lê văn hân- Hoài Sơn- Hoài Nhơn- Bình Định - levanhan2506@gmail.com
Hỏi: Em là sinh viên có thể bảo hiểm y tế nếu đến Bệnh viện khám bệnh sán lá gan thì Bệnh viện có tính bảo hiểm y tế không? Hay là em phải trả toàn bộ chi phí khám bệnh.
Trả lời: Với câu hỏi của bạn, chúng tôi xin chia sẻ như sau: bạn có thẻ bảo hiểm y tế có thể đến khám tại Viện chúng tôi được thanh toán mức phí giảm 50% hoặc 70 - 80% tùy thuộc vào bạn có giấy chuyển viện nơi đăng ký khám chữa bệnh ban đầu hay không? Nếu bạn cầm thẻ BHYT đi trực tiếp đến khám tại Viện mà không thông qua nơi khám chữa bệnh ban đầu sẽ được miễn giảm 50%.
Thân chúc bạn khỏe!
Nguyễn Văn Đòan- doanbhxh2007@yahoo.com - 120/2 Y Ngông - TP Buôn Ma Thuột
Hỏi: Xin kính chào Qúy bác sỹ! Tôi xin được trình bày bệnh tình của tôi như sau: cách dây 5 năm, da của tôi tự nhiên nổi mẩn ngứa rất nhiều, tôi có đi khám Bác sỹ da liễu, trong qua trình uông thuôc, có thuyên giảm, hết thuốc lại bị lại, sau đó một thời gian, tự nhiên nó hết. Tết Nguyễn Đán vừa rồi, tôi lại bị ngứa lại, cũng đến BS Da liễu, chẫn đoán là bị viêm da dị ứng, cho uống thuốc, nhưng sau khi hết thuóc lại bị lại, da của tôi cứ nổi mẫn ngứa tưng đám, có khi nổi mụn ngứa, càng gãi, nó càng lan ra, rất khó chịu. Vậy tôi rất mong được sư tư vấn điều trị của Qúy bác sỹ. Xin chân thành cảm ơn.
Trả lời: Với câu hỏi của bạn, chúng tôi cũng rất khó tư vấn cho bạn một cách thấu đáo từng căn bệnh có thể gặp phải trên cơ thể bạn vì triệu chứng và dấu chứng của các bệnh da liên quan rất đa dạng và khó đặc hiệu tổng hợp cho một bệnh nào.
Do vậy, chúng tôi chỉ khuyên bạn mau chóng đến khám các cơ sở chuyên khoa da liễu hoặc ký sinh trùng thêm một lần nữa để các bác sĩ tư vấn và khám bệnh, cho thuốc thích hợp.
tran thi nga- ngatt@sacombank.com.vn- Daklak
Hỏi: Xin cho tôi hỏi cách điều trị giun sán chó, giun lươn đối với trẻ 8 tuổi? Có thể dùng Albendazole 400g điều trị được không? Cảm ơn.
Trả lời: Với câu hỏi của anh chi, chúng tôi xin phúc đáp: thuốc Albendazole có thể dùng từ lứa tuổi 24 tháng trở lên, và trong một số trường hợp < 24 tháng nhưng bị nhiễm giun sán cần điều trị và cực kỳ cần thiết để cứu sống bệnh nhân và tránh một số hậu quả trên cơ thể trẻ thì nên theo chỉ dẫn và giám sát điều trị của bác sĩ. Như vậy, con của chị 8 tuổi vẫn có thể điều trị giun đũa chó và giun lươn bằng thuốc Albendazole được như mọi người.
Song, chúng tôi chỉ khuyên bạn rằng khi đưa cháu đi xét nghiệm mà chỉ có duy nhất kết quả xét nghiệm giun sán dương tính, trong khi các triệu chứng và các xét nghiệm mà dùng thuốc Albendazole trong một thời gian dài để điều trị là điều không nên, khi đó chỉ nên cho cháu sổ giun định kỳ là tốt nhất chứ không nên tuân theo một toa thuốc vô thưởng vô phạt – tiền mất tật mang bạn nhé.
trương thị hiền- hoangtram80@yahoo.com- ĐĂK NÔNG
Hỏi: Chào BS, tôi năm nay 33 tuổi, tôi rất gầy chỉ nặng 39 kg thôi. Cách đây 1 tháng tôi di khám tổng quát ở BV ĐHYD TPHCM k có bệnh gì. Có nhiều người bảo tôi chắc bị giun sán, trong người tôi thường hay bị buồn nôn, khó chịu.ăn được, ngủ được, uống thuốc bổ cũng không lên được kg nào. Tôi cũng định đi ra Quy Nhơn khám nhưng chưa có điều kiện. Vậy qua mô tả như vậy bs cho tôi biết tôi có phải bị giun sán k. Cám ơn bs nhiều
Trả lời: Nếu chỉ với vài triệu chứng bạn mô tả qua thư như vậy, chúng tôi cũng rất khó chẩn đoán bạn bọ bệnh gì, bởi lẽ như bạn biết gầy ốm và buồn nôn là các dấu chứng triệu chứng không của riêng và đặc hiệu cho một bệnh nào. Do vậy, cách tốt nhất là bạn nên đi khám ở một đơn vị chuyên khoa tiêu hóa để các thầy thuốc tư vấn, khám và chẩn đoán bệnh, ròi điều trị cho bạn tốt nhất.
Riêng về bệnh giun sán có ở trên người bạn không? Có thể và không thể - phân định rạch ròi giữa hai thuật ngữ đó chỉ có khám và làm xét nghiệm mới mong xác định được, bạn không nhất thiết phải vào đến Quy Nhơn vì hiện tại các tỉnh thành trong cả nước đã có nhiều phòng khám và bệnh viện có triển khai khám và điều trị bệnh giun sán rồi.
Chúc bạn sớm đi khám bệnh và có sức khỏe hơn!
Hà Anh Thạch 46 tuổi, thôn Lộc Thuận, xã Nhơn Hạnh, huyện An Nhơn, Bình Định
Hỏi: Không hiểu vì sao gần đây ở lòng bàn tay và lòng bàn chân của em liên tục nổi những nốt đỏ, to xung quanh có viền màu vàng xanh cảm giác ngứa và bỏng rát, đi lại rất khó chiu. Em đã đi khám, bác sĩ bảo em bị dị ứng và cho thuốc uống nhưng không khỏi, em cũng đã tiêm nhưng cũng không thấy giảm. Xin bác sĩ cho em biết là em bị bệnh gì và chữa thế nào?Em xin chân thành cảm ơn!
Trả lời:
Theo mô tả, các triệu chứng của bạn có thể nằm trong nhóm bệnh dị ứng mà nguyên nhân của nó thì có khá nhiều, đôi khi tìm ra nguyên nhân rất khó khăn, việc thăm khám nhiều lần, kỹ lưỡng tổn thương cơ bản và tiến triển của bệnh trong quá trình điều trị rất giúp ích cho việc chẩn đoán cuối cùng của bệnh. Do vậy, chỉ với những triệu chứng mổ tả, chưa được xem kỹ tổn thương cũng khó chẩn đoán ngay bạn bị bệnh gì, nhưng có một số gợi ý để bạn tham khảo và tự theo dõi thêm bệnh của mình:
Vì các tổn thương của bạn chủ yếu ở 2 lòng bàn tay, bàn chân, bạn hãy lưu ý xem những triệu chứng như ngứa đau hay nhói đau, bỏng rát, ngứa ngáy có phải xuất hiện sau khi tiếp xúc với một chất gì đó không? Các chất thường hay gây kích thích như cồn, sơn, xà phòng, các chất tẩy rửa, các chất làm khô, các chất ăn mòn, các loại mỹ phẩm, các dung dịch axit hay kiềm..., đặc biệt là xà phòng là một trong những loại kích thích thường thấy nhất. Vì vậy ngoài việc thăm khám bệnh định kỳ, bạn thử để ý và áp dụng các biện pháp dự phòng sau đây để xem thủ phạm là cái gì nhé:
-Tránh tiếp xúc với các chất nghi ngờ gây kích thích đã nêu trên.
