Trung tâm nghiên cứu sốt rét nhận được giải thưởng lớn về công trình khám phá bệnh sốt rét truyền động vật sang người (zoonotic malaria infection)
Theo bản tin hôm ngày thứ 2, 16 tháng 1 năm 2012 cho biết mọt giải thưởng quan trọng và có giá trị được trao cho các nhà nghiên cứu của trường Đại học London School Of Hygiene and Tropical Medicine (LSHTM)về khám phá tại sao một quá trình nhiễm trùng tìm thấy chỉ trên những con khỉ gần đây lại ảnh hưởng đến con người. Với giải thưởng 2.9 triệu bảng Anh (£2.9m grant) được hỗ trợ bởi bốn hội đồng nghiên cứu của Vương quốc Anh (BBSRC_Biotechnology and Biological Sciences Research Council, Economic and Social Research Council_ESRC, National Energy Research Center_NERC và Medical Research Council _MRC), các nhà nghiên cứu tại Trung tâm nghiên cứu sốt rét của LSHTM giờ đây có thể điều tra làm thế nào ký sinh trùng sốt rét, chỉ có thể xác định trên các con khỉ đuôi dài macaques, đã có sự lai loài chéo (crossed species) ? và giờ đây tác nhân này đã có công bố đã gây bệnh cấp tính ở con người.
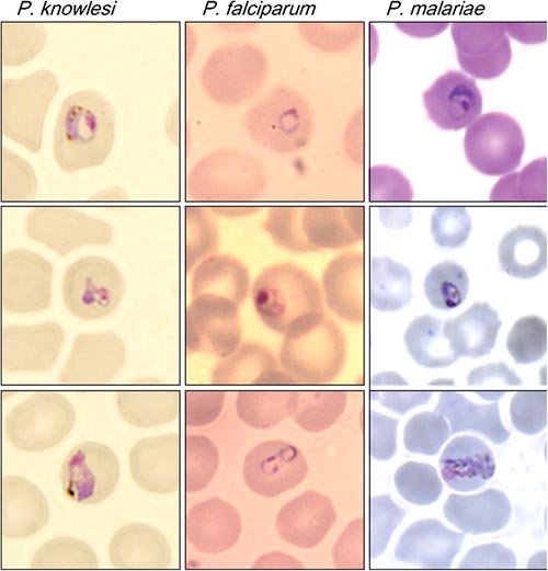
Sự lây truyền chéo chính thức đầu tiên từ khỉ sang người của loài Plasmodium knowlesi được xác định vào năm 1965 bởi một điều tra tại Malaysia. Từ năm 2004, các báo cáo về nhiễm loài ngày ngày một gia tăng tại vùng Đông Nam Á, một số báo cáo có SRAt và thậm chí có thể gây tử vong. Đến nay, người ta vẫn chưa rõ nếu sự gia tăng này là do phương tiện chẩn đoán tốt hơn hay có sự can thiệp của thay đổi hành vi và thay đổi môi trường à dẫn đến có thể mang bệnh từ khỉ macaques và các vector truyền bệnh liên quan có liên quan hay tiếp xúc chặt che với người.
Chris Drakeley và Rachel Hallett sẽ dẫn đầu nhóm nghiên cứu quốc tế với các kỹ năng để hiểu biết thêm về các yếu tố môi trường, xã hội, môi trường, côn trùng học hoặc linh trưởng học (primatological factor) góp phần vào quá trình lan truyền nhiễm trùng mới này, tập trung vào các điều tra tại Palawan, Philippines, và Sabah, Malaysia.
Công trình nghiên cứu sẽ tiến hành với các đối tác nghiên cứu từ các trường đại học Universities of Glasgow và Greenwich tại Anh, các đại học University of the Philippines Los Baños và Viện Nghiên cứu y học nhiệt đới Research Institute for Tropical Medicine tại Philippines, Bệnh viện Queen Elizabeth và đại học Sabah ở Malaysia và Đại học y tế công cộng Menzies tại Úc.
Sốt rét ác tính do Plasmodium knowlesi tại một bệnh viện Sabah, Malaysia.
