Sán lá gan lớn trên phụ nữ mang thai: vấn đề chẩn đoán & điều trị còn ở phía trước!
Bệnh sán lá gan lớn ở người gần đây theo các chuyên gia cũng như các nhà khoa học trên thế giới không chỉ đơn thuần xem người là một vật chủ tình cờ nữa mà cần coi đó là một bệnh nhiệt đới ở người cần quan tâm đặc biệt. Bệnh sán lá gan lớn có vẻ ưu thế về giới tính nữ cao hơn nam giới gấp nhiều lần (nữ/nam:5/1-9/1.5), nguyên nhân tại sao vẫn chưa có lời giải thích thỏa đáng hiện tại, cũng cần lưu ý thêm rằng không riêng gì bệnh sán lá gan mà một số bệnh lý liên đới đến sỏi mật, viêm đường mật mật thì tỷ lệ nữ / nam cũng vậy. Không những thế, bệnh sán lá gan còn xuất hiện trong thời kỳ mang thai-cơ địa đặc biệt khiến khâu chẩn đoán và điều trị thêm phần khó khăn. Bởi lẽ các dấu chứng, triệu chứng, hội chứng bệnh sán lá gan nan ná với một số bệnh lý tiêu hóa gan mật khác, hoặc một số triệu chứng xảy ra trong thời kỳ mang thai, nên đây là một trong những điểm khó phân biệt đâu là triệu chứng của thai nghén và đâu là triệu chứng của bệnh sán lá gan lớn. khi đó chỉ có phương tiện cận lâm sàng như xét nghiệm huyết thanh học (ELISA), đếm bạch cầu ái toan, siêu âm gan mật, CT scanner sẽ hỗ trợ rất nhiều trong chẩn đoán (nghiên cứu này được nhóm tác giả H.H.Quang và cộng sự tiến hành trên 94 bệnh nhân phụ nữ mang thai nhiễm sán lá gan từ 2004-2008 tại Viện sốt rét KST-CT Quy Nhơn). Bên cạnh đó, khía cạnh thái độ xử trí một ca bệnh sán lá gan trên phụ nữ mang thai vẫn còn nhiều tranh luận về ngoại khoa, nội khoa với thuốc đặc hiệu triclabendazole.
Ca bệnh sán lá gan lớn giả u tại vùng thượng vị: báo cáo tại Việt Nam
Đó là thông báo trên y văn tạp chí J Trop Med Hyg. 2005 May ;72 (5):508-9 15891121 do tác giả Lê Thị Xuân, Nguyễn Thiện Hùng, Jitra Waikagul thuộc khoa ký sinh trùng, đại học y dược thành phố Hồ Chí Minh, Việt Nam nghiên cứu. bệnh nhân là một phụ nữ 40 tuổi, trú tại Gia Lai, Việt Nam, đột nhiên xuất hiện một khối đặc, cứng đỏ vùng thượng vị. Qua kiểm tra siêu âm, một khối abces gan và dấu viêm cơ ở vùng cơ liên sườn được xác định. Hai tuần sau điều trị bằng kháng sinh khối u biến mất nhưng có một vết di chuyển đến vùng hạ sườn (P), hút dịch đoạn cuối của túi nổi lên dạng herpes của vết đỏ này cho thấy một vật thể màu nâu, còn sống và xác định đây là sán lá gan trưởng thành Fasciolae spp. Đây là một trong những ca bệnh có dấu hiệu ban trườn do sán lá gan lạc chỗ dưới da.
