Tác giả: Arindam Chakravorty !important; Christopher H Heath  !important; 
Đăng tại https://www1.racgp.org.au/ajgp/2019/may/melioidosis-an-updated-review
Tổng quan
Là một căn bệnh lưu hành tại các vùng đất thuộc Bắc Úc, Burkholderia pseudomallei  !important;là một trực khuẩn Gram âm gây ra bệnh melioidosis (bệnh vi khuẩn ăn thịt người – Whitmore), căn bệnh này gây ra nhiều bệnh cảnh lâm sàng từ viêm phổi và/hoặc nhiễm trùng da cho đến bệnh lan tỏa nhưnhiễm trùng máu bùng phát nhanh. Các trường hợp bệnh xảy ra thường đạt đỉnh điểm sau các cơn mưa gió mùa, đặc biệt là ở những người bị rối loạn chức năng miễn dịch.Việc chẩn đoán sớm melioidosis vẫn còn là một thách thức đối với các bác sĩ chính bởi khả năng bắt chước nhiều căn bệnh khác của nó và có tác động lâm sàng cao (có thể tử vong).
Mục tiêu
Mục tiêu của bài đánh giá tổng quan này nhằm cung cấp cho các bác sĩ đa khoa một cái nhìn tổng quan về melioidosis, đề cập đến các khía cạnh dịch tễ học, các yếu tố nguy cơ nhiễm bệnh, các bệnh cảnh lâm sàng, các kỹ thuật chẩn đoán và một phương pháp tiếp cận đến việc quản lý, bao gồm cả các các khía cạnh y tế công cộng.
Bàn luận
Các bác sĩ chăm sóc ban đầu đóng một vai trò quan trọng trong việc phát hiện bệnh sớm, ổn định tình hình bệnh nhân ban đầu, yêu cầu các mẫu vật lâm sàng phù hợp (đặc biệt là các mẫu nuôi cấy máu) và tiến hành điều trị kịp thời bằng các loại kháng sinh có hiệu quả. Việc giáo dục cho bệnh nhân cũng cực kỳ quan trọng trong các thời điểm nguy cơ cao, trước hết là cho các bệnh nhân bị tiểu đường và/hoặc những người sử dụng rượu bia quá mức, sống tại các vùng bệnh lưu hành của nước Úc.
Melioidosis là một căn bệnh xảy ra ở con người (và động vật) gây ra do nhiễm trực khuẩn Gram âm Burkholderia pseudomallei. Bệnh này ban đầu được mô tả bởi Whitmore và Krishnaswami vào năm 1912 sau khi có các báo cáo về các ca nhiễm trùng máu và viêm phổi nghiêm trọng tại Miến Điện (Burma),1  !important;ca bệnh melioidosis trên người đầu tiên tạiÚc đã được mô tả vào năm 1950, trên một bệnh nhân bị tiểu đường đã tử vong do melioidosis nhiễm trùng máu tại Townsville.1 Đa số các ca bệnh người Úc được báo cáo tại vùng Lãnh thổ phía Bắc (Northern Territory NT), Bắc bang Queensland vàvùng Kimberley của Tây Úc; mặc dù cũng có các ca bệnh và cụm rải rác được phát hiện ở ngoài các khu vực bệnh lưu hành tại Úc, bao gồm tây nam Tây Úc (Western Australia WA), thị trấn Alice Springs và Thung lũng Sông Brisbane tại bang Queensland.1
Vi trùng học
B. pseudomallei  !important;là trực khuẩn hình que ưa khí, di động, dương tính-oxidase, Gram âm, nhỏ bé cư trú trong đất, nước và các loài thực vật tại các vùng bệnh lưu hành..2,3 B. pseudomalleicó sự tương đồng chặt chẽ với các thành viên của chi Pseudomonas và đã thực sự được gọi làPseudomonas pseudomallei, trước khi chúng được tách sang một chi mới vào năm 1992.1 Các phân tíchphát sinh chủng loại (phylogenomic analyses) gần đây sử dụng kỹ thuật giải trình tự toàn bộ hệ gen, bên cạnh các kỹ xác định quan hệ tiến hóa theo vùng địa lý phức tạp (sophisticated phylogeographic techniques), cho thấy rằng các chủng tổ tiên của B. pseudomallei đầu tiên xuất hiện tại Úc, và sau đó lan sang châu Á, và sau đó tiến hóa và phân bổ ra toàn cầu.4 B. pseudomallei là các sinh vật hoại sinh sốt sót tốt ngoài môi trường và có thể chống chọi với các điều kiện nhiệt độ cực đoan, các điều kiện kiềm và axit, các chất diệt khuẩn và các dung dịch sát trùng.1–3 Vì là các tác nhân gây bệnh nội bào tùy tiện, B. pseudomallei sử dụng nhiều cơ chế khác nhau để có thể sống sót bên trong các tế bào hệ thống miễn dịch bẩm sinh vật chủ,làm lây lan vi khuẩn từ tế bào sang tế bào và tạo ra màng sinh học (biofilm).2,3
Yếu tố nguy cơ và dịch tễ học