Nhóm tác giả William T, Menon J, Rajahram G, Chan L, Ma G, Donaldson S, Khoo S, Frederick C, Jelip J, Anstey NM, Yeo TW cùng tiến hành nghiên cuus và ghi nhận kết quả đã đăng tải kết quả trên tạp chí Emerg Infect Dis. 2011 Jul;17(7):1248-55 (theo nguồn Queen Elizabeth Hospital, Kota Kinabalu, Sabah, Malaysian Borneo).
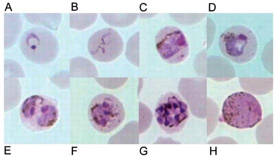
Ký sinh trùng ở khỉ loại Plasmodium knowlesi gây sốt rét nặng; điều trị tối ưu cho ca bệnh như thế vẫn chưa biết rõ ràng. Các nhà nghiên cứu mô tả đặc điểm lâm sàng, phổ bệnh (disease spectrum) và đáp ứng với liệu pháp điều trị, gồm có thuốc phối hợp artemether-lumefantrine và artesunate, trên các bệnh nhân mắc sốt rét là P. knowlesi qua chẩn đoán xác định bằng PCR từ tháng 12 năm 2007 đến tháng 11 năm 2009 tại trung tâm y tế bệnh viện huyện tại Sabah, Malaysia. 56 bệnh nhân xác định bởi PCR có nhiễm P. knowlesi đơn thuần và hồ sơ ghi nhận lâm sàng sẵn óc để tổng hợp. 22 ca (39%) có biểu hiện sốt rét ác tính; trong số đó 6 ca (27%) tử vong. 13 ca (59%) có biểu hiện suy hô hấp; 12 ca(55%) suy thận cấp; 12 ca bị sốc.
Không có trường hợp nào hôn mê. Các bệnh nhân sốt rét không biến chứng được điều trị bằng chloroquine (CQ), quinine (QNN), hoặc artemether-lumefantrine, trong khi các bệnh nhân SRAT điều trị bằng thuốc QNN hoặc artesunate tiêm tĩnh mạch. Thời gian làm sạch ký sinh trùng là 1-2 ngày ngắn hơn hoặc là phác đồ artemether-lumefantrine hoặc là artesunate điều trị. P. knowlesi là một nguyên nhân quan trọng gây SRAT và tử vong do sốt rét ở Sabah. Các dẫn suất của artemisinin làm sạch ký sinh trùng sốt rét nhanh chóng và cs hiệu lực cao trong điều trị sốt rét chưa biến chứng cũng như sốt rét ác tính do P. knowlesi.
Các đặc điểm lâm sàng và cận lâm sàng của nhiễm Plasmodium knowlesi ở người
Nhóm tác giả Daneshvar C, Davis TM, Cox-Singh J, Rafa'ee MZ, Zakaria SK, Divis PC, Singh B đăng tải trên tạp chí Clin Infect Dis. 2009 Sep 15;49(6):852-60. Nghiên cứu này thưc hiện tại Trung tâm Nghiên cứu sốt rét, đại học y khoa, đại học Malaysia Sarawak, Malaysia.
Plasmodium knowlesi hiện đang nhận ra là gia tăng như một nguyên nhân sốt rét ở người tại Đông Nam Á nhưng không có một nghiên cứu tiến cứu về mo tả lâm sàng một cách chi tiết diễn biến tự nhiên từ khi mắc bệnh.
Trong một nghiên cứu tổng thể có hệ thống và trình bày cũng như các diễn tiến bệnh nhân bị nhiễm P. knowlesi cấp tính, các dữ liệu về cận lâm sàng và lâm sàng thu nhận từ các bệnh nhân người lớn không mang thai nhập viện, chưa điều trị tại bệnh viện có cho làm xét nghiệm PCR chẩn đoán và xác định nhiễm P. knowlesi tại bệnh viện Kapit Hospital (Sarawak, Malaysia) từ tháng 6.2006 đến 2.2008.
