Sốt Q (Q fever) theo phân loại và nguồn tài liệu cho biết theo ICD-10 là A78, theo ICD-9 là 083.0, theo eMedicine với nguồn med/1982 ped/1973 MeSH với nguồn và hồ sơ lưu D011778. Bệnh được mô tả lần đầu tiên bởi tác giả Edward Holbrook Derrick trên những công nhân làm việc trong các lò mổ ở Brisbane, Queensland, Australia. Từ "Q" thay cho từ "Query" và ứng dụng vào thời điểm khi mà tác nhân gây bệnh vẫn còn chưa biết hay vẫn còn là dấu hỏi “question”; cũng có tác giả đề nghị là sốt lò mổ, sốt lò sát sinh ("abattoir fever") và sốt do rickettsia ở Queensland ("Queensland rickettsial fever"), để tránh nghĩa ngụ ý ẩn chứa mang ý nghĩa bệnh do ngành công nghiệp gia súc gây ra hoặc bệnh ở bang Queensland.
Đôi nét về sốt Q
Bệnh sinh của sốt Q được phát hiện vào năm 1937, khi đó Frank Macfarlane Burnet và Mavis Freeman phân lập vi khuẩn từ một bệnh nhân của tác giả Derrick. Tác nhân gây bệnh được xác định có nguồn gốc với các loài Rickettsia. H.R.Cox và Davis phân lập chúng từ con ve, con bét ở Montana, Mỹ vào năm 1938. Đây là một bệnh động vật truyền sang người (zoonotic disease)m à ổ chứa gặp nhiều nhất là gia súc cừu, dê. Coxiella burnetii có liên quan chặt chẽ với Rickettsiae nhưng tương tự với Legionella và Francisella và dòng vi khuẩn nhóm proteobacterium, bệnh nhiễm trùng này do nhiễm tác nhân Coxiella burnetii, một loại vi khuẩn ảnh hưởng và nhiễm trên cả người và động vật, loài này hiếm khi đề cập trên người, song tìm thấy nhiều trên gia súc, cừu, dê và một số vật nuôi có vú khác, cả chó và mèo. Sự nhiễm trùng do quá trình hít phải các phần tử nhiễm trong không khí hoặc tiếp xúc với sữa, nước tiểu, phân, chất nhầy, dich âm đạo và tinh trùng của động vật nhiễm bệnh. Đây có thể là bệnh nhiễm trùng nhất trên thế giới vì con người có thể nhiễm đơn giản và vi khuẩn là sống ký sinh nội bào bắt buộc.
Năm 2009, Hà Han với số ca sốt Q là 2300 ca, trong đó 6 trường hợp tử vong, bên cạnh đó, website http://www.nationmaster.com/ cũng cập nhật số liệu đến năm 2004 cho thấy Ai Cập có số tử vong caonhất là 25 người. Các nước Đức, Argentina, Úc, Tây Ban Nha đều có một trường hợp tử vong và tại Mỹ hăng năm đều xuất hiện một số trường hợp bị sốt Q, dặc biệt khu vực miền tây.
Đối với Việt Nam, bệnh sốt Q như thế nào?
Mặc dù bệnh sốt Q xuất hiện tại Hà Lan và một số quốc gia khác và có cả trường hợp tử vong, sốt Q - bệnh có tên gọi khá lạ với người dân trong nước, nhưng những thông tin mới đây cho biết, trong năm 2009 đã có 6 người tử vong tại Hà Lan do sốt Q, khiến nhiều người quan tâm. Mặc dù ổ chứa bệnh trên gia súc nhưng chúng có thể lây nhiễm “khá dễ” sang người. Song Việt Nam, nước ta, Bộ Y tế khẳng định hiện nay chưa ghi nhận ca bệnh nào cũng như chưa có thông báo xuất hiện bệnh trên vật nuôi. Gần đây PGS.TS. Trịnh Quân Huấn-thứ trưởng Bộ Y tế và TS. Trần Thanh Dương-Phó Cục trưởng Cục Y tế dự phòng và Môi trường, Bộ Y tế cũng đã khẳng định về bệnh sốt Q chưa có xuất hiện tại Việt Nam. Trong khi thông tin báo chí trong nước dẫn nguồn từ nước ngoài cho biết đã có 6 ca tử vong do sốt Q (Q-fever) tại Hà Lan. Tuy nhiên, Bộ Y tế cũng chưa nhận được thông tin chính thức từ Tổ chức Y tế thế giới (WHO) hay từ cơ quan y tế quốc tế khác thông báo các vấn đề liên quan đến bệnh dịch này. Cơ quan chức năng sẽ hợp tác với Tổ chức WHO tại Việt Nam cũng như các tổ chức y tế quốc tế để có được thông tin sớm nhất về dịch bệnh. Thông tin từ Cục Y tế dự phòng và môi trường (Bộ Y tế) cho biết, sốt Q do vi khuẩn gây nên, bệnh xuất hiện trên dê có thể lây nhiễm sang người. Tuy nhiên, trước tình hình dịch bệnh gia tăng tại Hà Lan (số mắc năm 2009 tăng mạnh so với cùng kỳ 2008), Bộ Y tế sẽ nhanh chóng liên lạc với các tổ chức quốc tế, trao đổi thông tin, cập nhật tình hình để sẵn sàng biện pháp đối phó và điều trị nếu có trường hợp mắc tại Việt Nam.
