GIỚI THIỆU
 Hội chứng Löffler là một bệnh lý hô hấp liên quan đến tăng bạch cầu ái toan (BCAT) và có bóng trên X-quang. Lần đầu tiên hội chứng này được mô tả bởi Löffler vào năm 1932. Đến năm 1952, Crofton tóm lược hội chứng Löffler như một trong 5 phân loại về bệnh lý mà chúng gây ra thâm nhiễm BCAT ở phổi. 
 Đồng thời, trong y văn cũng từng đề cập hội chứng Loeffler là một bệnh hô hấp thoáng qua liên quan đến tăng BCAT trong máu và đám mờ trên phim chụp X-quang được Crofton và cộng sự đề nghị phân loại như một trong loại viêm phổi tăng BCAT thành 5 nhóm chính dựa trên các tiêu chuẩn lâm sàng cơ bản: 
 [1] Viêm phổi tăng BCAT đơn thuần hay hội chứng Loeffler, thâm nhiễm thoáng qua; 
 [2] Viêm phổi tăng BCAT kéo dài, hoặc thâm nhiễm tái phát không phải hen;
 [3] Viêm phổi tăng BCAT kèm hen, thâm nhiễm kèm hen; 
 [4] Viêm phổi tăng BCAT nhiệt đới, thường kèm hội chứng dạng hen; 
 [5] Viêm đa động mạch nút. 
 Riêng bệnh lý này được đặc trưng bởi một số khối mờ ở nhu mô phổi liên quan với tăng BCAT trong máu ngoại vi hoặc tại mô phổi do thâm nhiễm.
 Hình 1. Hội chứng Loeffler trong y văn mô tả như một tình trạng viêm phổi tăng bạch cầu ái toan thoáng qua |Nguồn: Löffler syndrome – LITFL - Medical Eponym Library
 NGUYÊN NHÂN
 Mô tả ban đầu về hội chứng Löffler liệt kê nhiễm ký sinh trùng giun đũa A. lumbricoides như một nguyên nhân phổ biến nhất. Tuy nhiên, các nhiễm ký sinh trùng khác và phản ứng quá mẫn cấp với thuốc cũng được xem là bệnh nguyên của tăng BCAT ở phổi.
 Hội chứng Loeffler có thể là một tình trạng viêm phổi cấp tính, thường tự khỏi, có liên quan đến sự tăng sinh BCAT trong phổi. Bệnh lý này cũng thường được gây ra bởi các phản ứng dị ứng với các tác nhân như ký sinh trùng, nấm mốc, hoặc các chất gây dị ứng khác.
- Nhiễm ký sinh trùng: Đây là nguyên nhân phổ biến nhất, đặc biệt là ở các vùng nhiệt đới. Các loại ký sinh trùng thường gặp gây ra hội chứng Loeffler bao gồm giun đũa, giun móc, giun lươn;
 - Phản ứng dị ứng: Dị ứng với thuốc, thức ăn hoặc các chất kích thích khác cũng có thể gây ra hội chứng Loeffler;
 - Bệnh tự miễn: Trong một số trường hợp hiếm hoi, hội chứng Loeffler có thể liên quan đến các bệnh tự miễn.
 
Hình 2. Hội chứng Loeffler có thể gặp trên cả hai giới và cả người lớn và trẻ em nhỏ
MỘT SỐ TÁC NHÂN KÝ SINH TRÙNG GÂY HỘI CHỨNG LOEFFLER
1. Bệnh giun đũa Ascaris lumbricoides: 
Là nguyên nhân thường gặp nhất gây ra hội chứng Loeffler, giuncơ thể người làm vật chủ để trưởng thành từ ấu trùng hoặc trứng thành giun trưởng thành và giun trưởng thành đến khi có khả năng sinh sản có thể dài hơn 30 cm. Bệnh nhiễm giun đũa thường xảy ra ở trẻ em ở các vùng nhiệt đới và cận nhiệt đới trên toàn cầu, đặc biệt là ở những nơi có điều kiện vệ sinh môi trường kém. Đây cũng là một trong những bệnh lý nhiễm KST phổ biến nhất trên thế giới mà không được nhận biết do hầu hết người nhiễm thường mức độ nhẹ và không triệu chứng. Tuy nhiên, nếu nhiễm nặng có thể dẫn đến triệu chứng, biến chứng nghiêm trọng, tùy thuộc vào tải lượng KST và mô hay cơ quan của cơ thể bị ảnh hưởng.
