P. knowlesi là loài ký sinh trùng sốt rét chỉ ký sinh ở khỉ, tuy nhiên nhiều thông tin trên thế giới cũng như trong nước thời gian gần đây cho thấy P. knowlesi có khả năng nhiễm bệnh ở người, thậm chí còn có nguy cơ lan rộng và đe dọa tử vong. Nếu ký sinh trùng ở khỉ P. knowlesi thích nghi và gây bệnh cho người thì đây được xem là mối hiểm họa mới vì là loại ký sinh trùng sốt rét thứ 5 gây bệnh ở người cùng với P.falciparum, P.vivax, P.malariae, P.ovale.
Bệnh sốt rét đã được biết từ cổ xưa, cho đến nay cộng đồng trên toàn cầu tìm mọi cố gắng để đẩy lùi căn bệnh sốt rét này. Tuy nhiên, mọi cố gắng vẫn còn tiếp tục gây tốn kém nhiều trí tuệ, công sức và tiền bạc nhưng bệnh sốt rét vẫn là mối đe doạ đối với cộng đồng thế giới. Hiện nay, bệnh đã là gánh nặng và làm ảnh hưởng hơn 2400 triệu người, trên 40% dân số thế giới, tại hơn 108 quốc gia ở vùng nhiệt đới từ Nam Mỹ đến Ấn Độ. Mỗi năm từ 300 - 500 triệu người mắc bệnh (90% con số ấy ở khu vực cận sa mạc Sahara, châu Phi, 2/3 số ca bệnh còn lại xảy ra ở 6 nước Ấn Độ, Brazil, Sri Lanka, Việt Nam, Colombia và đảo quốc Solomon). Tổ chức Y tế thế giới (WHO) dự đoán sẽ tăng 16% số ca sốt rét mỗi năm. Khoảng chừng 1.5 – 3 triệu người chết do sốt rét mỗi năm (85% ở châu Phi). Cứ mỗi 30 giây, ở châu Phi có một trẻ chết vì sốt rét, mỗi 12 giây trên thế giới có một người chết có liên quan đến bệnh sốt rét. Mỗi năm, số người chết do sốt rét bằng số chết do HIV/AIDS trong 15 năm gộp lại.
Trong khi ấn đề các loài ký sinh trùng cổ điển, các nhà khoa học và cộng đồng thế giới chưa thể giải quyết triệt để, thì mới đây các nhà khoa học ở Malaysia lại công bố thêm một loài ký sinh trùng sốt rét vốn từ lâu gây bệnh sốt rét cho khỉ, nay có khả năng gây nhiễm cho người với tỷ lệ nhiễm tương đối cao và bệnh cảnh cũng có thể nghiêm trọng, vấn đề này có thể tăng thêm gánh nặng về bệnh sốt rét trong tương lai.
 |
Khỉ macaque đuôi dài (số 2) |
Các loài ký sinh trùng gây bệnh sốt rét ở người đã từng biết
Bệnh sốt rét do các ký sinh trùng (hay đơn bào đường máu) thuộc ngành Apicomplexa, giống Plasmodium gây ra. Từ trước đến nay, giới khoa học đã thừa nhận rằng bệnh sốt rét ở người chủ yếu do 4 loài P. falciparum, P. vivax, P. malariae, P. ovale gây ra, song trong số đó phần lớn là hai loài P. falciparum và P. vivax chiếm một tỷ lệ cao trong cơ cấu ký sinh trùng, tuỳ vùng địa lý mà tỷ lệ hai loại này gây nhiễm ở người có khác nhau, có nơi tỷ lệ nhiễm P. vivax đến 80% và P. falciparum chỉ 15%, có nơi P. vivax chiếm 20 – 25%, trong đó quan trọng hơn cả là loài KSTSR loại P. falciparum gây tỷ lệ sốt rét ác tính (SRAT) và tử vong cao, có nơi đến 90%. Hai loài ký sinh trùng còn lại tồn tại cũng có tỷ lệ thay đổi tuỳ theo vùng trên các châu lục.
Loài ký sinh trùng mới (loài thứ 5) gây bệnh sốt rét ở người
Người ta từng được biết một số tác nhân gây bệnh mới trổi dậy (hoặc bệnh đang nổi – emerging diseases) đã lây truyền từ động vật sang người và ngược lại (zoonose). Các quần thể loài linh trưởng hoang đã có ổ chứa tiềm năng lưu giữ và là nguồn gốc của một số tác nhân gây bệnh cho người, từ các virus đến các loài giun, sán. Có hơn 26 loài Plasmodium lưu hành trong các quần thể linh trưởng hoang dã. Nhiều trong số các loài ký sinh trùng sốt rét (KSTSR) ở loài khỉ liên quan gần các loài KSTSR gây bệnh ở người và một số trong chúng được biết là Plasmodium simium, P. brazilianum, P. cynomolgi, P. inui và P. knowlesi từng liên quan sốt rét gần biểu hiện triệu chứng ở người trong thực nghiệm hoặc nhiễm tự nhiên. Từ đầu những năm 1930, P. knowlesi đã được sử dụng để điều trị sốt trên những bệnh nhân bị giang mai thần kinh.
Năm 1932, Knowles và Das Gupta đã thành công trong nghiên cứu truyền bệnh sốt rét của loài khỉ cho người;
Năm 1960, Eyles và cộng sự lần đầu đã gây nhiễm thực nghiệm KSTSR của loài khỉ cho người thông qua gây nhiễm bằng muỗi truyền bệnh loại Plasmodium cynomolgi;
Năm 1967, Chin và cộng sự cho biết rằng P. knowlesi cũng có thể lây truyền từ loài khỉ qua người. Mới đây có một số báo cáo rải rác có người mắc bệnh sốt rét do P. knowlesi.
Loài KSTSR P. knowlesi cần phân biệt về mặt hình thể với P. malariae |
Plasmodium knowlesi, ký sinh trùng sốt rét “mới” gây bệnh ở người
Ca bệnh đầu tiên ở người do nhiễm tự nhiên xảy ra năm 1965 ở khu rừng rậm Malaysia, ca bệnh thứ 2 xảy ra vào năm 1971 cũng ở rừng Malaysia. Một trường hợp khác xảy ra Thái Lan (2000) ở một đàn ông 38 tuổi khi vào rừng ở biên giới Thái Lan - Myanmar. Các ước tính về tỷ lệ hiện mắc và phân bố các loài KSTSR ở các cộng đồng người nhiễm tại Malaysia đều nhờ vào chẩn đoán qua soi kính hiển vi (cacs lam máu nhuộm giêm sa) từ các phòng khám và bệnh viện nhà nước. Giữa năm 1998 và 2002, số bệnh nhân mới mắc sốt rét hàng năm ở Sarawak, thuộc quần đảo Borneo, Malaysia là 2496 - 3155 trường hợp. Ở Sarawak, loài P.vivax là loài chủ yếu (69.1%), tiếp đến P. falciparum (19.7%), rồi đến P. malariae (9.4%) và nhiễm phối hợp (# 1.0%), chưa phát hiện và khẳng định trường hợp nào do P. ovale.
Trước nghiên cứu của Singh B. và cộng sự bắt đầu vào tháng 3.2000, các nhà khoa học đã ghi nhận các khác biệt chính về các tỷ lệ của các loài Plasmodium được báo cáo ở Sarawak. P. vivax phân bố rộng rãi trong 9 vùng địa lý, trong khi P. falciparum lại chiếm ưu thế ở các vùng phía bắc của bang và KSTSR được phát hiện gần giống như P. malariae được báo cáo chủ yếu ở các vùng trung tâm của Kapit và Miri. Tại Kapit, KSTSR được phát hiện bằng kính hiển vi giống như P. malariae chiếm tỷ lệ khoảng 1/5 số trường hợp sốt rét năm 1999.
Về hình thái học, nhiều lam máu có hình thái nhiễm KSTSR được phát hiện bằng kính hiển vi giống như P. malariae không điển hình. Thường là nhiễm P. malariae mãn tính và không triệu chứng với mật độ KSTSR trong máu thấp, hiếm khi vượt quá 5.000 KSTSR/μL. Tuy nhiên, hầu hết (97.4%) của 108 ca báo cáo năm 1999 ở vùng Kapit là những bệnh nhân biểu hiện đầy đủ các dấu hiệu và triệu chứng lâm sàng được nhập viện các phòng khám bệnh ở miền núi, bệnh viện Kapit và bệnh viện đa khoa Kapit. Ngoài ra, các bệnh nhân này có mật độ KSTSR trong máu 48.000 – 66.640 KSTSR/μL, với 20 ca (18.5%) có mật độ KSTSR trong máu > 5.000 KSTSR/μL.