Vài nét về dịch tễ học và tác nhân gây bệnh
Tác nhân chính là vi khuẩn Coxiella burnetii thuộc họ Rickettsiae, loại vi khuẩn này sống bắt buộc ký sinh nội bào, nên có sức đề kháng và chịu đựng rất cao đối với tác dụng các chất sát khuẩn. Vì ngay từ đầu, người ta không biết bệnh này là gì nện gọi nó là bệnh sốt Q (Q có nghĩa là Query, Question hay câu hỏi). Bệnh được biết đến lần đầu tiên ở các công nhân làm việc trong các lò mổt tại Úc vào năm 1935. Trong quá khứ bệnh sốt Q cũng đã từng xảy ra tại các tỉnh bang Quebec, Nova Scotia và New Brunswick, Canada. Ở người, bệnh được biểu hiện bằng các triệu chứng tương tự bệnh cúm (sốt nóng, khó chiụ trong người, nhức mỏi bắp cơ, chán ăn, nôn mửa, nhức đầu dữ dội, ho và viêm phổi). Bệnh có thể khỏi sau vài tuần mà không cần điều trị hay trở thành mạn tính nếu kéo dài trên 5-6 tháng. Ở dạng này có thể có viêm gan dạng u hạt, viêm não màng não, viêm nội tâm mạc và cần lưu ý thể mạn tính nguy hiểm hơn thể cấp tính.
Sự lưu hành bệnh
Bệnh có mặt ở mọi châu lục trên toàn cầu. Tỷ lệ mắc mới thường cao hơn so với tỷ lệ được báo cáo bởi vì nhiều thể nhẹ không biết đến, ít nghi ngờ trên lâm sàng và không có điều kiện xét nghiệm để chẩn đoán. Đây là bệnh lưu hành địa phương tại những nơi có ổ chứa động vật, gây bệnh cho cán bộ thú y, công nhân lò mổ và những người chăn cừu, dê, đôi khi ở nơi chế biến bơ sữa. Dịch xảy ra ở những người chăn nuôi gia súc, đóng gói, chế biến thịt, ở phòng xét nghiệm chẩn đoán, ở cơ sở y tế sử dụng cừu (đặc biệt là cừu mang thai) để nghiên cứu. Hàng ngàn trường hợp xảy ra trong các trại lính Mỹ ở châu Âu trong Chiến tranh thế giới thứ nhất, và có thể xảy ra ở những người không tiếp xúc trực tiếp với động vật. Nhiễm khuẩn thường xảy ra ở những người nghiên cứu về C. burnetti và cả những người đến tham quan các cơ sở nghiên cứu đó.
Ổ chứa
Trâu, bò, cừu, dê, chó, mèo và một số động vật hoang dại khác (chuột túi và một số loài gặm nhấm hoang dã), chim, ve, bét là những ổ chứa thiên nhiên. Ở ve, mầm bệnh thường được truyền qua trứng góp phần duy trì chu trình truyền bệnh ở động vật gặm nhấm, chim và động vật hoang dã lớn. Động vật bị nhiễm, kể cả cừu, mèo nhà thường không có triệu chứng nhưng chứa một số lượng mầm bệnh trong khi sinh sản.
Mèo có thể bị nhiễm C.burnetii từ những thú nhỏ mà mèo săn bắt. Những thú nầy có nhiều nguy cơ chứa sẵn mầm bệnh. Tuy bị nhiễm vi khuẩn C. burnetii nhưng mèo lại không bị bệnh nhưng chúng vẫn có thể lây sang cho người. Đây là điểm rất quan trọng về phương diện dịch tể học của bệnh. Tại các vùng nông thôn, mèo hay có thói quen ăn thai nhau của gia súc vừa mới đẻ nên cũng có thể bị nhiễm C.burnetii.
