Sốt rét là một bệnh truyền nhiễm do muỗi truyền gây ra bởi một loại eukaryotic protist của giống Plasmodium. Bệnh lan rộng khắp các vùng nhiệt đới và cận nhiệt đới, bao gồm cả châu Mỹ (22 quốc gia), châu Á và châu Phi. Mỗi năm, có khoảng 350 – 500 triệu ca sốt rét, giết chết khoảng 1-3 triệu người, chủ yếu là trẻ em ở khu vực sa mạc Sahara, châu Phi. 90% số ca tử vong sốt rét tại khu vực sa mạc Sahara châu Phi. Sốt rét thường liên quan đến đói nghèo, nhưng cũng là một nguyên nhân gây nên đói nghèo và làm chậm sự phát triển kinh tế.
Ký sinh trùng sốt rét (KSTSR) là các thành viên nằm trong nhóm giống Plasmodium (ngành Apicomplexa). Sốt rét ở người gây ra bởi P. falciparum, P. malariae, P. ovale, P. vivax và P. knowlesi. Riêng P. falciparum là tác nhân thường gặp nhất gây bệnh sốt rét ở người và bị quy kết khoảng 80% tổng số ca sốt rét và khoảng 90% số ca tử vong do sốt rét. Các loài Plasmodium cũng gây nhiễm ở chim, khỉ, tinh tinh, loài giáp xác và các loài gặm nhấm khác. Có nhiều tài liệu đề cập đến nhiễm sốt rét ở người với các loài simian của sốt rét, có tên gọi là P. knowlesi, P. inui, P. cynomolgi, P. simiovale, P. brazilianum, P. schwetzi và P. simium; Tuy nhiên, ngoại trừ P. knowlesi, dường như có ý nghĩa quan trọng về mặt sức khỏe còn hạn hữu. 5 loài KSTSR Plasmodium có thể gây nhiễm trên người; thể nghiêm trọng nhất thường gây ra bởi Plasmodium falciparum. Sốt rét gây ra bởi Plasmodium vivax, Plasmodium ovale và Plasmodium malariae gây nên các triệu chứng bệnh nhẹ hơn và nói chung thường không có tử vong. Plasmodium knowlesi, một loại bệnh từ động vật truyền sang người, vốn trước đây chỉ gây sốt rét ở khỉ nhưng nay cũng đã có thể truyền bệnh sang người.
Nhiễm sốt rét mạn tính là một thuật ngữ được “nhìn thấy” ở cả loài KSTSR P. vivax và P. ovale, nhưng không thấy đối với P. falciparum. Ở đây, bệnh có thể tái phát sau nhiều tháng đến nhiều năm kể từ khi phơi nhiễm, do sự có mặt của loại KSTSR nằm tiềm tàng trong gan bệnh nhân. Mô tả một ca sốt rét được chữa khỏi thông qua sự quan sát quá trình biến mất của KSTSR từ dòng máu, do đó đây có thể là một hiện tượng đánh lừa. Giai đoạn ủ bệnh kéo dài nhất được báo cáo đối với P. vivax là khoảng 30 năm. Xấp xỉ khoảng 1/5 ca nhiễm P. vivax ở vùng ôn đới có liên quan đến quá trình ngủ đông (overwintering) do thể ngủ bên trong (ví dụ tái phát bắt đầu năm sau khi mũi sốt rét đốt gười).
Về lịch sử và một số nét liên quan dịch tễ học
Loài ký sinh trùng này được mô tả lần đầu tiên vào năm 1922 bởi tác giả Stephens trên một bệnh nhân ở Đông Phi. Trong khi người ta thường nói rằng P. ovale có rất hạn hữu tại Tây Phi, Philippines, phía đông của Indonesia, Papua New Guinea, và một số tác giả cũng đã báo cáo có mặt tại Cambodia, India, Thái Lan và Việt Nam (?). Tỷ lệ xuất hiện loài ký sinh trùng này báo cáo là rất thấp (< 5%) ngoại trừ Tây Phi - nơi có tỷ lệ lên trên 10%. Tại Việt Nam, vấn đề tồn tại loài ký sinh trùng sốt rét P. ovale có hay không vẫn còn tranh luận, một số tác giả nghiên cứu về mặt sinh học phân tử trong nước lẫn ngoài nước đều công nhận và xác định có mặt của chúng, song một số người thiên về trường phái “hình thái học” cho rằng chưa.
Plasmodium ovale
Plasmodium ovale là một loại ký sinh trùng đơn bào gây ra kiểu sốt cách 2 ngày một lần (tertian malaria) ở người. Chúng có liên quan chặt chẽ đến loài Plasmodium falciparum và Plasmodium vivax, là những loài ký sinh trùng sốt rét gây bệnh phổ biến ở người. Về bản chất và thực tế, người ta hiếm khi so sánh 2 loại này với nhau và ít nguy hiểm hơn so với P. falciparum. P. ovale gần đây cho thấy xuất hiện nhiều hơn nhờ vào các kỹ thuật di truyền phát hiện cùng lúc nhiều loại hay 2 loài, P. ovale curtisi và P. ovale wallikeri.
