Cho đến nay người ta vẫn quan niệm rằng các biến chứng sốt rét ác tính và tử vong sốt rét duy nhất chỉ có tác nhân gây bệnh là ký sinh trùng sốt rét Plasmodium falciparum gây nên, tuy nhiên những bằng chứng trong thời gian gần đây cho thấy rằng tác nhân gây biến chứng sốt rét không phải “đặc hữu” có chủng loại ký sinh trùng này.
Các biến chứng do sốt rét của P. vivax, P. ovale và P. malariae
Plasmodium vivax và P. ovale nhiễm trùng thường lành tính và các biến chứng dẫn đến bênh nặng và tử vong là rất hiếm gặp. Dù sót rét do P. vivax được xem là lành tính và cách nhật, bệnh có thể tự khỏi. Song gần đây số ca báo cáo gia tăng về bệnh SRAT do P. vivax tăng lên đáng kể với những biểu hiện lâm sàng khác nhau và có phần khác biệt với SRAT do P. falciparum, bao gồm giảm tiểu cầu, xuất huyết, SRAT thể não với hình thái lâm sàng thần kinh đa dạng, suy thận cấp, rối loạn chức năng gan, phổi, thận cấp tính, thậm chí có báo cáo tử vong.
Với sự gia tăng số báo cáo kháng thuốc, điều này lại càng được quan tâm hơn.Cơ chế sinh bệnh của các biểu hiện ác tính vẫn còn chưa thấu đáo. Điều trị kịp thời và phát hiện sớm cũng như quản lý ca bệnh cũng nên đặc ra và thận trọng như trong ca bệnh của P. falciparum.
Đặc điểm lâm sàng có sốt, nhức đầu, buồn nôn và nôn mửa trong sốt rét do P. vivax có thể làm mất hết sức lực bệnh nhân, đặc biệt trên các bệnh nhân không có miễn dịch và đang mắc nhiễm trùng lần đầu tiên bị sốt rét.
Vỡ lách
Sốt rét là một nguyên nhân quan trọng gây nên tình trạng vỡ lách tự phát. Sốt rét do P. vivax thường gây vỡ lách hơn sốt rét P. falciparum. Tỷ lệ xảy ra khoảng 0.7% số bệnh nhân. Vỡ lách xảy ra trên cơ địa sốt rét lách lớn, tăng sản, nhanh chóng và cấp tính. Hiếm khi xảy ra trên sốt rét mạn tính, cho dù lách lớn hàng loạt trên các bệnh nhân trong vùng. Lách lớn nhanh dẫn đến làm tăng trương phình bao lách và làm tăng tính dễ vỡ vụng của nhu mô lách. Lách lớn đáng kể có thể xảy ra ngay cả khi có mật độ ký sinh trùng sốt rét rất thấp (50/µml) và có thể tồn tại nhiều tuần hoặc nhiều tháng sau khi đã điều trị đặc hiệu hoàn thành liệu trình.
Các bệnh nhân có đau bụng, sốt, nhịp tim nhanh, suy nhược, mệt lả và thiếu máu diễn ra nhanh chóng cũng như hạ huyết áp. Một số đặc điểm lâm sàng này chính là tự bản thân bệnh sốt rét và do đó, vỡ lách có thể dễ dàng bị bỏ sót. Một mức độ nghi ngờ đòi hỏi đặt ra để chẩn đoán phân biệt với 2 tình trạng. Tăng bạch cầu, thiếu máu nặng và hạ huyết áp là các đặc điểm thường nghĩ đến chẩn đoán vỡ lách. Siêu âm được đánh giá khi siêu âm bụng tổng quát và chọc dò ổ bụng có thể giúp xác định chẩn đoán.
Điều trị bao gồm truyền dịch hoàn hồi thay thế và máu, hoặc mổ bụng thăm dò hoặc cắt lách. Vỡ lách có thể gây tử vong cao khoảng 80% và điều này đặc biệt một phần góp phần vào kiến thức liên quan đến sốt rét cũng như các khả năng dễ chẩn đoán nhầm.
Rối loạn chức năng gan;
Lách lớn và viêm gan không đặc hiệu, có hoặc không kèm theo vàng da có thể xảy ra trong sốt rét do P. vivax. Sốt, vàng da, đau tức vùng gan và tăng men gan mức độ nhẹ cũng như tăng nhẹ mức bilirubine cũng có thể gặp. Sinh thiết gan trên những ca như thế cho thấy các hạt pigment màu nâu trong các tế bào Kupffer, các hình ảnh tổn thương mô hạt kích thước nhẹ đến trung bình kèm theo thâm nhiễm bạch cầu đơn nhân và hoại tử tế bào gan. Chức năng gan trở về bình thường trong thời gian ngắn sau khi đã điều trị sốt rét đặc hiệu.
Giảm tiểu cầu:
Giảm số lượng tiểu cầu có thể xảy ra đối với sốt rét do P. vivax, tuy nhiên chúng thường nhẹ và xuất huyết ít khi xảy ra.
Thiếu máu nặng:
P. vivax có thể gây nên thiếu máu nặng, đặc biệt khi nhiễm trùng mạn tính và tái phát liên tục. Điều này rất hiếm khi đe dọa tính mạng hoặc gây tử vong cho bệnh nhân.
Biến chứng lên hệ thần kinh trung ương:
Thay đổi hành vi, rối loạn nhận thức và cảm giác, cơn co giật, động kinh, đặc điểm ở tiểu não và thất điều, bán manh, dị cảm hoặc liệt nhẹ một bên, mất ngôn ngữ, loạn thần, bệnh lyus đa dây thần kinh bị hủy và viêm và hội chứng thần kinh sau sốt rét gây nên liệt mặt hai bên đều đã được báo cáo trên sốt rét ác tính do P. vivax và một số ca này đã liên quan đến nhiều cơ quan.