Vi khuẩn Coxiella burnetii gây nên bệnh có thể tồn tại trong các ổ chứa chủ yếu là các gia súc có sừng: cừu, bò, dê và chúng cũng có thể tồn tại ở mèo, chó, lợn, ngựa, trâu, ngỗng nhưng ít hơn. Ổ chứa trong tự nhiên là một số động vật hoang dã, loài gặm nhấm, chim, sóc, ve,...
Đường lây truyền bệnh
Thông thường, sự lây nhiễm của Rickettsia theo bụi, trong không khí từ đất bị nhiễm các tổ chức rau thai của động vật, dịch tiết của các loài chim và chất bài tiết của các động vật bị nhiễm trong các xưởng chế biến động vật hoặc các bộ phận cơ thể của chúng trong các phòng mổ bệnh phẩm hoặc tử thi. Trong không khí chứa tác nhân có thể được phát tán trong khoảng cách tương đối lớn (nửa dặm hoặc hơn) theo chiều gió. Cũng có thể do tiếp xúc trực tiếp với động vật nhiễm bệnh hoặc với các đồ vật nhiễm vi khuẩn như lông cừu, rơm, phân và quần áo của người bị nhiễm bệnh. Sữa tươi của bò bị bệnh chứa tác nhân và có thể gây bệnh ở một số người, nhưng chưa xác định rõ. Đã có báo cáo bệnh lây truyền trực tiếp qua truyền máu hoặc tuỷ xương.
Đặc tính của vi khuẩn Coxiella burnetii
Vi khuẩn này sống rất “dai” trong điều kiện môi sinh khắc nghiệt nhất, chúng có thể chịu đựng dưới điều kiện khô hạn cao, rất dễ gây bệnh ở người, sức lây nhiễm mạnh. Chu trình phát triển của vi khuẩn phải thông qua một con ve. Vi khuẩn sống và tăng số lượng trong ruột con ve và sau đó theo phân ve ra ngoài. Ve có thể bám trên thân các loại thú như mèo và các thú nhai lại (bò,dê, cừu). Lúc đẻ, các thú trên sẽ phóng thích vi khuẩn C. Burnetti ra theo nưới ối, màng nhau và phôi thai. Vi khuẩn cũng có thể được thấy trong phân, trong nước tiểu và trong sữa. Vi khuẩn Coxiella burnetii là sinh vật có hai giai đoạn kháng nguyên, giai đoạn 1 tìm thấy trong tự nhiên, giai đoạn 2 trong phòng thí nghiệm sau khi cấy truyền nhiều lần trong trứng hoặc nuôi cấy tế bào. Vi khuẩn có độ bền vững tương đối, có thể phát triển mạnh ở môi trường động vật và có sức đề kháng tương đối với nhiều chất sát khuẩn.
Tác nhân gây bệnh này được tìm thấy khắp mọi nơi ngoại trừ New Zealand. Tại châu Âu, chúng dường như là một tác nhân gây viêm gan hơn là gây viêm phổi ở Mỹ. vi khuẩn rất bền vững trong mọi điều kiện và có tính lây nhiễm cao, con đường thông dụng gây nhiễm là không khí, nhiễm các chất bụi chẳng hạn hoặc giọt hoặc phân tử nhiễm bệnh trong không khí. Sự lan truyền giữa người sang người dường như rất hiếm xảy ra và chỉ có ít ca được báo cáo từ rất lâu. Một só nghiên cứu chỉ ra nhiễm ở nam giới cao hơn nữ giới, điều này có thể quy kết cho lực lượng công nhân và người lao động làm thuê và một phần do điển hình nghề nghiệp.
Một số nghề nghiệp xem có nguy cơ bao gồm nhưng không giới hạn:
- Nhân viên thú y
- Nhân viên làm việc liên quan đến chuồng trại gia súc;
- Nông dân;
- Người làm việc cắt xen lông cừu;
- Người vận chuyển động vật;
- Công nhân làm việc trong các lò mổ và tiếp xúc với các bộ phận thú y hoặc đi thăm các lò mổ;
- Người làm công việc lựa chọn và xử lý kangaroos;
- Công nhân thuộc da.
Đặc điểm của bệnh sốt Q
Sau khi hít phải bụi bặm có chứa vi khuẩn C. burnetii vào cơ thể, hoặc phơi nhiễm tiếp xúc với các bộ phạn, dụng cụ, súc vật đã bị nhiễm bệnh và các chất bài tiết của chúng, nhớ là ở những thú bệnh, các chất tiết ra (thai, nhau, nước ối, nước tiểu, phân, nhầy) có chứa rất nhiều vi khuẩn C.burnetii và mầm bệnh vẫn được tiếp tục thải ra ngoài sau khi đẻ trong một thời gian rất lâu dài có thể đến một hai năm. Mầm bệnh cũng có thể nhiễm vào nguồn nước uống hoặc nhiễm qua da, uống sữa tươi không được hấp khử trùng rất nguy hiểm.