Dự án bộ gen Plasmodium ovale
Trung tâm giải trình tự này có kế hoạch sẽ ấn bản toàn bộ trình tự của bộ gen loài KSTSR này trên một ấn phẩm hoặc tạp chí ngay sau khi hoàn thành. Điều này cho phép các nhà nghiene cứu viên chính nên ghi nhận trước khi ấn bản phân tích sâu về trình tựgen và nhiễm sắc thể.
Các nhà nghiên cứu đang tiến hành một bộ gen hoàn chỉnh xấp xỉ và bao phủ 8X của dòng Nigeria I/CDC strain của P. ovale. Dòng Nigeria I/CDC được phân lập vào năm 1977 từ công nhân của đồn điền Peace Corps tại Nigeria. P. ovale có một bộ gen sắp xỉ ước tính kích thước là 25-27Mb, với 14 nhiễm sắc thể trong kích thước dao động 0.6Mb - 3.8Mb. Công trình này được tiến hành trong sự phối hợp với tiến sĩ John Barnwell (CDC, Atlanta). Shotgun đọc giải mã trên ftp site và có thể tìm thấy. Hiện có khoảng 243.773 shotgun đọc, bao gồm 152.676Mb của các trình tự chưa biết trước đó.
Nhóm nghiên cứu của Viện Wellcome Trust Sanger Institute Pathogen Genomics đang tiến hành giải trình tự toàn bộ bộ gen của một số loài khác của Plasmodium. Điều này đóng vai trò như một nguồn bộ gen so sánh và bổ sung vào bộ gen hoàn chỉnh của Plasmodium falciparum. Loài P. ovale được xem là một trong những loài KST nhỏ của 5 loài KSTSR ở người cùng với P. malariae vì tỷ lệ lưu hành và mắc thấp trong hầu hết các vùng lưu hành sốt rét và bản chất nhiễm tự nhiên cũng như nhiễm diễn tiến mạn tính của KSTSR này. Sốt rét cấp tính trên những người không óc miễn dịch có thể sinh ra các bệnh điển hình với triệu chứng run lạnh, rét run và sốt cao. Nhiễm trùng được giải quyết qua 1 hoặc 2 tuần và miễn dịch từng phần tương đối hình thành nhanh. KSTSR như P. vivax, có cơ chế tái phát thật sự với giai đoạn trong gan của thể ngủ có thể tái hình thành nhiễm trùng và có tái phát trong thời gian lên đến 5 năm kể từ khi nhiễm đầu tiên. Nhiễm trùng giai đoạn trong máu mạn tính thường có mật độ KSTSR thấp và thường biểu hiện dưới mức phát hiện của kính hiển vi và vì thế tỷ lệ lưu hành của loài này tương đối thấp trong các vùng như thế.
P. ovale thường phân bố rộng khắp khu vực cân jsa mạc Sahara, tây Phi cũng như Đông Phi. Nhiễm loài P. ovale cũng tìm thấy tại Philippines, New Guinea, Đông Nam Á (Myanmar, Thái Lan, Cambodia, Lào, Việt Nam) và vùng lục địa Ấn Độ.
Đặc điểm lâm sàng
Giai đoạn tiềm tàng hay trước khi xuất hiện triệu chứng lâm sàng ở người dao động khoảng 12 - 20 ngày. Một số thể tồn tại trong gan phát triển chậm lại và tái phát xa (relapse) có thể xảy ra cơn sau đó và có thể sau thời gian 4 năm kể từ sau nhiễm bệnh. Chu kỳ phát triển trong máu kéo dài khoảng 49 giờ. Một hồ sơ kiểm tra từ các ca nhiễm chỉ ra số cơn sốt trung bình là 10.3 (fever episodes) có thân nhiệt ≥ 1010F và 4.5 cơn sốt với ≥ 1040F. Mật độ KSTSR trung bìnhlà 6.944/microl cho nhiễm thể thoi trùng và 7.310/microl cho nhiễm thể tư dưỡng. Tái phát có thể xảy ra sau khi một thời gian dài, có thể lên đến 4 năm sau khi nhiễm lần đầu.
Một số nét về sinh học
Di truyền
Trong số các loài KSTSR gây nhiễm trên nhóm khỉ không đuôi thì loài Plasmodium schwetzi có hình thái học giống rất rõ với loài P.ovale. Điều này chưa có xác định bằng các nghiên cứu mức độ phân tử DNA.