-Có thể sử dụng các loại kem bảo vệ da tay hoặc găng tay bảo hộ nếu buộc phải tiếp xúc với các chất kích thích.
-Tránh cho tay vào nước nóng hay sờ trực tiếp vào các thực phẩm tươi sống như thịt, cải tươi, khoai tây, cà chua... Ngoài ra, thu xếp các việc lặt vặt có dính nước làm vào một lần trong ngày nhằm làm giảm thiểu tình trạng tay bị ướt át liên tục.
-Dùng các chất tẩy rửa nhẹ thay vì phải dùng xa phòng, chất tẩy ăn mòn da.
-Nên tái khám bác sĩ theo đúng hẹn để tiện theo dõi và điều trị bệnh.
Chúc các bạn sức khỏe và hạnh phúc!
Lê Phúc Thu, 27 tuổi, nghề nghiêp thợ may, Diên Khánh, Khánh Hòa, ĐT: 09132456….
Hỏi: Nhiễm nấm Candida đường tiêu hóa, đã đi điều trị- Dùng thuốc gì?
Trả lời: Rối loạn tiêu hóa có thể do nhiễm khuẩn, nhiễm nấm; do mất cân bằng hệ vi sinh đường ruột. Nhiễm nấm Candida là một trong các nguyên nhân đó. Trước khi dùng thuốc kháng nấm, cần xác định có phải do nhiễm Candida đường tiêu hóa hay không? Nấm Candida có ở khắp nơi, bất cứ lúc nào cũng có thể theo thức ăn nhiễm vào đường ruột, song chỉ khi có điều kiện thuận lợi, sinh sôi nảy nở nhiều mới gây bệnh. Tùy theo tình trạng, cơ địa người bệnh chọn dùng một trong các kháng nấm sau:
- Nystatin: Khi bệnh nhẹ, không có sự bội nhiễm nên chọn dùng Nystatin. Đây là thuốc kháng nấm chiết từ môi trường nuôi cấy Streptomyces nourseri có phổ kháng nấm hẹp, chủ yếu trên nấm Candida và Crytococcus. Nystatin liên kết với Ergosterol của màng tế bào sợi nấm, làm rối loạnchuyển hóa kali của nấm rồi diệt nấm mà không gây hại cho người. Mặt khác, do Nystatin không thấm qua màng ruột, chỉ có tác dụng chữa bệnh ở trong ruột mà không thấm vào để gây độc nên dùng đường ruột có tính an toàn cao.
-Khi bệnh ở mức vừa, có dấu hiệu bội nhiễm chọn dùng ketoconazol. Ketoconazol là thuốc kháng nấm phổ rộng, kháng Candida nội tạng cũng như kháng các nấm nội tạng khác như Paracoccidioses, Coccidioses, Histoplasma, Blastomyces. Ngoài ra, ketoconazol còn kháng vi khuẩn gram dương (+). Ketocionazole ức chế enzym alphademethylase (enzym tham gia vào tổng hợp Ergosterol), ngăn cản sự tổng hợp Ergosterol, làm thay đổi lipid của màng tế bào sợi nấm, ức chế chức năng, ức chế sự phát triển của nấm. Dùng liều thấp có tác dụng kìm nấm; dùng liều cao, có tác dụng diệt nấm.
-Một vài lưu ý khi dùng: Không được dùng cùng lúc ketoconazol với thuốc trực tiếp trung hòa acid (nabicarbonat hay alluminium hydroxyt trong viên Maalox), các thuốc ức chế bơm proton kháng tiết acid (Cimetidin, Omeprazol) vì sẽ làm giảm tác dụng của thuốc. Nếu cần phải dùng phối hợp thì phải dùng ketoconazol trước hoặc sau đó 2-3 giờ mới dùng các thuốc trên. Ketoconazol có thể gây ra buồn nôn, đau bụng, tiêu chảy, rối loạn tiêu hóa.
-Fluconazol: Khi bệnh nặng hơn, có tình trạng bội nhiễm nấm nhiều, chọn dùng kháng nấm phổ rộng mạnh Fluconazol. Fluconazol bài tiết qua thận (80%), khi chức năng thận suy giảm, phải giảm liều. Khi dùng thuốc nếu có biểu hiện tróc vảy, hoại tử nhiễm độc da cần báo cho bác sĩ điều trị biết để có hướng xử trí kịp thời.
-Thời gian dùng thuốc tùy thuộc vào sự cải thiện bệnh. Cần chú ý, khi khỏi bệnh (lâm sàng) nhưng Candida ở đường ruột vẫn còn (nhưng số lượng ít hơn) chứ không phải đã sạch hẳn.
Bạn cũng có thêm tham khảo thêm một số loại thuốc liên quan đến điều trị nấm hoặc bài các loại nấm gây bệnh ở người trên cùng trang website của Viện sốt rét KST-CT Quy Nhơn bạn nhé!
Tho nguyen A,…tho.ht.vnn@gmail.com (địa chỉ chính thức đã thay)
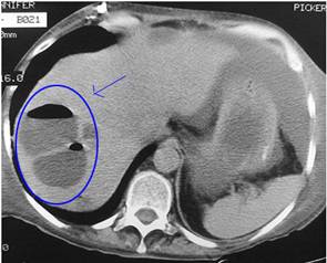
Hỏi: Chào bác sĩ, xin hỏi bác sĩ hiện bạn gái tôi đang bị bênh sán lá gan ở bụng phải được biết bác sĩ chuyên gia trị bệnh sán lá gan nên muốn hỏi xem bác sĩ cách trị bệnh và những biện pháp khác phục như thế nào. Cảm ơn bác sĩ!
Trả lời: Rất tiếc, trong vấn đề đặt câu hỏi của bạn không đề cập các xét nghiệm và kết quả siêu âm có hay không? kết quả công thức máu toàn phần thế nào, chỉ số bạch cầu ái toan có tăng cao không? Và một số triệu chứng lâm sàng nữa chứ (nghĩa là bạn gái của bạn có biểu hiện triệu chứng đau bụng, ngứa, mày đay, chán ăn, buồn nôn, sốt nhẹ, rối loạn đại tiện,…). Chứ nếu chỉ tình cờ mà đi xét nghiệm thấy ELISA sán lá gan lớn dương tính, trong khi các kết quả xét nghiệm khác đều bình thường là không nên điều trị bạn nhé.
Do đó, liên quan đến câu hỏi của bạn, chúng tôi khuyên bạn nên đưa bạn gái đến một cơ sở y tế khám và đánh giá khối thương tổn (nếu có) trên siêu âm, điều này rất tốt cho bệnh nhân vì sẽ đánh giá tiên tượng điều trị khối thượng tổn có lớn hay nhỏ, có dịch hay không, có nguy cơ vỡ ngoài bao gan hay không?...để mà điều trị cho chính xác.
Cũng nhắc cho bạn biết rằng bệnh sán lá gan lớn là một bệnh lành tính, chữa khỏi hoàn toàn, dùng thuốc đặc hiệu liều duy nhất, tác dụng ngoại ý của thuốc không đáng kể, chưa thấy báo cáo nào cho là nghiêm trọng do thuốc cả. Song cũng không nên cho là lành tính mà không điều trị, sẽ có thể dẫn đến một số biến chứng nguy hiểm (chẳng hạn vỡ ổ abces gây viêm phúc mạc, nhiễm trùng huyết) đến tính mạng bệnh nhân.
Chúc bạn và bạn gái khỏe nhé!