Một số yếu tố nguy cơ nhiễm Fasciola hepatica trên trẻ em: nghiên cứu bệnh chứng
Nghiên cứu trên được tiến hành bởi nhóm các tác giả Luis Marcosa, Vicente Macoa, Frine Samalvidesa, Angélica Terashimaa, José R. Espinozab, Eduardo Gotuzzoa đăng trên tạp chí y học nổi tiếng NEJM,Vol.100, số 2, năm 2007. Nghiên cứu tiến hành theo thiết kế nghiên cứu bệnhchứng để làm rõ một số yếu tố nguy cơ đối với nhiễm sán lá gan lớn ở người đang sống tại vùng đông bắc Peru Altiplano. Tổng số 61 ca bệnh được chẩn đoán nhiễm ký sinh trùng sán lá gan mạn tính bằng xét nghiệm phân và / hoặc huyết thành chẩn đoán (Fas2-ELISA). Nhóm chứng gồn 61 cá nhân (n = 61) có kết quả xét nghiệm phân và huyết thành chẩn đoán với loài Fasciola hepatica đều âm tính (negative serologic and coprological results). Các tác giả đã xác định mối liên quan giữa bệnh sán lá gan với 4 biến số: thói quen uống nước giải khát có cỏ đinh lăng alfalfa (OR = 4.5; 95% CI 1.8–11.1; P< 0.001); có thói quen trong gia đình có sử dụng cây thủy sinh (OR = 4.3; 95% CI 1.8–10.6; P < 0.001); thân mật và gần gũi với chó (OR = 5; 95% CI 1.7–15.1; P = 0.002) và có chăn nuôi hơn 5 con cừu trong gia đình (OR = 0.3; 95% CI 0.1–0.8; P = 0.01). Theo trình bày về lâm sàng và kết quả của xét nghiệm cho thấy, tình trạng khó chịu, hoa mắt, chóng mặt (P = 0.01), tiền sử vàng da (P = 0.01), tăng bạch cầu ái toan trong máu ngoại vi (P = 0.005) và nhiễm giun đũa Ascaris lumbricoides trong phân (P = 0.001) có liên quan đến bệnh sán lá gan lớn. Yếu tố phơi nhiễm chính của nhiễm F. hepatica là uống nước ngọt có alfalfa. Do vậy, nhiễm sán lá gan lớn ở người tại Peru nên nghi ngờ trên các bệnh nhân có tiếp xúc với vùng nuôi gia súc, có tiền sửu nhiều đợt vàng da tái hồi và uống nước giải khát có chứa cỏ đinh lăng hoặc ăn rau thủy sinh, xét nghiệm có tăng eosin trong máu ngoại vi.
Thử nghiệm lâm sàng ngẫu nhiên liều điều trị sán lá gan lớn: liều đơn, liều đôi, liều gấp 3 so với 10 mg/kg của triclabendazole trên bệnh nhân nhiễm sán lá gan lớn ở người.
Đây là nghiên cứu mang tính dược học do nhóm tác giả Haleh Talaie, Habib Emami, Davood Yadegarinia, Alejandro A Nava-Ocampo, Jafar Massoud, Mohammad Azmoudeh, Santiago Mas-Coma thuộc khoa Sinh lý và dược lý tiến hành và kết quả được đăng tải trên tạp chí Clinical and Experimental Pharmacology and Physiology, Volume 31, No.11, November 2004, 777-782 (6). Một số nhận xét có liên quan đến các công trình như thế:
Nghiên cứu được thực hiện cách nay trên 10 năm và báo cáo đăng tải gần đây cho biết hiệu lực triclabendazole rất tốt trong điều trị bệnh nhân nhiễm sán lá gan lớn;
- Để xác định hiệu lực của triclabendazole trên bệnh nhân nhiễm sán lá gan lớn, tổng số 165 đối tượng đưa vào nghiên cứu và phân chia thành 2 nhóm: (i) những đối tượng bệnh sán lá gan lớn, có bằng chứng xác nhận có trứng trong phân; và (ii) những bệnh nhân có dữ liệu lâm sàng và cận lâm sàng theo dõi nghi ngờ sán lá gan lớn;
- Những bệnh nhân được chỉ định dùng liều 10 mg/kg đường uống triclabendazole trong 1, 2, 3 ngày (lần lượt liều đơn, liều gấp đôi hoặc liều gấp 3) Khai thác bệnh sử, khám thực thể và xét nghiệm lâm sàng được tiến hành vào ngày thứ 7, 14, 30 và 60 sau khi điều trị. Kết quảnày là dựa trên một nghiên cứu 152 bệnh nhân theo dõi đầy đủ;
- Có một sự giảm đáng kể về tỷ lệ dấu chứng lâm sàng trên tất cả nhóm nghiên cứu ngay sau khi điều trị. Trứng sán biến mất (sạch) trên tất cả số bệnh nhân ở nhóm liều đơn và đôi. 30 ngày sau điều trị, trứng đươc tìm thấy trong phân của 2 bệnh nhân ở nhóm liều gấp 3, phải nhận một liều điều trị tiếp đó với triclabendazole;
- Tất cả bệnh nhân đều được chữa khỏi vào ngày 60 sau điều trị. Tuy nhiên, tỷ lệ chữa khỏi thấp hơn khi so sánh với nhóm nghi ngờ nếu so sánh phân tích. Sự khác biệt không có ý nghĩa thống kê (P > 0.05) trong số 3 nhóm bệnh nhân. Không có ca bệnh nào nhiễm độc gan được ghi nhận.