Trong phổi, sau khi người nuốt phải trứng giun, chúng sẽ nở ra trong ruột non và ấu trùng di chuyển theo đường máu hoặc hệ thống bạch huyết vào phổi. Ở giai đoạn này, người bệnh có thể gặp các dấu hiệu và triệu chứng của hội chứng Loeffler, tương tự như bệnh hen suyễn hoặc viêm phổi, gồm ho kéo dài, khó thở, thở khò khè. Sau 10-14 ngày trong phổi, ấu trùng sẽ di chuyển đến họng, nơi người bệnh sẽ ho ra và thường nuốt lại chúng vào đường tiêu hóa;
Trong ruột, ấu trùng trưởng thành thành giun trưởng thành trong ruột non và giun trưởng thành định vị lại trong ruột, đẻ trứng cho đến khi chết. Triệu chứng xâm nhập đường ruột là đau bụng mơ hồ, buồn nôn và ói mửa, tiêu chảy hoặc phân có máu. Nếu bệnh nhân có tải lượng lớn giun trong ruột, thường là trẻ em, sẽ có biểu hiện đau bụng cấp tính nặng nề, nôn ói dữ dội do tắc ruột và xuất hiện thấy giun trong chất nôn hoặc phân của người bệnh.
2. Nhiễmgiun móc, mỏ Necator americanus/Ancylostma duodenale 
Là một loài giun tròn ký sinh bắt buộc trong ruột non của người. Môi trường sống của giun móc là ở những vùng khí hậu ấm vì để nở trứng cần môi trường ẩm, ấm và bóng râm. Tuổi thọ có thể đến 3-5 năm và chúng có thể đẻ từ 5.000 đến 10.000 trứng mỗi ngày. Vòng đời giun này bắt đầu từ trứng chưa nở trong đất. Sau 24-48 giờ, trứng trở thành phôi và nở ra ấu trùng, lột xác nhiều lần thanh giun non và có thể xâm nhập vào da người, đi qua các mạch máu và tim, rồi đến phổi. Tại đây, nó chui qua các phế nang phổi và đi lên khí quản, bị nuốt vào đường tiêu hóa, xuống  ruột non. Giun bám vào thành ruột non, hút máu lớn lên thành giun trưởng thành và bắt đầu sinh sản, đẻ trứng thải ra ngoài qua phân;
Trong quá trình xâm nhập vào cơ thể, một số ấu trùng không thể dễ dàng đi qua lớp hạ bì và vẫn bị mắc kẹt trong da, gây kích ứng da. Khi lên đến phổi, gây ra các triệu chứng như ho kéo dài và khó thở, khò khè - biểu hiện của hội chứng Loeffler. Khi đến ruột, giun có thể gây mất 30 μl máu mỗi ngày làm người bệnh bị thiếu máu do thiếu sắt, mệt mỏi ở người lớn và chậm phát triển trí tuệ, kém phát triển ở trẻ em. Hơn nữa, nhiễm giun móc sẽ thường xuyên bị đau bụng, tăng hơn sau bữa ăn, kèm theo tiêu chảy, chướng bụng và buồn nôn.
3. Nhiễm giun lươn Strongyloides stercoralis
Là một giun tròn thuộc nhóm giun truyền qua đất hoặc qua đường tiêu hóa cho người. Người bị nhiễm chủ yếu qua tiếp xúc với đất bị nhiễm ấu trùng sống tự do. Khi ấu trùng tiếp xúc với da, chúng xâm nhập vào da, di chuyển khắp cơ thể, cuối cùng đến ruột non, sinh trưởng và đẻ trứng. Không giống như các loại giun truyền qua đất khác, trứng giun lươn nở thành ấu trùng trong ruột và sẽ được thải ra ngoài theo phân. Do đó, ấu trùng vừa thải ra ngoài sẽ có thể ngay lập tức tái nhiễm vật chủ bằng cách chui vào thành ruột, hoặc xâm nhập qua da xung quanh hậu môn. Chính cơ chế này khiến cho một người có thể tự nhiễm giun lươn (autoinfection cycle) suốt cuộc đời.