Tỷ lệ mắc melioidosis cao nhất được ghi nhận xảy ra tại vùng Lãnh thổ phía Bắc (Úc)1  !important;và tại Đông BắcThái Lan;5 tuy nhiên, các ca nhiễm dường như đang bị chẩn đoán sót và báo cáo sót rất nhiều trên khắp vùng Đông Nam Á, vùng tiểu lục địa Ấn Độ, Sri Lanka, Trung Quốc và Papua New Guinea.1–3 Ngày càng có nhiều các ca bệnh rải rác được báo cáo từ các vùng Trung và Nam Mỹ, châu Phi, Trung Đông, vùng Car-ri-bê, Thái Bình Dương (tức là New Caledonia) và Ấn Độ Dương (tức là Mauritius).2–3 Gánh nặng bệnh tật toàn cầu hàng năm ước tính của melioidosis là xấp xỉ 165.000 ca, bao gồm 89.000 ca tử vong.4
Bệnh melioidosis ở người xảy ra ở mọi lứa tuổi, tuy nhiên thì tỷ lệ mắc xảy ra nhiều nhất ở người lớn độ tuổi từ 40 đến 60.2–3  !important;Tỷ lệ mắc melioidosis và mức độ nghiêm trọng của bệnh này được quyết định bởicác yếu tố môi trường,vật chủvàđộc lực đặc hiệuchủng loài. Các đánh giá hồi cứu của các nghiên cứu thuần tậptừ Úc và Thái6–8 đã xác định nhiều yếu tố nguy cơ vật chủ đối với melioidosis bao gồm tiểu đường, tiêu thụ đồ uống có cồnquá mức (bao gồm cả uống rượu bia bừa bãi)và bệnh phổi và thận mãn tính. Những người thường xuyên tiếp xúc với đất và nước tại các vùng bệnh lưu hành có nguy cơ nhiễm bệnh cao nhất, bao gồm những người bản xứ châu Úc (người Aboriginal và Torres Strait Islander), người làm nông nghiệp, công nhân xây dựng và du lịch sinh thái.3,5 Giữa các ca melioidosis và lượng mưa trung bình hàng tháng có sự tương quan mạnh mẽ (Hình 1),9 bên cạnh đó các nghiên cứu dịch tễ học đã chỉ ra rằng 81% các ca bệnh người Úc xảy ra trong suốt mùa mưa.9 Hình thức lây nhiễm phổ biến nhấtlà sự xâm nhập qua da sau khi tiếp xúc với đất hoặc nước trong mùa mưa.1–3 Nhiễm bệnh do các sự kiện sặc nước hoặc hít phải hơi nước nhiễm bệnh (ví dụ, suýt chết đuối) thường xảy ra sau các cơn mưa nặng hạt và bão mạnhvà có liên quan với thời gian ủ bệnh ngắn hơn với nguy cơ cao xuất hiện viêm phổi, sốc nhiễm khuẩn và tử vong;5,6,9 điều này có thể được giải thích là sự thay đổi ởcách thức lan truyền thông qua hít thở, và có thể là liều lượng hít vào cao hơn (so với tiếp xúc qua da).6,9 Nhiễm bệnh do nuốt phải cũng có mối liên quan về mặt lâm sàng trong một số khu vực bệnh lưu hành, đặc biệt là từ nước uống chưa quaxử lý clo.1 Các hình thức lan truyền khác – bao gồm lan truyền theo chiều dọctừ mẹ sang thai nhi(vertical transmission), lan truyền từ động vật sang người, lan truyền từ việc bú sữa từ các bà mẹ bị viêm vú,và lan truyền từ quan hệ tình dục – là rất hiếm, nhưng đã được mô tả.1 Các đợt dịch bệnh trong bệnh viện cũng ít được ghi nhận.1–3 Thông tin chi tiết về dịch tễ học và các yếu tố nguy cơ được thể hiện trong Bảng 1.
Bảng 1. Tóm tắt các biểu hiện lâm sàng của melioidosis*  | 
Chuyển đảo huyết thanh không có triệu chứng  | Phổ biến nhất, như được đề cập bởi các nghiên cứu tỷ lệ dương tính huyết thanh tại các vùng bệnh lưu hành1  | 
Nhiều yếu tố nguy cơ được mô tả liên quan đến nhiễm trùng1,†  | 
Nhiễm trùng cấp tính (85%)  | Thời gian ủ bệnh trung bình xấp xỉ 9 ngày (phạm vi: 1–21 ngày), nhưng biểu hiện sớm hơn nhiều sau các sự kiện hít phải/sặc nước có mầm bệnh.1,9,‡  !important;Mùa mưa: tháng Mười đến tháng Tư.  | 
Khoảng thời gian có triệu chứng< !important;2 tháng.1 Hầu hết đều phát triển thành melioidosis cấp tính, với 50% nhiễm trùng máu khi được khám, và xấp xỉ 20% phát triển thành sốc nhiễm khuẩn5  | 
Nhiễm trùng phổi  | Biểu hiện ở 51% người lớn (Hình 2) !important; biểu hiện ở 20%trẻ em5,8  | 
Các biểu hiện X-quang có thể thay đổi: các thâm nhiễm nhỏ/tổn thương tạo hốc (cavitation)/bệnh phổi mô kẽ8  | 
Nhiễm trùng da  | Biểu hiệnở 13% người lớn !important; biểu hiện ở 60%5,10 trẻ em  | 
Thường ghi nhận các tổn thương đơn độc tại vùng da bị xâm nhập1  | 
Nhiễm trùng sinh mủ  | Các áp-xe nội tạng mô mềm thường xuất hiện trong lá lách, gan, thận5  | 
Áp-xe tuyến tiền liệt (18% !important;1 Hình 3)§  | Bệnh viêm tuyến mang tai hiếm được ghi nhận ở Úc Australia1,ǁ  | 
Nhiễm trùng hệ thần kinh trung ương  | Các áp-xe trong não: được cho là hệ quả của sự lan truyền nhiễm trùng trong máu1,2  | 
Viêm não tủy#: Thường gây ra các biểu hiện cuống não11  !important;(tham khảo báo cáo ca bệnh)  | 
Nhiễm trùng xương/khớp  | Ghị nhận ở 4% các ca bệnh, do sự ăn lan trực tiếp hoặc thông qua sự lan truyền qua máu5  | 