Năm 1999, Singh B và cộng sự nghiên cứu các trường hợp sốt rét ở khu vực Kapit thuộc đảo Borneo, Malaysia qua phát hiện KSTSR bằng kính hiển vi cho thấy đó là loài P. malariae, mặc dầu hình thái xuất hiện không điển hình và họ đã dùng kỹ thuật Nested PCR để xác định P. malariae DNA nhưng không phù hợp với kết quả, họ đã tiếp tục nghiên cứu để xem rằng các trường hợp nhiễm này có phải do một biến thể của P. malariae hay do một loài Plasmodium mới xuất hiện. Để khẳng định điều đó, từ tháng 3.2000 đến 11.2002 nhóm nghiên cứu đã lấy 208 mẫu máu bệnh nhân mắc sốt rét ở khu vực Kapit để xét nghiệm so sánh song song bằng soi kính hiển vi và Nested PCR, qua phương pháp Nested PCR họ đã phát hiện 120/208 (58%) là do loài KSTSR loại P. knowlesi mà không phải do P. malariae. Triệu chứng sốt rét ở người lớn từng được báo cáo do P. malariae ở nhiều nơi tại Malaysia, điều này gợi ý rằng sự xuất hiện P. knowlesi ở người có thể đã lan rộng ngoài khu Kapit.
Plasmodium knowlesi được phát hiện lần đầu tiên khi nào?
Cox - Sigh và cộng sự đã phát hiện ca sốt rét nhiễm P.knowlesi đầu tiên ở khỉ Macaque đuôi dài (tên khoa học là Macaca fascicularis) khi nhập khẩu từ Singapore đến Ấn Độ vào năm 1931. Một năm sau, Knowles và Das Gupta đã thành công trong việc gây nhiễm thực nghiệm truyền P.knowlesi từ khỉ sang người. Ca bệnh nhiễm P.knowlesi ở người được mô tả đầu tiên vào năm 1965 tại Mỹ, trên một người lính trở về từ Malaysia. Theo phân loại, P. knowlesi thuộc giới Protista, ngành Apicomplexa, lớp Aconoidasida, bộ Haemosporida, họ Plasmodiidae, giống Plasmodium, loài P. knowlesi. Đến năm 1960, tác giả Eyles đã thành công trong việc truyền tác nhân gây bệnh sốt rét ở khỉ là P.cynomolgi cho người trên thực nghiệm. Năm 1966 bằng cách cho muỗi đốt máu có nhiễm KSTSR rồi cho đốt người, tác giả Granharm cũng đã chứng minh rằng các loài KSTSR ở khỉ như P. iuni,, P. knowlesi đều có khả năng truyền bệnh cho người.
Đến năm 1971, chỉ có 2 trường hợp nhiễm P.knowlesi ở người được báo cáo (Chin, 1965 và Yap, 1971), cả 2 ca đều sống ở Peninsular, Malaysia. Sau đó Cox - Sigh và công sự đã tiến hành một nghiên cứu kéo dài từ tháng 3.2000 đến tháng 11.2002 tại Malaysia, Kết quả cho thấy rằng trong số 208 ca bệnh được chẩn đoán ban đầu là nhiễm P.malariae thì có đến 120 ca được xác định là P.knowlesi bằng kỹ thuật PCR lồng (nested PCR). Nhiều trường hợp nhiễm P. knowlesi sau đó cũng được phát hiện tại Kanip, Sarawak, Malaysia năm 2004. Vào năm này một ca bệnh do loài KSTSR này gây nên cũng được phát hiện trên một bệnh nhân làm việc trong rừng ở biên giới giữa Thái và Myanmar (Jongwutiwes và cs., 2000). Một nghiên cứu khác cũng cho hay người bệnh nhiễm P.knowlesi cũng được phát hiện tại Philippines.
Các đặc điểm về hình thái của Plasmodium knowlesi dưới kính hiển vi
Các nhà nghiên cứu đã quan sát các giai đoạn hồng cầu nhiễm KSTSR được nhuộm Giemsa từ các bệnh nhân chỉ nhiễm đơn thuần P. knowlesixác định bằng phương pháp nested PCR. Các thể tư dưỡng non xuất hiện các thể nhẫn và không thể hoặc rất khó phân biệt với các thể tư dưỡng non của P. falciparum (hình 1A). Có khi xuất hiện nhiều hơn 1 thể nhẫn trong mỗi hồng cầu và hoặc cũng nhìn thấy các chấm hematin đứng đôi (hình 1A). Thể tư dưỡng già có mặt ít hơn 1/3 số hồng cầu bị nhiễm và bào tương đậm đặc, không biến hình, liên quan và dễ nghĩ đến P. malariae (hình 1B). Trong một số trường hợp, chúng ta có thể tìm thấy thể tư dưỡng già dạng “các thể dãi băng” điển hình tương tự với P. malariae (hình 1B). Các thể phân liệt có một cụm trung tâm từ 8 đến 18 tiểu thể hoa cúc (hình 1C, 1E) và các thể phân liệt già đã không chiếm hết toàn bộ hồng cầu (Hình 1C). Các thể tư dưỡng và thể phân liệt được nhuộm sắc tố đậm đặc với sắc tố sốt rét nâu, đậm hoặc màu đen (hình 1B,1E). Các thể giao bào tương tự như giao bào của P. malariae và có hình tròn, chúng chiếm hầu hết thể tích hồng cầu và có sắc tố sốt rét phân tán rải rác (như trong hình 1D). Các hồng cầu nhiễm thể tư dưỡng già và thể phân liệt thường được nhìn thấy trong lam máu giọt đặc, chúng không trương phình và chúng ta không thấy bất cứ chấm đậm và sáng nào (hình 1B,1C); các đặc điểm trên tuy riêng nhưng đôi khi tương tự điển hình đối với các hồng cầu nhiễm P.malariae.
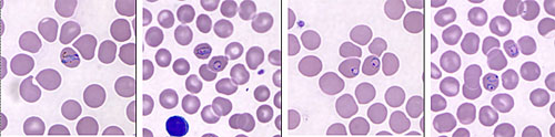
Hình ảnh P. knowlesi soi kính hiển vi của các bệnh nhân tại Malaysia
Hình thái điển hình của các giai đoạn ký sinh trùng P. knowlesi trong hồng cầu của các bệnh nhân ở vùng khu vực Kapit thuộc đảo Borneo, Malaysia. Nhuộm Giemsa giọt máu đàn (hình 1A-1D) và giọt đặc (1E). A: tư dưỡng non hoặc thể nhẫn với chấm đôi chromatin (phần trên) và hồng cầu nhiễm với 2 thể tư dưỡng (phần dưới). 1B: tư dưỡng già thể dãĩ băng (phần trên) và tư dưỡng già thể hình cầu (dưới). 1C: thể phân liệt. 1D: thể giao bào. 1E: thể tư dưỡng non (phần trên) và thể phân liệt (phần dưới). |
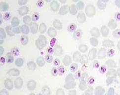
Hình ảnh P. knowlesi soi kính hiển vi của bệnh nhân tại Thái Lan
-Hình phiến máu giọt đàn cho thấy 2A) thể nhẫn, 2B) Tư dưỡng non dạng mãnh mai, 2C) Tư dưỡng đang phát triển hình dãĩ băng, 2D) thể tư dưỡng đang phát triển với dạng ít biến hình hoặc không không biến hình, 2E) thể tư dưỡng đang tăng trưởng nhân đôi, 2F) thể phân liệt trẻ, 2G) thể phân liệt già trong hồng cầu với hình gai ở rìa và 2H) thể giao bào trưởng thành, lớn. 2C, 2D và 2F) hiện diện chấm đậm – sáng của Sinton và Mulligan;
-Hình thể trong phết máu mỏng nhuộm Giemsa: A) thể tư duỡng dạng nhẫn, B) thể tư dưỡng dạng tenue (tế bào chất ít, có dạng méo mó như đốm lửa), dạng C) thể tư dưỡng dạng dải băng, D) thể tư dưỡng phát triển, E) hai thể tư dưỡng phát triển, F) thể phân liệt non, G) thể phân liệt phát triển, H) thể giao bào cái trưởng thành.
Hai hình ảnh ở trên cho chúng ta thấy các hồng cầu nhiễm thể tư dưỡng già và thể phân liệt thường được nhìn thấy trong phiến máu đặc, chúng không trương phình lớn và chúng ta không thấy bất cứ chấm đậm và sáng nào (hình 1B, 1C). Trái lại, phát hiện chấm đậm và sáng của Sinton và Mulligan trong hình 2C, 2D và 2F); Cũng như, các thể tư dưỡng non xuất hiện các thể nhẫn và không thể phân biệt với các tư dưỡng non của P. falciparum (hình 1A). Ngoài ra, có một số hình thái mà ta khó phân biệt thể giữa P. malariae và thể của P. knowlesi khi soi lam kính nhuộm giêm sa, dẫn đến dễ nhầm lẫn loại KSTSR khi áp dụng phương pháp soi cổ điển khá hữu hiệu này.
