Đây là báo cáo đầu tiên về việc dùng Artesunate để điều trị nhiễm Cytomegalovirus (CMV) ở một người được ghép tế bào gốc, người này nhiễm CMV đột biến tại vị trí L776M đề kháng với Foscarnet và Ganciclovir (2 thuốc điều trị virus). Điều trị với Artesunate có kết quả giảm 1.7 – 2.1 log tải lượng virus trong 7 ngày, với thời gian bán huỷ hoại virus là 0.9 – 1.9 ngày, cho thấy thuốc có hiệu lực cao trong việc ức chế sự nhân lên virus. (Bài viết dưới đây tổng hợp từ các trang tin The Antiviral Activities of Artemisinin and Artesunate và Clinical Infectious Diseases 2008; 46:1455–7 và nhiều hình ảnh liên quan đến CMV trích dẫn từ Interrnet).
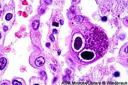
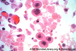
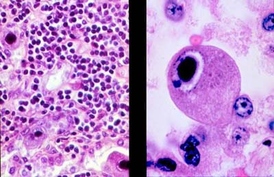
Mặc dù có nhiều tiến bộ trong chẩn đoán và điều trị, song nhiễm CMV vẫn còn là một biến chứng có ý nghĩa sau ghép tế bào nguồn tuỷ xương. Việc phòng ngừa bằng dùng rộng rãi các thuốc kháng virus đã từng làm giảm bớt nhiều ca nhiễm CMV xảy ra sớm. Tuy nhiên, việc nhiễm CMV muộn đã được ghi nhận tăng lên. Các yếu tố nguy cơ chính đối với nhiễm CMV muộn gồm ghép tế bào nguồn tuỷ xương đơn bội haploidentical, ghép tuỷ người có bệnh trước và dùng corticosteroid liều cao trong quá trình điều trị. Sự tái hình thành miễn dịch bị chậm lại có thể cho phép sự nhân lên của virus được tiếp diễn, với sự xuất hiện các dòng virus kháng thuốc dưới áp lực thuốc. Tất cả thuốc bị kháng bởi CMV hiện có, gồm Ganciclovir, Foscarnet và Cidofovir với đích tác dụng của thuốc là DNA polymerase của virus. Việc dùng các thuốc này bị hạn chế vì độc tính, nồng độ hữu dụng trong máu thấp khi dùng bằng đường uống và điều quan trọng là đã bị kháng thuốc. Kháng Ganciclovir chủ yếu tạo ra các dòng đột biến CMV UL97 kinase và ít hơn do các đột biến ở DNA polymerase (gen pol) của virus. Các đột biến Foscarnet và đột biến Cidofovir được tìm thấy ở gen pol và các đột biến mà có được sự kháng chéo với nhiều thuốc đã từng được báo cáo. Sự chuyển đổi dịch tễ học của nhiễm CMV đòi hỏi quá trình điều trị lặp lại vào kéo dài, tạo nên một nhu cầu gia tăng đối với các thuốc chống virus mới. Benzimidazole l-riboside Maribavir, mà nhắm vào đích tác dụng là UL97 kinase, tạo ra sự hứa hẹn như một điều trị thay thế đối với nhiễm virus này.
Gần đây, Artesunate một thuốc điều trị sốt rét cho thấy có hiệu quả như một chất ức chế nhiễm CMV ở người trong ống nghiệm. Hoạt tính kháng virus của nó được biểu hiện thêm nữa trên mô hình nhiễm CMV ở chuột. Mặc dầu chưa hiểu rõ cơ chế tác dụng, cơ chế này khác với cơ chế của các thuốc sẵn có hiện nay và có thể qua trung gian bằng sự ức chế những con đường hoạt hoá tế bào mà nó đóng vai trò cơ bản trong sự nhân lên của virus. Điều quan trọng, việc mở rộng dùng Artesunate ở bệnh nhân sốt rét chưa từng thấy các tác dụng không mong muốn đáng kể. Các dữ liệu này đưa ra khả năng rằng Artesunate đại diện cho sự chọn lựa điều trị an toàn trong nhiễm CMV. Với sự hiểu biết, chúng ta mô tả lần đầu tiên sử dụng Artesunate trên lâm sàng để điều trị nhiễm CMV ở một bệnh nhân phát triển nhiễm CMV kháng các thuốc kháng virus trong quá trình điều trị dự phòng sau ghép tuỷ bằng tế bào máu nguồn.
