Nguyen Thi Thuy Ngan- giolangthang07@yahoo.com.vn - TPHCM
Hỏi:Tôi có người em trai, năm nay 26 tuổi. Em của tôi có những triệu chứng bệnh như sau: Người gầy ốm chỉ còn thấy da bọc xương. Ăn rất nhiều, nhưng chỉ được 1 lát lại nôn ra. Cứ như thế lại ăn vào. Đã đi khám ở nhiều nơi, siêu âm, nội soi, xét nghiệm nhưng vẫn không tìm ra bệnh. Xin hỏi đó có phải là những triệu chứng của nhiễm sán hoặc sên không? Nếu có, cần làm thêm xét nghiệm gì và nơi chữa trị.
Trả lời: xin cảm ơn về câu hỏi của bạn và chúng tôi cũng muốn chia sẻ nỗi lo lắng của bạn và em trai bạn. Với các triệu chứng của em bạn, theo chúng tôi có thể em dang bị một hội chứng tiêu hóa liên quan đến dạ dày ruột (như hẹp môn vị chẳng hạn), nhưng là bệnh lý cụ thể gì, tất nhiên chúng ta phải đưa em đi khám một nơi chuyên khoa tiêu hóa như BV Chợ Rẫy, thành phố Hồ Chí Minh, BV Hoàn Mỹ, BV Nguyễn Tri Phương, BV Đại học y dược thành phố Hồ Chí Minh (vì địa chỉ bạn đang ở TP. Hồ Chí Minh).
Vì các triệu chứng như thế rất chung chung, không điển hình cho một bệnh lý gì cụ thể, do vậy việc tàm soát và xác định nguyên nhân là cần thiết vào lúc này. Lẽ tất nhiên, bạn cũng nên cho em bạn làm thêm các xét nghiệm liên quan đến giun sán để củng cố thêm chẩn đoán một cách cụ thể. Nếu các triệu chứng ăn vào một lát lại nôn ra liên tiếp xảy ra như thế thì xem chứng lúc đó chỉ còn xương mà không thấy da đó.
Hy vọng bạn mau chóng đưa em bạn vào cơ sở điều trị để khám và xử trí nếu không sức khỏe ngày càng giảm sút. Thân chúc bạn và gia đình luôn khỏe!
le thao- toivanvay220@yahoo.com- Quy Nhon
Hỏi :Ngay 06/06/2011 em co xet nghiem tai Vien Sot ret & KST Quy Nhon co ket qua la bi giun dua cho Toxocara 1/1600, Bac si cho don thuoc: Euroaba 42v; Glora 40v; Magne B6 40v; Pondil 40v; Philoyvitan 40v. Cho em hoi la em dag co ke hoach mang thai, vay em uong thuoc nay co anh huong gi ko? hoac uong xong bao lau thi co the mang thai duoc? Cac xet nghiem deu binh thuong. Em dang rat mong co em be, vay mong cac Bac si giai dap som dum em voi nhe! e rat cam on!
Trả lời: Cảm ơn bạn về câu hỏi mà rất nhiều chi em phụ nữ trong độ tuổi sinh đẻ đang mong có con trong khi bị bất cứ một bệnh gì đó mà đang dùng thuốc thì lại băn khoăn trong chọn lựa. Liên quan đến câu hỏi của bạn về bệnh giun đũa chó (Toxocariasis), em đã và đang dùng đơn thuốc trên theo chúng tôi là phù hợp rồi.
Với các thuốc trong đơn đó, do có liên quan đến tồn lưu thuốc trong máu và tích lũy thuốc cũng như các chất chuyển hóa trong môn một thời gian dài. Do đó, để bạn mang thai an toàn cho cả mẹ và em bé, chúng tôi khuyên sau khi hết thuốc khoảng 30 ngày thì bạn có thể mang thai được rồi.
Chúc bạn sớm có em bé và khỏe mạnh!
Cuong-motdoatinhkhoi_17889@yahoo.com- khanh son_khanh hoa
Hỏi:Da, cho em hoi quy trinh goi lam kiem tra tu tuyen xa len tuyen huyen va tuyen tinh nhu em duoc biet xa goi cho huyen 100% lam duong va 5% lam am. Vay khi doi y te du phong huyen nhan so lam nay co soi kiem tra lai truoc khi goi cho trung tam y te du phong tinh khong? Cach goi lam nay co thong nhat giua cac tinh khong? Em xin cam on!
Trả lời: Liên quan đến câu hỏi của bạn, chúng tôi xin chuyển câu hỏi này đến một cán bộ của Viện phụ trách mảng này để bạn nhận được câu trả lời thấu đáo nhất, bạn sẽ liên hệ trực tiếp với TS. Hồ Văn Hoàng (phó viện trưởng và trưởng khoa dịch tễ của Viện Sốt rét KST-CT Quy Nhơn với số điện thoại di đông là 0914004629) để bạn liên hệ và hỏi trực tiếp vấn đề bạn đang quan tâm nhé. Thân chúc bạn khỏe và sớm nhận được hồi âm từ Tiến sĩ Hồ Văn Hoàng.
Phạm Văn Hùng- phamvanhung059@yahoo.com- Công ty TNHHMTV cao su chư Prông - huyện Chư Prông - Gia Lai
Hỏi:Chào ban biên tập. Tôi đi khám tại viện KST Quy Nhơn, qua kết quả kiểm tra bị nhiễm giun đầu gai, hiện tại đang uống thuốc nhưng thấy rất đau đầu. Có phải tác dụng của thuốc. Cho tôi hỏi nguyên nhân như thế nào. Xin cảm ơn ban biên tập!
Trả lời: Chúng tôi rất cảm ơn bạn đã đặt câu hỏi cho bạn về một bệnh giun rất thời sự và dễ gây nên các biến chứng da cơ quan, đặc biệt liên quan đến biến chứng trên hệ thần kinh trung ương. Riêng bản thân bệnh giun đầu gai trong một số thể bệnh cũng đã gây đau đầu và đau đầu là một trong những triệu chứng cần quan tâm đối với bệnh. Trước khi uống thuốc nếu có triệu chứng đau đầu thì bạn có thể quy kết cho nó là triệu chứng của bệnh, sau khi dùng thuốc hoặc trong thời gian dùng thuốc mà xuất hiện triệu chứng nhức đầu thì có thể hoặc là do bệnh tác động hoặc do thuốc tác động với các tác dụng phụ từ albendazole, hoặc từ thiabendazole,…Mặt khác, bạn có đặt câu hỏi nguyên nhân như thế nào, chúng tôi xin trả lời chi tiết cho bạn như sau:
Bệnh do ấu trùng giun đầu gai (Gnathostomiasis) là một bệnh truyền từ động vật sang con người do nhiễm phải ấu trùng giai đoạn 3 của Gnathostoma spp. thông qua đường thực phẩm. Hầu hết các triệu chứng nặng có liên quan đến thể bệnh thần kinh trung ương của loài giun này và thường gọi là “neurognathostomiasis”. Mặc dù bệnh lưu hành ở châu Á và châu Mỹ Latinh, song hầu hết những trường hợp bệnh ấu trùng giun đầu gai thể thần kinh (GĐGTTK) lại báo cáo từ Thái Lan. Dù tỷ lệ mắc bệnh và tử vong cao, song GĐGTTK lại chưa được lưu ý so với bệnh này ở thể da niêm mạc, điều này có thể vì GĐGTTK đối trên một quốc gia báo cáo rất ít. Tuy nhiên, gần đây bệnh được báo cáo nhiều trên những người châu Âu đi du lịch trở về từ các quốc gia lưu hành bệnh. Nhân đây, chúng tôi tổng hợp y văn về bệnh lý GĐGTTK và phân tích về mặt dịch tễ học cũng như phân bố địa lý, phương thức xâm nhập vào hệ thần kinh trung ương (TKTƯ), sinh lý bệnh, đặc điểm lâm sàng, dữ liệu hình ảnh chẩn đoán thần kinh và các lựa chọn điều trị. dựa trên nền dữ liệu dịch tễ học, triệu chứng lâm sàng, chẩn đoán hình ảnh và các thông số cận lâm sàng, chúng tôi đưa ra đề nghị tiêu chuẩn chẩn đoán bệnh GĐGTTK.
Nhiễm ký sinh trùng (KST) qua đường thực phẩm thường gặp ở các quốc gia vùng nhiệt đới - nơi có bệnh lý lưu hành và thói quen ăn các thịt, cá nước ngọt còn sống hoặc nấu chưa chín, nhất là quần thể dân địa phương. Trào lưu du lịch quốc tế đến các vùng lưu hành bệnh và sự di dân từ vùng nhiệt đới đến nơi khác dẫn đến việc xuất hiện các bệnh lý này tại các vùng ôn đới vốn dĩ hiếm khi gặp bệnh và do đó, các thầy thuốc lâm sàng hiếm khi nghĩ đến để đặt ra chẩn đoán phân biệt. Bệnh giun đầu gai do ăn phải ấu trùng giai đoạn 3 của Gnathostoma spp. Đến này, có ít nhất 13 loài giun đầu gai được xác định, với 5 loài ghi nhận gây bệnh ở người. Loài G. spinigerum là loài hay gặp nhất tại châu Á. Nhiễm trùng ở người với G. hispidum, G. doloresi và G. nipponicum được tìm thấy chỉ ở Nhật Bản. Tại châu Mỹ, loài G. binucleatum được chứng minh là tác nhân gây bệnh duy nhất ở người. Người nhiễm phải các ấu trùng do ăn sống hoặc thức ăn nấu chưa chín từ cá nước ngọt, gà và ếch. Người là vật chủ tình cờ không thích hợp để giun phát triển đến giai đoạn trưởng thành, do vậy bệnh lý thường do ấu trùng di chuyển.