Thời kỳ ủ bệnh dao động khoảng 9–40 ngày (có tác giả cho biết dao động 2-3 tuần), phụ thuộc vào mức độ liều nhiễm khuẩn. Thời gian ủ bệnh sốt Q tùy thuộc các yếu tố ban đầu gây bệnh cho bệnh nhân. Những người nhiễm bệnh bởi nhiều yếu tố thường có thời gian ủ bệnh ngắn hơn. Những người bình phục hoàn toàn có thể miễn dịch suốt đời. Thời kỳ lây truyền, về lây truyền trực tiếp từ người sang người rất hiếm xảy ra. Tính cảm nhiễm và sức đề kháng: Nói chung mọi người đều có cảm nhiễm. Sau khi khỏi bệnh, cơ thể có miễn dịch bền vững suốt đời, trong đó miễn dịch trung gian tế bào tồn tại lâu hơn miễn dịch dịch thể.
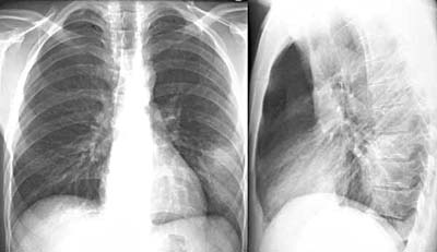
Vì bệnh có liên qua đến ổ chứa là dê và bệnh khởi phát đột ngột với hội chứng giả cúm (vì vậy có thời gian cho rằng đây là cúm dê), biểu hiện sốt cao, đau đầu, đau sau hốc mắt, đau cơ khớp, vã mồ hôi, ho, viêm hô hấp trên, ho khan, chán ăn, đau ngực, rét run, triệu chứng dạ dày ruột, tiêu chảy, đau bụng, …Sốt Q có triệu chứng ban đầu có thể gây nhầm lẫn với cúm nhưng nguyên nhân gây bệnh là khác nhau: cúm do virus còn sốt Q do vi khuẩn. Với vi khuẩn, điều trị bằng kháng sinh còn với virus cần dùng thuốc kháng virus. Có sự khác nhau về mức độ nghiêm trọng và thời gian mắc bệnh. Bệnh có thể biểu hiện không triệu chứng hoặc chỉ là thể bệnh không điển hình "sốt không rõ nguyên nhân". Ở một số trường hợp, viêm phổi được phát hiện bằng X-quang (hình ảnh mờ một phần thùy phổi hoặc một bên phổi-xem hình)) với biểu hiện lâm sàng ho, khạc đờm, đau ngực và ít có biểu hiện ral ở phổi. Kiểm tra chức năng gan thường có biến đổi. Một số trường hợp có viêm gan thể u hạt cấp và mạn tính, có thể nhầm với viêm gan do lao. Viêm nội tâm mạc mạn tính (như van hai lá động mạch chủ) hoặc van tim nhân tạo. Nhiễm khuẩn này thường không đau và kéo dài vài năm. Những hội chứng lâm sàng khác, kể cả hội chứng thần kinh ít khi xảy ra. Trường hợp bệnh cấp tính không được điều trị thì tỷ lệ chết / mắc thường dưới 1% nhưng có khi lên tới 2.4% và tỷ lệ này không đáng kể trong số những người được điều trị, trừ những trường hợp viêm nội tâm mạc điều trị bằng kháng sinh kéo dài và mổ thay van tim nhiều lần.
Thời gian ủ bệnh thường kéo dài 2-3 tuần, đặc điểm thường thấy là hội chứng giả cúm đề cập ở trên, sốt thường kéo dài 7-14 ngày. Bệnh có thể tiến triển thành dạng viêm phổi không điển hình và có thể dẫn đến đe dọa tính mạng do suy hô hấp cấp (ARDS), các triệu chứng như vậy hay xảy ra trong 4-5 ngày đầu.
Sốt Q hiếm khi gây viêm gan, nếu có thì gây dạng viêm gan u hạt, có thể không có triệu chứng hoặc có triệu chứng suy nhược, sốt, tăng men gan, gan lớn và đau hạ sườn phải, hiếm khi thấy vàng da, viêm mạch mống mắt là một đặc điểm lâm sàng hiếm gặp của sốt Q. Thể mạn tính của sốt Q thường biểu hiện tình trạng viêm nội tâm mạc, có thể xảy ra vài tháng đến vài năm sau, thường là tử vong nếu không điều trị. Tuy nhiên, điều trị thích hợp tỷ lệ tử vong giảm còn khoảng 10%.