Chu kỳ phát triển
Nhiễm trùng trên người
Giai đoạn ở gan
Thể thoi trùng của P. ovale đi vào tế bào gan và bắt đầu chu kỳ ngoại hồng cầu của chúng. Chu kỳ này đặc trưng bởi các vòng hay chu kỳ nhân lên và phân chia nhân mà không có quá trình phân cắt tế bào. Sau một số lần phân chia nhân, các tế bào ký sinh trùng sẽ phân đoạn và hình thành nên các merozoite. Có nhiều tình huống mà ở đó một số thoi trùng không bắt đầu phát triển và phân chia ngay sau khi chúng đi vào tế bào gan, nhưng vẫn tồn tại ở dạng thể ngủ (dormant, hypnozoite form) trong nhiều tuần đến nhiều tháng. Thời gian tiềm tàng có thể thay đổi từ một thể ngủ đến nhiều thể khác và các yếu tốkích hoạt sự phát triển hoặc sự tái hoạt của thể ngủ đến nay vẫn chưa biết thấu đáo. Điều này giải thích một quá trình nhiễm đơn thuần có thể góp phần vào một loạt làn sóng của KSTSR trong máu tái hiện hoặc tái phát.
Giai đoạn trong hồng cầu
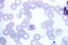
Trong khi tương tự với P. vivax, P. ovale có thể nhiễm trên những cá nhân có nhóm máu Duffy (-), điều này gặp trên một số trường hợp dân chúng sống tại khu vực sa mạc Sahara, châu Phi. Điều này giải thích về một tỷ lệ lớn hơn của P. ovale lưu hành (hơn cả P. vivax) ở hầu hết châu Phi. KSTSR Plasmodium ovale thường tìm thấy trong hồng cầu trương phình và dạng nhọn đầu (James's dots), tương tự như chúng ta tìm thấy trên nhiễm Plasmodium vivax. Các tế bào vật chủ chỉ ra có hình oval, đặc biệt khi tế bào chưa giai đoạn trẻ của KSTSR, khi đó cũng được gọi là dạng bông ("spiking") hoặc hình tua viền (fimbriated shape).
Thể tư dưỡng
Các thể tư dưỡng trẻ cho thấy hình ảnh như là hình nhẫn đặc chắc trong các tế bào hồng cầu chưa các James's dots. Thể tư dưỡng vẫn giữ hình thái đặc chắc (compact) như khi chúng phát triển được một ít hình dạng như amoeboic thường gặp trên Plasmodium vivax. Các chùm hạt rải rác có thể nhìn thấy trong các thể tư dưỡng đang phát triển đến thể trưởng thành. Các thể tư dưỡng già hình tròn và đặc chắc trong bào tương, chúng rất giống với P. vivax ở giai đoạn này.
Dưới đây là một số hình ảnh về Plasmodium ovale: Tư dưỡng trẻ của Plasmodium ovale (hình 1) và giai đoạn tư dưỡng trưởng thành của Plasmodium ovale, trong đó hồng cầu biểu hiện hình oval (hình 2) và giao bào non (hình 3). Hoặc giao bào có thể cho hình thái học của Plasmodium ovale, hồng cầu cũng hình oval (biểu hiện hình tua viền (hình 4) và thể phân liệt của P. ovale (hình số 5).
Thể phân liệt
KSTSR nhỏ hơn hồng cầu và chứa đến 6 - 12 merozoite, thường là 8 trong một vòng đơn. Các hạt pigmen màu xanh nâu tạo chùm ở trung tâm. Hồng cầu hơi trương lớn, thon nhỏ, thường có hình oval hay hình tua viền
Thể giao bào
Các giao bào trưởng thành hình tròn, chiếm đầy 2/3 thể tích hồng cầu. Hồng cầu hơi lớn và có nhiều chấm nhỏ và chứa nhiều chấm hay hạt pigment, mà điều này có sự sắp xếp phân biệt ở giữa, hầu hết là ở ngoại vi.
Một số vấn đề liên quan đến chẩn đoán
Sự xuất hiện dưới kính hiển vi của P. ovale rất giống với P. vivax và nếu chỉ có một số ít KSTSR được nhìn thấy lại càng khó khăn hơn trong nhận định và phân biệt 2 loài này khi chỉ dựa vào mặt hình thái học. Không có sự khác biệt giữa điều trị của P. ovale và P. vivax. Do vậy, không lạ gì khi một số kết quả chẩn đoán phòng xét nghiệm ghi là "P. vivax/ovale", điều này có thể hoàn toàn chấp nhận vì điều trị hai loài này hoàn toàn giống nhau. Các chấm Schüffner's nhìn thấy trên bề mặt hồng cầu nhiễm ký sinh trùng nhưng hồng cầu lớn hơn và sậm hơn so với P. vivax và đôi khi gọi là "James's dots". Khoảng 20% hồng cầu nhiễm có hình oval (cũng giống như tên loài) và một số tế bào hình oval cũng cho dạng hình tua viền ngọn lửa (fimbriated edges) hoặc có tác giả gọi là "comet cell". Các thể phân liệt trưởng thành của P. ovale chưa bao giờ chứa hơn 20 nhân bên trong và đây là thành tốt quan trọng đáng tin cậy để phân biệt giữa hai loài.