- Nói tóm lại, liều 10 mg/kg đường uống của thuốc triclabendazole trong liệu trình 1, 2, 3 ngày đều an toàn và hiệu quả trong điều trị sán lá gan lớn ở người.
Hy vọng một cứu cánh mới cho bệnh nhân chưa có thuốc điều trị sán lá gan lớn
Trong năm 2007-2008, nhờ sự giúp đỡ của Đại diện Tổ chức y tế thế giới tại Việt Nam, Tổ chức Y tế thế giới (WHO) đã hỗ trợ cho Việt Nam 10.000 viên thuốc triclabendazole, biệt dược Egaten 250mg, log 000500, hạn sử dụng 10.2008 nhằm phục vụ điều trị sán lá gan lớn cho bệnh nhân các tỉnh thành có sán lá gan lớn Fasciola spp., rất hiệu quả, giải quyết gánh nặng bệnh nhân đến tập trung khám, chẩn đoán và điều trị tại các Viện và Bệnh viện chuyên ngành (vì đã cấp thuốc đặc hiệu đến tận tuyến huyện). Ngoài ra, vào tháng 03/2007 đoàn chuyên gia về ký sinh trùng của Tổ chức y tế thế giới và Khoa nghiên cứu ký sinh trùng của Đại học y Valencia, Tây Ban Nha sang thăm và làm việc cũng như giúp Việt Nam điều tra, đánh giá thực trạng bệnh sán lá gan lớn tại Việt Nam, chủ yếu tại các tỉnh thành miền Trung-Tây Nguyên. Theo số liệu thống kê chưa đầy đủ, riêng 10 tháng đầu năm 2008, con số bệnh nhân mắc sán lá gan lớn được điều trị khoảng 2.000 ca, đầu tháng 9/2008 Viện Sốt rét-KST-CT Quy Nhơn đã có công văn báo cáo Bộ Y tế, Tổ chức Y tế thế giới và Viện Sốt rét-KST-CT Trung ương về diễn biến tình hình bệnh sán lá gan lớn và số thuốc Egaten sắp hết hạn sử dụng tại các tỉnh trong khu vực; đồng thời đề nghị Tổ chức y tế thế giới cung cấp bổ sung thuốc Egaten.
Đến thời gian này, thuốc Egaten 250mg đã hết hạn sử dụng và để an toàn và hợp lý trong sử dụng thuốc theo quy định, Viện Sốt rét KST-CT Quy Nhơn đã có thông báo Sở Y tế, Trung tâm Phòng chống sốt rét-KST-CT / Trung tâm Y tế dự phòng các tỉnh chỉ đạo các bệnh viện tỉnh, huyện và các cơ sở điều trị ngừng sử dụng số thuốc Egaten 250mg có hạn dùng 10/2008, có biện pháp giải quyết thuốc hết hạn theo đúng quy trình và có thống kê, báo cáo về Viện kịp thời. Hiện tình hình bệnh sán lá gan lớn không còn là tâm nóng như thời điểm 2005, 2006, song cũng là vấn đề y tế công cộng tại một số tỉnh khu vực miền Trung-Tây Nguyên, Viện Sốt rét-KST-CT Quy Nhơn và Viện Sốt rét-KST-CT Trung ương sẽ có kế hoạch làm việc với Bộ Y tế, Tổ chức Y tế thế giới (WHO) để sớm có thuốc điều trị đặc hiệu triclabendazole, đáp ứng yêu cầu điều trị bệnh sán lá gan lớn tại các tuyến điều trị. Hiện nay công ty Novartis, Thụy Sĩ đã và đang đưa ra thị trường thuốc Egaten với lô mới 000 600, hạn sử dụng 06.2011 với mẫu mã và đăng ký hơi khác trước (hình trên). Hy vọng trong thời gian đến, thuốc sẽ đáp ứng kịp nhu cầu tình hình bệnh sán lá gan lớn.
