Phần lớn các bệnh nhiễm trùng nói riêng và bệnh nhiệt đới nói chung, nghiên cứu chi tiết về giải phẩu bệnh để mô tả các khía cạnh tổn thương là những thông tin vô cùng quan trọng, riêng dsdối với các tổn thương do một số bệnh giun sán gây ra thì hiện tại vẫn còn rất ít so với một số bệnh lý khác và tổn thương gan và một số tạng khác (khi sán gây bệnh lạc chỗ- ectopic foci) do loài ký sinh trùng sán lá gan lớn Fasciola spp. lại càng hiếm và hạn hữu về tài liệu. Trên đây, chúng tôi muốn đề cập đến một số thông tin về giải phẩu bệnh lý của bệnh sán lá gan qua tổng hợp tài liệu y văn và thực tiến lâm sàng bệnh sán lá này nhằm bổ sung dẫn liệu cơ chế bệnh sinh, sinh lý bệnh và tiến trình bệnh học của sán lá gan cũng như chứng minh một số giả thuyết mà trước nay cấc nàh khoa học tranh luận về cơ chế sinh bệnh, đáp ứng miễn dịch của vật chủ động vật và người.
GIỚI THIỆU
Gan là tạng lớn nhất trong cơ thể, nằm dưới vòm hoành, đặt tại cửa ngõ nối ống tiêu hóa với toàn bộ cơ thể, có kích thước 20-22cm x 15-18cm x 10-13cm, nặng khoảng 1,2-1,5kg (nam giới) và 1,1-1,3 kg (nữ giới), trung bình chung trọng lượng ở người trưởng thành từ 110-1800g, bề dày trung bình 150mm, chức năng hoàn toàn không phân biệt giữa giới tính. Gan có màu nâu, đỏ sẩm, trơn bóng, mật độ chắc, nhưng vì có chứa một lượng lớn máu (khoảng 800-900ml) nên gan dễ bị vở khi bị sang chấn, chấn thương mạnh vào vị trí này, song vì nằm ở phần trên phải của ổ bụng ngay dưới cơhoành, nên được che chở bởi các xương sườn bên phải, nhờ vậy, hạn chế được những tác động từ bên ngoài làm ảnh hưởng đến gan.
Để phù hợp với chức năng, cơ cầu và sự phân phối các mạch máu trong gan, người ta chia gan thành 8 phân thùy. Mỗi phân thùy gan lại được chia thành hàng ngàn đơn vị cấu trúc rất nhỏ. Mỗi đơn vị cấu trúc nhỏ này đều có một tĩnh mạch cực nhỏ chạy xuyên qua tâm và cuối cùng tập trung tại tĩnh mạch gan, xung quanh tĩnh mạch cực nhỏ giữa các đơn vị cấu trúc là những tế bào hình khối, phía ngoài là hệ thống tiểu mao mạch. Bao bọc bên ngoài tổ chức gan bởi phần vỏ có rất nhiều dây thần kinh có liên hệ chặt chẽ với dây thần kinh trung ương. Ngược lại, các tế bào bên trong gan không có một loại dây thần kinh cảm giác nào, chính vì thế khi gan bị tổn thương, nhất là dạng tổn thương âm ỉ, người bệnh không có cảm giác đau; chỉ trong những trường hợp gan bị viêm, gây sưng to hoặc khối u trong gan (ung thư, abces, viêm gan cấp tính,...) làm căng phồng vỏ bọc phía ngoài chèn ép vào các dây thần kinh, mới làm bệnh nhân khó chịu, đau, thậm chí rất đau.
Vì chỉ cách phổi, màng phổi và màng tim bởi cơ hoành nên khi bị viêm gan hay áp xe gan dễ gây viêm phế mạc hay viêm mủ có thể đổ qua cơ hoành vào phổi, màng phổi và màng tim. Tuy được tĩnh mạch chủ dưới, mạc chằng hoành-gan, mạc chằng vành, mạc chằng tam giác, các nếp phúc mạc, mạc nối nhỏ giữ tại chỗ, nhưng gan vẫn di động theo cơ hoành mỗi khi thở ra, hít vào; với một lưới mao mạch dày đặc, lại có khả năng co dãn nên gan được xem là “một chi nhánh của tim”, có khả năng ngăn lượng máu quá nhiều từ TMC đột ngột đổ về tim và việc vận chuyển, lưu thông máu qua gan rất lớn. Hệ thống mao mạch mỗi phút tải khoảng 1,4 -2,0 lít máu và như vậy trong 1 ngày đêm, gan phải chuyển một lượng máu lên đến 2.000 lít. Gan là cơ quan đầu tiên trong cơ thể tiếp nhận các chất dinh dưỡng hoặc chất gây độc từ cơ quan tiêu hóa. Từ đây, gan có nhiệm vụ kiểm soát, thanh lọc và chuyển hóa trước khi đưa ra cung cấp cho tất cơ các cơ quan trong cơ thể hoặc đào thải các chất gây độc hại ra ngoài qua thận.