P. vivax và P. ovale nếu được cho vào chất chống đông EDTA trong thời gian hơn 30 phút trước khi tiến hành làm lam máu thì kết quả trông có vẻ giống với P. malariae, đây là một lý do quan trọng để ấm trong điều kiện la bô ngay khi mẫu,và làm lam máu càng sớm càng tốt.
Điều trị sốt rét do Plasmodium ovale
Điều trị chuẩn cho sốt rét P. ovale chính là điều trị đồng thời Chloroquine và primaquine. Phối hợp thuốc Atovaquone-proguanil có thể dùng điều trị trên các bệnh nhân không thể dung nạp chloroquine hoặc vì lý do nào khác.
MỘT SỐ THÔNG TIN NGHIÊN CỨU VỀ PLASMODIUM OVALE
1. Một nghiên cứu “Plasmodium ovale: ký sinh trùng và bệnh”
Do nhóm tác giả William E. Collins, Geoffrey M. Jeffery đang công tác tại Trung tâm CDC, Trung tâm bệnh nhiệt đới quốc gia, khoa ký sinh trùng, phân môn sốt rétChamblee, Georgia thực hiện và đăng tải trên tạp chíClinical Microbiology Reviews, July 2005, p. 570-581, Vol. 18, No. 3 cho biết người đã bị nhiễm 4 loài KSTSR được nhận ra từ lâu. Loài cuối cùng trong số các loài được nhận ra được mô tả là Plasmodium ovale. Cũng như các loài KSTSR khác của các động vật thuộc bộ linh trưởng (người, khỉ không đuôi, khỉ có đuôi dài và vượn), loài KSTSR này chỉ truyền thông qua vết đốt của muỗi Anopheles nhiễm ký sinh trùng.
Giai đoạn tiềm tàng hay ủ bệnh trong người dao động khoảng 12 - 20 ngày. Một số thể trong gan có diễn tiến phát triển chậm và có thể tái phát sau một thời gian dài có thể tới 4 năm sau khi nhiễm ban đầu. Chu trình phát triển trong máu kéo dài có thể đến 49 giờ. Các giai đoạn trong chu kỳ ngoại hồng cầu chỉ ra trong gan người, tinh tinh và khi Saimiri sau khi cho gây nhiễm thoi trùng. Nhiều loài Anopheles khác nhau coh thấy có nhạy cảm với quá trình nhiễm loài P. ovale, bao gồm A. gambiae, A. atroparvus, A. dirus, A. freeborni, A. albimanus, A. quadrimaculatus, A. stephensi, A. maculatus, A. subpictus, A. farauti. Xét nghiệm ELISA để phát hiện muỗi nhiễm P. ovale sử dụng loại kháng thể đơn dòng chống lại loại protein thoi trùng (circumsporozoite protein). Plasmodium ovale ban đầu phân bố khắp khu vực cận sa mạc Sahara, châu Phi. Tiếp đó chúng được báo cáo tại nhiều đảo phía tây Thái Bình Dương.
Trong nhiều năm gần đây, có những báo cáo cho thấy sự phân bố lên vùng châu Á. Có hay chăng điều này sẽ trở thành vấn đề y tế công cộng nghiêm trọng. Chẩn đoán P. ovale ban đầu dựa vào đặc tính của các giai đoạn trong máu và cần phân biệt với P. vivax. Đôi khi chúng có hình ellip của hồng cầu nhiễm thường được chẩn đoán phối hợp nhau với lòai khác, chú ý khác biệt về hình thể. Các kỹ thuật sinh học phân tử như PCR sẽ giúp xác định chẩn đoán. Sự phát triển các kỹ thuật áp dụng khi KSTSR giữ đông trong thời gian dài (long-term frozen preservation of malaria parasites) đã cho phép dùng nó như những tham chiếu về thử nghiệm chẩn đoán chuẩn đối với P. ovale.
Nhiễm trùng trên tinh tinh được sử dụng để cung cấp tham chiếu và chất liệu chẩn đoán có nghiên cứu huyết thanh học và phân tử vì KSTSR này không cho thấy phát triển trên các loài kinh trưởng khác không phải là người mà cũng không đáp ứng với trên môi trường nuôi cấy in vitro. Không có bằng chứng cho thấy rằng P. ovale có liên quan chặt chẽ về mặt di truyền đối với bất kỳ loài KSTSR khác của linh trưởng đã được kiểm tra.