Nhóm nghiên cứu kháng thuốc và nghiên cứu các phương pháp chẩn đoán tại cộng đồng của Khoa Nghiên cứu bệnh sốt rét, Viện Sốt rét - KST - CT Quy Nhơn trong thời gian từ năm 2007 - 2010 khi thực hiện nghiên cứu tại các điểm sốt rét lưu hành của tỉnh Ninh Thuận, Quảng Trị, Gia Lai,…đã nhiều lần phát hiện hình thể ký sinh trùng sốt rét “na ná” như loại P. malariae, nhưng không điển hình như hình ảnh của P.malariae. Tuy nhiên, kết quả này chỉ được bàn luận giữa các kỹ thuật viên có kinh nghiệm của nhóm nghiên cứu về phương diện hình thái học trên kính hiển vi (morphology) và điều biệt các trường hợp này đều đáp ứng với thuốc chloroquine và primaquine. Do đó, liệu chăng các trường hợp như thế là P. knowlesi, điều cần thiết là phải xác định ca nghi ngờ bằng kỹ thuật sinh học phân tử, chẳng hạn PCR.
Một số hình ảnh đặc biệt của loài Plasmodium knowlesi qua soi kính hiển vi
So sánh 2 phương pháp chẩn đoán | Phát hiện ký sinh trùng bằng kính hiển vi |
Pf | Pm | Pv | Po | Tổng |
Phát hiện bằng kỹ thuật Nested PCR | | | | | |
Pf | 16 | 15 | 1 | 0 | 32 |
Pm | 0 | 0 | 0 | 0 | 0 |
Pv | 2 | 9 | 37 | 0 | 48 |
Po | 0 | 1 | 1 | 0 | 2 |
Pk | 3 | 101 | 2 | 0 | 106 |
Pv + Pk | 0 | 7 | 1 | 0 | 8 |
Pv + Pf | 3 | 3 | 0 | 0 | 6 |
Pf + Pk | 0 | 5 | 0 | 0 | 5 |
Pf + Pv + Pk | 1 | 0 | 0 | 0 | 1 |
Tổng | 25 | 141 | 42 | 0 | 208 |
So sánh kết quả soi KHV và phương pháp nested PCR phát hiện các loài Plasmodium spp.
Các kỹ thuật sinh học phân tử rất hữu ích trong việc xác định nhiễm KSTSR loại P. knowlesi, mô tả dịch tễ học và xác định đặc điểm nhiễm KSTSR hổn hợp mà có thể bị bỏ sót khi soi kính hiển vi quang học cổ điển.
Lưu ý: Pf: Plasmodium falciparum; Pm: Plasmodium malariae; Pv: Plasmodium vivax; Po: Plasmodium ovale và P.k: Plasmodium knowlesi
Sự khác biệt về lâm sàng giữa Plasmodium malariae và Plasmodium knowlesi
Giai đoạn phát triển sớm của hai loài KSTSR này hình như rất giống nhau khi soi dưới kính hiển vi quang học, mặc dầu P. malariae nhân lên 3 ngày một lần (sốt cách 2 ngày) và không bao giờ hoặc rất hiếm phát triển với mật độ KSTSR trong máu cao dẫn đến nguy hiểm đến tính mạng bệnh nhân. Ngược lại, loài P. knowlesi có một chu kỳ phát triển ký sinh trùng hàng ngày (sốt hàng ngày) như P.falciparum và nếu không điều trị, ký sinh trùng có thể phát triển đạt đến mật độ cao, nguy hiểm dẫn đến tử vong, khảo sát hồi cứu với kinh nghiệm của các thầy thuốc Malaysia mới đây với bệnh nhân nhiễm P. knowlesi và đã mô tả 4 ca tử vong.
Người ta đã xác định một cách chắc chắn về các tiến trình bệnh lý thích hợp với sốt rét nặng do P. falciparum. Song trên loài P. knowlesi không gây kết dính/ kết tập hồng cầu một cách có ý nghĩa trong hệ vi tuần hoàn, nhưng một khi có mật độ ký sinh trùng sốt rét cao, P. knowlesi sẽ gây tử vong cao ở loài khỉ mắc bệnh, đây là kết quả trong số hầu hết các nghiên cứu trên các mô hình động vật. Nguyên nhân gây tử vong ở khỉ mắc bệnh là do mật độ KSTSR trong máu rất cao và thiếu máu, vàng da và suy thận hình thành nhanh chóng - tất cả các triệu chứng đó là những hình thái sốt rét nặng hoặc sốt rét ác tính do P. falciparum gây ra cho người chúng ta đều biết, mặc dầu hình thái lâm sàng ở khỉ không giống sốt rét ác tính thể não ở người. Dường như hội chứng bệnh lý lâm sàng thống nhất này đặc hiệu cho sốt rét nặng do P. falciparum. Cuối cùng, khỉ mắc bệnh bị u ám mà không hôn mê. Như vậy, mặc dầu không có mô hình động vật giải thích thoả mãn về bệnh sốt rét thể não ở người, nhưng nhiễm sốt rét nặng do P. knowlesi ở khỉ và ở người có thể có những dấu hiệu tương tự cần chú ý quan trọng. Mặc dầu các chi tiết về nghiên cứu hồi cứu này có hạn chế, nhưng có nhiều đặc điểm nổi bật về 4 ca tử vong do Janet Cox - Singh và cộng sự chỉ ra.
Tháng 11/2004 và tháng 3/2005, có 4 trường hợp bệnh nhân chết ở Sarawak với chẩn đoánsốt rét do “nhiễm P. malariae”. Vì P. malariae bình thường có mật độ ký sinh trùng máu thấp và bệnh cảnh lâm sàng không nặng, đặc biệt hình thể trên lam máu giống P.malariae, nhưng do bệnh diễn tiến nặng à gợi ý khả năng là do loài P. knowlesi và xem là một nguyên nhân có thể gây bệnh nặng trên các ca này. Các bệnh nhân trong độ tuổi 39 – 69 tuổi và cả 4 đều có đau bụng và sốt. Hai bệnh nhân không biểu hiện thiếu máu, dù mật độ KSTSR trong máu cao, mặc dầu họ có thể bị mất nước và cô đặc máu (2 bệnh nhân thủng dạ dày do loét); các bệnh nhân đều suy thận và vàng da, đó là những dấu hiệu xảy ra trong sốt rét nặng do P. falciparum.
Cả 4 bệnh nhân có số lượng tiểu cầu < 30.000 /μL và 3 bệnh nhân có tăng bạch cầu chung. Nhiều câu hỏi được đặt ra. Bệnh sốt rét nặng ở người và khỉ Rhesus có tương tự nhau không ? Triệu chứng đau bụng có phản ánh hiện tượng thiếu máu nuôi dưỡng ruột hay không ? Có mối quan hệ nào giữa sinh khối KSTSR và độ trầm trọng của bệnh hay không? Các nghiên cứu thêm về sốt rét nặng do P. knowlesi ở người để đánh giá toan chuyển hoá, loại trừ nhiễm khuẩn huyết đồng thời và đánh giá sự đáp ứng với điều trị sốt rét sẽ là thông tin cần thiết trong thời gian đến. Các nghiên cứu vi tuần hoàn ở khỉ Rhesus được thực hiện trên 60 năm qua cho thấy hiện tượng cô đặc hồng cầu trong các mao động mạch và mao tĩnh mạch, như vậy để biết rõ hơn về rối loạn chức năng tuần hoàn.
Janet Cox - Singh đưa ra khuyến cao quan trọng, tại châu Á, mật độ KSTSR cao với các triệu chứng xuất hiện trong trường hợp soi kính hiển vi nghi ngờ là P. malariae nên được liên hệ đến chẩn đoán gián biệt với sốt rét nặng do P. knowlesi và nên điều trị cẩn thận để tránh tử vong. Qua các thông tin trên, dù loài ký sinh trùng sốt rét này gây bệnh thích hợp với loài linh trưởng, nhưng họ cũng chỉ ra rằng P. knowlesi là loài ký sinh trùng gây bệnh sốt rét ở người có thể là phù hợp.
Dịch tễ học nhiễm Plasmodium knowlesi ở Malaysia
Năm 1931, Plasmodium knowlesi lần đầu tiên được biết nhiễm trùng gây tử vong trên các con khỉ đuôi dài. Năm 1932, một mô hình gây nhiễm thực nghiệm sử dụng máu người cho thấy kyus sinh trùng này cũng có thể gây nhiễm trên người. Từ đầu những năm 1930, P. knowlesi đã được sử dụng để điều trị sốt trên những bệnh nhân bị giang mai thần kinh.