Bệnh do ấu trùng giun đầu gai có thể chia thành nhiều thể: da, phủ tạng và mắt lệ thuộc vào vị trí di chuyển của ấu trùng và các triệu chứng và hội chứng tiếp sau. Đặc điểm lâm sàng hay được đề cập đến nhiều nhất là ở thể da niêm mạc, đặc trưng bởi các hình ảnh vết sưng phồng di chuyển, từng đợt và thường liên quan đến đau, ngứa và ban đỏ tại chỗ di chuyển. Liên quan đến thể tạng có thể là bất kỳ cơ quan và phần nào trong cơ thể. Lâm sàng nghiêm trọng nhất của thể tạng chính là thể thần kinh trung ương, còn gọi là GĐGTTK và phần lớn số ca báo cáo thể này do loài G. spinigerum.
Chúng tôi ghi nhận tổng số 24 báo cáo trên y văn với 248 bệnh nhân bị GĐGTTK và tiến hành tổng hợp về dịch tễ học, khía cạnh lâm sàng, con đường xâm nhập vào hệ thần kinh trung ương, sinh lý bệnh, dữ liệu chẩn đoán hình ảnh trên hệ thần kinh và các liệu pháp điều trị. Ca bệnh đầu tiên viêm não màng não do nhiễm G.spinigerum được báo cáo bởi Daensvang vào năm 1949. Sau 18 năm, tác giả Chitanondhvà Rosen trình bày bằng chứng xâm nhập vào hệ TKTƯ của ấu trùng G. spinigerum từ các kết quả giả phẩu tử thi của một phụ nữ Thái Lan. 34 tuổi. Trong nghiên cứu tử thiết của họ, Boongird và cộng sự đã mô tả ra triệu chứng lâm sàng của GĐGTTK, điều này đã hỗ trợ rất nhiều cho các nghiên cứu tiến cứu và hồi cứu sau này. Với sự tiến bộ của các kỹ thuật chẩn đoán hình ảnh hiện đại và phân giải cao đã cho thấy các đường đi của ấu trùng Gnathostoma spp. di chuyển trong bệnh GĐGTTK.
Hầu hết (241/248) ca được xác định GĐGTTK trong y văn là từ Thái Lan. Trong đó, 2 bệnh nhân nhiễm ở Lào, 1 ở Nhật Bản, 1 ở Myanmar và 2 ở Hàn Quốc. Một bênh nhân có đi du lịch đến Đông Nam Á và Nhật Bản, vì thế nguồn dịch tễ nhiễm của trường hợp này không thể xác định. Thời gian ủ bệnh của bệnh GĐGTTK có thể dài đến 10 năm vì sự tồ tại kéo dài của ấu trùng trong các mô mềm trước khi xâm nhập vào hệ TKTƯ, điều này có nghĩa rằng chúng có thể xảy ra trên những người dân di biến động trong một quốc gia mà không có lưu hành bệnh này. Tất cả bệnh nhân báo cáo ở đây đều nhiễm loại G. spinigerum. Cho dù bệnh giun đầu gai ngày càng phát hiện nhiều ở ngoài châu Á, đặc biệt ở Mexico, nhưng không thấy có báo cáo ca bệnh tại các vùng khác. Sự xuất hiện của các loài Gnathostomakhác ở châu Mỹ Latinh, có tên là G. binucleatum sẽ là nguyên nhân cho giải thích hiện tượng này.
Gnathostoma spp.là một loại ký sinh trùng có tính xâm nhập cao. Sau khi ăn phải, ấu trùng giai đoạn 3 xuyên qua thành niêm mạc của hệ tiêu hóa. Ấu trùng có thể đi vào trong hệ TKTU bằng cách xâm nhập trực tiếp qua các mô liên kết mềm lỏng lẻo của các lỗ thần kinh trên nền sọ dọc theo các dây thần kinh sọ não và mạch máu hoặc thông qua các lỗ giữa các đốt sống dọc theo thần kinh tủy sống và mạch máu. Ấu trùng bị ly giải một lượng lớn phân tử vào trong môi trường xung quanh để hỗ trợ cho sự xuyên và xâm nhập của ấu trùng. Proteases là loại phân tử quan trọng trong số các sản phẩm tiết (excretor-secretory products), cả về số lượng lẫn chất lượng. Trong sốGnathostoma spp.,thành phần metalloproteinases cơ chất đóng một vai trò quan trọng cho quá trình xâm nhập vào mô vật chủ.
Gnathostoma spp. điển hình đi vào tủy sống song theo các sợi rễ thần kinh, gây nên tình trạng viêm rễ tủy thần kinh. Tiếp đó ấu trùng có thể đi lên tủy sống và đến não. Hành trình này có thể mất vài nằm và đã được minh chứng trên một bệnh nhân người Thái thông qua chụp ảnh liên tục. Chiều dài di chuyển của ấu trùng trung bình 3.0mm, khi di chuyển ấu trùng đến TKTU, sẽ gây ra các tổn thương cơ học trực tiếp vì chúng xé rách các mô thần kinh. Dấu hiệu vàng của bệnh lý GĐGTTK là bằng chứng nhiều vệt xuất huyết; các vết này đã được nhìn thấy khắp đoạn tủy sống và mô não qua phân tích giải phẩu tử thi, cũng như qua hình ảnh chụp thần kinh. Xuất huyết dưới nhện có thể là hậu quả của ấu trùng đào bới qua một tiểu động mạch não. Viêm màng não tăng bạch cầu ái toan do Gnathostoma spp. đặc trưng bởi xuát hiện hồng cầu trong dịch não tủy, điều này gợi ý có thương tổn cơ học do ấu trùng. Ngoài tổn thương về cấu trúc, đáp ứng viêm với sựu di chuyển ấu trùng góp phần thêm cho quá trình phá hủy nhu mô.
Đặc điểm lâm sàng liên quan đến hệ thần kinh
Với các đặc điểm này hy vọng bạn có thể so sánh với các triệu chứng mà bạn đang có.
Hội chứng lâm sàng chính của bệnh lý GĐGTTK là viêm tủy rễ thần kinh/ viêm não tủy rễ thần kinh (radiculomyelitis/ radiculomyeloencephalitis) viêm màng não/ viêm não màng não (meningitis/meningoencephalitis) và xuất huyết nội sọ hoặc xuất huyết dưới nhện. Mỗi hội chứng phản ánh lên một mô bị thương tổn do giun di chuyển. Vì ấu trùng di chuyển, nên cùng bệnh nhân có thể biểu hiện các hội chứng thần kinh khác nhau. Chẳng hạn, trong một bệnh nhân ở Lào, viêm não tủy tiến triển, theo sau bởi một tình trạng xuất huyết dưới nhện. Viêm màng não, xuất huyết dưới nhện và rồi các thương tổn trong nhu mô não tiếp theo sau trên một bệnh nhân ở đông bắc Thái Lan. Các triệu chứng thường gặp nhất được báo cáo gần như bởi mỗi bệnh nhân là đau: đau rễ thần kinh trong những ca có liên quan đến tủy sống (thường kéo dài 1-5 ngày) hoặc nhức đầu trong những ca viêm não màng não. Đặc điểm lâm sàng hay gặp nhất, bệnh lý tủy sống chiếm 55% các hội chứng lâm sàng.
Đặc điểm lâm sàng trên 248 bệnh nhân giun đầu gai thể thần kinh
Hội chứng | Đường xâm nhập vào hệ thần kinh (có thể) | Dấu chứng và triệu chứng lâm sàng | Số lượng (%) |
Viêm tủy rế/viêm tủy/viêm não tủy | Đi qua các lỗ giữa các đốt sống dọc theo thần kinh và mạch máu tủy sống | Đau rễ thần kinh đột ngột và hội chứng tủy sống (liệt 2 chân, liệt 1 chi, liệt 4 chi, rối loạn chức năng bàng quang, rối loạn cảm giác); có thể tiến triển đến não (viêm não tủy). | 140 (55) |
Viêm màng não/ viêm não màng não | Lỗ thần kinh của nền sọ dọc theo thần kinh và mạch máu sọ não | Đau đầu nghiêm trọng, cứng cổ, liệt TK sọ não, rối loạn ý thức, dấu TK định vị. | 77 (30) |
Xuất huyết nội sọ | Lỗ thần kinh hoặc lỗ giữa các đốt sống | Đau đầu, dấu thần kinh khu trú | 21 (8) |
Xuất huyết dưới nhện | Lỗ thần kinh hoặc lỗ ống sống | Đau đầu kinh khủng, dấu màng não | 16 (7) |
* Vì ấu trùng di chuyển, bênh nhân có thể có dấu chứng và triệu chứng liên tục; do vậy, tổng số triệu chứng lâm sàng vượt quá con số bệnh nhân báo cáo |
Bệnh lý tủy trong bệnh giun đầu gai đặc trưng bởi đau rễ theo sau bởi một dấu dị cảm hoặc liệt nhẹ cảm giác hướng lên của các chi dưới hoặc dị cảm cả tứ chi kèm theo rối loạn chức năng bàng quang. Một mức độ cảm giác cho tất cả phương thức gồm có rung và cảm nhận trong cơ thể hay gặp, thường định vị trong vùng ngực. Liên quan đến não và màng não, bệnh có đặc trưng bởi các dấu màng não và giảm ý thức. Liệt dây thần kinh thứ 6 là hay gặp nhất trong các dây thần kinh sọ não. Xuất huyết trong não được phát hiện khởi phát đột ngột mà không thấy dấu thần kinh định vị như liệt nhẹ ½ người hoặc yếu ½ người.
