Giới thiệu về loài ếch
Ếch là loài động vật thuộc lớp lưỡng cư, chúng có khoảng 3900 loài, sống chủ yếu ở rừng mưa nhiệt đới. Bên cạnh những loài ếch thường gặp, người ta còn phát hiện ra một số loài ếch đặc biệt. Vì ếch phải sống trong những điều kiện “đặc biệt” khác nhau, nên có những loài ếch đã tiến hóa để thành những loài ếch “đặc biệt”, chẳng hạn ở vùng rừng của Đông Nam Á có loài ếch bay có thể bay từ cây này sang cây khác; ếch Darwin ấp trứng trong miệng, khi hình thành ếch con, ếch bố sẽ nhả chúng ra; hoặc ếch bốn mắt Chile có hai tuyến độc ở sau lưng nhìn giống như hai con mắt,...
Khám phá và tìm hiểu giá trị các laòi ếch vẫn còn là một lý thú cho các nhà khoa học, mới đây các nhà khoa học đã khám phá một loài ếch bám đá mới ở vùng núi phía Nam của tỉnh Vân Nam, Trung Quốc tiếp giáp với biên giới phía Bắc của Việt Nam.
Loài ếch bám đá mới (thuộc giống Amolops, lớp ếch nhái) ở vùng núi phía nam của tỉnh Vân Nam, Trung Quốc tiếp giáp với biên giới phía bắc của Việt Nam (ảnh bên). Tên khoa học của loài ếch Amolops caelumnoctis sp. nov. Rao & Wilkinson, 2007 đăng trên tạp chí nổi tiếng Copeia, Hoa Kỳ vào tháng 12 năm 2007. Loài ếch này thuộc bộ không đuôi, lớp ếch nhái. Đây là loài lưỡng cư duy nhất có lưng màu tím thẫm, có nhiều đốm nhỏ màu vàng đan xen trải đều trên khắp cơ thể trông giống những vì sao lấp lánh trong bầu trời đêm. Loài ếch bám đá mới này còn có một đặc điểm phân biệt khác nữa khi đem so sánh với các loài Amolops khác: đó là chúng có lớp da nhẵn (không có các nốt sần) và không có bất kỳ nếp nhăn nào bên hông. Ngoài ra, loài ếch bám đá mới này không có các thanh cơ chằng ngang ở chân. Qua nghiên cứu các mẫu chuẩn và mẫu so sánh thu được, các nhà khoa học thấy loài mới được khám phá có nhiều đặc điểm khác biệt so với các loài đã biết trước đây. loài ếch bám đá mới có thân dẹt, dài, độ rộng của đầu nhỏ hơn chiều dài cơ thể nhưng lại lớn hơn độ rộng của thân; đầu bẹt, chi trước mở rộng hơn một chút thon nhỏ và kéo dài, cẳng chân dài, nhỏ. Loài lưỡng cư mới này sinh sống ven các suối, thác ở vùng núi rừng nhiều tầng, cây lớn vào có độ cao so với mực nước biển lớn. Theo nghiên cứu của các nhà khoa học, đa phần ếch bám đá thuộc giống Amolops sống tại các vùng núi ở Ấn Độ, Đông Nam Á và phía Nam Trung Quốc. Hiện trong tổng số khoảng 40 loài ếch bám đá Amolops được biết trên thế giới, thì có tới hơn nửa được tìm thấy ở Trung Quốc
Người dân địa phương vùng núi Hoàng Liên Sơn, Vân Nam, Trung Quốc - phía tiếp giáp với Việt Nam khi cùng tham gia với đoàn nghiên cứu thuộc Viện Động vật học Côn Minh trong khi khảo sát loài vượn đen vào mùa xuân năm 2002 đã phát hiện thấy những sinh vật này và tiến hành chụp ảnh của chúng. Tiếp đó, một đoàn nghiên cứu đã lấy được nhiều mẫu vật về loài lưỡng cư mới lạ này.