Chẩn đoán xác định
Việc chẩn đoán thường dựa trên huyết thanh học (đáp ứng kháng thể) hơn là phương pháp xem trực tiếp vi khuẩn trên bệnh phẩm. Huyết thanh học cho phép phát hiện các trường hợp nhiễm mạn tính với hiệu giá cũng như nồng độ kháng thể cao trong các thể độc lực của vi khuẩn. Các kỹ thuật sinh học phân tử phát hiện các DNA của vi khuẩn hiện đang áp dụng và ứng dụng rộng rãi. Nuôi cấy là một kỹ thuật khó và không phải thường quy thực hiện tại hầu khắp các la bô vi sinh.
Sốt Q có thể gây nên tình trạng viêm nội tâm mạc (nhiễm trùng các van tim), cần thiết phải siêu âm qua đầu do thực quản mới có thể chẩn đoán được. Viêm gan do sốt Q làm tăng men gan ALT và AST, nhưng chẩn đoán xác định cần sinh thiết gan cho thấy các hình ảnh u hạt vòng trong nhu mô gan. Viêm phổi trong sốt Q cũng được chẩn đoán qua chụp X-quang khá điển hình và cần hỗ trợ các xét nghiệm khác.
Bởi sự tăng kháng thể đặc hiệu bằng các xét nghiệm kháng thể huỳnh quang (IF), ngưng kết vi lượng, kết hợp bổ thể và ELISA. Rickettsia có thể được tìm thấy trong các tổ chức khi sinh thiết gan hay van tim bằng kỹ thuật miễn dịch huỳnh quang và quan sát dưới kính hiển vi điện tử.
Điều trị
Điều trị sốt Q cấp tính bằng các kháng sinh rất đặc hiệu và mang lại kết quả tốt và được khuyến cáo bởi các chuyên gia điều trị nhiễm trùng. Các kháng sinh thường dùng là các loại Doxycycline, Tetracycline, Chloramphenicol, Ciprofloxacin, Ofloxacine, Hydroxychloroquine. Thể mạn tính điều trị sẽ khó hơn và có thể đòi hỏi điều trị liệu trình đến 4 năm bằng thuốc Doxycycline và nhóm Quinolones hoặc nhóm Doxycycline với Hydroxychloroquine.
Sốt Q trên cơ địa phụ nữ mang thai đặc biệt khó điều trị vì Doxycycline và Ciprofloxacin đều bị chống chỉ định trên phụ nữ mang thai và điều trị cần thay thế bằng Co-trimoxazole thời gian 5 tuần. Nói chung, khi bị sốt Q, điều trị đặc hiệu bằng cách uống Tetraxycline hoặc Chloramphenicol liên tục đến khi hết sốt vài ngày, nếu mắc bệnh lại thì uống tiếp thuốc đến khi khỏi bệnh. Nếu viêm nội tâm mạc mạn tính thì thường dùng kết hợp Tetraxyclin và Rifampycin hoặc dùng Quinolon như Ciprofloxacin rất hiệu quả nhưng không nên dùng cho trẻ em.
Có thể không cần chữa trị , một số trường hợp tự khỏi
Sốt Q thể cấp tính có thể dùng kháng sinh, rất đặc hiệu nếu nếu được sử dụng sớm trong ba ngày đầu khi bệnh vừa biểu hiện. Khoảng 30-50% bệnh nhân có biểu hiện như trên sẽ phát triển bệnh thành viêm phổi; phần lớn bệnh nhân có kết quả chức năng gan bình thường, một số khác có thể bị viêm gan thể hạt vòng, đa số bệnh nhân bình phục trong vài tháng mà không cần chữa trị gì. Chỉ khoảng 1-2% người bị sốt Q cấp tính tử vong. Sốt Q mãn tính có đặc trưng là kéo dài 5-6 tháng, tuy không phổ biến nhưng lại nghiêm trọng hơn dạng sốt Q cấp tính. Bệnh nhân bị sốt Q cấp tính có thể dẫn tới mãn tính trong vòng một năm hay thậm chí 20 năm sau khi nhiễm bệnh lần đầu. Mộtbiến chứng nghiêm trọng của sốt Q là viêm nội tâm mạc nhiễm khuẩn. Hầu hết bệnh nhân bị sốt Q mãn tính có tiền sử bệnh van tim hoặc đã mổ van tim, người nhận cấy ghép tạng, bệnh nhân ung thư và bệnh nhân thận mãn tính cũng có nguy cơ nhiễm sốt Q mãn tính. Khoảng 65% người bị sốt Q mãn tính có thể tử vong vì bệnh này.