Trình bày ca bệnh
Bệnh nhân nam, 12 tuổi mắc chứng bệnh liên quan di truyền mất myelin của hệ thần kinh trung ương (adrenoleukodystrophy) liên quan nhiễm sắc thể giới tính X, tiếp nhận tế bào nguồn tuỷ đơn bội đồng nhất không có tế bào T từ người cha. Thuốc điều trị cho bệnh nhân gồm Fludarabine, Busulfex, Antithymocytic globulin và xạ trị. Bắt đầu ngày 15 sau ghép tuỷ, ghi nhận bệnh nhân bị nhiễm CMV máu, bệnh nhân được điều trị bằng Foscarnet (liều tải, 60 mg/kg x 3 lần / ngày) vì hiện tượng ức chế tuỷ mà không dùng Ganciclovir, với đáp ứng virus ban đầu thích hợp. Từ ngày thứ 119, phát hiện nhiễm CMV tái phát, với sự gia tăng lượng virus liên tục suốt quá trình điều trị phòng ngừa bằng Foscarnet (liều duy trì, 120 mg/kg/ngày), được tiếp sau một liều tải, kèm theo sốt và hiện tượng ức chế tuỷ xương. Thất bại trong việc duy trì tuỷ xương mặc dầu bệnh nhân được tiếp nhận lần 2 ghép tuỷ bằng tế bào nguồn. Tiếp tục điều trị thử bằng Ganciclovir (liều tải 5 mg/kg x 2 lần/ngày) và Cidofovir (5 mg/kg/tuần) được phối hợp với Imunoglobulin (Ig) tĩnh mạch vẫn thất bại và lượng DNA virus tăng đến 1.15 x 106 copies/mL.
Tại thời điểm này, điều trị với tất cả các thuốckháng CMV thường quy chỉ định đều bị cắt và dùng Artesunate đường uống (100 mg/ngày; được sự chấp nhận của Hội đồng đạo đức nghiên cứu của viện) để điều trị trên cơ sở điều trị đến cùng cho người bệnh. Ghi nhận có một đáp ứng thích hợp, với sự giảm nhanh tải lượng virus và cải thiện sự sinh tuỷ trong vòng 10 ngày sau khi bắt đầu điều trị. Không ghi nhận tác dụng ngoại ý nào trong vòng 30 ngày điều trị. Không có tác dụng dội lại tải lượng virus trong vòng 76 ngày sau khi hoàn tất điều trị.
Tại thời điểm ngày 346, 15 ngày sau khi bệnh nhân tiếp nhận đợt ghép tế bào tuỷ đơn bội đồng nhất từ mẹ, có một đợt virus tái phát. Một đợt điều trị Artesunate thứ hai với kết quả giảm nhanh chóng lượng virus trong máu ngoại vi. Tuy nhiên, viêm võng mạc do CMV được phát hiện sau đó (ngày thứ 378) trong quá trình điều trị. được kết hợp với Artesunate toàn thân và tiêm Ganciclovir vào thuỷ dịch kết quả là khỏi viêm võng mạc, với đáp ứng virus duy trì bền vững (theo dõi đến ngày thứ 665).
Định lượng CMV DNA. Tải lượng DNA virus trong mẫu máu toàn thể (số copies mã di truyền virus/mL) được xác định bằng thử nghiệm real-time PCR, với việc dùng các đầu mồi và một đầu dò được dẫn xuất từ CMV gB gene. Thử nghiệm này biểu thị một định lượng tuyến tính trên một phạm vi 6 – log, với một độ nhạy 50 copies/mL. Thời gian bán huỷ hoại virus (T12 ), tải lượng DNA của CMV được tính toán trên cơ sở đường phù hợp nhất bằng cách dùng phương trình (ln2)/a, ở đây a là hằng số tăng trưởng của virus.