CHỨC PHẬN SINH LÝ CỦA GAN
Về phương diện sinh lý, gan vừa là một tuyến ngoại tiết (tiết mật đổ vào ống tiêu hóa) vừa là tuyến nội tiết (tham gia vào nhiều chức phận quan trọng của cơ thể như điều hòa đường huyết, chống độc, …). Để duy trì sự sống cho cơ thể con người, gan phải tham gia khoảng 500 chức năng khác nhau mà không có cơ quan nào đảm trách bằng. Vì thế, người ta ví gan như một cái phòng hóa nghiệm hiện đại và có chọn lọc, nhìn chung các chức phận của gan có quan hệ mật thiết, chặt chẽ nhau, khi chức phận này bị rối loạn sẽ làm cho chức phận khác rối loạn theo dẫn đến giảm chức năng chung, bệnh cảnh vì thể trở nên phức tạp. Để đánh giá những biến đổi về chức phận của gan, phải kết hợp thăm khám chặt chẽ lâm sàng kết hợp với cận lâm sàng liên quan.
+Gan bài tiết mật để cơ thể tiêu hóa mỡ: mật được tế bào gan tiết ra liên tục, rồi theo các ống dẫn mật tập trung ở túi mật. Trung bình mỗi ngày gan bài tiết 500-1000ml mật, mật có tính kiềm, quánh, màu hi vàng lục, vị đắng, chứa sắc tố mật (bilirubine và biliverdine), muối mật, cholesterol, lecithine, mỡ trung tính, phosphatase và một số chất điện giải. Khi tiếp xúc với thức ăn, niêm mạc tá tràng tiết ra chất cholecystokinine, rồi chất này theo tuần hoàn máu đến kích thích túi mật. Chất này theo tuần hoàn máu đến kích thích túi mật co bóp và tống mật vào tá tràng. Nhờ có mật, các chất béo trong thức ăn được nhũ tương hóa tạo điều kiện để men lipase tụy và ruột thủy phân thành các acide béo, glycerin để cơ thể có thể hấp thu được. Vì lý do nào đó các ống mật bị tắc, khi đó lượng mật không xuống được ruột, chu trình tiêu hóa mỡ và các hạt micel trở nên hạn chế thậm chí mất hẳn do lượng mật bị tái hấp thu trở lại hệ tuần hoàn. Khi lượng mật trong máu tăng cao, sẽ tẩm nhuộm vào da và niêm mạc, kết mạc dẫn đến hội chứng vàng da trên lâm sàng. Trong trường hợp nhiễm độc, nhiễm trùng, các tế bào gan bị viêm, ống dẫn mật nhỏ bị tắc lại làm bilirubine máu tăng, phân bạc màu.
+Gan làm nhiệm vụ hấp thu và chế biến lipide và cholesterol trong thức ăn thành các loại lipoprotein để giúp tiêu hóa dễ dàng hơn. Để hòa tan được các dạng chất béo, gan phải sản xuất ra muối mật (muối mật được sinh ra từ các cấu trúc của gan, tích tụ lại thành dịch mật và được chứa trong túi mật, sau đó dịch mật tiết ra, xuống ruột non và tiêu hóa các hạt mỡ, giúp hấp thu.
