Trong thực hành lâm sàng điều trị bệnh sốt rét, đặc biệt là sốt rét ác tính (SRAT) do P. falciparum thường thì SRAT sẽ dẫn đến tử vong, hoặc dẫn đến các biến chứng nặng hoặc di chứng. Song, các tác gia đều công nhận rằng quản lý ca bệnh - phần lớn số ca sau khi hồi phục và đáp ứng với ddieuf trị, sạch ký sinh trùng sốt rét là cho bệnh nhân xuất viện mà …không có quá trình theo dõi hoặc hẹn tái khám nào. Điều thú vị trong nghiên cứu, là nhiều bệnh nhân SRAT sau một thời gian hồi phục hoàn toàn lại xuất hiện một hội chứng thần kinh mà hoàn toàn không liên quan đến bệnh lý thần kinh nào khác ngoài sốt rét, người ta hay gọi là hội chứng thần kinh hậu sốt rét (postmalarial neurological syndrome_PMNS).
Hội chứng PMNS là một hội chứng PMNS bệnh lý não sau nhiễm trùng, tự giới hạn xảy ratrong vòng 2 tháng sau giai đoạn bệnh sốt rét do P. falciparum. Hiện tượng này càn phân biệt hoàn toàn với biến chứng thần kinh do SRAT thể não. Có một số bằng chứng cho thấy bệnh sinh của PMNS là miễn dịch qua trung gian, có khả năng vì một tiến trình diễn ra tựa như phân tử mà qua đó các kháng thể với kháng nguyên trình diện bởi một vài chủng P. falciparum phản ứng chéo với kháng nguyên trong hệ thần kinh trung ương. Cả hai bệnh nhân báo cáo ở đây có thay đổi phản ứng viêm trong dịch não tủy nhưng không thấy trong máu ngoại vi, điều này phù hợp với tiến triển đáp ứng viêm xác định trong hệ thần kinh trung ương.
Hội chứng thần kinh sau sốt rét : báo cáo ca bệnh tại Gambia
Nhóm tác giả Stephen D. Lawn, Katie L. Flanagan, Stephen G. Wright, Tom F. Doherty, and Peter Godfrey-Faussett tại BV Nhiệt đới London, United Kingdom. Nhóm tác giả này đã mô tả 2 bệnh nhân có biểu hiện sốt rét ác tính (SRAT) Plasmodium falciparum mà trong thời gian dưỡng bệnh của học đã xuất hiện biến chứng bởi sốt, với cơn lú lẫn cấp và không còn khả năng tính toán (acute confusion and acalculia) trên một bệnh nhân và bị tam chứng co giật cơ (myoclonus), rung rũ cánh và rối loạn nói trên một bệnh nhân khác. Các thay đỏi viêm tìm thấy trong mẫu dịch não tủy. Hội chứng thần kinh sau sốt rét (PMNS_Postmalaria neurological syndrome) được chẩn đoán trên các bệnh nhân này và một đáp ứng với liệu pháp corticosteroids đường uống trên ca thứ hai.
Bệnh nhân người lớn da trắng của Anh cho biết không dùng thuốc sốt rét dự phòng khi đến thăm và nghỉ tại Gambia, Tây Phi và cả hai bệnh nhân đều bị SRAT sau khi trở về Anh. Biểu hiện lâm sàng chia làm hai giai đoạn: sau khi hồi phục bệnh sốt rét, họ đã xuất hiện sốt tái phát đi kèm theo bệnh lý não (hình 1). Nhân đây, chúng tôi báo cáo về điều tra và các hậu quả của biến chứng muộn do sốt rét Plasmodium falciparum.
Bệnh nhân A: 23 ngày sau khi trở về từGambia, một người đàn ông khỏe mạnh 44 tuổi nhập viện với tiến sử sốt 4 ngày trước đó. Sốt rét do P. falciparum đã được chẩn đoán dựa trên lam nhuộm giêm sa, mật độ KSTSR ban đầu chiếm 32% số hồng cầu nhiễm. Các biến chứng cấp bao gồm tán huyết, giảm tiểu cầu nặng, bệnh lý đông máu nhẹ và biểu hiện viêm gan do sốt rét (malaria-induced hepatitis). Bệnh nhân A được điều trị tại khoa chăm sóc tích cực bằng quinine tiêm, truyền 6 đơn vị máu và các biên pháp trị liệu hỗ trợ khác. Về mặt lâm sàng cũng đã có biến chứng bằng hội chứng suy hô hấp cấp (ARDS_respiratory distress syndrome), cần phải thông khí cơ học từ ngày 3-12. Ngoài ra, còn dẫn đến suy thận cấp cần phải lọc máu từ ngày 3-12. Mật độ KSTSR giảm nhanh chóng, tuy nhiên làm sạch vào ngày thứ 6, khi bệnh nhân điều trị với một liều duy nhất sulfadoxine/pyrimethamine. Từ ngày 12 trở đi, bệnh nhân đã cải thiện và không còn lệ thuộc thở thông khí và chạy thận và không còn sốt cho đến khi xuất viện vào ngày thứ 19.
Hình ảnh 1: Biểu đồ cho thấy lâm sàng biểu hiện 2 giai đoạn của hai bệnh nhân (bệnh nhânt A và B) bị sốt rét P.falciparum đã phát triển ra hội chứng PMNS trong thời gian đã hồi phục bệnh.
Tuy nhiên, một ngày sau khi trở về nhà bệnh nhân trở nên nói rời rạc, không rõ ràng và tâm lý bất bình thường và hành vi không hợp tác. Anh ta phải nhập viện trở lại vào ngày thứ 22. Khi thăm khám, thân nhiệt là 37.8°C nhưng không phát hiện nhiễm trùng trên lâm sàng, không có dấu màng não và không có dấu thần kinh gì bất thường khác hơn là cơn lú lẫn cấp và thang điểm Glasgow 12/15. Đường máu, pH máu, khí máu động mạch bình thường. CT và chụp gadolinium-enhanced T1- & T2-weighted MRI scans não cũng cho hình ảnh bình thường. Phân tích mẫu dịch não tủy chọc ra cho thấy dịch không màu, trong suốt, có 4 bạch cầu lymphocytes/mm3, đường trong dịch não tủy bình thường và tăng protein lên 0.89 g/L (BT: 0.2–0.4 g/L). Bệnh nhân được điều trị ngay bằng thuốc cefotaxime và aciclovir tiêm tĩnh mạch.