Tính an toàn và hiệu lực của thuốc niclosamide, pyrantel pamoate, triclabendazole và oxamniquine
Theo báo cáo đăng tải trên tạp chí dược học nổi tiếng The International Journal of Risk and Safety in Medicine, Volume 20, Number 3/2008 cho biết vừa qua các tác giả D. Ofori-Adjei, A.N.O. Dodoo, A. Appiah-Danquah, M. Couper thuộc Tropical Clinical Pharmacology và Therapeutics, đại học y khoa Ghana và một số cộng sự từ Tổ chức y tế thế giới WHO, Thụy Sĩ tiến hành và công bố kết quả cho biết về tính an toàn của một số thuốc điều trị giun, sán hiện đang sử dụng trên thế giới. Tổng hopự chi tiết về độ an toàn của thuốc điều trị giun đường ruột (pyrantel vàniclosamide) và thuốc điều trị sán máng (antischistosoma) và thuốc điều trị sán lá (antitrematodes) như oxamniquine và triclabendazole, cũng như nghiên cứu sâu về tác dụng ngoại ý của thuốc (ADR_adverse drug reaction), cũng được trình bày trong cơ ở dữ liệu của Trung tâm hợp tác giám sát thuốc quốc tế tại Thụy Điển (WHO Collaborating Centre for International Drug Monitoring in Sweden). Số liệu có sẵn trong database cho biết bằng chứng an toàn của thuốc rất chi tiết. Trong đó cũng đề cập đến nguy cơ động kinh của thuốc oxamniquine, chỉ xuất hiện và báo cáo tại một vài quốc gia. Tất cả 4 thuốc kể trên đều rất an toàn và dung nạp tốt, ngay cả khi sử dụng trong chiến dịch điều trị hàng loạt (mass treatment) tại một số quốc gia. Độ an toàn này chỉ ra rằng thuốc oxamniquine, triclabendazole, niclosamide và pyrantel là cơ sở rất tốt trong đánh giá liên quan đến hồ sơ giữa lợi ích và nguy cơ của thuốc. Song, nâng cao và bổ sung nhiều bằng chứng hỗ trợ cho tính an toàn các thuốc như thế nên có một hệ thống “Dược cảnh giác” (Pharmacovigilance systems), theo khuyến cáo của WHO trên phạm vi toàn cầu, đặc biệt ở các quốc gia có hệ thống và dự liệu hạn chế. Cả 4 thuốc này dẫu sao hiện cũng đang nằm trong danh mục thuốc thiết yếu của (WHO Model list of essential medicines).
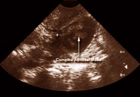
Nhân trường hợp khối sán lá gan lớn giả trang như một ung thư buồng trứng
Bài báo cáo trên do nhóm tác giả Gurkan Yazici, Umut Talat Dilek, Tuba Karabacak, Devrim Ertunc, Metin Korkmaz, Saffet Dilek thuộc khoa sản phụ, đại học y khoa, đại học Mersin, Liparis Plaza, Orkide Blok, Kat: 5, Daire:12, 33170 Mezitli, Mersin, Thổ Nhĩ Kỳ công bố trên tạp chí ung thư phụ khoa Gynecol oncol. 2005 Oct ;99 (1):236-8 16051339. Với một chẩn đoán trước sinh/trước mổ là một ung thư buồng trứng vẫn còn là một vấn đề do đa bệnh khi xuất hiện ở vùng chậu một khối u. Bệnh sán lá gan lớn là một bệnh ký sinh trùng gây triệu chứng lâm sàng độc nhất. Bệnh nhân là một phụ nữ 49 tuổi nhập viện với phàn nàn là thỉnh thoảng có cơn đau bụng. Khám vùng chậu cho thấy có một khối dính bên (P). Xét nghiệm chất chỉ điểm khối u CA-125 huyết thanh cho thấy tăng. Mổ bụng thăm dò được thực hiện với một chẩn đoán ban đầu là khối u buồng trứng, song chẩn đoán cuối cùng là khối abces do sán lá gan lớn dính thân (adnexal fascioliasis).
Điều này, đặt ra một hướng chẩn đoán mới khi gặp khối u vùng chậu, làm thế nào lý giải có sự tăng nồng độ CA-125, trong khi ung thư buồng trứng là một chẩn đoán phân biệt đầu tiên, triệu chứng lâm sàng không điển hình của sán lá gan lớn, có thể đưa người thầy thuốc vào một chẩn đoán nhầm là u ác tính.