Bệnh lý thần kinh biệt lập (Isolated Neurologic Disease)
Đặc điểm lâm sàng hay gặp nhất của bệnh giun đầu gai là tình trạng sưng phồng dưới da di chuyển từng đợt. Tuy nhiên, một loạt ấn bản lớn nhất của bệnh lý GĐGTTK trên 162 bệnh nhân, chỉ có 11 (7%) có tiền sử tỏn thương dưới da niêm. Sưng phồng mắt một bên, một dấu điển hình khác của bệnh giun đầu gai, xảy ra trên 6 bênh nhân (4%). Boongird và cộng sự báo cáo chỉ có 3 bệnh nhân bị sưng phồng dưới da trong số 24 bệnh nhân có thể GĐGTTK; giun đầu gai thể da niêm phát triển trên tất cả bệnh nhân này sau khi khởi đầu triệu chứng của thần kinh.
Nghiên cứu phân tích về mặt dịch não tủy
Tăng bạch cầu ái toan là một dấu đặc trưng trong xét nghiệm cận lâm sàng. Tăng bạch cầu ái toan trong dịch não tủy bệnh nhân thường rõ, giá trị trung bình là 40% (n = 24) và 54% (n = 39) lần lượt trong nghiên cứu của Boongird và Schmutzhard cùng cộng sự. Trên 109 (67%) bệnh nhân báo cáo bởi Punyagupta, số lượng bạch cầu ái toan trong dịch não tủy là > 30%. Dịch não tủy được báo cáo như chuyển màu sắc vàng hoặc màu máu trên 134 bênh nhân (64% số ca đã được ấn bản. Lượng đường huyết thường chỉ giảm nhẹ nhưng báo cáo khoảng 11mg/dL (9% giá trị huyết tương) trên 1 bệnh nhân.
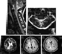
Đặc điểm chẩn đoán hình ảnh trên hệ thần kinh
Chẩn đoán hình ảnh về thần kinh trên 11 bệnh nhân có bệnh lý GĐGTTK được báo cáo trên y văn. Chụp CT sọ não, xuất huyết dưới nhện và xuất huyết nội sọ là các hình ảnh hay gặp. Trên một bệnh nhân phát hiện có xuất huyết dưới màng cứng. Dấu đặc trưng của bệnh lý giun đầu gai ở não trên phim chụp MRI là phát hiện vết xuất huyết (track). Dấu hiệu cộng hưởng từ của thương tổn xuất huyết thay đổi tùy theo các tổn thương thể cấp, bán cấp và mạn tính. Do đó, trên hình ảnh T1 và T2 cả giảm tỷ trọng và tăng tỷ trọng đều phát hiện. Không thấy di chứng gradient-echoT2 được báo cáo. Tuy nhiên, dấu hiệu này rất nhạy với các các khối máu tụ tại chỗ không đồng nhất và có thể trở thành một chuỗi tiếp nối trong đánh giá chẩn đoán hình ảnh của bệnh giun đầu gai thể não.
Sưng phồng tủy sống đa đoạn lan tỏa kèm theo tăng tỷ trọng T2 là hình ảnh hay gặp nhất trên chụp tủy sống. Tăng gadolinium của các thương tổn được báo cáo trong phim MRI chụp sọ não và tủy sống của 4 bệnh nhân như là hình ảnh nốt, sáng và đồng nhất.
Chẩn đoán miễn dịch
Phát hiện kháng thể trong huyết thanh là một thang đo quan trọng của chẩn đoán miễn dịch của bệnh giun đầu gai. Hai phương pháp được thiết lập cho lâm sàng thường quy: ELISA và Western blot sử dụng các kháng nguyên thô của Gnathostoma spp. từ chất tiết của ấu trùng lấy ra. Dải band ở vị trí 24-kD của xét nghiệm Western blot chỉ ra độ đặc hiệu gần 100% đối với bệnh giun đầu gai. Thực hành chẩn đoán huyết thanh hiện tại là dùng ELISA (chẳng hạn, multiple-dot ELISA) như là bước đầu tiên và xác định các kết quả lại bằng Western blot. Ít nhất 2 bệnh nhaanchuyeenr đảo huyết thanh trong quá trình bệnh lý thần kinh, điều này nhấn mạnh việc cần phải xét nghiệm lại huyết thanh trong những trường hợp lâm sàng nghi ngờ cao. Xét nghiệm huyết thanh có thể làm tại một số la bô, như tại Thái Lan (Bangkok, Khon Kaen), Nhật Bản (Miayzaki) và châu Âu (Basel, Thụy Sĩ) và tại Việt Nam (Quy Nhơn và TP. Hồ Chí Minh)
Bảng 2. Đặc điểm chẩn đoán hình ảnh trên thần kinh của bệnh giun đầu gai thể thần kinh
Vị trí | Phương thức chẩn đoán | Hình ảnh thần kinh |
Não bộ | CT | Nhu mô não (đơn điểm hoặc đa điểm) tăng tỷ trọng vùng dưới màng cứng hoặc dưới màng nhện tương ứng với xuất huyết trong não |
| MRI | Đa điểm (giống giun) tăng tỷ trọng T2 hoặc giảm tỷ trọng trong cả hai bán cầu não và tiểu não đường kính ≥ 3mm (vệt xuất huyết) có hoặc không có tăng thành phần gadolinium. |
Tủy sống | MRI | Dãn hoặc sưng phồng tủy sống kèm theo tăng tỷ trọng đa đoạn T2, thường tăng ngấm gadolinium (nhẹ đến trung bình) trên hình ảnh sau tiêm chất cản quang T1 |
* CT_CTomputed tomography; MRI: Magnetic Resonance Imaging |
Chẩn đoán phân biệt
Chẩn đoán phân biệt chính với bệnh lý GĐGTTK là bệnh nhiễm trùng do giun tròn Angiostrongylus cantonensis. Tuy nhiên, nhiễm trùng Angiostrongylus spp. thường biểu hiện bệnh lý viêm màng não tăng bạch cầu ái toan tự giới hạn và chỉ là nguyên nhân hiếm khi gây nên bệnh lý nghiêm trọng có liên quan đến tủy sống và não bộ. Về mặt chẩn đoán miễn dịch, xét nghiệm dương tính với kháng nguyên đặc hiệu chống lại 24-kDcủa G. spinigerumvà âm tính với dải band ở 29-kD và 31-kD trên phản ứng Immunoblot đối với kháng nguyên A. cantonensis sẽ giúp chúng ta chẩn đoán phân biệt Angiostrongylus spp. có giá trị cao. Các nguyên nhân ký sinh tùng khác gây bệnh ở hệ thần kinh trung ương, như ấu trùng sán dây lợn, ấu trùng giun đũa chó mèo, sán máng, baylisascariasis, hoặc bệnh sán lá phổi có thể phân biệt dựa vào phân bố địa lý, triệu chứng lâm sàng, hình ảnh học và xét nghiệm huyết thanh.
Với câu trả lời một cách chi tiết và dựa trên các bằng chứng y học trên, hy vọng bạn sẽ phần nào hiểu được căn bệnh giun sán đặc biệt và đang rất thời sự này.
Trần thoả họp- thoahop@gmiail.com- huyện krông păc tỉnh đăc lăk
Hỏi:Tôi đi tái khám tại bệnh viện sốt rét, KST-CT qui nhơn ngày 17/06/2011. số11008250 (18/06/2011 14:4') bác sĩ cho biết tôi bị gun đũa chó chưa khỏi và bác sĩ Nguyễn Duy Sơn kê đơn gồm: Hyaron400mg = 28 viên, Pondil150mg = 30 viên, Livertis25 mg = 30 viên, Neomum 100/1,5/10/60 = 30 viên. Mỗi loại uống 1 viên/lần vào sáng, tối . Tôi về đến nhà uống thuốc theo chỉ dẫn của bác sĩ nhưng sau khi uống thuốc xong khoảng 30 phút thì bị sốt (nóng, lạnh, buồn nôn, người mệt mỏi). Xin hỏi các bác sĩ hiện tượng như vậy có ảnh hưởng tới sức khoẻ không, có nên uống thuốc nữa không? Khi khám được bác sĩ cho biết nếu có vấn đề gì thì bệnh nhân điện thoạivới bác sĩ để được tư vấn nhưng tôi điện nhiều lần vào số điện thoại 0563.847723 nhưng không được trả lời. Vì tính mạng của con người xin các bác sĩ cho lời khuyên. Xin cảm ơn các bác sĩ.
Trả lời: Trước tiên chúng tôi xin thành thật xin lỗi bạn vì đã trả lời thư muộn. Với câu hỏi của bạn liên quan đến một bệnh và điều trị của một đơn thuốc do bác sĩ của Viện khám và kê toa, (bác sĩ Nguyễn Duy Sơn) để biết rõ và đưa ra các lời khuyên thích hợp cho bạn hiện tại, chúng tôi giới thiệu bạn số điện thoại di động của bác sĩ Sơn để trực tiếp liên hệ và nhờ tư vấn sẽ thấu đáo hơn, giúp phần nào lo lắng của bạn nhé!
Thạc sĩ, Bác sĩ Nguyễn Duy Sơn, số điện thoại di động là: 0983135249. Chúc bạn sớm gọi điện thoại và nhận được tư vấn của bác sĩ Nguyễn Duy Sơn càng sớm càng tốt.