Xét nghiệm sau đó kiểm tra về nhiễm trùng vi khuản, virus và nấm trong dịch não tủy bệnh nhân cho kết quả âm tính; tuy nhiên, các test này bao gồm nuôi cấy vi khuẩn và virus, phân tích PCR đối với nhóm virus herpes và Mycobacterium tuberculosis và thử nghiệm tìm cryptococcal antigen. Kết quả xét nghiệm lam máu tìm KSTSR và Trypanosomes đều âm tính. Dù sốt với nhiệt độ thấp còn tồn tại (37.2-38.2°C), bệnh nhân không có phản ứng đáp ứng viêm trong máu ngoại vi; bồng độ C-reactive protein (CRP) trong huyết thanh vẫn < 2.0 mg/L và số bạch cầu chung đếm được vẫn trong giới hạn bình thường. Cấy máu, nước tiểu và phân cùng phết họng đều âm tính. Không có bằng chứng nhiễm trùng liên quan đến truyền máu hoặc bệnh lý tư miễn. Sàng lọc với các xét nghiệm sinh hóa cũng bình thường, bao gồm điện giải, ure và creatinine và chức năng gan bình thường.
Bệnh nhân được điều trị triệu chứng và tình trạng lú lẫn cấp dần dần được cải thiện qua một tuần. Do đó, bệnh nhân cần lưu ý điểm không thể thực hiện các phép tính đơn giản. Mất khả năng tính toán của bệnh nhân không liên quan đến rối loạn ngôn ngữ hoặc các đặc điểm khác của rối loạn chức năng về không gian thời gian. Tình trạng sốt của anh ta tồn tại đến ngày thứ 16 và hồi phục hoàn toàn với không có di chứng về lâu dài. Không có chẩn đoán rõ ràng về cái sốt của bệnh nhân và các triệu chứng thần kinh được đưa ra cho đến khi diễn biến lâm sàng của bệnh nhân B gợi ý là có thể.
Bệnh nhân B: Một tháng sau khi bệnh nhân A nhập viện và 17 ngày sau khi trở về Anh từ Tây Phi, một phụ nữ 22 tuổi nhập vào khoa chăm sóc tích cực với tiến sử bệnh đã sốt 1 tuần. Sốt rét do P. falciparum là chẩn đoán xác định; mật độ KSTSR trong máu ban đầu 22% số hồng cầu nhiễm. Các biến chứng cấp bao gồm tan máu, giảm tiểu cầu nặng và xuất hiện Hb niệu đáng kể và toan chuyển hóa. Bệnh nhân cũng biểu hiện hội chứng ARDS và đòi hỏi thông khí cơ học từ ngày 3-9. Bệnh nhân được điều trị bằng quinine tiêm tĩnh mạch, truyền 6 đơn vị máu. Mật độ KSTSR vào ngày 6 đã sạch, khi bệnh nhân cho thêm liều đơn sulfadoxine/pyrimethamine. Từ ngày 10-13 bệnh nhân hết sốt và không còn thở máy, tiến triển tốt và chuyển sang giai đoạn hồi phục.
Tuy nhiên, vào ngày thứ 13, bệnh nhân sốt tái phát và có các triệu chứng thần kinh tăng gấp 3 lần: co giật cơ cảnh tay và chân, mà điều này rất nhạy với thính giác và cảm giác, rung rủ cánh thân mình, rối loạn ngôn ngữ không có liên quan đến các đặc điểm rối loạn chức năng không gian thời gian khác. Chụp CT và chụp MRI có gadolinium-enhanced T1- and T2-weighted MRI scans não bộ cho hình ảnh bình thường. Khi phân tích dịch não tủy, áp lực bình thường (12 cm), tăng nồng độ protein đáng kể (2.39 g/L), 59 lymphocytes/mm3 và nồng độ glucose bình thường. Cấy dịch não tủy vô trùng với vi khuẩn và virus, kháng nguyên cryptococcus âm tính và PCR đối với herpes cũng như M. tuberculosis đều âm tính.
Điện não đồ chỉ ra sóng hoạt động kém tương ứng với bệnh lý não. Xét nghiệm lam máu âm tính với KSTSR và trypanosomes. Mặc dù sốt tồn tại và dao động (khoảng nhiệt độ 37.3 - 39.4°C), bệnh nhân không có phản ứng đáp ứng viêm ở máu ngoại vi; nồng độ CRP trong huyết thanh < 2.0 mg/L và đếm bạch cầu < 4.5 × 109 cells/L. Cấy máu, nước tiểu và phân cùng chất tiết họng vô trùng, và xét nghiệm cả HIV1 và 2 đều âm tính. Không có bằng chứng liên quan đến nhiễm trùngdo truyền máu hoặc bệnh lý tự miễn. Xét nghiệm sinh hóa máu bình thường (bao gồm điện giải đồ, glucose máu và acide-base). Tổng hợp về dược dã xác định không có kê toa thêm thuốc nào có thể gây ra các triệu chứng như trên.
Tuy nhiên, một nghiên cứu tổng hợp y văn, xác định một ca bệnh bởi tác giả Schnorf và cộng sự mô tả về bệnh lý não trên bệnh nhân xảy ra trong giai đoạn hồi phục của sốt rét do P. falciparum đã điều trị khỏi. Schnorf và cộng sự đã chẩn đoán là hội chứng PMNS và báo cáo rằng đều có sốt và có triệu chứng thần kinh, đặc biệt đáp ứng nhanh với liệu pháp corticosteroid. Dựa vào đây, sau khi đã loại các bệnh lý khác, bệnh nhân B được chẩn đoán là PMNS. Bệnh nhân được điều trị 10 ngày bằng liều giảm dần của prednisolone với liều ban đầu 60 mg/ngày. Điều trị có liên quan đến giảm sốt và cải thiện các triệu chứng thần kinh nhanh chóng, bệnh được giải quyết sau 5 ngày điều trị. Bệnh nhân B đã hồi phục hoàn toàn mà theo dõi sau đó không thấy một di chứng thần kinh nào.