Ếch thường có kích thước, màu sắc và hình dáng đa dạng. Hình dạng đặc biệt bên ngoài là da ếch trơn và luôn ẩm, hơi nhầy dùng để hô hấp, màu giống như nơi chúng ở; một số loài ếch có thịt và da mang độc tố; những loài ếch này thường có da màu sáng như vàng, đỏ, cam, ...; ếch có 4 chân, chân sau lớn khoẻ, chân có màng để nhảy và bơi; mắt ếch lồi, to có trợ giúp rất lớn để định vị con mồi (nhất là đối với những con ếch trưởng thành có thể sống trên cạn).
Cấu tạo bên trong cơ thể: gồm có hệ tiêu hoá với dạ dày lớn, ruột ngắn, gan-mật lớn, có tuyến tụy; hệ hô hấp có phổi, hô hấp nhờ sự nâng hạ của thềm miệng, da ẩm có hệ mao mạch dày đặc dưới da làm nhiệm vụ hô hấp; hệ tuần hoàn có xuất hiện vòng tuần hoàn phổi tạo thành 2 vòng tuần hoàn với tim 3 ngăn (2 tâm nhĩ và 1 tâm thất) nên máu đi nuôi cơ thể là máu pha trộn; hệ bài tiết có thận vẫn là giữa giống cá, có ống dẫn nước tiểu xuống bóng đái lớn trước khi thải ra ngoài qua lỗ huyệt; hệ thần kinh gồm não trước, thùy thị giác, tiểu não, hành tuỷ và tuỷ sống; hệ sinh dụcở ếch đực không có cơ quan sinh dục, ếch cái đẻ trứng và trứng được thụ tinh ngoài.
Về dinh dưỡng và sinh sản: ếch thường nuốt cả con mồi (vì không có răng) nên chúng ăn các con vật có kích thước vừa phải như côn trùng, sâu bọ, chúng thường dùng cái lưỡi dài và dính để bắt con mồi. Khi nuốt, cầu mắt ếch tụt xuống để nuốt thức ăn khỏi cổ. Khi vào mùa sinh sản, ếch đực thường kêu lên những tiếng kêu ầm ĩ bằng chiếc túi ở dưới cổ để kêu gọi ếch cái. Vì ếch là loài thụ tinh ngoài nên khi đẻ trứng, ếch đực leo lên lưng ếch cái để thụ tinh cho trứng vừa mới đẻ; trứng ếch có lớp màng nhầy bao bọc để tránh kẻ thù và để giữ phôi thai luôn ẩm ướt. Cả đời ếch có thể đẻ tới 250.000 trứng.
Giá trị dinh dưỡng của ếch không thể phủ nhận!
Các món ngon từ thịt ếch rất nhiều vì thịt ếch thơm ngon, dai và giàu dinh dưỡng. Rất đơn giản nhưng lại hấp dẫn, gồm các món sau đây: ếch xào cải chua, canh nấu có ếch, ếch trộn rau nhút, ếch kho tộ, ếch xào sả ớt, hành tây, ếch chiên bơ, ráng bơ, ếch nướng mọi, ếch um, ….Thịt ếch là món ăn được ưa thích, trong thịt ếch có chứa nhiều chất khoáng tốt như kali, sắt, kẽm, đồng… về khía cạnh dinh dưỡng, mặc dù thịt ếch chứa nhiều đạm và khoáng chất tốt cho sức khỏe nhưng mọi người cũng nên hạn chế.
Giá trị thịt ếch như thế, vì loài ếch chủ yếu sinh sống ngoài đồng ruộng, dễ bị lây nhiễm các ký sinh trùng gây bệnh từ môi trường độc hại, các chất độc này có thể vẫn còn tồn tại trong thịt ếch và rất dễ ảnh hưởng tới sức khỏe con người. Do vậy nếu có sử dụng thì phải hết sức chú trọng khi chế biến và phải nấu chín kỹ. Rất ít người biết rằng bản thân ếch nhái có thể là nơi chứa mầm bệnh lây sang người: các nhà khoa học ngày nay phát hiện nhiều loại giun, sán khác sống ký sinh ở ếch, nhái, lươn, chuột, chó, mèo...và có thể gây bệnh cho người, chẳng hạn bệnh ấu trùng sán nhái (Sparganosis). Qua điều tra, tỷ lệ ếch, nhái có ấu trùng sán nhái là 75%, ấu trùng trong ếch có tên là Sparganum erinacei. Loài này thường sống ký sinh ở ruột chó, mèo. Sau đó, trứng sán theo phân chó, mèo xuống nước, nở ra ấu trùng lông, chui vào ký sinh ở các loài giáp xác (Cyclops). Sau đó, ếch, nhái ăn Cyclops đã nhiễm ấu trùng, khi đó sẽ bị nhiễm ấu trùng sán nhái, nếu chó, mèo ăn phải ếch, nhái sống có ấu trùng sẽ phát triển và thành bệnh sán nhái.