+Gan còn là cơ quan điều hòa đường huyết: gan là kho dự trữ glucose, gan biến đường fructose và galactose thành glucose. Khi đường máu tăng, gan sẽ chuyển đường thành glycogen đưa vào dự trữ. Có đến 1/2-2/3 lượng glucose cơ thể hấp thu được tích lại ở gan dưới dạng glycogen, khi hàm lượng đường trong máu giảm, gan lại chuyển glycogen thành glucose, đưa trở lại tuần hoàn máu, nhờ đó lượng đường trong máu luôn luôn được ổn định. Gan còn có khả năng sản xuất đường từ những nguyên liệu không phải glucide như proteine, lipid. Vì lượng dự trữ glucide trong cơ thể tưng đối ít, trong gan dưới dạng glycogen có khoảng 245g, chỉ đủ để duy trì chuyển hóa bình thường trong 12 giờ, nên khi cơ thể không hấp thu thêm glucide và cũng không sinh đường mới thì lượng glucide trong cơ thể sẽ cạn dần đi, đường máu giảm gây nhiều rối loạn nghiêm trọng, đặc biệt là các hoạt động của não bộ. Khi đường huyết ở não giảm xuống 40-70mg/100ml, tế bào não sẽ tăng hưng phấn gây co giật, khi đường huyết hạ thấp hơn nữa sẽ gây hôn mê, thậm chí tử vong.
+Gan sản xuất phần lớn proteine từ nguồn đạm ăn vào hoặc từ các chất khác trongcơ thể. Phần lớn albumin (95%) và globuline (85%) của huyết tương, toàn bộ phức hợp fibrinogen và prothrombin cần cho quá trình đông máu, các yếu tố đông máu, các yếu tố chống chảy máu A, B, C được sản xuất tại gan. Khi tế bào gan bị tổn thưng, protide huyết tương giảm, dịch thoát ra ngoài mạch máu gây phù; albumin huyết thanh giảm, globuline huyết thanh tăng; các yếu tố đông máu giảm, gây chảy máu; một số polypeptide, diamin không bị cản lại mà tràn vào máu gây nhiễm độc cho cơ thể. Tưng tự như một nhà máy sản xuất ra các chất cần thiết cho hoạt động cơ thể, gan tổng hợp ra protein, đặc biệt albumin và đưa vào máu và sản xuất ra globulin để tạo kháng thể, sản xuất ra các chất tham gia vào quá trình đông máu.
+Gan có khả năng tích lũy các loại vitamin, đặc biệt vitamin A, B, K, D, E và nhiều chất khoáng, trong đó sắt được dự trữ chủ yếu ở gan, gan tích trữ vitamin B12 cần thiết cho cấu tạo hồng cầu. Thiếu vitamin B12, thiếu sắt cho c thể sẽ bị thiếu máu. Khi khẩu phần thiếu mỡ hoặc cơ thể hấp thu mỡ giảm sẽ giảm hấp thu các vitamine tan trong mỡ, dẫn đến nhiều dấu hiệu bệnh lý đặc trưng do thiếu vitamin A, vitamin K.
+Khi có một loại chất độc nào đó tấn công vào cơ thể thì lập tức gan sẽ hấp thu, chuyển hóa thông qua các phản ứng hóa học biến chúng thành các chất không độc hoặc biến chúng thành các chất hòa tan được trong nước để thải ra ngoài qua thận-đó chính là chức năng chống độc của gan: gan là cơ quan duy nhất chuyển hóa amoniac thành ure, hàng ngày cơ thể sản xuất ra 7-8g NH3, một chất độc được tạo ra do quá trình khử các nhóm amin của acide amin, nhưng được gan chuyển thành ure, có hàm lượng trong máu rất thấp (0.02-0.18mg/100ml) và không độc hại với cơ thể. Nhưng trong trường hợp hôn mê gan, hàm lượng amoniac có trong máu có thể lên đến 0.54mg/100ml. Các chất độc ngoại lai như rượu bia, thuốc mê, chất độc từ đường tiêu hóa hoặc các sản phẩm trung gian chuyển hóa cũng được gan thanh lọc, chuyển hóa thành chất ít độc và thải ra phân và nước tiểu (được chứng minh trên mo hình động vật thí nghiệm bị cắt mất gan, động vật đó bị chết rất nhanh do nhiễm độc).
+Một khả năng đặc biệt là gan có cơ chế tự bảo vệ chống lại các tác nhân xâm hại và khả năng tái tạo lại các tế bào khi cơ thể bị tổn thương và loại bỏ các tế bào mà cơ thể không cần hoạt động nữa. Gan có vô số đơn vị cấu trúc, song nguyên tắc hoạt động của gan rất nhất quán, nên mặc dù có tổn thương ở tế bào gan nào đó nhưng mọi hoạt động không hề thay đổi trong một thời gian dài nhất định và có lẽ vì thế mà trong vô số các đơn vị cấu trúc, không hề có một dây thần kinh nào để liên hệ với dây thần kinh trung ương.