Bệnh sán lá gan mạn tính ở người: một trong những nguyên nhân có khả năng gây bất thường xét nghiệm gan không giải thích được
Đây là một tổng hợp trên một số ca sán lá gan lớn đăng tải trên tạp chí y học có tiếng British Journal of Biomedical Science, do nhóm tác giả Hussein, Mahmoud, MM, Elsayad, MH, Abdel-Tawab, SM tiến hành và nhận định. Bệnh sán lá gan lớn gây tổn thương gan. Viêm gan virus B và C là những nhân tố quan trọng gây bệnh lý gan mạn tính; trong nghiên cứu này, tần suất viêm gan B và /hoặc viêm gan C xuất hiện trên những bệnh nhân nhiễm sán lá gan lớn mạn tính. Khi tiến hành xét nghiệm: đếm trứng, làm phản ứng miễn dịch IHAT, xét nghiệm chỉ số Hb, tổng số bạch cầu và eosin, bilirubine huyết thành và bạch cầu ái toan ALAT, ASAT, alkaline phosphatase (ALP) và acid phosphatase (ACP), kết quả cho thấy thông số γ-glutamyltransferase (GGT) trong huyết thanh, arylsulphatase (ASA) nồng độ lipid peroxide gia tăng bất thường mà không thể giải thích nguyên do. Chính vì vậy, hiện các nhà nghiên cứu đang tiếp tục nghiên cứu nhân rộng để xem liên quan giữa viêm gan virus với bệnh sán lá gan lớn ở người.
Hiệu quả của albendazole và triclabendazole lên cầu nối vi vỏ colchicin của F. hepatica
Albendazole (ABZ) và các chất chuyển hóa sulfoxide (SX), sulfone (SO) ức chế quá trình hình thành cầu nối trong cấu trúc vi vỏ 3H-colchicine, đây là một cầu nối có tính bền vữngtrong hỗ trợ cho cấu trúc vi quản đính với một số thành phần cơ thể của SLGL Fasciola hepatica. Về thực nghiệm, hiệu quả của hợp chất SX mạnh hơn, lớn hơn ABZ vàlớn hơn SO. Nhóm thuốc benzimidazoles (gồm cambendazole, parbendazole, oxibendazole và mebendazole), khi thử nghiệm ở nồng độ 10 microM, cũng cho phép ức chế cầu nối của sán. Tuy nhiên, một tiềm năng lớn của nhóm thuốc diệt sán benzimidazole mới này là thuốc triclabendazole (TCZ), lại không tác động lên cầu nối colchicine với chất đồng nhất của F. hepatica mà theo một cơ chế khác. Khi sán còn nguyên vẹn, người ta cho tiếp xúc, thử nghiệm in vitro với nồng độ 0 (-5) M SX trong thời gian 5 phút, sau đó cầu nối 3H-colchicine với chất đồng nhất của sán giảm đi một cách đáng kể. Tuy nhiên, với ABZ thì sán lại phục hồi trong vòng 12-24 giờ sau khi xử lý trên cừu bằng ABZ và không có giảm cầu nối colchicine đáng kể và cũng đã cho thấy một vài tương tác thuốc với vi quản trên in vivo. Nhìn chung, thuốc ABZ, SX và SO có hiệu quả ngăn cản quá trình hình thành tạo phôi của trứng sán ở liều thấp 0.01 microM, nhưng TCZ không tác động ở nồng độ cao 10 microM. Kết quả cho thấy ABZ thể hiện phần nào trong tác động của chúng lên quá trình trưởng thành của sán nhờ quá trình tương tác thuốc với cấu trúc vi quản.