Biện pháp phòng chống
Biện pháp dự phòng:
-Giáo dục cho cộng đồng về tác nhân gây bệnh, nguồn lây nhiễm, sự cần thiết phải tiệt khuẩn đúng phương pháp và huỷ bỏ những động vật nhiễm khuẩn, hạn chế đi đến các chuồng trại nuôi bò, cừu, dê và các phòng thí nghiệm có động vật mắc bệnh, thực hiện biện pháp khử khuẩn sữa động vật;
-Khử khuẩn sữa bò, dê, cừu ở 62.70C trong 30 phút hoặc ở 71.60C trong 15 giây hoặc có thể đun sôi để làm bất hoạt Rickettsia;
-Gây miễn dịch bằng vaccin bất hoạt được sản xuất từ C. burnetii (giai đoạn 1) nuôi cấy trong lòng đỏ trứng, vaccine có tác dụng phòng bệnh cho những người làm việc tại phòng thí nghiệm và những người làm việc tiếp xúc với C. burnetii, có thể cho cả những người làm việc ở lò mổ và những người khác có thể mắc bệnh nghề nghiệp, kể cả người nghiên cứu y học thực hành trên cừu đang có thai (để tránh phản ứng nặng tại chỗ, trước khi tiêm vaccin phải thử phản ứng bì với liều nhỏ vaccin đã pha loãng và không tiêm cho người có xét nghiệm kháng thể dương tính hoặc có tiền sử bị bệnh sốt Q). Tại Úc, có có sản xuất vaccin này;
-Những cán bộ nghiên cứu có tiếp xúc với cừu mang thai cần phải được tiêm phòng và đề phòng nhiễm bệnh qua chất tiết của những con cừu nhiễm bệnh. Quần áo bẩn trong phòng thí nghiệm phải có tủ đựng riêng và nơi giặt thích hợp để đề phòng bệnh cho người thợ giặt. Nơi nuôi giữ cừu phải ở xa khu dân cư và thực hiện các biện pháp đề phòng sự lây nhiễm theo các luồng không khí sang các khu dân cư khác;
-Cần hạn chế người đến tham quan các nơi nuôi động vật nhiễm bệnh.
Kiểm soát bệnh nhân, người tiếp xúc với môi sinh
-Báo cáo cho cơ quan y tế địa phương biết khi phát hiện có bệnh nhân bị sốt Q để xử lý kịp thời;
-Sát khuẩn tẩy uế đồng thời: đờm, máu và những đồ vật mới bị nhiễm bẩn được khử khuẩn bằng dung dịch chloramine B 3-5%, áp dụng các biện pháp đề phòng trong khi khám nghiệm tử thi người và súc vật nghi ngờ nhiễm bệnh;
-Điều tra người tiếp xúc và nguồn lây nhiễm, cần điều tra tiền sử tiếp xúc với cừu, trâu, bò, dê trong các trang trại hoặc trong các cơ sở nghiên cứu, tiếp xúc với mèo đẻ, sử dụng sữa tươi hoặc có liên quan trực tiếp hay gián tiếp với các phòng thí nghiệm nuôi cấy C. burnetii.
Biện pháp chống dịch và kiểm soát dịch bệnh trên động vật
-Dịch thường diễn biến trong thời gian ngắn, khống chế bệnh chủ yếu bằng cách loại trừ nguồn lây, theo dõi người tiếp xúc và điều trị bằng kháng sinh cho những người mắc bệnh;
-Biện pháp kiểm soát dịch trên động vật là cơ quan thú y cần kiểm soát nhập khẩu dê, cừu, trâu, bò và các sản phẩm của chúng. Đặc biệt giám sát chặt chẽ dịch trên đàn trâu, bò, dê, cừu, nếu có thì phải tiêu huỷ ngay các đàn gia súc bị bệnh để tránh dịch bệnh lây lan;
-Nên cảnh báo khách thăm trại chăn nuôi về hiểm họa của vi khuẩn C. burnetii, và cần phải đề phòng, tránh sờ mó, tiếp xúc với các thú vật trong thời gian chúng đẻ. Phụ nữ đang mang thai thì cần phải thận trọng hơn gắp bội;
-Theo cơ quan CDC, C.burnetii có thể được sử dụng dưới dạng bụi nước aérosol trong chiến tranh sinh học. Chỉ cần rất ít vi khuẩn cũng có thể gây bệnh cho đối phương. Năm 1943 Liên Sô đã từng sử dụng vi khuẩn C.burnetii trong trận chiến với Đức quốc xã tại vùng Crimée nằm về phía nam Ukraine cạnh Hắc Hải, Âu Châu. Công nhân các nhà máy thịt, thú y sĩ và nông dân là những đối tượng dễ bị lây nhiễm bệnh sốt Q.