Trong số 152 bệnh nhân đưa vào nghiên cứu, có đến 107 (70%) bị nhiễm P. knowlesi, 24 (16%) có nhiễm P. falciparum, và 21 ca (14%) nhiễm Plasmodium vivax. Các bệnh nhân nhiễm P. knowlesi cho thấy một bệnh lý sốt không đặc hiệu, có giá trị mật độ KSTSR trong máu trung bình tại thời điểm ban đầu lúc nhập viện là 1387 parasites/microL (interquartile range, 6-222,570 parasites/microL), và tất cả đều có giảm tiểu cầu lúc bệnh nhân nhập viện vào ngày hôm sau. Hầu hết (93.5%) số bệnh nhân nhiễm P. knowlesi đều không có biến chứng, đáp ứng tốt với chloroquine (CQ) và thuốc primaquine. Dựa vào tiêu chuẩn của Tổ chức y tế thế giới đối với sốt rét do P. falciparum, 7 bệnh nhân nhiễm P. knowlesi (6.5%) bị sốt rét ác tính tại lúc nhập viện. Tần suất của biến chứng thường gặp nhất là suy hô hấp, điều này có thể hiện lúc nhập viện trên 4 bệnh nhân và phát triển sau khi nhập viện thêm 3 bệnh nhân nữa. Mật độ KSTSR P. knowlesi trong máu tại thời điểm nhập viện là yếu tố không lệ thuộc của suy hô hấp, nồng độ creatinine huyết thanh, bilirrubine huyết thanh và tiểu cầu lúc nhập viện (p < .002 cho mỗi chỉ sô). 2 bệnh nhân bị sốt rét do P. knowlesi bị tử vong, biểu hiện tỷ lệ tử vong ca là 1.8% (95% CI, 0.2%-6.6%).
Sốt rét do P. knowlesi gây ra một phổ bệnh lâm sàng rộng rãi. Hầu hết các ca bệnh đều không có biến chứng và đáp ứng tốt với điều trị kịp thời, nhưng khoảng 1/10 bệnh nhân có biến chứng và thận chí tử vong.
Phân lập một chủng mới (new strain) của Plasmodium knowlesi
Nhóm tác giả gồm có Singh, Jaswant; Ray, A. P.; Nair, C. P. cùng tiến hành nghiên cứu và đăng tải trên tạp chí Nature, Volume 172, Issue 4368, pp. 122 (1953). Kết quả cho biết Sinton và Mulligan phân lập được một chủng độc lực (virulent strain) của loài Plasmodium knowlesi từ một ca nhiễm trùng phối hợp P. knowlesi và P. cynomolgi trên khỉ M. irus nhập khẩu vào Calcutta từ Singapore; điều đó chỉ có thể sau khi sàng lọc qua một loạt nhóm khỉ rhesus (M. rhesus).
Cuối cùng, chủng P. knowlesi vẫn giữ được đáp ứng với hóa trị liệu và các nghiên cứu khác bởi viện nghiên cứu sốt rét Ấn Độ (Malaria Institute of India) tại Delhi và một số phòng xét nghiệm ở Vương quốc Anh và Mỹ (theo hồ sơ nghiên cứu DOI: 10.1038/172122a0)
Đặc tính hòa tan mang tính tẩy của một kháng nguyên biến thể sốt rét (P. knowlesi) trình diện trên bề mặt của các hồng cầu nhiễm
Russell J. Howard, John W. Barnwell nghiên cứu với mã hồ sơ nghiên cứu DOI: 10.1002/jcb.240240310. 4 loại chất tẩy rửa đã được so sánh để xác định các kháng nguyên khác nhau của Plasmodium knowlesi trên các hồng cầu nhiễm nhờ vào phân tích ngưng kết miễn dịch.
Các hồng cầu bị nhiễm với các thể tương dưỡng già và thể phân liệt của ký sinh tùng sốt rét thể vôtính được dòng hóa màng đi đánh dấu bằng lactoperoxidase-catalyzed radioiodination và tách chiết hoặc bằng anionic detergents sodium dodecyl sulfate (SDS) hoặc bằng cholate, các chất tẩy trung tính Triton X-100, hoặc zwitterion 3-[(3-cholamidopropyl)di-methylammonio]-1-propane sulfonate (CHAPS).
Sau khi bổ sung chất Triton X-100 vào SDS và cholate extracts, phản ứng immunoprecipitations của 4 loại chất chiết tách được thực hiện sử dụng kháng huyết thanh của khỉ rhesus của agglutinability đã xác định.