So sánh hiệu quả Albendazole, Fenbendazole và Triclabendazole trên F.hepatica
Công trình nghiên cứu này mô tả so sánh giữa Albendazole (ABZ), Fenbendazole (FBZ) và Triclabendazole (TCZ) trong cơ chế tác động xuyên thấu cấu trúc vi vỏ của sán Fasciola hepatica trưởng thành và ảnh hưởng một số thành phần lý hóa trong môi trường ủ bệnh có mật lên thuốc trong quá trình khuyếch tán thuốc. Dữ liệu thu nhận được từ nghiên cứu động lực khuyếch tán xuyên cấu trúc vi vỏ (trans-tegumental diffusion kinetic) có sự trợ giúp của thành phần bổ sung đi kèm với lipid là nước [lipid-to-water coefficients (octanol-water)] đối với nhóm thuốc benzimidazole (BZD) được thử nghiệm. Sán lá gan F. hepatica 16 tuần tuổi được thu thập từ các con cừu nhiễm tự nhiên chưa điều trị thuốc gì. Những con sán được ủ ở nhiệt độ 37°C trong thờigian trên 60-90 phút trong môi trường có pH 7.4 và tỷ lệ giữa mật bò với dung dịch đệm Krebs' Ringer Tris (KRT) buffer khác nhau (100, 75, 50, 25 và 0% mật bò) chứa các thuốc. Hoặc là ABZ, FBZhoặc TCZ ở các nồng độ cuối cùnglà 5 nmol/ml. Sau thời gian ủ bệnh kết thúc, các con sán trong gan được xử lý hóa học và phân tích bằng kỹ thuật sắc ký lỏng cao áp (HPLC) để đo nồng độ thuốc bên trong ký sinh trùng sán lá này. Ngoài ra, tỷ lệ chia giữa octanol-nước cho mỗi phân tử được tính (xem như là một chỉ số ưa lipid của thuốc sử dụng pha đảo của HPLC. Các phân tử của 3 BZD được hồi phục từ các con F. hepatica ở tất cả môi trường ủ bệnh được kiểm định chi tiết nhằm so sánh. Sự khuyếch tán xuyên vi vỏ phân tử ưa lipid của ABZ và FBZ (cao hơn giá trị PC) có xu hướng lớn hơn của TCZ đã qua kiểm tra. Một điều thú vị, hấp thu ABZ do sán lá gan cao hơn do TCZ một cách có ý nghĩa và TCZ là hợp chất diệt sán phổ rộng hơn BZD.
Mô hình hấp thụ khác biệt này có thể lộ ra một vấn đề cần quan tâm bấy lâu nay nhằm giải thích cho quy trình sán lá gan lớn kháng thuốc TCZ. Nồng độ thuốc được đo trong ký sinh trùng thấp hơn trong môi trường ủ thực nghiệm mà có nồng độ mật bò cao nhất. Cùng với ý nghĩa đó, thử nghiệm này cho thấy đường vào của thuốc đến đích của ký sinh trùng sán lá không những chỉ phụ thuộc vào chênh lệch nồng độ, vào tính ái lipid của các phân tử và bề mặt hấp thụ (lipophilicity of the molecule and absorption surface), mà còn bị ảnh hưởng từ thành phần lý hóa trong môi trường xung quanh mà con sán tồn tại lúc đó.
Triclabendazole: với một số hiệu lực điều trị mới
Triclabendazole (TCZ) với hoạt tính của thuốc cao trên các sán lá gan lớn chưa trưởng thành, thuốc TCZ này trở thành một trong những thuốc chính yếu trong điều trị sán trên thị trường vào thời điểm đó. Song gần đây, TCZ được sử dụng điều trị sán lá gan lớn (SLGL) ở người và đến nay gần 15 năm sau TCZ đã là thuốc được lựa chọn đầu tay của bệnh nhân sán lá gan lớn. Kháng thuốc TCZ được báo cáo lần đầu tiên năm 1995 ở một vài nơi bệnh lưu hành ở Úc và từ đó nó được quan tâm và xuất hiện và được một số tác giả báo cáo nhiều quốc gia ở châu Âu. Song song với sự lan rộng của kháng thuốc, thì có tăng đáng kể về tỷ lệ bệnh SLGL, trong đó có sự góp phần của thay đổi thời tiết, khí hậu. Do đó, người nông dân, nhất là các chủ trang trại gia súc đang phải đối mặt với với một viễn cảnh đầy báo động, thiệt hại rất lớn đến nền kinh tế công nghiệp chăn nuôi. Mục đích chính là để đánh giá những hiểu biết gần đây về cơ chế tác dụng của TCZ chống lại SLGL và cơ chế SLGL làm thế nào tạo ra kháng thuốc kháng thuốc như vậy. Việc sử dụng TCZ chống lại bệnh SLGL ở người và động vật đã được kết luận và mở ra hướng đi mới giải thích cơ chế kháng thuốc bằng những nghiên cứu chi tiết trên thế giới. Những lỗ hỗng về kiến thức cập nhật về các khía cạnh khác nhau là rất lớn và đóng vai trò định hướng các nghiên cứu trong tương lai cho lĩnh vực này.