Khuếch đại và giải trình tự gene CMV UL97 và gen pol. Thực hiện giải trình tự gen trực tiếp bằng PCR, bằng cách dùng các cặp mồi trùng lắp gồm các nucleotides 1207 – 1979 (UL97) và 900 – 3000 (pol). Các miền này bao gồm các đột biến đề kháng được biết trước. Các thực nghiệm chuyển tải dấu ấn. Để xác minh kiểu hình kháng đột biến gen pol đã được phát hiện, người ta chuyển vào tham chiếu dòng virus T2211 nhạy cảm với thuốc kháng virus, dòng này có chứa một gen mang alkaline phosphatase. Sự nhạy cảm thuốc kháng virus của virus tái tổ hợp tinh khiết được thử nghiệm thông qua xác định nồng độ thuốc được yêu cầu để giảm hoạt tính alkaline phosphatase được tiết ra trong dịch nuôi cấy gần nồng độ ức chế tối thiểu 50% (IC50), với dùng 13 – 25 thực nghiệm nhân lên đối với mỗi thứ thuốc.
Một số bàn luận
Với sự sống sót được cải thiện sau ghép tuỷ tế bào nguyồn, thay đổi trong các thuốc ức chế miễn dịch và tiếp tục dùng thuốc kháng virus, kháng thuốc đã trở thành vấn đề trong ca bệnh này. Sự gia tăng không đổi lượng virus suốt thời gian điều trị Foscarnet ở một bệnh nhân có nguy cơ cao sau ghép tế bào tuỷ nguồn đơn bội đồng nhất thiếu tế bào T gợi ý sự hiện diện virus kháng thuốc. Phân tích kiểu gen trực tiếp cho biết không có đột biến ở gen UL97. Quần thể virus type hoang dại hổn hợp và quần thể virus đột biến gen pol mang amino acid L776M trong pol thay thế được tìm thấy sau điều trị Foscarnet tích luỹ 116 ngày. L776M định vị ở vùng VI của pol được bảo tồn, gần với các đột biến tại các codon 756, 781 và 787, mà người ta biết là liên quan đến đề kháng Foscarnet. Thực ra, định danh kiểu hình tái tổ hợp cho biết sự tăng lên 3.5 lần và .,5 lần IC50 của đột biến L776M tương ứng đối với Foscarnet và Ganciclovir và không tăng lên đối với Cidofovir, xác minh kiểu hình đề kháng Foscarnet và kiểu hình gần đề kháng với Ganciclovir của đột biến mới này. Trong nuôi cấy tế bào, sự tăng trưởng đột biến L776M bị chậm lại, cũng như tìm thấy trong một số trường hợp đột biến gen pol khác. Tuy nhiên, biến thể L776M tồn tại đến 1.100 ngày sau khi ngừng điều trị Foscarnet, gợi ý sự ổn định của nó trên lâm sàng.
Điều quan trọng, khi điều trị Artesunate dẫn đến hiệu quả trong việc giảm nhanh lượng virus. Mặc dầu không có test sẵn có về phân lập virus trên lâm sàng để thử sự nhạy cảm virus với Artesunate trên ống nghiệm, song giảm 1.7 – 2.1 log lượng virus của bệnh nhân gần ngày thứ 7 được biểu thị trong các quá trình điều trị lặp lại. Sự đáp ứng mở rộng này có thể so sánh với sự đáp ứng được quan sát trong quá trình khởi đầu điều trị bằng Ganciclovir của bệnh nhân (giảm 1-log gần ngày 7) và đáp ứng với Ganciclovir và Foscarnet đã được báo cáo.