2. Sốt rét trên loài tinh tinh với loài Plasmodium ovale ở châu Phi
Kể từ năm 1970, sự đa dạng của KSTSR Plasmodium ở châu Phi với các loài ít gặp gần như bị lãng quên. Điều đáng ngạc nhiên, loài P. reichenowi, một loài KSTSR trên tinh tinh là loài duy nhất được làm rõ về mặt phân tử. KSTSR này có phả hệ di truyền liên quan chặt chẽ với P. falciparum, nguyên nhân chính của gánh nặng sốt rét ở loài người. Các nghiên cứu các KSTSR từ các bộ linh trưởng có thể cung cấp các thông tin về phả hệ di truyền, nâng cao sự hiểu biết về lịch sử nguồn gốc và tiến hóa của các loài KSTSR ở người.
Trong nghiên cứu này, họ đã sàng lọc 130 mẫu DNA từ loài tinh tinh (Pan troglodytes) và khỉ đột (Gorilla gorilla) từ Cameroon đối với nhiễm Plasmodium, sử dụng công cụ phân tử cytochrome b. Hai loài tinh tinh từ dưới loài Pan t. troglodytes cho thấy nhiễm đơn dòng Plasmodium liên quan đến loài KSTSR ở người P. ovale. Các KSTSR trên tinh tinh này và 13 dòng KSTSR của P. ovale có nguồn gốc tại các vùng khác nhau của châu Phi và châu Á, đặc trưng bởi sử dụng các gen ty thể từng phần cytochrome b và cytochrome c oxidase 1 (mitochondrial partial genes) và các gen nhân ldh. Cùng với các kết quả nghiên cứu trước đây, 2 loại khác biệt về mặt di truyền của P. ovale, cổ điển và biến thể được xem xét trong quần thể người từ các vùng địa lý khác nhau. Một dòng Plasmodium của tinh tinh là chỉ điểm di truyền và tất cả 3 chỉ điểm được kiểm tra đối với biến thể P. ovale. Dòng Plasmodium khác trên tinh tinh khác với các dòng khác P. ovale phân lập trên người. Điều này cung cấp bằng chứng đầu tiên có thể trao đổi chéo tự nhiên của loài P. ovale giữa người với loài tinh tinh của dưới loài Pan t. troglodytes.
Nghiên cứu trên do nhóm tác giả Linda Duval, Eric Nerrienet, Dominique Rousset, Serge Alain Sadeuh Mba, Sandrine Houze, Mathieu Fourment, Jacques Le Bras, Vincent Robert, Frederic Ariey đang công tác tại phòng xét nghiệm sinh học chức năng của đơn bào của Pháp (Laboratoire de Biologie fonctionnelle des protozoaires, USM 504, Muséum National d'Histoire Naturelle, Paris, France), phòng xét nghiệm bệnh học virus Paris, Pháp (Laboratoire de Pathogénie virale, Institut Pasteur, Paris, France), Phòng xét nghiệm HIV và viêm gan siêu vi (Laboratoire HIV et Hepatites, Institut Pasteur du Cambodge, Phnom Penh, Cambodia), Đơn vị nghiên cứu virus học của Cameroon (Unité de virologie, Centre Pasteur du Cameroun, Yaoundé, Cameroun), Trung tâm nghiên cứu sốt rét (Centre National de Référence du Paludisme, AP-HP, Hôpital Bichat-Claude Bernard, Paris, France), Khoa sinh học (Biological Sciences, Macquarie University, Sydney, Australia), Đơn vị nghiên cứu phòng chống vector (Unité de Recherche Caractérisation et contrôle des populations de vecteurs, UR 16, Institut de Recherche pour le Développement, Montpellier, France), Đơn vị dịch tễ học phân tử (Unité d'Epidémiologie Moleculaire, Institut Pasteur du Cambodge, Phnom Penh, Cambodia) đồng tiến hành.
3. Ca bệnh sốt rét Plasmodium ovale tái phát muộn tại Philadelphia,Pennsylvania.
Nghiên cứu này được đăng tải trên tạp chí JAMA. 2006;295:154-155 và MMWR. 2005;54:1231-1233. Báo cáo trên do các tác giả J Rubinstein, Thomas Jefferson đại học Frankford Torresdale Campus; RA Fischer ở trung tâm y khoa Albert Einstein, Philadelphia, Pennsylvania và RD Newman, ME Parise, SP Johnston, J Young, đang công tác tại khoa bệnh ký sinh trùng, trung tâm quốc gia về bệnh truyền nhiễm, CDC trình bày.