Thận trọng với các vật nuôi thân thiết
-Dịch sốt Q được cảnh báo tại các địa bàn có súc vật chứa mầm bệnh. Tại các nước, dịch từng ghi nhận xảy ra ở các điểm trại gia súc, khu vực sử dụng các nguyên liệu từ gia súc (nơi chế biến thịt, sữa, lông, len), thậm chí tại la bô của các viện nghiên cứu y tế và thú y;
-Mọi người đều có thể bị lây nhiễm khi tiếp xúc với nguồn lây, có thể do tiếp xúc với da, thịt, nhau thai, nước ối của vật bị bệnh hoặc vật chứa mầm bệnh; lây qua các chất thải nước tiểu, phân của vật bị bệnh, có thể bị nhiễm qua tiếp xúc với quần áo, chất thải bệnh nhân. Việc ăn uống không đảm bảo vệ sinh (ăn thịt không chín, hoặc sử dụng sữa tươi của con vật bị bệnh) cũng là đường lây nhiễm thuận lợi;
|
Một vật chủ của vi khuẩn Coxiella burnetii |
Bụi, sữa nhiễm bẩn cũng có thể gây bệnh
Về đường lây truyền, theo ông Kapella-chuyên gia của CDC tại Việt Nam cho biêt gia cầm, cừu và dê là nguồn vật chủ chính của vi khuẩn Coxiella burnetii. Ngoài ra, vi khuẩn này còn có thể có ở sữa, nước tiểu và phân của nhiều loài động vật khác, kể cả gia cầm và thú nuôi trong nhà. Hầu hết, các con vật chứa vi khuẩn Coxiella burnetii đều không có biểu hiện sốt Q nhưng nguồn bệnh có thể nằm trong bụi của chuồng trại chứa phân, nước tiểu hoặc các chất lỏng đã khô lại từ quá trình dê hay cừu sinh sản. Người bị sốt Q thường do hít phải thứ bụi này và đôi khi do uống sữa nhiễm bẩn.
Làm thế nào để tự bảo vệ khỏi bị sốt Q? Theo ông Kapella, khi có thể, tránh tiếp xúc các vật liên quan đến việc sinh sản, màng bào thai hay thai nạo của cừu, dê và gia cầm. Chỉ ăn, uống sữa và sử dụng các sản phẩm sữa đã tiệt trùng. Nếu phải làm việc gần cừu, dê đang có thai, ông Kapella khuyên nên tiêm văcxin chống nhiễm chủng vi khuẩn Coxiella burnetii. Mặt khác, những người có tiền sử bệnh van tim hay đã thay van tim nên thận trọng với những khu vực chăn nuôi cừu, dê và gia cầm. Ngoài sáu trường hợp tử vong ở Hà Lan, website http://www.nationmaster.com/ cập nhật số liệu đến năm 2004 cho thấy Ai Cập có số tử vong caonhất là 25 người. Các nước Đức, Argentina, Úc, Tây Ban Nha đều có một trường hợp tử vong. Ông Kapella cũng cho hay tại Mỹ hăng năm đều xuất hiện một số trường hợp bị sốt Q, bệnh nhân đều ở khu vực miền tây.
Phòng bệnh bằng vaccine
Bảo vệ bằng vaccine Q-Vax, đây là một loại vaccine bất hoạt tế bào do công ty CSL của Úc sản xuất, vaccine tiêm trong da bao gồm vi khuẩn Coxiella burnetii đã chết. Cần thiết phải thử test trước khi tiêm để xác định có miễn dịch tồn tại hay chăng và tác dụng phụ nếu có. Sau khi dùng liều đàu tiên duy nhất, miễn dịch sẽ kéo dài nhiều năm, việc tiêm nhắc lại vaccine nói chung không cần thiết song việc sàng lọc bệnh hàng năm là cần khuyến cáo.
Năm 2001, Australia đã giới thiệu chương trình tiêm vaccine phòng bẹnh sốt Q cho những người làm nghề nghiệp có nguy cơ bị bệnh. Liên bang Nga cũng sớm có một vaccine vi khuẩn chết.