Ngoài ra, phân tích động học tải lượng virus CMV suốt quá trình điều trị bằng Artesunate đã cho biết với thời gian bán huỷ hoại virus ngắn (t1/2; 0.9 – 1.9 ngày), một phạm vi tương tự với phạm vi đã cho thấy trong quá trình điều trị Ganciclovir. Mặc dầu cơ chế tác dụng kháng virus của Artesunate chưa được rõ, các dữ liệu chắc chắn này giải thích cho hiệu lực ức chế virus cao của sản phẩm này và cùng tuyến được báo cáo các kết quả trên nghiên cứu ống nghiệm.
Điều thú vị trong ca bệnh này là khi lấy mẫu tần số trong đợt đầu điều trị bằng Artesunate đã xác nhận. Đối với lần thứ nhất, giảm lượng CMV 2 giai đoạn, ở đó giai đoạn đầu biểu thị bằng đường giảm nhanh (t ½; 0.9 ngày) được tiếp theo sau bằng một giai đoạn giảm chậm hơn (t ½; 8 ngày). Trên cơ sở về các nghiên cứu động học chi tiết trong các virus viêm gan C và B, người ta có thể giải thích rằng Artesunate ức chế 95% – 99% sinh virus của CMV hoặc giải phóng từ tế bào nhiễm. Như vậy, sự giảm nhanh ban đầu tương ứng với tỷ lệ thanh thải làm sạch các tiểu thể virus và giai đoạn 2 có thể cho biết tỷ lệ mất đi các tế bào bị nhiễm CMV.
Động học lượng DNA của CMV và điều trị thuốc kháng virus ở bệnh nhân nhiễm CMV tái phát trong quá trình điều trị dự phòng (Vết đậm: điều trị cảm ứng; dòng chấm: điều trị duy trì; mũi tên: thời điểm bắt đầu điều trị Artesunate. HSCT: ghép tế bào nguồn tuỷ xương).
Ghi chú: IC50 là số đo tác dụng của một hổn hợp có khả năng ức chế chức năng sinh học hoặc chức năng sinh hoá. Thường, hổn hợp là một thuốc dự tuyển. Số đo định lượng này phản ánh lượng của một thuốc cụ thể là bao nhiêu mà người ta cần đến để ức chế một tiến trình sinh học đã cho xuống một phần nữa so với ban đầu. Nói cách khác, đó là nồng độ ức chế tối đa là 50% của một chất (50% IC, hoặc IC50). Theo FDA, IC50 đại diện cho nồng độ của một thuốc mà được yêu cầu để sự ức chế xảy ra 50% trong ống nghiệm. Khác với một EC50, EC50 cũng đại diện nồng độ cần đến trong huyết tương để đạt được 50% của một hiệu quả tối đa trên cơ thể bệnh nhân.
Ở bệnh nhân này, Artesunate được dung nạp tốt trong các quá trình điều trị dài ngày và đã gây cảm ứng một sự ức chế ổn định sự nhân lên của virus. Trong mối liên quan này, sự kháng thuốc không được mong đợi nhằm phát triển trong quá trình điều trị bằng Artesunate, vì cơ chế kháng virus được đề xuất liên quan đến tế bào hơn là các đích virus. Sự phát triển viêm võng mạc trong quá trình dùng Artesunate để điều trị có thể phản ứng sự thấm nhập vào mắt bị hạn chế của thuốc này. Mặc dầu Artesunate đã từng cho thấy là hiệu lực trong điều trị sốt rét ác tính thể não, liên quan đến sự xuyên thấm vào hệ thần kinh trung ương, các liều thuốc uống cao hơn có thể được yêu cầu để đạt được một nồng độ thuốc tại chổ cao hơn IC50.
Kết luận về trường hợp này, Artesunate được minh chứng là một chất ức chế sự nhân lên CMV với hiệu lực cao. Cần tiến hành thêm các nghiên cứu để kiểm tra vai trò của Artesunate trong điều trị nhiễm CMV trong quá trình ghép tuỷ.