Khác (hiếm)  | Phình mạch hình nấm, viêm màng ngoài tim, các khối u trung thất trước, áp-xe bìu dái và tuyến giáp1,5  | 
Nhiễm trùng mãn tính (11%)  | Được định nghĩa là triệu chứng kéo dài > !important;2 tháng1  | 
Tiên lượng bệnh tốt hơn nhiều so với melioidosis cấp tính5  | 
Nhiễm trùng phổi  | Sốt, sụt cân và ho có đờm !important; thường giống với lao phổi5  | 
Phần lớn xuất hiện các thâm nhiễm ở thùy trênkhi quan sát hình ảnh X-quang phổi5  | 
Nhiễm trùng da  | Các tổn thương da không lành, thường không đáp ứng với nhiều lộ trình kháng sinh5  | 
Tái phát tình trạng bệnh âm ỉ (4%)  | Thường tái phát các bệnh phổi5  | 
Thời gian âm ỉ từ 14–24 năm (có thể lên tới 62 năm)1,5  | 
Các yếu tố nguy cơ  | Các nhiễm trùng xảy ra đồng thời: cúm, nhiễm trùng máu do vi trùng1  | 
Các yếu tố nguy cơ truyền thống liên quan đến bệnh này làtiểu đường, tiêu thụ đồ uống có cồn quá mức, bệnh thận mãn tính và/hoặcsỏi niệu, và bệnh phổi mãn tính1  | 
*Các biểu hiện lâm sàng chịu tác động bởisai số xác địnhvà các hình thức sai số khác vốn có trong nguồn hàng loạt ca bệnhriêng lẻ †Bên cạnh các yếu tố nguy cơ, các yếu tố nguy cơ thường được cho là liên quan đến nhiễm trùng bao gồmkhối u ác tính, steroid và các liệu pháp ức chế miễn dịch khác, bệnh tim biến chứng từ bệnh thấp khớp và/hoặc suy tim sung huyết, thiếu máu tán huyết bẩm sinh(thalassaemia),bệnh quá tải sắt, uống rượu hồ tiêu, bệnh u hạt mãn tính, sắt ứ trong phổi (pulmonary haemosiderosis) và lao phổi6–8 ‡Thời gian ủ bệnh ngắn < !important;24 giờ cũng ít được báo cáo1–3 §Áp-xe tuyến tiền liệt thường được phát hiện tại Úc nhưng hiếm thấy ở Thái Lan1–3 ǁViêm tuyến mang taimưng mủ là một biểu hiện phổ biến của bệnh trên trẻ em tại Thái Lan và Cam-pu-chia, gây ra lên tới 40% số ca bệnh trẻ em ở Thái Lan.1  !important;Viêm tuyến mang tai thì ít phổ biến hơn rất nhiều tại Úc.1 #Viêm não tủy bao gồm một phổ lâm sàng rộng, nhưng về mặt lâm sàng nó căn bảnlà một chứng viêm cuống não. Các đặc điểm lâm sàng dễ thấy bao gồm bệnh lý dây thần kinh sọ (đặc biệt là các dây số VI, VII), yếu chi neuron vận động trên một bên(unilateral upper motor neuron limb weakness), các triệu chứng tiểu não, liệt hành tủy (bulbar palsy) hoặc liệt mềm hai chi dưới(flaccid paraparesis).1  !important;Hầu hết các bệnh nhân đều tỉnh táo hoặc gần như tỉnh táo khi được khám. Viêm não tủy ít được báo cáo ngoài lãnh thổ Úc.1  | 

Hình 1.  !important;Lượng mưa hàng tháng (đường màu xanh) và số lượng các ca bệnh melioidosis
(cột màu cam) trong suốt thời gian nghiên cứu 12 năm tại vùng Lãnh thổ phía Bắc Úc
Trích từ Currie BJ, Jacups SP. Intensity of rainfall and severity of melioidosis, Australia. Emerg  !important;Infect Dis 2003;9(12):1538–42.
Các đặc điểm lâm sàng
Các đặc điểm lâm sàng của melioidosis bắt chước nhiều căn bệnh khác (vd nhiễm trùng máu/sốc nhiễm trùng, viêm phổi mắc từ cộng đồng [CAP] và lao phổi,điều này khiến các bác sĩ thường xuyên chẩn đoán sai căn bệnh này.5  !important;Vì vậy, melioidosis được biết như là ‘kẻ bắt chước vĩ đại’.1 Thời gian ủ bệnh trung bình là chín ngày (1–21 ngày) nhưng các triệu chứng có thể xuất hiện nhanh hơn (<24 giờ) sau khi hít phải và/hoặc sặc nước nhiễm bệnh.1,9 Trong các ca bệnh cấp tính, nhiễm trùng máu là hội chứng phổ biến;>50% các bệnh nhân có vi khuẩn trong máu khi được khám, và 20% phát triển thành sốc nhiễm trùng.5 Ở người lớn thì nhiễm trùng phổi là thể nhiễm trùng cấp tính phổ biến nhất (Hình 2), gây ra >50% những người được khám, trong khi viêm phổi được ghi nhận ở xấp xỉ 20% các ca trẻ em.8 Các ca trẻ em bị nhiễm trùng da thường xuyên hơn (60%) so với các ca người lớn (13%).5,10 Melioidosis ở da thường biểu hiện với một tổn thương riêng lẻ tại vị trí xâm nhiễm, thường không đáp ứng với các loại kháng sinh tiêu chuẩn.5,6 Các áp-xe nội tạng thường được ghi nhận phổ biến ở lá lách, gan, tuyến thượng thận và thận,5 và, chủ yếu ở Úc, các áp-xe tuyến tiền liệt xảy ra ở xấp xỉ 18% nam giới (Hình 3).