Bệnh lý thận do sốt rét P. malariae (Quartan malarial nephropathy )
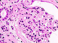
Trong các vùng nơi mà sốt rét do P. malariae lưu hành, có nhiều bằng chứng về dịch tễ học liên quan đến nhiếm loài P. malariae với bệnh lý viêm thận cầu thận liên quan đến phức hợp miễn dịch à dẫn đến hội chứng thận. Vì chỉ một số ca nhiễm phát triển thành bệnh lý thận, nên có thể các yếu tó khác cũng liên quan đến bệnh sinh của bệnh lý này. Về mặt mô học, có bệnh lý xơ hóa cầu thận từng phần hoặc xơ hóa cầu thận cục bộ (focal and segmental glomerulosclerosis) với tổn thương màng đáy xơ hóa hoặc mảnh vụn, sinh ra các hốc lõm và khuyết trong nhu mô thận. Những mảnh vụn lắng đọng dưới tế bào nội mô được nhìn thấy dưới kính hiển vi điện tử và phân tích hóa mô miễn dịch huỳnh quang cho thấy hình ảnh lắng đọng của các bổ thể và immunoglobulins. Khoảng 25% bệnh nhân nhiễm P. malariae có thể phát hiện loại kháng nguyên này.
Các bệnh nhân thường ở tuổi dao động 15 với đặc điểm điển hình của hội chứng thận hư. Điều trị bằng thuốc sốt rét, corticosteroids hoặc chất gây độc tế bào không thể có ích trong cải thiện bệnh.
Tài liệu tham khảo
1.Kochar DK, Das A, Kochar SK. Severe Plasmodium vivax malaria: A report on serial cases from Bikaner in Northwestern India. Am. J. Trop. Med. Hyg. 2009;80(2):194-198. http://www.ajtmh.org/cgi/content/full/80/2/194
2.Andrade BB, Reis-Filho A, M Souza-Neto S. Severe Plasmodium vivax malaria exhibits marked inflammatory imbalance. Malaria J 2010;9:13. doi:10.1186/1475-2875-9-13 At http://malariajournal.com/content/9/1/13
3.Tilluckdharry CC, Chadee DD, Doon R, Nehall J. A case of vivax malaria presenting with psychosis. West Indian Med J. Mar 1996;45(1):39-40.
4.Taksande B, Jajoo U, Jajoo M. Cerebellar Malaria: A Rare Manifestation of Plasmodium vivax. The Internet Journal of Neurology. 2007;7(1) http://www.ispub.com/ostia/index.php?xmlFilePath=journals/ijn/vol7n1/vivax.xml
5.AM Taksande, KY Vilhekar Cerebellar Malaria Due to Plasmodium vivax in a Child. Iranian J Parasitol 2008;3(2):57-59. Full Text at http://www.sid.ir/En/VEWSSID/J_pdf/114920080210.pdf
6.Thapa R, Ranjan R, Patra VS, Chakrabartty S. Childhood Cerebral Vivax Malaria With Pancytopenia. Journal of Pediatric Hematology/Oncology. February 2009;31(2):116-117. doi: 10.1097/MPH.0b013e318186855a
7. Beg MA, Khan R, Baig SM, Gulzar Z, Hussain R, Smego RA Jr,. Cerebral involvement in benign tertian malaria. Am J Trop Med Hyg 2002;67:230–232. http://www.ajtmh.org/cgi/reprint/67/3/230
8.Sachdev HS, Mohan M. Vivax cerebral malaria. J Trop Pediatr 1985;31:213–215.
9.Rajoo Thapa, Vikram Patra, Ritabrata Kundu. Plasmodium vivax Cerebral Malaria. Indian Pediatrics 2007;44:433-434. Full Text at http://indianpediatrics.net/june2007/433.pdf
10.Ozen M, Gungor S, Atambay M, Daldal N. Cerebral malaria owing to Plasmodium vivax: case report. Ann J Pediatr 2006;26:141-144
11.Suman Sarkar, Prithwis Bhattacharya. Cerebral malaria caused by Plasmodium vivax in adult subjects. Indian J Crit Care Med. Oct–Dec 2008;12(4):204–205. doi: 10.4103/0972-5229.45084. Full Text at http://www.ijccm.org/text.asp?2008/12/4/204/45084
12.Anupkumar R. Anvikar, Dinesh K. Singh, Ruchi Singh, Aditya P. Dash, Neena Valecha. Vivax malaria presenting with cerebral malaria and convulsions. Acta Parasitologica March, 2010;55(1):96-98. DOI 10.2478/s11686-010-0013-7
13.Mishra VN, Singh D. Cerebral malaria by Plasmodium vivax. J Assoc Physicians India. 1989 Jun;37(6):411.
14.Parakh, A, Agarwal N, Aggarwal A, Aneja A. Plasmodium vivax malaria in children: uncommon manifestations. Annals of Tropical Paediatrics: International Child Health. December 2009;29(4):253-256.
15.RK Patial, D Kapoor, JK Mokta. Cerebral dysfunction in vivax malaria: a case report. Ind J Med Scs. 1998;52(4):159-60.
16.Khurshid Ahmad Abbasi, Shabir Ahmed Shaikh. Comparative study of Cerebral Malaria due to Plasmodium vivax and Falciparum. Pak Paed J Dec 1997;21(4):155-158.
17.Jeanne R. Poespoprodjo et al. Vivax Malaria: A Major Cause of Morbidity in Early Infancy. Clinical Infectious Diseases 2009;48:1704–1712