Nguyễn Thị Bạch V. bachvancva@yahoo.com, ĐT: 0913. 453…, thành phố Tuy Hòa, Phú Yên
Hỏi: Xin hỏi các thầy thuốc tại Viện Sốt rét KST-CT Quy Nhơn, tôi là một phụ nữ 53 tuổi, đã mãn kinh, không có tiền sử bệnh tật gì, giáo viên đang dạy tại một trường trung học tại Phú Yên, gần 1 tháng nay tự nhiên tôi cảm thấy đầu đau, nhức mỏi liên tục từ cổ lan ra hai bên vai và xuống dọc theo tay (T) và các ngón tay cũng bị tê luôn, nếu tôi nghi vai ngày không dạy và không soạn giáo án bằng máy tính thì tự nhiên các triệu chứng này giảm đi rất nhiều. Xin hỏi các bác có bài thuốc nào hay và chỉ cho cách điều trị chứng đau của tôi nhanh nhất. Tôi xin thành kính cảm ơn quý thầy thuốc
Trả lời: Cảm ơn câu hỏi của bạn, liên quan đến bệnh lý này từ lâu chúng tôi rất mong để viết về hội chứng hoặc bệnh lý đặc biệt này vì có quá nhiều bệnh nhân đến khám và điều trị bệnh lý này mỗi ngày tại cơ sở điều trị của chúng tôi. trung bình khoảng 7 người/ ngày đến khám có liên quan đến hội chứng bệnh này. Song vì quá bận, nên mong bạn thông cảm vì sự hồi âm muộn.
Đây là một bệnh lý liên quan đến nghề nghiệp của bệnh nhân (như nghề lái xe, may quần áo, đông lạnh, làm nghề nghiệp liên quan đến văn phòng nhiều,…), đặc biệt chị là giáo viên nhiều năm- trong khi hiện nay chị phải ngồi hàng giờ, nhiều khi đến 9 giờ/ ngày để soạn giáo án điện tử để theo tiến độ và yêu cầu của ngành giáo dục, trong khi công việc đó từ lâu không phải là việc chính của chị. Theo mô tả của chị qua mail thì chúng tôi xin chẩn đoán là Hội chứng cổ - vai - cánh tay, hay nằm trong nhóm hội chứng văn phòng. Để làm rõ hơn về hội chứng này về nguyên nhân do đâu? Làmcách nào xử trí và điều trị giảm bớt đau của chị. Chúng tôi xin giới thiệu bài viết rất chi tiết về Hội chứng cổ-vai gáy của Bác sĩ Mai Trung Dũng trên http://www.giangduongykhoa.net để mong cô giáo tham khảo một cách bài bản nhất:
1. Lâm sàng.
1.1. Hội chứng cột sống cổ.
- Đau cổ gáy: có 3 kiểu biểu hiện:
+ Đau cổ gáy cấp tính: Hay vẹo cổ cấp, xuất hiện sau một đêm ngủ dậy do gối đầu lệch hoặc sau lao động nặng, mệt mỏi, căng thẳng, lạnh... thấy đau vùng gáy một bên lan lên cùng chẩm. Thường khỏi sau vài ngày và hay tái phát.
+ Đau vùng gáy mạn tính: Đau âm ỉ khi tăng khi giảm, lan ít, khó vận động một số động tác vì đau, đôi khi thấy lạo xạo khi quay cổ.
+ Có điểm đau cột sống cổ: ấn vào các gai sau và cạnh cột sống cổ tương ứng các rễ thần kinh có thể tìm thấy điểm đau.
- Hạn chế vận động cột sống cổ: đau làm đầu vẹo sang một bên không quay về bên kia được do cơ bên đau bị co cứng phản xạ.
1.2. Hội chứng rễ thần kinh.
- Do thoái hóa hoặc thoát vị đĩa đệm chèn ép các rễ thần kinh thuộc đám rối thần kinh cánh tay, chủ yếu là rễ C5-C6. Đau vùng gáy âm ỉ tăng từng cơn nhất là về đêm, lan lên vùng chẩm và xuống vai và cánh tay. Biểu hiện lâm sàng là hội chứng vai-gáy, hoặc hội chứng vai-cánh tay.Thường đau sâu trong cơ, xương với cảm giác nhức nhối khó chịu, có khi đau nhói như điện giật. Đau cổ thường giảm nhanh trong khi đau vai và tay thì ngày một tăng. Đau có tính chất cơ học, đau tăng khi đứng, đi, ngồi lâu, khi ho, hắt hơi, khi vận động cột sống cổ; đau giảm khi nghỉ ngơi, khi kéo giãn cột sống cổ...
- Rối loạn vận động, cảm giác kiểu rễ: bại một số cơ chi trên như dạng vai (C5), bại gấp cẳng tay (C6), bại duỗi cẳng tay (C7), bại gấp các ngón tay (C8). Có thể kèm theo hiện tượng giật bó cơ khi bị teo cơ rõ. Tê một vùng ở cánh tay, cẳng tay, bàn ngón tay. Định khu của hiện tượng giảm cảmgiác tùy thuộc vào rễ thần kinh bị chèn ép. Làm nghiệm pháp căng dây thần kinh của đám rối cánh tay thì đau và tê tăng.
- Rối loạn phản xạ kiểu rễ cổ: giảm hoặc mất phản xạ gân xương do rễ thần kinh chi phói bị chèn ép: Phản xạ gân cơ nhị đầu cánh tay (C5), phản xạ trâm quay (C6), phản xạ cơ tam đầu (C7).
- Tổn thương rễ thần kinh cổ:
+ Rễ C1, C2 và một phần C3 tạo ra dây thần kinh chẩm Arnold, khi tổn thương gây đau đầu vùngchẩm.
+ Rễ C3: đau vùng chẩm gáy; kèm theo nói khó và tức ngực.
+ Rễ C4: đau bả vai và thành ngực trước; có ho, nấc, khó thở.
+ Rễ C5: đau mặt ngoài cánh tay đến cẳng tay; yếu cơ delta.
+ Rễ C6: đau mặt trước cánh tay đến ngón cái và trỏ; yếu cơ nhị đầu.
+ Rễ C7: đau mặt sau cánh tay đến ngón giữa; yếu cơ tam đầu.
+ Rễ C8: đau mặt trong cánh tay đến ngón nhẫn và út; yếu cơ bàn tay.
- Một số nghiệm pháp đánh giá tổn thương rễ thần kinh cổ:
+ Dấu hiệu chuông bấm: ấn điểm cạnh sống tương ứng với lỗ ghép thấy đau xuất hiện từ cổ lan xuống vai và cánh tay.
+ Nghiệm pháp Spurling (ép rễ thần kinh cổ): bệnh nhân ngồi hoặc nằm nghiêng đầu về bên đau, thầy thuốc dùng tay ép lên đỉnh đầu bệnh nhân, đau xuất hiện ở rễ bị tổn thương do làm hẹp lỗ ghép.
+ Nghiệm pháp căng rễ thần kinh cổ: bệnh nhân ngồi đầu nghiêng xoay về bên lành. Thầy thuốc cố định vai và từ từ đẩy đầu bệnh nhân về bên kia, đau xuất hiện dọc theo rễ thần kinh bị tổn thương. Hoặc bệnh nhân ngồi, thầy thuốc đặt tay lên vùng chẩm ấn từ từ cho cằm chạm xương ức, đau cũng xuất hiện dọc theo rễ thần kinh bị tổn thương.
+ Nghiệm pháp chùng rễ thần kinh cổ: bệnh nhân ngồi, thầy thuốc nâng cánh tay bên đau của bệnh nhân lên đầu và đưa ra sau, các triệu chứng rễ giảm hoặc mất.
+ Nghiệm pháp kéo giãn cột sống cổ: bệnh nhân nằm ngửa, thầy thuốc dùng 2 bàn tay đặt lên cằm và chẩm bệnh nhân, từ từ kéo theo trục dọc một lực độ 10-15kg, các triệu chứng rễ cũng giảm hoặc mất.
1.3. Hội chứng động mạch sống - nền
- Đau đầu vùng chẩm, chóng mặt, ù tai, mờ mắt, đôi khi có giảm thị lực thoáng qua. Đặc biệt bệnhnhân luôn thấy người mệt mỏi.
- Rung giật nhãn cầu, hội chứng tiểu não, hội chứng giao bên. Có cơn sụp đổ (Drop - attacks) khi quay cổ quá nhanh ở tư thế bất lợi.
1.4. Các hội chứng thần kinh thực vật
- Hội chứng giao cảm cổ sau (Hội chứng Barré - Lieou): đau nửa đầu hoặc vùng chẩm, chóng mặt, ù tai, mờ mắt hoặc mất thị lực thoáng qua, cơn rối loạn vận mạch. Các triệu chứng trên tăng lên khi quay cổ.