TỔN THƯƠNG GIẢI PHẨU CỦA GAN
1. Tổn thương gan mật do sán lá gan nhỏ
Trong bệnh sán lá gan nhỏ Opisthorchis viverini hoặc Clonorchis sinensis, tổn thường giải phẩu bệnh được mô tả qua khá nhiều tài liệu y văn trên thế giới, nhát là tổn thương có liên quan đến hệ đường mật (biliary system). Phần lớn tác giả đề có chung nhận định: gan to nặng có thể đến 4kg nhưng điểm đặc biệt là có nhiều ống dẫn mật phình to, màu trắng nhạt, rải rác trên mặt gan, cắt các chỗ phình đó, sẽ chảy ra một chất nước màu xanh, đường mật hẹp lại xơ cứng và mô xơ thu hẹp, lan tỏa cả nhu mô gan, các tế bào gan thoái hóa mỡ và hạt, dẫn đến xơ gan nhanh chóng. Những trường hợp nhiễm mạn tính, có sự tăng nhanh của các tế bào biểu mô và tạo thành các hạt, thay đổi mức độ xơ hoá các đường mật; tăng kíhc thước túi mật và đường dẫn mật, dày thành ống mật, hình thành các cặn lắng, sỏi bùn hoặc cặn mật cũng đã được mô tả qua siêu âm hệ gan mật (Dhiensiri và cộng sự., 1984).
Các quan sát dưới kính hiển vi quan sát thấy có sự thay đổi trong túi mật và ống dẫn mật ngoài gan , hoặc tạo thành utuyến nhú lên, tăng sinh, tróc vảy, tăng nhanh tế bào lót biểu mô,…; ngoài ra, tổn thương do sán lá gan nhỏ còn phát hiện ở thận, tuỵ và đường tiêu hoá song không phải thường xuyên.
2. Tổn thương gan mật do sán lá gan lớn
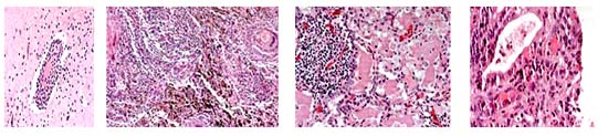
Tổn thương bệnh học của gia súc do sán lá gan lớn (SLGL) là Fasciola hepatica và Fasciola gigantica gây nên được mô tả rất chi tiết trong y văn (Sinclair và cộng sự, 1967; Boray và cộng sự, 1969; Behn và Sangster, 1998) và đã được minh hoạ bằng hình nhrất nhiều (Boray và cộng sự, 1999). Một loạt các tập tranh nhỏ được làm theo ý tưởng của Tổ chức Lương nông thế giới (FAO) cung cấp cho các nước đang phát triển dựa trên một thử nghiệm gốc của tác giả Boray (1991). Một vài hình ảnh cũng nói lên được chu kỳ sinh học của Fasciolae và tổn thưng bệnh học trong gan minh hoạ rõ. Coudert mô tả về giải phẩu bệnh học do F.hepatica, đó là như những chuỗi nốt viêm hạt kê trong nhu mô gan, điều đó có thể giải thích được những hình ảnh có nhiều abcès nhỏ trên siêu âm mà các nhà chẩn đoán hình ảnh đề cập đến.
Cấu trúc giải phẩu gan là luôn to ra với mặt ngoài nhẵn hoặc đôi chỗ gồ ghề, tổn thương đại thể gồm các nốt mềm trắng vàng hoặc trắng xám. kích thước các ổ abces 2-30mm tương ứng với các ổ tăng bạch cầu ái toan, các nốt này cũng có thể quan sát được khi soi ổ bụng thăm dò (laparotomy exploition) gan và các dây chằng cung quanh gan, có thể thấy các chấm xuất huyết tại các bờ của nốt, có những vạch trắng hoặc vàng quanh bao gan do dãn mao mạch. Bên cạnh nốt tạo thành ‘hình giun’ gồ lên với màu sắc giống như nốt và cũng quan sát được qua soi ổ bụng, bao gan dày lên ở những mức độ khác nhau, một số trường hợp bệnh nhân có nhu mô gan rất dày, dưới bao gan là mạch bạch huyết dãn rộng. Các hạch bạch huyết quanh gan có thể sưng to, có nhiều lỗ hổng dưới bao gan được lấp đầy bởi tổ chức hoại tử và điều này thấy rõ qua giải phẩu tử thi (autopsie). Một vài dấu vết đỏ có mặt từ nốt màu xám bạc và đã xơ hóa, dấu vết lan rộng từ bao gan tới các hốc dưới bao (Chenvà Mott, 1990).