Chuyển dạng sinh học và khuyếch tán thuốc triclabendazole: Một so sánh trên thuốc gốc và chất chuyển hóa oxy hóa vào trong cơ thể F.hepatica
Triclabendazole (TCZ) là một hợp chất benzimidazole halogen hóa diệt sán lá được dùng phổ biến trong lĩnh vực thú y. Hoạt tính tác động mạnh trên sán trưởng thành và chưa trưởng thành sán lá gan Fasciola hepatica. Chất chuyển hóa ở gạn gắn kết và ở dạng tự do TCZ được xác định cơ chế chuyển dạng và tác dụng trên những con cừu được điều trị thuốc này. Mục đích nghiên cứu thực nghiệm là để kiểm tra đặc tính trên mô hình in vitro của chuyển dạng sinh học của TCZ cả những vật chủ động vật (tiểu bào tử của gan cừu) và ký sinh trùng đích (các chế phẩm tiểu bào tử F. hepatica); so sánh với khuyếch tán ex vivo của TCZ gốc và chất chuyển hóa oxy của chúng là sulphoxide TCZ [TCZSO], TCZ sulphone [TCZSO2], dẫn suất TCZ-hydroxy vào trong sán F. hepatica. Thêm vào đó, thành phần gắn kết octanol-nước đối với TCZ và tất cả chất chuyển hóa của chúng được đánh giá như là một chỉ số liên quan giữa tính ưa lipid và khuyếch tán vào trong đích của ký sinh trùng, quá trình và sơ bộ kết quả ban đầu được tóm lược như sau:
1. Nồng độ thuốc hoặc chất chuyển hóa được định lượng, tính thông qua kỹ thuật của sắc ký lỏng cao áp (HPLC) sau khi mẫu được rửa sạch và tách chiết dựa vào hóa chất môi trường được pha loãng.
2. Tiểu bào tử gan của cừu sẽ chuyển hóa TCZ thành những chất sulphoxide vàsulfone sau 30 phút ủ với gan. Tỷ lệ hóa TCZ sulphoxidate trên gan cao có ý nghĩa thống kê(p<0.01) hơn là sulfon hóa của TCZSO.
3. Ký sinh trùng được oxy hóa TCZ thành những chất chuyển hóa sulphoxide sau 60 phút ủ ở tỷ lệ 0.09 nmol min−1 mg protein−1
4. TCZ và tất cả sản phẩm được oxy hóa chuyển hóa được hồi phục lại từ F. hepatica sau 15 phút sau khi ủ theo ex vivo trong một môi trường có thuốc đệm Kreb's Ringer Tris buffer. Tuy nhiên, sự khuyếch tán của dẫn suất hydroxy vào trong sán là thấp hơn hàm lượng mà TCZ, TCZSO và TCZSO2 được quan sát. Có mối tương quan rất chặt chẽ (r = 0.82) giữa ưa lipid của thuốc (biểu thị qua thành phần kết dính giữa octanol-nước) và sinh khả dụng của thuốc được đo trong cơ thể sán.
5. Không giống như mô hình hấp thu trước đây được quan sát ở thuốc albendazole, thuốc gốc TCZ và các dẫn suất chuyển sulphoxide và sulphone cho thấy chúng có khả năng tương tự xuyên thấu vào trong cơ thể sán.
6. Những hiểu biết về liên quan giữa chuyển hóa TCZ, tiềm năng dược lý tương đối của các sản phẩm chuyển hóavà khả năng đạt đến đích ký sinh trùng có thể là hoạt tính chủ yếu lên cấu trúc vi vỏ của sán, đặc biệt khi sán đề kháng TCZ được phân lập rõ ràng trên thực địa.