Một số bàn luận
PMNS là một hội chứng PMNS bệnh lý não sau nhiễm trùng, tự giới hạn xảy ra trong vòng 2 tháng sau giai đoạn bệnh sốt rét do P. falciparum. Hiện tượng này càn phân biệt hoàn toàn với biến chứng thần kinh do SRAT thể não. Có một số bằng chứng cho thấy bệnh sinh của PMNS là miễn dịch qua trung gian, có khả năng vì một tiến trình diễn ra tựa như phân tử mà qua đó các kháng thể với kháng nguyên trình diện bởi một vài chủng P. falciparum phản ứng chéo với kháng nguyên trong hệ thần kinh trung ương. Cả hai bệnh nhân báo cáo ở đây có thay đổi phản ứng viêm trong dịch não tủy nhưng không thấy trong máu ngoại vi, điều này phù hợp với tiến triển đáp ứng viêm xác định trong hệ thần kinh trung ương.
PMNS có thể có nhiều biểu hiện lâm sàng về thần kinh đa dạng, điều này có thể phân loại vào hai thể chính: Thể thường báo cáo nhất là bệnh lý não định vị nhẹ (mild localized encephalopathy) mà ảnh hưởng lên tiểu não và biểu hiện đơn thuần là thất điều, mất điều hòa đơn thuần. Hầu hết các trường hợp như vậy đã được báo cáo tại Sri Lanka và nó có biểu hiện theo chùm địa lý (?) thể này có thể liên quan đến một số chủng P. falciparum tại chỗ. Thể thứ hai là một bệnh lý não toàn thân (generalized encephalopathy) gây lú lẫn có hoặc không có kèm theo động kinh (epileptic seizures), là thể biểu hiện trội của PMNS tìm thấy trong một nghiên cứu tiến cứu tại Việt Nam. Tần suất của PMNS trong nghiên cứu đó là 1/1.000 cas sốt rét, mặc dù có thể bị nhiễu do thực tế nguy cơ của PMNS cũng có liên quan chặt chẽ với việc sử dụng thuốc mefloquine, mà điều này đã được báo cáo chi tiết trong y văn như là một tác dụng phụ tâm thần kinh (neuropsychiatric side effects). Một báo cáo trước đây về bệnh lý não toàn thân nghiêm trọng, trong đó biểu hiện co giật cơ, rung rủ cánh và rối loạn giọng nói.
2 ca bệnh ở đây quả thực khó chẩn đoán, đặc biệt khi có mặt phản ứng viêm trong dịch não tủy, điều này phát hiện được trong số ít báo cáo về PMNS. Viêm não do nhóm Arbovirus, ddienr hình thời gian ủ bệnh ngắn, chẩn đoán không thể tương tự khởi đầu của bệnh lý não trên mỗi bệnh nhân xảy ra > 1 tháng sau khi trở về Anh từ Tây Phi. Vẫn còn thiếu kiến thức về hội chứng PMNS và phổ hình ảnh lâm sàng có thể dẫn đến chản đoán sót về biến chứng này của sốt rét do P. falciparum. Hình ảnh lâm sàng của bệnh nhân A phù hợp với hội chứng PMNS, với bệnh lý não lan tỏa và rối loạn chức năng thùy đỉnh cục bộ, ngược lại ca bệnh B phát triển nên bệnh lý của PMNS với đặc điểm lâm sàng đặc biệt là cơn co giật cơ, rung rủ cánh và rối loạn giọng nói. Báo cáo này cho thấy tam chứng thần kinh là một biểu hiện của hội chứng PMNS cần phân biệt.
Hội chứng PMNS thường diễn ra ngắn, tự giới hạn và không có di chứng thần kinh lâu dài. Không có thử nghiệm lâm sàng ngẫu nhiên nào về thuốc corticosteroid điều trị hội chứng này được tiến hành. Tuy nhiên, bệnh nhân B đáp ứng với thuốc prednisolone đường uống một cách rõ ràng, cho thấy liệu pháp corticosteroid có thể hữu ích đối với các bệnh nhân có triệu chứng nặng hoặc kéo dài, như báo cáo trước đây. Nó cung cấp thêm bằng chứng rằng hội chứng PMNS là một hiện tượng có liên đới đến cơ chế miễn dịch.
Hội chứng thần kinh hậu sốt rét (PMNS): nghiên cứu thông số lâm sàng và cận lâm sàng
Hội chứng PMNS là một biến chứng hiếm gặp của sốt rét. Nó theo sau một giai đoạn hồi phục điều trị Plasmodium falciparum và biểu hiện lâm sàng bởi các triệu chứng và dấu chứng bệnh lý não. Các bệnh nhân thường cải thiện mà không cần đến điều trị đặc hiệu. Cơ chế bệnh sinh vẫn còn chưa rõ ràng, nhưng nhiều nghiên cứu trước đây cho rằng có liên quan đến cơ chế miễn dịch. Mục tiêu của nghiên cứu ca bệnh này nhằm mô tả ca bệnh đầu tiên người Ý có hội chứng PMNS, là một đàn ông 60 tuổi mắc sốt rét do P. falciparum sau một thời gian ở French Guinea. 20 ngày sau khi hồi phục sốt rét, anh ta trở nên lú lẫn, yếu toàn thân, rung rủ cánh chi, run lạnh và chóng mặt. Các triệu chứng này tiếp tục 3 ngày, rồi sau đó được giải quyết một cách tự phát. Chẩn đoán hình ảnh hệ thần kinh bình thường. Phân tích dịch não tủy không thấy có dấu hiệu đỗ vỡ hàng rào mạch máu não, không có dải band oligoclonal và chỉ số IgG bình thường. Bệnh nhân này có biểu hiện một bệnh lý não lan tỏa nhẹ cho thấy có hoạt hóa của hệ thống miễn dịch mà không có bất kỳ một phản ứng đặc hiệu nào chống lại kháng nguyên trong hệ thần kinh.