Điều đặc biệt là loài sán này rất ưa sống trong môi trường là giác mạc mắt người, trong khi đó, một số địa phương ở ta lại có tập quán chữa các bệnh mắt bằng cách đắp da, thịt ếch, nhái sống lên mắt để điều trị, từ đó tạo điều kiện cho một số bệnh ký sinh trùng truyền bệnh...
Dịch tễ học bệnh sán nhái
Bệnh ấu trùng sán nhái thường gặp ở Nhật Bản, Trung Quốc, Đài Loan, Hàn Quốc, Việt Nam, Thái Lan, Australia, châu Phi, châu Mỹ La Tinh ... và một số nước ở châu Âu được nhập khẩu thịt ếch, nhái, rắn từ các nước khác đến; loại sán này thường tìm thấy trên chó, mèo, và một số động vật ăn thịt hoang dại (wild carnivores). Bệnh sán nhái trước đây hiếm khi tìm thấy ở phần lớn các quốc gia trên thế giới, điều đó có nghĩa là bệnh khá hiếm. Hầu như các trường hợp nhiễm bệnh ở người xuất hiện ở châu Á và Nam Mỹ. Chỉ có vài ca được xác định ở châu Âu, châu Phi, Úc. Loài S. mansoni chiếm phần lớn ở châu Á và loài S. mansonoides hay gặp ở phía đông nam của nước Mỹ. loài S. houghtoni và S. erinacei hay gặp ở Trung Quốc, Nhật Bản. Các trường hợp S. proliferum được báo cáo ở Nhật Bản, Mỹ, Venezuela vàParaguay.
Nhiễm bệnh sán nhái có tỷ lệ cao nhất ở Hàn Quốc và Nhật Bản, hầu như do chế độ ăn ăn uống. Tại Hàn Quốc, tỷ lệ dương tính với huyết thanh (seroprevalence) là 8% ở một số vùng, nam gioiứ chiếm đa số, gấp 10 lần nữ giới. Trong một nghiên cứu ở Hàn Quốc, tỷ lệ nhiễm mới sán nhái cho biết 89% bệnh nhân mắc sán nhái thể não (cerebral sparganum) tất cả bệnh nhana sống ở vùng nông thôn, 75% có tiền sử ăn ếch sống hoặc rắn sống. Riêng nhiễm sán nhái thể nhãn cầu (ocular sparganosis) không gặp thường xuyên ở các vùng châu Á, đặc biệt ở Trung Quốc và Việt Nam;các ca sán nhái thể não cũng được báo cáo tại Nhật Bản, Thái Lan, Ý, Hàn Quốc, Hy Lạp, Hồng Kông và Ấn Độ.
Phần lớn các ca bệnh sán nhái có độ tuổi lao động 20 – 50.