Khoảng 1.300 trường hợp sốt rét báo cáo mỗi năm tại Mỹ; gần như tất cả ca này xảy ra trên đối tượng đi du lịch đến các quốc gia có lưu hành sốt rét, nhiều người trong số này đã không được kê đơn đùng hoặc không được khuyên theo các khuyến cáo dự phòng muỗi đốt.. Sốt rét có thể tồn tại nếu không điều trị hoặc điều trị không đúng (với các thuốc không hiệu quả hoặc cho liều không đúng của thuốc có hiệu quả). Điều trị sớm đòi hỏi để tránh chuyển sang bệnh nặng và tử vong do sốt rét. Mặc dù sốt rét điển hình là xuất hiện các triệu chứng lâm sàng trong vòng 1 tháng sau khi nhiễm, các trường hợp có thể xảy ra nhiều năm sau khi nhiễm ban đầu.
Vào tháng 11.2004, CDC nhận một báo cáo về ca sốt rét táip hát muộn trên một nam giới ở Nigeria, 23 tuổi sống tại Philadelphia, Pennsylvania. Sốt rét của anh ta được xác định là loài Plasmodium ovale, một trong loài Plasmodium gây nên sốt rét ở người. Bệnh nhân được điều trị sốt rét tại Nigeria nhiều lần, gần đây nhất là 6 năm kể từ khi bệnh khởi đầu tại Mỹ. Báo cáo này mô tả ca bệnh ở Philadelphia có tầm quan trọng trong điều tra bệnh sử có liên quan đến du lịch và di biến động dân khi vấn đề chẩn đoán sốt rét đặc ra để chẩn đoán gián biệt với các ca khác.
Bệnh nhân nam được chăm sóc tại khoa cấp cứu sau 10 ngày có sốt vào ban đêm, rét run và ra mồ hôi ban đêm, xảy ra mỗi 48 - 72 giờ. Bệnh nhân có bệnh sử và điều trị sốt rét nhiều lần, sau đó bệnh nhân nhiều lần hình thành sốt không thể giải thích được trong khi sống trong vùng luư hành sốt rét với khả năng chẩn đoán còn giới hạn. không có xét nghiệm tiến hành tại Nigeria để xác định chẩn đoán này, gần đây nhất là 6 năm. bệnh nhân không uống loại thuốc nào và kể rằng có cơn sốt trong suốt 4 năm qua kể từ di cư đến Mỹ và không có du lịch đến Nigeria hay bất kỳ một quốc gia nào khác có luư hành sốt rét. Ngoài ra, bệnh nhân không đi du lịch đến đâu ra khỏi Philadelphia.
Bệnh nhân không bị sốt khi nằm ở khoa cấp cứu. Khám lâm sàng bình thường; gan lách không sờ chạm, xét nghiệm không óc vấn đề gì đáng chú ý chỉ có Hb là 12.8 g/dL (giá trị bình thường: 14-18 g/dL) và bilirubin toàn phần 5.0 mg/dL (bình thường: <1.5 mg/dL), bilirubin trực tiếp 0.4 mg/dL (bình thường: 0-0.3 mg/dL). Xét nghiệm máu ngoại vi có P. ovale (0.2% chiếm hồng cầu nhiễm). Kết quả xét nghiệm lam máu sau đó xác định tại CDC.
Bệnh nhân nhập viện trước 2 giờ rồi xuất hiện sau khi điều trị thuốc Quinine + Doxycycline 7 ngày; anh ta không được chỉ định bằng thuốc Chloroquine, đây là điều trị lựa chọn chính cho loài P. ovale vì không có sẵn tại các quầy thuốc bệnh viện. Triệu chứng sốt rét được giỉa quyết trong vòng 48 giờ. Kế đó, sàng lọc tình trạng thiếu men G6PDH âm tính (đòi hỏi liệu trình primaquine trong điều trị loài KSTSR này) 14 ngày. Sau 4 tháng, bệnh nhân báo cáo không có xuất hiện triệu chứng nào thêm.
Sốt rét gây ra bởi bất kỳ loài LSTSR nào trong 4 loài của Plasmodium (P. falciparum, P. vivax, P. ovale, P. malariae) truyền qua vết muỗi đốt có mang mầm bệnh. Gần như tất cả các ca sốt rét tại Mỹ xảy ra trên những người đi du lịch đến những vùng có sốt rét. Quá trình nhiễm cũng óc thể mắc phải tại chỗ do truyền chế phẩm của máu có nhiễm bệnh, do truyền qua nhau thai hoặc do muỗi lan truyền tại chỗ (!). Quyết định điều trị với loài Plasmodium, phần tramư hồng cầu nhiễm, giống như nguồn gốc địa lý và tình trạng lâm sàng của bệnh nhân. Với nhiễm P. ovale và P. vivax, khi đó một số ký sinh tùng vẫn còn ngủ hay ẩn trong gan (gọi là thể ngủ) trước khi chúng nhiễm vào trong các tế bào hồng cầu và sau thời gian chúng gây nên cơn tái phát, thậm chí ngay sau khi chúng ta đã điều trị đúng và đủ liều giai đoạn ký sinh trùng phù hợp.