Hội chứng thần kinh hậu sốt rét (PMNS): Nghiên cứu tại Việt Nam
Nhóm tác giả Nguyen TH, Day NP, Ly VC, Waller D, Mai NT, Bethell DB, Tran TH, White NJ đang công tác tại Trung Tâm bệnh nhiệt đới thành phố Hồ Chí Minh, Việt Nam cho biết các triệu chứng và dấu chứng thần kinh thường gặp trong sốt rét thì đã rõ ràng, song quan sát gần đây tại Việt Nam và Thái Lan cho thấy một hôi chứng thần kinh riêng biệt thoáng qua sau khi hòi phục điều trị sốt rét ác tính (discrete transient neurological syndrome).
Phương pháp:
Một nghiên cứu tiến cứu về hội chứng PMNS được tiến hành tại hai trung tâm ở Việt Nam hơn 4 năm qua. Tiêu chuẩn chọn bệnh là bị sốt rét có triệu chứng gần đây đã điều trị sạch KSTSR (và trong những ca bệnh SRAT thể não hồi phục hoàn toàn về ý thức) và đã xuất hiện các triệu chứng tâm thần kinh (neurological or psychiatric symptoms) trong vòng 2 tháng sau khi bi bệnh. Một nửa số bệnh nhân SRAT P. falciparum đã tham gia vào nghiên cứu thử nghiệm ngẫu nhiên thuốc sốt rét.
Trong tổng số 18,124 bệnh nhân mắc sốt rét do P. falciparum được điều trị (1176 trong số đó là SRAT), 19 người lớn và 3 trẻ em đã bị hội chứng PMNS sau đó; trên một bệnh nhân sốt rét không biến chứng và 21 ca SRAT. Tỷ lệ mắc toàn bộ (CI95%) của PMNS sau sốt rét P. falciparum là chỉ điểm nghiên cứu chính trong vấn đề này 1.2/1000 (0.7 - 1.8 /1000) và nguy cơ RR (95% CI) để hình thành hội chứng PMNS sau SRAT so với sốt rét không biến chứng do P. falciparum là 299 (40 - 2223) lần. 13 bệnh nhân bị tình trạng lú lẫn cấp hoặc rối loạn tâm thần, 6 ca có 1 hoặc nhiều cơn co giật toàn thân, hai ca có co giật toàn thân theo sau bởi một tình trạng lú lẫn caaos kéo dài và 1 ca có cơn rung rủ cánh nhẹ. Vào thời điểm chẩn đoán PMNS thì tất cả bệnh nhân đều không có ký sinh trùng sốt rét trong máu. Hội chứng tự giới hạn, thời gian trung bình là 60 giờ (khoảng 24-240). PMNS có liên quan đến việc sử dụng thuốc mefloquine uống. Trong thử nghiệm lâm sàng ngẫu nhiễn 4.4% (10/228) bệnh nhân SRAT uống mefloquine sau khi điều trị thuốc tiêm đã có hội chứng PMNS so với 0.5% (1/210) số ca dùng quinine; RR = 9.2 (95% CI 1.2 - 71.3, p = 0.012).
Mefloquine không chỉ là yếu tố nguy cơ duy nhất cho hội chứng PMNS nhưng nó là một yếu tố mạnh. Ở nơi đâu có thuốc thay thế thì không nên dung thuốc mefloquine sau khi đã điều trị sốt rét ác tính bằng thuốc tiêm.
Đặc điểm thần kinh của sốt rét: một bản cập nhật
Một số biến chứng thần kinh có liên quan đến SRAT do P. falciparum. SRAT thể não là một trong những biến chứng kinh khủng nhất. Trẻ em là các đối tượng nhạy cảm nhất với các biến chứng này. Mặc dù đã có sẵn một số loại thuốc sốt rét tiềm năng trong thời gian qua, tình trạng tử vong vẫn chưa có thay đổi. Một số lượng lớn bệnh nhân còn sống sót sau SRAT nhưng còn di chứng khuyết tật thần kinh. Một số bệnh nhân có thể có hội chứng PMNS sau khi hồi phục điều trị sốt rét từ SRAT. Hội chứng tâm thần kinh đa dạng đã được mô tả như là các đặc điểm sớm của SRAT thể não hoặc là một phần trong hội chứng PMNS. Từ khu vực rộng lớn của Nam Á Ấn Độ, một số bệnh nhân có bieur hiện thất điều tiểu não muộn (DCA_delayed cerebellar ataxia) theo sau quá trình hồi phục sốt rét. Trên các bệnh nhi, cơn co giật của SRAT thể não cần phân biệt với co giật do sốt cao. Sốt rét do P. falciparum cũng có liên quan đặc biệt đến cơn co giật của SRAT. Một số báo cáo riêng lẻ của các hội chứng thần kinh khác nhau giống như bệnh lý thần kinh ngoại biên (Several isolated case reports of various other neurological syndromes like peripheral neuropathies), một số rối loạn vận động khác nhau, bệnh lý tủy và hội chứng giống như đột quỵ đã được mô tả. Tuy nhiên, sự liên quan giữa các đặc điểm thần kinh này với bệnh sốt rét vẫn còn nghi ngờ.
Hội chứng tiểu não trong sốt rét do Plasmodium falciparum
Nhóm tác giả gồm các nhà nghiên cứu D.K. Kochar, Shubhakaran, B.L. Kumawat, I. Thanvi và N Agrawal đang công tác tại khoa y, đơn vị thần kinh của đại học y khoa S.P. Medical College, Bikaner, India cho biết có nhiều báo cáo trên y văn về các bệnh nhân sốt rét P. falciparum không có suy giảm về nhận thức nhưng có nhiều dấu chứng báo hiệu rối loạn tiểu não. Hầu hết ca này đã được báo cáo tại Ấn Độ. Mất điều hòa tiểu não cũng thường được báo cáo trong các bệnh nhân SRAT thể não còn sống sau khi hồi phục khỏi hôn mê trên cả trẻ em và người lớn. Gần đây hơn, một hội chứng gọi là thất điều tiểu não muộn (Delayed cerebellar ataxia_DCA) cũng đã được mô tả từ Sri Lanka và India trong đó, thất điều phát triển hình thành sau giai đoạn không còn sốt vài ngày đến vài tuần sau khi điều trị sốt rét P. falciparum.