Sự truyền bệnh sốt rét từ loài khỉ đến người và người đến người qua trung gian muỗi có thể xảy ra trong điều kiện thực nghiệm. Liệu rằng có một ổ nhiễm lớn về P. knowlesi ở vùng Kapit, đảo Borneo, Malaysia có thể góp phần lớn sự lây truyền từ người đến người hoặc từ khỉ đến người qua muỗi trung gian truyền bệnh thì chưa được rõ thấu đáo. Nhóm muỗi An.leucosphyrus có khả năng lây truyền ký sinh trùng P. knowlesi và có mặt ở vùng Kapit, vì là vật chủ tự nhiên của P. knowlesi, các loài khỉ đuôi dài (Macaca fascicularis) và khỉ có đuôi lợn (Macaca nemestrina). Mặc dầu, hai loài khỉ này sống rất gần gũi con người ở vùng Kapit và là một nguồn tiềm năng mang KSTSR P. knowlesi, nhưng các nhà nghiên cứu vẫn chưa xác định liệu rằng chúng bị nhiễm P. knowlesi. Họ cũng chưa xác định được muỗi truyền bệnh. Các dữ liệu rằng là nhiễm P. knowlesi và những bệnh nhân được phát hiện giống như P. malariae dưới kính hiển vi ở vùng Kapit hầu như là người lớn và rằng là không có các trường hợp mắc bệnh tập trung trong cùng cộng đồng ở chung những căn nhà dài đã gợi ý rằng sự truyền bệnh sự lây truyền xảy ra xa vùng lân cận của những căn nhà dài chung và rằng là sự truyền bệnh đang xảy ra là từ khỉ đến người hơn là từ người qua người. Tuy nhiên, dữ liệu dịch tễ học chỉ được báo cáo các trường hợp bệnh có biểu hiện triệu chứng ở những người tiếp cận các dịch vụ y tế tại các phòng khám và bệnh viện. Nghiên cứu về dịch tễ học sinh học phân tử với qui mô lớn, có thể phát hiện những người nhiễm không triệu chứng, sẽ làm rõ hơn nữa về khả năng người trở thành ổ chứa của P. knowlesi. Họ đã từng nghiên cứu để nhận ra nơi lưu giữ KSTSR loại P. knowlesi trong tự nhiên, muỗi và chu kỳ lây truyền của P. knowlesi ở vùng Kapit.
Người nhiễm tự nhiên với KSTSR loài khỉ, P. knowlesi, cho hơn một nữa số ca bệnh trong nghiên cứu Janet Cox-Singh. Liệu rằng loài KSTSR này đã từng chuyển vật chủ với sự lây truyền bệnh giữa người - người hoặc liệu rằng sự lây truyền giữa loài khỉ qua người cần được thiết lập để có các biện pháp phòng ngừa và kiểm soát thích hợp có thể được thực hiện ở vùng Kapit. Việc phân tích DNA cho P. knowlesi trong số các mẫu máu được phân lập tại vùng này gợi ý rằng phân tích chuổi gen sẽ là hữu ích trong việc làm rõ về số liệu dịch tễ học và tiến triển lâm sàng bệnh sốt rét do P. knowlesi ở người.
Nhiễm trùng loài KSTSR P. knowlesi thường chỉ được xem là một loại ký sinh tùng đặc thù cho khỉ đuôi dài (Macaca fascicularis) và khỉ đuôi heo (Macaca nemestrina) nhưng con người lại thường làm việc trong các vùng rừng và hiển nhiên có nguy cơ nhiễm bệnh. Với sự gia tăng tàn phá rừng và sự phát triển của các quốc gia Đông Nam Á, nhiều khỉ trở nên tiếp xúc gần gũi với con người. Vì thế ngày càng có nhiều người sống tại các khu vực ngoại ô bị nhiễm sốt rét loại P. Knowlesi. Loại ký sinh tùng này tìm thấy hầu hết ở các quốc gia Đông Nam Á, đặc biệt ở Borneo, Malaysia, Myanmar, Philippines, Singapore, Thái Lan và các quốc gia láng giềng, nay cũng đã xuất hiện tại Việt Nam. Chúng dường như xảy ra tại các vùng mà trước đây báo cáo không có 4 loại KSTSR cổ điển, muỗi nhiễm cũng chỉ gặp giới hạn trong một vài vùng rừng, trong khi muỗi không nhiễm điển hình hay gặp ở các vùng đô thị nhưng lan truyền có thể xảy ra do sự đa dạng và nhiều lên của quần thể muỗi trong các vùng đó, đặc biệt là Malaysia, những cũng có vài báo cáo tại khu vực biến giới Thái Lan – Myanmar. 1/5 số ca sốt rét được chẩn đoán tại Sarawak, Malaysian Borneo là do P. knowlesi. Loài Plasmodium knowlesi ít lưu hành hơn ở châu Phi. Điều này có thể do nhiều người dân châu Phi mà chính là dân da đen Tây Phi thiếu kháng nguyên Duffy – một loại protein trên bề mặt hồng cầu giúp bảo vệ phần nào theo cơ chế “bệnh chống bệnh” chăng?
Một số khác biệt về chu kỳ phát triển của Plasmodium knowlesi
Ký sinh trùng Plasmodium knowlesi nhân lên và hoàn thành chu kỳ giai đoạn trong máu trong chu kỳ 24 giờ, dẫn đến sự hình thành một mật độ KSTSR rất cao chỉ trong một thời gian rất ngắn là 24 giờ. Điều này sẽ gợi ý mtoj tiềm năng có thể dẫn đén bệnh diễn tiến nghiêm trọng nếu không được điều trị: merozoite → schizont → trophozoites. Các giai đoạn này có thể phân biệt được với Plasmodium malariae.
Các giai đoạn trong muỗi: một con muỗi ăn phải các giao bào trong các động vật có vú. Các giao bào này óc thể là giao bào dạng microgametocytes (sau này thành giao bào đực) hoặc dạng macrogametocytes (sau này thành giao bào cái). Các giao bào này trưởng thành lần lượt thành microgametes và macrogametes và rồi chúng hình thành zygotes bên trong ruột muỗi nhờ vào giai đoạn thụ tinh. Các zygotes trưởng thành thành ookinetes, rồi oocysts. Cuối cùng, các oocysts trưởng thành thành sporozoites di chuyển đến tuyến nước bọt của muỗi, có thể tóm tắt: gametocyte → (microgamete hoặc macrogamete) → zygote → ookinete → oocyst → sporozoites.
Trên người: các giai đoạn ngoại hồng cầu (trong gan): các sporozoites được đưa vào trong người qua muỗi đốt và chúng lưu thông khắp dòng máu và sinh sản vô tính thành merozoites qua thể phân liệt trong các tế bào gan.. Các thể ngủ trong gan chưa được tìm thấy. Có thể tóm tắt: sporozoites → schizonts → merozoites. Giai đoan trong hồng cầu, các merozoites được giải phóng vào trong dòng máu xâm nhập vào các hồng cầu theo chu kỳ vô tính. Một số merozoites trở thành microgametocytes hoặc macrogametocytes sau nhiễm vào hồng cầ, có thể tóm tắt: merozoite → trophozoite → schizont → merozoites.
Hình thái học của loài ký sinh trùng sốt rét Plasmodium knowlesi
Nhiễm P. knowlesi được chẩn đoán thông qua làm lam máu giọt máu dày và lam giọt mỏng giống như các loài KSTSR khác. Sự xuất hiện P. knowlesi tương tự P. malariae và không thể chẩn đoán loại trừ một cách thỏa đáng, nên chỉ áp dụng các kỹ thuật sinh học phân tử như là kỹ thuật đối chiếu. Chẩn đoán hình thái học Plasmodium knowlesi cho thấy tương tự như loài Plasmodium malariae. Loài P. malariae có các giai đoạn và thể KSTSR cho đặc điểm dạng mảnh sắc gọn, không thay đổi kích thước hoặc hình dáng hồng cầu nhiễm hoặc làm lớn hồng cầu. Các test chẩn đoán nhanh (RDTs) có thể hoặc không thể cho phép nhận ra P. knowlesi vì tình đặc hiệu phải loại trừ. Hiện tại, kỹ thuật PCR và các kỹ thuật phân tích phân tử đều đáng tin cậy để phát hiện và chẩn đoán P. knowlesi. PCR xác định rất tốt nhưng không nhanh và khó có thể dùng thường quy trong xác định. PCR cũng rất đắt tiền và đòi hỏi các trang thiết bị đặc thù.