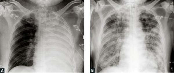
Hình 2.
A.  !important;Phim chụp X-quang ngực từ một người đàn ông thổ dân châu Úc (Aboriginal), 54 tuổi, mắc tiểu đường type 2 kiểm soát kém
 cho thấy tổn thương đông đặc phổi trái hoàn toàn và đòi hòi phải được đặt ống nội khí quản khi được khám;
B.  !important;Phim chụp X-quang theo dõi điều trị của người này trong bệnh viện vào ngày 28, 
cho thấy melioidosis phổi cấp tính tiến triển có các thâm nhiễm phế nang hai bên lan rộng.

Hình 3.
Hình ảnh chụp cắt lớp đứng ngang (Coronal computed tomography)của một người đàn ông 
chủng tộc Caucasian, 62 tuổi, với một áp-xe tuyến tiền liệt lớn (mũi tên), sau chuyến du lịch gần đây tới Thái Lan.
Người này đã mắc melioidosis lan tỏa cấp tính.
Viêm não tủy là một biến chứng không hay xảy ra nhưng có khả nănggây hậu quả nghiêm trọng đang xuất hiện ngày một phổ biến hơn ở Úc(xấp xỉ 4% các ca) và thường xuyên tác động đến vùng cuống não.1  !important;Bệnh hệ thần kinh trung ương cũng được ghi nhận bên ngoài lãnh thổ Úc nhưng thường gây ra bởi các áp-xe trong não hình thành từ sự lan truyền vi khuẩn trong máu.11 Viêm xương tủy và viêm khớp nhiễm khuẩn cũng đã được mô tả, hoặc là do các chấn thương từ vết thương vật sắc nhọn đâm qua hoặc là do sự phát tán qua máu. Phình mạch hình nấm, viêm màng ngoài tim, các khối u trung thất trước, áp-xe bìu dái là các biểu hiện lâm sàng hiếm gặp ở melioidosis.1,5
Phần lớn các bệnh nhân phát triển thành melioidosis cấp tính sau khi nhiễm trùng không lâu, nhưng xấp xỉ 11% số ca phát triển thành melioidosis mãn tính (triệu chứng> !important;2 tháng), thường xuyên có các triệu chứngthể tạng (constitutional symptoms) và thường có các thâm nhiễm thùy trên phổi. Xấp xỉ 4% các ca chuyển thành sự tái phát các tình trạng bệnh âm ỉ, đôi khi mất cả thập kỷ sau đợtnhiễm trùng ban đầu.5 Sự tái phát của các đợt nhiễm trùng ban đầu (hoặc tái diễn) có thể xảy ra.2,3,5 Các đặc điểm lâm sàng của melioidosis được tóm tắt ở Bảng 1.
Chẩn đoán
Melioidosis bị chẩn đoán sót vì các biểu hiện lâm sàng không đặc hiệu hay thay đổi của nó, sự thiếu nhận thức về căn bệnh và nhận diện sai  !important;B. pseudomallei, đặc biệt là ở các phòng thí nghiệm thiếu kinh nghiệm.1,3,5 Các ca nhiễm cấp tính thường được chẩn đoán sót thành viêm phổi mắc từ cộng đồng, nhiễm trùng da khu trú hoặc sốc nhiễm khuẩn.Ngược lại, các ca nhiễm trùng phổi mãn tính thường bị nhầm với lao phổi.5
Việc nuôi cấyB. pseudomallei  !important;từ các mẫu vật lâm sàng vẫn là cơ sở chính để chẩn đoán căn bệnh này, với sự sinh trưởng chậm trêntrên môi trường thạch MacConkey/máu tiêu chuẩn. Việc nhận diện B. pseudomallei bằng các hệ thống nhận diện hóa sinh thương mại truyền thống vẫn còn thiếu nhất quán,3 dẫn đến hệ quả nó được nhận diện sai thành Pseudomonas hoặc các loài Burkholderia khác, đặc biệt là ởngoài các vùng bệnh lưu hành.1–3 Việc phân lập mẫu vật được cải tiến bằng việc đưa các mẫu vật không vô trùng (non-sterile) lên trên môi trường được chọn (vd thạch Ashdown), điều này giúp phát hiện các cụm khuẩn dễ dàng hơn.1,3 Nếu khả thi, các hệ thống khối phổ thời gian bay ion hóa/hấp thụ dựa trên sự hỗ trợ của các chất nền và năng lượng laser(matrix-assisted laser desorption/ionisation time-of-flight mass spectrometry systems) với các thư viện cơ sở dữ liệu tiên tiến có thể cung cấp sự nhận diện chính xác, nhanh chóng B. pseudomallei.3
Các xét nghiệm huyết thanhcó sự hạn chế trong ứng dụng lâm sàngbởi vì sự dương tính kháng thể nền cao tại các khu vực bệnh lưu hành và kết quả âm tính giả ở giai đoạn đầu của căn bệnh.3  !important;Một xét nghiệm sắc kí miễn dịch cho thấy nhiều hứa hẹn tại Thái Lan nhưng hiện chưa có sẵn tại Úc.3
Quản lý