Kết quả xác định thu nhận với dòng clone Pkl(A+ ), trong đó có 125I-variant antigens của Mr 210,000 và 190,000, với clone Pkl(B+)l+, có biến thể kháng nguyên của Mr 200,000–205,000. SDS có nồng độ ngưng kết miễn dịch 125I-variant antigens.
Phản ứng ngưng kết miễn dịch đăc hiệu kháng nguyên khác nhau được phát hiện trong một số thí nghiệm với Triton X-100 và cholic acid nhưng có mức độ hồi phục thấp hơn có ý nghĩa so với SDS. Chất chiết xuất CHAPS không lộ diện các biến thể kháng nguyên trên phản ứng ngưng kết miễn dịch.
Các kháng nguyên khác nhau cũng có thể được xác định trong chất liệu không hòa tan của Triton X-100 bằng ly trích sau đó với SDS, chỉ ra rằng thất bại với hồi phục các protein này trong các phần thể hòa tan của Triton X-100 do thất bại của các chất tẩy với chất ly trích của kháng nguyên khác nhau hơn là sự giáng hóa trong quá trình ly trích. Họ đề nghị 125I-variant antigens hoặc là có một cấu trúc làm cho chúng không thể hòa tan nội sinh trong Triton X-100, cholate, hay CHAPS, hay chúng có liên quan trong một số cách với thành phần màng tế bào vật chủ cũng cho phép chúng đề kháng sự hòa tan bởi các chất tẩy này.
P. knowlesi và W. bancrofti: Các vectors và một số thách thức trong tương lai
Nhóm nghiên cứu đứng đầu là tiến sĩ Indra Vythilingam thuộc khoa ký sinh trùng, đại học Malaya, Kuala Lumpur, Malaysia cho biết sốt rét và bệnh giun chỉ bạch huyết vẫn tiếp tục là các vấn đề y tế công cộng tại các quốc gia đang phát triển của vùng nhiệt đới. Mặc dù đang có kế hoạch loại trừ các bệnh ký sinh trùng do vector truyền, song giwof đây các nhà khoa học vẫn đối mặt với một thách thức có thể làm nhục chí như chúng ta phát hiện ra thêm loài ký sinh trùng sốt rét thứ 5, loại P. knowlesi một loại ký sinh trùng sốt rét vốn ở khỉ (simian malaria parasite) đang ảnh hưởng và tác động đến con người. Tương tự như ở bán đảo Malaysia, bệnh giun chỉ vẫn còn là chính yếu do Brugia malayi.
Tuy nhiên, giờ đây chúng ta nhìn thấy một số ca Wuchereria bancrofti trên các công nhân di biến động hay dân di cư vào các quốc gia. Để loại trừ thành công cả hai căn bệnh này chúng ta cần biết các vector liên quan và đưa ra các biện pháp phòng chống phù hợp để ngăn chặn bệnh đang xảy ra trong tương lai đến. Vì sốt rét P. knowlesi vẫn còn chưa chắc chắn nếu lây truyền từ nguwoif sang người thông qua muỗi đốt đang xảy ra. Song, P. knowlesi trên người không phải là một tình trạng hiếm xảy ra và có tất cả các đặc tính của bệnh nguyên lan rộng do thay đổi hệ thống sinh thái, du lịch quốc tế và giao lưu biên giới.
Nghiên cứu này đã tạo ra một tình trạng càng thêm phức tạp. Để khắc phục các thahcs thức này chúng ta cần “tân trang” (revamp) lại các biện pháp phòng chống. Bài báo này tổng hợp các vector gây bệnh sốt rét và giun chỉ bạch huyết tại Đông Nam Á với sự nhấn mạnh đặc biệt về P. knowlesi và W. bancrofti tại Malaysia và các chiến lược phòng chống của chúng.