Chu kỳ phát triển và gây bệnh của ấu trùng sán nhái
Sán nhái đẻ trứng rơi vào nước, trứng bị những loài phù du, giáp xác (cyclops) ăn, nó là vật chủ phụ thứ nhất của sán. Sau đó loài phù du, giáp xác này bị ếch, nhái, rắn hoặc chim ăn. Những loài này trở thành vật chủ phụ thứ hai của sán. Khi ký sinh ở vật chủ phụ, ấu trùng ở dạng sâu (plerocercoid) dài khoảng vài cm, màu trắng ngà, không chia đốt, không có đầu (scolex) ở phía trước, chỉ có ống giác giả. Con người có thể trở thành vật chủ phụ thứ hai trong các trường hợp như uống nước mất vệ sinh, có những loài phù du, giáp xác (cyclops) đã bị nhiễn sán; ăn phải thịt ếch, nhái, rắn, chim ... còn sống, chưa được nấu chín kỹ; từ đây ấu trùng sán nhái đột nhập vào ống tiêu hóa, chui vào thành dạ dày, ruột và tạo thành u ở đó. Ngoài ra, một số tập quán sinh hoạt còn lạc hậu ở vùng thôn quê Việt Nam như người dân có quan niệm cho rằng đau mắt đỏ là do “bốc hỏa”, nếu dùng thịt ếch nhái sống là chất mát, lạnh đắp vào mắt để “hạ hỏa” thì bệnh sẽ khỏi; việc làm thiếu khoa học này tạo điều kiện thuận lợi cho ấu trùng sán nhái xâm nhập vào da, mắt gây u ở mắt, làm cho bệnh nhân có thể bị mù. Một số các trường hợp khác ít gặp hơn là con người còn có thể bị nhiềm ấu trùng sán nhái do rửa mặt bằng nguồn nước có loài phù du, giáp xác bị nhiễm ấu trùng.
Khi người là vật chủ phụ thứ hai bị ấu trúng sán nhái xâm nhập và ký sinh sẽ gây bệnh. Triệu chứng bệnh phụ thuộc vào nơi ấu trùng có dạng hình sâu (plerocercoid) ký sinh. Nếu ký sinh ở mắt sẽ gây đau, chảy nhiều nước mắt, viêm sưng màng tiếp hợp, mi mắt, mí mắt ... Nếu ký sinh ở da thì gây ngứa, nổi mẩn, thâm nhiễm chung quanh chổ ký sinh trùng ký sinh, đôi khi người bệnh thấy có cảm giác ấu trùng đang di chuyển. Một số các trường hợp đã phát hiện thấy ấu trùng sán nhái có dạng hình sâu (plerocercoid) ở vùng màng ruột, thận, bàng quang, phổi, xoang ngực, tim và mô não. Khi ấu trùng sán nhái xâm nhập sâu vào bên trong các nội tạng thì tiên lượng bệnh sẽ rất nặng.
Nguy cơ nhiễm phải ấu trùng trong các món ăn chế biến từ thịt ếch
Từ chu kỳ sinh học của bệnh lý ấu trùng sán nhai nói trên, chúng ta có thể đưa ra một số đường đi mà có thể cho đó là nguy cơ nhiễm ấu trùng sán nhai khi tiêu thụ thịt và các sản phẩm từ ếch nhái.
- Ếch với đa dạng món ăn đã hấp dẫn nhiều thượng đế sành ăn lẫn dân nhậu bình dân. Trong những thức ăn như thế do nấu hoặc xử lý chưa chín dẫn đến người nhiễm ấu trùng rồi thành bệnh; vả lại, sán nhái Diphyllobothrium erinace gây nên bệnh cho người ở giai đoạn còn ấu trùng, cho nên khi ăn thịt ếch nhái chưa được nấu chín, nguy cơ bị mắc bệnh ấu trùng sán nhái là khó tránh khỏi;
- Hoặc theo một số kinh nghiệm dân gian sai lầm rằng khi bị bệnh sán ở mắt thì lại lấy thịt ếch nhái đắp lên mắt với kỳ vọng là sán sẽ chui ra ngoài ăn vào miếng thịt ếch;
- Theo nhận định của các chuyên gia dinh dưỡng là ẩn trong thịt ếch có chứa các ký sinh trùng ở dạng sợi màu trắng, song vì các ký sinh trùng này rất khó bị phát hiện do lẫn với màu thịt của ếch nên khi ăn thường theo đường tiêu hoá vào ruột, sau khi vào ruột, chúng nhanh chóng di chuyển tới các bộ phận trong cơ thể và khu trú thành những nang bệnh. Nhiều trường hợp ký sinh trùng đóng kén ở mắt do khi chế biến thịt ếch, các ký sinh trùng bắn vào mắt hoặc ký sinh trùng di chuyển lạc chỗ từ ruột lên mắt, nếu không phát hiện kịp thời sẽ bị giảm thị lực, viêm, hủy hoại nhu mô và cuối cùng có thể mù mắt;
- Không những ăn thịt hoặc các sản phẩm từ thịt ếch bị nhiễm ấu trùng sán nhái mà chúng ta có thể bị nhiễm một loại giun tròn khác là giun đầu gai Gnathostoma spinigerum, sau khi vào dạ dày sẽ di chuyển khắp nơi trong cơ thể
Vậy ấu trùng sán nhái có đặc điểm như thế nào?