- Hội chứng vai - bàn tay: đau ở vùng bàn tay, các ngón tay, da bàn tay, có khi xanh tím, giảm nhiệt độ so với bên lành.
- Kích thích đám rối thần kinh cổ sau: cơn đau kiểu mạch đập ở vùng chẩm, hội chứng Claude Bernard - Horner, tê cóng bàn tay kiểu Raynaud, loạn cảm bỏng buốt ở khớp vai, co cứng các cơ cổ, tức ngực, hụt hơi, dị cảm ở họng.
- Đau quanh khớp vai: đau có tính chất phản xạ từ cổ xuống vai và cánh tay, đôi khi có tức ngực vùng trước tim. Khác với viêm quanh khớp vai, ở bệnh nhân này không có hạn chế vận động khớp vai.
- Hội chứng cơ thang: đau mặt trong cánh tay xuống ngón 4-5 và đau lan lên chẩm; đau tăng khi quay và nghiêng đầu sang bên đau kèm theo có lạnh ngọn chi, xanh tím, phù nề, mất mạch quay. Cần chẩn đoán phân biệt với bệnh lý còn xương sườn cổ VII.
1.5. Hội chứng tuỷ cổ:
Do lồi hoặc thoát vị đĩa đệm gây chèn tuỷ hoặc rễ thần kinh: biểu hiện sớm bởi dấu hiệu tê bì và mất khéo léo hai bàn tay, teo cơ 2 tay, đi lại khó khăn nhanh mỏi. Giai đoạn muộn tùy vị trí tổn thương có thể thấy liệt trung ương tứ chi; liệt ngoại vi hai tay - liệt trung ương hai chân; rối loạn phản xạ đại tiểu tiện.
2. Dấu hiệu X quang
2.1 Chụp X quang cổ thường quy.
- Hình ảnh X quang trên phim chụp cổ nghiêng thấy gai xương, mỏ xương ở thân đốt và mấu bán nguyệt, mỏ xương ở mấu bán nguyệt là lý do quan trọng, trực tiếp làm hẹp lỗ ghép và lỗ động mạchgây chèn ép rễ thần kinh và động mạch sống.
- Hình ảnh X quang trên phim chụp cổ tư thế thẳng cho thấy mờ đậm hoặc phì đại mấu bán nguyệt, bên tổn thương khe khớp bán nguyệt hẹp hơn bên lành.
- Trên phim chụp chếch 3/4 cột sống cổ thấy lỗ ghép méo mó và bị hẹp.
- Khi thoát vị đĩa đệm có thể thấy: mất ưỡn cong sinh lý, gai xương trước sau, hẹp khe liên đốt, trượt đốt sống, hẹp ống sống, hẹp lỗ ghép do gai xương.
2.2. Chụp tuỷ cản quang cột sống cổ.
Chụp tuỷ cản quang cột sống cổ khó hơn cột sống thắt lưng, kỹ thuật thường dùng là chụp tủy cổ đường bên giữa C1 và C2 trong tư thế bệnh nhân nằm sấp ngửa cổ tối đa.
2.3. Chụp cộng hưởng từ (MRI).
Trên ảnh MRI, đĩa đệm có ranh giới rõ, giảm tín hiệu trên T1 và tăng tín hiệu trên T2 do có nhiều nước. Các đĩa đệm thoái hóa do không có nước nên trên T2 tín hiệu không tăng so với các đĩa đệm khác. Khối đĩa đệm thoát vị là phần đồng tín hiệu với đĩa đệm nhô ra phía sau so với bờ sau thân đốt sống và không ngấm thuốc đối quang từ.
3. Nguyên nhân gây hội chứng cổ vai cánh tay.
3.1. Thoái hóa cột sống cổ.
- Thoái hoá đốt sống (Spondylosis): là sự thoái hoá các thành phần của xương khớp cùng các dây chằng cột sống tạo nên các gai xương. Hậu quả của thoái hoá các khớp đốt sống và dây chằng dẫn đến hẹp lỗ ghép (do mọc gai xương, phì đại mỏm khớp, hẹp đĩa đệm); trượt thân đốt (do mỏm khớp thoái hoá nặng, dây chằng lỏng lẻo, hở eo) và hẹp ống sống, hẹp lỗ động mạch thân nền.
Đặc biệt, khớp Luschka là một khớp giả đặc trưng chỉ ở cột sống cổ mới có, trong hoạt động chức năng luôn bị kích thích và dễ hình thành các mỏ xương ở giữa hai bờ thành sau ngoài đốt sống và có thể gây chèn ép vào tủy sống.
- Thoái hoá đĩa đệm (Disc degeneration): gồm tổn thương nhân nhày mất nước, vòng sợi giảm chiều cao và có nhiều vết rách (nứt), dẫn tới hẹp đĩa đệm và các đốt sống tiến lại gần nhau hơn, làm thay đổi sự hài hòa của các khớp đốt sống và làm thay đổi lỗ tiếp hợp.
- Hư xương sụn cột sống (Osteochondrosis): Là sự thoái hoá loạn dưỡng đĩa đệm và sự phản ứng của các tổ chức kế cận (dày mâm sụn, co cứng cơ cạnh sống, đau rễ thần kinh), biến đổi tăng dầntheo lứa tuổi.
3.2. Thoát vị đĩa đệm cột sống cổ.
3.2.1. Các hình thái thoát vị đĩa đệm cột sống cổ.
- Thoát vị đĩa đệm theo hướng ra sau giữa gây chèn ép tủy hai bên.
- Thoát vị đĩa đệm theo hướng cạnh giữa gây chèn ép một bên thân tủy.
- Thoát vị đĩa đệm theo hướng sau ngoài gây chèn ép một bên thân tủy và rễ thần kinh.
- Thoát vị đĩa đệm vào lỗ tiếp hợp gây chèn ép vào nhánh rễ thần kinh.
- Thoát vị đĩa đệm sang bên gây chèn ép vào động mạch sống và dây thần kinh sống.
- Thoát vị đĩa đệm ra trước không gây chèn ép vào rễ thần kinh, thân tủy và động mạch sống.
3.2.2. Đặc điểm lâm sàng thoát vị đĩa đệm cột sống cổ.
Thoát vị đĩa đệm cột sống cổ có bệnh cảnh lâm sàng rất đa dạng, phong phú, thay đổi tùy thuộc vào vị trí, thể loại, mức độ thoát vị và các giai đoạn của bệnh. Các hội chứng lâm sàng thường gặp là: hội chứng chèn ép rễ đơn thuần, hội chứng chèn ép tủy đơn thuần, hội chứng tủy rễ phối hợp và hội chứng rối loạn thần kinh thực vật.
- Hội chứng chèn ép rễ đơn thuần: có bệnh cảnh giống hội chứng cổ vai cánh tay như đã trình bày ở trên.
- Hội chứng chèn ép tủy đơn thuần thường khởi phát âm thầm, tiến triển từ từ trong thời gian dài với các biểu hiện:
+ Rối loạn vận động: là triệu chứng nổi bật, lúc đầu thấy mất khéo léo bàn tay, thay đổi dáng đi, đến các biểu hiện liệt ngoại vi hai tay và liệt trung ương hai chân. Kèm theo là các rối loạn về phản xạ và cơ tròn.
+ Rối loạn cảm giác: thường gặp tê bì ngọn chi trên, kèm theo có giảm cảm giác kiểu dẫn truyền dưới mức tổn thương. Thường giảm cảm giác đau và nhiệt, có thể giảm cả cảm giác sâu và cảm giác rung, nhưng cảm giác xúc giác thường vẫn còn.
+ Cột sống cổ đau nhẹ hoặc không đau, có thể có hạn chế vận động cột sống cổ.
- Hội chứng tủy rễ phối hợp: là hội chứng thường gặp, đợt cấp tính của hội chứng rễ tủy có thể xảy ra sau một chấn thương nhẹ trên bệnh nhân có thoái hóa cột sống cổ. Thường triệu chứng tủy rõ hơn triệu chứng rễ, các rối loạn về vận động và phản xạ rõ hơn rối loạn về cảm giác.