Tuy nhiên, phần lớn người nhiễm giun lươn không có triệu chứng. Nếu có, người bệnh thường mô tả khó chịu không cụ thể. Một số người bị đau bụng, đầy bụng, ợ chua từng đợt tiêu chảy và táo bón. Một số người bị ho khan, khó thở, khò khè và được chẩn đoán là hội chứng Loeffler. Một số khác bị phát ban trên da, viêm khớp, tổn thương thận và tim.
4. Nhiễm ấu trùng giun đũa chó, mèo Toxxocara spp.
Nhiễm ấu trùng giun đũa chó, mèo là một bệnh thuộc nhóm ấu trùng di chuyển nội tạng. Tùy thuộc vào vị trí gây bệnh, mức độ tăng BCAT, các dấu hiệu ở mắt hoặc phổi, các thuật ngữ chỉ ra sự di chuyển của ấu trùng đến các vị trí mô và cơ quan khác nhau. Trong đó, khi ấu trùng giun gây bệnh tại phổi, người bệnh cũng có các biểu hiện tương tự như các bệnh nhiễm giun như giun đũa, giun lươn và giun móc nêu trên, được chẩn đoán là hội chứng Loeffler.
MỘT SỐ THUỐC CÓ THỂ GÂY VIÊM PHỔI TĂNG BẠCH CẦU ÁI TOAN (Eosinophilic Pneumonia)
Đa dạng nhóm thuốc hoặc chất kim loại, chất có dùng trong thiết bị y tế chụp X-quang, muối kim loại, hay mạt nhà….cũng có thể gây tình trạng viêm phổi tăng BCAT gồm:
- Acetaminophen, Acetylsalicylic acid, Aluminum, Amiodarone, Amitriptyline, Ampicillin, thuốc ức chế men chuyển angiotensin (ACEI), Azathioprine, Beclomethasone dipropionat, Beryllium, β-Blockers, Bleomycin, Captopril, Carbamazepin, Chloroquin, Chlorpromazin, Chlorpropamid, Clarithromycin, Clofibrat, Dantrolen, Dapson, Daptomycin, Desipramin, Diclofenac, D-penicillamine, Ethambutol, Fenbarbamat, Fenbufen, Fludarabine, Glafenine, chất kích thích đại thực bào (MCSFs), Hydrochlorothiazid, Ibuprofen, Imipramine, Indomethacine, Infliximab, Interferon-alpha, Interleukins, Isoniazid, Levofloxacin, L-Tryptophan, Maloprim, Mecamylamin, Mephenesin carbamat, Mesalazin, Methotrexate, Methylphenidat, Minocyclin, Montelukast, Naproxen, Nilutamid, Nitrofurantoin, Nomifensin, Oxaliplatin, Para-aminosalicylic acid, Penicillamin, Penicillin, Phenytoin, Piroxicam, Procarbazine, Progesterone, Prontosil, Propylthiouracil, Pyramethamin, Ranitidine, Salicylazosulfapyridine, Streptomycin
- Cocaine (hít), chất đối quang, Cromolyn (hít), Pentamidine (hít), mạt nhà (hít), muối vàng, heroin (hít), chất cản quang Iodin, bụi Nickel (hít), dầu Rapeseed, kháng nguyên từ nhện đỏ, bò cạp đốt, Sertraline, khói thuốc lá, phơi nhiễm tia xạ, kháng sinh chứa gốc Sulfa-, Sulfasalazine, Sulindac, Tamoxifen, Tetracyclin, Thiazide, Tolazamid, Tolfenamic acid, Trazodon, Trichloroethan, Venlafaxin.