Sán Diphyllobothrium erinacei thường gây bệnh cho người ở giai đoạn ấu trùng. Ấu trùng có dạng hình sâu, gọi là Sparganum, khi gây bệnh, bệnh gọi làSparganose hoặc Sparganosis. Bệnh sán nhái có vật chủ chính là các loài súc vật như động vật ăn thịt (chó, mèo hoặc động vật hoang dại). Sán nhái trưởng thành sống ký sinh ở ruột non của các vật chủ đó. Sparganum là tên gọi chung cho các ấu trùng có dạng nang hình sâu của các loài Spirometra spp. Loài Sparganum mansonoides phổ biến ở Mỹ, Sparganum mansoni lưu hành ở vùng Đông Nam Á, châu Á và loài Sparganum proliferum hiếm gặp hơn ở trên thế giới.
Về cấu trúc đại thể sán nhái rất giống con sán dải D.latum nhưng kích thước nhỏ hơn về chiều dài và rộng, khoảng 110cm x 0.8cm khi tìm thấy các sán nhái này trên chó (Lee và cs.,1990). Mỗi segment của sán rộng hơn chiều dài và được tìm thấy các chấm màu đen trong tử cung dọc theo các đốt sán (proglottids) của strobia trên tiêu bản đại thể. Ấu trùng sán nhái Sparganum có hình dáng giống như dải băng hẹp màu trắng ngà, mờ đục. Chiều dài từ 3-50 cm, rộng chỉ vài mm. Phần cuối phía trước to và có một đường rãnh. Về hình thể, không xác định được đầu, không có các tổ chức nội tạng. Dưới sự phóng đại của kính hiển vi có thể thấy những hạt vôi hóa, ống bài tiết, thớ cơ và dây thần kinh trong chất đệm nhu mô xốp. Thành cơ thể bao gồm lớp vỏ được bao phủ bằng lớp nhung mao, hai lớp cơ và một hàng tế bào vỏ hướng xuyên tâm. Bề mặt trên của vỏ xuất hiện đốt giả như cơ ngang.
Chu kỳ sinh học bệnh sán nhái
Bệnh do sán nhái gây nên gọi là Sparganosis, chu kỳ tương tự như chu kỳ của D.latum, song loài động vật đóng vai trò như vật chủ trung gian và loại vật chủ phụ (paratenics host) gồm có con người, động vật có vú, chim, loài giáp sát và loài lưỡng cư. Vật chủ cuối cùng bị nhiễm do nuốt phải ấu trùng kết nang vô tính (plerocercoide) đang ký sinh bên trong vật chủ trung gian/ phụ, chúng dính vào thành ruột và từ đó trưởng thành. Trong một số trường hợp hiếm thì các ấu trùng kết nang này xâm nhập vào các mô khác nhau, rồi ký sinh tại đó mà không phát triển thêm. Một số còn tranh cải rằng trong một số trường hợp hiếm hơn, sự phát triển đến giai đoạn trưởng thành trong cơ thể người xảy ra ở một vài trường hợp đã báo cáo (Miyazaki., 1991)
Có thể tóm tắt chu kỳ sinh học và sinh bệnh sán nhái ở người theo hình ảnh trên như sau:
Con sán nhái trưởng thành thuộc giống genus Spirometra sống trong ruột của chó và mèo⑦. Trứng nở ra vào trong phân① và tạo phôi hóa trong môi trường với điều kiện thích hợp②. Trứng đẻ vào trong nước rồi ly giải ra coracidia③, loại ấu trùng này được ăn bởi các loài động vật thân giáp (copepods). Tiếp đến coracidia phát triển thành ấu trùng đốt (procercoid larvae) vào nằm trong vật chủ trung gian là loài thân giáp④. Vật chủ trung gian thứ 2 gồm có cá, loài giáp sát và lưỡng cư, đã tiêu hóa phải các động vật thân giáp nhiễm bệnh và mắc phải ấu trùng đốt này. ấu trùng đốt phát triển thành các ấu trùng đốt sán trưởng thành bên trong vật chủ trung gian thứ 2 này thêm một thời gian⑤. Chu kỳ hoàn thành khi một chó hoặc mèo ăn vật chủ trung gian thứ 2 nhiễm bệnh⑥. Người không thể đóng vai trò như một vật chủ chính của loài sán nhái Spirometra spp., nhưng lại có vai trò như một vật chủ phụ (paratenic) hoặc vật chủ trung gian thứ 2⑧ và phát triển thành bệnh sán nhái. Con người mắc phải bệnh sán nhái do thói quen uống nước nhiễm các loại động vật thân giáp nhiễm bệnh sẵn hoặc do tiêu hóa các con lươn chưa được nấu chín. Sán nhái có thể sống đến 20 năm trong vật chủ người.