Nguyễn Văn Mười- nguyenvanmuoidl@...- Đức Lợi, Mộ Đức - Quảng Ngãi
Hỏi: Bệnh ngứa nổi mày đay tôi đã chữa các nơi mà chưa bớt. Có khả năng côn trùng nào gây bệnh không ?
Trả lời: Liên quan đến câu hỏi ngắn của bạn, chúng tôi không biết là bạn đặt câu hỏi này mà trước đó bạn đã xét nghiệm những bệnh gì và điều trị trị với các chẩn đoán nào trước đó để chúng tôi còn khu trú cho bạn lời khuyên cụ thể. Như bạn đã biết, ngứa và mày đay không phải bệnh mà là chứng của một hội chứng bệnh hay bệnh nào đó, do vậy 2 triệu chứng này có thể xuất hiện do rất nhiều bệnh khác nhau, trong đó có nguyên nhân do côn trùng đốt nữa (chẳng hạn như muỗi, ruồi, ve, bét, mò mạt, kiến, bướm độc, …) cũng có thể gây cho bạn các cơn mày đay là có thể.
Nếu chưa làm xét nghiệm gì, bạn nên đi đến một đơn vị chuyên khoa về dị ứng và mày đay để làm các xét nghiệm tìm ra tác nhân gây bệnh càng sớm càng tốt (như bạn có thể đến Trung tâm hoặc Bệnh viện da liễu, Viện sốt rét KST - CT Quy Nhơn,….).
Chúc bạn mau chóng tìm ra nguyên nhân và chữa khỏi bệnh!
Nguyễn Hứa Hải, tigon1972@...., Vĩnh Điện, Quảng Nam, ĐT: 091265….
Hỏi: Xin các cán bộ trong ban biên tập của website Viện cho tôi hỏi làm thế nào để phòng tránh ngộ độc thực phẩm tốt nhất trong mọi tình huống ăn uống ở nhà, gia đình và nhà hàng. Vì hiện nay các thông tin đại chúng nêu lên quá nhiều vụ ngộ độc, thậm chí dẫn đến chết người tại các khu công nghiệp mà tôi lại đang làm trong khi công nghiệp nữa. Xin cảm ơn!
Trả lời: Liên quan đến câu hỏi của bạn là một vấn đề cần có sự hỗ trợ của các ngành chức năng và sự tham gia của cộng đồng, chứ không nhất thiết phải riêng ai. Thực chất vấn đề hàng ngày vẫn tiếp tục diễn ra các vụ ngộ độc lớn nhỏ tại các khu công nghiệp, nhà hàng tiệc cưới, đám cưới, đảm tiệc,…Vậy làm thế nào chúng ta hạn chế tối đa các vụ ngộ độc là một câu hỏi lớn đó. Ngộ độc thực phẩm nhẹ nhất cũng làm chúng ta khó chịu và nặng nhất có thể gây chết người. Các bạn cần phải ghi nhớ một số điều để tránh nguy cơ bị ngộ độc thực phẩm khi ăn ở nhà cũng như khi ăn tiệm. Dưới đây là các chỉ dẫn giúp cho bạn, gia đình bạn cùng các các bạn bè không bị đau ốm vì thức ăn.
Nguyên do tại đâu ngộ độc thực phẩm xẩy ra? Ngộ độc thực phẩm xẩy ra khi chúng ta ăn phải thức ăn hoặc uống phải nước đã bị nhiễm vi khuẩn, độc tố, siêu vi khuẩn, ký sinh trùng và/hoặc hóa chất. Thực ra, ngộ độc thực phẩm chính xác hơn chỉ áp dụng cho trường hợp ăn uống nhẩm phải các độc tố và hoá chất ; còn vi khuẩn, siêu vi khuẩn và ký sinh trùng là những nguồn nhiễm bệnh qua trung gian thực phẩm. Tuy nhiên, hầu hết mọi người khi nói vể ngộ độc thực phẩm đều bao gồm tất cả các nguồn ô nhiễm trên đây. Các triệu chứng ngộ độc thực phẩm gồm có: đau quặn dạ dày hay đau đ ớn, buồn nôn, nôn mửa, tiêu chảy, sốt, nhức đẩu, đau cồ họng, các triệu chứng giống càm cúm, thình lình thấy mệt mỏi, mất sức hoặc ngầy ngật, buồn ngủ
Khi nào thực phẫm có thể bị ô nhiễm? Thực phẫm có thể bị ô nhiễm do nhiều nguyên nhân từ khâu trồng trọt đến chế biến và đưa lên bàn ăn:
(i) Trổng trọt: các hóa chất, phân bón…đểu có tiềm năng làm ô nhiễm thực phẩm trong khi trồng. Đừng bao giờ nghĩ là một sản phẩm đã đươc rửa sạch trước khi đem ra khỏi nông trại;
(ii) Môi trường: các vi khuẩn, ký sinh trùng bay theo gió, lơ lửng trong nước, bám theo bụi và ẩn trong lòng đất. Chúng là một phẩn của mạng lưới sinh vật của thiên nhiên và sẽ luôn luôn là một nguồn nhiễm bệnh tiềm ẩn nếu không đươc giải quyết một cách thỏa đáng đúng theo nguyên tắc nhất quán của ngành vệ sinh thực phẩm;
(iii) Biến chế: dù là ở đâu, trong bếp hoặc tại công xưởng, biến chế thực phẩm là một nguổn ô nhiễm chính yếu. Các khu vực dành cho biến chế thực phẩm phải đươc giữ hết sức sạch sẽ. Nhiễm trùng dễ xẫy ra đặc biệt đối với các sản phẩm thịt (các vi khuẩn tư nhiên trong ruột các gia súc là một ngưổn nhiễm bệnh chính nếu không xử lý cẩn thân);
(iv) Tồn trữ: thực phẩm tổn trữ không đúng cách, chẳng hạn như đùi gà sống để gẩn một chùm nho có thể là một nguổn truyền vi khuẩn. Một thực phẩm nào đó có thể không phải là một nguồn ô nhiệm nhưng có thể bị lây ô nhiễm từ thực phẩm khác;
(v) Sửa soan: Thực phẩm bị ô nhiễm nhiểu trong giai đoan này. Một người đang bị bệnh mà sửa soạn thực phẩm có thể truyển mầm mống bệnh, từ bệnh cúm tới bệnh viêm dạ dày ruột. Một cái thớt vừa dùng để thái thịt không rửa sạch mà đã đem dùng ngay để xắt rau có thể gây ô nhiễm cho rau. Tay không rửa sạch, bàn bếp để dơ bẩn, sâu bọ và chuột... đều là những nguồn ô nhiểm tiềm ẩn
Làm sao phòng ngừa ô nhiễm? Tại nhà, việc tổn trữ và sửa soan thực phẩm là những lãnh vực quan trọng trong cố gẳng giảm thiểu rủi ro bị đau ốm vì ngộ độc thực phẩm. Khi ăn tiệm điểu chính yếu là bạn phải để ý đến tình trạng các món ăn và vệ sinh trong dịch vụ phục vụ khách hàng. Để làm rõ các khâu này, chúng ta xem các mục dưới đây:
SỬA SOẠN THỰC PHẨM | CẤT GIỮ VÀ LƯU TRỮ THỰC PHẨM |
1- Cẩn thận khi đi chợ Bạn nên cẩn thận khi lựa chọn thực phẩm và mang thực phẩm về nhà. Bạn cần coi “ ngày quá hạn” in trên sản phẩm, để thịt và thịt gà vịt trong những túi riêng, và đừng để thịt sống đụng vào các sản phẩm khác trong khi mua và mang về nhà. Giữ sức lạnh cho các thực phẩm ướp lạnh hay đông lạnh, bọc trong giấy báo hoặc mua một túi làm lạnh. Khi về tới nhà, bạn hãy nhanh chóng cất trữ các thực phẩm theo đúng cách.2- Luôn luôn rửa sạch tay trước và sau khi sửa soạn thực phẩm. Bạn hãy dùng nước nóng, có sà-bông. Các khăn lau bát đĩa và khăn lau tay phải luôn luôn sạch sẽ3- Giữ bếp cho sạch Bạn hãy dùng nước pha sà-bông nhẹ để rửa sạch bàn bếp, thớt và vật dụng 4- Dùng thớt riêng để thái thịt và thit gà vịt sống. Bạn hãy để riêng các thớt này để tránh lây nhiễm vi khuẩn từ thịt sang các thực phẩm khác. Nếu bạn không thể có những thớt riêng thì bạn cần phài rửa thiệt sạch thớt đa dụng với nước pha xà bông nóng rổi khử với dung dich thuốc tẩy pha loãng 5- Trữ các thực phẩm riêng rẽ Bạn luôn luôn nhớ đừng để thịt sống, trứng sống và thịt gà vịt sống chung với các thực phẩm đã nấu chín, các trái cây và rau tươi 6- Nấu kỹ các thực phẩm, đặc biệt là thit đỏ, thịt gà vịt và trứng. Nấu thật chín các thực phẩm này sẽ diệt hết các mầm mống bệnh nguy hiểm. Bạn hãy tham khào sách nấu ăn và dùng nhiệt kế đo thịt nếu bạn không biết chắc phải nấu bao lâu 7-Giữ thức ăn nóng ở độ nóng 65ºC và đồ ăn lạnh ở độ lạnh 4ºC. Bạn nhớ điều chỉnh nhiệt độ tủ lạnh ở ≤ 4ºC.8- Hâm nóng kỹ các đồ ăn dư trước