Melioidosis cấp tính thường đòi hỏi sựphân lọc lâm sàng, hồi sức và thuyên chuyển nhanh chóngđến khâu quản lý bệnh nhân nội trú trong một khu vực chăm sóc khẩn cấpcủa bệnh viện. Tuy nhiên, bác sĩ chăm sóc ban đầu đóng một vai trò quan trọng trong việc đánh giá bệnh nhân ban đầu, phát hiện bệnh sớm và làm ổn định tình hình cho bệnh nhân, đặc biệt là tại các khu vực nông thôn. Họ chịu trách nhiệm thu thập các mẫu vật chẩn đoán (bao gồm các mẫu nuôi cấy máu), kết hợp với việc tiến hành điều trị sớm liệu pháp kháng sinh và thuyên chuyển nhanh chóng người bệnh. Tuy nhiên, một số nhiễm trùng khu trú cấp tính có thể được quản lý tại cộng đồng.1,2  !important;Liệu trình điều trị kháng sinh đối với melioidosis được tóm tắt trong Bảng 2.2,12,13 Một khi bệnh nhân đã biểu hiện đáp ứng lâm sàng thỏa đáng, có thể cân nhắc sử dụng liệu pháp kháng sinh ngoài đường tiêu hóa ngoại trú trong suốt giai đoạn điều trị tấn công (intensive phase) của toàn bộ quá trình điều trị,13 tuy nhiên cũng cần có sự giám sát lâm sàng phù hợp của một bác sĩ chăm sóc cơ bản. Tiếp sau liệu pháp điều trị tấn công,khâu quản lý kháng sinh trong giai đoạn điều trị tiệt căn (eradication phase) sẽ được quản lý tốt nhất bởi một bác sĩ đa khoa (general practitioner) để đảm bảo sự tuân thủ điều trị thuốc kháng sinh, hạn chế độc tính của thuốc và phát hiện thất bại điều trị sớm.12
Bảng 2.  !important;Quản lý bệnh melioidosis*  | 
Liệu pháp điều trị tấn công  | Bắt đầu sử dụng khi chẩn đoán để quản lý tải lượng vi khuẩn cao và nhiễm trùng máu12,13  | 
Các tùy chọn kháng sinh
 
   | Meropenem: IV 25 mg/kg đến 1 g ngày 3 lần (tds), IV 50 mg/kg đến 2 g ngày 3 lầnđối với bệnh CNS12,13  | 
Ceftazidime: IV 50 mg/kg đến 2 g, mỗi 6 tiếng. Truyền IV liên tục 6 g/ngày, có thể giúp nhanh chóng xuất viện ở những bệnh nhân thích hợp thông qua OPAT12,13,†  | 
TMP-SMX 320/1600 mg 2 lần 1 ngày (bid), axit folic (0.1 mg/kg lên tới 5  !important;mg ở trẻ em) hàng ngày, có thể được đưa vào bổ sung đối với các bệnh nghiêm trọng13,15  | 
Thời gian  | Liệu pháp IV trong 10–14 ngày đối vớinhiễm trùng máu/bệnh da/phổi độc lập không có ổ nhiễm bệnh(without focus)12,13  | 
Liệu pháp IV trong ≥4–8 tuần đối với bệnh nghiêm trọng/biến cố lâm sàng/ viêm phổi biến chứng, nhiễm trùng ăn sâu (deep-seated infection), nhiễm trùng xương/khớp, bệnh thần kinh12,13  | 
Liệu pháp bổ sung  | Các quy trình phẫu thuật đối với các “khu vực bảo tồn”(sanctuary sites – vd não, buồng trứng, hệ thần kinh trung ương) ít đáp ứng với liệu pháp kháng sinh13  | 
Bằng chứng không đầy đủvề yếu tố kích thích dòng bạch cầu hạt2  | 
Liệu pháp điều trị tiệt căn  | Bắt đầu sử dụng ngay sau liệu pháp điều trị tấn công để ngăn ngừa tái phát  | 
Các tùy chọn kháng sinh  | Liều uống TMP-SMX 320/1600 mg 2 lần 1 ngày (bid), đơn trị liệu12,13  | 
Doxycycline trong trường hợp TMP-SMX không dung nạp hoặc có phản ứng thuốc bất lợi12  | 
Amoxicillin/clavulanic acid dự bị như là liệu pháp tuyến 3 (third line)nếu có thất bại điều trị và tái phát13  | 
Thời gian  | Khoảng thời gian thường 3–6 tháng,tùy theo đáp ứng lâm sàng13  | 
Theo dõi  | Sự tuân thủ điều trị của bệnh nhân, thông số huyết học, hóa sinh và các chỉ điểm tái phát bệnh13  | 
Tái phát  | Thời gian điều trị không thỏa đáng, không tuân thủ điều trị, bệnh nghiêm trọng, nhiễm trùng dai dẳng  | 
Quản lý  | Xác định và xử lý nguyên nhân gây tái phát13  | 
Làm lại xét nghiệm độ nhạy thuốc kháng sinh13  | 
Lặp lại điều trị giai đoạn điều trị tấn công diệt khuẩn13  | 
Dự phòng sau phơi nhiễm  | Rủi ro phòng thí nghiệm nghiêm trọng, đánh giá sự cần thiết của biện pháp dự phòng bệnh (dữ liệu còn hạn chế)13  | 
Liên lạc với bác sĩ/nhà vi trùng học lâm sàng các bệnh truyền nhiễm  | 
Các tùy chọn kháng sinh  | Liều uống TMP-SMX 320/1600 mg 2 lần 1 ngày13  | 
Amoxicillin/clavulanic acid 875/125 mg 2 lần 1 ngày13  | 