Triệu chứng lâm sàng của bệnh sán nhái
Đặc điểm lâm sàng của bệnh sán nhái lệ thuộc vào cơ quan hoặc mô nào trong cơ thể người bị tác động, ảnh hưởng. Các mô dưới da là thường gặp nhất khi nhiễm ký sinh trùng này, nhưng các tạng và nhãn cầu nếu bị sẽ nguy hiểm và nếu có đôi khi sán nhái có thể gây bệnh ở não (hiếm gặp). Giai đoạn ấu trùng di chuyển sớm trong quá trình phát triển của chúng thường không gây triệu chứng gì, nhưng khi chúng đến vị trí cuối cùng và bắt đầu phát triển, nó bắt đầu gây ra triệu chứng, tạo phản ứng viêm, đau trong các mô xung quanh. Bệnh sán nhai có thể gây tắc ruột và sán có thể tìm thấy và lấy ra được từ thành ruột, mô vú, bìu, mào tinh hoàn, niệu đạo, bàng quang, khoang bụng, tim, phổi. Ấu trùng sán thường phát triển thành các node bất thường (đường kính1-2 cm) và các mô xung quanh có biểu hiện đau, phù. Các u, nhú, bướu nhỏ này có thể tồn tại vài tháng đến vài năm mà không có triệu chứng gì, rồi đột nhiên đau. Một vài bệnh nhân cho biết có các u hạt, node nhỏ di chuyển trong nhiều năm. Bệnh có các thể hay gặp đơn hoặc nhiều thể cùng lúc.
  !important; - Bệnh ấu trùng sán nhái thể mắt (Ocular sparganosis) tạo ra một phản ứng căng nhức, nhất là phù quanh nhãn cầu. sán nhái ở nhãn cầu có thể dẫn đến mù, vì ký sinh trùng di chuyển vào đến kết mạc và vào trong ổ mắt. Trong các mô ở ổ mắt, ấu trùng nằm lại phía cực sau, sinh ra phản ứng viêm, dẫn đến lồi mắt (exophthalmia) và thị lực ảnh hưởng; một số có loét giác mạc. Nói chung thể này thường gây đau mắt, nhức, kích thích, loét giác mạc chảy nước mắt, sưng phù đáng kể mi mắt. Biểu hiện thể mắt thường là sau 1 tuần với biểu hiện mắt bị sưng, đỏ, giảm thị lực và đôi khi chảy nước mẳt ắt dễ nhầm lẫn với các bệnh về mắt khác, nhất là các rối loạn tổn thương giác mạc; khiến thầy thuốc nếu không nghĩ đến dễ chẩn đoán muộn và điều trị không kịp thời, ngay cả người bệnh tự ý dùng thuốc điều trị cho chính mình bằng một số thuốc dung dịch nhỏ mắt. Đến khi đi khám và xét nghiệm chuyên khoa mới phát hiện ra bệnh là do loài ấu trùng sán nhái Sparganum erinacei. Bệnh có thể gây tổn thương và nhiễm lan rộng đến nhãn cầu và hốc mắt, nếu có thể nhiễm khuẩn đi kèm làm bệnh thêm trầm trọng;
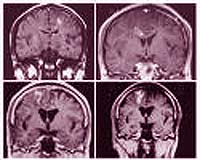
- Bệnh ấu trùng sán nhái ở não (Cerebral sparganosis) đặc trưng bởi cơn động kinh cục bộ, lú lẫn, suy nhược, nhức đầu, giảm trí nhớ, hôn mê, sốt, dị cảm, yếu vận động, và một số triệu chứng khác ở thần kinh trung ương. Thể này thường liên quan đến một bán cầu não, đặc biệt thùy trán đỉnh (frontoparietal lobes), trong một số ca lan rộng đến tiểu não (cerebellum). Bệnh có thể gây nên xuất huyết não.
