
 - Buồn nôn và nôn: Cảm giác đau và muốn nôn ra ngoài và sau đó có thể nôn ra;
 - Suy dinh dưỡng và chậm phát triển;
 - Đau ngực và đau bụng với trạng thái khác nhau từ cảm giác nê no đến đau cấp xảy ra trong dạ dày, ruột hay ngực;
 - Chán ăn và không muốn ăn;
 - Rối loạn giấc ngủ.
Eosinophilic oesophagitis (EoE) hiện nay được nhận ra như một tình trạng rối loạn viêm mạn tính (chronic inflammatory disorder) của thực quản, dẫn đến rối loạn chức năng thực quản và các triệu chứng điển hình của khó nuốt và cảm giác nóng. Những ca bệnh đầu tiên của viêm thực quản tăng BCAT được báo cáo vào đầu những năm 1960 và 1970. Tuy nhiên, EoE được công nhận chính thức vào năm 1993 qua loạt ca bệnh viêm thực quản tăng BCAT nhưng thiếu bằng chứng trào ngược acid (acid reflux). 
Trước đây, hầu hết ca bệnh EoE được phân loại như trào ngược dạ dày thực quản (gastro-oesophageal reflux disease_GORD). Tuy nhiên, chẩn đoán này vấp phải câu hỏi về nghiên cứu độ pH thực quản của bệnh nhân lại thường là bình thường và triệu chứng hầu như không đáp ứng với thuốc ức chế acid.
Hình 2. Nội soi thực quản và cảm giác nuốt nghẹn hay vướng thức ăn trong bệnh lý EoE
Nguồn: Mayo Clinic, 2024
DỊCH TỄ HỌC
Tỷ lệ EoE tại Úc được ước tính 1/100 người lớn và 1/10.000 trên trẻ em và tỷ lệ này hiện đang tiếp tục gia tăng và các nghiên cứu chỉ ra việc phát hiện tỷ lệ gia tăng không phải do gia tăng kiến thức hiểu biết dân chúng được cải thiện. Giả thuyết về vệ sinh đang được coi là một nguyên nhân. Hầu hết bệnh nhân có một tiền sử bệnh cơ địa khác (hen suyễn, viêm mũi dị ứng hay viêm da cơ địa). 
EoE thường phổ biến trên nam giới hơn là nữ giới và thường xuất hiện ở tuổi 40 hoặc trẻ hơn. Tiền sử gia đình là bằng chứng chiếm 7% số ca.
SINH LÝ BỆNH NGUYÊN (Aetiopathogenesis)
Hiểu biết hiện tại của bệnh nguyên và bệnh sinh của EoE vẫn còn hạn hữu. Đây là một bệnh lý mạn tính liên quan đến quan hệ nội tai giữa các yếu tố di truyền va môi trường. Thay đổi các đáp ứng vật chủ như một phản ứng thực quản dị ứng với các protein thực phẩm trong chế độ ăn. Các kháng nguyên từ các loại thực phẩm khác nhau (sửa, bột mì, đậu nành, trứng và hải sản) đã được chỉ ra.
 - Viêm mạn tính và thâm nhiễm BCAT ở thực quản dẫn đến lắng đọng mô tơ sợi dưới biểu mô (subepithelial fibrous tissue). Rối loạn chức năng và chỉnh sửa thực quản đồng thời. Vào giai đoạn cuối, bệnh có thể tiến triển chít hẹp thành thực quản, gây khó nuốt và sinh ra tắc nghẽn thức ăn;
 - EoE là một tình trạng lâm sàng và bệnh học khác biệt, không giống với GORD và hoàn toàn không liên quan đến trào ngược acid.
 
 ĐẶC ĐIỂM LÂM SÀNG
 Đặc điểm lâm sàng của EoE khác nhau lệ thuộc vào tuổi của bệnh nhân. Trẻ em có thể bieur hiện khó ăn uống, buồn nôn hay nôn. Tuổi thiếu niên và người lớn thường phàn nàn khó nuốt hay nghẹn thức ăn. Các triệu chứng khác có thể bao gồm cảm giác nóng rát, khó nuốt và đau ngực. Nhiều bệnh nhân có lưu ý đến hiện tượng ức chế acid đang ra để chẩn đoán thử GORD, nên điều này đã làm giảm cải thiện triệu chứng tối thiểu của họ.