Thời gian  | Hoàn thành liệu pháp điều trị 21 ngày, theo dõi các dấu hiệu nhiễm bệnh13  | 
*Việc quản lý melioidosis thường rất phức tạp và trong hầu hết các ca bệnh đòi hỏi phải có sự tham gia của các nhà vi trùng học lâm sàng và/hoặc các bác sĩ về các bệnh truyền nhiễm †Các chương trình OPAT hướng đến việc sử dụng liệu pháp kháng sinh tĩnh mạch trong bối cảnh ngoại trú, như là một lựa chọn thay thế cho chăm sóc nội trú12 bid, hai lần mỗi ngày !important; CNS, hệ thần kinh trung ương; IV, tĩnh mạch; OPAT, liệu pháp kháng sinh ngoài ruột ngoại trú; tds, ba lần mỗi ngày; TMP-SMX, trimethoprim-sulfamethoxazole  | 
Tiên lượng bệnh
Tỷ lệ tử vong do melioidosis cấp tính là 20–50% trên toàn thế giới.3  !important;Tỷ lệ tử vong thậm chí còn cao hơn (50%) ở các bối cảnh thiếu thốn nguồn lực và có sự tiếp cận hạn chế đến các cơ sở chẩn đoán và chăm sóc tích cực (ICU), đặc biệt là ở những người có các bệnh mắc kèm nguy hiểm (comorbidity).3 Kết quả điều trị bệnh này có sự tương quan với việc nhận diện bệnh nhanh, các loại kháng sinh phù hợp và tình trạng bệnh tật mãn tính của người bệnh.Các bệnh mắc kèm của vật chủ là các yếu tố chính quyết định mức độ nghiêm trọng của căn bệnh,1–3 mặc dù chúng thường được phát hiện ở người lớn nhiều hơn là ở trẻ em.5–7 Dữ liệu từ Thái lan cho thấy rằng các yếu tố nguy cơ độc lập liên quan đến tử vong và thất bại điều trị là nhiễm trùng máu (odds ratio [OR]: 2.9), suy hô hấp (OR: 6.7), suy thận (OR: 3.1) và trên 50 tuổi (OR: 2.0); các kết quả này cũng được xác nhận bởi các dữ liệu khảo sát từ Úc.5,14 Mặc dù dữ liệu này còn rải rác, nhưng tiên lượng bệnh của melioidosis thần kinh nhìn chung cũngđược tính đến.11 Các kết quả của những bệnh nhân melioidosis mãn tính thường tốt hơn nhiều so với những người nhiễm cấp tính, trong khi đó vẫn còn có rất ít dữ liệu tiên lượng bệnh về sự tái phát thể nhiễm trùng âm ỉ.1–3
Các mối lo ngại an toàn sinh học và y tế công cộng
Gần đây có sự gia tăng đột biến các nghiên cứu B. pseudomallei, có thể là vì nó đã đượcxếp vào nhóm các tác nhân có thể sửdụng làm vũ khí sinh học ở cấp độ nguy hiểm loại 1 (tức là mầm bệnh chiến tranh sinh học tiềm tàng).3,13  !important;Hiện vẫn chưa có vắc-xin đặc hiệu cho con người.3,13 Việc tuyên truyền thông tin về căn bệnh này giúp giảm bớt các rủi ro y tế công cộng. Ví dụ, các cảnh báo y tế công cộng hàng năm với sự giáo dục cơ bản tại các khu vực bệnh lưu hành có thể ngăn ngừa các ca nhiễm trong các thời điểm nguy cơ cao, đặc biệt là cho các bệnh nhân tiểu đường hoặc các rối loạn thiếu hụt miễn dịch khác.3 Các du khách, đặc biệt là những người đi tới các khu vực bệnh lưu hành cũng có nguy cơ cao, nên được tư vấn để giảm thiểu tối đa sự tiếp xúc với đất và nước bề mặt, bằng cách đi giày dép bảo hộ và băng bó bảo vệ vùng da bị trày xước hay vết thương hở. Những người có nguy cơ mắc bệnh cao (vd những người bị xơ nang) nên được khuyên tránh đi du lịch trong suốt các thời điểm bệnh lưu hành cao, như là trong các đợt mưa gió mùa.
Báo cáo ca bệnh
Một người đàn ông khỏe mạnh làm công việc chăm sóc gia súc, 30 tuổi, đã được chuyển đến từ vùng Pilbara tại bắc Tây Úc với bệnh sử 3 tuần khó ở (malaise), sốt nhẹ, mệt mỏi, ho có đờm và sụt 5 kg.Trong tuần trước đó, người này đã khai báo về một cơn đau đầu lan tỏa dai dẳng cùng với chứng song thị (nhìn một thành hai) tiến triển. Không có lịch sử đi du lịch gần đây hoặc tiêu thụ đồ uống có cồn quá mức, và không có các cơn mưa rào gần đây.Bác sĩ đã ghi lại sự kết hợp của các triệu chứng toàn thân và các biến cố thần kinh tiến triển này. Sau khi kết quả chụp x-quang ngực cho thấy tổn thương hang đỉnh trái(Hình 4A), bệnh nhân này đã được cho dùng empiric oral amoxicillin và doxycycline liều uống theo kinh nghiệm, và nhanh chóng được chuyển viện đến thành phố Perth.