Về mặt chiến tranh sinh học (Biological warfare)
Theo ông BK Kapella - chuyên gia dịch tễ, phụ trách chương trình cúm Trung tâm Kiểm soát và phòng chống dịch bệnh Mỹ (CDC) tại Việt Nam, sốt Q là bệnh nhiễm ở động vật và có thể lây sang người do chủng vi khuẩn Coxiella burnetii gây nên. Năm 1999, sốt Q trở thành một bệnh gây chú ý ở Mỹ nhưng do không có đủ báo cáo và dữ liệu nên các nhà khoa học chưa thể đánh giá chính xác có bao nhiêu trường hợp sốt Q đã xảy ra trên toàn thế giới. Vi khuẩn Coxiella burnetii có thể được dùng trong chiến tranh sinh học và hiện được coi là mối đe dọa khủng bố tiềm tàng.
Sốt Q có thể được mô tả như một loại vũ khí sinh học. Mỹ đã điều tra sốt Q như một tác nhân gây chiến tranh sinh học vào những năm 1959 với sự tiêu chuẩn hóa cuối cùng như tác nhân OU. Các thử nghiệm tại Fort Detrick và Dugway Proving Ground trên người được tiến hành trên các người tình nguyện Whitecoat để xác định liều nhiễm trung bình (18 MICLD50/ người) và thời gian nhiễm. Vì tiêu chuẩn hóa về mặt sinh học cho nên nó phải được sán xuất với số lượng lớn ở Pine Bluff Arsenal, với dung tích 5.098 gallon trong một kho chứa vũ khí và đạn dược vào thời điểm phi quân sự hóa vào năm 1970. Sốt Q được phân loại độc nhóm B. Chúng có thể gây nhiễm và rất ổn định trong trạng thái dùng để phun xịt với khoảng dao đọng nhiệt độ lớn. Sốt Q với vi trùng có thể sống sót trên bề mặt đến 60 ngày.
Và giới thiệu một cuốn sách có đề cập đến bệnh sốt Q tương đối kỹ với bạn đọc.
Tài liệu tham khảo
1.Beare PA, Samuel JE, Howe D, Virtaneva K, Porcella SF, Heinzen RA (2006). "Genetic diversity of the Q fever agent, Coxiella burnetii, assessed by microarray-based whole-genome comparisons". J. Bacteriol. 188 (7): 2309–24.
2.Kuhne F, Morlat P, Riss I, et al. (1992). "Is A29, B12 vasculitis caused by the Q fever agent? (Coxiella burnetii)" (in French). J Fr Ophtalmol 15: 315–21.
3.Karakousis PC, Trucksis M, Dumler JS (2006). "Chronic Q fever in the United States". J. Clin. Microbiol. 44 (6): 2283–7.
4.Cutler SJ, Bouzid M, Cutler RR (2007). "Q fever". J. Infect. 54 (4): 313–8.
5.Domingo P, Muñoz C, Franquet T, Gurguí M, Sancho F, Vazquez G (1999). "Acute Q fever in adult patients: report on 63 sporadic cases in an urban area". Clin. Infect. Dis. 29 (4): 874–9.
6.Dupuis G, Petite J, Péter O, Vouilloz M (1987). "An important outbreak of human Q fever in a Swiss Alpine valley". Int J Epidemiol 16 (2): 282–7.
7.Maurin M, Raoult D (1999). "Q fever". Clin. Microbiol. Rev. 12 (4): 518–53.
8.Scola BL (2002). "Current laboratory diagnosis of Q fever". Semin Pediatr Infect Dis 13 (4): 257–62.
9.Van de Veerdonk FL, Schneeberger PM. (2006). "Patient with fever and diarrea". Clin Infect Dis 42: 1051–2.
10.Carcopino X, Raoult D, Bretelle F, Boubli L, Stein A (2007). "Managing Q fever during pregnancy: The benefits of long-term Cctrimoxazole therapy". Clin Infect Dis 45: 548–555.
11.Madariaga MG, Rezai K, Trenholme GM, Weinstein RA (2003). "Q fever: a biological weapon in your backyard". Lancet Infect Dis 3 (11): 709–21.
12.Seshadri R, Paulsen IT, Eisen JA, et al. (2003). "Complete genome sequence of the Q-fever pathogen Coxiella burnetii". Proc. Natl. Acad. Sci. U.S.A. 100 (9): 5455–60.
13.CDC. Q fever and animals. http://www.cdc.gov/healthypets/diseases/qfever.htm
14.http://www.cdc.gov/healthypets/diseases/qfever.ht.
15.Public Health Agency of Canada. Coxiella burnetii safety data sheets. http://www.phac-aspc.gc.ca/