Sốt rét tái phát do P. ovale xảy ra ít hơn so với P. vivax. Sốt rét do P. ovale ít gặp nhất tại Mỹ, chiếm khoảng 2.6% tổng số ca vào năm 2003. Tuy nhiên, tại Nigeria, sốt rét gây ra bởi P. ovale là đứng thứ 2 so với P. falciparum. Trong một trường hợp lâm sàng nhiễm P. ovale tại Mỹ, tái phát xảy ra sau 17 - 255 ngày sau khi cơn sốt rét đầu tiên xuất hiện. Các báo cáo khác mô tả cơn tái phát xảy ra sau 45 tháng sau khi điề trị P. ovale ban đầu, sự lan truyền của P. ovale từ người cho máu phơi nhiễm trước đây 7 năm.
Ca bệnh được mô tả trong báo cóa này cho thấy một điểm quan trọng có đi du lịch đến các vùng sốt rét và có tiền sử sốt rét ở người óc sốt không rõ nguyên nhân. Tiền sử nên tập trung về tiền sử đi du lịch nước ngoài, di dân biến động, tiền sử mắc sốt rét, xét nghiệm có hay không có KSTSR trong máu. Primaquine, là thuốc chỉ có tiêu diệt thể ngủ trong gan cho loài KSTSR P. ovale và P. vivax do đó sẽ giúp ngăn ngừa cơn tái phát sau này. Khi primaquine được chỉ định cùng với thuốc điều trị thể vô tính có thể ngăn ngừa cơn tái phát do P. vivax hay P. ovale, cách điều trị này được gọi là dự phòng cuối cùng hay liệu pháp chống tái phát có cơ sở hợp lý (presumptive antirelapse therapy_PART). Primaquine sử dụng đồng thời với thuốc diệt thể vô tính trên các bệnh nhân nhiễm sốt rét do P. vivax hoặc P. ovale gọi là điều trị tiệt căn/ tận gốc. PART và điều trị tận gốc (radical cure) hiện đang là chiến lược để ngăn ngừa tình trạng tái phát của P. vivax và P. ovale.
CDC khuyến cáo liều primaquine phosphate là 30mg (base) bằng đường uống mỗi ngày trong 14 ngày. Primaquine không phải dùng trong thời gian mang thai vì chúng đi qua nhau thai và gây nên tan máu do thiếu men G6PDH ở phôi thai. Vì nguy cơ tan máu do Primaquine, các bệnh nhân phải được sàng lọc tình trạng thiếu men G6PDH trước khi điều trị. Đối với trường hợp thiếu men G6PDH, lựa chọn điều trị triệt để nên xem xét và tư vấn với chuyên gia bệnh truyền nhiễm. Primaquine không được khuyên dùng đối với PART ở người thiếu men G6PDH.
Các nhân viên y tế nên chú ý đến sốt rét trong vấn đề chẩn đoán phân biệt ở bệnh nhân với cơn sốt không thể giỉa thích được và tiền sử sốt rét, cũng như bệnh nhân đang sống trong vùng sốt rét lưu hành và đặc biệt có liên quan đến du lịch đến các vùng luư hành. Xét nghiệm lam máu nên tiến hành và điều trị thích hợp. Hướng dẫn về chẩn đoán và điều trị sốt rét hiện tại đang sẵn có http://www.cdc.gov/malaria. Plasmodium ovale là một trong 2 loài KSTSR ở người, thường chiếm tỷ lệ ít hơn 5% trong tất cả vùng có mặt chúng.
Mặc dù bản chất có thể xuất xứtừ Tây Phi, P. ovale giờ đây lan rộng sang một số nơi vùng đông nam châu Á và Papua New Guinea. P. ovale thường xem là sốt cách nhật 2 ngày vì chu kỳ sốt mỗi 2 ngày (chú ý rằng Romans không có zero, nên có thuật ngữ như vậy) và thường khó chẩn đoán với loài KSTSR Plasmodium vivax trong máu. P. ovale có thể tái phát sau nhiều năm, thông qua thể ngủ trong gan như chúng ta đã biết là thể ngủ. Cũng như các loài Plasmodium trên động vật có vú khác, P. ovale truyền qua muỗi Anopheles.
Phân loại P. ovale đôi khi sai lầm vì ký sinh trùng này về mặt di truyền có nhiều điểm khác biệt với các loài khác. Một số nghiên cứu cho thấy loài này có liên hệ chặt chẽ với ký sinh trùng trong tế bào gan gây viêm gan ở dơi và gấu trúc, nhưng một báo cáo gần đây báo cáo ký sinh tùng trên tinh tinh có liên quan chặt chẽ với P. ovale.