Đánh giá ban đầu tại Perth cho thấy người đàn ông sốt, ngủ lơ mơcùng với thông số huyết động học (haemodynamic) ổn định, nhưng nhanh chóng tiến triển thành bệnh lý dây thần kinh sọ bao gồm liệt dây thần kinh thứ 6 hai bên, liệt dây thần kinh mặt bên trái, suy giảm khả năng nói và ho do bệnh lý đa dây thần kinh sọ thấp/hành tủy. Kiểm tra ban đầu hệ hô hấp, tim mạch, và dạ dày-ruột non cho kết quả bình thường.Các xét nghiệm phòng thí nghiệm tương ứng khi nhập viện cho thấy C-reactive protein là 15  !important;mg/L (ngưỡng tham chiếu [RR] <5 mg/L), tăng bạch cầu 11.58 × 109/L (RR 4–11 × 109/L) vàthiếu natri trong máu 127 mmol/L (RR 134–146 mmol/L). Không lâu sau khi nhập viện, bệnh nhân đã được yêu cầu chuyến đến Đơn vị Chăm sóc Tích cực (ICU)để theo dõi tình trạng huyết áp không ổn định (labile blood pressure) và thở máy không xâm nhập(Dung tích sống gắng sức [forced vital capacity FVC] 75% đã được dự đoán, cùng với toan hô hấp có bù trừ (compensated respiratory acidosis)), gần như là do rối loạn chức năng hệ thần kinh tự chủ cuống não. Vì bệnh nhân bị tổn thương thần kinh tiến triển quá nhanh như vậy, các bác sĩ đã tiến hành điều trị theo liệu pháp kháng sinh phổ rộng theo kinh nghiệm (bao gồm cả thuốc meropenem).
Chụp cắt lớp vi tính có tiêm tương phản (Contrast-enhanced CT) vùng ngực đã xác nhậncó một hốc (cavity), và hình ảnh chụp cộng hưởng từ não bộ cho thấycác thay đổi tín hiệu T2 lan rộng kéo dài từ não giữa sang tủy cổ (Hình 4B), cùng với sự tăngtương phản màng não mềm (leptomeningeal). Thủ thuật chọc ống sống thắt lưng (lumbar puncture) cho thấy tăng tế bào dịch não tủy (CSF) với 37 × 106/L bạch cầu (RR < !important;5 × 106/L), 20% bạch cầu trung tínhvà 80% lym-phô bào, và tăng protein dịch não tủy 0,87 g/L (RR 0.15–0.45 g/L). Mặc dù cả hai mẫu nuôi cấy máu và dịch não tủy đều âm tính, mẫu nuôi cấy nước bọt (sputum) thu được B. pseudomallei và bệnh nhân bắt đầu được cho dùng một liệu pháp với các liều meropenem tĩnh mạch cao hơn (2 gm ngày 3 lần) và trimethoprim/sulfamethoxazole (TMP-SMX) 320/1600 mg ngày 2 lần (cộng với thuốc bổ sungaxit folic). Hình ảnh CT bụng cho thấy không có áp-xe tuyến tiền liệt hoặc trong bụng. Sau 4 tuần liệu pháp điều trị tấn công, người này tiếp tục được điều trị liệu pháp tiệt căn bằng liều uống TMP-SMX 320/1600 mg ngày 2 lần trong vòng 6 tháng, và vẫn đòi hỏi sự theo dõi chặt chẽ các thông số tình trạng lâm sàng, chức năng gan và thận, và được theo dõi bởi bác sĩ chăm sóc sức khỏe ban đầu. Bác sĩ đa khoa cũng vẫn có vai trò trong việc chỉ đạo giai đoạn điều trị tích cựcđể phục hồi chức năng thần kinhsau khâu quản lý bệnh ban đầu trong khu vực chăm sóc khẩn cấp của bệnh viện. Việc đánh giá khi hoàn thành liệu pháp điều trị cho thấy hồi phục chức năng và thần kinh hoàn toàn, và các thay đổi hình ảnh thần kinh trước đó trở về bình thường. Người này đã quay trở lại làm việc toàn thời gian tại trại gia súc trước đó.

Hình 4.
a.  !important;Hình ảnh x-quang ngực bệnh nhân cho thấy một tổn thương tạo hốc dạng nanghình quả trứng 27 mm
(mũi tên)trên đỉnh phổi trái, xung quanh là các đám mờ động mạch-phế quảnhình dạng hạch và mắt lưới;
b.  !important;Hình ảnh cộng hưởng từ T2-weighted mặt đứng cho thấy sự thay đổi tín hiệu cao lan rộng trong não giữa, cầu não, 
cuống tiểu não giữa, tiểu não, tủy xươngvà tủy cổ trên (mũi tên), cộng với tăng tăngtương phản màng não mềm (leptomeningeal). 
Ảnh này chưa cho thấy hết được những thay đổi của bệnh nhân.
Đơn vị y tế công cộng khu vực đã điều tra nơi làm việc của bệnh nhân (trải dài trên phạm vi gần2500 km2), đồng thời cũng lấy mẫu đất và nguồn nước của môi trường vùng này. Tuy nhiên kết quả cho thấy không phát hiện nguồn lây nhiễm bệnh, có thể là do sự hạn chế của việc xét nghiệm trên một khu vực quá rộng lớn.Các bằng chứng cho thấy các đồng nghiệp của bệnh nhân này trước đó cũng không hề phơi nhiễmqua đường máu với  !important;B. pseudomallei.
Các điểm chính trong bài
Melioidosis là bệnh lưu hành tại Bắc Úc và Đông Nam Á, đặc biệt là sau các cơn mưa nặng hạt, bên cạnh đó cũng có những ca nhiễm rải rác ở ngoài các khu vực bệnh lưu hành.
Được mệnh danh là ‘kẻ bắt chước vĩ đại’, melioidosis biểu hiện nhiều bệnh cảnh khác nhau nhưbệnh phổi/da riêng lẻ, nhiễm trùng máucơ bản, áp-xe nội tạng hoặc nhiễm trùng máu bùng phát nhanh tử vong.