- Hội chứng rối loạn thần kinh thực vật: do thoát vị chèn vào dây chằng dọc sau, các màng tủy, mạch máu là những nơi có dây thần kinh đốt sống chi phối, dây này đã được bổ sung các sợi giao cảm từ hạch giao cảm cổ và hạch sao; còn do khớp mỏm móc đốt sống thoái hóa đè vào động mạch đốt sống. Biểu hiện lâm sàng: chóng mặt ù tai, mất thăng bằng; mắt mờ từng cơn, đôi khi đau ở phần sau hốc mắt; đỏ mặt đột ngột, cơn hạ huyết áp, vã mồ hôi, tăng nhu động ruột, cơn đau ngực do căn nguyên cột sống hay gặp trong thoát vị đĩa đệm C6-C7. Các gai xương phía trước hoặc thoát vị đĩa đệm ra trước gây khó nuốt do chèn ép thực quản.
4. Điều trị hội chứng cổ vai cánh tay.
- Thuốc giảm đau chống viêm.
- Nhiệt: tốt nhất là dùng paraffin đắp lên vùng cổ gáy, không nên chiếu hồng ngoại vào vùng gáy vì dễ làm kích thích hành tủy gây đau đầu.
- Điện xung: có thể dùng dòng TENS, dòng 2-5, dòng Diadynamic...
- Châm cứu: các huyệt Phong trì, Kiên ngung, Kiên tỉnh, Thiên tông, Khúc trì, Hợp cốc...
- Xoa bóp bấm huyệt vùng cổ vai cánh tay: xoa bóp có tác dụng để giảm đau và chống phù nề, tăng cường tuần hoàn dinh dưỡng. Tuy nhiên nó chỉ có tác dụng tốt sau thời kỳ cấp tính, tại thời điểm đau cấp các tổ chức còn rất nhạy cảm khi đó xoa bóp có thể làm tăng thêm tình trạng co cứng cơ. Kết hợp bấm nắn đốt sống bằng cách day và ấn trực tiếp lên gai sau đốt sống theo hướng ra trước, sang phải và sang trái.
- Kéo giãn cột sống cổ: là biện pháp điều trị cơ bản, với mục đích làm rộng các khe khớp, các lỗ ghép giảm chèn ép các rễ thần kinh; giãn cơ làm giảm co cứng cơ; giảm sự di lệch khớp. Thông thường, có thể chọn lực kéo lần đầu khoảng 7- 8kg, rồi tăng dần mỗi lần 1kg cho đến khi đạt khoảng 20% thể trọng thì duy trì lực này cho đến hết đợt. Đối với tư thế ngồi lực kéo phải cao hơn để thắng được trọng lượng của đầu. Thời gian một lần kéo 10-15 phút, mỗi đợi 15-20 ngày.
- Tập vận động cổ, bả vai, khớp vai, cánh tay:
Bài tập nhịp ổn định của Rene Caillet: bệnh nhân nằm hay ngồi với tư thế cột sống cổ gấp nhẹ, KTV dùng hai tay áp sát và giữ chặt hai bên thái dương của bệnh nhân, tiến hành kéo giãn cột sống cổ thẳng trục cơ thể. Trong tư thế này, KTV dùng lực hai tay chuyển hộp sọ nghiêng bên hoặc xoay bên đồng thời bệnh nhân phải gồng cơ một lực vừa đủ để kháng lại sao cho hộp sọ vẫn đứng yên tại chỗ, tạo nên một co cơ đẳng trường đối với các cơ vận động cột sống cổ. Lực tạo ra từ KTV thay đổi từ thấp đến cao rồi lại xuống thấp.
- Dự phòng:
+ Không làm việc quá lâu tại bàn giấy, đặc biệt là với máy vi tính, cứ mỗi 30 phút nên dừng lại để thực hiện các động tác vận động cột sống cổ, vai và tay.
+ Giữ ấm vùng cổ vai khi trời lạnh, khi đi xe máy, khi ngủ…
+ Tập luyện các môn thể thao nhẹ nhàng, tránh tác động mạnh lên vai tay.
Hy vọng với phần trả lời trên, bạn sẽ hài lòng và có nhiều thay đổi trong sinh hoạt và công việc để giảm bớt chứng bệnh mà bạn đang gặp phải.
Minh H…<….anlnh@yahoo.com.vn>
Hỏi: Tôi 40 tuổi, bị bệnh mờ mắt, đục thủy tinh thể đã điều trị và mổ mắt, tái khám ở BV ĐHYD TP HCM suốt 2 năm, cuối cùng mới XN dương tính Toxocara canis và đã điều trị với thuốc Thiabendazol 500mg ngày uống 3 viên (tôi 56 kg) chia 2 lần, uống 21 ngày. Chờ 3 tháng sau XN. Tôi vừa mới XN lại tại BV ĐHYD TP HCM, nhưng KQ vẫn còn dương tính. Vậy tôi có nên vào Viện SR - CT - KST Quy Nhơn XN lại hay không hoặc tiếp tục uống thêm 1 đợt Thiabendazol tăng lên 4 viên có được không? Xin thành khẩn cảm ơn và chờ đợi sự tư vấn của BS
Trả lời: Liên quan đến câu hỏi của bác, chúng tôi xin trả lời rằng bác không nhất thiết phải vào Viện Sốt rét KST-CT Quy Nhơn để khám và điều trị tiếp tục đâu vì bác đã uống thuốc đúng và đủ liều. Vả lại kết quả xét nghiệm sau 3 tháng của bác vẫn còn dương tính là điều có thể xảy ra trên nhiều bệnh nhân mắc ấu trùng giun đũa chó mèo.
Do vậy, nếu bác không còn triệu chứng gì của bệnh ấu trùng giun đũa chó nữa thì bác có thể an tâm hết bệnh và mỗi 6 tháng mình có thể đi kiểm tra lại một lần để xác định.
Vì có nhiều bệnh nhân sau khi hoàn tất liệu trình điều trị bằng thuốc đặc hiệu thì kết quả huyết thanh chuyển đổi từ dương tính sang âm tính mất đến 24 tháng bác ạ.
Thân chúc bác khỏe!
BS Dương Tân Thinh, thinhduong….56@gmail.com TP. Hồ Chí Minh, 0918034….
Hỏi: Xin hỏi các bác sĩ Huỳnh Hồng Quang, tôi đọc rất nhiều bài viết chuyên sâu liên quan đến bệnh ký sinh trùng của bác sĩ và tất cả tài liệu này đã giúp tôi rất hữu ích trong việc hành nghề. Tuy nhiên, đến nay theo tôi biết vì một số bệnh giun sán cần thuốc điều trị đặc hiệu nhưng phải sản xuất từ các hãng dược nổi tiếng như Triclabendazole (biệt dược Egaten) từ hãng Novartis trong điều trị bệnh sán lá gan lớn, thuốc Thiabendazole (biệt dược Mintazole) hay thuốc Ivermectin….trong điều trị các bệnh do ấu trùng giun đầu gai, giun đũa chó, giun lươn. Trong khi tôi biết đến giờ tình trạng các bệnh này tại Việt Nam là rất nhiều và nguy hiểm. Tại sao một viện đầu ngành như Viện sốt rét KST-CT Quy Nhơn không đặt ra vấn đề liên hệ đến các công ty dược sản xuất thuốc này trong nước để giảm giá thành và cứu giúp bệnh nhân nghèo? Xin cảm ơn bác sĩ đã trả lời!