1. Chẩn đoán Plasmodium knowlesi dựa trên hình thái học
Hình thể P.knowlesi trên tiêu bản khi soi dưới kính hiển vi tương tự như P.malariae. Đây là một trong những yếu tố gây nhầm lẫn P.knowlesi và P.malariae khi chẩn đoán bằng phương pháp nhuộm Giêmsa truyền thống.
| |
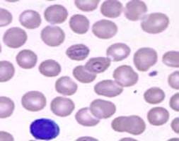
Hình thể P. knowlesi trên lam giọt mỏng (hình trái) và giọt dày (hình phải) |
Theo tiến sĩ Janet thuộc Đại học Sarawar, Malaysia từ năm 2001 đến năm 2006, trong tổng số 960 lam máu của các bệnh nhân sốt rét nhập viện thì có đến 228 lam được chẩn đoán nhầm là P.malariae trong 266 ca được xác định là P. knowlesi bằng DNA sau đó. Do đó, để phân biệt chính xác 2 loài ký sinh trùng này nhất thiết phải sử dụng các kỹ thuật sinh học phân tử hoặc phân tích DNA.
2. Chẩn đoán Plasmodium knowlesi bằng test chẩn đoán nhanh
Đối với các vùng kính hiển vi không hoặc chưa bao phủ, hoặc nơi đó nhân viên không có kinh nghiệm trong chẩn đoán sốt rét, việc áp dụng các test chẩn đoán nhanh (RDTs) để phát hiện kháng nguyên rất thiết thực và quan trọng. Dạng test miễn dịch sắc ký (Malaria Rapid Diagnostic Tests, Antigen-Capture Assay hoặc "Dipsticks") đã có rất nhiều trên thị trường và trong chương trình quốc gia phòng chống sốt rét, rất tiện lwoij cả tại la bô va ngay điều kiện thực địa. Ngưỡng phát hiện KSTSR bằng test nhanh dao động 100 KST/µl máu (các kit thương mại có thể dao động 0.002% - 0.1% KSTSR trong máu) so với kính hiển vi thì cao gấp 5 lần. Một nhược điểm của RDTs là test định tính chứ không phải định lượng, nên không thể xác định mật độ KSTSR trong máu.
Loại test đầu tiên dùng để phát hiện kháng nguyên của P. falciparum là phát hiện kháng nguyên glutamate dehydrogenase. PGluDH sau đó sớm được thay thế bằng lactate dehydrogenase của P.falciparum, một loại oxidoreductase có trọng lượng phân tử 33 kDa [EC 1.1.1.27]. Nó chính là enzyme cuối cùng trong con đường glycolytic, cần thiết cho quá trình tổng hợp ATP và là một trong các enzyme bị trình diện bởi P.falciparum. pLDH không tồn tại trong máu nhưng sẽ dường như biến mất khi điều trị sốt rét thành công (nghĩa là sạch KSTSR), do vậy kháng nguyên pLDH sẽ rất có ích trong đánh giá thất bại điều trị và thực hành lâm sàng cho thấy pLDH tương tự pGluDH. Lệ thuộc vào kháng thể đơn dòng sử dụng cài đặt, thì các loại test có thể phân biệt được 5 loại KSTSR khác nhau ở người này vì sự khác biệt kháng nguyên giữa các pLDH isoenzymes của chúng.
Năm 2008, nhóm nghiên cứu gồm Jaap J. van Hellemond, Marijke Rutten, Rob Koelewijn, Anne-Marie Zeeman, Jaco J. Verweij, Pieter J. Wismans, Clemens H. Kocken và Perry J.J. van Genderen đang công tác tại Trung tâm y khoa Trường đại học Erasmus, Rotterdam, Hà Lan và Bệnh viện cùng viện nghiên cứu y học nhiệt đới Harbour ở Rotterdam, Trung tâm nghiên cứu y sinh học về các động vật có vú phát triển cao nhất (Biomedical Primate Research Centre) tại Rijswijk, Hà Lan và Trung tâm y khoa đại học Leiden, Hà Lan đồng tiến hành.
Nhóm nghiên cứu đánh giá 2 loại test chẩn đoán nhanh BinaxNOW Malaria và OptiMAL Rapid Malaria (Diamed, Cressier, Switzerland) để phát hiện P. knowlesi trên máu người qua phân tihcs các mẫu máu lấy khi bệnh nhân nhập viện. Các mẫu máu này để lưu giữ –20°C trong 2 tuần cho đến khi thực hiện, các mẫu máu này có khoảng 2% hồng cầu nhiễm không phản ứng với kháng thể đặc hiệu P. falciparum chống lại HRP2, nhưng lại phản ứng với kháng nguyên aldolase (pan-malarial antigen aldolase) cài đặt sẵn trong BinaxNOW Malaria Test. Mẫu này cũng cho kết quả dương tính với P. falciparum–specific LDH và pan-malarial LDH trong test OptiMAL Rapid Malaria test, xác định có phản ứng chéo với LDHcủa P. knowlesi với kháng thể đơn dòng 17E4 kháng P. falciparum LDH, theo tác giả McCutchan và cộng sự. Kháng thể này cũng được sử dụng trong test OptiMAL Rapid Malaria (Diamed). Do đó, một kết quả dương tính với P. falciparum LDH trong OptiMAL Rapid Malaria không đặc hiệu cho P. falciparum vì nó cũng có thể gây bởi khi nhiễm P.knowlesi. Kết quả dương tính đối với LDH và aldolase ở một trong hai test sẽ trở nên âm tính sau điều trị, khi đó sẽ chỉ ra sạch ký sinh tùng sau điều trị. Các kết quả ở so sánh này cho thấy OptiMAL Rapid Malaria test có thể phát hiện ngưỡng mật độ P. knowlesi thấp trong máu hơn là BinaxNOW Malaria test.
Kết quả cũng chỉ ra các test chẩn đoán nhanh thương mại hóa để phát hiện các loài Plasmodium ở người có thể phát hiện P. knowlesi trên người, mặc dù nhiễm mức độ thấp. Một kết quả test âm tính cũng không thể loại trừ nhiễm P. knowlesi. cũng như không loại trừ các loài khác Plasmodium.
3. Chẩn đoán Plasmodium knowlesi bằng kỹ thuật sinh học phân tử
Các kỹ thuật sinh học phân tử như PCR hoặc nested PCR và một số kỹ thuật miễn dịch phân tử khác đang được ứng dụng tại các la bô hiện đại để chẩn đoán và nghiên cứu về các loài ký sinh trùng sốt rét, các biến thể, tính đa dạng về kháng nguyên, trong đó có phân tích loài P. knowlesi. Các kỹ thuật này vừa giúp chẩn đoán xác định loài, vừa giúp nghiên cứu sâu về dịch tễ học phân tử, vừa làm sáng tỏ các khía cạnh khác cho loài ký sinh trùng sốt rét mới này ở người, ngay cả vấn đề nhạy, kháng thuốc chống sốt rét sau này.
Các phương pháp phân tử hiện đang sẵn có tại một số la bô lâm sàng và thử nghiệm “real-time” nhanh (chẳng hạn QT-NASBA dựa trên phản ứng PCR) đang triển khai, hy vọng có thể triển khai tại các vùng lưu hành bệnh. PCR (và các phương pháp phân tử khác) có đọ chính xác hơn kính hiển vi. Tuy nhiên, chúng đắt tiền và đòi hỏi các la bô đặc biệt. Ngoài ra, vì mật độ KSTSR không phải lúc nào cũng tương quan với diễn tiến của bệnh, đặc biệt khi KSTSR dính vào thành mạch máu. Do đó, các công cụ chẩn đoán nhạy hơn nhưng không phải “hi-tech” là cần thiết để vận dụng để phát hiện KSTSR mật độ thấp rất tốt khi tiến hành tại thực địa.
Biểu hiện lâm sàng của sốt rét do Plasmodium knowlesi
Hai mô hình được đề nghị có thể lan truyền bệnh sang người được đưa ra: hoặc là từ một con khỉ bị nhiễm sang người, hoặc là từ người sang người.
Các triệu chứng điển hình bắt đầu sau 11 ngày kể từ khi nhiễm ký sinh trùng và do đó ký sinh tùng có thể phát hiện được trong máu khoảng từ ngày thứ 10 - 12. KSTSR nhân lên nhanh chóng và mật độ vì thế sẽ đạt rất cao chỉ trong thời gian ngắn, thậm chí có thể gây tử vong ngay. Mặc dù nhiễm loại ký sinh trùng Plasmodium knowlesi với tỷ lệ tương đối thấp, nhưng nếu một nguy cơ do chẩn đoán đoán nhầm với một thể khác của KSTSR, nhất là loài P. malariae khi soi dưới kính hiển vi. Tuy nhiên, nếu nghi ngờ thì cần chẩn đoán loài P. knowlesi với P. malariae bằng kỹ thuật PCR sẽ cho kết quả chính xác hơn.