- Bệnh ấu trùng sán nhái tăng sinh tiến triển (Proliferative sparganosis) gây ra bởi loài S. proliferum, bắt đầu thường là các u dưới da ở đùi, vai, cổ thậm chí lan rộng khắp nơi và các cơ quan khác như ruột, cơ, phổi, bụng, não. Các u nhỏ có thể mở ra do quá trình loét hoặc khi rạch nông cũng phát hiện được. Nhiễm trùng diễn tiến trên 5-25 năm, tử vong đã báo cáo một số trường hợp trên thế giới.
- Khi có sự đồng nhiễm hoặc nhiễm đơn thuần loài giun đầu gai kể trên, triệu chứng có thểxuất hiện do loài ấu trùng di chuyển đến đâu sẽ tiết dịch gây viêm, hoại tử vùng đó vì vậy bệnh nhân sẽ có những cơn đau nhói ở cơ quan tương ứng, nếu ấu trùng di chuyển đến da sẽ tạo thành những cục u, khi sờ thấy nhúc nhích dưới da và thay đổi vị trí nhanh chóng, biến mất nhanh, đôi khi sưng phù và đỏ ngứa ở nhiều vùng, nên bệnh nhân dễ bị chẩn đoán nhầm là dị ứng ở da;
Chẩn đoán bệnh
Định vị trí thương tổn bằng chụp cắt lớp vi tính (CT) hoặc chụp cộng hưởng từ (MRI) sẽ giúp cho chẩn đoán bệnh sán nhái tốt, nhất là thể não. Rạch và loại bỏ thương tổn và xác định loài sán để đưa ra chẩn đoán xác định. Trong trường hợp thể não, ELISA dịch não tủy hoặc huyết thanh sẽ giúop ích rất nhiều cho chẩn đoán, nhưng thường được khẳng định sau khi đã bắt được con sán. Chụp CT giupó hỗ trợ cho chẩn đoán lâm sàng, thường thương tổn có đặc điểm giảm âm, dãn não thất, các node bất thường, có nhiều vùng calci hóa. Các chuyên gia khuyên nên chụp lại CT để đánh giá sự thay đổi kích thước cũng như vị trí tổn thương để chỉ định điều trị kịp thời nếu vẫn còn.
Việc chẩn đoán còn dựa vào phát hiện trứng sán nhưng chẩn đoán đặc hiệu vẫn là tìm được ấu trùng sán hoặc con sán nhái trưởng thành trong tổn thương lấy ra từ tiểu phẩu.
Thái độ xử trí
  !important; - Phẩu thuật loại bỏ ấu trùng sán nhái giúp điều trị khỏi ca bệnh. Praziquantel có hiệu quả khi cho tổng liều 120-150mg/kg cân nặng cơ thể, trong thời gian hơn 2 ngày (Fu và cs., 1999). Tuy nhiên, điều trị bằng praziquantel cũng chỉ ra một số giới hạn thành công trong một số báo cáo;
- Thể bệnh ở não đòi hỏi phẩu thuật loại bỏ ký sinh trùng, praziquantel không có hiệu quả trên sán trưởng thành ký sinh trong hệ thần kinh trung ương, Thuốc Praziquantel và Mebendazole không có tác dụng diệt ấu trùng của ký sinh trùng.