Trong một nghiên cứu thử nghiệm lâm sàng tiến cứu dựa vào bệnh viện trên 3.188 bệnh nhân người lớn mắc P. falciparum nhập viện PBM và S.P. Medical College Bikaner (Rajasthan) India từ giữa năm 1992-1998, hội chứng tiểu não đã được quan sát trên 49 bệnh nhân ở những giai đoạn khác nhau của nhiễm sốt rét. Tất cả bệnh nhân đều được quản lý theo hướng dẫn của WHO sau khi đã xác định chẩn đoán. Tất cả bệnh nhân được điều trị bằng quinine tiêm tĩnh mạch hoặc đường uống và quản lý ca bệnh theo các đề cương như nhau.
Mất điều hòa tiểu não trong giai đoạn cấp của bệnh với mức độ ý thức bình thường trên 9 bệnh nhân. Có những liên quan chọn lọc đến tiểu não không có bất cứ dấu khiếm khuyết thần kinh nào khác ngoại trừ co giật trên 3 bệnh nhân. Các bệnh nhân này được điều trị SRAT thể não theo hướng dẫn WHO. 7 bệnh nhân hồi phục hoàn toàn vào cuối tuần thứ 4 và 2 bệnh nhân khác vào cuối tháng thứ 2 không có dấu di chứng thần kinh nào. Mất điều hòa tiểu não như một di chứng thần kinh trên các bệnh nhân sống sót sau SRAT thể não, phát hiện trên 22/444 bệnh nhân đã xác dịnh chặt chẽ là SRAT thể não.
Liên quan đến các chi dưới nhiều hơn là chi trên. Rung giật nhãn cầu gặp trên 14 bệnh nhân, rối loạn ngôn ngữ tiểu não (cerebellar dysarthria) trên 9 bệnh nhân và thất điều ở thân trên 8 bệnh nhân. Kiểm tra chi tiết thần kinh được tiến hành 2 tuần một lần và các bệnh nhân này mất 6-16 tuần mới hồi phục hoàn toàn sau khi lấy lại nhận thức. Các yếu tố bệnh nguyên gây nên các di chứng thần kinh trên các ca SRAT thể não là thiếu máu, hạ đường huyết, hôn mê sâu và co giật dai dẳng.
DCA được quan sát trên 18 bệnh nhân. Thời gian trung bình từ khi sốt đến khi bắt đầu khởi phát chứng thất điều tiểu não là 13 ngày (7–21 ngày). Ngoại trừ những ca báo cáo độc lập, thì DCA được mô tả chủ yếu ở Sri Lanka và Ân Độ. Biến chứng không thường gặp này có một khởi đầu cấp kèm theo các dấu chứng cho thấy tổn thương tiểu não đường giữa là nổi trội không kèm theo bằng chứngliên quan đến não. Có một sự ảnh hưởng lên tiểu não cả hai bên. Các chi dưới thường bị ảnh hưởng hơn chi trên. Các nguyên nhân khác của thất điều tiểu não có thể như tác dụng phụ của thuốc, nhiễm các loại virus hướng thần kinh (effects of drugs, neurotropic viruses) sốt,…cũng bị loại bỏ bởi các nàh nghiên cứu. DCA được cho là một hội chứng thần kinh sau sốt rét da dạng đươc mo tả chủ yếu ở Ấn Độ. Phần lớn các bệnh nhân này hồi phục vào cuối tuần thứ 4; 3 ca đòi hỏi phải dùng thuốc corticosteroids vào cuối tuần thứ 8 và cũng hồi phục hoàn toàn. Sự xuất hiện của các chủng đột biến (mutant strain) của Plasmodium falciparum, với cơ chế miễn dịch (có thể) vì một vài bệnh nhân cải thiện sau khi cho corticosteroids, ddieuf này có thể đây là một nguyên nhân dẫn đến biến chứng.
Ngoài các liên quan trực tiếp Plasmodium falciparum và rối loạn chức năng tiểu não, nhưthất điều cũng đã được báo cáo sau khi sử dụng thuốc như chloroquine, artesunate và mefloquine, nhưng chúng tôi đã không tìm thấy trên các bệnh nhân như thế ở nghiên cứu này, mặc dù đã xem xét cẩn trọng về độc tính của thuốc trên các bệnh nhân này.
Liên quan đến tiểu não trên bệnh nhân sốt rét do Plasmodium falciparum có thể xảy ra:
(i) Trong giai đoạn cấp của sốt,
(ii) Như một di chứng trên các bệnh nhân còn sống từ SRAT thể não,
(iii) Trong thể thất điều tiểu não muộn (DCA _delayed cerebellar ataxia),
(iv) Có thể như một tác dụng ngoại ý của thuốc. Do vậy, trong một vùng sốt rét lưu hành tất cả bệnh nhân có biểu hiện thất điều tiểu não và sốt nên điều tra và xem xét về nhiễm sốt rét. Hầu hết những biến chứng này điều tự giới hạn một cách tự nhiên, và một khi chẩn đoán được thiết lập thì các bệnh nhân không nên bàn cải thêm.
Hội chứng thần kinh hậu sốt rét và các khuyếttật thần kinh
Khiếm khuyết thần kinh tồn lưu (Residual neurological deficit)
Vì SRAT và co giật động kinh có liên quan đến sốt rét trên trẻ em, khả năng ddieuf này gây ra các triệu chứng thoáng qua nhưng suy giảm thần kinh vận động một cách đáng kể lại là một điểm quan trọng nhất của vùng nhiệt đới. Hội chứng có xu hướng đang gia tăng một cách rõ rệt nhưng điều quan trọng là các khuyết tật về nhận thức tâm thần kinh (important neurocognitive deficits) có thể theo sau giai đoạn hồi phục sau SRAT thể não, đặc biệt trên trẻ em. Tiên lượng lâu dài của hội chứng này vẫn chưa nghiên cứu cụ thể. Khoảng 3% số ca người lớn và 10–23% ca trẻ em, có một khiếm khuyết về thần kinh tồn tại rõ ràng trên lâm sàng sau khi điều trị SRAT thể não. Trên trẻ em, điều này có liên quan đến hôn mê sâu và kéo dài, thiếu máu cơn co giật lặp lại và kéo dài. Trong một nghiên cứu hồi cứu từ Kenya, nhiều cơn co giật liên quan đến rối loạn vận động, suy dinh dưỡng, hạ đường huyết và động kinh với các rối loạn ngôn ngữ, hôn mê sâu và rối loạn nhận thức.