Hầu hết các tổn thưng nằm dưới bao gan có kích thước trung bình là 20mm (Acosta-Ferreira.,1979), ngoại lệ có ca xuất hiện các tổn thương sát bao gan đi kèm kích thước lớn hơn; có trường hợp nằm thành phúc mạc và mặt sau gan màu vàng và có dịch ổ bụng, khi ổ tổn thưng nằm trong lách thì lách có thể to hoặc không to, nhưng đặc biệt là chúng ta không bao giờ thấy dấu hiệu tăng áp tĩnh mạch cửa (Chen và Mott., 1990; H.H.Quang và N.V.Khá.,2006; Boray và cộng sự, 2000); nếu chúng ta phát hiện có tăng áp lực đi kèm cùng tổn thương gan và lách thì các thầy thuốc lâm sàng nên cân nhắc và chỉ định làm thêm xét nghiệm miễn dịch ELISA tìm xem có đồng nhiễm sán máng hay không, nhất là những bệnh nhân ở châu Phi hoặc người có tiền sử sóng và du lịch, làm việc tại đây một thời gian (Mas Coma và cộng sự, 2005).
Trên thực hành mổ tử thi, các tổn thương nặng và đường kính lớn do sán lá gan lớn mức độ cấp (acute period) được thể hiện dịch nhuốm máu (blood-tinged fluid) trong khoang phúc mạc, dịch tiết xơ hóa bao phủ bề mặt gan, gan to và nhiều ống mật có tổ chức dễ vụn nát và xuất huyết, ngay cả trong nhu mô gan và túi mật. Những con sán chưa trưởng thành có thể nhìn thấy trong bệnh phẩm cắt nhu mô bề mặt gan, nhiều phần kết dính giữa gan với cơ hoành hoặc càng cơ quan khác có thể tìm thấy trong quá trình mổ tử thi (www.smallstock.info/research/report).
Thể sán lá gan lớn bán cấp (subacute period) thường liên quan đến sự xâm nhập của một lượng lớn metacercariae, biểu hiện thường là màng niêm mạc nhợt nhạt, cơ thể suy mòn và khô đét.
Sán lá gan lớn thể mạn tính (chronic period) biểu hiện có hơi khác. Trong đó, ống mật xơ hóa và dày lên và viêm đường mật, ống mật có thể bị tắc nghẽn do sán bít tắc và hóa nhầy biểu mô. nhu mô bị tổn thưng dẫn đến hóa mô hạt hoặc tạo calci hóa vách đường mật (thường gặp trên súc vật hơn là trên người). Nói chung,sự có mặt của sán lá gan lớn gây tăng sản tế bào tuyến và phản ứng viêm quanh ống mật làm xơ hóa; các ống mật có thể xơ hóa, dãn nở hoặc co thắt khiến cho sán lá nếu số lượng lớn rất dễ nghẹt, càng về sau thì đường mật càng bị dãn, phồng lên và thành dày, phù nề (Chen và Mott.,1990; Riedt và cọng sự., 1995). Một số trường hợp nặng còn phát hiện thấy nhiều sán mắc kẹt trong ống tụy, gây viêm tuyến tụy (H.H.Quang và L.T.Q.Anh.,2005). Nhiều nốt màu trắng bạc gây dính túi mật với các tổ chức lân cận (Acosta-Ferreira.,1979). Niêm mạc túi mật có thể xuất hiện nhú, thành túi mật dày lên đến tận lớp cơ và xơ lan tỏa, có những nốt tăng sinh biểu mô. Toàn bộ các lớp của thành đường mật chứa tế bào lympho, tương bào và bạch cầu ái toan và một vấn đề đặc biệt hay gặp các bệnh sỏi đi kèm hoặc rối loạn nhu động ruột không do sỏi (Chen et Mott.,1990; Arjona và cộng sự. 1995; H.H.Quang và cộng sự, 2005, 2006).