SINH LÝ BỆNH & TRIỆU CHỨNG
Sinh lý bệnh
Trong cơ chế sinh lý bệnh, hội chứng Loeffler có liên quan đến sự di chuyển của một số loài  ký sinh trùng giun tròn đi qua phổi theo chu kỳ sinh học và phát triển của chúng trong cơ thể người. Sau khi ăn phải trứng giun đũa Ascaris lumbricoides, ấu trùng nở ra trong ruột và xâm nhập vào bạch huyết mạc treo ruột và tiểu tĩnh mạch để vào tuần hoàn phổi. KST cư trú trong các mao mạch phổi và tiếp tục diễn tiến chu kỳ bằng cách di chuyển qua các thành phế nang. 
Cuối cùng, chúng di chuyển lên thân cây phế quản và bị nuốt vào vùng thực quản, quay trở lại đường ruột và trưởng thành ở đó. Quá trình này mất khoảng 10-16 ngày sau khi ăn trứng giun đũa, giun móc và giun lươn. Ngoài ra, các ký sinh trùng khác, chẳng hạn như Necator americanus, Ancylostoma duodenale và Strongyloides stercoralis, cũng có chu kỳ tương tự như giun đũa, với sự di chuyển của các dạng ấu trùng qua thành phế nang. Một số trong những KST này có thể không được ăn qua đường miệng mà xâm nhập vào cơ thể vật chủ qua da.
Gần đây, hội chứng Loeffler cũng được cho thấy là có liên quan đến việc sử dụng một số loại thuốc, bao gồm các nhóm thuốc kháng sinh (ethambutole, isoniazide, nitrofurantoine, penicilline, tetracycline, clarithromycine), thuốc chống co giật (carbamazepines, phenytoin, acid valproic, ethambutol), thuốc kháng viêm và ức chế miễn dịch (aspirin, azathioprine, beclomethasone, methotrexate, naproxen, diclofenac, fenbufen, ibuprofen, phenylbutazone, piroxicam) và các loại thuốc khác (bleomycine, captopril, chlorpromazine).
Trong hầu hết các trường hợp, hội chứng Loeffler được xem là một bệnh lành tính, tự giới hạn mà không có tỷ lệ mắc bệnh đáng kể cũng như không có trường hợp tử vong nào đã được báo cáo. Vì trẻ nhỏ tiếp xúc với nền đất bị ô nhiễm và biểu hiện hành vi lây truyền tay - miệng thường xuyên hơn ở người lớn, trẻ em có tỷ lệ mắc bệnh giun đường ruột và hội chứng Loeffler cao hơn. Triệu chứng của hội chứng Loeffler thường giảm dần trong vòng 3-4 tuần hoặc một thời gian ngắn sau khi loại bỏ thuốc nếu nghi ngờ tăng BCAT ở phổi do thuốc.
 
Hình 3. Không nên nhầm tưởng các giai đoạn viêm nội tâm mạc Loeffler (Loeffler endocarditis). Thâm nhiễm nội tâm mạc bạch cầu ái toan và lympho bào dòng tủy.
 1st Stage Giai đoạn hoại tử cấp; 2nd Stage hình thành huyết khối; 3rd Stage xơ sợi.
Triệu chứng lâm sàng
Triệu chứng của hội chứng Loeffler thường nhẹ và thoáng qua, có thể bao gồm: Ho khan, hoặc có đờm, khó thở, nhất là khi gắng sức; sốt nhẹ; cảm thấy mệt mỏi, chán ăn và ít gặp đau ngực. Hội chứng Loeffler là một dạng bệnh phổi tăng BCAT, có tỷ lệ mắc khá hiếm, triệu chứng bệnh thường thoáng qua, tự giới hạn và lành tính kéo dài dưới một tháng (trung bình 6-12 ngày). Căn nguyên của hội chứng Loeffler chủ yếu được cho là do phản ứng dị ứng đối với sự di chuyển qua phổi của ấu trùng giun hoặc có thể cả sán, cụ thể là giun đũa, giun móc và giun lươn.