Trả lời: trước hết chúng tôi xin cảm ơn đồng nghiệp đã tin tưởng và quan tâm đến trang website của Viện, đồng thời lại quan tâm đến cả việc đặt vấn đề sản xuất thuốc trong nước để giảm giá thành, giúp dân nghèo bớt đi gánh nặng bệnh tật liên quan đến bệnh giun sán. Chúng tôi cho rằng nếu việc sản xuất được các loại thuốc đặc trị giun sán trong nước với giá thành rẻ là rất đáng khích lệ và cần ủng hộ nhiệt thành từ mọi người và mọi ngành, nhất là ngành y tế. Có lẽ bạn là đồng nghiệp với chúng tôi cũng như ai trong ngành y tế đều nhìn nhận một điều rằng là giá thuốc hiện nay rất cao, đặc biệt giá thuốc các mặt hàng nói chung và giun sán nói riêng nhập khẩu từ các công ty nướcngoài sẽ khó kiểm soát được và nước ta vẫn còn phụ thuộc việc cung ứng thuốc của các công ty nước ngoài. Hơn nữa, việc cung ứng thuốc đặc trị như thế cho các bệnh nhân vẫn còn lệ thuộc các công ty có hàng độc quyền, chẳng hạn thuốc điều trị viêm gan virus B và C hiện vẫn còn lệ thuộc rất lớn vào nước ngoài nên không thể là tầm với với số tiền ít ỏi cho bệnh nhân nghèo, cuối cùng họ chọn vào con đường chết, trong khi bảo hiểm chỉ chi trả một phần nào đó mà thôi, một ví dụ thứ hai cũng cho thấy nghịch lý so với thuốc viêm gan là hàng thuốc điều trị sốt rét từ các công ty trong nước sản xuất (OPC, Nam Hà, Traphaco,…) thì thuốc và giá thuốc cung ứng luôn ổn định cho bệnh nhân.
Quay trở lại với thuốc điều trị giun sán như đồng nghiệp đề cập, chúng tôi biết giá thành của viên thuốc Triclabendazole đúng giá rất rẻ so với một liều điều trị, một viên thuốc chỉ có giá chưa vượt quá 30.000 đồng, nên tổng liều chưa quá 60.000 (nếu người đó khoảng dao động cân nặng 50kg), hoặc thuốc Albendazole viên nén hiện nay khoảng chừng 4.000 đồng và đã có thuốc do Việt Nam sản xuất (có thể từ nguyên liệu nước ngoài hoặc nguyên liệu trong nước), …do đó, cho thấy giá thuốc điều trị bệnh ký sinh trùng không cao so với một liệu trình điều trị, mà phải chăng thuốc bị đẩy giá lên cho một số chủ pharmacy hoặc thầy thuốc đầu cơ trong giai đoạn khan hiếm thuốc đã tự đẩy giá thuốc lên cao mà thôi, hoặc một lý do nữa là thầy thuốc đã kết nối với trình dược hoặc nhà thuốc đẩy giá lên cao để ăn hoa hồng trên từng viên thuốc mà bệnh nhân uống vào, khía cạnh đó nên đánh vào y đức của thầy thuốc và đạo đức kinh doanh của bán thuốc sẽ đúng hơn là soi xét khía cạnh tổng thể thị trường.
Nếu là bác sĩ có tâm và có tầm, sẽ rất đau khổ khi nhìn bệnh nhân sống cùng với bệnh tật do không có khả năng mua thuốc vì giá quá cao, nếu có thuốc và giá hợp lý thì bệnh nhân sẽ có cơ hội sống và khỏi bệnh cao hơn. Việc sản xuất các loại thuốc này trong nước một số mặt hàng đã có, một số chưa, chúng ta cũng cần tiến đến lộ trình sản xuất thuốc giá rẻ, song dù sao thì các công ty dược ở Việt Nam cũng phải tuân thủ lộ trình pháp lý, đúng quy định pháp luật trong nước cũng như quốc tế.
Tuy nhiên, thực tế từng có một vài quốc gia sẵn sàng vi phạm sở hữu trí tuệ của công ty độc quyền để có thuốc điều trị HIV/AIDS cho người dân của họ. Ở những quốc gia này có hàng triệu người bị nhiễm HIV/AIDS. Do thuốc độc quyền bán giá quá cao, không chịu giảm giá nên người dân các nước này không thể tiếp cận thuốc điều trị. Cuối cùng công ty độc quyền cũng phải chấp nhận cho các quốc gia đó vi phạm sở hữu trí tuệ sản xuất nhượng quyền để người dân của họ được hưởng lợi từ thuốc giá rẻ sản xuất trong nước. Mấy năm gần đây, ở Việt Nam có một số công ty trong nước đã sản xuất được thuốc điều trị nhiễm HIV/AIDS. Nhờ vậy, người nhiễm HIV đã có đủ thuốc và có thuốc giá rẻ để sử dụng, không còn phải phụ thuộc thuốc ngoại nhập giá cao như trước.
Cuối cùng, có lẽ chúng ta không nên lạm bàn về kinh doanh thuốc mà chỉ là giá thuốc vàbệnh nhân, không phải lúc nào cũng do lỗi từ các công ty dược độc quyền, mà đã là độc quyền thì họ lại quan tâm đến vấn đề lợi nhuận, nhưng không vì thế mà không nghĩ đến sự cân bằng giữa lợi nhuận – kết quả điều trị mang lại cho bệnh nhân, điều đó còn tùy thuộc vào mỗi công ty. Riêng vấn đề một số cơ sở lạm dụng bán thuốc, đẩy giá thuốc lên cao hơn so với giá niêm yết gấp nhiều lần là cần nghiêm trị và chấn chỉnh.
Một lần nữa, dẫu sao nhờ câu hỏi của bạn đồng nghiệp mà chúng ta mới có dịp trao đổi thẳng thắn với nhau trên quan điểm lợi ích bệnh nhân và giá thuốc thị trường hiện nay.
Tran Dinh Phuc Nguyen, 24 tuổi, Quảng Trạch, Quảng Bình, Email: nguyentran@yahoo....
Hỏi: Cho em hỏi, em là một sinh viên chuyên ngành nông nghiệp thú y. Em dự định làm tiếp luận văn thạch sĩ chuyên ngành này về mảng sán lá gan lớn, do vậy xin các bác sĩ và chủ ban biên tập cho em biết hiện nay tại Việt Nam và trên thế giới đã có hệ thống thông tin dựa vào Internet để giám sát bệnh sán lá gan lớn chưa. Nếu có cho em xin tài liệu (gởi qua email có được không, hay em phải nhờ bạn em đến xin photocopy). Em xin cảm ơn!
Trả lời:
Cảm ơn bạn đã đặt cho chúng tôi câu hỏi này, nếu quả thật bạn dự kiến làm đề tài luận văn thạc sĩ về hệ thống thông tin địa lý giám sát bệnh sán lá gan lớn là rất chuyên sâu và tuyệt vời. Với một số bệnh lý nhiễm trùng khác thì tại Việt Nam và Thế giới đã có một số công trình nghiên cứu. Riêng bệnh sán lá gan lớn, thì trên thế giới đã có một số nghiên cứu thử nghiệm và đánh giá tình hình dịch tễ bệnh sán này,…song riêng tại Việt Nam, với thông tin của chúng tôi có đó được thì hình như chưa có tài liệu nào đề cập vấn đề này.
Nhân câu hỏi của bạn, chúng tôi chỉ xin giới thiệu bạn một nghiên cứu tiến hành tại Mỹ cho biết hệ thống thông tin địa lý (GIS_Geographic information system) đánh giá sự phân bố tiềm tàng của sán lá gan Fasciola hepatica và F. gigantica trong vùng đông Phi dựa trên cơ sở dữ liệu của FAO
Nhóm nghiên cứu gồm [My paper] J B Malone, R Gommes, J Hansen, J M Yilma, J Slingenberg, F Snijders, F Nachtergaele, E Ataman thuộc trường đại học thú y bang Louisiana, Baton Rouge 70803, Mỹ tiến hành. Một mô hình máy tính xây dựng trên các dữ liệu dự báo thời tiết trước đó và đang diễn ra và nguồn dữ liệu sinh thái theo kỹ thuật số sẵn có trên FAO cho các quóc gia đang phát triển sử dụng để cùng hệ thống GIS thiết lập mô hình đánh giá nguy cơ về bệnh sán lá gan lớn ở đông Phi. Một vùng mà sán F. hepatica và F. gigantica có mặt như một nhân tố làm suy giảm kinh tế chăn nuôi chính của vùng. Bản đồ gòm các chỉ số dự báo về bệnh do F. hepatica và F.gigantica gigantica trong vùng được tạo ra.