Việc xác định gen mã hóa P. knowlesi Phosphatidylserine Decarboxylase bằng y Genetic Complementation trên nấm men và đặc tính của sự trưởng thành trên in vitro của các enzyme mã hóa
Nhóm tác giả Jae-Yeon Choi, Yoann Augagneur, Choukri Ben Mamoun và Dennis R. Voelker từ đơn vị nghiên cứu cơ bản, khoa y Trung tâm sức khỏe quốc gia Jewish, Denver, Colorado và khoa nội, bệnh truyền nhiễm, đại học y khoa Yale, New Haven, Connecticut. Bộ gen 23-megabase của P. falciparum, một tác nhân gây bệnh sốt rét ác tính ở người, chưa gần ∼5300 gen, hầu hết có chức năng chưa biết hết hoặc thiếu homologs trong các vi sinh vật khác.
Sự định danh hay xác định chức năng của các gen này sẽ giúp trong việc phục hồi các đích cho sự phát triển của thuốc sốt rét và vaccine. Bộ gen P. falciparum thường không giàu A + T-rich, mà chúng ngăn cản dòng hóa và trình diện các gen này trong hệ thống heterologous đối với khi phân tích chức nặng. Vốn tiết mục lớn của các công cụ di truyền sẵn có cho Saccharomyces cerevisiae khiến cho điều này là một hệ thống lý tưởng đối với phân tích bổ sung chức năng quan trọng của gen ký sinh trùng. Ở đây, các nàh khoa học báo cáo cấu trúc của “ngân hàng” cDNA từP. knowlesi, có thành phần A + T thấp hơn so với P. falciparum.
Thư viện này có thể ứng dụng trong một thử nghiệm bổ sung trên nấm để xác định gen sót rét liên quan quá trình khử carbon của phosphatidylserine. Sự chuyển dạng của chủng psd1Δpsd2Δdpl1Δ, phát hiện trong quá trình tổng hợp phosphatidylethanolamine với thư viện P. knowlesi dẫn đến sư xác định một phosphatidylserine decarboxylase (PkPSD) mới. Không giống như phosphatidylserine decarboxylase enzymes từ các sinh vật có nhân thực có liên quan chặt chẽ với các màng tế bào, các enzyme PkPSD trình diện trên nấm có phân bố ngang nhau giữa màng và các phần hòa tan.
Các nghiên cứu In vitro cho thấy dạng cụt của PkPSD có thể hòa tan và trưởng thành thuần thục dưới dạng “auto-endoproteolytic maturation” trong phản ứng lệ thuộc phosphatidylserine mà nó bị ức chế bởi các anionic phospholipids. Nghiên cứu này xác định một hệ thống mới cho đầu dò các gen chức năng của Plasmodium genes nhờ vào bổ sung dựa vào thư viện về mặt di truyền và sự hữu ích của chúng đang cho thấy các đặc tính sinh hóa mới của các protein mã hóa.
Plasmodium vivax, P. cynomolgi, and P. knowlesi: Xác định các protein đồng phân có liên quan đến bề mặt của các merozoites.
Nhóm tác giả gồm J W Barnwell; M R Galinski, S G DeSimone, F Perler, P Ingravallo đang công tác tại khoa Ký sinh trùng y học và ký sinh trùng phân tử, đại học y New York, Mỹ và khoa ký sinh trùng thực nghiệm đăng tải kết quả nghiên cứu của họ về đề tài này.
Các nhà khoa học xác định một merozoite surface protein (MSP) của Plasmodium vivax di chuyển trên gel SDS-polyacrylamide ở một Mr khoảng 185 kDa. Protein này được nhận ra bởi kháng thể đơn dòng P. vivax (mAb) định vị protein bằng phản ứng miễn dịch huỳnh quang trên bề mặt của merozoites và cũng ngưng kết miễn dịch với protein này từ chất tẩy NP-40 tách chiết từ [35S]methionine chuyển hóa đã được đánh dấu phóng xạ thể phân liệt P. vivax. Protein bề mặt của P. vivax MSP không trở thành chất đánh dấu phóng xạ sinh tổng hợp với [3H]glucoamine, [3H]myristate, [3H]palmitate, hay [3H]mannose, chỉ ra rằng P. vivax MSP này không phải sau khi chuyển gen mà thành và bao bọc màng merozoite bởi một glycosylphosphatidylinositol (GPI) lipid.