 Hình 3. Diễn tiến viêm thực quản tăng BCAT và các bệnh nguyên có thể góp phần
 Bệnh sử tự nhiên của EoE phần lớn không biết. Loạt nghiên cứu bệnh chứng cho thấy rằng hầu hết bệnh nhân không điều trị đã dẫn đến triệu chứng cuối cùng, mà các triệu chứng này hiếm khi tự giải quyết hay khỏi, trong hầu hết trường hợp diễn tiến tệ hơn theo thời gian. EoE thường đi kèm với mất chức năng thực quản lan tỏa. Trong các trường hợp nặng, các bệnh nhân biểu hiện va chạm cục thức ăn như một dấu hiệu thực quản hẹp và rối loạn nhu động. 
 Các bệnh nhân mắc thể tiến triển có nguy cơ thủng thực quản tự phát (spontaneous oesophageal perforation hay Boerhaave’s syndrome) và thủng thực quản trong lúc nội soi, cả hai đều được ghi nhận và báo cáo tại Úc.
 EoE mạn tính thường không được biết đã sinh ra tình trạng chuyển sản ruột (intestinal metaplasia) hay thành Barrett thực quản và không có khuynh hướng thành ung thư tế bào tuyến ở thực quản (oesophageal adenocarcinoma).
 CHẨN ĐOÁN VIÊM THỰC QUẢN TĂNG BCAT (EoE)
 Một cán bộ y tế có thể kiểm tra xem liệu các tình trạng khác có thể gây ra các triệu chứng tương tự. Bệnh ý trào ngược dạ dày thực quản (Gastroesophageal Reflux Disease-GERD) có nhiều triệu chứng tương tự như EoE. GERD là một tình trạng thường gặp mà khi đó bệnh nhân có cảm giác nóng rát ở ngực và họng. Nội soi tiêu hóa trên được tiến hành để kiểm tra các dấu chứng của EoE. Sinh thiết được làm để xác định chẩn đoán bệnh lý EoE. 
 Nội soi sẽ thấy bất kỳ tổn thương nào, viêm hay thành thực quản dày. Sinh thiết giúp chúng ta xem xét lại số lượng bạch cầu ái toan (BCAT) trong mẫu mô sinh thiết lấy ra. Sinh thiết đặc biệt quan trọng trong xét nghiệm cận lâm sàng bệnh lý EoE vì khoảng 20% người mắc EoE có thể có hình ảnh nội soi bình thường.
 Chẩn đoán EoE nên dựa vào triệu chứng, hình ảnh nội soi tiêu hóa và phân tích mô bệnh học. Tiêu chuẩn chẩn đoán được cháp nhận rộng rãi nhất được American College of Gastroenterology (ACG) đưa ra vào năm 2013.
    |   Bảng 1. Tiêu chuẩn chẩn đoán viêm thực quản tăng bạch cầu ái toan   |  
  |   Bao gồm tất cả tiêu chí sau:   - Các triệu chứng liên quan đến rối loạn chức năng thực quản;
  - ≥15 BCAT/ vi trường có độ phóng đại cao trên mẫu sinh thiết;
  - Tồn tại BCAT sau khi đã thử dùng thuốc ức chế bơm proton;
  - Các nguyên nhân thứ phát dẫn đến tăng BCAT đều đã loại trừ.
     |  
  |   Bảng 2. Nguyên nhân gây viêm thực quản tăng bạch cầu ái toan   |  
    - Viêm thực quản có tăng BCAT;
  - Bệnh lý trào ngược dạ dày thực quản;
  - Tăng BCAT thực quản đáp ứng thuốc ưc chế bơm proton;
  - Co thắt tâm vị (Achalasia);
  - Bệnh Crohn;
  - Nhiễm Ký sinh trùng;
  - Mẫn cảm với thuốc;
  - Bệnh lý mô liên kết (xơ cứng bì, viêm da cơ);
  - Bệnh Coeliac;
  - Hội chứng tăng nhiễm BCAT;
     |  
   |  
 
      |   Bảng 3. Đặc điểm nội soi trong viêm thực quản tăng bạch cầu ái toan   |  
    - Hình ảnh luống cày theo chiều dọc xuống (Longitudinal furrows);
  - tổn thương cả khí quản liên đới;
  - Chất tiết trắng;
  - Thành thực quản dễ mụn nát (Wall friability);
  - Hẹp thực quản;
  - Mất mô hình mạch máu thực quản.