Sốt kéo dài tồn tại
Các bệnh nhân SRAT có thể sốt kéo dài tồn tại ngay cả sau khi đã sạch ký sinh trùng. Mặc dù, một tỷ lệ số ca có thể nhận ra khi chụp x quang phổi hoặc nhiễm trùng đường tiểu, hoặc trên mẫu cấy máu trẻ em có thể phát triển Salmonella spp., phần lớn số ca đó không giải thích rõ ràng và sốt được giải quyết trong vòng vài ngày mà không cần điều trị thêm.
Cường độ gây sốt
Mật độ ký sinh trùng tại thời điểm có sốt (> 37.3°C) xảy ra là thuật ngữ“pyrogenic density'. Điều này thay đổi rất rộng: một số bệnh nhân không có miễn dịch sẽ bị sốt trước khi ký sinh trùng có thể nhìn thấy trên lam máu (chẳng hạn, giai đoạn ủ bệnh ngắn hơn giai đoạn tiềm tàng), ngược lại các người lớn có miễn dịch hoặc trẻ em lớn có thể dung nạp đến ngưỡng 100.000 P. falciparum parasites/μL mà vẫn không có sốt. Mật độ gây sốt đối với P. vivax nhìn chung thấp hơn so với P. falciparum; trong 76% số ca báo cáo bởi Kitchen cho thấy mật độ mà tại thời điểm gây sốt là < 100 parasites/μL. Trong nhiễm trùng P. falciparum, mật độ trùng bình gây sốt có thể cao 10.000/μL, nhưng phải nhớ rằng ít hơn một nửa chu kỳ phát triển của P. falciparum. Ký sinh trùng trong máu là ký sinh trùng lưu hành trong hệ tuần hoàn sau khi chu kỳ merogony sinh sốt thực hiện và do đó, chúng khó ước tính đúng tổng số sinh khối của KSTSR. Mật độ hay cường độ sinh sốt là một chỉ điểm sinh miễn dịch.
Hội chứng thần kinh sau sốt rét (Post-malaria neurologic syndrome)
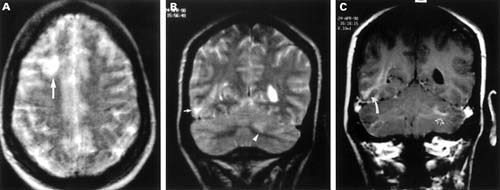
Matias G, Canas N, Antunes I, Vale J. đang làm việc tại khoa thần kinh, bệnh viện Egas Moniz, Lisboa Med Port vào năm 2008 công bố về hội chứng này có đề cập: các triệu chứng thần kinh trên sốt rét thường có liên quan nhiễm trùng nặng do Plasmodium falciparum. Ít gặp hơn, suy giảm ý thức, động kinh và khuyết tật về thị giác cũng như thính giác là có liên quan đến hạ đường huyết (do sốt rét hoặc do thuốc quinine) hoặc độc tính của thuốc. Trong những năm trước đây, nó được nhận ra là một biến chứng thần kinh hiếm sau khi điều trị sốt rét do Plasmodium falciparum - Hội chứng PMNS. PMNS xảy ra từ vài ngày đến vài tuần sau khi đã làm sạch ký sinh trùng, biểu hiện bởi một hội chứng hay bệnh lý não với độ trầm trọng khác nhau. Cơ chế bệnh sinh liên quan đến PMNS vẫn chưa được hiểu thấu đáo, có thể nghĩ đến do nguyên do miễn dịch. Ca bệnh báo cáo ở đây là một đàn ông 61 tuổi có biểu hiện bệnh lý não nghiêm trọng (cơn mê sảng, thất điều tiểu não và ophthalmoparesis), 2 ngày sau khi hồi phục hoàn toàn sốt rét Plasmodium falciparum. Xét nghiệm máu ngoại vi lặp lại âm tính. Chụp MRI trong pha cấp chỉ ra có những bất thường chất trắng đa ổ lan tỏa. Bệnh nhân được điều trị bằng thuốc methylprednisolone liều cao đã giải quyết các khiếm khuyết thần kinh hoàn toàn. Sau 9 tháng chụp lại MRI chỉ thấy các tổn thương tồn lưu rất bé.
Nhân một trường hợp Hội chứng PMNS tại Nhật Bản
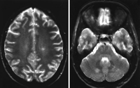
Các tác giả Mizuno Y, Kato Y, Kanagawa S, Kudo K, Hashimoto M, Kunimoto M, Kano S đang làm việc tại Trung tâm CDC, Trung tâm Y khoa quốc tế Nhật Bản, Toyama, Shinjuku-ku, Tokyo, Nhật Bản nhận định: một số biến chứng thần kinh liên quan đến sốt rét do P. falciparum. Ngoài ra, một số bệnh nhân có biểu hiện một hội chứng thần kinh sau khi hồi phục bệnh sốt rét hoàn toàn. Đặc biệt hội chứng PMNS là một bệnh lý não sau nhiễm tự giới hạn xảy ra trong vòng 2 tháng sau khi nhiễm đã điều trị sốt rét do P. falciparum. Chúng tôi mô tả ca bệnh đàn ông 54 tuổi người Nhật Bản tái nhập viện có biểu hiện rối loạn ngôn ngữ và rối loạn đáng kể và hành vi không phối hợp sau khi điều trị hết liệu trình SRAT do P. falciparum xong, biểu hiện sốt cao xảy ra.Xét nghiệm máu ngoại vi tìm KSTSR âm tính và không phát hiện vi sinh vật nào trong dịc não tủy và tổn thương điển hình của bệnh lý viêm não tủy lan tỏa (disseminated encephalomyelitis) được khẳng định qua chụp MRI. Các triêu chứng tâm thần kinh khiến cho các thầy thuốc nghĩ đến hội chứng PMNS. Bệnh nguyên của PMNS đến nay vẫn chưa rõ ràng, nhưng có thể chúng có liên quan đến cơ chế miễn dịch và có thể một phần do sau điều trị bằng thuốc mefloquine. Hội chứng PMNS phải được nghĩ đến khi các dấu hiệu thần kinh đặc trưng như loạn thần cấp hoặc có cơn lú lẫn cấp, co giật toàn thân, rung rủ chi xảy ra vào thời điểm sau khi điều trị SRAT do P. falciparum bằng mefloquine. Đây là ca bệnh báo cáo đầu tiên về trường hợp nghi ngờ PMNS tại nhật Bản (đăng tải trên J. Infect Chemother, 12(6): 399-401, năm 2007).