Các triệu chứng của sốt rét do P. knowlesi ở người gồm có nhức đầu, sốt, rét run và vả mồ hôi. Trong một điều tra và theo dõi của Singh và cộng sự (2004) cho thấy các triệu chứng biểu hiện trên 94 bệnh nhân nhiễm duy nhất loài P. knowlesi tại bệnh viện Kapit, Borneo. Các triệu chứng bao gồm sốt, rét run và rùng mình trên 100% bênh nhân, nhức đầu 32%, ho là 18%, nôn mửa 16%, buồn nôn 6%, đại tiện phân lỏng 4%. Chu kỳ thể vô tính của KSTSR ở người và các vật chủ tự nhiên như khỉ đuôi dài là khoảng 24 giờ. Do đó, bệnh có thể liên quan và gọi là sốt hàng ngày “quotidian malaria”, hòa hợp với sốt cách nhật, và sốt cứ 3 ngày một lần. Ngoài ra, một la bô chẩn đoán bằng PCR, thì sốt rét P. knowlesi cũng có thể hiện diện nếu đồng thời tăng C - reactive protein và có hiện tượng giảm tiểu cầu.
Loại ký sinh trùng này không sốt rét tái phát do không tìm thấy giai đoạn thể ngủ trong gan (trong giai đoạn ngoại hồng cầu). Trong khi nhiễm loại KSTSR này thường xem là không nghiêm trọng, nhưng có đe dọa tính mạng bệnh nhân, thậm chí tử vong trong một số trường hợp. Các biến chứng hay gặp nhất là suy hô hấp, rối loạn chức năng gan như vàng da, suy thận (hội chứng gan thận). Tỷ lệ tử vong một loạt ca khoảng 2%.
Cơ chế bệnh học
Một ca bệnh đã được mổ tử thi mô tả sốt rét do P. knowlesi. Bệnh nhân là một nam giới không được khỏe sau 10 ngày phơi nhiễm bệnh. Sau 4 ngày nữa anh ta cảm thấy khó chịu và nhập viện với chỉ số thông số máu có bạch cầu ái toan tăng cao, giảm tiểu cầu, giảm natri máu tăng ure máu, tăng kali, lactate dehydrogenase (LDH) và các men gan. Chẩn đoán ban đầu nghi ngờ là sốt Dengue nhưng sau đó loại bỏ. KSTSR được tìm thấy trên lam máu và sau đó xác định là P. knowlesi bằng kỹ thuật PCR. Giải phẩu tử thi cho thấy gan, lách lớn. Tổ chức não và nội tâm mạc có nhiều vết xuất huyết dạng chấm (petechial haemorrhages). Phổi có hình ảnh điển hình của một hội chứng suy hô hấp cấp, phẩu thuật còn cho thấy có sự kết vón / ẩn cư các hồng cầu nhiễm trong lòng vi huyết quản của não, tiểu não, tim, thận mà không có bằng chứng phản ứng viêm mạn tính trước đó trong não hoặc bất kỳ cơ quan nào đã phẩu tích. Lách và gan chứa nhiều hạt sắc tố pigment và macrophages cũng như các hồng cầu bị ký sinh. Thận có bằng chứng hoại tử ống thận cấp. Các tế bào nội mô trong nhu mô tim bị phù nề. Cắt các mảnh nhu mô não không tháy hiện tượng kết dính của ICAM-1 (intracellular adhesion molecule-1).
Toàn bộ hình ảnh giải phẩu tử thi rất giống với các trường hợp Plasmodium falciparum. Có những điểm rất quan trọng khác biệt như vắng mặt hội chứng hôn mê mặc dù có dấu xuất huyết dạng chấm (petechial haemorrhages) và ký sinh trùng ẩn cư trong nhu mô và vi huyết quản não.
Phác đồ điều trị sốt rét do Plasmodium knowlesi ở người
Điều trị và đạt kết quả các bệnh nhân ở Malaysia, thuốc điều trị chủ yếu đối với loài P. knowlesi là chloroquin và sau đó cho primaquin theo liệu trình chuẩn đã dùng cho đa số trường hợp, chỉ 2 ca dùng quinin đường tĩnh mạch với liều chuẩn. Kết quả sạch ký sinh trùng trong máu trung bình 2.4 ngày (dao động 1 – 5 ngày), số ngày nằm viện trung bình 3.3 ngày (1 – 7 ngày). Nhiều nghiên cứu khác cũng cho thấy ký sinh trùng sốt rét loại P.knowlesi cũng đáp ứng tốt với liệu pháp thuốc sốt rét loại chloroquine và primaquine.
Vì loài ký sinh trùng P. knowlesi chỉ cần 24 giờ đồng hồ là hoàn tất chu kỳ, nên nó sẽ nhân lên và đạt đến mật độ KSTSR rất cao trong một thời gian ngắn và điều đó có thể dẫn đến tử vong cho bệnh nhân. Vì lý do này, bệnh nhân cần thiết được khuyên phải chẩn đoán sớm và điều trị khẩn cấp. Với sốt rét do P. knowlesi, chúng đáp ứng và dung nạp tốt với các thuốc chloroquine và primaquine. Mọt điều cần lưu ý nữa là các đối tượng đi du lịch đến các nước Đông Nam Á khi mắc sốt rét phải được chăm sóc tích cực và cẩn trọng.
Trung gian truyền bệnh loài ký sinh trùng Plasmodium knowlesi
Nghiên cứu ban đầu của Wharton và Eyles (1961) cho biết trung gian truyền bệnh P. knowlesi từ khỉ cho người là An. hackeri (thuộc nhóm Luecosphyrus), nhưng sau đó người ta khám phá ra rằng An. hackeri không có ái tính với người và chủ yếu truyền bệnh sốt rét cho khỉ (Reid và Weitz., 1961). Một nghiên cứu tiếp theo của Wharton và cộng sự (1962) cho thấy An. latens (nhóm Leucosphyrus) chính là vector truyền bệnh chính loài KSTSR P. inui cho khỉ và P. knowlesi cho cả khỉ và người. An. latens có tập tính đốt người khi chạng vạng cho đến gần sáng và đỉnh điểm là nữa đêm. Loài muỗi này hoạt động chủ yếu trong rừng và bìa rừng nhưng có xu hướng vào nơi ở của người sống bìa rừng và trong rừng để tìm mồi đốt máu (I.Vithylingam., 2005). Kết quả nghiên cứu này cũng cho thấy rằng tỷ lệ nhiễm thoi trùng của An. latens là 0.7% ở bìa rừng và 1.4% trong rừng và chỉ số EIR (Entomological inoculation rate) là 11.98 ở bìa rừng và 14.10 ở trong rừng.
Về phân loại khoa học của trung gian truyền bệnh – muỗi An.latens do các tác giả cũng đã được ghi nhận và công nhận như sau: An.latens [Sallum và Peyton (Zulueta 1956, White 1983, Wilkerson 2005)] thì An.latens thuộc giới Animalia, ngành Arthropoda, ngành phụ Hexapoda, lớp Insecta, lớp phụ Pterygota, bộ Diptera, bộ phụ Nematocera, họ Culicidae, loài An. latens
Loài Anopheles nào là trung gian truyền bệnh Plasmodium knowlesi ở Việt Nam?
Theo tác giả Peter Van de Edel và cộng sự ở Việt Nam, trong số 95 ca sốt rét chẩn đoán theo hình thái học và PCR là P. malariae thì có 3 trường hợp được xác định là P. knowlesi qua giải trình tự tại các la bô hiện đại với các mẫu thu thập tại địa bàn tỉnh Ninh Thuận (1 trẻ em 2 tuổi, 1 trẻ 3 tuổi và một thanh niên 27 tuổi). Những bệnh nhân này đều không có triệu chứng lâm sàng bệnh sốt rét và họ sống, làm việc liên quan đến rừng. Như vậy phải chăng An. dirus hay một loài muỗi nào khác thuộc nhóm An. luecosphyrus có mặt ở khu vực miền Trung – Tây Nguyên có khả năng truyền P. knowlesi từ khỉ sang người ở Việt Nam?
Phân bố của ký sinh trùng sốt rét Plasmodium knowlesi
Dựa trên những nghiên cứu về đặc điểm dịch tễ của P. knowlesi và sự phân bố của nhóm Anopheles Luecosphyrus. Cho đến nay P.knowlesi, được xem là loài KSTSR thứ năm truyền bệnh ở người, chỉ lan turyền tại khu vực Đông Nam Á. Tuy nhiên do tình hình và trào lưu du lịch sinh thái đến các vùng Đông Nam Á có lưu hành sốt rét thì cũng có thể mang mầm bệnh về các quốc gia châu Âu.
Cảnh báo: một loài sốt rét mới có thể gây chết người
Các nhà nghiên cứu tại Malaysia mới đây đã xác định được loài Plasmodium knowlesi, một loài ký sinh trùng sốt rét trước đây chủ yếu được cho là chỉ gây bệnh đối với khỉ, cũng có thể gây bệnh cho người và có thể dẫn đến tử vong nếu không được điều trị kịp thời. Hiện nay, chủng ký sinh trùng gây bệnh mới này tập trung ở Đông Nam Á, nhưng những nhà nghiên cứu cảnh báo rằng các nước phương Tây cũng có thể sẽ sớm xuất hiện các ca bệnh do khách du lịch trở về từ các nước châu Á. P. knowlesi được xem là loài ký sinh trùng sốt rét thứ năm gây bệnh cho người.