Kết quả so sánh với các thông số về môi trường và dữ liệu điều tra về bệnh sán Fasciola đang có và mô hình phân bố đươc báo cáo trong y văn về sự có mặt của mỗi loài (F. hepatica trên độ cao > 1200m; hepatica,F. gigantica dưới độ cao 1.800m, cả hai đều có trong khoảng 1.200-1800 m). Nguy cơ lớn nhất cho cả hai loài xảy ra trên những vùng có lượng mưa hàng năm cao và và kéo dài liên quan đến availableddđộ ẩm trong đất cao và nước tồn lưu, với các nguy cơ giảm trong vùng có mùa mưa ngắn và nhiệt độ thấp. Các vùng khô cằn nói chung là không phù hợp (ngoại trừ có tưới tiêu, lũ lụt xảy ra) do thiếu đất ẩm và hoặc Africacác ca F.hepatica, nhiệt độ trung bình hằng năm > 230C. các vùng cao nguyên của Ethiopia và Kenya được xác định là không thích hợp cho loài F. gigantica do thiếu thang nhiệt, dưới ngưỡng cho phép để hoàn thành chu kỳ andtrong chỉ một năm. Việc phói hợp các chỉ số dự báo (F. hepatica + F.from gigantica) có ý nghĩa tương quan với các dữ liệu về tỷ lệ nhiễm ở các vùng khác nhau thông qua đánh giá. Vói các giá trị chỉ số về thảm thực vật khác biệt hằng tháng soil(normalized difference vegetation index_NDVI) lấy từ hệ thống cảm ứng (advanced very high resolution radiometer_AVHRR) trên vệ tinh. index
Để sử dụng cho chương trình phòng chống Fasciola spp, các kết quả này đã góp phần có ý nghĩa, đặc biệt các thông số phát triển trên asGIS và cơ sở dữ liệu sinh thái vùng và dự báo thời tiets hằng tháng, có thể dùng để xác định sự phân bố của 2 loài sán này. Sự khác biệt theo vùng về cường độ nhiễm và mô hình mùa lan truyền bệnh tại các vùng khác nhau. Các kết quả chỉ ra nhiều phương pháp sử dụng cùng lúc có thể xác định được tiềm năng phân bố cũng như xuất hiện của bệnh sán lá gan lớn này.different
Bạn có thể xem thêm một số từ khóa trong bài này mà tìm thêm thông tin bạn nhé. Chúc bạn thành công và sức khỏe!
Lê Đức Tu, vienlove@yahoo.com, TP. HCM
Hỏi: Xin các bác sĩ và ban biên tập cho em biết những thực phẩm nào giúp cho bọn em cải thiện chứng tắc tắt dục ở nam giới, năm nay em 42 tuổi, khỏe mạnh về xét nghiệm và cân nặng 56kg, nhưng không hiểu sao gần đây em không còn hứng thú chuyện đó nữa. Xin cảm ơn các bác sĩ tư vấn cho em !
Trả lời: Liên quan đến câu hỏi của bạn, chúng tôi xin chia sẻ rằng việc đi vào mãn kinh ở nữ và tắc dục ở nam giới có lẽ là quy luật của tuổi già. Song với bạn, vấn đề tắc dục có thể diễn ra sớm hơn mong muốn. Chúng tôi xin chia sẻ một đoạn tư vấn của một đồng nghiệp cho nhiều nam giới trong thời gian gần đây:
Tuổi già không trừ một ai. Nam giới bước vào tuổi trung niên thường lo lắng rằng “chuyện ấy” của mình không còn đầy nhiệt huyết như thời còn trai trẻ. Hội chứng tắt dục ở nam giới là chỉ một loạt biến đổi trong thời kỳ sinh lý đặc biệt này, tương ứng với thời kỳ trước và sau mãn kinh của nữ giới.
Theo y học cổ truyền, bệnh này có thể do âm hư, thận âm hư, thận dương hư, tâm thận bất giao... và đã đưa ra những món ăn bài thuốc hữu ích nhằm khắc phục:
·Long nhãn hấp đường: long nhãn tươi 500g, đường trắng 50g. Cho long nhãn và đường vào bát, đem lên hấp cách thủy 3 lần tới khi long nhãn chuyển màu thì thêm đường trắng vào để vào lọ dùng dần. Ăn liên tục trong 7 ngày, mỗi ngày ăn 2 lần, mỗi lần 5 quả. Long nhãn có vị ngọt tính bình, có tác dụng bổ tâm ích khí huyết, an thần cường chí, rất tốt cho những người bị mất ngủ, hay quên, hay lo lắng.
·Cháo hồng sâm: gạo tẻ 50g, hồng sâm 3g, đường phèn, nước đủ dùng. Gạo tẻ vo sạch. Hồng sâm tán nhỏ thành bột mịn. Cho tất cả vào nồi, đổ nước nấu thành cháo. Khi cháo chín nêm đường là dùng được. Hồng sâm có vị ngọt tính bình, có tác dụng bổ nguyên khí, ích thận tráng dương, giúp hưng phấn tuyến thượng thận, chống mệt mỏi, ngăn chặn sự lão hóa của cơ thể. Những người hay hốt hoảng, yếu “chuyện ấy” nên dùng.
·Trứng gà tần hà thủ ô, câu kỷ tử, táo đỏ: trứng gà 2 quả, hà thủ ô, câu kỷ tử 20g, táo đỏ 10 quả. Trứng gà rửa sạch, cho vào cùng với các vị thuốc trên luộc chín. Sau đó bóc vỏ trứng gà rồi lại thả tiếp trứng vào nồi, hầm tới khi thuốc còn chừng 1 bát con thì bắc xuống. Ăn cả trứng và uống nước thuốc. Ăn trong vòng 1 ngày, mỗi ngày 1 thang. Món ăn có tác dụng tư dưỡng can thận, chữa chứng mỏi lưng gối, hay bị chóng mặt, hoa mắt, nhức xương khớp, nam giới ở tuổi mãn dục nên sử dụng.
Cá trê cũng là một thức ăn bổ thận, dưỡng huyết, trong 100g thịt cá trê có 16,5g protid; 11,9g lipid; 20mg Ca; 21mg P; 1mg sắt; 0,1mg vitamin B1; 0,04mg vitamin B2; 1,4mg vitamin PP và cung cấp 178 calo. Theo y học cổ truyền, cá trê vị cam, tính ôn, có tác dụng ích âm, khai vị, thúc đẩy việc tạo sữa, lợi tiểu tiêu thũng, bổ huyết. Một số tác dụng của cá trê:
Dưỡng huyết điều kinh: cá trê 250g, đậu đen 150g, bột canh, nước đủ dùng. Cá trê làm sạch, bỏ mang, ruột, chặt khúc. Đậu đen rửa sạch, đậu đen hầm chín rồi cho cá trê vào hầm cùng với đậu đen tới khi cá chín nhừ, nêm bột canh là dùng được. Món ăn có tác dụng kiện tì, dưỡng huyết, điều kinh.
Bổ thận: cá trê 1-2 con, đậu đen 150g. Cá trê khử mùi tanh, nhờn, làm sạch, giữ nguyên đầu, lọc bỏ xương đẻ riêng. Ninh xương cá với 300ml nước để làm nước dùng. Đậu đen xay thành bột, cho vào nước xương quấy đều rồi đun sôi, để nhỏ lửa, cho cá vào nấu chín, nêm gia vị là dùng được. Ăn trong 15 ngày, bệnh sẽ cải thiện rõ ràng.
Chữa loạn kinh: cá trê 300g, ngải cứu 100g, hồng hoa 12g, bột đậu đen 120g, trần bì 6g. Cá trê làm sạch, cho vào nồi cùng bột đậu đen. Ngải cứu, hoa hồng, trần bì cho vào túi vải, buộc kín, cho nước vào đun nhỏ lửa, khi các thứ trong túi vải nhừ bỏ ra, nêm gia vị là dùng được.