Triệu chứng của hội chứng Loeffler thường nhẹ, có khuynh hướng tự khỏi sau vài ngày hoặc nhiều nhất là sau 2-3 tuần. Ho khan là triệu chứng phổ biến nhất. Bên cạnh đó, người bệnh có thể có khó thở, khò khè. Một số bệnh nhân có thể bị đau cơ, chán ăn và nổi mày đay. Các triệu chứng trên thường xuất hiện sau 10 - 16 ngày nuốt phải trứng giun đũa. Thời gian ủ bệnh tương tự cũng đã được mô tả trong hội chứng Loeffler có liên quan đến nhiễm N. americanus, A duodenale hoặc S. stercoralis. Một vài ca có bệnh sử liên quan đến du lịch đến các vùng bệnh lưu hành, cũng sẽ yếu tố nguy cơ tiếp xúc với ký sinh trùng.
Trong trường hợp nghi ngờ hội chứng Loeffler có liên quan đến thuốc, cần có bằng chứng sử dụng các thuốc có thể gây tăng BCAT đã nêu trên. Khi đến khám, bác sĩ có thể nghe thấy tiếng ran nổ hoặc tiếng thở khò khè ở bệnh nhân mắc phải hội chứng Loeffler. Ngược lại, bệnh nhân tăng BCAT ở phổi do thuốc thường có tiếng ran rít khi nghe phổi.
Hội chứng Loeffler trên trẻ em là một loại viêm phổi tăng BCAT giống với viêm phổi mắc phải trong cộng đồng và hen suyễn phát sinh do giun đũa đã từng được ghi nhận tại Việt Nam và trên thế giới. Ví dujgaanf đây, một ca bệnh nhi biểu hiện lâm sàng giống với bệnh viêm phổi mắc phải trong cộng đồng và hen phế quản. Một bé trai 5 tuổi với các triệu chứng ho, khó thở, thở khò khè, sốt từng cơn trong ba ngày. Bé được chẩn đoán mắc viêm phổi sau khi đánh giá thể chất và hình ảnh học, sau đó được đưa vào điều trị tại một bệnh viện. Sau xuất viện, triệu chứng giảm nhưng kéo dài trong vài tuần và ho ra đờm. Khi bé đến cơ sở y tế, tình trạng chung của bé có vẻ tốt, nhưng khi khám sức khỏe, bác sĩ phát hiện bé có ran ngáy, âm thô, đặc biệt là ở vùng trên của phổi (T). Đánh giá xét nghiệm máu ngoại vi của bệnh nhân cho thấy tình trạng tăng BCAT (từ 0,2% đến 2,06%-338/mm3), trong khi IgE là 50 IU/mL. 
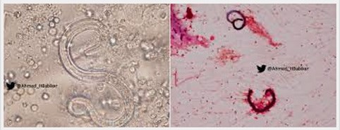
Chụp X-quang phổi cho thấy có sự đông đặc từng mảng ở vùng thâm nhiễm phổi ở phổi T. Mặc dù đã điều trị bằng kháng sinh, tình trạng đông đặc vẫn không được giải quyết nhưng hầu như biến mất hoàn toàn khi bệnh nhân nôn ký sinh trùng ra ngoài. Đánh giá đại thể của chất này được các nhà vi sinh vật học xác nhận là A. lumbricoides.