Đáp ứng của 2 phân lập F.hepatica với Triclabendazole trên mô hình thử nghiệm in vivo và in vitro
Các nhà khoa học đã khảo sát tính nhạy cảm của hai phân lập của loài sán lá gan lớn Fasciola hepatica (phân lập Fairhurst và Oberon) khi điều trị chúng bằng thuốc Triclabendazole (TCZ) cả trên in vivo và in vitro. Phân lập Fairhurst có nguồn gốc từ Anh, nhưng có tồn tại ở Australia nên cũng được đua vào nghiên cứu này và phân lập Oberon có nguồn gốc từ Australia. Triclabendazole (TCZ) có hiệu lực rất cao chống lại phân lập Fairhurst. Trên cừu (liều 10mg/kg), hiệu quả đạt từ 78.4% (theo dõi ở thời điểm 2 tuần sau nhiễm) đến 98.5% (ở thời điểm 6 tuần sau nhiễm). Trên gia súc khác (liều 12mg/kg) hiệu quả đạt được 89% (ở 2 tuần sau nhiễm) và 100% (ở thời điểm 12 tuần sau nhiễm). Ngược laị, đối với phân lập Oberon, thuốc TCZ chỉ đạt hiệu quả 0% chống lại những con sán lá gan lớn 2 tuần tuổi trên cừu (liều 10mg/kg) và chỉ 5% chống lại những con sán 4 tuần tuổi. Sự thay đổi bề mặt cấu trúc vi vỏ của sán từ hai phân lập trên khi cho thuốc tác động được đánh giá, khảo sát bằng kính hiển vi điện tử (SEM-scanning electron microscopy) theo dõi sau điều trị trên in vitro đối với các chuyển hóa của TCZ là sulphoxide trong 24 giờ (nồng độ 15 và 50 g/ml). Sự phá hủy cấu trúc ở dạng tạo nốt phỏng và sưng phồng, rồi tạo các rãnh cắt trên cấu trúc vi vỏ ở phân lập Fairhurst lớn hơn so với phân lập Oberon. Thay đổi bề mặt nói chung rất nghiêm trọng ở vùng trước cơ thể hơn vùng sau của sán và phần lưng cũng bị ảnh hưởng năng hơn phần phần bụng. Sự phá hủy càng nặng nếu nồng độ thuốc cho tiếp xúc càng cao đối với cả hai phân lập. Dữ liệu về hình thể học được phân tích đồng thời với dữ liệu về hiệu quả thuốc.
Kết quả quan sát đã chỉ ra phân lập Fairhurst của F. hepatica nhạy cảm với thuốc TCZ trong khi phân lập Oberon lại tỏ ra “chịu đựng” khá tốt dưới áp lực nồng độ thuốc tăng cao dần hoặc chỉ bị ảnh hưởng ít không đáng kể.
Giun lươn Strongyloides stercoralis: một nghiên cứu trên các bà mẹ và con của học bằng cách sử dụng ELISA, phương pháp Baermann và Koga tại một số vùng lưu hành thấp ở tây Uganda
Nghiên cứu do nhóm tác giả J.R. Stothard, J. Pleasant, D. Oguttu, M. Adriko, R. Galimaka, A. Ruggiana, F. Kazibwe và N.B. Kabatereine thuộc khoa nghiên cứu y sinh học Wolfson, Bảo tàng lịch sử tự nhiên, London và khoa bệnh nhiệt đới, Viện y học nhiệt London, Đơn vị phòng chốngvector, Bộ Y tế Uganda thực hiện. Để xác định chính xác tình trạng hiện tại của bệnh giun lươn ở các bà mẹ và trẻ trước lứa tuổi đi học của họ, một nghiên cứu dựa vào cộng đồng được tiến hành ở phía tây Uganda, sử dụng nhiều phương pháp chẩn đoán phối hợp: ELISA, tập trung Baermannvà trên plate thạch Koga. Tỷ lệ hiện mắc của các bệnh giun truyền qua đất và sán máng đường ruột cũng được xác định trong nghiên cứu này. Tổng số 158 bà mẹ và 143 trẻ được đưa vào nghiên cứu của 5 làng ở quận Kabale, Hoima và Masindi. Trên các bà mẹ và trẻ, tỷ lệ nhiễm chung giun lươn bằng ELISA là 4% và 2%. Không có tình trạng nhiễm khi làm trên đĩa thạch Koga và phương pháp tập trung Baermann. Kiến thức hiểu biết về bệnh giun lươn rất kém (< 5%) khi so sánh với kiến thức về bệnh sán máng rất cao (51%)và bệnh giun đũa (36%). Kết quả trên cho thấy, tình trạng nhiễm giun lươn chưa được thuyết phục để triển khai một chương trình điều trị cho cộng đồng về bênh này cho các đối tượng đặc biệt là bà mẹ và trẻ em. Tuy nhiên, nhu cầu đòi hỏi nhiều phương pháp sàng lọc về mặt dịch tễ học hơn nữa, đặc biệt xác định liên quan đến đối tượng suy giảm miễn dịch như HIV dương tính trong nhóm phụ nữ nằm độ tuổi sinh đẻ. Phương diện nghiên cứu thực địa, có lẽ phương pháp tập trung Baermann là tiện dụng hơn cả trong việc lựa chọn để điều tra bệnh này.