Các di chứng thần kinh của SRAT thể não (Neurological sequelae of cerebral malaria)
Theo Original Textnhóm tác giả NTH Mai, NPJ Day, TT Hien, NJ White cho biết PMNS ám chỉ đến các bất thường liên quan đến hệ thống thần kinh tự giới hạn xảy ra trong vòng giai đoạn 2 tháng hồi phục khỏi sốt rét. PMNS có liên quan đến hạ đường huyết trên 1 ca nhưng không thấy trên các ca khác. Hạ đường huyết là một đặc điểm của sốt rét cấp tính (ngoại trừ theo định nghĩa của một loạt ca bệnh này). Phụ nữ mang thai đi lại được dùng quinine có thể phát triển hạ đường huyết do tăng insuline từ vấn đề điều trị mà ra (iatrogenic hyperinsulinaemic hypoglycaemia), nhưng điều này óc thể xảy ra bất thường trong giai đoạn hồi phục bệnh.
Di chứng thần kinh sau khi SRAT do P. falciparum trên bệnh nhân người lớn
Nhóm tác giả của E. Roze, M.M. Thiebaut, D. Mazevet, F. Bricaire, M. Danis, C. Pierrot Deseilligny, E. Caumes đang công tác khoa thần kinh, khoa bệnh truyền nhiễm, khoa vi ký sinh, bệnh viện Pitié-Salpêtrière, Paris, Pháp đăng trên tạp chí Eur Neurol 2001;46:192-197 về một số vấn đề liên quan đến hội chứng này.
SRAT do P. falciparum thường xảy ra trên các bệnh nhân không có miễn dịch, như các trẻ em nhỏ và người đi du lịch đến các vùng sốt rét lưu hành trở về. Nhìn chung, các trường hợp như thế hoặc là chết, hoặc là chữa khỏi mà không để lạ di chứng. Các di chứng thần kinh đã được báo cáo trên trẻ em nhưng chưa được báo cáo chi tiết trên các bệnh nhân người lớn. Mục đích của nghiên cứu này là xác định chi tiết phổ lâm sàng, khía cạnh chẩn đoán hình ảnh thần kinh và hậu quả lâu dài của các di chứng này. Các nhà khoa học đã mô tả 6 ca bệnh SRAT có di chứng thần kinh trên người lớn tại bệnh viện đại học Parisian trong thời gian 10 năm qua. Phần lớn các ca bệnh đều là có rói laonj tâm thần kinh, đặc biệt suy giảm trí nhớ và tổn thương chất trắng lan tỏa trên phim chụp MRI. Chỉ có 3 trong số 6 bệnh nhân này hồi phục hoàn toàn sau 6 tháng.
Hội chứng PMNS: Một ca bệnh viêm não tủy lan tỏa cấp tính?
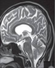
Nhóm tác giả A H Mohsen, M W Mckendrick, M L Schmid, S T Green đang công tác tại khoa truyền nhiễm và y học nhiệt đới, Bệnh viện hoàng gia Hallamshire, Sheffield, Anh và khoa Thần kinh lâm sàng, khoa chẩn đoán hình ảnh về thần kinh báo cáo bệnh nhân nữ 30 tuổi với rối loạn thần kinh 8 tuần sau khi hồi phục hoàn toàn từ sốt rét Plasmodium falciparum. Chụp MRI trong lúc bị bệnh cho thấy các hình ảnh bất thường các chất trắng đa ổ (multifocal white matter abnormalities). Cô ta hồi phục hoàn toàn mà không cần bất cứ điều trị đặc hiệu nào. Chụp MRI lặp lại 6 tháng sau đó cho thấy tất cả thương tổn đã được giải quyết. Mặc dù thuật ngữ của hội chứng PMNS đã được dùng để mô tả những ca như thế, song hình ảnh lâm sàng và các chỉ số cận lâm sàng không thể phân biệt được với các bệnh lý viêm não tủy lan tỏa cấp tính (acute disseminated encephalomyelitis).
Thuật ngữ PMNS lần đầu tiên được giới thiệu vào năm 1996. Hội chứng xác định như một khởi đầu cấp tính của thần kinh hoặc tâm thần kinh trên các bệnh nhân được hồi phục do nhiễm sốt rét Plasmodium falciparum gần đây, có kết quả lam máu âm tính. Do đó, điều này có thể phân biệt với sốt rét tính thể não - xảy ra trong khi có KSTSR trong máu. Thời gian từ khi loại trừ hẳn KSTSR trong máu đén khi hình thành hội chứng này có thể đên 9 tuần (trung bình 4 ngày). Tỷ lệ PMNS trên các bệnh nhân Plasmodium falciparum là 0.12%. PMNS là gấp 300 lần trên các bệnh nhân mắc SRAT hơn là bệnh nhân sốt rét không biến chứng. Đặc điểm lâm sàng đã báo cáo bao gồm co giật toàn thân, tình trạng lú lẫn cấp, loạn thần cấp và rung rủ cánh. Sắp xếp đặc điểm lâm sàng thần kinh của PMNS có thể rộng và đa dạng và bao gồm thất điều tiểu não, chứng mất ngôn ngữ vận động và co giật cơ toàn thân. Hầu hết các ca bệnh hồi phục hoàn toàn không cần điều trị đặc hiệu.