khi ăn, các đồ ăn dư không hâm lại cho đủ nóng trước khi ăn có thể chứa những tác nhân gây bệnh. Ngoài ra đồ ăn dư đã hư như mất mầu, có mốc, thì dù có hâm nóng lại cũng không an toàn. Bạn đừng bao giơ hâm nóng lại đồ ăn dư lần thứ hai .Bạn đừng bao giờ làm đông lạnh lại một thực phẩm nếu chưa thay đổi tình trạng của thực phẩm ấy, như vậy có nghĩa là bạn có thể làm đông lạnh thực phẩm sống, sau rối lấy ra làm tan đá, đem nấu chín và sau khi nấu chín bạn có thề để trở lại vào máy đông lạnh cho tới khi ăn đem ra làm tan đá/ hâm nóng | 1- Tổn trữ thực phẩm theo nhu cẩu của từng loại Các thực phẩm khô như mì, gạo, lentil, đậu, các thực phẩm đóng hộp và ngũ cốc có thể tổn trữ ở những chỗ khô ráo và mát mẻ như tủ bếp hay tủ đựng thức ăn. Các thực phẩm khác thì phải cẩn thận hơn khi tổn trữ -Các thực phẩm đông lạnh phải để vào tủ đá ngay sau khi mua về -Thịt, thịt gà vịt, trứng, cá, thịt đã làm sẵn, các sản phẩm sữa phài luôn luôn để tủ lạnh -Nhiểu thực phẩm phải đươc để tủ lạnh hay tại một chỗ tối và mát mẻ như hẩm chứa hay tủ đựng đồ ăn một khi đã mở ra. Bạn nên đọc chỉ dẫn tổn trữ trên nhãn dán. -Tất cả các thực phẩm dù tồn trữ bằng cách nào cũng phải đươc tiêu dùng nhanh trước khi quá hạn. Ngay cả các chất gia vị và cây thảo khô cũng mất các đặc tính dinh dưỡng và hương vị nếu trữ quá lâu. Ngoài ra nhiều sản phẩm để quá hạn c ó thề nguy hại cho s ức khoẻ 2- Ngăn ngừa côn trùng , bọ chuột và chó mèo đụng vào thực phẩm 3- Hết sức cẫn thận khi khí hậu nóng bức Thực phẩm bị nhiễm khuẩn nhanh hơn khi trời nóng. Nếu ăn ngoài trời, thì mọi người nên ăn cho nhanh để trong vòng một tiếng sau có thể đem các thức ăn dư vào chỗ mát trong nhà. |
Một điểm khác cũng không kém phần quan trọng là vệ sinh khi ăn uống, phải thực hiện các bước như sau:
-Luôn luôn rửa tay sạch trước khi ăn. Nên dùng sữa và nước trái cây tiệt khuần. Nếu sản phẩm có tiệt khuẫn thì có ghi trên nhãn dán. Nếu không tiệt khuẩn thì nguổn gốc sản xuất sản phẩm phải có tín nhiệm;
-Ăn đồ ăn liền sau khi nấu như vậy các mẩm mống bệnh tât chưa kịp phát triển. Rửa và chùi sạch các thực phẩm sống. Trái cây và rau tươi trước khi ăn phải đươc rửa và chùi sạch hoặc bóc vỏ;
-Phải rất thận trọng khi ăn cá và thịt sống. Khi vào tiệm ăn tự chọn, ban không nên ăn sushi, nghêu sò sống hay những món ăn tưong tự nếu không biết rõ các món ăn ấy đã bầy trên bàn từ bao lâu mà không đươc ướp lạnh thích hợp. Nếu làm ở nhà các món này thì bạn phải chọn mua những thứ tươi nhất. và nên ăn ngay sau khi làm. Thịt tươi đây không có nghĩa là “thịt từ vật mới bị giết”, bỡi vì thit cá sushi đông lạnh an toàn hơn thit cá mới bị giết vì đông lạnh đã giết hết các bào tử phần tử sinh bệnh. Các món ăn dùng thịt sống rất khó làm vì phải thật sạch sẽ và đúng cách. Ngoài ra, thức ăn làm bằng thịt sống ăn còn dư nên bỏ;
-Đừng ăn nếu không yên tâm Chẳng hạn như bạn thấy thức ăn có gì khác lạ hay có mùi thì đừng nên ăn; Đừng nên ăn tôm cua sò hến sống. Thịt các loài này thuờng chứa nhiểu độc tố. Rủi ro bị viêm gan cao vì vậy nguy hiểm cho người nghiện rươu hay gan bị tổn thương. Nếu bạn muốn ăn loài này thì phải chọn mua những con còn sống tức là có vỏ khép kín hoặc khép lại khi bạn đập vào vỏ.
-Khi ăn tiệm bạn phải để ý tới một vài điều sau đây: tiệm trông phải sạch sẽ, với c ác loại thức ăn tự lưa chon bạn cần để ý xem thức ăn nóng có đủ nóng không, cơm phải mới không để ngoài quá lâu, sà làch phải tươi. Nên dè dặt với một vài loại dẩu dấm trộn xà lách, mayonnaise, hollandaise, bernaise và những nước xốt khác có trứng sống. Nếu ăn thấy khác lạ hoặc cảm thấy buồn nôn thì nên ngưng ngay.
Hy vọng với câu trả lời trên đã giúp bạn có thể phòng tránh được ngộ độc thực phẩm và vệ sinh an toàn thực phẩm một cách tốt nhất nhé.
Thân Thị Ái- cuty@yahoo.com- Thôn 12 xã EaTu .TPBMT
Hỏi: Mẹ tôi bị ngứa trên người toàn thân và mỗi lần ngứa như vậy, cứ gãi là nổi những đường đỏ hay nòng tròn rộng. Tôi kiểm tra trên mạng thí thấy dấu hiệu giống như là bị giun đầu chó .Vậy xin hỏi BS có đúng không? Xin hướng dẫn cách chữa trị?
Trả lời: Ngứa là một triệu chứng chứ không phải là bệnh, chúng có thể do nhiều nguyên nhân khác nhau gây nên chứng bệnh “ngứa” như bạn đề cập hiện xuất hiện trên da của mẹ bạn. Chúng tôi chỉ đưa ra cho bạn một số nguyên nhân dẫn đến mày đay, ngứa như do thức ăn (loại có thể gây dị ứng như sữa, trứng, cá biển, tôm cua, sò, ốc, phô mai, đồ hộp, các chất tạo màu thực phẩm, chất bảo quản thực phẩm), hoặc do thuốc (có thể xảy ra ngay sau khi dùng lần đầu hoặc từ 5-10 ngày sau. Nổi mày đay đơn thuần hay có kèm với sốt, đau khớp, nổi hạch), các thuốc thường gây dị ứng nổi mày đay là pennicillin,aspirine, thuốc hạ nhiệt, các chất cản quang có chứa iod, thuốc ức chế men chuyển, thuốc gây mê, huyết thanh, vaccin; hoặc do nọc độc của các loại côn trùng (ong, kiến, sâu), hoặc do kháng nguyên hô hấp (rơm rạ, phấn hoa, bụi nhà, lông vũ, men mốc); hoặc nhiễm các tác nhân gây nhiễm trùng (viêm gan siêu vi B, C, vi khuẩn ở tai, mũi, họng, ký sinh trùng đường ruột giun, sán, nấm Candida ở da, nội tạng, hoặc một số nguyên nhân khác.
Như bạn thấy đó, chúng tôi chỉ vừa cho bạn biết một số nguyên nhân và dị nguyên gây ngứa và mày đay. Để khẳng định ngứa này do nguyên nhân gì và cách điều trị ra sao, bạn nên đưa mẹ bạn đến các cơ sở y tế chuyên khoa như da liễu hoặc viện chúng tôi để được xét nghiệm, thăm khám cẩn thận và điều trị đẻ tránh các chẩn đoán và điều trị nhầm lẫn và chịu các tác dụng phụ của thuốc đáng tiếc là không nên.
Thân chúc bạn và gia đình khỏe mạnh!
Nguyễn Văn Đòan- doanbhxh2007@yahoo.com- 122/02 Y ngông tp Buôn Ma Thuột
Hỏi: Lời đầu tiên, em xin gửi lời chúc sức khỏe đến đội ngũ y, Bác sĩ Viện Sốt rét ký sinh trùng, Côn trùng Quy Nhơn. Em xin trình bày bệnh tình của em như sau: Cách đây 5 năm, tự nhiên trên người nổi mẩn ngứa toàn thân, khi gãi thì nó lan ra, sau đó vài ngày để lại vết thâm, em có đến BS da liễu theo dõi và điều trị, trong quá trình uống thuốc thì bệnh tình có giảm, hết thuốc lại bị lại, bẵng đi 1 thời gian thì tự nhiên hết nỗi mẫn ngứa, mặc dù không dùng đến thuốc. Từ dạo trong tết đến giờ, em bị nổi ngứa trở lại giống như hiện tuợng trước đây, uông thuốc tây cua BS da liễu thì đở, hết thuốc lại bị lại. Vậy cho em hỏi, trường hợp của em có nên đến Viện SR - KST - CT Quy Nhơn để kiểm tra xem có bị nhiễm sán lá gan không? để BS có phác đồ điều trị dứt điểm? ví nó rất hay tái phát. Xin chân thành cảm ơn!