Chú ý: Không nên ăn cá trê với rau kinh giới.
Nguyễn Thị Mỹ D. huydung1603@gmail.com, KTVXN tại BV Phước Phong DT: 01687…
Hỏi: Xin cho tôi hỏi trong các xét nghiệm miễn dịch hiện nay người ta thường dùng từ OD, tôi không biết nghĩa của từ này như thế nào, mong các bác giải đáp giúp cho, xin cảm ơn!
Trả lời:
Trước hết, chúng tôi thành thật xin lỗi bạn vì đã để lẫn câu hỏi này vào phần khác nên đã trả lời chậm so với dự kiến. Với câu hỏi của bạn chúng tôi xin trả lời như sau:
OD là một thuật ngữ trong nghiên cứu khoa học trong các kết quả xét nghiệm miễn dịch, đặc biệt là ELISA, chúng viết tắt của từ Optical density (OD) và đôi khi người ta gọi OD chính là chỉ số khúc xạ "index of refraction”. Trong lĩnh vực quang phổ học (spectroscopy), sự hấp phụ (absorbance) cũng gọi là Optical density và chúng được xác định bằng công thức:
Trong đó I là cường độ ánh sáng tại một bước sóng đặc biệt λ vượt quá một mẫu (cường độ dẫn truyền ánh sáng) và I0 là cường độ ánh sáng trước khi nó đi vào mẫu hoặc cường độ ánh sáng tới (incident light intensity). Đo độ hấp phụ là thường tiến hành trong phân tích hóa học, vì sự hấp phụ của mẫu là tỷ lệ với độ dày của mẫu và nồng độ của các kiểu hấp phụ trong mẫu, ngược với chỉ số I / I0 dẫn truyền của mẫu.
Lê Vịnh, 42 tuổi, nam, CTCPTM Ninh Giang, TP. Hà Nội, 0912367…
Hỏi:Xin các bác sĩ cho tôi hỏi, con tôi 2 cháu đều hay bị nhiễm giun sán liên tục nên cứ xét nghiệm là bị, tôi muốn hỏi làm thế nào chúng tôi ngăn ngừa cho các cháu khỏi bị nhiễm trở lại. Xin các bác sĩ tư vấn?
Trả lời:
Liên quan đến câu hỏi của bạn, chúng tôi xin chia sẻ với bạn rằng việc tái nhiễm các loại ký sinh trùng đi lại nhiều lần sẽ là gánh nặng cho cá nhân và cả cộng đồng. Gây ảnh hưởng đến sức khỏe rất lớn cho bạn, con bạn và cả cộng đồng. do vậy việc phòng tránh làm sao mà chống lại tình trạng tái nhiễm hay nhiễm mới mầm bệnh là vô cùng cần thiết.
Nhiều phương thức giúp cho chúng ta phòng tái nhiễm, và cũng nên phối hợp các biện pháp với nhau như một biện pháp tổng thể cho đạt hiệu quả:
·Các bữa ăn có cari định kỳ (có tính chyoongs ký sinh trùng cao) theo sau một đợt điều trị men tiêu hóa hoặc chất probiotics (để tái thiết lập hệ vi khuẩn chí khỏe cho đường ruột);
·Người ta cho rằng một tiếp cận mang tính thực tế để EXPECT trở nên bị nhiễm nhờ vào ký sinh trùng phá hủy cấu trúc và tiến hành định kỳ (chẳng hạn làm sạch hàng năm);
·Đảm bảo rằng tất cả thịt, thịt gà và cá được xử lý và nấu chín để ăn;
·Không dùng lò vi sóng để nấu thịt, thịt gà hay cá. Lò vi sóng thường không làm chín thức ăn hoàn toàn;
·Rửa sạch tất cả trái cây và rau trong nước sạch trước khi ăn (ngăn ngừa giun tròn và các loại giun sán khác);
·Luôn luôn rửa sạch tay trước khi ăn, nhà bếp và các vật dụng nhà bếp voiw nước xà phòng ấm, nóng sau khi cắt thịt, cá và thịt gà;
·Đảm bảo rằng tất cả thịt thịt gà và cá phải được nấu chín;
·Luôn mang giày, hoặc dép lê để phòng ngừa bệnh giun móc, mỏ;
·Không dùng nước từ các thùng nhiễm trùng hoặc các nguồn nước có nguy cơ tiềm tàng nhiễm trùng để rửa rau;
·Quản lý phân tốt (sử dụng nhà xí hợp vệ sinh);
·Dạy cho các trẻ em vệ sinh hợp lý, chẳng hạn rửa tay sau khi đi vệ sinh, chơi đùa bên ngoàinhà vườn và trước khi ăn thức ăn;
·Nếu bạn bị nhiễm ký sinh trùng, bạn có thể giảm khả năng thông qua việc rửa tay cẩn thận sau khi đi vệ sinh, rửa, lau vùng sinh dục và trước khi quan hệ tình dục;
·Mang găng tay khi thay các hộp đựng của mèo. Sổ giun định kỳ coh các vật cưng;
·Tránh uống nước sông, dòng sông, ao hồ khi bơi trong các ao hồ, sông ô nhiễm;
·Ăn nhiều thức ăn có chất xơ cao và tránh dùng quá đường và các carbohydrates;
·Cẩn trong khi ăn các cải xoong và củ ấu dễ nhiễm bệnh sán lá.
Hy vọng phần trả lời tuy chưa đủ, song cũng đã giúp gia đình bạn tránh tía nhiếm bệnh tốt.
Luu Hieu G. thugiang76@hotmail.com
Hỏi: Xin cho tôi hỏi khi bị nhiễm giun sán sẽ gây nên các biến chứng gì? Có nguy hiểm không? Tôi xin cảm ơn! Tôi nghe nói việc tồn tại giun sán trong người lâu dài có thể dẫn đến các tình trạng dị ứng với thực phẩm, điều này có đúng không?
Trả lời: Xin cảm ơn câu hỏi của bạn và câu hỏi của bạn được rất nhiều bạn đọc quan tâm cũng như cộng đồng. Tất nhiên, đối với một bệnh lý nào nếu không điều trị và xử trí thích đáng thì cũng có thể dẫn đến biến chứng, nếu các biến chứng đó không có thái độ xử trí thích đáng sẽ dẫn đến nguy hiểm, thậm chí đe dọa tính mạng.
Vì quần thể giun sán thiết lập và tái lập theo thời gian, nên nhiều vấn đề sức khỏe gây ra bởi các giun này cũng gây nên các bệnh lý hoặc tình trạng mạn tính. Giun sán có thể gây suy dinhdưỡng vì chúng thấy đi hoặc làm rò rỉ các chất hoặc thức ăn trong cơ thể bệnh nhân và quần thể - hoặc là giảm đi do làm chán ăn, hoặc ngăn ngừa thức ăn không hấp thu hợp lý vào hệ tiêu hóa. Các trẻ em có nhiễm giun sán mạn tính và một số lượng lớn giun có thể làm cho bệnh nhân gầy còm và dưới cân nặng theo ngưỡng.
Nhiễm trùng giun sán nặng với các loại giun tròn có thể gây tắc ruột. Giun đường ruột, đặc biệt là giun móc có thể góp phần gây thiếu máu do gây chảy máu rỉ rả theo từng ngày. Lượng lớn giun có thể dẫn đến suy giảm sức khỏe và dẫn đến bệnh tật. Nhiễm trùng mạn tính có thể dẫn đến trị trệ trí tuệ mạn tính và chậm phát triển thể chất, và nhiễm trùng nặng có thể đưa đến tử vong.
Một số biến chứng nặng hơn có thể gây tắc mật, chảy máu đường mật, xuất huyết tiêu hóa, nhiễm trùng khu trú hoặc nhiễm trùng phúc mạc, thủng ruột, viêm gan mật, abces gan mật,…
Một vấn đề đặc biệt mà từ lâu chúng ta không biết, đó là sự tồn tại lâu dài của giun sán trong cơ thể có thể góp phần phát sinh dị ứng thực phẩm.