Nói tóm lại, dù bệnh sốt rét được phát hiện và khám phá cách nay khá lâu, nhiều nhà nghiên cứu khoa học đã mang về không ít giải thưởng Nobel liên quan đến lĩnh vực sốt rét, song vấn đề sinh lý bệnh học, và nhiều khía cạnh khác nữa vẫn còn nhiều điều bí ẩn, chưa thể giải thích hết. Hy vọng trong tương lai đến, các nghiên cứu cơ bản trên thế giới sẽ góp phần bổ sung dữ liệu này.
Tài liệu tham khảo
1.Baird KJ and Hoffman SL (2004). "Primaquine Therapy for Malaria". Clin Infect Dis 39: 1336–1345.
2.Radloff PD, Philipps J, Hutchinson D, Kremsner PG (1996). "Atovaquone plus proguanil is an effective treatment for Plasmodium ovale and P. malariae malaria". Trans R Soc Trop Med Hyg 90 (6): 682. PMID 9015517.
3.Sutherland CJ, Tanomsing N, Nolder D et al., (2010). "Two nonrecombining sympatric forms of the human malaria parasite Plasmodium ovale occur globally". J Infect Dis 201 (10): 1544–50. PMID 20380562.
4.Cornu M, Combe A, Couprie B, et al. (1986). "[Epidemiological aspects of malaria in 2 villages of the Manyemen forest region (Cameroon, southwest province)]". Med Trop (Mars) 46 (2): 131–40.
5.Faye FB, Konaté L, Rogier C, Trape JF (1998). "Plasmodium ovale in a highly malaria endemic area of Senegal". Trans. R. Soc. Trop. Med. Hyg. 92 (5): 522–5.
6.Baird JK, Hoffman SL (November 2004). "Primaquine therapy for malaria". Clin. Infect. Dis. 39 (9): 1336–45.
7.Incardona S, Chy S, Chiv L, et al. (June 2005). "Large sequence heterogeneity of the small subunit ribosomal RNA gene of Plasmodium ovale in Cambodia". Am. J. Trop. Med. Hyg. 72 (6): 719–24.
8.Snounou G, Viriyakosol S, Jarra W, Thaithong S, Brown KN (1993). "Identification of the four human malaria parasite species in field samples by the polymerase chain reaction and detection of a high prevalence of mixed infections". Mol. Biochem. Parasitol. 58 (2): 283–92.
9.Cadigan FC, Desowitz RS (1969). "Two cases of Plasmodium ovale malaria from central Thailand". Trans. R. Soc. Trop. Med. Hyg. 63 (5): 681–2.
10.Gleason NN, Fisher GU, Blumhardt R, Roth AE, Gaffney GW (1970). "Plasmodium ovale malaria acquired in Viet-Nam". Bull. World Health Organ. 42 (3): 399–403.
11.Radloff PD, Philipps J, Hutchinson D, Kremsner PG (1996). "Atovaquone plus proguanil is an effective treatment for Plasmodium ovale and P. malariae malaria". Trans R Soc Trop Med Hyg 90 (6): 682.
12.Bozdech, Zbynek (August 18, 2003). "The Transcriptome of the Intraerythrocytic Developmental Cycle of Plasmodium falciparum". PLoS Biology 1 (1).
13."Biology: Malaria (CDC malaria)". http://www.cdc.gov/malaria/biology/parasites/
14.Warrell, D. A., Hemingway, J., Marsh, K., Sinden, R. E., Butcher, G. A., Snow, R. W. (2010). 7.8.2 Malaria. OTM 5: med-9780199204854-chapter-med-9780199204854-chapter [Abstract] [Full Text]
15.Rojo-Marcos, G., Cuadros-Gonzalez, J., Mesa-Latorre, J. M., Culebras-Lopez, A. M., de Pablo-Sanchez, R. (2008). Acute Respiratory Distress Syndrome in a Case of Plasmodium ovale Malaria. Am J Trop Med Hyg 79: 391-393 [Abstract] [Full Text]
16.Coldren, R. L., Jongsakul, K., Vayakornvichit, S., Noedl, H., Fukudas, M. M. (2007). Apparent Relapse of Imported Plasmodium ovale Malaria in a Pregnant Woman. Am J Trop Med Hyg 77: 992-994 [Abstract] [Full Text]
17.Calderaro, A., Piccolo, G., Perandin, F., Gorrini, C., Peruzzi, S., Zuelli, C., Ricci, L., Manca, N., Dettori, G., Chezzi, C., Snounou, G. (2007). Genetic Polymorphisms Influence Plasmodium ovale PCR Detection Accuracy. J. Clin. Microbiol. 45: 1624-1627 [Abstract] [Full Text]
18.Conway, D. J. (2007). Molecular Epidemiology of Malaria. Clin. Microbiol. Rev. 20: 188-204.