Do đó, trong sự mong đợi này, protein khác nhau các thành viên của họ MSP-1 protein và khác với MSP-2 và MSP-4 của P. falciparum. Phản ứng chéo giữa các kháng thể đơn dòng mAb và vòng ngoài bề mặt các merozoites P. cynomolgi và ngưng kết miễn dịch là một đồng phân 150-kDa P. cynomolgi.
Các kháng thể đơn dòng được sử dụng như một chất kết hợp để làm tinh khiết đồng phân bẩm sinh MSP so với chất tách NP-40 của thể phân liệt già của P. cynomolgi để phát triển một kháng huyết thanh đa dòng đặc hiệu. Kết quả của phản ứng chéo kháng huyết thanh thỏ anti-PcyMSP mạnh với P. vivax 185-kDa MSP và cũng nhận ra một analogous của 110-kDa protein từ P. knowlesi. Các nhà nghiên cứu xác định thông qua một thí nghiệm phân cắt miễn dịch(immunodepletion) mà 110-kDa P. knowlesi MSP phù hợp với PK 110 protein một phần (Perler và cs., 1987). Tiềm năng của P. vivax MSP như một ứng cử viên vaccine nhờ vào tiến hành sự ức chế trên in vitro của thử nghiệm xâm nhập hồng cầu và mảnh IgG của cả kháng thể đơn dòng P. vivax MSP mAb và kháng huyết thanh thỏ P. cynomolgi bị ức chế có ý nghĩa đi vào P. vivax merozoites. Họ lưu ý về nền tảng cơ bản, các protein merozite liên quan đến tính kháng nguyên bề mặt của PvMSP-185, PcyMSP-150, PkMSP-110.
Web Links
1. CDC: cdc.gov/malaria, http://www.cdc.gov/EID/content/14/11/1750.htm
2. WHO: http://www.who.int/topics/malaria/en/
3. Short film on the discovery of the role of P. knowlesi in human malaria: http://www.abc.net.au/catalyst/stories/2533454.htm / Plasmodium knowlesi genome data / GeneDB Plasmodium knowlesi
Tài liệu tham khảo
1.Perkins, Susan L.; Jos. J. Schall (2002). "A molecular phylogeny of malarial parasites recovered from cytochrome b gene sequences". Journal of Parasitology 88 (2): 972–978.
2.Chin W, Contacos PG, Coatney RG, Kimbal HR. (1965). "A naturally acquired quotidian-type malaria in man transferable to monkeys". Science 149 (3686): 865.
3.Jongwutiwes S, Putaporntip C, Iwasaki T, Sata T, Kanbara H. (2004). "Naturally acquired Plasmodium knowlesi malaria in human, Thailand". Emerg. Infect. Dis 10 (12): 2211–3.
4.Cox-Singh J, Davis TM, Lee KS, Shamsul SS, Matusop A, Ratnam S, Rahman HA, Conway DJ, Singh B (2008). "Plasmodium knowlesi malaria in humans is widely distributed and potentially life-threatening". Clin. Infect. Dis. 46 (2): 165–171. doi:10.1086/524888.
5.McCutchan TF, Piper RC, Makler MT (2008). "Use of Malaria Rapid Diagnostic Test to Identify Plasmodium knowlesi Infection". Emerg Infect Dis 14 (11): 1750–1752.
6.Franchini G (1027) Su di un plasmodio pigmentato di una scimmia. Arch Ital Sci Med Colon 8:187–90
7.Singh B, Lee KS, Matusop A, Radhakrishnan A, Shamsul SSG, Cox-Singh J, Thomas A, Conway DJ (2004). "A large focus of naturally acquired Plasmodium knowlesi infections in human beings". Lancet 363 (9414): 1017–24.
8.Garnham PCC, Lainson R, Cooper W (1957). "The tissue stages and sporogony of Plasmodium knowlesi". Trans Roy Soc Trop Med Hyg. 51 (5): 384–396.
9.Haynes JD, Dalton JP, Klotz FW, McGinniss MH, Hadley TJ, Hudson DE, Miller LH (1988). "Receptor-like specificity of a Plasmodium knowlesi malarial protein that binds to Duffy antigen ligands on erythrocytes". J Exp Med 167 (6): 1873–1881.