Rối loạn chức năng tiểu não dai dẳng sau SRAT do P. falciparum
Hai tác giả U Seneviratne, R Ganage đã mô tả một bệnh nhân nữ 49 tuổi có tiền sử một năm bị thoái khớp và thất điều tiểu não. Trước đây, bà ta bị 3 lần sốt rét do P. falciparum và có phát triển thành rối loạn chức năng tiểu não vào ngày thứ 7 sau khi chữa khỏi lần sốt rét thứ 3. Tất cả 3 lần sốt rét đều có Plasmodium falciparum dương tính trong lam máu ngoại vi. Hội chứng tiểu não muộn (Delayed cerebeller syndrome_DCS) sau sốt rét do P. falciparum thường tự giới hạn và hồi phục hoàn toàn - nên người ta hay gọi là hội chứng tiểu não sau sốt rét muộn có thể hồi phục (delayed reversible post-malaria cerebellar syndrome). Ca bệnh này mô tả sự đa dạng một hội chứng tiểu não sau sốt rét muộn trong đó rối loạn chức năng tieur não dai dẳng (delayed persistent post-malaria cerebella syndrome). Đây có thể xem như một type của hội chứng PMNS đã mô tả trong quá khứ.
Tài liệu tham khảo
1.Warrell DA. Cerebral malaria. In: Shakir RA, Newman PK, Poser CM, eds. Tropical neurology. London, W.B. Saunders, 1996; 213–45.
2.Kochar DK, Kumawat BL, Kochar SK, et al.Delayed cerebellar ataxia—a complication of plasmodium falciparum malaria. JAPI1996; 44:686–8.
3.Senanayke N. Delayed cerebellar ataxia. A new complication of falciparum malaria. Br Med J1987; 294:1253–4.
4.Senanayke N, Desilva HJ. Delayed cerebellar ataxia complicating falciparum malaria, a clinical study of 74 patients. J Neurol1994; 241:456–9.
5.WHO. Division of Control of Tropical Disease. Severe and complicated malaria. Trans Roy Soc Trop Med Hyg1990; 84(Supplement 2):1–65.
6.Kochar DK, Shubhakaran, Joshi A, et al. Neurological manifestations of falciparum malaria. JAPI1997; 45:898–9.
7.White NJ, Bremen JG. Harrison's principles of internal medicine, 13th edn. Singapore, McGraw Hill, 1994:887.
8.Bajiya HN, Kochar DK. Incidence and outcome of neurological sequelae in survivors of cerebral malaria. JAPI1996; 44:679–81.
9.Nguyen Thi HM, Nicholas PJ Day, LV Van Choung, et al.Post malaria neurological syndrome. Lancet1996; 348:917–21.
10.Phillips-Howard PA, ter Kuile FO. CNS adverse events associated with antimalarial agents. Fact or fiction? Drug Saf1995;12:370-83.
11.Bhatia MS, Malik SC. Psychiatric complications of chloroquine.Indian Pediatr1995;32:351-3.
12.Alao AO, Dewan MJ. Psychiatric complications of malaria: a case report. Int J Psychiatry Med2001;31:217-23.
13.Naranjo CA, Busto U, Sellers EM, Sandor P, Ruiz I, Roberts EA, et al. A method for estimating the probability of adverse drug reactions.Clin Pharmacol Ther1981; 30:239-45.
14.Burell ZL. Chloroquine and hydroxychloroquine in the treatment of cardiac arrhythmias. N Engl J Med1958;258:798-800.
15.Bhatia MS, Singhal PK, Dhar NK. Chloroquine induced psychosis.Indian Pediatr1988;25:258-62.
16.Garg P, Mody P, Lall KB. Toxic psychosis due to chloroquine—not uncommon in children. Clin Pediatr (Phila)1990;29:448-50.
17.Good MI, Shader RI. Lethality and behavioral side effects of chloroquine. J Clin Psychopharmacol1982;2:40-7.
18.Dornhorst AC. Chloroquine psychosis? Lancet1963;1:108.
19.Bachmeyer C, Gerard P, Bouraya D, Devergie B, Laribi K, Cadranel JF. [Neuropsychiatric disorders induced by chloroquine] French. Presse Med1997;26:271.
20.Luijckx GJ, De Krom MC, Takx-Kohlen BC. Does chloroquine cause seizures? Presentation of three new cases and a review of the literature.Seizure1992;1:183-5.
21.Krishna S, White NJ. Pharmacokinetics of quinine, chloroquine and amodiaquine. Clinical implications. Clin Pharmacokinet1996;30:263-99.
22.Mohan D, Mohandas E, Rajat R. Chloroquine psychosis: a chemical psychosis? J Natl Med Assoc1981;73:1073-6.
23.Bhatia MS. Chloroquine-induced recurrent psychosis. Indian J Med Sci1996;50:302-4.
24.O'Shaughnessy TJ, Zim B, Ma W, Shaffer KM, Stenger DA, Zamani K, et al. Acute neuropharmacologic action of chloroquine on cortical neurons in vitro. Brain Res2003;959:280-6.
25.De Sarro A, De Sarro G. Adverse reactions to fluoroquinolones. An overview on mechanistic aspects. Curr Med Chem2001;8:371-84.
26.Markham Brown T, Stoudemire A. Psychiatric side effects of prescription and over the counter medications. Washington, DC: American Psychiatric Press, 1998:334 .
27.SchnorfH, DiserensK, SchnyderH, et al. Corticosteroid-responsive postmalaria encephalopathy characterized by motor aphasia, myoclonus, and postural tremor. Arch Neurol1998;55:417-20.
28.SenanayakeN, de SilvaHJ. Delayed cerebellar ataxia complicating falciparum malaria: a clinical study of 74 patients. J Neurol1994;241:456-9.
29.SenanayakeN. Delayed cerebellar ataxia: a new complication of falciparum malaria?BMJ1987;294:1253-4.
30.De SilvaHJ, HoangP, DaltonH, de SilvaNR, JewellDP, PeirisJB. Immune activation during cerebellar dysfunction following Plasmodium falciparum malaria. Trans R Soc Trop Med Hyg1992;86:129-31.
31.WeinkeT, TrautmannM, HeldT, et al. Neuropsychiatric side effects after the use of mefloquine. Am J Trop Med Hyg1991;45:86-91.