Trả lời: Cảm ơn bạn đã dành câu hỏi này đến với chúng tôi. Sau khi đọc xong câu hỏi của bạn, chúng tôi nghĩ rằng bạn nên đến Viện SR-KST-CT Quy Nhơn một lần để kiểm tra xem không những có bị sán lá gan không mà còn tìm một số tác nhân giun sán khác đã từng gây ngứa cho bạn chứ. Vả lại, từ trên Ban Mê Thuột về Quy Nhơn một lần cũng vừa kết hợp khám chữa bệnh và du lịch luôn thi hay biết mấy bạn nhỉ?
Chúc bạn sớm được các bác sĩ tìm ra căn nguyên gây khó chịu cho bạn trong vòng mấy năm qua nhé.
Trần Phi Châu - truonganhtam@gmail.com - 870/15 An Duong Vuong, p13,Q6 .tphcm
Hỏi: Kính gửi BS em muốn hỏi là trước đây em có nổi mẩn đỏ, ngứa, sưng, rồi chỗ nổi mẩn sau2 -3 ngày thì hết ngứa và tím lại, em bị nổi nhiều nhất là ở 2 tay, 2 chân và bụng.
-19/3/2008 em có đi khám ở BV Triều An thì BS có cho em đi xét ngiệm giun:kết quả Toxocara canis dương tính 1/1600 và Gra (+) 1/800, Strong (-). BS kê toa thuốc cho em uống trong đó có Zentel 200 mg 56 viên (ngày 2 lần mỗi lần 2 viên).
-05/04/2008 em xét ngiệm lại Toxo (+) 1/400, Gra (+) 1/3200, hết nổi mẫn ngứa, bác sĩ lại cho uống Zentel 200mg, 56 viên. Em bi mẩn ngứa lại lần 2 à 23/04/08 xét ngiệm Toxo (+) 1/1600, Gra (+) 1/1600 bác sĩ cho uống Zentel 200mg 56 viên;
-10/05/2008 xét nghiệm Toxo (+) 1/3200 và Gra (+) 1/400 Bác sĩ cho uống Zentel 200mg 28v à 28/05/2008 xét nghiêm thì Toxo (+) 1/3200, Gra (+) 1/400 Bs cho uống Zentel 200mg, 28v rồibs cho em ngưng thuốc;
-1 năm sau, xét nghiệm lại thì đến ngày 29/04/2009, kết quảToxo (+) 1/1600, Gra (-) lúc này Bs cho uống PIZAR 6mg 4v, ngày 2 lần mỗi lần 1 viên.
-14/05/2009 xét nghiệm lại thì Toxo (+) 1/1600 bs cho uống PIZAR 6mg 4v, ngày 2 lần mỗi lần 1 viên, rồi bs ngưng thuốc nói với em 6 tháng sau tái khám à 04/09/2009 xét ngiệm Toxo vẫn dương tính 1/3200 Bs cho uống PIZAR 6mg 4v, ngày 2 lần mỗi lần 1 viên.
-3 tháng sau em tái khám và xét nghiệm lại vào ngày 21/11/2009 kết quả Toxo (+) 1/1600, đã giảm 1 nửa so vo với 3 tháng trước nhưng BS vẫn cho uống tiếp PIZAR 6mg 4v, ngày 2 lần mỗi lần 1 viên và ngưng 6 tháng tái khám à 13/05/2010 xét nghiệm lại thì Toxo (+) 1/400 thì Bs cho uống PIZAR 6mg 4v, ngày 2 lần mỗi lần 1 viên, lúc này bs nói với em có thể là (+) giả và 6 tháng tái khám lại.
Bây giờ thì em không còn nổi mẩn ngứa nữa, trong người không còn cảm giác mệt mỏi nữa và em đã tăng được 10kg. Như vậy Bs cho em hỏi là em còn nhiễm Toxocara nữa không? và em uông thuốc trị giun như thế quá nhiều đúng không ạ? Không biết là ảnh hưởng đến quá trình sinh sản của em không? Em đã lập gia đinh 3 năm nhưng bị nhiễm giun nên em không dám để mang thai. Em có hỏi BS là kết quả trị giun Toxo (+) 1/400 như vậy mà em không còn nổi mẩn ngứa gì thì có để mang thai được không và có ảnh hưởng gì đến em bé không, thì BS nói với em là mang thai được và không ảnh hưởng gì đến em bé, có thật vậy không thưa bác sĩ ? Xin BS trả lời giúp em qua địa chỉ mail. (Xin phép BS vì em đặt câu hỏi quá dài). Em xin cảm ơn BS.
Trả lời: trước hết chúng tôi phải nói rằng là cảm ơn bạn rất nhiều vì bệnh sử và quá trình điều trị của bạn rất chi tiết khi kể cho chúng tôi nghe trong thời gian gần 2 năm điều trị với một lượng rất lớn thuốc Albendazole (224 viên) và Pizar (20 viên) vào cơ thể bạn, nói chung thì thuốc nào cũng có độc tính cả, không ít thì nhiều. Nhưng chúng tôi cũng khuyên bạn nên bình tĩnh và an tâm rằng hiện nay bạn không còn dùng thuốc nữa nên thuốc trước đây sử dụng đã đào thải ra khỏi cơ thể trong một thời gian rất ngắn đã hết, nên không ảnh hưởng gì đến khả năng sinh sản của bạn sau này (bác sĩ của bạn đã nói đúng). Song vì bệnh sử và diễn tiến điều trị của bạn với các loại giun sán chỉ thông qua xét nghiệm dường như hơi “vội vã” vì cứ mỗi 1 tháng bạn lại đi xét một lần và cứ sau mỗi lần đó bạn lại uống thuốc tiếp tục là không nên. Vì sao như vậy, thông thường với liều ban đầu bạn sử dụng đã có thể điều trị khỏi bệnh giun sán trên người bạn rồi, nhưng để kết quả xét nghiệm giảm dần và quay trở về trị số bình thường đòi hỏi phải có thời gian dài (ít nhất 3 tháng và dài nhất có thể 24 tháng, thậm chí 36 tháng mới hết) và dùng thuốc sau mỗi lần nhận kết quả dương tính như trên là không cần thiết, cũng may là bạn chưa bị ngộ độc.
Một điểm đáng chú ý hơn là bạn có thể thấy được kết quả xét nghiệm với hiệu giá kháng thể cứ lúc này tăng, lúc kia lại xuống, liệu nó có đúng thực chất với bệnh bạn đang có không là vấn đề cần bàn ở đây? Chúng tôi xin đưa ra cho bạn 2 khía cạnh liên quan đến xét nghiệm hiện nay: [1] Xét nghiệm ELISA và diễn biến bệnh thực tại có khảng 45% không đúng với thực tế, nghĩa là không phải lúc nào dương tính cũng là bệnh và ngược lại, lúc nào âm tính cũng là không bệnh là hoàn toàn sai nhé; [2] Vấn đề xét nghiệm và diễn tiến bệnh, thực hay ảo vẫn còn chưa thỏa hiệp. Do đó, chúng tôi chỉ khuyên bạn một điều, khi mắc phải bệnh gì nên đến chuyên khoa để tham vấn, chẩn đoán và điều trị cũng như họ đưa ra các lời khuyên hợp lý cho bạn.
Nói tóm lại, hiện tình trạng của bạn đã hồi phục, bạn có thể mang thai được và không có gì lo ngại khi lượng thuốc còn tồn hay diễn biến bệnh đang có. Thân chúc bạn khỏe!
hieu tranvan-tranhieubs@gmail.com-114B, Hải Thượng Lãn Ông, Tp Phan Thiết, tỉnh Bình Thuận
Hỏi: Tôi đang làm đề tài NCKH học về Tình hình thiếu máu ở người >18 tuổi. Xin Quý Viện giải đáp giúp 2 câu hỏi:
1. Tỉ lệ nhiễm KST đường ruột ở người > 18 tuổi trở lên của các miền và của cả nước.
2. Tỉ lệ thiếu máu ở người > 18 tuổi trở lên của các miền và của cả nước.
Xin chân thành cám ơn!
Trả lời: Liên quan đến câu hỏi của bạn, chúng tôi xin giới thiệu bạn đến địa chỉ hoặc gởi thu về Viện Sốt rét KST-CT TƯ, sô 245 Lương Thế Vinh, Q. Thanh Xuân, Hà Nội để xin ý kiến tham luận và số liệu mà bạn cần trong đề tài nghiên cứu khoa học của bạn. Chúc bạn sớm thành công!
Nguyễn Thành Nam, 56 tuổi, trú tại TP. Nha Trang, namnguyen1703@yahoo.com
Hỏi: Tôi thường xuyên bị đau ngực, nhưng không khó thở, cứ 1 tuần lại đau một lần, tôi thường xuyên đi bơi mỗi ngày dù lạnh hay nóng tôi không bỏ bữa nào. Nếu so với các thanh niên, tôi có thể sánh sức khỏe rất tốt, nhưng không hiểu tại sao như vậy. Tôi có đi khám nhiều bác sĩ chuyên khoa tim mạch và điều trị khắp nơi, nhưng cứ hẹn lại lên và cứ đau ngực khoảng 10 phút rồi hết. Xin các bác sĩ giải thích cho tôi và ngoài đau ngực do nguyên nhân tim mạch, còn có thể đau ngực do nguyên nhân khác không?
Tôi thành thật cảm ơn!
Trả lời: Xin chân thành cảm ơn câu hỏi của bác, trên thực tế có rất nhiều nguyên nhân gây đau ngực, có thể do tim hoặc không do tim. Sau đây chúng tôi xin giới thiệu với bác về một bài viết của PGS. Vũ Quang Bích đăng tải trên tạp chí Sức khỏe & Đời sốngđề cập đến vấn đề đau ngực không do tim như để chia sẻ với bác và cũng là để bác tham khảo khi chăm sóc sức khỏe của mình ngày càng tốt hơn.