10.Vythilingam I, Noorazian YM, Huat TC, Jiram AI, Yusri YM, Azahari AH, Norparina I, Noorrain A, Lokmanhakim S (2008). "Plasmodium knowlesi in humans, macaques and mosquitoes in peninsular Malaysia". Parasit Vectors 1 (1): 26.
11.Lee K.S., Cox-Singh J., Brooke G., Matusop A., Singh B (2009). "Plasmodium knowlesi from archival blood films: Further evidence that human infections are widely distributed and not newly emergent in Malaysian Borneo". Int J Parasitol 39 (10): 1125–1128.
12.Daneshvar C., Davis T.M.E., Cox‐Singh J. et al (2009). "Clinical and Laboratory Features of Human Plasmodium knowlesi Infection". Clin Infect Dis 49 (6): 852–860. doi:10.1086/605439.
13.Lee KS, Divis PC, Zakaria SK, Matusop A, Julin RA, Conway DJ, Cox-Singh J, Singh B (2011). Kazura, James W.. ed. "Plasmodium knowlesi: Reservoir Hosts and Tracking the Emergence in Humans and Macaques". PLoS Pathog 7 (4): e1002015.
14.Manson-Bahr PEC, Bell DR, eds. (1987). Manson's Tropical Diseases. London: Bailliere Tindall, ISBN 0-7020-1187-8.
15.Ng O.T., Ooi E.E., Lee C.C., Lee P.J., Ng L.C., Pei S.W., Tu T.M., Loh J.P., Leo Y.S. (2008). "Naturally Acquired Human Plasmodium knowlesi Infection, Singapore". Emerg. Infect. Dis. 14 (5): 814–816.
16.Khim N, Siv S, Kim S, Mueller T, Fleischmann E, Singh B, Divis PC, Steenkeste N, Duval L, Bouchier C, Duong S, Ariey F, Menard D (2011) Plasmodium knowlesi infection in humans, Cambodia, 2007-2010. Emerg Infect Dis 17(10):1900-1902
17.Jeslyn WP, Huat TC, Vernon L, Irene LM, Sung LK, Jarrod LP, Singh B, Ching NL (2010). "Molecular Epidemiological Investigation of Plasmodium knowlesi in Humans and Macaques in Singapore". Vector Borne Zoonotic Dis. 11 (2): 131–5.
18.Jongwutiwes S, Buppan P, Kosuvin R, Seethamchai S, Pattanawong U, Sirichaisinthop J, Putaporntip C (2011) Plasmodium knowlesi malaria in humans and macaques, Thailand. Emerg Infect Dis 17(10):1799-1806
19.Yap FL, Cadigan FC, Coatney GR. (1971). "A presumptive case of naturally occurring Plasmodium knowlesi malaria in man in Malaysia". Trans R Soc Trop Med Hyg 65 (6): 839–40.
20.Barber BE, William T, Jikal M, Jilip J, Dhararaj P, Menon J, Yeo TW, Anstey NM (2011). "Plasmodium knowlesi malaria in children". Emerg Infect Dis 17 (5): 814–820.
21.Wharton RH, Eyles DE. (1961). "Anopheles hackeri, a vector of Plasmodium knowlesi in Malaya". Science 134 (3474): 279–80.
22.Reid JA, Weitz B. (1961). "Anopheline mosquitoes as vectors of animal malaria in Malaya". Ann Trop Med Parasitol 55: 180–6.
23.Vythilingam I, Tan CH, Asmad M, Chan ST, Lee KS, Singh B. (2006). "Natural transmission of Plasmodium knowlesi to humans by Anopheles latens in Sarawak, Malaysia". Trans R Soc Trop Med Hyg 100 (11): 1087–88.
24.Bronner U., Divis P.C., Farnert A., Singh B. (2009). "Swedish traveller with Plasmodium knowlesi malaria after visiting Malaysian Borneo". Malar J. 8: 15.
25.Cogswell F.B. (1992). "The hypnozoite and relapse in primate malaria". Clin. Microbiol. Rev 5 (1): 26–35.
26.Krotoski W.A., Collins W.E. (1982). "Failure to detect hypnozoites in hepatic tissue containing exoerythrocytic schizonts of Plasmodium knowlesi". Am. J. Trop. Med. Hyg. 31 (4): 854–856.