     |  
 
   Test chẩn đoán ban đầu cho các bệnh nhân nghi ngờ mắc EoE nên làm nội soi tiêu hóa trên có kèm theo sinh thiết. Chẩn đoán đòi hỏi theo dõi sự tồn tại BCAT trong thực quản trong một thời gian dài dùng thuốc PPI. Điều trị PPI trong thời gian 8 tuần (như khuyến cáo và hướng dẫn của ACG) vừa là chẩn đoán EoE, quan trọng để phân biệt giữa EoE thật sự hay GORD. Nhiều bệnh nhân cần thực hiện nội soi tiêu hóa trên ngay trước khi bắt đầu điều trị thử nghiệm PPI vì khó nuốt là một dấu hiệu cảnh báo ung thư. Lặp lại nội soi sau khi đã hoàn thành điều trị PPI để có thể xác định sự tồn tại dấu tăng BCAT hay không.
 Hình 4. Hệ thống thang điểm đánh giá viêm thực quản có tăng BCAT |Nguồn: WGO, 2013
 Tiêu chuẩn chẩn đoán mô bệnh học đòi hỏi tối thiểu số lượng 15 BCAT/vi trường có độ phóng đại cao (hpf) khi soi dưới kính hiển vi. Hầu hết các nhà tiêu hóa ưa sinh thiết nhiều vùng khác nhau trong đoạn gần và đoạn xa của thực quản vì sự phân bố của BCAT trong bệnh lý EoE có thể thành các mảng riêng biệt. Có một số tình trạng có thể gây ra phản ứng viêm tăng BCAT và điều quan trọng là làm thế nào loại bỏ các nguyên nhân không phù hợp. 
 Một số đặc điểm nội soi có thể xác định mô tả trong bệnh lý EoE và các bất thường trên nội soi có thể nhìn thấy ở 90% số ca EoE. Hình ảnh X-quang thường ít có giá trị trong chẩn đoán bệnh lý EoE, mặc dù chúng có thể mang lại một số thông tin bổ sung khi dùng nó để chẩn đoán thay thế. Chẳng hạn, chụp có barium nuốt đôi khi phát hiện một đoạn hẹp dài hay một đoạn do có liên quan đến khí quản.
 CHẨN ĐOÁN PHÂN BIỆT GIỮA EoE VỚI GORD
 Nhiều bệnh nhân mắc EoE bị chẩn đoán nhầm với GORD. Chẩn đoán phân biệt giữa EoE với GORD là rất quan trọng và thường phân biệt rõ ràng (xem bảng). Cả hai tình trạng này đều có thể thể có triệu chứng khó nuốt, nhưng cảm giác nóng và trào ngược có xu hướng hay gặp ở GORD nhiều hơn. Điều này đặc biệt đúng trên các bệnh nhân người lớn. 
 Nghiên cứu độ pH ở thực quản và thực nghiệm trở kháng sẽ giúp xác định GORD, nhưng các biện pháp này hiếm khi thực hiện trong thực hành lâm sàng. Đặc điểm nội soi trên bệnh EoE là đang thiếu trên các bệnh nhân mắc GORD. Cả hai bệnh lý này có thể có tăng BCAT khi sinh thiết, nhưng mức độ điển hình cao hơn trong bệnh lý EoE.
       |   Bảng 1. Các yếu tố phân biệt viêm thực quản tăng BCAT (eosinophilic oesophagitis)   và viêm thực quản trào ngược(reflux oesophagitis)   |     |   Viêm thực quản tăng BCAT (EoE)   |    Viêm dạ dày thực quản trào ngược (GORD)   |     |   Về lâm sàng   |      - Vướng thức ăn ở trên cả trẻ lớn và người lớn
 - Tỷ số nam/nữ = 3:1
 - Thường phối hợp trên nền có bệnh cơ địa
    |   - Cảm giác vướng thức ăn hiếm
 - Tỷ số nam/Nữ = 1:1
 - Đôi khi có bệnh cơ địa đi kèm.
    |     |   Nghiên cứu trở kháng và độ pH thực quản   |     |    |   - Bằng chứng có trào ngược acid
    |     |   Nội soi   |      - Đặc điểm cổ điển (mô tả ở trên)
    |     |     |   Về phân tích mô bệnh học   |      - Viêm thực quan đoạn gần và xa;
 - Tăng sản biểu mô
 - ≥15 BCAT/vi trường độ phóng đại cao
    |   - Tăng BCAT phân tán (đôi khi lan rộng)
    |         |  
 
 Còn nữa --> tiếp theo Phần 2
 TS.BS. Huỳnh Hồng Quang
 Viện Sốt rét-KST-CT Quy Nhơn