Quan sát bằng kính hiển vi P. knowlesi rất dễ bị nhầm lẫn với P. malariae do có hình thể rất giống nhau, nhưng P. knowlesi có chu kỳ phát triển nhanh, chỉ 24 giờ do đó khả năng gây tử vong cao. Xét nghiệm trên 150 bệnh nhân sốt rét có lam máu dương tính với các loài KSTSR tại bệnh viện Kapit ở Borneo, Malaysia từ tháng 07. 2006 đến tháng 01.2008, bằng kỹ thuật sinh học phân tử đã xác định được ký sinh trùng P. knowlesi chiếm 2/3 số ký sinh trùng sốt rét, điều này cho thấy có sự phân bố rộng rãi của P. knowlesi ở Malaysia. Đã có 2 ca tử vong với các triệu chứng giống với sốt rét ác tính do P. falciparum, mặc dù hầu hết các ca bệnh có thể điều trị dễ dàng bằng chloroquine và primaquine, hai loại thuốc trị sốt rét thông thường hiện nay. Tất cả bệnh nhân nhiễm P. knowlesi đều có số lượng tiểu cầu thấp và thấp hơn so với các trường hợp nhiễm các loại KSTSR khác. Những nhà nghiên cứu cho rằng có thể sử dụng chỉ số tiểu cầu trong máu thấp để làm yếu tố bổ sung chẩn đoán bệnh sốt rét do P. knowlesi.
Plasmodium knowlesi tại Viêt Nam
Một báo cáo nghiên cứu vừa được công bố trên tạp chí Malaria Journal tháng 10.2009 đã xác nhận sự có mặt của P. knowlesi tại Việt Nam. Trong một nghiên cứu về hiệu quả của võng tẩm hóa chất có tác dụng kéo dài tiến hành tại một vùng đồi và rừng rậm của tinh Ninh Thuận từ năm 2004 đến 2006, các đối tượng có sốt được điều tra cắt ngang và phát hiện thụ động tại trạm y tế các xã của tỉnh Ninh thuận. Trong số 210 trường hợp P. malariae, nhiễm đơn thuần hay phối hợp, phát hiện qua nested PCR đặc hiệu với loài, các đợt điều tra cắt ngang vào tháng 12.2004 với khoảng hơn 4.000 đối tượng được chọn ngẫu nhiên, có 95 ca được chọn ngẫu nhiên để sàng lọc tìm P. knowlesi. Trong 95 trường hợp, có 41 ca P. malariae đơn thuần, 15 ca phối hợp với P. falciparum, 15 ca phối hợp với P. vivax, 5 ca phối hợp với P. ovale, 10 ca phối hợp P. falciparum và P. vivax, 8 ca phối hợp P. vivax và P. ovale và 1 ca có cả 4 loài KSTSR.
Qua kỹ thuật nested PCR thực hiện lần đầu có 5 trường hợp dương tính với P. knowlesi. Lặp lại PCR lần thứ hai (lồng) thì chỉ còn 3 ca P. knowlesi . Các ca này sau đó đã được xác nhận qua xác định trình tự (giải trình tự). Một trong 3 ca P. knowlesi này lại được xác định dương tính một năm sau (điều tra năm 2005). Các trình tự (có kích thước 153 bp) thu thập được từ người Việt Nam tương đồng với chủng Malaysia đến 97 - 99%. Bệnh nhân nhiếm P. knowlesi gồm có một bé trai 2 tuổi, một bé gái 3 tuổi và một thanh niên nam 27 tuổi. Qua soi kính hiển vi, bé gái có lam máu dương tính với P. falciparum và P. vivax, người thanh niên dương tính với P. vivax và bé trai thì không phát hiện thấy ký sinh trùng sốt rét. Trong kỹ thuật PCR đặc hiệu với loài thì bé gái 3 tuổi nhiễm phối hợp P. falciparum, P. vivax và P. malariae, bé trai 2 tuổi nhiễm phối hợp P. malariae và P. ovale, còn người thanh niên nam thì nhiễm phối hợp P. vivax và P. malariae. Cả 3 bệnh nhân đều thuộc cộng đồng dân tộc thiểu số Ragley, sống gần rừng và đều không có triệu chứng lâm sàng của bệnh sốt rét khi được điều tra.
Trong khu vực nghiên cứu có mặt các vector sốt rét Anopheles dirus sensu stricto, Anopheles minimus, Anopheles maculatus và Anopheles jeyporiensis. Vector Anopheles dirus ss thuộc nhóm Anopheles leucophyrus. Gần đây, một nghiên cứu khác đã phát hiện P. knowlesi trong một cá thể Anopheles dirus tại tỉnh Khánh Hòa giáp tỉnh Ninh Thuận, chứng tỏ P. knowlesi có thể được truyền bởi Anopheles dirus. Nghiên cứu này lần đầu tiên chứng minh trường hợp nhiễm tự nhiên P. knowlesi ở người tại vùng rừng đồi của một tỉnh ven biển miền Trung Việt Nam, có phối hợp với nhiễm P. malariae. Ngoài đóng góp trên, nghiên cứu này còn chứng minh tỷ lệ nhiễm P. malariae không thấp, các trường hợp nhiễm phối hợp cũng không ít như qua soi lam máu, một lần nữa xác nhận lại sự hiện diện của P. ovale tại Việt Nam, mà biện pháp soi trên kính hiển vi lam máu nhuộm Giemsa chưa phát hiện ra. P. knowlesi hiện nay được xem là loài KSTSR thứ năm gây bệnh cho người, ngoài P. falciparum, P. vivax, P. malariae, P. ovale. Kể từ khi trường hợp nhiễm P. knowlesi đầu tiên được ghi nhận năm 1965 ờ một nhân viên quân đội Mỹ trở về nước sau khi công tác tại quốc gia Đông Nam Á. Những năm sau đó ngày càng có nhiều báo cáo trường hợp nhiễm P. knowlesi xảy ra tại Malaysia, Myanmar, Philippines và Singapore.
P. knowlesi ký sinh ở khỉ đuôi dài (Macaca fascicularis và Macaca menestrina), sống ở khu vực rừng rậm các nước Đông Nam Á và ở khỉ Presbytis melalophos sống taị quần đào Sumatra, Indonesia. Loài P. knowlesi có chu kỳ phát triển trong hồng cầu 24 giờ, với cấu trúc gen rất gần với P. vivax và nhiều đặc điểm giống với hình thể của P. malariae. Có thể gây bệnh nặng và gây tử vong bệnh nhân. Vector truyền P. knowlesi thuộc muỗi An. leucophyrus như tại Malaysia là Anopheles latens và Anopheles cracens.
Nói tóm lại, sốt rét do Plasmodium knowlesi ở người hiện đang là vấn đề bệnh lây nhiễm hoặc bệnh nhiệt đới cần phải quan tâm, nghiên cứu vì nguy cơ lan rộng và nguy cơ đe dọa mạng sống của bệnh nhân tiềm tàng.
Tài liệu tham khảo
1.  !important; Phan Quận (2008)- Thêm một loại Ký sinh trùng thứ 5 gậy bệnh sốt rét ở người  !important;- Đăng trên website Đại học Y Dược Huế (www.huemed-univ.edu)
2. Hồ Đắc Thoàn ( 2009)- Một vài thông tin liên quan đến loài ký sinh trùng sốt rét thứ 5 gây bệnh ở người: Plasmodium knowlesi-Đăng trên website Viện sốt rét-ký sinh trùng-côn trùng Quy Nhơn (www.impe-qn.org.vn)
3. Bronner U., Divis P.C., Farnert A., Singh B. (2009). Swedish traveller with Plasmodium knowlesi malaria after visiting Malaysian Borneo. Malar J. 8: 15, PMID 19146706, Full text at PMC: 2634766, doi:10.1186/1475-2875-8-15.
4.Chin W, Contacos PG, Collins WE, Jeter MH, Alpert E. Experimental mosquito-transmission of Plasmodium knowlesi to man and monkey. Am J Trop Med Hyg 1968; 17: 355-358. MEDLINE
5.Cox-Singh J, Davis TM, Lee KS, Shamsul SS, Matusop A, Ratnam S, Rahman HA, Conway DJ, Singh B (2008). "Plasmodium knowlesi malaria in humans is widely distributed and potentially life threatening." Clin. Infect. Dis. 46(2): 165-171, PMID 18171245, Full text at PMC: 2533694, Template: DOI10.1086/524888.
6.Cogswell F.B. (1992). The hypnozoite and relapse in primate malaria. Clin. Microbiol. Rev 5(1): 26-35, PMID 1735093, Full text at PMC: 358221.