- Hiện chưa có hướng nào điều trị cho thể bệnh tăng sinh tiến triển. Mọi nổ lực là ở thời điểm phẩu thuật loại S. proliferum nhưng vẫn không thành công vì ấu trùng phát tán lan rộng;
- Trên lâm sàng, chẩn đoán xác định bệnh ấu trùng sán nhái chắc nhắn khi phẩu tích sẽ phát hiện và lấy ra được ấu trùng, đây cũng là cách để điều trị và loại bỏ ấu trùng. Nếu vị trí thương tổn không cho phép can thiệp phẩu thuật chúng ta có thể dùng thuốc Novarsenol 0,3g - 0,45g/kg/ngày, điều trị thời gian 45 ngày.
Phòng bệnh
Về khía cạnh y tế cộng cộng và biện pháp phòng bệnh, trong một số vùng lưu hành bệnh sán nhái, người ta khuyên rằng các nguy hiểm do uống nước từ các hồ nhỏ và chum, vại có thể chứa các động vật thân giáp nhỏ. Cơ sở hạ tầng của y tế công cộng nên được đẩy mạnh để tiếp cận với nguồn nước sạch. Việc sử dụng các động vật nguy cơ nhiễm bệnh phải rất cảnh giác. Dự phòng có thể khó vì một số tập quán văn hóa và thói quen ăn uống liên quan đến ếch và rắn.
Nội dung phòng bệnh nên tập trung vào các khâu dưới đây:
- Truyền thông giáo dục sức khỏe, vận động cộng đồng người dân không nên uống nước lã chưa đun sôi, không ăn các loại thịt ếch, nhái, rắn,... chưa được nấu chín;
- Ở vùng nông thôn, cần bỏ tập quán lạc hậu dùng thịt ếch, nhái sống đắp vào mắt để chữa bệnh đau mắt đỏ;
- Ngoài ra nên sử dụng nguồn nước hợp vệ sinh trong sinh hoạt hàng ngày.
- Khi ăn ở nhà hàng hoặc khi chế biến thực phẩm tại nhà, mọi người nên thậntrọng các thức ăn từ ếch, nhái, rắn xử lý chưa chín, hoặc hạn chế tiếp xúc với các món ăn được chế biến từ thịt ếch, nhái, rắn, chim nếu nghi ngờ chưa nấu chín; nhất là các món ếch xào chua ngọt, xào rau nhút, xào măng hoặc ăn dạng semi như người Nhật hoặc người Thái;
- Cần lưu ý khi mua thịt ếch: loại thịt ếch làm sẵn ngoài chợ thường có màu đỏ tươi, đó là do người bán hàng nhúng thịt ếch vào huyết lợn để đánh lừa người mua, thực chất, đó là thịt ếch đông lạnh. Tốt nhất, khi mua thịt ếch, bạn mua ếch sống rồi yêu cầu người bán hàng làm tại chỗ cho bạn; nếu không có ếch sống, bạn có thể nhận biết thịt ếch tươi bằng những cách sau: [1] dùng tay nhấn vào đùi ếch, thấy thịt chắc thì mới mua; [2] thịt ếch tươi ngon phải có màu trắng đục;.
Tài liệu tham khảo
- Holodniy, M., J. Almenoff, J. Loutit, and G.K. Steinberg. “Cerebral Sparganosis: Case Report and Review.” Review of Infectious Diseases. 13: 155-159, 1991.
- John, David T. and William A. Petri, Jr. Markell and Voge’s Medical Parasitology. 9 th edition. St. Louis: Saunders Elsevier, 2006.
- Pampliglione, Silvio, Maria Letizia Fioravanti, and Francesco Rivasi. “Human Sparganosis in Italy: Case Report and Review of the European Cases.” APMIS 2003;111:349–54.
- Walker, M. D. and J.R. Zunt. “Neuroparasitic Infections: Cestodes, Trematodes, and Protozoans.” Semin Neurol 2005; 25: 262-277.