27.Daneshvar C, Davis TM, Cox-Singh J, Rafa'ee MZ, Zakaria SK, Divis PC, Singh B (2010). "Clinical and parasitological response to oral chloroquine and primaquine in uncomplicated human Plasmodium knowlesi infections". Malar. J. 19 (9): 238.
28.Cox-Singh J, Hiu J, Lucas SB, Divis PC, Zulkarnaen M, Chandran P, Wong KT, Adem P et al (2010). "Severe malaria - a case of fatal Plasmodium knowlesi infection with post-mortem findings: a case report". Malar J 9 (1): 10.
29.Capasso L. L’origine delle malattie. M. Solfanelli, Chieti, Italy, 1985.
30.Kim KC. Coevolution of Parasitic Arthropods and Mammals. John Wiley & Sons, New York, 1985.
31.Cockburn A. The Evolution and Eradication of Infections Diseases. Greenwood Press, Westport, 1963.
32.Cohen MN, Armelagos GJ (Eds.). In: Paleopathology at the Originis of Agriculture. Academic Press Inc., Orlando, 1984.
33.Centers for Disease Control and Prevention (CDC). Simian malaria in a US traveler. MMWR 2009; 58:229-232.
34.Sing B, Sung LK, Matusop A, Radhakrishnama A, Shamsul Smita SG, Cox-Singh J, et al. A large focus of naturally acquired Plasmodium knowlesi infections in human beings. Lancet 2004; 363:1017-1024.
35.Cox-Singh J, Davis TME, Lee KS, Shamsul SGS, Matusop A, Ratnam S, et al. Plasmodium knowlesi malaria in humans is widely distributed and potentially lifre threatening. Clin Infect Dis 2008; 46:165-171.
36.White NJ. Plasmodium knowlesi: the fifth human malaria parasite. Editorial Commentary. Clin Infect Dis 2008; 46:172-173.
37.Vythlingam I, Tan CH, Asmad M, Chan ST, Lee KS, Singh B. Natural transmission of Plasmodium knowlesi to humans by Anopheles latens in Sarawak, Malaysia. Trans R Soc Trop Med Hyg 2006; 100:1987-1088.
38.Tan CH, Vythlingam I, Matusop A, Chan ST, Singh B. Bionomics of Anopheles latens in Kapit, Sarawak, Malaysian Borneo in relation to the transmission of zoonotic simian malaria parasite Plasmodium knowlesi. Malaria J 2008; 7:52-59.
39.Kantele A, Marti H, Felger I, Müller D, Jokiranta ST. Monkey malaria in an European traveller returning from Malaysia. Emerg Infect Dis 2008; 14:1434-1436.
40.Jongwutiwes S, Putaporntip C, Iwasatit T, Sata T, Kambara H. Naturally acquired Plasmodium knowlesi malaria in human, Thailand. Emerg Infect Dis 2004;10:2211-2213.
41.Zhu HM, Li J, Zheng H. Human natural infection of Plasmodium knowlesi. Zhongguo Ji Sheng Chong Xue Yu Ji Sheng Chong Bing Za Zhi 2006; 24:70-71.
42.Ng OT, Eong OE, Chuan LC, Jarrod LP, Ching NL, Wong PS, et al. Naturally acquired human Plasmodium knowlesi infection, Singapore. Emerg Infect Dis 2008; 14:814-816.
43.Bronner V, Divis PCS, Färnert A, Singh B. Swedish traveller with Plasmodium knowlesi malaria after visiting Malaysian Borneo. Malaria Journal 2009; 8:15:1-5.
44.Carlton JM, Adams JH, Slva JC, Bidwell SL, Lorenzi H, Caler E, et al. Comparative genomics of the neglected human parasite Plasmodium vivax. Nature 2008; 455:757-763.
45.Pain A, Böhme U, Berry AE, Mungall K, Finn RD, Jackson AP, et al. The genome of the simian and human malaria parasite Plasmodium knowlesi.Nature 2008; 455:799-803.
46.http://www.lshtm.ac.uk/newsevents/news/2012/item19363.html
47.http://www.ncbi.nlm.nih.gov/pubmed/21762579