Các yếu tố nguy cơ liên quan đến melioidosis bao gồm bệnh tiểu đường, sử dụng đồ uống có cồn quá mức và bệnh thận mãn tính. Các yếu tố nguy cơ độc lập ít rõ ràng hơn bao gồmbệnh phỗi mãn tính, khối u ác tính và sử dụng corticosteroid toàn thân.
Các bác sĩ đa khoa đóng vai trò then chốt trong việc chẩn đoán sớm bệnh, điều này khá thách thức và đòi hỏi có sự nghi ngờ cao độ của bác sĩ.
Quá trình nuôi cấy trong phòng thí nghiệm vẫn là biện pháp chẩn đoán được tin dùng hàng đầu, với các mẫu nuôi cấy dương tính được coi là nhiễm bệnh.
Liệp pháp điều trị bệnh này đòi hỏi liệu phápđiều trị tấn công, dùng kịp thời thuốc kháng sinh carbapenem (hoặc ceftazidime) ± TMP-SMX, sau đó là liệu pháp điều trị tiệt căn dùng thuốc TMP-SMX. Sự lựa chọn thuốc và thời gian của các liệu pháp điều trị được quyết định bởi sự nghiêm trọng của căn bệnh và sự ảnh hưởng của các cơ quan nội tạng.
Hiện vẫn chưa có vắc-xin hữu hiệu cho con người. Khách du lịch đi tới các vùng bệnh lưu hành, những người có nguy cơ cao, nên được tư vấn phòng bệnh dựa trên một đợt đánh giá rủi ro cá nhân.
Tài liệu tham khảo
1.Cheng AC, Currie BJ. Melioidosis: Epidemiology, pathophysiology, and management. Clin Microbiol Rev 2005 !important;18(2):383–416. doi: 10.1128/CMR.18.2.383–416.2005. Search PubMed
2.Wiersinga WJ, Currie BJ, Peacock SJ. Melioidosis. N Engl J Med 2012 !important;367(11):1035–44. doi: 10.1056/NEJMra1204699. Search PubMed
3.Wiersinga WJ, Virk HS, Torres AG, et al. Melioidosis. Nat Rev Dis Primers 2018 !important;4:17107. doi: 10.1038/nrdp.2017.107. Search PubMed
4.Chewapreecha C, Holden MT, Vehkala M, et al. Global and regional dissemination and evolution of Burkholderia pseudomallei. Nat Microbiol 2017 !important;2:16263. doi: 10.1038/nmicrobiol.2016.263. Search PubMed
5.Currie BJ, Ward L, Cheng AC. The epidemiology and clinical spectrum of melioidosis: 540  !important;cases from the 20 year Darwin prospective study. PLoS Negl Trop Dis 2010;4(11):e900. doi: 10.1371/journal.pntd.0000900. Search PubMed
6.Suputtamongkol Y, Chaowagul W, Chetchotisakd P, et al. Risk factors for melioidosis and bacteremic melioidosis. Clin Infect Dis 1999 !important;29(2):408–13. doi: 10.1086/520223. Search PubMed
7.Currie BJ, Fisher DA, Howard DM, et al. Endemic melioidosis in tropical northern Australia: A  !important;10‑year prospective study and review of the literature. Clin Infect Dis 2000;31(4):981–86. doi:10.1086/318116. Search PubMed
8.Meumann EM, Cheng AC, Ward L, Currie BJ. Clinical features and epidemiology of melioidosis pneumonia: Results from a 21-year study and review of the literature. Clin Infect Dis 2012 !important;54(3):362–69. doi: 10.1093/cid/cir808. Search PubMed
9.Currie BJ, Jacups SP. Intensity of rainfall and severity of melioidosis, Australia. Emerg Infect Dis 2003 !important;9(12):1538–42. doi: 10.3201/eid0912.020750. Search PubMed
10.McLeod C, Morris PS, Bauert PA, et al. Clinical presentation and medical management of melioidosis in children: A 24-year prospective study in the Northern Territory of Australia and review of the literature. Clin Infect Dis 2015 !important;60(1):21–26. doi: 10.1093/cid/ciu733. Search PubMed
11.Currie BJ, Fisher DA, Howard DM, Burrow JN. Neurological melioidosis. Acta Trop 2000 !important;74(2–3):145–51. doi: 10.1016/S0001-706X(99)00064-9. Search PubMed
12.Expert Group for Antiobiotics. Melioidosis. In: eTG complete [Internet]. Melbourne: Therapeutic Guidelines Limited, 2014.  !important;Search PubMed
13.Lipsitz R, Garges S, Aurigemma R, et al. Workshop o­ !important;n treatment of and postexposure prophylaxis for Burkholderia pseudomallei and B. mallei infection, 2010. Emerg Infect Dis 2012;18(12):e2. doi: 10.3201/eid1812.120638. Search PubMed
14.Chierakul W, Anunnatsiri S, Short JM, et al. Two randomized controlled trials of ceftazidime alone versus ceftazidime in combination with trimethoprim-sulfamethoxazole for the treatment of severe melioidosis. Clin Infect Dis 2005 !important;41(8):1105–13. doi: 10.1086/444456. Search PubMed
15.Chetchotisakd P, Chierakul W, Chaowagul W, et al. Trimethoprim-sulfamethoxazole versus trimethoprim-sulfamethoxazole plus doxycycline as oral eradicative treatment for melioidosis (MERTH): A multicentre, double-blind, non-inferiority, randomised controlled trial. Lancet 2014 !important;383(9919):807–14. doi: 10.1016/S0140-6736(13)61951-0. Search PubMed
  !important;