Khi có biểu hiện đau ngực, nhiều người nghĩ ngay đến nguyên nhân do tim nhưng thực tế cho thấy điều này chưa hoàn toàn đúng vì có nhiều chứng đau ở lồng ngực cần phân biệt trong chẩn đoán như đau thần kinh liên sườn, hội chứng cơ bậc thang...
Đau ngực do dây thần kinh liên sườn
Có hai loại đau dây thần kinh liên sườn là nguyên phát và thứ phát. Khi bị đau nguyên phát, người bệnh có cảm giác đau liên tục một bên lưng, dần dần lan theo hướng chéo xuống dưới và ra trước tùy theo khu trú ở đoạn cột sống lưng trên hay dưới. Điểm đau rất rõ khi ấn vào những điểm lộ ra của những sợi thần kinh liên sườn, cạnh cột sống, đường giữa nách. Đối với đau thứ phát, bệnh nhân thường bị đau do bệnh lý đĩa đệm cột sống ngực, lao cột sống do tổn thương phổi - màng phổi, hay đau quặn gan, cần được chẩn đoán phân biệt.
Nhiều trường hợp đau do đĩa đệm của một đoạn cột sống, phần lớn là ở đoạn trên cột sống ngực thì bệnh nhân có cảm giác đau ở phía trong sâu mơ hồ, không có điểm đau rõ rệt khi ấn trên da. Khu vực đau thường gặp nhất là vùng liên bả vai, cạnh cột sống và vùng ngực trước tim dễ nhầm với cơn đau thắt ngực đe dọa nhồi máu cơ tim. Tỷ lệ bệnh lý đĩa đệm đoạn cột sống ngực chỉ chiếm 1,96% các chứng bệnh đĩa đệm cột sống toàn bộ.
Về điều trị: Cần tìm được nguyên nhân gây đau dây thần kinh liên sườn bằng các biện pháp cận lâm sàng (xét nghiệm, Xquang, chụp cắt lớp vi tính...). Sau đó người bệnh sẽ được bác sĩ điều trị theo nguyên nhân đã được xác định và xử trí theo hướng của viêm rễ thần kinh.
Đau ngực do hội chứng cơ bậc thang
Hội chứng cơ bậc thang đã được H.Naffiger mô tả đầu tiên và Leriche tiếp tục nghiên cứu, còn được gọi là hội chứng ngách sườn - đòn, sau này còn gọi là hội chứng sườn cổ. Trong khoang hẹp ở giữa cơ bậc thang trước và cơ bậc thang giữa có dây thần kinh cổ, đám rối thần kinh cánh tay và động mạch dưới đòn chạy qua, còn giữa cơ bậc thang trước và xương sườn có tĩnh mạch dưới đòn lách qua. Do sự liên quan giải phẫu như vậy nên một trong những thành phần kể trên có những biến đổi bất thường sẽ ảnh hưởng tới những bộ phận lân cận. Cũng vì vậy, người ta đã đưa ra định nghĩa: Hội chứng cơ bậc thang là những cơn đau kịch phát với những rối loạn thần kinh và mạch máu do động mạch dưới - đòn và đám rối thần kinh cánh tay bị kích thích hay chèn ép bởi xương sườn cổ, mỏm ngang đốt sống cổ quá dài hoặc những bất thường của một cơ bậc thang (phì đại hay thắt chặt).
Biểu hiện: đau và dị cảm ở vùng mặt trong cánh tay, cẳng tay, bàn tay và ngón 4, ngón 5. Đôi khi đau lan tới cả vùng chẩm và đặc biệt đau dội lên khi xoay đầu về phía tay đau hay sau khi thở vào sâu. Trường hợp đau lan xiên tới xương lồng ngực làm cho chẩn đoán nhầm với cơn đau thắt tim. Rối loạn vận động biểu hiện sức cơ yếu đi, trương lực cơ giảm dẫn đến teo cơ ở tay và mô út, nhưng đặc biệt là căng các cơ ở cổ, nhất là cơ bậc thang trước. Khi có rối loạn mạch máu, tay trở nên tê, tím tái, phù nề, lạnh chi. Trường hợp nặng hơn còn xuất hiện triệu chứng giảm nhẹ hoặc mất mạch quay. Chẩn đoán dựa vào lâm sàng đặc trưng như đã nói trên và dấu hiệu Adson (mạch quay biến đổi hay mất khi ngồi, hai tay đặt trên đầu gối, thở thật sâu, đồng thời nâng cằm cao lên và cho quay đầu về phía bên tay đau) với kết quả chụp X-quang.
Hội chứng cơ bậc thang cần chẩn đoán phân biệt với:
-Hội chứng cơ ngực bé: Khi dạng cánh tay, cơ ngực bé đè ép động- tĩnh mạch dưới đòn và đám rối thần kinh cánh tay vào mỏm quạ của xương bả vai.
-Hội chứng sườn - đòn thường xảy ra ở những người làm việc nặng nhọc (đội, gánh, vác...), những cơ thể hình dải mảnh và suy ngược do đám rối thần kinh cánh tay bị chèn ép bởi xương đòn và xương sườn, cũng có bảng lâm sàng tương đối giống như của hội chứng cơ bậc thang.
-Đau tay dị cảm: đau và dị cảm ban đêm trong khu vực dây thần kinh trụ và gan bàn tay bị đau khi ấn. Hội chứng này thường gặp ở những người có tuổi do tư thế bất lợi của tay trong giấc ngủ sâu.
-Viêm đám rối thần kinh cánh tay: có nhiều triệu chứng tương tự như hội chứng sườn đùi.
Điều trị hội chứng cơ bậc thang, cũng tùy theo nguyên nhân điều trị theo triệu chứng chủ đạo: sử dụng thuốc giảm đau, chống thoái hóa các dây thần kinh, chống teo cơ, giữ tay ở tư thế chức năng. Điều trị bằng phẫu thuật nhằm mục đích loại trừ chèn ép vào các mạch máu - thần kinh, chỉ định cho những trường hợp đã được điều trị bảo tồn nhưng không đạt kết quả như mong muốn.
Hy vọng với phần trả lời trên đã làm bác thêm hài lòng và biết thêm một số nguyên nhân đau ngực không do tim. Kính chúc bác khỏe!
Nguyễn Thị Thanh Thúy- dialantimvt@yahoo.com.vn- 47A Nguyễn Huệ - Tuy Hòa
Hỏi: Chào bác sỹ Hồng Quang!
E đi xét nghiệm máu tại Trung Tâm CĐ bệnh Đức Tín (Tuy Hòa) vào thứ 3 vừa rồi (16/08) thì phát hiện dương tính giun đầu chó & giun lươn trong máu. Theo như trong tờ xét nghiệm ghi là: giun đầu chó trong máu bình quân khoảng: 0.5 nhưng trong máu của em là 0.7, giun lươn thì tương tự như vậy. Bác sỹ Khoa đã kê cho em đơn thuốc: 02 pizar 3mg với chỉ dẫn uống 1 lần rồi sẽ tái khám vào thứ 3 tuần sau (23/08). E thật sự rất hoang mang vì những người thân của em yêu cầu em ra Viện Sốt rét Qui Nhơn để xét nghiệm lại nhưng e không có thời gian. Xin bác sỹ cho ý kiến để em có quyết định sáng suốt. Vì em cũng mong muốn trị khỏi bệnh để còn sinh em bé nữa. Thank bác sỹ nhiều. Mong nhận được hồi âm sớm!
Trả lời: Chúng tôi, trước hết rất cảm ơn bạn đã tín nhiệm mà đặt câu hỏi cho chúng tôi về bệnh giun đũa chó và giun lươn. Câu hỏi này chúng tôi cũng đã nhận rất nhiều câu đề nghị tham luận và tư vấn cho rất nhiều người đi xét nghiệm có kết quả như thế (bạn có thể tham khảo thêm ở chuyên mục hỏi đáp bệnh chuyên ngành của trang website của Viện nhé). Song, để thấu đáo, tôi xin trình bày với bạn về bệnh giun đũa chó và giun lươn và việc đi xét nghiệm nhiễm các loại ấu trùng giun này chỉ một xét nghiệm ELISA (trong khi các triệu chứng khác trên cơ thể thì không có) quả là một vấn đề cần cân nhắc. Nghĩa là nhiễm bệnh ấu trùng giun đũa chó và giun lươn Toxocara spp và Strongyloides stercoralis (+) và đây có phải là nguyên do dẫn đến bạn lo lắng không. Vì giun đầu đũa chó và giun lươn cũng là một loại giun tròn, nên chúng tôi xin trả lời rằng xét nghiệm Toxocara spp (+) và Strongyloides stercoralis (+) không hẳn là luôn luôn bệnh vì có thể phản ứng chéo với một số loại giun tròn đường ruột khác hoặc đây chỉ là dương tính giả, trước khi xác định bạn và người thân của bạn thật sự có mắc bệnh hay không thì phải hội đủ nhiều yếu tố:
[1] Trên lâm sàng có triệu chứng của vùng da niêm mạc (có ngứa, nổi mẩn, mày đay), trên hệ tiêu hóa có các triệu chứng rối loạn đại tiện, đau bụng nhiều đa dạng hay không? Trên hệ thần kinh có triệu chứng hay không (nhức đầu, yếu liệt, sợ ánhsáng, …), hoặc đôi khi gặp triệu chứng tiêu hóa nghiêm trọng (đau bụng, buồn nôn, nôn mửa, đặc biệt đau vùng thượng vị và hố chậu phải), triệu chứng hô hấp nghiêm trọng (ho, khó thở, hắt xì, ngứa họng, tràn dịch hay tràn khí màng phổi,…), triệu chứng ngoài da, niêm mạc nghiêm trọng (có vết ban trườn, nổi u, cục, ban đỏ từng đợt, ngứa, dị cảm, khó chịu),…
[2] Công thức máu có số bạch cầu chung tăng cao? tăng lượng bạch cầu ái toan ý nghĩa?, chỉ số IgE thế nào?;
[3] Phản ứng ELISA với Toxocara spp hay Strongyloides stercoralis (+) so với hiệu giá tham chiếu.