   |       |        |  
  |   Hình 3. Hình ảnh trứng, ký sinh trùng trưởng thành trong mẫu đờm của các bệnh nhân   |  
 
  CHẨN ĐOÁN
Vì triệu chứng của hội chứng Loeffler thường mơ hồ, không đặc hiệu lại thường thoáng qua, việc chẩn đoán đòi hỏi cần có các xét nghiệm hỗ trợ và để chẩn đoán hội chứng Loeffler, bác sĩ lâm sàng sẽ dựa vào các thông tin sau: 
(i) Tiền sử bệnh: Hỏi về các triệu chứng, tiếp xúc với các chất gây dị ứng hoặc ký sinh trùng; 
(ii) Khám lâm sàng: Ho là triệu chứng thường gặp nhất ở hội chứng Loeffler, nghe tim phổi, kiểm tra các dấu hiệu dị ứng; 
(iii) Xét nghiệm máu, thấy số lượng và tỷ lệ BCAT tăng, có kèm hoặc không kèm IgE toàn phần tăng cao trong huyết thanh. Thường thì BCAT tăng nhẹ trong máu (> 7-20%); nếu BCAT chiếm tới 40%, nguyên nhân gây bệnh cần nghĩ đến là do thuốc;
(iv) Xét nghiệm phân có thể thấy đơn bào do bệnh nhân nuốt đờm xuống theo phân ra ngoài. Ký sinh trùng và trứng có thể được tìm thấy trong phân trong vòng 6-12 tuần sau lần nhiễm KST tiên phát. Tuy nhiên, tại thời điểm này, triệu chứng ở phổi đã tự giới hạn hay đã biến mất; 
(v) Phân tích mẫu đờm, hoặc dịch dạ dày hoặc dịch súc rửa phế quản phế nang đôi khi tìm thấy ấu trùng trong đờm và dịch hút dạ dày tại thời điểm có các triệu chứng ở phổi; Soi dịch rửa phế quản phế nang: Số lượng BCAT có thể tăng cao;
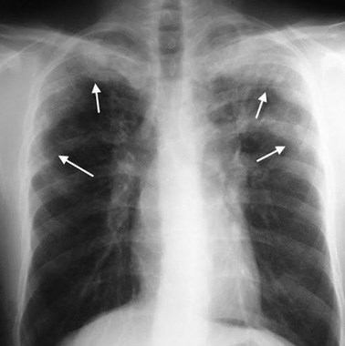
(vi) X-quang phổi cho thấy các đám mờ di động ở phổi. Chụp X-quang phổi cho thấy có đám mờ di chuyển so với vị trí trước đó 12-20 ngày. Tuy nhiên, tổn thương phổi quan sát được trên phim có thể biến mất hoàn toàn trong vòng 2-4 tuần. Đối với bệnh tăng BCAT ở phổi do thuốc, bất thường trên X-quang sẽ giải quyết hoàn toàn vài tuần sau khi ngừng dùng thuốc nghi ngờ;
   |       |        |  
  |   Hình 1. Chụp X-quang phổi ban đầu của một bệnh nhân nam 54 tuổi, cho thấy đám mờ (mũi tên) trên thùy giữa của phổi phải   |    Hình 2. X-quang phổi cho thấy đốm mờ di chuyển theo thời gian khi bệnh nhân chưa điều trị   |  
 
  (vii) CT-scan cung cấp hình ảnh chi tiết hơn về thương tổn phổi; 
(viii) Sinh thiết phổi trong một số trường hợp, có thể cần để xác định nguyên nhân chính xác. Tổn thương phổi cho thấy tăng thâm nhiễm BCAT xảy ra ở phế quản và tiểu phế quản, ở các phế nang và khoảng kẽ. Tuy vậy, các dạng ký sinh thường thường không tìm thấy được ở phổi.
ĐIỀU TRỊ & QUẢN LÝ CA BỆNH
Trong nhiều trường hợp, hội chứng Loeffler tự khỏi (2-3 tuần) mà không cần điều trị đặc hiệu. Tuy nhiên, nếu triệu chứng nặng hoặc biến chứng, bác sĩ có thể chỉ định liệu pháp điều trị sau:
- Thuốc kháng histamine: Giảm các triệu chứng dị ứng;
 - Kháng sinh: Nếu có bội nhiễm vi khuẩn;
 - Corticosteroid: Giảm viêm;
 - Thuốc chống ký sinh trùng: Nếu nguyên nhân gây bệnh là do ký sinh trùng. Cần lưu ý một số loại ký sinh trùng có thể gây hội chứng Loeffler như sán lá gan lớn, sán lá gan nhỏ, sán máng, đơn bào T. gondii, sán dây, giun chỉ và giun xoắn vẫn có thể nhưng hiếm hơn.