Các dấu vết do sán cư trú hoặc sán trực tiếp gây tổn thương tìm thấy trong gan, các tác giả tìm thấy nhiều tinh thể Charcot-Leyden và bạch cầu ái toan trên thành vách đó. Trong lòng của các ổ là những tế bào chết bao gồm tế bào gan, tế bào xơ và hồng cầu, có sự xâm nhập của bạch cầu ái toan xung quanh vết. Tại các tổn thưng muộn hơn, chúng ta tìm thấy đại thực bào, tế bào lympho, bạch cầu ái toan và tổ chức xơ; vôi hóa trung tâm đôi khi nhìn thấy có tổ chức hoại tử, vôi hóa có thể xảy ra xung quanh vết sán chết (Acosta-Farreira., 1979). Một số u hạt trứng cũng đã được công bố (Pena Sanchez và cộng sự., 1982; Pink và cộng sự., 1984; Chen và Mott., 1990; Sapunar và cộng sự., 1992). Tế bào đa nhân khổng lồ bao quanh trứng sán với nhiều lớp tế bào biểu mô, tổ chức x, tưng bào, lympho bào và bạch cầu ái toan. Tĩnh mạch cửa phồng lên và phù nề với sự thâm nhiễm của tế bào lympho và bạch cầu ái toan. Đường mật nở to ra, tăng sinh tổ chức xơ, động mạch bị tổn thưng và tĩnh mạch có thể bị cục máu đông vón tắc (Chen et Mott., 1990).
Liên quan giữa tổn thương giải phẩu bệnh của sán lá gan lớn với ung thư gan nguyên phát đến thời điểm này chưa được chứng minh, mặc dù thực tế đã có những trường hợp bệnh nhân vừa có tổn thương gan do sán lá gan lớn vừa có khối ung thư gan (H.H.Quang, 2004)
Vấn đề tác động của loại sán lá gan lớn lên cấu trúc mô học và nồng độ glycogen và glucose của nhu mô gan-tuỵ đang được giới khoa học quan tâm và rất thời sự (ý tưởng nhóm nghiên cứu của nhóm Monserrat, Bianchini và cộng sự tại Khoa bệnh học và pháp y của Braxin, 1996), kết quả bước đầu cho thấy:
a.Có một sự đáp ứng của vật chủ được đặc trưng bởi sự tăng sn mô liên kết xung quanh nang sán và trong một vài trường hợp có hoại tử ống gan, tuỵ.
b.Sự nhiễm trùng tưng tự ở c 2 bêncủa nhu mô gan tuỵ (p > 0,05, n =11)
c.Số lượng KST/mức độ hepatopancrea giữa 0-292.
d.Số lượng trung bình nang sán/ hepatopacrea là 37.96, ngược lại tỷ lệ mắc bệnh 88,24%
e.Không có một liên quan có ý nghia thống kê (Spearman, p > 0,05, n = 51)
f.Không thể có một mối liên quan giữa việc xác định hàm lượng glucose và glycogen đối với tổn thưng cấu trúc gan tuỵ.
Nói tóm lại, tổn thương hệ thống gan mật và một số cơ quan lân cận của loài sán lá gan lớn và sán lá gan nhỏ là chủ yếu làm hình thành các ổ abces tại gan và ngoài gan, gây xơ hẹp đường mật, viêm túi mật, đường mật, xơ hoá nhu mô gan, mật, hoại tử nhu mô gan và đường mật trong và ngoài gan, trong đó đặc biệt hiện nay các nhà khoa học trên thế giới đã công nhận và đưa ra dẫn liệu rõ ràng giữa bệnh sán lá gan nhỏ và bệnh ung thư đường mật (cholangiocarcinoma), song giữa bệnh sán lá gan lớn với ung thư đường mật này thì hiện tại chưa có dẫn liệu hoặc bằng chứng nào đưa ra, có lẽ cần mở rộng nghiên cứu đa trung tâm thuộc nhiều vùng dịch tễ khác nhau để sớm xác định có hay chăng, có biện pháp phòng bệnh hợp lý và chương trình hành động cụ thể. Hy vọng với các tiến bộ của ngành sinh học phân tử liên quan đến ký sinh trùng sẽ giúp làm sáng tỏ một số vấn đề liên quan đến giải phẩu bệnh này mà chúng ta chưa thấu đáo.