7.Cox-Singh J, Hiu J, Lucas SB, Divis PC, Zulkarnaen M, Chandran P, Wong KT, Adem P, Zaki SR, Singh B, Krishna S.(2010) Severe malaria - a case of fatal Plasmodium knowlesi infection with post-mortem findings: a case report. Malar J. 9(1):10
8.Daneshvar C., Davis T.M.E., Cox-Singh J., et al. (2009). "Clinical and Laboratory Features of Human Plasmodium knowlesi Infection." Clin Infect Dis 49(6): 852–860, doi:10.1086/605439
9.Escalante AA, Freeland DE, Collins WE, Lal AA. The evolution of primate malaria parasites based on the gene encoding cytochrome b from the linear mitochondrial genome. Proc Natl Acad Sci U S A. 1998; 95:8124–9..
10.Fong YL, Cadigan FC, Coatney GR. A presumptive case of naturally occurring Plasmodium knowlesi malaria in man in Malaysia. Trans R Soc Trop Med Hyg. 1971;65:839 – 40.
11.MMWR Weekly. Simian malaria in a U.S traveler -New York, 2008. March 13, 2009/58(09):229-232.
12.Mendis K, Sina B, Marchesini P, Carter R (2001). "The neglected burden of Plasmodium vivax malaria.". Am J Trop Med Hyg 64 (1-2 Suppl): 97-106. PMID 11425182.
13.Singh B et al (2004). A large focus of naturally acquired Plasmodium knowlesi infections in human beings. Lancet 2004;363:1017-102.
14.Janet Cox-Singh, Timothy M.E. Davis, Kim-Sung Lee et al (2008). Plasmodium knowlesi Malaria in Humans Is Widely Distributed and Potentially Life Threatening. Clinical Infectious Diseases 2008:46;165-711.
15.Somchai Jonwutiwes, Chaturong Putaporntip, Takuya Iwasaki, Tetsutaro Sata, and Hiroji Kanbara (2004). Naturally acquired Plasmodium knowlesi malaria in human, Thailand. Emerging Infectious Diseases, Vol.10,No.12, November 2004
16.Somchai Jongwutiwes, Chaturong Putaporntip, Takuya Iwasaki, Tetsutaro Sata, and Hiroji Kanbara (2004). Emerging Infectious Diseases. Vol. 10, No. 12, Dec. 2004
17.Waters AP, Higgins DG, McCutchan TF. Evolutionary relatedness of some primate models of Plasmodium. Mol Biol Evol. 1993;10:914–23.
18.White N.J. (2008). Plasmodium knowlesi: The fifth Human Malaria Parasite. CID 2008:46
19.Wolfe ND, Escalante AA, Karesh WB, Kilbourn A, Spielman A, Lal AA. Wild primate populations in emerging infectious disease research: the missing link? Emerg Infect Dis. 1998;4:149–58.
20.Yap FL, Cadigan FC, Coatney GR. (1971). "A presumptive case of naturally occurring Plasmodium knowlesi malaria in man in Malaysia". Trans R Soc Trop Med Hyg 65 (6): 839–40.
21.Singh B, Lee KS, Matusop A, Radhakrishnan A, Shamsul SSG, Cox-Singh J, Thomas A, Conway DJ (2004). "A large focus of naturally acquired Plasmodium knowlesi infections in human beings". Lancet 363: 1017–24.
22.Jongwutiwes S, Putaporntip C, Iwasaki T, Sata T, Kanbara H. (2004). "Naturally acquired Plasmodium knowlesi malaria in human, Thailand". Emerg Infect Dis 10 (12): 2211–3.
23.Vythilingam I, Tan CH, Asmad M, Chan ST, Lee KS, Singh B. (2006). "Natural transmission of Plasmodium knowlesi to humans by Anopheles latens in Sarawak, Malaysia". Trans R Soc Trop Med Hyg 100: 1087–88.
24.Wharton RH, Eyles DE. (1961). "Anopheles hackeri, a vector of Plasmodium knowlesi in Malaysia". Science 134: 279–80.
25."Plasmodium knowlesi Malaria in Humans Is Widely Distributed and Potentially Life Threatening". Clinical Infectious Diseases (University of Chicago Press/Infectious Diseases Society of America) 46: 165—171.
26.Plasmodium knowlesi: The Fifth Human Malaria Parasite – N.J.White, Center for Vaccinologyand Tropical Medicine, Oxford, UK (Editorial Commentary).
27.Is a monkey malaria from Borneo an emerging human disease? Thomas F McCutChan. National Allergy and Infectious Diseases, USA (Editorial).
28.Peter Van de Eede1, Hong Nguyen Van, Chantal Van Overmeir, Indra Vythilingam, Thang Ngo Duc, Hung Le Xuan, Hung Nguyen Manh, Umberto D'alseeandro, Annette Erhart. First report on human P. knowlesi infections in Vietnam.
29.Jongwutiwes S, Putaporntip C, Iwasaki T, Sata T, Kanbara H. (2004). "Naturally acquired Plasmodium knowlesi malaria in human, Thailand". Emerg. Infect. Dis 10 (12): 2211–3. PMID 15663864.
30.McCutchan TF, Piper RC, Makler MT (2008). "Use of malaria rapid diagnostic test to identify Plasmodium knowlesi infection." Emerg Infect Dis 14(11): 1750-1752, PMID 18976561, Full text at PMC: 2630758.
31.Singh B, Lee KS, Matusop A, Radhakrishnan A, Shamsul SSG, Cox-Singh J, Thomas A, Conway DJ (2004). "A large focus of naturally acquired Plasmodium knowlesi infections in human beings". Lancet 363 (9414): 1017–24. doi:10.1016/S0140-6736(04)15836-4.
32.Haynes JD, Dalton JP, Klotz FW, McGinniss MH, Hadley TJ, Hudson DE, Miller LH (1988). "Receptor-like specificity of a Plasmodium knowlesi malarial protein that binds to duffy antigen ligands on erythrocytes." J Exp Med 167(6): 1873-1881, PMID 2838562, Full text at PMC: 2189679.
33.Vythilingam I, Noorazian YM, Huat TC, Jiram AI, Yusri YM, Azahari AH, Norparina I, Noorrain A, Lokmanhakim S (2008). "Plasmodium knowlesi in humans, macaques and mosquitoes in peninsular malaysia." Parasit Vectors 1(1): 26, PMID 18710577, Full text at PMC: 2531168, doi:10.1186/1756-3305-1-26.
34.Lee K.S., Cox-Singh J., Brooke G., Matusop A., Singh B (2009). "Plasmodium knowlesi from archival blood films: Further evidence that human infections are widely distributed and not newly emergent in Malaysian Borneo." Int J Parasitol, doi:10.1016/j.ijpara.2009.03.003
35.Manson-Bahr PEC, Bell DR, eds. (1987). Manson's Tropical Diseases. London: Bailliere Tindall, ISBN 0702011878.
36.Ng O.T., Ooi E.E., Lee C.C., Lee P.J., Ng L.C., Pei S.W., Tu T.M., Loh J.P., Leo Y.S. (2008) Naturally acquired human Plasmodium knowlesi infection, Singapore. Emerg. Infect. Dis. 14(5): 814-816, PMID 18439370, Full text at PMC: 2600232
37.Yap FL, Cadigan FC, Coatney GR. (1971). "A presumptive case of naturally occurring Plasmodium knowlesi malaria in man in Malaysia". Trans R Soc Trop Med Hyg 65 (6): 839–40. doi:10.1016/0035-9203(71)90103-9. PMID 5003320.
38.Wharton RH, Eyles DE. (1961). "Anopheles hackeri, a vector of Plasmodium knowlesi in Malaya". Science 134: 279–80. doi:10.1126/science.134.3474.279. PMID 13784726.
39.Vythilingam I, Tan CH, Asmad M, Chan ST, Lee KS, Singh B. (2006). "Natural transmission of Plasmodium knowlesi to humans by Anopheles latens in Sarawak, Malaysia". Trans R Soc Trop Med Hyg 100: 1087–88. doi:10.1016/j.trstmh.2006.02.006.
40.Krotoski W.A., Collins W.E. (1982). Failure to detect hypnozoites in hepatic tissue containing exoerythrocytic schizonts of Plasmodium knowlesi. Am. J. Trop. Med. Hyg. 31(4): 854-856, PMID 7048949.
41.Chin W, Contacos PG, Coatney RG, Kimbal HR. (1965). "A naturally acquired quotidian-type malaria in man transferable to monkeys". Science 149: 865. doi:10.1126/science.149.3686.865. PMID 14332847.
42.Coatney GR, Collins WE, Warren M, Contacos PG. The primate malarias [original book published 1971] [CD-ROM]. Version 1.0. Atlanta: Centers for Disease Control and Prevention; 2003.