 
Việc điều trị và theo dõi hội chứng Loeffler có thể thực hiện ngoại trú, bệnh nhân không cần phải nhập viện. Bệnh nhân có thể hoạt động thể lực, chế độ dinh dưỡng như bình thường, không cần kiêng khem đặc biệt. Vì các triệu chứng ở hầu hết bệnh nhân mắc hội chứng Loeffler thường tự giới hạn, điều trị đặc hiệu bệnh lý này là không cần thiết. Nếu tăng BCAT ở phổi là do thuốc, bệnh nhân cần ngừng dùng thuốc nghi ngờ gây bệnh. Ngược lại, nếu nghĩ nguyên nhân là do nhiễm KST, bệnh nhân cần được chỉ định dùng thuốc điều trị giun sán thích hợp. Nếu mức độ biểu hiện bệnh nặng hay chậm thuyên giảm, trong cả hai tình huống trên, liệu pháp corticosteroid đường toàn thân có thể sẽ có hiệu quả cao, giúp cải thiện triệu chứng một cách nhanh chóng. 
Việc điều trị các nhiễm trùng giun sán chỉ được đặt ra khi có bằng chứng nhiễm giun trong cơ thể. Thuốc chống KST là phương thức điều trị đầu tiên chống lại bệnh thường gặp ở người, phổ biến nhất là albendazole, ivermectin, mebendazole. Những thuốc này khi được dùng trong 1-3 ngày sẽ giết giun trưởng thành. Các tác dụng phụ do thuốc gồm đau bụng nhẹ hoặc tiêu chảy.
Ngoài ra, để dự phòng cũng như để phòng tránh tái nhiễm, mỗi người cần được xây dựng ý thức vệ sinh tốt, rửa tay với xà phòng, ăn chín uống chín, xây dựng nhà ở có hệ thống xử lý phân hợp vệ sinh, kết hợp với chiến dịch giáo dục về xóa bỏ việc sử dụng hố xí lạc hậu, nhất là ở các vùng nông thôn, miền núi. Đối với trẻ em, cha mẹ cần hướng dẫn trẻ tự rửa tay thường xuyên với xà phòng, không ngậm tay vào miệng, bỏ thói quen cắn móng tay, đi chân trần. Đối với bệnh nhân đã được xác định là tăng BCAT ở phổi do thuốc, cần tránh dùng thuốc đó trong tương lai.
TIÊN LƯỢNG
Hội chứng Loeffler thường có tiên lượng tốt. Hầu hết bệnh nhân sẽ hồi phục hoàn toàn sau vài tuần hoặc vài tháng. Tuy nhiên, trong một số trường hợp, bệnh có thể tái phát hoặc tiến triển thành các bệnh phổi - phế quản mãn tính.
Ban đầu, căn nguyên phổ biến nhất của hội chứng Loeffler được cho là Ascaris lumbricoides, nhưng các nguyên nhân khác có thể gây viêm phổi tăng BCAT đơn thuần là phản ứng quá mẫn cấp do thuốc và nhiễm KST. Hội chứng Loeffler được coi là một bệnh lành tính, tự giới hạn mà không gây tử vong và ít để lại các di chứng đáng kể. Các triệu chứng thường giảm dần trong vòng 3 - 4 tuần hoặc ngắn hơn sau khi ngưng các thuốc gây bệnh trong viêm phổi tăng BCAT do thuốc. 
TÀI LIỆU THAM KHẢO
1. Acar A, Oncül O, Cavuşlu S, Okutan O, Kartaloğlu Z. Báo cáo ca bệnh: Hội chứng Löffler do giun đũa Ascaris lumbricoides tương tự viêm phổi mắc phải trong cộng đồng do vi khuẩn cấp tính. Turkiye Parazitol Derg. 2009;33:239-41.
2. Deveci U, Üstün C, Altınsoy HB, Akay A, Özdiller S, Aydın M. Hội chứng Loeffler tương tự  hen phế quản và viêm phổi ở trẻ: báo cáo trường hợp. Turkiye Parazitol Derg. 2013;37:288-91. 
3. Loffler Syndrome 2022. https://emedicine.medscape.com/
4. Oner Ozdemir (2020). Loeffler’s syndrome: A type of eosinophilic pneumonia mimicking community-acquired pneumonia and asthma that arises from Ascaris lumbricoides in a child. North Clin Istanb 2020 Aug 5;7(5):506-507.
5. Carolyn L. Rochester (20250. The eosinophilic pneumonia. https://thoracickey.com/the-eosinophilic-pneumonias/
TS.BS. Huỳnh Hồng Quang
Viện Sốt rét-KST-CT Quy Nhơn