Liên quan đến xét nghiệm của bạn, chúng tôi biết với ngưỡng hiệu giá kháng thể OD > 0.5 mới là dương tính bệnh, còn tất cả trị số OD dương tính với ngưỡng bạn đưa ra cũng nên cân nhắc vì khi đó có thể trong khoảng nghi ngờ hoặc dương tính giả mà thôi vì lý do chúng tôi có đè cập ở trên, vì xét nghiệm ELISA chỉ mang tính chất hỗ trợ cho chẩn đoán chứ đó không phải là chuẩn vàng trong chẩn đoán quyết định.
Do đó, nếu chỉ dựa trên xét nghiệm đơn thuần như thế, chưa chắc là bạn bị các giun trên. Trước khi bạn uống thuốc điều trị, bạn nên nhận lời tư vấn từ bác sĩ chuyên khoa ký sinh trùng để liệu xem bạn có thật sự 2 bệnh giun không? (tức là có đủ 3 điều kiện trên không?) Vì có nhiều khía cạnh tế nhị cần xem xét: thứ nhất, với thực hành lâm sàng hàng ngày hiện tại chúng tôi nhận thấy bệnh nhân đi xét nghiệm thấy dương tính (mặc dù không hề có triệu chứng gì) thì họ rất mong được điều trị, thậm chí nằng nặc đòi điều trị và bác sĩ thì cũng cân nhắc, đôi khi vì lợi nhuận trước mắc lại kê đơn, bán thuốc cho bệnh nhân điều trị trong thời gian dài, có khi đến 3-4 đợt nhưng thực tế kết quả dương tính vẫn dương tính; thứ hai, các nhà điều trị thường dùng liệu pháp thay thế bằng thuốc Albendazole, dùng liều cao và dài ngày (800mg/ ngày và kéo dài 21- 28 ngày), có thể gây độc tính cho bạn, nhất là độc tính mạn tính, kéo dài khá nguy hiểm. Chúng tôi đã gặp nhiều bệnh nhân uống đến 126 - 168 viên Albendazole 400mg (nghĩa là 3-4 đợt) vẫn không hết bệnh vì đó là bệnh khác chứ không phải là giun đầu gai (!?). Về hiệu quả điều trị của Albendazole với bệnh giun đầu gai với liệu trình 21 ngày như trên, qua nhiều kết quả nghiên cứu cho hiệu quả 85 - 92%, có nghĩa là không phải trường hợp nào cũng hết.
Quay trở lại với câu hỏi của bạn, chúng tôi nghĩ rằng nếu chỉ dựa vào xét nghiệm mà bạn hoàn toàn không có triệu chứng gì đặc biệt nữa như đã mô tả ở trên thì bạn không cần dùng thuốc mà chỉ dùng thuốc sổ giun thông thường là đủ. Nếu thật sự bạn bị bệnh giun đũa chó và giun lươn mà cho thuốc 2 viên Pizar rồi sau một tuần xét nghiệm lại cũng không thể xét nghiệm âm tính được. Nên việc xét nghiệm lại phải đợi đến sau 3 tháng hoặc 6 tháng, thậm chí 9 tháng mới trở về âm tính, nhưng cũng xin lưu ý với bạn rằng việc kết quả xét nghiệm lại ELISA có còn dương tính hay âm tính cũng không thể quy kết là thất bại điều trị hay chưa lành bệnh bạn nhé.
Vì bạn đang mong sinh em bé nên việc cân nhắc điều trị và uống thuốc rất thận trọng, liệu có cần thiết không? Hy vọng, bạn đã rõ ràng với câu trả lời của chúng tôi, và bạn thật sự cân nhắc để quyết định trước khi điều trị cho bạn. Mọi chi tiết về câu trả lời bạn có thể liên lạc trực tiếp bác sĩ Huỳnh Hồng Quang (số di động: 0905 103 496) để biết thêm thông tin chi tiết nhé.
Chúc bạn khỏe!
Trần phương Viên- bachthaovuon@yahoo.com-phú hoà-hoà hiệp trung-đông hoà-phú yên
Hỏi: Em đi khám vào ngày 01 tháng 07 năm 2011.Em bị sán lá gan lớn do viện sốt rét-KST-CT Quy Nhơn chẩn đoán và cho thuốc về uống.ngày em uống 2 viên thuốc Egaten 250mg là thấy bụng hông phải mềm, không còn cứng bụng và tay phải không nổi mụn đỏ nữa, nhưng đến ngày hôm nay (ngày 04 tháng 07 năm 2011), tay phải lại nổi mụn đỏ như lúc bị bệnh ban đầu và bụng sờ vào thấy cứng như trước. Vậy xin hỏi bác sĩ em tái khám liền hay không? Người nhà nói em mới uống thuốc mà sao hết liền được. Em mới sinh được hơn 2 tháng đi lại khó khăn mà giờ mắc bệnh nữa. Bác sĩ có cách nào chữa tái khám cho em mà không đi ra Quy Nhơn không? vì mới khám chỉ cách 3 ngày thôi mà em thấy chưa hết. Em phải ra trực tiếp khám lần nữa hay em có thể gửi địa chỉ nhà để viện gửi thuốc vào cho em được không? toa thuốc của em do bác sĩ Nguyễn Xuân Thiện kê đơn, mong bác sĩ Thiện trả lời giúp em trong thời gian nhanh nhất. Em chân thành cảm ơn.
Trả lời: Liên quan đến câu hỏi của bạn và đơn thuốc do bác sĩ Thiện kê cho bạn, nên dẫu sao bác sĩ cũng đã nắm bắt được bệnh tính của bệnh nhân, nên chúng tôi cho bạn địa chỉ và số điện thoại của của BS Thiện (Thạc sĩ, bác sĩ Nguyễn Xuân Thiện, số điện thoại di động: 0905. 168 199) để tiện liên lạc và được BS Thiện phúc đáp một cách thấu đáo nhất nhé!
Hà Anh Thạch 46 tuổi, thôn Lộc Thuận, xã Nhơn Hạnh, huyện An Nhơn, Bình Định
Hỏi: Không hiểu vì sao gần đây ở lòng bàn tay và lòng bàn chân của em liên tục nổi những nốt đỏ, to xung quanh có viền màu vàng xanh cảm giác ngứa và bỏng rát, đi lại rất khó chiu. Em đã đi khám, bác sĩ bảo em bị dị ứng và cho thuốc uống nhưng không khỏi, em cũng đã tiêm nhưng cũng không thấy giảm. Xin bác sĩ cho em biết là em bị bệnh gì và chữa thế nào ? Em xin chân thành cảm ơn!
Trả lời:
Theo mô tả, các triệu chứng của bạn có thể nằm trong nhóm bệnh dị ứng mà nguyên nhân của nó thì có khá nhiều, đôi khi tìm ra nguyên nhân rất khó khăn, việc thăm khám nhiều lần, kỹ lưỡng tổn thương cơ bản và tiến triển của bệnh trong quá trình điều trị rất giúp ích cho việc chẩn đoán cuối cùng của bệnh. Do vậy, chỉ với những triệu chứng mổ tả, chưa được xem kỹ tổn thương cũng khó chẩn đoán ngay bạn bị bệnh gì, nhưng có một số gợi ý để bạn tham khảo và tự theo dõi thêm bệnh của mình:
Vì các tổn thương của bạn chủ yếu ở 2 lòng bàn tay, bàn chân, bạn hãy lưu ý xem những triệu chứng như ngứa đau hay nhói đau, bỏng rát, ngứa ngáy có phải xuất hiện sau khi tiếp xúc với một chất gì đó không? Các chất thường hay gây kích thích như cồn, sơn, xà phòng, các chất tẩy rửa, các chất làm khô, các chất ăn mòn, các loại mỹ phẩm, các dung dịch axit hay kiềm..., đặc biệt là xà phòng là một trong những loại kích thích thường thấy nhất. Vì vậy ngoài việc thăm khám bệnh định kỳ, bạn thử để ý và áp dụng các biện pháp dự phòng sau đây để xem thủ phạm là cái gì nhé:
-Tránh tiếp xúc với các chất nghi ngờ gây kích thích đã nêu trên.
-Có thể sử dụng các loại kem bảo vệ da tay như Wonder Glove, Dermaffin hoặc găng tay bảo hộ nếu buộc phải tiếp xúc với các chất kích thích.
-Tránh cho tay vào nước nóng hay sờ trực tiếp vào các thực phẩm tươi sống như thịt, cải tươi, khoai tây, cà chua... Ngoài ra, thu xếp các việc lặt vặt có dính nước làm vào một lần trong ngày nhằm làm giảm thiểu tình trạng tay bị ướt át liên tục.
-Dùng các chất tẩy rửa nhẹ thay vì phải dùng xa phòng, chất tẩy ăn mòn da.
-Nên tái khám bác sĩ theo đúng hẹn để tiện theo dõi và điều trị bệnh.
Chúc các bạn sức khỏe!